We use cookies to enhance the usability of our website. If you continue, we'll assume that you are happy to receive all cookies. More information. Don't show this again.
XRCC6
HPA
RESOURCES
  • TISSUE
  • BRAIN
  • SINGLE CELL
  • SUBCELLULAR
  • CANCER
  • BLOOD
  • CELL LINE
  • STRUCTURE & INTERACTION
ABOUT
  • INTRODUCTION
  • HISTORY
  • ORGANIZATION
  • PUBLICATIONS
  • ANTIBODY SUBMISSION
  • ANTIBODY AVAILABILITY
  • ACKNOWLEDGMENTS
  • CONTACT
NEWS
  • NEWS ARTICLES
  • PRESS ROOM
LEARN
  • DICTIONARY
  • PROTEIN CLASSES
  • PROTEIN EVIDENCE
  • METHODS
  • EDUCATIONAL VIDEOS
DATA
  • DOWNLOADABLE DATA
  • PUBLICATION DATA
  • RELEASE HISTORY
HELP
  • ANTIBODY VALIDATION
  • ASSAYS & ANNOTATION
  • DISCLAIMER
  • HELP & FAQ
  • PRIVACY STATEMENT
  • LICENCE & CITATION
Fields »
Search result

Field
Term
Gene name
Class
Subclass
Class
Keyword
Chromosome
External id
Tissue
Cell type
Expression
Antibody panel
Tissue
Main location
Patient ID
Annotation
Tissue
Category
Tau score
Cluster
Reliability
Brain region
Category
Tau score
Brain region
Category
Tau score
Brain region
Category
Tau score
Cluster
Reliability
Tissue
Cell type
Enrichment
Cell type
Category
Tau score
Cell type
Category
Tau score
Cell type
Category
Tau score
Cell lineage
Category
Tau score
Cluster
Cluster
Location
Searches
Location
Cell line
Class
Type
Phase
Reliability
Cancer
Prognosis
Cancer
Category
Cancer
Category
Tau score
Cluster
Variants
Interacting gene (ensg_id)
Type
Number of interactions
Pathway
Category
Score
Score
Score
Validation
Validation
Validation
Validation
Antibodies
Data type
Column


  • SUMMARY

  • TISSUE

  • BRAIN

  • SINGLE CELL

  • SUBCELL

  • CANCER

  • BLOOD

  • CELL LINE

  • STRUCT & INT

  • XRCC6
TISSUE PRIMARY DATA STOMACH Show tissue menu
ADIPOSE TISSUE ADRENAL GLAND AMYGDALA APPENDIX BASAL GANGLIA BONE MARROW BREAST BRONCHUS CEREBELLUM CEREBRAL CORTEX CERVIX CHOROID PLEXUS COLON DUODENUM
ENDOMETRIUM EPIDIDYMIS ESOPHAGUS FALLOPIAN TUBE GALLBLADDER HEART MUSCLE HIPPOCAMPAL FORMATION HYPOTHALAMUS KIDNEY LIVER LUNG LYMPH NODE MIDBRAIN NASOPHARYNX
ORAL MUCOSA OVARY PANCREAS PARATHYROID GLAND PITUITARY GLAND PLACENTA PROSTATE RECTUM RETINA SALIVARY GLAND SEMINAL VESICLE SKELETAL MUSCLE SKIN SMALL INTESTINE
SMOOTH MUSCLE SOFT TISSUE SPINAL CORD SPLEEN STOMACH TESTIS THYMUS THYROID GLAND TONGUE TONSIL URINARY BLADDER VAGINA
ANTIBODIES
AND
VALIDATION
Dictionary
Tissue proteome
Stomach
STOMACH - Expression summary
Protein expression
Stomachi

On the top, protein expression in current human tissue, based on all annotated cell types, is reported with the units not detected (n), low (l), medium (m) and high (h). Underneath, protein expression in each annotated cell type are reported using the same units.

Protein expression data is based on knowledge-based annotation. For genes where more than one antibody has been used, a collective score is set.

If knowledge-based annotation could not be performed for a gene, no data is displayed here. View antibody staining data further down this page.

h
m
l
n
Glandular cells: High
RNA expressioni

A summary of mRNA expression data available for current tissue based on several datasets. The mRNA expression levels in human tissues are based on RNA-seq data generated by the Human Protein Atlas (HPA), Genotype-Tissue Expression (GTEx) portal and CAGE data generated by the FANTOM5 consortium. Consensus normalized expression levels for human tissues was created by combining the data from HPA and GTEx datasets.

The mRNA expression levels in pig are based on RNA-seq data generated by the Human Protein Atlas (HPA), and for mouse, HPA data and in situ hybridization generated by the Allen brain atlas are reported.

Scroll down to view mRNA expression data in more detail.
Consensus:134.4 nTPM
HPA:109.3 nTPM
GTEx:134.4 nTPM

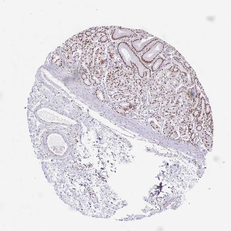
STOMACH 1 - Antibody stainingi

Antibody staining in the annotated cell types in the current human tissue is reported as not detected, low, medium, or high, based on conventional immunohistochemistry profiling in selected tissues. This score is based on the combination of the staining intensity and fraction of stained cells.

Each image is clickable and will lead to virtual microscopy that enables deeper exploration of all samples and also displays staining intensity scores, fraction scores and subcellular localization as well as patient and tissue information for each sample.

Antibody HPA047549Antibody HPA062226Antibody CAB004254
Glandular cells MediumHighHigh




STOMACH 2 - Antibody stainingi

Antibody staining in the annotated cell types in the current human tissue is reported as not detected, low, medium, or high, based on conventional immunohistochemistry profiling in selected tissues. This score is based on the combination of the staining intensity and fraction of stained cells.

Each image is clickable and will lead to virtual microscopy that enables deeper exploration of all samples and also displays staining intensity scores, fraction scores and subcellular localization as well as patient and tissue information for each sample.

Antibody HPA047549Antibody HPA062226Antibody CAB004254
Glandular cells HighHighHigh





STOMACH - HPA RNA-seqi

The RNA-seq details section shows detailed information about the individual samples used for the transcript profiling and results of the RNA-seq analysis.

Information about each individual sample is listed below, including gender, age, a tissue section image and estimated fractions of cell types. nTPM (normalized transcripts per million) values give a quantification of the gene abundance which is comparable between different genes and samples.
Average nTPMi

Max subtype nTPM is the value for the subtype with the largest average nTPM across the subtype samples.

109.3
overview
Female, age 33
Stomach sample 61
nTPM: 107
Cell types%
Glandular cells:
60

Smooth muscle cells:
5

Other cell types:
35

N/A
Male, age 82
Stomach sample 240
nTPM: 104.5
Cell types%
Glandular cells:
65

Smooth muscle cells:
5

Other cell types:
30

overview
Male, age 71
Stomach sample 241
nTPM: 117.7
Cell types%
Glandular cells:
50

Smooth muscle cells:
5

Other cell types:
45

overview
Female, age 66
Stomach sample 369
nTPM: 107.9
Cell types%
Glandular cells:
50

Smooth muscle cells:
10

Other cell types:
40


STOMACH - GTEx RNA-seqi

RNA-Seq data generated by the Genotype-Tissue Expression (GTEx) project from human tissues is reported as mean nTPM. More information can be found on the GTEx portal.

Distribution across the dataset is visualized with box plots, shown as median and 25th and 75th percentiles. Points are displayed as outliers if they are above or below 1.5 times the interquartile range. nTPM values of the individual samples are presented next to the box plot.
Max subtype nTPMi

Max subtype nTPM is the value for the subtype with the largest average nTPM across the subtype samples.

134.4
GTEx sample id Sample description nTPM
Stomach
Average nTPM: 134.4
Samples: 359

Max nTPM: 270.8
Min nTPM: 71.2
Std nTPM: 26.7
Median nTPM: 129.1
GTEX-15RIF-1126-SM-7KUG2 20-29 years, male 270.8
GTEX-1MCYP-1126-SM-E9J2P 20-29 years, female 221.4
GTEX-P4QT-1526-SM-3NMCT 50-59 years, female 209.8
GTEX-ZV6S-0926-SM-57WGB 40-49 years, female 206.3
GTEX-14E1K-1526-SM-664MN 50-59 years, male 205.9
GTEX-13O61-1126-SM-5L3FI 60-69 years, male 203.3
GTEX-18D9B-2226-SM-718BM 60-69 years, male 200.5
GTEX-1339X-1426-SM-5K7YO 40-49 years, male 199.9
GTEX-15G1A-1226-SM-7KUF3 30-39 years, male 199.1
GTEX-14PKU-1126-SM-69LOU 40-49 years, female 198.6
GTEX-1S82Z-1726-SM-E6CHZ 30-39 years, female 198.5
GTEX-13X6H-1626-SM-5Q5CT 50-59 years, female 198.0
GTEX-1CB4E-1326-SM-7DUGD 60-69 years, male 196.3
GTEX-15EU6-2526-SM-7KUGB 50-59 years, male 194.7
GTEX-TKQ1-0526-SM-4DXTG 30-39 years, male 194.5
GTEX-14PJ4-1626-SM-664OB 60-69 years, male 194.2
GTEX-13111-1226-SM-5GCNC 50-59 years, male 187.1
GTEX-1S831-1126-SM-EWROI 20-29 years, male 185.9
GTEX-XPVG-1526-SM-4B66C 50-59 years, male 185.8
GTEX-14PN3-1326-SM-6AJ9U 60-69 years, female 182.4
GTEX-YEC3-1426-SM-D4P1S 50-59 years, male 181.9
GTEX-RUSQ-1126-SM-EAZAU 50-59 years, male 181.0
GTEX-12WSJ-0926-SM-5P9JD 40-49 years, female 180.5
GTEX-R55C-1026-SM-48FCM 40-49 years, male 180.3
GTEX-1RAZR-1526-SM-EAZ4U 40-49 years, male 179.7
GTEX-1L5NE-1526-SM-DIPFW 50-59 years, male 178.6
GTEX-PLZ6-0826-SM-3P61K 30-39 years, male 178.3
GTEX-1PIGE-1126-SM-EWRMV 20-29 years, male 176.9
GTEX-1PPH8-1326-SM-DTXFO 20-29 years, male 176.9
GTEX-1QP28-2126-SM-DTX8B 50-59 years, female 176.9
GTEX-Y114-1226-SM-4TT88 50-59 years, female 175.1
GTEX-1GPI7-1326-SM-9KNVA 20-29 years, male 174.8
GTEX-1K2DA-0826-SM-CGQGD 50-59 years, male 174.3
GTEX-RU1J-0526-SM-46MUT 20-29 years, female 174.0
GTEX-11EQ9-1226-SM-5987E 30-39 years, male 173.6
GTEX-WHPG-0426-SM-4M1XW 50-59 years, male 173.1
GTEX-17EUY-1526-SM-793CA 20-29 years, male 172.7
GTEX-1399U-1626-SM-5P9J3 50-59 years, female 172.2
GTEX-OIZH-1526-SM-3NB1J 50-59 years, male 170.6
GTEX-R55D-1526-SM-48FEJ 50-59 years, male 168.6
GTEX-R55G-1126-SM-48FDG 40-49 years, female 168.5
GTEX-1NSGN-1926-SM-E9J36 50-59 years, male 168.3
GTEX-1HCUA-1626-SM-A9SMG 50-59 years, female 167.7
GTEX-11P82-0726-SM-5PNYL 20-29 years, male 166.9
GTEX-12C56-0526-SM-5FQST 20-29 years, male 166.8
GTEX-1AMEY-1226-SM-731DU 30-39 years, female 165.6
GTEX-ZYVF-2726-SM-5GID4 50-59 years, female 164.8
GTEX-1N2DV-0926-SM-E9TJT 40-49 years, male 164.8
GTEX-1KANA-1126-SM-D3L9M 20-29 years, male 164.7
GTEX-1LVAM-1426-SM-E9TJ4 50-59 years, female 164.1
GTEX-131XG-1226-SM-5EGH9 50-59 years, female 163.4
GTEX-1E2YA-2426-SM-7EPIG 50-59 years, male 163.2
GTEX-13N1W-2026-SM-5K7YU 70-79 years, male 162.8
GTEX-ZTX8-0426-SM-59HLG 20-29 years, male 162.8
GTEX-S4P3-0726-SM-4AD57 50-59 years, female 161.8
GTEX-18A67-2626-SM-718AD 50-59 years, male 161.6
GTEX-18A66-2226-SM-7189E 60-69 years, male 161.5
GTEX-WH7G-1526-SM-4LVMX 40-49 years, male 160.7
GTEX-1CAMR-0726-SM-7EPIE 20-29 years, male 160.2
GTEX-P4PQ-1526-SM-3NMCK 60-69 years, male 160.2
GTEX-1211K-1426-SM-5FQTF 60-69 years, female 159.5
GTEX-1QW4Y-0726-SM-DTX8E 30-39 years, male 159.2
GTEX-POMQ-0826-SM-3P61H 20-29 years, female 158.4
GTEX-14PKV-1826-SM-69LO9 20-29 years, female 158.3
GTEX-PWN1-1526-SM-48TDA 40-49 years, female 157.9
GTEX-OXRL-1526-SM-E6CHQ 50-59 years, male 157.6
GTEX-146FH-2126-SM-5SI9U 50-59 years, female 156.6
GTEX-1MJIX-1126-SM-EV7AO 40-49 years, male 156.6
GTEX-WFG8-1326-SM-4LVN3 20-29 years, male 156.3
GTEX-131XE-2226-SM-5PNYX 50-59 years, male 155.8
GTEX-17KNJ-1526-SM-7LTA9 50-59 years, male 155.6
GTEX-1JMPY-0926-SM-ARL92 30-39 years, male 154.4
GTEX-WEY5-1226-SM-4LMIQ 40-49 years, female 154.3
GTEX-11NUK-2426-SM-5BC4U 50-59 years, male 153.8
GTEX-1RQEC-2126-SM-DPS15 60-69 years, male 153.8
GTEX-1B97J-1826-SM-7IGPP 50-59 years, female 153.3
GTEX-11VI4-0326-SM-5EQ6L 40-49 years, female 153.0
GTEX-11WQK-2626-SM-5EQ4K 50-59 years, male 153.0
GTEX-1HSMQ-2426-SM-CE6RY 50-59 years, male 152.7
GTEX-1C64O-2226-SM-73KTV 60-69 years, male 152.3
GTEX-1H3NZ-2226-SM-9WYUT 60-69 years, male 152.2
GTEX-11P7K-1726-SM-5GU6F 30-39 years, male 151.6
GTEX-1IDJU-1526-SM-CNNR3 60-69 years, female 151.6
GTEX-13PVQ-2126-SM-5L3FW 50-59 years, male 151.3
GTEX-1F75I-1826-SM-7MKGX 40-49 years, male 151.1
GTEX-XAJ8-0326-SM-47JYI 40-49 years, male 150.9
GTEX-PLZ5-1226-SM-EXOHA 50-59 years, male 150.8
GTEX-1H1DE-1226-SM-9JGHH 20-29 years, male 150.6
GTEX-1MUQO-1926-SM-EAZ59 60-69 years, male 150.5
GTEX-17MF6-2126-SM-7KFS7 40-49 years, male 150.4
GTEX-UJHI-1026-SM-4IHJP 50-59 years, female 149.7
GTEX-XMK1-1526-SM-EYYVO 40-49 years, male 149.4
GTEX-1AX9J-2626-SM-731EK 60-69 years, male 148.5
GTEX-1B8L1-1526-SM-79OLK 60-69 years, male 148.4
GTEX-WFJO-1126-SM-4LVLZ 30-39 years, male 148.4
GTEX-14PHY-0926-SM-5ZZWL 60-69 years, female 148.0
GTEX-P4PP-1526-SM-3P61M 30-39 years, female 147.3
GTEX-13OVI-2426-SM-5KM4J 60-69 years, female 146.9
GTEX-ZA64-0826-SM-5HL9U 20-29 years, male 146.8
GTEX-Q2AI-0826-SM-48TZO 40-49 years, male 146.6
GTEX-U4B1-1026-SM-4DXT1 40-49 years, male 146.4
GTEX-1LGRB-1726-SM-CNNRA 50-59 years, female 146.4
GTEX-S4Z8-1226-SM-4AD6W 60-69 years, male 146.0
GTEX-QDT8-2026-SM-EZ6LS 30-39 years, female 145.9
GTEX-15G19-1526-SM-6LPKP 60-69 years, male 145.7
GTEX-1JN76-0926-SM-ARZNH 20-29 years, female 145.6
GTEX-146FR-2026-SM-5NQAI 60-69 years, female 144.5
GTEX-1A3MV-1226-SM-718BW 30-39 years, male 144.3
GTEX-13O21-0926-SM-5IFGT 50-59 years, male 144.1
GTEX-SUCS-0926-SM-4DM4Z 70-79 years, male 143.8
GTEX-13CF3-1926-SM-5K7WF 60-69 years, female 143.4
GTEX-QCQG-0526-SM-48U2A 50-59 years, female 142.9
GTEX-133LE-1326-SM-5IFGO 20-29 years, female 142.3
GTEX-Y5LM-1326-SM-5RQIS 40-49 years, female 142.3
GTEX-ZLWG-1526-SM-DO12F 50-59 years, female 142.2
GTEX-1399S-1626-SM-5P9GI 30-39 years, female 142.0
GTEX-117YW-2226-SM-5N9DB 50-59 years, male 141.4
GTEX-WFG7-1326-SM-4LMK1 20-29 years, male 140.8
GTEX-ZEX8-1626-SM-4WKG7 50-59 years, male 140.4
GTEX-OOBJ-1526-SM-3NB1Q 60-69 years, male 140.3
GTEX-1QPFJ-1526-SM-DPRXT 30-39 years, female 140.2
GTEX-S7SF-0626-SM-4AD4V 20-29 years, female 139.8
GTEX-1C475-1026-SM-7MKFJ 40-49 years, female 139.4
GTEX-12BJ1-1726-SM-5HL9B 60-69 years, male 138.9
GTEX-1IL2V-2026-SM-ARZMA 70-79 years, male 138.9
GTEX-ZT9W-1526-SM-4YCDE 50-59 years, male 138.7
GTEX-T8EM-1226-SM-4DM5J 40-49 years, male 138.4
GTEX-1S3DN-1526-SM-EVYCB 50-59 years, male 138.4
GTEX-16NGA-1526-SM-72D56 40-49 years, female 138.0
GTEX-1I6K7-1726-SM-B2LXQ 40-49 years, male 138.0
GTEX-O5YW-1526-SM-3MJGL 50-59 years, male 137.7
GTEX-WHSB-1226-SM-4M1XR 50-59 years, male 137.6
GTEX-11TT1-0726-SM-5GU5A 20-29 years, male 137.5
GTEX-13U4I-2526-SM-5SI8Z 40-49 years, female 137.5
GTEX-TKQ2-0926-SM-4DXU5 50-59 years, male 137.4
GTEX-T5JW-0926-SM-4DM5K 20-29 years, female 137.1
GTEX-QDVJ-1426-SM-48U1Y 50-59 years, male 137.0
GTEX-1JK1U-1326-SM-AHZ45 60-69 years, male 136.7
GTEX-1JKYN-1726-SM-AHZ48 30-39 years, male 136.5
GTEX-1QP67-1026-SM-EVR47 40-49 years, female 136.4
GTEX-1A3MX-1926-SM-72D7F 60-69 years, male 136.2
GTEX-1F5PL-1426-SM-7MKFH 40-49 years, female 136.1
GTEX-ZYY3-1726-SM-5EGH3 60-69 years, female 135.7
GTEX-11GSP-2126-SM-5HL5E 60-69 years, female 135.4
GTEX-1IDJF-1426-SM-ACKWK 20-29 years, male 135.1
GTEX-13FTX-0726-SM-5N9BI 20-29 years, female 134.9
GTEX-QXCU-1926-SM-48FE4 50-59 years, male 134.3
GTEX-ZPIC-2026-SM-57WG3 40-49 years, female 134.3
GTEX-SNOS-0826-SM-4DM5N 40-49 years, male 133.9
GTEX-YB5E-1126-SM-664NU 40-49 years, male 133.4
GTEX-YJ8A-1526-SM-5P9FT 20-29 years, male 133.3
GTEX-14JG6-1226-SM-664O6 30-39 years, female 133.2
GTEX-ZZPU-1426-SM-5GZZ6 50-59 years, female 133.2
GTEX-Y3IK-1426-SM-4YCES 50-59 years, female 133.1
GTEX-1R9K5-1026-SM-EAZ4F 50-59 years, male 132.7
GTEX-QV44-1226-SM-CJI1S 50-59 years, male 132.7
GTEX-1B97I-1226-SM-7MGWQ 40-49 years, male 132.5
GTEX-1RB15-1026-SM-E9U6V 60-69 years, male 132.3
GTEX-OHPM-1526-SM-EV796 50-59 years, male 132.3
GTEX-144GM-1726-SM-5O9AS 20-29 years, male 132.2
GTEX-XBED-1226-SM-4AT5V 60-69 years, male 131.8
GTEX-1JMLX-2426-SM-CXZJQ 50-59 years, male 131.7
GTEX-111CU-0926-SM-5EGIK 50-59 years, male 131.6
GTEX-1HR9M-2326-SM-CNPPZ 60-69 years, male 131.6
GTEX-ZQUD-0826-SM-57WDQ 30-39 years, male 131.4
GTEX-14PHX-1026-SM-664OL 50-59 years, male 130.9
GTEX-11NSD-1426-SM-5HL67 20-29 years, male 130.8
GTEX-ZPU1-1626-SM-4WWB2 40-49 years, male 130.4
GTEX-1B8KE-1326-SM-73KVI 50-59 years, male 130.2
GTEX-WZTO-2126-SM-4PQYW 40-49 years, male 130.2
GTEX-14DAR-0926-SM-73KUQ 50-59 years, male 130.0
GTEX-ZVZP-1726-SM-5GZWY 50-59 years, male 129.8
GTEX-13FTW-1726-SM-5KM2B 40-49 years, male 129.7
GTEX-1GL5R-1926-SM-9WG7U 50-59 years, male 129.7
GTEX-OIZF-1526-SM-2I5GR 60-69 years, male 129.4
GTEX-13O3Q-2126-SM-5KM4C 50-59 years, male 129.3
GTEX-R53T-1226-SM-48FCT 50-59 years, female 129.3
GTEX-QDVN-1226-SM-48TZ5 50-59 years, male 129.2
GTEX-11DXX-1326-SM-5GIDZ 60-69 years, female 129.1
GTEX-ZY6K-0726-SM-5A5L8 50-59 years, male 129.1
GTEX-117YX-1026-SM-5H11V 50-59 years, male 129.0
GTEX-1AMFI-1226-SM-731CZ 50-59 years, female 128.7
GTEX-RTLS-2626-SM-46MUJ 60-69 years, female 128.6
GTEX-OHPK-1526-SM-3MJGM 50-59 years, female 128.3
GTEX-15SHW-2126-SM-6M46Y 60-69 years, male 128.2
GTEX-QMRM-1126-SM-447BN 50-59 years, male 128.1
GTEX-17JCI-2226-SM-7LTA1 60-69 years, female 128.0
GTEX-QLQ7-0826-SM-447B3 60-69 years, male 128.0
GTEX-S341-0626-SM-4AD5T 40-49 years, female 127.8
GTEX-14PJ6-0826-SM-686Z9 60-69 years, female 127.6
GTEX-XV7Q-1326-SM-4BRWM 40-49 years, female 127.5
GTEX-1AYCT-1326-SM-7MKHB 50-59 years, male 127.0
GTEX-1HBPI-0726-SM-9WG7Z 50-59 years, male 127.0
GTEX-1JMPZ-1826-SM-CXZJT 30-39 years, male 126.8
GTEX-12WSK-1426-SM-5CVNN 40-49 years, female 126.7
GTEX-SNMC-0626-SM-4DM6H 20-29 years, male 126.5
GTEX-1H1DG-2126-SM-9WPPB 70-79 years, male 126.3
GTEX-1I1GT-1726-SM-C1YS3 60-69 years, female 126.2
GTEX-T6MO-0726-SM-4DM58 40-49 years, female 126.0
GTEX-1R7EU-1126-SM-EAZ4M 60-69 years, male 126.0
GTEX-14PJ3-1426-SM-664O8 50-59 years, male 125.8
GTEX-18A7A-2726-SM-7LG6U 50-59 years, female 125.8
GTEX-1KXAM-0926-SM-CXZKA 60-69 years, male 125.4
GTEX-PX3G-1526-SM-48U11 20-29 years, female 125.1
GTEX-13OVK-0926-SM-7KUFX 40-49 years, male 124.8
GTEX-1LGOU-1526-SM-D3LAJ 20-29 years, female 124.7
GTEX-ZGAY-1626-SM-DNZZ3 40-49 years, female 124.5
GTEX-ZP4G-1226-SM-4WWCJ 20-29 years, female 124.3
GTEX-1HFI7-1526-SM-9WG7W 50-59 years, female 123.9
GTEX-1399R-1126-SM-5IFIO 30-39 years, male 123.8
GTEX-WYVS-1326-SM-4ONCQ 40-49 years, female 123.8
GTEX-PWCY-0926-SM-48TD7 20-29 years, female 123.7
GTEX-17HGU-2126-SM-7IGOV 50-59 years, male 123.6
GTEX-1HSEH-1526-SM-B2LXG 60-69 years, male 123.6
GTEX-1LSNM-1026-SM-DHXL2 50-59 years, male 123.6
GTEX-17F9E-2226-SM-7IGNC 50-59 years, male 123.1
GTEX-Y5V6-1326-SM-4VDTF 60-69 years, male 122.6
GTEX-14ICL-0826-SM-5YY9W 30-39 years, male 122.4
GTEX-QV31-0626-SM-447C5 30-39 years, male 122.4
GTEX-1B8KZ-1226-SM-793CP 50-59 years, male 122.0
GTEX-1QP2A-2126-SM-DPRZ7 50-59 years, male 121.5
GTEX-XUZC-0726-SM-4BOPH 30-39 years, female 121.4
GTEX-XBEW-1826-SM-4RTWX 40-49 years, male 121.2
GTEX-ZZ64-0426-SM-5E43F 20-29 years, male 121.2
GTEX-1HBPN-1626-SM-9WPNP 50-59 years, male 121.2
GTEX-TMMY-1626-SM-4DXTY 40-49 years, female 121.1
GTEX-1HKZK-1526-SM-B2LWG 40-49 years, male 120.9
GTEX-1H11D-2226-SM-9OSXN 40-49 years, male 120.8
GTEX-131XF-1226-SM-5HL8V 60-69 years, male 120.6
GTEX-WY7C-1726-SM-4ONCC 50-59 years, male 120.4
GTEX-1LG7Z-1226-SM-DHXK4 30-39 years, male 120.4
GTEX-144GN-1226-SM-5O991 50-59 years, male 120.3
GTEX-17F98-1526-SM-7EWD8 40-49 years, female 120.2
GTEX-16AAH-1226-SM-79OO9 50-59 years, male 119.9
GTEX-WXYG-1626-SM-4ONCR 50-59 years, female 119.8
GTEX-RWS6-0926-SM-47JXE 60-69 years, female 119.6
GTEX-1QP29-2326-SM-EXOJO 50-59 years, male 119.3
GTEX-ZV7C-1626-SM-5NQ7E 50-59 years, male 119.2
GTEX-1I4MK-0926-SM-A9SLD 50-59 years, female 119.1
GTEX-15DZA-1126-SM-6LPK8 30-39 years, female 118.9
GTEX-W5WG-1726-SM-4LMI5 50-59 years, female 118.9
GTEX-145LT-1426-SM-5O9B3 40-49 years, male 118.5
GTEX-ZF29-1526-SM-4WKF7 60-69 years, female 118.5
GTEX-14B4R-0726-SM-5TDDR 30-39 years, male 118.4
GTEX-1KD5A-1426-SM-D4P3V 50-59 years, male 118.2
GTEX-132AR-2426-SM-5IFFD 50-59 years, female 118.1
GTEX-1QCLY-1126-SM-EAZ4J 30-39 years, male 118.0
GTEX-1RMOY-1126-SM-EV79E 50-59 years, male 117.7
GTEX-145ME-1026-SM-5O9B4 40-49 years, female 117.6
GTEX-S3XE-1026-SM-4AD4O 50-59 years, male 117.4
GTEX-Y8E4-1526-SM-4WWDI 40-49 years, male 117.1
GTEX-1F5PK-1826-SM-7RHHX 50-59 years, male 116.9
GTEX-12WSD-2326-SM-59HKQ 60-69 years, female 116.8
GTEX-13QBU-1126-SM-5LU44 40-49 years, female 116.7
GTEX-1H23P-2726-SM-9JGHN 60-69 years, male 116.4
GTEX-13FH7-1026-SM-5IJGF 50-59 years, female 116.2
GTEX-14BMU-1126-SM-5RQJ8 20-29 years, female 116.2
GTEX-WRHK-0626-SM-4MVOE 20-29 years, female 116.1
GTEX-V1D1-1726-SM-4JBHB 50-59 years, male 115.7
GTEX-15CHR-1326-SM-79OLT 50-59 years, male 115.4
GTEX-1H1E6-1626-SM-9OSWC 30-39 years, male 115.3
GTEX-13S7M-1826-SM-5RQK6 60-69 years, female 115.2
GTEX-18D9A-0626-SM-7KFTY 30-39 years, female 114.9
GTEX-Y9LG-1026-SM-5IFJN 30-39 years, male 114.9
GTEX-YFCO-0826-SM-5LUAG 40-49 years, male 114.9
GTEX-ZVT2-1626-SM-51MRC 50-59 years, female 114.9
GTEX-1GF9U-1126-SM-AHZ4H 40-49 years, female 114.9
GTEX-1QCLZ-1826-SM-DPRXP 60-69 years, female 114.9
GTEX-13X6J-2126-SM-5TDCV 50-59 years, male 114.8
GTEX-P78B-1826-SM-3P5YX 40-49 years, female 114.8
GTEX-1IDJD-2426-SM-C1YS6 30-39 years, male 114.8
GTEX-OXRK-1626-SM-3NB17 50-59 years, female 114.7
GTEX-RM2N-0826-SM-48FD3 50-59 years, male 114.5
GTEX-139YR-1926-SM-5LZXM 50-59 years, male 114.3
GTEX-ZLV1-0826-SM-DO11P 60-69 years, female 114.3
GTEX-1H3VY-2326-SM-9WG81 50-59 years, male 114.2
GTEX-13OW6-2526-SM-5IJEC 50-59 years, male 113.9
GTEX-18QFQ-1226-SM-718AE 30-39 years, male 113.8
GTEX-U3ZN-2026-SM-4DXUC 30-39 years, female 113.8
GTEX-ZLFU-1326-SM-DO11R 40-49 years, male 113.8
GTEX-13D11-2126-SM-5IFH2 50-59 years, female 113.7
GTEX-QLQW-0726-SM-447AA 30-39 years, male 113.6
GTEX-Q734-1026-SM-48U16 40-49 years, female 113.4
GTEX-1J8Q3-1926-SM-C1YSJ 60-69 years, male 113.3
GTEX-T5JC-1926-SM-4DM6Q 20-29 years, male 113.2
GTEX-13RTK-0226-SM-5RQHR 20-29 years, male 113.1
GTEX-14E6E-0926-SM-664N8 30-39 years, male 112.9
GTEX-11I78-1726-SM-5A5M3 50-59 years, female 112.8
GTEX-1HCU8-1326-SM-C1YQQ 60-69 years, female 112.7
GTEX-S4Q7-0726-SM-4AD5F 20-29 years, male 112.4
GTEX-Q2AH-1126-SM-48TZM 40-49 years, male 112.2
GTEX-Y3I4-1626-SM-4TT7W 50-59 years, male 112.2
GTEX-UPK5-2126-SM-4JBJK 40-49 years, male 112.1
GTEX-15DCE-1626-SM-6LPJM 20-29 years, male 111.9
GTEX-1J8EW-2226-SM-AHZ3T 60-69 years, female 111.8
GTEX-1E1VI-2826-SM-7MGWU 50-59 years, male 111.7
GTEX-WFON-1126-SM-4LVMA 40-49 years, male 111.6
GTEX-145MN-1326-SM-5NQ9S 30-39 years, male 111.5
GTEX-YEC4-1426-SM-5IFHS 40-49 years, male 111.4
GTEX-O5YV-1926-SM-EV797 60-69 years, female 111.3
GTEX-15RIE-1026-SM-6LPJQ 60-69 years, male 111.2
GTEX-17GQL-1226-SM-7KFTS 60-69 years, male 111.2
GTEX-X15G-1126-SM-4PQZG 50-59 years, female 111.2
GTEX-132QS-1826-SM-5IFFN 60-69 years, male 111.0
GTEX-PW2O-1226-SM-48TCH 20-29 years, male 110.8
GTEX-145MO-2226-SM-5Q5BN 60-69 years, male 110.7
GTEX-1CB4H-2426-SM-7PBYR 60-69 years, female 110.6
GTEX-1122O-1926-SM-5EGIQ 60-69 years, female 110.2
GTEX-Y8LW-0826-SM-4WWDO 50-59 years, female 110.1
GTEX-13PVR-2126-SM-73KVR 60-69 years, female 110.0
GTEX-14DAQ-2826-SM-664MU 60-69 years, female 110.0
GTEX-ZF2S-1426-SM-57WET 50-59 years, female 110.0
GTEX-NFK9-1526-SM-3LK7B 40-49 years, male 109.7
GTEX-ZXES-1426-SM-5NQ8S 30-39 years, female 109.3
GTEX-1MGNQ-1826-SM-DPRYI 40-49 years, male 109.1
GTEX-11EM3-1026-SM-5A5KL 20-29 years, female 108.8
GTEX-14PJ5-0826-SM-6AJAR 60-69 years, female 108.5
GTEX-ZYFG-1326-SM-5GICJ 60-69 years, female 108.4
GTEX-1ICG6-1826-SM-AHZ2O 70-79 years, female 108.4
GTEX-1JMQJ-1326-SM-D4P3B 50-59 years, male 108.3
GTEX-ZVP2-1626-SM-5GU5D 50-59 years, male 107.9
GTEX-1A8G6-1426-SM-731EZ 60-69 years, male 107.8
GTEX-S4UY-1626-SM-4AD55 40-49 years, female 107.4
GTEX-17HII-2426-SM-7KFTT 50-59 years, male 107.3
GTEX-1J8JJ-1726-SM-C1YQG 60-69 years, female 107.1
GTEX-S95S-0826-SM-4B64N 60-69 years, male 107.0
GTEX-15UF7-1226-SM-6M46G 40-49 years, male 106.8
GTEX-1LBAC-1426-SM-CXZKT 20-29 years, male 106.7
GTEX-1GMRU-2526-SM-9WG7T 50-59 years, male 106.5
GTEX-1GN1W-2126-SM-9JGI7 50-59 years, female 106.1
GTEX-111YS-1126-SM-5GZYQ 60-69 years, male 106.0
GTEX-17HHE-1026-SM-79ON6 50-59 years, male 105.8
GTEX-WYJK-2526-SM-4ONDF 50-59 years, male 105.6
GTEX-ZDYS-1926-SM-5HL59 50-59 years, male 103.7
GTEX-11EI6-2426-SM-5PNVS 60-69 years, male 103.5
GTEX-ZE7O-3026-SM-51MS4 50-59 years, female 103.2
GTEX-14BMV-2226-SM-5RQHX 50-59 years, male 103.0
GTEX-1J8QM-1126-SM-C1YQB 60-69 years, female 103.0
GTEX-1I1HK-2026-SM-CNNRB 60-69 years, male 102.3
GTEX-1LVAN-2426-SM-CNNPZ 50-59 years, female 102.2
GTEX-12696-1726-SM-5EQLH 60-69 years, male 102.0
GTEX-1EH9U-2226-SM-7PBXX 60-69 years, male 99.3
GTEX-12WSG-2026-SM-5FQUU 50-59 years, female 99.0
GTEX-13QJ3-2726-SM-5SI6L 50-59 years, male 98.9
GTEX-13113-0726-SM-5LZUF 60-69 years, female 98.5
GTEX-V955-1326-SM-4JBHR 60-69 years, male 98.1
GTEX-1QMI2-2126-SM-DPRXQ 60-69 years, male 96.4
GTEX-UJMC-1226-SM-4IHLI 50-59 years, male 96.0
GTEX-WHWD-1426-SM-4OORU 50-59 years, male 96.0
GTEX-ZAB4-1526-SM-5CVN7 40-49 years, male 95.9
GTEX-XQ8I-2026-SM-4BOOL 50-59 years, male 95.4
GTEX-XXEK-0826-SM-4BRWG 50-59 years, male 94.7
GTEX-14BIL-1926-SM-73KYI 50-59 years, male 94.6
GTEX-1GZ4H-1026-SM-9OSXL 50-59 years, female 94.1
GTEX-VJYA-1026-SM-4KL21 60-69 years, male 92.5
GTEX-ZVT3-2126-SM-59HL2 60-69 years, female 88.6
GTEX-1HT8W-2326-SM-A9SLA 30-39 years, male 88.4
GTEX-1JN1M-2926-SM-CNNPJ 60-69 years, female 88.1
GTEX-139D8-2326-SM-5IFGE 30-39 years, female 71.2
Show allShow less

Contact

  • NEWS ARTICLES
  • PRESS ROOM

The Project

  • INTRODUCTION
  • ORGANIZATION
  • PUBLICATIONS

The Human Protein Atlas

  • DOWNLOADABLE DATA
  • LICENCE & CITATION
  • HELP & FAQ
The Human Protein Atlas project is funded
by the Knut & Alice Wallenberg Foundation.


contact@proteinatlas.org