We use cookies to enhance the usability of our website. If you continue, we'll assume that you are happy to receive all cookies. More information. Don't show this again.
XRCC6
HPA
RESOURCES
  • TISSUE
  • BRAIN
  • SINGLE CELL
  • SUBCELLULAR
  • CANCER
  • BLOOD
  • CELL LINE
  • STRUCTURE & INTERACTION
ABOUT
  • INTRODUCTION
  • HISTORY
  • ORGANIZATION
  • PUBLICATIONS
  • ANTIBODY SUBMISSION
  • ANTIBODY AVAILABILITY
  • ACKNOWLEDGMENTS
  • CONTACT
NEWS
  • NEWS ARTICLES
  • PRESS ROOM
LEARN
  • DICTIONARY
  • PROTEIN CLASSES
  • PROTEIN EVIDENCE
  • METHODS
  • EDUCATIONAL VIDEOS
DATA
  • DOWNLOADABLE DATA
  • PUBLICATION DATA
  • RELEASE HISTORY
HELP
  • ANTIBODY VALIDATION
  • ASSAYS & ANNOTATION
  • DISCLAIMER
  • HELP & FAQ
  • PRIVACY STATEMENT
  • LICENCE & CITATION
Fields »
Search result

Field
Term
Gene name
Class
Subclass
Class
Keyword
Chromosome
External id
Tissue
Cell type
Expression
Antibody panel
Tissue
Main location
Patient ID
Annotation
Tissue
Category
Tau score
Cluster
Reliability
Brain region
Category
Tau score
Brain region
Category
Tau score
Brain region
Category
Tau score
Cluster
Reliability
Tissue
Cell type
Enrichment
Cell type
Category
Tau score
Cell type
Category
Tau score
Cell type
Category
Tau score
Cell lineage
Category
Tau score
Cluster
Cluster
Location
Searches
Location
Cell line
Class
Type
Phase
Reliability
Cancer
Prognosis
Cancer
Category
Cancer
Category
Tau score
Cluster
Variants
Interacting gene (ensg_id)
Type
Number of interactions
Pathway
Category
Score
Score
Score
Validation
Validation
Validation
Validation
Antibodies
Data type
Column


  • SUMMARY

  • TISSUE

  • BRAIN

  • SINGLE CELL

  • SUBCELL

  • CANCER

  • BLOOD

  • CELL LINE

  • STRUCT & INT

  • XRCC6
TISSUE PRIMARY DATA SKIN Show tissue menu
ADIPOSE TISSUE ADRENAL GLAND AMYGDALA APPENDIX BASAL GANGLIA BONE MARROW BREAST BRONCHUS CEREBELLUM CEREBRAL CORTEX CERVIX CHOROID PLEXUS COLON DUODENUM
ENDOMETRIUM EPIDIDYMIS ESOPHAGUS FALLOPIAN TUBE GALLBLADDER HEART MUSCLE HIPPOCAMPAL FORMATION HYPOTHALAMUS KIDNEY LIVER LUNG LYMPH NODE MIDBRAIN NASOPHARYNX
ORAL MUCOSA OVARY PANCREAS PARATHYROID GLAND PITUITARY GLAND PLACENTA PROSTATE RECTUM RETINA SALIVARY GLAND SEMINAL VESICLE SKELETAL MUSCLE SKIN SMALL INTESTINE
SMOOTH MUSCLE SOFT TISSUE SPINAL CORD SPLEEN STOMACH TESTIS THYMUS THYROID GLAND TONGUE TONSIL URINARY BLADDER VAGINA
ANTIBODIES
AND
VALIDATION
Dictionary
Skin
Tissue proteome
Skin
SKIN - Expression summary
Protein expression
Skini

On the top, protein expression in current human tissue, based on all annotated cell types, is reported with the units not detected (n), low (l), medium (m) and high (h). Underneath, protein expression in each annotated cell type are reported using the same units.

Protein expression data is based on knowledge-based annotation. For genes where more than one antibody has been used, a collective score is set.

If knowledge-based annotation could not be performed for a gene, no data is displayed here. View antibody staining data further down this page.

h
m
l
n
Cells in basal layer: High
Cells in corneal layer: Not detected
Cells in granular layer: High
Cells in spinous layer: High
Endothelial cells: High
Extracellular matrix: Not detected
Fibrohistiocytic cells: High
Hair follicles: High
Langerhans cells: High
Lymphocytes: High
Melanocytes: High
Sebaceous glands: High
Vascular mural cells: High
RNA expressioni

A summary of mRNA expression data available for current tissue based on several datasets. The mRNA expression levels in human tissues are based on RNA-seq data generated by the Human Protein Atlas (HPA), Genotype-Tissue Expression (GTEx) portal and CAGE data generated by the FANTOM5 consortium. Consensus normalized expression levels for human tissues was created by combining the data from HPA and GTEx datasets.

The mRNA expression levels in pig are based on RNA-seq data generated by the Human Protein Atlas (HPA), and for mouse, HPA data and in situ hybridization generated by the Allen brain atlas are reported.

Scroll down to view mRNA expression data in more detail.
Consensus:162.9 nTPM
HPA:133.3 nTPM
GTEx:162.9 nTPM

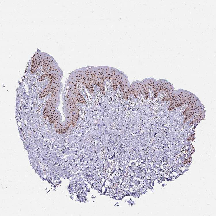
SKIN 1 - Antibody stainingi

Antibody staining in the annotated cell types in the current human tissue is reported as not detected, low, medium, or high, based on conventional immunohistochemistry profiling in selected tissues. This score is based on the combination of the staining intensity and fraction of stained cells.

Each image is clickable and will lead to virtual microscopy that enables deeper exploration of all samples and also displays staining intensity scores, fraction scores and subcellular localization as well as patient and tissue information for each sample.

Antibody HPA047549Antibody HPA062226Antibody CAB004254
Langerhans -HighHigh
Cells in basal layer High--
Cells in corneal layer Not detected--
Cells in granular layer High--
Cells in spinous layer High--
Endothelial cells High--
Extracellular matrix Not detected--
Fibroblasts -HighHigh
Fibrohistiocytic cells High--
Hair follicles High--
Keratinocytes -HighHigh
Langerhans cells High--
Lymphocytes High--
Melanocytes HighHighHigh
Sebaceous glands High--
Vascular mural cells High--






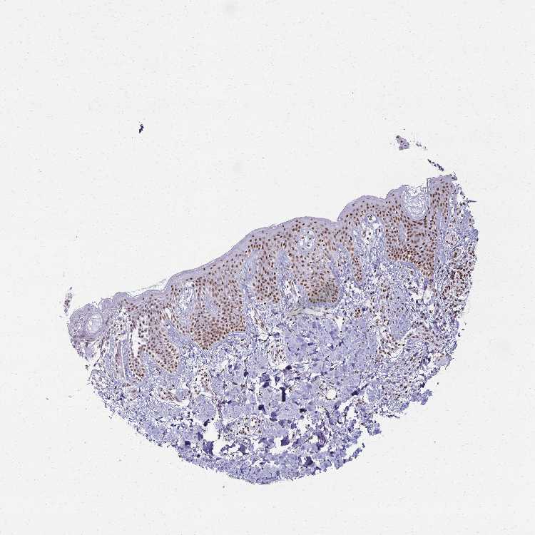
SKIN 2 - Antibody stainingi

Antibody staining in the annotated cell types in the current human tissue is reported as not detected, low, medium, or high, based on conventional immunohistochemistry profiling in selected tissues. This score is based on the combination of the staining intensity and fraction of stained cells.

Each image is clickable and will lead to virtual microscopy that enables deeper exploration of all samples and also displays staining intensity scores, fraction scores and subcellular localization as well as patient and tissue information for each sample.

Antibody HPA047549Antibody HPA062226Antibody CAB004254
Cells in basal layer High--
Cells in corneal layer Not detected--
Cells in granular layer High--
Cells in spinous layer High--
Endothelial cells High--
Epidermal cells -HighHigh
Extracellular matrix Not detected--
Fibrohistiocytic cells High--
Langerhans cells High--
Lymphocytes High--
Melanocytes High--
Vascular mural cells High--
   
   
   
   






SKIN - HPA RNA-seqi

The RNA-seq details section shows detailed information about the individual samples used for the transcript profiling and results of the RNA-seq analysis.

Information about each individual sample is listed below, including gender, age, a tissue section image and estimated fractions of cell types. nTPM (normalized transcripts per million) values give a quantification of the gene abundance which is comparable between different genes and samples.
Average nTPMi

Max subtype nTPM is the value for the subtype with the largest average nTPM across the subtype samples.

133.3
overview
Female, age 34
Skin sample 225
nTPM: 147.5
Cell types%
Keratinocytes:
60

Other cell types:
40

overview
Female, age 30
Skin sample 226
nTPM: 141.9
Cell types%
Keratinocytes:
55

Other cell types:
45

N/A
Male, age 57
Skin sample 227
nTPM: 110.4

SKIN - GTEx RNA-seqi

RNA-Seq data generated by the Genotype-Tissue Expression (GTEx) project from human tissues is reported as mean nTPM. More information can be found on the GTEx portal.

Distribution across the dataset is visualized with box plots, shown as median and 25th and 75th percentiles. Points are displayed as outliers if they are above or below 1.5 times the interquartile range. nTPM values of the individual samples are presented next to the box plot.
Max subtype nTPMi

Max subtype nTPM is the value for the subtype with the largest average nTPM across the subtype samples.

162.9
GTEx sample id Sample description nTPM
Skin - Not Sun Exposed (Suprapubic)
Average nTPM: 161.3
Samples: 604

Max nTPM: 283.7
Min nTPM: 101.0
Std nTPM: 30.1
Median nTPM: 156.7
GTEX-1ICLZ-0326-SM-ARL82 60-69 years, male 283.7
GTEX-1OJC3-1226-SM-DTXER 20-29 years, male 279.1
GTEX-1E2YA-2126-SM-7MXUO 50-59 years, male 277.5
GTEX-1PPH8-0126-SM-EWRN8 20-29 years, male 255.3
GTEX-Y114-2126-SM-4TT8B 50-59 years, female 252.5
GTEX-WH7G-2026-SM-3NMBL 40-49 years, male 252.2
GTEX-WHSE-0126-SM-3NMBT 20-29 years, male 251.3
GTEX-1IKOE-1426-SM-CE6T7 30-39 years, female 246.4
GTEX-11DYG-1526-SM-5A5JS 60-69 years, male 241.3
GTEX-14XAO-1226-SM-6EU1C 60-69 years, female 238.7
GTEX-WI4N-2726-SM-3LK7Y 40-49 years, female 238.5
GTEX-148VJ-0626-SM-5LUAW 70-79 years, male 237.9
GTEX-1MJK3-0726-SM-E6CJC 20-29 years, male 236.5
GTEX-1PIGE-1826-SM-E8VOU 20-29 years, male 232.0
GTEX-15G19-2426-SM-7KUMR 60-69 years, male 229.9
GTEX-1IKJJ-2226-SM-CJI4C 60-69 years, male 229.9
GTEX-14PJ3-1126-SM-5ZZVX 50-59 years, male 229.1
GTEX-WFG7-2026-SM-5SI7P 20-29 years, male 229.1
GTEX-ZTX8-1326-SM-4YCEL 20-29 years, male 227.5
GTEX-1HSMP-0926-SM-A9SKX 70-79 years, male 227.4
GTEX-17F97-2626-SM-7IGM5 50-59 years, male 226.8
GTEX-14C39-1726-SM-5RQIL 40-49 years, male 225.8
GTEX-U8XE-0226-SM-4E3J3 30-39 years, male 224.7
GTEX-ZF3C-0626-SM-DO92O 50-59 years, female 224.3
GTEX-1HCU6-2526-SM-ADEHL 60-69 years, female 222.7
GTEX-ZYW4-0626-SM-59HJR 60-69 years, male 222.3
GTEX-1CB4J-1326-SM-7P8RX 60-69 years, male 220.0
GTEX-14ICL-1626-SM-5YYAO 30-39 years, male 219.8
GTEX-1N2DV-1526-SM-DTXEP 40-49 years, male 219.7
GTEX-1399Q-2326-SM-5KM2X 40-49 years, male 219.1
GTEX-1I1GU-0926-SM-ACKVS 40-49 years, male 218.9
GTEX-1EX96-1026-SM-7MKG2 50-59 years, male 216.7
GTEX-16YQH-2226-SM-7IGM2 30-39 years, male 216.6
GTEX-144FL-0626-SM-5LU43 50-59 years, male 216.5
GTEX-1S82U-1026-SM-E6CJK 30-39 years, female 216.5
GTEX-11WQK-1026-SM-5EQLX 50-59 years, male 216.3
GTEX-15RJ7-2126-SM-6PAMD 40-49 years, male 215.8
GTEX-15SKB-2826-SM-6PAMH 60-69 years, male 215.1
GTEX-131XG-0326-SM-5L3DX 50-59 years, female 215.0
GTEX-1PBJJ-1026-SM-E76OS 30-39 years, male 213.3
GTEX-139UW-0326-SM-5J1ML 60-69 years, male 209.8
GTEX-15SHW-0226-SM-7LTAT 60-69 years, male 209.7
GTEX-1F6I4-2326-SM-7RHGL 60-69 years, male 207.9
GTEX-1F75I-2226-SM-7SB8U 40-49 years, male 207.5
GTEX-XBEW-1126-SM-4QARW 40-49 years, male 207.4
GTEX-1JJEA-1826-SM-ARU8P 60-69 years, male 207.3
GTEX-1AYD5-2626-SM-7PBXY 50-59 years, male 205.1
GTEX-W5X1-2526-SM-3GILC 40-49 years, female 204.7
GTEX-1GN1V-2826-SM-9JGIA 60-69 years, male 204.5
GTEX-14C38-0726-SM-5SI6M 50-59 years, male 204.3
GTEX-11WQC-1826-SM-5GU59 60-69 years, male 203.9
GTEX-12WSJ-1126-SM-5LZVJ 40-49 years, female 203.8
GTEX-15RIG-0726-SM-7KUM7 40-49 years, male 203.8
GTEX-1BAJH-2426-SM-7IGP8 70-79 years, male 203.5
GTEX-X8HC-0626-SM-4E3HQ 50-59 years, female 203.3
GTEX-1RAZS-2526-SM-E6CHT 50-59 years, male 202.7
GTEX-13112-0126-SM-5P9IU 50-59 years, male 202.5
GTEX-ZE7O-2726-SM-51MT5 50-59 years, female 202.5
GTEX-18A6Q-0626-SM-7KFRP 60-69 years, male 201.0
GTEX-ZYT6-2326-SM-5GZY3 30-39 years, male 200.4
GTEX-17F9E-2326-SM-79OKD 50-59 years, male 200.3
GTEX-1LSVX-2526-SM-DIPEU 60-69 years, male 199.9
GTEX-Y111-0626-SM-4SOIT 50-59 years, male 199.8
GTEX-11ZU8-0126-SM-5EQ58 60-69 years, male 199.5
GTEX-13RTJ-0126-SM-5S2NN 60-69 years, male 198.8
GTEX-1NV5F-0626-SM-DTXEG 60-69 years, female 198.7
GTEX-X585-2426-SM-46MW2 50-59 years, male 198.4
GTEX-1QP9N-1226-SM-E76QN 30-39 years, male 198.4
GTEX-1JMQK-1226-SM-D4P2S 60-69 years, male 198.1
GTEX-11OF3-0126-SM-5PNYF 60-69 years, male 197.7
GTEX-1497J-0226-SM-5QGPU 60-69 years, male 197.6
GTEX-WXYG-2026-SM-4E3IY 50-59 years, female 197.3
GTEX-1LVA9-2626-SM-EVYD4 50-59 years, male 197.0
GTEX-13G51-1826-SM-5KLZH 60-69 years, male 196.8
GTEX-13NYC-0126-SM-5L3F4 60-69 years, male 196.2
GTEX-1I1GP-1326-SM-A9G28 50-59 years, male 196.1
GTEX-1GMRU-2126-SM-7P8RA 50-59 years, male 195.9
GTEX-15G1A-1626-SM-7KUKN 30-39 years, male 195.8
GTEX-1JN1M-2726-SM-CY8I4 60-69 years, female 195.8
GTEX-11PRG-0726-SM-5EGL1 50-59 years, male 195.4
GTEX-1QAET-0326-SM-EVR3U 50-59 years, male 195.3
GTEX-1C6WA-2626-SM-7MKGM 60-69 years, male 194.7
GTEX-1NSGN-0726-SM-DTXEF 50-59 years, male 194.7
GTEX-13JVG-0726-SM-5KM16 60-69 years, male 194.3
GTEX-147F4-0726-SM-5TDDD 50-59 years, male 193.8
GTEX-1B97I-0626-SM-73KUZ 40-49 years, male 193.6
GTEX-1R9K4-2826-SM-DTX8F 60-69 years, male 193.5
GTEX-1F6RS-2026-SM-7RHHC 60-69 years, female 193.0
GTEX-1C64N-2626-SM-7PC2N 50-59 years, male 192.6
GTEX-1S83E-1326-SM-E6CJM 40-49 years, male 192.5
GTEX-13NYB-0126-SM-5J1MD 40-49 years, male 192.3
GTEX-145MG-1526-SM-5Q5EM 50-59 years, male 192.2
GTEX-15RIE-1926-SM-7KUKJ 60-69 years, male 192.0
GTEX-1R9PN-0426-SM-DTXDT 40-49 years, female 191.8
GTEX-11DXX-2126-SM-5PNYR 60-69 years, female 191.2
GTEX-15DYW-2726-SM-6EU2I 60-69 years, female 190.6
GTEX-1PDJ9-1226-SM-EXUSX 20-29 years, male 190.6
GTEX-13X6K-0626-SM-5LU5D 60-69 years, female 189.9
GTEX-1J8EW-2726-SM-CY8HR 60-69 years, female 189.9
GTEX-13IVO-0726-SM-5LZYV 70-79 years, male 189.8
GTEX-14PJO-2526-SM-6AJBQ 60-69 years, male 189.8
GTEX-ZTTD-2826-SM-4YCFA 50-59 years, male 189.8
GTEX-1S5ZU-2526-SM-E6CIF 20-29 years, female 189.5
GTEX-14A5H-0826-SM-5QGPJ 60-69 years, male 188.7
GTEX-11DXY-0126-SM-5H11Q 60-69 years, male 188.1
GTEX-1PIIG-2326-SM-DTXFR 30-39 years, male 187.9
GTEX-14E6C-2426-SM-5S2NF 40-49 years, male 187.8
GTEX-1JMLX-0626-SM-ARL8T 50-59 years, male 187.8
GTEX-1H2FU-0926-SM-9WPPT 60-69 years, female 187.7
GTEX-1HGF4-0126-SM-CNPPX 60-69 years, male 187.5
GTEX-15UF6-1926-SM-7KUDV 70-79 years, female 186.9
GTEX-1RAZQ-1326-SM-E9TK6 30-39 years, male 186.4
GTEX-1M4P7-0726-SM-E6CJ3 60-69 years, male 186.3
GTEX-1A3MW-0626-SM-731CB 60-69 years, female 186.0
GTEX-12WSD-0626-SM-5GCMW 60-69 years, female 185.9
GTEX-18A66-0626-SM-7LT8Z 60-69 years, male 185.7
GTEX-1HBPI-2126-SM-ARL9K 50-59 years, male 185.7
GTEX-15ER7-0626-SM-6PANF 20-29 years, female 185.4
GTEX-1H3O1-1326-SM-9MQLD 60-69 years, male 185.2
GTEX-16MT9-0126-SM-7EPI8 60-69 years, female 185.0
GTEX-131XF-2626-SM-5EQ6K 60-69 years, male 184.2
GTEX-1H1DG-2426-SM-9QEHJ 70-79 years, male 184.1
GTEX-13PL6-1126-SM-5L3IE 40-49 years, female 183.8
GTEX-13FTY-2126-SM-5IFFB 40-49 years, female 183.7
GTEX-1F75A-0726-SM-7RHHD 50-59 years, male 183.6
GTEX-1JMQL-2226-SM-CNPP4 50-59 years, female 183.6
GTEX-111VG-1626-SM-5EGIO 60-69 years, male 183.3
GTEX-18A67-1626-SM-7LT9T 50-59 years, male 183.2
GTEX-16AAH-0626-SM-793C9 50-59 years, male 182.9
GTEX-145MH-2826-SM-5RQJF 50-59 years, male 182.7
GTEX-11P7K-1126-SM-5HL4L 30-39 years, male 182.2
GTEX-ZYVF-0926-SM-5E44J 50-59 years, female 182.2
GTEX-14E1K-2026-SM-7DUEI 50-59 years, male 182.0
GTEX-17F98-1326-SM-7DUEP 40-49 years, female 182.0
GTEX-YECK-0326-SM-4W1YS 60-69 years, male 182.0
GTEX-131XH-0126-SM-5LZUY 50-59 years, male 181.7
GTEX-13PDP-0726-SM-5L3HP 60-69 years, male 181.6
GTEX-11P82-1426-SM-DTXFY 20-29 years, male 181.5
GTEX-1H1ZS-2726-SM-9WG75 70-79 years, male 181.5
GTEX-1JMQJ-0826-SM-CNPP7 50-59 years, male 181.4
GTEX-1399S-0126-SM-5IJCF 30-39 years, female 181.3
GTEX-1H1CY-0126-SM-9YFLY 60-69 years, female 181.3
GTEX-15DDE-2926-SM-6LLJ3 50-59 years, female 181.0
GTEX-1GPI6-1926-SM-9KNV7 60-69 years, male 180.6
GTEX-15RJE-2826-SM-7KUM9 40-49 years, male 180.5
GTEX-1HSMQ-2626-SM-A9SML 50-59 years, male 180.0
GTEX-17MFQ-1526-SM-7KFRR 20-29 years, male 179.9
GTEX-ZAJG-1526-SM-5CVML 50-59 years, female 179.6
GTEX-1S3DN-2126-SM-E9TIN 50-59 years, male 179.6
GTEX-1QCLY-0226-SM-EWRNH 30-39 years, male 179.1
GTEX-1H11D-1826-SM-9QEHM 40-49 years, male 178.7
GTEX-ZVZP-1226-SM-5GID7 50-59 years, male 178.4
GTEX-1OJC4-2726-SM-E76PJ 50-59 years, female 178.1
GTEX-11O72-0626-SM-5PNYE 40-49 years, male 177.9
GTEX-1CAMQ-1326-SM-7P8RV 40-49 years, male 177.9
GTEX-UPK5-0426-SM-3GAEK 40-49 years, male 177.7
GTEX-1GN73-0726-SM-7P8TJ 60-69 years, male 177.5
GTEX-1RLM8-2926-SM-E8VON 50-59 years, male 177.3
GTEX-13OW5-2326-SM-5L3HO 60-69 years, male 177.1
GTEX-1LKK1-2626-SM-DKPQE 50-59 years, female 177.0
GTEX-XYKS-1426-SM-4BRUO 60-69 years, female 176.8
GTEX-1HR9M-2226-SM-CNPPY 60-69 years, male 176.8
GTEX-14LZ3-0126-SM-69LPM 60-69 years, female 176.7
GTEX-17F9Y-0126-SM-79OKX 70-79 years, female 176.6
GTEX-139TS-2126-SM-5K7XC 60-69 years, male 176.5
GTEX-1R9PM-1926-SM-EVR3O 20-29 years, male 176.5
GTEX-1I1CD-0626-SM-CE6SW 60-69 years, female 176.1
GTEX-1A3MV-1826-SM-731CD 30-39 years, male 175.7
GTEX-1313W-0626-SM-5EQ4H 50-59 years, female 175.4
GTEX-14PII-0726-SM-6EU2B 60-69 years, male 175.4
GTEX-Y3IK-1626-SM-4YCF5 50-59 years, female 175.2
GTEX-ZDTS-0826-SM-4WKHL 60-69 years, male 175.0
GTEX-12126-0826-SM-5FQTZ 20-29 years, male 174.7
GTEX-144GL-0626-SM-5LU4D 50-59 years, male 174.5
GTEX-12ZZY-0726-SM-5EQ66 60-69 years, male 174.3
GTEX-1QP28-1126-SM-EVYC4 50-59 years, female 174.3
GTEX-13SLW-0626-SM-5Q5ER 70-79 years, male 173.9
GTEX-1IE54-1126-SM-A9G2Z 40-49 years, female 173.8
GTEX-XXEK-1626-SM-4BRUZ 50-59 years, male 173.5
GTEX-1HCU7-0726-SM-A9SL1 50-59 years, male 173.4
GTEX-Y3I4-1726-SM-4TT89 50-59 years, male 173.2
GTEX-1GF9V-0826-SM-9KNUV 60-69 years, male 172.9
GTEX-18D9U-0126-SM-731BM 40-49 years, male 172.7
GTEX-1GZ4I-2626-SM-9KNU3 50-59 years, male 172.7
GTEX-1CAMR-1326-SM-7PC1F 20-29 years, male 172.5
GTEX-ZVP2-0326-SM-57WBP 50-59 years, male 172.4
GTEX-14PJ5-1526-SM-6LLIL 60-69 years, female 172.3
GTEX-11EQ8-0926-SM-5H12V 60-69 years, male 171.8
GTEX-1I1GV-0626-SM-ARL7M 60-69 years, male 171.8
GTEX-14DAR-1226-SM-73KYV 50-59 years, male 171.7
GTEX-1J8Q2-2626-SM-ACKWQ 60-69 years, male 171.7
GTEX-1S82P-2126-SM-E6CI5 60-69 years, female 171.7
GTEX-1H1DE-1326-SM-9KNUG 20-29 years, male 171.5
GTEX-14753-0726-SM-5QGQO 60-69 years, male 171.4
GTEX-1LVAM-0726-SM-E6CIL 50-59 years, female 170.8
GTEX-YFCO-1226-SM-5LUAT 40-49 years, male 170.7
GTEX-13FTX-1526-SM-5K7VJ 20-29 years, female 170.6
GTEX-12ZZX-2426-SM-5GCOE 40-49 years, female 170.3
GTEX-1EU9M-1426-SM-793AI 60-69 years, male 170.2
GTEX-12WSH-1526-SM-5BC5W 50-59 years, male 170.1
GTEX-WY7C-2126-SM-3NB2R 50-59 years, male 169.8
GTEX-1KANB-2826-SM-CY8I6 50-59 years, male 169.6
GTEX-13O61-1426-SM-5KM3D 60-69 years, male 169.5
GTEX-1J1OQ-0126-SM-D4P2N 40-49 years, female 169.4
GTEX-ZY6K-1426-SM-5GZX2 50-59 years, male 169.3
GTEX-1A32A-0626-SM-731AQ 50-59 years, female 169.2
GTEX-X4EO-2926-SM-4E3JH 60-69 years, female 169.0
GTEX-12WSK-2126-SM-5CVNC 40-49 years, female 168.9
GTEX-1HC8U-1326-SM-9YFMJ 40-49 years, female 168.9
GTEX-WHWD-1826-SM-3LK6I 50-59 years, male 168.8
GTEX-XK95-0226-SM-4AT58 40-49 years, male 168.6
GTEX-1PPGY-1626-SM-EVYBL 60-69 years, male 168.6
GTEX-139D8-1126-SM-5LU8W 30-39 years, female 168.3
GTEX-1EMGI-2326-SM-7PBYA 60-69 years, male 168.2
GTEX-1O9I2-0226-SM-EYYXD 50-59 years, male 168.2
GTEX-13QJC-0126-SM-5ZZWJ 60-69 years, female 168.1
GTEX-1192X-2726-SM-5N9DN 50-59 years, male 167.8
GTEX-13O3O-2326-SM-5IJD6 60-69 years, female 167.8
GTEX-ZXG5-2126-SM-59HKD 60-69 years, male 167.8
GTEX-1IY9M-2826-SM-ARU8H 60-69 years, male 167.7
GTEX-ZPU1-1126-SM-4YCF3 40-49 years, male 167.3
GTEX-11DZ1-2426-SM-5GZZX 50-59 years, male 167.2
GTEX-1H1DF-1126-SM-9WG7G 40-49 years, female 167.2
GTEX-1H4P4-2126-SM-9WYSL 50-59 years, male 167.2
GTEX-UPJH-0226-SM-3GADV 50-59 years, male 167.1
GTEX-1JMPY-0226-SM-CKZOK 30-39 years, male 166.9
GTEX-1CAV2-0126-SM-7IGN7 40-49 years, female 166.8
GTEX-WEY5-2326-SM-3GIKK 40-49 years, female 166.8
GTEX-1IDJC-1526-SM-B2LW4 50-59 years, male 166.8
GTEX-ZDYS-2426-SM-4WKGI 50-59 years, male 166.7
GTEX-139TU-0726-SM-5L3EK 60-69 years, male 166.4
GTEX-XQ3S-1426-SM-4BOPR 20-29 years, male 166.3
GTEX-1GTWX-2026-SM-9YFLM 60-69 years, male 166.2
GTEX-131XW-0626-SM-5PNVD 50-59 years, female 165.6
GTEX-1B8SF-0126-SM-7DUG3 60-69 years, male 165.6
GTEX-1I1GS-2626-SM-B2LY3 60-69 years, male 165.5
GTEX-17HGU-2326-SM-7DUFE 50-59 years, male 165.4
GTEX-ZPCL-1126-SM-4WWFE 60-69 years, female 165.1
GTEX-13OVK-1426-SM-6PAN7 40-49 years, male 164.7
GTEX-1GF9W-1426-SM-7PBYM 60-69 years, male 164.7
GTEX-13OVJ-0826-SM-5J1OK 50-59 years, female 164.3
GTEX-147GR-2426-SM-5ZZWQ 60-69 years, male 164.3
GTEX-144GM-0526-SM-79OJO 20-29 years, male 163.8
GTEX-1LSNL-2726-SM-E9TKJ 50-59 years, male 163.7
GTEX-18QFQ-1826-SM-72D52 30-39 years, male 163.6
GTEX-1HB9E-0126-SM-CM2S5 50-59 years, male 163.4
GTEX-1JN76-0626-SM-CKZOQ 20-29 years, female 163.3
GTEX-1R46S-2426-SM-E76QA 60-69 years, female 163.3
GTEX-1QP66-1226-SM-DTX7U 50-59 years, male 163.0
GTEX-13SLX-2226-SM-62LEP 50-59 years, female 162.9
GTEX-1117F-2926-SM-5GZYI 60-69 years, female 162.8
GTEX-139YR-1026-SM-5LZYN 50-59 years, male 162.7
GTEX-14PHX-2226-SM-6EU2P 50-59 years, male 162.6
GTEX-ZF2S-1626-SM-57WES 50-59 years, female 162.6
GTEX-ZC5H-1526-SM-5HL9Y 40-49 years, female 162.2
GTEX-16XZZ-0726-SM-7KUF2 60-69 years, male 162.1
GTEX-16BQI-1326-SM-6M486 30-39 years, female 162.0
GTEX-139TT-2126-SM-5LZWC 60-69 years, male 161.8
GTEX-13YAN-0226-SM-5TDC6 60-69 years, male 161.8
GTEX-ZVT4-2426-SM-5GIEI 50-59 years, female 161.8
GTEX-1PPH7-1126-SM-DTX9A 40-49 years, male 161.8
GTEX-Y5LM-0926-SM-6LLJG 40-49 years, female 161.6
GTEX-14PHY-1226-SM-5ZZWK 60-69 years, female 161.5
GTEX-ZYFC-0426-SM-5GICQ 50-59 years, male 161.5
GTEX-Y8E4-2026-SM-5IFJB 40-49 years, male 161.3
GTEX-11NUK-2726-SM-5A5MC 50-59 years, male 161.1
GTEX-1HT8W-0626-SM-A9G2H 30-39 years, male 161.1
GTEX-Y5V6-2326-SM-4VDSA 60-69 years, male 160.9
GTEX-17HG3-2626-SM-7DUF2 30-39 years, female 160.6
GTEX-13OW6-2726-SM-5J2OE 50-59 years, male 160.4
GTEX-1EH9U-2826-SM-7DUGT 60-69 years, male 160.3
GTEX-1POEN-2326-SM-E9J2L 30-39 years, female 160.3
GTEX-1HFI6-0126-SM-CNPPI 40-49 years, male 160.2
GTEX-1QMI2-2526-SM-E8VNZ 60-69 years, male 160.1
GTEX-1C6VQ-1226-SM-73KYD 50-59 years, male 160.0
GTEX-1F75B-0726-SM-7PC3R 50-59 years, male 159.9
GTEX-YB5K-2026-SM-4VDT3 40-49 years, female 159.7
GTEX-1AX9I-2226-SM-73KUO 60-69 years, male 159.6
GTEX-1CB4E-0926-SM-7EPHT 60-69 years, male 159.5
GTEX-1122O-1026-SM-9WYSF 60-69 years, female 159.5
GTEX-1RB15-1326-SM-E76Q9 60-69 years, male 159.4
GTEX-12696-0126-SM-5EQ4L 60-69 years, male 159.2
GTEX-WHPG-2626-SM-3NMBR 50-59 years, male 159.2
GTEX-1QW4Y-1126-SM-DTXE3 30-39 years, male 159.2
GTEX-11DXZ-2026-SM-5987S 50-59 years, male 159.0
GTEX-17HHY-0426-SM-7DHLC 50-59 years, male 158.6
GTEX-1JK1U-0226-SM-ARZMX 60-69 years, male 158.5
GTEX-13X6H-0926-SM-5SIB2 50-59 years, female 158.4
GTEX-1MCYP-0526-SM-E9U6Q 20-29 years, female 158.4
GTEX-11ZTT-2126-SM-5CVLO 60-69 years, female 157.8
GTEX-VUSG-2326-SM-4KL1U 50-59 years, male 157.8
GTEX-144GO-2026-SM-5O99P 60-69 years, male 157.7
GTEX-14A6H-2026-SM-5Q5DD 30-39 years, male 157.6
GTEX-1EN7A-2426-SM-793DB 40-49 years, male 157.5
GTEX-1HCUA-0826-SM-ADEHM 50-59 years, female 157.2
GTEX-1I1HK-2326-SM-CKZOH 60-69 years, male 157.2
GTEX-12KS4-2126-SM-5FQUT 30-39 years, male 157.1
GTEX-13X6J-0626-SM-5LU5F 50-59 years, male 157.0
GTEX-1F48J-0726-SM-7RHGS 50-59 years, female 156.9
GTEX-13113-1626-SM-5EQ4I 60-69 years, female 156.8
GTEX-13NYS-0626-SM-5L3F1 60-69 years, male 156.7
GTEX-WFON-1926-SM-3LK7L 40-49 years, male 156.7
GTEX-1HBPN-0126-SM-CGQEF 50-59 years, male 156.7
GTEX-12ZZZ-0726-SM-5GCNZ 60-69 years, male 156.3
GTEX-1IDJH-0126-SM-D3L92 70-79 years, male 156.3
GTEX-1IOXB-2726-SM-CM2RI 50-59 years, male 156.3
GTEX-15EO6-2426-SM-6PALZ 50-59 years, male 156.2
GTEX-14BIN-1126-SM-5RQJZ 50-59 years, female 156.1
GTEX-1IL2V-1926-SM-B2LW8 70-79 years, male 156.1
GTEX-1CAMS-2226-SM-7PBXQ 40-49 years, female 156.0
GTEX-WHSB-1326-SM-3LK6W 50-59 years, male 155.9
GTEX-18A7A-0126-SM-731AH 50-59 years, female 155.4
GTEX-1EKGG-0626-SM-7DUGJ 60-69 years, male 155.4
GTEX-1QP2A-1726-SM-E76QC 50-59 years, male 155.3
GTEX-1JMQI-1726-SM-ARL93 50-59 years, male 155.2
GTEX-1GN1W-2426-SM-9KNUU 50-59 years, female 155.1
GTEX-145MI-0626-SM-5SI8S 60-69 years, female 155.0
GTEX-ZF29-0926-SM-4WKFZ 60-69 years, female 155.0
GTEX-XQ8I-0926-SM-4BOOF 50-59 years, male 154.8
GTEX-11VI4-1126-SM-5EQMD 40-49 years, female 154.7
GTEX-1399U-1126-SM-5L3DB 50-59 years, female 154.7
GTEX-145LU-1926-SM-79OJN 50-59 years, male 154.5
GTEX-ZPIC-0526-SM-DO91W 40-49 years, female 154.5
GTEX-ZE9C-2526-SM-5IJDR 60-69 years, male 154.3
GTEX-1ICLY-0826-SM-CMKG1 50-59 years, male 154.3
GTEX-12WSL-2026-SM-5GCML 50-59 years, male 154.2
GTEX-1A8FM-0626-SM-7PC25 50-59 years, female 153.9
GTEX-1QPFJ-1926-SM-EVYBD 30-39 years, female 153.9
GTEX-1F52S-2926-SM-7MKGA 60-69 years, female 153.8
GTEX-1HSKV-1226-SM-ADEI4 60-69 years, male 153.7
GTEX-1E1VI-0326-SM-793D1 50-59 years, male 153.6
GTEX-1GZHY-0626-SM-9KNVC 50-59 years, female 153.4
GTEX-145ME-1726-SM-5Q5EU 40-49 years, female 153.2
GTEX-14JFF-0626-SM-5ZZVT 60-69 years, male 153.2
GTEX-17HHE-1326-SM-7EWDZ 50-59 years, male 153.1
GTEX-11EQ9-1626-SM-5PNY8 30-39 years, male 153.0
GTEX-15EU6-2226-SM-6EU2L 50-59 years, male 152.9
GTEX-1C64O-1326-SM-7MGWR 60-69 years, male 152.8
GTEX-1HR98-2226-SM-ADEI2 60-69 years, male 152.8
GTEX-1S831-1826-SM-EWROF 20-29 years, male 152.6
GTEX-1IDFM-0326-SM-ARL7V 60-69 years, male 152.4
GTEX-17F96-0126-SM-7EWDU 70-79 years, male 152.3
GTEX-1N5O9-0926-SM-E9J3C 60-69 years, male 152.3
GTEX-1RAZR-2126-SM-E9U6T 40-49 years, male 152.3
GTEX-13FLV-0126-SM-5K7WT 50-59 years, male 152.0
GTEX-133LE-2326-SM-5K7W3 20-29 years, female 151.9
GTEX-1H23P-0626-SM-9WG6T 60-69 years, male 151.7
GTEX-145MN-1526-SM-5SI9T 30-39 years, male 151.6
GTEX-14JG1-1526-SM-5YY9X 40-49 years, male 151.6
GTEX-1GPI7-1826-SM-9KNU1 20-29 years, male 151.6
GTEX-X5EB-1926-SM-4E3IW 40-49 years, male 151.5
GTEX-ZT9X-1526-SM-5DUXD 40-49 years, male 151.5
GTEX-XBED-1926-SM-47JYP 60-69 years, male 151.4
GTEX-1AX8Z-0726-SM-73KTS 60-69 years, male 151.2
GTEX-1B8L1-2226-SM-7P8PT 60-69 years, male 151.2
GTEX-11TUW-0626-SM-5LU9M 60-69 years, male 151.0
GTEX-145MF-0926-SM-5Q5EA 50-59 years, male 151.0
GTEX-ZWKS-0626-SM-5GIDV 30-39 years, male 150.8
GTEX-1QP29-1826-SM-DTX9S 50-59 years, male 150.8
GTEX-ZLFU-1826-SM-4WWBV 40-49 years, male 150.5
GTEX-1F5PK-2226-SM-7SB6N 50-59 years, male 150.5
GTEX-1LB8K-0726-SM-D5OV2 50-59 years, male 150.5
GTEX-11ZUS-2626-SM-5FQUR 30-39 years, male 150.2
GTEX-1GF9X-1326-SM-7PC2Y 40-49 years, female 150.2
GTEX-1JN6P-2926-SM-CL54D 60-69 years, male 150.2
GTEX-1N2EE-0626-SM-E76PW 60-69 years, male 150.2
GTEX-11UD2-2526-SM-5CVNU 50-59 years, male 150.1
GTEX-1HKZK-0726-SM-ACKW2 40-49 years, male 150.0
GTEX-Y8LW-1526-SM-5IFHL 50-59 years, female 149.9
GTEX-1GMR8-0626-SM-7RHI7 50-59 years, female 149.7
GTEX-18A7B-2726-SM-7LG56 70-79 years, male 149.6
GTEX-1F88F-0126-SM-9WYSZ 60-69 years, female 149.6
GTEX-1GZ4H-0526-SM-9KNU9 50-59 years, female 149.6
GTEX-1MCC2-1826-SM-DIPEX 30-39 years, female 149.5
GTEX-ZAK1-0626-SM-5HL8E 50-59 years, female 149.4
GTEX-11GS4-0226-SM-5HL77 60-69 years, male 149.1
GTEX-12WSM-1926-SM-5BC65 60-69 years, male 149.1
GTEX-14PJN-1826-SM-6AJ98 30-39 years, male 149.1
GTEX-1LGOU-1326-SM-D3L8M 20-29 years, female 149.0
GTEX-17KNJ-2126-SM-718AM 50-59 years, male 148.8
GTEX-1B933-2426-SM-7DHMD 50-59 years, female 148.8
GTEX-1CB4F-1026-SM-7DUH1 60-69 years, male 148.8
GTEX-Z93S-1626-SM-5CVMB 50-59 years, male 148.7
GTEX-1GN2E-0226-SM-9WG6K 60-69 years, male 148.7
GTEX-1KD5A-0126-SM-E9U54 50-59 years, male 148.7
GTEX-16NPX-0726-SM-7KULC 50-59 years, male 148.4
GTEX-1JJ6O-2726-SM-CNPOG 60-69 years, male 148.4
GTEX-14BMV-2826-SM-5TDED 50-59 years, male 148.3
GTEX-ZYFD-0626-SM-5E44E 50-59 years, male 148.1
GTEX-1F88E-1626-SM-7SB8Z 60-69 years, female 148.1
GTEX-X3Y1-2026-SM-3P5YM 40-49 years, male 147.8
GTEX-1LBAC-0826-SM-CY8IJ 20-29 years, male 147.7
GTEX-13PVQ-0626-SM-5LU47 50-59 years, male 147.4
GTEX-1B8KZ-0326-SM-73KY4 50-59 years, male 147.3
GTEX-VJYA-1526-SM-3GIJV 60-69 years, male 147.3
GTEX-17HII-1426-SM-7EPGG 50-59 years, male 147.1
GTEX-13VXT-1926-SM-5K7UO 20-29 years, female 147.0
GTEX-1GMR2-0826-SM-7PC3V 50-59 years, male 147.0
GTEX-12584-0726-SM-5FQTK 40-49 years, male 146.9
GTEX-1C6VR-0126-SM-7RHGB 60-69 years, male 146.9
GTEX-1JMPZ-0726-SM-CY8HZ 30-39 years, male 146.2
GTEX-ZZ64-1026-SM-5GZXG 20-29 years, male 146.1
GTEX-1JMOU-1026-SM-CYPSS 60-69 years, female 146.0
GTEX-1K2DU-1226-SM-CYPT4 20-29 years, male 146.0
GTEX-13VXU-0626-SM-5L3F9 50-59 years, male 145.8
GTEX-1EWIQ-0326-SM-7DHMQ 70-79 years, female 145.8
GTEX-13NZ8-1226-SM-5KM4A 60-69 years, female 145.7
GTEX-11P81-2226-SM-5PNYI 30-39 years, female 145.1
GTEX-12WSF-1626-SM-7KUG5 70-79 years, male 145.1
GTEX-YEC4-1826-SM-4W1YP 40-49 years, male 145.1
GTEX-1KAFJ-0126-SM-DIPEK 50-59 years, male 145.1
GTEX-15CHR-1126-SM-7EWF4 50-59 years, male 145.0
GTEX-1H3VE-0726-SM-9YFL5 40-49 years, male 144.9
GTEX-YEC3-1326-SM-DO92X 50-59 years, male 144.9
GTEX-132AR-0326-SM-5KM2C 50-59 years, female 144.8
GTEX-18465-2826-SM-7LT9J 50-59 years, male 144.8
GTEX-16MTA-0926-SM-6M47Z 50-59 years, male 144.7
GTEX-18D9B-0926-SM-7LG4U 60-69 years, male 144.7
GTEX-1A8G6-2726-SM-731AR 60-69 years, male 144.6
GTEX-1F6IF-0926-SM-7SB7M 60-69 years, male 144.5
GTEX-13W3W-0726-SM-5IJDQ 60-69 years, female 144.3
GTEX-ZVE1-0726-SM-51MRN 50-59 years, female 144.2
GTEX-1B8KE-1126-SM-7EPHI 50-59 years, male 144.1
GTEX-1CB4H-1126-SM-7MKGL 60-69 years, female 144.0
GTEX-1CB4I-0126-SM-7RHGG 50-59 years, male 144.0
GTEX-11EM3-1226-SM-5N9DD 20-29 years, female 143.8
GTEX-XMD2-2126-SM-4YCF8 60-69 years, female 143.8
GTEX-13OW7-0426-SM-5K7VK 50-59 years, male 143.7
GTEX-WRHU-2826-SM-3MJG8 50-59 years, female 143.7
GTEX-11DXW-0826-SM-5H118 40-49 years, male 143.6
GTEX-1269C-0126-SM-5EQ5L 60-69 years, female 143.5
GTEX-13OVH-0526-SM-5L3E6 70-79 years, male 143.3
GTEX-15D1Q-2826-SM-6LLH7 40-49 years, male 143.3
GTEX-14ABY-2026-SM-62LDL 50-59 years, male 143.1
GTEX-1J8QM-2426-SM-A9SLS 60-69 years, female 143.1
GTEX-18D9A-1426-SM-7LT8M 30-39 years, female 143.0
GTEX-1JKYR-0626-SM-ARL8R 20-29 years, male 143.0
GTEX-1LG7Y-2526-SM-EWRO7 50-59 years, male 142.8
GTEX-1I19N-0126-SM-CYPSF 70-79 years, male 142.6
GTEX-14AS3-1526-SM-5Q5ED 40-49 years, female 142.5
GTEX-1HFI7-2326-SM-CGQFS 50-59 years, female 142.5
GTEX-13FHO-0426-SM-5L3F5 60-69 years, male 142.0
GTEX-145LS-0626-SM-7EPG7 60-69 years, female 141.9
GTEX-ZLV1-1526-SM-DO91J 60-69 years, female 141.9
GTEX-1KANA-1326-SM-DIPFA 20-29 years, male 141.8
GTEX-1HCU9-0426-SM-9WYSD 20-29 years, male 141.7
GTEX-183WM-0326-SM-72D5V 70-79 years, female 141.2
GTEX-1QEPI-2626-SM-DTXF4 60-69 years, female 141.0
GTEX-1GZ2Q-0126-SM-9WG6M 40-49 years, male 140.9
GTEX-14PKU-0126-SM-6LLHV 40-49 years, female 140.4
GTEX-15CHC-1126-SM-6LLHQ 60-69 years, female 140.3
GTEX-ZYFG-1526-SM-5GZYM 60-69 years, female 140.3
GTEX-14PK6-0226-SM-62LF5 70-79 years, female 140.1
GTEX-XOT4-0626-SM-4B66L 60-69 years, female 139.9
GTEX-1A8G7-1326-SM-73KVM 60-69 years, male 139.8
GTEX-1LSNM-0826-SM-DIPG8 50-59 years, male 139.8
GTEX-17EVP-2626-SM-7IGMA 40-49 years, male 139.3
GTEX-13X6I-1826-SM-5SIAO 60-69 years, male 139.1
GTEX-13D11-0926-SM-5J2NC 50-59 years, female 138.9
GTEX-YJ8O-2526-SM-5HL85 40-49 years, female 138.7
GTEX-1KANC-1226-SM-CYPT7 50-59 years, female 138.7
GTEX-1KWVE-1026-SM-D3L9O 30-39 years, male 138.7
GTEX-1LVAO-2726-SM-E9TJ8 60-69 years, male 138.7
GTEX-183FY-1026-SM-7939A 20-29 years, male 138.5
GTEX-ZGAY-1826-SM-DO91Q 40-49 years, female 138.5
GTEX-14PJ6-2626-SM-6EU2T 60-69 years, female 138.4
GTEX-1HBPM-0726-SM-9YFL7 60-69 years, female 138.2
GTEX-1IDJF-2026-SM-CL53V 20-29 years, male 138.2
GTEX-1H1E6-0426-SM-9WYUS 30-39 years, male 138.0
GTEX-145MO-2826-SM-5LU96 60-69 years, male 137.9
GTEX-1LGRB-0926-SM-COH3K 50-59 years, female 137.7
GTEX-111YS-1526-SM-5GZYW 60-69 years, male 137.6
GTEX-16GPK-0626-SM-7KFSF 60-69 years, male 137.5
GTEX-ZDXO-3126-SM-5IJDF 60-69 years, male 137.5
GTEX-11NSD-0626-SM-5A5LU 20-29 years, male 137.4
GTEX-16Z82-2626-SM-7KULU 60-69 years, male 137.4
GTEX-117YX-1926-SM-5GIEC 50-59 years, male 137.2
GTEX-XAJ8-1426-SM-47JYM 40-49 years, male 137.1
GTEX-1GMR3-0126-SM-A9SLW 40-49 years, male 137.0
GTEX-131YS-2826-SM-5EQ47 60-69 years, female 136.8
GTEX-14C5O-0326-SM-5ZZUX 60-69 years, male 136.6
GTEX-X4EP-0626-SM-3P621 60-69 years, female 136.6
GTEX-13N11-2326-SM-5IJBF 50-59 years, female 136.5
GTEX-13N1W-2426-SM-5IJD1 70-79 years, male 136.5
GTEX-WYBS-0626-SM-3NMAS 60-69 years, female 136.4
GTEX-1R7EU-1626-SM-DTXG3 60-69 years, male 136.4
GTEX-1HSMO-0626-SM-ACKXC 60-69 years, male 136.2
GTEX-1HCVE-2726-SM-CL54F 50-59 years, male 136.1
GTEX-111CU-1126-SM-5EGIM 50-59 years, male 136.0
GTEX-1B996-0426-SM-7EWF8 60-69 years, male 136.0
GTEX-1RMOY-1326-SM-E9TIH 50-59 years, male 135.7
GTEX-ZYY3-2926-SM-5GIEB 60-69 years, female 135.6
GTEX-1F5PL-0926-SM-7PC2W 40-49 years, female 135.4
GTEX-146FQ-2126-SM-5RQHU 30-39 years, male 135.0
GTEX-14BMU-1226-SM-5S2OR 20-29 years, female 134.8
GTEX-ZDTT-0426-SM-4WKFL 60-69 years, male 134.5
GTEX-1A3MX-2626-SM-7PC24 60-69 years, male 134.4
GTEX-13O3Q-0126-SM-5KM34 50-59 years, male 134.2
GTEX-14LLW-2626-SM-62LDZ 70-79 years, female 134.0
GTEX-1AX9J-1326-SM-731BJ 60-69 years, male 133.9
GTEX-13NZ9-2626-SM-5L3FK 50-59 years, male 133.5
GTEX-1J8JJ-0626-SM-ARZMQ 60-69 years, female 133.5
GTEX-1211K-1526-SM-5FQU4 60-69 years, female 133.2
GTEX-1LVAN-0626-SM-CNPOQ 50-59 years, female 133.0
GTEX-WK11-2726-SM-3NMAQ 50-59 years, male 132.9
GTEX-1C475-1326-SM-7SB73 40-49 years, female 132.9
GTEX-13OVL-0126-SM-5L3GJ 50-59 years, male 132.7
GTEX-147F3-1726-SM-5SIAW 50-59 years, female 132.6
GTEX-V1D1-2026-SM-3GAF4 50-59 years, male 132.6
GTEX-12BJ1-0926-SM-5EQ62 60-69 years, male 132.5
GTEX-17EVQ-0126-SM-7IGLR 70-79 years, male 132.0
GTEX-1GN1U-0626-SM-9MQL9 50-59 years, female 132.0
GTEX-14PKV-1126-SM-6LLJ1 20-29 years, female 131.8
GTEX-16MT8-2926-SM-7DUFO 60-69 years, female 131.8
GTEX-11GSP-2326-SM-5HL63 60-69 years, female 131.2
GTEX-1F75W-2726-SM-7SB8H 60-69 years, male 131.1
GTEX-1HUB1-1426-SM-CGQF5 60-69 years, male 131.1
GTEX-1I6K7-1926-SM-B2LXR 40-49 years, male 131.1
GTEX-14DAQ-0626-SM-793DS 60-69 years, female 130.5
GTEX-1L5NE-1126-SM-D3L9P 50-59 years, male 130.1
GTEX-14JG6-1426-SM-9WG7C 30-39 years, female 130.0
GTEX-1IDJE-1426-SM-ADEIW 50-59 years, female 130.0
GTEX-1KXAM-1626-SM-D3LAD 60-69 years, male 129.8
GTEX-14E6E-0526-SM-793DN 30-39 years, male 129.6
GTEX-178AV-1726-SM-7KUL8 40-49 years, male 129.3
GTEX-15CHQ-0326-SM-69LQD 60-69 years, male 129.2
GTEX-1IDJV-0126-SM-COH3Y 60-69 years, male 129.2
GTEX-13FH7-1126-SM-5K7UG 50-59 years, female 128.8
GTEX-1C2JI-1026-SM-73KY1 50-59 years, male 128.8
GTEX-13FTW-0326-SM-5K7UW 40-49 years, male 128.0
GTEX-14B4R-1326-SM-5Q5EZ 30-39 years, male 128.0
GTEX-ZA64-1026-SM-5HL8R 20-29 years, male 128.0
GTEX-ZLWG-0826-SM-59888 50-59 years, female 127.9
GTEX-17MF6-2626-SM-79OKQ 40-49 years, male 127.5
GTEX-XV7Q-1826-SM-4BRUV 40-49 years, female 127.2
GTEX-ZT9W-1126-SM-57WDR 50-59 years, male 126.9
GTEX-1212Z-0126-SM-59HK4 60-69 years, male 126.8
GTEX-13PVR-0426-SM-5RQK2 60-69 years, female 126.7
GTEX-1RAZA-2226-SM-E9U4X 20-29 years, male 126.6
GTEX-WFG8-2126-SM-3GIKQ 20-29 years, male 126.4
GTEX-14PJ4-0226-SM-5YY92 60-69 years, male 126.3
GTEX-1J8Q3-0526-SM-ARL8U 60-69 years, male 126.2
GTEX-1AMFI-1326-SM-7939R 50-59 years, female 125.3
GTEX-16NGA-0726-SM-731AO 40-49 years, female 125.1
GTEX-XUW1-0926-SM-4BONX 50-59 years, female 125.1
GTEX-ZVTK-0226-SM-51MRG 20-29 years, male 125.1
GTEX-1LG7Z-1626-SM-CXKYR 30-39 years, male 125.0
GTEX-13OVG-1626-SM-5J1NF 60-69 years, male 124.9
GTEX-ZP4G-1426-SM-4WWCL 20-29 years, female 124.8
GTEX-1314G-1326-SM-5BC6E 30-39 years, male 124.6
GTEX-1IDJI-0126-SM-CMKHS 50-59 years, female 124.5
GTEX-WYJK-0526-SM-3NM8Z 50-59 years, male 124.1
GTEX-1477Z-0326-SM-7IGLA 60-69 years, male 123.9
GTEX-1I6K6-1726-SM-CGQFD 30-39 years, male 123.8
GTEX-1K2DA-1026-SM-CGQGF 50-59 years, male 123.7
GTEX-1JJE9-2626-SM-ARZMT 70-79 years, male 123.6
GTEX-12WSA-0426-SM-5EQ5X 60-69 years, male 123.4
GTEX-12C56-1526-SM-5FQUQ 20-29 years, male 123.1
GTEX-139T8-0626-SM-5KLZX 60-69 years, male 123.1
GTEX-ZAB4-2126-SM-5HL8U 40-49 years, male 123.1
GTEX-145LT-0526-SM-5LUB2 40-49 years, male 121.9
GTEX-ZZPU-0826-SM-5GZX5 50-59 years, female 121.8
GTEX-Y9LG-1126-SM-4VBQ7 30-39 years, male 121.7
GTEX-ZUA1-2626-SM-5NQ92 40-49 years, male 121.4
GTEX-ZU9S-1826-SM-5NQ9E 30-39 years, male 120.9
GTEX-1I4MK-0126-SM-CY8G6 50-59 years, female 120.8
GTEX-1ICG6-1226-SM-A9SLN 70-79 years, female 120.8
GTEX-XBEC-0726-SM-4QARZ 50-59 years, male 120.6
GTEX-1I1GT-1026-SM-ARZLV 60-69 years, female 120.5
GTEX-12WSC-2826-SM-5BC5Y 50-59 years, male 120.4
GTEX-1GL5R-1326-SM-7RHHF 50-59 years, male 119.6
GTEX-1IDJU-1726-SM-CMKHU 60-69 years, female 119.3
GTEX-1QCLZ-2426-SM-EVYBW 60-69 years, female 118.9
GTEX-147JS-0226-SM-5S2U9 60-69 years, male 118.7
GTEX-WYVS-1626-SM-3NM9R 40-49 years, female 118.4
GTEX-13JUV-2026-SM-5K7UA 40-49 years, female 118.2
GTEX-15FZZ-0526-SM-7KUGD 30-39 years, female 117.8
GTEX-1B932-2326-SM-79OL5 40-49 years, female 117.2
GTEX-YF7O-1526-SM-5IFI6 50-59 years, male 116.8
GTEX-11EI6-2826-SM-5H11D 60-69 years, male 116.4
GTEX-13U4I-2226-SM-5LU5H 40-49 years, female 115.8
GTEX-14PJ2-0626-SM-6LLII 50-59 years, male 115.6
GTEX-11LCK-2226-SM-5HL4Q 30-39 years, male 115.5
GTEX-1J1R8-2026-SM-CL53Y 40-49 years, male 115.3
GTEX-1GF9U-2026-SM-7SB92 40-49 years, female 115.2
GTEX-1IDJD-2326-SM-ACKWX 30-39 years, male 114.1
GTEX-111FC-2526-SM-5GZXU 60-69 years, male 113.9
GTEX-1399R-1326-SM-5PNYS 30-39 years, male 113.8
GTEX-11TT1-1826-SM-5EQLV 20-29 years, male 113.4
GTEX-13N2G-0226-SM-5K7VF 60-69 years, male 113.4
GTEX-13QBU-1226-SM-5LU4G 40-49 years, female 113.2
GTEX-1JKYN-0826-SM-ARU8S 30-39 years, male 112.6
GTEX-Y5V5-0126-SM-5S2NW 60-69 years, female 112.3
GTEX-1K9T9-1526-SM-DIPFR 50-59 years, female 111.4
GTEX-13OW8-1026-SM-5J1NQ 60-69 years, male 111.3
GTEX-ZVE2-2826-SM-5GU51 50-59 years, male 110.9
GTEX-1HSGN-0826-SM-ACKW3 40-49 years, female 110.8
GTEX-XPVG-2126-SM-4B667 50-59 years, male 110.7
GTEX-17JCI-2926-SM-7DUFF 60-69 years, female 110.2
GTEX-1H3NZ-2726-SM-9WYTQ 60-69 years, male 108.1
GTEX-1HCU8-2526-SM-CE6RX 60-69 years, female 107.9
GTEX-ZVT2-0126-SM-5GIDQ 50-59 years, female 103.9
GTEX-ZTSS-1426-SM-5985P 40-49 years, male 101.9
GTEX-1AMEY-0826-SM-72D65 30-39 years, female 101.0
Show allShow less
Skin - Sun Exposed (Lower leg)
Average nTPM: 162.9
Samples: 701

Max nTPM: 351.3
Min nTPM: 95.6
Std nTPM: 33.3
Median nTPM: 158.9
GTEX-POMQ-2226-SM-2I5FK 20-29 years, female 351.3
GTEX-SE5C-1626-SM-2XCE3 40-49 years, female 315.6
GTEX-W5X1-3026-SM-EAZAX 40-49 years, female 313.8
GTEX-15UF6-0826-SM-6PALJ 70-79 years, female 300.6
GTEX-1399U-2326-SM-5K7WY 50-59 years, female 285.4
GTEX-15SB6-1726-SM-6PAME 50-59 years, female 280.5
GTEX-O5YT-0126-SM-48TBW 20-29 years, male 271.8
GTEX-Y3IK-2426-SM-4WWDU 50-59 years, female 267.7
GTEX-14E6C-0126-SM-5RQIP 40-49 years, male 265.2
GTEX-1JMQL-0226-SM-CNPP5 50-59 years, female 263.0
GTEX-14PN4-0126-SM-6EU2V 50-59 years, male 259.5
GTEX-139UW-2826-SM-5L3E7 60-69 years, male 249.0
GTEX-OIZG-0726-SM-33HBL 50-59 years, male 248.9
GTEX-1L5NE-2526-SM-E6CIE 50-59 years, male 248.4
GTEX-1HSMO-0126-SM-CL547 60-69 years, male 245.0
GTEX-P4QT-0126-SM-2I3FL 50-59 years, female 244.9
GTEX-WI4N-1026-SM-3LK7N 40-49 years, female 243.9
GTEX-13CF2-2526-SM-5LZYX 60-69 years, male 238.8
GTEX-X4XY-0226-SM-4E3IZ 60-69 years, male 238.4
GTEX-RVPV-0126-SM-EAZAW 60-69 years, male 238.3
GTEX-ZF3C-0126-SM-DO92D 50-59 years, female 238.1
GTEX-S33H-1026-SM-EZ6L6 30-39 years, male 237.1
GTEX-U8XE-0326-SM-3DB8P 30-39 years, male 236.1
GTEX-14XAO-2326-SM-6EU1B 60-69 years, female 230.6
GTEX-13FXS-0226-SM-5IJCK 50-59 years, male 228.3
GTEX-ZVZO-0126-SM-5A5L9 40-49 years, male 227.2
GTEX-U8T8-0126-SM-3DB94 60-69 years, male 227.0
GTEX-1CAV2-2226-SM-7P8P2 40-49 years, female 226.9
GTEX-131XE-2326-SM-5PNZ2 50-59 years, male 226.0
GTEX-S7PM-0126-SM-4AD6S 60-69 years, male 225.7
GTEX-139TS-2826-SM-5J1OO 60-69 years, male 224.6
GTEX-1A3MX-0126-SM-731BR 60-69 years, male 224.6
GTEX-1JMLX-0226-SM-CM2RO 50-59 years, male 224.6
GTEX-QESD-1426-SM-2S1R9 20-29 years, male 224.4
GTEX-1PIIG-0226-SM-EWRN6 30-39 years, male 224.0
GTEX-T2YK-0526-SM-32QPJ 50-59 years, male 223.8
GTEX-145MO-0326-SM-5Q5B3 60-69 years, male 222.8
GTEX-1B8KE-2126-SM-73KYX 50-59 years, male 222.4
GTEX-1HCU6-0126-SM-CL54K 60-69 years, female 221.8
GTEX-11DXZ-2326-SM-5EGGV 50-59 years, male 220.0
GTEX-T6MN-0126-SM-32PLP 50-59 years, male 218.9
GTEX-1KD4Q-0226-SM-E9TJ9 40-49 years, male 218.8
GTEX-15ER7-0326-SM-7KUEV 20-29 years, female 217.4
GTEX-ZVTK-0426-SM-51MRS 20-29 years, male 216.7
GTEX-Y114-2426-SM-4TT8A 50-59 years, female 216.6
GTEX-16XZZ-0126-SM-793DV 60-69 years, male 216.3
GTEX-14E6E-1826-SM-5S2R7 30-39 years, male 216.2
GTEX-13X6H-2126-SM-7EWD5 50-59 years, female 215.4
GTEX-1H1CY-2826-SM-9MQM3 60-69 years, female 213.5
GTEX-ZYFD-0126-SM-5GIDL 50-59 years, male 213.4
GTEX-1EMGI-0126-SM-9KNUE 60-69 years, male 213.2
GTEX-1MJK2-0426-SM-DTXE5 50-59 years, male 212.5
GTEX-14A5I-0126-SM-5TDEA 50-59 years, female 212.2
GTEX-11DYG-0126-SM-59883 60-69 years, male 210.8
GTEX-X88G-0126-SM-47JZ3 30-39 years, male 210.5
GTEX-1JN6P-0126-SM-D3L98 60-69 years, male 210.3
GTEX-P44H-0226-SM-2XCEU 40-49 years, male 209.6
GTEX-13FTW-2626-SM-5K7WL 40-49 years, male 209.2
GTEX-14753-0426-SM-5NQAM 60-69 years, male 208.8
GTEX-1EWIQ-0126-SM-7RHH2 70-79 years, female 208.5
GTEX-S32W-2126-SM-2XCB1 50-59 years, female 208.2
GTEX-X8HC-0126-SM-4E3JW 50-59 years, female 208.2
GTEX-1JN76-0126-SM-CNPPE 20-29 years, female 207.7
GTEX-1HGF4-2426-SM-ACKXM 60-69 years, male 206.8
GTEX-OOBJ-0126-SM-E6CJW 60-69 years, male 206.3
GTEX-Y8DK-0126-SM-4TT3L 60-69 years, male 206.2
GTEX-1N2EF-0226-SM-EYYXB 60-69 years, male 205.7
GTEX-1N2DW-0226-SM-E9TK2 50-59 years, male 205.1
GTEX-1QAET-0926-SM-E76QM 50-59 years, male 205.1
GTEX-P4PP-0126-SM-3LK69 30-39 years, female 205.0
GTEX-YJ89-0126-SM-4TT3X 60-69 years, male 204.8
GTEX-1JMQK-0226-SM-CL543 60-69 years, male 204.8
GTEX-ZTX8-1426-SM-5DUVO 20-29 years, male 204.6
GTEX-XYKS-2126-SM-4E3IB 60-69 years, female 204.5
GTEX-13YAN-0326-SM-5O9DF 60-69 years, male 204.0
GTEX-SN8G-0126-SM-32PLI 50-59 years, female 204.0
GTEX-PVOW-0126-SM-2XCFA 40-49 years, male 202.6
GTEX-UPJH-0326-SM-3GADU 50-59 years, male 202.4
GTEX-17HII-0226-SM-7LG4E 50-59 years, male 202.2
GTEX-18A6Q-0126-SM-731BZ 60-69 years, male 202.1
GTEX-11TUW-2726-SM-E9J4M 60-69 years, male 201.6
GTEX-12WSE-0526-SM-793B2 20-29 years, male 201.5
GTEX-PX3G-0126-SM-2I3EN 20-29 years, female 201.1
GTEX-OIZH-0126-SM-2HMIS 50-59 years, male 200.9
GTEX-1B8SF-1426-SM-7DUGL 60-69 years, male 200.7
GTEX-ZTPG-0326-SM-5O9AX 20-29 years, female 200.4
GTEX-S7SE-0126-SM-2XCD5 50-59 years, male 200.3
GTEX-1H1DG-0126-SM-9WYU2 70-79 years, male 200.3
GTEX-18D9A-1926-SM-7LG6P 30-39 years, female 200.2
GTEX-1B8SG-0126-SM-73KZ3 50-59 years, male 200.2
GTEX-RTLS-0126-SM-447CA 60-69 years, female 200.2
GTEX-1C6VQ-0126-SM-7P8RI 50-59 years, male 199.7
GTEX-1R9PM-2026-SM-E76OY 20-29 years, male 199.0
GTEX-ZYT6-0226-SM-5NQ6T 30-39 years, male 198.9
GTEX-1H1DE-2126-SM-9WG6R 20-29 years, male 198.4
GTEX-X5EB-2226-SM-46MW4 40-49 years, male 198.2
GTEX-1JJEA-0326-SM-CNPOT 60-69 years, male 198.1
GTEX-UJHI-1526-SM-3DB99 50-59 years, female 197.6
GTEX-13FHP-0126-SM-5IJBG 50-59 years, male 197.2
GTEX-TML8-1926-SM-32QOS 40-49 years, female 197.1
GTEX-1IKJJ-0126-SM-CNPQB 60-69 years, male 197.0
GTEX-1497J-2426-SM-7IGNX 60-69 years, male 196.8
GTEX-PSDG-0226-SM-DKPOZ 50-59 years, male 196.5
GTEX-ZE9C-2726-SM-57WB5 60-69 years, male 196.0
GTEX-11WQK-0526-SM-5EQLD 50-59 years, male 195.4
GTEX-13NYS-0126-SM-5MR3W 60-69 years, male 194.7
GTEX-1CB4G-0226-SM-7PC3O 60-69 years, male 194.1
GTEX-14PII-0226-SM-6EU1T 60-69 years, male 194.0
GTEX-1122O-2126-SM-5EGIR 60-69 years, female 193.0
GTEX-1I1GV-0526-SM-A9G29 60-69 years, male 192.8
GTEX-183WM-0126-SM-7LTAB 70-79 years, female 192.5
GTEX-XQ3S-1526-SM-4BOOC 20-29 years, male 192.3
GTEX-1H3VE-0326-SM-9YFLH 40-49 years, male 192.1
GTEX-146FH-0126-SM-5QGPP 50-59 years, female 191.7
GTEX-1OJC3-0126-SM-E76QX 20-29 years, male 191.6
GTEX-1HR98-0126-SM-B2LWI 60-69 years, male 191.0
GTEX-1JMPZ-0226-SM-CNPP1 30-39 years, male 190.1
GTEX-1IDJH-0326-SM-A9SLQ 70-79 years, male 189.8
GTEX-1LG7Z-1726-SM-D3LA4 30-39 years, male 189.8
GTEX-11UD2-0226-SM-5EQKY 50-59 years, male 189.6
GTEX-1J8JJ-0226-SM-CL53I 60-69 years, female 189.6
GTEX-1OFPY-2426-SM-DTXEJ 60-69 years, male 189.4
GTEX-1CAMS-0426-SM-7P8T2 40-49 years, female 189.2
GTEX-SIU8-0126-SM-2XCDT 50-59 years, male 188.7
GTEX-1R46S-0626-SM-E9J41 60-69 years, female 188.5
GTEX-17GQL-2026-SM-718BA 60-69 years, male 188.4
GTEX-1211K-2026-SM-5EQ4Z 60-69 years, female 187.5
GTEX-13CF3-2426-SM-5IFGX 60-69 years, female 187.4
GTEX-1HCUA-2426-SM-ADEIS 50-59 years, female 187.4
GTEX-15G19-0126-SM-6PANQ 60-69 years, male 187.2
GTEX-1313W-0126-SM-5LZUN 50-59 years, female 186.7
GTEX-11UD1-0126-SM-5PNYG 40-49 years, female 186.6
GTEX-1GZ2Q-0226-SM-7P8TL 40-49 years, male 186.6
GTEX-145LT-1726-SM-5QGP3 40-49 years, male 186.3
GTEX-1HBPM-0226-SM-ARL9F 60-69 years, female 186.3
GTEX-1LSNM-1926-SM-E6CII 50-59 years, male 186.3
GTEX-14ICK-0226-SM-6EU25 40-49 years, male 186.2
GTEX-1HFI6-0226-SM-ADEHZ 40-49 years, male 186.1
GTEX-18A7A-0226-SM-718BH 50-59 years, female 186.0
GTEX-1GN2E-0426-SM-9MQKX 60-69 years, male 185.8
GTEX-1KANC-1526-SM-D3LAB 50-59 years, female 185.8
GTEX-1JMQJ-0526-SM-CYPSU 50-59 years, male 185.7
GTEX-1JN1M-0326-SM-CYPT3 60-69 years, female 185.7
GTEX-U412-0426-SM-3DB9O 60-69 years, male 185.5
GTEX-11H98-0126-SM-5EGHG 50-59 years, male 185.2
GTEX-11TT1-2526-SM-5EGIB 20-29 years, male 185.1
GTEX-1GN1U-0126-SM-7PBZK 50-59 years, female 184.9
GTEX-X4XX-0126-SM-3NMC2 60-69 years, male 184.7
GTEX-1IOXB-0126-SM-ARL8G 50-59 years, male 183.9
GTEX-QDVN-2026-SM-3GAEP 50-59 years, male 183.8
GTEX-145MF-0626-SM-5LUAI 50-59 years, male 183.5
GTEX-17EVP-0326-SM-7DHLG 40-49 years, male 183.5
GTEX-QCQG-1726-SM-3GIJ9 50-59 years, female 183.5
GTEX-ZVT4-0126-SM-DTXFN 50-59 years, female 183.5
GTEX-1IKK5-0626-SM-ARL8A 60-69 years, male 183.3
GTEX-132NY-0326-SM-5IJBL 60-69 years, male 183.1
GTEX-1PWST-0226-SM-E76QJ 70-79 years, male 183.0
GTEX-12696-2426-SM-5EQ6H 60-69 years, male 182.7
GTEX-VJWN-0126-SM-3GIK7 50-59 years, female 182.5
GTEX-1RB15-2126-SM-E9TIM 60-69 years, male 182.5
GTEX-1R9K4-0126-SM-DTX9X 60-69 years, male 182.4
GTEX-1HSMP-0126-SM-E6CJS 70-79 years, male 182.2
GTEX-1JJ6O-0126-SM-E6CI8 60-69 years, male 182.1
GTEX-1RDX4-0126-SM-E9J4P 50-59 years, female 181.8
GTEX-SJXC-0126-SM-2XCFF 60-69 years, male 181.7
GTEX-16GPK-0126-SM-7DHLE 60-69 years, male 181.6
GTEX-1AX8Z-0126-SM-7DHM6 60-69 years, male 181.2
GTEX-13O1R-0126-SM-5L3EH 60-69 years, male 181.0
GTEX-Y5V6-2426-SM-4VDSB 60-69 years, male 181.0
GTEX-VJYA-1126-SM-3GIJU 60-69 years, male 180.9
GTEX-14BIN-0626-SM-793DP 50-59 years, female 180.7
GTEX-17JCI-0126-SM-7LG5G 60-69 years, female 180.6
GTEX-1F6RS-0126-SM-9MQKZ 60-69 years, female 180.6
GTEX-PLZ6-1426-SM-DKPOT 30-39 years, male 180.6
GTEX-13OW5-0126-SM-DTXFS 60-69 years, male 180.4
GTEX-13G51-2526-SM-5LZYK 60-69 years, male 180.1
GTEX-1GF9W-0326-SM-9KNUN 60-69 years, male 180.0
GTEX-PWCY-1826-SM-DHXIZ 20-29 years, female 179.1
GTEX-12126-0326-SM-5PNW3 20-29 years, male 179.0
GTEX-131XF-5016-SM-7MGWE 60-69 years, male 179.0
GTEX-1PPH8-0226-SM-E8VND 20-29 years, male 178.6
GTEX-NPJ8-0126-SM-2YUNR 40-49 years, male 178.5
GTEX-1M5QR-1226-SM-EWROB 40-49 years, male 178.4
GTEX-O5YW-0126-SM-3LK6D 50-59 years, male 178.3
GTEX-11OF3-2626-SM-5GU7F 60-69 years, male 178.2
GTEX-12584-0126-SM-5EGKQ 40-49 years, male 177.9
GTEX-1LB8K-0226-SM-EWRNW 50-59 years, male 177.8
GTEX-YJ8A-0426-SM-5IFID 20-29 years, male 177.7
GTEX-1GF9V-0326-SM-7RHI5 60-69 years, male 177.7
GTEX-14PJM-0226-SM-62LF1 50-59 years, female 177.6
GTEX-1GMR3-1926-SM-9KNUZ 40-49 years, male 177.6
GTEX-1HBPI-1526-SM-C1YQ1 50-59 years, male 177.6
GTEX-1212Z-2526-SM-5EGKP 60-69 years, male 177.5
GTEX-14BMU-2226-SM-5TDE9 20-29 years, female 177.5
GTEX-1NV5F-0226-SM-E8VNY 60-69 years, female 177.1
GTEX-117YW-2626-SM-5GZZH 50-59 years, male 177.0
GTEX-XUZC-1726-SM-4BRWS 30-39 years, female 176.9
GTEX-1B8L1-2526-SM-9WYTF 60-69 years, male 176.8
GTEX-15DDE-0126-SM-6LPKH 50-59 years, female 176.5
GTEX-1F6IF-0726-SM-7P8TW 60-69 years, male 176.4
GTEX-1K2DA-1826-SM-CGQGT 50-59 years, male 176.1
GTEX-1EX96-1626-SM-7PBXR 50-59 years, male 176.0
GTEX-17F98-0626-SM-79OMX 40-49 years, female 175.9
GTEX-OHPL-0126-SM-2HMJ7 60-69 years, female 175.9
GTEX-1J8EW-0126-SM-CJI4F 60-69 years, female 175.8
GTEX-1LGRB-2526-SM-CNPPQ 50-59 years, female 175.7
GTEX-ZU9S-0226-SM-5E441 30-39 years, male 175.5
GTEX-11DXW-0226-SM-5H122 40-49 years, male 175.3
GTEX-XBEW-0626-SM-4QASP 40-49 years, male 175.0
GTEX-X4EP-0126-SM-3P5YV 60-69 years, female 174.8
GTEX-111FC-0126-SM-5N9DL 60-69 years, male 174.6
GTEX-1S82Z-0826-SM-E6CHY 30-39 years, female 174.6
GTEX-WYJK-0126-SM-3NMAB 50-59 years, male 174.5
GTEX-ZF29-2326-SM-DO92K 60-69 years, female 174.5
GTEX-1KANB-0526-SM-E6CJH 50-59 years, male 174.4
GTEX-ZDTS-0126-SM-4WAY5 60-69 years, male 174.3
GTEX-1RQEC-0426-SM-E6CHU 60-69 years, male 174.3
GTEX-13U4I-0126-SM-5LU38 40-49 years, female 174.2
GTEX-Y111-0126-SM-4SOIV 50-59 years, male 174.2
GTEX-12WSJ-1826-SM-5GCNY 40-49 years, female 174.1
GTEX-1BAJH-0526-SM-793CQ 70-79 years, male 174.1
GTEX-1PDJ9-0326-SM-DTX95 20-29 years, male 174.1
GTEX-15ETS-0126-SM-7KUMW 40-49 years, female 173.8
GTEX-X4EO-0326-SM-3P5YO 60-69 years, female 173.8
GTEX-ZDYS-2026-SM-5HL5L 50-59 years, male 173.8
GTEX-13X6J-0126-SM-5QGOU 50-59 years, male 173.7
GTEX-OXRP-0126-SM-3NB32 60-69 years, female 173.7
GTEX-WQUQ-0426-SM-3MJFU 60-69 years, male 173.6
GTEX-1LBAC-0126-SM-DIPEZ 20-29 years, male 173.5
GTEX-131XH-2226-SM-5DUXJ 50-59 years, male 173.4
GTEX-ZVZP-2426-SM-59HKJ 50-59 years, male 173.2
GTEX-1CB4J-0626-SM-7DHMP 60-69 years, male 173.0
GTEX-13SLW-0126-SM-5SI6C 70-79 years, male 171.8
GTEX-ZAB4-0226-SM-5N9F5 40-49 years, male 171.8
GTEX-131YS-0126-SM-5KM1M 60-69 years, female 171.7
GTEX-WH7G-2326-SM-3NMBC 40-49 years, male 171.6
GTEX-1A3MW-0126-SM-73KXX 60-69 years, female 171.5
GTEX-13NZ8-0826-SM-5MR3I 60-69 years, female 171.3
GTEX-1B97I-1626-SM-73KYO 40-49 years, male 171.3
GTEX-ZAK1-0126-SM-5IJD3 50-59 years, female 171.2
GTEX-1GZHY-0326-SM-9QEHI 50-59 years, female 171.2
GTEX-1A32A-0126-SM-718B1 50-59 years, female 171.1
GTEX-17HG3-2226-SM-7938L 30-39 years, female 170.9
GTEX-T8EM-1026-SM-3DB7M 40-49 years, male 170.9
GTEX-X261-0126-SM-3NMD6 50-59 years, male 170.6
GTEX-1S3DN-2226-SM-EVYCD 50-59 years, male 170.4
GTEX-ZGAY-0526-SM-4WWBB 40-49 years, female 170.3
GTEX-1QP9N-1426-SM-DTXFL 30-39 years, male 170.3
GTEX-15D1Q-0126-SM-7KUG6 40-49 years, male 170.1
GTEX-13111-1626-SM-5EGJY 50-59 years, male 169.9
GTEX-13RTJ-2426-SM-5S2Q2 60-69 years, male 169.9
GTEX-X585-0226-SM-4QAS2 50-59 years, male 169.9
GTEX-1N2DV-0226-SM-E6CJ6 40-49 years, male 169.9
GTEX-13S7M-0126-SM-5SI6A 60-69 years, female 169.7
GTEX-148VI-1626-SM-5SI6E 60-69 years, female 169.7
GTEX-13112-2826-SM-5DUWH 50-59 years, male 169.5
GTEX-1GF9X-2026-SM-7PC3A 40-49 years, female 169.3
GTEX-11DZ1-0126-SM-5985Q 50-59 years, male 168.8
GTEX-1F6I4-0126-SM-9MQL2 60-69 years, male 168.8
GTEX-17HHY-0126-SM-7LG5D 50-59 years, male 168.4
GTEX-12WSG-2826-SM-E9J4H 50-59 years, female 168.4
GTEX-1IDJF-0126-SM-CM2RS 20-29 years, male 168.4
GTEX-ZPIC-1726-SM-DHXIU 40-49 years, female 168.4
GTEX-145MI-0526-SM-5O9A8 60-69 years, female 168.1
GTEX-QV44-1926-SM-2S1RF 50-59 years, male 168.1
GTEX-1POEN-0126-SM-EYYXJ 30-39 years, female 168.1
GTEX-131XG-2626-SM-5KM17 50-59 years, female 168.0
GTEX-1GMRU-0126-SM-9YFLV 50-59 years, male 167.9
GTEX-16MT8-0426-SM-7KUEY 60-69 years, female 167.8
GTEX-SUCS-1926-SM-32PM3 70-79 years, male 167.3
GTEX-T5JW-1626-SM-3GADZ 20-29 years, female 167.3
GTEX-12WSK-2326-SM-5GCOH 40-49 years, female 167.2
GTEX-139TU-0126-SM-5K7WH 60-69 years, male 167.2
GTEX-TMZS-0126-SM-3DB9Q 60-69 years, male 167.2
GTEX-YFC4-0126-SM-5CVLY 40-49 years, female 167.2
GTEX-1GN73-0226-SM-9WG67 60-69 years, male 167.2
GTEX-1R7EU-0226-SM-EVR4G 60-69 years, male 167.0
GTEX-RWSA-0126-SM-2XCBB 40-49 years, male 166.9
GTEX-T6MO-1626-SM-32QOM 40-49 years, female 166.9
GTEX-13OVK-2026-SM-7KUEO 40-49 years, male 166.8
GTEX-145LS-0126-SM-5QGP1 60-69 years, female 166.8
GTEX-1PIGE-0126-SM-EVYBJ 20-29 years, male 166.8
GTEX-1F75B-0126-SM-9KNVL 50-59 years, male 166.7
GTEX-1ICLZ-0126-SM-CKZPO 60-69 years, male 166.7
GTEX-1QPFJ-0226-SM-E76PB 30-39 years, female 166.7
GTEX-117XS-2726-SM-5N9BL 60-69 years, male 166.5
GTEX-1399R-2726-SM-5IJBA 30-39 years, male 166.4
GTEX-1S5ZA-0126-SM-EVYCV 20-29 years, male 165.7
GTEX-WXYG-2326-SM-4E3I6 50-59 years, female 165.6
GTEX-12ZZY-0226-SM-5LZVE 60-69 years, male 165.5
GTEX-ZWKS-0126-SM-5SIAA 30-39 years, male 165.5
GTEX-ZV68-0126-SM-59HKS 50-59 years, female 165.3
GTEX-13O3P-0126-SM-5KM4S 50-59 years, male 165.1
GTEX-1AX9I-0126-SM-7SB74 60-69 years, male 165.0
GTEX-1I4MK-2226-SM-ACKWD 50-59 years, female 165.0
GTEX-145LV-2126-SM-5LU8N 50-59 years, male 164.5
GTEX-TKQ1-1026-SM-4GICL 30-39 years, male 164.3
GTEX-1H4P4-0726-SM-9YFLR 50-59 years, male 164.3
GTEX-1MGNQ-0126-SM-EVYCJ 40-49 years, male 164.3
GTEX-1CB4E-2226-SM-793DC 60-69 years, male 164.2
GTEX-14PK6-1926-SM-6ETZU 70-79 years, female 164.1
GTEX-1IL2U-0226-SM-CE6T8 60-69 years, male 164.1
GTEX-WFG8-2226-SM-3GIL9 20-29 years, male 163.9
GTEX-Y3I4-2126-SM-4TT7C 50-59 years, male 163.9
GTEX-T2IS-0126-SM-4DM6O 20-29 years, female 163.8
GTEX-1QMI2-0226-SM-EVYBX 60-69 years, male 163.7
GTEX-18A7B-0126-SM-7LG64 70-79 years, male 163.6
GTEX-13OVH-0126-SM-5MR4B 70-79 years, male 163.5
GTEX-WVJS-0126-SM-4MVOT 50-59 years, male 163.5
GTEX-1C64N-0126-SM-793D7 50-59 years, male 163.3
GTEX-13PVR-2326-SM-5QGR1 60-69 years, female 163.1
GTEX-1RAZA-0126-SM-E6CI3 20-29 years, male 163.1
GTEX-13NYB-2526-SM-5K7Z6 40-49 years, male 162.9
GTEX-ZE7O-0126-SM-57WC1 50-59 years, female 162.9
GTEX-1C475-1826-SM-73KWA 40-49 years, female 162.6
GTEX-12WSL-2526-SM-5GCNJ 50-59 years, male 162.5
GTEX-ZVT2-2526-SM-51MT1 50-59 years, female 162.4
GTEX-1HT8W-0126-SM-CNPPP 30-39 years, male 162.3
GTEX-Q2AH-1626-SM-3GAF8 40-49 years, male 162.0
GTEX-XAJ8-0826-SM-47JY6 40-49 years, male 161.8
GTEX-1LC47-0326-SM-E9TJP 60-69 years, male 161.8
GTEX-11WQC-2526-SM-5CVLE 60-69 years, male 161.6
GTEX-145MN-2226-SM-5SIAU 30-39 years, male 161.6
GTEX-1RLM8-2326-SM-EWRN4 50-59 years, male 161.6
GTEX-Q2AI-1326-SM-2S1PL 40-49 years, male 161.5
GTEX-1PFEY-1526-SM-E76PP 30-39 years, male 161.5
GTEX-1MA7X-2226-SM-E6CIY 60-69 years, male 161.2
GTEX-XXEK-2226-SM-4BRUM 50-59 years, male 160.9
GTEX-1KWVE-1426-SM-E9TJO 30-39 years, male 160.9
GTEX-13O21-1426-SM-5K7XI 50-59 years, male 160.7
GTEX-1HSKV-0226-SM-A9SKJ 60-69 years, male 160.7
GTEX-13FTX-1826-SM-5J1NX 20-29 years, female 160.6
GTEX-1F5PL-0326-SM-7P8PQ 40-49 years, female 160.6
GTEX-1JMPY-1326-SM-ARL8Y 30-39 years, male 160.3
GTEX-1C4CL-0526-SM-73KVK 30-39 years, male 160.2
GTEX-12WSA-0226-SM-5BC5V 60-69 years, male 160.1
GTEX-14DAR-2026-SM-5S2O3 50-59 years, male 160.1
GTEX-1192X-0226-SM-5H12D 50-59 years, male 160.0
GTEX-1I1GU-2226-SM-CGQFA 40-49 years, male 159.9
GTEX-R3RS-0126-SM-3GIJL 40-49 years, female 159.8
GTEX-1E2YA-0126-SM-9KNUC 50-59 years, male 159.8
GTEX-18QFQ-0126-SM-731BE 30-39 years, male 159.4
GTEX-1HB9E-0226-SM-E9U4R 50-59 years, male 159.4
GTEX-13FHO-0226-SM-5IFGY 60-69 years, male 159.3
GTEX-1JMQI-2226-SM-CM2SD 50-59 years, male 159.3
GTEX-1B933-0126-SM-7PC29 50-59 years, female 159.2
GTEX-1H3O1-0426-SM-9YFKY 60-69 years, male 159.2
GTEX-1O97I-0326-SM-EYYX7 60-69 years, male 159.2
GTEX-13VXU-0126-SM-5SI9F 50-59 years, male 159.0
GTEX-OXRO-0126-SM-2YUN4 60-69 years, female 159.0
GTEX-12ZZX-0126-SM-5EGK9 40-49 years, female 158.9
GTEX-11ZTS-0126-SM-5EQ6M 60-69 years, female 158.8
GTEX-Z93S-0126-SM-5HL7M 50-59 years, male 158.8
GTEX-1LGOU-2026-SM-DIPFF 20-29 years, female 158.8
GTEX-XBED-2226-SM-47JYQ 60-69 years, male 158.7
GTEX-1GZ4H-1726-SM-7PBZJ 50-59 years, female 158.7
GTEX-1MCQQ-0826-SM-DLHC2 60-69 years, male 158.6
GTEX-1S83E-0126-SM-EWRO4 40-49 years, male 158.6
GTEX-146FQ-0126-SM-5NQA9 30-39 years, male 158.5
GTEX-1B996-0226-SM-7RHGO 60-69 years, male 158.3
GTEX-1J1OQ-0226-SM-CYPSH 40-49 years, female 158.3
GTEX-WFON-2126-SM-3LK7O 40-49 years, male 158.1
GTEX-11GS4-2726-SM-5A5LE 60-69 years, male 158.0
GTEX-13RTK-1426-SM-5QGQJ 20-29 years, male 158.0
GTEX-1AYCT-2426-SM-7IGQ3 50-59 years, male 158.0
GTEX-18465-0126-SM-731BN 50-59 years, male 157.8
GTEX-17EVQ-0226-SM-7LG4P 70-79 years, male 157.6
GTEX-131XW-0426-SM-5LZWP 50-59 years, female 157.2
GTEX-14PHX-2326-SM-62LEM 50-59 years, male 157.1
GTEX-WYVS-2126-SM-3NMA3 40-49 years, female 157.0
GTEX-XUW1-0426-SM-4BOOT 50-59 years, female 157.0
GTEX-1I1GR-0126-SM-CL55F 60-69 years, male 156.9
GTEX-1F75A-0126-SM-7RHGM 50-59 years, male 156.7
GTEX-ZYFC-0226-SM-5NQ75 50-59 years, male 156.6
GTEX-1MUQO-0126-SM-EAZ58 60-69 years, male 156.6
GTEX-1HCU7-0226-SM-CL545 50-59 years, male 156.5
GTEX-1269C-2526-SM-5EGJ3 60-69 years, female 156.4
GTEX-145ME-1826-SM-5SI9G 40-49 years, female 156.1
GTEX-1ICG6-2526-SM-CGQFZ 70-79 years, female 156.0
GTEX-YB5K-2126-SM-4WWDJ 40-49 years, female 155.9
GTEX-RUSQ-1526-SM-2TF62 50-59 years, male 155.7
GTEX-XUYS-0126-SM-47JWZ 50-59 years, male 155.7
GTEX-RU72-0926-SM-2TF6B 50-59 years, female 155.5
GTEX-13OW6-0426-SM-5L3HM 50-59 years, male 155.4
GTEX-XMD2-0126-SM-4YCDU 60-69 years, female 155.4
GTEX-WRHK-1426-SM-3MJF9 20-29 years, female 155.3
GTEX-Y5LM-1926-SM-5RQJH 40-49 years, female 155.3
GTEX-OOBK-0126-SM-2YUND 40-49 years, male 155.1
GTEX-P4PQ-0126-SM-2S1NM 60-69 years, male 155.1
GTEX-W5WG-1826-SM-4KL2Y 50-59 years, female 155.1
GTEX-QVJO-1626-SM-2S1QW 60-69 years, female 154.8
GTEX-T5JC-0426-SM-32PLO 20-29 years, male 154.7
GTEX-1HCU8-0626-SM-A9SM9 60-69 years, female 154.7
GTEX-13JUV-2726-SM-5LZZ8 40-49 years, female 154.6
GTEX-14E6D-0126-SM-62LDV 50-59 years, male 154.6
GTEX-OXRN-0126-SM-48TDM 50-59 years, male 154.5
GTEX-12ZZZ-0626-SM-5DUXI 60-69 years, male 154.4
GTEX-11O72-0126-SM-59887 40-49 years, male 154.2
GTEX-139T8-0126-SM-5K7XZ 60-69 years, male 154.2
GTEX-1C6VR-2426-SM-79OLD 60-69 years, male 154.1
GTEX-1192W-2626-SM-5Q5AF 60-69 years, male 154.0
GTEX-1H2FU-0126-SM-9WYSI 60-69 years, female 154.0
GTEX-13PDP-0126-SM-5L3HD 60-69 years, male 153.8
GTEX-15UKP-0426-SM-7KUFQ 20-29 years, male 153.8
GTEX-12KS4-0326-SM-5EQ41 30-39 years, male 153.6
GTEX-OXRK-0226-SM-3NB2G 50-59 years, female 153.6
GTEX-1MA7W-2026-SM-E9TJ6 20-29 years, female 153.6
GTEX-1399T-2826-SM-5KLYZ 60-69 years, male 153.5
GTEX-183FY-0126-SM-7LT9P 20-29 years, male 153.4
GTEX-1CB4F-0426-SM-9KNV4 60-69 years, male 153.2
GTEX-144GN-2326-SM-5LU4F 50-59 years, male 153.1
GTEX-1AX9J-0226-SM-73KXM 60-69 years, male 152.9
GTEX-QEG4-0226-SM-2S1PY 30-39 years, male 152.8
GTEX-1I1CD-0126-SM-CM2TK 60-69 years, female 152.7
GTEX-13OVI-1426-SM-5L3EY 60-69 years, female 152.5
GTEX-Q734-1926-SM-2I5EV 40-49 years, female 152.4
GTEX-1JKYR-0126-SM-CNPOJ 20-29 years, male 152.2
GTEX-ZTSS-1926-SM-57WEW 40-49 years, male 152.1
GTEX-113JC-2326-SM-5EQ4E 50-59 years, female 152.0
GTEX-1A3MV-1926-SM-718BT 30-39 years, male 151.8
GTEX-1H23P-0126-SM-ADEJ3 60-69 years, male 151.7
GTEX-15F5U-1526-SM-6PANO 40-49 years, male 151.6
GTEX-WY7C-2326-SM-3NB2U 50-59 years, male 151.3
GTEX-1LG7Y-0526-SM-DKPQC 50-59 years, male 151.3
GTEX-1HBPN-0226-SM-9YFM1 50-59 years, male 151.2
GTEX-1S82Y-2026-SM-EVYCM 40-49 years, male 151.1
GTEX-13O3O-0126-SM-E9J49 60-69 years, female 150.9
GTEX-11GSP-2526-SM-5N9BP 60-69 years, female 150.7
GTEX-14BMV-0126-SM-5S2PO 50-59 years, male 150.7
GTEX-15SHW-0326-SM-6PAML 60-69 years, male 150.7
GTEX-1AYD5-2426-SM-73KXR 50-59 years, male 150.7
GTEX-1CAMR-1926-SM-7EPI2 20-29 years, male 150.7
GTEX-13SLX-0526-SM-5S2ON 50-59 years, female 150.6
GTEX-17KNJ-2326-SM-7DHLQ 50-59 years, male 150.6
GTEX-14BIM-0226-SM-7IGLD 60-69 years, female 150.5
GTEX-1JMOU-1526-SM-CL54I 60-69 years, female 150.5
GTEX-15SHU-0126-SM-7KUEH 40-49 years, female 150.3
GTEX-NFK9-0226-SM-2HMKQ 40-49 years, male 150.1
GTEX-1QP66-1726-SM-E8VO1 50-59 years, male 150.0
GTEX-1F7RK-0126-SM-7PC2S 20-29 years, female 149.2
GTEX-U3ZH-2026-SM-3DB78 30-39 years, male 149.1
GTEX-13FH7-2026-SM-E9J4I 50-59 years, female 148.7
GTEX-ZV6S-2326-SM-4YCEY 40-49 years, female 148.3
GTEX-1EU9M-0226-SM-7P8SP 60-69 years, male 148.3
GTEX-1HSMQ-1226-SM-CGQFX 50-59 years, male 148.3
GTEX-117YX-2326-SM-5H12W 50-59 years, male 148.1
GTEX-14PJ3-1826-SM-62LEX 50-59 years, male 147.7
GTEX-15SDE-2226-SM-7IGLO 50-59 years, female 147.6
GTEX-YB5E-2026-SM-5IFIS 40-49 years, male 147.6
GTEX-XQ8I-0426-SM-4BOPO 50-59 years, male 147.4
GTEX-1LVAN-0226-SM-COH3S 50-59 years, female 147.4
GTEX-1CAMQ-0226-SM-7IGPK 40-49 years, male 147.3
GTEX-18A66-0226-SM-718BD 60-69 years, male 147.1
GTEX-PLZ4-0126-SM-5SI8O 50-59 years, female 147.1
GTEX-1EKGG-0226-SM-9WYTH 60-69 years, male 147.1
GTEX-1GTWX-0126-SM-9YFLK 60-69 years, male 146.7
GTEX-11ZU8-2526-SM-5EQKI 60-69 years, male 146.6
GTEX-VUSG-2526-SM-4KL1V 50-59 years, male 146.6
GTEX-1C6WA-0126-SM-7PC2B 60-69 years, male 146.4
GTEX-RNOR-0126-SM-E9J4R 50-59 years, female 146.4
GTEX-13IVO-0126-SM-5J1NG 70-79 years, male 146.3
GTEX-1HSGN-0226-SM-CGQFV 40-49 years, female 146.3
GTEX-1I1GS-0126-SM-B2LVW 60-69 years, male 146.3
GTEX-13OVL-0226-SM-5L3E9 50-59 years, male 146.2
GTEX-1NHNU-1026-SM-E9J2A 50-59 years, male 146.1
GTEX-1KXAM-2226-SM-CYPTC 60-69 years, male 145.9
GTEX-111VG-2426-SM-5GZXD 60-69 years, male 145.8
GTEX-11XUK-2026-SM-5EQLF 40-49 years, female 145.7
GTEX-139D8-0226-SM-5KLZO 30-39 years, female 145.7
GTEX-15DYW-0126-SM-7KULE 60-69 years, female 145.7
GTEX-1J8Q2-0526-SM-CM2RW 60-69 years, male 145.7
GTEX-133LE-1826-SM-5J1MV 20-29 years, female 145.4
GTEX-14JG1-0426-SM-6ETZZ 40-49 years, male 145.3
GTEX-144GL-0126-SM-5TDE2 50-59 years, male 145.1
GTEX-145LU-0126-SM-5TDCB 50-59 years, male 144.9
GTEX-14BIL-0126-SM-5SI92 50-59 years, male 144.9
GTEX-17MF6-0126-SM-7LG4F 40-49 years, male 144.9
GTEX-1I1GP-2226-SM-CGQFK 50-59 years, male 144.6
GTEX-147F4-0226-SM-5QGPW 50-59 years, male 144.5
GTEX-17HGU-0226-SM-7DHKV 50-59 years, male 144.3
GTEX-1314G-1526-SM-5EGK2 30-39 years, male 144.2
GTEX-1I6K6-0126-SM-A9SLE 30-39 years, male 144.2
GTEX-1GPI7-0126-SM-9MQL8 20-29 years, male 144.1
GTEX-13X6I-0626-SM-5QGP9 60-69 years, male 143.9
GTEX-144FL-0126-SM-5TDC8 50-59 years, male 143.8
GTEX-ZF2S-2326-SM-4WWCE 50-59 years, female 143.8
GTEX-QDT8-0126-SM-48TZ1 30-39 years, female 143.6
GTEX-16XZY-2126-SM-79OK1 70-79 years, male 143.5
GTEX-1IY9M-0126-SM-D3L8S 60-69 years, male 143.5
GTEX-18D9U-0226-SM-718BP 40-49 years, male 143.4
GTEX-11DXX-2426-SM-5GZZW 60-69 years, female 143.0
GTEX-1KANA-0726-SM-D3L9I 20-29 years, male 143.0
GTEX-15RIG-0226-SM-7KFTL 40-49 years, male 142.9
GTEX-1KD5A-0226-SM-D5OV3 50-59 years, male 142.9
GTEX-11OC5-0126-SM-5HL6A 60-69 years, male 142.8
GTEX-1ICLY-0126-SM-D4P36 50-59 years, male 142.8
GTEX-1J8QM-2126-SM-CYPSJ 60-69 years, female 142.7
GTEX-1IGQW-0126-SM-COH42 60-69 years, male 142.2
GTEX-1K2DU-2326-SM-E9TIV 20-29 years, male 142.2
GTEX-1CB4I-0226-SM-79OLH 50-59 years, male 142.1
GTEX-TSE9-0126-SM-3DB83 60-69 years, female 142.0
GTEX-1R7EV-2426-SM-EVYBG 40-49 years, male 142.0
GTEX-WZTO-0126-SM-3NM95 40-49 years, male 141.9
GTEX-15EU6-0426-SM-6PAN5 50-59 years, male 141.3
GTEX-QDVJ-1726-SM-2I5FX 50-59 years, male 141.3
GTEX-1QCLY-0326-SM-E8VOG 30-39 years, male 141.3
GTEX-14C5O-0126-SM-5SI6N 60-69 years, male 141.1
GTEX-1IKOH-0226-SM-COH4E 60-69 years, female 141.1
GTEX-ZAJG-0126-SM-5HL94 50-59 years, female 140.9
GTEX-13OW7-0126-SM-5MR3B 50-59 years, male 140.4
GTEX-11EI6-0126-SM-5985R 60-69 years, male 140.3
GTEX-148VJ-0126-SM-5TDDN 70-79 years, male 140.3
GTEX-1QP67-1626-SM-EAZ3X 40-49 years, female 140.3
GTEX-11ZVC-2526-SM-5FQTE 50-59 years, female 140.1
GTEX-11GSO-2426-SM-5A5LY 60-69 years, male 140.0
GTEX-1F48J-0126-SM-7P8TT 50-59 years, female 140.0
GTEX-RM2N-1426-SM-2TF4H 50-59 years, male 139.6
GTEX-1A8FM-0226-SM-7SB7Q 50-59 years, female 139.4
GTEX-139TT-0126-SM-5K7Y5 60-69 years, male 139.3
GTEX-1KAFJ-2026-SM-CY8ID 50-59 years, male 139.2
GTEX-ZZ64-1726-SM-5GZYB 20-29 years, male 139.1
GTEX-16BQI-0226-SM-7KUEX 30-39 years, female 139.0
GTEX-13NYC-0326-SM-E9J4S 60-69 years, male 139.0
GTEX-16YQH-0126-SM-7DUFJ 30-39 years, male 138.9
GTEX-1C2JI-1826-SM-73KXC 50-59 years, male 138.8
GTEX-Z9EW-1626-SM-5CVMN 40-49 years, male 138.6
GTEX-11EM3-2426-SM-59861 20-29 years, female 138.2
GTEX-12WSD-0126-SM-59HKN 60-69 years, female 138.1
GTEX-1B8KZ-2026-SM-7DHMB 50-59 years, male 138.1
GTEX-13NZB-2526-SM-5J1OM 30-39 years, male 137.9
GTEX-ZVT3-0126-SM-5GU6I 60-69 years, female 137.8
GTEX-1OJC4-0126-SM-E9J2E 50-59 years, female 137.7
GTEX-17HHE-2026-SM-79OKF 50-59 years, male 137.3
GTEX-1I19N-0326-SM-ACKVX 70-79 years, male 137.0
GTEX-1LNCM-1126-SM-E9U5E 50-59 years, female 136.9
GTEX-14PN3-2426-SM-6LLHS 60-69 years, female 136.8
GTEX-11DXY-2626-SM-5GIE7 60-69 years, male 136.7
GTEX-1F88F-2726-SM-7PBZZ 60-69 years, female 136.7
GTEX-18A67-0126-SM-7LG5P 50-59 years, male 136.6
GTEX-11P82-1626-SM-59879 20-29 years, male 136.5
GTEX-1I1GQ-0126-SM-COH3H 50-59 years, male 136.1
GTEX-ZYW4-0126-SM-5E44A 60-69 years, male 136.0
GTEX-12WSC-0126-SM-5EQ4P 50-59 years, male 135.8
GTEX-1E1VI-0126-SM-7DHMZ 50-59 years, male 135.6
GTEX-YEC4-2126-SM-5IFJH 40-49 years, male 135.6
GTEX-1R9PO-2126-SM-E9J4O 60-69 years, female 135.6
GTEX-14LZ3-0226-SM-62LET 60-69 years, female 135.5
GTEX-1H3VY-0126-SM-ACKXD 50-59 years, male 135.5
GTEX-SNMC-1226-SM-2XCFP 20-29 years, male 135.4
GTEX-ZYFG-2326-SM-5E44B 60-69 years, female 135.3
GTEX-RWS6-2026-SM-2XCB5 60-69 years, female 135.2
GTEX-1AX9K-2326-SM-73KWU 50-59 years, male 135.1
GTEX-1CB4H-0226-SM-7PBXM 60-69 years, female 135.0
GTEX-1IL2V-0126-SM-CM2TX 70-79 years, male 134.9
GTEX-1GMR8-0126-SM-9WYTM 50-59 years, female 134.6
GTEX-11EQ9-2426-SM-5HL5T 30-39 years, male 134.4
GTEX-1MCYP-1926-SM-E9J2R 20-29 years, female 134.2
GTEX-13N11-2526-SM-5K7UE 50-59 years, female 134.0
GTEX-OIZF-0126-SM-7SB8I 60-69 years, male 134.0
GTEX-14A5H-0426-SM-5QGQF 60-69 years, male 133.9
GTEX-1J1R8-1726-SM-ARL8M 40-49 years, male 133.8
GTEX-Y5V5-2326-SM-4V6GA 60-69 years, female 133.7
GTEX-1PPH7-2326-SM-EVYB8 40-49 years, male 133.7
GTEX-1H11D-0226-SM-9WG6Z 40-49 years, male 133.6
GTEX-13N2G-2626-SM-5J1OT 60-69 years, male 133.5
GTEX-1JK1U-2026-SM-CM2RZ 60-69 years, male 133.5
GTEX-13N1W-0126-SM-5K7VT 70-79 years, male 133.3
GTEX-13W46-0226-SM-5SIAG 50-59 years, male 133.2
GTEX-13D11-2426-SM-5KM1V 50-59 years, female 133.1
GTEX-16AAH-1726-SM-7939C 50-59 years, male 133.1
GTEX-S95S-1226-SM-4GICG 60-69 years, male 133.1
GTEX-QLQ7-1626-SM-2S1R8 60-69 years, male 133.0
GTEX-PWO3-1526-SM-48TCM 60-69 years, female 132.8
GTEX-1HCU9-1526-SM-A9SL7 20-29 years, male 132.8
GTEX-11TTK-0126-SM-5987B 60-69 years, female 132.7
GTEX-1F52S-0126-SM-9MQJU 60-69 years, female 132.5
GTEX-14DAQ-0126-SM-5S2MQ 60-69 years, female 132.4
GTEX-ZDTT-2726-SM-4WKF8 60-69 years, male 132.3
GTEX-QLQW-1126-SM-2S1Q8 30-39 years, male 132.2
GTEX-XV7Q-2526-SM-4BRV9 40-49 years, female 132.2
GTEX-R45C-0126-SM-EAZ2R 60-69 years, female 132.0
GTEX-1GN1W-0526-SM-9MQJQ 50-59 years, female 131.9
GTEX-13O3Q-2426-SM-5IJBR 50-59 years, male 131.8
GTEX-17EUY-0426-SM-793BD 20-29 years, male 131.8
GTEX-ZEX8-2426-SM-4WKG4 50-59 years, male 131.8
GTEX-11NUK-0126-SM-5A5L3 50-59 years, male 131.7
GTEX-13OVJ-0126-SM-5KM36 50-59 years, female 131.5
GTEX-1C64O-0126-SM-7SB8P 60-69 years, male 131.5
GTEX-SSA3-0126-SM-32QPU 60-69 years, male 131.4
GTEX-Y8E4-0626-SM-4WWDL 40-49 years, male 131.4
GTEX-1HFI7-1826-SM-ACKXH 50-59 years, female 131.4
GTEX-1QEPI-0126-SM-EWRMQ 60-69 years, female 131.4
GTEX-11LCK-1026-SM-5A5KB 30-39 years, male 131.3
GTEX-XPVG-2626-SM-4B669 50-59 years, male 131.0
GTEX-14LLW-0126-SM-6LLIO 70-79 years, female 130.9
GTEX-13113-5016-SM-7EPIP 60-69 years, female 130.8
GTEX-18D9B-0526-SM-7LTAS 60-69 years, male 130.7
GTEX-1IDFM-0126-SM-COH2V 60-69 years, male 130.7
GTEX-1H1ZS-0426-SM-9WG6G 70-79 years, male 130.5
GTEX-1M4P7-0226-SM-DIPEV 60-69 years, male 130.5
GTEX-13QJ3-0326-SM-5S2RA 50-59 years, male 130.3
GTEX-Z93T-0126-SM-5HL5N 50-59 years, male 130.3
GTEX-ZQUD-1426-SM-57WER 30-39 years, male 130.3
GTEX-R55G-2526-SM-2TC6D 40-49 years, female 130.1
GTEX-14PJ6-2126-SM-6EU1V 60-69 years, female 130.0
GTEX-1GN1V-0126-SM-9WPOS 60-69 years, male 130.0
GTEX-1HUB1-0426-SM-E9U4U 60-69 years, male 129.9
GTEX-ZZPT-0226-SM-5E43X 50-59 years, male 129.7
GTEX-1JKYN-1326-SM-CGQG9 30-39 years, male 129.6
GTEX-1GPI6-0126-SM-9WG69 60-69 years, male 129.5
GTEX-1J8Q3-1626-SM-CMKGC 60-69 years, male 129.5
GTEX-11EMC-2926-SM-5EQ4F 60-69 years, female 129.4
GTEX-TMMY-0226-SM-33HBA 40-49 years, female 129.3
GTEX-1PBJI-0526-SM-E8VNK 20-29 years, female 129.3
GTEX-14ABY-0226-SM-5TDCQ 50-59 years, male 129.0
GTEX-11P7K-2126-SM-5GU7G 30-39 years, male 128.6
GTEX-Q2AG-0126-SM-33HBV 40-49 years, female 127.9
GTEX-1HCVE-0126-SM-CGQEU 50-59 years, male 127.7
GTEX-11ZTT-2426-SM-5EQLS 60-69 years, female 127.6
GTEX-1K9T9-0126-SM-EVYCF 50-59 years, female 127.5
GTEX-ZVE2-0226-SM-59HJB 50-59 years, male 127.4
GTEX-1H1E6-1726-SM-ACKVK 30-39 years, male 127.3
GTEX-1GF9U-2126-SM-7SB7L 40-49 years, female 127.2
GTEX-ZY6K-1826-SM-5GZXK 50-59 years, male 127.1
GTEX-ZYY3-0126-SM-5GZY5 60-69 years, female 127.1
GTEX-14JG6-2226-SM-6EU2G 30-39 years, female 126.8
GTEX-146FR-1326-SM-E9J48 60-69 years, female 126.4
GTEX-13VXT-0126-SM-5LU4I 20-29 years, female 126.2
GTEX-ZXES-1826-SM-5E43S 30-39 years, female 126.2
GTEX-17F96-1626-SM-7DUFL 70-79 years, male 126.1
GTEX-X62O-0126-SM-4E3JN 50-59 years, male 126.1
GTEX-X638-0126-SM-47JZ8 70-79 years, female 125.9
GTEX-ZDXO-3026-SM-5J1N5 60-69 years, male 125.9
GTEX-13RTL-0126-SM-7LG5S 40-49 years, male 125.6
GTEX-PW2O-1526-SM-7RHHB 20-29 years, male 125.5
GTEX-17F97-0326-SM-7LG5B 50-59 years, male 125.2
GTEX-U4B1-1826-SM-4DXSU 40-49 years, male 125.2
GTEX-15DCD-0126-SM-7KUEK 70-79 years, female 125.0
GTEX-13NZA-0226-SM-5K7Z7 60-69 years, male 124.8
GTEX-1RAZQ-0726-SM-EAZ43 30-39 years, male 124.8
GTEX-1F5PK-2426-SM-7RHHY 50-59 years, male 124.6
GTEX-11P81-2326-SM-59875 30-39 years, female 124.0
GTEX-ZQG8-1626-SM-DHXIT 60-69 years, female 123.9
GTEX-1128S-2326-SM-5GZZY 60-69 years, female 123.7
GTEX-14JIY-0126-SM-6LLH6 60-69 years, male 123.6
GTEX-ZC5H-0226-SM-4WAY9 40-49 years, female 123.4
GTEX-ZXG5-0126-SM-5GIEU 60-69 years, male 123.1
GTEX-169BO-1326-SM-9MQK2 50-59 years, male 123.1
GTEX-1LH75-2426-SM-E9TJE 50-59 years, female 123.1
GTEX-1QP29-0626-SM-EWRMX 50-59 years, male 123.1
GTEX-1GL5R-1826-SM-9KNUY 50-59 years, male 122.9
GTEX-1IE54-0126-SM-CMKHW 40-49 years, female 122.4
GTEX-V1D1-2226-SM-3NMAX 50-59 years, male 122.3
GTEX-17MFQ-1726-SM-793C7 20-29 years, male 122.1
GTEX-1EN7A-0126-SM-7SB81 40-49 years, male 122.1
GTEX-1QW4Y-1526-SM-EAZ3Z 30-39 years, male 122.1
GTEX-1H3NZ-0126-SM-ACKX7 60-69 years, male 122.0
GTEX-147GR-0526-SM-5S2MY 60-69 years, male 121.6
GTEX-1QP2A-0126-SM-E9J43 50-59 years, male 121.1
GTEX-R55E-0126-SM-2TC5Y 20-29 years, male 121.0
GTEX-13OW8-1326-SM-5J1OW 60-69 years, male 120.8
GTEX-15EOM-0126-SM-7KUGG 20-29 years, female 120.8
GTEX-1IDJU-2626-SM-CM2RT 60-69 years, female 120.5
GTEX-PLZ5-2026-SM-2S1O4 50-59 years, male 119.2
GTEX-13OVG-1926-SM-5L3DK 60-69 years, male 119.1
GTEX-RN64-0126-SM-2TC68 50-59 years, male 119.1
GTEX-1HKZK-0326-SM-9WYUH 40-49 years, male 119.0
GTEX-1I1GT-0626-SM-CGQER 60-69 years, female 118.5
GTEX-16NPX-0226-SM-79OMT 50-59 years, male 118.4
GTEX-139T4-0226-SM-5HL5S 50-59 years, female 118.3
GTEX-ZAB5-1826-SM-5HL7C 50-59 years, male 117.9
GTEX-1HSEH-0126-SM-ACKXN 60-69 years, male 117.7
GTEX-12WSN-5019-SM-79OM6 40-49 years, male 117.5
GTEX-1F75I-0326-SM-9YFLU 40-49 years, male 117.3
GTEX-OHPM-0126-SM-2YUN9 50-59 years, male 116.6
GTEX-14PHW-0126-SM-6LLJI 60-69 years, female 116.5
GTEX-15CHC-2126-SM-6EU21 60-69 years, female 116.3
GTEX-16NGA-1726-SM-731B4 40-49 years, female 116.3
GTEX-14E7W-0126-SM-6LLJ9 70-79 years, male 115.7
GTEX-U3ZM-1526-SM-3DB9D 40-49 years, male 115.4
GTEX-13W3W-2426-SM-5LU5B 60-69 years, female 114.9
GTEX-ZUA1-0126-SM-5GU76 40-49 years, male 114.4
GTEX-1AMEY-1326-SM-73KYK 30-39 years, female 114.1
GTEX-1JJE9-0326-SM-CL53Z 70-79 years, male 114.1
GTEX-1AMFI-2026-SM-731BH 50-59 years, female 114.0
GTEX-147F3-0526-SM-5SI98 50-59 years, female 113.7
GTEX-14A6H-0126-SM-5QGPK 30-39 years, male 113.5
GTEX-11NSD-2226-SM-5986V 20-29 years, male 113.1
GTEX-12C56-1726-SM-5EQ61 20-29 years, male 111.7
GTEX-OXRL-0126-SM-2YUMP 50-59 years, male 111.7
GTEX-Y8LW-1826-SM-5S2MV 50-59 years, female 111.3
GTEX-11VI4-1726-SM-5CVLH 40-49 years, female 111.0
GTEX-13FTY-0526-SM-5L3EV 40-49 years, female 110.1
GTEX-11ZUS-0626-SM-59885 30-39 years, male 107.4
GTEX-U3ZN-2326-SM-3DB7W 30-39 years, female 107.0
GTEX-1I1HK-0126-SM-COH49 60-69 years, male 105.5
GTEX-ZF28-0126-SM-4WKGK 60-69 years, male 104.7
GTEX-113IC-0126-SM-5HL6T 60-69 years, male 103.2
GTEX-1HBPH-0426-SM-B2LW5 40-49 years, female 100.9
GTEX-1C6VS-0526-SM-7DUEN 60-69 years, male 100.0
GTEX-WOFL-0126-SM-3MJG2 60-69 years, male 95.6
Show allShow less

Contact

  • NEWS ARTICLES
  • PRESS ROOM

The Project

  • INTRODUCTION
  • ORGANIZATION
  • PUBLICATIONS

The Human Protein Atlas

  • DOWNLOADABLE DATA
  • LICENCE & CITATION
  • HELP & FAQ
The Human Protein Atlas project is funded
by the Knut & Alice Wallenberg Foundation.


contact@proteinatlas.org