We use cookies to enhance the usability of our website. If you continue, we'll assume that you are happy to receive all cookies. More information. Don't show this again.
COL15A1
HPA
RESOURCES
  • TISSUE
  • BRAIN
  • SINGLE CELL
  • SUBCELLULAR
  • CANCER
  • BLOOD
  • CELL LINE
  • STRUCTURE & INTERACTION
ABOUT
  • INTRODUCTION
  • HISTORY
  • ORGANIZATION
  • PUBLICATIONS
  • ANTIBODY SUBMISSION
  • ANTIBODY AVAILABILITY
  • ACKNOWLEDGMENTS
  • CONTACT
NEWS
  • NEWS ARTICLES
  • PRESS ROOM
LEARN
  • DICTIONARY
  • PROTEIN CLASSES
  • PROTEIN EVIDENCE
  • METHODS
  • EDUCATIONAL VIDEOS
DATA
  • DOWNLOADABLE DATA
  • PUBLICATION DATA
  • RELEASE HISTORY
HELP
  • ANTIBODY VALIDATION
  • ASSAYS & ANNOTATION
  • DISCLAIMER
  • HELP & FAQ
  • PRIVACY STATEMENT
  • LICENCE & CITATION
Fields »
Search result

Field
Term
Gene name
Class
Subclass
Class
Keyword
Chromosome
External id
Tissue
Cell type
Expression
Antibody panel
Tissue
Main location
Patient ID
Annotation
Tissue
Category
Tau score
Cluster
Reliability
Brain region
Category
Tau score
Brain region
Category
Tau score
Brain region
Category
Tau score
Cluster
Reliability
Tissue
Cell type
Enrichment
Cell type
Category
Tau score
Cell type
Category
Tau score
Cell type
Category
Tau score
Cell lineage
Category
Tau score
Cluster
Cluster
Location
Searches
Location
Cell line
Class
Type
Phase
Reliability
Cancer
Prognosis
Cancer
Category
Cancer
Category
Tau score
Cluster
Variants
Interacting gene (ensg_id)
Type
Number of interactions
Pathway
Category
Score
Score
Score
Validation
Validation
Validation
Validation
Antibodies
Data type
Column


  • SUMMARY

  • TISSUE

  • BRAIN

  • SINGLE CELL

  • SUBCELL

  • CANCER

  • BLOOD

  • CELL LINE

  • STRUCT & INT

  • COL15A1
TISSUE PRIMARY DATA STOMACH Show tissue menu
ADIPOSE TISSUE ADRENAL GLAND AMYGDALA APPENDIX BASAL GANGLIA BONE MARROW BREAST BRONCHUS CEREBELLUM CEREBRAL CORTEX CERVIX CHOROID PLEXUS COLON DUODENUM
ENDOMETRIUM EPIDIDYMIS ESOPHAGUS FALLOPIAN TUBE GALLBLADDER HEART MUSCLE HIPPOCAMPAL FORMATION HYPOTHALAMUS KIDNEY LIVER LUNG LYMPH NODE MIDBRAIN NASOPHARYNX
ORAL MUCOSA OVARY PANCREAS PARATHYROID GLAND PITUITARY GLAND PLACENTA PROSTATE RECTUM RETINA SALIVARY GLAND SEMINAL VESICLE SKELETAL MUSCLE SKIN SMALL INTESTINE
SMOOTH MUSCLE SOFT TISSUE SPINAL CORD SPLEEN STOMACH TESTIS THYMUS THYROID GLAND TONGUE TONSIL URINARY BLADDER VAGINA
ANTIBODIES
AND
VALIDATION
Dictionary
Tissue proteome
Stomach
STOMACH - Expression summary
Protein expression
Stomachi

On the top, protein expression in current human tissue, based on all annotated cell types, is reported with the units not detected (n), low (l), medium (m) and high (h). Underneath, protein expression in each annotated cell type are reported using the same units.

Protein expression data is based on knowledge-based annotation. For genes where more than one antibody has been used, a collective score is set.

If knowledge-based annotation could not be performed for a gene, no data is displayed here. View antibody staining data further down this page.

h
m
l
n
Glandular cells: Not detected
RNA expressioni

A summary of mRNA expression data available for current tissue based on several datasets. The mRNA expression levels in human tissues are based on RNA-seq data generated by the Human Protein Atlas (HPA), Genotype-Tissue Expression (GTEx) portal and CAGE data generated by the FANTOM5 consortium. Consensus normalized expression levels for human tissues was created by combining the data from HPA and GTEx datasets.

The mRNA expression levels in pig are based on RNA-seq data generated by the Human Protein Atlas (HPA), and for mouse, HPA data and in situ hybridization generated by the Allen brain atlas are reported.

Scroll down to view mRNA expression data in more detail.
Consensus:26.4 nTPM
HPA:17.4 nTPM
GTEx:26.4 nTPM

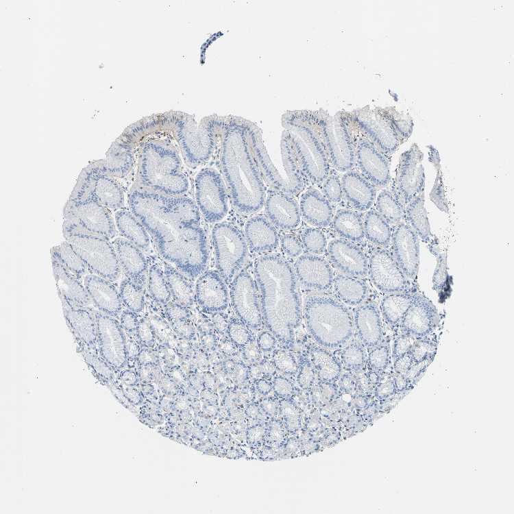
STOMACH 1 - Antibody stainingi

Antibody staining in the annotated cell types in the current human tissue is reported as not detected, low, medium, or high, based on conventional immunohistochemistry profiling in selected tissues. This score is based on the combination of the staining intensity and fraction of stained cells.

Each image is clickable and will lead to virtual microscopy that enables deeper exploration of all samples and also displays staining intensity scores, fraction scores and subcellular localization as well as patient and tissue information for each sample.

Antibody HPA017913Antibody HPA017915
Glandular cells MediumNot detected




STOMACH 2 - Antibody stainingi

Antibody staining in the annotated cell types in the current human tissue is reported as not detected, low, medium, or high, based on conventional immunohistochemistry profiling in selected tissues. This score is based on the combination of the staining intensity and fraction of stained cells.

Each image is clickable and will lead to virtual microscopy that enables deeper exploration of all samples and also displays staining intensity scores, fraction scores and subcellular localization as well as patient and tissue information for each sample.

Antibody HPA017913Antibody HPA017915
Glandular cells MediumNot detected



STOMACH - HPA RNA-seqi

The RNA-seq details section shows detailed information about the individual samples used for the transcript profiling and results of the RNA-seq analysis.

Information about each individual sample is listed below, including gender, age, a tissue section image and estimated fractions of cell types. nTPM (normalized transcripts per million) values give a quantification of the gene abundance which is comparable between different genes and samples.
Average nTPMi

Max subtype nTPM is the value for the subtype with the largest average nTPM across the subtype samples.

17.4
overview
Female, age 33
Stomach sample 61
nTPM: 22.4
Cell types%
Glandular cells:
60

Smooth muscle cells:
5

Other cell types:
35

N/A
Male, age 82
Stomach sample 240
nTPM: 13.2
Cell types%
Glandular cells:
65

Smooth muscle cells:
5

Other cell types:
30

overview
Male, age 71
Stomach sample 241
nTPM: 13.4
Cell types%
Glandular cells:
50

Smooth muscle cells:
5

Other cell types:
45

overview
Female, age 66
Stomach sample 369
nTPM: 20.7
Cell types%
Glandular cells:
50

Smooth muscle cells:
10

Other cell types:
40


STOMACH - GTEx RNA-seqi

RNA-Seq data generated by the Genotype-Tissue Expression (GTEx) project from human tissues is reported as mean nTPM. More information can be found on the GTEx portal.

Distribution across the dataset is visualized with box plots, shown as median and 25th and 75th percentiles. Points are displayed as outliers if they are above or below 1.5 times the interquartile range. nTPM values of the individual samples are presented next to the box plot.
Max subtype nTPMi

Max subtype nTPM is the value for the subtype with the largest average nTPM across the subtype samples.

26.4
GTEx sample id Sample description nTPM
Stomach
Average nTPM: 26.4
Samples: 359

Max nTPM: 140.9
Min nTPM: 2.9
Std nTPM: 23.1
Median nTPM: 17.5
GTEX-WH7G-1526-SM-4LVMX 40-49 years, male 140.9
GTEX-1S82Z-1726-SM-E6CHZ 30-39 years, female 123.2
GTEX-RU1J-0526-SM-46MUT 20-29 years, female 122.3
GTEX-14PKU-1126-SM-69LOU 40-49 years, female 99.9
GTEX-P4QT-1526-SM-3NMCT 50-59 years, female 98.3
GTEX-S4P3-0726-SM-4AD57 50-59 years, female 97.0
GTEX-R55G-1126-SM-48FDG 40-49 years, female 95.3
GTEX-1HT8W-2326-SM-A9SLA 30-39 years, male 94.6
GTEX-11VI4-0326-SM-5EQ6L 40-49 years, female 91.8
GTEX-1H1DE-1226-SM-9JGHH 20-29 years, male 90.5
GTEX-XAJ8-0326-SM-47JYI 40-49 years, male 90.2
GTEX-1JN76-0926-SM-ARZNH 20-29 years, female 89.8
GTEX-1E2YA-2426-SM-7EPIG 50-59 years, male 89.6
GTEX-R55D-1526-SM-48FEJ 50-59 years, male 80.3
GTEX-1B8L1-1526-SM-79OLK 60-69 years, male 79.2
GTEX-Y114-1226-SM-4TT88 50-59 years, female 78.1
GTEX-15SHW-2126-SM-6M46Y 60-69 years, male 76.0
GTEX-ZE7O-3026-SM-51MS4 50-59 years, female 73.3
GTEX-PLZ6-0826-SM-3P61K 30-39 years, male 71.4
GTEX-ZTX8-0426-SM-59HLG 20-29 years, male 71.3
GTEX-OIZH-1526-SM-3NB1J 50-59 years, male 71.2
GTEX-13O3Q-2126-SM-5KM4C 50-59 years, male 71.0
GTEX-YEC3-1426-SM-D4P1S 50-59 years, male 70.4
GTEX-ZV6S-0926-SM-57WGB 40-49 years, female 69.6
GTEX-11EQ9-1226-SM-5987E 30-39 years, male 66.0
GTEX-14PHY-0926-SM-5ZZWL 60-69 years, female 63.9
GTEX-1QW4Y-0726-SM-DTX8E 30-39 years, male 63.4
GTEX-T5JC-1926-SM-4DM6Q 20-29 years, male 63.2
GTEX-1LVAM-1426-SM-E9TJ4 50-59 years, female 63.2
GTEX-14E1K-1526-SM-664MN 50-59 years, male 63.1
GTEX-146FH-2126-SM-5SI9U 50-59 years, female 61.7
GTEX-1S3DN-1526-SM-EVYCB 50-59 years, male 59.4
GTEX-12WSJ-0926-SM-5P9JD 40-49 years, female 57.2
GTEX-17EUY-1526-SM-793CA 20-29 years, male 56.6
GTEX-13X6J-2126-SM-5TDCV 50-59 years, male 55.8
GTEX-1N2DV-0926-SM-E9TJT 40-49 years, male 55.7
GTEX-1CB4E-1326-SM-7DUGD 60-69 years, male 54.5
GTEX-1E1VI-2826-SM-7MGWU 50-59 years, male 54.3
GTEX-13N1W-2026-SM-5K7YU 70-79 years, male 54.2
GTEX-1NSGN-1926-SM-E9J36 50-59 years, male 54.1
GTEX-1RQEC-2126-SM-DPS15 60-69 years, male 54.1
GTEX-WFJO-1126-SM-4LVLZ 30-39 years, male 53.9
GTEX-17JCI-2226-SM-7LTA1 60-69 years, female 53.0
GTEX-WZTO-2126-SM-4PQYW 40-49 years, male 52.6
GTEX-1S831-1126-SM-EWROI 20-29 years, male 51.8
GTEX-1MCYP-1126-SM-E9J2P 20-29 years, female 50.7
GTEX-1HSEH-1526-SM-B2LXG 60-69 years, male 50.6
GTEX-TKQ2-0926-SM-4DXU5 50-59 years, male 50.3
GTEX-13111-1226-SM-5GCNC 50-59 years, male 50.1
GTEX-1QMI2-2126-SM-DPRXQ 60-69 years, male 50.1
GTEX-15EU6-2526-SM-7KUGB 50-59 years, male 49.5
GTEX-1JMQJ-1326-SM-D4P3B 50-59 years, male 49.2
GTEX-1399U-1626-SM-5P9J3 50-59 years, female 49.1
GTEX-17KNJ-1526-SM-7LTA9 50-59 years, male 48.9
GTEX-1PIGE-1126-SM-EWRMV 20-29 years, male 48.8
GTEX-1K2DA-0826-SM-CGQGD 50-59 years, male 48.6
GTEX-TKQ1-0526-SM-4DXTG 30-39 years, male 48.1
GTEX-1HSMQ-2426-SM-CE6RY 50-59 years, male 47.0
GTEX-1KD5A-1426-SM-D4P3V 50-59 years, male 46.7
GTEX-11EI6-2426-SM-5PNVS 60-69 years, male 46.5
GTEX-1IL2V-2026-SM-ARZMA 70-79 years, male 46.2
GTEX-ZYVF-2726-SM-5GID4 50-59 years, female 46.0
GTEX-1HBPI-0726-SM-9WG7Z 50-59 years, male 45.4
GTEX-14BMV-2226-SM-5RQHX 50-59 years, male 45.2
GTEX-11P82-0726-SM-5PNYL 20-29 years, male 45.0
GTEX-146FR-2026-SM-5NQAI 60-69 years, female 44.0
GTEX-UJHI-1026-SM-4IHJP 50-59 years, female 43.7
GTEX-QDT8-2026-SM-EZ6LS 30-39 years, female 43.7
GTEX-1HR9M-2326-SM-CNPPZ 60-69 years, male 43.5
GTEX-XPVG-1526-SM-4B66C 50-59 years, male 43.4
GTEX-1H3NZ-2226-SM-9WYUT 60-69 years, male 42.8
GTEX-13QJ3-2726-SM-5SI6L 50-59 years, male 42.5
GTEX-1F5PK-1826-SM-7RHHX 50-59 years, male 42.5
GTEX-1GMRU-2526-SM-9WG7T 50-59 years, male 42.4
GTEX-1H11D-2226-SM-9OSXN 40-49 years, male 41.5
GTEX-1IDJF-1426-SM-ACKWK 20-29 years, male 41.5
GTEX-15RIF-1126-SM-7KUG2 20-29 years, male 41.2
GTEX-1I1HK-2026-SM-CNNRB 60-69 years, male 41.1
GTEX-1J8JJ-1726-SM-C1YQG 60-69 years, female 41.1
GTEX-1EH9U-2226-SM-7PBXX 60-69 years, male 41.0
GTEX-ZPIC-2026-SM-57WG3 40-49 years, female 40.7
GTEX-12C56-0526-SM-5FQST 20-29 years, male 40.4
GTEX-1HCUA-1626-SM-A9SMG 50-59 years, female 40.4
GTEX-11P7K-1726-SM-5GU6F 30-39 years, male 40.2
GTEX-1211K-1426-SM-5FQTF 60-69 years, female 40.2
GTEX-11NUK-2426-SM-5BC4U 50-59 years, male 39.4
GTEX-14PN3-1326-SM-6AJ9U 60-69 years, female 39.2
GTEX-1JN1M-2926-SM-CNNPJ 60-69 years, female 39.2
GTEX-QXCU-1926-SM-48FE4 50-59 years, male 38.4
GTEX-WEY5-1226-SM-4LMIQ 40-49 years, female 38.1
GTEX-1L5NE-1526-SM-DIPFW 50-59 years, male 37.9
GTEX-1GPI7-1326-SM-9KNVA 20-29 years, male 37.8
GTEX-1A3MX-1926-SM-72D7F 60-69 years, male 37.5
GTEX-1AX9J-2626-SM-731EK 60-69 years, male 37.3
GTEX-P4PQ-1526-SM-3NMCK 60-69 years, male 36.4
GTEX-145MO-2226-SM-5Q5BN 60-69 years, male 36.2
GTEX-1R9K5-1026-SM-EAZ4F 50-59 years, male 36.1
GTEX-UPK5-2126-SM-4JBJK 40-49 years, male 36.0
GTEX-1JMPY-0926-SM-ARL92 30-39 years, male 35.5
GTEX-18D9B-2226-SM-718BM 60-69 years, male 35.1
GTEX-1C64O-2226-SM-73KTV 60-69 years, male 35.1
GTEX-1QP28-2126-SM-DTX8B 50-59 years, female 34.3
GTEX-14DAQ-2826-SM-664MU 60-69 years, female 33.5
GTEX-1RAZR-1526-SM-EAZ4U 40-49 years, male 33.1
GTEX-ZEX8-1626-SM-4WKG7 50-59 years, male 33.0
GTEX-YJ8A-1526-SM-5P9FT 20-29 years, male 32.6
GTEX-ZVT3-2126-SM-59HL2 60-69 years, female 32.4
GTEX-1H1DG-2126-SM-9WPPB 70-79 years, male 32.3
GTEX-14JG6-1226-SM-664O6 30-39 years, female 32.1
GTEX-1I4MK-0926-SM-A9SLD 50-59 years, female 31.9
GTEX-Y8E4-1526-SM-4WWDI 40-49 years, male 31.3
GTEX-1CB4H-2426-SM-7PBYR 60-69 years, female 31.1
GTEX-1J8EW-2226-SM-AHZ3T 60-69 years, female 31.1
GTEX-WYVS-1326-SM-4ONCQ 40-49 years, female 31.0
GTEX-13O61-1126-SM-5L3FI 60-69 years, male 30.9
GTEX-13X6H-1626-SM-5Q5CT 50-59 years, female 30.9
GTEX-12WSD-2326-SM-59HKQ 60-69 years, female 30.8
GTEX-139YR-1926-SM-5LZXM 50-59 years, male 30.8
GTEX-1AMEY-1226-SM-731DU 30-39 years, female 30.4
GTEX-17MF6-2126-SM-7KFS7 40-49 years, male 30.3
GTEX-1PPH8-1326-SM-DTXFO 20-29 years, male 30.1
GTEX-R55C-1026-SM-48FCM 40-49 years, male 30.0
GTEX-NFK9-1526-SM-3LK7B 40-49 years, male 29.8
GTEX-S7SF-0626-SM-4AD4V 20-29 years, female 29.7
GTEX-RUSQ-1126-SM-EAZAU 50-59 years, male 29.4
GTEX-144GM-1726-SM-5O9AS 20-29 years, male 29.0
GTEX-18A7A-2726-SM-7LG6U 50-59 years, female 29.0
GTEX-18QFQ-1226-SM-718AE 30-39 years, male 29.0
GTEX-1QP29-2326-SM-EXOJO 50-59 years, male 28.7
GTEX-14BIL-1926-SM-73KYI 50-59 years, male 27.5
GTEX-11WQK-2626-SM-5EQ4K 50-59 years, male 27.1
GTEX-X15G-1126-SM-4PQZG 50-59 years, female 26.5
GTEX-RTLS-2626-SM-46MUJ 60-69 years, female 26.0
GTEX-15G1A-1226-SM-7KUF3 30-39 years, male 25.7
GTEX-QMRM-1126-SM-447BN 50-59 years, male 25.2
GTEX-131XE-2226-SM-5PNYX 50-59 years, male 24.9
GTEX-17HHE-1026-SM-79ON6 50-59 years, male 24.9
GTEX-139D8-2326-SM-5IFGE 30-39 years, female 24.6
GTEX-12WSG-2026-SM-5FQUU 50-59 years, female 24.4
GTEX-XBEW-1826-SM-4RTWX 40-49 years, male 24.3
GTEX-1339X-1426-SM-5K7YO 40-49 years, male 24.0
GTEX-O5YV-1926-SM-EV797 60-69 years, female 23.8
GTEX-17HII-2426-SM-7KFTT 50-59 years, male 23.7
GTEX-1A8G6-1426-SM-731EZ 60-69 years, male 23.6
GTEX-1QCLY-1126-SM-EAZ4J 30-39 years, male 23.4
GTEX-1B97I-1226-SM-7MGWQ 40-49 years, male 23.3
GTEX-17HGU-2126-SM-7IGOV 50-59 years, male 23.0
GTEX-1I1GT-1726-SM-C1YS3 60-69 years, female 22.8
GTEX-1AYCT-1326-SM-7MKHB 50-59 years, male 22.5
GTEX-1HCU8-1326-SM-C1YQQ 60-69 years, female 22.2
GTEX-1JMPZ-1826-SM-CXZJT 30-39 years, male 22.0
GTEX-PW2O-1226-SM-48TCH 20-29 years, male 21.9
GTEX-1QP67-1026-SM-EVR47 40-49 years, female 21.7
GTEX-13QBU-1126-SM-5LU44 40-49 years, female 20.9
GTEX-13OW6-2526-SM-5IJEC 50-59 years, male 20.7
GTEX-V1D1-1726-SM-4JBHB 50-59 years, male 20.6
GTEX-PLZ5-1226-SM-EXOHA 50-59 years, male 20.5
GTEX-13PVQ-2126-SM-5L3FW 50-59 years, male 20.0
GTEX-Q734-1026-SM-48U16 40-49 years, female 19.9
GTEX-U3ZN-2026-SM-4DXUC 30-39 years, female 19.8
GTEX-132AR-2426-SM-5IFFD 50-59 years, female 19.7
GTEX-13S7M-1826-SM-5RQK6 60-69 years, female 19.7
GTEX-ZPU1-1626-SM-4WWB2 40-49 years, male 19.6
GTEX-O5YW-1526-SM-3MJGL 50-59 years, male 19.4
GTEX-16NGA-1526-SM-72D56 40-49 years, female 19.3
GTEX-18A66-2226-SM-7189E 60-69 years, male 19.1
GTEX-ZF2S-1426-SM-57WET 50-59 years, female 19.0
GTEX-18A67-2626-SM-718AD 50-59 years, male 18.7
GTEX-XMK1-1526-SM-EYYVO 40-49 years, male 18.6
GTEX-11GSP-2126-SM-5HL5E 60-69 years, female 18.5
GTEX-13OVI-2426-SM-5KM4J 60-69 years, female 18.5
GTEX-117YW-2226-SM-5N9DB 50-59 years, male 18.3
GTEX-145LT-1426-SM-5O9B3 40-49 years, male 18.3
GTEX-P78B-1826-SM-3P5YX 40-49 years, female 18.2
GTEX-ZZPU-1426-SM-5GZZ6 50-59 years, female 18.0
GTEX-PX3G-1526-SM-48U11 20-29 years, female 17.9
GTEX-SNOS-0826-SM-4DM5N 40-49 years, male 17.9
GTEX-VJYA-1026-SM-4KL21 60-69 years, male 17.8
GTEX-18D9A-0626-SM-7KFTY 30-39 years, female 17.6
GTEX-Y5LM-1326-SM-5RQIS 40-49 years, female 17.5
GTEX-1H3VY-2326-SM-9WG81 50-59 years, male 17.5
GTEX-1JKYN-1726-SM-AHZ48 30-39 years, male 17.5
GTEX-OIZF-1526-SM-2I5GR 60-69 years, male 17.4
GTEX-R53T-1226-SM-48FCT 50-59 years, female 17.2
GTEX-Y3I4-1626-SM-4TT7W 50-59 years, male 17.2
GTEX-SUCS-0926-SM-4DM4Z 70-79 years, male 16.8
GTEX-1B8KE-1326-SM-73KVI 50-59 years, male 16.7
GTEX-1JMLX-2426-SM-CXZJQ 50-59 years, male 16.7
GTEX-S4Z8-1226-SM-4AD6W 60-69 years, male 16.5
GTEX-15G19-1526-SM-6LPKP 60-69 years, male 16.1
GTEX-WHWD-1426-SM-4OORU 50-59 years, male 16.1
GTEX-1399R-1126-SM-5IFIO 30-39 years, male 15.9
GTEX-1HKZK-1526-SM-B2LWG 40-49 years, male 15.9
GTEX-1GF9U-1126-SM-AHZ4H 40-49 years, female 15.8
GTEX-12696-1726-SM-5EQLH 60-69 years, male 15.6
GTEX-1MJIX-1126-SM-EV7AO 40-49 years, male 15.5
GTEX-13FH7-1026-SM-5IJGF 50-59 years, female 15.4
GTEX-ZGAY-1626-SM-DNZZ3 40-49 years, female 15.3
GTEX-1QCLZ-1826-SM-DPRXP 60-69 years, female 15.1
GTEX-14DAR-0926-SM-73KUQ 50-59 years, male 14.9
GTEX-1QPFJ-1526-SM-DPRXT 30-39 years, female 14.8
GTEX-17F98-1526-SM-7EWD8 40-49 years, female 14.5
GTEX-1H23P-2726-SM-9JGHN 60-69 years, male 14.3
GTEX-QLQW-0726-SM-447AA 30-39 years, male 14.2
GTEX-WFON-1126-SM-4LVMA 40-49 years, male 14.2
GTEX-1B8KZ-1226-SM-793CP 50-59 years, male 14.1
GTEX-SNMC-0626-SM-4DM6H 20-29 years, male 14.1
GTEX-131XF-1226-SM-5HL8V 60-69 years, male 13.8
GTEX-14ICL-0826-SM-5YY9W 30-39 years, male 13.8
GTEX-1RB15-1026-SM-E9U6V 60-69 years, male 13.7
GTEX-P4PP-1526-SM-3P61M 30-39 years, female 13.6
GTEX-ZY6K-0726-SM-5A5L8 50-59 years, male 13.6
GTEX-1JK1U-1326-SM-AHZ45 60-69 years, male 13.5
GTEX-1F75I-1826-SM-7MKGX 40-49 years, male 13.4
GTEX-T8EM-1226-SM-4DM5J 40-49 years, male 13.4
GTEX-ZDYS-1926-SM-5HL59 50-59 years, male 13.3
GTEX-1H1E6-1626-SM-9OSWC 30-39 years, male 13.3
GTEX-OHPM-1526-SM-EV796 50-59 years, male 13.1
GTEX-13OVK-0926-SM-7KUFX 40-49 years, male 13.0
GTEX-13U4I-2526-SM-5SI8Z 40-49 years, female 13.0
GTEX-14PJ6-0826-SM-686Z9 60-69 years, female 13.0
GTEX-PWN1-1526-SM-48TDA 40-49 years, female 12.9
GTEX-1LSNM-1026-SM-DHXL2 50-59 years, male 12.9
GTEX-OXRL-1526-SM-E6CHQ 50-59 years, male 12.9
GTEX-ZYY3-1726-SM-5EGH3 60-69 years, female 12.7
GTEX-1I6K7-1726-SM-B2LXQ 40-49 years, male 12.7
GTEX-1LBAC-1426-SM-CXZKT 20-29 years, male 12.7
GTEX-1IDJD-2426-SM-C1YS6 30-39 years, male 12.4
GTEX-1LVAN-2426-SM-CNNPZ 50-59 years, female 12.4
GTEX-1IDJU-1526-SM-CNNR3 60-69 years, female 12.1
GTEX-13113-0726-SM-5LZUF 60-69 years, female 12.0
GTEX-1A3MV-1226-SM-718BW 30-39 years, male 12.0
GTEX-1GN1W-2126-SM-9JGI7 50-59 years, female 12.0
GTEX-133LE-1326-SM-5IFGO 20-29 years, female 11.9
GTEX-1HFI7-1526-SM-9WG7W 50-59 years, female 11.9
GTEX-OXRK-1626-SM-3NB17 50-59 years, female 11.7
GTEX-S4UY-1626-SM-4AD55 40-49 years, female 11.7
GTEX-14B4R-0726-SM-5TDDR 30-39 years, male 11.6
GTEX-14E6E-0926-SM-664N8 30-39 years, male 11.6
GTEX-17F9E-2226-SM-7IGNC 50-59 years, male 11.6
GTEX-15UF7-1226-SM-6M46G 40-49 years, male 11.5
GTEX-ZP4G-1226-SM-4WWCJ 20-29 years, female 11.5
GTEX-XV7Q-1326-SM-4BRWM 40-49 years, female 11.4
GTEX-1MGNQ-1826-SM-DPRYI 40-49 years, male 11.4
GTEX-POMQ-0826-SM-3P61H 20-29 years, female 11.3
GTEX-1CAMR-0726-SM-7EPIE 20-29 years, male 11.2
GTEX-ZLWG-1526-SM-DO12F 50-59 years, female 11.2
GTEX-11I78-1726-SM-5A5M3 50-59 years, female 10.9
GTEX-PWCY-0926-SM-48TD7 20-29 years, female 10.9
GTEX-QLQ7-0826-SM-447B3 60-69 years, male 10.9
GTEX-15DCE-1626-SM-6LPJM 20-29 years, male 10.8
GTEX-15DZA-1126-SM-6LPK8 30-39 years, female 10.8
GTEX-QV44-1226-SM-CJI1S 50-59 years, male 10.8
GTEX-14PJ3-1426-SM-664O8 50-59 years, male 10.7
GTEX-ZAB4-1526-SM-5CVN7 40-49 years, male 10.7
GTEX-ZVZP-1726-SM-5GZWY 50-59 years, male 10.7
GTEX-T5JW-0926-SM-4DM5K 20-29 years, female 10.6
GTEX-W5WG-1726-SM-4LMI5 50-59 years, female 10.5
GTEX-1GZ4H-1026-SM-9OSXL 50-59 years, female 10.5
GTEX-1HBPN-1626-SM-9WPNP 50-59 years, male 10.5
GTEX-14PKV-1826-SM-69LO9 20-29 years, female 10.4
GTEX-S341-0626-SM-4AD5T 40-49 years, female 10.3
GTEX-1B97J-1826-SM-7IGPP 50-59 years, female 10.2
GTEX-111YS-1126-SM-5GZYQ 60-69 years, male 10.1
GTEX-12BJ1-1726-SM-5HL9B 60-69 years, male 10.1
GTEX-14PHX-1026-SM-664OL 50-59 years, male 10.1
GTEX-WRHK-0626-SM-4MVOE 20-29 years, female 10.0
GTEX-Y9LG-1026-SM-5IFJN 30-39 years, male 10.0
GTEX-ZQUD-0826-SM-57WDQ 30-39 years, male 10.0
GTEX-13RTK-0226-SM-5RQHR 20-29 years, male 9.8
GTEX-OOBJ-1526-SM-3NB1Q 60-69 years, male 9.8
GTEX-QDVJ-1426-SM-48U1Y 50-59 years, male 9.8
GTEX-ZXES-1426-SM-5NQ8S 30-39 years, female 9.7
GTEX-11NSD-1426-SM-5HL67 20-29 years, male 9.6
GTEX-ZYFG-1326-SM-5GICJ 60-69 years, female 9.5
GTEX-1LG7Z-1226-SM-DHXK4 30-39 years, male 9.5
GTEX-111CU-0926-SM-5EGIK 50-59 years, male 9.4
GTEX-WHPG-0426-SM-4M1XW 50-59 years, male 9.3
GTEX-Y3IK-1426-SM-4YCES 50-59 years, female 9.3
GTEX-1MUQO-1926-SM-EAZ59 60-69 years, male 9.3
GTEX-15CHR-1326-SM-79OLT 50-59 years, male 9.0
GTEX-15RIE-1026-SM-6LPJQ 60-69 years, male 8.8
GTEX-YB5E-1126-SM-664NU 40-49 years, male 8.8
GTEX-XQ8I-2026-SM-4BOOL 50-59 years, male 8.7
GTEX-Q2AI-0826-SM-48TZO 40-49 years, male 8.6
GTEX-Y5V6-1326-SM-4VDTF 60-69 years, male 8.6
GTEX-ZLV1-0826-SM-DO11P 60-69 years, female 8.6
GTEX-1122O-1926-SM-5EGIQ 60-69 years, female 8.5
GTEX-QV31-0626-SM-447C5 30-39 years, male 8.5
GTEX-1ICG6-1826-SM-AHZ2O 70-79 years, female 8.5
GTEX-144GN-1226-SM-5O991 50-59 years, male 8.4
GTEX-11EM3-1026-SM-5A5KL 20-29 years, female 8.2
GTEX-RM2N-0826-SM-48FD3 50-59 years, male 8.2
GTEX-Q2AH-1126-SM-48TZM 40-49 years, male 8.1
GTEX-16AAH-1226-SM-79OO9 50-59 years, male 7.9
GTEX-WHSB-1226-SM-4M1XR 50-59 years, male 7.9
GTEX-1J8QM-1126-SM-C1YQB 60-69 years, female 7.9
GTEX-S4Q7-0726-SM-4AD5F 20-29 years, male 7.8
GTEX-WXYG-1626-SM-4ONCR 50-59 years, female 7.8
GTEX-WYJK-2526-SM-4ONDF 50-59 years, male 7.8
GTEX-1RMOY-1126-SM-EV79E 50-59 years, male 7.8
GTEX-1C475-1026-SM-7MKFJ 40-49 years, female 7.7
GTEX-1QP2A-2126-SM-DPRZ7 50-59 years, male 7.7
GTEX-TMMY-1626-SM-4DXTY 40-49 years, female 7.6
GTEX-1KXAM-0926-SM-CXZKA 60-69 years, male 7.6
GTEX-1LGOU-1526-SM-D3LAJ 20-29 years, female 7.6
GTEX-13FTW-1726-SM-5KM2B 40-49 years, male 7.5
GTEX-WFG7-1326-SM-4LMK1 20-29 years, male 7.5
GTEX-XUZC-0726-SM-4BOPH 30-39 years, female 7.5
GTEX-131XG-1226-SM-5EGH9 50-59 years, female 7.4
GTEX-1J8Q3-1926-SM-C1YSJ 60-69 years, male 7.3
GTEX-ZA64-0826-SM-5HL9U 20-29 years, male 7.2
GTEX-XBED-1226-SM-4AT5V 60-69 years, male 7.0
GTEX-1KANA-1126-SM-D3L9M 20-29 years, male 7.0
GTEX-11DXX-1326-SM-5GIDZ 60-69 years, female 6.9
GTEX-13CF3-1926-SM-5K7WF 60-69 years, female 6.9
GTEX-145ME-1026-SM-5O9B4 40-49 years, female 6.9
GTEX-WY7C-1726-SM-4ONCC 50-59 years, male 6.9
GTEX-12WSK-1426-SM-5CVNN 40-49 years, female 6.8
GTEX-V955-1326-SM-4JBHR 60-69 years, male 6.8
GTEX-ZZ64-0426-SM-5E43F 20-29 years, male 6.8
GTEX-117YX-1026-SM-5H11V 50-59 years, male 6.7
GTEX-1399S-1626-SM-5P9GI 30-39 years, female 6.7
GTEX-ZVP2-1626-SM-5GU5D 50-59 years, male 6.7
GTEX-Y8LW-0826-SM-4WWDO 50-59 years, female 6.6
GTEX-YEC4-1426-SM-5IFHS 40-49 years, male 6.6
GTEX-1F5PL-1426-SM-7MKFH 40-49 years, female 6.5
GTEX-ZF29-1526-SM-4WKF7 60-69 years, female 6.5
GTEX-132QS-1826-SM-5IFFN 60-69 years, male 6.4
GTEX-145MN-1326-SM-5NQ9S 30-39 years, male 6.4
GTEX-14PJ4-1626-SM-664OB 60-69 years, male 6.3
GTEX-1AMFI-1226-SM-731CZ 50-59 years, female 6.3
GTEX-QDVN-1226-SM-48TZ5 50-59 years, male 6.3
GTEX-ZVT2-1626-SM-51MRC 50-59 years, female 6.2
GTEX-XXEK-0826-SM-4BRWG 50-59 years, male 6.0
GTEX-1R7EU-1126-SM-EAZ4M 60-69 years, male 6.0
GTEX-11TT1-0726-SM-5GU5A 20-29 years, male 5.9
GTEX-T6MO-0726-SM-4DM58 40-49 years, female 5.9
GTEX-U4B1-1026-SM-4DXT1 40-49 years, male 5.9
GTEX-13FTX-0726-SM-5N9BI 20-29 years, female 5.8
GTEX-RWS6-0926-SM-47JXE 60-69 years, female 5.8
GTEX-ZT9W-1526-SM-4YCDE 50-59 years, male 5.8
GTEX-ZV7C-1626-SM-5NQ7E 50-59 years, male 5.7
GTEX-13O21-0926-SM-5IFGT 50-59 years, male 5.6
GTEX-17GQL-1226-SM-7KFTS 60-69 years, male 5.4
GTEX-QCQG-0526-SM-48U2A 50-59 years, female 5.4
GTEX-S95S-0826-SM-4B64N 60-69 years, male 5.4
GTEX-1LGRB-1726-SM-CNNRA 50-59 years, female 5.3
GTEX-YFCO-0826-SM-5LUAG 40-49 years, male 5.2
GTEX-13D11-2126-SM-5IFH2 50-59 years, female 5.1
GTEX-OHPK-1526-SM-3MJGM 50-59 years, female 4.7
GTEX-UJMC-1226-SM-4IHLI 50-59 years, male 4.5
GTEX-ZLFU-1326-SM-DO11R 40-49 years, male 4.5
GTEX-14BMU-1126-SM-5RQJ8 20-29 years, female 4.4
GTEX-13PVR-2126-SM-73KVR 60-69 years, female 4.1
GTEX-14PJ5-0826-SM-6AJAR 60-69 years, female 3.9
GTEX-WFG8-1326-SM-4LVN3 20-29 years, male 3.1
GTEX-S3XE-1026-SM-4AD4O 50-59 years, male 2.9
GTEX-1GL5R-1926-SM-9WG7U 50-59 years, male 2.9
Show allShow less

Contact

  • NEWS ARTICLES
  • PRESS ROOM

The Project

  • INTRODUCTION
  • ORGANIZATION
  • PUBLICATIONS

The Human Protein Atlas

  • DOWNLOADABLE DATA
  • LICENCE & CITATION
  • HELP & FAQ
The Human Protein Atlas project is funded
by the Knut & Alice Wallenberg Foundation.


contact@proteinatlas.org