We use cookies to enhance the usability of our website. If you continue, we'll assume that you are happy to receive all cookies. More information. Don't show this again.
HLA-DRA
HPA
RESOURCES
  • TISSUE
  • BRAIN
  • SINGLE CELL
  • SUBCELLULAR
  • CANCER
  • BLOOD
  • CELL LINE
  • STRUCTURE & INTERACTION
ABOUT
  • INTRODUCTION
  • HISTORY
  • ORGANIZATION
  • PUBLICATIONS
  • ANTIBODY SUBMISSION
  • ANTIBODY AVAILABILITY
  • ACKNOWLEDGMENTS
  • CONTACT
NEWS
  • NEWS ARTICLES
  • PRESS ROOM
LEARN
  • DICTIONARY
  • PROTEIN CLASSES
  • PROTEIN EVIDENCE
  • METHODS
  • EDUCATIONAL VIDEOS
DATA
  • DOWNLOADABLE DATA
  • PUBLICATION DATA
  • RELEASE HISTORY
HELP
  • ANTIBODY VALIDATION
  • ASSAYS & ANNOTATION
  • DISCLAIMER
  • HELP & FAQ
  • PRIVACY STATEMENT
  • LICENCE & CITATION
Fields »
Search result

Field
Term
Gene name
Class
Subclass
Class
Keyword
Chromosome
External id
Tissue
Cell type
Expression
Antibody panel
Tissue
Main location
Patient ID
Annotation
Tissue
Category
Tau score
Cluster
Reliability
Brain region
Category
Tau score
Brain region
Category
Tau score
Brain region
Category
Tau score
Cluster
Reliability
Tissue
Cell type
Enrichment
Cell type
Category
Tau score
Cell type
Category
Tau score
Cell type
Category
Tau score
Cell lineage
Category
Tau score
Cluster
Cluster
Location
Searches
Location
Cell line
Class
Type
Phase
Reliability
Cancer
Prognosis
Cancer
Category
Cancer
Category
Tau score
Cluster
Variants
Interacting gene (ensg_id)
Type
Number of interactions
Pathway
Category
Score
Score
Score
Validation
Validation
Validation
Validation
Antibodies
Data type
Column


  • SUMMARY

  • TISSUE

  • BRAIN

  • SINGLE CELL

  • SUBCELL

  • CANCER

  • BLOOD

  • CELL LINE

  • STRUCT & INT

  • HLA-DRA
TISSUE PRIMARY DATA BREAST Show tissue menu
ADIPOSE TISSUE ADRENAL GLAND AMYGDALA APPENDIX BASAL GANGLIA BONE MARROW BREAST BRONCHUS CEREBELLUM CEREBRAL CORTEX CERVIX CHOROID PLEXUS COLON DUODENUM
ENDOMETRIUM EPIDIDYMIS ESOPHAGUS FALLOPIAN TUBE GALLBLADDER HEART MUSCLE HIPPOCAMPAL FORMATION HYPOTHALAMUS KIDNEY LIVER LUNG LYMPH NODE MIDBRAIN NASOPHARYNX
ORAL MUCOSA OVARY PANCREAS PARATHYROID GLAND PITUITARY GLAND PLACENTA PROSTATE RECTUM RETINA SALIVARY GLAND SEMINAL VESICLE SKELETAL MUSCLE SKIN SMALL INTESTINE
SMOOTH MUSCLE SOFT TISSUE SPINAL CORD SPLEEN STOMACH TESTIS THYMUS THYROID GLAND TONGUE TONSIL URINARY BLADDER VAGINA
ANTIBODIES
AND
VALIDATION
Dictionary
Breast
Tissue proteome
Breast
BREAST - Expression summary
Protein expression
Breasti

On the top, protein expression in current human tissue, based on all annotated cell types, is reported with the units not detected (n), low (l), medium (m) and high (h). Underneath, protein expression in each annotated cell type are reported using the same units.

Protein expression data is based on knowledge-based annotation. For genes where more than one antibody has been used, a collective score is set.

If knowledge-based annotation could not be performed for a gene, no data is displayed here. View antibody staining data further down this page.

h
m
l
n
Adipocytes: Not detected
Glandular cells: Not detected
Myoepithelial cells: High
RNA expressioni

A summary of mRNA expression data available for current tissue based on several datasets. The mRNA expression levels in human tissues are based on RNA-seq data generated by the Human Protein Atlas (HPA), Genotype-Tissue Expression (GTEx) portal and CAGE data generated by the FANTOM5 consortium. Consensus normalized expression levels for human tissues was created by combining the data from HPA and GTEx datasets.

The mRNA expression levels in pig are based on RNA-seq data generated by the Human Protein Atlas (HPA), and for mouse, HPA data and in situ hybridization generated by the Allen brain atlas are reported.

Scroll down to view mRNA expression data in more detail.
Consensus:358.5 nTPM
HPA:98.4 nTPM
GTEx:358.5 nTPM
FANTOM5:153.7 Scaled Tags Per Million

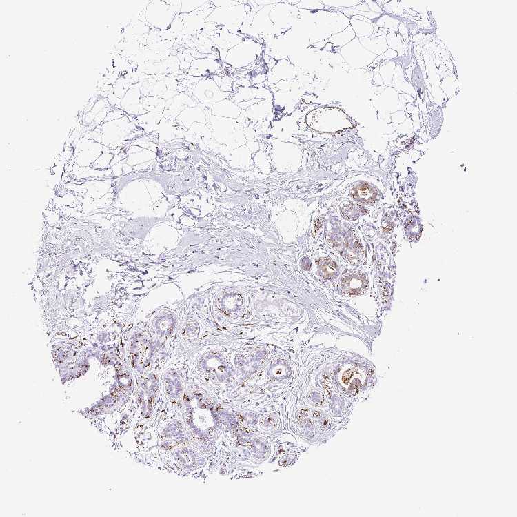
BREAST - Antibody stainingi

Antibody staining in the annotated cell types in the current human tissue is reported as not detected, low, medium, or high, based on conventional immunohistochemistry profiling in selected tissues. This score is based on the combination of the staining intensity and fraction of stained cells.

Each image is clickable and will lead to virtual microscopy that enables deeper exploration of all samples and also displays staining intensity scores, fraction scores and subcellular localization as well as patient and tissue information for each sample.

Antibody HPA050162Antibody HPA053176Antibody CAB002798Antibody CAB015402
Adipocytes Not detectedNot detectedNot detectedNot detected
Glandular cells Not detectedLowNot detectedLow
Myoepithelial cells HighHighHighHigh




BREAST - HPA RNA-seqi

The RNA-seq details section shows detailed information about the individual samples used for the transcript profiling and results of the RNA-seq analysis.

Information about each individual sample is listed below, including gender, age, a tissue section image and estimated fractions of cell types. nTPM (normalized transcripts per million) values give a quantification of the gene abundance which is comparable between different genes and samples.
Average nTPMi

Max subtype nTPM is the value for the subtype with the largest average nTPM across the subtype samples.

98.4
overview
Female, age 52
Breast sample 373
nTPM: 259.7
Cell types%
Glandular cells:
15

Adipocytes:
5

Other cell types:
80

overview
Female, age 80
Breast sample 390
nTPM: 0.5
Cell types%
Glandular cells:
5

Adipocytes:
15

Other cell types:
80

overview
Female, age 47
Breast sample 405
nTPM: 133.4
Cell types%
Glandular cells:
5

Adipocytes:
5

Other cell types:
90

overview
Female, age 38
Breast sample 410
nTPM: 0
Cell types%
Glandular cells:
40

Adipocytes:
5

Other cell types:
55


BREAST - GTEx RNA-seqi

RNA-Seq data generated by the Genotype-Tissue Expression (GTEx) project from human tissues is reported as mean nTPM. More information can be found on the GTEx portal.

Distribution across the dataset is visualized with box plots, shown as median and 25th and 75th percentiles. Points are displayed as outliers if they are above or below 1.5 times the interquartile range. nTPM values of the individual samples are presented next to the box plot.
Max subtype nTPMi

Max subtype nTPM is the value for the subtype with the largest average nTPM across the subtype samples.

358.5
GTEx sample id Sample description nTPM
Breast - Mammary Tissue
Average nTPM: 358.5
Samples: 459

Max nTPM: 1760.4
Min nTPM: 57.1
Std nTPM: 209.2
Median nTPM: 303.6
GTEX-1HCU8-0126-SM-ADEHH 60-69 years, female 1760.4
GTEX-1PPGY-1526-SM-EVYBK 60-69 years, male 1200.8
GTEX-15G19-2126-SM-6M48J 60-69 years, male 1193.7
GTEX-14753-2426-SM-5LU8U 60-69 years, male 1086.5
GTEX-11NV4-2026-SM-5N9DG 60-69 years, male 1058.4
GTEX-1H1ZS-0126-SM-9YFKQ 70-79 years, male 1012.1
GTEX-1LSNL-2826-SM-E9U5L 50-59 years, male 1003.8
GTEX-1IOXB-1926-SM-ARL8E 50-59 years, male 961.3
GTEX-117XS-1926-SM-5GICO 60-69 years, male 959.0
GTEX-13SLW-2526-SM-62LDQ 70-79 years, male 952.6
GTEX-13VXU-2826-SM-664MA 50-59 years, male 940.3
GTEX-11O72-2126-SM-5N9FO 40-49 years, male 867.9
GTEX-17MF6-0326-SM-7EPH5 40-49 years, male 855.9
GTEX-1IDJH-2226-SM-E6CJV 70-79 years, male 855.2
GTEX-S7SE-0826-SM-4AT4D 50-59 years, male 820.0
GTEX-13PVQ-1026-SM-5KM3M 50-59 years, male 807.0
GTEX-1KD4Q-2326-SM-D4P3M 40-49 years, male 799.8
GTEX-1H1DG-0526-SM-9YFLN 70-79 years, male 790.7
GTEX-1QEPI-0926-SM-DTXF3 60-69 years, female 789.1
GTEX-1EKGG-2626-SM-7IGPY 60-69 years, male 782.8
GTEX-17F97-2526-SM-7EWDV 50-59 years, male 771.1
GTEX-183WM-0726-SM-7LTAA 70-79 years, female 757.3
GTEX-YECK-0726-SM-EZ6LV 60-69 years, male 755.7
GTEX-1JN6P-2426-SM-ARL99 60-69 years, male 755.2
GTEX-18A6Q-0926-SM-7LG4N 60-69 years, male 752.3
GTEX-15SHW-1326-SM-6PAL8 60-69 years, male 741.9
GTEX-1M4P7-2626-SM-E9U5F 60-69 years, male 740.2
GTEX-WFON-1826-SM-3GILG 40-49 years, male 737.7
GTEX-1I1GV-2426-SM-CGQFM 60-69 years, male 731.4
GTEX-1313W-0826-SM-5EQ4T 50-59 years, female 724.4
GTEX-1IDJF-2326-SM-ARL86 20-29 years, male 723.4
GTEX-1IDFM-0426-SM-B2LVV 60-69 years, male 721.7
GTEX-18A66-1726-SM-7LG5N 60-69 years, male 714.3
GTEX-ZVZQ-0826-SM-51MRF 60-69 years, female 712.2
GTEX-1AX9I-0726-SM-73KWV 60-69 years, male 705.8
GTEX-16YQH-2826-SM-6PAMY 30-39 years, male 705.5
GTEX-17F9E-2526-SM-7MGW2 50-59 years, male 705.3
GTEX-1GF9V-2526-SM-7SB8K 60-69 years, male 701.6
GTEX-145MF-2226-SM-7EPIR 50-59 years, male 693.0
GTEX-1I1GP-0426-SM-COH3N 50-59 years, male 685.0
GTEX-11OF3-1926-SM-59889 60-69 years, male 684.5
GTEX-1H4P4-2226-SM-9MQKQ 50-59 years, male 682.6
GTEX-1NV8Z-2826-SM-E8VME 60-69 years, male 676.6
GTEX-1ICLY-1726-SM-B2LVT 50-59 years, male 666.4
GTEX-1A8G7-2426-SM-731AK 60-69 years, male 658.6
GTEX-1GZ4I-2826-SM-9MQK5 50-59 years, male 657.8
GTEX-169BO-1126-SM-7MGWN 50-59 years, male 655.9
GTEX-1HCU7-1026-SM-ADEIP 50-59 years, male 641.7
GTEX-13O3Q-2226-SM-5KM4O 50-59 years, male 636.5
GTEX-14B4R-1226-SM-5TDDT 30-39 years, male 628.4
GTEX-1QMI2-0726-SM-E9J4F 60-69 years, male 620.8
GTEX-1F75B-0626-SM-7SB8A 50-59 years, male 617.0
GTEX-1EWIQ-1726-SM-7SB7T 70-79 years, female 608.3
GTEX-ZF3C-2326-SM-5S2NC 50-59 years, female 601.6
GTEX-12WSM-1726-SM-5BC6J 60-69 years, male 600.4
GTEX-14ABY-2126-SM-5QGQZ 50-59 years, male 596.3
GTEX-TKQ2-1826-SM-33HB2 50-59 years, male 595.2
GTEX-1B933-2526-SM-7IGO5 50-59 years, female 593.3
GTEX-1IGQW-0926-SM-ADEH6 60-69 years, male 591.3
GTEX-11GSO-1926-SM-5A5K3 60-69 years, male 588.5
GTEX-1HR98-0426-SM-COH36 60-69 years, male 578.7
GTEX-1LSVX-2426-SM-E6CJX 60-69 years, male 577.4
GTEX-17EUY-1926-SM-7DUF6 20-29 years, male 568.1
GTEX-14PN4-0626-SM-62LFP 50-59 years, male 565.1
GTEX-XUZC-1626-SM-4BRVP 30-39 years, female 563.8
GTEX-1314G-1226-SM-5BC6D 30-39 years, male 559.1
GTEX-1E2YA-2726-SM-7IGPW 50-59 years, male 551.0
GTEX-1C6WA-2426-SM-7SB86 60-69 years, male 547.2
GTEX-11ZUS-0826-SM-5FQUY 30-39 years, male 546.7
GTEX-14E7W-0826-SM-62LEJ 70-79 years, male 546.6
GTEX-11DXW-0626-SM-5N9ER 40-49 years, male 541.5
GTEX-X62O-0526-SM-EWRMA 50-59 years, male 535.6
GTEX-1269C-2426-SM-5FQSN 60-69 years, female 534.2
GTEX-1B8SG-1226-SM-7IGPF 50-59 years, male 532.3
GTEX-1EU9M-2826-SM-7EWFH 60-69 years, male 530.4
GTEX-1GN2E-2226-SM-9WG6J 60-69 years, male 528.6
GTEX-1GMRU-0826-SM-9WYT7 50-59 years, male 528.2
GTEX-ZAJG-0626-SM-5HL8X 50-59 years, female 527.7
GTEX-1AMEY-1026-SM-718AA 30-39 years, female 526.7
GTEX-11WQC-1726-SM-5GU4W 60-69 years, male 526.5
GTEX-1HT8W-2226-SM-CGQEC 30-39 years, male 517.8
GTEX-11ONC-2126-SM-5HL6E 60-69 years, male 517.6
GTEX-ZUA1-1526-SM-59HLS 40-49 years, male 515.5
GTEX-15ETS-0626-SM-7KUMX 40-49 years, female 510.4
GTEX-14LLW-0626-SM-62LFC 70-79 years, female 507.2
GTEX-ZYFC-0826-SM-5E44K 50-59 years, male 505.4
GTEX-1ICLZ-0426-SM-B2LW2 60-69 years, male 502.0
GTEX-13OW5-2226-SM-5L3HC 60-69 years, male 501.1
GTEX-139TU-0626-SM-5KM3X 60-69 years, male 498.9
GTEX-1RLM8-2226-SM-EVYD1 50-59 years, male 498.7
GTEX-1RAZS-1226-SM-E8VMT 50-59 years, male 495.8
GTEX-1GZHY-0726-SM-9WG6B 50-59 years, female 495.5
GTEX-ZGAY-1726-SM-DO91P 40-49 years, female 485.9
GTEX-1R9JW-0326-SM-EAZ45 30-39 years, female 484.6
GTEX-14BMV-0626-SM-793AU 50-59 years, male 483.6
GTEX-1N2EF-2226-SM-E9J33 60-69 years, male 481.3
GTEX-13QIC-2326-SM-5LU5N 60-69 years, female 480.3
GTEX-1MA7X-1626-SM-E9U5B 60-69 years, male 477.5
GTEX-WHSB-1926-SM-EXOHH 50-59 years, male 476.9
GTEX-1B8KE-1226-SM-73KWK 50-59 years, male 474.7
GTEX-T2YK-2226-SM-32QPT 50-59 years, male 473.2
GTEX-1C6VS-0726-SM-7EPHF 60-69 years, male 472.1
GTEX-13N1W-0626-SM-5MR4U 70-79 years, male 471.8
GTEX-15RJE-2626-SM-7KFT1 40-49 years, male 471.3
GTEX-144GL-2026-SM-5LU3O 50-59 years, male 469.8
GTEX-13FTX-1126-SM-5N9EN 20-29 years, female 469.1
GTEX-U8XE-0826-SM-4E3J1 30-39 years, male 466.4
GTEX-ZVT4-1026-SM-57WC4 50-59 years, female 466.2
GTEX-132NY-0826-SM-5K7Y7 60-69 years, male 463.0
GTEX-ZQUD-1926-SM-51MSA 30-39 years, male 463.0
GTEX-11DXY-2326-SM-5GICW 60-69 years, male 462.4
GTEX-14E6C-1326-SM-62LEQ 40-49 years, male 462.1
GTEX-17EVP-0226-SM-79OND 40-49 years, male 457.3
GTEX-Y111-2026-SM-4SOJA 50-59 years, male 454.9
GTEX-VJWN-0726-SM-3GIJ8 50-59 years, female 450.6
GTEX-UPK5-2326-SM-3P5Z8 40-49 years, male 449.9
GTEX-1192X-2326-SM-5987X 50-59 years, male 443.3
GTEX-13OW8-0226-SM-5K7UP 60-69 years, male 441.1
GTEX-1K9T9-1426-SM-DIPFQ 50-59 years, female 437.7
GTEX-1LBAC-0926-SM-CXKY9 20-29 years, male 437.0
GTEX-ZC5H-2626-SM-5J2MG 40-49 years, female 436.7
GTEX-1NUQO-2226-SM-E9U68 20-29 years, female 436.0
GTEX-17MFQ-0926-SM-7LG4S 20-29 years, male 433.4
GTEX-1JJE9-2326-SM-ARL8Q 70-79 years, male 431.5
GTEX-ZYT6-0126-SM-5E45J 30-39 years, male 429.1
GTEX-1EN7A-1426-SM-7PBY4 40-49 years, male 428.5
GTEX-XMD2-0926-SM-4WWEF 60-69 years, female 427.0
GTEX-PSDG-1626-SM-48TCQ 50-59 years, male 426.9
GTEX-1JMLX-2026-SM-CMKGN 50-59 years, male 426.4
GTEX-1N2EE-2126-SM-E8VNN 60-69 years, male 426.0
GTEX-13S86-1226-SM-5S2OA 40-49 years, male 421.5
GTEX-1IE54-0626-SM-ARL8D 40-49 years, female 420.5
GTEX-1JN1M-3026-SM-CMKGK 60-69 years, female 417.1
GTEX-XV7Q-2326-SM-4BRVZ 40-49 years, female 417.0
GTEX-145LT-0726-SM-5S2VM 40-49 years, male 416.7
GTEX-Y8E4-1626-SM-5S2MW 40-49 years, male 416.0
GTEX-1I1HK-2426-SM-ADEHX 60-69 years, male 415.8
GTEX-14DAR-1326-SM-7DUEG 50-59 years, male 415.5
GTEX-1A3MV-1626-SM-731C1 30-39 years, male 413.5
GTEX-W5X1-2326-SM-3GIL6 40-49 years, female 413.3
GTEX-1KAFJ-0226-SM-DIPEL 50-59 years, male 411.0
GTEX-S33H-0326-SM-4AD6N 30-39 years, male 409.8
GTEX-1B932-0826-SM-73KXG 40-49 years, female 404.9
GTEX-1H1CY-2226-SM-9WG7E 60-69 years, female 404.8
GTEX-1R9PM-1826-SM-EVYBH 20-29 years, male 402.8
GTEX-15FZZ-0726-SM-7KUFZ 30-39 years, female 402.6
GTEX-14ICK-2426-SM-6EU27 40-49 years, male 402.4
GTEX-17HGU-1326-SM-79OKB 50-59 years, male 401.2
GTEX-17F96-2426-SM-7IGLN 70-79 years, male 397.8
GTEX-1F75A-1826-SM-7SB8G 50-59 years, male 397.6
GTEX-1H3VY-0926-SM-ACKXE 50-59 years, male 396.1
GTEX-13QJ3-0826-SM-7DHKK 50-59 years, male 394.4
GTEX-Y3IK-2326-SM-4WWDT 50-59 years, female 392.6
GTEX-139T6-1626-SM-5PNYZ 50-59 years, male 391.4
GTEX-13FHO-0826-SM-5L3E8 60-69 years, male 389.0
GTEX-12KS4-0126-SM-5Q5A5 30-39 years, male 387.7
GTEX-1B8KZ-1526-SM-7DUG7 50-59 years, male 386.1
GTEX-YEC3-1026-SM-5IFI5 50-59 years, male 385.6
GTEX-ZTPG-2826-SM-57WGA 20-29 years, female 382.6
GTEX-TML8-1226-SM-32QON 40-49 years, female 380.1
GTEX-ZVT2-1826-SM-5NQ8W 50-59 years, female 380.1
GTEX-1PPH7-0826-SM-E8VNX 40-49 years, male 377.8
GTEX-147F4-2826-SM-5NQBN 50-59 years, male 377.6
GTEX-11EI6-0626-SM-5985T 60-69 years, male 377.3
GTEX-ZDTT-2126-SM-DKPOM 60-69 years, male 374.1
GTEX-ZTTD-1026-SM-51MRD 50-59 years, male 370.2
GTEX-1HBPM-0126-SM-ARL9E 60-69 years, female 369.8
GTEX-S4UY-0726-SM-4AD6X 40-49 years, female 369.3
GTEX-1KXAM-1026-SM-CY8IA 60-69 years, male 369.0
GTEX-1R46S-2526-SM-E8VN2 60-69 years, female 366.8
GTEX-1IKOH-2326-SM-CM2TW 60-69 years, female 365.4
GTEX-RU72-0626-SM-46MUI 50-59 years, female 363.5
GTEX-QVJO-1826-SM-447C9 60-69 years, female 361.7
GTEX-1H11D-1526-SM-9MQJY 40-49 years, male 359.6
GTEX-ZVE2-1226-SM-5NQ8R 50-59 years, male 357.6
GTEX-1KD5A-1926-SM-DKPQA 50-59 years, male 354.6
GTEX-17HHY-0926-SM-793C1 50-59 years, male 353.8
GTEX-1CB4G-2326-SM-79OOI 60-69 years, male 353.8
GTEX-ZZ64-1226-SM-5E43R 20-29 years, male 352.6
GTEX-1JJEA-2726-SM-ARL8V 60-69 years, male 352.6
GTEX-ZWKS-2826-SM-5NQ74 30-39 years, male 351.6
GTEX-1BAJH-0826-SM-7EWEF 70-79 years, male 350.2
GTEX-XMD1-0826-SM-4AT52 60-69 years, male 350.1
GTEX-Y9LG-1426-SM-5IFJZ 30-39 years, male 348.8
GTEX-1MJK2-2226-SM-EVYCR 50-59 years, male 347.3
GTEX-WRHU-0326-SM-3MJFY 50-59 years, female 346.2
GTEX-YB5E-1726-SM-5IFJ3 40-49 years, male 345.2
GTEX-1AX9J-1126-SM-731B7 60-69 years, male 343.8
GTEX-ZQG8-0726-SM-5P9H9 60-69 years, female 342.8
GTEX-13O3P-0826-SM-5L3DH 50-59 years, male 341.5
GTEX-1JMOU-2026-SM-CMKGU 60-69 years, female 340.4
GTEX-13O3O-0826-SM-5K7WE 60-69 years, female 340.0
GTEX-13113-5013-SM-7SB7G 60-69 years, female 339.4
GTEX-1GPI7-0926-SM-7PC3J 20-29 years, male 339.1
GTEX-13FTY-2226-SM-5J1ND 40-49 years, female 338.4
GTEX-1S82U-1126-SM-E9U6I 30-39 years, female 337.6
GTEX-YJ8O-2226-SM-5IFHW 40-49 years, female 335.7
GTEX-11NSD-0926-SM-5N9DR 20-29 years, male 334.9
GTEX-1IDJE-0826-SM-CKZNZ 50-59 years, female 332.6
GTEX-17JCI-0726-SM-7EPH1 60-69 years, female 331.6
GTEX-1P4AB-1826-SM-E76PU 50-59 years, male 330.5
GTEX-14A5I-0726-SM-5TDEB 50-59 years, female 329.6
GTEX-Z9EW-1526-SM-EZ6LU 40-49 years, male 328.3
GTEX-14AS3-1626-SM-5S2OY 40-49 years, female 328.0
GTEX-12BJ1-1826-SM-5HL9N 60-69 years, male 326.9
GTEX-1IY9M-2726-SM-CMKG5 60-69 years, male 326.9
GTEX-1JMQK-2626-SM-COH2W 60-69 years, male 326.6
GTEX-1HUB1-1626-SM-CM2SL 60-69 years, male 326.0
GTEX-12WSN-1326-SM-5GCNT 40-49 years, male 325.9
GTEX-Y5V5-2126-SM-4WWFO 60-69 years, female 324.9
GTEX-S32W-2026-SM-4AD6E 50-59 years, female 320.6
GTEX-1QP28-1226-SM-E9J2M 50-59 years, female 320.4
GTEX-1HBPN-2326-SM-9WPPU 50-59 years, male 318.7
GTEX-1JMPZ-1626-SM-COH31 30-39 years, male 318.7
GTEX-1K2DA-1726-SM-CGQGS 50-59 years, male 317.6
GTEX-1QP29-1726-SM-E8VMQ 50-59 years, male 317.1
GTEX-16BQI-1026-SM-7KUEA 30-39 years, female 314.5
GTEX-1I1GT-1126-SM-ARL7J 60-69 years, female 312.5
GTEX-1IKJJ-2326-SM-COH3U 60-69 years, male 312.5
GTEX-ZLV1-1426-SM-DO92Z 60-69 years, female 312.4
GTEX-WYBS-0926-SM-3NM94 60-69 years, female 309.8
GTEX-1C475-1226-SM-7SB72 40-49 years, female 309.8
GTEX-13W46-0826-SM-5LU3H 50-59 years, male 308.4
GTEX-1I19N-2826-SM-CL55D 70-79 years, male 308.1
GTEX-1LC47-1226-SM-D4P44 60-69 years, male 308.1
GTEX-1C6VQ-0426-SM-79OOX 50-59 years, male 307.7
GTEX-R55D-0826-SM-48FEA 50-59 years, male 307.6
GTEX-X4EP-2926-SM-3P5YQ 60-69 years, female 305.8
GTEX-18A7A-0726-SM-7LTAI 50-59 years, female 304.7
GTEX-11EQ9-1826-SM-5Q5AJ 30-39 years, male 303.6
GTEX-1399U-1826-SM-5PNZ1 50-59 years, female 303.0
GTEX-13NZ9-1026-SM-5MR5K 50-59 years, male 301.8
GTEX-ZT9W-2026-SM-51MRA 50-59 years, male 300.6
GTEX-17KNJ-2026-SM-7LG53 50-59 years, male 299.2
GTEX-11PRG-0826-SM-5EQ6A 50-59 years, male 297.5
GTEX-18465-2026-SM-718AP 50-59 years, male 296.9
GTEX-17EVQ-0426-SM-7LG57 70-79 years, male 296.2
GTEX-1CB4J-1826-SM-7EWF9 60-69 years, male 296.0
GTEX-1F5PL-1026-SM-7RHI1 40-49 years, female 295.3
GTEX-145MN-1926-SM-5SIAI 30-39 years, male 294.4
GTEX-T2IS-1526-SM-32QPR 20-29 years, female 294.3
GTEX-13O61-1826-SM-5KM4I 60-69 years, male 294.1
GTEX-XQ8I-2426-SM-4WAXY 50-59 years, male 293.8
GTEX-11P81-1926-SM-5BC53 30-39 years, female 291.1
GTEX-131XW-0726-SM-5EGK3 50-59 years, female 290.8
GTEX-13NZB-2126-SM-5MR4Y 30-39 years, male 290.8
GTEX-Q2AG-0326-SM-48U1O 40-49 years, female 290.1
GTEX-1CB4E-0226-SM-79OLW 60-69 years, male 289.3
GTEX-18D9A-1526-SM-7LG4J 30-39 years, female 289.2
GTEX-1GPI6-0626-SM-7RHHJ 60-69 years, male 288.8
GTEX-1F6I4-2526-SM-7SB8F 60-69 years, male 288.6
GTEX-144GM-0926-SM-5O994 20-29 years, male 287.8
GTEX-ZF2S-2026-SM-5E461 50-59 years, female 286.8
GTEX-146FH-0826-SM-5SI8T 50-59 years, female 286.7
GTEX-ZA64-1526-SM-5CVMD 20-29 years, male 286.3
GTEX-13FTW-1426-SM-5LZWZ 40-49 years, male 286.0
GTEX-Y8LW-1626-SM-5IFHX 50-59 years, female 283.9
GTEX-U3ZH-1426-SM-4DXSR 30-39 years, male 283.2
GTEX-1JKYN-0726-SM-ARZMY 30-39 years, male 280.9
GTEX-11TUW-1826-SM-5BC5D 60-69 years, male 280.7
GTEX-ZV6S-1826-SM-5NQ8D 40-49 years, female 279.0
GTEX-WOFL-0826-SM-3MJG1 60-69 years, male 277.8
GTEX-ZV7C-1826-SM-5NQ83 50-59 years, male 277.0
GTEX-1PDJ9-1126-SM-EXUSW 20-29 years, male 273.4
GTEX-QMRM-1626-SM-D4P1U 50-59 years, male 273.0
GTEX-XBED-1626-SM-47JYN 60-69 years, male 272.5
GTEX-1B8L1-2426-SM-9WYTE 60-69 years, male 271.5
GTEX-145MO-0826-SM-5NQBL 60-69 years, male 271.4
GTEX-ZAB4-2526-SM-5HL8M 40-49 years, male 271.2
GTEX-ZYW4-0826-SM-5GIDG 60-69 years, male 270.8
GTEX-14H4A-2526-SM-5YYAY 40-49 years, female 270.6
GTEX-12WSK-2226-SM-5GCO5 40-49 years, female 268.3
GTEX-ZZPU-0626-SM-5E43T 50-59 years, female 268.1
GTEX-1J8QM-2026-SM-ARZMW 60-69 years, female 266.6
GTEX-183FY-1126-SM-7DHLJ 20-29 years, male 263.7
GTEX-1JK1U-1826-SM-ARL8W 60-69 years, male 262.9
GTEX-1M5QR-2526-SM-E9U5P 40-49 years, male 262.9
GTEX-XMK1-1126-SM-4IHJ8 40-49 years, male 260.5
GTEX-1J8Q2-2726-SM-A9G2X 60-69 years, male 260.2
GTEX-WFG8-2026-SM-EXOHO 20-29 years, male 260.0
GTEX-1HCVE-2626-SM-ADEJ8 50-59 years, male 258.2
GTEX-11EM3-1326-SM-5N9C6 20-29 years, female 258.1
GTEX-13CF2-2026-SM-5K7VI 60-69 years, male 257.0
GTEX-132Q8-1426-SM-5EGK7 60-69 years, male 256.5
GTEX-18A7B-2626-SM-7LG55 70-79 years, male 255.1
GTEX-13SLX-2326-SM-5ZZWE 50-59 years, female 254.7
GTEX-1HC8U-0826-SM-ADEIL 40-49 years, female 254.0
GTEX-13PL6-2926-SM-5L3I2 40-49 years, female 252.0
GTEX-1I6K6-0826-SM-ARL7Z 30-39 years, male 250.1
GTEX-14PJ4-2126-SM-6ETZJ 60-69 years, male 249.9
GTEX-1RQEC-2026-SM-DTXDM 60-69 years, male 249.4
GTEX-12ZZX-1126-SM-5EGKB 40-49 years, female 248.1
GTEX-15UF6-0126-SM-6PAMB 70-79 years, female 247.6
GTEX-1MA7W-1026-SM-DKPQK 20-29 years, female 247.1
GTEX-XUW1-2326-SM-4BOO5 50-59 years, female 244.5
GTEX-1QW4Y-1026-SM-DTXE2 30-39 years, male 244.5
GTEX-1S82Z-0726-SM-E6CHX 30-39 years, female 243.4
GTEX-1IKOE-1326-SM-CE6T6 30-39 years, female 242.6
GTEX-1211K-1926-SM-5EQLB 60-69 years, female 242.2
GTEX-ZEX8-2226-SM-57WC6 50-59 years, male 242.2
GTEX-1LG7Z-0726-SM-CXKYD 30-39 years, male 242.1
GTEX-1AX8Z-0926-SM-731AW 60-69 years, male 241.2
GTEX-11GSP-0926-SM-9WYSG 60-69 years, female 240.8
GTEX-1GF9U-1726-SM-7MGY5 40-49 years, female 240.6
GTEX-1GF9X-1026-SM-ACKX2 40-49 years, female 240.4
GTEX-Y5V6-2126-SM-4WWFX 60-69 years, male 238.7
GTEX-17GQL-0326-SM-7LG5U 60-69 years, male 237.3
GTEX-1GMR8-0726-SM-9KNVI 50-59 years, female 236.7
GTEX-YFCO-1826-SM-4W1YH 40-49 years, male 236.4
GTEX-QEL4-2126-SM-447AE 50-59 years, male 235.2
GTEX-1J8EW-2626-SM-CL53E 60-69 years, female 234.4
GTEX-QDT8-0626-SM-48TYW 30-39 years, female 234.1
GTEX-XOT4-0726-SM-4GIAW 60-69 years, female 232.3
GTEX-1LGRB-1826-SM-CNPQL 50-59 years, female 232.0
GTEX-QEG5-0726-SM-D4P1T 20-29 years, male 231.5
GTEX-11DZ1-0326-SM-5N9BN 50-59 years, male 229.9
GTEX-1GMR3-2626-SM-7RHHG 40-49 years, male 229.8
GTEX-1JKYR-0926-SM-CMKGJ 20-29 years, male 229.7
GTEX-145ME-1526-SM-5Q5F2 40-49 years, female 229.6
GTEX-11GS4-2126-SM-5A5KR 60-69 years, male 228.2
GTEX-17HHE-1426-SM-7EPH4 50-59 years, male 227.7
GTEX-1HR9M-2426-SM-ACKXI 60-69 years, male 227.7
GTEX-11LCK-2426-SM-5HL5F 30-39 years, male 227.6
GTEX-ZU9S-1926-SM-5NQBP 30-39 years, male 227.0
GTEX-TMMY-0726-SM-33HBE 40-49 years, female 226.2
GTEX-ZDYS-1126-SM-5K7UB 50-59 years, male 226.1
GTEX-1QP9N-1826-SM-E8VMP 30-39 years, male 225.9
GTEX-R3RS-0626-SM-48FE1 40-49 years, female 223.2
GTEX-WI4N-1426-SM-3LK7H 40-49 years, female 222.8
GTEX-Y3I4-1526-SM-4TT7K 50-59 years, male 222.5
GTEX-X4XY-0926-SM-4E3JD 60-69 years, male 220.9
GTEX-ZAK1-1326-SM-EVYAS 50-59 years, female 220.5
GTEX-13N11-1726-SM-5J1OJ 50-59 years, female 219.8
GTEX-ZF29-1926-SM-5S2P1 60-69 years, female 219.5
GTEX-XYKS-1326-SM-4BRUN 60-69 years, female 217.1
GTEX-T5JC-2126-SM-32PMO 20-29 years, male 216.5
GTEX-XQ3S-1326-SM-4BOPQ 20-29 years, male 216.3
GTEX-1HKZK-1826-SM-ADEJ2 40-49 years, male 215.8
GTEX-1HSKV-2026-SM-CMKGX 60-69 years, male 215.8
GTEX-RU1J-0626-SM-4WAWY 20-29 years, female 215.3
GTEX-UJHI-1426-SM-3DB9C 50-59 years, female 214.7
GTEX-13CF3-2126-SM-5IFJP 60-69 years, female 214.4
GTEX-1HCUA-0726-SM-ACKVU 50-59 years, female 212.8
GTEX-1J8Q3-1326-SM-CMKI1 60-69 years, male 212.7
GTEX-1HSEH-2026-SM-ADEHN 60-69 years, male 212.5
GTEX-U3ZN-1926-SM-4DXSG 30-39 years, female 210.8
GTEX-X15G-1626-SM-3NMB3 50-59 years, female 210.7
GTEX-ZY6K-1626-SM-5GZWV 50-59 years, male 209.8
GTEX-132AR-0826-SM-5EGK6 50-59 years, female 209.6
GTEX-1POEN-0926-SM-DTX88 30-39 years, female 209.3
GTEX-131YS-0626-SM-5EGKL 60-69 years, female 206.9
GTEX-ZTX8-1226-SM-4YCE9 20-29 years, male 206.6
GTEX-14E6E-1326-SM-5S2NR 30-39 years, male 205.7
GTEX-11ZTT-2326-SM-5EQLG 60-69 years, female 205.1
GTEX-TKQ1-0226-SM-33HB5 30-39 years, male 204.9
GTEX-WYJK-1326-SM-3NB2T 50-59 years, male 204.8
GTEX-11DXZ-1926-SM-5GZZL 50-59 years, male 204.4
GTEX-15UF7-0726-SM-6M46D 40-49 years, male 203.9
GTEX-WYVS-1726-SM-3NMAY 40-49 years, female 203.7
GTEX-1KANA-2026-SM-DIPFB 20-29 years, male 202.8
GTEX-1MJK3-1126-SM-E9J3F 20-29 years, male 200.2
GTEX-WXYG-2226-SM-4E3IM 50-59 years, female 200.0
GTEX-R53T-1526-SM-48FEK 50-59 years, female 199.4
GTEX-U412-1826-SM-4DXTJ 60-69 years, male 199.4
GTEX-1HCU9-0326-SM-9WYSC 20-29 years, male 198.8
GTEX-ZLWG-1926-SM-DO92J 50-59 years, female 198.1
GTEX-18QFQ-0826-SM-718AX 30-39 years, male 197.8
GTEX-1I6K7-1026-SM-A9SLK 40-49 years, male 196.6
GTEX-13PVR-2226-SM-7DHKP 60-69 years, female 196.2
GTEX-1QPFJ-2026-SM-EVYBE 30-39 years, female 195.5
GTEX-ZVTK-0326-SM-51MRR 20-29 years, male 195.4
GTEX-1N5O9-1126-SM-DTXEQ 60-69 years, male 195.4
GTEX-1OKEX-0826-SM-E9J2B 60-69 years, male 194.8
GTEX-111YS-1926-SM-5GICC 60-69 years, male 193.4
GTEX-1122O-1226-SM-5H113 60-69 years, female 192.8
GTEX-14PHY-1926-SM-5YY95 60-69 years, female 192.6
GTEX-133LE-1726-SM-5K7VQ 20-29 years, female 191.5
GTEX-1QCLZ-2326-SM-DTXDO 60-69 years, female 191.3
GTEX-1MCYP-0126-SM-E6CIS 20-29 years, female 188.7
GTEX-11TT1-2126-SM-5GU5Y 20-29 years, male 187.5
GTEX-15ER7-1626-SM-6PAMZ 20-29 years, female 184.6
GTEX-ZDXO-0126-SM-5S2ND 60-69 years, male 184.0
GTEX-ZXES-0826-SM-5E43C 30-39 years, female 183.6
GTEX-1MCC2-2126-SM-EWRON 30-39 years, female 183.2
GTEX-1H1E6-0926-SM-9YFLT 30-39 years, male 183.0
GTEX-117YX-1426-SM-5H12H 50-59 years, male 182.1
GTEX-1GZ4H-0326-SM-7P8QX 50-59 years, female 181.9
GTEX-RWS6-1926-SM-47JXY 60-69 years, female 180.8
GTEX-139T8-0826-SM-5L3DE 60-69 years, male 180.5
GTEX-17HG3-0126-SM-7IGNH 30-39 years, female 180.3
GTEX-14BMU-1626-SM-5TDE7 20-29 years, female 180.1
GTEX-1HSGN-1526-SM-A9SMO 40-49 years, female 180.0
GTEX-1GN1U-0526-SM-9KNTT 50-59 years, female 179.6
GTEX-1I4MK-1626-SM-CM2TJ 50-59 years, female 179.1
GTEX-Y114-2026-SM-4TT7L 50-59 years, female 177.0
GTEX-RUSQ-2026-SM-4GIAK 50-59 years, male 176.2
GTEX-T6MN-0726-SM-32PML 50-59 years, male 175.8
GTEX-1IDJU-1826-SM-CMKHV 60-69 years, female 175.8
GTEX-S4Q7-1126-SM-4AD6R 20-29 years, male 172.3
GTEX-1JMPY-0526-SM-CL54O 30-39 years, male 172.2
GTEX-1KANC-1426-SM-CYPT9 50-59 years, female 171.3
GTEX-1R7EU-1226-SM-E8VMR 60-69 years, male 171.3
GTEX-ZPIC-1126-SM-5BC7F 40-49 years, female 169.2
GTEX-S4P3-1326-SM-4AD6V 50-59 years, female 167.0
GTEX-11P7K-0726-SM-5EGKX 30-39 years, male 165.5
GTEX-13D11-1026-SM-5IJFB 50-59 years, female 165.3
GTEX-VUSG-2226-SM-4KKZO 50-59 years, male 162.5
GTEX-16NGA-0826-SM-718AF 40-49 years, female 162.3
GTEX-1C64O-0726-SM-7DUFU 60-69 years, male 160.9
GTEX-1HFI7-0126-SM-CGQFQ 50-59 years, female 159.4
GTEX-YFC4-1426-SM-5IFJG 40-49 years, female 158.4
GTEX-13NZ8-0126-SM-5IJCT 60-69 years, female 157.9
GTEX-1R7EV-1526-SM-E8VOD 40-49 years, male 157.7
GTEX-1R9PN-0326-SM-DTX85 40-49 years, female 156.4
GTEX-WY7C-2726-SM-3NB3P 50-59 years, male 156.2
GTEX-1B97I-0426-SM-79OL7 40-49 years, male 155.9
GTEX-1CAMS-1426-SM-7IGPM 40-49 years, female 155.9
GTEX-YB5K-1626-SM-5IFIN 40-49 years, female 155.4
GTEX-V955-2026-SM-3GAFA 60-69 years, male 153.2
GTEX-14PKU-0426-SM-6EU1P 40-49 years, female 152.8
GTEX-UTHO-1026-SM-3GAF7 60-69 years, male 152.8
GTEX-1RAZQ-1226-SM-EWRNL 30-39 years, male 152.8
GTEX-1HSMO-0826-SM-ADEIV 60-69 years, male 152.2
GTEX-Y5LM-1726-SM-4VDSX 40-49 years, female 152.1
GTEX-17F98-0526-SM-79OK5 40-49 years, female 150.2
GTEX-XGQ4-0926-SM-4AT4U 50-59 years, male 149.8
GTEX-1LSNM-1326-SM-E9TJ1 50-59 years, male 148.1
GTEX-1F5PK-2126-SM-7PC28 50-59 years, male 145.4
GTEX-T6MO-0326-SM-32QOK 40-49 years, female 141.2
GTEX-1I1GU-1026-SM-ADEHJ 40-49 years, male 140.4
GTEX-1LVAM-0926-SM-E9TJ2 50-59 years, female 139.2
GTEX-1LNCM-0226-SM-DIPF4 50-59 years, female 138.9
GTEX-1H23P-0726-SM-9WG7K 60-69 years, male 137.1
GTEX-1GN1W-1926-SM-7P8TH 50-59 years, female 136.4
GTEX-13W3W-1226-SM-5LU4H 60-69 years, female 135.2
GTEX-11WQK-2426-SM-5GU5C 50-59 years, male 129.5
GTEX-1F75I-2026-SM-7SB7N 40-49 years, male 127.9
GTEX-ZLFU-2126-SM-DO931 40-49 years, male 125.5
GTEX-1NHNU-0926-SM-E9J2T 50-59 years, male 124.2
GTEX-1GZ2Q-2626-SM-7MXV9 40-49 years, male 124.0
GTEX-X261-0626-SM-3NMD9 50-59 years, male 121.6
GTEX-11EMC-2026-SM-5A5JV 60-69 years, female 120.4
GTEX-1A3MX-2726-SM-718B6 60-69 years, male 120.1
GTEX-1ICG6-1326-SM-ACKWR 70-79 years, female 119.0
GTEX-SE5C-2126-SM-4BRUJ 40-49 years, female 115.0
GTEX-1CAMR-1426-SM-793BO 20-29 years, male 114.8
GTEX-14PJO-0726-SM-69LO8 60-69 years, male 111.6
GTEX-1QCLY-1626-SM-DTXDW 30-39 years, male 109.0
GTEX-REY6-2426-SM-48FF5 60-69 years, male 108.3
GTEX-1L5NE-2126-SM-CY8IH 50-59 years, male 106.5
GTEX-1LVAN-1326-SM-CNPQE 50-59 years, female 105.8
GTEX-1GMR2-1926-SM-9MQLZ 50-59 years, male 101.9
GTEX-15EOM-5019-SM-793DK 20-29 years, female 100.7
GTEX-S341-1526-SM-4AD6K 40-49 years, female 98.9
GTEX-11P82-1326-SM-5HL62 20-29 years, male 89.3
GTEX-T5JW-2026-SM-4DM63 20-29 years, female 80.0
GTEX-11I78-2226-SM-5PNYA 50-59 years, female 77.5
GTEX-1B97J-0426-SM-79OLQ 50-59 years, female 74.2
GTEX-1117F-2826-SM-5GZXL 60-69 years, female 57.1
Show allShow less

BREAST - FANTOM5 CAGEi

RNA expression in human tissues obtained through Cap Analysis of Gene Expression (CAGE) generated by the FANTOM5 project are reported as Scaled Tags Per Million.

Max subtype Scaled Tags Per Millioni

Max subtype Scaled Tags Per Million is the value for the subtype with the largest average Scaled Tags Per Million across the subtype samples.

153.7
FANTOM5 sample id Sample description Scaled Tags Per Million
Breast
Scaled Tags Per Million: 153.7
FF:10080-102A8 77 years, female 153.7

Contact

  • NEWS ARTICLES
  • PRESS ROOM

The Project

  • INTRODUCTION
  • ORGANIZATION
  • PUBLICATIONS

The Human Protein Atlas

  • DOWNLOADABLE DATA
  • LICENCE & CITATION
  • HELP & FAQ
The Human Protein Atlas project is funded
by the Knut & Alice Wallenberg Foundation.


contact@proteinatlas.org