We use cookies to enhance the usability of our website. If you continue, we'll assume that you are happy to receive all cookies. More information. Don't show this again.
COL15A1
HPA
RESOURCES
  • TISSUE
  • BRAIN
  • SINGLE CELL
  • SUBCELLULAR
  • CANCER
  • BLOOD
  • CELL LINE
  • STRUCTURE & INTERACTION
ABOUT
  • INTRODUCTION
  • HISTORY
  • ORGANIZATION
  • PUBLICATIONS
  • ANTIBODY SUBMISSION
  • ANTIBODY AVAILABILITY
  • ACKNOWLEDGMENTS
  • CONTACT
NEWS
  • NEWS ARTICLES
  • PRESS ROOM
LEARN
  • DICTIONARY
  • PROTEIN CLASSES
  • PROTEIN EVIDENCE
  • METHODS
  • EDUCATIONAL VIDEOS
DATA
  • DOWNLOADABLE DATA
  • PUBLICATION DATA
  • RELEASE HISTORY
HELP
  • ANTIBODY VALIDATION
  • ASSAYS & ANNOTATION
  • DISCLAIMER
  • HELP & FAQ
  • PRIVACY STATEMENT
  • LICENCE & CITATION
Fields »
Search result

Field
Term
Gene name
Class
Subclass
Class
Keyword
Chromosome
External id
Tissue
Cell type
Expression
Antibody panel
Tissue
Main location
Patient ID
Annotation
Tissue
Category
Tau score
Cluster
Reliability
Brain region
Category
Tau score
Brain region
Category
Tau score
Brain region
Category
Tau score
Cluster
Reliability
Tissue
Cell type
Enrichment
Cell type
Category
Tau score
Cell type
Category
Tau score
Cell type
Category
Tau score
Cell lineage
Category
Tau score
Cluster
Cluster
Location
Searches
Location
Cell line
Class
Type
Phase
Reliability
Cancer
Prognosis
Cancer
Category
Cancer
Category
Tau score
Cluster
Variants
Interacting gene (ensg_id)
Type
Number of interactions
Pathway
Category
Score
Score
Score
Validation
Validation
Validation
Validation
Antibodies
Data type
Column


  • SUMMARY

  • TISSUE

  • BRAIN

  • SINGLE CELL

  • SUBCELL

  • CANCER

  • BLOOD

  • CELL LINE

  • STRUCT & INT

  • COL15A1
TISSUE PRIMARY DATA HEART MUSCLE Show tissue menu
ADIPOSE TISSUE ADRENAL GLAND AMYGDALA APPENDIX BASAL GANGLIA BONE MARROW BREAST BRONCHUS CEREBELLUM CEREBRAL CORTEX CERVIX CHOROID PLEXUS COLON DUODENUM
ENDOMETRIUM EPIDIDYMIS ESOPHAGUS FALLOPIAN TUBE GALLBLADDER HEART MUSCLE HIPPOCAMPAL FORMATION HYPOTHALAMUS KIDNEY LIVER LUNG LYMPH NODE MIDBRAIN NASOPHARYNX
ORAL MUCOSA OVARY PANCREAS PARATHYROID GLAND PITUITARY GLAND PLACENTA PROSTATE RECTUM RETINA SALIVARY GLAND SEMINAL VESICLE SKELETAL MUSCLE SKIN SMALL INTESTINE
SMOOTH MUSCLE SOFT TISSUE SPINAL CORD SPLEEN STOMACH TESTIS THYMUS THYROID GLAND TONGUE TONSIL URINARY BLADDER VAGINA
ANTIBODIES
AND
VALIDATION
Dictionary
Heart muscle
Tissue proteome
Heart
HEART MUSCLE - Expression summary
Protein expression
Heart musclei

On the top, protein expression in current human tissue, based on all annotated cell types, is reported with the units not detected (n), low (l), medium (m) and high (h). Underneath, protein expression in each annotated cell type are reported using the same units.

Protein expression data is based on knowledge-based annotation. For genes where more than one antibody has been used, a collective score is set.

If knowledge-based annotation could not be performed for a gene, no data is displayed here. View antibody staining data further down this page.

h
m
l
n
Cardiomyocytes: Medium
RNA expressioni

A summary of mRNA expression data available for current tissue based on several datasets. The mRNA expression levels in human tissues are based on RNA-seq data generated by the Human Protein Atlas (HPA), Genotype-Tissue Expression (GTEx) portal and CAGE data generated by the FANTOM5 consortium. Consensus normalized expression levels for human tissues was created by combining the data from HPA and GTEx datasets.

The mRNA expression levels in pig are based on RNA-seq data generated by the Human Protein Atlas (HPA), and for mouse, HPA data and in situ hybridization generated by the Allen brain atlas are reported.

Scroll down to view mRNA expression data in more detail.
Consensus:56.1 nTPM
HPA:54.9 nTPM
GTEx:56.1 nTPM
FANTOM5:162.2 Scaled Tags Per Million

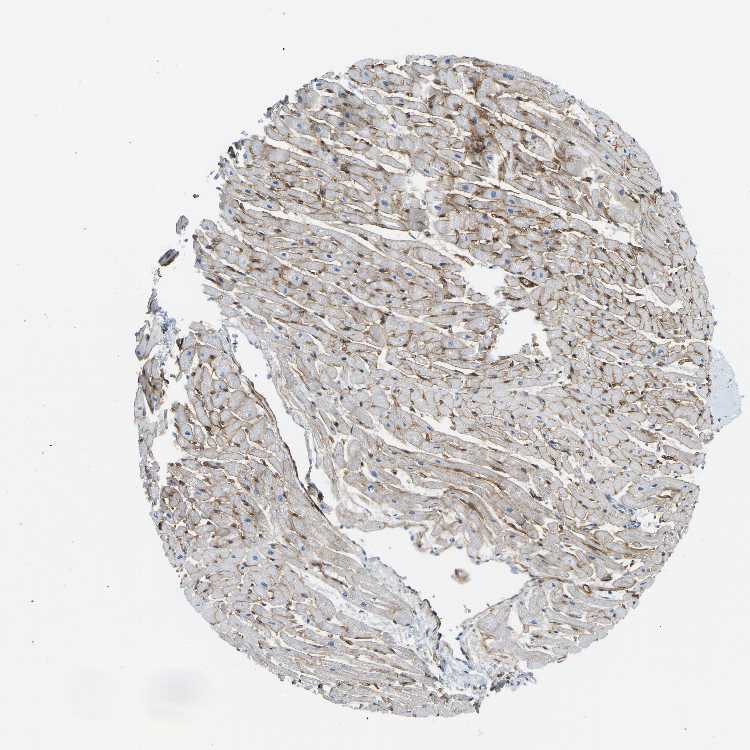
HEART MUSCLE - Antibody stainingi

Antibody staining in the annotated cell types in the current human tissue is reported as not detected, low, medium, or high, based on conventional immunohistochemistry profiling in selected tissues. This score is based on the combination of the staining intensity and fraction of stained cells.

Each image is clickable and will lead to virtual microscopy that enables deeper exploration of all samples and also displays staining intensity scores, fraction scores and subcellular localization as well as patient and tissue information for each sample.

Antibody HPA017913Antibody HPA017915
Cardiomyocytes MediumMedium





HEART MUSCLE - HPA RNA-seqi

The RNA-seq details section shows detailed information about the individual samples used for the transcript profiling and results of the RNA-seq analysis.

Information about each individual sample is listed below, including gender, age, a tissue section image and estimated fractions of cell types. nTPM (normalized transcripts per million) values give a quantification of the gene abundance which is comparable between different genes and samples.
Average nTPMi

Max subtype nTPM is the value for the subtype with the largest average nTPM across the subtype samples.

54.9
overview
Female, age 48
Heart muscle sample 149
nTPM: 33.4
Cell types%
Myocytes:
15

Fibroblasts:
55

Endothelial cells:
25

Other cell types:
5

overview
Female, age 42
Heart muscle sample 150
nTPM: 56.8
Cell types%
Myocytes:
20

Fibroblasts:
45

Endothelial cells:
30

Other cell types:
5

overview
Male, age 53
Heart muscle sample 151
nTPM: 56.4
Cell types%
Myocytes:
20

Fibroblasts:
45

Endothelial cells:
30

Other cell types:
5

overview
Female, age 69
Heart muscle sample 152
nTPM: 73
Cell types%
Myocytes:
20

Fibroblasts:
45

Endothelial cells:
30

Other cell types:
5


HEART MUSCLE - GTEx RNA-seqi

RNA-Seq data generated by the Genotype-Tissue Expression (GTEx) project from human tissues is reported as mean nTPM. More information can be found on the GTEx portal.

Distribution across the dataset is visualized with box plots, shown as median and 25th and 75th percentiles. Points are displayed as outliers if they are above or below 1.5 times the interquartile range. nTPM values of the individual samples are presented next to the box plot.
Max subtype nTPMi

Max subtype nTPM is the value for the subtype with the largest average nTPM across the subtype samples.

56.1
GTEx sample id Sample description nTPM
Heart - Atrial Appendage
Average nTPM: 56.1
Samples: 429

Max nTPM: 182.0
Min nTPM: 8.2
Std nTPM: 34.2
Median nTPM: 48.2
GTEX-1C6WA-0826-SM-7PBXS 60-69 years, male 182.0
GTEX-13X6J-1226-SM-79OMF 50-59 years, male 164.6
GTEX-1GZ2Q-0926-SM-7RHHN 40-49 years, male 159.7
GTEX-17EVP-0526-SM-7EPGY 40-49 years, male 155.6
GTEX-WHSE-0826-SM-4SOJU 20-29 years, male 155.4
GTEX-1C64N-0826-SM-7RHGQ 50-59 years, male 152.5
GTEX-1F6I4-0826-SM-7RHGK 60-69 years, male 152.3
GTEX-13FTZ-0326-SM-5J1O1 60-69 years, male 148.8
GTEX-1QP6S-1026-SM-DTXFW 40-49 years, male 148.6
GTEX-145LS-1326-SM-5Q5EP 60-69 years, female 142.0
GTEX-14BIN-2126-SM-793AX 50-59 years, female 141.9
GTEX-1B8SF-1326-SM-7IGQJ 60-69 years, male 138.1
GTEX-ZUA1-0726-SM-4YCD9 40-49 years, male 137.9
GTEX-1LSNL-0626-SM-DIPFJ 50-59 years, male 137.5
GTEX-1PPGY-0926-SM-DTXFF 60-69 years, male 131.2
GTEX-14DAQ-1026-SM-793B1 60-69 years, female 130.9
GTEX-1IL2V-1126-SM-CMKGH 70-79 years, male 128.9
GTEX-1QEPI-1126-SM-E8VN7 60-69 years, female 127.1
GTEX-1212Z-0726-SM-5EGI5 60-69 years, male 126.8
GTEX-1H1CY-0426-SM-9KNVD 60-69 years, female 126.2
GTEX-1HT8W-1326-SM-CGQEN 30-39 years, male 126.1
GTEX-1GN1V-1026-SM-CNPPS 60-69 years, male 124.9
GTEX-1EWIQ-1126-SM-7EPIK 70-79 years, female 123.2
GTEX-1LB8K-0926-SM-D4P42 50-59 years, male 122.9
GTEX-13SLX-0926-SM-5S2NM 50-59 years, female 122.8
GTEX-14E7W-1126-SM-5ZZVS 70-79 years, male 119.1
GTEX-13FHP-0826-SM-5K7V5 50-59 years, male 115.7
GTEX-X62O-0826-SM-46MW8 50-59 years, male 115.1
GTEX-1E1VI-1426-SM-793CY 50-59 years, male 112.3
GTEX-1C6VQ-0826-SM-7PBZT 50-59 years, male 112.2
GTEX-1B8SG-0726-SM-79ONS 50-59 years, male 110.7
GTEX-11ONC-1026-SM-5GU64 60-69 years, male 107.4
GTEX-1192W-0226-SM-5EGGT 60-69 years, male 107.3
GTEX-16GPK-1226-SM-7LTAU 60-69 years, male 107.3
GTEX-Z93S-0326-SM-5HL84 50-59 years, male 106.6
GTEX-15CHQ-1326-SM-6871Z 60-69 years, male 105.4
GTEX-13NZA-0826-SM-5K7WS 60-69 years, male 105.1
GTEX-WL46-0726-SM-3LK5Z 50-59 years, male 105.0
GTEX-1IOXB-0726-SM-A9G32 50-59 years, male 102.9
GTEX-YECK-1226-SM-4W21G 60-69 years, male 101.0
GTEX-XQ3S-0526-SM-4BOQA 20-29 years, male 100.5
GTEX-11O72-1026-SM-5986B 40-49 years, male 100.3
GTEX-18A6Q-1526-SM-731CO 60-69 years, male 99.8
GTEX-1GMRU-1326-SM-9WYUI 50-59 years, male 99.7
GTEX-YFC4-0426-SM-4TT3J 40-49 years, female 99.6
GTEX-1EU9M-1926-SM-7RHH4 60-69 years, male 99.1
GTEX-1I1GR-1026-SM-A9SLC 60-69 years, male 99.1
GTEX-18465-0726-SM-7LG4L 50-59 years, male 98.9
GTEX-12WSI-0426-SM-5EQ5J 50-59 years, male 98.2
GTEX-ZAB4-0926-SM-5CVN4 40-49 years, male 97.5
GTEX-12584-1026-SM-59HK3 40-49 years, male 97.1
GTEX-11GS4-0426-SM-5N9CD 60-69 years, male 96.9
GTEX-ZDXO-0426-SM-4WKF6 60-69 years, male 96.9
GTEX-YJ8O-0826-SM-5CVM3 40-49 years, female 96.7
GTEX-1IKJJ-0626-SM-CY8GF 60-69 years, male 95.9
GTEX-13CF2-0226-SM-5L3DV 60-69 years, male 95.8
GTEX-1JMLX-1826-SM-CNPOX 50-59 years, male 95.3
GTEX-14C39-0726-SM-5RQIK 40-49 years, male 95.0
GTEX-11NV4-0826-SM-5BC4S 60-69 years, male 94.2
GTEX-13O3P-1426-SM-5L3DT 50-59 years, male 94.2
GTEX-1H3NZ-1026-SM-A9SM5 60-69 years, male 94.1
GTEX-1CB4G-0726-SM-79OOJ 60-69 years, male 94.0
GTEX-13O3O-1426-SM-5KM2S 60-69 years, female 93.8
GTEX-1EMGI-1126-SM-9KNUF 60-69 years, male 93.4
GTEX-12WSC-1026-SM-5EQ5Y 50-59 years, male 92.7
GTEX-147JS-1326-SM-5SI6D 60-69 years, male 92.3
GTEX-1EX96-2626-SM-9MQJV 50-59 years, male 92.3
GTEX-1GN2E-1426-SM-7RHHI 60-69 years, male 92.0
GTEX-1J1OQ-2226-SM-A96SS 40-49 years, female 91.2
GTEX-1KANB-1126-SM-DHXJT 50-59 years, male 90.8
GTEX-111VG-0326-SM-5GZX7 60-69 years, male 90.5
GTEX-1NSGN-1226-SM-E76OL 50-59 years, male 90.5
GTEX-11ZVC-0526-SM-5N9G1 50-59 years, female 90.3
GTEX-13O1R-0926-SM-5L3DS 60-69 years, male 89.4
GTEX-U8XE-0926-SM-3DB8V 30-39 years, male 88.9
GTEX-13NYB-0326-SM-5IJDP 40-49 years, male 88.7
GTEX-14BIL-0926-SM-7DHKN 50-59 years, male 88.7
GTEX-15ER7-0826-SM-6PALW 20-29 years, female 88.5
GTEX-ZPU1-0726-SM-5HL6O 40-49 years, male 88.5
GTEX-15D1Q-0426-SM-6AJ9G 40-49 years, male 88.0
GTEX-1H3VY-1126-SM-A96TP 50-59 years, male 87.5
GTEX-1F88F-0326-SM-9KNV3 60-69 years, female 87.4
GTEX-1QMI2-1026-SM-DTX7T 60-69 years, male 87.1
GTEX-1AX9I-1026-SM-73KYF 60-69 years, male 86.1
GTEX-11TUW-1126-SM-5EQKJ 60-69 years, male 86.0
GTEX-13OW7-1626-SM-5IJDH 50-59 years, male 86.0
GTEX-12ZZY-1226-SM-5GCNK 60-69 years, male 83.5
GTEX-12ZZX-0726-SM-5EGKA 40-49 years, female 83.0
GTEX-ZVZQ-0726-SM-51MR3 60-69 years, female 82.9
GTEX-1LH75-0526-SM-DIPG2 50-59 years, female 82.8
GTEX-1H1ZS-1026-SM-9WG6E 70-79 years, male 82.4
GTEX-13S86-0326-SM-5SI6K 40-49 years, male 81.8
GTEX-1H3O1-0226-SM-9WYSW 60-69 years, male 81.7
GTEX-1I1HK-0626-SM-CNPQM 60-69 years, male 81.7
GTEX-ZE7O-0626-SM-57WCD 50-59 years, female 81.6
GTEX-14A5I-1026-SM-5Q5E3 50-59 years, female 81.1
GTEX-1IKOH-0926-SM-A9SLU 60-69 years, female 80.9
GTEX-WK11-0626-SM-3NMAV 50-59 years, male 80.8
GTEX-1MJK2-1626-SM-EVYCQ 50-59 years, male 80.7
GTEX-12WSE-0926-SM-5S2VX 20-29 years, male 80.1
GTEX-VJWN-1026-SM-4M1ZN 50-59 years, female 80.0
GTEX-ZTTD-0626-SM-4YCCY 50-59 years, male 79.9
GTEX-1IKK5-1726-SM-CM2RU 60-69 years, male 79.9
GTEX-1POEN-0726-SM-DTXDU 30-39 years, female 79.7
GTEX-13PL6-0826-SM-5IJBI 40-49 years, female 79.5
GTEX-147F4-1126-SM-5TDDE 50-59 years, male 79.0
GTEX-1I19N-0626-SM-A9SKY 70-79 years, male 79.0
GTEX-Y5V5-0726-SM-4VBPY 60-69 years, female 78.1
GTEX-1BAJH-1026-SM-7EWEG 70-79 years, male 77.6
GTEX-14JG1-0826-SM-5ZZWR 40-49 years, male 77.5
GTEX-ZAK1-1126-SM-5PNXU 50-59 years, female 77.2
GTEX-ZXG5-0626-SM-5NQ85 60-69 years, male 76.8
GTEX-16YQH-0726-SM-7IGM1 30-39 years, male 76.6
GTEX-117YW-0426-SM-5GZZZ 50-59 years, male 76.0
GTEX-UPK5-0226-SM-3GAEV 40-49 years, male 75.4
GTEX-WRHU-1026-SM-4E3ID 50-59 years, female 75.1
GTEX-1B933-0826-SM-79OMW 50-59 years, female 74.6
GTEX-13N1W-0926-SM-5MR36 70-79 years, male 74.5
GTEX-13OW6-0926-SM-5L3GM 50-59 years, male 74.5
GTEX-11ZUS-0326-SM-5EQ4W 30-39 years, male 74.3
GTEX-148VJ-1426-SM-5TDE3 70-79 years, male 74.2
GTEX-ZYFC-1026-SM-5GZX9 50-59 years, male 74.2
GTEX-1HBPM-1026-SM-ARL9D 60-69 years, female 74.2
GTEX-1GN73-2326-SM-9MQKV 60-69 years, male 73.9
GTEX-12WSD-1226-SM-5HL9Q 60-69 years, female 73.4
GTEX-11DYG-1026-SM-5A5JQ 60-69 years, male 73.2
GTEX-132NY-1426-SM-5J1MJ 60-69 years, male 72.7
GTEX-1E2YA-0626-SM-7P8P4 50-59 years, male 72.6
GTEX-1JJEA-0926-SM-CYPSO 60-69 years, male 72.6
GTEX-117XS-0726-SM-5H131 60-69 years, male 72.2
GTEX-1HFI6-0826-SM-9YFM2 40-49 years, male 72.0
GTEX-ZDTS-1226-SM-4WKGL 60-69 years, male 71.8
GTEX-1HSKV-0726-SM-ACKWE 60-69 years, male 71.7
GTEX-12696-1226-SM-5FQSM 60-69 years, male 71.4
GTEX-WY7C-1126-SM-3NB3A 50-59 years, male 71.4
GTEX-1KD5A-0926-SM-D4P3U 50-59 years, male 71.4
GTEX-131YS-0826-SM-5PNYV 60-69 years, female 71.3
GTEX-139TU-1926-SM-5J2OC 60-69 years, male 71.3
GTEX-X8HC-1026-SM-46MWH 50-59 years, female 71.1
GTEX-1F75A-1026-SM-7PC3W 50-59 years, male 70.6
GTEX-1A8FM-1026-SM-7PC26 50-59 years, female 70.0
GTEX-ZYT6-0926-SM-5GIEM 30-39 years, male 69.8
GTEX-1HUB1-0726-SM-CGQF4 60-69 years, male 69.5
GTEX-1LVAO-0626-SM-EWRNT 60-69 years, male 69.4
GTEX-1I1GP-0626-SM-ARL7H 50-59 years, male 69.1
GTEX-11NUK-0926-SM-5HL57 50-59 years, male 68.9
GTEX-1A32A-1326-SM-73KWW 50-59 years, female 68.7
GTEX-ZF2S-0826-SM-4WWBI 50-59 years, female 68.6
GTEX-1313W-1126-SM-5EQ5U 50-59 years, female 68.4
GTEX-WI4N-0726-SM-3TW93 40-49 years, female 67.8
GTEX-1JN6P-0826-SM-ARL97 60-69 years, male 67.0
GTEX-11WQK-0226-SM-5EQLI 50-59 years, male 66.7
GTEX-1JJ6O-2226-SM-AHZ3I 60-69 years, male 66.7
GTEX-1IDJD-0226-SM-CKZOA 30-39 years, male 65.6
GTEX-13112-0526-SM-5EQ4S 50-59 years, male 65.2
GTEX-1P4AB-0926-SM-E76PV 50-59 years, male 65.1
GTEX-13OW5-0926-SM-5L3GZ 60-69 years, male 64.7
GTEX-16XZZ-1026-SM-7DHKS 60-69 years, male 64.0
GTEX-1B8L1-0426-SM-7SB76 60-69 years, male 63.8
GTEX-1GZ4I-0826-SM-9WG6O 50-59 years, male 63.4
GTEX-18A7A-1226-SM-7LTAJ 50-59 years, female 62.9
GTEX-11EMC-0826-SM-59862 60-69 years, female 61.9
GTEX-11UD2-0926-SM-5CVL6 50-59 years, male 61.8
GTEX-1IL2U-1226-SM-CL53P 60-69 years, male 61.5
GTEX-17JCI-0826-SM-7LT8W 60-69 years, female 61.1
GTEX-XXEK-2026-SM-4BRVE 50-59 years, male 61.0
GTEX-ZVT4-1326-SM-5NQ8E 50-59 years, female 60.5
GTEX-15UF7-1526-SM-6LPI7 40-49 years, male 60.4
GTEX-XBEC-1226-SM-4AT65 50-59 years, male 59.9
GTEX-1B932-1326-SM-79OM4 40-49 years, female 59.8
GTEX-13X6K-1726-SM-7IGLG 60-69 years, female 59.2
GTEX-ZVT3-0826-SM-5GIC8 60-69 years, female 59.0
GTEX-1I1CD-1326-SM-A9SMM 60-69 years, female 58.6
GTEX-WHPG-1026-SM-3NMBA 50-59 years, male 58.2
GTEX-11GSP-1226-SM-5985M 60-69 years, female 57.9
GTEX-1I1GQ-1226-SM-CL55J 50-59 years, male 57.9
GTEX-1GN1U-1426-SM-7P8TF 50-59 years, female 57.7
GTEX-1F48J-1126-SM-9WYSY 50-59 years, female 57.3
GTEX-1HC8U-0626-SM-B2LWB 40-49 years, female 57.1
GTEX-13FHO-1226-SM-5L3EF 60-69 years, male 57.0
GTEX-1CAMQ-0726-SM-7P8SG 40-49 years, male 56.5
GTEX-11EQ8-1326-SM-5EGJQ 60-69 years, male 56.4
GTEX-1A8G6-1826-SM-73KY8 60-69 years, male 56.2
GTEX-XYKS-0226-SM-4BRW3 60-69 years, female 56.0
GTEX-ZYVF-1826-SM-5E44F 50-59 years, female 55.3
GTEX-144GL-1026-SM-5O99R 50-59 years, male 54.7
GTEX-1GN1W-0226-SM-7P8QY 50-59 years, female 53.7
GTEX-14PN4-0826-SM-69LON 50-59 years, male 53.6
GTEX-1HBPH-0226-SM-9WYSM 40-49 years, female 53.6
GTEX-1M5QR-1626-SM-E9U5O 40-49 years, male 53.3
GTEX-1399T-0726-SM-5J1MH 60-69 years, male 52.6
GTEX-1HCU7-1226-SM-B2LX8 50-59 years, male 52.6
GTEX-13SLW-0826-SM-5QGP7 70-79 years, male 52.3
GTEX-13PVQ-1326-SM-5LU4J 50-59 years, male 52.1
GTEX-ZEX8-0326-SM-DO92C 50-59 years, male 51.7
GTEX-1GF9V-1726-SM-9KNW4 60-69 years, male 51.5
GTEX-13FXS-1026-SM-62LFQ 50-59 years, male 51.0
GTEX-14E6C-0326-SM-5Q5EE 40-49 years, male 50.9
GTEX-1I1GV-1426-SM-B2LXN 60-69 years, male 50.8
GTEX-1QPFJ-0926-SM-EVR3K 30-39 years, female 50.8
GTEX-16NPX-0826-SM-6M489 50-59 years, male 50.6
GTEX-1B996-1026-SM-793CF 60-69 years, male 50.6
GTEX-1LG7Y-1426-SM-D4P31 50-59 years, male 50.6
GTEX-XOT4-1126-SM-4B66E 60-69 years, female 50.5
GTEX-1HSGN-0926-SM-CNNQM 40-49 years, female 50.2
GTEX-146FH-1126-SM-5NQAT 50-59 years, female 50.0
GTEX-WOFL-1226-SM-4OOST 60-69 years, male 50.0
GTEX-1HR98-1026-SM-CKZOM 60-69 years, male 49.9
GTEX-14A6H-0326-SM-5NQAN 30-39 years, male 49.6
GTEX-15SHV-0526-SM-7KUEN 60-69 years, male 49.4
GTEX-14C38-1326-SM-62LDK 50-59 years, male 49.2
GTEX-1IY9M-0626-SM-D4P2L 60-69 years, male 48.7
GTEX-14PJM-0826-SM-6LLIW 50-59 years, female 48.6
GTEX-13FTW-0826-SM-5K7XR 40-49 years, male 48.3
GTEX-14ASI-0826-SM-5Q5EB 60-69 years, male 48.2
GTEX-15CHC-0326-SM-5ZZVP 60-69 years, female 48.2
GTEX-13PDP-1326-SM-5K7U9 60-69 years, male 48.1
GTEX-131XE-0526-SM-5K7YT 50-59 years, male 47.8
GTEX-14BIM-2726-SM-5Q5EG 60-69 years, female 47.6
GTEX-14C5O-1226-SM-664N3 60-69 years, male 47.6
GTEX-ZZPU-1126-SM-5N9CW 50-59 years, female 47.6
GTEX-15SKB-0926-SM-7KUFC 60-69 years, male 47.5
GTEX-12WSN-0226-SM-5DUXH 40-49 years, male 47.1
GTEX-14PII-1026-SM-5ZZVW 60-69 years, male 47.1
GTEX-11DXY-1026-SM-5987V 60-69 years, male 46.6
GTEX-1GMR3-0426-SM-7PC17 40-49 years, male 46.6
GTEX-1LGOU-0326-SM-D3LAM 20-29 years, female 46.4
GTEX-WZTO-1226-SM-3NMAZ 40-49 years, male 46.3
GTEX-13NZ9-0126-SM-5K7XV 50-59 years, male 45.3
GTEX-1MJIX-0426-SM-DTXEN 40-49 years, male 45.2
GTEX-1F75B-1126-SM-7RHGP 50-59 years, male 44.5
GTEX-1K2DU-0226-SM-DIPF6 20-29 years, male 44.2
GTEX-13JUV-0226-SM-5IJCC 40-49 years, female 44.1
GTEX-YF7O-0526-SM-5P9IO 50-59 years, male 44.1
GTEX-1GTWX-0926-SM-9MQKM 60-69 years, male 43.9
GTEX-1477Z-1126-SM-5P9GK 60-69 years, male 43.7
GTEX-13O3Q-0326-SM-5L3FE 50-59 years, male 43.6
GTEX-111FC-0626-SM-5N9CU 60-69 years, male 43.4
GTEX-1GMR8-1026-SM-9MQLA 50-59 years, female 43.4
GTEX-XLM4-2026-SM-4AT4X 60-69 years, male 43.3
GTEX-1J8EW-0626-SM-CM2TY 60-69 years, female 43.2
GTEX-15RJE-0726-SM-7KUEG 40-49 years, male 43.0
GTEX-12WSG-1226-SM-5EQ4C 50-59 years, female 42.8
GTEX-1RLM8-0226-SM-E6CJY 50-59 years, male 42.8
GTEX-1AYCT-0526-SM-7RHHS 50-59 years, male 42.4
GTEX-V1D1-0626-SM-4JBHN 50-59 years, male 42.2
GTEX-18A67-1026-SM-731CE 50-59 years, male 41.9
GTEX-1C64O-0926-SM-79OLN 60-69 years, male 41.8
GTEX-X4EP-0326-SM-3P5Z6 60-69 years, female 41.0
GTEX-X4XX-1126-SM-3NMBY 60-69 years, male 40.9
GTEX-132Q8-1126-SM-5K7XS 60-69 years, male 40.4
GTEX-1AX9K-0426-SM-73KUG 50-59 years, male 40.4
GTEX-14PJO-0826-SM-6ETZK 60-69 years, male 40.3
GTEX-13JVG-1126-SM-5KM2M 60-69 years, male 40.0
GTEX-1NHNU-0626-SM-E6CP1 50-59 years, male 39.9
GTEX-1RB15-0426-SM-E9U4Y 60-69 years, male 39.5
GTEX-1JMQL-1026-SM-CMKGV 50-59 years, female 39.2
GTEX-1CB4J-0226-SM-7P8T4 60-69 years, male 38.9
GTEX-18A66-1126-SM-731C5 60-69 years, male 38.8
GTEX-WYBS-1226-SM-3NM9N 60-69 years, female 38.6
GTEX-17GQL-0626-SM-731CN 60-69 years, male 38.5
GTEX-1HSMO-1126-SM-CGQF2 60-69 years, male 38.3
GTEX-ZTPG-1326-SM-51MSQ 20-29 years, female 38.2
GTEX-15SHU-0926-SM-6PAMK 40-49 years, female 38.1
GTEX-17MF6-0926-SM-7LTAL 40-49 years, male 37.9
GTEX-WQUQ-1326-SM-3MJFF 60-69 years, male 37.9
GTEX-13U4I-0626-SM-5LU5L 40-49 years, female 37.3
GTEX-16XZY-0526-SM-7DHKY 70-79 years, male 37.1
GTEX-1A3MX-1226-SM-731B3 60-69 years, male 36.8
GTEX-1CB4H-0626-SM-7IGN3 60-69 years, female 36.8
GTEX-1IDJF-0826-SM-ARU7N 20-29 years, male 36.8
GTEX-X261-0926-SM-3NMCY 50-59 years, male 36.6
GTEX-1IDJH-1126-SM-COH3R 70-79 years, male 36.5
GTEX-1IKOE-0626-SM-A9G31 30-39 years, female 36.4
GTEX-13W3W-0526-SM-5LU3X 60-69 years, female 36.3
GTEX-YEC3-0426-SM-CYPS8 50-59 years, male 36.3
GTEX-17HGU-1126-SM-793BP 50-59 years, male 36.0
GTEX-UTHO-1226-SM-3GAEE 60-69 years, male 36.0
GTEX-1KANC-0226-SM-E9TIW 50-59 years, female 36.0
GTEX-14BMV-1026-SM-5SI6B 50-59 years, male 35.6
GTEX-14PJ2-1126-SM-69LOD 50-59 years, male 35.6
GTEX-ZAB5-0126-SM-5CVMT 50-59 years, male 35.6
GTEX-VUSG-0726-SM-3GIK1 50-59 years, male 35.5
GTEX-11DXX-0526-SM-5PNVR 60-69 years, female 35.4
GTEX-1399R-1726-SM-5K7YJ 30-39 years, male 35.3
GTEX-1C2JI-0626-SM-7DHM1 50-59 years, male 35.0
GTEX-WHWD-0326-SM-3LK6L 50-59 years, male 34.9
GTEX-17KNJ-0626-SM-7LT9L 50-59 years, male 34.5
GTEX-X5EB-0626-SM-46MVQ 40-49 years, male 34.5
GTEX-ZDYS-0326-SM-5HL4W 50-59 years, male 34.5
GTEX-1CB4I-1526-SM-7DHMY 50-59 years, male 34.3
GTEX-Y114-0126-SM-4TT8K 50-59 years, female 34.3
GTEX-WWYW-1126-SM-3NB2Q 50-59 years, female 34.2
GTEX-ZF3C-1126-SM-57WEG 50-59 years, female 33.9
GTEX-14PJ6-0626-SM-686Z6 60-69 years, female 33.8
GTEX-W5X1-0826-SM-3GILN 40-49 years, female 33.7
GTEX-1122O-0626-SM-5N9B9 60-69 years, female 33.3
GTEX-ZPCL-0526-SM-DO91R 60-69 years, female 33.3
GTEX-1CB4E-0626-SM-7DHMW 60-69 years, male 33.2
GTEX-11P81-0526-SM-59873 30-39 years, female 33.1
GTEX-1HSMQ-0426-SM-ADEIM 50-59 years, male 33.1
GTEX-WEY5-0226-SM-3GIKN 40-49 years, female 32.8
GTEX-1JMOU-0326-SM-ARL8X 60-69 years, female 32.5
GTEX-13QBU-0226-SM-5LU48 40-49 years, female 32.4
GTEX-ZAJG-0926-SM-5Q5AB 50-59 years, female 32.0
GTEX-12WSA-1126-SM-5EGKU 60-69 years, male 31.8
GTEX-14XAO-0926-SM-69LPZ 60-69 years, female 31.6
GTEX-1R9K4-1026-SM-EXUT1 60-69 years, male 31.2
GTEX-14E1K-0826-SM-5ZZW9 50-59 years, male 30.9
GTEX-1ICG6-0726-SM-B2LY5 70-79 years, female 30.9
GTEX-1192X-0726-SM-5987R 50-59 years, male 30.8
GTEX-15RIE-1326-SM-6PAMM 60-69 years, male 30.8
GTEX-ZG7Y-1426-SM-4WWBM 50-59 years, male 30.5
GTEX-1445S-1226-SM-5O9BF 60-69 years, male 30.4
GTEX-13O21-0326-SM-5J1N9 50-59 years, male 30.2
GTEX-11DXZ-0326-SM-5EGH1 50-59 years, male 29.9
GTEX-139YR-0526-SM-5L3DG 50-59 years, male 29.9
GTEX-1GF9U-0526-SM-7P8SK 40-49 years, female 29.8
GTEX-Y3IK-1026-SM-51MR7 50-59 years, female 29.5
GTEX-1H11D-1026-SM-9QEIU 40-49 years, male 29.5
GTEX-XPVG-0726-SM-4B658 50-59 years, male 29.3
GTEX-1AX8Z-1126-SM-731CS 60-69 years, male 29.1
GTEX-1LSNM-0426-SM-E9TIZ 50-59 years, male 28.8
GTEX-15EU6-1326-SM-6PANG 50-59 years, male 28.7
GTEX-1H1DG-0826-SM-9QEIW 70-79 years, male 28.7
GTEX-1IDJU-0626-SM-CKZOG 60-69 years, female 28.7
GTEX-13NZB-0426-SM-5KM26 30-39 years, male 28.6
GTEX-14PK6-0726-SM-6LLIX 70-79 years, female 28.6
GTEX-ZYFG-0526-SM-5GZXX 60-69 years, female 28.3
GTEX-1HCVE-0826-SM-CM2SF 50-59 years, male 28.1
GTEX-132QS-0526-SM-5IJC7 60-69 years, male 27.8
GTEX-146FR-0926-SM-5QGPE 60-69 years, female 27.8
GTEX-WFG8-0726-SM-3GILP 20-29 years, male 27.8
GTEX-WH7G-0326-SM-3NMBH 40-49 years, male 27.8
GTEX-15CHR-0326-SM-7DHN3 50-59 years, male 27.6
GTEX-17F9Y-1226-SM-7EPGE 70-79 years, female 27.4
GTEX-1F75I-1326-SM-7PBZX 40-49 years, male 27.4
GTEX-ZPIC-0426-SM-DO91V 40-49 years, female 26.8
GTEX-ZDTT-0326-SM-4WKF9 60-69 years, male 26.1
GTEX-1MCC2-0226-SM-EVYD5 30-39 years, female 26.1
GTEX-YB5K-0226-SM-5IFJE 40-49 years, female 26.0
GTEX-XV7Q-0726-SM-4BRV6 40-49 years, female 25.8
GTEX-1117F-0726-SM-5GIEN 60-69 years, female 25.7
GTEX-ZF29-0426-SM-4WKFN 60-69 years, female 25.7
GTEX-13RTJ-0526-SM-62LDP 60-69 years, male 25.5
GTEX-11ZTT-0526-SM-5EQLA 60-69 years, female 25.4
GTEX-15SDE-1826-SM-7KUFN 50-59 years, female 25.3
GTEX-11TT1-1426-SM-5EGIA 20-29 years, male 24.9
GTEX-132AR-1926-SM-5EGK5 50-59 years, female 24.6
GTEX-12BJ1-0326-SM-5FQUB 60-69 years, male 24.0
GTEX-1R9JW-0426-SM-E76QL 30-39 years, female 23.9
GTEX-1B97J-0326-SM-7939H 50-59 years, female 23.8
GTEX-1LVAN-1526-SM-CNPQN 50-59 years, female 23.8
GTEX-1J8QM-0326-SM-CL53D 60-69 years, female 23.7
GTEX-ZGAY-0226-SM-4WWAL 40-49 years, female 23.5
GTEX-13NYS-1926-SM-5IJCB 60-69 years, male 23.3
GTEX-1J8Q2-1026-SM-ARU8I 60-69 years, male 23.2
GTEX-ZYFD-2026-SM-5E459 50-59 years, male 22.9
GTEX-1211K-0226-SM-59HJY 60-69 years, female 22.7
GTEX-1OFPY-0926-SM-DTX8Q 60-69 years, male 22.0
GTEX-1R7EV-0426-SM-DTX7Z 40-49 years, male 22.0
GTEX-131XG-0526-SM-5DUWF 50-59 years, female 21.7
GTEX-WFON-0226-SM-3GIKR 40-49 years, male 21.6
GTEX-1JMQK-0926-SM-ARL96 60-69 years, male 21.6
GTEX-ZVT2-0926-SM-5GICE 50-59 years, female 21.5
GTEX-1HBPN-0926-SM-CGQEG 50-59 years, male 21.3
GTEX-1AX9J-0926-SM-73KXA 60-69 years, male 21.1
GTEX-17F9E-0726-SM-793A1 50-59 years, male 20.8
GTEX-145MN-0726-SM-5NQBH 30-39 years, male 20.7
GTEX-XPT6-0226-SM-4B65L 20-29 years, male 20.6
GTEX-1KXAM-1426-SM-D3LAC 60-69 years, male 20.6
GTEX-1HCUA-0626-SM-ACKVT 50-59 years, female 20.2
GTEX-1QP29-1426-SM-DTX9Q 50-59 years, male 20.1
GTEX-1B8KE-0326-SM-73KTY 50-59 years, male 19.8
GTEX-13PVR-0926-SM-5S2RB 60-69 years, female 19.7
GTEX-16MT8-0826-SM-7KULO 60-69 years, female 19.6
GTEX-14PHY-0326-SM-62LE3 60-69 years, female 19.5
GTEX-Y8E4-0426-SM-4V6GB 40-49 years, male 18.9
GTEX-13FH7-0826-SM-5J2NW 50-59 years, female 18.8
GTEX-17F96-0826-SM-7DHLU 70-79 years, male 18.4
GTEX-13D11-1526-SM-5J2NA 50-59 years, female 18.2
GTEX-13VXT-0726-SM-5SIAD 20-29 years, female 18.2
GTEX-14PHX-0626-SM-5YY8Z 50-59 years, male 17.9
GTEX-1JK1U-0626-SM-CKZOJ 60-69 years, male 17.5
GTEX-X3Y1-0226-SM-3P5Z5 40-49 years, male 17.1
GTEX-1QCLZ-1126-SM-EWRNB 60-69 years, female 16.6
GTEX-1LGRB-1026-SM-CNPQD 50-59 years, female 16.3
GTEX-131XF-0426-SM-5HL7U 60-69 years, male 16.1
GTEX-1J8Q3-1126-SM-ARU8N 60-69 years, male 16.1
GTEX-YEC4-0226-SM-4W1YG 40-49 years, male 15.9
GTEX-1GMR2-1326-SM-9KNUT 50-59 years, male 15.9
GTEX-18D9U-1426-SM-718BO 40-49 years, male 15.7
GTEX-XGQ4-0526-SM-4AT6C 50-59 years, male 15.7
GTEX-14H4A-0426-SM-5ZZWO 40-49 years, female 15.4
GTEX-111YS-0326-SM-5GZZ3 60-69 years, male 15.2
GTEX-13O61-0426-SM-5L3ET 60-69 years, male 15.1
GTEX-1H2FU-0826-SM-9WYSU 60-69 years, female 15.0
GTEX-11LCK-0826-SM-5PNYD 30-39 years, male 14.9
GTEX-1399S-0826-SM-5KM23 30-39 years, female 14.9
GTEX-1HFI7-0526-SM-A9SMA 50-59 years, female 14.7
GTEX-12WSK-0526-SM-5CVNA 40-49 years, female 14.6
GTEX-WYJK-1126-SM-3NM9Z 50-59 years, male 14.6
GTEX-ZV7C-0526-SM-9WPNK 50-59 years, male 14.4
GTEX-183WM-0926-SM-718AN 70-79 years, female 14.3
GTEX-1339X-0326-SM-5K7Z8 40-49 years, male 14.2
GTEX-11EM3-0426-SM-5N9BZ 20-29 years, female 13.7
GTEX-V955-0826-SM-CYPR5 60-69 years, male 13.7
GTEX-WFG7-0826-SM-3GIKU 20-29 years, male 13.6
GTEX-ZT9W-0526-SM-57WFG 50-59 years, male 13.1
GTEX-1L5NE-0526-SM-DIPG5 50-59 years, male 13.0
GTEX-18D9B-1126-SM-7KFSH 60-69 years, male 12.9
GTEX-14PJ4-0926-SM-5YY98 60-69 years, male 12.8
GTEX-145LV-0226-SM-5S2QG 50-59 years, male 12.7
GTEX-Y3I4-0526-SM-4TT6X 50-59 years, male 12.7
GTEX-ZZPT-0926-SM-5GICZ 50-59 years, male 12.6
GTEX-13N11-0726-SM-5L3DP 50-59 years, female 12.3
GTEX-15DCE-0826-SM-7KULW 20-29 years, male 12.3
GTEX-1CAMS-1126-SM-7MXUQ 40-49 years, female 12.3
GTEX-13OVI-0326-SM-5K7X1 60-69 years, female 12.0
GTEX-XQ8I-0226-SM-4BOPM 50-59 years, male 11.8
GTEX-13OVG-0426-SM-5KM2T 60-69 years, male 11.7
GTEX-13PL7-0726-SM-5KM1S 60-69 years, female 11.6
GTEX-14PN3-0726-SM-6EU14 60-69 years, female 11.5
GTEX-1EH9U-0626-SM-7PC33 60-69 years, male 10.8
GTEX-117YX-0626-SM-5EGJI 50-59 years, male 10.2
GTEX-13YAN-1426-SM-7EPG8 60-69 years, male 9.8
GTEX-1399U-0726-SM-5KM1D 50-59 years, female 8.5
GTEX-ZLFU-0326-SM-4WWBK 40-49 years, male 8.4
GTEX-1GL5R-0426-SM-9WPOP 50-59 years, male 8.2
Show allShow less
Heart - Left Ventricle
Average nTPM: 48.9
Samples: 432

Max nTPM: 287.6
Min nTPM: 5.9
Std nTPM: 42.1
Median nTPM: 33.7
GTEX-1NV8Z-1526-SM-DTX8X 60-69 years, male 287.6
GTEX-1LVA9-0926-SM-EVR5G 50-59 years, male 260.6
GTEX-1EKGG-1126-SM-7MGXB 60-69 years, male 226.1
GTEX-1RAZS-0826-SM-E76QP 50-59 years, male 216.5
GTEX-1I1GV-1326-SM-A96SE 60-69 years, male 202.0
GTEX-ZYT6-1726-SM-5E44P 30-39 years, male 197.8
GTEX-14E6D-0926-SM-5S2QV 50-59 years, male 193.1
GTEX-1HT8W-1726-SM-CNNQB 30-39 years, male 176.2
GTEX-PVOW-0426-SM-5MR5R 40-49 years, male 171.4
GTEX-14E7W-1226-SM-5RQIU 70-79 years, male 160.6
GTEX-ZUA1-0826-SM-4YCDL 40-49 years, male 160.6
GTEX-1IDJH-1026-SM-E9TKH 70-79 years, male 157.7
GTEX-1F6IF-2526-SM-7P8TV 60-69 years, male 153.1
GTEX-1GN2E-1326-SM-9KNVG 60-69 years, male 148.9
GTEX-13FHP-1026-SM-5K7Y2 50-59 years, male 147.9
GTEX-1H1CY-0326-SM-9QEIZ 60-69 years, female 146.4
GTEX-13FTZ-0226-SM-5K7X6 60-69 years, male 145.8
GTEX-1I1GP-0826-SM-A96SD 50-59 years, male 139.3
GTEX-1399T-0426-SM-5PNVJ 60-69 years, male 136.6
GTEX-1A8G6-1626-SM-7MGWO 60-69 years, male 131.1
GTEX-N7MS-0826-SM-2HML4 60-69 years, male 130.4
GTEX-WK11-0826-SM-EZ6LH 50-59 years, male 129.7
GTEX-1LB8K-1026-SM-DHXJJ 50-59 years, male 128.7
GTEX-13NYB-0226-SM-5N9G4 40-49 years, male 128.5
GTEX-1E1VI-1326-SM-7IGQD 50-59 years, male 128.5
GTEX-1212Z-0626-SM-5FQTB 60-69 years, male 126.3
GTEX-1IKJJ-0826-SM-A96SP 60-69 years, male 124.8
GTEX-117YW-0326-SM-5N9CY 50-59 years, male 124.7
GTEX-12ZZY-1126-SM-5DUWQ 60-69 years, male 124.2
GTEX-1PPGY-1126-SM-E76OU 60-69 years, male 123.0
GTEX-17HHY-1426-SM-7EWDQ 50-59 years, male 122.8
GTEX-18A6Q-1626-SM-7KFTA 60-69 years, male 122.1
GTEX-14BIL-1126-SM-79OMC 50-59 years, male 120.9
GTEX-11GS4-0526-SM-5A5KQ 60-69 years, male 120.0
GTEX-WL46-0926-SM-3LK7T 50-59 years, male 118.2
GTEX-147JS-1526-SM-5ZZWF 60-69 years, male 118.0
GTEX-1EWIQ-1426-SM-7IGOS 70-79 years, female 118.0
GTEX-T6MN-0926-SM-32PLX 50-59 years, male 116.1
GTEX-RN64-0826-SM-2TC62 50-59 years, male 115.8
GTEX-17JCI-1126-SM-7IGMM 60-69 years, female 115.3
GTEX-15DYW-1126-SM-6LPK5 60-69 years, female 114.5
GTEX-13OW8-2126-SM-5J1OS 60-69 years, male 112.7
GTEX-1EX96-2526-SM-7RHGW 50-59 years, male 109.5
GTEX-13X6K-1826-SM-5O9CR 60-69 years, female 107.7
GTEX-T2IS-0426-SM-32QPE 20-29 years, female 107.6
GTEX-111FC-0826-SM-5GZWO 60-69 years, male 104.7
GTEX-1BAJH-1626-SM-73KUV 70-79 years, male 103.6
GTEX-13N1W-1026-SM-5IJC5 70-79 years, male 103.4
GTEX-ZDTS-1326-SM-6LLHE 60-69 years, male 102.9
GTEX-ZYFC-1126-SM-5E44W 50-59 years, male 101.8
GTEX-13112-0426-SM-5PNVC 50-59 years, male 101.7
GTEX-1F6I4-0726-SM-7PC2P 60-69 years, male 101.7
GTEX-13SLX-1026-SM-5ZZUQ 50-59 years, female 99.6
GTEX-14JG1-1026-SM-6ETZY 40-49 years, male 98.2
GTEX-1GMRU-1526-SM-9WYT5 50-59 years, male 97.9
GTEX-1GF9V-1626-SM-7PBXL 60-69 years, male 97.4
GTEX-12WSC-1126-SM-5EQ4G 50-59 years, male 96.3
GTEX-15CHQ-1526-SM-69LPW 60-69 years, male 95.6
GTEX-18465-0926-SM-731AY 50-59 years, male 94.9
GTEX-11DXY-0826-SM-5EGGR 60-69 years, male 90.4
GTEX-ZF3C-1226-SM-4WWCB 50-59 years, female 90.0
GTEX-1C6VQ-1126-SM-7EWET 50-59 years, male 89.6
GTEX-SIU8-0826-SM-2XCDQ 50-59 years, male 89.3
GTEX-1CB4G-0826-SM-7DUGF 60-69 years, male 88.1
GTEX-1GN73-2426-SM-7RHFQ 60-69 years, male 87.9
GTEX-1O97I-0826-SM-E8VNE 60-69 years, male 87.2
GTEX-14PJ2-1026-SM-6EU1M 50-59 years, male 87.1
GTEX-16YQH-0926-SM-793BC 30-39 years, male 86.1
GTEX-1B8L1-0526-SM-79ONX 60-69 years, male 86.0
GTEX-13JVG-1326-SM-5N9F8 60-69 years, male 85.9
GTEX-1B8SG-0826-SM-7EWF7 50-59 years, male 85.2
GTEX-13OVL-0526-SM-5KLZQ 50-59 years, male 84.8
GTEX-13O1R-1226-SM-5J1NU 60-69 years, male 84.4
GTEX-1JJEA-0826-SM-CL53T 60-69 years, male 83.9
GTEX-14PJM-1126-SM-6LLHK 50-59 years, female 83.2
GTEX-1KD4Q-0726-SM-DIPGE 40-49 years, male 82.8
GTEX-1313W-1426-SM-5KLZU 50-59 years, female 80.7
GTEX-YJ8O-0926-SM-EAZ2Z 40-49 years, female 79.9
GTEX-S33H-0526-SM-COH1W 30-39 years, male 78.7
GTEX-147F4-1226-SM-5NQAY 50-59 years, male 77.9
GTEX-ZDXO-0726-SM-57WBT 60-69 years, male 75.2
GTEX-11ONC-0126-SM-5PNW6 60-69 years, male 75.1
GTEX-14DAQ-1126-SM-664MT 60-69 years, female 75.0
GTEX-1I1HK-0726-SM-B2LY4 60-69 years, male 74.6
GTEX-1GN1V-0826-SM-9KNU6 60-69 years, male 72.4
GTEX-15ER7-1726-SM-6PAMX 20-29 years, female 72.1
GTEX-R55E-1026-SM-2TC5S 20-29 years, male 72.1
GTEX-14BIN-2226-SM-5YYA1 50-59 years, female 72.0
GTEX-15SHU-1126-SM-7KUMB 40-49 years, female 72.0
GTEX-11O72-1126-SM-5N9E2 40-49 years, male 71.2
GTEX-11GSP-1326-SM-5A5KY 60-69 years, female 70.4
GTEX-WHSE-0926-SM-3NMBS 20-29 years, male 69.6
GTEX-1EN7A-0726-SM-7PBXT 40-49 years, male 69.6
GTEX-1JJE9-1426-SM-ARL8P 70-79 years, male 69.0
GTEX-1I1GQ-1426-SM-B2LWY 50-59 years, male 67.5
GTEX-1HBPH-0126-SM-CNNQ7 40-49 years, female 67.3
GTEX-Y5V5-0626-SM-4VBPX 60-69 years, female 67.0
GTEX-WI4N-0626-SM-3TW8Z 40-49 years, female 66.4
GTEX-1LG7Y-1226-SM-CXZKD 50-59 years, male 66.4
GTEX-14JIY-1126-SM-6EU28 60-69 years, male 66.3
GTEX-1AX9I-1126-SM-7EPHH 60-69 years, male 66.1
GTEX-WZTO-1326-SM-3NM8X 40-49 years, male 65.7
GTEX-13FLV-0926-SM-5L3DZ 50-59 years, male 64.9
GTEX-1JMLX-1626-SM-ARZMV 50-59 years, male 64.2
GTEX-RNOR-0826-SM-2TF5C 50-59 years, female 63.9
GTEX-1JN6P-1126-SM-CKZON 60-69 years, male 63.6
GTEX-XQ3S-0626-SM-4BOOB 20-29 years, male 63.5
GTEX-13OW6-1126-SM-5L3HL 50-59 years, male 63.4
GTEX-13CF2-0426-SM-5KM1H 60-69 years, male 62.8
GTEX-11ZUS-0226-SM-5FQT8 30-39 years, male 62.4
GTEX-QVJO-1926-SM-2S1QZ 60-69 years, female 62.4
GTEX-16NPX-0926-SM-7KUEZ 50-59 years, male 61.6
GTEX-YFC4-0526-SM-5ZZVI 40-49 years, female 60.9
GTEX-1K9T9-1126-SM-D3L9E 50-59 years, female 60.8
GTEX-ZF2S-1026-SM-9QEGK 50-59 years, female 60.3
GTEX-11TUW-1026-SM-5GU7D 60-69 years, male 60.1
GTEX-12ZZZ-1726-SM-59HK5 60-69 years, male 59.4
GTEX-1EU9M-1826-SM-7DUGU 60-69 years, male 59.4
GTEX-1EMGI-1226-SM-793DD 60-69 years, male 58.9
GTEX-14XAO-1126-SM-6EU11 60-69 years, female 58.8
GTEX-RWSA-0626-SM-2XCBD 40-49 years, male 58.2
GTEX-1269C-0826-SM-5N9EM 60-69 years, female 57.9
GTEX-OIZI-0926-SM-E6CHF 40-49 years, male 57.9
GTEX-13OW5-1126-SM-5J1NR 60-69 years, male 57.5
GTEX-RU72-0326-SM-2TF5T 50-59 years, female 57.4
GTEX-OXRO-2026-SM-2YUMZ 60-69 years, female 57.3
GTEX-1J8EW-0926-SM-A9G33 60-69 years, female 56.8
GTEX-1B996-1126-SM-73KWN 60-69 years, male 55.9
GTEX-11ZVC-0426-SM-5CVLD 50-59 years, female 55.7
GTEX-RTLS-0826-SM-2TF5Q 60-69 years, female 55.6
GTEX-1H3NZ-1126-SM-9WYT9 60-69 years, male 55.6
GTEX-QEG4-0426-SM-33HC3 30-39 years, male 55.5
GTEX-XBEC-1326-SM-4AT69 50-59 years, male 55.5
GTEX-14C39-0926-SM-5TDDV 40-49 years, male 55.2
GTEX-1HSMO-1226-SM-CL548 60-69 years, male 55.2
GTEX-1GZ4I-1026-SM-9KNV5 50-59 years, male 54.5
GTEX-1POEN-0626-SM-EVR4B 30-39 years, female 53.9
GTEX-R55G-0526-SM-2TC5O 40-49 years, female 53.3
GTEX-1R9K5-1326-SM-E6CPR 50-59 years, male 52.7
GTEX-15DDE-1126-SM-6LLHN 50-59 years, female 52.5
GTEX-18A66-1226-SM-7LT8G 60-69 years, male 52.5
GTEX-148VJ-1526-SM-5Q5DU 70-79 years, male 52.2
GTEX-13W3W-0426-SM-5SI9D 60-69 years, female 52.1
GTEX-1HCVE-1126-SM-9WPPG 50-59 years, male 51.4
GTEX-PX3G-0326-SM-2I3EO 20-29 years, female 51.2
GTEX-14C5O-1326-SM-5S2UW 60-69 years, male 50.7
GTEX-WRHU-1226-SM-4E3IJ 50-59 years, female 50.6
GTEX-132NY-1726-SM-5EGKK 60-69 years, male 50.1
GTEX-P44G-0826-SM-2I5ES 30-39 years, male 50.0
GTEX-1IDJE-0326-SM-CM2TD 50-59 years, female 49.5
GTEX-U8XE-1126-SM-3DB8W 30-39 years, male 48.9
GTEX-1HC8U-0726-SM-ACKXL 40-49 years, female 48.9
GTEX-OIZG-1126-SM-2HMIU 50-59 years, male 48.8
GTEX-15RJ7-0226-SM-7KUMN 40-49 years, male 48.7
GTEX-QESD-0526-SM-2I5G5 20-29 years, male 48.5
GTEX-131XH-0226-SM-5LZVB 50-59 years, male 47.8
GTEX-ZDYS-0226-SM-5HL4K 50-59 years, male 47.4
GTEX-12WSD-1126-SM-5EGJD 60-69 years, female 47.1
GTEX-12WSK-0626-SM-5LZUJ 40-49 years, female 46.9
GTEX-1GN1W-0326-SM-9JGHF 50-59 years, female 46.9
GTEX-11EM3-0626-SM-5H12Z 20-29 years, female 46.8
GTEX-13O3P-1626-SM-5K7X3 50-59 years, male 46.0
GTEX-1RQEC-0926-SM-EWROG 60-69 years, male 45.8
GTEX-14A6H-0226-SM-5Q5DX 30-39 years, male 45.5
GTEX-1JMOU-0226-SM-CNNPD 60-69 years, female 45.4
GTEX-ZEX8-0426-SM-DO92Y 50-59 years, male 45.4
GTEX-P4QS-0326-SM-2I3EU 60-69 years, male 45.3
GTEX-14E6C-0426-SM-5YYA8 40-49 years, male 45.2
GTEX-PWCY-0526-SM-5P9HG 20-29 years, female 44.8
GTEX-U4B1-0326-SM-3DB8K 40-49 years, male 44.4
GTEX-148VI-0326-SM-5RQK7 60-69 years, female 44.3
GTEX-11EMC-0726-SM-5EGJO 60-69 years, female 43.2
GTEX-1KD5A-1026-SM-CY8I8 50-59 years, male 43.0
GTEX-1JN1M-1026-SM-CNPOS 60-69 years, female 42.7
GTEX-14PK6-0826-SM-5ZZVO 70-79 years, female 42.0
GTEX-13NZB-0226-SM-5KM1T 30-39 years, male 41.9
GTEX-12696-1126-SM-5FQTI 60-69 years, male 41.4
GTEX-X261-1426-SM-4PQZ1 50-59 years, male 41.4
GTEX-17MF6-0726-SM-7LT8E 40-49 years, male 40.9
GTEX-WHPG-0826-SM-3NMBF 50-59 years, male 40.8
GTEX-QMRM-0526-SM-2I5GA 50-59 years, male 40.5
GTEX-13PVQ-1226-SM-5IJDC 50-59 years, male 40.4
GTEX-ZVT2-1026-SM-5GU55 50-59 years, female 40.0
GTEX-15RIE-1726-SM-7KUMU 60-69 years, male 40.0
GTEX-1HCU6-1026-SM-A9G25 60-69 years, female 39.8
GTEX-1B932-1026-SM-793CL 40-49 years, female 39.7
GTEX-WY7C-0526-SM-3NB3D 50-59 years, male 38.7
GTEX-YF7O-0426-SM-5P9FS 50-59 years, male 38.5
GTEX-1399R-1926-SM-5K7X8 30-39 years, male 37.9
GTEX-12584-0926-SM-5FQTN 40-49 years, male 37.7
GTEX-1GF9U-0426-SM-7RHHA 40-49 years, female 37.7
GTEX-OHPL-0326-SM-33HC8 60-69 years, female 37.3
GTEX-13U4I-0826-SM-5SIBD 40-49 years, female 37.2
GTEX-15RJE-0626-SM-7KUKR 40-49 years, male 36.7
GTEX-17HGU-1026-SM-79OKL 50-59 years, male 36.6
GTEX-ZAJG-0826-SM-5PNVA 50-59 years, female 35.9
GTEX-1H11D-1226-SM-9WPQ2 40-49 years, male 35.9
GTEX-1RB15-0326-SM-E6CQB 60-69 years, male 35.4
GTEX-1C64O-0826-SM-79OKZ 60-69 years, male 35.2
GTEX-1GTWX-1026-SM-7P8QW 60-69 years, male 35.2
GTEX-1314G-0126-SM-5LZUL 30-39 years, male 35.1
GTEX-1AYCT-0426-SM-73KVZ 50-59 years, male 35.1
GTEX-1CB4J-0326-SM-7PBZO 60-69 years, male 35.1
GTEX-ZAB4-1026-SM-5HL7T 40-49 years, male 34.9
GTEX-ZPU1-0626-SM-4YCDM 40-49 years, male 34.9
GTEX-17GQL-0526-SM-72D5N 60-69 years, male 34.8
GTEX-UPK5-0326-SM-CYPR4 40-49 years, male 34.8
GTEX-17KNJ-0826-SM-793A4 50-59 years, male 34.7
GTEX-14PJ6-0726-SM-69LOL 60-69 years, female 34.5
GTEX-1MJIX-0326-SM-EVR42 40-49 years, male 34.2
GTEX-1AX8Z-5007-SM-AHZ36 60-69 years, male 34.1
GTEX-WEY5-0426-SM-3GIKT 40-49 years, female 34.0
GTEX-P78B-0426-SM-2I5F5 40-49 years, female 33.9
GTEX-1IDJU-0726-SM-CNPQ9 60-69 years, female 33.9
GTEX-11I78-0826-SM-5A5K4 50-59 years, female 33.8
GTEX-R53T-0926-SM-3GADH 50-59 years, female 33.7
GTEX-N7MT-1326-SM-2I3FV 60-69 years, female 33.6
GTEX-X8HC-1626-SM-46MWE 50-59 years, female 33.5
GTEX-1JMPZ-1426-SM-CJI3C 30-39 years, male 33.0
GTEX-1F48J-1026-SM-7P8SO 50-59 years, female 32.8
GTEX-R45C-0926-SM-3GAD4 60-69 years, female 32.7
GTEX-1IL2U-1326-SM-A9G2O 60-69 years, male 32.4
GTEX-1CB4E-0526-SM-7MXTK 60-69 years, male 32.0
GTEX-O5YV-0326-SM-2I5H2 60-69 years, female 31.7
GTEX-145MO-1126-SM-5NQBX 60-69 years, male 31.6
GTEX-12WSG-0526-SM-5FQTH 50-59 years, female 31.3
GTEX-SNMC-0126-SM-2XCFO 20-29 years, male 31.3
GTEX-13O3O-1526-SM-5KM1C 60-69 years, female 31.1
GTEX-17F9Y-1326-SM-7MGW9 70-79 years, female 31.0
GTEX-ZGAY-0326-SM-57WF5 40-49 years, female 30.9
GTEX-1A3MW-1326-SM-7189P 60-69 years, female 30.8
GTEX-145MN-0626-SM-5QGRH 30-39 years, male 30.5
GTEX-U3ZH-0326-SM-3DB7A 30-39 years, male 30.5
GTEX-1PPH7-2026-SM-E9J3N 40-49 years, male 30.5
GTEX-146FH-1026-SM-5RQIF 50-59 years, female 30.4
GTEX-14H4A-0626-SM-5ZZUT 40-49 years, female 30.2
GTEX-QEG5-0926-SM-2TC64 20-29 years, male 30.2
GTEX-1H23P-1226-SM-9QEJ2 60-69 years, male 30.2
GTEX-18A67-1226-SM-7KFRS 50-59 years, male 29.9
GTEX-11DXZ-0626-SM-5GU77 50-59 years, male 29.8
GTEX-16BQI-0926-SM-6M485 30-39 years, female 29.7
GTEX-P44H-0726-SM-48TBT 40-49 years, male 29.4
GTEX-QDVJ-0426-SM-2I5FW 50-59 years, male 29.4
GTEX-ZDTT-0726-SM-4WKFK 60-69 years, male 29.4
GTEX-WWYW-1326-SM-3NB2S 50-59 years, female 29.2
GTEX-1ICLY-1326-SM-CJI47 50-59 years, male 29.1
GTEX-17HII-1326-SM-7IGOB 50-59 years, male 28.6
GTEX-15CHR-0226-SM-7PC2Z 50-59 years, male 28.6
GTEX-WHWD-0426-SM-3LK83 50-59 years, male 28.2
GTEX-ZZPU-0926-SM-5GZYT 50-59 years, female 28.2
GTEX-1GMR3-0326-SM-7P8QT 40-49 years, male 28.2
GTEX-1ICLZ-1026-SM-A9SLF 60-69 years, male 28.2
GTEX-1J8Q3-1226-SM-CKZPT 60-69 years, male 28.2
GTEX-15CHC-0426-SM-6LLHI 60-69 years, female 28.1
GTEX-131XE-0626-SM-5HL98 50-59 years, male 28.0
GTEX-13FTW-1026-SM-5L3E3 40-49 years, male 27.9
GTEX-Y3IK-0826-SM-51MT8 50-59 years, female 27.9
GTEX-1LGOU-0726-SM-E9TIY 20-29 years, female 27.5
GTEX-1R9K4-1326-SM-DTX8G 60-69 years, male 27.4
GTEX-14A5I-1226-SM-5NQBW 50-59 years, female 27.2
GTEX-1MCC2-0326-SM-EV7AK 30-39 years, female 27.2
GTEX-WH7G-0426-SM-3NMBJ 40-49 years, male 27.1
GTEX-1HSGN-1126-SM-CJI4G 40-49 years, female 27.1
GTEX-1M5QR-1026-SM-DHXK9 40-49 years, male 26.9
GTEX-1211K-0626-SM-5FQUZ 60-69 years, female 26.7
GTEX-1AX9K-0526-SM-73KV1 50-59 years, male 26.7
GTEX-U3ZN-1426-SM-3DB87 30-39 years, female 26.7
GTEX-V1D1-0526-SM-4JBGW 50-59 years, male 26.5
GTEX-1LH75-0426-SM-E9TJF 50-59 years, female 26.5
GTEX-1F75I-1126-SM-9WYUO 40-49 years, male 26.4
GTEX-QLQ7-0526-SM-2I5G3 60-69 years, male 26.3
GTEX-1CB4I-1626-SM-7RHGV 50-59 years, male 26.3
GTEX-1I6K7-0626-SM-ARL7Q 40-49 years, male 26.3
GTEX-1JJ6O-2126-SM-CNNP6 60-69 years, male 26.3
GTEX-YB5K-0126-SM-5IFJ2 40-49 years, female 26.1
GTEX-1PWST-1026-SM-DTXF2 70-79 years, male 26.1
GTEX-13X6I-1426-SM-5SI9Z 60-69 years, male 26.0
GTEX-1J8QM-0426-SM-AHZ3X 60-69 years, female 25.9
GTEX-11DXX-0326-SM-5PNWC 60-69 years, female 25.6
GTEX-Y8E4-0326-SM-4VBRR 40-49 years, male 25.4
GTEX-1QPFJ-1026-SM-E6CR6 30-39 years, female 24.8
GTEX-ZTPG-1226-SM-4YCDO 20-29 years, female 24.7
GTEX-SE5C-0626-SM-2XCDV 40-49 years, female 24.6
GTEX-1IDJF-0726-SM-CJI1U 20-29 years, male 24.5
GTEX-ZAB5-0226-SM-5CVMH 50-59 years, male 24.4
GTEX-1QP2A-1126-SM-EVR3H 50-59 years, male 24.4
GTEX-1HBPM-1226-SM-A9SM8 60-69 years, female 24.2
GTEX-ZPCL-0426-SM-DNZZ4 60-69 years, female 24.2
GTEX-X15G-0426-SM-4PQZ6 50-59 years, female 24.0
GTEX-ZPIC-0826-SM-4WWFJ 40-49 years, female 24.0
GTEX-1IKK5-1526-SM-CKZPW 60-69 years, male 23.9
GTEX-139YR-0826-SM-5LZXY 50-59 years, male 23.8
GTEX-15EOM-5007-SM-793DG 20-29 years, female 23.6
GTEX-11TT1-1326-SM-5PNYM 20-29 years, male 23.3
GTEX-POMQ-0326-SM-2I5FO 20-29 years, female 23.0
GTEX-14E1K-1026-SM-73KUR 50-59 years, male 22.8
GTEX-ZF29-0226-SM-4WKHO 60-69 years, female 22.8
GTEX-O5YT-0326-SM-32PKA 20-29 years, male 22.7
GTEX-15SHW-1226-SM-6M46C 60-69 years, male 22.2
GTEX-1J8Q2-1226-SM-A9G2W 60-69 years, male 22.2
GTEX-XPVG-0826-SM-4B654 50-59 years, male 22.1
GTEX-16XZY-0426-SM-793BI 70-79 years, male 21.9
GTEX-146FR-0626-SM-5RQJ1 60-69 years, female 21.7
GTEX-WFON-0326-SM-3GIKX 40-49 years, male 21.6
GTEX-1B97J-0726-SM-7RHG3 50-59 years, female 21.6
GTEX-1R9JW-0526-SM-EWRNK 30-39 years, female 21.6
GTEX-1KXAM-1326-SM-E9TJW 60-69 years, male 21.4
GTEX-1QP29-1526-SM-EXUSY 50-59 years, male 21.4
GTEX-1LC47-1026-SM-D3LAH 60-69 years, male 21.3
GTEX-1B8KE-0126-SM-793AM 50-59 years, male 20.8
GTEX-1EH9U-0826-SM-7IGPT 60-69 years, male 20.8
GTEX-REY6-1026-SM-2TF4Y 60-69 years, male 20.6
GTEX-1C2JI-0526-SM-7EWEQ 50-59 years, male 20.3
GTEX-XXEK-0926-SM-4BRWH 50-59 years, male 20.3
GTEX-13S86-0226-SM-5S2PJ 40-49 years, male 20.2
GTEX-1497J-1226-SM-5Q5BL 60-69 years, male 20.2
GTEX-P4PP-0326-SM-33HC4 30-39 years, female 20.2
GTEX-1LSNM-0526-SM-DIPG6 50-59 years, male 20.2
GTEX-145LV-0326-SM-5Q5BW 50-59 years, male 20.1
GTEX-WQUQ-1426-SM-3MJFD 60-69 years, male 20.1
GTEX-XPT6-0126-SM-4B65S 20-29 years, male 20.1
GTEX-WFG8-0626-SM-3GILJ 20-29 years, male 19.9
GTEX-1HSMQ-0226-SM-C1YQL 50-59 years, male 19.8
GTEX-1KANC-0426-SM-CXZK5 50-59 years, female 19.8
GTEX-16MT8-0926-SM-6M487 60-69 years, female 19.6
GTEX-WFG7-0726-SM-3GIKO 20-29 years, male 19.6
GTEX-1LVAN-1726-SM-CNNR1 50-59 years, female 19.6
GTEX-UJMC-0526-SM-3GAE3 50-59 years, male 19.5
GTEX-XGQ4-0326-SM-4GIEE 50-59 years, male 19.5
GTEX-1N2EF-2826-SM-E6CQF 60-69 years, male 19.5
GTEX-1O9I2-1126-SM-DTXEA 50-59 years, male 19.5
GTEX-1339X-0426-SM-5KLZY 40-49 years, male 19.4
GTEX-14C38-1426-SM-5RQHZ 50-59 years, male 19.4
GTEX-1IKOE-1026-SM-ARZMF 30-39 years, female 19.3
GTEX-131XG-0626-SM-5GCMP 50-59 years, female 19.2
GTEX-X3Y1-0426-SM-3P5Z4 40-49 years, male 19.1
GTEX-Y5V6-0826-SM-4VBRU 60-69 years, male 19.0
GTEX-132AR-2026-SM-5IJG4 50-59 years, female 18.9
GTEX-OIZF-0326-SM-3MJGY 60-69 years, male 18.9
GTEX-XV7Q-0826-SM-4BRV7 40-49 years, female 18.7
GTEX-132QS-0426-SM-5KLZ6 60-69 years, male 18.6
GTEX-131XF-5001-SM-7DHLY 60-69 years, male 18.5
GTEX-1R9PO-0326-SM-DTXA1 60-69 years, female 18.4
GTEX-1122O-0826-SM-5GICV 60-69 years, female 18.3
GTEX-14PHX-2126-SM-6EU2U 50-59 years, male 18.3
GTEX-12WSN-5001-SM-7DHMK 40-49 years, male 18.2
GTEX-UJHI-0426-SM-3DB8Y 50-59 years, female 18.1
GTEX-YEC3-0726-SM-CMKFH 50-59 years, male 18.0
GTEX-13FH7-0926-SM-5J2MR 50-59 years, female 17.8
GTEX-P4PQ-0326-SM-2HMJ8 60-69 years, male 17.8
GTEX-13VXT-1126-SM-5LU3A 20-29 years, female 17.7
GTEX-QDVN-0326-SM-2I3FS 50-59 years, male 17.7
GTEX-13D11-1726-SM-5IFGQ 50-59 years, female 17.4
GTEX-13RTJ-0726-SM-5QGQN 60-69 years, male 17.3
GTEX-OXRL-0326-SM-2I3F2 50-59 years, male 17.3
GTEX-1RMOY-0626-SM-E9TIE 50-59 years, male 17.3
GTEX-1S3DN-0726-SM-E9TIO 50-59 years, male 17.3
GTEX-13PVR-1026-SM-5QGQW 60-69 years, female 17.2
GTEX-V955-0726-SM-3GAFG 60-69 years, male 17.0
GTEX-1JMQK-0626-SM-D4P2R 60-69 years, male 17.0
GTEX-QV44-0526-SM-2S1RE 50-59 years, male 16.9
GTEX-13CF3-0726-SM-5J2MY 60-69 years, female 16.6
GTEX-13QBU-0426-SM-5J2O4 40-49 years, female 16.4
GTEX-ZV7C-0326-SM-57WB1 50-59 years, male 16.4
GTEX-Y114-0226-SM-4TT8W 50-59 years, female 16.2
GTEX-1MUQO-1226-SM-E9TJK 60-69 years, male 16.1
GTEX-1HCUA-0526-SM-A9SMH 50-59 years, female 16.0
GTEX-1AX9J-1026-SM-72D6E 60-69 years, male 15.9
GTEX-1A3MX-1326-SM-72D58 60-69 years, male 15.7
GTEX-O5YW-0326-SM-2I5EI 50-59 years, male 15.7
GTEX-ZYFG-0426-SM-5E43M 60-69 years, female 15.6
GTEX-1OFPY-1026-SM-EXUSO 60-69 years, male 15.6
GTEX-Q2AH-0526-SM-2I3ED 40-49 years, male 15.5
GTEX-1OKEX-0726-SM-DPRYE 60-69 years, male 15.4
GTEX-OXRK-0826-SM-2HMK7 50-59 years, female 15.3
GTEX-13O61-0526-SM-5J2M1 60-69 years, male 15.2
GTEX-18D9U-1126-SM-72D5Y 40-49 years, male 15.0
GTEX-Y3I4-0626-SM-4TT7A 50-59 years, male 15.0
GTEX-111YS-0426-SM-5987O 60-69 years, male 14.9
GTEX-14PHY-0226-SM-5ZZWM 60-69 years, female 14.9
GTEX-1399S-1026-SM-5KLZ9 30-39 years, female 14.8
GTEX-14PJ4-1126-SM-5YY91 60-69 years, male 14.6
GTEX-12ZZW-1026-SM-5GCMM 50-59 years, male 14.5
GTEX-13OVG-0526-SM-5K7YD 60-69 years, male 14.5
GTEX-QEL4-0926-SM-3GAD1 50-59 years, male 14.5
GTEX-1ICG6-0626-SM-ACKWS 70-79 years, female 14.5
GTEX-1CAMS-1326-SM-79OJR 40-49 years, female 14.3
GTEX-OHPK-0326-SM-2HMJO 50-59 years, female 14.3
GTEX-ZQUD-1526-SM-7IGO2 30-39 years, male 14.3
GTEX-1HCU7-1326-SM-CNPPW 50-59 years, male 14.3
GTEX-ZVZP-0226-SM-5NQ73 50-59 years, male 14.2
GTEX-12BJ1-0226-SM-5LUA2 60-69 years, male 14.0
GTEX-XBED-0526-SM-47JY3 60-69 years, male 14.0
GTEX-1HFI7-0826-SM-A9G23 50-59 years, female 13.8
GTEX-13O21-2326-SM-5MR3X 50-59 years, male 13.7
GTEX-PLZ5-0626-SM-2I5F8 50-59 years, male 13.5
GTEX-RWS6-0326-SM-2XCAP 60-69 years, female 13.5
GTEX-OIZH-0326-SM-2HMKC 50-59 years, male 13.4
GTEX-13YAN-1326-SM-5Q5F1 60-69 years, male 13.3
GTEX-1H1ZS-1126-SM-9MQLJ 70-79 years, male 13.3
GTEX-OOBJ-0326-SM-33HBO 60-69 years, male 13.1
GTEX-1R7EV-0326-SM-E76PA 40-49 years, male 13.1
GTEX-WYJK-1026-SM-3NM8W 50-59 years, male 12.9
GTEX-1IDJI-1026-SM-A96TE 50-59 years, female 12.7
GTEX-SUCS-0326-SM-32PLL 70-79 years, male 12.5
GTEX-1LGRB-1126-SM-CNPP2 50-59 years, female 12.5
GTEX-18D9B-1226-SM-72D6V 60-69 years, male 12.4
GTEX-RUSQ-0526-SM-2TF72 50-59 years, male 12.2
GTEX-13X6H-0426-SM-5LU4E 50-59 years, female 11.6
GTEX-1QCLZ-0926-SM-E6CQZ 60-69 years, female 11.6
GTEX-1JK1U-0526-SM-CYPSQ 60-69 years, male 11.5
GTEX-11LCK-0926-SM-5A5KA 30-39 years, male 11.4
GTEX-YEC4-0326-SM-4W216 40-49 years, male 11.3
GTEX-ZYW4-0926-SM-59HJS 60-69 years, male 11.3
GTEX-1F5PK-0326-SM-9KNUD 50-59 years, male 11.3
GTEX-PSDG-0926-SM-2I5FP 50-59 years, male 11.2
GTEX-1GMR2-1426-SM-7RHHK 50-59 years, male 11.2
GTEX-1399U-0526-SM-5K7YM 50-59 years, female 11.0
GTEX-NFK9-0926-SM-2HMJU 40-49 years, male 11.0
GTEX-S32W-0626-SM-2XCBG 50-59 years, female 10.6
GTEX-1GL5R-0326-SM-9WYTJ 50-59 years, male 10.6
GTEX-NPJ8-0426-SM-2HMK6 40-49 years, male 10.5
GTEX-OHPM-0326-SM-33HCA 50-59 years, male 10.4
GTEX-17F9E-0926-SM-7IGMG 50-59 years, male 10.2
GTEX-ZG7Y-0926-SM-5EQ6O 50-59 years, male 9.5
GTEX-117YX-1126-SM-5H128 50-59 years, male 9.0
GTEX-ZLFU-0226-SM-4WWFH 40-49 years, male 8.8
GTEX-R55C-0326-SM-3GAF1 40-49 years, male 8.7
GTEX-13N11-0426-SM-5KM3O 50-59 years, female 8.6
GTEX-1L5NE-0426-SM-E9TIX 50-59 years, male 8.4
GTEX-14PN3-0526-SM-69LQF 60-69 years, female 6.6
GTEX-XQ8I-0126-SM-4BOPL 50-59 years, male 5.9
Show allShow less

HEART MUSCLE - FANTOM5 CAGEi

RNA expression in human tissues obtained through Cap Analysis of Gene Expression (CAGE) generated by the FANTOM5 project are reported as Scaled Tags Per Million.

Max subtype Scaled Tags Per Millioni

Max subtype Scaled Tags Per Million is the value for the subtype with the largest average Scaled Tags Per Million across the subtype samples.

162.2
FANTOM5 sample id Sample description Scaled Tags Per Million
Heart
Scaled Tags Per Million: 83.5
FF:10016-101C7 70,73,74 years, mixed 83.5
Left atrium
Scaled Tags Per Million: 162.2
FF:10079-102A7 40 years, male 162.2
Left ventricle
Scaled Tags Per Million: 79.3
FF:10078-102A6 73 years, female 79.3

Contact

  • NEWS ARTICLES
  • PRESS ROOM

The Project

  • INTRODUCTION
  • ORGANIZATION
  • PUBLICATIONS

The Human Protein Atlas

  • DOWNLOADABLE DATA
  • LICENCE & CITATION
  • HELP & FAQ
The Human Protein Atlas project is funded
by the Knut & Alice Wallenberg Foundation.


contact@proteinatlas.org