We use cookies to enhance the usability of our website. If you continue, we'll assume that you are happy to receive all cookies. More information. Don't show this again.
SIRPA
HPA
RESOURCES
  • TISSUE
  • BRAIN
  • SINGLE CELL
  • SUBCELLULAR
  • CANCER
  • BLOOD
  • CELL LINE
  • STRUCTURE & INTERACTION
ABOUT
  • INTRODUCTION
  • HISTORY
  • ORGANIZATION
  • PUBLICATIONS
  • ANTIBODY SUBMISSION
  • ANTIBODY AVAILABILITY
  • ACKNOWLEDGMENTS
  • CONTACT
NEWS
  • NEWS ARTICLES
  • PRESS ROOM
LEARN
  • DICTIONARY
  • PROTEIN CLASSES
  • PROTEIN EVIDENCE
  • METHODS
  • EDUCATIONAL VIDEOS
DATA
  • DOWNLOADABLE DATA
  • PUBLICATION DATA
  • RELEASE HISTORY
HELP
  • ANTIBODY VALIDATION
  • ASSAYS & ANNOTATION
  • DISCLAIMER
  • HELP & FAQ
  • PRIVACY STATEMENT
  • LICENCE & CITATION
Fields »
Search result

Field
Term
Gene name
Class
Subclass
Class
Keyword
Chromosome
External id
Tissue
Cell type
Expression
Antibody panel
Tissue
Main location
Patient ID
Annotation
Tissue
Category
Tau score
Cluster
Reliability
Brain region
Category
Tau score
Brain region
Category
Tau score
Brain region
Category
Tau score
Cluster
Reliability
Tissue
Cell type
Enrichment
Cell type
Category
Tau score
Cell type
Category
Tau score
Cell type
Category
Tau score
Cell lineage
Category
Tau score
Cluster
Cluster
Location
Searches
Location
Cell line
Class
Type
Phase
Reliability
Cancer
Prognosis
Cancer
Category
Cancer
Category
Tau score
Cluster
Variants
Interacting gene (ensg_id)
Type
Number of interactions
Pathway
Category
Score
Score
Score
Validation
Validation
Validation
Validation
Antibodies
Data type
Column


  • SUMMARY

  • TISSUE

  • BRAIN

  • SINGLE CELL

  • SUBCELL

  • CANCER

  • BLOOD

  • CELL LINE

  • STRUCT & INT

  • SIRPA
TISSUE PRIMARY DATA STOMACH Show tissue menu
ADIPOSE TISSUE ADRENAL GLAND AMYGDALA APPENDIX BASAL GANGLIA BONE MARROW BREAST BRONCHUS CEREBELLUM CEREBRAL CORTEX CERVIX CHOROID PLEXUS COLON DUODENUM
ENDOMETRIUM EPIDIDYMIS ESOPHAGUS FALLOPIAN TUBE GALLBLADDER HEART MUSCLE HIPPOCAMPAL FORMATION HYPOTHALAMUS KIDNEY LIVER LUNG LYMPH NODE MIDBRAIN ORAL MUCOSA
OVARY PANCREAS PARATHYROID GLAND PITUITARY GLAND PLACENTA PROSTATE RECTUM RETINA SALIVARY GLAND SEMINAL VESICLE SKELETAL MUSCLE SKIN SMALL INTESTINE SMOOTH MUSCLE
SOFT TISSUE SPINAL CORD SPLEEN STOMACH TESTIS THYMUS THYROID GLAND TONGUE TONSIL URINARY BLADDER VAGINA
ANTIBODIES
AND
VALIDATION
Dictionary
Tissue proteome
Stomach
STOMACH - Expression summary
Protein expression
Stomachi

On the top, protein expression in current human tissue, based on all annotated cell types, is reported with the units not detected (n), low (l), medium (m) and high (h). Underneath, protein expression in each annotated cell type are reported using the same units.

Protein expression data is based on knowledge-based annotation. For genes where more than one antibody has been used, a collective score is set.

If knowledge-based annotation could not be performed for a gene, no data is displayed here. View antibody staining data further down this page.

h
m
l
n
Glandular cells: Medium
RNA expressioni

A summary of mRNA expression data available for current tissue based on several datasets. The mRNA expression levels in human tissues are based on RNA-seq data generated by the Human Protein Atlas (HPA), Genotype-Tissue Expression (GTEx) portal and CAGE data generated by the FANTOM5 consortium. Consensus normalized expression levels for human tissues was created by combining the data from HPA and GTEx datasets.

The mRNA expression levels in pig are based on RNA-seq data generated by the Human Protein Atlas (HPA), and for mouse, HPA data and in situ hybridization generated by the Allen brain atlas are reported.

Scroll down to view mRNA expression data in more detail.
Consensus:11.5 nTPM
HPA:9.5 nTPM
GTEx:11.5 nTPM

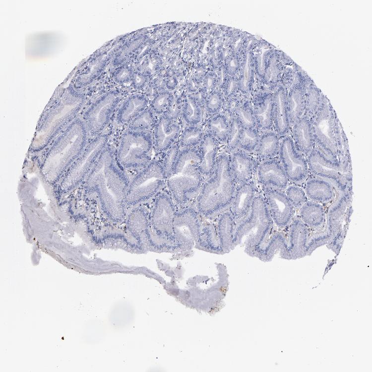
STOMACH 1 - Antibody stainingi

Antibody staining in the annotated cell types in the current human tissue is reported as not detected, low, medium, or high, based on conventional immunohistochemistry profiling in selected tissues. This score is based on the combination of the staining intensity and fraction of stained cells.

Each image is clickable and will lead to virtual microscopy that enables deeper exploration of all samples and also displays staining intensity scores, fraction scores and subcellular localization as well as patient and tissue information for each sample.

Antibody HPA054437Antibody HPA058511Antibody CAB002776Antibody CAB015122
Glandular cells Not detectedNot detectedNot detectedNot detected





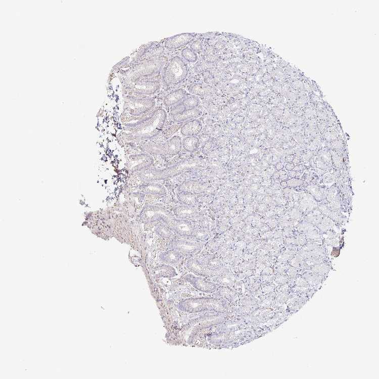
STOMACH 2 - Antibody stainingi

Antibody staining in the annotated cell types in the current human tissue is reported as not detected, low, medium, or high, based on conventional immunohistochemistry profiling in selected tissues. This score is based on the combination of the staining intensity and fraction of stained cells.

Each image is clickable and will lead to virtual microscopy that enables deeper exploration of all samples and also displays staining intensity scores, fraction scores and subcellular localization as well as patient and tissue information for each sample.

Antibody HPA054437Antibody HPA058511Antibody CAB002776Antibody CAB015122
Glandular cells Not detectedNot detectedMediumNot detected









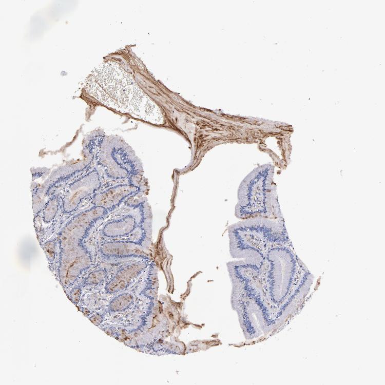
STOMACH - HPA RNA-seqi

The RNA-seq details section shows detailed information about the individual samples used for the transcript profiling and results of the RNA-seq analysis.

Information about each individual sample is listed below, including gender, age, a tissue section image and estimated fractions of cell types. nTPM (normalized transcripts per million) values give a quantification of the gene abundance which is comparable between different genes and samples.
Average nTPMi

Max subtype nTPM is the value for the subtype with the largest average nTPM across the subtype samples.

9.5
overview
Female, age 33
Stomach sample 61
nTPM: 10.7
Cell types%
Glandular cells:
60

Smooth muscle cells:
5

Other cell types:
35

N/A
Male, age 82
Stomach sample 240
nTPM: 9
Cell types%
Glandular cells:
65

Smooth muscle cells:
5

Other cell types:
30

overview
Male, age 71
Stomach sample 241
nTPM: 13.6
Cell types%
Glandular cells:
50

Smooth muscle cells:
5

Other cell types:
45

overview
Female, age 66
Stomach sample 369
nTPM: 4.6
Cell types%
Glandular cells:
50

Smooth muscle cells:
10

Other cell types:
40


STOMACH - GTEx RNA-seqi

RNA-Seq data generated by the Genotype-Tissue Expression (GTEx) project from human tissues is reported as mean nTPM. More information can be found on the GTEx portal.

Distribution across the dataset is visualized with box plots, shown as median and 25th and 75th percentiles. Points are displayed as outliers if they are above or below 1.5 times the interquartile range. nTPM values of the individual samples are presented next to the box plot.
Max subtype nTPMi

Max subtype nTPM is the value for the subtype with the largest average nTPM across the subtype samples.

11.5
GTEx sample id Sample description nTPM
Stomach
Average nTPM: 11.5
Samples: 359

Max nTPM: 87.3
Min nTPM: 2.8
Std nTPM: 7.3
Median nTPM: 8.9
GTEX-1L5NE-1526-SM-DIPFW 50-59 years, male 87.3
GTEX-17EUY-1526-SM-793CA 20-29 years, male 34.1
GTEX-11WQK-2626-SM-5EQ4K 50-59 years, male 33.0
GTEX-1H23P-2726-SM-9JGHN 60-69 years, male 31.0
GTEX-1HR9M-2326-SM-CNPPZ 60-69 years, male 30.3
GTEX-RUSQ-1126-SM-EAZAU 50-59 years, male 29.9
GTEX-1HCUA-1626-SM-A9SMG 50-59 years, female 29.6
GTEX-ZYVF-2726-SM-5GID4 50-59 years, female 28.9
GTEX-P4QT-1526-SM-3NMCT 50-59 years, female 28.3
GTEX-15G1A-1226-SM-7KUF3 30-39 years, male 26.2
GTEX-1JMPY-0926-SM-ARL92 30-39 years, male 25.9
GTEX-R55G-1126-SM-48FDG 40-49 years, female 25.3
GTEX-1MCYP-1126-SM-E9J2P 20-29 years, female 25.3
GTEX-13QJ3-2726-SM-5SI6L 50-59 years, male 25.2
GTEX-1A3MX-1926-SM-72D7F 60-69 years, male 25.1
GTEX-14PHY-0926-SM-5ZZWL 60-69 years, female 25.0
GTEX-UPK5-2126-SM-4JBJK 40-49 years, male 24.9
GTEX-1JN1M-2926-SM-CNNPJ 60-69 years, female 24.1
GTEX-146FH-2126-SM-5SI9U 50-59 years, female 23.9
GTEX-12WSJ-0926-SM-5P9JD 40-49 years, female 23.8
GTEX-15SHW-2126-SM-6M46Y 60-69 years, male 23.4
GTEX-ZPIC-2026-SM-57WG3 40-49 years, female 22.9
GTEX-1N2DV-0926-SM-E9TJT 40-49 years, male 22.9
GTEX-15G19-1526-SM-6LPKP 60-69 years, male 21.7
GTEX-R55C-1026-SM-48FCM 40-49 years, male 21.7
GTEX-1211K-1426-SM-5FQTF 60-69 years, female 21.3
GTEX-1339X-1426-SM-5K7YO 40-49 years, male 21.3
GTEX-11EI6-2426-SM-5PNVS 60-69 years, male 21.1
GTEX-131XE-2226-SM-5PNYX 50-59 years, male 21.1
GTEX-146FR-2026-SM-5NQAI 60-69 years, female 21.1
GTEX-OIZH-1526-SM-3NB1J 50-59 years, male 20.9
GTEX-ZE7O-3026-SM-51MS4 50-59 years, female 20.7
GTEX-QDT8-2026-SM-EZ6LS 30-39 years, female 20.7
GTEX-R55D-1526-SM-48FEJ 50-59 years, male 20.6
GTEX-1E1VI-2826-SM-7MGWU 50-59 years, male 20.6
GTEX-WH7G-1526-SM-4LVMX 40-49 years, male 20.5
GTEX-11EQ9-1226-SM-5987E 30-39 years, male 20.2
GTEX-TKQ1-0526-SM-4DXTG 30-39 years, male 20.2
GTEX-1HCU8-1326-SM-C1YQQ 60-69 years, female 20.0
GTEX-1LVAM-1426-SM-E9TJ4 50-59 years, female 19.7
GTEX-11P82-0726-SM-5PNYL 20-29 years, male 19.4
GTEX-PLZ6-0826-SM-3P61K 30-39 years, male 19.4
GTEX-O5YV-1926-SM-EV797 60-69 years, female 19.4
GTEX-1S831-1126-SM-EWROI 20-29 years, male 19.2
GTEX-13X6H-1626-SM-5Q5CT 50-59 years, female 19.0
GTEX-TKQ2-0926-SM-4DXU5 50-59 years, male 18.9
GTEX-1NSGN-1926-SM-E9J36 50-59 years, male 18.8
GTEX-1CB4H-2426-SM-7PBYR 60-69 years, female 18.3
GTEX-12C56-0526-SM-5FQST 20-29 years, male 18.2
GTEX-XAJ8-0326-SM-47JYI 40-49 years, male 18.0
GTEX-1PIGE-1126-SM-EWRMV 20-29 years, male 18.0
GTEX-13N1W-2026-SM-5K7YU 70-79 years, male 17.9
GTEX-S4P3-0726-SM-4AD57 50-59 years, female 17.8
GTEX-1H3NZ-2226-SM-9WYUT 60-69 years, male 17.7
GTEX-14PKU-1126-SM-69LOU 40-49 years, female 17.6
GTEX-17KNJ-1526-SM-7LTA9 50-59 years, male 17.6
GTEX-UJHI-1026-SM-4IHJP 50-59 years, female 17.6
GTEX-P4PQ-1526-SM-3NMCK 60-69 years, male 17.5
GTEX-RU1J-0526-SM-46MUT 20-29 years, female 17.5
GTEX-1HT8W-2326-SM-A9SLA 30-39 years, male 17.5
GTEX-ZV6S-0926-SM-57WGB 40-49 years, female 17.4
GTEX-1JKYN-1726-SM-AHZ48 30-39 years, male 17.4
GTEX-13OVI-2426-SM-5KM4J 60-69 years, female 17.3
GTEX-YJ8A-1526-SM-5P9FT 20-29 years, male 17.3
GTEX-132AR-2426-SM-5IFFD 50-59 years, female 17.1
GTEX-1H1DE-1226-SM-9JGHH 20-29 years, male 17.0
GTEX-1QP28-2126-SM-DTX8B 50-59 years, female 17.0
GTEX-13111-1226-SM-5GCNC 50-59 years, male 16.9
GTEX-15EU6-2526-SM-7KUGB 50-59 years, male 16.9
GTEX-1CB4E-1326-SM-7DUGD 60-69 years, male 16.9
GTEX-T5JC-1926-SM-4DM6Q 20-29 years, male 16.9
GTEX-Y3I4-1626-SM-4TT7W 50-59 years, male 16.8
GTEX-139YR-1926-SM-5LZXM 50-59 years, male 16.6
GTEX-11VI4-0326-SM-5EQ6L 40-49 years, female 16.5
GTEX-13O3Q-2126-SM-5KM4C 50-59 years, male 16.5
GTEX-1H1DG-2126-SM-9WPPB 70-79 years, male 16.4
GTEX-1IL2V-2026-SM-ARZMA 70-79 years, male 16.3
GTEX-1E2YA-2426-SM-7EPIG 50-59 years, male 16.0
GTEX-1GPI7-1326-SM-9KNVA 20-29 years, male 16.0
GTEX-1EH9U-2226-SM-7PBXX 60-69 years, male 15.9
GTEX-1QP29-2326-SM-EXOJO 50-59 years, male 15.9
GTEX-1I4MK-0926-SM-A9SLD 50-59 years, female 15.7
GTEX-1QP67-1026-SM-EVR47 40-49 years, female 15.7
GTEX-1JMQJ-1326-SM-D4P3B 50-59 years, male 15.6
GTEX-13O61-1126-SM-5L3FI 60-69 years, male 15.5
GTEX-14PN3-1326-SM-6AJ9U 60-69 years, female 15.5
GTEX-U4B1-1026-SM-4DXT1 40-49 years, male 15.5
GTEX-13RTK-0226-SM-5RQHR 20-29 years, male 15.4
GTEX-YEC3-1426-SM-D4P1S 50-59 years, male 15.4
GTEX-1399U-1626-SM-5P9J3 50-59 years, female 15.3
GTEX-Y8E4-1526-SM-4WWDI 40-49 years, male 15.3
GTEX-1QW4Y-0726-SM-DTX8E 30-39 years, male 15.3
GTEX-17JCI-2226-SM-7LTA1 60-69 years, female 15.2
GTEX-ZTX8-0426-SM-59HLG 20-29 years, male 15.2
GTEX-1H11D-2226-SM-9OSXN 40-49 years, male 15.2
GTEX-1JN76-0926-SM-ARZNH 20-29 years, female 15.2
GTEX-1F5PK-1826-SM-7RHHX 50-59 years, male 15.1
GTEX-1K2DA-0826-SM-CGQGD 50-59 years, male 14.9
GTEX-WFJO-1126-SM-4LVLZ 30-39 years, male 14.7
GTEX-1HSMQ-2426-SM-CE6RY 50-59 years, male 14.6
GTEX-14E1K-1526-SM-664MN 50-59 years, male 14.5
GTEX-1C64O-2226-SM-73KTV 60-69 years, male 14.4
GTEX-POMQ-0826-SM-3P61H 20-29 years, female 14.4
GTEX-1KD5A-1426-SM-D4P3V 50-59 years, male 14.3
GTEX-1S3DN-1526-SM-EVYCB 50-59 years, male 14.3
GTEX-1S82Z-1726-SM-E6CHZ 30-39 years, female 14.1
GTEX-XPVG-1526-SM-4B66C 50-59 years, male 14.0
GTEX-Y114-1226-SM-4TT88 50-59 years, female 14.0
GTEX-WZTO-2126-SM-4PQYW 40-49 years, male 13.9
GTEX-ZEX8-1626-SM-4WKG7 50-59 years, male 13.9
GTEX-11NUK-2426-SM-5BC4U 50-59 years, male 13.8
GTEX-145MO-2226-SM-5Q5BN 60-69 years, male 13.8
GTEX-1B8L1-1526-SM-79OLK 60-69 years, male 13.8
GTEX-11P7K-1726-SM-5GU6F 30-39 years, male 13.6
GTEX-14DAQ-2826-SM-664MU 60-69 years, female 13.5
GTEX-S7SF-0626-SM-4AD4V 20-29 years, female 13.5
GTEX-1IDJF-1426-SM-ACKWK 20-29 years, male 13.5
GTEX-1JMLX-2426-SM-CXZJQ 50-59 years, male 13.5
GTEX-SNOS-0826-SM-4DM5N 40-49 years, male 13.4
GTEX-XV7Q-1326-SM-4BRWM 40-49 years, female 13.1
GTEX-1PPH8-1326-SM-DTXFO 20-29 years, male 13.0
GTEX-RTLS-2626-SM-46MUJ 60-69 years, female 12.9
GTEX-QDVN-1226-SM-48TZ5 50-59 years, male 12.7
GTEX-13X6J-2126-SM-5TDCV 50-59 years, male 12.6
GTEX-14DAR-0926-SM-73KUQ 50-59 years, male 12.6
GTEX-ZYY3-1726-SM-5EGH3 60-69 years, female 12.6
GTEX-S4Z8-1226-SM-4AD6W 60-69 years, male 12.3
GTEX-WHPG-0426-SM-4M1XW 50-59 years, male 12.3
GTEX-QMRM-1126-SM-447BN 50-59 years, male 12.2
GTEX-139D8-2326-SM-5IFGE 30-39 years, female 12.1
GTEX-14BMV-2226-SM-5RQHX 50-59 years, male 12.1
GTEX-1HSEH-1526-SM-B2LXG 60-69 years, male 12.1
GTEX-15RIF-1126-SM-7KUG2 20-29 years, male 12.0
GTEX-1LGRB-1726-SM-CNNRA 50-59 years, female 12.0
GTEX-13FH7-1026-SM-5IJGF 50-59 years, female 11.8
GTEX-1LVAN-2426-SM-CNNPZ 50-59 years, female 11.8
GTEX-12BJ1-1726-SM-5HL9B 60-69 years, male 11.7
GTEX-1J8EW-2226-SM-AHZ3T 60-69 years, female 11.4
GTEX-17MF6-2126-SM-7KFS7 40-49 years, male 11.2
GTEX-18D9B-2226-SM-718BM 60-69 years, male 11.2
GTEX-WHWD-1426-SM-4OORU 50-59 years, male 11.2
GTEX-Y5LM-1326-SM-5RQIS 40-49 years, female 11.2
GTEX-13U4I-2526-SM-5SI8Z 40-49 years, female 11.1
GTEX-OHPK-1526-SM-3MJGM 50-59 years, female 11.1
GTEX-1J8JJ-1726-SM-C1YQG 60-69 years, female 11.1
GTEX-13PVR-2126-SM-73KVR 60-69 years, female 10.9
GTEX-1AX9J-2626-SM-731EK 60-69 years, male 10.9
GTEX-13PVQ-2126-SM-5L3FW 50-59 years, male 10.8
GTEX-16NGA-1526-SM-72D56 40-49 years, female 10.6
GTEX-17HII-2426-SM-7KFTT 50-59 years, male 10.6
GTEX-1JMPZ-1826-SM-CXZJT 30-39 years, male 10.5
GTEX-145LT-1426-SM-5O9B3 40-49 years, male 10.4
GTEX-T8EM-1226-SM-4DM5J 40-49 years, male 10.3
GTEX-WY7C-1726-SM-4ONCC 50-59 years, male 10.3
GTEX-PLZ5-1226-SM-EXOHA 50-59 years, male 10.3
GTEX-ZVP2-1626-SM-5GU5D 50-59 years, male 10.2
GTEX-1A3MV-1226-SM-718BW 30-39 years, male 10.1
GTEX-1LSNM-1026-SM-DHXL2 50-59 years, male 10.1
GTEX-14JG6-1226-SM-664O6 30-39 years, female 10.0
GTEX-SNMC-0626-SM-4DM6H 20-29 years, male 10.0
GTEX-1GF9U-1126-SM-AHZ4H 40-49 years, female 10.0
GTEX-13S7M-1826-SM-5RQK6 60-69 years, female 9.9
GTEX-1AMEY-1226-SM-731DU 30-39 years, female 9.9
GTEX-S4Q7-0726-SM-4AD5F 20-29 years, male 9.8
GTEX-ZVT3-2126-SM-59HL2 60-69 years, female 9.8
GTEX-WEY5-1226-SM-4LMIQ 40-49 years, female 9.7
GTEX-1IDJD-2426-SM-C1YS6 30-39 years, male 9.7
GTEX-1RQEC-2126-SM-DPS15 60-69 years, male 9.7
GTEX-Q734-1026-SM-48U16 40-49 years, female 9.5
GTEX-16AAH-1226-SM-79OO9 50-59 years, male 9.4
GTEX-Q2AH-1126-SM-48TZM 40-49 years, male 9.4
GTEX-1LBAC-1426-SM-CXZKT 20-29 years, male 9.4
GTEX-O5YW-1526-SM-3MJGL 50-59 years, male 9.3
GTEX-V1D1-1726-SM-4JBHB 50-59 years, male 9.3
GTEX-1I1GT-1726-SM-C1YS3 60-69 years, female 9.3
GTEX-1QCLY-1126-SM-EAZ4J 30-39 years, male 9.3
GTEX-12WSD-2326-SM-59HKQ 60-69 years, female 9.1
GTEX-PW2O-1226-SM-48TCH 20-29 years, male 9.0
GTEX-ZVZP-1726-SM-5GZWY 50-59 years, male 9.0
GTEX-131XF-1226-SM-5HL8V 60-69 years, male 8.9
GTEX-1C475-1026-SM-7MKFJ 40-49 years, female 8.7
GTEX-13D11-2126-SM-5IFH2 50-59 years, female 8.6
GTEX-OXRK-1626-SM-3NB17 50-59 years, female 8.6
GTEX-QDVJ-1426-SM-48U1Y 50-59 years, male 8.6
GTEX-1MUQO-1926-SM-EAZ59 60-69 years, male 8.6
GTEX-11TT1-0726-SM-5GU5A 20-29 years, male 8.5
GTEX-PWCY-0926-SM-48TD7 20-29 years, female 8.5
GTEX-XXEK-0826-SM-4BRWG 50-59 years, male 8.5
GTEX-ZY6K-0726-SM-5A5L8 50-59 years, male 8.5
GTEX-1HBPI-0726-SM-9WG7Z 50-59 years, male 8.5
GTEX-1RAZR-1526-SM-EAZ4U 40-49 years, male 8.5
GTEX-YEC4-1426-SM-5IFHS 40-49 years, male 8.4
GTEX-ZQUD-0826-SM-57WDQ 30-39 years, male 8.4
GTEX-ZZPU-1426-SM-5GZZ6 50-59 years, female 8.4
GTEX-ZGAY-1626-SM-DNZZ3 40-49 years, female 8.4
GTEX-18A67-2626-SM-718AD 50-59 years, male 8.3
GTEX-RM2N-0826-SM-48FD3 50-59 years, male 8.3
GTEX-17HGU-2126-SM-7IGOV 50-59 years, male 8.2
GTEX-18QFQ-1226-SM-718AE 30-39 years, male 8.2
GTEX-133LE-1326-SM-5IFGO 20-29 years, female 8.1
GTEX-13CF3-1926-SM-5K7WF 60-69 years, female 8.1
GTEX-XBEW-1826-SM-4RTWX 40-49 years, male 8.1
GTEX-1GMRU-2526-SM-9WG7T 50-59 years, male 8.1
GTEX-14B4R-0726-SM-5TDDR 30-39 years, male 8.0
GTEX-1B8KE-1326-SM-73KVI 50-59 years, male 8.0
GTEX-NFK9-1526-SM-3LK7B 40-49 years, male 8.0
GTEX-OOBJ-1526-SM-3NB1Q 60-69 years, male 8.0
GTEX-RWS6-0926-SM-47JXE 60-69 years, female 8.0
GTEX-1GN1W-2126-SM-9JGI7 50-59 years, female 8.0
GTEX-111YS-1126-SM-5GZYQ 60-69 years, male 7.9
GTEX-13113-0726-SM-5LZUF 60-69 years, female 7.9
GTEX-13OW6-2526-SM-5IJEC 50-59 years, male 7.9
GTEX-QXCU-1926-SM-48FE4 50-59 years, male 7.9
GTEX-14BIL-1926-SM-73KYI 50-59 years, male 7.8
GTEX-1F5PL-1426-SM-7MKFH 40-49 years, female 7.8
GTEX-S341-0626-SM-4AD5T 40-49 years, female 7.8
GTEX-ZXES-1426-SM-5NQ8S 30-39 years, female 7.8
GTEX-1I6K7-1726-SM-B2LXQ 40-49 years, male 7.8
GTEX-144GM-1726-SM-5O9AS 20-29 years, male 7.7
GTEX-ZF2S-1426-SM-57WET 50-59 years, female 7.7
GTEX-18D9A-0626-SM-7KFTY 30-39 years, female 7.6
GTEX-WHSB-1226-SM-4M1XR 50-59 years, male 7.6
GTEX-WYVS-1326-SM-4ONCQ 40-49 years, female 7.6
GTEX-117YW-2226-SM-5N9DB 50-59 years, male 7.5
GTEX-WRHK-0626-SM-4MVOE 20-29 years, female 7.5
GTEX-1QCLZ-1826-SM-DPRXP 60-69 years, female 7.5
GTEX-1R7EU-1126-SM-EAZ4M 60-69 years, male 7.5
GTEX-11NSD-1426-SM-5HL67 20-29 years, male 7.4
GTEX-13FTW-1726-SM-5KM2B 40-49 years, male 7.4
GTEX-13QBU-1126-SM-5LU44 40-49 years, female 7.4
GTEX-14BMU-1126-SM-5RQJ8 20-29 years, female 7.4
GTEX-14PHX-1026-SM-664OL 50-59 years, male 7.4
GTEX-1A8G6-1426-SM-731EZ 60-69 years, male 7.4
GTEX-1F75I-1826-SM-7MKGX 40-49 years, male 7.4
GTEX-1H3VY-2326-SM-9WG81 50-59 years, male 7.4
GTEX-OHPM-1526-SM-EV796 50-59 years, male 7.4
GTEX-XQ8I-2026-SM-4BOOL 50-59 years, male 7.3
GTEX-Y9LG-1026-SM-5IFJN 30-39 years, male 7.3
GTEX-ZF29-1526-SM-4WKF7 60-69 years, female 7.3
GTEX-OIZF-1526-SM-2I5GR 60-69 years, male 7.3
GTEX-11DXX-1326-SM-5GIDZ 60-69 years, female 7.2
GTEX-131XG-1226-SM-5EGH9 50-59 years, female 7.2
GTEX-15RIE-1026-SM-6LPJQ 60-69 years, male 7.2
GTEX-17F98-1526-SM-7EWD8 40-49 years, female 7.2
GTEX-17HHE-1026-SM-79ON6 50-59 years, male 7.2
GTEX-WYJK-2526-SM-4ONDF 50-59 years, male 7.2
GTEX-144GN-1226-SM-5O991 50-59 years, male 7.1
GTEX-1QMI2-2126-SM-DPRXQ 60-69 years, male 7.1
GTEX-1122O-1926-SM-5EGIQ 60-69 years, female 7.0
GTEX-12WSG-2026-SM-5FQUU 50-59 years, female 7.0
GTEX-18A66-2226-SM-7189E 60-69 years, male 7.0
GTEX-1CAMR-0726-SM-7EPIE 20-29 years, male 7.0
GTEX-S3XE-1026-SM-4AD4O 50-59 years, male 7.0
GTEX-S4UY-1626-SM-4AD55 40-49 years, female 7.0
GTEX-S95S-0826-SM-4B64N 60-69 years, male 7.0
GTEX-T6MO-0726-SM-4DM58 40-49 years, female 7.0
GTEX-1HBPN-1626-SM-9WPNP 50-59 years, male 7.0
GTEX-1R9K5-1026-SM-EAZ4F 50-59 years, male 7.0
GTEX-ZLFU-1326-SM-DO11R 40-49 years, male 7.0
GTEX-14PJ4-1626-SM-664OB 60-69 years, male 6.9
GTEX-1AYCT-1326-SM-7MKHB 50-59 years, male 6.9
GTEX-SUCS-0926-SM-4DM4Z 70-79 years, male 6.9
GTEX-WFG7-1326-SM-4LMK1 20-29 years, male 6.9
GTEX-YFCO-0826-SM-5LUAG 40-49 years, male 6.9
GTEX-1H1E6-1626-SM-9OSWC 30-39 years, male 6.9
GTEX-1JK1U-1326-SM-AHZ45 60-69 years, male 6.9
GTEX-ZLV1-0826-SM-DO11P 60-69 years, female 6.9
GTEX-P78B-1826-SM-3P5YX 40-49 years, female 6.8
GTEX-QCQG-0526-SM-48U2A 50-59 years, female 6.8
GTEX-ZAB4-1526-SM-5CVN7 40-49 years, male 6.8
GTEX-ZPU1-1626-SM-4WWB2 40-49 years, male 6.8
GTEX-14ICL-0826-SM-5YY9W 30-39 years, male 6.7
GTEX-R53T-1226-SM-48FCT 50-59 years, female 6.7
GTEX-WFG8-1326-SM-4LVN3 20-29 years, male 6.7
GTEX-1IDJU-1526-SM-CNNR3 60-69 years, female 6.7
GTEX-14PJ5-0826-SM-6AJAR 60-69 years, female 6.6
GTEX-15UF7-1226-SM-6M46G 40-49 years, male 6.6
GTEX-17F9E-2226-SM-7IGNC 50-59 years, male 6.6
GTEX-Y5V6-1326-SM-4VDTF 60-69 years, male 6.6
GTEX-1I1HK-2026-SM-CNNRB 60-69 years, male 6.6
GTEX-1QPFJ-1526-SM-DPRXT 30-39 years, female 6.6
GTEX-117YX-1026-SM-5H11V 50-59 years, male 6.5
GTEX-ZT9W-1526-SM-4YCDE 50-59 years, male 6.5
GTEX-14E6E-0926-SM-664N8 30-39 years, male 6.4
GTEX-Q2AI-0826-SM-48TZO 40-49 years, male 6.4
GTEX-QV31-0626-SM-447C5 30-39 years, male 6.4
GTEX-1J8Q3-1926-SM-C1YSJ 60-69 years, male 6.4
GTEX-ZLWG-1526-SM-DO12F 50-59 years, female 6.4
GTEX-12696-1726-SM-5EQLH 60-69 years, male 6.3
GTEX-ZV7C-1626-SM-5NQ7E 50-59 years, male 6.3
GTEX-1B97I-1226-SM-7MGWQ 40-49 years, male 6.3
GTEX-1HFI7-1526-SM-9WG7W 50-59 years, female 6.3
GTEX-132QS-1826-SM-5IFFN 60-69 years, male 6.2
GTEX-YB5E-1126-SM-664NU 40-49 years, male 6.2
GTEX-1MJIX-1126-SM-EV7AO 40-49 years, male 6.2
GTEX-VJYA-1026-SM-4KL21 60-69 years, male 6.1
GTEX-1GZ4H-1026-SM-9OSXL 50-59 years, female 6.1
GTEX-1KXAM-0926-SM-CXZKA 60-69 years, male 6.1
GTEX-TMMY-1626-SM-4DXTY 40-49 years, female 6.0
GTEX-ZA64-0826-SM-5HL9U 20-29 years, male 6.0
GTEX-1HKZK-1526-SM-B2LWG 40-49 years, male 6.0
GTEX-V955-1326-SM-4JBHR 60-69 years, male 5.9
GTEX-W5WG-1726-SM-4LMI5 50-59 years, female 5.9
GTEX-1MGNQ-1826-SM-DPRYI 40-49 years, male 5.9
GTEX-OXRL-1526-SM-E6CHQ 50-59 years, male 5.9
GTEX-XMK1-1526-SM-EYYVO 40-49 years, male 5.9
GTEX-18A7A-2726-SM-7LG6U 50-59 years, female 5.7
GTEX-ZZ64-0426-SM-5E43F 20-29 years, male 5.7
GTEX-11EM3-1026-SM-5A5KL 20-29 years, female 5.6
GTEX-1AMFI-1226-SM-731CZ 50-59 years, female 5.5
GTEX-1J8QM-1126-SM-C1YQB 60-69 years, female 5.5
GTEX-1RMOY-1126-SM-EV79E 50-59 years, male 5.5
GTEX-QV44-1226-SM-CJI1S 50-59 years, male 5.5
GTEX-14PKV-1826-SM-69LO9 20-29 years, female 5.3
GTEX-14PJ6-0826-SM-686Z9 60-69 years, female 5.2
GTEX-WFON-1126-SM-4LVMA 40-49 years, male 5.2
GTEX-12WSK-1426-SM-5CVNN 40-49 years, female 5.1
GTEX-145ME-1026-SM-5O9B4 40-49 years, female 5.1
GTEX-14PJ3-1426-SM-664O8 50-59 years, male 5.1
GTEX-15DCE-1626-SM-6LPJM 20-29 years, male 5.1
GTEX-1LGOU-1526-SM-D3LAJ 20-29 years, female 5.1
GTEX-1QP2A-2126-SM-DPRZ7 50-59 years, male 5.1
GTEX-1399R-1126-SM-5IFIO 30-39 years, male 5.0
GTEX-QLQ7-0826-SM-447B3 60-69 years, male 5.0
GTEX-U3ZN-2026-SM-4DXUC 30-39 years, female 5.0
GTEX-13OVK-0926-SM-7KUFX 40-49 years, male 4.9
GTEX-145MN-1326-SM-5NQ9S 30-39 years, male 4.9
GTEX-1B8KZ-1226-SM-793CP 50-59 years, male 4.9
GTEX-1GL5R-1926-SM-9WG7U 50-59 years, male 4.9
GTEX-11I78-1726-SM-5A5M3 50-59 years, female 4.8
GTEX-15DZA-1126-SM-6LPK8 30-39 years, female 4.8
GTEX-T5JW-0926-SM-4DM5K 20-29 years, female 4.8
GTEX-X15G-1126-SM-4PQZG 50-59 years, female 4.8
GTEX-XBED-1226-SM-4AT5V 60-69 years, male 4.8
GTEX-Y3IK-1426-SM-4YCES 50-59 years, female 4.8
GTEX-11GSP-2126-SM-5HL5E 60-69 years, female 4.7
GTEX-UJMC-1226-SM-4IHLI 50-59 years, male 4.7
GTEX-XUZC-0726-SM-4BOPH 30-39 years, female 4.7
GTEX-ZYFG-1326-SM-5GICJ 60-69 years, female 4.7
GTEX-15CHR-1326-SM-79OLT 50-59 years, male 4.6
GTEX-17GQL-1226-SM-7KFTS 60-69 years, male 4.5
GTEX-PWN1-1526-SM-48TDA 40-49 years, female 4.5
GTEX-WXYG-1626-SM-4ONCR 50-59 years, female 4.5
GTEX-ZVT2-1626-SM-51MRC 50-59 years, female 4.5
GTEX-1KANA-1126-SM-D3L9M 20-29 years, male 4.4
GTEX-1399S-1626-SM-5P9GI 30-39 years, female 4.3
GTEX-1B97J-1826-SM-7IGPP 50-59 years, female 4.3
GTEX-PX3G-1526-SM-48U11 20-29 years, female 4.3
GTEX-ZP4G-1226-SM-4WWCJ 20-29 years, female 4.3
GTEX-QLQW-0726-SM-447AA 30-39 years, male 4.1
GTEX-1LG7Z-1226-SM-DHXK4 30-39 years, male 3.9
GTEX-Y8LW-0826-SM-4WWDO 50-59 years, female 3.8
GTEX-ZDYS-1926-SM-5HL59 50-59 years, male 3.8
GTEX-111CU-0926-SM-5EGIK 50-59 years, male 3.6
GTEX-13O21-0926-SM-5IFGT 50-59 years, male 3.6
GTEX-P4PP-1526-SM-3P61M 30-39 years, female 3.6
GTEX-1RB15-1026-SM-E9U6V 60-69 years, male 3.6
GTEX-13FTX-0726-SM-5N9BI 20-29 years, female 3.5
GTEX-1ICG6-1826-SM-AHZ2O 70-79 years, female 2.8
Show allShow less

Contact

  • NEWS ARTICLES
  • PRESS ROOM

The Project

  • INTRODUCTION
  • ORGANIZATION
  • PUBLICATIONS

The Human Protein Atlas

  • DOWNLOADABLE DATA
  • LICENCE & CITATION
  • HELP & FAQ
The Human Protein Atlas project is funded
by the Knut & Alice Wallenberg Foundation.


contact@proteinatlas.org