We use cookies to enhance the usability of our website. If you continue, we'll assume that you are happy to receive all cookies. More information. Don't show this again.
MT-CO2
HPA
RESOURCES
  • TISSUE
  • BRAIN
  • SINGLE CELL
  • SUBCELLULAR
  • CANCER
  • BLOOD
  • CELL LINE
  • STRUCTURE & INTERACTION
ABOUT
  • INTRODUCTION
  • HISTORY
  • ORGANIZATION
  • PUBLICATIONS
  • ANTIBODY SUBMISSION
  • ANTIBODY AVAILABILITY
  • ACKNOWLEDGMENTS
  • CONTACT
NEWS
  • NEWS ARTICLES
  • PRESS ROOM
LEARN
  • DICTIONARY
  • PROTEIN CLASSES
  • PROTEIN EVIDENCE
  • METHODS
  • EDUCATIONAL VIDEOS
DATA
  • DOWNLOADABLE DATA
  • PUBLICATION DATA
  • RELEASE HISTORY
HELP
  • ANTIBODY VALIDATION
  • ASSAYS & ANNOTATION
  • DISCLAIMER
  • HELP & FAQ
  • PRIVACY STATEMENT
  • LICENCE & CITATION
Fields »
Search result

Field
Term
Gene name
Class
Subclass
Class
Keyword
Chromosome
External id
Tissue
Cell type
Expression
Antibody panel
Tissue
Main location
Patient ID
Annotation
Tissue
Category
Tau score
Cluster
Reliability
Brain region
Category
Tau score
Brain region
Category
Tau score
Brain region
Category
Tau score
Cluster
Reliability
Tissue
Cell type
Enrichment
Cell type
Category
Tau score
Cell type
Category
Tau score
Cell type
Category
Tau score
Cell lineage
Category
Tau score
Cluster
Cluster
Location
Searches
Location
Cell line
Class
Type
Phase
Reliability
Cancer
Prognosis
Cancer
Category
Cancer
Category
Tau score
Cluster
Variants
Interacting gene (ensg_id)
Type
Number of interactions
Pathway
Category
Score
Score
Score
Validation
Validation
Validation
Validation
Antibodies
Data type
Column


  • SUMMARY

  • TISSUE

  • BRAIN

  • SINGLE CELL

  • SUBCELL

  • CANCER

  • BLOOD

  • CELL LINE

  • STRUCT & INT

  • MT-CO2
TISSUE PRIMARY DATA BREAST Show tissue menu
ADIPOSE TISSUE ADRENAL GLAND AMYGDALA APPENDIX BASAL GANGLIA BONE MARROW BREAST BRONCHUS CEREBELLUM CEREBRAL CORTEX CERVIX CHOROID PLEXUS COLON DUODENUM
ENDOMETRIUM EPIDIDYMIS ESOPHAGUS FALLOPIAN TUBE GALLBLADDER HEART MUSCLE HIPPOCAMPAL FORMATION HYPOTHALAMUS KIDNEY LIVER LUNG LYMPH NODE MIDBRAIN NASOPHARYNX
ORAL MUCOSA OVARY PANCREAS PARATHYROID GLAND PITUITARY GLAND PLACENTA PROSTATE RECTUM RETINA SALIVARY GLAND SEMINAL VESICLE SKELETAL MUSCLE SKIN SMALL INTESTINE
SMOOTH MUSCLE SOFT TISSUE SPINAL CORD SPLEEN STOMACH TESTIS THYMUS THYROID GLAND TONGUE TONSIL URINARY BLADDER VAGINA
ANTIBODIES
AND
VALIDATION
Dictionary
Breast
Tissue proteome
Breast
BREAST - Expression summary
Protein expression
Breasti

On the top, protein expression in current human tissue, based on all annotated cell types, is reported with the units not detected (n), low (l), medium (m) and high (h). Underneath, protein expression in each annotated cell type are reported using the same units.

Protein expression data is based on knowledge-based annotation. For genes where more than one antibody has been used, a collective score is set.

If knowledge-based annotation could not be performed for a gene, no data is displayed here. View antibody staining data further down this page.

h
m
l
n
Adipocytes: Medium
Glandular cells: High
Myoepithelial cells: High
RNA expressioni

A summary of mRNA expression data available for current tissue based on several datasets. The mRNA expression levels in human tissues are based on RNA-seq data generated by the Human Protein Atlas (HPA), Genotype-Tissue Expression (GTEx) portal and CAGE data generated by the FANTOM5 consortium. Consensus normalized expression levels for human tissues was created by combining the data from HPA and GTEx datasets.

The mRNA expression levels in pig are based on RNA-seq data generated by the Human Protein Atlas (HPA), and for mouse, HPA data and in situ hybridization generated by the Allen brain atlas are reported.

Scroll down to view mRNA expression data in more detail.
Consensus:22362.5 nTPM
HPA:10542.0 nTPM
GTEx:22362.5 nTPM

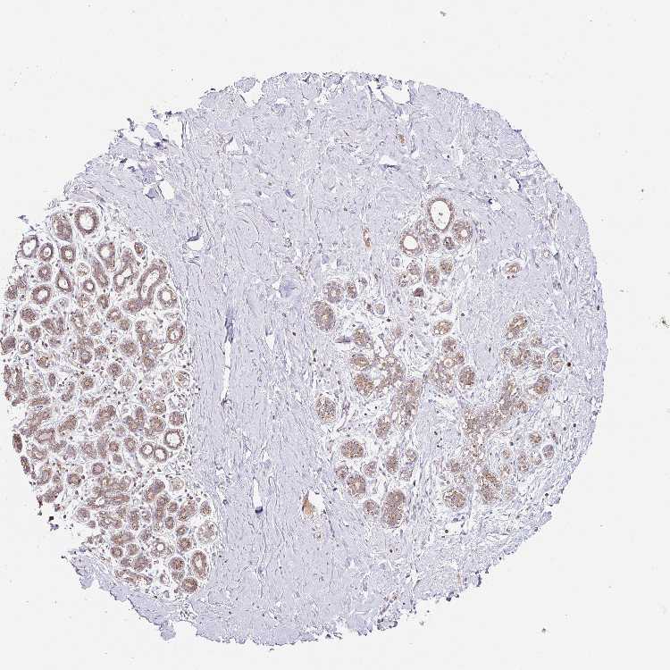
BREAST - Antibody stainingi

Antibody staining in the annotated cell types in the current human tissue is reported as not detected, low, medium, or high, based on conventional immunohistochemistry profiling in selected tissues. This score is based on the combination of the staining intensity and fraction of stained cells.

Each image is clickable and will lead to virtual microscopy that enables deeper exploration of all samples and also displays staining intensity scores, fraction scores and subcellular localization as well as patient and tissue information for each sample.

Antibody HPA051505Antibody HPA054758Antibody CAB016243
Adipocytes MediumNot detectedNot detected
Glandular cells HighHighHigh
Myoepithelial cells HighMediumHigh






BREAST - HPA RNA-seqi

The RNA-seq details section shows detailed information about the individual samples used for the transcript profiling and results of the RNA-seq analysis.

Information about each individual sample is listed below, including gender, age, a tissue section image and estimated fractions of cell types. nTPM (normalized transcripts per million) values give a quantification of the gene abundance which is comparable between different genes and samples.
Average nTPMi

Max subtype nTPM is the value for the subtype with the largest average nTPM across the subtype samples.

10542.0
overview
Female, age 52
Breast sample 373
nTPM: 7273
Cell types%
Glandular cells:
15

Adipocytes:
5

Other cell types:
80

overview
Female, age 80
Breast sample 390
nTPM: 8114.3
Cell types%
Glandular cells:
5

Adipocytes:
15

Other cell types:
80

overview
Female, age 47
Breast sample 405
nTPM: 15355.6
Cell types%
Glandular cells:
5

Adipocytes:
5

Other cell types:
90

overview
Female, age 38
Breast sample 410
nTPM: 11425.2
Cell types%
Glandular cells:
40

Adipocytes:
5

Other cell types:
55


BREAST - GTEx RNA-seqi

RNA-Seq data generated by the Genotype-Tissue Expression (GTEx) project from human tissues is reported as mean nTPM. More information can be found on the GTEx portal.

Distribution across the dataset is visualized with box plots, shown as median and 25th and 75th percentiles. Points are displayed as outliers if they are above or below 1.5 times the interquartile range. nTPM values of the individual samples are presented next to the box plot.
Max subtype nTPMi

Max subtype nTPM is the value for the subtype with the largest average nTPM across the subtype samples.

22362.5
GTEx sample id Sample description nTPM
Breast - Mammary Tissue
Average nTPM: 22362.5
Samples: 459

Max nTPM: 82740.1
Min nTPM: 5963.6
Std nTPM: 12609.6
Median nTPM: 18351.1
GTEX-YB5E-1726-SM-5IFJ3 40-49 years, male 82740.1
GTEX-ZT9W-2026-SM-51MRA 50-59 years, male 66569.4
GTEX-15RJE-2626-SM-7KFT1 40-49 years, male 65464.7
GTEX-1HCU8-0126-SM-ADEHH 60-69 years, female 65395.7
GTEX-1ICG6-1326-SM-ACKWR 70-79 years, female 64332.4
GTEX-1R7EV-1526-SM-E8VOD 40-49 years, male 62715.9
GTEX-17F9E-2526-SM-7MGW2 50-59 years, male 62436.0
GTEX-11P82-1326-SM-5HL62 20-29 years, male 60335.9
GTEX-1I1GP-0426-SM-COH3N 50-59 years, male 55281.3
GTEX-ZQG8-0726-SM-5P9H9 60-69 years, female 53829.2
GTEX-QMRM-1626-SM-D4P1U 50-59 years, male 53635.6
GTEX-145MO-0826-SM-5NQBL 60-69 years, male 52224.7
GTEX-13FTW-1426-SM-5LZWZ 40-49 years, male 51946.8
GTEX-13FTX-1126-SM-5N9EN 20-29 years, female 50920.0
GTEX-145MF-2226-SM-7EPIR 50-59 years, male 50757.1
GTEX-ZZ64-1226-SM-5E43R 20-29 years, male 50508.2
GTEX-1HSEH-2026-SM-ADEHN 60-69 years, male 50397.5
GTEX-1L5NE-2126-SM-CY8IH 50-59 years, male 50155.8
GTEX-183WM-0726-SM-7LTAA 70-79 years, female 49822.6
GTEX-1RLM8-2226-SM-EVYD1 50-59 years, male 49185.1
GTEX-XMK1-1126-SM-4IHJ8 40-49 years, male 48841.4
GTEX-11ZTT-2326-SM-5EQLG 60-69 years, female 48403.4
GTEX-1MJK3-1126-SM-E9J3F 20-29 years, male 47882.5
GTEX-1LSVX-2426-SM-E6CJX 60-69 years, male 47372.2
GTEX-1H23P-0726-SM-9WG7K 60-69 years, male 46946.5
GTEX-1IDJU-1826-SM-CMKHV 60-69 years, female 46574.8
GTEX-17F96-2426-SM-7IGLN 70-79 years, male 45858.3
GTEX-1IDJH-2226-SM-E6CJV 70-79 years, male 45796.6
GTEX-169BO-1126-SM-7MGWN 50-59 years, male 45091.8
GTEX-YB5K-1626-SM-5IFIN 40-49 years, female 44461.2
GTEX-1HCU9-0326-SM-9WYSC 20-29 years, male 44347.3
GTEX-117XS-1926-SM-5GICO 60-69 years, male 44084.3
GTEX-1H3VY-0926-SM-ACKXE 50-59 years, male 43038.4
GTEX-144GM-0926-SM-5O994 20-29 years, male 42836.4
GTEX-1QP9N-1826-SM-E8VMP 30-39 years, male 42779.3
GTEX-11DXY-2326-SM-5GICW 60-69 years, male 42716.9
GTEX-1C6WA-2426-SM-7SB86 60-69 years, male 42706.6
GTEX-1N2EF-2226-SM-E9J33 60-69 years, male 42598.4
GTEX-1ICLY-1726-SM-B2LVT 50-59 years, male 42456.9
GTEX-WHSB-1926-SM-EXOHH 50-59 years, male 41857.8
GTEX-1EKGG-2626-SM-7IGPY 60-69 years, male 41463.7
GTEX-1JMOU-2026-SM-CMKGU 60-69 years, female 41123.3
GTEX-11I78-2226-SM-5PNYA 50-59 years, female 40949.7
GTEX-1R9PM-1826-SM-EVYBH 20-29 years, male 39997.2
GTEX-1EU9M-2826-SM-7EWFH 60-69 years, male 39745.6
GTEX-ZQUD-1926-SM-51MSA 30-39 years, male 39292.8
GTEX-18D9A-1526-SM-7LG4J 30-39 years, female 39252.7
GTEX-1I1GV-2426-SM-CGQFM 60-69 years, male 39151.8
GTEX-1B933-2526-SM-7IGO5 50-59 years, female 38678.9
GTEX-1CAMR-1426-SM-793BO 20-29 years, male 38639.5
GTEX-1IDJF-2326-SM-ARL86 20-29 years, male 38198.4
GTEX-ZTPG-2826-SM-57WGA 20-29 years, female 38194.5
GTEX-1GPI7-0926-SM-7PC3J 20-29 years, male 38156.2
GTEX-PSDG-1626-SM-48TCQ 50-59 years, male 38107.7
GTEX-11DXZ-1926-SM-5GZZL 50-59 years, male 37946.3
GTEX-Y9LG-1426-SM-5IFJZ 30-39 years, male 37560.1
GTEX-13CF3-2126-SM-5IFJP 60-69 years, female 37548.5
GTEX-17F97-2526-SM-7EWDV 50-59 years, male 37400.0
GTEX-1PPH7-0826-SM-E8VNX 40-49 years, male 37343.8
GTEX-UTHO-1026-SM-3GAF7 60-69 years, male 37313.2
GTEX-YECK-0726-SM-EZ6LV 60-69 years, male 37149.5
GTEX-14BMV-0626-SM-793AU 50-59 years, male 37022.2
GTEX-16YQH-2826-SM-6PAMY 30-39 years, male 37004.2
GTEX-R55D-0826-SM-48FEA 50-59 years, male 36832.3
GTEX-1J8Q2-2726-SM-A9G2X 60-69 years, male 36824.0
GTEX-1IOXB-1926-SM-ARL8E 50-59 years, male 36678.6
GTEX-Y111-2026-SM-4SOJA 50-59 years, male 36365.2
GTEX-12WSN-1326-SM-5GCNT 40-49 years, male 36139.1
GTEX-14B4R-1226-SM-5TDDT 30-39 years, male 35325.0
GTEX-U8XE-0826-SM-4E3J1 30-39 years, male 35139.3
GTEX-1GF9U-1726-SM-7MGY5 40-49 years, female 35095.0
GTEX-XQ3S-1326-SM-4BOPQ 20-29 years, male 34960.5
GTEX-1HCU7-1026-SM-ADEIP 50-59 years, male 34935.4
GTEX-WY7C-2726-SM-3NB3P 50-59 years, male 34881.4
GTEX-1S82Z-0726-SM-E6CHX 30-39 years, female 34781.2
GTEX-18465-2026-SM-718AP 50-59 years, male 34542.9
GTEX-1HC8U-0826-SM-ADEIL 40-49 years, female 34485.3
GTEX-1OKEX-0826-SM-E9J2B 60-69 years, male 34444.7
GTEX-13OW8-0226-SM-5K7UP 60-69 years, male 34250.7
GTEX-13PVQ-1026-SM-5KM3M 50-59 years, male 34244.8
GTEX-ZDYS-1126-SM-5K7UB 50-59 years, male 34228.0
GTEX-11EQ9-1826-SM-5Q5AJ 30-39 years, male 34187.0
GTEX-TKQ1-0226-SM-33HB5 30-39 years, male 34020.8
GTEX-Z9EW-1526-SM-EZ6LU 40-49 years, male 33985.9
GTEX-1HFI7-0126-SM-CGQFQ 50-59 years, female 33599.3
GTEX-ZDXO-0126-SM-5S2ND 60-69 years, male 33581.8
GTEX-12WSM-1726-SM-5BC6J 60-69 years, male 33417.2
GTEX-117YX-1426-SM-5H12H 50-59 years, male 33240.9
GTEX-145ME-1526-SM-5Q5F2 40-49 years, female 33158.4
GTEX-QVJO-1826-SM-447C9 60-69 years, female 32877.6
GTEX-1A3MX-2726-SM-718B6 60-69 years, male 32874.1
GTEX-13113-5013-SM-7SB7G 60-69 years, female 32769.0
GTEX-1HSMO-0826-SM-ADEIV 60-69 years, male 32631.8
GTEX-14E7W-0826-SM-62LEJ 70-79 years, male 32431.1
GTEX-11O72-2126-SM-5N9FO 40-49 years, male 32334.9
GTEX-ZWKS-2826-SM-5NQ74 30-39 years, male 32182.7
GTEX-11GSO-1926-SM-5A5K3 60-69 years, male 32171.9
GTEX-183FY-1126-SM-7DHLJ 20-29 years, male 32065.6
GTEX-1JN6P-2426-SM-ARL99 60-69 years, male 32029.3
GTEX-Y8E4-1626-SM-5S2MW 40-49 years, male 31966.0
GTEX-18A6Q-0926-SM-7LG4N 60-69 years, male 31924.6
GTEX-1S82U-1126-SM-E9U6I 30-39 years, female 31714.8
GTEX-1HR98-0426-SM-COH36 60-69 years, male 31656.8
GTEX-SE5C-2126-SM-4BRUJ 40-49 years, female 31415.9
GTEX-12BJ1-1826-SM-5HL9N 60-69 years, male 31268.5
GTEX-ZVZQ-0826-SM-51MRF 60-69 years, female 30994.7
GTEX-REY6-2426-SM-48FF5 60-69 years, male 30934.7
GTEX-16BQI-1026-SM-7KUEA 30-39 years, female 30859.7
GTEX-1H11D-1526-SM-9MQJY 40-49 years, male 30385.6
GTEX-1I1GT-1126-SM-ARL7J 60-69 years, female 30331.8
GTEX-12KS4-0126-SM-5Q5A5 30-39 years, male 30130.6
GTEX-11ZUS-0826-SM-5FQUY 30-39 years, male 29996.6
GTEX-XGQ4-0926-SM-4AT4U 50-59 years, male 29810.2
GTEX-139T6-1626-SM-5PNYZ 50-59 years, male 29779.0
GTEX-Y5V6-2126-SM-4WWFX 60-69 years, male 29690.4
GTEX-1KD5A-1926-SM-DKPQA 50-59 years, male 29644.3
GTEX-18A7B-2626-SM-7LG55 70-79 years, male 29633.5
GTEX-1GMR2-1926-SM-9MQLZ 50-59 years, male 29595.1
GTEX-ZYT6-0126-SM-5E45J 30-39 years, male 29413.5
GTEX-ZLWG-1926-SM-DO92J 50-59 years, female 29392.8
GTEX-S32W-2026-SM-4AD6E 50-59 years, female 29228.8
GTEX-17GQL-0326-SM-7LG5U 60-69 years, male 29087.4
GTEX-1MA7X-1626-SM-E9U5B 60-69 years, male 28687.4
GTEX-14E6E-1326-SM-5S2NR 30-39 years, male 28532.4
GTEX-RUSQ-2026-SM-4GIAK 50-59 years, male 28460.4
GTEX-17HGU-1326-SM-79OKB 50-59 years, male 28453.1
GTEX-S4Q7-1126-SM-4AD6R 20-29 years, male 28415.8
GTEX-1HBPM-0126-SM-ARL9E 60-69 years, female 28057.4
GTEX-1JKYN-0726-SM-ARZMY 30-39 years, male 27903.5
GTEX-1LSNL-2826-SM-E9U5L 50-59 years, male 27744.9
GTEX-1QP28-1226-SM-E9J2M 50-59 years, female 27448.6
GTEX-14PJ4-2126-SM-6ETZJ 60-69 years, male 27380.3
GTEX-1F75B-0626-SM-7SB8A 50-59 years, male 27321.7
GTEX-14E6C-1326-SM-62LEQ 40-49 years, male 27305.7
GTEX-1HT8W-2226-SM-CGQEC 30-39 years, male 27165.2
GTEX-1LC47-1226-SM-D4P44 60-69 years, male 27110.3
GTEX-1H1ZS-0126-SM-9YFKQ 70-79 years, male 26836.2
GTEX-WFON-1826-SM-3GILG 40-49 years, male 26701.4
GTEX-11DXW-0626-SM-5N9ER 40-49 years, male 26586.5
GTEX-1LG7Z-0726-SM-CXKYD 30-39 years, male 26491.2
GTEX-ZUA1-1526-SM-59HLS 40-49 years, male 26457.3
GTEX-14753-2426-SM-5LU8U 60-69 years, male 26385.5
GTEX-11LCK-2426-SM-5HL5F 30-39 years, male 26029.9
GTEX-132AR-0826-SM-5EGK6 50-59 years, female 25967.6
GTEX-1KANC-1426-SM-CYPT9 50-59 years, female 25921.6
GTEX-ZV6S-1826-SM-5NQ8D 40-49 years, female 25757.2
GTEX-11TUW-1826-SM-5BC5D 60-69 years, male 25521.3
GTEX-1IGQW-0926-SM-ADEH6 60-69 years, male 25488.9
GTEX-1ICLZ-0426-SM-B2LW2 60-69 years, male 25481.1
GTEX-11DZ1-0326-SM-5N9BN 50-59 years, male 25323.0
GTEX-ZLFU-2126-SM-DO931 40-49 years, male 25265.3
GTEX-1GZ4I-2826-SM-9MQK5 50-59 years, male 25207.5
GTEX-ZA64-1526-SM-5CVMD 20-29 years, male 25158.9
GTEX-V955-2026-SM-3GAFA 60-69 years, male 25106.1
GTEX-1I19N-2826-SM-CL55D 70-79 years, male 24866.7
GTEX-ZAB4-2526-SM-5HL8M 40-49 years, male 24802.6
GTEX-YEC3-1026-SM-5IFI5 50-59 years, male 24717.4
GTEX-S33H-0326-SM-4AD6N 30-39 years, male 24509.5
GTEX-1AMEY-1026-SM-718AA 30-39 years, female 24477.5
GTEX-ZPIC-1126-SM-5BC7F 40-49 years, female 24475.7
GTEX-14PJO-0726-SM-69LO8 60-69 years, male 23945.7
GTEX-1B8L1-2426-SM-9WYTE 60-69 years, male 23934.7
GTEX-15SHW-1326-SM-6PAL8 60-69 years, male 23853.4
GTEX-1PDJ9-1126-SM-EXUSW 20-29 years, male 23776.0
GTEX-ZDTT-2126-SM-DKPOM 60-69 years, male 23673.8
GTEX-1GZHY-0726-SM-9WG6B 50-59 years, female 23595.3
GTEX-1E2YA-2726-SM-7IGPW 50-59 years, male 23475.8
GTEX-TKQ2-1826-SM-33HB2 50-59 years, male 23412.3
GTEX-ZLV1-1426-SM-DO92Z 60-69 years, female 23376.7
GTEX-15UF7-0726-SM-6M46D 40-49 years, male 23146.8
GTEX-1313W-0826-SM-5EQ4T 50-59 years, female 22958.7
GTEX-1I4MK-1626-SM-CM2TJ 50-59 years, female 22909.1
GTEX-1122O-1226-SM-5H113 60-69 years, female 22689.8
GTEX-1R9JW-0326-SM-EAZ45 30-39 years, female 22679.9
GTEX-1RQEC-2026-SM-DTXDM 60-69 years, male 22559.3
GTEX-1NHNU-0926-SM-E9J2T 50-59 years, male 22533.1
GTEX-17MF6-0326-SM-7EPH5 40-49 years, male 22483.1
GTEX-S4UY-0726-SM-4AD6X 40-49 years, female 22433.2
GTEX-XQ8I-2426-SM-4WAXY 50-59 years, male 22421.0
GTEX-145MN-1926-SM-5SIAI 30-39 years, male 22420.2
GTEX-11NV4-2026-SM-5N9DG 60-69 years, male 22389.7
GTEX-1314G-1226-SM-5BC6D 30-39 years, male 22271.3
GTEX-15ETS-0626-SM-7KUMX 40-49 years, female 22253.9
GTEX-YJ8O-2226-SM-5IFHW 40-49 years, female 22169.3
GTEX-XUZC-1626-SM-4BRVP 30-39 years, female 22061.0
GTEX-1HBPN-2326-SM-9WPPU 50-59 years, male 22008.7
GTEX-1H4P4-2226-SM-9MQKQ 50-59 years, male 22002.1
GTEX-13O61-1826-SM-5KM4I 60-69 years, male 21895.8
GTEX-Y3I4-1526-SM-4TT7K 50-59 years, male 21816.7
GTEX-11NSD-0926-SM-5N9DR 20-29 years, male 21802.9
GTEX-13CF2-2026-SM-5K7VI 60-69 years, male 21776.6
GTEX-ZYFC-0826-SM-5E44K 50-59 years, male 21629.5
GTEX-13N1W-0626-SM-5MR4U 70-79 years, male 21594.0
GTEX-1RAZS-1226-SM-E8VMT 50-59 years, male 21211.5
GTEX-17MFQ-0926-SM-7LG4S 20-29 years, male 21164.1
GTEX-1QW4Y-1026-SM-DTXE2 30-39 years, male 21088.3
GTEX-1EWIQ-1726-SM-7SB7T 70-79 years, female 21087.0
GTEX-ZTTD-1026-SM-51MRD 50-59 years, male 20940.3
GTEX-1QCLZ-2326-SM-DTXDO 60-69 years, female 20826.6
GTEX-1PPGY-1526-SM-EVYBK 60-69 years, male 20521.7
GTEX-131XW-0726-SM-5EGK3 50-59 years, female 20340.3
GTEX-1J8EW-2626-SM-CL53E 60-69 years, female 20228.0
GTEX-17EVQ-0426-SM-7LG57 70-79 years, male 20207.8
GTEX-13W3W-1226-SM-5LU4H 60-69 years, female 20195.6
GTEX-1399U-1826-SM-5PNZ1 50-59 years, female 20108.9
GTEX-1M4P7-2626-SM-E9U5F 60-69 years, male 20077.5
GTEX-13PVR-2226-SM-7DHKP 60-69 years, female 19996.7
GTEX-X4XY-0926-SM-4E3JD 60-69 years, male 19982.1
GTEX-1I1HK-2426-SM-ADEHX 60-69 years, male 19873.2
GTEX-1LBAC-0926-SM-CXKY9 20-29 years, male 19855.4
GTEX-XUW1-2326-SM-4BOO5 50-59 years, female 19849.5
GTEX-14ICK-2426-SM-6EU27 40-49 years, male 19821.6
GTEX-14PKU-0426-SM-6EU1P 40-49 years, female 19659.2
GTEX-1NV8Z-2826-SM-E8VME 60-69 years, male 19545.6
GTEX-1F5PK-2126-SM-7PC28 50-59 years, male 19473.4
GTEX-11EMC-2026-SM-5A5JV 60-69 years, female 19443.5
GTEX-1I1GU-1026-SM-ADEHJ 40-49 years, male 19416.0
GTEX-13VXU-2826-SM-664MA 50-59 years, male 19345.3
GTEX-ZEX8-2226-SM-57WC6 50-59 years, male 19247.1
GTEX-1269C-2426-SM-5FQSN 60-69 years, female 19176.1
GTEX-X261-0626-SM-3NMD9 50-59 years, male 19165.4
GTEX-18A66-1726-SM-7LG5N 60-69 years, male 18825.8
GTEX-11OF3-1926-SM-59889 60-69 years, male 18774.4
GTEX-ZVT4-1026-SM-57WC4 50-59 years, female 18701.6
GTEX-1B8KE-1226-SM-73KWK 50-59 years, male 18697.7
GTEX-11WQK-2426-SM-5GU5C 50-59 years, male 18695.0
GTEX-1NUQO-2226-SM-E9U68 20-29 years, female 18567.1
GTEX-1HR9M-2426-SM-ACKXI 60-69 years, male 18427.8
GTEX-YFCO-1826-SM-4W1YH 40-49 years, male 18417.7
GTEX-1HKZK-1826-SM-ADEJ2 40-49 years, male 18351.1
GTEX-T5JW-2026-SM-4DM63 20-29 years, female 18293.5
GTEX-132NY-0826-SM-5K7Y7 60-69 years, male 18265.8
GTEX-111YS-1926-SM-5GICC 60-69 years, male 18238.7
GTEX-132Q8-1426-SM-5EGK7 60-69 years, male 18231.2
GTEX-1KD4Q-2326-SM-D4P3M 40-49 years, male 18188.7
GTEX-XV7Q-2326-SM-4BRVZ 40-49 years, female 18141.1
GTEX-T6MO-0326-SM-32QOK 40-49 years, female 18028.5
GTEX-ZAK1-1326-SM-EVYAS 50-59 years, female 18026.2
GTEX-11P81-1926-SM-5BC53 30-39 years, female 17998.4
GTEX-Y8LW-1626-SM-5IFHX 50-59 years, female 17923.8
GTEX-1HCUA-0726-SM-ACKVU 50-59 years, female 17576.1
GTEX-144GL-2026-SM-5LU3O 50-59 years, male 17571.5
GTEX-17KNJ-2026-SM-7LG53 50-59 years, male 17469.2
GTEX-17F98-0526-SM-79OK5 40-49 years, female 17438.6
GTEX-1LNCM-0226-SM-DIPF4 50-59 years, female 17282.7
GTEX-Y114-2026-SM-4TT7L 50-59 years, female 17203.4
GTEX-15FZZ-0726-SM-7KUFZ 30-39 years, female 17173.3
GTEX-WFG8-2026-SM-EXOHO 20-29 years, male 16996.1
GTEX-1A3MV-1626-SM-731C1 30-39 years, male 16962.2
GTEX-1JKYR-0926-SM-CMKGJ 20-29 years, male 16886.9
GTEX-S7SE-0826-SM-4AT4D 50-59 years, male 16865.7
GTEX-14DAR-1326-SM-7DUEG 50-59 years, male 16863.0
GTEX-1IDJE-0826-SM-CKZNZ 50-59 years, female 16786.4
GTEX-1211K-1926-SM-5EQLB 60-69 years, female 16602.5
GTEX-WRHU-0326-SM-3MJFY 50-59 years, female 16595.3
GTEX-RU1J-0626-SM-4WAWY 20-29 years, female 16479.7
GTEX-1AX9I-0726-SM-73KWV 60-69 years, male 16440.4
GTEX-R53T-1526-SM-48FEK 50-59 years, female 16421.1
GTEX-1LSNM-1326-SM-E9TJ1 50-59 years, male 16344.6
GTEX-139T8-0826-SM-5L3DE 60-69 years, male 16320.0
GTEX-14H4A-2526-SM-5YYAY 40-49 years, female 16295.1
GTEX-1AX9J-1126-SM-731B7 60-69 years, male 16155.3
GTEX-S4P3-1326-SM-4AD6V 50-59 years, female 16142.0
GTEX-1GZ4H-0326-SM-7P8QX 50-59 years, female 16113.7
GTEX-XMD2-0926-SM-4WWEF 60-69 years, female 16065.6
GTEX-1H1CY-2226-SM-9WG7E 60-69 years, female 16037.5
GTEX-1IKJJ-2326-SM-COH3U 60-69 years, male 15960.3
GTEX-X62O-0526-SM-EWRMA 50-59 years, male 15939.8
GTEX-1GMR8-0726-SM-9KNVI 50-59 years, female 15904.6
GTEX-11ONC-2126-SM-5HL6E 60-69 years, male 15894.4
GTEX-1GF9V-2526-SM-7SB8K 60-69 years, male 15830.0
GTEX-1RAZQ-1226-SM-EWRNL 30-39 years, male 15806.7
GTEX-ZYW4-0826-SM-5GIDG 60-69 years, male 15803.9
GTEX-WI4N-1426-SM-3LK7H 40-49 years, female 15799.9
GTEX-147F4-2826-SM-5NQBN 50-59 years, male 15759.6
GTEX-1P4AB-1826-SM-E76PU 50-59 years, male 15727.1
GTEX-1IDFM-0426-SM-B2LVV 60-69 years, male 15607.7
GTEX-ZVT2-1826-SM-5NQ8W 50-59 years, female 15555.8
GTEX-1192X-2326-SM-5987X 50-59 years, male 15537.2
GTEX-1QPFJ-2026-SM-EVYBE 30-39 years, female 15353.6
GTEX-1QMI2-0726-SM-E9J4F 60-69 years, male 15323.3
GTEX-1F75A-1826-SM-7SB8G 50-59 years, male 15317.5
GTEX-1CB4G-2326-SM-79OOI 60-69 years, male 15315.6
GTEX-13QIC-2326-SM-5LU5N 60-69 years, female 15295.7
GTEX-13NZB-2126-SM-5MR4Y 30-39 years, male 15295.2
GTEX-Y5V5-2126-SM-4WWFO 60-69 years, female 15179.7
GTEX-17EVP-0226-SM-79OND 40-49 years, male 15137.7
GTEX-13SLX-2326-SM-5ZZWE 50-59 years, female 15103.2
GTEX-1F75I-2026-SM-7SB7N 40-49 years, male 15050.0
GTEX-11GSP-0926-SM-9WYSG 60-69 years, female 15032.3
GTEX-1B97J-0426-SM-79OLQ 50-59 years, female 15029.0
GTEX-13W46-0826-SM-5LU3H 50-59 years, male 14934.4
GTEX-1LGRB-1826-SM-CNPQL 50-59 years, female 14880.8
GTEX-1HSKV-2026-SM-CMKGX 60-69 years, male 14858.6
GTEX-1R9PN-0326-SM-DTX85 40-49 years, female 14821.5
GTEX-1JK1U-1826-SM-ARL8W 60-69 years, male 14802.0
GTEX-X15G-1626-SM-3NMB3 50-59 years, female 14782.5
GTEX-ZAJG-0626-SM-5HL8X 50-59 years, female 14741.6
GTEX-1JMLX-2026-SM-CMKGN 50-59 years, male 14664.6
GTEX-ZGAY-1726-SM-DO91P 40-49 years, female 14624.7
GTEX-1J8Q3-1326-SM-CMKI1 60-69 years, male 14589.8
GTEX-1KANA-2026-SM-DIPFB 20-29 years, male 14581.4
GTEX-Y5LM-1726-SM-4VDSX 40-49 years, female 14503.4
GTEX-1A8G7-2426-SM-731AK 60-69 years, male 14367.3
GTEX-1JN1M-3026-SM-CMKGK 60-69 years, female 14364.2
GTEX-1CB4E-0226-SM-79OLW 60-69 years, male 14326.1
GTEX-13O3O-0826-SM-5K7WE 60-69 years, female 14209.6
GTEX-1117F-2826-SM-5GZXL 60-69 years, female 14191.7
GTEX-Y3IK-2326-SM-4WWDT 50-59 years, female 14114.8
GTEX-1C475-1226-SM-7SB72 40-49 years, female 14114.5
GTEX-1AX8Z-0926-SM-731AW 60-69 years, male 14106.7
GTEX-13D11-1026-SM-5IJFB 50-59 years, female 14105.2
GTEX-17HHE-1426-SM-7EPH4 50-59 years, male 14102.7
GTEX-1IKOH-2326-SM-CM2TW 60-69 years, female 14095.5
GTEX-1K9T9-1426-SM-DIPFQ 50-59 years, female 14085.1
GTEX-1KXAM-1026-SM-CY8IA 60-69 years, male 14068.2
GTEX-11EI6-0626-SM-5985T 60-69 years, male 14064.7
GTEX-ZVTK-0326-SM-51MRR 20-29 years, male 14063.6
GTEX-13S86-1226-SM-5S2OA 40-49 years, male 14055.5
GTEX-1I6K7-1026-SM-A9SLK 40-49 years, male 14002.4
GTEX-15EOM-5019-SM-793DK 20-29 years, female 13982.7
GTEX-1I6K6-0826-SM-ARL7Z 30-39 years, male 13945.3
GTEX-1HCVE-2626-SM-ADEJ8 50-59 years, male 13929.1
GTEX-TML8-1226-SM-32QON 40-49 years, female 13894.8
GTEX-1MCYP-0126-SM-E6CIS 20-29 years, female 13851.2
GTEX-XYKS-1326-SM-4BRUN 60-69 years, female 13829.8
GTEX-1GN1W-1926-SM-7P8TH 50-59 years, female 13807.0
GTEX-UJHI-1426-SM-3DB9C 50-59 years, female 13685.5
GTEX-1JMQK-2626-SM-COH2W 60-69 years, male 13652.8
GTEX-17JCI-0726-SM-7EPH1 60-69 years, female 13624.4
GTEX-17EUY-1926-SM-7DUF6 20-29 years, male 13623.9
GTEX-ZV7C-1826-SM-5NQ83 50-59 years, male 13606.7
GTEX-13FHO-0826-SM-5L3E8 60-69 years, male 13576.7
GTEX-13QJ3-0826-SM-7DHKK 50-59 years, male 13567.7
GTEX-QEG5-0726-SM-D4P1T 20-29 years, male 13493.5
GTEX-14PHY-1926-SM-5YY95 60-69 years, female 13492.7
GTEX-145LT-0726-SM-5S2VM 40-49 years, male 13452.3
GTEX-14BMU-1626-SM-5TDE7 20-29 years, female 13431.2
GTEX-TMMY-0726-SM-33HBE 40-49 years, female 13429.2
GTEX-13OW5-2226-SM-5L3HC 60-69 years, male 13307.5
GTEX-1QEPI-0926-SM-DTXF3 60-69 years, female 13300.9
GTEX-WXYG-2226-SM-4E3IM 50-59 years, female 13216.5
GTEX-1IY9M-2726-SM-CMKG5 60-69 years, male 13210.5
GTEX-1R7EU-1226-SM-E8VMR 60-69 years, male 13200.1
GTEX-1LVAN-1326-SM-CNPQE 50-59 years, female 13190.4
GTEX-131YS-0626-SM-5EGKL 60-69 years, female 13106.5
GTEX-1H1DG-0526-SM-9YFLN 70-79 years, male 13086.1
GTEX-15G19-2126-SM-6M48J 60-69 years, male 13057.0
GTEX-1IKOE-1326-SM-CE6T6 30-39 years, female 12928.1
GTEX-ZXES-0826-SM-5E43C 30-39 years, female 12807.7
GTEX-1B8KZ-1526-SM-7DUG7 50-59 years, male 12802.9
GTEX-146FH-0826-SM-5SI8T 50-59 years, female 12721.0
GTEX-1GPI6-0626-SM-7RHHJ 60-69 years, male 12716.5
GTEX-11EM3-1326-SM-5N9C6 20-29 years, female 12597.0
GTEX-1QP29-1726-SM-E8VMQ 50-59 years, male 12588.1
GTEX-11GS4-2126-SM-5A5KR 60-69 years, male 12521.0
GTEX-1GF9X-1026-SM-ACKX2 40-49 years, female 12508.9
GTEX-1R46S-2526-SM-E8VN2 60-69 years, female 12460.6
GTEX-133LE-1726-SM-5K7VQ 20-29 years, female 12429.5
GTEX-1EN7A-1426-SM-7PBY4 40-49 years, male 12405.9
GTEX-13NZ9-1026-SM-5MR5K 50-59 years, male 12350.5
GTEX-WOFL-0826-SM-3MJG1 60-69 years, male 12285.0
GTEX-1GN1U-0526-SM-9KNTT 50-59 years, female 12237.9
GTEX-1POEN-0926-SM-DTX88 30-39 years, female 12183.9
GTEX-VJWN-0726-SM-3GIJ8 50-59 years, female 12119.0
GTEX-1CB4J-1826-SM-7EWF9 60-69 years, male 11954.0
GTEX-ZF3C-2326-SM-5S2NC 50-59 years, female 11797.0
GTEX-1JMPY-0526-SM-CL54O 30-39 years, male 11796.2
GTEX-1JJEA-2726-SM-ARL8V 60-69 years, male 11734.4
GTEX-ZY6K-1626-SM-5GZWV 50-59 years, male 11720.8
GTEX-1MA7W-1026-SM-DKPQK 20-29 years, female 11695.9
GTEX-QEL4-2126-SM-447AE 50-59 years, male 11676.6
GTEX-1M5QR-2526-SM-E9U5P 40-49 years, male 11610.6
GTEX-12WSK-2226-SM-5GCO5 40-49 years, female 11608.8
GTEX-14A5I-0726-SM-5TDEB 50-59 years, female 11548.6
GTEX-ZTX8-1226-SM-4YCE9 20-29 years, male 11529.6
GTEX-1C6VS-0726-SM-7EPHF 60-69 years, male 11522.7
GTEX-1K2DA-1726-SM-CGQGS 50-59 years, male 11481.1
GTEX-T2YK-2226-SM-32QPT 50-59 years, male 11478.2
GTEX-1KAFJ-0226-SM-DIPEL 50-59 years, male 11469.8
GTEX-14LLW-0626-SM-62LFC 70-79 years, female 11428.1
GTEX-WYJK-1326-SM-3NB2T 50-59 years, male 11367.7
GTEX-1H1E6-0926-SM-9YFLT 30-39 years, male 11321.2
GTEX-1N5O9-1126-SM-DTXEQ 60-69 years, male 11271.3
GTEX-1GMRU-0826-SM-9WYT7 50-59 years, male 11246.1
GTEX-1F5PL-1026-SM-7RHI1 40-49 years, female 11220.7
GTEX-1B932-0826-SM-73KXG 40-49 years, female 11191.7
GTEX-U3ZN-1926-SM-4DXSG 30-39 years, female 11083.2
GTEX-11TT1-2126-SM-5GU5Y 20-29 years, male 11074.2
GTEX-15ER7-1626-SM-6PAMZ 20-29 years, female 11047.8
GTEX-X4EP-2926-SM-3P5YQ 60-69 years, female 11035.4
GTEX-1B97I-0426-SM-79OL7 40-49 years, male 11017.0
GTEX-1LVAM-0926-SM-E9TJ2 50-59 years, female 11006.3
GTEX-Q2AG-0326-SM-48U1O 40-49 years, female 10874.0
GTEX-1GMR3-2626-SM-7RHHG 40-49 years, male 10816.1
GTEX-W5X1-2326-SM-3GIL6 40-49 years, female 10774.2
GTEX-18QFQ-0826-SM-718AX 30-39 years, male 10738.8
GTEX-15UF6-0126-SM-6PAMB 70-79 years, female 10663.8
GTEX-1MCC2-2126-SM-EWRON 30-39 years, female 10619.5
GTEX-VUSG-2226-SM-4KKZO 50-59 years, male 10597.4
GTEX-11P7K-0726-SM-5EGKX 30-39 years, male 10470.6
GTEX-1BAJH-0826-SM-7EWEF 70-79 years, male 10457.7
GTEX-1B8SG-1226-SM-7IGPF 50-59 years, male 10404.9
GTEX-RWS6-1926-SM-47JXY 60-69 years, female 10381.3
GTEX-U412-1826-SM-4DXTJ 60-69 years, male 10309.4
GTEX-1JJE9-2326-SM-ARL8Q 70-79 years, male 10259.3
GTEX-1GN2E-2226-SM-9WG6J 60-69 years, male 10250.4
GTEX-ZVE2-1226-SM-5NQ8R 50-59 years, male 10209.9
GTEX-13PL6-2926-SM-5L3I2 40-49 years, female 10019.1
GTEX-ZZPU-0626-SM-5E43T 50-59 years, female 10004.2
GTEX-12ZZX-1126-SM-5EGKB 40-49 years, female 9934.2
GTEX-1GZ2Q-2626-SM-7MXV9 40-49 years, male 9922.5
GTEX-UPK5-2326-SM-3P5Z8 40-49 years, male 9877.5
GTEX-1MJK2-2226-SM-EVYCR 50-59 years, male 9784.9
GTEX-1HUB1-1626-SM-CM2SL 60-69 years, male 9781.6
GTEX-WYBS-0926-SM-3NM94 60-69 years, female 9730.9
GTEX-18A7A-0726-SM-7LTAI 50-59 years, female 9728.5
GTEX-14AS3-1626-SM-5S2OY 40-49 years, female 9664.5
GTEX-1C6VQ-0426-SM-79OOX 50-59 years, male 9663.9
GTEX-XBED-1626-SM-47JYN 60-69 years, male 9580.8
GTEX-XMD1-0826-SM-4AT52 60-69 years, male 9562.6
GTEX-14PN4-0626-SM-62LFP 50-59 years, male 9400.7
GTEX-ZF29-1926-SM-5S2P1 60-69 years, female 9246.2
GTEX-1N2EE-2126-SM-E8VNN 60-69 years, male 9219.9
GTEX-1QCLY-1626-SM-DTXDW 30-39 years, male 9115.9
GTEX-1F6I4-2526-SM-7SB8F 60-69 years, male 9063.6
GTEX-1CAMS-1426-SM-7IGPM 40-49 years, female 9048.6
GTEX-13N11-1726-SM-5J1OJ 50-59 years, female 9025.9
GTEX-13SLW-2526-SM-62LDQ 70-79 years, male 8987.2
GTEX-11PRG-0826-SM-5EQ6A 50-59 years, male 8939.6
GTEX-1J8QM-2026-SM-ARZMW 60-69 years, female 8841.4
GTEX-17HHY-0926-SM-793C1 50-59 years, male 8824.5
GTEX-14ABY-2126-SM-5QGQZ 50-59 years, male 8819.2
GTEX-ZU9S-1926-SM-5NQBP 30-39 years, male 8799.1
GTEX-ZF2S-2026-SM-5E461 50-59 years, female 8633.5
GTEX-13NZ8-0126-SM-5IJCT 60-69 years, female 8602.3
GTEX-T5JC-2126-SM-32PMO 20-29 years, male 8601.1
GTEX-T6MN-0726-SM-32PML 50-59 years, male 8282.9
GTEX-XOT4-0726-SM-4GIAW 60-69 years, female 8282.6
GTEX-13O3Q-2226-SM-5KM4O 50-59 years, male 8192.3
GTEX-13FTY-2226-SM-5J1ND 40-49 years, female 8184.3
GTEX-16NGA-0826-SM-718AF 40-49 years, female 8155.8
GTEX-U3ZH-1426-SM-4DXSR 30-39 years, male 8012.1
GTEX-R3RS-0626-SM-48FE1 40-49 years, female 8010.0
GTEX-1JMPZ-1626-SM-COH31 30-39 years, male 7892.9
GTEX-139TU-0626-SM-5KM3X 60-69 years, male 7873.2
GTEX-QDT8-0626-SM-48TYW 30-39 years, female 7783.9
GTEX-WYVS-1726-SM-3NMAY 40-49 years, female 7421.9
GTEX-1IE54-0626-SM-ARL8D 40-49 years, female 7371.5
GTEX-ZC5H-2626-SM-5J2MG 40-49 years, female 7368.6
GTEX-1C64O-0726-SM-7DUFU 60-69 years, male 7322.8
GTEX-T2IS-1526-SM-32QPR 20-29 years, female 7278.6
GTEX-1HSGN-1526-SM-A9SMO 40-49 years, female 7063.9
GTEX-RU72-0626-SM-46MUI 50-59 years, female 7063.0
GTEX-S341-1526-SM-4AD6K 40-49 years, female 6849.8
GTEX-13O3P-0826-SM-5L3DH 50-59 years, male 6731.9
GTEX-17HG3-0126-SM-7IGNH 30-39 years, female 6704.8
GTEX-YFC4-1426-SM-5IFJG 40-49 years, female 6095.9
GTEX-11WQC-1726-SM-5GU4W 60-69 years, male 5963.6
Show allShow less

Contact

  • NEWS ARTICLES
  • PRESS ROOM

The Project

  • INTRODUCTION
  • ORGANIZATION
  • PUBLICATIONS

The Human Protein Atlas

  • DOWNLOADABLE DATA
  • LICENCE & CITATION
  • HELP & FAQ
The Human Protein Atlas project is funded
by the Knut & Alice Wallenberg Foundation.


contact@proteinatlas.org