We use cookies to enhance the usability of our website. If you continue, we'll assume that you are happy to receive all cookies. More information. Don't show this again.
MT-ND4
HPA
RESOURCES
  • TISSUE
  • BRAIN
  • SINGLE CELL
  • SUBCELLULAR
  • CANCER
  • BLOOD
  • CELL LINE
  • STRUCTURE & INTERACTION
ABOUT
  • INTRODUCTION
  • HISTORY
  • ORGANIZATION
  • PUBLICATIONS
  • ANTIBODY SUBMISSION
  • ANTIBODY AVAILABILITY
  • ACKNOWLEDGMENTS
  • CONTACT
NEWS
  • NEWS ARTICLES
  • PRESS ROOM
LEARN
  • DICTIONARY
  • PROTEIN CLASSES
  • PROTEIN EVIDENCE
  • METHODS
  • EDUCATIONAL VIDEOS
DATA
  • DOWNLOADABLE DATA
  • PUBLICATION DATA
  • RELEASE HISTORY
HELP
  • ANTIBODY VALIDATION
  • ASSAYS & ANNOTATION
  • DISCLAIMER
  • HELP & FAQ
  • PRIVACY STATEMENT
  • LICENCE & CITATION
Fields »
Search result

Field
Term
Gene name
Class
Subclass
Class
Keyword
Chromosome
External id
Tissue
Cell type
Expression
Antibody panel
Tissue
Main location
Patient ID
Annotation
Tissue
Category
Tau score
Cluster
Reliability
Brain region
Category
Tau score
Brain region
Category
Tau score
Brain region
Category
Tau score
Cluster
Reliability
Tissue
Cell type
Enrichment
Cell type
Category
Tau score
Cell type
Category
Tau score
Cell type
Category
Tau score
Cell lineage
Category
Tau score
Cluster
Cluster
Location
Searches
Location
Cell line
Class
Type
Phase
Reliability
Cancer
Prognosis
Cancer
Category
Cancer
Category
Tau score
Cluster
Variants
Interacting gene (ensg_id)
Type
Number of interactions
Pathway
Category
Score
Score
Score
Validation
Validation
Validation
Validation
Antibodies
Data type
Column


  • SUMMARY

  • TISSUE

  • BRAIN

  • SINGLE CELL

  • SUBCELL

  • CANCER

  • BLOOD

  • CELL LINE

  • STRUCT & INT

  • MT-ND4
TISSUE PRIMARY DATA HEART MUSCLE Show tissue menu
ADIPOSE TISSUE ADRENAL GLAND AMYGDALA APPENDIX BASAL GANGLIA BONE MARROW BREAST BRONCHUS CEREBELLUM CEREBRAL CORTEX CERVIX CHOROID PLEXUS COLON DUODENUM
ENDOMETRIUM EPIDIDYMIS ESOPHAGUS FALLOPIAN TUBE GALLBLADDER HEART MUSCLE HIPPOCAMPAL FORMATION HYPOTHALAMUS KIDNEY LIVER LUNG LYMPH NODE MIDBRAIN NASOPHARYNX
ORAL MUCOSA OVARY PANCREAS PARATHYROID GLAND PITUITARY GLAND PLACENTA PROSTATE RECTUM RETINA SALIVARY GLAND SEMINAL VESICLE SKELETAL MUSCLE SKIN SMALL INTESTINE
SMOOTH MUSCLE SOFT TISSUE SPINAL CORD SPLEEN STOMACH TESTIS THYMUS THYROID GLAND TONGUE TONSIL URINARY BLADDER VAGINA
ANTIBODIES
AND
VALIDATION
Dictionary
Heart muscle
Tissue proteome
Heart
HEART MUSCLE - Expression summary
Protein expression
Heart musclei

On the top, protein expression in current human tissue, based on all annotated cell types, is reported with the units not detected (n), low (l), medium (m) and high (h). Underneath, protein expression in each annotated cell type are reported using the same units.

Protein expression data is based on knowledge-based annotation. For genes where more than one antibody has been used, a collective score is set.

If knowledge-based annotation could not be performed for a gene, no data is displayed here. View antibody staining data further down this page.

h
m
l
n
Cardiomyocytes: Medium
RNA expressioni

A summary of mRNA expression data available for current tissue based on several datasets. The mRNA expression levels in human tissues are based on RNA-seq data generated by the Human Protein Atlas (HPA), Genotype-Tissue Expression (GTEx) portal and CAGE data generated by the FANTOM5 consortium. Consensus normalized expression levels for human tissues was created by combining the data from HPA and GTEx datasets.

The mRNA expression levels in pig are based on RNA-seq data generated by the Human Protein Atlas (HPA), and for mouse, HPA data and in situ hybridization generated by the Allen brain atlas are reported.

Scroll down to view mRNA expression data in more detail.
Consensus:190669.7 nTPM
HPA:56779.9 nTPM
GTEx:190669.7 nTPM

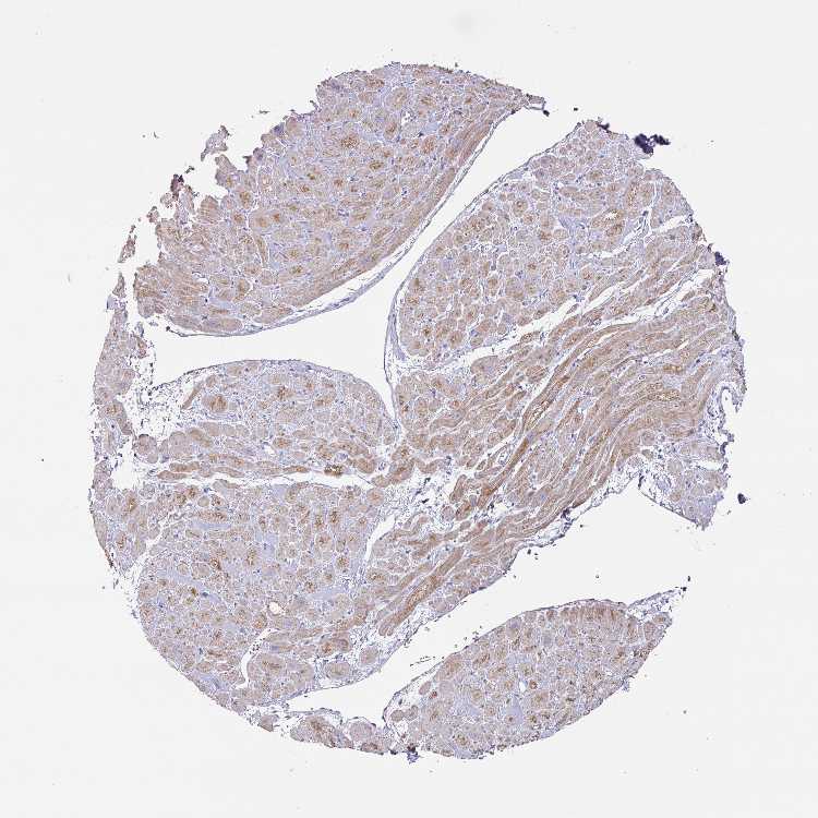
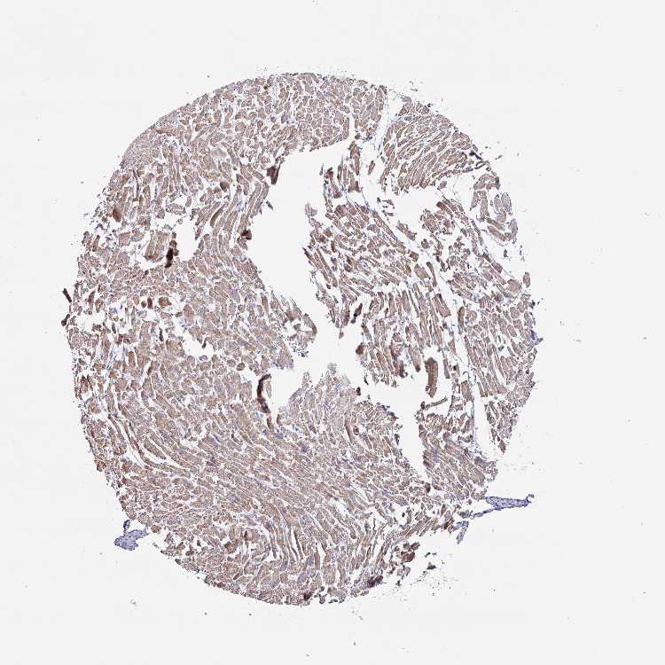
HEART MUSCLE - Antibody stainingi

Antibody staining in the annotated cell types in the current human tissue is reported as not detected, low, medium, or high, based on conventional immunohistochemistry profiling in selected tissues. This score is based on the combination of the staining intensity and fraction of stained cells.

Each image is clickable and will lead to virtual microscopy that enables deeper exploration of all samples and also displays staining intensity scores, fraction scores and subcellular localization as well as patient and tissue information for each sample.

Antibody HPA053928
Cardiomyocytes Medium



HEART MUSCLE - HPA RNA-seqi

The RNA-seq details section shows detailed information about the individual samples used for the transcript profiling and results of the RNA-seq analysis.

Information about each individual sample is listed below, including gender, age, a tissue section image and estimated fractions of cell types. nTPM (normalized transcripts per million) values give a quantification of the gene abundance which is comparable between different genes and samples.
Average nTPMi

Max subtype nTPM is the value for the subtype with the largest average nTPM across the subtype samples.

56779.9
overview
Female, age 48
Heart muscle sample 149
nTPM: 72126.1
Cell types%
Myocytes:
15

Fibroblasts:
55

Endothelial cells:
25

Other cell types:
5

overview
Female, age 42
Heart muscle sample 150
nTPM: 35408.2
Cell types%
Myocytes:
20

Fibroblasts:
45

Endothelial cells:
30

Other cell types:
5

overview
Male, age 53
Heart muscle sample 151
nTPM: 74443.4
Cell types%
Myocytes:
20

Fibroblasts:
45

Endothelial cells:
30

Other cell types:
5

overview
Female, age 69
Heart muscle sample 152
nTPM: 45142
Cell types%
Myocytes:
20

Fibroblasts:
45

Endothelial cells:
30

Other cell types:
5


HEART MUSCLE - GTEx RNA-seqi

RNA-Seq data generated by the Genotype-Tissue Expression (GTEx) project from human tissues is reported as mean nTPM. More information can be found on the GTEx portal.

Distribution across the dataset is visualized with box plots, shown as median and 25th and 75th percentiles. Points are displayed as outliers if they are above or below 1.5 times the interquartile range. nTPM values of the individual samples are presented next to the box plot.
Max subtype nTPMi

Max subtype nTPM is the value for the subtype with the largest average nTPM across the subtype samples.

190669.7
GTEx sample id Sample description nTPM
Heart - Atrial Appendage
Average nTPM: 72888.5
Samples: 429

Max nTPM: 585630.1
Min nTPM: 11535.5
Std nTPM: 48112.0
Median nTPM: 62166.8
GTEX-117YW-0426-SM-5GZZZ 50-59 years, male 585630.1
GTEX-1KD5A-0926-SM-D4P3U 50-59 years, male 324513.4
GTEX-1GN1V-1026-SM-CNPPS 60-69 years, male 293148.8
GTEX-1H1CY-0426-SM-9KNVD 60-69 years, female 248185.8
GTEX-1IOXB-0726-SM-A9G32 50-59 years, male 240231.7
GTEX-1MJK2-1626-SM-EVYCQ 50-59 years, male 234720.3
GTEX-15SHU-0926-SM-6PAMK 40-49 years, female 218069.4
GTEX-12WSI-0426-SM-5EQ5J 50-59 years, male 217300.5
GTEX-1F75B-1126-SM-7RHGP 50-59 years, male 198762.4
GTEX-13RTJ-0526-SM-62LDP 60-69 years, male 188927.6
GTEX-ZLFU-0326-SM-4WWBK 40-49 years, male 180605.1
GTEX-1POEN-0726-SM-DTXDU 30-39 years, female 178432.0
GTEX-14C39-0726-SM-5RQIK 40-49 years, male 178048.7
GTEX-1EH9U-0626-SM-7PC33 60-69 years, male 169201.1
GTEX-11DXY-1026-SM-5987V 60-69 years, male 168966.1
GTEX-11ZVC-0526-SM-5N9G1 50-59 years, female 164933.3
GTEX-1HCU7-1226-SM-B2LX8 50-59 years, male 164215.3
GTEX-YECK-1226-SM-4W21G 60-69 years, male 160309.7
GTEX-13YAN-1426-SM-7EPG8 60-69 years, male 156109.3
GTEX-1RLM8-0226-SM-E6CJY 50-59 years, male 154069.5
GTEX-1IL2V-1126-SM-CMKGH 70-79 years, male 153244.0
GTEX-1H3O1-0226-SM-9WYSW 60-69 years, male 151755.8
GTEX-1I1GR-1026-SM-A9SLC 60-69 years, male 150792.7
GTEX-1EMGI-1126-SM-9KNUF 60-69 years, male 150249.3
GTEX-1A8G6-1826-SM-73KY8 60-69 years, male 150113.6
GTEX-W5X1-0826-SM-3GILN 40-49 years, female 145379.9
GTEX-1KANC-0226-SM-E9TIW 50-59 years, female 142497.4
GTEX-1HUB1-0726-SM-CGQF4 60-69 years, male 141813.5
GTEX-1J1OQ-2226-SM-A96SS 40-49 years, female 140060.1
GTEX-1HFI7-0526-SM-A9SMA 50-59 years, female 138860.9
GTEX-13VXT-0726-SM-5SIAD 20-29 years, female 131996.6
GTEX-ZUA1-0726-SM-4YCD9 40-49 years, male 129019.7
GTEX-1QP6S-1026-SM-DTXFW 40-49 years, male 127755.7
GTEX-1MJIX-0426-SM-DTXEN 40-49 years, male 127045.9
GTEX-1JMOU-0326-SM-ARL8X 60-69 years, female 126357.8
GTEX-WYBS-1226-SM-3NM9N 60-69 years, female 124976.2
GTEX-YJ8O-0826-SM-5CVM3 40-49 years, female 124948.9
GTEX-1GL5R-0426-SM-9WPOP 50-59 years, male 124096.0
GTEX-15D1Q-0426-SM-6AJ9G 40-49 years, male 123973.2
GTEX-18A6Q-1526-SM-731CO 60-69 years, male 121415.2
GTEX-1H11D-1026-SM-9QEIU 40-49 years, male 121402.2
GTEX-14E6C-0326-SM-5Q5EE 40-49 years, male 121179.7
GTEX-Y3I4-0526-SM-4TT6X 50-59 years, male 121082.4
GTEX-1GF9V-1726-SM-9KNW4 60-69 years, male 120917.9
GTEX-1LSNL-0626-SM-DIPFJ 50-59 years, male 119659.7
GTEX-1HSKV-0726-SM-ACKWE 60-69 years, male 119656.7
GTEX-13FXS-1026-SM-62LFQ 50-59 years, male 118634.3
GTEX-1212Z-0726-SM-5EGI5 60-69 years, male 117613.7
GTEX-111VG-0326-SM-5GZX7 60-69 years, male 116486.8
GTEX-14PJ2-1126-SM-69LOD 50-59 years, male 116188.1
GTEX-13X6J-1226-SM-79OMF 50-59 years, male 115811.3
GTEX-1KANB-1126-SM-DHXJT 50-59 years, male 115473.5
GTEX-12WSA-1126-SM-5EGKU 60-69 years, male 115133.6
GTEX-1HSGN-0926-SM-CNNQM 40-49 years, female 114575.7
GTEX-WHSE-0826-SM-4SOJU 20-29 years, male 114490.5
GTEX-11EMC-0826-SM-59862 60-69 years, female 113691.6
GTEX-11ONC-1026-SM-5GU64 60-69 years, male 111502.9
GTEX-1EX96-2626-SM-9MQJV 50-59 years, male 111426.6
GTEX-1B932-1326-SM-79OM4 40-49 years, female 111302.0
GTEX-ZXG5-0626-SM-5NQ85 60-69 years, male 110552.6
GTEX-11TUW-1126-SM-5EQKJ 60-69 years, male 110394.2
GTEX-1CB4H-0626-SM-7IGN3 60-69 years, female 110009.8
GTEX-1OFPY-0926-SM-DTX8Q 60-69 years, male 109266.1
GTEX-ZF3C-1126-SM-57WEG 50-59 years, female 109159.8
GTEX-14BMV-1026-SM-5SI6B 50-59 years, male 109077.2
GTEX-Y3IK-1026-SM-51MR7 50-59 years, female 108823.5
GTEX-13PL7-0726-SM-5KM1S 60-69 years, female 108036.6
GTEX-15DCE-0826-SM-7KULW 20-29 years, male 107659.6
GTEX-13FHO-1226-SM-5L3EF 60-69 years, male 106212.5
GTEX-YEC4-0226-SM-4W1YG 40-49 years, male 105941.3
GTEX-11GS4-0426-SM-5N9CD 60-69 years, male 105825.8
GTEX-XPVG-0726-SM-4B658 50-59 years, male 105038.8
GTEX-1EWIQ-1126-SM-7EPIK 70-79 years, female 104849.2
GTEX-12BJ1-0326-SM-5FQUB 60-69 years, male 103901.1
GTEX-1F75I-1326-SM-7PBZX 40-49 years, male 102500.3
GTEX-WRHU-1026-SM-4E3ID 50-59 years, female 101960.0
GTEX-13NYB-0326-SM-5IJDP 40-49 years, male 101870.8
GTEX-11P81-0526-SM-59873 30-39 years, female 101538.0
GTEX-1B933-0826-SM-79OMW 50-59 years, female 101365.2
GTEX-16XZY-0526-SM-7DHKY 70-79 years, male 100696.2
GTEX-12WSK-0526-SM-5CVNA 40-49 years, female 100239.6
GTEX-13JUV-0226-SM-5IJCC 40-49 years, female 97918.9
GTEX-1IKOH-0926-SM-A9SLU 60-69 years, female 97541.2
GTEX-WOFL-1226-SM-4OOST 60-69 years, male 96845.2
GTEX-13O1R-0926-SM-5L3DS 60-69 years, male 96734.2
GTEX-117XS-0726-SM-5H131 60-69 years, male 96082.6
GTEX-1JMLX-1826-SM-CNPOX 50-59 years, male 95963.3
GTEX-1339X-0326-SM-5K7Z8 40-49 years, male 95327.3
GTEX-13QBU-0226-SM-5LU48 40-49 years, female 95012.7
GTEX-WFON-0226-SM-3GIKR 40-49 years, male 94919.1
GTEX-13PDP-1326-SM-5K7U9 60-69 years, male 93427.3
GTEX-13112-0526-SM-5EQ4S 50-59 years, male 93363.7
GTEX-1KXAM-1426-SM-D3LAC 60-69 years, male 92861.2
GTEX-Y114-0126-SM-4TT8K 50-59 years, female 92744.9
GTEX-17EVP-0526-SM-7EPGY 40-49 years, male 90273.8
GTEX-13NZA-0826-SM-5K7WS 60-69 years, male 89665.3
GTEX-14C38-1326-SM-62LDK 50-59 years, male 89280.8
GTEX-13OW5-0926-SM-5L3GZ 60-69 years, male 89175.6
GTEX-Z93S-0326-SM-5HL84 50-59 years, male 89007.4
GTEX-Y5V5-0726-SM-4VBPY 60-69 years, female 88608.1
GTEX-1CB4G-0726-SM-79OOJ 60-69 years, male 88451.1
GTEX-ZT9W-0526-SM-57WFG 50-59 years, male 88315.4
GTEX-1EU9M-1926-SM-7RHH4 60-69 years, male 88001.6
GTEX-139YR-0526-SM-5L3DG 50-59 years, male 86755.4
GTEX-ZYFG-0526-SM-5GZXX 60-69 years, female 86608.7
GTEX-144GL-1026-SM-5O99R 50-59 years, male 86167.8
GTEX-1A8FM-1026-SM-7PC26 50-59 years, female 86035.4
GTEX-1LVAO-0626-SM-EWRNT 60-69 years, male 85651.2
GTEX-1C6VQ-0826-SM-7PBZT 50-59 years, male 85516.8
GTEX-1C2JI-0626-SM-7DHM1 50-59 years, male 85182.8
GTEX-148VJ-1426-SM-5TDE3 70-79 years, male 84618.4
GTEX-1LVAN-1526-SM-CNPQN 50-59 years, female 84282.9
GTEX-1192W-0226-SM-5EGGT 60-69 years, male 84190.8
GTEX-13FTW-0826-SM-5K7XR 40-49 years, male 83088.0
GTEX-1F88F-0326-SM-9KNV3 60-69 years, female 82946.3
GTEX-V1D1-0626-SM-4JBHN 50-59 years, male 82922.8
GTEX-ZPU1-0726-SM-5HL6O 40-49 years, male 82343.3
GTEX-14BIN-2126-SM-793AX 50-59 years, female 82336.7
GTEX-1I1GQ-1226-SM-CL55J 50-59 years, male 82145.0
GTEX-YF7O-0526-SM-5P9IO 50-59 years, male 81994.4
GTEX-XGQ4-0526-SM-4AT6C 50-59 years, male 81934.1
GTEX-13W3W-0526-SM-5LU3X 60-69 years, female 81889.0
GTEX-12ZZY-1226-SM-5GCNK 60-69 years, male 81730.9
GTEX-1GF9U-0526-SM-7P8SK 40-49 years, female 81592.3
GTEX-ZDYS-0326-SM-5HL4W 50-59 years, male 81221.4
GTEX-11O72-1026-SM-5986B 40-49 years, male 81076.2
GTEX-WFG7-0826-SM-3GIKU 20-29 years, male 80077.6
GTEX-132Q8-1126-SM-5K7XS 60-69 years, male 80075.5
GTEX-183WM-0926-SM-718AN 70-79 years, female 79818.1
GTEX-1JJEA-0926-SM-CYPSO 60-69 years, male 79285.0
GTEX-1I1GV-1426-SM-B2LXN 60-69 years, male 78891.7
GTEX-1399R-1726-SM-5K7YJ 30-39 years, male 78739.6
GTEX-11UD2-0926-SM-5CVL6 50-59 years, male 78279.9
GTEX-17F9Y-1226-SM-7EPGE 70-79 years, female 77825.5
GTEX-1H1DG-0826-SM-9QEIW 70-79 years, male 77772.4
GTEX-1HBPH-0226-SM-9WYSM 40-49 years, female 77731.4
GTEX-1I1HK-0626-SM-CNPQM 60-69 years, male 77414.4
GTEX-12WSE-0926-SM-5S2VX 20-29 years, male 77304.5
GTEX-17MF6-0926-SM-7LTAL 40-49 years, male 77102.0
GTEX-1B8KE-0326-SM-73KTY 50-59 years, male 77076.3
GTEX-11ZUS-0326-SM-5EQ4W 30-39 years, male 76938.1
GTEX-145LV-0226-SM-5S2QG 50-59 years, male 76404.4
GTEX-WEY5-0226-SM-3GIKN 40-49 years, female 75485.3
GTEX-1C64O-0926-SM-79OLN 60-69 years, male 75393.2
GTEX-16NPX-0826-SM-6M489 50-59 years, male 75183.4
GTEX-1IKK5-1726-SM-CM2RU 60-69 years, male 75141.9
GTEX-1117F-0726-SM-5GIEN 60-69 years, female 74760.9
GTEX-11DXZ-0326-SM-5EGH1 50-59 years, male 74213.3
GTEX-145MN-0726-SM-5NQBH 30-39 years, male 74201.1
GTEX-132QS-0526-SM-5IJC7 60-69 years, male 74185.4
GTEX-1B97J-0326-SM-7939H 50-59 years, female 74128.6
GTEX-14PK6-0726-SM-6LLIX 70-79 years, female 73877.9
GTEX-1LG7Y-1426-SM-D4P31 50-59 years, male 73756.6
GTEX-1192X-0726-SM-5987R 50-59 years, male 73315.7
GTEX-1LH75-0526-SM-DIPG2 50-59 years, female 72921.2
GTEX-1JK1U-0626-SM-CKZOJ 60-69 years, male 72771.4
GTEX-1AX9J-0926-SM-73KXA 60-69 years, male 72753.0
GTEX-1GZ4I-0826-SM-9WG6O 50-59 years, male 72604.7
GTEX-1M5QR-1626-SM-E9U5O 40-49 years, male 72513.9
GTEX-1CB4J-0226-SM-7P8T4 60-69 years, male 72142.9
GTEX-15RJE-0726-SM-7KUEG 40-49 years, male 72091.4
GTEX-WH7G-0326-SM-3NMBH 40-49 years, male 72086.4
GTEX-ZF29-0426-SM-4WKFN 60-69 years, female 72081.0
GTEX-1H2FU-0826-SM-9WYSU 60-69 years, female 72023.5
GTEX-1HBPN-0926-SM-CGQEG 50-59 years, male 71017.4
GTEX-1GMR2-1326-SM-9KNUT 50-59 years, male 70988.6
GTEX-13OVI-0326-SM-5K7X1 60-69 years, female 70462.9
GTEX-1CAMS-1126-SM-7MXUQ 40-49 years, female 70320.3
GTEX-1399U-0726-SM-5KM1D 50-59 years, female 70171.3
GTEX-14PJ4-0926-SM-5YY98 60-69 years, male 70134.7
GTEX-1IDJH-1126-SM-COH3R 70-79 years, male 69747.5
GTEX-ZZPT-0926-SM-5GICZ 50-59 years, male 69567.1
GTEX-1LSNM-0426-SM-E9TIZ 50-59 years, male 69535.2
GTEX-11LCK-0826-SM-5PNYD 30-39 years, male 69528.0
GTEX-UTHO-1226-SM-3GAEE 60-69 years, male 69441.4
GTEX-1AX9K-0426-SM-73KUG 50-59 years, male 69428.7
GTEX-ZTPG-1326-SM-51MSQ 20-29 years, female 69011.9
GTEX-12696-1226-SM-5FQSM 60-69 years, male 68475.1
GTEX-WYJK-1126-SM-3NM9Z 50-59 years, male 68454.3
GTEX-1H1ZS-1026-SM-9WG6E 70-79 years, male 68260.9
GTEX-111YS-0326-SM-5GZZ3 60-69 years, male 68130.7
GTEX-1IY9M-0626-SM-D4P2L 60-69 years, male 68007.2
GTEX-11GSP-1226-SM-5985M 60-69 years, female 67687.4
GTEX-131XF-0426-SM-5HL7U 60-69 years, male 67387.6
GTEX-1HR98-1026-SM-CKZOM 60-69 years, male 67326.4
GTEX-1LGOU-0326-SM-D3LAM 20-29 years, female 67114.7
GTEX-X4EP-0326-SM-3P5Z6 60-69 years, female 66979.4
GTEX-13SLW-0826-SM-5QGP7 70-79 years, male 66769.3
GTEX-1F75A-1026-SM-7PC3W 50-59 years, male 66678.4
GTEX-1HT8W-1326-SM-CGQEN 30-39 years, male 66582.1
GTEX-U8XE-0926-SM-3DB8V 30-39 years, male 66375.0
GTEX-X261-0926-SM-3NMCY 50-59 years, male 66191.9
GTEX-1K2DU-0226-SM-DIPF6 20-29 years, male 65850.3
GTEX-11DXX-0526-SM-5PNVR 60-69 years, female 65584.4
GTEX-1NHNU-0626-SM-E6CP1 50-59 years, male 65427.1
GTEX-1HC8U-0626-SM-B2LWB 40-49 years, female 65023.5
GTEX-14PHX-0626-SM-5YY8Z 50-59 years, male 64972.9
GTEX-13PVR-0926-SM-5S2RB 60-69 years, female 64923.0
GTEX-1BAJH-1026-SM-7EWEG 70-79 years, male 64863.0
GTEX-1AX9I-1026-SM-73KYF 60-69 years, male 64815.8
GTEX-ZAB4-0926-SM-5CVN4 40-49 years, male 64765.3
GTEX-1R7EV-0426-SM-DTX7Z 40-49 years, male 64715.6
GTEX-18A7A-1226-SM-7LTAJ 50-59 years, female 64685.1
GTEX-146FR-0926-SM-5QGPE 60-69 years, female 64332.9
GTEX-WQUQ-1326-SM-3MJFF 60-69 years, male 64235.3
GTEX-15CHC-0326-SM-5ZZVP 60-69 years, female 63970.7
GTEX-11EQ8-1326-SM-5EGJQ 60-69 years, male 63969.3
GTEX-1QCLZ-1126-SM-EWRNB 60-69 years, female 63855.4
GTEX-XPT6-0226-SM-4B65L 20-29 years, male 63685.8
GTEX-YEC3-0426-SM-CYPS8 50-59 years, male 63468.2
GTEX-1JMQK-0926-SM-ARL96 60-69 years, male 63222.2
GTEX-117YX-0626-SM-5EGJI 50-59 years, male 62849.7
GTEX-ZVT2-0926-SM-5GICE 50-59 years, female 62617.6
GTEX-17F96-0826-SM-7DHLU 70-79 years, male 62563.5
GTEX-11ZTT-0526-SM-5EQLA 60-69 years, female 62166.8
GTEX-ZYFC-1026-SM-5GZX9 50-59 years, male 61998.7
GTEX-1R9K4-1026-SM-EXUT1 60-69 years, male 61973.3
GTEX-13JVG-1126-SM-5KM2M 60-69 years, male 61670.7
GTEX-1H3NZ-1026-SM-A9SM5 60-69 years, male 61417.6
GTEX-1GN1U-1426-SM-7P8TF 50-59 years, female 61355.9
GTEX-13O61-0426-SM-5L3ET 60-69 years, male 60930.1
GTEX-1A32A-1326-SM-73KWW 50-59 years, female 60903.1
GTEX-13FTZ-0326-SM-5J1O1 60-69 years, male 60238.5
GTEX-XXEK-2026-SM-4BRVE 50-59 years, male 60174.4
GTEX-1313W-1126-SM-5EQ5U 50-59 years, female 60142.0
GTEX-1P4AB-0926-SM-E76PV 50-59 years, male 60137.1
GTEX-YB5K-0226-SM-5IFJE 40-49 years, female 60128.6
GTEX-15EU6-1326-SM-6PANG 50-59 years, male 60069.8
GTEX-11NUK-0926-SM-5HL57 50-59 years, male 60037.6
GTEX-1H3VY-1126-SM-A96TP 50-59 years, male 60035.5
GTEX-1R9JW-0426-SM-E76QL 30-39 years, female 59868.7
GTEX-1F6I4-0826-SM-7RHGK 60-69 years, male 59698.8
GTEX-14PN3-0726-SM-6EU14 60-69 years, female 59638.5
GTEX-ZYFD-2026-SM-5E459 50-59 years, male 59513.3
GTEX-17KNJ-0626-SM-7LT9L 50-59 years, male 59220.0
GTEX-17GQL-0626-SM-731CN 60-69 years, male 58713.8
GTEX-WFG8-0726-SM-3GILP 20-29 years, male 58690.9
GTEX-13N1W-0926-SM-5MR36 70-79 years, male 58289.8
GTEX-17F9E-0726-SM-793A1 50-59 years, male 58211.7
GTEX-X8HC-1026-SM-46MWH 50-59 years, female 58183.2
GTEX-ZPCL-0526-SM-DO91R 60-69 years, female 58059.6
GTEX-1B996-1026-SM-793CF 60-69 years, male 58047.2
GTEX-147F4-1126-SM-5TDDE 50-59 years, male 57893.3
GTEX-1IDJU-0626-SM-CKZOG 60-69 years, female 57875.6
GTEX-14C5O-1226-SM-664N3 60-69 years, male 57709.9
GTEX-13X6K-1726-SM-7IGLG 60-69 years, female 57436.2
GTEX-1B8L1-0426-SM-7SB76 60-69 years, male 57069.8
GTEX-XV7Q-0726-SM-4BRV6 40-49 years, female 57068.8
GTEX-VJWN-1026-SM-4M1ZN 50-59 years, female 57032.4
GTEX-1J8Q2-1026-SM-ARU8I 60-69 years, male 57010.9
GTEX-1JN6P-0826-SM-ARL97 60-69 years, male 56859.0
GTEX-XLM4-2026-SM-4AT4X 60-69 years, male 56745.0
GTEX-1J8EW-0626-SM-CM2TY 60-69 years, female 56279.7
GTEX-UPK5-0226-SM-3GAEV 40-49 years, male 55960.2
GTEX-WHPG-1026-SM-3NMBA 50-59 years, male 55899.0
GTEX-13PVQ-1326-SM-5LU4J 50-59 years, male 55780.5
GTEX-13OVG-0426-SM-5KM2T 60-69 years, male 55692.2
GTEX-ZF2S-0826-SM-4WWBI 50-59 years, female 55659.9
GTEX-1B8SF-1326-SM-7IGQJ 60-69 years, male 55465.1
GTEX-ZGAY-0226-SM-4WWAL 40-49 years, female 55135.8
GTEX-XQ3S-0526-SM-4BOQA 20-29 years, male 55056.3
GTEX-1QMI2-1026-SM-DTX7T 60-69 years, male 55046.0
GTEX-14A6H-0326-SM-5NQAN 30-39 years, male 54639.9
GTEX-1HCVE-0826-SM-CM2SF 50-59 years, male 54391.3
GTEX-XQ8I-0226-SM-4BOPM 50-59 years, male 54222.5
GTEX-1GMR8-1026-SM-9MQLA 50-59 years, female 54094.1
GTEX-13FHP-0826-SM-5K7V5 50-59 years, male 53723.3
GTEX-13O3O-1426-SM-5KM2S 60-69 years, female 53656.4
GTEX-ZAJG-0926-SM-5Q5AB 50-59 years, female 53330.7
GTEX-X3Y1-0226-SM-3P5Z5 40-49 years, male 53095.8
GTEX-131YS-0826-SM-5PNYV 60-69 years, female 52882.7
GTEX-WZTO-1226-SM-3NMAZ 40-49 years, male 52764.1
GTEX-1IKOE-0626-SM-A9G31 30-39 years, female 52525.7
GTEX-1F48J-1126-SM-9WYSY 50-59 years, female 52523.5
GTEX-1211K-0226-SM-59HJY 60-69 years, female 52493.3
GTEX-1LGRB-1026-SM-CNPQD 50-59 years, female 52396.4
GTEX-13N11-0726-SM-5L3DP 50-59 years, female 52394.8
GTEX-12WSG-1226-SM-5EQ4C 50-59 years, female 52382.4
GTEX-1GN73-2326-SM-9MQKV 60-69 years, male 52380.8
GTEX-V955-0826-SM-CYPR5 60-69 years, male 52134.6
GTEX-WL46-0726-SM-3LK5Z 50-59 years, male 52096.7
GTEX-1IDJD-0226-SM-CKZOA 30-39 years, male 51991.7
GTEX-18D9U-1426-SM-718BO 40-49 years, male 51725.9
GTEX-14PHY-0326-SM-62LE3 60-69 years, female 51287.7
GTEX-12ZZX-0726-SM-5EGKA 40-49 years, female 50966.8
GTEX-VUSG-0726-SM-3GIK1 50-59 years, male 50765.3
GTEX-15CHR-0326-SM-7DHN3 50-59 years, male 50586.6
GTEX-1HCUA-0626-SM-ACKVT 50-59 years, female 50522.4
GTEX-145LS-1326-SM-5Q5EP 60-69 years, female 50517.1
GTEX-ZV7C-0526-SM-9WPNK 50-59 years, male 50430.5
GTEX-ZPIC-0426-SM-DO91V 40-49 years, female 50094.9
GTEX-11NV4-0826-SM-5BC4S 60-69 years, male 49665.1
GTEX-131XG-0526-SM-5DUWF 50-59 years, female 49651.1
GTEX-1GN1W-0226-SM-7P8QY 50-59 years, female 49368.2
GTEX-ZDTT-0326-SM-4WKF9 60-69 years, male 49281.9
GTEX-X5EB-0626-SM-46MVQ 40-49 years, male 49249.2
GTEX-ZVZQ-0726-SM-51MR3 60-69 years, female 48841.6
GTEX-Y8E4-0426-SM-4V6GB 40-49 years, male 48710.6
GTEX-14PII-1026-SM-5ZZVW 60-69 years, male 48647.6
GTEX-WK11-0626-SM-3NMAV 50-59 years, male 48507.5
GTEX-13NZB-0426-SM-5KM26 30-39 years, male 48022.0
GTEX-11EM3-0426-SM-5N9BZ 20-29 years, female 48002.5
GTEX-1AYCT-0526-SM-7RHHS 50-59 years, male 47987.5
GTEX-14H4A-0426-SM-5ZZWO 40-49 years, female 47836.5
GTEX-14PJ6-0626-SM-686Z6 60-69 years, female 47665.8
GTEX-15RIE-1326-SM-6PAMM 60-69 years, male 47602.3
GTEX-ZYVF-1826-SM-5E44F 50-59 years, female 47467.2
GTEX-1J8Q3-1126-SM-ARU8N 60-69 years, male 47365.0
GTEX-1C64N-0826-SM-7RHGQ 50-59 years, male 47016.1
GTEX-13D11-1526-SM-5J2NA 50-59 years, female 46937.8
GTEX-ZYT6-0926-SM-5GIEM 30-39 years, male 46820.1
GTEX-1QP29-1426-SM-DTX9Q 50-59 years, male 46809.6
GTEX-13OW6-0926-SM-5L3GM 50-59 years, male 46348.4
GTEX-16MT8-0826-SM-7KULO 60-69 years, female 46282.4
GTEX-1IDJF-0826-SM-ARU7N 20-29 years, male 46194.5
GTEX-1I1GP-0626-SM-ARL7H 50-59 years, male 46140.9
GTEX-14PJO-0826-SM-6ETZK 60-69 years, male 46071.0
GTEX-1MCC2-0226-SM-EVYD5 30-39 years, female 45991.4
GTEX-1L5NE-0526-SM-DIPG5 50-59 years, male 45857.6
GTEX-1IL2U-1226-SM-CL53P 60-69 years, male 45772.2
GTEX-14A5I-1026-SM-5Q5E3 50-59 years, female 45543.3
GTEX-13PL6-0826-SM-5IJBI 40-49 years, female 45540.2
GTEX-1HFI6-0826-SM-9YFM2 40-49 years, male 45500.8
GTEX-17JCI-0826-SM-7LT8W 60-69 years, female 45361.8
GTEX-14PN4-0826-SM-69LON 50-59 years, male 45216.5
GTEX-1HBPM-1026-SM-ARL9D 60-69 years, female 45068.4
GTEX-12584-1026-SM-59HK3 40-49 years, male 44946.0
GTEX-13O21-0326-SM-5J1N9 50-59 years, male 44887.8
GTEX-1PPGY-0926-SM-DTXFF 60-69 years, male 44845.4
GTEX-14E1K-0826-SM-5ZZW9 50-59 years, male 44830.7
GTEX-XYKS-0226-SM-4BRW3 60-69 years, female 44452.5
GTEX-1GMR3-0426-SM-7PC17 40-49 years, male 44406.2
GTEX-1RB15-0426-SM-E9U4Y 60-69 years, male 44244.0
GTEX-16YQH-0726-SM-7IGM1 30-39 years, male 44085.3
GTEX-1JJ6O-2226-SM-AHZ3I 60-69 years, male 43799.9
GTEX-13NYS-1926-SM-5IJCB 60-69 years, male 43544.8
GTEX-ZVT4-1326-SM-5NQ8E 50-59 years, female 43541.7
GTEX-11TT1-1426-SM-5EGIA 20-29 years, male 43470.9
GTEX-1JMQL-1026-SM-CMKGV 50-59 years, female 43351.0
GTEX-1E2YA-0626-SM-7P8P4 50-59 years, male 43313.5
GTEX-15ER7-0826-SM-6PALW 20-29 years, female 42892.4
GTEX-ZEX8-0326-SM-DO92C 50-59 years, male 42470.5
GTEX-1IKJJ-0626-SM-CY8GF 60-69 years, male 42470.1
GTEX-ZAB5-0126-SM-5CVMT 50-59 years, male 42250.3
GTEX-WY7C-1126-SM-3NB3A 50-59 years, male 42149.4
GTEX-13U4I-0626-SM-5LU5L 40-49 years, female 41972.7
GTEX-1CAMQ-0726-SM-7P8SG 40-49 years, male 41875.8
GTEX-12WSN-0226-SM-5DUXH 40-49 years, male 41615.2
GTEX-131XE-0526-SM-5K7YT 50-59 years, male 41522.5
GTEX-1ICG6-0726-SM-B2LY5 70-79 years, female 41102.9
GTEX-16GPK-1226-SM-7LTAU 60-69 years, male 41014.1
GTEX-15SDE-1826-SM-7KUFN 50-59 years, female 40298.8
GTEX-ZG7Y-1426-SM-4WWBM 50-59 years, male 40292.6
GTEX-1122O-0626-SM-5N9B9 60-69 years, female 39889.6
GTEX-1AX8Z-1126-SM-731CS 60-69 years, male 39750.3
GTEX-11WQK-0226-SM-5EQLI 50-59 years, male 39616.2
GTEX-16XZZ-1026-SM-7DHKS 60-69 years, male 39318.9
GTEX-1399T-0726-SM-5J1MH 60-69 years, male 39294.1
GTEX-1CB4I-1526-SM-7DHMY 50-59 years, male 39110.1
GTEX-ZZPU-1126-SM-5N9CW 50-59 years, female 38966.6
GTEX-1I1CD-1326-SM-A9SMM 60-69 years, female 38634.4
GTEX-X4XX-1126-SM-3NMBY 60-69 years, male 38411.8
GTEX-15SHV-0526-SM-7KUEN 60-69 years, male 38330.5
GTEX-1399S-0826-SM-5KM23 30-39 years, female 37949.9
GTEX-18D9B-1126-SM-7KFSH 60-69 years, male 37929.9
GTEX-15UF7-1526-SM-6LPI7 40-49 years, male 37227.4
GTEX-14ASI-0826-SM-5Q5EB 60-69 years, male 37217.7
GTEX-12WSD-1226-SM-5HL9Q 60-69 years, female 36950.3
GTEX-13NZ9-0126-SM-5K7XV 50-59 years, male 36630.3
GTEX-14XAO-0926-SM-69LPZ 60-69 years, female 36158.2
GTEX-1B8SG-0726-SM-79ONS 50-59 years, male 36102.0
GTEX-13O3P-1426-SM-5L3DT 50-59 years, male 35996.4
GTEX-132AR-1926-SM-5EGK5 50-59 years, female 35677.1
GTEX-ZDTS-1226-SM-4WKGL 60-69 years, male 35478.6
GTEX-14BIM-2726-SM-5Q5EG 60-69 years, female 34994.9
GTEX-1HSMO-1126-SM-CGQF2 60-69 years, male 34702.7
GTEX-1QPFJ-0926-SM-EVR3K 30-39 years, female 34501.8
GTEX-12WSC-1026-SM-5EQ5Y 50-59 years, male 34411.7
GTEX-XOT4-1126-SM-4B66E 60-69 years, female 34397.9
GTEX-1477Z-1126-SM-5P9GK 60-69 years, male 34284.2
GTEX-1NSGN-1226-SM-E76OL 50-59 years, male 34273.2
GTEX-YFC4-0426-SM-4TT3J 40-49 years, female 33966.6
GTEX-WI4N-0726-SM-3TW93 40-49 years, female 33685.3
GTEX-1J8QM-0326-SM-CL53D 60-69 years, female 33391.2
GTEX-17HGU-1126-SM-793BP 50-59 years, male 33340.7
GTEX-111FC-0626-SM-5N9CU 60-69 years, male 33040.5
GTEX-1HSMQ-0426-SM-ADEIM 50-59 years, male 32949.6
GTEX-ZE7O-0626-SM-57WCD 50-59 years, female 32693.6
GTEX-13FH7-0826-SM-5J2NW 50-59 years, female 32001.6
GTEX-1CB4E-0626-SM-7DHMW 60-69 years, male 31923.9
GTEX-14DAQ-1026-SM-793B1 60-69 years, female 31913.9
GTEX-WWYW-1126-SM-3NB2Q 50-59 years, female 31774.3
GTEX-14JG1-0826-SM-5ZZWR 40-49 years, male 31523.1
GTEX-1GZ2Q-0926-SM-7RHHN 40-49 years, male 31377.5
GTEX-14E7W-1126-SM-5ZZVS 70-79 years, male 31235.2
GTEX-15SKB-0926-SM-7KUFC 60-69 years, male 31000.4
GTEX-1I19N-0626-SM-A9SKY 70-79 years, male 29649.9
GTEX-WHWD-0326-SM-3LK6L 50-59 years, male 29394.0
GTEX-1LB8K-0926-SM-D4P42 50-59 years, male 29017.7
GTEX-13OW7-1626-SM-5IJDH 50-59 years, male 28963.6
GTEX-14BIL-0926-SM-7DHKN 50-59 years, male 28558.3
GTEX-18A66-1126-SM-731C5 60-69 years, male 28544.6
GTEX-ZDXO-0426-SM-4WKF6 60-69 years, male 28379.4
GTEX-1GMRU-1326-SM-9WYUI 50-59 years, male 28189.4
GTEX-13S86-0326-SM-5SI6K 40-49 years, male 28098.0
GTEX-18A67-1026-SM-731CE 50-59 years, male 26437.6
GTEX-147JS-1326-SM-5SI6D 60-69 years, male 26377.6
GTEX-11DYG-1026-SM-5A5JQ 60-69 years, male 25942.7
GTEX-ZVT3-0826-SM-5GIC8 60-69 years, female 25937.5
GTEX-13SLX-0926-SM-5S2NM 50-59 years, female 25833.5
GTEX-146FH-1126-SM-5NQAT 50-59 years, female 24254.2
GTEX-XBEC-1226-SM-4AT65 50-59 years, male 24025.0
GTEX-13CF2-0226-SM-5L3DV 60-69 years, male 23493.4
GTEX-15CHQ-1326-SM-6871Z 60-69 years, male 22722.2
GTEX-1GTWX-0926-SM-9MQKM 60-69 years, male 22207.7
GTEX-1445S-1226-SM-5O9BF 60-69 years, male 21042.1
GTEX-1E1VI-1426-SM-793CY 50-59 years, male 20878.0
GTEX-14PJM-0826-SM-6LLIW 50-59 years, female 20786.2
GTEX-18465-0726-SM-7LG4L 50-59 years, male 20573.4
GTEX-ZAK1-1126-SM-5PNXU 50-59 years, female 20464.4
GTEX-1GN2E-1426-SM-7RHHI 60-69 years, male 20150.1
GTEX-132NY-1426-SM-5J1MJ 60-69 years, male 19566.0
GTEX-1A3MX-1226-SM-731B3 60-69 years, male 17237.2
GTEX-13O3Q-0326-SM-5L3FE 50-59 years, male 16687.1
GTEX-ZTTD-0626-SM-4YCCY 50-59 years, male 15401.4
GTEX-139TU-1926-SM-5J2OC 60-69 years, male 15275.1
GTEX-X62O-0826-SM-46MW8 50-59 years, male 14513.0
GTEX-1QEPI-1126-SM-E8VN7 60-69 years, female 13616.8
GTEX-1C6WA-0826-SM-7PBXS 60-69 years, male 11535.5
Show allShow less
Heart - Left Ventricle
Average nTPM: 190669.7
Samples: 432

Max nTPM: 1589516.9
Min nTPM: 5931.7
Std nTPM: 207409.5
Median nTPM: 108764.9
GTEX-14A5I-1226-SM-5NQBW 50-59 years, female 1589516.9
GTEX-1JN6P-1126-SM-CKZON 60-69 years, male 1473817.0
GTEX-14BIN-2226-SM-5YYA1 50-59 years, female 1297644.3
GTEX-15CHQ-1526-SM-69LPW 60-69 years, male 1281767.4
GTEX-13NYB-0226-SM-5N9G4 40-49 years, male 895651.0
GTEX-14JIY-1126-SM-6EU28 60-69 years, male 882810.1
GTEX-1KD4Q-0726-SM-DIPGE 40-49 years, male 814376.6
GTEX-1399T-0426-SM-5PNVJ 60-69 years, male 780493.9
GTEX-13FHP-1026-SM-5K7Y2 50-59 years, male 767232.7
GTEX-1EX96-2526-SM-7RHGW 50-59 years, male 745946.1
GTEX-X261-1426-SM-4PQZ1 50-59 years, male 733099.8
GTEX-ZF3C-1226-SM-4WWCB 50-59 years, female 731999.7
GTEX-1IDJH-1026-SM-E9TKH 70-79 years, male 713539.3
GTEX-14E6D-0926-SM-5S2QV 50-59 years, male 693271.5
GTEX-14C39-0926-SM-5TDDV 40-49 years, male 673344.7
GTEX-1IKJJ-0826-SM-A96SP 60-69 years, male 668707.4
GTEX-1O97I-0826-SM-E8VNE 60-69 years, male 663964.8
GTEX-14C5O-1326-SM-5S2UW 60-69 years, male 659923.4
GTEX-1HCVE-1126-SM-9WPPG 50-59 years, male 654413.2
GTEX-1I1GP-0826-SM-A96SD 50-59 years, male 653850.4
GTEX-WK11-0826-SM-EZ6LH 50-59 years, male 653730.8
GTEX-1LVA9-0926-SM-EVR5G 50-59 years, male 650941.3
GTEX-ZYT6-1726-SM-5E44P 30-39 years, male 632238.2
GTEX-11DXY-0826-SM-5EGGR 60-69 years, male 610893.0
GTEX-1NV8Z-1526-SM-DTX8X 60-69 years, male 595138.0
GTEX-15SHW-1226-SM-6M46C 60-69 years, male 576228.8
GTEX-148VJ-1526-SM-5Q5DU 70-79 years, male 565905.4
GTEX-WRHU-1226-SM-4E3IJ 50-59 years, female 560320.6
GTEX-14E7W-1226-SM-5RQIU 70-79 years, male 548468.6
GTEX-14BIL-1126-SM-79OMC 50-59 years, male 547250.8
GTEX-16MT8-0926-SM-6M487 60-69 years, female 527918.9
GTEX-1A8G6-1626-SM-7MGWO 60-69 years, male 525278.4
GTEX-1EWIQ-1426-SM-7IGOS 70-79 years, female 524702.8
GTEX-N7MT-1326-SM-2I3FV 60-69 years, female 521700.6
GTEX-ZUA1-0826-SM-4YCDL 40-49 years, male 505336.9
GTEX-1EKGG-1126-SM-7MGXB 60-69 years, male 502881.3
GTEX-147F4-1226-SM-5NQAY 50-59 years, male 495323.3
GTEX-P44G-0826-SM-2I5ES 30-39 years, male 487012.8
GTEX-XBEC-1326-SM-4AT69 50-59 years, male 485319.6
GTEX-13OW5-1126-SM-5J1NR 60-69 years, male 480022.3
GTEX-13JVG-1326-SM-5N9F8 60-69 years, male 470379.1
GTEX-1H3NZ-1126-SM-9WYT9 60-69 years, male 463844.6
GTEX-15SHU-1126-SM-7KUMB 40-49 years, female 461963.5
GTEX-1HCU7-1326-SM-CNPPW 50-59 years, male 458177.0
GTEX-17F9Y-1326-SM-7MGW9 70-79 years, female 452372.4
GTEX-1RAZS-0826-SM-E76QP 50-59 years, male 450650.4
GTEX-17JCI-1126-SM-7IGMM 60-69 years, female 443580.5
GTEX-1HT8W-1726-SM-CNNQB 30-39 years, male 441873.0
GTEX-RN64-0826-SM-2TC62 50-59 years, male 440371.2
GTEX-1EH9U-0826-SM-7IGPT 60-69 years, male 434908.0
GTEX-1EN7A-0726-SM-7PBXT 40-49 years, male 432236.2
GTEX-1GN2E-1326-SM-9KNVG 60-69 years, male 430645.4
GTEX-13YAN-1326-SM-5Q5F1 60-69 years, male 428376.9
GTEX-YJ8O-0926-SM-EAZ2Z 40-49 years, female 420161.3
GTEX-11GSP-1326-SM-5A5KY 60-69 years, female 417052.7
GTEX-1269C-0826-SM-5N9EM 60-69 years, female 414382.3
GTEX-1J8Q2-1226-SM-A9G2W 60-69 years, male 409070.3
GTEX-18465-0926-SM-731AY 50-59 years, male 403566.7
GTEX-1I1GV-1326-SM-A96SE 60-69 years, male 401519.5
GTEX-T2IS-0426-SM-32QPE 20-29 years, female 399723.0
GTEX-OXRO-2026-SM-2YUMZ 60-69 years, female 397744.0
GTEX-13CF2-0426-SM-5KM1H 60-69 years, male 389198.5
GTEX-QVJO-1926-SM-2S1QZ 60-69 years, female 387717.0
GTEX-1GN1V-0826-SM-9KNU6 60-69 years, male 381888.2
GTEX-1JMOU-0226-SM-CNNPD 60-69 years, female 377822.0
GTEX-147JS-1526-SM-5ZZWF 60-69 years, male 353904.7
GTEX-1H1CY-0326-SM-9QEIZ 60-69 years, female 349053.2
GTEX-1ICLY-1326-SM-CJI47 50-59 years, male 347944.6
GTEX-131XH-0226-SM-5LZVB 50-59 years, male 347122.2
GTEX-1LG7Y-1226-SM-CXZKD 50-59 years, male 343580.0
GTEX-1C6VQ-1126-SM-7EWET 50-59 years, male 341395.0
GTEX-1LB8K-1026-SM-DHXJJ 50-59 years, male 338286.4
GTEX-1IL2U-1326-SM-A9G2O 60-69 years, male 318515.6
GTEX-12ZZY-1126-SM-5DUWQ 60-69 years, male 315125.8
GTEX-13FTZ-0226-SM-5K7X6 60-69 years, male 314651.0
GTEX-1HCU6-1026-SM-A9G25 60-69 years, female 312550.7
GTEX-15DYW-1126-SM-6LPK5 60-69 years, female 306712.5
GTEX-1ICG6-0626-SM-ACKWS 70-79 years, female 304638.5
GTEX-R45C-0926-SM-3GAD4 60-69 years, female 302145.7
GTEX-13OW8-2126-SM-5J1OS 60-69 years, male 300192.8
GTEX-117YW-0326-SM-5N9CY 50-59 years, male 288404.2
GTEX-S33H-0526-SM-COH1W 30-39 years, male 283842.8
GTEX-1AX9I-1126-SM-7EPHH 60-69 years, male 279798.4
GTEX-145MO-1126-SM-5NQBX 60-69 years, male 270322.8
GTEX-1497J-1226-SM-5Q5BL 60-69 years, male 265368.6
GTEX-11GS4-0526-SM-5A5KQ 60-69 years, male 261201.7
GTEX-15RJE-0626-SM-7KUKR 40-49 years, male 257508.7
GTEX-14PJ2-1026-SM-6EU1M 50-59 years, male 255252.4
GTEX-13O3P-1626-SM-5K7X3 50-59 years, male 250314.4
GTEX-1JJ6O-2126-SM-CNNP6 60-69 years, male 250014.5
GTEX-1JN1M-1026-SM-CNPOS 60-69 years, female 247240.9
GTEX-ZYFC-1126-SM-5E44W 50-59 years, male 240667.1
GTEX-148VI-0326-SM-5RQK7 60-69 years, female 239801.4
GTEX-11ZVC-0426-SM-5CVLD 50-59 years, female 239128.4
GTEX-1B8L1-0526-SM-79ONX 60-69 years, male 238412.9
GTEX-17HHY-1426-SM-7EWDQ 50-59 years, male 234978.8
GTEX-12584-0926-SM-5FQTN 40-49 years, male 231690.7
GTEX-RTLS-0826-SM-2TF5Q 60-69 years, female 231535.9
GTEX-13O3O-1526-SM-5KM1C 60-69 years, female 231224.7
GTEX-P4PP-0326-SM-33HC4 30-39 years, female 230688.4
GTEX-13N1W-1026-SM-5IJC5 70-79 years, male 228991.3
GTEX-1F6IF-2526-SM-7P8TV 60-69 years, male 228876.4
GTEX-1H1ZS-1126-SM-9MQLJ 70-79 years, male 223473.6
GTEX-1HBPM-1226-SM-A9SM8 60-69 years, female 223229.6
GTEX-ZQUD-1526-SM-7IGO2 30-39 years, male 222883.3
GTEX-1MJIX-0326-SM-EVR42 40-49 years, male 218687.3
GTEX-PVOW-0426-SM-5MR5R 40-49 years, male 217654.8
GTEX-1ICLZ-1026-SM-A9SLF 60-69 years, male 212514.2
GTEX-ZYW4-0926-SM-59HJS 60-69 years, male 211507.5
GTEX-13OW6-1126-SM-5L3HL 50-59 years, male 210799.3
GTEX-OIZG-1126-SM-2HMIU 50-59 years, male 208808.0
GTEX-11O72-1126-SM-5N9E2 40-49 years, male 207072.6
GTEX-13RTJ-0726-SM-5QGQN 60-69 years, male 206005.0
GTEX-NFK9-0926-SM-2HMJU 40-49 years, male 202044.1
GTEX-1JJEA-0826-SM-CL53T 60-69 years, male 198681.0
GTEX-WWYW-1326-SM-3NB2S 50-59 years, female 197558.8
GTEX-17MF6-0726-SM-7LT8E 40-49 years, male 196947.1
GTEX-1313W-1426-SM-5KLZU 50-59 years, female 196803.4
GTEX-13X6K-1826-SM-5O9CR 60-69 years, female 194021.6
GTEX-145LV-0326-SM-5Q5BW 50-59 years, male 192309.2
GTEX-1B8SG-0826-SM-7EWF7 50-59 years, male 192024.5
GTEX-14DAQ-1126-SM-664MT 60-69 years, female 190521.7
GTEX-1GF9V-1626-SM-7PBXL 60-69 years, male 186675.1
GTEX-11EMC-0726-SM-5EGJO 60-69 years, female 182567.5
GTEX-1F48J-1026-SM-7P8SO 50-59 years, female 182566.1
GTEX-1212Z-0626-SM-5FQTB 60-69 years, male 180046.6
GTEX-16NPX-0926-SM-7KUEZ 50-59 years, male 178867.7
GTEX-13PVQ-1226-SM-5IJDC 50-59 years, male 178302.5
GTEX-1PWST-1026-SM-DTXF2 70-79 years, male 176447.6
GTEX-O5YW-0326-SM-2I5EI 50-59 years, male 174767.1
GTEX-11ONC-0126-SM-5PNW6 60-69 years, male 171594.0
GTEX-1BAJH-1626-SM-73KUV 70-79 years, male 171448.4
GTEX-1R7EV-0326-SM-E76PA 40-49 years, male 169327.3
GTEX-1PPGY-1126-SM-E76OU 60-69 years, male 166529.0
GTEX-14C38-1426-SM-5RQHZ 50-59 years, male 166465.5
GTEX-15DDE-1126-SM-6LLHN 50-59 years, female 163242.7
GTEX-ZDTS-1326-SM-6LLHE 60-69 years, male 162048.2
GTEX-OHPM-0326-SM-33HCA 50-59 years, male 160641.4
GTEX-OHPL-0326-SM-33HC8 60-69 years, female 159996.3
GTEX-18A6Q-1626-SM-7KFTA 60-69 years, male 159556.8
GTEX-XPVG-0826-SM-4B654 50-59 years, male 159062.6
GTEX-XQ8I-0126-SM-4BOPL 50-59 years, male 158939.3
GTEX-X8HC-1626-SM-46MWE 50-59 years, female 158798.3
GTEX-Y5V5-0626-SM-4VBPX 60-69 years, female 158380.4
GTEX-17F9E-0926-SM-7IGMG 50-59 years, male 157783.1
GTEX-Y8E4-0326-SM-4VBRR 40-49 years, male 154971.8
GTEX-1314G-0126-SM-5LZUL 30-39 years, male 152786.1
GTEX-R55C-0326-SM-3GAF1 40-49 years, male 151605.5
GTEX-1AX9K-0526-SM-73KV1 50-59 years, male 151090.6
GTEX-1N2EF-2826-SM-E6CQF 60-69 years, male 147332.5
GTEX-WI4N-0626-SM-3TW8Z 40-49 years, female 147206.5
GTEX-OHPK-0326-SM-2HMJO 50-59 years, female 147055.4
GTEX-1F6I4-0726-SM-7PC2P 60-69 years, male 145091.1
GTEX-WQUQ-1426-SM-3MJFD 60-69 years, male 144348.2
GTEX-1H23P-1226-SM-9QEJ2 60-69 years, male 143522.4
GTEX-1CB4G-0826-SM-7DUGF 60-69 years, male 142971.6
GTEX-1HSGN-1126-SM-CJI4G 40-49 years, female 142915.9
GTEX-RUSQ-0526-SM-2TF72 50-59 years, male 142231.4
GTEX-1399R-1926-SM-5K7X8 30-39 years, male 142227.4
GTEX-1E1VI-1326-SM-7IGQD 50-59 years, male 141037.8
GTEX-13NZB-0226-SM-5KM1T 30-39 years, male 140840.2
GTEX-RWS6-0326-SM-2XCAP 60-69 years, female 140372.0
GTEX-1M5QR-1026-SM-DHXK9 40-49 years, male 140041.6
GTEX-Y3I4-0626-SM-4TT7A 50-59 years, male 139926.1
GTEX-YEC3-0726-SM-CMKFH 50-59 years, male 139704.1
GTEX-15ER7-1726-SM-6PAMX 20-29 years, female 139369.2
GTEX-111YS-0426-SM-5987O 60-69 years, male 138846.9
GTEX-WL46-0926-SM-3LK7T 50-59 years, male 138382.0
GTEX-V1D1-0526-SM-4JBGW 50-59 years, male 137904.3
GTEX-PSDG-0926-SM-2I5FP 50-59 years, male 136791.7
GTEX-WFON-0326-SM-3GIKX 40-49 years, male 134937.3
GTEX-RWSA-0626-SM-2XCBD 40-49 years, male 134364.8
GTEX-WEY5-0426-SM-3GIKT 40-49 years, female 134175.8
GTEX-13O21-2326-SM-5MR3X 50-59 years, male 133855.0
GTEX-12ZZW-1026-SM-5GCMM 50-59 years, male 133416.4
GTEX-117YX-1126-SM-5H128 50-59 years, male 132546.6
GTEX-YFC4-0526-SM-5ZZVI 40-49 years, female 131848.6
GTEX-REY6-1026-SM-2TF4Y 60-69 years, male 131418.3
GTEX-XPT6-0126-SM-4B65S 20-29 years, male 131094.4
GTEX-XXEK-0926-SM-4BRWH 50-59 years, male 130963.9
GTEX-U3ZH-0326-SM-3DB7A 30-39 years, male 130810.3
GTEX-12ZZZ-1726-SM-59HK5 60-69 years, male 129472.1
GTEX-OOBJ-0326-SM-33HBO 60-69 years, male 128946.6
GTEX-1C2JI-0526-SM-7EWEQ 50-59 years, male 128601.8
GTEX-ZAB4-1026-SM-5HL7T 40-49 years, male 127977.0
GTEX-PLZ5-0626-SM-2I5F8 50-59 years, male 127965.1
GTEX-1GMR2-1426-SM-7RHHK 50-59 years, male 124094.0
GTEX-14JG1-1026-SM-6ETZY 40-49 years, male 123793.1
GTEX-14E6C-0426-SM-5YYA8 40-49 years, male 123760.5
GTEX-1A3MW-1326-SM-7189P 60-69 years, female 123336.0
GTEX-111FC-0826-SM-5GZWO 60-69 years, male 122375.4
GTEX-ZPU1-0626-SM-4YCDM 40-49 years, male 121581.4
GTEX-OXRL-0326-SM-2I3F2 50-59 years, male 120763.8
GTEX-SIU8-0826-SM-2XCDQ 50-59 years, male 120564.9
GTEX-15CHR-0226-SM-7PC2Z 50-59 years, male 119214.0
GTEX-1JMLX-1626-SM-ARZMV 50-59 years, male 118802.7
GTEX-ZDXO-0726-SM-57WBT 60-69 years, male 118756.4
GTEX-13N11-0426-SM-5KM3O 50-59 years, female 117150.3
GTEX-1HBPH-0126-SM-CNNQ7 40-49 years, female 116968.8
GTEX-ZF29-0226-SM-4WKHO 60-69 years, female 116921.7
GTEX-Y5V6-0826-SM-4VBRU 60-69 years, male 116313.9
GTEX-139YR-0826-SM-5LZXY 50-59 years, male 115498.3
GTEX-1C64O-0826-SM-79OKZ 60-69 years, male 115457.5
GTEX-13PVR-1026-SM-5QGQW 60-69 years, female 115412.3
GTEX-ZYFG-0426-SM-5E43M 60-69 years, female 115238.6
GTEX-QMRM-0526-SM-2I5GA 50-59 years, male 114799.4
GTEX-1R9JW-0526-SM-EWRNK 30-39 years, female 113684.1
GTEX-P78B-0426-SM-2I5F5 40-49 years, female 113531.5
GTEX-QESD-0526-SM-2I5G5 20-29 years, male 113073.1
GTEX-1I1GQ-1426-SM-B2LWY 50-59 years, male 112900.5
GTEX-13VXT-1126-SM-5LU3A 20-29 years, female 112524.1
GTEX-WHSE-0926-SM-3NMBS 20-29 years, male 112308.5
GTEX-11DXX-0326-SM-5PNWC 60-69 years, female 110743.1
GTEX-1GL5R-0326-SM-9WYTJ 50-59 years, male 109474.5
GTEX-1B97J-0726-SM-7RHG3 50-59 years, female 109327.6
GTEX-14PJ6-0726-SM-69LOL 60-69 years, female 108871.6
GTEX-131XE-0626-SM-5HL98 50-59 years, male 108658.3
GTEX-V955-0726-SM-3GAFG 60-69 years, male 108487.5
GTEX-O5YV-0326-SM-2I5H2 60-69 years, female 106605.8
GTEX-OIZF-0326-SM-3MJGY 60-69 years, male 106458.2
GTEX-13X6I-1426-SM-5SI9Z 60-69 years, male 106087.9
GTEX-14PN3-0526-SM-69LQF 60-69 years, female 106063.0
GTEX-1KANC-0426-SM-CXZK5 50-59 years, female 105550.1
GTEX-1S3DN-0726-SM-E9TIO 50-59 years, male 104942.1
GTEX-13FTW-1026-SM-5L3E3 40-49 years, male 104914.1
GTEX-14PHY-0226-SM-5ZZWM 60-69 years, female 104853.9
GTEX-1HC8U-0726-SM-ACKXL 40-49 years, female 103556.9
GTEX-1I1HK-0726-SM-B2LY4 60-69 years, male 103168.7
GTEX-12WSD-1126-SM-5EGJD 60-69 years, female 102928.0
GTEX-14PHX-2126-SM-6EU2U 50-59 years, male 102843.7
GTEX-12BJ1-0226-SM-5LUA2 60-69 years, male 102388.9
GTEX-QLQ7-0526-SM-2I5G3 60-69 years, male 101589.6
GTEX-1F75I-1126-SM-9WYUO 40-49 years, male 100741.0
GTEX-ZVZP-0226-SM-5NQ73 50-59 years, male 100409.1
GTEX-ZG7Y-0926-SM-5EQ6O 50-59 years, male 99986.1
GTEX-1JK1U-0526-SM-CYPSQ 60-69 years, male 99957.5
GTEX-PX3G-0326-SM-2I3EO 20-29 years, female 99905.9
GTEX-POMQ-0326-SM-2I5FO 20-29 years, female 99890.4
GTEX-Y114-0226-SM-4TT8W 50-59 years, female 99733.7
GTEX-X3Y1-0426-SM-3P5Z4 40-49 years, male 99486.5
GTEX-QEL4-0926-SM-3GAD1 50-59 years, male 98741.3
GTEX-13OVG-0526-SM-5K7YD 60-69 years, male 98653.5
GTEX-1AYCT-0426-SM-73KVZ 50-59 years, male 98457.7
GTEX-P4PQ-0326-SM-2HMJ8 60-69 years, male 98099.6
GTEX-1F5PK-0326-SM-9KNUD 50-59 years, male 97162.3
GTEX-13X6H-0426-SM-5LU4E 50-59 years, female 96863.6
GTEX-1JMPZ-1426-SM-CJI3C 30-39 years, male 95804.4
GTEX-16XZY-0426-SM-793BI 70-79 years, male 95714.8
GTEX-13FLV-0926-SM-5L3DZ 50-59 years, male 95591.2
GTEX-1MCC2-0326-SM-EV7AK 30-39 years, female 95295.3
GTEX-WHPG-0826-SM-3NMBF 50-59 years, male 94304.3
GTEX-1OFPY-1026-SM-EXUSO 60-69 years, male 93964.0
GTEX-Q2AH-0526-SM-2I3ED 40-49 years, male 93859.2
GTEX-P44H-0726-SM-48TBT 40-49 years, male 93515.5
GTEX-1IKK5-1526-SM-CKZPW 60-69 years, male 93417.1
GTEX-UPK5-0326-SM-CYPR4 40-49 years, male 93169.2
GTEX-1LVAN-1726-SM-CNNR1 50-59 years, female 92423.5
GTEX-1399U-0526-SM-5K7YM 50-59 years, female 92036.0
GTEX-XQ3S-0626-SM-4BOOB 20-29 years, male 91963.1
GTEX-ZGAY-0326-SM-57WF5 40-49 years, female 91884.7
GTEX-ZVT2-1026-SM-5GU55 50-59 years, female 91581.8
GTEX-1GTWX-1026-SM-7P8QW 60-69 years, male 91310.5
GTEX-YEC4-0326-SM-4W216 40-49 years, male 91307.7
GTEX-XGQ4-0326-SM-4GIEE 50-59 years, male 91175.1
GTEX-13O61-0526-SM-5J2M1 60-69 years, male 91047.7
GTEX-ZDTT-0726-SM-4WKFK 60-69 years, male 90895.4
GTEX-OIZH-0326-SM-2HMKC 50-59 years, male 90714.9
GTEX-14PK6-0826-SM-5ZZVO 70-79 years, female 90665.2
GTEX-NPJ8-0426-SM-2HMK6 40-49 years, male 90621.5
GTEX-11LCK-0926-SM-5A5KA 30-39 years, male 89722.1
GTEX-1QCLZ-0926-SM-E6CQZ 60-69 years, female 89710.4
GTEX-UJHI-0426-SM-3DB8Y 50-59 years, female 89686.8
GTEX-1RMOY-0626-SM-E9TIE 50-59 years, male 89358.7
GTEX-11TUW-1026-SM-5GU7D 60-69 years, male 89289.0
GTEX-16YQH-0926-SM-793BC 30-39 years, male 89193.6
GTEX-1B996-1126-SM-73KWN 60-69 years, male 89192.0
GTEX-ZLFU-0226-SM-4WWFH 40-49 years, male 89122.3
GTEX-15RJ7-0226-SM-7KUMN 40-49 years, male 87515.7
GTEX-1LGOU-0726-SM-E9TIY 20-29 years, female 87458.7
GTEX-ZDYS-0226-SM-5HL4K 50-59 years, male 87340.9
GTEX-1399S-1026-SM-5KLZ9 30-39 years, female 86326.9
GTEX-13D11-1726-SM-5IFGQ 50-59 years, female 85814.2
GTEX-U8XE-1126-SM-3DB8W 30-39 years, male 85667.4
GTEX-1IDJE-0326-SM-CM2TD 50-59 years, female 85608.2
GTEX-QDVJ-0426-SM-2I5FW 50-59 years, male 85578.0
GTEX-1KXAM-1326-SM-E9TJW 60-69 years, male 85351.7
GTEX-1LSNM-0526-SM-DIPG6 50-59 years, male 85307.4
GTEX-1R9K4-1326-SM-DTX8G 60-69 years, male 85216.8
GTEX-1HFI7-0826-SM-A9G23 50-59 years, female 85091.0
GTEX-1339X-0426-SM-5KLZY 40-49 years, male 84797.3
GTEX-1QP29-1526-SM-EXUSY 50-59 years, male 84255.8
GTEX-WFG7-0726-SM-3GIKO 20-29 years, male 84066.3
GTEX-1GF9U-0426-SM-7RHHA 40-49 years, female 84027.9
GTEX-12WSG-0526-SM-5FQTH 50-59 years, female 84021.4
GTEX-SNMC-0126-SM-2XCFO 20-29 years, male 83788.7
GTEX-16BQI-0926-SM-6M485 30-39 years, female 83530.3
GTEX-13O1R-1226-SM-5J1NU 60-69 years, male 83521.5
GTEX-12WSN-5001-SM-7DHMK 40-49 years, male 82509.8
GTEX-WYJK-1026-SM-3NM8W 50-59 years, male 82319.8
GTEX-N7MS-0826-SM-2HML4 60-69 years, male 82282.6
GTEX-1R9K5-1326-SM-E6CPR 50-59 years, male 81969.7
GTEX-XBED-0526-SM-47JY3 60-69 years, male 81495.0
GTEX-14PJ4-1126-SM-5YY91 60-69 years, male 81148.9
GTEX-ZV7C-0326-SM-57WB1 50-59 years, male 80698.2
GTEX-1QP2A-1126-SM-EVR3H 50-59 years, male 80389.6
GTEX-132QS-0426-SM-5KLZ6 60-69 years, male 80351.3
GTEX-WFG8-0626-SM-3GILJ 20-29 years, male 80005.5
GTEX-1122O-0826-SM-5GICV 60-69 years, female 79579.5
GTEX-1A3MX-1326-SM-72D58 60-69 years, male 79495.6
GTEX-12696-1126-SM-5FQTI 60-69 years, male 79298.3
GTEX-QEG4-0426-SM-33HC3 30-39 years, male 78916.2
GTEX-Y3IK-0826-SM-51MT8 50-59 years, female 78817.7
GTEX-1R9PO-0326-SM-DTXA1 60-69 years, female 78754.6
GTEX-146FR-0626-SM-5RQJ1 60-69 years, female 77971.3
GTEX-ZEX8-0426-SM-DO92Y 50-59 years, male 77618.9
GTEX-131XF-5001-SM-7DHLY 60-69 years, male 77281.7
GTEX-WH7G-0426-SM-3NMBJ 40-49 years, male 77269.4
GTEX-ZF2S-1026-SM-9QEGK 50-59 years, female 77094.9
GTEX-X15G-0426-SM-4PQZ6 50-59 years, female 76976.6
GTEX-SE5C-0626-SM-2XCDV 40-49 years, female 76935.9
GTEX-17HGU-1026-SM-79OKL 50-59 years, male 76912.6
GTEX-YB5K-0126-SM-5IFJ2 40-49 years, female 76472.0
GTEX-1CAMS-1326-SM-79OJR 40-49 years, female 76009.1
GTEX-OXRK-0826-SM-2HMK7 50-59 years, female 75914.2
GTEX-1IDJF-0726-SM-CJI1U 20-29 years, male 75797.1
GTEX-ZAJG-0826-SM-5PNVA 50-59 years, female 75335.9
GTEX-1CB4E-0526-SM-7MXTK 60-69 years, male 74331.1
GTEX-1AX9J-1026-SM-72D6E 60-69 years, male 74257.0
GTEX-1KD5A-1026-SM-CY8I8 50-59 years, male 73880.9
GTEX-ZAB5-0226-SM-5CVMH 50-59 years, male 73799.4
GTEX-1211K-0626-SM-5FQUZ 60-69 years, female 73487.0
GTEX-1IDJU-0726-SM-CNPQ9 60-69 years, female 73271.9
GTEX-ZZPU-0926-SM-5GZYT 50-59 years, female 73205.9
GTEX-1L5NE-0426-SM-E9TIX 50-59 years, male 72819.5
GTEX-132AR-2026-SM-5IJG4 50-59 years, female 72749.2
GTEX-1OKEX-0726-SM-DPRYE 60-69 years, male 72457.3
GTEX-1EMGI-1226-SM-793DD 60-69 years, male 72390.3
GTEX-S32W-0626-SM-2XCBG 50-59 years, female 71884.7
GTEX-O5YT-0326-SM-32PKA 20-29 years, male 71839.4
GTEX-15CHC-0426-SM-6LLHI 60-69 years, female 71620.2
GTEX-11ZUS-0226-SM-5FQT8 30-39 years, male 71401.7
GTEX-1GN73-2426-SM-7RHFQ 60-69 years, male 71378.2
GTEX-1H11D-1226-SM-9WPQ2 40-49 years, male 71157.9
GTEX-11TT1-1326-SM-5PNYM 20-29 years, male 70923.4
GTEX-14H4A-0626-SM-5ZZUT 40-49 years, female 70840.1
GTEX-QV44-0526-SM-2S1RE 50-59 years, male 69817.7
GTEX-11DXZ-0626-SM-5GU77 50-59 years, male 69471.8
GTEX-RU72-0326-SM-2TF5T 50-59 years, female 68312.5
GTEX-1IKOE-1026-SM-ARZMF 30-39 years, female 68252.7
GTEX-ZTPG-1226-SM-4YCDO 20-29 years, female 67798.0
GTEX-R55E-1026-SM-2TC5S 20-29 years, male 67367.6
GTEX-1CB4I-1626-SM-7RHGV 50-59 years, male 67213.8
GTEX-13S86-0226-SM-5S2PJ 40-49 years, male 66476.2
GTEX-13QBU-0426-SM-5J2O4 40-49 years, female 66341.6
GTEX-OIZI-0926-SM-E6CHF 40-49 years, male 66015.3
GTEX-18D9U-1126-SM-72D5Y 40-49 years, male 65777.3
GTEX-PWCY-0526-SM-5P9HG 20-29 years, female 65591.5
GTEX-13FH7-0926-SM-5J2MR 50-59 years, female 65532.1
GTEX-12WSK-0626-SM-5LZUJ 40-49 years, female 65396.5
GTEX-R53T-0926-SM-3GADH 50-59 years, female 65315.1
GTEX-14E1K-1026-SM-73KUR 50-59 years, male 64796.1
GTEX-1HCUA-0526-SM-A9SMH 50-59 years, female 64680.2
GTEX-17KNJ-0826-SM-793A4 50-59 years, male 64336.6
GTEX-1J8Q3-1226-SM-CKZPT 60-69 years, male 64262.7
GTEX-1LGRB-1126-SM-CNPP2 50-59 years, female 63880.8
GTEX-1IDJI-1026-SM-A96TE 50-59 years, female 63584.4
GTEX-13CF3-0726-SM-5J2MY 60-69 years, female 63470.7
GTEX-13112-0426-SM-5PNVC 50-59 years, male 63086.8
GTEX-1B8KE-0126-SM-793AM 50-59 years, male 62859.3
GTEX-T6MN-0926-SM-32PLX 50-59 years, male 62758.8
GTEX-UJMC-0526-SM-3GAE3 50-59 years, male 62402.9
GTEX-1JMQK-0626-SM-D4P2R 60-69 years, male 62365.9
GTEX-WY7C-0526-SM-3NB3D 50-59 years, male 61999.3
GTEX-1GZ4I-1026-SM-9KNV5 50-59 years, male 61618.1
GTEX-1GMR3-0326-SM-7P8QT 40-49 years, male 61354.1
GTEX-1CB4J-0326-SM-7PBZO 60-69 years, male 61306.6
GTEX-18D9B-1226-SM-72D6V 60-69 years, male 61124.0
GTEX-1RB15-0326-SM-E6CQB 60-69 years, male 60746.2
GTEX-RNOR-0826-SM-2TF5C 50-59 years, female 59899.4
GTEX-1RQEC-0926-SM-EWROG 60-69 years, male 59734.8
GTEX-13SLX-1026-SM-5ZZUQ 50-59 years, female 59220.1
GTEX-U4B1-0326-SM-3DB8K 40-49 years, male 58918.6
GTEX-ZPCL-0426-SM-DNZZ4 60-69 years, female 58831.1
GTEX-1K9T9-1126-SM-D3L9E 50-59 years, female 57586.4
GTEX-QDVN-0326-SM-2I3FS 50-59 years, male 56736.7
GTEX-1EU9M-1826-SM-7DUGU 60-69 years, male 56136.4
GTEX-1HSMQ-0226-SM-C1YQL 50-59 years, male 56131.3
GTEX-1QPFJ-1026-SM-E6CR6 30-39 years, female 56101.7
GTEX-15RIE-1726-SM-7KUMU 60-69 years, male 55789.2
GTEX-1MUQO-1226-SM-E9TJK 60-69 years, male 55529.6
GTEX-13OVL-0526-SM-5KLZQ 50-59 years, male 55333.8
GTEX-1B932-1026-SM-793CL 40-49 years, female 54688.6
GTEX-U3ZN-1426-SM-3DB87 30-39 years, female 54614.1
GTEX-146FH-1026-SM-5RQIF 50-59 years, female 53872.6
GTEX-WZTO-1326-SM-3NM8X 40-49 years, male 53597.6
GTEX-145MN-0626-SM-5QGRH 30-39 years, male 52374.2
GTEX-YF7O-0426-SM-5P9FS 50-59 years, male 52313.0
GTEX-11I78-0826-SM-5A5K4 50-59 years, female 52057.8
GTEX-1J8QM-0426-SM-AHZ3X 60-69 years, female 51581.4
GTEX-1AX8Z-5007-SM-AHZ36 60-69 years, male 51426.5
GTEX-1LC47-1026-SM-D3LAH 60-69 years, male 50623.9
GTEX-ZPIC-0826-SM-4WWFJ 40-49 years, female 50587.9
GTEX-13U4I-0826-SM-5SIBD 40-49 years, female 50241.9
GTEX-11EM3-0626-SM-5H12Z 20-29 years, female 50005.9
GTEX-1JJE9-1426-SM-ARL8P 70-79 years, male 49823.3
GTEX-18A67-1226-SM-7KFRS 50-59 years, male 48705.8
GTEX-SUCS-0326-SM-32PLL 70-79 years, male 48524.2
GTEX-13W3W-0426-SM-5SI9D 60-69 years, female 48486.0
GTEX-15EOM-5007-SM-793DG 20-29 years, female 47538.4
GTEX-1J8EW-0926-SM-A9G33 60-69 years, female 46207.6
GTEX-1GN1W-0326-SM-9JGHF 50-59 years, female 46012.0
GTEX-QEG5-0926-SM-2TC64 20-29 years, male 45695.9
GTEX-WHWD-0426-SM-3LK83 50-59 years, male 43734.2
GTEX-1LH75-0426-SM-E9TJF 50-59 years, female 43426.7
GTEX-132NY-1726-SM-5EGKK 60-69 years, male 43392.4
GTEX-1O9I2-1126-SM-DTXEA 50-59 years, male 42577.3
GTEX-1I6K7-0626-SM-ARL7Q 40-49 years, male 42304.0
GTEX-12WSC-1126-SM-5EQ4G 50-59 years, male 41851.9
GTEX-14A6H-0226-SM-5Q5DX 30-39 years, male 41073.0
GTEX-R55G-0526-SM-2TC5O 40-49 years, female 35816.3
GTEX-131XG-0626-SM-5GCMP 50-59 years, female 35656.7
GTEX-XV7Q-0826-SM-4BRV7 40-49 years, female 29486.3
GTEX-1POEN-0626-SM-EVR4B 30-39 years, female 27035.6
GTEX-P4QS-0326-SM-2I3EU 60-69 years, male 26095.0
GTEX-17GQL-0526-SM-72D5N 60-69 years, male 25730.5
GTEX-1GMRU-1526-SM-9WYT5 50-59 years, male 24465.3
GTEX-14PJM-1126-SM-6LLHK 50-59 years, female 23645.1
GTEX-14XAO-1126-SM-6EU11 60-69 years, female 23274.3
GTEX-1HSMO-1226-SM-CL548 60-69 years, male 12418.7
GTEX-17HII-1326-SM-7IGOB 50-59 years, male 10804.1
GTEX-18A66-1226-SM-7LT8G 60-69 years, male 9920.7
GTEX-1PPH7-2026-SM-E9J3N 40-49 years, male 5931.7
Show allShow less

Contact

  • NEWS ARTICLES
  • PRESS ROOM

The Project

  • INTRODUCTION
  • ORGANIZATION
  • PUBLICATIONS

The Human Protein Atlas

  • DOWNLOADABLE DATA
  • LICENCE & CITATION
  • HELP & FAQ
The Human Protein Atlas project is funded
by the Knut & Alice Wallenberg Foundation.


contact@proteinatlas.org