We use cookies to enhance the usability of our website. If you continue, we'll assume that you are happy to receive all cookies. More information. Don't show this again.
DDX39B
HPA
RESOURCES
  • TISSUE
  • BRAIN
  • SINGLE CELL
  • SUBCELLULAR
  • CANCER
  • BLOOD
  • CELL LINE
  • STRUCTURE & INTERACTION
ABOUT
  • INTRODUCTION
  • HISTORY
  • ORGANIZATION
  • PUBLICATIONS
  • ANTIBODY SUBMISSION
  • ANTIBODY AVAILABILITY
  • ACKNOWLEDGMENTS
  • CONTACT
NEWS
  • NEWS ARTICLES
  • PRESS ROOM
LEARN
  • DICTIONARY
  • PROTEIN CLASSES
  • PROTEIN EVIDENCE
  • METHODS
  • EDUCATIONAL VIDEOS
DATA
  • DOWNLOADABLE DATA
  • PUBLICATION DATA
  • RELEASE HISTORY
HELP
  • ANTIBODY VALIDATION
  • ASSAYS & ANNOTATION
  • DISCLAIMER
  • HELP & FAQ
  • PRIVACY STATEMENT
  • LICENCE & CITATION
Fields »
Search result

Field
Term
Gene name
Class
Subclass
Class
Keyword
Chromosome
External id
Tissue
Cell type
Expression
Antibody panel
Tissue
Main location
Patient ID
Annotation
Tissue
Category
Tau score
Cluster
Reliability
Brain region
Category
Tau score
Brain region
Category
Tau score
Brain region
Category
Tau score
Cluster
Reliability
Tissue
Cell type
Enrichment
Cell type
Category
Tau score
Cell type
Category
Tau score
Cell type
Category
Tau score
Cell lineage
Category
Tau score
Cluster
Cluster
Location
Searches
Location
Cell line
Class
Type
Phase
Reliability
Cancer
Prognosis
Cancer
Category
Cancer
Category
Tau score
Cluster
Variants
Interacting gene (ensg_id)
Type
Number of interactions
Pathway
Category
Score
Score
Score
Validation
Validation
Validation
Validation
Antibodies
Data type
Column


  • SUMMARY

  • TISSUE

  • BRAIN

  • SINGLE CELL

  • SUBCELL

  • CANCER

  • BLOOD

  • CELL LINE

  • STRUCT & INT

  • DDX39B
TISSUE PRIMARY DATA SKIN Show tissue menu
ADIPOSE TISSUE ADRENAL GLAND AMYGDALA APPENDIX BASAL GANGLIA BONE MARROW BREAST BRONCHUS CEREBELLUM CEREBRAL CORTEX CERVIX CHOROID PLEXUS COLON DUODENUM
ENDOMETRIUM EPIDIDYMIS ESOPHAGUS FALLOPIAN TUBE GALLBLADDER HEART MUSCLE HIPPOCAMPAL FORMATION HYPOTHALAMUS KIDNEY LIVER LUNG LYMPH NODE MIDBRAIN NASOPHARYNX
ORAL MUCOSA OVARY PANCREAS PARATHYROID GLAND PITUITARY GLAND PLACENTA PROSTATE RECTUM RETINA SALIVARY GLAND SEMINAL VESICLE SKELETAL MUSCLE SKIN SMALL INTESTINE
SMOOTH MUSCLE SOFT TISSUE SPINAL CORD SPLEEN STOMACH TESTIS THYMUS THYROID GLAND TONGUE TONSIL URINARY BLADDER VAGINA
ANTIBODIES
AND
VALIDATION
Dictionary
Skin
Tissue proteome
Skin
SKIN - Expression summary
Protein expression
Skini

On the top, protein expression in current human tissue, based on all annotated cell types, is reported with the units not detected (n), low (l), medium (m) and high (h). Underneath, protein expression in each annotated cell type are reported using the same units.

Protein expression data is based on knowledge-based annotation. For genes where more than one antibody has been used, a collective score is set.

If knowledge-based annotation could not be performed for a gene, no data is displayed here. View antibody staining data further down this page.

h
m
l
n
Epidermal cells: High
Fibroblasts: High
Keratinocytes: High
Langerhans: High
Melanocytes: High
RNA expressioni

A summary of mRNA expression data available for current tissue based on several datasets. The mRNA expression levels in human tissues are based on RNA-seq data generated by the Human Protein Atlas (HPA), Genotype-Tissue Expression (GTEx) portal and CAGE data generated by the FANTOM5 consortium. Consensus normalized expression levels for human tissues was created by combining the data from HPA and GTEx datasets.

The mRNA expression levels in pig are based on RNA-seq data generated by the Human Protein Atlas (HPA), and for mouse, HPA data and in situ hybridization generated by the Allen brain atlas are reported.

Scroll down to view mRNA expression data in more detail.
Consensus:101.1 nTPM
HPA:27.2 nTPM
GTEx:101.1 nTPM

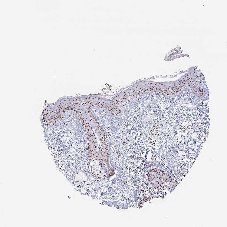
SKIN 1 - Antibody stainingi

Antibody staining in the annotated cell types in the current human tissue is reported as not detected, low, medium, or high, based on conventional immunohistochemistry profiling in selected tissues. This score is based on the combination of the staining intensity and fraction of stained cells.

Each image is clickable and will lead to virtual microscopy that enables deeper exploration of all samples and also displays staining intensity scores, fraction scores and subcellular localization as well as patient and tissue information for each sample.

Antibody HPA055334Antibody HPA058450Antibody CAB034012
Langerhans MediumHighHigh
Fibroblasts MediumHighHigh
Keratinocytes MediumHighHigh
Melanocytes MediumHighHigh




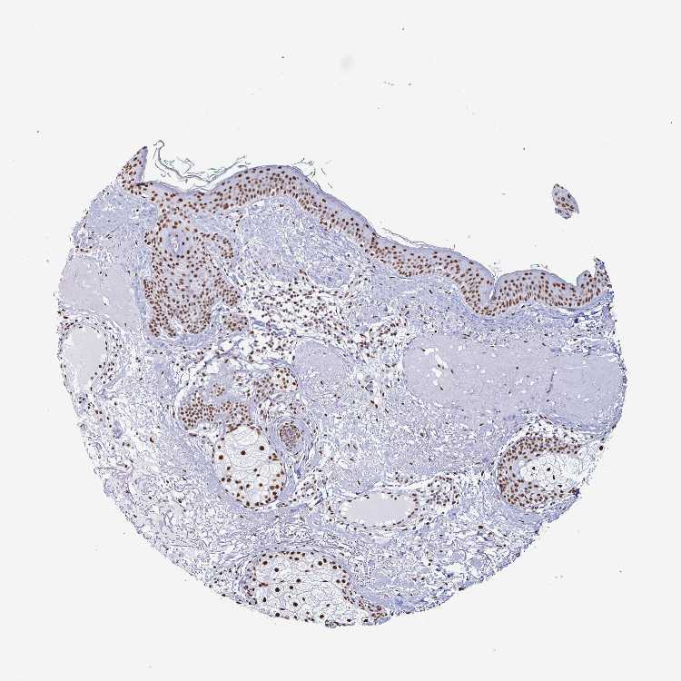
SKIN 2 - Antibody stainingi

Antibody staining in the annotated cell types in the current human tissue is reported as not detected, low, medium, or high, based on conventional immunohistochemistry profiling in selected tissues. This score is based on the combination of the staining intensity and fraction of stained cells.

Each image is clickable and will lead to virtual microscopy that enables deeper exploration of all samples and also displays staining intensity scores, fraction scores and subcellular localization as well as patient and tissue information for each sample.

Antibody HPA055334Antibody HPA058450Antibody CAB034012
Epidermal cells MediumHighHigh
   
   
   







SKIN - HPA RNA-seqi

The RNA-seq details section shows detailed information about the individual samples used for the transcript profiling and results of the RNA-seq analysis.

Information about each individual sample is listed below, including gender, age, a tissue section image and estimated fractions of cell types. nTPM (normalized transcripts per million) values give a quantification of the gene abundance which is comparable between different genes and samples.
Average nTPMi

Max subtype nTPM is the value for the subtype with the largest average nTPM across the subtype samples.

27.2
overview
Female, age 34
Skin sample 225
nTPM: 4
Cell types%
Keratinocytes:
60

Other cell types:
40

overview
Female, age 30
Skin sample 226
nTPM: 2.1
Cell types%
Keratinocytes:
55

Other cell types:
45

N/A
Male, age 57
Skin sample 227
nTPM: 75.5

SKIN - GTEx RNA-seqi

RNA-Seq data generated by the Genotype-Tissue Expression (GTEx) project from human tissues is reported as mean nTPM. More information can be found on the GTEx portal.

Distribution across the dataset is visualized with box plots, shown as median and 25th and 75th percentiles. Points are displayed as outliers if they are above or below 1.5 times the interquartile range. nTPM values of the individual samples are presented next to the box plot.
Max subtype nTPMi

Max subtype nTPM is the value for the subtype with the largest average nTPM across the subtype samples.

101.1
GTEx sample id Sample description nTPM
Skin - Not Sun Exposed (Suprapubic)
Average nTPM: 101.1
Samples: 604

Max nTPM: 196.8
Min nTPM: 43.6
Std nTPM: 22.1
Median nTPM: 98.7
GTEX-Y5V6-2326-SM-4VDSA 60-69 years, male 196.8
GTEX-16MT9-0126-SM-7EPI8 60-69 years, female 179.7
GTEX-ZYFD-0626-SM-5E44E 50-59 years, male 177.2
GTEX-1A3MX-2626-SM-7PC24 60-69 years, male 176.4
GTEX-13NYC-0126-SM-5L3F4 60-69 years, male 175.8
GTEX-14PJ4-0226-SM-5YY92 60-69 years, male 171.9
GTEX-ZVT2-0126-SM-5GIDQ 50-59 years, female 171.8
GTEX-ZPCL-1126-SM-4WWFE 60-69 years, female 171.1
GTEX-1HCUA-0826-SM-ADEHM 50-59 years, female 169.3
GTEX-Y9LG-1126-SM-4VBQ7 30-39 years, male 167.0
GTEX-15EO6-2426-SM-6PALZ 50-59 years, male 161.1
GTEX-1H23P-0626-SM-9WG6T 60-69 years, male 159.6
GTEX-1H3VE-0726-SM-9YFL5 40-49 years, male 159.6
GTEX-1A3MW-0626-SM-731CB 60-69 years, female 158.9
GTEX-1IDJV-0126-SM-COH3Y 60-69 years, male 157.7
GTEX-16XZZ-0726-SM-7KUF2 60-69 years, male 153.8
GTEX-WI4N-2726-SM-3LK7Y 40-49 years, female 153.1
GTEX-ZYW4-0626-SM-59HJR 60-69 years, male 152.6
GTEX-ZTSS-1426-SM-5985P 40-49 years, male 151.1
GTEX-1LVAN-0626-SM-CNPOQ 50-59 years, female 149.6
GTEX-ZF3C-0626-SM-DO92O 50-59 years, female 146.8
GTEX-1399S-0126-SM-5IJCF 30-39 years, female 144.5
GTEX-17HG3-2626-SM-7DUF2 30-39 years, female 144.1
GTEX-1LSNM-0826-SM-DIPG8 50-59 years, male 143.8
GTEX-1LG7Y-2526-SM-EWRO7 50-59 years, male 143.3
GTEX-1JMQL-2226-SM-CNPP4 50-59 years, female 143.2
GTEX-1B8KE-1126-SM-7EPHI 50-59 years, male 143.0
GTEX-1GMR8-0626-SM-7RHI7 50-59 years, female 142.8
GTEX-145LS-0626-SM-7EPG7 60-69 years, female 141.9
GTEX-1S82U-1026-SM-E6CJK 30-39 years, female 140.9
GTEX-ZWKS-0626-SM-5GIDV 30-39 years, male 138.9
GTEX-1OJC4-2726-SM-E76PJ 50-59 years, female 138.7
GTEX-1HKZK-0726-SM-ACKW2 40-49 years, male 138.1
GTEX-16GPK-0626-SM-7KFSF 60-69 years, male 137.8
GTEX-XAJ8-1426-SM-47JYM 40-49 years, male 136.8
GTEX-WFON-1926-SM-3LK7L 40-49 years, male 136.6
GTEX-1S3DN-2126-SM-E9TIN 50-59 years, male 135.9
GTEX-1R46S-2426-SM-E76QA 60-69 years, female 135.1
GTEX-XUW1-0926-SM-4BONX 50-59 years, female 135.0
GTEX-17HII-1426-SM-7EPGG 50-59 years, male 134.7
GTEX-13O3Q-0126-SM-5KM34 50-59 years, male 134.3
GTEX-1QAET-0326-SM-EVR3U 50-59 years, male 134.0
GTEX-ZU9S-1826-SM-5NQ9E 30-39 years, male 133.2
GTEX-1RMOY-1326-SM-E9TIH 50-59 years, male 133.0
GTEX-ZYY3-2926-SM-5GIEB 60-69 years, female 132.1
GTEX-ZVE1-0726-SM-51MRN 50-59 years, female 131.8
GTEX-15CHR-1126-SM-7EWF4 50-59 years, male 131.6
GTEX-1CAV2-0126-SM-7IGN7 40-49 years, female 131.1
GTEX-1IDJU-1726-SM-CMKHU 60-69 years, female 130.0
GTEX-1LG7Z-1626-SM-CXKYR 30-39 years, male 129.8
GTEX-1H2FU-0926-SM-9WPPT 60-69 years, female 129.5
GTEX-14PKV-1126-SM-6LLJ1 20-29 years, female 129.2
GTEX-1GZHY-0626-SM-9KNVC 50-59 years, female 129.0
GTEX-1GZ4I-2626-SM-9KNU3 50-59 years, male 128.9
GTEX-1C6WA-2626-SM-7MKGM 60-69 years, male 128.2
GTEX-1212Z-0126-SM-59HK4 60-69 years, male 128.0
GTEX-17HHE-1326-SM-7EWDZ 50-59 years, male 128.0
GTEX-1QP2A-1726-SM-E76QC 50-59 years, male 127.9
GTEX-X585-2426-SM-46MW2 50-59 years, male 127.8
GTEX-Y3I4-1726-SM-4TT89 50-59 years, male 127.7
GTEX-1K9T9-1526-SM-DIPFR 50-59 years, female 127.6
GTEX-13PVQ-0626-SM-5LU47 50-59 years, male 127.5
GTEX-1HBPM-0726-SM-9YFL7 60-69 years, female 127.5
GTEX-16MTA-0926-SM-6M47Z 50-59 years, male 127.3
GTEX-Y5LM-0926-SM-6LLJG 40-49 years, female 127.1
GTEX-1HSMO-0626-SM-ACKXC 60-69 years, male 127.1
GTEX-13O3O-2326-SM-5IJD6 60-69 years, female 126.9
GTEX-1CB4J-1326-SM-7P8RX 60-69 years, male 126.7
GTEX-14PKU-0126-SM-6LLHV 40-49 years, female 126.5
GTEX-1JKYN-0826-SM-ARU8S 30-39 years, male 126.2
GTEX-11TT1-1826-SM-5EQLV 20-29 years, male 126.0
GTEX-13OVH-0526-SM-5L3E6 70-79 years, male 126.0
GTEX-XK95-0226-SM-4AT58 40-49 years, male 125.9
GTEX-12WSA-0426-SM-5EQ5X 60-69 years, male 125.7
GTEX-Y114-2126-SM-4TT8B 50-59 years, female 125.6
GTEX-13X6H-0926-SM-5SIB2 50-59 years, female 125.5
GTEX-11WQK-1026-SM-5EQLX 50-59 years, male 125.3
GTEX-11OF3-0126-SM-5PNYF 60-69 years, male 125.2
GTEX-1QP9N-1226-SM-E76QN 30-39 years, male 125.2
GTEX-ZE7O-2726-SM-51MT5 50-59 years, female 125.0
GTEX-1K2DA-1026-SM-CGQGF 50-59 years, male 124.9
GTEX-139T8-0626-SM-5KLZX 60-69 years, male 124.2
GTEX-WYJK-0526-SM-3NM8Z 50-59 years, male 124.1
GTEX-ZVTK-0226-SM-51MRG 20-29 years, male 124.1
GTEX-1S82P-2126-SM-E6CI5 60-69 years, female 124.1
GTEX-1LKK1-2626-SM-DKPQE 50-59 years, female 123.8
GTEX-1MCC2-1826-SM-DIPEX 30-39 years, female 123.7
GTEX-1S5ZU-2526-SM-E6CIF 20-29 years, female 123.7
GTEX-14E6C-2426-SM-5S2NF 40-49 years, male 123.6
GTEX-13NZ8-1226-SM-5KM4A 60-69 years, female 123.5
GTEX-1I1GU-0926-SM-ACKVS 40-49 years, male 123.5
GTEX-1RAZQ-1326-SM-E9TK6 30-39 years, male 123.5
GTEX-1GZ4H-0526-SM-9KNU9 50-59 years, female 123.4
GTEX-12BJ1-0926-SM-5EQ62 60-69 years, male 123.2
GTEX-1J1OQ-0126-SM-D4P2N 40-49 years, female 123.1
GTEX-111VG-1626-SM-5EGIO 60-69 years, male 123.0
GTEX-14LLW-2626-SM-62LDZ 70-79 years, female 123.0
GTEX-1IDJD-2326-SM-ACKWX 30-39 years, male 122.7
GTEX-1S831-1826-SM-EWROF 20-29 years, male 122.5
GTEX-1CAMQ-1326-SM-7P8RV 40-49 years, male 122.3
GTEX-YB5K-2026-SM-4VDT3 40-49 years, female 121.7
GTEX-1J1R8-2026-SM-CL53Y 40-49 years, male 121.7
GTEX-1N2EE-0626-SM-E76PW 60-69 years, male 121.3
GTEX-13OVG-1626-SM-5J1NF 60-69 years, male 120.8
GTEX-15D1Q-2826-SM-6LLH7 40-49 years, male 120.4
GTEX-1F88E-1626-SM-7SB8Z 60-69 years, female 120.4
GTEX-1I1GT-1026-SM-ARZLV 60-69 years, female 120.4
GTEX-18A7B-2726-SM-7LG56 70-79 years, male 120.3
GTEX-1PDJ9-1226-SM-EXUSX 20-29 years, male 120.3
GTEX-14XAO-1226-SM-6EU1C 60-69 years, female 120.1
GTEX-1HSGN-0826-SM-ACKW3 40-49 years, female 120.0
GTEX-12ZZX-2426-SM-5GCOE 40-49 years, female 119.9
GTEX-14C39-1726-SM-5RQIL 40-49 years, male 119.9
GTEX-1GF9V-0826-SM-9KNUV 60-69 years, male 119.6
GTEX-1B8SF-0126-SM-7DUG3 60-69 years, male 119.4
GTEX-1HCU8-2526-SM-CE6RX 60-69 years, female 119.3
GTEX-13JUV-2026-SM-5K7UA 40-49 years, female 119.0
GTEX-1GTWX-2026-SM-9YFLM 60-69 years, male 119.0
GTEX-13QJC-0126-SM-5ZZWJ 60-69 years, female 118.5
GTEX-1R7EU-1626-SM-DTXG3 60-69 years, male 118.5
GTEX-1477Z-0326-SM-7IGLA 60-69 years, male 118.4
GTEX-14PHY-1226-SM-5ZZWK 60-69 years, female 117.7
GTEX-1HBPN-0126-SM-CGQEF 50-59 years, male 117.6
GTEX-1269C-0126-SM-5EQ5L 60-69 years, female 117.2
GTEX-X4EP-0626-SM-3P621 60-69 years, female 117.1
GTEX-18A6Q-0626-SM-7KFRP 60-69 years, male 117.0
GTEX-ZUA1-2626-SM-5NQ92 40-49 years, male 116.8
GTEX-1R9PN-0426-SM-DTXDT 40-49 years, female 116.8
GTEX-1CB4E-0926-SM-7EPHT 60-69 years, male 116.7
GTEX-1HCU7-0726-SM-A9SL1 50-59 years, male 116.7
GTEX-1GMR3-0126-SM-A9SLW 40-49 years, male 116.6
GTEX-15FZZ-0526-SM-7KUGD 30-39 years, female 116.5
GTEX-17HHY-0426-SM-7DHLC 50-59 years, male 116.5
GTEX-11GSP-2326-SM-5HL63 60-69 years, female 116.4
GTEX-1GPI6-1926-SM-9KNV7 60-69 years, male 116.3
GTEX-1I4MK-0126-SM-CY8G6 50-59 years, female 115.6
GTEX-1AMEY-0826-SM-72D65 30-39 years, female 115.5
GTEX-13VXU-0626-SM-5L3F9 50-59 years, male 115.4
GTEX-1A8G7-1326-SM-73KVM 60-69 years, male 115.4
GTEX-145MI-0626-SM-5SI8S 60-69 years, female 115.3
GTEX-ZVZP-1226-SM-5GID7 50-59 years, male 115.3
GTEX-13112-0126-SM-5P9IU 50-59 years, male 115.2
GTEX-1O9I2-0226-SM-EYYXD 50-59 years, male 115.2
GTEX-Y111-0626-SM-4SOIT 50-59 years, male 115.1
GTEX-ZVP2-0326-SM-57WBP 50-59 years, male 115.1
GTEX-XBEC-0726-SM-4QARZ 50-59 years, male 115.0
GTEX-1J8JJ-0626-SM-ARZMQ 60-69 years, female 114.9
GTEX-13W3W-0726-SM-5IJDQ 60-69 years, female 114.8
GTEX-1ICG6-1226-SM-A9SLN 70-79 years, female 114.8
GTEX-11UD2-2526-SM-5CVNU 50-59 years, male 114.6
GTEX-14DAQ-0626-SM-793DS 60-69 years, female 114.6
GTEX-144FL-0626-SM-5LU43 50-59 years, male 114.5
GTEX-13OW7-0426-SM-5K7VK 50-59 years, male 114.0
GTEX-13FHO-0426-SM-5L3F5 60-69 years, male 113.8
GTEX-14PJ6-2626-SM-6EU2T 60-69 years, female 113.8
GTEX-1GMRU-2126-SM-7P8RA 50-59 years, male 113.7
GTEX-1KANA-1326-SM-DIPFA 20-29 years, male 113.7
GTEX-1C6VQ-1226-SM-73KYD 50-59 years, male 113.5
GTEX-111YS-1526-SM-5GZYW 60-69 years, male 113.1
GTEX-V1D1-2026-SM-3GAF4 50-59 years, male 113.1
GTEX-1OJC3-1226-SM-DTXER 20-29 years, male 113.0
GTEX-1HBPI-2126-SM-ARL9K 50-59 years, male 112.8
GTEX-X8HC-0626-SM-4E3HQ 50-59 years, female 112.7
GTEX-1F6I4-2326-SM-7RHGL 60-69 years, male 112.4
GTEX-14LZ3-0126-SM-69LPM 60-69 years, female 112.2
GTEX-11DZ1-2426-SM-5GZZX 50-59 years, male 112.1
GTEX-1399Q-2326-SM-5KM2X 40-49 years, male 112.0
GTEX-1N2DV-1526-SM-DTXEP 40-49 years, male 112.0
GTEX-1CAMS-2226-SM-7PBXQ 40-49 years, female 111.8
GTEX-13D11-0926-SM-5J2NC 50-59 years, female 111.6
GTEX-145LT-0526-SM-5LUB2 40-49 years, male 111.5
GTEX-13PDP-0726-SM-5L3HP 60-69 years, male 111.4
GTEX-WRHU-2826-SM-3MJG8 50-59 years, female 111.3
GTEX-1H1DF-1126-SM-9WG7G 40-49 years, female 111.2
GTEX-17MF6-2626-SM-79OKQ 40-49 years, male 111.0
GTEX-13OVL-0126-SM-5L3GJ 50-59 years, male 110.8
GTEX-1AMFI-1326-SM-7939R 50-59 years, female 110.7
GTEX-ZTTD-2826-SM-4YCFA 50-59 years, male 110.7
GTEX-1LSNL-2726-SM-E9TKJ 50-59 years, male 110.5
GTEX-VUSG-2326-SM-4KL1U 50-59 years, male 110.3
GTEX-1JMOU-1026-SM-CYPSS 60-69 years, female 110.1
GTEX-1EN7A-2426-SM-793DB 40-49 years, male 110.0
GTEX-1C6VR-0126-SM-7RHGB 60-69 years, male 109.9
GTEX-1LVAM-0726-SM-E6CIL 50-59 years, female 109.9
GTEX-11DXX-2126-SM-5PNYR 60-69 years, female 109.7
GTEX-11LCK-2226-SM-5HL4Q 30-39 years, male 109.7
GTEX-13X6I-1826-SM-5SIAO 60-69 years, male 109.7
GTEX-1H1DG-2426-SM-9QEHJ 70-79 years, male 109.6
GTEX-13N1W-2426-SM-5IJD1 70-79 years, male 109.5
GTEX-145MN-1526-SM-5SI9T 30-39 years, male 109.5
GTEX-1GN73-0726-SM-7P8TJ 60-69 years, male 109.5
GTEX-13U4I-2226-SM-5LU5H 40-49 years, female 109.4
GTEX-1E1VI-0326-SM-793D1 50-59 years, male 109.4
GTEX-1KD5A-0126-SM-E9U54 50-59 years, male 109.4
GTEX-15CHQ-0326-SM-69LQD 60-69 years, male 109.1
GTEX-15RIG-0726-SM-7KUM7 40-49 years, male 109.1
GTEX-1HGF4-0126-SM-CNPPX 60-69 years, male 108.9
GTEX-1IDJH-0126-SM-D3L92 70-79 years, male 108.8
GTEX-13OW6-2726-SM-5J2OE 50-59 years, male 108.5
GTEX-1399U-1126-SM-5L3DB 50-59 years, female 108.4
GTEX-ZVE2-2826-SM-5GU51 50-59 years, male 108.4
GTEX-1IKJJ-2226-SM-CJI4C 60-69 years, male 108.4
GTEX-1497J-0226-SM-5QGPU 60-69 years, male 108.3
GTEX-15G1A-1626-SM-7KUKN 30-39 years, male 108.3
GTEX-1GL5R-1326-SM-7RHHF 50-59 years, male 108.3
GTEX-ZVT4-2426-SM-5GIEI 50-59 years, female 108.2
GTEX-1S83E-1326-SM-E6CJM 40-49 years, male 108.1
GTEX-1F5PL-0926-SM-7PC2W 40-49 years, female 108.0
GTEX-XPVG-2126-SM-4B667 50-59 years, male 107.8
GTEX-11EQ9-1626-SM-5PNY8 30-39 years, male 107.7
GTEX-XBEW-1126-SM-4QARW 40-49 years, male 107.5
GTEX-132AR-0326-SM-5KM2C 50-59 years, female 107.4
GTEX-14A6H-2026-SM-5Q5DD 30-39 years, male 107.4
GTEX-1K2DU-1226-SM-CYPT4 20-29 years, male 107.3
GTEX-1J8QM-2426-SM-A9SLS 60-69 years, female 107.2
GTEX-14C5O-0326-SM-5ZZUX 60-69 years, male 107.1
GTEX-14BMV-2826-SM-5TDED 50-59 years, male 106.8
GTEX-13OW8-1026-SM-5J1NQ 60-69 years, male 106.7
GTEX-13PVR-0426-SM-5RQK2 60-69 years, female 106.7
GTEX-1399R-1326-SM-5PNYS 30-39 years, male 106.6
GTEX-1AX9J-1326-SM-731BJ 60-69 years, male 106.3
GTEX-1JN76-0626-SM-CKZOQ 20-29 years, female 106.3
GTEX-1PPH8-0126-SM-EWRN8 20-29 years, male 106.1
GTEX-1314G-1326-SM-5BC6E 30-39 years, male 106.0
GTEX-XOT4-0626-SM-4B66L 60-69 years, female 105.9
GTEX-139TT-2126-SM-5LZWC 60-69 years, male 105.8
GTEX-1KAFJ-0126-SM-DIPEK 50-59 years, male 105.8
GTEX-1B996-0426-SM-7EWF8 60-69 years, male 105.7
GTEX-ZY6K-1426-SM-5GZX2 50-59 years, male 105.5
GTEX-ZE9C-2526-SM-5IJDR 60-69 years, male 105.4
GTEX-1QPFJ-1926-SM-EVYBD 30-39 years, female 105.4
GTEX-1RAZS-2526-SM-E6CHT 50-59 years, male 105.3
GTEX-13OVK-1426-SM-6PAN7 40-49 years, male 105.2
GTEX-14BIN-1126-SM-5RQJZ 50-59 years, female 105.2
GTEX-WYVS-1626-SM-3NM9R 40-49 years, female 105.1
GTEX-111FC-2526-SM-5GZXU 60-69 years, male 104.9
GTEX-15G19-2426-SM-7KUMR 60-69 years, male 104.9
GTEX-1PPH7-1126-SM-DTX9A 40-49 years, male 104.9
GTEX-1LVAO-2726-SM-E9TJ8 60-69 years, male 104.8
GTEX-11WQC-1826-SM-5GU59 60-69 years, male 104.7
GTEX-1B933-2426-SM-7DHMD 50-59 years, female 104.7
GTEX-U8XE-0226-SM-4E3J3 30-39 years, male 104.7
GTEX-12ZZZ-0726-SM-5GCNZ 60-69 years, male 104.5
GTEX-17F98-1326-SM-7DUEP 40-49 years, female 103.9
GTEX-1JMQK-1226-SM-D4P2S 60-69 years, male 103.9
GTEX-1H1ZS-2726-SM-9WG75 70-79 years, male 103.6
GTEX-111CU-1126-SM-5EGIM 50-59 years, male 103.5
GTEX-131XG-0326-SM-5L3DX 50-59 years, female 103.5
GTEX-XQ8I-0926-SM-4BOOF 50-59 years, male 103.4
GTEX-1E2YA-2126-SM-7MXUO 50-59 years, male 103.4
GTEX-1QW4Y-1126-SM-DTXE3 30-39 years, male 103.3
GTEX-11ZUS-2626-SM-5FQUR 30-39 years, male 103.2
GTEX-ZLWG-0826-SM-59888 50-59 years, female 103.2
GTEX-1PBJJ-1026-SM-E76OS 30-39 years, male 103.2
GTEX-1C2JI-1026-SM-73KY1 50-59 years, male 103.1
GTEX-1IDJE-1426-SM-ADEIW 50-59 years, female 103.0
GTEX-ZTX8-1326-SM-4YCEL 20-29 years, male 102.9
GTEX-1211K-1526-SM-5FQU4 60-69 years, female 102.8
GTEX-XQ3S-1426-SM-4BOPR 20-29 years, male 102.8
GTEX-1A8FM-0626-SM-7PC25 50-59 years, female 102.8
GTEX-145ME-1726-SM-5Q5EU 40-49 years, female 102.7
GTEX-15EU6-2226-SM-6EU2L 50-59 years, male 102.7
GTEX-1PIGE-1826-SM-E8VOU 20-29 years, male 102.6
GTEX-13NYS-0626-SM-5L3F1 60-69 years, male 102.5
GTEX-1A8G6-2726-SM-731AR 60-69 years, male 102.5
GTEX-1HT8W-0626-SM-A9G2H 30-39 years, male 102.4
GTEX-16Z82-2626-SM-7KULU 60-69 years, male 102.2
GTEX-11VI4-1126-SM-5EQMD 40-49 years, female 102.1
GTEX-17EVP-2626-SM-7IGMA 40-49 years, male 102.1
GTEX-1HR98-2226-SM-ADEI2 60-69 years, male 102.0
GTEX-1GN1W-2426-SM-9KNUU 50-59 years, female 101.8
GTEX-11O72-0626-SM-5PNYE 40-49 years, male 101.7
GTEX-13NZ9-2626-SM-5L3FK 50-59 years, male 101.6
GTEX-14PK6-0226-SM-62LF5 70-79 years, female 101.5
GTEX-1HFI7-2326-SM-CGQFS 50-59 years, female 101.5
GTEX-1POEN-2326-SM-E9J2L 30-39 years, female 101.5
GTEX-YEC3-1326-SM-DO92X 50-59 years, male 101.3
GTEX-12696-0126-SM-5EQ4L 60-69 years, male 101.0
GTEX-17F96-0126-SM-7EWDU 70-79 years, male 100.8
GTEX-ZAB4-2126-SM-5HL8U 40-49 years, male 100.8
GTEX-144GO-2026-SM-5O99P 60-69 years, male 100.6
GTEX-15ER7-0626-SM-6PANF 20-29 years, female 100.5
GTEX-1PIIG-2326-SM-DTXFR 30-39 years, male 100.3
GTEX-11DXW-0826-SM-5H118 40-49 years, male 100.2
GTEX-14JFF-0626-SM-5ZZVT 60-69 years, male 100.2
GTEX-XMD2-2126-SM-4YCF8 60-69 years, female 100.1
GTEX-ZDXO-3126-SM-5IJDF 60-69 years, male 100.1
GTEX-1LSVX-2526-SM-DIPEU 60-69 years, male 100.0
GTEX-1N5O9-0926-SM-E9J3C 60-69 years, male 100.0
GTEX-ZAJG-1526-SM-5CVML 50-59 years, female 99.9
GTEX-16YQH-2226-SM-7IGM2 30-39 years, male 99.8
GTEX-1F88F-0126-SM-9WYSZ 60-69 years, female 99.8
GTEX-17F9Y-0126-SM-79OKX 70-79 years, female 99.6
GTEX-1F75B-0726-SM-7PC3R 50-59 years, male 99.5
GTEX-1QMI2-2526-SM-E8VNZ 60-69 years, male 99.5
GTEX-18A7A-0126-SM-731AH 50-59 years, female 99.3
GTEX-1AX8Z-0726-SM-73KTS 60-69 years, male 99.3
GTEX-14A5H-0826-SM-5QGPJ 60-69 years, male 99.1
GTEX-17EVQ-0126-SM-7IGLR 70-79 years, male 98.9
GTEX-1HR9M-2226-SM-CNPPY 60-69 years, male 98.9
GTEX-1117F-2926-SM-5GZYI 60-69 years, female 98.8
GTEX-13IVO-0726-SM-5LZYV 70-79 years, male 98.7
GTEX-1HB9E-0126-SM-CM2S5 50-59 years, male 98.7
GTEX-14PJO-2526-SM-6AJBQ 60-69 years, male 98.6
GTEX-14C38-0726-SM-5SI6M 50-59 years, male 98.4
GTEX-1H1DE-1326-SM-9KNUG 20-29 years, male 98.4
GTEX-13N2G-0226-SM-5K7VF 60-69 years, male 98.3
GTEX-1IOXB-2726-SM-CM2RI 50-59 years, male 98.3
GTEX-ZYFC-0426-SM-5GICQ 50-59 years, male 98.1
GTEX-1IDFM-0326-SM-ARL7V 60-69 years, male 98.1
GTEX-WH7G-2026-SM-3NMBL 40-49 years, male 98.0
GTEX-YECK-0326-SM-4W1YS 60-69 years, male 98.0
GTEX-15DDE-2926-SM-6LLJ3 50-59 years, female 97.9
GTEX-Z93S-1626-SM-5CVMB 50-59 years, male 97.9
GTEX-WHSB-1326-SM-3LK6W 50-59 years, male 97.5
GTEX-ZZPU-0826-SM-5GZX5 50-59 years, female 97.5
GTEX-1JK1U-0226-SM-ARZMX 60-69 years, male 97.5
GTEX-1F6RS-2026-SM-7RHHC 60-69 years, female 97.4
GTEX-1GPI7-1826-SM-9KNU1 20-29 years, male 97.3
GTEX-1QP66-1226-SM-DTX7U 50-59 years, male 97.2
GTEX-1JJEA-1826-SM-ARU8P 60-69 years, male 97.0
GTEX-1I6K6-1726-SM-CGQFD 30-39 years, male 96.7
GTEX-1EKGG-0626-SM-7DUGJ 60-69 years, male 96.6
GTEX-1LB8K-0726-SM-D5OV2 50-59 years, male 96.4
GTEX-Y3IK-1626-SM-4YCF5 50-59 years, female 96.2
GTEX-1CB4I-0126-SM-7RHGG 50-59 years, male 96.2
GTEX-1RLM8-2926-SM-E8VON 50-59 years, male 96.2
GTEX-11TUW-0626-SM-5LU9M 60-69 years, male 96.1
GTEX-131XH-0126-SM-5LZUY 50-59 years, male 96.1
GTEX-15RJE-2826-SM-7KUM9 40-49 years, male 96.0
GTEX-WK11-2726-SM-3NMAQ 50-59 years, male 96.0
GTEX-ZXG5-2126-SM-59HKD 60-69 years, male 96.0
GTEX-1RB15-1326-SM-E76Q9 60-69 years, male 96.0
GTEX-147F4-0726-SM-5TDDD 50-59 years, male 95.9
GTEX-1I6K7-1926-SM-B2LXR 40-49 years, male 95.9
GTEX-1J8Q2-2626-SM-ACKWQ 60-69 years, male 95.8
GTEX-16AAH-0626-SM-793C9 50-59 years, male 95.7
GTEX-1R9PM-1926-SM-EVR3O 20-29 years, male 95.7
GTEX-1I19N-0126-SM-CYPSF 70-79 years, male 95.6
GTEX-13RTJ-0126-SM-5S2NN 60-69 years, male 95.5
GTEX-14753-0726-SM-5QGQO 60-69 years, male 95.5
GTEX-16MT8-2926-SM-7DUFO 60-69 years, female 95.5
GTEX-1HSMP-0926-SM-A9SKX 70-79 years, male 95.5
GTEX-WY7C-2126-SM-3NB2R 50-59 years, male 95.4
GTEX-1KXAM-1626-SM-D3LAD 60-69 years, male 95.4
GTEX-15RJ7-2126-SM-6PAMD 40-49 years, male 95.3
GTEX-ZDTS-0826-SM-4WKHL 60-69 years, male 95.2
GTEX-ZT9W-1126-SM-57WDR 50-59 years, male 95.2
GTEX-1GZ2Q-0126-SM-9WG6M 40-49 years, male 95.2
GTEX-12WSF-1626-SM-7KUG5 70-79 years, male 95.1
GTEX-13OVJ-0826-SM-5J1OK 50-59 years, female 94.9
GTEX-1I1HK-2326-SM-CKZOH 60-69 years, male 94.9
GTEX-17KNJ-2126-SM-718AM 50-59 years, male 94.8
GTEX-11NSD-0626-SM-5A5LU 20-29 years, male 94.7
GTEX-12WSM-1926-SM-5BC65 60-69 years, male 94.7
GTEX-12WSK-2126-SM-5CVNC 40-49 years, female 94.3
GTEX-14PHX-2226-SM-6EU2P 50-59 years, male 94.2
GTEX-15DYW-2726-SM-6EU2I 60-69 years, female 94.2
GTEX-14ICL-1626-SM-5YYAO 30-39 years, male 94.0
GTEX-1IDJI-0126-SM-CMKHS 50-59 years, female 94.0
GTEX-15UF6-1926-SM-7KUDV 70-79 years, female 93.8
GTEX-WHSE-0126-SM-3NMBT 20-29 years, male 93.8
GTEX-11EQ8-0926-SM-5H12V 60-69 years, male 93.7
GTEX-11NUK-2726-SM-5A5MC 50-59 years, male 93.7
GTEX-11DXZ-2026-SM-5987S 50-59 years, male 93.6
GTEX-12584-0726-SM-5FQTK 40-49 years, male 93.6
GTEX-YEC4-1826-SM-4W1YP 40-49 years, male 93.6
GTEX-1H3O1-1326-SM-9MQLD 60-69 years, male 93.4
GTEX-11PRG-0726-SM-5EGL1 50-59 years, male 93.3
GTEX-13FH7-1126-SM-5K7UG 50-59 years, female 93.0
GTEX-1JJE9-2626-SM-ARZMT 70-79 years, male 93.0
GTEX-1B97I-0626-SM-73KUZ 40-49 years, male 92.9
GTEX-1F48J-0726-SM-7RHGS 50-59 years, female 92.8
GTEX-17HGU-2326-SM-7DUFE 50-59 years, male 92.5
GTEX-1I1GS-2626-SM-B2LY3 60-69 years, male 92.2
GTEX-15SHW-0226-SM-7LTAT 60-69 years, male 92.1
GTEX-WYBS-0626-SM-3NMAS 60-69 years, female 92.1
GTEX-1CB4H-1126-SM-7MKGL 60-69 years, female 91.9
GTEX-13VXT-1926-SM-5K7UO 20-29 years, female 91.8
GTEX-131YS-2826-SM-5EQ47 60-69 years, female 91.7
GTEX-1MCYP-0526-SM-E9U6Q 20-29 years, female 91.7
GTEX-1ICLY-0826-SM-CMKG1 50-59 years, male 91.5
GTEX-ZPIC-0526-SM-DO91W 40-49 years, female 91.4
GTEX-ZC5H-1526-SM-5HL9Y 40-49 years, female 90.9
GTEX-1JN6P-2926-SM-CL54D 60-69 years, male 90.8
GTEX-ZF2S-1626-SM-57WES 50-59 years, female 90.7
GTEX-1JN1M-2726-SM-CY8I4 60-69 years, female 90.7
GTEX-ZA64-1026-SM-5HL8R 20-29 years, male 90.6
GTEX-12KS4-2126-SM-5FQUT 30-39 years, male 90.4
GTEX-13FLV-0126-SM-5K7WT 50-59 years, male 90.4
GTEX-1C64O-1326-SM-7MGWR 60-69 years, male 90.4
GTEX-1313W-0626-SM-5EQ4H 50-59 years, female 90.3
GTEX-1LGOU-1326-SM-D3L8M 20-29 years, female 90.3
GTEX-11ZU8-0126-SM-5EQ58 60-69 years, male 90.2
GTEX-13SLX-2226-SM-62LEP 50-59 years, female 89.9
GTEX-14ABY-2026-SM-62LDL 50-59 years, male 89.9
GTEX-ZAK1-0626-SM-5HL8E 50-59 years, female 89.9
GTEX-ZF29-0926-SM-4WKFZ 60-69 years, female 89.9
GTEX-1LBAC-0826-SM-CY8IJ 20-29 years, male 89.9
GTEX-11DYG-1526-SM-5A5JS 60-69 years, male 89.7
GTEX-144GL-0626-SM-5LU4D 50-59 years, male 89.7
GTEX-1GN1U-0626-SM-9MQL9 50-59 years, female 89.7
GTEX-1F52S-2926-SM-7MKGA 60-69 years, female 89.6
GTEX-18D9B-0926-SM-7LG4U 60-69 years, male 89.5
GTEX-11P82-1426-SM-DTXFY 20-29 years, male 89.5
GTEX-1AYD5-2626-SM-7PBXY 50-59 years, male 89.5
GTEX-14PJ3-1126-SM-5ZZVX 50-59 years, male 89.4
GTEX-ZP4G-1426-SM-4WWCL 20-29 years, female 89.3
GTEX-1H3NZ-2726-SM-9WYTQ 60-69 years, male 89.3
GTEX-1QP28-1126-SM-EVYC4 50-59 years, female 89.2
GTEX-1HFI6-0126-SM-CNPPI 40-49 years, male 89.1
GTEX-ZLV1-1526-SM-DO91J 60-69 years, female 89.1
GTEX-13O61-1426-SM-5KM3D 60-69 years, male 88.6
GTEX-ZZ64-1026-SM-5GZXG 20-29 years, male 88.6
GTEX-Y8LW-1526-SM-5IFHL 50-59 years, female 88.3
GTEX-1L5NE-1126-SM-D3L9P 50-59 years, male 88.3
GTEX-14E6E-0526-SM-793DN 30-39 years, male 88.2
GTEX-1CB4F-1026-SM-7DUH1 60-69 years, male 88.2
GTEX-1H11D-1826-SM-9QEHM 40-49 years, male 88.2
GTEX-15SKB-2826-SM-6PAMH 60-69 years, male 87.9
GTEX-14JG6-1426-SM-9WG7C 30-39 years, female 87.8
GTEX-145MG-1526-SM-5Q5EM 50-59 years, male 87.6
GTEX-1I1CD-0626-SM-CE6SW 60-69 years, female 87.5
GTEX-1QEPI-2626-SM-DTXF4 60-69 years, female 87.5
GTEX-12WSC-2826-SM-5BC5Y 50-59 years, male 87.3
GTEX-17MFQ-1526-SM-7KFRR 20-29 years, male 87.2
GTEX-ZYFG-1526-SM-5GZYM 60-69 years, female 87.2
GTEX-1HUB1-1426-SM-CGQF5 60-69 years, male 87.1
GTEX-1CAMR-1326-SM-7PC1F 20-29 years, male 87.0
GTEX-16NGA-0726-SM-731AO 40-49 years, female 86.9
GTEX-1EMGI-2326-SM-7PBYA 60-69 years, male 86.9
GTEX-1EWIQ-0326-SM-7DHMQ 70-79 years, female 86.8
GTEX-14PJ2-0626-SM-6LLII 50-59 years, male 86.7
GTEX-13FTX-1526-SM-5K7VJ 20-29 years, female 86.4
GTEX-16BQI-1326-SM-6M486 30-39 years, female 86.3
GTEX-1122O-1026-SM-9WYSF 60-69 years, female 86.3
GTEX-1GMR2-0826-SM-7PC3V 50-59 years, male 86.2
GTEX-Y8E4-2026-SM-5IFJB 40-49 years, male 86.0
GTEX-13SLW-0626-SM-5Q5ER 70-79 years, male 85.9
GTEX-WXYG-2026-SM-4E3IY 50-59 years, female 85.7
GTEX-1QCLZ-2426-SM-EVYBW 60-69 years, female 85.7
GTEX-11ZTT-2126-SM-5CVLO 60-69 years, female 85.6
GTEX-17JCI-2926-SM-7DUFF 60-69 years, female 85.6
GTEX-1JKYR-0626-SM-ARL8R 20-29 years, male 85.5
GTEX-1LVA9-2626-SM-EVYD4 50-59 years, male 85.5
GTEX-XBED-1926-SM-47JYP 60-69 years, male 85.3
GTEX-18A66-0626-SM-7LT8Z 60-69 years, male 85.2
GTEX-139D8-1126-SM-5LU8W 30-39 years, female 85.1
GTEX-1EH9U-2826-SM-7DUGT 60-69 years, male 85.0
GTEX-1JMQJ-0826-SM-CNPP7 50-59 years, male 85.0
GTEX-183WM-0326-SM-72D5V 70-79 years, female 84.9
GTEX-1HCU6-2526-SM-ADEHL 60-69 years, female 84.9
GTEX-131XW-0626-SM-5PNVD 50-59 years, female 84.8
GTEX-139TS-2126-SM-5K7XC 60-69 years, male 84.8
GTEX-1C64N-2626-SM-7PC2N 50-59 years, male 84.8
GTEX-13X6J-0626-SM-5LU5F 50-59 years, male 84.7
GTEX-1GN2E-0226-SM-9WG6K 60-69 years, male 84.7
GTEX-1HCU9-0426-SM-9WYSD 20-29 years, male 84.5
GTEX-1JMPZ-0726-SM-CY8HZ 30-39 years, male 84.3
GTEX-1KWVE-1026-SM-D3L9O 30-39 years, male 84.3
GTEX-11EI6-2826-SM-5H11D 60-69 years, male 84.2
GTEX-145MH-2826-SM-5RQJF 50-59 years, male 84.2
GTEX-1GF9W-1426-SM-7PBYM 60-69 years, male 84.2
GTEX-VJYA-1526-SM-3GIJV 60-69 years, male 84.1
GTEX-1PPGY-1626-SM-EVYBL 60-69 years, male 84.1
GTEX-11DXY-0126-SM-5H11Q 60-69 years, male 83.8
GTEX-12WSD-0626-SM-5GCMW 60-69 years, female 83.6
GTEX-139TU-0726-SM-5L3EK 60-69 years, male 83.6
GTEX-1EX96-1026-SM-7MKG2 50-59 years, male 83.4
GTEX-1192X-2726-SM-5N9DN 50-59 years, male 83.2
GTEX-1GF9U-2026-SM-7SB92 40-49 years, female 83.1
GTEX-12126-0826-SM-5FQTZ 20-29 years, male 83.0
GTEX-145MO-2826-SM-5LU96 60-69 years, male 83.0
GTEX-1AX9I-2226-SM-73KUO 60-69 years, male 83.0
GTEX-X5EB-1926-SM-4E3IW 40-49 years, male 83.0
GTEX-ZYVF-0926-SM-5E44J 50-59 years, female 82.9
GTEX-YF7O-1526-SM-5IFI6 50-59 years, male 82.8
GTEX-1B932-2326-SM-79OL5 40-49 years, female 82.6
GTEX-WFG8-2126-SM-3GIKQ 20-29 years, male 82.5
GTEX-YFCO-1226-SM-5LUAT 40-49 years, male 82.5
GTEX-18D9A-1426-SM-7LT8M 30-39 years, female 82.5
GTEX-145LU-1926-SM-79OJN 50-59 years, male 82.4
GTEX-148VJ-0626-SM-5LUAW 70-79 years, male 82.4
GTEX-1IY9M-2826-SM-ARU8H 60-69 years, male 82.4
GTEX-13PL6-1126-SM-5L3IE 40-49 years, female 82.3
GTEX-1R9K4-2826-SM-DTX8F 60-69 years, male 82.3
GTEX-133LE-2326-SM-5K7W3 20-29 years, female 82.2
GTEX-144GM-0526-SM-79OJO 20-29 years, male 82.2
GTEX-14JG1-1526-SM-5YY9X 40-49 years, male 82.0
GTEX-ZDTT-0426-SM-4WKFL 60-69 years, male 81.9
GTEX-ZPU1-1126-SM-4YCF3 40-49 years, male 81.9
GTEX-13G51-1826-SM-5KLZH 60-69 years, male 81.7
GTEX-1A32A-0626-SM-731AQ 50-59 years, female 81.6
GTEX-XXEK-1626-SM-4BRUZ 50-59 years, male 81.6
GTEX-1MJK3-0726-SM-E6CJC 20-29 years, male 81.5
GTEX-1RAZA-2226-SM-E9U4X 20-29 years, male 81.5
GTEX-14DAR-1226-SM-73KYV 50-59 years, male 81.4
GTEX-15CHC-1126-SM-6LLHQ 60-69 years, female 81.2
GTEX-1B8L1-2226-SM-7P8PT 60-69 years, male 81.2
GTEX-1LGRB-0926-SM-COH3K 50-59 years, female 81.1
GTEX-13FTY-2126-SM-5IFFB 40-49 years, female 80.9
GTEX-1B8KZ-0326-SM-73KY4 50-59 years, male 80.9
GTEX-ZYT6-2326-SM-5GZY3 30-39 years, male 80.8
GTEX-1C475-1326-SM-7SB73 40-49 years, female 80.8
GTEX-1IL2V-1926-SM-B2LW8 70-79 years, male 80.8
GTEX-1QCLY-0226-SM-EWRNH 30-39 years, male 80.8
GTEX-12C56-1526-SM-5FQUQ 20-29 years, male 80.6
GTEX-14B4R-1326-SM-5Q5EZ 30-39 years, male 80.5
GTEX-1QP29-1826-SM-DTX9S 50-59 years, male 80.3
GTEX-1J8Q3-0526-SM-ARL8U 60-69 years, male 80.2
GTEX-147GR-2426-SM-5ZZWQ 60-69 years, male 80.1
GTEX-ZT9X-1526-SM-5DUXD 40-49 years, male 80.0
GTEX-1NSGN-0726-SM-DTXEF 50-59 years, male 79.9
GTEX-1M4P7-0726-SM-E6CJ3 60-69 years, male 79.4
GTEX-1RAZR-2126-SM-E9U6T 40-49 years, male 79.3
GTEX-W5X1-2526-SM-3GILC 40-49 years, female 79.0
GTEX-139UW-0326-SM-5J1ML 60-69 years, male 78.9
GTEX-1HSKV-1226-SM-ADEI4 60-69 years, male 78.7
GTEX-12ZZY-0726-SM-5EQ66 60-69 years, male 78.6
GTEX-1HSMQ-2626-SM-A9SML 50-59 years, male 78.4
GTEX-1KANB-2826-SM-CY8I6 50-59 years, male 78.4
GTEX-12WSH-1526-SM-5BC5W 50-59 years, male 78.2
GTEX-17F97-2626-SM-7IGM5 50-59 years, male 78.2
GTEX-WHWD-1826-SM-3LK6I 50-59 years, male 78.2
GTEX-18D9U-0126-SM-731BM 40-49 years, male 78.1
GTEX-X3Y1-2026-SM-3P5YM 40-49 years, male 77.5
GTEX-12WSJ-1126-SM-5LZVJ 40-49 years, female 77.4
GTEX-14PJ5-1526-SM-6LLIL 60-69 years, female 77.2
GTEX-1IDJF-2026-SM-CL53V 20-29 years, male 77.2
GTEX-UPK5-0426-SM-3GAEK 40-49 years, male 77.1
GTEX-ZDYS-2426-SM-4WKGI 50-59 years, male 77.1
GTEX-18465-2826-SM-7LT9J 50-59 years, male 77.0
GTEX-16NPX-0726-SM-7KULC 50-59 years, male 76.7
GTEX-1ICLZ-0326-SM-ARL82 60-69 years, male 76.1
GTEX-1JJ6O-2726-SM-CNPOG 60-69 years, male 76.0
GTEX-11GS4-0226-SM-5HL77 60-69 years, male 75.9
GTEX-1GN1V-2826-SM-9JGIA 60-69 years, male 75.8
GTEX-1J8EW-2726-SM-CY8HR 60-69 years, female 75.7
GTEX-1JMPY-0226-SM-CKZOK 30-39 years, male 75.7
GTEX-11P81-2226-SM-5PNYI 30-39 years, female 75.6
GTEX-11EM3-1226-SM-5N9DD 20-29 years, female 75.4
GTEX-13QBU-1226-SM-5LU4G 40-49 years, female 75.3
GTEX-147JS-0226-SM-5S2U9 60-69 years, male 75.0
GTEX-1KANC-1226-SM-CYPT7 50-59 years, female 74.9
GTEX-ZGAY-1826-SM-DO91Q 40-49 years, female 74.9
GTEX-15RIE-1926-SM-7KUKJ 60-69 years, male 74.8
GTEX-WHPG-2626-SM-3NMBR 50-59 years, male 74.6
GTEX-1IKOE-1426-SM-CE6T7 30-39 years, female 74.4
GTEX-1H1CY-0126-SM-9YFLY 60-69 years, female 74.3
GTEX-1F75A-0726-SM-7RHHD 50-59 years, male 74.1
GTEX-139YR-1026-SM-5LZYN 50-59 years, male 74.0
GTEX-1GF9X-1326-SM-7PC2Y 40-49 years, female 74.0
GTEX-18QFQ-1826-SM-72D52 30-39 years, male 73.6
GTEX-1HC8U-1326-SM-9YFMJ 40-49 years, female 73.6
GTEX-1EU9M-1426-SM-793AI 60-69 years, male 73.5
GTEX-1HCVE-2726-SM-CL54F 50-59 years, male 73.5
GTEX-1H4P4-2126-SM-9WYSL 50-59 years, male 73.2
GTEX-131XF-2626-SM-5EQ6K 60-69 years, male 73.0
GTEX-X4EO-2926-SM-4E3JH 60-69 years, female 72.9
GTEX-1H1E6-0426-SM-9WYUS 30-39 years, male 72.8
GTEX-ZLFU-1826-SM-4WWBV 40-49 years, male 72.7
GTEX-XV7Q-1826-SM-4BRUV 40-49 years, female 72.4
GTEX-11P7K-1126-SM-5HL4L 30-39 years, male 72.2
GTEX-13NYB-0126-SM-5J1MD 40-49 years, male 72.0
GTEX-18A67-1626-SM-7LT9T 50-59 years, male 72.0
GTEX-1F6IF-0926-SM-7SB7M 60-69 years, male 72.0
GTEX-1F5PK-2226-SM-7SB6N 50-59 years, male 71.9
GTEX-1JMLX-0626-SM-ARL8T 50-59 years, male 71.9
GTEX-13N11-2326-SM-5IJBF 50-59 years, female 71.8
GTEX-13JVG-0726-SM-5KM16 60-69 years, male 71.7
GTEX-147F3-1726-SM-5SIAW 50-59 years, female 71.4
GTEX-YJ8O-2526-SM-5HL85 40-49 years, female 71.4
GTEX-1IE54-1126-SM-A9G2Z 40-49 years, female 71.2
GTEX-13FTW-0326-SM-5K7UW 40-49 years, male 71.0
GTEX-1F75W-2726-SM-7SB8H 60-69 years, male 70.6
GTEX-1NV5F-0626-SM-DTXEG 60-69 years, female 70.6
GTEX-14PJN-1826-SM-6AJ98 30-39 years, male 70.2
GTEX-12WSL-2026-SM-5GCML 50-59 years, male 69.8
GTEX-WFG7-2026-SM-5SI7P 20-29 years, male 69.6
GTEX-14AS3-1526-SM-5Q5ED 40-49 years, female 69.5
GTEX-1IDJC-1526-SM-B2LW4 50-59 years, male 69.2
GTEX-1F75I-2226-SM-7SB8U 40-49 years, male 68.8
GTEX-13YAN-0226-SM-5TDC6 60-69 years, male 68.5
GTEX-1I1GP-1326-SM-A9G28 50-59 years, male 68.0
GTEX-146FQ-2126-SM-5RQHU 30-39 years, male 67.7
GTEX-1BAJH-2426-SM-7IGP8 70-79 years, male 67.7
GTEX-Y5V5-0126-SM-5S2NW 60-69 years, female 67.7
GTEX-13X6K-0626-SM-5LU5D 60-69 years, female 67.6
GTEX-183FY-1026-SM-7939A 20-29 years, male 67.6
GTEX-14PII-0726-SM-6EU2B 60-69 years, male 67.3
GTEX-13113-1626-SM-5EQ4I 60-69 years, female 67.2
GTEX-1JMQI-1726-SM-ARL93 50-59 years, male 67.2
GTEX-117YX-1926-SM-5GIEC 50-59 years, male 66.9
GTEX-178AV-1726-SM-7KUL8 40-49 years, male 66.9
GTEX-145MF-0926-SM-5Q5EA 50-59 years, male 64.6
GTEX-13OW5-2326-SM-5L3HO 60-69 years, male 63.1
GTEX-14BMU-1226-SM-5S2OR 20-29 years, female 62.8
GTEX-17F9E-2326-SM-79OKD 50-59 years, male 61.1
GTEX-1I1GV-0626-SM-ARL7M 60-69 years, male 57.8
GTEX-UPJH-0226-SM-3GADV 50-59 years, male 56.8
GTEX-14E1K-2026-SM-7DUEI 50-59 years, male 53.6
GTEX-1A3MV-1826-SM-731CD 30-39 years, male 52.3
GTEX-XYKS-1426-SM-4BRUO 60-69 years, female 51.0
GTEX-WEY5-2326-SM-3GIKK 40-49 years, female 43.6
Show allShow less
Skin - Sun Exposed (Lower leg)
Average nTPM: 94.2
Samples: 701

Max nTPM: 183.1
Min nTPM: 30.9
Std nTPM: 20.6
Median nTPM: 93.1
GTEX-W5X1-3026-SM-EAZAX 40-49 years, female 183.1
GTEX-Y5V6-2426-SM-4VDSB 60-69 years, male 164.8
GTEX-SN8G-0126-SM-32PLI 50-59 years, female 157.3
GTEX-ZPIC-1726-SM-DHXIU 40-49 years, female 155.8
GTEX-1A3MW-0126-SM-73KXX 60-69 years, female 155.1
GTEX-Q734-1926-SM-2I5EV 40-49 years, female 153.2
GTEX-1L5NE-2526-SM-E6CIE 50-59 years, male 152.8
GTEX-14XAO-2326-SM-6EU1B 60-69 years, female 148.2
GTEX-O5YT-0126-SM-48TBW 20-29 years, male 148.0
GTEX-1HSEH-0126-SM-ACKXN 60-69 years, male 146.8
GTEX-ZAJG-0126-SM-5HL94 50-59 years, female 146.4
GTEX-1H1ZS-0426-SM-9WG6G 70-79 years, male 146.2
GTEX-1QAET-0926-SM-E76QM 50-59 years, male 144.1
GTEX-ZYW4-0126-SM-5E44A 60-69 years, male 143.9
GTEX-11TT1-2526-SM-5EGIB 20-29 years, male 141.9
GTEX-1HKZK-0326-SM-9WYUH 40-49 years, male 141.8
GTEX-12WSA-0226-SM-5BC5V 60-69 years, male 139.7
GTEX-1HSMO-0126-SM-CL547 60-69 years, male 139.4
GTEX-R55G-2526-SM-2TC6D 40-49 years, female 139.1
GTEX-1LGOU-2026-SM-DIPFF 20-29 years, female 139.0
GTEX-1GL5R-1826-SM-9KNUY 50-59 years, male 137.2
GTEX-OHPL-0126-SM-2HMJ7 60-69 years, female 136.5
GTEX-13PDP-0126-SM-5L3HD 60-69 years, male 135.4
GTEX-14A5H-0426-SM-5QGQF 60-69 years, male 134.8
GTEX-14LZ3-0226-SM-62LET 60-69 years, female 134.7
GTEX-15UKP-0426-SM-7KUFQ 20-29 years, male 133.9
GTEX-Q2AI-1326-SM-2S1PL 40-49 years, male 133.5
GTEX-11H98-0126-SM-5EGHG 50-59 years, male 133.4
GTEX-1LSNM-1926-SM-E6CII 50-59 years, male 132.6
GTEX-Y111-0126-SM-4SOIV 50-59 years, male 132.3
GTEX-QV44-1926-SM-2S1RF 50-59 years, male 132.1
GTEX-OXRL-0126-SM-2YUMP 50-59 years, male 131.6
GTEX-1JMQL-0226-SM-CNPP5 50-59 years, female 131.3
GTEX-ZXES-1826-SM-5E43S 30-39 years, female 130.9
GTEX-1A3MX-0126-SM-731BR 60-69 years, male 130.7
GTEX-QESD-1426-SM-2S1R9 20-29 years, male 130.6
GTEX-1JJ6O-0126-SM-E6CI8 60-69 years, male 130.5
GTEX-1HCU9-1526-SM-A9SL7 20-29 years, male 130.2
GTEX-17HII-0226-SM-7LG4E 50-59 years, male 130.1
GTEX-11NUK-0126-SM-5A5L3 50-59 years, male 129.5
GTEX-1PDJ9-0326-SM-DTX95 20-29 years, male 129.2
GTEX-13OVH-0126-SM-5MR4B 70-79 years, male 128.7
GTEX-13NZB-2526-SM-5J1OM 30-39 years, male 128.3
GTEX-ZY6K-1826-SM-5GZXK 50-59 years, male 127.7
GTEX-13OVI-1426-SM-5L3EY 60-69 years, female 127.6
GTEX-17HHY-0126-SM-7LG5D 50-59 years, male 127.5
GTEX-18A7B-0126-SM-7LG64 70-79 years, male 127.4
GTEX-11GSO-2426-SM-5A5LY 60-69 years, male 127.2
GTEX-RUSQ-1526-SM-2TF62 50-59 years, male 126.8
GTEX-16BQI-0226-SM-7KUEX 30-39 years, female 126.3
GTEX-QDT8-0126-SM-48TZ1 30-39 years, female 126.1
GTEX-RN64-0126-SM-2TC68 50-59 years, male 126.0
GTEX-1GTWX-0126-SM-9YFLK 60-69 years, male 126.0
GTEX-11NSD-2226-SM-5986V 20-29 years, male 125.6
GTEX-14PK6-1926-SM-6ETZU 70-79 years, female 124.9
GTEX-11P81-2326-SM-59875 30-39 years, female 124.8
GTEX-11DYG-0126-SM-59883 60-69 years, male 124.7
GTEX-13FTY-0526-SM-5L3EV 40-49 years, female 124.0
GTEX-11VI4-1726-SM-5CVLH 40-49 years, female 123.7
GTEX-OIZG-0726-SM-33HBL 50-59 years, male 123.4
GTEX-183WM-0126-SM-7LTAB 70-79 years, female 123.2
GTEX-OXRO-0126-SM-2YUN4 60-69 years, female 123.1
GTEX-X261-0126-SM-3NMD6 50-59 years, male 122.7
GTEX-13O3P-0126-SM-5KM4S 50-59 years, male 122.5
GTEX-ZYY3-0126-SM-5GZY5 60-69 years, female 122.5
GTEX-13RTL-0126-SM-7LG5S 40-49 years, male 122.4
GTEX-QLQ7-1626-SM-2S1R8 60-69 years, male 121.3
GTEX-NPJ8-0126-SM-2YUNR 40-49 years, male 121.2
GTEX-1HFI7-1826-SM-ACKXH 50-59 years, female 121.1
GTEX-15ER7-0326-SM-7KUEV 20-29 years, female 120.9
GTEX-1128S-2326-SM-5GZZY 60-69 years, female 120.8
GTEX-13X6H-2126-SM-7EWD5 50-59 years, female 120.8
GTEX-X62O-0126-SM-4E3JN 50-59 years, male 120.5
GTEX-XQ8I-0426-SM-4BOPO 50-59 years, male 120.5
GTEX-14753-0426-SM-5NQAM 60-69 years, male 120.4
GTEX-POMQ-2226-SM-2I5FK 20-29 years, female 120.4
GTEX-12WSC-0126-SM-5EQ4P 50-59 years, male 120.2
GTEX-14PJ6-2126-SM-6EU1V 60-69 years, female 120.0
GTEX-T6MO-1626-SM-32QOM 40-49 years, female 120.0
GTEX-1JJE9-0326-SM-CL53Z 70-79 years, male 119.8
GTEX-1CAMQ-0226-SM-7IGPK 40-49 years, male 119.5
GTEX-ZQG8-1626-SM-DHXIT 60-69 years, female 119.3
GTEX-15SB6-1726-SM-6PAME 50-59 years, female 118.9
GTEX-ZYFD-0126-SM-5GIDL 50-59 years, male 118.2
GTEX-1M4P7-0226-SM-DIPEV 60-69 years, male 118.2
GTEX-16XZZ-0126-SM-793DV 60-69 years, male 118.1
GTEX-P4PP-0126-SM-3LK69 30-39 years, female 118.1
GTEX-131XF-5016-SM-7MGWE 60-69 years, male 118.0
GTEX-139T4-0226-SM-5HL5S 50-59 years, female 117.7
GTEX-15RIG-0226-SM-7KFTL 40-49 years, male 117.7
GTEX-13OVG-1926-SM-5L3DK 60-69 years, male 117.3
GTEX-14PN4-0126-SM-6EU2V 50-59 years, male 117.1
GTEX-11LCK-1026-SM-5A5KB 30-39 years, male 117.0
GTEX-17HGU-0226-SM-7DHKV 50-59 years, male 116.7
GTEX-ZAB5-1826-SM-5HL7C 50-59 years, male 116.6
GTEX-ZV6S-2326-SM-4YCEY 40-49 years, female 116.5
GTEX-RU72-0926-SM-2TF6B 50-59 years, female 116.4
GTEX-1GN1V-0126-SM-9WPOS 60-69 years, male 116.4
GTEX-OIZH-0126-SM-2HMIS 50-59 years, male 116.3
GTEX-ZWKS-0126-SM-5SIAA 30-39 years, male 116.1
GTEX-1HGF4-2426-SM-ACKXM 60-69 years, male 115.9
GTEX-11XUK-2026-SM-5EQLF 40-49 years, female 115.6
GTEX-13113-5016-SM-7EPIP 60-69 years, female 115.6
GTEX-ZVZP-2426-SM-59HKJ 50-59 years, male 115.6
GTEX-15DCD-0126-SM-7KUEK 70-79 years, female 114.9
GTEX-15SHU-0126-SM-7KUEH 40-49 years, female 114.9
GTEX-13OW6-0426-SM-5L3HM 50-59 years, male 114.8
GTEX-1C6WA-0126-SM-7PC2B 60-69 years, male 114.7
GTEX-P4QT-0126-SM-2I3FL 50-59 years, female 114.5
GTEX-17JCI-0126-SM-7LG5G 60-69 years, female 114.4
GTEX-131XG-2626-SM-5KM17 50-59 years, female 114.3
GTEX-PWO3-1526-SM-48TCM 60-69 years, female 114.3
GTEX-14JIY-0126-SM-6LLH6 60-69 years, male 113.8
GTEX-11WQK-0526-SM-5EQLD 50-59 years, male 113.6
GTEX-PLZ5-2026-SM-2S1O4 50-59 years, male 113.4
GTEX-1122O-2126-SM-5EGIR 60-69 years, female 113.3
GTEX-1MA7W-2026-SM-E9TJ6 20-29 years, female 113.0
GTEX-13FTW-2626-SM-5K7WL 40-49 years, male 112.9
GTEX-1E2YA-0126-SM-9KNUC 50-59 years, male 112.9
GTEX-18D9A-1926-SM-7LG6P 30-39 years, female 112.8
GTEX-1LC47-0326-SM-E9TJP 60-69 years, male 112.6
GTEX-ZVT4-0126-SM-DTXFN 50-59 years, female 112.5
GTEX-1QPFJ-0226-SM-E76PB 30-39 years, female 112.3
GTEX-ZYFG-2326-SM-5E44B 60-69 years, female 112.0
GTEX-SUCS-1926-SM-32PM3 70-79 years, male 111.9
GTEX-QLQW-1126-SM-2S1Q8 30-39 years, male 111.5
GTEX-17MF6-0126-SM-7LG4F 40-49 years, male 111.4
GTEX-1H23P-0126-SM-ADEJ3 60-69 years, male 111.4
GTEX-1QMI2-0226-SM-EVYBX 60-69 years, male 111.4
GTEX-1R7EV-2426-SM-EVYBG 40-49 years, male 111.4
GTEX-11P82-1626-SM-59879 20-29 years, male 111.3
GTEX-1A32A-0126-SM-718B1 50-59 years, female 111.2
GTEX-X4XX-0126-SM-3NMC2 60-69 years, male 111.2
GTEX-13W46-0226-SM-5SIAG 50-59 years, male 111.0
GTEX-R55E-0126-SM-2TC5Y 20-29 years, male 110.9
GTEX-1F5PL-0326-SM-7P8PQ 40-49 years, female 110.8
GTEX-1R9K4-0126-SM-DTX9X 60-69 years, male 110.7
GTEX-11TTK-0126-SM-5987B 60-69 years, female 110.6
GTEX-1HCU8-0626-SM-A9SM9 60-69 years, female 110.6
GTEX-1C6VQ-0126-SM-7P8RI 50-59 years, male 110.5
GTEX-1F6RS-0126-SM-9MQKZ 60-69 years, female 110.5
GTEX-1JN1M-0326-SM-CYPT3 60-69 years, female 110.5
GTEX-T2YK-0526-SM-32QPJ 50-59 years, male 110.0
GTEX-WFON-2126-SM-3LK7O 40-49 years, male 109.9
GTEX-11ZTT-2426-SM-5EQLS 60-69 years, female 109.8
GTEX-ZXG5-0126-SM-5GIEU 60-69 years, male 109.8
GTEX-1HB9E-0226-SM-E9U4R 50-59 years, male 109.7
GTEX-139UW-2826-SM-5L3E7 60-69 years, male 109.5
GTEX-13NYS-0126-SM-5MR3W 60-69 years, male 109.5
GTEX-1H11D-0226-SM-9WG6Z 40-49 years, male 109.5
GTEX-15F5U-1526-SM-6PANO 40-49 years, male 109.4
GTEX-1EU9M-0226-SM-7P8SP 60-69 years, male 109.4
GTEX-T5JC-0426-SM-32PLO 20-29 years, male 109.2
GTEX-16YQH-0126-SM-7DUFJ 30-39 years, male 109.1
GTEX-U3ZN-2326-SM-3DB7W 30-39 years, female 109.1
GTEX-1JKYR-0126-SM-CNPOJ 20-29 years, male 109.1
GTEX-WOFL-0126-SM-3MJG2 60-69 years, male 109.0
GTEX-YJ89-0126-SM-4TT3X 60-69 years, male 108.7
GTEX-11ZU8-2526-SM-5EQKI 60-69 years, male 108.5
GTEX-1HCUA-2426-SM-ADEIS 50-59 years, female 108.5
GTEX-13FH7-2026-SM-E9J4I 50-59 years, female 108.4
GTEX-1KD5A-0226-SM-D5OV3 50-59 years, male 108.4
GTEX-WI4N-1026-SM-3LK7N 40-49 years, female 107.9
GTEX-1LNCM-1126-SM-E9U5E 50-59 years, female 107.9
GTEX-TMZS-0126-SM-3DB9Q 60-69 years, male 107.8
GTEX-1PFEY-1526-SM-E76PP 30-39 years, male 107.5
GTEX-1HCU7-0226-SM-CL545 50-59 years, male 107.1
GTEX-13IVO-0126-SM-5J1NG 70-79 years, male 106.7
GTEX-1F75I-0326-SM-9YFLU 40-49 years, male 106.5
GTEX-1IGQW-0126-SM-COH42 60-69 years, male 106.5
GTEX-1KAFJ-2026-SM-CY8ID 50-59 years, male 106.5
GTEX-1GMR3-1926-SM-9KNUZ 40-49 years, male 106.4
GTEX-O5YW-0126-SM-3LK6D 50-59 years, male 106.3
GTEX-1HBPN-0226-SM-9YFM1 50-59 years, male 106.2
GTEX-13112-2826-SM-5DUWH 50-59 years, male 106.1
GTEX-14C5O-0126-SM-5SI6N 60-69 years, male 106.1
GTEX-1I19N-0326-SM-ACKVX 70-79 years, male 106.1
GTEX-1I4MK-2226-SM-ACKWD 50-59 years, female 106.1
GTEX-15EU6-0426-SM-6PAN5 50-59 years, male 106.0
GTEX-16XZY-2126-SM-79OK1 70-79 years, male 106.0
GTEX-1I6K6-0126-SM-A9SLE 30-39 years, male 106.0
GTEX-1HUB1-0426-SM-E9U4U 60-69 years, male 105.9
GTEX-Q2AH-1626-SM-3GAF8 40-49 years, male 105.7
GTEX-QDVN-2026-SM-3GAEP 50-59 years, male 105.7
GTEX-X4XY-0226-SM-4E3IZ 60-69 years, male 105.7
GTEX-1ICLY-0126-SM-D4P36 50-59 years, male 105.6
GTEX-1JMQJ-0526-SM-CYPSU 50-59 years, male 105.5
GTEX-147F3-0526-SM-5SI98 50-59 years, female 105.4
GTEX-15CHC-2126-SM-6EU21 60-69 years, female 105.3
GTEX-1JN76-0126-SM-CNPPE 20-29 years, female 105.3
GTEX-11ZUS-0626-SM-59885 30-39 years, male 105.1
GTEX-14BIL-0126-SM-5SI92 50-59 years, male 105.1
GTEX-1KD4Q-0226-SM-E9TJ9 40-49 years, male 105.1
GTEX-Z93T-0126-SM-5HL5N 50-59 years, male 105.0
GTEX-1QP29-0626-SM-EWRMX 50-59 years, male 105.0
GTEX-11O72-0126-SM-59887 40-49 years, male 104.9
GTEX-15EOM-0126-SM-7KUGG 20-29 years, female 104.9
GTEX-1E1VI-0126-SM-7DHMZ 50-59 years, male 104.9
GTEX-11OC5-0126-SM-5HL6A 60-69 years, male 104.5
GTEX-1314G-1526-SM-5EGK2 30-39 years, male 104.5
GTEX-U8XE-0326-SM-3DB8P 30-39 years, male 104.5
GTEX-12ZZZ-0626-SM-5DUXI 60-69 years, male 104.3
GTEX-1KWVE-1426-SM-E9TJO 30-39 years, male 104.3
GTEX-13O1R-0126-SM-5L3EH 60-69 years, male 104.2
GTEX-15UF6-0826-SM-6PALJ 70-79 years, female 104.1
GTEX-12WSK-2326-SM-5GCOH 40-49 years, female 104.0
GTEX-1MJK2-0426-SM-DTXE5 50-59 years, male 104.0
GTEX-ZZPT-0226-SM-5E43X 50-59 years, male 103.6
GTEX-13NYB-2526-SM-5K7Z6 40-49 years, male 103.5
GTEX-1192W-2626-SM-5Q5AF 60-69 years, male 103.4
GTEX-WYJK-0126-SM-3NMAB 50-59 years, male 103.4
GTEX-1H3VY-0126-SM-ACKXD 50-59 years, male 103.4
GTEX-1PWST-0226-SM-E76QJ 70-79 years, male 103.3
GTEX-11UD1-0126-SM-5PNYG 40-49 years, female 102.8
GTEX-YB5K-2126-SM-4WWDJ 40-49 years, female 102.8
GTEX-1LH75-2426-SM-E9TJE 50-59 years, female 102.8
GTEX-1497J-2426-SM-7IGNX 60-69 years, male 102.7
GTEX-13NYC-0326-SM-E9J4S 60-69 years, male 102.7
GTEX-146FH-0126-SM-5QGPP 50-59 years, female 102.6
GTEX-OOBK-0126-SM-2YUND 40-49 years, male 102.6
GTEX-X88G-0126-SM-47JZ3 30-39 years, male 102.5
GTEX-1IDJU-2626-SM-CM2RT 60-69 years, female 102.5
GTEX-XMD2-0126-SM-4YCDU 60-69 years, female 102.1
GTEX-1H1DG-0126-SM-9WYU2 70-79 years, male 102.1
GTEX-15D1Q-0126-SM-7KUG6 40-49 years, male 102.0
GTEX-R45C-0126-SM-EAZ2R 60-69 years, female 102.0
GTEX-U4B1-1826-SM-4DXSU 40-49 years, male 101.9
GTEX-16MT8-0426-SM-7KUEY 60-69 years, female 101.8
GTEX-1PBJI-0526-SM-E8VNK 20-29 years, female 101.8
GTEX-1B996-0226-SM-7RHGO 60-69 years, male 101.7
GTEX-ZE7O-0126-SM-57WC1 50-59 years, female 101.6
GTEX-ZVTK-0426-SM-51MRS 20-29 years, male 101.6
GTEX-14BMV-0126-SM-5S2PO 50-59 years, male 101.5
GTEX-1C6VR-2426-SM-79OLD 60-69 years, male 101.5
GTEX-13YAN-0326-SM-5O9DF 60-69 years, male 101.4
GTEX-18D9U-0226-SM-718BP 40-49 years, male 101.4
GTEX-1GPI6-0126-SM-9WG69 60-69 years, male 101.4
GTEX-WZTO-0126-SM-3NM95 40-49 years, male 101.3
GTEX-PX3G-0126-SM-2I3EN 20-29 years, female 101.2
GTEX-1M5QR-1226-SM-EWROB 40-49 years, male 101.0
GTEX-13OVJ-0126-SM-5KM36 50-59 years, female 100.9
GTEX-ZU9S-0226-SM-5E441 30-39 years, male 100.6
GTEX-ZF3C-0126-SM-DO92D 50-59 years, female 100.6
GTEX-1399U-2326-SM-5K7WY 50-59 years, female 100.4
GTEX-14E6D-0126-SM-62LDV 50-59 years, male 100.4
GTEX-1AYCT-2426-SM-7IGQ3 50-59 years, male 100.4
GTEX-1KXAM-2226-SM-CYPTC 60-69 years, male 100.4
GTEX-16NPX-0226-SM-79OMT 50-59 years, male 100.3
GTEX-SE5C-1626-SM-2XCE3 40-49 years, female 100.3
GTEX-1HCVE-0126-SM-CGQEU 50-59 years, male 100.2
GTEX-183FY-0126-SM-7LT9P 20-29 years, male 100.1
GTEX-QVJO-1626-SM-2S1QW 60-69 years, female 100.1
GTEX-1LGRB-2526-SM-CNPPQ 50-59 years, female 100.1
GTEX-RTLS-0126-SM-447CA 60-69 years, female 100.0
GTEX-WYVS-2126-SM-3NMA3 40-49 years, female 100.0
GTEX-1N2DV-0226-SM-E6CJ6 40-49 years, male 99.9
GTEX-1GMR8-0126-SM-9WYTM 50-59 years, female 99.8
GTEX-OOBJ-0126-SM-E6CJW 60-69 years, male 99.8
GTEX-RWSA-0126-SM-2XCBB 40-49 years, male 99.6
GTEX-T6MN-0126-SM-32PLP 50-59 years, male 99.5
GTEX-Y114-2426-SM-4TT8A 50-59 years, female 99.4
GTEX-ZQUD-1426-SM-57WER 30-39 years, male 99.4
GTEX-147F4-0226-SM-5QGPW 50-59 years, male 99.2
GTEX-1N2EF-0226-SM-EYYXB 60-69 years, male 99.1
GTEX-18A67-0126-SM-7LG5P 50-59 years, male 99.0
GTEX-12ZZX-0126-SM-5EGK9 40-49 years, female 98.9
GTEX-1CB4J-0626-SM-7DHMP 60-69 years, male 98.7
GTEX-1QEPI-0126-SM-EWRMQ 60-69 years, female 98.7
GTEX-13NZA-0226-SM-5K7Z7 60-69 years, male 98.5
GTEX-14A5I-0126-SM-5TDEA 50-59 years, female 98.5
GTEX-1B8SG-0126-SM-73KZ3 50-59 years, male 98.5
GTEX-13FHP-0126-SM-5IJBG 50-59 years, male 98.4
GTEX-1B8KE-2126-SM-73KYX 50-59 years, male 98.4
GTEX-TSE9-0126-SM-3DB83 60-69 years, female 98.4
GTEX-1C6VS-0526-SM-7DUEN 60-69 years, male 98.3
GTEX-1JKYN-1326-SM-CGQG9 30-39 years, male 98.3
GTEX-U3ZM-1526-SM-3DB9D 40-49 years, male 98.2
GTEX-V1D1-2226-SM-3NMAX 50-59 years, male 98.2
GTEX-ZVT2-2526-SM-51MT1 50-59 years, female 98.2
GTEX-1HT8W-0126-SM-CNPPP 30-39 years, male 98.2
GTEX-Y5LM-1926-SM-5RQJH 40-49 years, female 97.9
GTEX-1R7EU-0226-SM-EVR4G 60-69 years, male 97.8
GTEX-13NZ8-0826-SM-5MR3I 60-69 years, female 97.4
GTEX-14PHW-0126-SM-6LLJI 60-69 years, female 97.4
GTEX-UJHI-1526-SM-3DB99 50-59 years, female 97.4
GTEX-ZV68-0126-SM-59HKS 50-59 years, female 97.4
GTEX-1LBAC-0126-SM-DIPEZ 20-29 years, male 97.4
GTEX-1QP9N-1426-SM-DTXFL 30-39 years, male 97.4
GTEX-18A7A-0226-SM-718BH 50-59 years, female 97.3
GTEX-1B8KZ-2026-SM-7DHMB 50-59 years, male 97.3
GTEX-X8HC-0126-SM-4E3JW 50-59 years, female 97.3
GTEX-ZF29-2326-SM-DO92K 60-69 years, female 97.3
GTEX-15ETS-0126-SM-7KUMW 40-49 years, female 97.1
GTEX-P4PQ-0126-SM-2S1NM 60-69 years, male 97.1
GTEX-1HR98-0126-SM-B2LWI 60-69 years, male 96.8
GTEX-113JC-2326-SM-5EQ4E 50-59 years, female 96.5
GTEX-131XH-2226-SM-5DUXJ 50-59 years, male 96.4
GTEX-15DYW-0126-SM-7KULE 60-69 years, female 96.4
GTEX-1LB8K-0226-SM-EWRNW 50-59 years, male 96.3
GTEX-RVPV-0126-SM-EAZAW 60-69 years, male 96.2
GTEX-1I1GU-2226-SM-CGQFA 40-49 years, male 96.1
GTEX-1K2DU-2326-SM-E9TIV 20-29 years, male 96.1
GTEX-1RAZA-0126-SM-E6CI3 20-29 years, male 96.0
GTEX-XUZC-1726-SM-4BRWS 30-39 years, female 95.9
GTEX-1F7RK-0126-SM-7PC2S 20-29 years, female 95.8
GTEX-1PIIG-0226-SM-EWRN6 30-39 years, male 95.8
GTEX-T2IS-0126-SM-4DM6O 20-29 years, female 95.7
GTEX-15SHW-0326-SM-6PAML 60-69 years, male 95.6
GTEX-1J8Q2-0526-SM-CM2RW 60-69 years, male 95.6
GTEX-1H1DE-2126-SM-9WG6R 20-29 years, male 95.5
GTEX-1QP2A-0126-SM-E9J43 50-59 years, male 95.4
GTEX-11UD2-0226-SM-5EQKY 50-59 years, male 95.3
GTEX-12WSD-0126-SM-59HKN 60-69 years, female 95.3
GTEX-1A8FM-0226-SM-7SB7Q 50-59 years, female 95.3
GTEX-13RTJ-2426-SM-5S2Q2 60-69 years, male 95.1
GTEX-14BIM-0226-SM-7IGLD 60-69 years, female 95.1
GTEX-14E6C-0126-SM-5RQIP 40-49 years, male 95.1
GTEX-QDVJ-1726-SM-2I5FX 50-59 years, male 95.1
GTEX-Y5V5-2326-SM-4V6GA 60-69 years, female 95.1
GTEX-ZAB4-0226-SM-5N9F5 40-49 years, male 95.1
GTEX-11EMC-2926-SM-5EQ4F 60-69 years, female 95.0
GTEX-1H3VE-0326-SM-9YFLH 40-49 years, male 95.0
GTEX-1PPH8-0226-SM-E8VND 20-29 years, male 95.0
GTEX-12C56-1726-SM-5EQ61 20-29 years, male 94.9
GTEX-17EVQ-0226-SM-7LG4P 70-79 years, male 94.9
GTEX-1211K-2026-SM-5EQ4Z 60-69 years, female 94.7
GTEX-XXEK-2226-SM-4BRUM 50-59 years, male 94.7
GTEX-1C475-1826-SM-73KWA 40-49 years, female 94.6
GTEX-1NHNU-1026-SM-E9J2A 50-59 years, male 94.6
GTEX-148VI-1626-SM-5SI6E 60-69 years, female 94.3
GTEX-14PN3-2426-SM-6LLHS 60-69 years, female 94.3
GTEX-OHPM-0126-SM-2YUN9 50-59 years, male 94.3
GTEX-YJ8A-0426-SM-5IFID 20-29 years, male 94.2
GTEX-1K9T9-0126-SM-EVYCF 50-59 years, female 94.2
GTEX-ZVE2-0226-SM-59HJB 50-59 years, male 94.1
GTEX-XUW1-0426-SM-4BOOT 50-59 years, female 94.0
GTEX-1EKGG-0226-SM-9WYTH 60-69 years, male 94.0
GTEX-1R9PM-2026-SM-E76OY 20-29 years, male 94.0
GTEX-14JG1-0426-SM-6ETZZ 40-49 years, male 93.9
GTEX-1IKJJ-0126-SM-CNPQB 60-69 years, male 93.8
GTEX-1J8QM-2126-SM-CYPSJ 60-69 years, female 93.7
GTEX-113IC-0126-SM-5HL6T 60-69 years, male 93.5
GTEX-OXRK-0226-SM-3NB2G 50-59 years, female 93.5
GTEX-S32W-2126-SM-2XCB1 50-59 years, female 93.5
GTEX-1GF9W-0326-SM-9KNUN 60-69 years, male 93.5
GTEX-1CAMR-1926-SM-7EPI2 20-29 years, male 93.3
GTEX-1EN7A-0126-SM-7SB81 40-49 years, male 93.3
GTEX-1HFI6-0226-SM-ADEHZ 40-49 years, male 93.3
GTEX-WH7G-2326-SM-3NMBC 40-49 years, male 93.2
GTEX-11ZVC-2526-SM-5FQTE 50-59 years, female 93.1
GTEX-1LG7Y-0526-SM-DKPQC 50-59 years, male 93.1
GTEX-12584-0126-SM-5EGKQ 40-49 years, male 93.0
GTEX-1EMGI-0126-SM-9KNUE 60-69 years, male 93.0
GTEX-WQUQ-0426-SM-3MJFU 60-69 years, male 92.8
GTEX-XPVG-2626-SM-4B669 50-59 years, male 92.8
GTEX-PLZ6-1426-SM-DKPOT 30-39 years, male 92.8
GTEX-13N11-2526-SM-5K7UE 50-59 years, female 92.7
GTEX-S7PM-0126-SM-4AD6S 60-69 years, male 92.3
GTEX-Y8E4-0626-SM-4WWDL 40-49 years, male 92.3
GTEX-YB5E-2026-SM-5IFIS 40-49 years, male 92.3
GTEX-14BMU-2226-SM-5TDE9 20-29 years, female 92.2
GTEX-WVJS-0126-SM-4MVOT 50-59 years, male 92.1
GTEX-1RLM8-2326-SM-EWRN4 50-59 years, male 92.0
GTEX-1HBPH-0426-SM-B2LW5 40-49 years, female 91.9
GTEX-1MCYP-1926-SM-E9J2R 20-29 years, female 91.9
GTEX-1IE54-0126-SM-CMKHW 40-49 years, female 91.8
GTEX-PSDG-0226-SM-DKPOZ 50-59 years, male 91.8
GTEX-18A6Q-0126-SM-731BZ 60-69 years, male 91.7
GTEX-1O97I-0326-SM-EYYX7 60-69 years, male 91.7
GTEX-13OVK-2026-SM-7KUEO 40-49 years, male 91.6
GTEX-13N1W-0126-SM-5K7VT 70-79 years, male 91.5
GTEX-15SDE-2226-SM-7IGLO 50-59 years, female 91.5
GTEX-1PPH7-2326-SM-EVYB8 40-49 years, male 91.4
GTEX-12WSL-2526-SM-5GCNJ 50-59 years, male 91.1
GTEX-13W3W-2426-SM-5LU5B 60-69 years, female 91.1
GTEX-1IOXB-0126-SM-ARL8G 50-59 years, male 91.1
GTEX-1269C-2526-SM-5EGJ3 60-69 years, female 90.9
GTEX-ZUA1-0126-SM-5GU76 40-49 years, male 90.9
GTEX-11DZ1-0126-SM-5985Q 50-59 years, male 90.7
GTEX-139TU-0126-SM-5K7WH 60-69 years, male 90.6
GTEX-16GPK-0126-SM-7DHLE 60-69 years, male 90.6
GTEX-1IDFM-0126-SM-COH2V 60-69 years, male 90.4
GTEX-13RTK-1426-SM-5QGQJ 20-29 years, male 90.3
GTEX-X5EB-2226-SM-46MW4 40-49 years, male 90.3
GTEX-ZVZO-0126-SM-5A5L9 40-49 years, male 90.3
GTEX-1I1GT-0626-SM-CGQER 60-69 years, female 90.2
GTEX-WRHK-1426-SM-3MJF9 20-29 years, female 90.0
GTEX-1CB4H-0226-SM-7PBXM 60-69 years, female 90.0
GTEX-1IDJF-0126-SM-CM2RS 20-29 years, male 90.0
GTEX-17F96-1626-SM-7DUFL 70-79 years, male 89.9
GTEX-ZF28-0126-SM-4WKGK 60-69 years, male 89.8
GTEX-1H4P4-0726-SM-9YFLR 50-59 years, male 89.8
GTEX-1J8Q3-1626-SM-CMKGC 60-69 years, male 89.7
GTEX-17EVP-0326-SM-7DHLG 40-49 years, male 89.6
GTEX-17MFQ-1726-SM-793C7 20-29 years, male 89.6
GTEX-1AMEY-1326-SM-73KYK 30-39 years, female 89.6
GTEX-1R46S-0626-SM-E9J41 60-69 years, female 89.5
GTEX-Y3I4-2126-SM-4TT7C 50-59 years, male 89.4
GTEX-11DXZ-2326-SM-5EGGV 50-59 years, male 89.3
GTEX-17EUY-0426-SM-793BD 20-29 years, male 89.3
GTEX-1ICLZ-0126-SM-CKZPO 60-69 years, male 89.3
GTEX-14ICK-0226-SM-6EU25 40-49 years, male 89.1
GTEX-ZYFC-0226-SM-5NQ75 50-59 years, male 89.1
GTEX-17HHE-2026-SM-79OKF 50-59 years, male 88.8
GTEX-1F5PK-2426-SM-7RHHY 50-59 years, male 88.8
GTEX-17GQL-2026-SM-718BA 60-69 years, male 88.7
GTEX-169BO-1326-SM-9MQK2 50-59 years, male 88.6
GTEX-1LVAN-0226-SM-COH3S 50-59 years, female 88.4
GTEX-1HSKV-0226-SM-A9SKJ 60-69 years, male 88.3
GTEX-1QP67-1626-SM-EAZ3X 40-49 years, female 88.3
GTEX-PW2O-1526-SM-7RHHB 20-29 years, male 88.3
GTEX-13X6I-0626-SM-5QGP9 60-69 years, male 88.2
GTEX-1AX9J-0226-SM-73KXM 60-69 years, male 88.0
GTEX-TML8-1926-SM-32QOS 40-49 years, female 88.0
GTEX-1JMQI-2226-SM-CM2SD 50-59 years, male 88.0
GTEX-XUYS-0126-SM-47JWZ 50-59 years, male 87.9
GTEX-1RB15-2126-SM-E9TIM 60-69 years, male 87.9
GTEX-1S3DN-2226-SM-EVYCD 50-59 years, male 87.8
GTEX-1B8L1-2526-SM-9WYTF 60-69 years, male 87.7
GTEX-117YW-2626-SM-5GZZH 50-59 years, male 87.5
GTEX-133LE-1826-SM-5J1MV 20-29 years, female 87.5
GTEX-1AMFI-2026-SM-731BH 50-59 years, female 87.5
GTEX-146FR-1326-SM-E9J48 60-69 years, female 87.5
GTEX-1IKOH-0226-SM-COH4E 60-69 years, female 87.5
GTEX-1JMOU-1526-SM-CL54I 60-69 years, female 87.5
GTEX-ZZ64-1726-SM-5GZYB 20-29 years, male 87.4
GTEX-1OJC3-0126-SM-E76QX 20-29 years, male 87.4
GTEX-13O3Q-2426-SM-5IJBR 50-59 years, male 87.3
GTEX-14LLW-0126-SM-6LLIO 70-79 years, female 87.3
GTEX-15G19-0126-SM-6PANQ 60-69 years, male 87.3
GTEX-RM2N-1426-SM-2TF4H 50-59 years, male 87.3
GTEX-1H1E6-1726-SM-ACKVK 30-39 years, male 87.2
GTEX-117XS-2726-SM-5N9BL 60-69 years, male 87.1
GTEX-11DXY-2626-SM-5GIE7 60-69 years, male 87.0
GTEX-RWS6-2026-SM-2XCB5 60-69 years, female 87.0
GTEX-12696-2426-SM-5EQ6H 60-69 years, male 86.5
GTEX-13N2G-2626-SM-5J1OT 60-69 years, male 86.5
GTEX-145MO-0326-SM-5Q5B3 60-69 years, male 86.4
GTEX-X4EO-0326-SM-3P5YO 60-69 years, female 86.4
GTEX-13O21-1426-SM-5K7XI 50-59 years, male 86.3
GTEX-13PVR-2326-SM-5QGR1 60-69 years, female 86.3
GTEX-14DAQ-0126-SM-5S2MQ 60-69 years, female 86.3
GTEX-1CB4E-2226-SM-793DC 60-69 years, male 86.2
GTEX-18D9B-0526-SM-7LTAS 60-69 years, male 86.1
GTEX-1B933-0126-SM-7PC29 50-59 years, female 86.1
GTEX-13OW7-0126-SM-5MR3B 50-59 years, male 86.0
GTEX-SIU8-0126-SM-2XCDT 50-59 years, male 86.0
GTEX-11EM3-2426-SM-59861 20-29 years, female 85.9
GTEX-XYKS-2126-SM-4E3IB 60-69 years, female 85.9
GTEX-1I1GS-0126-SM-B2LVW 60-69 years, male 85.9
GTEX-1B97I-1626-SM-73KYO 40-49 years, male 85.8
GTEX-XQ3S-1526-SM-4BOOC 20-29 years, male 85.8
GTEX-ZTPG-0326-SM-5O9AX 20-29 years, female 85.8
GTEX-11WQC-2526-SM-5CVLE 60-69 years, male 85.7
GTEX-X585-0226-SM-4QAS2 50-59 years, male 85.7
GTEX-12WSN-5019-SM-79OM6 40-49 years, male 85.4
GTEX-Z93S-0126-SM-5HL7M 50-59 years, male 85.4
GTEX-111VG-2426-SM-5GZXD 60-69 years, male 85.3
GTEX-1EX96-1626-SM-7PBXR 50-59 years, male 85.2
GTEX-14DAR-2026-SM-5S2O3 50-59 years, male 85.1
GTEX-PLZ4-0126-SM-5SI8O 50-59 years, female 85.1
GTEX-OIZF-0126-SM-7SB8I 60-69 years, male 85.1
GTEX-13FXS-0226-SM-5IJCK 50-59 years, male 85.0
GTEX-X4EP-0126-SM-3P5YV 60-69 years, female 85.0
GTEX-Y3IK-2426-SM-4WWDU 50-59 years, female 85.0
GTEX-ZDTS-0126-SM-4WAY5 60-69 years, male 84.9
GTEX-16NGA-1726-SM-731B4 40-49 years, female 84.8
GTEX-Y8LW-1826-SM-5S2MV 50-59 years, female 84.8
GTEX-1CB4I-0226-SM-79OLH 50-59 years, male 84.6
GTEX-18465-0126-SM-731BN 50-59 years, male 84.5
GTEX-ZAK1-0126-SM-5IJD3 50-59 years, female 84.3
GTEX-1OFPY-2426-SM-DTXEJ 60-69 years, male 84.3
GTEX-145MN-2226-SM-5SIAU 30-39 years, male 84.2
GTEX-11GSP-2526-SM-5N9BP 60-69 years, female 84.1
GTEX-13OW5-0126-SM-DTXFS 60-69 years, male 84.1
GTEX-11TUW-2726-SM-E9J4M 60-69 years, male 84.0
GTEX-TKQ1-1026-SM-4GICL 30-39 years, male 83.8
GTEX-13O3O-0126-SM-E9J49 60-69 years, female 83.8
GTEX-1OJC4-0126-SM-E9J2E 50-59 years, female 83.7
GTEX-144FL-0126-SM-5TDC8 50-59 years, male 83.6
GTEX-1CAV2-2226-SM-7P8P2 40-49 years, female 83.6
GTEX-18QFQ-0126-SM-731BE 30-39 years, male 83.4
GTEX-1H3O1-0426-SM-9YFKY 60-69 years, male 83.3
GTEX-17F97-0326-SM-7LG5B 50-59 years, male 83.2
GTEX-S95S-1226-SM-4GICG 60-69 years, male 83.1
GTEX-1GF9U-2126-SM-7SB7L 40-49 years, female 83.1
GTEX-11DXX-2426-SM-5GZZW 60-69 years, female 83.0
GTEX-1CAMS-0426-SM-7P8T2 40-49 years, female 82.9
GTEX-12ZZY-0226-SM-5LZVE 60-69 years, male 82.7
GTEX-ZGAY-0526-SM-4WWBB 40-49 years, female 82.7
GTEX-1QW4Y-1526-SM-EAZ3Z 30-39 years, male 82.7
GTEX-ZTX8-1426-SM-5DUVO 20-29 years, male 82.6
GTEX-1KANB-0526-SM-E6CJH 50-59 years, male 82.6
GTEX-1RQEC-0426-SM-E6CHU 60-69 years, male 82.6
GTEX-13G51-2526-SM-5LZYK 60-69 years, male 82.5
GTEX-145ME-1826-SM-5SI9G 40-49 years, female 82.5
GTEX-13S7M-0126-SM-5SI6A 60-69 years, female 82.4
GTEX-U8T8-0126-SM-3DB94 60-69 years, male 82.4
GTEX-1HSGN-0226-SM-CGQFV 40-49 years, female 82.4
GTEX-11P7K-2126-SM-5GU7G 30-39 years, male 82.3
GTEX-13111-1626-SM-5EGJY 50-59 years, male 82.3
GTEX-1399T-2826-SM-5KLYZ 60-69 years, male 82.3
GTEX-13VXT-0126-SM-5LU4I 20-29 years, female 82.3
GTEX-1F52S-0126-SM-9MQJU 60-69 years, female 82.3
GTEX-1JMLX-0226-SM-CM2RO 50-59 years, male 82.3
GTEX-145LS-0126-SM-5QGP1 60-69 years, female 82.1
GTEX-1A3MV-1926-SM-718BT 30-39 years, male 82.1
GTEX-1GPI7-0126-SM-9MQL8 20-29 years, male 81.8
GTEX-1AX8Z-0126-SM-7DHM6 60-69 years, male 81.7
GTEX-139TS-2826-SM-5J1OO 60-69 years, male 81.6
GTEX-144GL-0126-SM-5TDE2 50-59 years, male 81.6
GTEX-S33H-1026-SM-EZ6L6 30-39 years, male 81.6
GTEX-1GZHY-0326-SM-9QEHI 50-59 years, female 81.5
GTEX-13OW8-1326-SM-5J1OW 60-69 years, male 81.3
GTEX-1QP66-1726-SM-E8VO1 50-59 years, male 81.3
GTEX-13X6J-0126-SM-5QGOU 50-59 years, male 81.2
GTEX-ZEX8-2426-SM-4WKG4 50-59 years, male 81.2
GTEX-1GN2E-0426-SM-9MQKX 60-69 years, male 81.1
GTEX-TMMY-0226-SM-33HBA 40-49 years, female 80.8
GTEX-1I1GP-2226-SM-CGQFK 50-59 years, male 80.6
GTEX-WY7C-2326-SM-3NB2U 50-59 years, male 80.4
GTEX-1CB4F-0426-SM-9KNV4 60-69 years, male 80.4
GTEX-1JN6P-0126-SM-D3L98 60-69 years, male 80.4
GTEX-144GN-2326-SM-5LU4F 50-59 years, male 80.3
GTEX-1GF9X-2026-SM-7PC3A 40-49 years, female 80.2
GTEX-OXRP-0126-SM-3NB32 60-69 years, female 80.1
GTEX-13CF3-2426-SM-5IFGX 60-69 years, female 80.0
GTEX-1JMPY-1326-SM-ARL8Y 30-39 years, male 80.0
GTEX-ZF2S-2326-SM-4WWCE 50-59 years, female 79.9
GTEX-1CB4G-0226-SM-7PC3O 60-69 years, male 79.9
GTEX-1HBPI-1526-SM-C1YQ1 50-59 years, male 79.7
GTEX-11DXW-0226-SM-5H122 40-49 years, male 79.6
GTEX-14JG6-2226-SM-6EU2G 30-39 years, female 79.6
GTEX-139TT-0126-SM-5K7Y5 60-69 years, male 79.5
GTEX-14A6H-0126-SM-5QGPK 30-39 years, male 79.5
GTEX-11ZTS-0126-SM-5EQ6M 60-69 years, female 79.4
GTEX-1S83E-0126-SM-EWRO4 40-49 years, male 79.3
GTEX-14PJ3-1826-SM-62LEX 50-59 years, male 79.2
GTEX-1GZ2Q-0226-SM-7P8TL 40-49 years, male 79.2
GTEX-1BAJH-0526-SM-793CQ 70-79 years, male 79.1
GTEX-1GZ4H-1726-SM-7PBZJ 50-59 years, female 79.1
GTEX-11EQ9-2426-SM-5HL5T 30-39 years, male 78.8
GTEX-1HSMP-0126-SM-E6CJS 70-79 years, male 78.8
GTEX-132NY-0326-SM-5IJBL 60-69 years, male 78.6
GTEX-1I1GR-0126-SM-CL55F 60-69 years, male 78.6
GTEX-Y8DK-0126-SM-4TT3L 60-69 years, male 78.4
GTEX-ZYT6-0226-SM-5NQ6T 30-39 years, male 78.3
GTEX-1F48J-0126-SM-7P8TT 50-59 years, female 78.3
GTEX-1212Z-2526-SM-5EGKP 60-69 years, male 77.9
GTEX-1JK1U-2026-SM-CM2RZ 60-69 years, male 77.9
GTEX-PWCY-1826-SM-DHXIZ 20-29 years, female 77.9
GTEX-Z9EW-1626-SM-5CVMN 40-49 years, male 77.6
GTEX-12WSG-2826-SM-E9J4H 50-59 years, female 77.6
GTEX-12126-0326-SM-5PNW3 20-29 years, male 77.5
GTEX-ZC5H-0226-SM-4WAY9 40-49 years, female 77.5
GTEX-131YS-0126-SM-5KM1M 60-69 years, female 77.3
GTEX-ZDXO-3026-SM-5J1N5 60-69 years, male 77.3
GTEX-1H3NZ-0126-SM-ACKX7 60-69 years, male 77.3
GTEX-U412-0426-SM-3DB9O 60-69 years, male 77.2
GTEX-WXYG-2326-SM-4E3I6 50-59 years, female 77.2
GTEX-145LU-0126-SM-5TDCB 50-59 years, male 77.1
GTEX-1KANC-1526-SM-D3LAB 50-59 years, female 77.1
GTEX-1I1GQ-0126-SM-COH3H 50-59 years, male 77.0
GTEX-X638-0126-SM-47JZ8 70-79 years, female 76.9
GTEX-1J1OQ-0226-SM-CYPSH 40-49 years, female 76.8
GTEX-1AYD5-2426-SM-73KXR 50-59 years, male 76.6
GTEX-NFK9-0226-SM-2HMKQ 40-49 years, male 76.5
GTEX-1HSMQ-1226-SM-CGQFX 50-59 years, male 76.5
GTEX-18A66-0226-SM-718BD 60-69 years, male 76.4
GTEX-1N2DW-0226-SM-E9TK2 50-59 years, male 76.3
GTEX-1R9PO-2126-SM-E9J4O 60-69 years, female 76.3
GTEX-13FTX-1826-SM-5J1NX 20-29 years, female 76.2
GTEX-1C4CL-0526-SM-73KVK 30-39 years, male 76.2
GTEX-16AAH-1726-SM-7939C 50-59 years, male 76.1
GTEX-1MCQQ-0826-SM-DLHC2 60-69 years, male 76.0
GTEX-11GS4-2726-SM-5A5LE 60-69 years, male 75.8
GTEX-13U4I-0126-SM-5LU38 40-49 years, female 75.8
GTEX-139T8-0126-SM-5K7XZ 60-69 years, male 75.7
GTEX-11EI6-0126-SM-5985R 60-69 years, male 75.6
GTEX-13JUV-2726-SM-5LZZ8 40-49 years, female 75.6
GTEX-117YX-2326-SM-5H12W 50-59 years, male 75.4
GTEX-1AX9K-2326-SM-73KWU 50-59 years, male 75.3
GTEX-XBEW-0626-SM-4QASP 40-49 years, male 75.2
GTEX-1I1GV-0526-SM-A9G29 60-69 years, male 75.1
GTEX-13SLW-0126-SM-5SI6C 70-79 years, male 75.0
GTEX-14E7W-0126-SM-6LLJ9 70-79 years, male 75.0
GTEX-SSA3-0126-SM-32QPU 60-69 years, male 74.9
GTEX-14PHX-2326-SM-62LEM 50-59 years, male 74.8
GTEX-VUSG-2526-SM-4KL1V 50-59 years, male 74.8
GTEX-1MUQO-0126-SM-EAZ58 60-69 years, male 74.8
GTEX-QEG4-0226-SM-2S1PY 30-39 years, male 74.7
GTEX-ZE9C-2726-SM-57WB5 60-69 years, male 74.5
GTEX-1IDJH-0326-SM-A9SLQ 70-79 years, male 74.5
GTEX-1PIGE-0126-SM-EVYBJ 20-29 years, male 74.5
GTEX-YEC4-2126-SM-5IFJH 40-49 years, male 74.3
GTEX-145MF-0626-SM-5LUAI 50-59 years, male 73.9
GTEX-1C64N-0126-SM-793D7 50-59 years, male 73.8
GTEX-147GR-0526-SM-5S2MY 60-69 years, male 73.6
GTEX-14PII-0226-SM-6EU1T 60-69 years, male 73.6
GTEX-1C64O-0126-SM-7SB8P 60-69 years, male 73.6
GTEX-1S82Z-0826-SM-E6CHY 30-39 years, female 73.6
GTEX-131XW-0426-SM-5LZWP 50-59 years, female 73.4
GTEX-1HBPM-0226-SM-ARL9F 60-69 years, female 73.3
GTEX-13QJ3-0326-SM-5S2RA 50-59 years, male 73.2
GTEX-1EWIQ-0126-SM-7RHH2 70-79 years, female 73.2
GTEX-1IL2U-0226-SM-CE6T8 60-69 years, male 73.2
GTEX-ZTSS-1926-SM-57WEW 40-49 years, male 73.1
GTEX-131XE-2326-SM-5PNZ2 50-59 years, male 73.0
GTEX-1H1CY-2826-SM-9MQM3 60-69 years, female 73.0
GTEX-13VXU-0126-SM-5SI9F 50-59 years, male 72.9
GTEX-XAJ8-0826-SM-47JY6 40-49 years, male 72.8
GTEX-ZDTT-2726-SM-4WKF8 60-69 years, male 72.7
GTEX-XBED-2226-SM-47JYQ 60-69 years, male 72.4
GTEX-1313W-0126-SM-5LZUN 50-59 years, female 72.1
GTEX-1GN1U-0126-SM-7PBZK 50-59 years, female 72.1
GTEX-1NV5F-0226-SM-E8VNY 60-69 years, female 72.1
GTEX-12WSE-0526-SM-793B2 20-29 years, male 72.0
GTEX-1IL2V-0126-SM-CM2TX 70-79 years, male 71.8
GTEX-1QCLY-0326-SM-E8VOG 30-39 years, male 71.6
GTEX-15DDE-0126-SM-6LPKH 50-59 years, female 71.5
GTEX-1JMQK-0226-SM-CL543 60-69 years, male 71.5
GTEX-1LG7Z-1726-SM-D3LA4 30-39 years, male 71.2
GTEX-1S82Y-2026-SM-EVYCM 40-49 years, male 70.9
GTEX-1192X-0226-SM-5H12D 50-59 years, male 70.8
GTEX-YFC4-0126-SM-5CVLY 40-49 years, female 70.7
GTEX-14ABY-0226-SM-5TDCQ 50-59 years, male 70.6
GTEX-1I1CD-0126-SM-CM2TK 60-69 years, female 70.6
GTEX-145MI-0526-SM-5O9A8 60-69 years, female 69.9
GTEX-1F75B-0126-SM-9KNVL 50-59 years, male 69.9
GTEX-13FHO-0226-SM-5IFGY 60-69 years, male 69.8
GTEX-17HG3-2226-SM-7938L 30-39 years, female 69.7
GTEX-OXRN-0126-SM-48TDM 50-59 years, male 69.6
GTEX-1JJEA-0326-SM-CNPOT 60-69 years, male 69.6
GTEX-1JMPZ-0226-SM-CNPP1 30-39 years, male 69.6
GTEX-1KANA-0726-SM-D3L9I 20-29 years, male 69.5
GTEX-1S5ZA-0126-SM-EVYCV 20-29 years, male 69.4
GTEX-11OF3-2626-SM-5GU7F 60-69 years, male 69.3
GTEX-RNOR-0126-SM-E9J4R 50-59 years, female 69.1
GTEX-1C2JI-1826-SM-73KXC 50-59 years, male 68.6
GTEX-1RAZQ-0726-SM-EAZ43 30-39 years, male 68.5
GTEX-1POEN-0126-SM-EYYXJ 30-39 years, female 68.4
GTEX-13D11-2426-SM-5KM1V 50-59 years, female 68.1
GTEX-13CF2-2526-SM-5LZYX 60-69 years, male 68.0
GTEX-13OVL-0226-SM-5L3E9 50-59 years, male 67.8
GTEX-1MGNQ-0126-SM-EVYCJ 40-49 years, male 67.5
GTEX-17F98-0626-SM-79OMX 40-49 years, female 67.4
GTEX-12WSJ-1826-SM-5GCNY 40-49 years, female 66.9
GTEX-1J8EW-0126-SM-CJI4F 60-69 years, female 66.9
GTEX-146FQ-0126-SM-5NQA9 30-39 years, male 66.8
GTEX-1GF9V-0326-SM-7RHI5 60-69 years, male 66.6
GTEX-1IY9M-0126-SM-D3L8S 60-69 years, male 66.3
GTEX-ZDYS-2026-SM-5HL5L 50-59 years, male 66.0
GTEX-1GN73-0226-SM-9WG67 60-69 years, male 65.8
GTEX-1K2DA-1826-SM-CGQGT 50-59 years, male 65.3
GTEX-111FC-0126-SM-5N9DL 60-69 years, male 65.2
GTEX-1GMRU-0126-SM-9YFLV 50-59 years, male 65.2
GTEX-1IKK5-0626-SM-ARL8A 60-69 years, male 65.2
GTEX-145LT-1726-SM-5QGP3 40-49 years, male 64.8
GTEX-1RDX4-0126-SM-E9J4P 50-59 years, female 64.8
GTEX-148VJ-0126-SM-5TDDN 70-79 years, male 64.7
GTEX-1HCU6-0126-SM-CL54K 60-69 years, female 64.7
GTEX-1I1HK-0126-SM-COH49 60-69 years, male 64.7
GTEX-T5JW-1626-SM-3GADZ 20-29 years, female 64.6
GTEX-17KNJ-2326-SM-7DHLQ 50-59 years, male 64.1
GTEX-1J1R8-1726-SM-ARL8M 40-49 years, male 64.1
GTEX-14PJM-0226-SM-62LF1 50-59 years, female 63.9
GTEX-1B8SF-1426-SM-7DUGL 60-69 years, male 63.8
GTEX-1F6IF-0726-SM-7P8TW 60-69 years, male 63.6
GTEX-1399R-2726-SM-5IJBA 30-39 years, male 63.4
GTEX-SNMC-1226-SM-2XCFP 20-29 years, male 62.9
GTEX-WFG8-2226-SM-3GIL9 20-29 years, male 62.9
GTEX-139D8-0226-SM-5KLZO 30-39 years, female 62.8
GTEX-S7SE-0126-SM-2XCD5 50-59 years, male 62.8
GTEX-1F88F-2726-SM-7PBZZ 60-69 years, female 61.2
GTEX-1F6I4-0126-SM-9MQL2 60-69 years, male 61.1
GTEX-ZVT3-0126-SM-5GU6I 60-69 years, female 59.7
GTEX-1H2FU-0126-SM-9WYSI 60-69 years, female 59.4
GTEX-12KS4-0326-SM-5EQ41 30-39 years, male 58.9
GTEX-1F75A-0126-SM-7RHGM 50-59 years, male 58.5
GTEX-W5WG-1826-SM-4KL2Y 50-59 years, female 58.4
GTEX-XV7Q-2526-SM-4BRV9 40-49 years, female 56.2
GTEX-VJWN-0126-SM-3GIK7 50-59 years, female 56.0
GTEX-T8EM-1026-SM-3DB7M 40-49 years, male 55.6
GTEX-1J8JJ-0226-SM-CL53I 60-69 years, female 55.5
GTEX-R3RS-0126-SM-3GIJL 40-49 years, female 55.4
GTEX-14BIN-0626-SM-793DP 50-59 years, female 55.3
GTEX-1ICG6-2526-SM-CGQFZ 70-79 years, female 55.0
GTEX-14E6E-1826-SM-5S2R7 30-39 years, male 54.9
GTEX-145LV-2126-SM-5LU8N 50-59 years, male 53.2
GTEX-13SLX-0526-SM-5S2ON 50-59 years, female 52.9
GTEX-P44H-0226-SM-2XCEU 40-49 years, male 52.9
GTEX-SJXC-0126-SM-2XCFF 60-69 years, male 52.8
GTEX-UPJH-0326-SM-3GADU 50-59 years, male 52.4
GTEX-Q2AG-0126-SM-33HBV 40-49 years, female 51.9
GTEX-U3ZH-2026-SM-3DB78 30-39 years, male 48.7
GTEX-1GN1W-0526-SM-9MQJQ 50-59 years, female 48.3
GTEX-1AX9I-0126-SM-7SB74 60-69 years, male 47.6
GTEX-VJYA-1126-SM-3GIJU 60-69 years, male 44.0
GTEX-1MA7X-2226-SM-E6CIY 60-69 years, male 42.1
GTEX-PVOW-0126-SM-2XCFA 40-49 years, male 37.5
GTEX-QCQG-1726-SM-3GIJ9 50-59 years, female 30.9
Show allShow less

Contact

  • NEWS ARTICLES
  • PRESS ROOM

The Project

  • INTRODUCTION
  • ORGANIZATION
  • PUBLICATIONS

The Human Protein Atlas

  • DOWNLOADABLE DATA
  • LICENCE & CITATION
  • HELP & FAQ
The Human Protein Atlas project is funded
by the Knut & Alice Wallenberg Foundation.


contact@proteinatlas.org