We use cookies to enhance the usability of our website. If you continue, we'll assume that you are happy to receive all cookies. More information. Don't show this again.
SIRPA
HPA
RESOURCES
  • TISSUE
  • BRAIN
  • SINGLE CELL
  • SUBCELLULAR
  • CANCER
  • BLOOD
  • CELL LINE
  • STRUCTURE & INTERACTION
ABOUT
  • INTRODUCTION
  • HISTORY
  • ORGANIZATION
  • PUBLICATIONS
  • ANTIBODY SUBMISSION
  • ANTIBODY AVAILABILITY
  • ACKNOWLEDGMENTS
  • CONTACT
NEWS
  • NEWS ARTICLES
  • PRESS ROOM
LEARN
  • DICTIONARY
  • PROTEIN CLASSES
  • PROTEIN EVIDENCE
  • METHODS
  • EDUCATIONAL VIDEOS
DATA
  • DOWNLOADABLE DATA
  • PUBLICATION DATA
  • RELEASE HISTORY
HELP
  • ANTIBODY VALIDATION
  • ASSAYS & ANNOTATION
  • DISCLAIMER
  • HELP & FAQ
  • PRIVACY STATEMENT
  • LICENCE & CITATION
Fields »
Search result

Field
Term
Gene name
Class
Subclass
Class
Keyword
Chromosome
External id
Tissue
Cell type
Expression
Antibody panel
Tissue
Main location
Patient ID
Annotation
Tissue
Category
Tau score
Cluster
Reliability
Brain region
Category
Tau score
Brain region
Category
Tau score
Brain region
Category
Tau score
Cluster
Reliability
Tissue
Cell type
Enrichment
Cell type
Category
Tau score
Cell type
Category
Tau score
Cell type
Category
Tau score
Cell lineage
Category
Tau score
Cluster
Cluster
Location
Searches
Location
Cell line
Class
Type
Phase
Reliability
Cancer
Prognosis
Cancer
Category
Cancer
Category
Tau score
Cluster
Variants
Interacting gene (ensg_id)
Type
Number of interactions
Pathway
Category
Score
Score
Score
Validation
Validation
Validation
Validation
Antibodies
Data type
Column


  • SUMMARY

  • TISSUE

  • BRAIN

  • SINGLE CELL

  • SUBCELL

  • CANCER

  • BLOOD

  • CELL LINE

  • STRUCT & INT

  • SIRPA
TISSUE PRIMARY DATA BREAST Show tissue menu
ADIPOSE TISSUE ADRENAL GLAND AMYGDALA APPENDIX BASAL GANGLIA BONE MARROW BREAST BRONCHUS CEREBELLUM CEREBRAL CORTEX CERVIX CHOROID PLEXUS COLON DUODENUM
ENDOMETRIUM EPIDIDYMIS ESOPHAGUS FALLOPIAN TUBE GALLBLADDER HEART MUSCLE HIPPOCAMPAL FORMATION HYPOTHALAMUS KIDNEY LIVER LUNG LYMPH NODE MIDBRAIN ORAL MUCOSA
OVARY PANCREAS PARATHYROID GLAND PITUITARY GLAND PLACENTA PROSTATE RECTUM RETINA SALIVARY GLAND SEMINAL VESICLE SKELETAL MUSCLE SKIN SMALL INTESTINE SMOOTH MUSCLE
SOFT TISSUE SPINAL CORD SPLEEN STOMACH TESTIS THYMUS THYROID GLAND TONGUE TONSIL URINARY BLADDER VAGINA
ANTIBODIES
AND
VALIDATION
Dictionary
Breast
Tissue proteome
Breast
BREAST - Expression summary
Protein expression
Breasti

On the top, protein expression in current human tissue, based on all annotated cell types, is reported with the units not detected (n), low (l), medium (m) and high (h). Underneath, protein expression in each annotated cell type are reported using the same units.

Protein expression data is based on knowledge-based annotation. For genes where more than one antibody has been used, a collective score is set.

If knowledge-based annotation could not be performed for a gene, no data is displayed here. View antibody staining data further down this page.

h
m
l
n
Adipocytes: Not detected
Glandular cells: Low
Myoepithelial cells: Not detected
RNA expressioni

A summary of mRNA expression data available for current tissue based on several datasets. The mRNA expression levels in human tissues are based on RNA-seq data generated by the Human Protein Atlas (HPA), Genotype-Tissue Expression (GTEx) portal and CAGE data generated by the FANTOM5 consortium. Consensus normalized expression levels for human tissues was created by combining the data from HPA and GTEx datasets.

The mRNA expression levels in pig are based on RNA-seq data generated by the Human Protein Atlas (HPA), and for mouse, HPA data and in situ hybridization generated by the Allen brain atlas are reported.

Scroll down to view mRNA expression data in more detail.
Consensus:39.8 nTPM
HPA:25.4 nTPM
GTEx:39.8 nTPM
FANTOM5:101.1 Scaled Tags Per Million

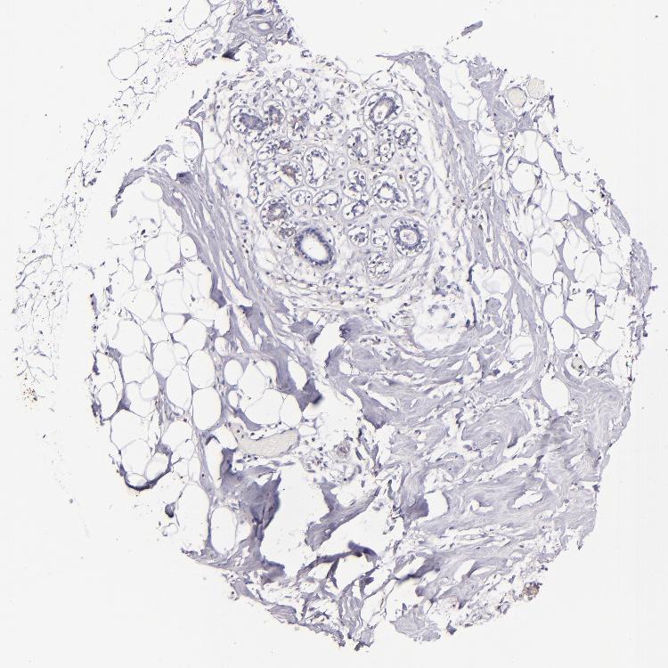
BREAST - Antibody stainingi

Antibody staining in the annotated cell types in the current human tissue is reported as not detected, low, medium, or high, based on conventional immunohistochemistry profiling in selected tissues. This score is based on the combination of the staining intensity and fraction of stained cells.

Each image is clickable and will lead to virtual microscopy that enables deeper exploration of all samples and also displays staining intensity scores, fraction scores and subcellular localization as well as patient and tissue information for each sample.

Antibody HPA054437Antibody HPA058511Antibody CAB002776Antibody CAB015122
Adipocytes Not detectedNot detectedNot detectedNot detected
Glandular cells Not detectedNot detectedLowMedium
Myoepithelial cells Not detectedNot detectedNot detectedNot detected







BREAST - HPA RNA-seqi

The RNA-seq details section shows detailed information about the individual samples used for the transcript profiling and results of the RNA-seq analysis.

Information about each individual sample is listed below, including gender, age, a tissue section image and estimated fractions of cell types. nTPM (normalized transcripts per million) values give a quantification of the gene abundance which is comparable between different genes and samples.
Average nTPMi

Max subtype nTPM is the value for the subtype with the largest average nTPM across the subtype samples.

25.4
overview
Female, age 52
Breast sample 373
nTPM: 34
Cell types%
Glandular cells:
15

Adipocytes:
5

Other cell types:
80

overview
Female, age 80
Breast sample 390
nTPM: 20.9
Cell types%
Glandular cells:
5

Adipocytes:
15

Other cell types:
80

overview
Female, age 47
Breast sample 405
nTPM: 16.4
Cell types%
Glandular cells:
5

Adipocytes:
5

Other cell types:
90

overview
Female, age 38
Breast sample 410
nTPM: 30.2
Cell types%
Glandular cells:
40

Adipocytes:
5

Other cell types:
55


BREAST - GTEx RNA-seqi

RNA-Seq data generated by the Genotype-Tissue Expression (GTEx) project from human tissues is reported as mean nTPM. More information can be found on the GTEx portal.

Distribution across the dataset is visualized with box plots, shown as median and 25th and 75th percentiles. Points are displayed as outliers if they are above or below 1.5 times the interquartile range. nTPM values of the individual samples are presented next to the box plot.
Max subtype nTPMi

Max subtype nTPM is the value for the subtype with the largest average nTPM across the subtype samples.

39.8
GTEx sample id Sample description nTPM
Breast - Mammary Tissue
Average nTPM: 39.8
Samples: 459

Max nTPM: 120.4
Min nTPM: 8.4
Std nTPM: 16.7
Median nTPM: 36.8
GTEX-11DZ1-0326-SM-5N9BN 50-59 years, male 120.4
GTEX-14E6C-1326-SM-62LEQ 40-49 years, male 106.8
GTEX-13QJ3-0826-SM-7DHKK 50-59 years, male 103.0
GTEX-1ICLY-1726-SM-B2LVT 50-59 years, male 96.1
GTEX-1ICLZ-0426-SM-B2LW2 60-69 years, male 94.4
GTEX-1RLM8-2226-SM-EVYD1 50-59 years, male 90.9
GTEX-183WM-0726-SM-7LTAA 70-79 years, female 86.2
GTEX-1N2EF-2226-SM-E9J33 60-69 years, male 85.8
GTEX-ZWKS-2826-SM-5NQ74 30-39 years, male 85.7
GTEX-17F97-2526-SM-7EWDV 50-59 years, male 85.5
GTEX-17MF6-0326-SM-7EPH5 40-49 years, male 85.0
GTEX-1JMOU-2026-SM-CMKGU 60-69 years, female 83.8
GTEX-UTHO-1026-SM-3GAF7 60-69 years, male 81.7
GTEX-13S86-1226-SM-5S2OA 40-49 years, male 79.5
GTEX-18A7B-2626-SM-7LG55 70-79 years, male 79.5
GTEX-1C6VQ-0426-SM-79OOX 50-59 years, male 79.3
GTEX-13W46-0826-SM-5LU3H 50-59 years, male 76.9
GTEX-1JMLX-2026-SM-CMKGN 50-59 years, male 76.2
GTEX-U8XE-0826-SM-4E3J1 30-39 years, male 73.9
GTEX-1HSMO-0826-SM-ADEIV 60-69 years, male 72.9
GTEX-X62O-0526-SM-EWRMA 50-59 years, male 72.9
GTEX-XUZC-1626-SM-4BRVP 30-39 years, female 72.4
GTEX-1117F-2826-SM-5GZXL 60-69 years, female 72.1
GTEX-17EVQ-0426-SM-7LG57 70-79 years, male 71.2
GTEX-1H1ZS-0126-SM-9YFKQ 70-79 years, male 70.3
GTEX-145MO-0826-SM-5NQBL 60-69 years, male 70.1
GTEX-1HBPM-0126-SM-ARL9E 60-69 years, female 69.7
GTEX-1HFI7-0126-SM-CGQFQ 50-59 years, female 69.5
GTEX-1HR9M-2426-SM-ACKXI 60-69 years, male 69.5
GTEX-ZYW4-0826-SM-5GIDG 60-69 years, male 69.1
GTEX-1HCU8-0126-SM-ADEHH 60-69 years, female 68.8
GTEX-1IDJF-2326-SM-ARL86 20-29 years, male 67.7
GTEX-169BO-1126-SM-7MGWN 50-59 years, male 67.6
GTEX-X4XY-0926-SM-4E3JD 60-69 years, male 67.2
GTEX-13N1W-0626-SM-5MR4U 70-79 years, male 66.7
GTEX-1IDFM-0426-SM-B2LVV 60-69 years, male 66.1
GTEX-11P82-1326-SM-5HL62 20-29 years, male 65.9
GTEX-1HSEH-2026-SM-ADEHN 60-69 years, male 65.7
GTEX-13O3Q-2226-SM-5KM4O 50-59 years, male 64.8
GTEX-XV7Q-2326-SM-4BRVZ 40-49 years, female 64.6
GTEX-13O61-1826-SM-5KM4I 60-69 years, male 64.3
GTEX-YFCO-1826-SM-4W1YH 40-49 years, male 64.1
GTEX-11ONC-2126-SM-5HL6E 60-69 years, male 63.4
GTEX-1A3MX-2726-SM-718B6 60-69 years, male 63.3
GTEX-YEC3-1026-SM-5IFI5 50-59 years, male 63.1
GTEX-YECK-0726-SM-EZ6LV 60-69 years, male 62.4
GTEX-11TUW-1826-SM-5BC5D 60-69 years, male 62.0
GTEX-12KS4-0126-SM-5Q5A5 30-39 years, male 61.5
GTEX-11WQK-2426-SM-5GU5C 50-59 years, male 61.4
GTEX-Y9LG-1426-SM-5IFJZ 30-39 years, male 61.3
GTEX-13CF3-2126-SM-5IFJP 60-69 years, female 61.2
GTEX-11DXY-2326-SM-5GICW 60-69 years, male 61.1
GTEX-11GSO-1926-SM-5A5K3 60-69 years, male 60.8
GTEX-15RJE-2626-SM-7KFT1 40-49 years, male 60.7
GTEX-139T6-1626-SM-5PNYZ 50-59 years, male 60.1
GTEX-ZVT4-1026-SM-57WC4 50-59 years, female 59.4
GTEX-1I1GP-0426-SM-COH3N 50-59 years, male 59.4
GTEX-1I6K6-0826-SM-ARL7Z 30-39 years, male 59.3
GTEX-1MJK3-1126-SM-E9J3F 20-29 years, male 59.2
GTEX-XYKS-1326-SM-4BRUN 60-69 years, female 58.9
GTEX-14PJ4-2126-SM-6ETZJ 60-69 years, male 58.8
GTEX-1F75B-0626-SM-7SB8A 50-59 years, male 58.6
GTEX-1JKYN-0726-SM-ARZMY 30-39 years, male 58.4
GTEX-ZQG8-0726-SM-5P9H9 60-69 years, female 58.0
GTEX-1NUQO-2226-SM-E9U68 20-29 years, female 57.5
GTEX-13D11-1026-SM-5IJFB 50-59 years, female 57.4
GTEX-1HCU7-1026-SM-ADEIP 50-59 years, male 57.1
GTEX-REY6-2426-SM-48FF5 60-69 years, male 56.8
GTEX-ZT9W-2026-SM-51MRA 50-59 years, male 55.7
GTEX-1GF9V-2526-SM-7SB8K 60-69 years, male 55.7
GTEX-WI4N-1426-SM-3LK7H 40-49 years, female 55.6
GTEX-ZA64-1526-SM-5CVMD 20-29 years, male 55.5
GTEX-XGQ4-0926-SM-4AT4U 50-59 years, male 55.4
GTEX-144GM-0926-SM-5O994 20-29 years, male 55.2
GTEX-1JN6P-2426-SM-ARL99 60-69 years, male 55.2
GTEX-183FY-1126-SM-7DHLJ 20-29 years, male 54.9
GTEX-1H23P-0726-SM-9WG7K 60-69 years, male 54.7
GTEX-1KD5A-1926-SM-DKPQA 50-59 years, male 54.6
GTEX-1PPH7-0826-SM-E8VNX 40-49 years, male 54.6
GTEX-RU1J-0626-SM-4WAWY 20-29 years, female 54.5
GTEX-1GZ4H-0326-SM-7P8QX 50-59 years, female 54.1
GTEX-14H4A-2526-SM-5YYAY 40-49 years, female 53.7
GTEX-15SHW-1326-SM-6PAL8 60-69 years, male 53.6
GTEX-XUW1-2326-SM-4BOO5 50-59 years, female 53.0
GTEX-1S82Z-0726-SM-E6CHX 30-39 years, female 52.7
GTEX-11ZUS-0826-SM-5FQUY 30-39 years, male 52.6
GTEX-13VXU-2826-SM-664MA 50-59 years, male 52.6
GTEX-1R9PN-0326-SM-DTX85 40-49 years, female 52.1
GTEX-T6MO-0326-SM-32QOK 40-49 years, female 51.9
GTEX-15ETS-0626-SM-7KUMX 40-49 years, female 51.7
GTEX-1IDJU-1826-SM-CMKHV 60-69 years, female 51.6
GTEX-13NZ8-0126-SM-5IJCT 60-69 years, female 51.5
GTEX-18465-2026-SM-718AP 50-59 years, male 51.4
GTEX-1R46S-2526-SM-E8VN2 60-69 years, female 50.9
GTEX-1IGQW-0926-SM-ADEH6 60-69 years, male 50.4
GTEX-17HGU-1326-SM-79OKB 50-59 years, male 50.1
GTEX-1AX9J-1126-SM-731B7 60-69 years, male 50.1
GTEX-1H4P4-2226-SM-9MQKQ 50-59 years, male 49.9
GTEX-ZLFU-2126-SM-DO931 40-49 years, male 49.9
GTEX-1LSNL-2826-SM-E9U5L 50-59 years, male 49.7
GTEX-1I1GV-2426-SM-CGQFM 60-69 years, male 49.4
GTEX-S4Q7-1126-SM-4AD6R 20-29 years, male 49.0
GTEX-13PVQ-1026-SM-5KM3M 50-59 years, male 48.6
GTEX-1KANC-1426-SM-CYPT9 50-59 years, female 48.4
GTEX-1AMEY-1026-SM-718AA 30-39 years, female 48.3
GTEX-14PJO-0726-SM-69LO8 60-69 years, male 48.2
GTEX-ZDTT-2126-SM-DKPOM 60-69 years, male 48.1
GTEX-R53T-1526-SM-48FEK 50-59 years, female 47.9
GTEX-RUSQ-2026-SM-4GIAK 50-59 years, male 47.7
GTEX-132AR-0826-SM-5EGK6 50-59 years, female 47.4
GTEX-QVJO-1826-SM-447C9 60-69 years, female 47.3
GTEX-1192X-2326-SM-5987X 50-59 years, male 47.1
GTEX-1QCLZ-2326-SM-DTXDO 60-69 years, female 47.1
GTEX-1QMI2-0726-SM-E9J4F 60-69 years, male 47.1
GTEX-12WSM-1726-SM-5BC6J 60-69 years, male 47.0
GTEX-SE5C-2126-SM-4BRUJ 40-49 years, female 46.8
GTEX-1C6WA-2426-SM-7SB86 60-69 years, male 46.8
GTEX-UJHI-1426-SM-3DB9C 50-59 years, female 46.6
GTEX-14B4R-1226-SM-5TDDT 30-39 years, male 46.3
GTEX-11EM3-1326-SM-5N9C6 20-29 years, female 46.2
GTEX-17F96-2426-SM-7IGLN 70-79 years, male 46.1
GTEX-11LCK-2426-SM-5HL5F 30-39 years, male 45.8
GTEX-17MFQ-0926-SM-7LG4S 20-29 years, male 45.8
GTEX-1K9T9-1426-SM-DIPFQ 50-59 years, female 45.8
GTEX-ZLWG-1926-SM-DO92J 50-59 years, female 45.7
GTEX-12BJ1-1826-SM-5HL9N 60-69 years, male 45.5
GTEX-16BQI-1026-SM-7KUEA 30-39 years, female 45.2
GTEX-1H3VY-0926-SM-ACKXE 50-59 years, male 45.1
GTEX-16YQH-2826-SM-6PAMY 30-39 years, male 45.0
GTEX-V955-2026-SM-3GAFA 60-69 years, male 45.0
GTEX-1MA7X-1626-SM-E9U5B 60-69 years, male 44.9
GTEX-1I4MK-1626-SM-CM2TJ 50-59 years, female 44.8
GTEX-14BMU-1626-SM-5TDE7 20-29 years, female 44.7
GTEX-X261-0626-SM-3NMD9 50-59 years, male 44.7
GTEX-11OF3-1926-SM-59889 60-69 years, male 44.6
GTEX-18A66-1726-SM-7LG5N 60-69 years, male 44.6
GTEX-17F98-0526-SM-79OK5 40-49 years, female 44.5
GTEX-ZVZQ-0826-SM-51MRF 60-69 years, female 44.4
GTEX-17GQL-0326-SM-7LG5U 60-69 years, male 44.3
GTEX-1F5PK-2126-SM-7PC28 50-59 years, male 44.3
GTEX-1P4AB-1826-SM-E76PU 50-59 years, male 44.3
GTEX-1B933-2526-SM-7IGO5 50-59 years, female 44.2
GTEX-1M4P7-2626-SM-E9U5F 60-69 years, male 44.2
GTEX-133LE-1726-SM-5K7VQ 20-29 years, female 44.1
GTEX-1AX9I-0726-SM-73KWV 60-69 years, male 43.9
GTEX-TKQ2-1826-SM-33HB2 50-59 years, male 43.9
GTEX-QMRM-1626-SM-D4P1U 50-59 years, male 43.9
GTEX-132NY-0826-SM-5K7Y7 60-69 years, male 43.7
GTEX-1QP28-1226-SM-E9J2M 50-59 years, female 43.6
GTEX-14753-2426-SM-5LU8U 60-69 years, male 43.4
GTEX-15ER7-1626-SM-6PAMZ 20-29 years, female 43.4
GTEX-1I1GT-1126-SM-ARL7J 60-69 years, female 43.4
GTEX-1LSVX-2426-SM-E6CJX 60-69 years, male 43.3
GTEX-1S82U-1126-SM-E9U6I 30-39 years, female 43.3
GTEX-WHSB-1926-SM-EXOHH 50-59 years, male 43.3
GTEX-ZAJG-0626-SM-5HL8X 50-59 years, female 43.2
GTEX-WOFL-0826-SM-3MJG1 60-69 years, male 43.1
GTEX-132Q8-1426-SM-5EGK7 60-69 years, male 43.0
GTEX-11NSD-0926-SM-5N9DR 20-29 years, male 42.6
GTEX-1LBAC-0926-SM-CXKY9 20-29 years, male 42.6
GTEX-1E2YA-2726-SM-7IGPW 50-59 years, male 42.5
GTEX-S33H-0326-SM-4AD6N 30-39 years, male 42.5
GTEX-XQ3S-1326-SM-4BOPQ 20-29 years, male 42.5
GTEX-13PVR-2226-SM-7DHKP 60-69 years, female 42.4
GTEX-14PHY-1926-SM-5YY95 60-69 years, female 42.4
GTEX-PSDG-1626-SM-48TCQ 50-59 years, male 42.3
GTEX-11O72-2126-SM-5N9FO 40-49 years, male 42.1
GTEX-1B932-0826-SM-73KXG 40-49 years, female 42.0
GTEX-ZAB4-2526-SM-5HL8M 40-49 years, male 42.0
GTEX-13113-5013-SM-7SB7G 60-69 years, female 42.0
GTEX-XMD2-0926-SM-4WWEF 60-69 years, female 41.9
GTEX-1HSGN-1526-SM-A9SMO 40-49 years, female 41.9
GTEX-13FTW-1426-SM-5LZWZ 40-49 years, male 41.7
GTEX-14DAR-1326-SM-7DUEG 50-59 years, male 41.6
GTEX-15EOM-5019-SM-793DK 20-29 years, female 41.6
GTEX-1QEPI-0926-SM-DTXF3 60-69 years, female 41.6
GTEX-13OW8-0226-SM-5K7UP 60-69 years, male 41.5
GTEX-1HT8W-2226-SM-CGQEC 30-39 years, male 41.5
GTEX-VJWN-0726-SM-3GIJ8 50-59 years, female 41.4
GTEX-17F9E-2526-SM-7MGW2 50-59 years, male 41.3
GTEX-13O3P-0826-SM-5L3DH 50-59 years, male 41.2
GTEX-1B8KE-1226-SM-73KWK 50-59 years, male 41.2
GTEX-12WSK-2226-SM-5GCO5 40-49 years, female 41.1
GTEX-XMK1-1126-SM-4IHJ8 40-49 years, male 41.1
GTEX-1MCYP-0126-SM-E6CIS 20-29 years, female 41.0
GTEX-1PPGY-1526-SM-EVYBK 60-69 years, male 41.0
GTEX-1HCUA-0726-SM-ACKVU 50-59 years, female 40.9
GTEX-13FTX-1126-SM-5N9EN 20-29 years, female 40.8
GTEX-XQ8I-2426-SM-4WAXY 50-59 years, male 40.8
GTEX-1399U-1826-SM-5PNZ1 50-59 years, female 40.5
GTEX-14E7W-0826-SM-62LEJ 70-79 years, male 40.5
GTEX-Y5LM-1726-SM-4VDSX 40-49 years, female 40.5
GTEX-ZV6S-1826-SM-5NQ8D 40-49 years, female 40.5
GTEX-Z9EW-1526-SM-EZ6LU 40-49 years, male 40.5
GTEX-14PKU-0426-SM-6EU1P 40-49 years, female 40.4
GTEX-139TU-0626-SM-5KM3X 60-69 years, male 40.3
GTEX-1I1GU-1026-SM-ADEHJ 40-49 years, male 40.3
GTEX-1LVAN-1326-SM-CNPQE 50-59 years, female 40.2
GTEX-14E6E-1326-SM-5S2NR 30-39 years, male 39.8
GTEX-Y5V5-2126-SM-4WWFO 60-69 years, female 39.6
GTEX-1JN1M-3026-SM-CMKGK 60-69 years, female 39.6
GTEX-TMMY-0726-SM-33HBE 40-49 years, female 39.5
GTEX-145MN-1926-SM-5SIAI 30-39 years, male 39.4
GTEX-1H11D-1526-SM-9MQJY 40-49 years, male 39.4
GTEX-1H1DG-0526-SM-9YFLN 70-79 years, male 39.4
GTEX-1QPFJ-2026-SM-EVYBE 30-39 years, female 39.4
GTEX-Y114-2026-SM-4TT7L 50-59 years, female 39.2
GTEX-1NV8Z-2826-SM-E8VME 60-69 years, male 39.2
GTEX-ZLV1-1426-SM-DO92Z 60-69 years, female 39.2
GTEX-ZXES-0826-SM-5E43C 30-39 years, female 39.1
GTEX-ZZ64-1226-SM-5E43R 20-29 years, male 38.9
GTEX-ZDXO-0126-SM-5S2ND 60-69 years, male 38.6
GTEX-U3ZN-1926-SM-4DXSG 30-39 years, female 38.5
GTEX-1PDJ9-1126-SM-EXUSW 20-29 years, male 38.5
GTEX-ZVE2-1226-SM-5NQ8R 50-59 years, male 38.4
GTEX-1EWIQ-1726-SM-7SB7T 70-79 years, female 38.4
GTEX-13SLX-2326-SM-5ZZWE 50-59 years, female 38.3
GTEX-S32W-2026-SM-4AD6E 50-59 years, female 38.3
GTEX-1OKEX-0826-SM-E9J2B 60-69 years, male 38.3
GTEX-11I78-2226-SM-5PNYA 50-59 years, female 38.2
GTEX-T2IS-1526-SM-32QPR 20-29 years, female 38.2
GTEX-1HC8U-0826-SM-ADEIL 40-49 years, female 38.2
GTEX-15G19-2126-SM-6M48J 60-69 years, male 38.0
GTEX-ZUA1-1526-SM-59HLS 40-49 years, male 38.0
GTEX-S4P3-1326-SM-4AD6V 50-59 years, female 37.8
GTEX-1IOXB-1926-SM-ARL8E 50-59 years, male 37.2
GTEX-11P81-1926-SM-5BC53 30-39 years, female 37.1
GTEX-1EU9M-2826-SM-7EWFH 60-69 years, male 36.9
GTEX-S7SE-0826-SM-4AT4D 50-59 years, male 36.8
GTEX-1L5NE-2126-SM-CY8IH 50-59 years, male 36.8
GTEX-1LC47-1226-SM-D4P44 60-69 years, male 36.6
GTEX-1QW4Y-1026-SM-DTXE2 30-39 years, male 36.6
GTEX-15UF7-0726-SM-6M46D 40-49 years, male 36.5
GTEX-14AS3-1626-SM-5S2OY 40-49 years, female 36.4
GTEX-RWS6-1926-SM-47JXY 60-69 years, female 36.4
GTEX-18A6Q-0926-SM-7LG4N 60-69 years, male 36.3
GTEX-WXYG-2226-SM-4E3IM 50-59 years, female 36.1
GTEX-1LNCM-0226-SM-DIPF4 50-59 years, female 36.0
GTEX-ZZPU-0626-SM-5E43T 50-59 years, female 35.8
GTEX-1CAMS-1426-SM-7IGPM 40-49 years, female 35.7
GTEX-R55D-0826-SM-48FEA 50-59 years, male 35.5
GTEX-T2YK-2226-SM-32QPT 50-59 years, male 35.5
GTEX-1NHNU-0926-SM-E9J2T 50-59 years, male 35.5
GTEX-1F5PL-1026-SM-7RHI1 40-49 years, female 35.4
GTEX-17EUY-1926-SM-7DUF6 20-29 years, male 35.3
GTEX-1GZ4I-2826-SM-9MQK5 50-59 years, male 35.1
GTEX-1J8QM-2026-SM-ARZMW 60-69 years, female 35.0
GTEX-12ZZX-1126-SM-5EGKB 40-49 years, female 34.9
GTEX-1GF9X-1026-SM-ACKX2 40-49 years, female 34.9
GTEX-139T8-0826-SM-5L3DE 60-69 years, male 34.8
GTEX-1R9PM-1826-SM-EVYBH 20-29 years, male 34.8
GTEX-146FH-0826-SM-5SI8T 50-59 years, female 34.7
GTEX-Y8E4-1626-SM-5S2MW 40-49 years, male 34.7
GTEX-1LG7Z-0726-SM-CXKYD 30-39 years, male 34.7
GTEX-1IKOE-1326-SM-CE6T6 30-39 years, female 34.6
GTEX-1POEN-0926-SM-DTX88 30-39 years, female 34.6
GTEX-ZEX8-2226-SM-57WC6 50-59 years, male 34.5
GTEX-ZY6K-1626-SM-5GZWV 50-59 years, male 34.5
GTEX-117YX-1426-SM-5H12H 50-59 years, male 34.4
GTEX-17JCI-0726-SM-7EPH1 60-69 years, female 34.4
GTEX-ZYT6-0126-SM-5E45J 30-39 years, male 34.3
GTEX-1HCU9-0326-SM-9WYSC 20-29 years, male 34.2
GTEX-144GL-2026-SM-5LU3O 50-59 years, male 34.1
GTEX-1211K-1926-SM-5EQLB 60-69 years, female 34.0
GTEX-Q2AG-0326-SM-48U1O 40-49 years, female 34.0
GTEX-1GZHY-0726-SM-9WG6B 50-59 years, female 34.0
GTEX-1IE54-0626-SM-ARL8D 40-49 years, female 34.0
GTEX-X4EP-2926-SM-3P5YQ 60-69 years, female 33.9
GTEX-1HR98-0426-SM-COH36 60-69 years, male 33.9
GTEX-YJ8O-2226-SM-5IFHW 40-49 years, female 33.7
GTEX-11NV4-2026-SM-5N9DG 60-69 years, male 33.6
GTEX-TML8-1226-SM-32QON 40-49 years, female 33.6
GTEX-13QIC-2326-SM-5LU5N 60-69 years, female 33.4
GTEX-145ME-1526-SM-5Q5F2 40-49 years, female 33.4
GTEX-13NZ9-1026-SM-5MR5K 50-59 years, male 33.3
GTEX-WRHU-0326-SM-3MJFY 50-59 years, female 33.3
GTEX-1GN1U-0526-SM-9KNTT 50-59 years, female 33.3
GTEX-1R9JW-0326-SM-EAZ45 30-39 years, female 33.3
GTEX-1314G-1226-SM-5BC6D 30-39 years, male 33.2
GTEX-15UF6-0126-SM-6PAMB 70-79 years, female 33.1
GTEX-RU72-0626-SM-46MUI 50-59 years, female 33.1
GTEX-S341-1526-SM-4AD6K 40-49 years, female 33.1
GTEX-11GSP-0926-SM-9WYSG 60-69 years, female 33.1
GTEX-ZGAY-1726-SM-DO91P 40-49 years, female 33.1
GTEX-1LGRB-1826-SM-CNPQL 50-59 years, female 32.8
GTEX-UPK5-2326-SM-3P5Z8 40-49 years, male 32.7
GTEX-1C6VS-0726-SM-7EPHF 60-69 years, male 32.6
GTEX-1HBPN-2326-SM-9WPPU 50-59 years, male 32.6
GTEX-117XS-1926-SM-5GICO 60-69 years, male 32.5
GTEX-QDT8-0626-SM-48TYW 30-39 years, female 32.3
GTEX-1J8EW-2626-SM-CL53E 60-69 years, female 32.3
GTEX-TKQ1-0226-SM-33HB5 30-39 years, male 32.2
GTEX-13SLW-2526-SM-62LDQ 70-79 years, male 32.0
GTEX-17KNJ-2026-SM-7LG53 50-59 years, male 31.7
GTEX-ZC5H-2626-SM-5J2MG 40-49 years, female 31.7
GTEX-ZPIC-1126-SM-5BC7F 40-49 years, female 31.7
GTEX-ZTTD-1026-SM-51MRD 50-59 years, male 31.7
GTEX-ZV7C-1826-SM-5NQ83 50-59 years, male 31.6
GTEX-1JKYR-0926-SM-CMKGJ 20-29 years, male 31.6
GTEX-13W3W-1226-SM-5LU4H 60-69 years, female 31.5
GTEX-W5X1-2326-SM-3GIL6 40-49 years, female 31.4
GTEX-YB5E-1726-SM-5IFJ3 40-49 years, male 31.4
GTEX-1IDJE-0826-SM-CKZNZ 50-59 years, female 31.3
GTEX-12WSN-1326-SM-5GCNT 40-49 years, male 31.2
GTEX-1A3MV-1626-SM-731C1 30-39 years, male 31.1
GTEX-1269C-2426-SM-5FQSN 60-69 years, female 31.0
GTEX-14BMV-0626-SM-793AU 50-59 years, male 31.0
GTEX-1GMR2-1926-SM-9MQLZ 50-59 years, male 31.0
GTEX-Y3I4-1526-SM-4TT7K 50-59 years, male 30.9
GTEX-ZF3C-2326-SM-5S2NC 50-59 years, female 30.9
GTEX-18D9A-1526-SM-7LG4J 30-39 years, female 30.8
GTEX-ZYFC-0826-SM-5E44K 50-59 years, male 30.8
GTEX-1R7EV-1526-SM-E8VOD 40-49 years, male 30.8
GTEX-ZAK1-1326-SM-EVYAS 50-59 years, female 30.7
GTEX-11EI6-0626-SM-5985T 60-69 years, male 30.3
GTEX-13O3O-0826-SM-5K7WE 60-69 years, female 30.2
GTEX-18A7A-0726-SM-7LTAI 50-59 years, female 30.2
GTEX-U412-1826-SM-4DXTJ 60-69 years, male 30.1
GTEX-1H1CY-2226-SM-9WG7E 60-69 years, female 30.1
GTEX-1QP9N-1826-SM-E8VMP 30-39 years, male 30.1
GTEX-11EQ9-1826-SM-5Q5AJ 30-39 years, male 30.0
GTEX-15FZZ-0726-SM-7KUFZ 30-39 years, female 29.9
GTEX-WY7C-2726-SM-3NB3P 50-59 years, male 29.9
GTEX-S4UY-0726-SM-4AD6X 40-49 years, female 29.8
GTEX-1GF9U-1726-SM-7MGY5 40-49 years, female 29.8
GTEX-1122O-1226-SM-5H113 60-69 years, female 29.7
GTEX-1IDJH-2226-SM-E6CJV 70-79 years, male 29.6
GTEX-1J8Q3-1326-SM-CMKI1 60-69 years, male 29.4
GTEX-ZQUD-1926-SM-51MSA 30-39 years, male 29.2
GTEX-1B97J-0426-SM-79OLQ 50-59 years, female 29.1
GTEX-1EKGG-2626-SM-7IGPY 60-69 years, male 29.1
GTEX-ZF29-1926-SM-5S2P1 60-69 years, female 29.0
GTEX-1GMR8-0726-SM-9KNVI 50-59 years, female 28.9
GTEX-ZVT2-1826-SM-5NQ8W 50-59 years, female 28.8
GTEX-YB5K-1626-SM-5IFIN 40-49 years, female 28.7
GTEX-1JK1U-1826-SM-ARL8W 60-69 years, male 28.7
GTEX-1CAMR-1426-SM-793BO 20-29 years, male 28.5
GTEX-11EMC-2026-SM-5A5JV 60-69 years, female 28.4
GTEX-1GMRU-0826-SM-9WYT7 50-59 years, male 28.3
GTEX-13PL6-2926-SM-5L3I2 40-49 years, female 28.2
GTEX-1LVAM-0926-SM-E9TJ2 50-59 years, female 28.2
GTEX-Y5V6-2126-SM-4WWFX 60-69 years, male 28.1
GTEX-18QFQ-0826-SM-718AX 30-39 years, male 28.0
GTEX-1I19N-2826-SM-CL55D 70-79 years, male 28.0
GTEX-14LLW-0626-SM-62LFC 70-79 years, female 27.9
GTEX-1C475-1226-SM-7SB72 40-49 years, female 27.9
GTEX-16NGA-0826-SM-718AF 40-49 years, female 27.8
GTEX-R3RS-0626-SM-48FE1 40-49 years, female 27.7
GTEX-1F75A-1826-SM-7SB8G 50-59 years, male 27.6
GTEX-1GN2E-2226-SM-9WG6J 60-69 years, male 27.6
GTEX-1KAFJ-0226-SM-DIPEL 50-59 years, male 27.6
GTEX-1313W-0826-SM-5EQ4T 50-59 years, female 27.5
GTEX-13FHO-0826-SM-5L3E8 60-69 years, male 27.5
GTEX-1GN1W-1926-SM-7P8TH 50-59 years, female 27.5
GTEX-1MCC2-2126-SM-EWRON 30-39 years, female 27.4
GTEX-11DXZ-1926-SM-5GZZL 50-59 years, male 27.3
GTEX-ZVTK-0326-SM-51MRR 20-29 years, male 27.3
GTEX-145MF-2226-SM-7EPIR 50-59 years, male 27.2
GTEX-Y3IK-2326-SM-4WWDT 50-59 years, female 27.1
GTEX-1EN7A-1426-SM-7PBY4 40-49 years, male 27.1
GTEX-X15G-1626-SM-3NMB3 50-59 years, female 26.9
GTEX-WYJK-1326-SM-3NB2T 50-59 years, male 26.7
GTEX-14ICK-2426-SM-6EU27 40-49 years, male 26.5
GTEX-17HHE-1426-SM-7EPH4 50-59 years, male 26.5
GTEX-VUSG-2226-SM-4KKZO 50-59 years, male 26.5
GTEX-11WQC-1726-SM-5GU4W 60-69 years, male 26.4
GTEX-1JJE9-2326-SM-ARL8Q 70-79 years, male 26.4
GTEX-1B8L1-2426-SM-9WYTE 60-69 years, male 26.2
GTEX-Y8LW-1626-SM-5IFHX 50-59 years, female 26.1
GTEX-1AX8Z-0926-SM-731AW 60-69 years, male 25.9
GTEX-WYVS-1726-SM-3NMAY 40-49 years, female 25.9
GTEX-XBED-1626-SM-47JYN 60-69 years, male 25.9
GTEX-1J8Q2-2726-SM-A9G2X 60-69 years, male 25.8
GTEX-13NZB-2126-SM-5MR4Y 30-39 years, male 25.7
GTEX-1B8KZ-1526-SM-7DUG7 50-59 years, male 25.7
GTEX-1MA7W-1026-SM-DKPQK 20-29 years, female 25.6
GTEX-XOT4-0726-SM-4GIAW 60-69 years, female 25.4
GTEX-14A5I-0726-SM-5TDEB 50-59 years, female 25.3
GTEX-1GPI7-0926-SM-7PC3J 20-29 years, male 25.3
GTEX-131XW-0726-SM-5EGK3 50-59 years, female 25.0
GTEX-17HG3-0126-SM-7IGNH 30-39 years, female 25.0
GTEX-ZTX8-1226-SM-4YCE9 20-29 years, male 25.0
GTEX-14PN4-0626-SM-62LFP 50-59 years, male 24.9
GTEX-1KXAM-1026-SM-CY8IA 60-69 years, male 24.9
GTEX-1IKOH-2326-SM-CM2TW 60-69 years, female 24.8
GTEX-145LT-0726-SM-5S2VM 40-49 years, male 24.7
GTEX-1CB4E-0226-SM-79OLW 60-69 years, male 24.7
GTEX-1K2DA-1726-SM-CGQGS 50-59 years, male 24.6
GTEX-1CB4J-1826-SM-7EWF9 60-69 years, male 24.5
GTEX-WFON-1826-SM-3GILG 40-49 years, male 24.5
GTEX-111YS-1926-SM-5GICC 60-69 years, male 24.3
GTEX-1B97I-0426-SM-79OL7 40-49 years, male 24.3
GTEX-ZDYS-1126-SM-5K7UB 50-59 years, male 24.3
GTEX-1I6K7-1026-SM-A9SLK 40-49 years, male 24.3
GTEX-11ZTT-2326-SM-5EQLG 60-69 years, female 24.1
GTEX-131YS-0626-SM-5EGKL 60-69 years, female 24.1
GTEX-1R7EU-1226-SM-E8VMR 60-69 years, male 24.1
GTEX-1ICG6-1326-SM-ACKWR 70-79 years, female 23.8
GTEX-1M5QR-2526-SM-E9U5P 40-49 years, male 23.8
GTEX-13FTY-2226-SM-5J1ND 40-49 years, female 23.5
GTEX-1LSNM-1326-SM-E9TJ1 50-59 years, male 23.5
GTEX-1C64O-0726-SM-7DUFU 60-69 years, male 23.3
GTEX-1A8G7-2426-SM-731AK 60-69 years, male 23.2
GTEX-1HUB1-1626-SM-CM2SL 60-69 years, male 23.1
GTEX-13N11-1726-SM-5J1OJ 50-59 years, female 22.9
GTEX-1F6I4-2526-SM-7SB8F 60-69 years, male 22.8
GTEX-17HHY-0926-SM-793C1 50-59 years, male 22.6
GTEX-13OW5-2226-SM-5L3HC 60-69 years, male 21.9
GTEX-1JMQK-2626-SM-COH2W 60-69 years, male 21.9
GTEX-YFC4-1426-SM-5IFJG 40-49 years, female 21.7
GTEX-1I1HK-2426-SM-ADEHX 60-69 years, male 21.7
GTEX-11TT1-2126-SM-5GU5Y 20-29 years, male 21.5
GTEX-XMD1-0826-SM-4AT52 60-69 years, male 21.3
GTEX-WYBS-0926-SM-3NM94 60-69 years, female 21.1
GTEX-T6MN-0726-SM-32PML 50-59 years, male 20.7
GTEX-1IKJJ-2326-SM-COH3U 60-69 years, male 20.7
GTEX-1HCVE-2626-SM-ADEJ8 50-59 years, male 20.5
GTEX-1RQEC-2026-SM-DTXDM 60-69 years, male 20.5
GTEX-11P7K-0726-SM-5EGKX 30-39 years, male 20.3
GTEX-ZU9S-1926-SM-5NQBP 30-39 years, male 20.3
GTEX-1GPI6-0626-SM-7RHHJ 60-69 years, male 20.3
GTEX-1KANA-2026-SM-DIPFB 20-29 years, male 20.3
GTEX-1JMPY-0526-SM-CL54O 30-39 years, male 20.2
GTEX-1MJK2-2226-SM-EVYCR 50-59 years, male 20.2
GTEX-17EVP-0226-SM-79OND 40-49 years, male 20.1
GTEX-QEL4-2126-SM-447AE 50-59 years, male 20.1
GTEX-ZF2S-2026-SM-5E461 50-59 years, female 20.1
GTEX-1N2EE-2126-SM-E8VNN 60-69 years, male 19.8
GTEX-1CB4G-2326-SM-79OOI 60-69 years, male 19.6
GTEX-T5JW-2026-SM-4DM63 20-29 years, female 19.6
GTEX-1H1E6-0926-SM-9YFLT 30-39 years, male 19.6
GTEX-U3ZH-1426-SM-4DXSR 30-39 years, male 19.5
GTEX-WFG8-2026-SM-EXOHO 20-29 years, male 19.5
GTEX-1GMR3-2626-SM-7RHHG 40-49 years, male 19.2
GTEX-1N5O9-1126-SM-DTXEQ 60-69 years, male 19.0
GTEX-1KD4Q-2326-SM-D4P3M 40-49 years, male 18.7
GTEX-1RAZS-1226-SM-E8VMT 50-59 years, male 18.5
GTEX-QEG5-0726-SM-D4P1T 20-29 years, male 18.5
GTEX-147F4-2826-SM-5NQBN 50-59 years, male 18.3
GTEX-1QP29-1726-SM-E8VMQ 50-59 years, male 17.9
GTEX-T5JC-2126-SM-32PMO 20-29 years, male 17.7
GTEX-Y111-2026-SM-4SOJA 50-59 years, male 17.7
GTEX-1B8SG-1226-SM-7IGPF 50-59 years, male 17.6
GTEX-1F75I-2026-SM-7SB7N 40-49 years, male 17.5
GTEX-13CF2-2026-SM-5K7VI 60-69 years, male 17.2
GTEX-11GS4-2126-SM-5A5KR 60-69 years, male 17.1
GTEX-1QCLY-1626-SM-DTXDW 30-39 years, male 17.0
GTEX-1HKZK-1826-SM-ADEJ2 40-49 years, male 16.7
GTEX-1BAJH-0826-SM-7EWEF 70-79 years, male 15.9
GTEX-1JMPZ-1626-SM-COH31 30-39 years, male 15.5
GTEX-1RAZQ-1226-SM-EWRNL 30-39 years, male 15.2
GTEX-11DXW-0626-SM-5N9ER 40-49 years, male 14.6
GTEX-1JJEA-2726-SM-ARL8V 60-69 years, male 14.5
GTEX-11PRG-0826-SM-5EQ6A 50-59 years, male 14.4
GTEX-1GZ2Q-2626-SM-7MXV9 40-49 years, male 13.9
GTEX-ZTPG-2826-SM-57WGA 20-29 years, female 13.7
GTEX-1IY9M-2726-SM-CMKG5 60-69 years, male 13.3
GTEX-1HSKV-2026-SM-CMKGX 60-69 years, male 13.0
GTEX-14ABY-2126-SM-5QGQZ 50-59 years, male 8.4
Show allShow less

BREAST - FANTOM5 CAGEi

RNA expression in human tissues obtained through Cap Analysis of Gene Expression (CAGE) generated by the FANTOM5 project are reported as Scaled Tags Per Million.

Max subtype Scaled Tags Per Millioni

Max subtype Scaled Tags Per Million is the value for the subtype with the largest average Scaled Tags Per Million across the subtype samples.

101.1
FANTOM5 sample id Sample description Scaled Tags Per Million
Breast
Scaled Tags Per Million: 101.1
FF:10080-102A8 77 years, female 101.1

Contact

  • NEWS ARTICLES
  • PRESS ROOM

The Project

  • INTRODUCTION
  • ORGANIZATION
  • PUBLICATIONS

The Human Protein Atlas

  • DOWNLOADABLE DATA
  • LICENCE & CITATION
  • HELP & FAQ
The Human Protein Atlas project is funded
by the Knut & Alice Wallenberg Foundation.


contact@proteinatlas.org