We use cookies to enhance the usability of our website. If you continue, we'll assume that you are happy to receive all cookies. More information. Don't show this again.
S100A6
HPA
RESOURCES
  • TISSUE
  • BRAIN
  • SINGLE CELL
  • SUBCELLULAR
  • CANCER
  • BLOOD
  • CELL LINE
  • STRUCTURE & INTERACTION
ABOUT
  • INTRODUCTION
  • HISTORY
  • ORGANIZATION
  • PUBLICATIONS
  • ANTIBODY SUBMISSION
  • ANTIBODY AVAILABILITY
  • ACKNOWLEDGMENTS
  • CONTACT
NEWS
  • NEWS ARTICLES
  • PRESS ROOM
LEARN
  • DICTIONARY
  • PROTEIN CLASSES
  • PROTEIN EVIDENCE
  • METHODS
  • EDUCATIONAL VIDEOS
DATA
  • DOWNLOADABLE DATA
  • PUBLICATION DATA
  • RELEASE HISTORY
HELP
  • ANTIBODY VALIDATION
  • ASSAYS & ANNOTATION
  • DISCLAIMER
  • HELP & FAQ
  • PRIVACY STATEMENT
  • LICENCE & CITATION
Fields »
Search result

Field
Term
Gene name
Class
Subclass
Class
Keyword
Chromosome
External id
Tissue
Cell type
Expression
Antibody panel
Tissue
Main location
Patient ID
Annotation
Tissue
Category
Tau score
Cluster
Reliability
Brain region
Category
Tau score
Brain region
Category
Tau score
Brain region
Category
Tau score
Cluster
Reliability
Tissue
Cell type
Enrichment
Cell type
Category
Tau score
Cell type
Category
Tau score
Cell type
Category
Tau score
Cell lineage
Category
Tau score
Cluster
Cluster
Location
Searches
Location
Cell line
Class
Type
Phase
Reliability
Cancer
Prognosis
Cancer
Category
Cancer
Category
Tau score
Cluster
Variants
Interacting gene (ensg_id)
Type
Number of interactions
Pathway
Category
Score
Score
Score
Validation
Validation
Validation
Validation
Antibodies
Data type
Column


  • SUMMARY

  • TISSUE

  • BRAIN

  • SINGLE CELL

  • SUBCELL

  • CANCER

  • BLOOD

  • CELL LINE

  • STRUCT & INT

  • S100A6
TISSUE PRIMARY DATA SKIN Show tissue menu
ADIPOSE TISSUE ADRENAL GLAND AMYGDALA APPENDIX BASAL GANGLIA BONE MARROW BREAST BRONCHUS CEREBELLUM CEREBRAL CORTEX CERVIX CHOROID PLEXUS COLON DUODENUM
ENDOMETRIUM EPIDIDYMIS ESOPHAGUS FALLOPIAN TUBE GALLBLADDER HEART MUSCLE HIPPOCAMPAL FORMATION HYPOTHALAMUS KIDNEY LIVER LUNG LYMPH NODE MIDBRAIN NASOPHARYNX
ORAL MUCOSA OVARY PANCREAS PARATHYROID GLAND PITUITARY GLAND PLACENTA PROSTATE RECTUM RETINA SALIVARY GLAND SEMINAL VESICLE SKELETAL MUSCLE SKIN SMALL INTESTINE
SMOOTH MUSCLE SOFT TISSUE SPINAL CORD SPLEEN STOMACH TESTIS THYMUS THYROID GLAND TONGUE TONSIL URINARY BLADDER VAGINA
ANTIBODIES
AND
VALIDATION
Dictionary
Skin
Tissue proteome
Skin
SKIN - Expression summary
Protein expression
Skini

On the top, protein expression in current human tissue, based on all annotated cell types, is reported with the units not detected (n), low (l), medium (m) and high (h). Underneath, protein expression in each annotated cell type are reported using the same units.

Protein expression data is based on knowledge-based annotation. For genes where more than one antibody has been used, a collective score is set.

If knowledge-based annotation could not be performed for a gene, no data is displayed here. View antibody staining data further down this page.

h
m
l
n
Cells in basal layer: Medium
Cells in corneal layer: Not detected
Cells in granular layer: Not detected
Cells in spinous layer: Not detected
Eccrine glands: Low
Endothelial cells: High
Extracellular matrix: Not detected
Fibrohistiocytic cells: High
Langerhans cells: Not detected
Lymphocytes: Medium
Melanocytes: High
Vascular mural cells: Not detected
RNA expressioni

A summary of mRNA expression data available for current tissue based on several datasets. The mRNA expression levels in human tissues are based on RNA-seq data generated by the Human Protein Atlas (HPA), Genotype-Tissue Expression (GTEx) portal and CAGE data generated by the FANTOM5 consortium. Consensus normalized expression levels for human tissues was created by combining the data from HPA and GTEx datasets.

The mRNA expression levels in pig are based on RNA-seq data generated by the Human Protein Atlas (HPA), and for mouse, HPA data and in situ hybridization generated by the Allen brain atlas are reported.

Scroll down to view mRNA expression data in more detail.
Consensus:830.8 nTPM
HPA:529.4 nTPM
GTEx:830.8 nTPM

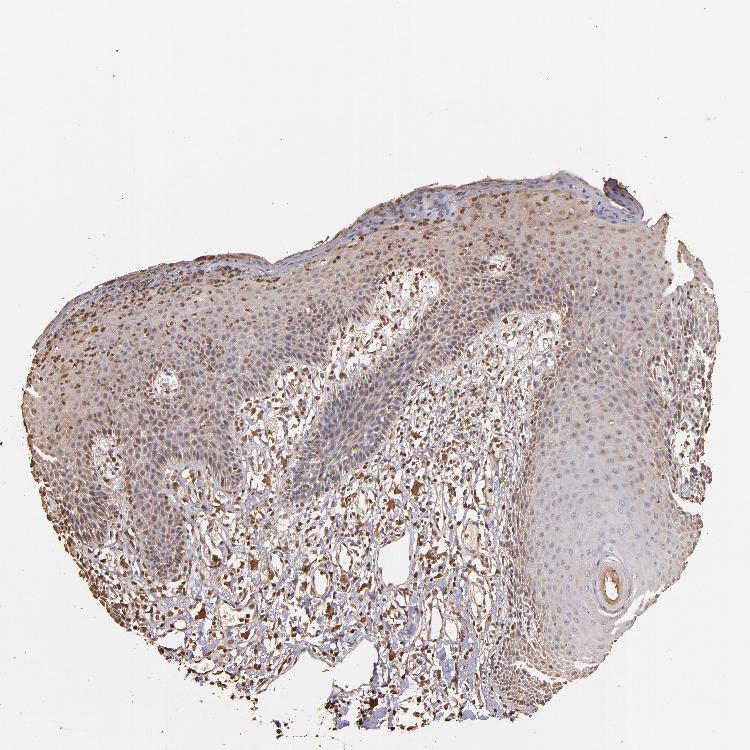
SKIN 1 - Antibody stainingi

Antibody staining in the annotated cell types in the current human tissue is reported as not detected, low, medium, or high, based on conventional immunohistochemistry profiling in selected tissues. This score is based on the combination of the staining intensity and fraction of stained cells.

Each image is clickable and will lead to virtual microscopy that enables deeper exploration of all samples and also displays staining intensity scores, fraction scores and subcellular localization as well as patient and tissue information for each sample.

Antibody HPA007575Antibody CAB002601Antibody CAB040549
Langerhans -MediumNot detected
Cells in basal layer Low--
Cells in corneal layer Not detected--
Cells in granular layer Not detected--
Cells in spinous layer Not detected--
Eccrine glands Low--
Endothelial cells Low--
Extracellular matrix Not detected--
Fibroblasts -MediumNot detected
Fibrohistiocytic cells High--
Keratinocytes -LowMedium
Langerhans cells Not detected--
Lymphocytes Not detected--
Melanocytes HighMediumMedium
Vascular mural cells Not detected--




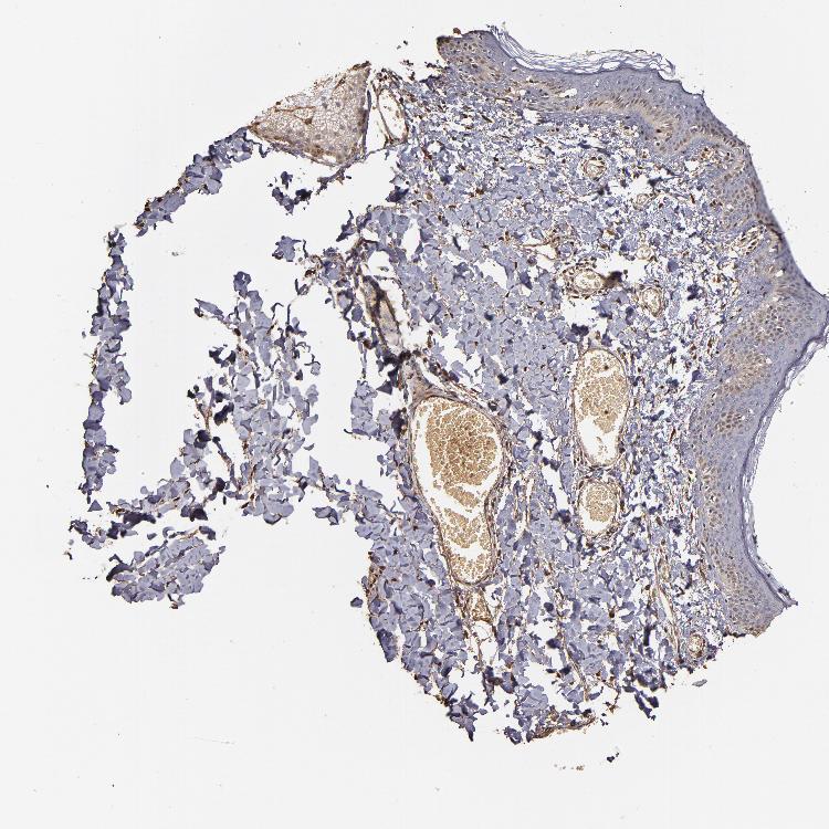
SKIN 2 - Antibody stainingi

Antibody staining in the annotated cell types in the current human tissue is reported as not detected, low, medium, or high, based on conventional immunohistochemistry profiling in selected tissues. This score is based on the combination of the staining intensity and fraction of stained cells.

Each image is clickable and will lead to virtual microscopy that enables deeper exploration of all samples and also displays staining intensity scores, fraction scores and subcellular localization as well as patient and tissue information for each sample.

Antibody HPA007575Antibody CAB002601Antibody CAB040549
Cells in basal layer Medium--
Cells in corneal layer Not detected--
Cells in granular layer Not detected--
Cells in spinous layer Not detected--
Endothelial cells High--
Epidermal cells -MediumLow
Extracellular matrix Not detected--
Fibrohistiocytic cells Medium--
Langerhans cells Not detected--
Lymphocytes Medium--
Melanocytes Low--
Vascular mural cells Not detected--
   
   
   




SKIN - HPA RNA-seqi

The RNA-seq details section shows detailed information about the individual samples used for the transcript profiling and results of the RNA-seq analysis.

Information about each individual sample is listed below, including gender, age, a tissue section image and estimated fractions of cell types. nTPM (normalized transcripts per million) values give a quantification of the gene abundance which is comparable between different genes and samples.
Average nTPMi

Max subtype nTPM is the value for the subtype with the largest average nTPM across the subtype samples.

529.4
overview
Female, age 34
Skin sample 225
nTPM: 513.7
Cell types%
Keratinocytes:
60

Other cell types:
40

overview
Female, age 30
Skin sample 226
nTPM: 353
Cell types%
Keratinocytes:
55

Other cell types:
45

N/A
Male, age 57
Skin sample 227
nTPM: 721.6

SKIN - GTEx RNA-seqi

RNA-Seq data generated by the Genotype-Tissue Expression (GTEx) project from human tissues is reported as mean nTPM. More information can be found on the GTEx portal.

Distribution across the dataset is visualized with box plots, shown as median and 25th and 75th percentiles. Points are displayed as outliers if they are above or below 1.5 times the interquartile range. nTPM values of the individual samples are presented next to the box plot.
Max subtype nTPMi

Max subtype nTPM is the value for the subtype with the largest average nTPM across the subtype samples.

830.8
GTEx sample id Sample description nTPM
Skin - Not Sun Exposed (Suprapubic)
Average nTPM: 693.8
Samples: 604

Max nTPM: 2572.8
Min nTPM: 179.2
Std nTPM: 294.1
Median nTPM: 643.4
GTEX-Y3IK-1626-SM-4YCF5 50-59 years, female 2572.8
GTEX-145MG-1526-SM-5Q5EM 50-59 years, male 2060.8
GTEX-1399R-1326-SM-5PNYS 30-39 years, male 1991.7
GTEX-14DAR-1226-SM-73KYV 50-59 years, male 1891.5
GTEX-1IDJE-1426-SM-ADEIW 50-59 years, female 1658.6
GTEX-1IDJI-0126-SM-CMKHS 50-59 years, female 1592.8
GTEX-1H1ZS-2726-SM-9WG75 70-79 years, male 1578.6
GTEX-ZYW4-0626-SM-59HJR 60-69 years, male 1564.6
GTEX-X3Y1-2026-SM-3P5YM 40-49 years, male 1515.6
GTEX-1RLM8-2926-SM-E8VON 50-59 years, male 1471.0
GTEX-1117F-2926-SM-5GZYI 60-69 years, female 1465.4
GTEX-1HC8U-1326-SM-9YFMJ 40-49 years, female 1434.3
GTEX-12584-0726-SM-5FQTK 40-49 years, male 1422.4
GTEX-1F75W-2726-SM-7SB8H 60-69 years, male 1413.5
GTEX-18D9B-0926-SM-7LG4U 60-69 years, male 1409.8
GTEX-11DYG-1526-SM-5A5JS 60-69 years, male 1369.1
GTEX-1A32A-0626-SM-731AQ 50-59 years, female 1351.3
GTEX-XYKS-1426-SM-4BRUO 60-69 years, female 1350.0
GTEX-1PIGE-1826-SM-E8VOU 20-29 years, male 1347.0
GTEX-17EVQ-0126-SM-7IGLR 70-79 years, male 1332.8
GTEX-1H1CY-0126-SM-9YFLY 60-69 years, female 1320.6
GTEX-WI4N-2726-SM-3LK7Y 40-49 years, female 1316.7
GTEX-1497J-0226-SM-5QGPU 60-69 years, male 1304.1
GTEX-14A5H-0826-SM-5QGPJ 60-69 years, male 1270.4
GTEX-ZAK1-0626-SM-5HL8E 50-59 years, female 1264.7
GTEX-145ME-1726-SM-5Q5EU 40-49 years, female 1264.0
GTEX-13OVJ-0826-SM-5J1OK 50-59 years, female 1258.6
GTEX-1QP29-1826-SM-DTX9S 50-59 years, male 1249.0
GTEX-13OVK-1426-SM-6PAN7 40-49 years, male 1248.7
GTEX-1JMOU-1026-SM-CYPSS 60-69 years, female 1248.3
GTEX-ZU9S-1826-SM-5NQ9E 30-39 years, male 1243.2
GTEX-13YAN-0226-SM-5TDC6 60-69 years, male 1234.9
GTEX-16YQH-2226-SM-7IGM2 30-39 years, male 1230.7
GTEX-1HUB1-1426-SM-CGQF5 60-69 years, male 1227.9
GTEX-1LBAC-0826-SM-CY8IJ 20-29 years, male 1222.4
GTEX-1O9I2-0226-SM-EYYXD 50-59 years, male 1199.1
GTEX-WH7G-2026-SM-3NMBL 40-49 years, male 1197.9
GTEX-1RAZR-2126-SM-E9U6T 40-49 years, male 1189.4
GTEX-12WSF-1626-SM-7KUG5 70-79 years, male 1188.8
GTEX-1CAMR-1326-SM-7PC1F 20-29 years, male 1177.3
GTEX-W5X1-2526-SM-3GILC 40-49 years, female 1176.5
GTEX-1CAV2-0126-SM-7IGN7 40-49 years, female 1168.7
GTEX-ZF3C-0626-SM-DO92O 50-59 years, female 1158.4
GTEX-1LG7Z-1626-SM-CXKYR 30-39 years, male 1147.7
GTEX-1JMQL-2226-SM-CNPP4 50-59 years, female 1137.9
GTEX-1E2YA-2126-SM-7MXUO 50-59 years, male 1131.0
GTEX-15RJ7-2126-SM-6PAMD 40-49 years, male 1130.4
GTEX-16GPK-0626-SM-7KFSF 60-69 years, male 1129.9
GTEX-1S831-1826-SM-EWROF 20-29 years, male 1127.2
GTEX-146FQ-2126-SM-5RQHU 30-39 years, male 1115.8
GTEX-15SHW-0226-SM-7LTAT 60-69 years, male 1112.4
GTEX-139YR-1026-SM-5LZYN 50-59 years, male 1104.5
GTEX-18A66-0626-SM-7LT8Z 60-69 years, male 1101.5
GTEX-11NSD-0626-SM-5A5LU 20-29 years, male 1093.1
GTEX-ZYFG-1526-SM-5GZYM 60-69 years, female 1089.5
GTEX-1F6I4-2326-SM-7RHGL 60-69 years, male 1088.5
GTEX-1HCU6-2526-SM-ADEHL 60-69 years, female 1087.5
GTEX-18A7B-2726-SM-7LG56 70-79 years, male 1087.4
GTEX-12WSL-2026-SM-5GCML 50-59 years, male 1085.1
GTEX-111FC-2526-SM-5GZXU 60-69 years, male 1079.4
GTEX-17F97-2626-SM-7IGM5 50-59 years, male 1069.7
GTEX-13113-1626-SM-5EQ4I 60-69 years, female 1067.7
GTEX-WHSE-0126-SM-3NMBT 20-29 years, male 1065.0
GTEX-WXYG-2026-SM-4E3IY 50-59 years, female 1064.9
GTEX-1EWIQ-0326-SM-7DHMQ 70-79 years, female 1056.0
GTEX-1IDJD-2326-SM-ACKWX 30-39 years, male 1051.9
GTEX-1AX9J-1326-SM-731BJ 60-69 years, male 1051.0
GTEX-15CHQ-0326-SM-69LQD 60-69 years, male 1047.4
GTEX-1MCC2-1826-SM-DIPEX 30-39 years, female 1046.1
GTEX-11DXW-0826-SM-5H118 40-49 years, male 1045.8
GTEX-16BQI-1326-SM-6M486 30-39 years, female 1044.9
GTEX-1RB15-1326-SM-E76Q9 60-69 years, male 1035.0
GTEX-X585-2426-SM-46MW2 50-59 years, male 1034.1
GTEX-18D9A-1426-SM-7LT8M 30-39 years, female 1032.7
GTEX-ZGAY-1826-SM-DO91Q 40-49 years, female 1028.1
GTEX-1R9PN-0426-SM-DTXDT 40-49 years, female 1028.0
GTEX-14E6C-2426-SM-5S2NF 40-49 years, male 1026.9
GTEX-ZAJG-1526-SM-5CVML 50-59 years, female 1019.4
GTEX-12WSJ-1126-SM-5LZVJ 40-49 years, female 1018.7
GTEX-1QP66-1226-SM-DTX7U 50-59 years, male 1017.0
GTEX-1LVAO-2726-SM-E9TJ8 60-69 years, male 1012.3
GTEX-1HFI6-0126-SM-CNPPI 40-49 years, male 1009.9
GTEX-1POEN-2326-SM-E9J2L 30-39 years, female 998.7
GTEX-1QP9N-1226-SM-E76QN 30-39 years, male 987.6
GTEX-ZDXO-3126-SM-5IJDF 60-69 years, male 986.5
GTEX-1A3MW-0626-SM-731CB 60-69 years, female 983.7
GTEX-1AX8Z-0726-SM-73KTS 60-69 years, male 982.3
GTEX-14PJ3-1126-SM-5ZZVX 50-59 years, male 979.6
GTEX-ZDTS-0826-SM-4WKHL 60-69 years, male 977.6
GTEX-11DZ1-2426-SM-5GZZX 50-59 years, male 977.2
GTEX-ZLWG-0826-SM-59888 50-59 years, female 975.6
GTEX-1F48J-0726-SM-7RHGS 50-59 years, female 973.1
GTEX-12126-0826-SM-5FQTZ 20-29 years, male 971.9
GTEX-XV7Q-1826-SM-4BRUV 40-49 years, female 970.7
GTEX-1F6IF-0926-SM-7SB7M 60-69 years, male 967.0
GTEX-117YX-1926-SM-5GIEC 50-59 years, male 966.5
GTEX-132AR-0326-SM-5KM2C 50-59 years, female 966.3
GTEX-13N11-2326-SM-5IJBF 50-59 years, female 965.3
GTEX-WFG8-2126-SM-3GIKQ 20-29 years, male 959.5
GTEX-ZP4G-1426-SM-4WWCL 20-29 years, female 953.1
GTEX-ZZPU-0826-SM-5GZX5 50-59 years, female 953.0
GTEX-1JN1M-2726-SM-CY8I4 60-69 years, female 950.8
GTEX-1S82P-2126-SM-E6CI5 60-69 years, female 948.6
GTEX-ZVTK-0226-SM-51MRG 20-29 years, male 947.1
GTEX-145MN-1526-SM-5SI9T 30-39 years, male 946.4
GTEX-1JKYN-0826-SM-ARU8S 30-39 years, male 945.1
GTEX-1F75A-0726-SM-7RHHD 50-59 years, male 938.5
GTEX-YB5K-2026-SM-4VDT3 40-49 years, female 930.8
GTEX-11TT1-1826-SM-5EQLV 20-29 years, male 925.6
GTEX-15RIE-1926-SM-7KUKJ 60-69 years, male 923.7
GTEX-ZPIC-0526-SM-DO91W 40-49 years, female 922.2
GTEX-1GF9U-2026-SM-7SB92 40-49 years, female 919.0
GTEX-1H3NZ-2726-SM-9WYTQ 60-69 years, male 918.0
GTEX-1GZHY-0626-SM-9KNVC 50-59 years, female 916.5
GTEX-11O72-0626-SM-5PNYE 40-49 years, male 915.7
GTEX-ZYFC-0426-SM-5GICQ 50-59 years, male 912.2
GTEX-ZAB4-2126-SM-5HL8U 40-49 years, male 911.6
GTEX-14PK6-0226-SM-62LF5 70-79 years, female 909.7
GTEX-1QCLZ-2426-SM-EVYBW 60-69 years, female 908.9
GTEX-ZVE1-0726-SM-51MRN 50-59 years, female 903.6
GTEX-ZPU1-1126-SM-4YCF3 40-49 years, male 902.8
GTEX-15DYW-2726-SM-6EU2I 60-69 years, female 901.2
GTEX-17F96-0126-SM-7EWDU 70-79 years, male 900.3
GTEX-UPK5-0426-SM-3GAEK 40-49 years, male 899.2
GTEX-1MJK3-0726-SM-E6CJC 20-29 years, male 898.9
GTEX-ZYFD-0626-SM-5E44E 50-59 years, male 897.8
GTEX-1B996-0426-SM-7EWF8 60-69 years, male 892.8
GTEX-1PPH8-0126-SM-EWRN8 20-29 years, male 890.0
GTEX-14PJO-2526-SM-6AJBQ 60-69 years, male 884.7
GTEX-14E1K-2026-SM-7DUEI 50-59 years, male 883.4
GTEX-1E1VI-0326-SM-793D1 50-59 years, male 882.3
GTEX-1IDJC-1526-SM-B2LW4 50-59 years, male 880.4
GTEX-WEY5-2326-SM-3GIKK 40-49 years, female 879.9
GTEX-1S3DN-2126-SM-E9TIN 50-59 years, male 875.1
GTEX-ZF2S-1626-SM-57WES 50-59 years, female 874.4
GTEX-17F9E-2326-SM-79OKD 50-59 years, male 874.3
GTEX-YEC4-1826-SM-4W1YP 40-49 years, male 872.9
GTEX-ZUA1-2626-SM-5NQ92 40-49 years, male 871.8
GTEX-ZE7O-2726-SM-51MT5 50-59 years, female 870.5
GTEX-ZLFU-1826-SM-4WWBV 40-49 years, male 864.0
GTEX-1J8JJ-0626-SM-ARZMQ 60-69 years, female 862.2
GTEX-XK95-0226-SM-4AT58 40-49 years, male 861.2
GTEX-1HCUA-0826-SM-ADEHM 50-59 years, female 860.4
GTEX-13NZ9-2626-SM-5L3FK 50-59 years, male 857.2
GTEX-13SLX-2226-SM-62LEP 50-59 years, female 853.4
GTEX-17JCI-2926-SM-7DUFF 60-69 years, female 848.0
GTEX-YF7O-1526-SM-5IFI6 50-59 years, male 847.9
GTEX-1CB4I-0126-SM-7RHGG 50-59 years, male 847.7
GTEX-U8XE-0226-SM-4E3J3 30-39 years, male 845.5
GTEX-1HSMP-0926-SM-A9SKX 70-79 years, male 839.4
GTEX-XOT4-0626-SM-4B66L 60-69 years, female 838.6
GTEX-12BJ1-0926-SM-5EQ62 60-69 years, male 836.1
GTEX-ZVP2-0326-SM-57WBP 50-59 years, male 834.7
GTEX-ZZ64-1026-SM-5GZXG 20-29 years, male 831.0
GTEX-131XH-0126-SM-5LZUY 50-59 years, male 830.7
GTEX-12WSD-0626-SM-5GCMW 60-69 years, female 827.1
GTEX-12WSH-1526-SM-5BC5W 50-59 years, male 826.2
GTEX-1LVA9-2626-SM-EVYD4 50-59 years, male 824.3
GTEX-1GMR2-0826-SM-7PC3V 50-59 years, male 821.3
GTEX-1IKOE-1426-SM-CE6T7 30-39 years, female 817.5
GTEX-XBEC-0726-SM-4QARZ 50-59 years, male 816.2
GTEX-ZT9W-1126-SM-57WDR 50-59 years, male 816.2
GTEX-YJ8O-2526-SM-5HL85 40-49 years, female 815.4
GTEX-11VI4-1126-SM-5EQMD 40-49 years, female 812.8
GTEX-WFON-1926-SM-3LK7L 40-49 years, male 811.8
GTEX-1LVAN-0626-SM-CNPOQ 50-59 years, female 811.4
GTEX-11EM3-1226-SM-5N9DD 20-29 years, female 811.1
GTEX-YFCO-1226-SM-5LUAT 40-49 years, male 807.7
GTEX-14PKV-1126-SM-6LLJ1 20-29 years, female 805.6
GTEX-1L5NE-1126-SM-D3L9P 50-59 years, male 803.8
GTEX-14JG6-1426-SM-9WG7C 30-39 years, female 802.5
GTEX-1RAZA-2226-SM-E9U4X 20-29 years, male 802.0
GTEX-13NYB-0126-SM-5J1MD 40-49 years, male 800.2
GTEX-11OF3-0126-SM-5PNYF 60-69 years, male 797.5
GTEX-12ZZZ-0726-SM-5GCNZ 60-69 years, male 796.7
GTEX-15FZZ-0526-SM-7KUGD 30-39 years, female 796.6
GTEX-11EI6-2826-SM-5H11D 60-69 years, male 796.2
GTEX-11ZTT-2126-SM-5CVLO 60-69 years, female 794.3
GTEX-1GZ2Q-0126-SM-9WG6M 40-49 years, male 794.1
GTEX-14JG1-1526-SM-5YY9X 40-49 years, male 793.1
GTEX-1N2EE-0626-SM-E76PW 60-69 years, male 792.9
GTEX-1I6K6-1726-SM-CGQFD 30-39 years, male 792.3
GTEX-1KANC-1226-SM-CYPT7 50-59 years, female 790.9
GTEX-1I19N-0126-SM-CYPSF 70-79 years, male 784.2
GTEX-X4EP-0626-SM-3P621 60-69 years, female 783.9
GTEX-139T8-0626-SM-5KLZX 60-69 years, male 782.1
GTEX-1M4P7-0726-SM-E6CJ3 60-69 years, male 781.9
GTEX-13N1W-2426-SM-5IJD1 70-79 years, male 780.6
GTEX-1I1GP-1326-SM-A9G28 50-59 years, male 777.4
GTEX-14E6E-0526-SM-793DN 30-39 years, male 776.9
GTEX-11DXY-0126-SM-5H11Q 60-69 years, male 775.8
GTEX-1LKK1-2626-SM-DKPQE 50-59 years, female 772.3
GTEX-ZWKS-0626-SM-5GIDV 30-39 years, male 770.3
GTEX-ZLV1-1526-SM-DO91J 60-69 years, female 769.3
GTEX-18A6Q-0626-SM-7KFRP 60-69 years, male 769.1
GTEX-1S82U-1026-SM-E6CJK 30-39 years, female 768.1
GTEX-1C475-1326-SM-7SB73 40-49 years, female 767.9
GTEX-15UF6-1926-SM-7KUDV 70-79 years, female 767.8
GTEX-1I1CD-0626-SM-CE6SW 60-69 years, female 763.0
GTEX-17HG3-2626-SM-7DUF2 30-39 years, female 761.7
GTEX-X5EB-1926-SM-4E3IW 40-49 years, male 761.3
GTEX-144FL-0626-SM-5LU43 50-59 years, male 754.2
GTEX-13JUV-2026-SM-5K7UA 40-49 years, female 753.5
GTEX-11UD2-2526-SM-5CVNU 50-59 years, male 751.8
GTEX-1F75I-2226-SM-7SB8U 40-49 years, male 751.4
GTEX-Y5LM-0926-SM-6LLJG 40-49 years, female 748.7
GTEX-14ABY-2026-SM-62LDL 50-59 years, male 748.2
GTEX-11WQC-1826-SM-5GU59 60-69 years, male 747.0
GTEX-XBEW-1126-SM-4QARW 40-49 years, male 745.0
GTEX-1GTWX-2026-SM-9YFLM 60-69 years, male 743.4
GTEX-WHPG-2626-SM-3NMBR 50-59 years, male 742.1
GTEX-16MTA-0926-SM-6M47Z 50-59 years, male 742.0
GTEX-144GO-2026-SM-5O99P 60-69 years, male 740.8
GTEX-15D1Q-2826-SM-6LLH7 40-49 years, male 736.6
GTEX-1HFI7-2326-SM-CGQFS 50-59 years, female 736.6
GTEX-1K2DA-1026-SM-CGQGF 50-59 years, male 735.7
GTEX-18465-2826-SM-7LT9J 50-59 years, male 735.0
GTEX-1H3O1-1326-SM-9MQLD 60-69 years, male 734.7
GTEX-13FH7-1126-SM-5K7UG 50-59 years, female 734.4
GTEX-1HKZK-0726-SM-ACKW2 40-49 years, male 734.4
GTEX-16MT8-2926-SM-7DUFO 60-69 years, female 733.0
GTEX-18D9U-0126-SM-731BM 40-49 years, male 730.7
GTEX-1AYD5-2626-SM-7PBXY 50-59 years, male 730.1
GTEX-1JMQK-1226-SM-D4P2S 60-69 years, male 728.8
GTEX-ZY6K-1426-SM-5GZX2 50-59 years, male 728.3
GTEX-1EKGG-0626-SM-7DUGJ 60-69 years, male 727.8
GTEX-1192X-2726-SM-5N9DN 50-59 years, male 726.9
GTEX-1F52S-2926-SM-7MKGA 60-69 years, female 725.6
GTEX-1H23P-0626-SM-9WG6T 60-69 years, male 724.5
GTEX-WYVS-1626-SM-3NM9R 40-49 years, female 724.1
GTEX-1N5O9-0926-SM-E9J3C 60-69 years, male 723.6
GTEX-11WQK-1026-SM-5EQLX 50-59 years, male 723.4
GTEX-1C6WA-2626-SM-7MKGM 60-69 years, male 721.6
GTEX-X8HC-0626-SM-4E3HQ 50-59 years, female 720.4
GTEX-139TT-2126-SM-5LZWC 60-69 years, male 718.8
GTEX-1LSNM-0826-SM-DIPG8 50-59 years, male 715.7
GTEX-145LS-0626-SM-7EPG7 60-69 years, female 713.0
GTEX-1GMRU-2126-SM-7P8RA 50-59 years, male 709.9
GTEX-1IY9M-2826-SM-ARU8H 60-69 years, male 708.8
GTEX-14PJ2-0626-SM-6LLII 50-59 years, male 708.3
GTEX-XQ8I-0926-SM-4BOOF 50-59 years, male 706.8
GTEX-1H3VE-0726-SM-9YFL5 40-49 years, male 705.5
GTEX-1ICG6-1226-SM-A9SLN 70-79 years, female 705.5
GTEX-1K2DU-1226-SM-CYPT4 20-29 years, male 705.5
GTEX-Y5V6-2326-SM-4VDSA 60-69 years, male 705.2
GTEX-14BMU-1226-SM-5S2OR 20-29 years, female 704.9
GTEX-1LGOU-1326-SM-D3L8M 20-29 years, female 701.4
GTEX-131XW-0626-SM-5PNVD 50-59 years, female 700.2
GTEX-WRHU-2826-SM-3MJG8 50-59 years, female 700.1
GTEX-131YS-2826-SM-5EQ47 60-69 years, female 699.8
GTEX-1IL2V-1926-SM-B2LW8 70-79 years, male 699.7
GTEX-13OW5-2326-SM-5L3HO 60-69 years, male 699.3
GTEX-15RIG-0726-SM-7KUM7 40-49 years, male 698.0
GTEX-XQ3S-1426-SM-4BOPR 20-29 years, male 696.3
GTEX-1A8FM-0626-SM-7PC25 50-59 years, female 694.6
GTEX-YEC3-1326-SM-DO92X 50-59 years, male 693.7
GTEX-11EQ9-1626-SM-5PNY8 30-39 years, male 693.5
GTEX-1314G-1326-SM-5BC6E 30-39 years, male 693.3
GTEX-1EX96-1026-SM-7MKG2 50-59 years, male 693.0
GTEX-WYBS-0626-SM-3NMAS 60-69 years, female 689.4
GTEX-1IDJF-2026-SM-CL53V 20-29 years, male 688.5
GTEX-14PHY-1226-SM-5ZZWK 60-69 years, female 687.3
GTEX-1KWVE-1026-SM-D3L9O 30-39 years, male 686.4
GTEX-1LSVX-2526-SM-DIPEU 60-69 years, male 685.1
GTEX-147F3-1726-SM-5SIAW 50-59 years, female 683.6
GTEX-13OVL-0126-SM-5L3GJ 50-59 years, male 681.0
GTEX-139TU-0726-SM-5L3EK 60-69 years, male 679.5
GTEX-13O3O-2326-SM-5IJD6 60-69 years, female 678.3
GTEX-11NUK-2726-SM-5A5MC 50-59 years, male 678.0
GTEX-1JMLX-0626-SM-ARL8T 50-59 years, male 675.2
GTEX-1EMGI-2326-SM-7PBYA 60-69 years, male 674.8
GTEX-1CAMQ-1326-SM-7P8RV 40-49 years, male 674.4
GTEX-13X6I-1826-SM-5SIAO 60-69 years, male 672.3
GTEX-13PVQ-0626-SM-5LU47 50-59 years, male 671.2
GTEX-1OJC3-1226-SM-DTXER 20-29 years, male 671.0
GTEX-139TS-2126-SM-5K7XC 60-69 years, male 670.3
GTEX-1HCU9-0426-SM-9WYSD 20-29 years, male 669.2
GTEX-1HR98-2226-SM-ADEI2 60-69 years, male 668.1
GTEX-1HSMO-0626-SM-ACKXC 60-69 years, male 667.8
GTEX-18A7A-0126-SM-731AH 50-59 years, female 666.8
GTEX-Y3I4-1726-SM-4TT89 50-59 years, male 666.2
GTEX-ZC5H-1526-SM-5HL9Y 40-49 years, female 665.2
GTEX-14PHX-2226-SM-6EU2P 50-59 years, male 664.2
GTEX-1QEPI-2626-SM-DTXF4 60-69 years, female 662.1
GTEX-Y114-2126-SM-4TT8B 50-59 years, female 660.8
GTEX-1BAJH-2426-SM-7IGP8 70-79 years, male 659.5
GTEX-WYJK-0526-SM-3NM8Z 50-59 years, male 658.6
GTEX-15EU6-2226-SM-6EU2L 50-59 years, male 656.0
GTEX-1IDJH-0126-SM-D3L92 70-79 years, male 655.9
GTEX-1GF9W-1426-SM-7PBYM 60-69 years, male 654.1
GTEX-13N2G-0226-SM-5K7VF 60-69 years, male 652.1
GTEX-1H1DF-1126-SM-9WG7G 40-49 years, female 651.5
GTEX-15G19-2426-SM-7KUMR 60-69 years, male 651.4
GTEX-1JN6P-2926-SM-CL54D 60-69 years, male 651.2
GTEX-131XF-2626-SM-5EQ6K 60-69 years, male 650.0
GTEX-1PIIG-2326-SM-DTXFR 30-39 years, male 649.0
GTEX-183WM-0326-SM-72D5V 70-79 years, female 648.8
GTEX-16Z82-2626-SM-7KULU 60-69 years, male 648.5
GTEX-ZA64-1026-SM-5HL8R 20-29 years, male 648.4
GTEX-13112-0126-SM-5P9IU 50-59 years, male 648.0
GTEX-13FHO-0426-SM-5L3F5 60-69 years, male 645.6
GTEX-1KANA-1326-SM-DIPFA 20-29 years, male 645.6
GTEX-14LZ3-0126-SM-69LPM 60-69 years, female 641.2
GTEX-13OVG-1626-SM-5J1NF 60-69 years, male 641.0
GTEX-1QAET-0326-SM-EVR3U 50-59 years, male 640.8
GTEX-1I6K7-1926-SM-B2LXR 40-49 years, male 640.6
GTEX-1211K-1526-SM-5FQU4 60-69 years, female 638.9
GTEX-145MO-2826-SM-5LU96 60-69 years, male 635.1
GTEX-17HII-1426-SM-7EPGG 50-59 years, male 635.0
GTEX-ZYVF-0926-SM-5E44J 50-59 years, female 633.3
GTEX-183FY-1026-SM-7939A 20-29 years, male 633.2
GTEX-1QMI2-2526-SM-E8VNZ 60-69 years, male 632.8
GTEX-1JMPZ-0726-SM-CY8HZ 30-39 years, male 632.0
GTEX-145LT-0526-SM-5LUB2 40-49 years, male 631.2
GTEX-11P81-2226-SM-5PNYI 30-39 years, female 631.1
GTEX-1NSGN-0726-SM-DTXEF 50-59 years, male 630.3
GTEX-15RJE-2826-SM-7KUM9 40-49 years, male 629.0
GTEX-12WSK-2126-SM-5CVNC 40-49 years, female 628.7
GTEX-1R9PM-1926-SM-EVR3O 20-29 years, male 628.0
GTEX-1RAZQ-1326-SM-E9TK6 30-39 years, male 626.7
GTEX-Z93S-1626-SM-5CVMB 50-59 years, male 626.6
GTEX-1B97I-0626-SM-73KUZ 40-49 years, male 626.0
GTEX-147F4-0726-SM-5TDDD 50-59 years, male 623.2
GTEX-14JFF-0626-SM-5ZZVT 60-69 years, male 621.3
GTEX-XPVG-2126-SM-4B667 50-59 years, male 621.1
GTEX-XXEK-1626-SM-4BRUZ 50-59 years, male 621.0
GTEX-Y8LW-1526-SM-5IFHL 50-59 years, female 621.0
GTEX-13X6H-0926-SM-5SIB2 50-59 years, female 620.4
GTEX-11GSP-2326-SM-5HL63 60-69 years, female 620.0
GTEX-139D8-1126-SM-5LU8W 30-39 years, female 619.3
GTEX-1EN7A-2426-SM-793DB 40-49 years, male 619.2
GTEX-Y5V5-0126-SM-5S2NW 60-69 years, female 618.8
GTEX-X4EO-2926-SM-4E3JH 60-69 years, female 616.8
GTEX-11EQ8-0926-SM-5H12V 60-69 years, male 614.2
GTEX-1PBJJ-1026-SM-E76OS 30-39 years, male 612.0
GTEX-ZDYS-2426-SM-4WKGI 50-59 years, male 611.6
GTEX-17HHY-0426-SM-7DHLC 50-59 years, male 610.8
GTEX-13FTW-0326-SM-5K7UW 40-49 years, male 610.7
GTEX-1C64N-2626-SM-7PC2N 50-59 years, male 610.4
GTEX-ZVE2-2826-SM-5GU51 50-59 years, male 610.1
GTEX-1H1DG-2426-SM-9QEHJ 70-79 years, male 609.5
GTEX-13IVO-0726-SM-5LZYV 70-79 years, male 606.9
GTEX-13QBU-1226-SM-5LU4G 40-49 years, female 606.5
GTEX-WK11-2726-SM-3NMAQ 50-59 years, male 605.7
GTEX-ZXG5-2126-SM-59HKD 60-69 years, male 602.7
GTEX-133LE-2326-SM-5K7W3 20-29 years, female 601.5
GTEX-1ICLZ-0326-SM-ARL82 60-69 years, male 599.9
GTEX-1I4MK-0126-SM-CY8G6 50-59 years, female 598.3
GTEX-ZYT6-2326-SM-5GZY3 30-39 years, male 597.1
GTEX-15CHC-1126-SM-6LLHQ 60-69 years, female 596.3
GTEX-12WSC-2826-SM-5BC5Y 50-59 years, male 594.2
GTEX-1KD5A-0126-SM-E9U54 50-59 years, male 594.2
GTEX-111VG-1626-SM-5EGIO 60-69 years, male 592.0
GTEX-17MF6-2626-SM-79OKQ 40-49 years, male 591.8
GTEX-17HGU-2326-SM-7DUFE 50-59 years, male 589.3
GTEX-1QCLY-0226-SM-EWRNH 30-39 years, male 589.1
GTEX-11DXX-2126-SM-5PNYR 60-69 years, female 588.1
GTEX-12WSA-0426-SM-5EQ5X 60-69 years, male 587.3
GTEX-XBED-1926-SM-47JYP 60-69 years, male 586.4
GTEX-1PDJ9-1226-SM-EXUSX 20-29 years, male 585.5
GTEX-13RTJ-0126-SM-5S2NN 60-69 years, male 577.6
GTEX-XMD2-2126-SM-4YCF8 60-69 years, female 577.3
GTEX-1CB4H-1126-SM-7MKGL 60-69 years, female 577.1
GTEX-16XZZ-0726-SM-7KUF2 60-69 years, male 575.3
GTEX-14DAQ-0626-SM-793DS 60-69 years, female 574.2
GTEX-ZPCL-1126-SM-4WWFE 60-69 years, female 573.7
GTEX-16MT9-0126-SM-7EPI8 60-69 years, female 571.6
GTEX-13O61-1426-SM-5KM3D 60-69 years, male 570.7
GTEX-1JJ6O-2726-SM-CNPOG 60-69 years, male 570.5
GTEX-14BMV-2826-SM-5TDED 50-59 years, male 570.3
GTEX-1JMQI-1726-SM-ARL93 50-59 years, male 569.2
GTEX-1I1GS-2626-SM-B2LY3 60-69 years, male 568.7
GTEX-1B8KZ-0326-SM-73KY4 50-59 years, male 568.6
GTEX-148VJ-0626-SM-5LUAW 70-79 years, male 567.4
GTEX-15DDE-2926-SM-6LLJ3 50-59 years, female 567.1
GTEX-1C64O-1326-SM-7MGWR 60-69 years, male 566.9
GTEX-ZTSS-1426-SM-5985P 40-49 years, male 566.4
GTEX-111CU-1126-SM-5EGIM 50-59 years, male 566.3
GTEX-12KS4-2126-SM-5FQUT 30-39 years, male 564.9
GTEX-1GPI7-1826-SM-9KNU1 20-29 years, male 564.8
GTEX-17MFQ-1526-SM-7KFRR 20-29 years, male 564.5
GTEX-WY7C-2126-SM-3NB2R 50-59 years, male 563.5
GTEX-1H4P4-2126-SM-9WYSL 50-59 years, male 562.1
GTEX-1F5PL-0926-SM-7PC2W 40-49 years, female 561.3
GTEX-1J1R8-2026-SM-CL53Y 40-49 years, male 559.4
GTEX-1GMR3-0126-SM-A9SLW 40-49 years, male 558.6
GTEX-17EVP-2626-SM-7IGMA 40-49 years, male 554.6
GTEX-13U4I-2226-SM-5LU5H 40-49 years, female 550.6
GTEX-11ZU8-0126-SM-5EQ58 60-69 years, male 549.9
GTEX-1KAFJ-0126-SM-DIPEK 50-59 years, male 547.9
GTEX-145MF-0926-SM-5Q5EA 50-59 years, male 547.6
GTEX-11DXZ-2026-SM-5987S 50-59 years, male 546.9
GTEX-13W3W-0726-SM-5IJDQ 60-69 years, female 546.5
GTEX-1J8Q3-0526-SM-ARL8U 60-69 years, male 545.9
GTEX-11P7K-1126-SM-5HL4L 30-39 years, male 545.4
GTEX-1CB4F-1026-SM-7DUH1 60-69 years, male 544.8
GTEX-1JMQJ-0826-SM-CNPP7 50-59 years, male 543.9
GTEX-1313W-0626-SM-5EQ4H 50-59 years, female 543.6
GTEX-1J8QM-2426-SM-A9SLS 60-69 years, female 542.7
GTEX-1GL5R-1326-SM-7RHHF 50-59 years, male 541.6
GTEX-1HCU8-2526-SM-CE6RX 60-69 years, female 540.8
GTEX-1N2DV-1526-SM-DTXEP 40-49 years, male 537.9
GTEX-12ZZX-2426-SM-5GCOE 40-49 years, female 536.6
GTEX-1B933-2426-SM-7DHMD 50-59 years, female 536.6
GTEX-14AS3-1526-SM-5Q5ED 40-49 years, female 533.4
GTEX-1H11D-1826-SM-9QEHM 40-49 years, male 531.7
GTEX-1R9K4-2826-SM-DTX8F 60-69 years, male 530.2
GTEX-13NYC-0126-SM-5L3F4 60-69 years, male 528.4
GTEX-1QW4Y-1126-SM-DTXE3 30-39 years, male 527.9
GTEX-1HB9E-0126-SM-CM2S5 50-59 years, male 526.8
GTEX-XUW1-0926-SM-4BONX 50-59 years, female 526.0
GTEX-1LG7Y-2526-SM-EWRO7 50-59 years, male 526.0
GTEX-1RAZS-2526-SM-E6CHT 50-59 years, male 525.1
GTEX-13NYS-0626-SM-5L3F1 60-69 years, male 522.9
GTEX-16AAH-0626-SM-793C9 50-59 years, male 520.9
GTEX-16NPX-0726-SM-7KULC 50-59 years, male 519.5
GTEX-13VXT-1926-SM-5K7UO 20-29 years, female 518.4
GTEX-11P82-1426-SM-DTXFY 20-29 years, male 518.4
GTEX-178AV-1726-SM-7KUL8 40-49 years, male 516.8
GTEX-1PPGY-1626-SM-EVYBL 60-69 years, male 516.3
GTEX-13PVR-0426-SM-5RQK2 60-69 years, female 515.4
GTEX-1F75B-0726-SM-7PC3R 50-59 years, male 512.4
GTEX-1EH9U-2826-SM-7DUGT 60-69 years, male 510.6
GTEX-1GN73-0726-SM-7P8TJ 60-69 years, male 510.1
GTEX-15CHR-1126-SM-7EWF4 50-59 years, male 509.7
GTEX-11ZUS-2626-SM-5FQUR 30-39 years, male 509.4
GTEX-144GM-0526-SM-79OJO 20-29 years, male 509.4
GTEX-1IOXB-2726-SM-CM2RI 50-59 years, male 508.9
GTEX-131XG-0326-SM-5L3DX 50-59 years, female 506.0
GTEX-Y8E4-2026-SM-5IFJB 40-49 years, male 505.3
GTEX-14BIN-1126-SM-5RQJZ 50-59 years, female 504.5
GTEX-1A8G6-2726-SM-731AR 60-69 years, male 504.3
GTEX-1A3MV-1826-SM-731CD 30-39 years, male 502.7
GTEX-13FTY-2126-SM-5IFFB 40-49 years, female 502.3
GTEX-12ZZY-0726-SM-5EQ66 60-69 years, male 501.8
GTEX-13OW8-1026-SM-5J1NQ 60-69 years, male 498.9
GTEX-14C39-1726-SM-5RQIL 40-49 years, male 498.6
GTEX-15ER7-0626-SM-6PANF 20-29 years, female 497.0
GTEX-14ICL-1626-SM-5YYAO 30-39 years, male 496.2
GTEX-14C38-0726-SM-5SI6M 50-59 years, male 495.8
GTEX-VUSG-2326-SM-4KL1U 50-59 years, male 495.5
GTEX-UPJH-0226-SM-3GADV 50-59 years, male 495.1
GTEX-13OW6-2726-SM-5J2OE 50-59 years, male 494.9
GTEX-13FLV-0126-SM-5K7WT 50-59 years, male 494.8
GTEX-11GS4-0226-SM-5HL77 60-69 years, male 493.6
GTEX-1GZ4H-0526-SM-9KNU9 50-59 years, female 493.6
GTEX-ZTTD-2826-SM-4YCFA 50-59 years, male 492.8
GTEX-13X6J-0626-SM-5LU5F 50-59 years, male 492.6
GTEX-17F98-1326-SM-7DUEP 40-49 years, female 491.0
GTEX-12696-0126-SM-5EQ4L 60-69 years, male 490.7
GTEX-15G1A-1626-SM-7KUKN 30-39 years, male 490.4
GTEX-1GF9V-0826-SM-9KNUV 60-69 years, male 490.3
GTEX-ZT9X-1526-SM-5DUXD 40-49 years, male 488.1
GTEX-14PJ6-2626-SM-6EU2T 60-69 years, female 484.5
GTEX-1F88E-1626-SM-7SB8Z 60-69 years, female 481.8
GTEX-13O3Q-0126-SM-5KM34 50-59 years, male 479.8
GTEX-1IDFM-0326-SM-ARL7V 60-69 years, male 478.7
GTEX-15EO6-2426-SM-6PALZ 50-59 years, male 478.6
GTEX-1J8EW-2726-SM-CY8HR 60-69 years, female 477.5
GTEX-YECK-0326-SM-4W1YS 60-69 years, male 473.2
GTEX-1477Z-0326-SM-7IGLA 60-69 years, male 472.6
GTEX-1PPH7-1126-SM-DTX9A 40-49 years, male 472.4
GTEX-VJYA-1526-SM-3GIJV 60-69 years, male 471.0
GTEX-1H2FU-0926-SM-9WPPT 60-69 years, female 470.2
GTEX-147JS-0226-SM-5S2U9 60-69 years, male 469.6
GTEX-1LB8K-0726-SM-D5OV2 50-59 years, male 469.2
GTEX-18QFQ-1826-SM-72D52 30-39 years, male 468.0
GTEX-1KANB-2826-SM-CY8I6 50-59 years, male 465.3
GTEX-1LSNL-2726-SM-E9TKJ 50-59 years, male 465.3
GTEX-Y111-0626-SM-4SOIT 50-59 years, male 464.1
GTEX-1GN1U-0626-SM-9MQL9 50-59 years, female 463.2
GTEX-WFG7-2026-SM-5SI7P 20-29 years, male 462.0
GTEX-13PDP-0726-SM-5L3HP 60-69 years, male 461.7
GTEX-1IDJU-1726-SM-CMKHU 60-69 years, female 460.1
GTEX-14753-0726-SM-5QGQO 60-69 years, male 460.0
GTEX-14LLW-2626-SM-62LDZ 70-79 years, female 459.2
GTEX-1HCVE-2726-SM-CL54F 50-59 years, male 459.1
GTEX-ZVT2-0126-SM-5GIDQ 50-59 years, female 456.4
GTEX-12C56-1526-SM-5FQUQ 20-29 years, male 455.1
GTEX-1H1E6-0426-SM-9WYUS 30-39 years, male 454.7
GTEX-13JVG-0726-SM-5KM16 60-69 years, male 453.6
GTEX-1RMOY-1326-SM-E9TIH 50-59 years, male 453.0
GTEX-11LCK-2226-SM-5HL4Q 30-39 years, male 452.7
GTEX-1B8KE-1126-SM-7EPHI 50-59 years, male 452.6
GTEX-XAJ8-1426-SM-47JYM 40-49 years, male 452.0
GTEX-1JJE9-2626-SM-ARZMT 70-79 years, male 451.4
GTEX-1HT8W-0626-SM-A9G2H 30-39 years, male 451.0
GTEX-17KNJ-2126-SM-718AM 50-59 years, male 450.3
GTEX-1OJC4-2726-SM-E76PJ 50-59 years, female 449.8
GTEX-1S5ZU-2526-SM-E6CIF 20-29 years, female 449.8
GTEX-1HSGN-0826-SM-ACKW3 40-49 years, female 449.7
GTEX-13FTX-1526-SM-5K7VJ 20-29 years, female 447.5
GTEX-ZDTT-0426-SM-4WKFL 60-69 years, male 447.5
GTEX-1AX9I-2226-SM-73KUO 60-69 years, male 447.0
GTEX-144GL-0626-SM-5LU4D 50-59 years, male 446.5
GTEX-1IKJJ-2226-SM-CJI4C 60-69 years, male 446.5
GTEX-13VXU-0626-SM-5L3F9 50-59 years, male 446.2
GTEX-1HBPI-2126-SM-ARL9K 50-59 years, male 446.2
GTEX-17HHE-1326-SM-7EWDZ 50-59 years, male 445.5
GTEX-1CAMS-2226-SM-7PBXQ 40-49 years, female 443.0
GTEX-1H1DE-1326-SM-9KNUG 20-29 years, male 442.8
GTEX-1212Z-0126-SM-59HK4 60-69 years, male 441.3
GTEX-1K9T9-1526-SM-DIPFR 50-59 years, female 439.8
GTEX-145LU-1926-SM-79OJN 50-59 years, male 436.4
GTEX-1R7EU-1626-SM-DTXG3 60-69 years, male 435.8
GTEX-1I1HK-2326-SM-CKZOH 60-69 years, male 435.6
GTEX-ZTX8-1326-SM-4YCEL 20-29 years, male 434.4
GTEX-1GN2E-0226-SM-9WG6K 60-69 years, male 432.0
GTEX-13OVH-0526-SM-5L3E6 70-79 years, male 430.7
GTEX-1S83E-1326-SM-E6CJM 40-49 years, male 430.7
GTEX-1J8Q2-2626-SM-ACKWQ 60-69 years, male 429.5
GTEX-ZF29-0926-SM-4WKFZ 60-69 years, female 427.9
GTEX-13X6K-0626-SM-5LU5D 60-69 years, female 424.2
GTEX-1I1GV-0626-SM-ARL7M 60-69 years, male 420.9
GTEX-1F6RS-2026-SM-7RHHC 60-69 years, female 419.9
GTEX-16NGA-0726-SM-731AO 40-49 years, female 418.8
GTEX-13OW7-0426-SM-5K7VK 50-59 years, male 417.4
GTEX-V1D1-2026-SM-3GAF4 50-59 years, male 416.2
GTEX-1CB4E-0926-SM-7EPHT 60-69 years, male 415.7
GTEX-1JN76-0626-SM-CKZOQ 20-29 years, female 412.5
GTEX-111YS-1526-SM-5GZYW 60-69 years, male 411.8
GTEX-1GF9X-1326-SM-7PC2Y 40-49 years, female 411.0
GTEX-13PL6-1126-SM-5L3IE 40-49 years, female 410.8
GTEX-1EU9M-1426-SM-793AI 60-69 years, male 410.5
GTEX-1B8SF-0126-SM-7DUG3 60-69 years, male 410.1
GTEX-13G51-1826-SM-5KLZH 60-69 years, male 408.7
GTEX-1C6VQ-1226-SM-73KYD 50-59 years, male 406.1
GTEX-13D11-0926-SM-5J2NC 50-59 years, female 405.4
GTEX-1GZ4I-2626-SM-9KNU3 50-59 years, male 404.4
GTEX-1QP28-1126-SM-EVYC4 50-59 years, female 404.2
GTEX-1GN1W-2426-SM-9KNUU 50-59 years, female 403.2
GTEX-1JJEA-1826-SM-ARU8P 60-69 years, male 402.3
GTEX-ZVT4-2426-SM-5GIEI 50-59 years, female 400.9
GTEX-1KXAM-1626-SM-D3LAD 60-69 years, male 400.8
GTEX-1HSKV-1226-SM-ADEI4 60-69 years, male 400.2
GTEX-1GMR8-0626-SM-7RHI7 50-59 years, female 399.3
GTEX-1B932-2326-SM-79OL5 40-49 years, female 395.2
GTEX-1F5PK-2226-SM-7SB6N 50-59 years, male 394.4
GTEX-1QPFJ-1926-SM-EVYBD 30-39 years, female 393.7
GTEX-ZE9C-2526-SM-5IJDR 60-69 years, male 392.7
GTEX-1F88F-0126-SM-9WYSZ 60-69 years, female 392.7
GTEX-1J1OQ-0126-SM-D4P2N 40-49 years, female 391.8
GTEX-139UW-0326-SM-5J1ML 60-69 years, male 390.0
GTEX-1HGF4-0126-SM-CNPPX 60-69 years, male 389.9
GTEX-1IDJV-0126-SM-COH3Y 60-69 years, male 388.9
GTEX-1JKYR-0626-SM-ARL8R 20-29 years, male 381.9
GTEX-1C2JI-1026-SM-73KY1 50-59 years, male 381.5
GTEX-1HBPM-0726-SM-9YFL7 60-69 years, female 381.2
GTEX-14XAO-1226-SM-6EU1C 60-69 years, female 378.3
GTEX-WHWD-1826-SM-3LK6I 50-59 years, male 375.5
GTEX-145MH-2826-SM-5RQJF 50-59 years, male 375.4
GTEX-14PJN-1826-SM-6AJ98 30-39 years, male 371.9
GTEX-14A6H-2026-SM-5Q5DD 30-39 years, male 370.7
GTEX-15SKB-2826-SM-6PAMH 60-69 years, male 370.2
GTEX-11PRG-0726-SM-5EGL1 50-59 years, male 369.1
GTEX-1JK1U-0226-SM-ARZMX 60-69 years, male 367.7
GTEX-1AMFI-1326-SM-7939R 50-59 years, female 366.3
GTEX-12WSM-1926-SM-5BC65 60-69 years, male 364.9
GTEX-1ICLY-0826-SM-CMKG1 50-59 years, male 361.3
GTEX-14C5O-0326-SM-5ZZUX 60-69 years, male 360.0
GTEX-1IE54-1126-SM-A9G2Z 40-49 years, female 359.2
GTEX-17F9Y-0126-SM-79OKX 70-79 years, female 357.8
GTEX-1HSMQ-2626-SM-A9SML 50-59 years, male 354.1
GTEX-147GR-2426-SM-5ZZWQ 60-69 years, male 350.3
GTEX-14PII-0726-SM-6EU2B 60-69 years, male 344.4
GTEX-1122O-1026-SM-9WYSF 60-69 years, female 341.7
GTEX-145MI-0626-SM-5SI8S 60-69 years, female 339.2
GTEX-1269C-0126-SM-5EQ5L 60-69 years, female 337.1
GTEX-14PKU-0126-SM-6LLHV 40-49 years, female 332.0
GTEX-1A8G7-1326-SM-73KVM 60-69 years, male 331.7
GTEX-1LGRB-0926-SM-COH3K 50-59 years, female 329.8
GTEX-13SLW-0626-SM-5Q5ER 70-79 years, male 329.7
GTEX-1A3MX-2626-SM-7PC24 60-69 years, male 325.9
GTEX-1LVAM-0726-SM-E6CIL 50-59 years, female 322.6
GTEX-14B4R-1326-SM-5Q5EZ 30-39 years, male 322.1
GTEX-1B8L1-2226-SM-7P8PT 60-69 years, male 321.7
GTEX-1CB4J-1326-SM-7P8RX 60-69 years, male 313.8
GTEX-1R46S-2426-SM-E76QA 60-69 years, female 308.9
GTEX-14PJ5-1526-SM-6LLIL 60-69 years, female 307.0
GTEX-ZVZP-1226-SM-5GID7 50-59 years, male 306.4
GTEX-1HBPN-0126-SM-CGQEF 50-59 years, male 305.3
GTEX-1C6VR-0126-SM-7RHGB 60-69 years, male 295.5
GTEX-1399S-0126-SM-5IJCF 30-39 years, female 292.8
GTEX-1GPI6-1926-SM-9KNV7 60-69 years, male 290.3
GTEX-1JMPY-0226-SM-CKZOK 30-39 years, male 286.0
GTEX-1I1GU-0926-SM-ACKVS 40-49 years, male 285.9
GTEX-18A67-1626-SM-7LT9T 50-59 years, male 285.2
GTEX-11TUW-0626-SM-5LU9M 60-69 years, male 277.3
GTEX-13NZ8-1226-SM-5KM4A 60-69 years, female 277.3
GTEX-1MCYP-0526-SM-E9U6Q 20-29 years, female 277.1
GTEX-1GN1V-2826-SM-9JGIA 60-69 years, male 272.9
GTEX-1I1GT-1026-SM-ARZLV 60-69 years, female 271.5
GTEX-1HCU7-0726-SM-A9SL1 50-59 years, male 265.2
GTEX-Y9LG-1126-SM-4VBQ7 30-39 years, male 264.9
GTEX-1399Q-2326-SM-5KM2X 40-49 years, male 258.9
GTEX-ZYY3-2926-SM-5GIEB 60-69 years, female 258.0
GTEX-1399U-1126-SM-5L3DB 50-59 years, female 242.0
GTEX-WHSB-1326-SM-3LK6W 50-59 years, male 233.6
GTEX-1AMEY-0826-SM-72D65 30-39 years, female 228.8
GTEX-13QJC-0126-SM-5ZZWJ 60-69 years, female 221.8
GTEX-14PJ4-0226-SM-5YY92 60-69 years, male 211.8
GTEX-1NV5F-0626-SM-DTXEG 60-69 years, female 194.3
GTEX-1HR9M-2226-SM-CNPPY 60-69 years, male 189.1
GTEX-1QP2A-1726-SM-E76QC 50-59 years, male 179.2
Show allShow less
Skin - Sun Exposed (Lower leg)
Average nTPM: 830.8
Samples: 701

Max nTPM: 2635.9
Min nTPM: 134.6
Std nTPM: 371.8
Median nTPM: 771.9
GTEX-W5X1-3026-SM-EAZAX 40-49 years, female 2635.9
GTEX-1HBPH-0426-SM-B2LW5 40-49 years, female 2635.6
GTEX-11TTK-0126-SM-5987B 60-69 years, female 2470.3
GTEX-11EMC-2926-SM-5EQ4F 60-69 years, female 2338.1
GTEX-ZAB4-0226-SM-5N9F5 40-49 years, male 2266.6
GTEX-15SB6-1726-SM-6PAME 50-59 years, female 2197.1
GTEX-Y3IK-2426-SM-4WWDU 50-59 years, female 2061.7
GTEX-1OJC4-0126-SM-E9J2E 50-59 years, female 2030.5
GTEX-1RLM8-2326-SM-EWRN4 50-59 years, male 1911.7
GTEX-14E6C-0126-SM-5RQIP 40-49 years, male 1904.7
GTEX-X4EP-0126-SM-3P5YV 60-69 years, female 1860.6
GTEX-1C6VQ-0126-SM-7P8RI 50-59 years, male 1829.7
GTEX-WI4N-1026-SM-3LK7N 40-49 years, female 1813.8
GTEX-14JIY-0126-SM-6LLH6 60-69 years, male 1812.5
GTEX-R45C-0126-SM-EAZ2R 60-69 years, female 1810.6
GTEX-P4PQ-0126-SM-2S1NM 60-69 years, male 1806.0
GTEX-1HSMO-0126-SM-CL547 60-69 years, male 1805.8
GTEX-1PWST-0226-SM-E76QJ 70-79 years, male 1790.3
GTEX-QDT8-0126-SM-48TZ1 30-39 years, female 1767.3
GTEX-146FQ-0126-SM-5NQA9 30-39 years, male 1714.2
GTEX-1RAZQ-0726-SM-EAZ43 30-39 years, male 1698.8
GTEX-1497J-2426-SM-7IGNX 60-69 years, male 1696.1
GTEX-POMQ-2226-SM-2I5FK 20-29 years, female 1683.3
GTEX-ZYW4-0126-SM-5E44A 60-69 years, male 1663.4
GTEX-Q734-1926-SM-2I5EV 40-49 years, female 1654.6
GTEX-17EVQ-0226-SM-7LG4P 70-79 years, male 1633.7
GTEX-1A32A-0126-SM-718B1 50-59 years, female 1629.1
GTEX-1QP67-1626-SM-EAZ3X 40-49 years, female 1625.4
GTEX-14PK6-1926-SM-6ETZU 70-79 years, female 1603.6
GTEX-117YW-2626-SM-5GZZH 50-59 years, male 1574.1
GTEX-ZDXO-3026-SM-5J1N5 60-69 years, male 1573.0
GTEX-O5YW-0126-SM-3LK6D 50-59 years, male 1572.5
GTEX-11GSP-2526-SM-5N9BP 60-69 years, female 1568.4
GTEX-1H1ZS-0426-SM-9WG6G 70-79 years, male 1562.5
GTEX-Y3I4-2126-SM-4TT7C 50-59 years, male 1548.6
GTEX-17HII-0226-SM-7LG4E 50-59 years, male 1545.4
GTEX-11H98-0126-SM-5EGHG 50-59 years, male 1536.6
GTEX-RTLS-0126-SM-447CA 60-69 years, female 1529.2
GTEX-S33H-1026-SM-EZ6L6 30-39 years, male 1528.5
GTEX-ZVT3-0126-SM-5GU6I 60-69 years, female 1528.1
GTEX-X5EB-2226-SM-46MW4 40-49 years, male 1509.1
GTEX-13OW7-0126-SM-5MR3B 50-59 years, male 1496.9
GTEX-14BIL-0126-SM-5SI92 50-59 years, male 1443.1
GTEX-XV7Q-2526-SM-4BRV9 40-49 years, female 1441.2
GTEX-1192X-0226-SM-5H12D 50-59 years, male 1438.4
GTEX-15UF6-0826-SM-6PALJ 70-79 years, female 1430.6
GTEX-145LT-1726-SM-5QGP3 40-49 years, male 1430.3
GTEX-16MT8-0426-SM-7KUEY 60-69 years, female 1429.8
GTEX-1H3NZ-0126-SM-ACKX7 60-69 years, male 1402.5
GTEX-1LC47-0326-SM-E9TJP 60-69 years, male 1396.4
GTEX-TMZS-0126-SM-3DB9Q 60-69 years, male 1394.0
GTEX-17HHY-0126-SM-7LG5D 50-59 years, male 1382.6
GTEX-OXRP-0126-SM-3NB32 60-69 years, female 1377.6
GTEX-144GN-2326-SM-5LU4F 50-59 years, male 1369.3
GTEX-17F97-0326-SM-7LG5B 50-59 years, male 1356.7
GTEX-15EOM-0126-SM-7KUGG 20-29 years, female 1355.7
GTEX-145MO-0326-SM-5Q5B3 60-69 years, male 1354.4
GTEX-18A7A-0226-SM-718BH 50-59 years, female 1354.0
GTEX-1LNCM-1126-SM-E9U5E 50-59 years, female 1351.5
GTEX-ZTPG-0326-SM-5O9AX 20-29 years, female 1344.3
GTEX-1399U-2326-SM-5K7WY 50-59 years, female 1337.7
GTEX-SN8G-0126-SM-32PLI 50-59 years, female 1336.4
GTEX-11UD1-0126-SM-5PNYG 40-49 years, female 1327.2
GTEX-ZAJG-0126-SM-5HL94 50-59 years, female 1325.7
GTEX-12WSD-0126-SM-59HKN 60-69 years, female 1319.6
GTEX-1J8EW-0126-SM-CJI4F 60-69 years, female 1313.8
GTEX-13OVG-1926-SM-5L3DK 60-69 years, male 1313.3
GTEX-RVPV-0126-SM-EAZAW 60-69 years, male 1303.8
GTEX-ZUA1-0126-SM-5GU76 40-49 years, male 1301.2
GTEX-1MGNQ-0126-SM-EVYCJ 40-49 years, male 1293.0
GTEX-17MF6-0126-SM-7LG4F 40-49 years, male 1284.7
GTEX-PLZ4-0126-SM-5SI8O 50-59 years, female 1273.6
GTEX-1ICG6-2526-SM-CGQFZ 70-79 years, female 1262.6
GTEX-1HUB1-0426-SM-E9U4U 60-69 years, male 1261.6
GTEX-QVJO-1626-SM-2S1QW 60-69 years, female 1260.1
GTEX-139T4-0226-SM-5HL5S 50-59 years, female 1258.2
GTEX-T2IS-0126-SM-4DM6O 20-29 years, female 1258.0
GTEX-146FR-1326-SM-E9J48 60-69 years, female 1257.8
GTEX-13FHO-0226-SM-5IFGY 60-69 years, male 1255.9
GTEX-1F75A-0126-SM-7RHGM 50-59 years, male 1252.1
GTEX-1AYCT-2426-SM-7IGQ3 50-59 years, male 1249.0
GTEX-1C6WA-0126-SM-7PC2B 60-69 years, male 1246.4
GTEX-13O3O-0126-SM-E9J49 60-69 years, female 1245.4
GTEX-1HSMP-0126-SM-E6CJS 70-79 years, male 1240.8
GTEX-139T8-0126-SM-5K7XZ 60-69 years, male 1239.1
GTEX-1N2EF-0226-SM-EYYXB 60-69 years, male 1234.5
GTEX-1HCU6-0126-SM-CL54K 60-69 years, female 1234.1
GTEX-X62O-0126-SM-4E3JN 50-59 years, male 1225.5
GTEX-1M4P7-0226-SM-DIPEV 60-69 years, male 1225.5
GTEX-1AYD5-2426-SM-73KXR 50-59 years, male 1222.3
GTEX-1QW4Y-1526-SM-EAZ3Z 30-39 years, male 1215.8
GTEX-1GTWX-0126-SM-9YFLK 60-69 years, male 1195.8
GTEX-14753-0426-SM-5NQAM 60-69 years, male 1192.4
GTEX-1QEPI-0126-SM-EWRMQ 60-69 years, female 1188.2
GTEX-OXRK-0226-SM-3NB2G 50-59 years, female 1186.8
GTEX-1IDFM-0126-SM-COH2V 60-69 years, male 1181.8
GTEX-1B933-0126-SM-7PC29 50-59 years, female 1170.2
GTEX-1CB4G-0226-SM-7PC3O 60-69 years, male 1165.7
GTEX-X4XX-0126-SM-3NMC2 60-69 years, male 1165.3
GTEX-1JN1M-0326-SM-CYPT3 60-69 years, female 1164.9
GTEX-11DXX-2426-SM-5GZZW 60-69 years, female 1162.3
GTEX-SSA3-0126-SM-32QPU 60-69 years, male 1161.5
GTEX-13VXU-0126-SM-5SI9F 50-59 years, male 1161.1
GTEX-1HBPM-0226-SM-ARL9F 60-69 years, female 1160.8
GTEX-1QP29-0626-SM-EWRMX 50-59 years, male 1157.7
GTEX-1F48J-0126-SM-7P8TT 50-59 years, female 1156.5
GTEX-11ZUS-0626-SM-59885 30-39 years, male 1151.5
GTEX-U8T8-0126-SM-3DB94 60-69 years, male 1150.0
GTEX-15DYW-0126-SM-7KULE 60-69 years, female 1149.3
GTEX-PWCY-1826-SM-DHXIZ 20-29 years, female 1148.1
GTEX-X4EO-0326-SM-3P5YO 60-69 years, female 1147.8
GTEX-1R9PO-2126-SM-E9J4O 60-69 years, female 1146.1
GTEX-WH7G-2326-SM-3NMBC 40-49 years, male 1145.0
GTEX-111VG-2426-SM-5GZXD 60-69 years, male 1144.7
GTEX-13O21-1426-SM-5K7XI 50-59 years, male 1143.5
GTEX-1MCQQ-0826-SM-DLHC2 60-69 years, male 1142.6
GTEX-1192W-2626-SM-5Q5AF 60-69 years, male 1136.1
GTEX-YFC4-0126-SM-5CVLY 40-49 years, female 1135.6
GTEX-1PBJI-0526-SM-E8VNK 20-29 years, female 1135.4
GTEX-1GN73-0226-SM-9WG67 60-69 years, male 1133.9
GTEX-14LLW-0126-SM-6LLIO 70-79 years, female 1133.1
GTEX-1HKZK-0326-SM-9WYUH 40-49 years, male 1127.9
GTEX-11ZVC-2526-SM-5FQTE 50-59 years, female 1127.6
GTEX-1PPH7-2326-SM-EVYB8 40-49 years, male 1127.4
GTEX-X88G-0126-SM-47JZ3 30-39 years, male 1126.6
GTEX-RUSQ-1526-SM-2TF62 50-59 years, male 1125.4
GTEX-117YX-2326-SM-5H12W 50-59 years, male 1123.1
GTEX-P4PP-0126-SM-3LK69 30-39 years, female 1117.8
GTEX-132NY-0326-SM-5IJBL 60-69 years, male 1113.4
GTEX-18D9B-0526-SM-7LTAS 60-69 years, male 1112.8
GTEX-X585-0226-SM-4QAS2 50-59 years, male 1110.5
GTEX-14PN4-0126-SM-6EU2V 50-59 years, male 1105.4
GTEX-ZYY3-0126-SM-5GZY5 60-69 years, female 1102.1
GTEX-145MN-2226-SM-5SIAU 30-39 years, male 1101.4
GTEX-12WSG-2826-SM-E9J4H 50-59 years, female 1100.2
GTEX-11GSO-2426-SM-5A5LY 60-69 years, male 1098.9
GTEX-XMD2-0126-SM-4YCDU 60-69 years, female 1098.0
GTEX-TML8-1926-SM-32QOS 40-49 years, female 1096.6
GTEX-15SDE-2226-SM-7IGLO 50-59 years, female 1095.0
GTEX-11GS4-2726-SM-5A5LE 60-69 years, male 1094.6
GTEX-ZE7O-0126-SM-57WC1 50-59 years, female 1094.4
GTEX-ZEX8-2426-SM-4WKG4 50-59 years, male 1093.6
GTEX-X8HC-0126-SM-4E3JW 50-59 years, female 1081.8
GTEX-1JMOU-1526-SM-CL54I 60-69 years, female 1081.0
GTEX-147F4-0226-SM-5QGPW 50-59 years, male 1080.4
GTEX-13OVI-1426-SM-5L3EY 60-69 years, female 1075.0
GTEX-1313W-0126-SM-5LZUN 50-59 years, female 1074.5
GTEX-QLQW-1126-SM-2S1Q8 30-39 years, male 1073.0
GTEX-13O1R-0126-SM-5L3EH 60-69 years, male 1071.9
GTEX-X638-0126-SM-47JZ8 70-79 years, female 1069.3
GTEX-13RTL-0126-SM-7LG5S 40-49 years, male 1063.5
GTEX-1H3VY-0126-SM-ACKXD 50-59 years, male 1063.3
GTEX-QDVN-2026-SM-3GAEP 50-59 years, male 1062.3
GTEX-R55E-0126-SM-2TC5Y 20-29 years, male 1059.9
GTEX-113IC-0126-SM-5HL6T 60-69 years, male 1059.3
GTEX-OXRL-0126-SM-2YUMP 50-59 years, male 1055.6
GTEX-13G51-2526-SM-5LZYK 60-69 years, male 1055.0
GTEX-15SHW-0326-SM-6PAML 60-69 years, male 1054.3
GTEX-S7PM-0126-SM-4AD6S 60-69 years, male 1051.5
GTEX-1GN1V-0126-SM-9WPOS 60-69 years, male 1049.7
GTEX-13U4I-0126-SM-5LU38 40-49 years, female 1049.5
GTEX-Z93T-0126-SM-5HL5N 50-59 years, male 1047.9
GTEX-1I1HK-0126-SM-COH49 60-69 years, male 1046.1
GTEX-ZF29-2326-SM-DO92K 60-69 years, female 1044.4
GTEX-12KS4-0326-SM-5EQ41 30-39 years, male 1043.9
GTEX-1ICLZ-0126-SM-CKZPO 60-69 years, male 1043.5
GTEX-SIU8-0126-SM-2XCDT 50-59 years, male 1043.3
GTEX-UPJH-0326-SM-3GADU 50-59 years, male 1040.5
GTEX-13CF2-2526-SM-5LZYX 60-69 years, male 1039.5
GTEX-1AX8Z-0126-SM-7DHM6 60-69 years, male 1038.1
GTEX-1R46S-0626-SM-E9J41 60-69 years, female 1037.2
GTEX-ZPIC-1726-SM-DHXIU 40-49 years, female 1035.6
GTEX-RN64-0126-SM-2TC68 50-59 years, male 1029.8
GTEX-1RAZA-0126-SM-E6CI3 20-29 years, male 1023.5
GTEX-12584-0126-SM-5EGKQ 40-49 years, male 1019.0
GTEX-1I1CD-0126-SM-CM2TK 60-69 years, female 1014.7
GTEX-ZF3C-0126-SM-DO92D 50-59 years, female 1014.6
GTEX-1EKGG-0226-SM-9WYTH 60-69 years, male 1013.7
GTEX-13N1W-0126-SM-5K7VT 70-79 years, male 1013.6
GTEX-1LG7Y-0526-SM-DKPQC 50-59 years, male 1012.6
GTEX-1KD5A-0226-SM-D5OV3 50-59 years, male 1011.7
GTEX-11DZ1-0126-SM-5985Q 50-59 years, male 1010.2
GTEX-1IY9M-0126-SM-D3L8S 60-69 years, male 1009.3
GTEX-ZF28-0126-SM-4WKGK 60-69 years, male 1008.0
GTEX-U412-0426-SM-3DB9O 60-69 years, male 1005.9
GTEX-WOFL-0126-SM-3MJG2 60-69 years, male 1005.9
GTEX-11DXW-0226-SM-5H122 40-49 years, male 1005.5
GTEX-13N11-2526-SM-5K7UE 50-59 years, female 1003.2
GTEX-183WM-0126-SM-7LTAB 70-79 years, female 1000.4
GTEX-1F6I4-0126-SM-9MQL2 60-69 years, male 1000.0
GTEX-1MA7X-2226-SM-E6CIY 60-69 years, male 999.1
GTEX-14PJM-0226-SM-62LF1 50-59 years, female 997.6
GTEX-13SLX-0526-SM-5S2ON 50-59 years, female 997.3
GTEX-12WSJ-1826-SM-5GCNY 40-49 years, female 996.4
GTEX-1314G-1526-SM-5EGK2 30-39 years, male 991.9
GTEX-NPJ8-0126-SM-2YUNR 40-49 years, male 987.5
GTEX-OOBJ-0126-SM-E6CJW 60-69 years, male 983.6
GTEX-Q2AI-1326-SM-2S1PL 40-49 years, male 982.4
GTEX-1RQEC-0426-SM-E6CHU 60-69 years, male 981.5
GTEX-13PDP-0126-SM-5L3HD 60-69 years, male 981.3
GTEX-1A8FM-0226-SM-7SB7Q 50-59 years, female 981.3
GTEX-1HCVE-0126-SM-CGQEU 50-59 years, male 980.5
GTEX-14PJ3-1826-SM-62LEX 50-59 years, male 980.2
GTEX-13OVJ-0126-SM-5KM36 50-59 years, female 979.0
GTEX-15D1Q-0126-SM-7KUG6 40-49 years, male 977.8
GTEX-1H3VE-0326-SM-9YFLH 40-49 years, male 977.1
GTEX-1A3MW-0126-SM-73KXX 60-69 years, female 976.6
GTEX-13W46-0226-SM-5SIAG 50-59 years, male 971.0
GTEX-18QFQ-0126-SM-731BE 30-39 years, male 970.3
GTEX-13RTJ-2426-SM-5S2Q2 60-69 years, male 967.1
GTEX-XQ8I-0426-SM-4BOPO 50-59 years, male 966.8
GTEX-18A67-0126-SM-7LG5P 50-59 years, male 966.4
GTEX-15DCD-0126-SM-7KUEK 70-79 years, female 960.8
GTEX-1211K-2026-SM-5EQ4Z 60-69 years, female 958.3
GTEX-131XG-2626-SM-5KM17 50-59 years, female 955.5
GTEX-17F98-0626-SM-79OMX 40-49 years, female 954.4
GTEX-QEG4-0226-SM-2S1PY 30-39 years, male 954.1
GTEX-R55G-2526-SM-2TC6D 40-49 years, female 954.1
GTEX-RNOR-0126-SM-E9J4R 50-59 years, female 953.3
GTEX-113JC-2326-SM-5EQ4E 50-59 years, female 952.1
GTEX-16YQH-0126-SM-7DUFJ 30-39 years, male 951.6
GTEX-WZTO-0126-SM-3NM95 40-49 years, male 951.2
GTEX-WY7C-2326-SM-3NB2U 50-59 years, male 949.3
GTEX-13VXT-0126-SM-5LU4I 20-29 years, female 948.5
GTEX-148VI-1626-SM-5SI6E 60-69 years, female 947.7
GTEX-13QJ3-0326-SM-5S2RA 50-59 years, male 945.2
GTEX-1J1OQ-0226-SM-CYPSH 40-49 years, female 945.0
GTEX-11P82-1626-SM-59879 20-29 years, male 943.3
GTEX-ZC5H-0226-SM-4WAY9 40-49 years, female 941.3
GTEX-Y114-2426-SM-4TT8A 50-59 years, female 940.8
GTEX-U4B1-1826-SM-4DXSU 40-49 years, male 936.4
GTEX-1GF9U-2126-SM-7SB7L 40-49 years, female 935.2
GTEX-1GN1U-0126-SM-7PBZK 50-59 years, female 934.5
GTEX-ZZPT-0226-SM-5E43X 50-59 years, male 934.1
GTEX-SE5C-1626-SM-2XCE3 40-49 years, female 932.5
GTEX-11VI4-1726-SM-5CVLH 40-49 years, female 931.0
GTEX-144FL-0126-SM-5TDC8 50-59 years, male 930.7
GTEX-1RB15-2126-SM-E9TIM 60-69 years, male 929.2
GTEX-1H11D-0226-SM-9WG6Z 40-49 years, male 928.7
GTEX-139TS-2826-SM-5J1OO 60-69 years, male 924.6
GTEX-183FY-0126-SM-7LT9P 20-29 years, male 923.5
GTEX-QV44-1926-SM-2S1RF 50-59 years, male 922.6
GTEX-1KANB-0526-SM-E6CJH 50-59 years, male 919.7
GTEX-14A6H-0126-SM-5QGPK 30-39 years, male 918.5
GTEX-1HR98-0126-SM-B2LWI 60-69 years, male 918.1
GTEX-13IVO-0126-SM-5J1NG 70-79 years, male 917.8
GTEX-X4XY-0226-SM-4E3IZ 60-69 years, male 917.3
GTEX-1F7RK-0126-SM-7PC2S 20-29 years, female 916.2
GTEX-Q2AH-1626-SM-3GAF8 40-49 years, male 915.9
GTEX-1HSEH-0126-SM-ACKXN 60-69 years, male 913.9
GTEX-1LBAC-0126-SM-DIPEZ 20-29 years, male 912.6
GTEX-1POEN-0126-SM-EYYXJ 30-39 years, female 906.8
GTEX-ZQG8-1626-SM-DHXIT 60-69 years, female 904.3
GTEX-18A7B-0126-SM-7LG64 70-79 years, male 899.0
GTEX-ZVT2-2526-SM-51MT1 50-59 years, female 898.8
GTEX-1QP66-1726-SM-E8VO1 50-59 years, male 898.2
GTEX-1H2FU-0126-SM-9WYSI 60-69 years, female 897.7
GTEX-1GZHY-0326-SM-9QEHI 50-59 years, female 895.4
GTEX-XUYS-0126-SM-47JWZ 50-59 years, male 894.9
GTEX-1NHNU-1026-SM-E9J2A 50-59 years, male 893.6
GTEX-131XF-5016-SM-7MGWE 60-69 years, male 891.8
GTEX-XXEK-2226-SM-4BRUM 50-59 years, male 888.2
GTEX-1S82Y-2026-SM-EVYCM 40-49 years, male 888.1
GTEX-1CAV2-2226-SM-7P8P2 40-49 years, female 887.2
GTEX-16XZY-2126-SM-79OK1 70-79 years, male 886.4
GTEX-1GN1W-0526-SM-9MQJQ 50-59 years, female 886.3
GTEX-1F6IF-0726-SM-7P8TW 60-69 years, male 883.3
GTEX-1JMQK-0226-SM-CL543 60-69 years, male 882.2
GTEX-11ZTS-0126-SM-5EQ6M 60-69 years, female 880.4
GTEX-1MUQO-0126-SM-EAZ58 60-69 years, male 879.7
GTEX-1I1GS-0126-SM-B2LVW 60-69 years, male 877.7
GTEX-Y111-0126-SM-4SOIV 50-59 years, male 877.4
GTEX-1JK1U-2026-SM-CM2RZ 60-69 years, male 874.6
GTEX-1HGF4-2426-SM-ACKXM 60-69 years, male 872.8
GTEX-1H1DG-0126-SM-9WYU2 70-79 years, male 872.0
GTEX-14BIM-0226-SM-7IGLD 60-69 years, female 871.0
GTEX-1S3DN-2226-SM-EVYCD 50-59 years, male 869.4
GTEX-U3ZM-1526-SM-3DB9D 40-49 years, male 868.3
GTEX-1HFI6-0226-SM-ADEHZ 40-49 years, male 866.9
GTEX-ZYFC-0226-SM-5NQ75 50-59 years, male 864.3
GTEX-11NUK-0126-SM-5A5L3 50-59 years, male 862.9
GTEX-12126-0326-SM-5PNW3 20-29 years, male 862.9
GTEX-1GN2E-0426-SM-9MQKX 60-69 years, male 860.1
GTEX-11OC5-0126-SM-5HL6A 60-69 years, male 859.7
GTEX-11TT1-2526-SM-5EGIB 20-29 years, male 857.3
GTEX-15CHC-2126-SM-6EU21 60-69 years, female 857.1
GTEX-148VJ-0126-SM-5TDDN 70-79 years, male 854.7
GTEX-146FH-0126-SM-5QGPP 50-59 years, female 852.4
GTEX-1MCYP-1926-SM-E9J2R 20-29 years, female 851.6
GTEX-14DAR-2026-SM-5S2O3 50-59 years, male 851.2
GTEX-131XE-2326-SM-5PNZ2 50-59 years, male 850.3
GTEX-1C64O-0126-SM-7SB8P 60-69 years, male 850.2
GTEX-WQUQ-0426-SM-3MJFU 60-69 years, male 849.1
GTEX-169BO-1326-SM-9MQK2 50-59 years, male 848.9
GTEX-14ICK-0226-SM-6EU25 40-49 years, male 848.5
GTEX-ZDTS-0126-SM-4WAY5 60-69 years, male 847.1
GTEX-1HCUA-2426-SM-ADEIS 50-59 years, female 844.6
GTEX-Q2AG-0126-SM-33HBV 40-49 years, female 844.5
GTEX-XAJ8-0826-SM-47JY6 40-49 years, male 844.0
GTEX-1IKOH-0226-SM-COH4E 60-69 years, female 842.4
GTEX-11ZTT-2426-SM-5EQLS 60-69 years, female 842.1
GTEX-13OVL-0226-SM-5L3E9 50-59 years, male 841.5
GTEX-Y8LW-1826-SM-5S2MV 50-59 years, female 838.5
GTEX-11XUK-2026-SM-5EQLF 40-49 years, female 837.5
GTEX-1269C-2526-SM-5EGJ3 60-69 years, female 837.3
GTEX-1B8L1-2526-SM-9WYTF 60-69 years, male 837.1
GTEX-1N2DW-0226-SM-E9TK2 50-59 years, male 836.6
GTEX-XUW1-0426-SM-4BOOT 50-59 years, female 836.0
GTEX-15SHU-0126-SM-7KUEH 40-49 years, female 834.3
GTEX-1N2DV-0226-SM-E6CJ6 40-49 years, male 834.2
GTEX-1GZ4H-1726-SM-7PBZJ 50-59 years, female 832.9
GTEX-ZYFD-0126-SM-5GIDL 50-59 years, male 832.1
GTEX-XQ3S-1526-SM-4BOOC 20-29 years, male 830.4
GTEX-13NZA-0226-SM-5K7Z7 60-69 years, male 828.7
GTEX-1H23P-0126-SM-ADEJ3 60-69 years, male 828.3
GTEX-1EX96-1626-SM-7PBXR 50-59 years, male 826.0
GTEX-1GF9W-0326-SM-9KNUN 60-69 years, male 822.9
GTEX-ZDTT-2726-SM-4WKF8 60-69 years, male 821.9
GTEX-14E6D-0126-SM-62LDV 50-59 years, male 819.8
GTEX-13FTY-0526-SM-5L3EV 40-49 years, female 815.5
GTEX-1GZ2Q-0226-SM-7P8TL 40-49 years, male 813.8
GTEX-139D8-0226-SM-5KLZO 30-39 years, female 812.5
GTEX-12C56-1726-SM-5EQ61 20-29 years, male 811.3
GTEX-VUSG-2526-SM-4KL1V 50-59 years, male 811.3
GTEX-1J8JJ-0226-SM-CL53I 60-69 years, female 810.7
GTEX-1JKYN-1326-SM-CGQG9 30-39 years, male 807.4
GTEX-PW2O-1526-SM-7RHHB 20-29 years, male 806.9
GTEX-17HHE-2026-SM-79OKF 50-59 years, male 806.4
GTEX-1GF9X-2026-SM-7PC3A 40-49 years, female 805.0
GTEX-RU72-0926-SM-2TF6B 50-59 years, female 804.9
GTEX-13NZ8-0826-SM-5MR3I 60-69 years, female 803.6
GTEX-12ZZX-0126-SM-5EGK9 40-49 years, female 803.5
GTEX-U8XE-0326-SM-3DB8P 30-39 years, male 800.7
GTEX-1EMGI-0126-SM-9KNUE 60-69 years, male 800.5
GTEX-PSDG-0226-SM-DKPOZ 50-59 years, male 799.3
GTEX-OXRO-0126-SM-2YUN4 60-69 years, female 798.3
GTEX-ZVT4-0126-SM-DTXFN 50-59 years, female 794.7
GTEX-11DXY-2626-SM-5GIE7 60-69 years, male 794.4
GTEX-15DDE-0126-SM-6LPKH 50-59 years, female 792.8
GTEX-139TT-0126-SM-5K7Y5 60-69 years, male 791.9
GTEX-11WQC-2526-SM-5CVLE 60-69 years, male 789.1
GTEX-1EWIQ-0126-SM-7RHH2 70-79 years, female 785.8
GTEX-14PHW-0126-SM-6LLJI 60-69 years, female 784.4
GTEX-ZDYS-2026-SM-5HL5L 50-59 years, male 782.4
GTEX-Y5LM-1926-SM-5RQJH 40-49 years, female 781.1
GTEX-14XAO-2326-SM-6EU1B 60-69 years, female 781.0
GTEX-YJ8A-0426-SM-5IFID 20-29 years, male 779.0
GTEX-XYKS-2126-SM-4E3IB 60-69 years, female 775.1
GTEX-1NV5F-0226-SM-E8VNY 60-69 years, female 775.0
GTEX-18A6Q-0126-SM-731BZ 60-69 years, male 774.5
GTEX-1R7EV-2426-SM-EVYBG 40-49 years, male 771.9
GTEX-PWO3-1526-SM-48TCM 60-69 years, female 770.4
GTEX-12WSL-2526-SM-5GCNJ 50-59 years, male 769.9
GTEX-OIZG-0726-SM-33HBL 50-59 years, male 768.4
GTEX-18465-0126-SM-731BN 50-59 years, male 766.9
GTEX-ZAK1-0126-SM-5IJD3 50-59 years, female 762.7
GTEX-1GPI6-0126-SM-9WG69 60-69 years, male 761.6
GTEX-145LV-2126-SM-5LU8N 50-59 years, male 756.3
GTEX-ZVTK-0426-SM-51MRS 20-29 years, male 755.3
GTEX-1CB4H-0226-SM-7PBXM 60-69 years, female 754.3
GTEX-WYVS-2126-SM-3NMA3 40-49 years, female 749.3
GTEX-13FH7-2026-SM-E9J4I 50-59 years, female 748.9
GTEX-1IGQW-0126-SM-COH42 60-69 years, male 748.8
GTEX-17HGU-0226-SM-7DHKV 50-59 years, male 746.5
GTEX-14ABY-0226-SM-5TDCQ 50-59 years, male 746.2
GTEX-1KD4Q-0226-SM-E9TJ9 40-49 years, male 746.2
GTEX-1S5ZA-0126-SM-EVYCV 20-29 years, male 745.8
GTEX-WXYG-2326-SM-4E3I6 50-59 years, female 744.4
GTEX-YEC4-2126-SM-5IFJH 40-49 years, male 743.5
GTEX-OIZF-0126-SM-7SB8I 60-69 years, male 741.7
GTEX-1EU9M-0226-SM-7P8SP 60-69 years, male 739.8
GTEX-11UD2-0226-SM-5EQKY 50-59 years, male 739.4
GTEX-Y8DK-0126-SM-4TT3L 60-69 years, male 738.6
GTEX-13OW6-0426-SM-5L3HM 50-59 years, male 738.1
GTEX-1H3O1-0426-SM-9YFKY 60-69 years, male 736.2
GTEX-1CAMS-0426-SM-7P8T2 40-49 years, female 735.8
GTEX-1H1CY-2826-SM-9MQM3 60-69 years, female 735.1
GTEX-1S82Z-0826-SM-E6CHY 30-39 years, female 735.0
GTEX-QDVJ-1726-SM-2I5FX 50-59 years, male 734.7
GTEX-1AX9K-2326-SM-73KWU 50-59 years, male 733.8
GTEX-13NZB-2526-SM-5J1OM 30-39 years, male 729.6
GTEX-1F75I-0326-SM-9YFLU 40-49 years, male 726.2
GTEX-WVJS-0126-SM-4MVOT 50-59 years, male 725.2
GTEX-11OF3-2626-SM-5GU7F 60-69 years, male 722.9
GTEX-ZE9C-2726-SM-57WB5 60-69 years, male 721.9
GTEX-1IL2V-0126-SM-CM2TX 70-79 years, male 721.9
GTEX-Z93S-0126-SM-5HL7M 50-59 years, male 720.7
GTEX-Z9EW-1626-SM-5CVMN 40-49 years, male 720.5
GTEX-RWSA-0126-SM-2XCBB 40-49 years, male 719.3
GTEX-ZAB5-1826-SM-5HL7C 50-59 years, male 719.2
GTEX-11ZU8-2526-SM-5EQKI 60-69 years, male 718.4
GTEX-1LB8K-0226-SM-EWRNW 50-59 years, male 718.0
GTEX-11DYG-0126-SM-59883 60-69 years, male 715.6
GTEX-1K2DA-1826-SM-CGQGT 50-59 years, male 715.0
GTEX-ZVE2-0226-SM-59HJB 50-59 years, male 712.9
GTEX-1RDX4-0126-SM-E9J4P 50-59 years, female 712.9
GTEX-13D11-2426-SM-5KM1V 50-59 years, female 711.2
GTEX-1J8Q3-1626-SM-CMKGC 60-69 years, male 711.2
GTEX-1H1DE-2126-SM-9WG6R 20-29 years, male 710.6
GTEX-O5YT-0126-SM-48TBW 20-29 years, male 710.2
GTEX-117XS-2726-SM-5N9BL 60-69 years, male 708.4
GTEX-147F3-0526-SM-5SI98 50-59 years, female 708.3
GTEX-11P7K-2126-SM-5GU7G 30-39 years, male 708.1
GTEX-1GMRU-0126-SM-9YFLV 50-59 years, male 708.1
GTEX-1A3MX-0126-SM-731BR 60-69 years, male 706.7
GTEX-1QAET-0926-SM-E76QM 50-59 years, male 702.2
GTEX-1I1GR-0126-SM-CL55F 60-69 years, male 700.0
GTEX-1I6K6-0126-SM-A9SLE 30-39 years, male 699.7
GTEX-18A66-0226-SM-718BD 60-69 years, male 698.7
GTEX-S95S-1226-SM-4GICG 60-69 years, male 698.2
GTEX-1JMQJ-0526-SM-CYPSU 50-59 years, male 697.0
GTEX-ZY6K-1826-SM-5GZXK 50-59 years, male 696.4
GTEX-13FTW-2626-SM-5K7WL 40-49 years, male 696.0
GTEX-1O97I-0326-SM-EYYX7 60-69 years, male 695.6
GTEX-11O72-0126-SM-59887 40-49 years, male 694.8
GTEX-1F88F-2726-SM-7PBZZ 60-69 years, female 694.4
GTEX-11DXZ-2326-SM-5EGGV 50-59 years, male 693.5
GTEX-1IE54-0126-SM-CMKHW 40-49 years, female 693.4
GTEX-1AX9I-0126-SM-7SB74 60-69 years, male 691.4
GTEX-1F52S-0126-SM-9MQJU 60-69 years, female 690.9
GTEX-13X6I-0626-SM-5QGP9 60-69 years, male 688.6
GTEX-1LGOU-2026-SM-DIPFF 20-29 years, female 687.6
GTEX-1PIGE-0126-SM-EVYBJ 20-29 years, male 686.4
GTEX-ZU9S-0226-SM-5E441 30-39 years, male 685.3
GTEX-1K9T9-0126-SM-EVYCF 50-59 years, female 685.2
GTEX-1CB4J-0626-SM-7DHMP 60-69 years, male 684.6
GTEX-12WSN-5019-SM-79OM6 40-49 years, male 684.3
GTEX-13NYS-0126-SM-5MR3W 60-69 years, male 682.8
GTEX-1C6VS-0526-SM-7DUEN 60-69 years, male 681.9
GTEX-RM2N-1426-SM-2TF4H 50-59 years, male 680.8
GTEX-OOBK-0126-SM-2YUND 40-49 years, male 680.0
GTEX-14PHX-2326-SM-62LEM 50-59 years, male 679.2
GTEX-XBED-2226-SM-47JYQ 60-69 years, male 676.6
GTEX-1B8SG-0126-SM-73KZ3 50-59 years, male 674.7
GTEX-ZYFG-2326-SM-5E44B 60-69 years, female 668.2
GTEX-R3RS-0126-SM-3GIJL 40-49 years, female 667.2
GTEX-14JG6-2226-SM-6EU2G 30-39 years, female 666.6
GTEX-13YAN-0326-SM-5O9DF 60-69 years, male 661.8
GTEX-1ICLY-0126-SM-D4P36 50-59 years, male 660.8
GTEX-QESD-1426-SM-2S1R9 20-29 years, male 659.7
GTEX-13X6H-2126-SM-7EWD5 50-59 years, female 659.4
GTEX-OHPM-0126-SM-2YUN9 50-59 years, male 659.3
GTEX-131XW-0426-SM-5LZWP 50-59 years, female 658.7
GTEX-147GR-0526-SM-5S2MY 60-69 years, male 658.1
GTEX-14E7W-0126-SM-6LLJ9 70-79 years, male 658.0
GTEX-13O3Q-2426-SM-5IJBR 50-59 years, male 657.9
GTEX-13X6J-0126-SM-5QGOU 50-59 years, male 657.7
GTEX-1GPI7-0126-SM-9MQL8 20-29 years, male 655.8
GTEX-1QPFJ-0226-SM-E76PB 30-39 years, female 655.6
GTEX-1I1GP-2226-SM-CGQFK 50-59 years, male 655.4
GTEX-W5WG-1826-SM-4KL2Y 50-59 years, female 655.0
GTEX-1JMLX-0226-SM-CM2RO 50-59 years, male 653.4
GTEX-OXRN-0126-SM-48TDM 50-59 years, male 651.9
GTEX-ZQUD-1426-SM-57WER 30-39 years, male 651.8
GTEX-11TUW-2726-SM-E9J4M 60-69 years, male 651.5
GTEX-UJHI-1526-SM-3DB99 50-59 years, female 649.6
GTEX-1C2JI-1826-SM-73KXC 50-59 years, male 648.7
GTEX-1B8KE-2126-SM-73KYX 50-59 years, male 648.1
GTEX-13OW5-0126-SM-DTXFS 60-69 years, male 646.0
GTEX-14C5O-0126-SM-5SI6N 60-69 years, male 643.5
GTEX-1QCLY-0326-SM-E8VOG 30-39 years, male 643.5
GTEX-1JJE9-0326-SM-CL53Z 70-79 years, male 641.1
GTEX-13112-2826-SM-5DUWH 50-59 years, male 640.9
GTEX-PLZ5-2026-SM-2S1O4 50-59 years, male 638.4
GTEX-ZVZO-0126-SM-5A5L9 40-49 years, male 637.7
GTEX-1JKYR-0126-SM-CNPOJ 20-29 years, male 634.6
GTEX-139TU-0126-SM-5K7WH 60-69 years, male 634.0
GTEX-131YS-0126-SM-5KM1M 60-69 years, female 633.7
GTEX-16GPK-0126-SM-7DHLE 60-69 years, male 632.3
GTEX-1JMPZ-0226-SM-CNPP1 30-39 years, male 631.4
GTEX-13SLW-0126-SM-5SI6C 70-79 years, male 631.1
GTEX-U3ZN-2326-SM-3DB7W 30-39 years, female 630.9
GTEX-WRHK-1426-SM-3MJF9 20-29 years, female 630.3
GTEX-1PPH8-0226-SM-E8VND 20-29 years, male 630.1
GTEX-YB5E-2026-SM-5IFIS 40-49 years, male 628.8
GTEX-11NSD-2226-SM-5986V 20-29 years, male 627.9
GTEX-1IDJF-0126-SM-CM2RS 20-29 years, male 627.3
GTEX-14BMU-2226-SM-5TDE9 20-29 years, female 625.6
GTEX-15G19-0126-SM-6PANQ 60-69 years, male 625.3
GTEX-V1D1-2226-SM-3NMAX 50-59 years, male 625.2
GTEX-U3ZH-2026-SM-3DB78 30-39 years, male 623.2
GTEX-ZXES-1826-SM-5E43S 30-39 years, female 621.8
GTEX-QCQG-1726-SM-3GIJ9 50-59 years, female 621.3
GTEX-13113-5016-SM-7EPIP 60-69 years, female 620.5
GTEX-1122O-2126-SM-5EGIR 60-69 years, female 620.3
GTEX-TMMY-0226-SM-33HBA 40-49 years, female 620.0
GTEX-1CAMR-1926-SM-7EPI2 20-29 years, male 614.7
GTEX-1B996-0226-SM-7RHGO 60-69 years, male 612.8
GTEX-15RIG-0226-SM-7KFTL 40-49 years, male 611.4
GTEX-1F75B-0126-SM-9KNVL 50-59 years, male 611.4
GTEX-16BQI-0226-SM-7KUEX 30-39 years, female 610.8
GTEX-16XZZ-0126-SM-793DV 60-69 years, male 610.1
GTEX-14DAQ-0126-SM-5S2MQ 60-69 years, female 609.6
GTEX-13OVK-2026-SM-7KUEO 40-49 years, male 607.1
GTEX-11EI6-0126-SM-5985R 60-69 years, male 606.7
GTEX-1I1GV-0526-SM-A9G29 60-69 years, male 605.9
GTEX-OIZH-0126-SM-2HMIS 50-59 years, male 602.8
GTEX-1HBPI-1526-SM-C1YQ1 50-59 years, male 602.8
GTEX-SUCS-1926-SM-32PM3 70-79 years, male 602.7
GTEX-11EM3-2426-SM-59861 20-29 years, female 601.6
GTEX-13O3P-0126-SM-5KM4S 50-59 years, male 601.1
GTEX-18D9U-0226-SM-718BP 40-49 years, male 600.3
GTEX-131XH-2226-SM-5DUXJ 50-59 years, male 597.9
GTEX-1HT8W-0126-SM-CNPPP 30-39 years, male 593.0
GTEX-OHPL-0126-SM-2HMJ7 60-69 years, female 592.7
GTEX-YB5K-2126-SM-4WWDJ 40-49 years, female 592.7
GTEX-VJWN-0126-SM-3GIK7 50-59 years, female 591.8
GTEX-ZGAY-0526-SM-4WWBB 40-49 years, female 589.7
GTEX-1GF9V-0326-SM-7RHI5 60-69 years, male 588.9
GTEX-1KWVE-1426-SM-E9TJO 30-39 years, male 584.6
GTEX-13FTX-1826-SM-5J1NX 20-29 years, female 582.3
GTEX-12ZZZ-0626-SM-5DUXI 60-69 years, male 582.0
GTEX-WYJK-0126-SM-3NMAB 50-59 years, male 580.5
GTEX-PLZ6-1426-SM-DKPOT 30-39 years, male 580.3
GTEX-1I19N-0326-SM-ACKVX 70-79 years, male 579.4
GTEX-1R9K4-0126-SM-DTX9X 60-69 years, male 575.4
GTEX-TKQ1-1026-SM-4GICL 30-39 years, male 574.1
GTEX-1HB9E-0226-SM-E9U4R 50-59 years, male 573.1
GTEX-1PFEY-1526-SM-E76PP 30-39 years, male 572.4
GTEX-1JMQI-2226-SM-CM2SD 50-59 years, male 570.9
GTEX-1HCU8-0626-SM-A9SM9 60-69 years, female 570.2
GTEX-1I1GU-2226-SM-CGQFA 40-49 years, male 569.1
GTEX-T5JC-0426-SM-32PLO 20-29 years, male 566.4
GTEX-13CF3-2426-SM-5IFGX 60-69 years, female 566.3
GTEX-1AMEY-1326-SM-73KYK 30-39 years, female 563.9
GTEX-T2YK-0526-SM-32QPJ 50-59 years, male 562.1
GTEX-1J1R8-1726-SM-ARL8M 40-49 years, male 561.5
GTEX-1IDJU-2626-SM-CM2RT 60-69 years, female 561.4
GTEX-1HBPN-0226-SM-9YFM1 50-59 years, male 558.7
GTEX-1LSNM-1926-SM-E6CII 50-59 years, male 558.5
GTEX-13RTK-1426-SM-5QGQJ 20-29 years, male 556.5
GTEX-13PVR-2326-SM-5QGR1 60-69 years, female 556.1
GTEX-1K2DU-2326-SM-E9TIV 20-29 years, male 553.7
GTEX-1JN6P-0126-SM-D3L98 60-69 years, male 553.0
GTEX-1KXAM-2226-SM-CYPTC 60-69 years, male 552.9
GTEX-S7SE-0126-SM-2XCD5 50-59 years, male 552.1
GTEX-11P81-2326-SM-59875 30-39 years, female 550.1
GTEX-12WSC-0126-SM-5EQ4P 50-59 years, male 549.0
GTEX-15ETS-0126-SM-7KUMW 40-49 years, female 549.0
GTEX-12ZZY-0226-SM-5LZVE 60-69 years, male 547.8
GTEX-1EN7A-0126-SM-7SB81 40-49 years, male 544.6
GTEX-1R7EU-0226-SM-EVR4G 60-69 years, male 544.6
GTEX-1QMI2-0226-SM-EVYBX 60-69 years, male 543.4
GTEX-1HFI7-1826-SM-ACKXH 50-59 years, female 540.8
GTEX-T6MN-0126-SM-32PLP 50-59 years, male 540.5
GTEX-1QP9N-1426-SM-DTXFL 30-39 years, male 540.1
GTEX-13FXS-0226-SM-5IJCK 50-59 years, male 537.0
GTEX-15UKP-0426-SM-7KUFQ 20-29 years, male 536.8
GTEX-TSE9-0126-SM-3DB83 60-69 years, female 536.5
GTEX-13S7M-0126-SM-5SI6A 60-69 years, female 535.3
GTEX-1B8KZ-2026-SM-7DHMB 50-59 years, male 535.3
GTEX-1C4CL-0526-SM-73KVK 30-39 years, male 532.6
GTEX-14JG1-0426-SM-6ETZZ 40-49 years, male 531.0
GTEX-1JMPY-1326-SM-ARL8Y 30-39 years, male 530.8
GTEX-ZVZP-2426-SM-59HKJ 50-59 years, male 524.8
GTEX-XBEW-0626-SM-4QASP 40-49 years, male 523.9
GTEX-133LE-1826-SM-5J1MV 20-29 years, female 522.0
GTEX-1IL2U-0226-SM-CE6T8 60-69 years, male 519.9
GTEX-1IKK5-0626-SM-ARL8A 60-69 years, male 518.0
GTEX-12696-2426-SM-5EQ6H 60-69 years, male 516.7
GTEX-1J8QM-2126-SM-CYPSJ 60-69 years, female 516.4
GTEX-ZV6S-2326-SM-4YCEY 40-49 years, female 513.4
GTEX-1F5PK-2426-SM-7RHHY 50-59 years, male 511.3
GTEX-14PII-0226-SM-6EU1T 60-69 years, male 510.7
GTEX-13OW8-1326-SM-5J1OW 60-69 years, male 509.1
GTEX-NFK9-0226-SM-2HMKQ 40-49 years, male 507.6
GTEX-1GMR8-0126-SM-9WYTM 50-59 years, female 505.8
GTEX-15ER7-0326-SM-7KUEV 20-29 years, female 504.5
GTEX-1H1E6-1726-SM-ACKVK 30-39 years, male 503.9
GTEX-1QP2A-0126-SM-E9J43 50-59 years, male 503.5
GTEX-QLQ7-1626-SM-2S1R8 60-69 years, male 500.0
GTEX-Y5V6-2426-SM-4VDSB 60-69 years, male 499.1
GTEX-1LH75-2426-SM-E9TJE 50-59 years, female 499.0
GTEX-11LCK-1026-SM-5A5KB 30-39 years, male 497.9
GTEX-11WQK-0526-SM-5EQLD 50-59 years, male 497.4
GTEX-13W3W-2426-SM-5LU5B 60-69 years, female 497.4
GTEX-14A5H-0426-SM-5QGQF 60-69 years, male 494.5
GTEX-Y8E4-0626-SM-4WWDL 40-49 years, male 494.2
GTEX-111FC-0126-SM-5N9DL 60-69 years, male 493.3
GTEX-P4QT-0126-SM-2I3FL 50-59 years, female 492.3
GTEX-12WSA-0226-SM-5BC5V 60-69 years, male 492.1
GTEX-145LS-0126-SM-5QGP1 60-69 years, female 491.6
GTEX-RWS6-2026-SM-2XCB5 60-69 years, female 490.3
GTEX-145MI-0526-SM-5O9A8 60-69 years, female 489.5
GTEX-1KAFJ-2026-SM-CY8ID 50-59 years, male 488.2
GTEX-16NPX-0226-SM-79OMT 50-59 years, male 487.8
GTEX-14BMV-0126-SM-5S2PO 50-59 years, male 484.1
GTEX-17EUY-0426-SM-793BD 20-29 years, male 483.6
GTEX-1AX9J-0226-SM-73KXM 60-69 years, male 483.3
GTEX-1OFPY-2426-SM-DTXEJ 60-69 years, male 482.5
GTEX-1OJC3-0126-SM-E76QX 20-29 years, male 479.6
GTEX-1MA7W-2026-SM-E9TJ6 20-29 years, female 478.7
GTEX-PVOW-0126-SM-2XCFA 40-49 years, male 478.5
GTEX-1JN76-0126-SM-CNPPE 20-29 years, female 477.8
GTEX-14BIN-0626-SM-793DP 50-59 years, female 477.4
GTEX-1B8SF-1426-SM-7DUGL 60-69 years, male 473.7
GTEX-1399T-2826-SM-5KLYZ 60-69 years, male 472.7
GTEX-17F96-1626-SM-7DUFL 70-79 years, male 472.3
GTEX-VJYA-1126-SM-3GIJU 60-69 years, male 472.3
GTEX-1E1VI-0126-SM-7DHMZ 50-59 years, male 470.4
GTEX-1HSMQ-1226-SM-CGQFX 50-59 years, male 469.7
GTEX-ZXG5-0126-SM-5GIEU 60-69 years, male 469.2
GTEX-1H4P4-0726-SM-9YFLR 50-59 years, male 468.1
GTEX-14LZ3-0226-SM-62LET 60-69 years, female 465.5
GTEX-1A3MV-1926-SM-718BT 30-39 years, male 464.2
GTEX-1C6VR-2426-SM-79OLD 60-69 years, male 463.3
GTEX-P44H-0226-SM-2XCEU 40-49 years, male 463.2
GTEX-Y5V5-2326-SM-4V6GA 60-69 years, female 461.9
GTEX-1PDJ9-0326-SM-DTX95 20-29 years, male 461.4
GTEX-13FHP-0126-SM-5IJBG 50-59 years, male 456.8
GTEX-17MFQ-1726-SM-793C7 20-29 years, male 456.7
GTEX-17JCI-0126-SM-7LG5G 60-69 years, female 456.6
GTEX-ZZ64-1726-SM-5GZYB 20-29 years, male 456.2
GTEX-T8EM-1026-SM-3DB7M 40-49 years, male 455.6
GTEX-SJXC-0126-SM-2XCFF 60-69 years, male 453.1
GTEX-WFG8-2226-SM-3GIL9 20-29 years, male 452.5
GTEX-1I1GT-0626-SM-CGQER 60-69 years, female 449.4
GTEX-14PN3-2426-SM-6LLHS 60-69 years, female 447.3
GTEX-XUZC-1726-SM-4BRWS 30-39 years, female 445.4
GTEX-ZTSS-1926-SM-57WEW 40-49 years, male 440.7
GTEX-1J8Q2-0526-SM-CM2RW 60-69 years, male 438.4
GTEX-11EQ9-2426-SM-5HL5T 30-39 years, male 434.7
GTEX-17HG3-2226-SM-7938L 30-39 years, female 433.4
GTEX-1I4MK-2226-SM-ACKWD 50-59 years, female 432.5
GTEX-1M5QR-1226-SM-EWROB 40-49 years, male 430.9
GTEX-1S83E-0126-SM-EWRO4 40-49 years, male 430.5
GTEX-1212Z-2526-SM-5EGKP 60-69 years, male 430.1
GTEX-1F6RS-0126-SM-9MQKZ 60-69 years, female 428.2
GTEX-1LGRB-2526-SM-CNPPQ 50-59 years, female 425.6
GTEX-1MJK2-0426-SM-DTXE5 50-59 years, male 425.0
GTEX-ZWKS-0126-SM-5SIAA 30-39 years, male 424.7
GTEX-1CB4E-2226-SM-793DC 60-69 years, male 423.7
GTEX-145MF-0626-SM-5LUAI 50-59 years, male 423.4
GTEX-1LVAN-0226-SM-COH3S 50-59 years, female 423.4
GTEX-1CB4I-0226-SM-79OLH 50-59 years, male 422.4
GTEX-1C64N-0126-SM-793D7 50-59 years, male 419.8
GTEX-17GQL-2026-SM-718BA 60-69 years, male 418.8
GTEX-T6MO-1626-SM-32QOM 40-49 years, female 418.8
GTEX-1128S-2326-SM-5GZZY 60-69 years, female 418.7
GTEX-14PJ6-2126-SM-6EU1V 60-69 years, female 415.4
GTEX-13N2G-2626-SM-5J1OT 60-69 years, male 409.8
GTEX-139UW-2826-SM-5L3E7 60-69 years, male 407.9
GTEX-1IOXB-0126-SM-ARL8G 50-59 years, male 405.8
GTEX-16NGA-1726-SM-731B4 40-49 years, female 405.1
GTEX-1BAJH-0526-SM-793CQ 70-79 years, male 405.0
GTEX-1AMFI-2026-SM-731BH 50-59 years, female 396.5
GTEX-12WSK-2326-SM-5GCOH 40-49 years, female 394.5
GTEX-1F5PL-0326-SM-7P8PQ 40-49 years, female 394.2
GTEX-1CB4F-0426-SM-9KNV4 60-69 years, male 393.7
GTEX-145ME-1826-SM-5SI9G 40-49 years, female 391.7
GTEX-1399R-2726-SM-5IJBA 30-39 years, male 391.0
GTEX-1HSGN-0226-SM-CGQFV 40-49 years, female 389.0
GTEX-1I1GQ-0126-SM-COH3H 50-59 years, male 388.0
GTEX-1GMR3-1926-SM-9KNUZ 40-49 years, male 387.1
GTEX-ZYT6-0226-SM-5NQ6T 30-39 years, male 387.0
GTEX-1JJ6O-0126-SM-E6CI8 60-69 years, male 385.4
GTEX-PX3G-0126-SM-2I3EN 20-29 years, female 383.5
GTEX-14A5I-0126-SM-5TDEA 50-59 years, female 379.8
GTEX-1IDJH-0326-SM-A9SLQ 70-79 years, male 377.4
GTEX-X261-0126-SM-3NMD6 50-59 years, male 374.8
GTEX-1E2YA-0126-SM-9KNUC 50-59 years, male 373.7
GTEX-17KNJ-2326-SM-7DHLQ 50-59 years, male 372.3
GTEX-XPVG-2626-SM-4B669 50-59 years, male 370.9
GTEX-1PIIG-0226-SM-EWRN6 30-39 years, male 363.6
GTEX-1HSKV-0226-SM-A9SKJ 60-69 years, male 363.2
GTEX-1CAMQ-0226-SM-7IGPK 40-49 years, male 355.5
GTEX-ZV68-0126-SM-59HKS 50-59 years, female 351.3
GTEX-17EVP-0326-SM-7DHLG 40-49 years, male 344.4
GTEX-1KANC-1526-SM-D3LAB 50-59 years, female 343.5
GTEX-1HCU9-1526-SM-A9SL7 20-29 years, male 338.5
GTEX-13NYC-0326-SM-E9J4S 60-69 years, male 331.3
GTEX-15EU6-0426-SM-6PAN5 50-59 years, male 329.6
GTEX-1HCU7-0226-SM-CL545 50-59 years, male 328.8
GTEX-1JMQL-0226-SM-CNPP5 50-59 years, female 325.5
GTEX-145LU-0126-SM-5TDCB 50-59 years, male 323.2
GTEX-16AAH-1726-SM-7939C 50-59 years, male 321.4
GTEX-144GL-0126-SM-5TDE2 50-59 years, male 320.7
GTEX-SNMC-1226-SM-2XCFP 20-29 years, male 317.2
GTEX-1IKJJ-0126-SM-CNPQB 60-69 years, male 315.6
GTEX-T5JW-1626-SM-3GADZ 20-29 years, female 313.6
GTEX-13OVH-0126-SM-5MR4B 70-79 years, male 313.1
GTEX-18D9A-1926-SM-7LG6P 30-39 years, female 307.4
GTEX-1KANA-0726-SM-D3L9I 20-29 years, male 307.4
GTEX-12WSE-0526-SM-793B2 20-29 years, male 299.8
GTEX-1LG7Z-1726-SM-D3LA4 30-39 years, male 298.6
GTEX-1R9PM-2026-SM-E76OY 20-29 years, male 298.5
GTEX-ZF2S-2326-SM-4WWCE 50-59 years, female 286.8
GTEX-15F5U-1526-SM-6PANO 40-49 years, male 285.0
GTEX-1B97I-1626-SM-73KYO 40-49 years, male 284.7
GTEX-S32W-2126-SM-2XCB1 50-59 years, female 278.0
GTEX-13NYB-2526-SM-5K7Z6 40-49 years, male 272.9
GTEX-13JUV-2726-SM-5LZZ8 40-49 years, female 267.2
GTEX-14E6E-1826-SM-5S2R7 30-39 years, male 265.6
GTEX-YJ89-0126-SM-4TT3X 60-69 years, male 254.3
GTEX-1GL5R-1826-SM-9KNUY 50-59 years, male 253.8
GTEX-13111-1626-SM-5EGJY 50-59 years, male 248.7
GTEX-1JJEA-0326-SM-CNPOT 60-69 years, male 243.7
GTEX-WFON-2126-SM-3LK7O 40-49 years, male 238.8
GTEX-ZTX8-1426-SM-5DUVO 20-29 years, male 160.5
GTEX-1C475-1826-SM-73KWA 40-49 years, female 158.2
GTEX-1L5NE-2526-SM-E6CIE 50-59 years, male 134.6
Show allShow less

Contact

  • NEWS ARTICLES
  • PRESS ROOM

The Project

  • INTRODUCTION
  • ORGANIZATION
  • PUBLICATIONS

The Human Protein Atlas

  • DOWNLOADABLE DATA
  • LICENCE & CITATION
  • HELP & FAQ
The Human Protein Atlas project is funded
by the Knut & Alice Wallenberg Foundation.


contact@proteinatlas.org