We use cookies to enhance the usability of our website. If you continue, we'll assume that you are happy to receive all cookies. More information. Don't show this again.
HLA-DRA
HPA
RESOURCES
  • TISSUE
  • BRAIN
  • SINGLE CELL
  • SUBCELLULAR
  • CANCER
  • BLOOD
  • CELL LINE
  • STRUCTURE & INTERACTION
ABOUT
  • INTRODUCTION
  • HISTORY
  • ORGANIZATION
  • PUBLICATIONS
  • ANTIBODY SUBMISSION
  • ANTIBODY AVAILABILITY
  • ACKNOWLEDGMENTS
  • CONTACT
NEWS
  • NEWS ARTICLES
  • PRESS ROOM
LEARN
  • DICTIONARY
  • PROTEIN CLASSES
  • PROTEIN EVIDENCE
  • METHODS
  • EDUCATIONAL VIDEOS
DATA
  • DOWNLOADABLE DATA
  • PUBLICATION DATA
  • RELEASE HISTORY
HELP
  • ANTIBODY VALIDATION
  • ASSAYS & ANNOTATION
  • DISCLAIMER
  • HELP & FAQ
  • PRIVACY STATEMENT
  • LICENCE & CITATION
Fields »
Search result

Field
Term
Gene name
Class
Subclass
Class
Keyword
Chromosome
External id
Tissue
Cell type
Expression
Antibody panel
Tissue
Main location
Patient ID
Annotation
Tissue
Category
Tau score
Cluster
Reliability
Brain region
Category
Tau score
Brain region
Category
Tau score
Brain region
Category
Tau score
Cluster
Reliability
Tissue
Cell type
Enrichment
Cell type
Category
Tau score
Cell type
Category
Tau score
Cell type
Category
Tau score
Cell lineage
Category
Tau score
Cluster
Cluster
Location
Searches
Location
Cell line
Class
Type
Phase
Reliability
Cancer
Prognosis
Cancer
Category
Cancer
Category
Tau score
Cluster
Variants
Interacting gene (ensg_id)
Type
Number of interactions
Pathway
Category
Score
Score
Score
Validation
Validation
Validation
Validation
Antibodies
Data type
Column


  • SUMMARY

  • TISSUE

  • BRAIN

  • SINGLE CELL

  • SUBCELL

  • CANCER

  • BLOOD

  • CELL LINE

  • STRUCT & INT

  • HLA-DRA
TISSUE PRIMARY DATA LIVER Show tissue menu
ADIPOSE TISSUE ADRENAL GLAND AMYGDALA APPENDIX BASAL GANGLIA BONE MARROW BREAST BRONCHUS CEREBELLUM CEREBRAL CORTEX CERVIX CHOROID PLEXUS COLON DUODENUM
ENDOMETRIUM EPIDIDYMIS ESOPHAGUS FALLOPIAN TUBE GALLBLADDER HEART MUSCLE HIPPOCAMPAL FORMATION HYPOTHALAMUS KIDNEY LIVER LUNG LYMPH NODE MIDBRAIN NASOPHARYNX
ORAL MUCOSA OVARY PANCREAS PARATHYROID GLAND PITUITARY GLAND PLACENTA PROSTATE RECTUM RETINA SALIVARY GLAND SEMINAL VESICLE SKELETAL MUSCLE SKIN SMALL INTESTINE
SMOOTH MUSCLE SOFT TISSUE SPINAL CORD SPLEEN STOMACH TESTIS THYMUS THYROID GLAND TONGUE TONSIL URINARY BLADDER VAGINA
ANTIBODIES
AND
VALIDATION
Dictionary
Liver
Tissue proteome
Liver
LIVER - Expression summary
Protein expression
Liveri

On the top, protein expression in current human tissue, based on all annotated cell types, is reported with the units not detected (n), low (l), medium (m) and high (h). Underneath, protein expression in each annotated cell type are reported using the same units.

Protein expression data is based on knowledge-based annotation. For genes where more than one antibody has been used, a collective score is set.

If knowledge-based annotation could not be performed for a gene, no data is displayed here. View antibody staining data further down this page.

h
m
l
n
Cholangiocytes: Not detected
Hepatocytes: Not detected
RNA expressioni

A summary of mRNA expression data available for current tissue based on several datasets. The mRNA expression levels in human tissues are based on RNA-seq data generated by the Human Protein Atlas (HPA), Genotype-Tissue Expression (GTEx) portal and CAGE data generated by the FANTOM5 consortium. Consensus normalized expression levels for human tissues was created by combining the data from HPA and GTEx datasets.

The mRNA expression levels in pig are based on RNA-seq data generated by the Human Protein Atlas (HPA), and for mouse, HPA data and in situ hybridization generated by the Allen brain atlas are reported.

Scroll down to view mRNA expression data in more detail.
Consensus:92.5 nTPM
HPA:92.5 nTPM
GTEx:85.9 nTPM
FANTOM5:416.8 Scaled Tags Per Million

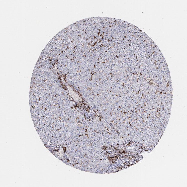
LIVER - Antibody stainingi

Antibody staining in the annotated cell types in the current human tissue is reported as not detected, low, medium, or high, based on conventional immunohistochemistry profiling in selected tissues. This score is based on the combination of the staining intensity and fraction of stained cells.

Each image is clickable and will lead to virtual microscopy that enables deeper exploration of all samples and also displays staining intensity scores, fraction scores and subcellular localization as well as patient and tissue information for each sample.

Antibody HPA050162Antibody HPA053176Antibody CAB002798Antibody CAB015402
Cholangiocytes Not detectedNot detectedNot detectedNot detected
Hepatocytes Not detectedNot detectedNot detectedNot detected









LIVER - HPA RNA-seqi

The RNA-seq details section shows detailed information about the individual samples used for the transcript profiling and results of the RNA-seq analysis.

Information about each individual sample is listed below, including gender, age, a tissue section image and estimated fractions of cell types. nTPM (normalized transcripts per million) values give a quantification of the gene abundance which is comparable between different genes and samples.
Average nTPMi

Max subtype nTPM is the value for the subtype with the largest average nTPM across the subtype samples.

92.5
N/A
Female, age 60
Liver sample 21
nTPM: 1.7
overview
Male, age 54
Liver sample 23
nTPM: 1.1
Cell types%
Hepatocytes:
80

Fibroblasts:
15

Other cell types:
5

overview
Male, age 74
Liver sample 24
nTPM: 3.6
Cell types%
Hepatocytes:
85

Fibroblasts:
5

Other cell types:
10

overview
Female, age 62
Liver sample 350
nTPM: 0.4
Cell types%
Hepatocytes:
70

Fibroblasts:
10

Other cell types:
20

overview
Male, age 78
Liver sample 351
nTPM: 676.8
Cell types%
Hepatocytes:
75

Fibroblasts:
5

Other cell types:
20

overview
Male, age 53
Liver sample 352
nTPM: 2.7
Cell types%
Hepatocytes:
80

Fibroblasts:
5

Other cell types:
15

overview
Male, age 77
Liver sample 353
nTPM: 1
Cell types%
Hepatocytes:
75

Fibroblasts:
5

Other cell types:
20

overview
Female, age 72
Liver sample 359
nTPM: 0
Cell types%
Hepatocytes:
50

Fibroblasts:
10

Other cell types:
40

overview
Male, age 70
Liver sample 367
nTPM: 0.3
Cell types%
Hepatocytes:
65

Fibroblasts:
10

Other cell types:
25

overview
Female, age 23
Liver sample 396
nTPM: 237.1
Cell types%
Hepatocytes:
70

Fibroblasts:
5

Other cell types:
25


LIVER - GTEx RNA-seqi

RNA-Seq data generated by the Genotype-Tissue Expression (GTEx) project from human tissues is reported as mean nTPM. More information can be found on the GTEx portal.

Distribution across the dataset is visualized with box plots, shown as median and 25th and 75th percentiles. Points are displayed as outliers if they are above or below 1.5 times the interquartile range. nTPM values of the individual samples are presented next to the box plot.
Max subtype nTPMi

Max subtype nTPM is the value for the subtype with the largest average nTPM across the subtype samples.

85.9
GTEx sample id Sample description nTPM
Liver
Average nTPM: 85.9
Samples: 226

Max nTPM: 494.7
Min nTPM: 6.2
Std nTPM: 60.5
Median nTPM: 70.3
GTEX-WYVS-1926-SM-4PQZ2 40-49 years, female 494.7
GTEX-1GN73-1126-SM-9OSW5 60-69 years, male 337.4
GTEX-Q734-0326-SM-48U15 40-49 years, female 262.1
GTEX-1IKK5-0326-SM-C1YPY 60-69 years, male 261.5
GTEX-ZTPG-1426-SM-51MT3 20-29 years, female 257.8
GTEX-13FLV-0326-SM-5N9DJ 50-59 years, male 253.7
GTEX-1GF9X-0426-SM-7MKHN 40-49 years, female 225.9
GTEX-X3Y1-2726-SM-4PQZH 40-49 years, male 218.6
GTEX-131XE-0326-SM-5LZVO 50-59 years, male 216.3
GTEX-11GSP-0626-SM-5986T 60-69 years, female 211.3
GTEX-1399R-1226-SM-5P9GF 30-39 years, male 208.9
GTEX-139YR-0226-SM-5IFEM 50-59 years, male 205.2
GTEX-15RJ7-2026-SM-6LPJ4 40-49 years, male 199.0
GTEX-13SLX-1226-SM-5S2Q6 50-59 years, female 192.5
GTEX-13PVQ-1526-SM-5IFEQ 50-59 years, male 189.6
GTEX-1HB9E-0626-SM-AHZ4K 50-59 years, male 187.1
GTEX-12WSD-1426-SM-5GCN9 60-69 years, female 183.9
GTEX-147GR-1326-SM-7IGLB 60-69 years, male 180.4
GTEX-12WSI-0226-SM-5GCNA 50-59 years, male 178.0
GTEX-ZF2S-3026-SM-4WWCH 50-59 years, female 169.8
GTEX-1B932-1426-SM-793AN 40-49 years, female 163.7
GTEX-PX3G-0826-SM-48TZS 20-29 years, female 162.8
GTEX-1A8G7-1126-SM-731ED 60-69 years, male 161.8
GTEX-ZAB5-0426-SM-5CVMI 50-59 years, male 155.8
GTEX-1269C-0626-SM-5FQSS 60-69 years, female 152.3
GTEX-14E7W-1526-SM-6871X 70-79 years, male 151.1
GTEX-11DXZ-0126-SM-5EGGY 50-59 years, male 149.2
GTEX-18D9B-1526-SM-7KFRK 60-69 years, male 144.1
GTEX-ZAB4-0826-SM-5LU9D 40-49 years, male 143.8
GTEX-1A32A-0826-SM-72D5C 50-59 years, female 143.0
GTEX-1CB4F-1726-SM-7MGXH 60-69 years, male 142.1
GTEX-UTHO-2426-SM-4JBHD 60-69 years, male 139.1
GTEX-1399T-0826-SM-5IFES 60-69 years, male 138.4
GTEX-OIZF-0826-SM-3MJGO 60-69 years, male 138.4
GTEX-17MF6-1126-SM-7DUFS 40-49 years, male 136.7
GTEX-1JMLX-1326-SM-CXZJO 50-59 years, male 131.9
GTEX-O5YT-0826-SM-3TW8N 20-29 years, male 130.5
GTEX-1GF9V-1226-SM-7MKGY 60-69 years, male 127.6
GTEX-ZF29-2026-SM-DNZYW 60-69 years, female 127.0
GTEX-OOBJ-0826-SM-3NB2K 60-69 years, male 124.9
GTEX-S32W-1926-SM-4AD63 50-59 years, female 124.8
GTEX-U3ZN-0226-SM-3DB8D 30-39 years, female 124.5
GTEX-15ER7-1826-SM-6LLI7 20-29 years, female 122.0
GTEX-U8XE-1526-SM-4E3HT 30-39 years, male 116.7
GTEX-T6MN-1226-SM-3NMA5 50-59 years, male 115.3
GTEX-1212Z-0226-SM-59HLF 60-69 years, male 114.4
GTEX-QV44-0326-SM-C1YQX 50-59 years, male 114.0
GTEX-TKQ2-1726-SM-4DXUP 50-59 years, male 112.3
GTEX-RU72-1426-SM-46MUF 50-59 years, female 112.2
GTEX-15DYW-1326-SM-6LPIV 60-69 years, female 111.6
GTEX-QDVN-0826-SM-48TZ2 50-59 years, male 110.7
GTEX-12ZZZ-1326-SM-59HKW 60-69 years, male 110.4
GTEX-14PHX-0526-SM-664NW 50-59 years, male 110.1
GTEX-11ZTS-1426-SM-5EQMM 60-69 years, female 109.4
GTEX-1R9JW-0826-SM-DPRZJ 30-39 years, female 107.7
GTEX-1F75A-1626-SM-9JGGT 50-59 years, male 106.2
GTEX-14JG1-1626-SM-664NH 40-49 years, male 105.7
GTEX-1KD4Q-1526-SM-D4P3L 40-49 years, male 105.4
GTEX-ZPU1-0826-SM-57WG2 40-49 years, male 105.2
GTEX-UPK5-1426-SM-4JBHH 40-49 years, male 103.4
GTEX-1K9T9-0726-SM-CXZJZ 50-59 years, female 102.7
GTEX-1H11D-0826-SM-9OSWB 40-49 years, male 101.4
GTEX-12KS4-1326-SM-5LUB3 30-39 years, male 101.0
GTEX-144GL-1426-SM-79OMA 50-59 years, male 99.8
GTEX-1I1GR-1526-SM-CNNQE 60-69 years, male 98.6
GTEX-Q2AG-1126-SM-48U1P 40-49 years, female 98.4
GTEX-1QP66-0226-SM-DPRXS 50-59 years, male 98.4
GTEX-1GZ4I-1526-SM-9OSW9 50-59 years, male 97.2
GTEX-131XH-0626-SM-5LZWH 50-59 years, male 95.5
GTEX-1PBJJ-0626-SM-DPRYO 30-39 years, male 95.0
GTEX-11WQC-0726-SM-5EQMR 60-69 years, male 94.9
GTEX-QEL4-1226-SM-447A4 50-59 years, male 94.7
GTEX-1MJIX-0726-SM-DPRYP 40-49 years, male 94.5
GTEX-1E2YA-1226-SM-7MGY3 50-59 years, male 94.4
GTEX-ZVT4-0626-SM-5E45T 50-59 years, female 93.6
GTEX-ZEX8-0826-SM-4WKHK 50-59 years, male 92.1
GTEX-13N11-0926-SM-5IJG2 50-59 years, female 91.7
GTEX-1JJEA-1526-SM-CNNPK 60-69 years, male 91.3
GTEX-Z9EW-0426-SM-5CVM9 40-49 years, male 89.7
GTEX-17HII-1026-SM-7IGLY 50-59 years, male 87.1
GTEX-1RQEC-1126-SM-EAZ5E 60-69 years, male 86.8
GTEX-1IKJJ-1526-SM-C1YSC 60-69 years, male 86.6
GTEX-1PIIG-1326-SM-EXOIR 30-39 years, male 86.6
GTEX-ZVT3-1626-SM-5GU66 60-69 years, female 86.5
GTEX-VUSG-0126-SM-4KL1X 50-59 years, male 86.3
GTEX-1LGRB-0626-SM-CNNQH 50-59 years, female 85.3
GTEX-RWSA-1426-SM-47JXA 40-49 years, male 84.1
GTEX-1HT8W-0826-SM-C1YRJ 30-39 years, male 83.7
GTEX-S33H-1626-SM-4AD68 30-39 years, male 83.0
GTEX-1ICLY-1526-SM-C1YS4 50-59 years, male 82.3
GTEX-14DAQ-1726-SM-5S2R2 60-69 years, female 81.7
GTEX-148VI-0626-SM-5TDDH 60-69 years, female 81.5
GTEX-18A7A-1526-SM-72D69 50-59 years, female 81.1
GTEX-XXEK-1126-SM-4BRUX 50-59 years, male 79.4
GTEX-RNOR-1426-SM-48FDJ 50-59 years, female 78.9
GTEX-ZVP2-0626-SM-51MSO 50-59 years, male 78.7
GTEX-132AR-0426-SM-5IFH8 50-59 years, female 78.1
GTEX-R53T-0326-SM-48FEC 50-59 years, female 78.0
GTEX-1EKGG-1226-SM-7IGNO 60-69 years, male 77.9
GTEX-YEC4-0826-SM-5P9FV 40-49 years, male 77.5
GTEX-WFON-1726-SM-4LVMQ 40-49 years, male 77.3
GTEX-1HBPH-2626-SM-A96TV 40-49 years, female 76.9
GTEX-RM2N-1926-SM-48FCU 50-59 years, male 76.1
GTEX-1QP6S-1326-SM-DPRZ8 40-49 years, male 76.1
GTEX-147JS-1126-SM-5RQIW 60-69 years, male 75.5
GTEX-11TUW-1726-SM-5BC5C 60-69 years, male 75.4
GTEX-13OW6-2626-SM-5IFF2 50-59 years, male 75.3
GTEX-139TU-0826-SM-5IJFG 60-69 years, male 74.9
GTEX-1S82Y-1026-SM-EV7BJ 40-49 years, male 74.4
GTEX-XBEC-1526-SM-4AT68 50-59 years, male 74.2
GTEX-13112-1426-SM-5EGH8 50-59 years, male 74.0
GTEX-WVLH-2126-SM-EYYWD 50-59 years, male 71.0
GTEX-145LU-1326-SM-5LU9N 50-59 years, male 70.7
GTEX-1AX8Z-1026-SM-7189R 60-69 years, male 69.9
GTEX-1B8L1-0726-SM-7P8RT 60-69 years, male 69.8
GTEX-11NV4-1326-SM-5HL6V 60-69 years, male 68.6
GTEX-Y5V5-0926-SM-4VBPZ 60-69 years, female 67.6
GTEX-145MF-0826-SM-5QGQA 50-59 years, male 67.5
GTEX-17HHE-0126-SM-79398 50-59 years, male 67.3
GTEX-YECK-1926-SM-4W21H 60-69 years, male 67.0
GTEX-13FTW-1126-SM-5J2NV 40-49 years, male 66.9
GTEX-13PVR-0126-SM-5S2PY 60-69 years, female 66.9
GTEX-146FH-1526-SM-5NQBU 50-59 years, female 66.5
GTEX-Y111-0726-SM-EYYVM 50-59 years, male 66.5
GTEX-QESD-2026-SM-447BI 20-29 years, male 65.9
GTEX-WK11-1326-SM-4OOSI 50-59 years, male 65.8
GTEX-YB5E-0326-SM-5IFHU 40-49 years, male 64.9
GTEX-1EN7A-2026-SM-7MGY4 40-49 years, male 64.7
GTEX-132NY-0926-SM-5P9G3 60-69 years, male 64.6
GTEX-1KAFJ-0726-SM-CXZKF 50-59 years, male 64.5
GTEX-1B996-1426-SM-7EPIA 60-69 years, male 63.8
GTEX-145MO-2326-SM-5NQ9K 60-69 years, male 63.6
GTEX-1HBPI-1026-SM-AHZ4N 50-59 years, male 62.5
GTEX-131YS-1626-SM-5HL6C 60-69 years, female 62.2
GTEX-1AMFI-0826-SM-731DV 50-59 years, female 61.9
GTEX-11NUK-1226-SM-5P9GM 50-59 years, male 61.7
GTEX-14E1K-0326-SM-5S2PE 50-59 years, male 60.7
GTEX-1GN1U-0926-SM-9WPPY 50-59 years, female 60.5
GTEX-P44G-1126-SM-3NM9D 30-39 years, male 60.4
GTEX-18465-1626-SM-7LG6N 50-59 years, male 60.3
GTEX-S4Z8-0526-SM-4AD4T 60-69 years, male 59.9
GTEX-18A6Q-2026-SM-718AQ 60-69 years, male 59.1
GTEX-12WSL-0226-SM-5CVMJ 50-59 years, male 58.8
GTEX-12WSG-0626-SM-5FQTQ 50-59 years, female 58.4
GTEX-14BIL-1326-SM-79OMR 50-59 years, male 58.0
GTEX-139TS-1426-SM-5IFJD 60-69 years, male 57.3
GTEX-13NYB-1026-SM-5IFH3 40-49 years, male 57.1
GTEX-15RJE-1126-SM-6LPI5 40-49 years, male 57.0
GTEX-1B933-1226-SM-731DW 50-59 years, female 56.5
GTEX-18A66-2026-SM-7189C 60-69 years, male 56.1
GTEX-1B8SG-1326-SM-79ONT 50-59 years, male 56.0
GTEX-11OF3-0726-SM-5BC4Z 60-69 years, male 55.6
GTEX-1QCLZ-1226-SM-EAZ49 60-69 years, female 55.5
GTEX-11EQ9-0526-SM-5A5JZ 30-39 years, male 55.1
GTEX-13N2G-0926-SM-5IFGJ 60-69 years, male 55.0
GTEX-WQUQ-1926-SM-4OOSA 60-69 years, male 54.2
GTEX-144GM-1326-SM-5LU5E 20-29 years, male 53.7
GTEX-1BAJH-1526-SM-7RHGI 70-79 years, male 52.9
GTEX-1KD5A-1226-SM-CXZK7 50-59 years, male 52.3
GTEX-13VXU-0926-SM-5IFFH 50-59 years, male 52.1
GTEX-P78B-1326-SM-3P611 40-49 years, female 51.3
GTEX-1CB4J-0726-SM-7IGN8 60-69 years, male 51.0
GTEX-17EVP-1026-SM-7IGOZ 40-49 years, male 50.0
GTEX-17HGU-1826-SM-7IGQM 50-59 years, male 49.8
GTEX-1ICG6-1026-SM-B2LY6 70-79 years, female 49.5
GTEX-1J8EW-1626-SM-C1YQ8 60-69 years, female 49.5
GTEX-1GN2E-0926-SM-9WPOH 60-69 years, male 49.4
GTEX-11ZVC-0726-SM-5FQT9 50-59 years, female 46.0
GTEX-YFC4-1526-SM-5IFJS 40-49 years, female 45.9
GTEX-14XAO-0226-SM-68728 60-69 years, female 45.7
GTEX-13X6J-1826-SM-5TDCT 50-59 years, male 44.9
GTEX-1HCU7-1726-SM-B2LX9 50-59 years, male 44.9
GTEX-ZYY3-0626-SM-5NQ6W 60-69 years, female 44.2
GTEX-ZZPU-0426-SM-5GZYH 50-59 years, female 44.2
GTEX-147F4-1426-SM-5LUA8 50-59 years, male 43.9
GTEX-1EH9U-1126-SM-7IGLU 60-69 years, male 43.9
GTEX-1S5VW-1826-SM-EAZ53 60-69 years, male 43.4
GTEX-REY6-1226-SM-48FDR 60-69 years, male 43.0
GTEX-11ZUS-2526-SM-59872 30-39 years, male 42.1
GTEX-1AX9I-1626-SM-72D5D 60-69 years, male 41.8
GTEX-RN64-1826-SM-48FDV 50-59 years, male 41.8
GTEX-Y5LM-0426-SM-4VBRO 40-49 years, female 41.8
GTEX-11DXY-0526-SM-5EGGQ 60-69 years, male 41.3
GTEX-13NZB-0626-SM-5IFH6 30-39 years, male 41.3
GTEX-1EWIQ-0726-SM-7MKFW 70-79 years, female 40.6
GTEX-SJXC-1226-SM-4DM78 60-69 years, male 39.5
GTEX-14AS3-0126-SM-5Q5F4 40-49 years, female 38.5
GTEX-1JJ6O-0826-SM-CXZJL 60-69 years, male 38.5
GTEX-13NZ9-1326-SM-5MR3V 50-59 years, male 38.4
GTEX-12WSM-0726-SM-5GCOW 60-69 years, male 37.4
GTEX-1CAMQ-1426-SM-7MKFL 40-49 years, male 37.0
GTEX-1A8FM-1226-SM-7IGMD 50-59 years, female 36.7
GTEX-1KANB-2226-SM-DHXJW 50-59 years, male 36.4
GTEX-13113-1326-SM-5GCOI 60-69 years, female 35.9
GTEX-1I1HK-1126-SM-AHZ2L 60-69 years, male 35.4
GTEX-1497J-0726-SM-5Q5D1 60-69 years, male 34.7
GTEX-1GF9W-0826-SM-7MKHI 60-69 years, male 33.8
GTEX-14753-1626-SM-5NQ9L 60-69 years, male 33.2
GTEX-WZTO-0626-SM-4PQYY 40-49 years, male 33.2
GTEX-1KWVE-0326-SM-EV7AF 30-39 years, male 32.5
GTEX-13O3O-1826-SM-5IFGW 60-69 years, female 31.9
GTEX-WY7C-0726-SM-4ONCB 50-59 years, male 30.9
GTEX-13O1R-2026-SM-5KM3N 60-69 years, male 30.7
GTEX-1NV8Z-1626-SM-DPRYT 60-69 years, male 30.5
GTEX-X4EO-1126-SM-4QARQ 60-69 years, female 29.7
GTEX-RTLS-1326-SM-46MUN 60-69 years, female 29.4
GTEX-13QJC-0726-SM-5RQJK 60-69 years, female 29.3
GTEX-ZYT6-0626-SM-5E45V 30-39 years, male 29.3
GTEX-14C38-1526-SM-5RQJ7 50-59 years, male 28.2
GTEX-1C6VQ-1626-SM-79OO1 50-59 years, male 27.9
GTEX-O5YV-0726-SM-EV798 60-69 years, female 27.3
GTEX-X261-1726-SM-4PQYT 50-59 years, male 26.0
GTEX-11TT1-1726-SM-5EQLJ 20-29 years, male 25.7
GTEX-1LH75-0926-SM-EAZ5C 50-59 years, female 25.2
GTEX-1QPFJ-1126-SM-E9U5V 30-39 years, female 23.3
GTEX-QEG4-1826-SM-CKZN9 30-39 years, male 21.8
GTEX-12696-0826-SM-5EGGE 60-69 years, male 21.6
GTEX-15SHU-1826-SM-7KUKS 40-49 years, female 20.0
GTEX-X4XY-1626-SM-46MVN 60-69 years, male 19.4
GTEX-13FTZ-0726-SM-5IFFY 60-69 years, male 18.6
GTEX-X4EP-1026-SM-4QAS5 60-69 years, female 14.3
GTEX-1HCVE-1526-SM-B2LWW 50-59 years, male 14.1
GTEX-14A5I-1726-SM-5QGQ5 50-59 years, female 11.1
GTEX-15SZO-1226-SM-6LPIP 50-59 years, male 11.1
GTEX-14PJO-1726-SM-68719 60-69 years, male 10.9
GTEX-17F96-1226-SM-79OK2 70-79 years, male 6.2
Show allShow less

LIVER - FANTOM5 CAGEi

RNA expression in human tissues obtained through Cap Analysis of Gene Expression (CAGE) generated by the FANTOM5 project are reported as Scaled Tags Per Million.

Max subtype Scaled Tags Per Millioni

Max subtype Scaled Tags Per Million is the value for the subtype with the largest average Scaled Tags Per Million across the subtype samples.

416.8
FANTOM5 sample id Sample description Scaled Tags Per Million
Liver
Scaled Tags Per Million: 416.8
FF:10018-101C9 64,69,70 years, mixed 416.8

Contact

  • NEWS ARTICLES
  • PRESS ROOM

The Project

  • INTRODUCTION
  • ORGANIZATION
  • PUBLICATIONS

The Human Protein Atlas

  • DOWNLOADABLE DATA
  • LICENCE & CITATION
  • HELP & FAQ
The Human Protein Atlas project is funded
by the Knut & Alice Wallenberg Foundation.


contact@proteinatlas.org