We use cookies to enhance the usability of our website. If you continue, we'll assume that you are happy to receive all cookies. More information. Don't show this again.
PRR13
HPA
RESOURCES
  • TISSUE
  • BRAIN
  • SINGLE CELL
  • SUBCELLULAR
  • CANCER
  • BLOOD
  • CELL LINE
  • STRUCTURE & INTERACTION
ABOUT
  • INTRODUCTION
  • HISTORY
  • ORGANIZATION
  • PUBLICATIONS
  • ANTIBODY SUBMISSION
  • ANTIBODY AVAILABILITY
  • ACKNOWLEDGMENTS
  • CONTACT
NEWS
  • NEWS ARTICLES
  • PRESS ROOM
LEARN
  • DICTIONARY
  • PROTEIN CLASSES
  • PROTEIN EVIDENCE
  • METHODS
  • EDUCATIONAL VIDEOS
DATA
  • DOWNLOADABLE DATA
  • PUBLICATION DATA
  • RELEASE HISTORY
HELP
  • ANTIBODY VALIDATION
  • ASSAYS & ANNOTATION
  • DISCLAIMER
  • HELP & FAQ
  • PRIVACY STATEMENT
  • LICENCE & CITATION
Fields »
Search result

Field
Term
Gene name
Class
Subclass
Class
Keyword
Chromosome
External id
Tissue
Cell type
Expression
Antibody panel
Tissue
Main location
Patient ID
Annotation
Tissue
Category
Tau score
Cluster
Reliability
Brain region
Category
Tau score
Brain region
Category
Tau score
Brain region
Category
Tau score
Cluster
Reliability
Tissue
Cell type
Enrichment
Cell type
Category
Tau score
Cell type
Category
Tau score
Cell type
Category
Tau score
Cell lineage
Category
Tau score
Cluster
Cluster
Location
Searches
Location
Cell line
Class
Type
Phase
Reliability
Cancer
Prognosis
Cancer
Category
Cancer
Category
Tau score
Cluster
Variants
Interacting gene (ensg_id)
Type
Number of interactions
Pathway
Category
Score
Score
Score
Validation
Validation
Validation
Validation
Antibodies
Data type
Column


  • SUMMARY

  • TISSUE

  • BRAIN

  • SINGLE CELL

  • SUBCELL

  • CANCER

  • BLOOD

  • CELL LINE

  • STRUCT & INT

  • PRR13
BRAIN CEREBELLUM Show tissue menu
AMYGDALA BASAL GANGLIA CEREBELLUM CEREBRAL CORTEX CHOROID PLEXUS HIPPOCAMPAL FORMATION HYPOTHALAMUS MEDULLA OBLONGATA
MIDBRAIN OLFACTORY BULB PITUITARY GLAND PONS RETINA SPINAL CORD THALAMUS WHITE MATTER
ANTIBODIES
AND
VALIDATION
Brain proteome
Cerebellum
CEREBELLUM - Expression summary
Protein expression
Cerebellumi

On the top, protein expression in current human tissue, based on all annotated cell types, is reported with the units not detected (n), low (l), medium (m) and high (h). Underneath, protein expression in each annotated cell type are reported using the same units.

Protein expression data is based on knowledge-based annotation. For genes where more than one antibody has been used, a collective score is set.

If knowledge-based annotation could not be performed for a gene, no data is displayed here. View antibody staining data further down this page.

h
m
l
n
Cells in granular layer: High
Cells in molecular layer: Not detected
Purkinje cells: High
RNA expressioni

A summary of mRNA expression data available for current tissue based on several datasets. The mRNA expression levels in human tissues are based on RNA-seq data generated by the Human Protein Atlas (HPA), Genotype-Tissue Expression (GTEx) portal and CAGE data generated by the FANTOM5 consortium. Consensus normalized expression levels for human tissues was created by combining the data from HPA and GTEx datasets.

The mRNA expression levels in pig are based on RNA-seq data generated by the Human Protein Atlas (HPA), and for mouse, HPA data and in situ hybridization generated by the Allen brain atlas are reported.

Scroll down to view mRNA expression data in more detail.
Consensus:80.1 nTPM
HPA Brain:113.1 nTPM
GTEx:80.1 nTPM
FANTOM5:58.8 Scaled Tags Per Million
Pig:47.5 nTPM

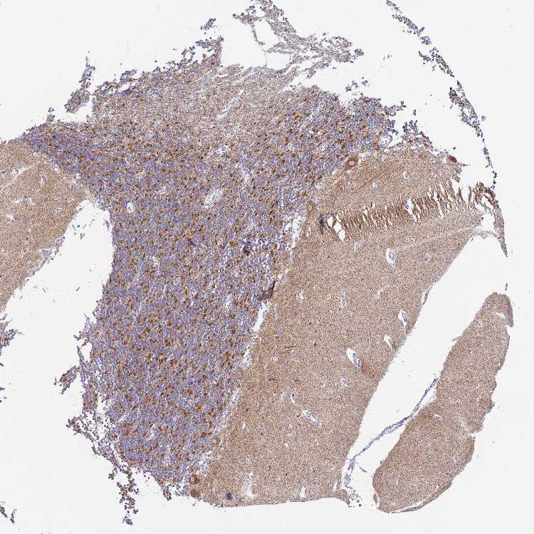
CEREBELLUM - Antibody stainingi

Antibody staining in the annotated cell types in the current human tissue is reported as not detected, low, medium, or high, based on conventional immunohistochemistry profiling in selected tissues. This score is based on the combination of the staining intensity and fraction of stained cells.

Each image is clickable and will lead to virtual microscopy that enables deeper exploration of all samples and also displays staining intensity scores, fraction scores and subcellular localization as well as patient and tissue information for each sample.

Antibody HPA046219
Purkinje cells High
Cells in granular layer High
Cells in molecular layer Not detected



CEREBELLUM - HPA Brain RNA-seq
Max subtype nTPMi

Max subtype nTPM is the value for the subtype with the largest average nTPM across the subtype samples.

113.1
Sample id Sample description nTPM
Cerebellar cortex
nTPM: 78.9
1768 Female, age 72, unknown 108.7
1774 Male, age 80, left hemisphere 102.0
1769 Male, age 76, right hemisphere 89.0
2003 Female, age 85, right hemisphere 81.1
2055 Female, age 91, right hemisphere 78.1
2101 Male, age 74, right hemisphere 64.7
1788 Male, age 55, unknown 58.6
2006 Male, age 61, right hemisphere 49.1
Cerebellar nuclei
nTPM: 113.1
2882 Male, age 76, left hemisphere 134.5
2783 Female, age 72, unknown 127.5
2175 Male, age 61, right hemisphere 126.2
1871 Male, age 74, unknown 116.3
2177 Female, age 85, both hemispheres 115.9
2005 Male, age 80, left hemisphere 112.8
1879 Male, age 55, unknown 101.9
1966 Female, age 91, left hemisphere 98.0
2318 Male, age 74, left hemisphere 84.3
Flocculonodular lobe
nTPM: 79.0
1765 Male, age 55, unknown 97.8
1771 Male, age 80, left hemisphere 95.5
1767 Male, age 76, left hemisphere 86.1
1792 Male, age 74, unknown 74.6
1835 Female, age 85, right hemisphere 70.4
2176 Female, age 91, right hemisphere 69.4
2004 Male, age 61, right hemisphere 58.9
Vermis
nTPM: 78.7
1778 Female, age 91, left hemisphere 99.7
1766 Male, age 55, unknown 96.7
1770 Male, age 76, left hemisphere 90.3
1751 Male, age 74, right hemisphere 89.0
2834 Male, age 80, left hemisphere 82.1
1825 Male, age 74, unknown 76.1
2460 Male, age 61, both hemispheres 59.5
1928 Female, age 72, unknown 59.2
1988 Female, age 85, left hemisphere 55.5

CEREBELLUM - GTEx RNA-seqi

RNA-Seq data generated by the Genotype-Tissue Expression (GTEx) project from human tissues is reported as mean nTPM. More information can be found on the GTEx portal.

Distribution across the dataset is visualized with box plots, shown as median and 25th and 75th percentiles. Points are displayed as outliers if they are above or below 1.5 times the interquartile range. nTPM values of the individual samples are presented next to the box plot.
Max subtype nTPMi

Max subtype nTPM is the value for the subtype with the largest average nTPM across the subtype samples.

80.1
GTEx sample id Sample description nTPM
Brain - Cerebellar Hemisphere
Average nTPM: 80.0
Samples: 215

Max nTPM: 138.4
Min nTPM: 37.0
Std nTPM: 15.0
Median nTPM: 79.0
GTEX-13X6J-0011-R11a-SM-5P9HE 50-59 years, male 138.4
GTEX-13FLV-0011-R11a-SM-5LZZ7 50-59 years, male 133.4
GTEX-13X6K-0011-R11a-SM-5P9F5 60-69 years, female 120.8
GTEX-1B933-0011-R11a-SM-7P8PM 50-59 years, female 120.0
GTEX-1F6I4-0011-R11b-SM-9OSWS 60-69 years, male 116.6
GTEX-N7MS-0011-R11A-SM-2HMJS 60-69 years, male 112.4
GTEX-1F75A-0011-R11a-SM-AHZ35 50-59 years, male 110.1
GTEX-1HBPI-0011-R11b-SM-CE6SH 50-59 years, male 109.3
GTEX-N7MT-0011-R11A-SM-2I3DZ 60-69 years, female 108.4
GTEX-1B8SG-0011-R11a-SM-7P8PF 50-59 years, male 107.9
GTEX-1313W-0011-R11a-SM-5DUXN 50-59 years, female 107.8
GTEX-1I1GS-0011-R11a-SM-C1YRU 60-69 years, male 107.6
GTEX-1R9K4-0011-R11a-SM-EZ6N9 60-69 years, male 107.1
GTEX-1EMGI-0011-R11b-SM-9OSWX 60-69 years, male 106.7
GTEX-15CHQ-0011-R11b-SM-686ZZ 60-69 years, male 105.2
GTEX-145MH-0011-R11a-SM-5P9HQ 50-59 years, male 104.0
GTEX-11ZUS-0011-R11b-SM-5BC7B 30-39 years, male 101.3
GTEX-1JJ6O-0011-R11b-SM-EXUS2 60-69 years, male 101.2
GTEX-13G51-0011-R11b-SM-5J2NE 60-69 years, male 100.4
GTEX-1LVAO-0011-R11b-SM-EXOI8 60-69 years, male 98.8
GTEX-12WSI-0011-R11b-SM-5P9EZ 50-59 years, male 98.4
GTEX-1I19N-0011-R11b-SM-ARU6Y 70-79 years, male 97.6
GTEX-139TT-0011-R11b-SM-5LZV1 60-69 years, male 97.5
GTEX-1GF9W-0011-R11b-SM-9OSXG 60-69 years, male 95.9
GTEX-131XH-0011-R11a-SM-5EGLN 50-59 years, male 94.2
GTEX-17HII-0011-R11b-SM-7KFSX 50-59 years, male 94.2
GTEX-145LU-0011-R11b-SM-5P9JX 50-59 years, male 93.8
GTEX-1CAV2-0011-R11a-SM-ARU8D 40-49 years, female 93.4
GTEX-16GPK-0011-R11b-SM-7MKFF 60-69 years, male 93.3
GTEX-1H4P4-0011-R11b-SM-CE6S8 50-59 years, male 93.3
GTEX-13X6I-0011-R11a-SM-5P9HN 60-69 years, male 93.1
GTEX-1JMOU-0011-R11b-SM-EXUTA 60-69 years, female 93.0
GTEX-11EMC-0011-R11b-SM-DNZZK 60-69 years, female 92.6
GTEX-TSE9-0011-R11A-SM-3DB7N 60-69 years, female 92.4
GTEX-1GMR8-0011-R11b-SM-9OSX2 50-59 years, female 92.3
GTEX-1F75W-0011-R11b-SM-AHZ34 60-69 years, male 92.2
GTEX-WZTO-0011-R11A-SM-4E3K9 40-49 years, male 92.1
GTEX-1H1CY-0011-R11a-SM-C1YQR 60-69 years, female 92.0
GTEX-1GN73-0011-R11b-SM-9OSX4 60-69 years, male 91.6
GTEX-12WSC-0011-R11a-SM-5GU5J 50-59 years, male 91.5
GTEX-1IY9M-0011-R11b-SM-A96TI 60-69 years, male 91.5
GTEX-1F48J-0011-R11b-SM-9OSWV 50-59 years, female 91.4
GTEX-1IGQW-0011-R11a-SM-C1YRV 60-69 years, male 91.4
GTEX-14E7W-0011-R11a-SM-5ZZVA 70-79 years, male 91.2
GTEX-P44H-0011-R11A-SM-2XCER 40-49 years, male 91.2
GTEX-1HGF4-0011-R11a-SM-C1YRR 60-69 years, male 91.0
GTEX-ZVZQ-0011-R11a-SM-51MS6 60-69 years, female 90.3
GTEX-13OVH-0011-R11b-SM-5KM4X 70-79 years, male 89.9
GTEX-1J1OQ-0011-R11a-SM-A96S3 40-49 years, female 89.8
GTEX-13OVJ-0011-R11a-SM-5P9H8 50-59 years, female 89.6
GTEX-144GL-0011-R11b-SM-5P9F6 50-59 years, male 89.5
GTEX-13O3Q-0011-R11b-SM-5KM2W 50-59 years, male 89.3
GTEX-1B8L1-0011-R11b-SM-793DJ 60-69 years, male 89.1
GTEX-NL4W-0011-R11A-SM-2I3DW 50-59 years, male 88.5
GTEX-1CB4G-0011-R11a-SM-9OSWG 60-69 years, male 88.5
GTEX-1GZ4I-0011-R11b-SM-9OSWR 50-59 years, male 88.5
GTEX-16Z82-0011-R11a-SM-79OKJ 60-69 years, male 88.4
GTEX-13FHO-0011-R11b-SM-5LZYQ 60-69 years, male 88.0
GTEX-1LG7Y-0011-R11a-SM-EXOIH 50-59 years, male 87.8
GTEX-12WSF-0011-R11a-SM-5LZVT 70-79 years, male 87.7
GTEX-18A6Q-0011-R11a-SM-72D6H 60-69 years, male 87.4
GTEX-17EVP-0011-R11a-SM-7EWDL 40-49 years, male 87.2
GTEX-1HFI6-0011-R11b-SM-A96RU 40-49 years, male 87.1
GTEX-1LSVX-0011-R11b-SM-EXOIA 60-69 years, male 86.6
GTEX-1I1GQ-0011-R11b-SM-CKZPA 50-59 years, male 86.5
GTEX-1EKGG-0011-R11a-SM-9QEHZ 60-69 years, male 85.9
GTEX-11H98-0011-R11b-SM-5NQ6U 50-59 years, male 85.7
GTEX-1H1ZS-0011-R11a-SM-C1YQM 70-79 years, male 85.7
GTEX-15DCD-0011-R11a-SM-D4P1R 70-79 years, female 85.6
GTEX-14E6D-0011-R11b-SM-664NP 50-59 years, male 84.9
GTEX-1C64N-0011-R11b-SM-7P8Q6 50-59 years, male 84.5
GTEX-1HCU6-0011-R11b-SM-AHZ2F 60-69 years, female 84.5
GTEX-14ABY-0011-R11a-SM-5SI7C 50-59 years, male 84.4
GTEX-139UW-0011-R11a-SM-5IJGN 60-69 years, male 84.1
GTEX-YJ89-0011-R11a-SM-4SOKA 60-69 years, male 84.0
GTEX-S7SE-0011-R11A-SM-2XCDD 50-59 years, male 83.8
GTEX-WL46-0011-R11A-SM-3MJFT 50-59 years, male 83.8
GTEX-1HSKV-0011-R11b-SM-AHZ2E 60-69 years, male 83.7
GTEX-1IDJH-0011-R11b-SM-C1YRT 70-79 years, male 83.6
GTEX-ZUA1-0011-R11b-SM-51MTI 40-49 years, male 82.9
GTEX-1KD4Q-0011-R11b-SM-EXOIE 40-49 years, male 82.5
GTEX-132Q8-0011-R11b-SM-5DUW9 60-69 years, male 82.3
GTEX-1H3VE-0011-R11b-SM-C1YRP 40-49 years, male 82.2
GTEX-13RTJ-0011-R11a-SM-5O9CK 60-69 years, male 82.1
GTEX-X4EP-0011-R11B-SM-4QASK 60-69 years, female 81.9
GTEX-17F97-0011-R11b-SM-7KFRQ 50-59 years, male 81.7
GTEX-1J8Q2-0011-R11a-SM-A9SKI 60-69 years, male 81.7
GTEX-11DYG-0011-R11a-SM-DNZZP 60-69 years, male 81.3
GTEX-13FXS-0011-R11a-SM-5L3DM 50-59 years, male 81.2
GTEX-13VXU-0011-R11b-SM-5O9DJ 50-59 years, male 81.2
GTEX-1I1GV-0011-R11a-SM-CJI3Z 60-69 years, male 81.2
GTEX-15EO6-0011-R11b-SM-6M47M 50-59 years, male 81.1
GTEX-13JVG-0011-R11a-SM-5KM53 60-69 years, male 80.8
GTEX-1I1GR-0011-R11a-SM-CM2T5 60-69 years, male 80.8
GTEX-1N2DW-0011-R11b-SM-EXOIL 50-59 years, male 80.8
GTEX-13JUV-0011-R11a-SM-5LZYH 40-49 years, female 80.7
GTEX-14PN4-0011-R11a-SM-686ZW 50-59 years, male 80.7
GTEX-12WSD-0011-R11a-SM-9OSVC 60-69 years, female 80.6
GTEX-1ICLZ-0011-R11a-SM-CJI3N 60-69 years, male 80.6
GTEX-1M4P7-0011-R11b-SM-EXOIK 60-69 years, male 80.2
GTEX-13S7M-0011-R11b-SM-5P9HU 60-69 years, female 80.1
GTEX-13OW6-0011-R11a-SM-5L3H2 50-59 years, male 79.9
GTEX-18464-0011-R11a-SM-72D76 50-59 years, male 79.9
GTEX-14C39-0011-R11b-SM-5YYAF 40-49 years, male 79.7
GTEX-1GTWX-0011-R11b-SM-C1YQJ 60-69 years, male 79.4
GTEX-14ASI-0011-R11b-SM-6AJBJ 60-69 years, male 79.2
GTEX-12ZZZ-0011-R11a-SM-5EGLC 60-69 years, male 79.1
GTEX-1H3NZ-0011-R11b-SM-CE6SF 60-69 years, male 79.0
GTEX-X261-0011-R11A-SM-4E3JY 50-59 years, male 78.9
GTEX-16XZZ-0011-R11a-SM-7EPI3 60-69 years, male 78.7
GTEX-OHPN-0011-R11A-SM-2I5FM 60-69 years, female 78.7
GTEX-16YQH-0011-R11b-SM-7LT98 30-39 years, male 78.4
GTEX-Z93S-0011-R11a-SM-4RGNN 50-59 years, male 78.2
GTEX-11ZTS-0011-R11a-SM-DO113 60-69 years, female 78.2
GTEX-13NYB-0011-R11a-SM-5KM3Q 40-49 years, male 77.9
GTEX-17JCI-0011-R11a-SM-7189Y 60-69 years, female 77.9
GTEX-1AX9I-0011-R11b-SM-7DHN4 60-69 years, male 77.9
GTEX-1IKK5-0011-R11a-SM-C1YRX 60-69 years, male 77.7
GTEX-13FHP-0011-R11b-SM-5LZXP 50-59 years, male 77.6
GTEX-1HB9E-0011-R11b-SM-ARU79 50-59 years, male 77.6
GTEX-1H3O1-0011-R11a-SM-A96RV 60-69 years, male 77.5
GTEX-13N2G-0011-R11a-SM-5MR3F 60-69 years, male 77.2
GTEX-1IL2U-0011-R11a-SM-CE6SO 60-69 years, male 77.1
GTEX-13QIC-0011-R11b-SM-5O9BU 60-69 years, female 77.0
GTEX-ZVT3-0011-R11b-SM-57WBI 60-69 years, female 76.9
GTEX-1R9PO-0011-R11b-SM-EZ6NB 60-69 years, female 76.9
GTEX-1F7RK-0011-R11b-SM-9QEI2 20-29 years, female 76.7
GTEX-ZE7O-0011-R11a-SM-57WBC 50-59 years, female 76.6
GTEX-12WSE-0011-R11b-SM-5P9JW 20-29 years, male 76.5
GTEX-18465-0011-R11a-SM-72D78 50-59 years, male 76.5
GTEX-13CZV-0011-R11b-SM-5N9FN 60-69 years, male 76.3
GTEX-1JMQJ-0011-R11a-SM-EXOJY 50-59 years, male 76.3
GTEX-QMR6-0011-R11A-SM-32PKK 50-59 years, male 76.1
GTEX-ZAB4-0011-R11a-SM-4SOKI 40-49 years, male 76.1
GTEX-13OW8-0011-R11a-SM-5L3GT 60-69 years, male 75.9
GTEX-11DXY-0011-R11a-SM-DNZZN 60-69 years, male 75.7
GTEX-11OF3-0011-R11a-SM-57WCR 60-69 years, male 75.4
GTEX-1N2EE-0011-R11b-SM-EXOIJ 60-69 years, male 75.4
GTEX-13OW7-0011-R11a-SM-5O9DY 50-59 years, male 75.3
GTEX-12126-0011-R11a-SM-5BC6X 20-29 years, male 75.2
GTEX-11TTK-0011-R11b-SM-DO112 60-69 years, female 75.2
GTEX-WHSE-0011-R11A-SM-3P5YY 20-29 years, male 75.1
GTEX-1I1HK-0011-R11a-SM-B2LVN 60-69 years, male 74.9
GTEX-1GMRU-0011-R11b-SM-C1YQ4 50-59 years, male 74.6
GTEX-13O3O-0011-R11b-SM-5KM4G 60-69 years, female 74.2
GTEX-Y8DK-0011-R11A-SM-4SOK2 60-69 years, male 73.4
GTEX-1399T-0011-R11a-SM-5J2O1 60-69 years, male 73.0
GTEX-1IOXB-0011-R11a-SM-A9G1X 50-59 years, male 73.0
GTEX-15DYW-0011-R11a-SM-6LPIT 60-69 years, female 72.8
GTEX-15ER7-0011-R11a-SM-6LPIL 20-29 years, female 72.4
GTEX-11GSP-0011-R11b-SM-5NQ7V 60-69 years, female 72.3
GTEX-ZDXO-0011-R11a-SM-4WWD9 60-69 years, male 72.3
GTEX-QDT8-0011-R11A-SM-32PKD 30-39 years, female 72.2
GTEX-15G19-0011-R11b-SM-6LPIH 60-69 years, male 72.0
GTEX-13OW5-0011-R11b-SM-5L3GG 60-69 years, male 71.9
GTEX-13NZA-0011-R11b-SM-5KM4W 60-69 years, male 71.8
GTEX-13OVL-0011-R11b-SM-5L3G7 50-59 years, male 71.8
GTEX-12WSM-0011-R11a-SM-5DUX8 60-69 years, male 71.6
GTEX-1JJEA-0011-R11a-SM-EXUTE 60-69 years, male 71.6
GTEX-X585-0011-R11B-SM-46MUZ 50-59 years, male 71.0
GTEX-1E1VI-0011-R11a-SM-9OSWI 50-59 years, male 70.9
GTEX-1J8EW-0011-R11a-SM-AHZ37 60-69 years, female 70.9
GTEX-13CF2-0011-R11b-SM-5LZXO 60-69 years, male 70.8
GTEX-11PRG-0011-R11b-SM-DNZZY 50-59 years, male 70.7
GTEX-16NPV-0011-R11a-SM-7IGMK 50-59 years, female 70.6
GTEX-131YS-0011-R11b-SM-5EGLM 60-69 years, female 70.5
GTEX-13SLX-0011-R11b-SM-5O9C8 50-59 years, female 69.6
GTEX-1IKOH-0011-R11a-SM-AHZ38 60-69 years, female 68.9
GTEX-1IL2V-0011-R11a-SM-ARU6T 70-79 years, male 68.8
GTEX-T2IS-0011-R11A-SM-32QPC 20-29 years, female 68.7
GTEX-T5JC-0011-R11A-SM-32PMB 20-29 years, male 68.7
GTEX-13SLW-0011-R11a-SM-5SI8Q 70-79 years, male 68.6
GTEX-1H1DG-0011-R11a-SM-C1YQK 70-79 years, male 68.4
GTEX-RVPV-0011-R11A-SM-2TF6F 60-69 years, male 68.3
GTEX-11EI6-0011-R11a-SM-DO11V 60-69 years, male 68.0
GTEX-1B8SF-0011-R11a-SM-79OOP 60-69 years, male 67.6
GTEX-YFC4-0011-R11a-SM-4SOK6 40-49 years, female 67.6
GTEX-NPJ7-0011-R11A-SM-2I3E8 60-69 years, female 67.4
GTEX-1LKK1-0011-R11a-SM-EXOIG 50-59 years, female 67.4
GTEX-14DAQ-0011-R11a-SM-664NO 60-69 years, female 67.3
GTEX-WWYW-0011-R11A-SM-3NB38 50-59 years, female 66.6
GTEX-13PVQ-0011-R11a-SM-5O9DU 50-59 years, male 66.5
GTEX-1F52S-0011-R11a-SM-CJI23 60-69 years, female 66.4
GTEX-1HUB1-0011-R11b-SM-CE6SC 60-69 years, male 66.3
GTEX-14C5O-0011-R11b-SM-6872H 60-69 years, male 66.1
GTEX-11WQC-0011-R11b-SM-57WD6 60-69 years, male 65.6
GTEX-P44G-0011-R11A-SM-2I3FD 30-39 years, male 65.0
GTEX-17EVQ-0011-R11a-SM-7LT9C 70-79 years, male 64.7
GTEX-17HG3-0011-R11b-SM-7KFT4 30-39 years, female 64.4
GTEX-1BAJH-0011-R11b-SM-7IGLM 70-79 years, male 64.1
GTEX-UTHO-0011-R11A-SM-3GIJE 60-69 years, male 63.5
GTEX-14BIN-0011-R11a-SM-5SI79 50-59 years, female 63.3
GTEX-13FTY-0011-R11a-SM-5IJEA 40-49 years, female 62.8
GTEX-1GZHY-0011-R11a-SM-C1YRQ 50-59 years, female 62.6
GTEX-RU72-0011-R11A-SM-CM2U1 50-59 years, female 62.6
GTEX-ZE9C-0011-R11a-SM-4WKGG 60-69 years, male 62.5
GTEX-T6MN-0011-R11A-SM-32QOX 50-59 years, male 61.9
GTEX-13PLJ-0011-R11b-SM-5O9BS 60-69 years, female 61.3
GTEX-131XW-0011-R11a-SM-5DUV9 50-59 years, female 60.5
GTEX-12WSH-0011-R11a-SM-5LZVM 50-59 years, male 60.3
GTEX-WVLH-0011-R11A-SM-3MJFO 50-59 years, male 59.7
GTEX-14BIM-0011-R11b-SM-5S2RN 60-69 years, female 58.5
GTEX-1A3MX-0011-R11b-SM-7DUGP 60-69 years, male 58.3
GTEX-12ZZX-0011-R11a-SM-5DUVJ 40-49 years, female 57.9
GTEX-145MI-0011-R11a-SM-5P9JZ 60-69 years, female 57.8
GTEX-183WM-0011-R11a-SM-718A5 70-79 years, female 57.1
GTEX-11DZ1-0011-R11b-SM-DO11W 50-59 years, male 54.8
GTEX-ZF28-0011-R11a-SM-4WWEI 60-69 years, male 54.5
GTEX-Q2AG-0011-R11A-SM-2HMKZ 40-49 years, female 54.4
GTEX-R55E-0011-R11A-SM-2TC6I 20-29 years, male 52.7
GTEX-X4XX-0011-R11A-SM-46MWQ 60-69 years, male 46.9
GTEX-13NYS-0011-R11b-SM-5MR4P 60-69 years, male 46.2
GTEX-NPJ8-0011-R11A-SM-2YUMS 40-49 years, male 43.6
GTEX-NL3H-0011-R11A-SM-2I3E6 60-69 years, male 42.5
GTEX-XMD1-0011-R11A-SM-4AT5J 60-69 years, male 37.0
Show allShow less
Brain - Cerebellum
Average nTPM: 80.1
Samples: 241

Max nTPM: 137.7
Min nTPM: 39.6
Std nTPM: 11.9
Median nTPM: 79.5
GTEX-1PWST-3026-SM-EAZ3H 70-79 years, male 137.7
GTEX-13X6K-2826-SM-5O9DS 60-69 years, female 122.6
GTEX-1H1ZS-2926-SM-9WPP2 70-79 years, male 111.9
GTEX-1EH9U-3126-SM-7MXU5 60-69 years, male 106.9
GTEX-13FHO-2926-SM-5L3ES 60-69 years, male 106.7
GTEX-1F75A-2926-SM-7MXVN 50-59 years, male 105.9
GTEX-1RDX4-3226-SM-DPS14 50-59 years, female 105.2
GTEX-QMR6-1326-SM-32PLB 50-59 years, male 102.5
GTEX-1B996-2926-SM-7MXUH 60-69 years, male 102.1
GTEX-TSE9-2926-SM-3DB77 60-69 years, female 100.5
GTEX-OHPN-2626-SM-2I5H1 60-69 years, female 100.3
GTEX-ZAB4-2926-SM-57WCV 40-49 years, male 99.9
GTEX-ZYFD-2926-SM-5GID9 50-59 years, male 99.8
GTEX-1JMPZ-2826-SM-C1YRA 30-39 years, male 98.0
GTEX-1LSVX-2826-SM-EVR58 60-69 years, male 98.0
GTEX-1HBPI-2726-SM-9WPPF 50-59 years, male 97.9
GTEX-14BMV-2926-SM-5TDEE 50-59 years, male 97.8
GTEX-13O3Q-3026-SM-5IJGD 50-59 years, male 96.9
GTEX-1EMGI-3126-SM-7MXUR 60-69 years, male 96.6
GTEX-1NV8Z-3026-SM-DTX8Z 60-69 years, male 96.1
GTEX-X4EP-3026-SM-3P5YP 60-69 years, female 95.8
GTEX-1F48J-2726-SM-7P8PW 50-59 years, female 95.3
GTEX-13OVJ-2726-SM-5IJG6 50-59 years, female 95.1
GTEX-XLM4-2926-SM-4AT59 60-69 years, male 94.9
GTEX-13JVG-3226-SM-5IJGJ 60-69 years, male 94.3
GTEX-1B8L1-3226-SM-7P8OX 60-69 years, male 93.5
GTEX-1JMQK-2926-SM-D4P2T 60-69 years, male 93.3
GTEX-1H3VE-2826-SM-9WPOL 40-49 years, male 93.2
GTEX-11ONC-3026-SM-5985W 60-69 years, male 93.1
GTEX-1F6I4-3026-SM-7P8SI 60-69 years, male 92.8
GTEX-1HBPH-3026-SM-9WPNY 40-49 years, female 92.6
GTEX-1IKOH-2826-SM-CNNRC 60-69 years, female 92.6
GTEX-11O72-2826-SM-5HL6W 40-49 years, male 91.5
GTEX-T6MN-2526-SM-32PMN 50-59 years, male 91.3
GTEX-13FXS-3026-SM-5LZYO 50-59 years, male 90.7
GTEX-131XH-2926-SM-5LZU4 50-59 years, male 90.5
GTEX-1GN73-3026-SM-7MXV8 60-69 years, male 90.2
GTEX-1399T-3126-SM-5IJFS 60-69 years, male 90.0
GTEX-WVLH-2926-SM-3MJG5 50-59 years, male 89.8
GTEX-ZDXO-2926-SM-4WKFM 60-69 years, male 89.6
GTEX-13OVL-3026-SM-5IJF1 50-59 years, male 89.5
GTEX-11GSP-3126-SM-5A5LL 60-69 years, female 89.2
GTEX-1313W-3026-SM-5LZUZ 50-59 years, female 89.2
GTEX-1J1OQ-3126-SM-D4P2O 40-49 years, female 89.0
GTEX-14PJO-2926-SM-686ZI 60-69 years, male 88.7
GTEX-ZAK1-2926-SM-5HL9S 50-59 years, female 88.6
GTEX-13FHP-2926-SM-5IJG9 50-59 years, male 88.5
GTEX-13X6I-2926-SM-5Q5C3 60-69 years, male 88.5
GTEX-1GF9W-2726-SM-9JGGW 60-69 years, male 88.4
GTEX-1JJ6O-3026-SM-C1YQH 60-69 years, male 88.3
GTEX-15EO6-2926-SM-6M48D 50-59 years, male 88.2
GTEX-1JMQJ-3126-SM-EV79G 50-59 years, male 88.2
GTEX-13N2G-3126-SM-5IJGL 60-69 years, male 88.1
GTEX-11DXW-1026-SM-5H11K 40-49 years, male 88.0
GTEX-11EMC-3326-SM-5P9JH 60-69 years, female 88.0
GTEX-S7SE-2526-SM-2XCDL 50-59 years, male 87.4
GTEX-1GTWX-2926-SM-7MXV4 60-69 years, male 87.4
GTEX-1H3O1-1826-SM-A96TO 60-69 years, male 87.4
GTEX-15DYW-3026-SM-7KFRM 60-69 years, female 87.2
GTEX-QDT8-3026-SM-32PKB 30-39 years, female 87.2
GTEX-12ZZY-2926-SM-5DUXO 60-69 years, male 87.1
GTEX-13OW8-2926-SM-5L3FV 60-69 years, male 87.1
GTEX-1HCVE-2926-SM-9WPPJ 50-59 years, male 87.1
GTEX-13OW5-3126-SM-5MR3Y 60-69 years, male 86.9
GTEX-Y111-2826-SM-4TT3O 50-59 years, male 86.5
GTEX-12WSC-2926-SM-5BC5Z 50-59 years, male 86.4
GTEX-QVUS-2926-SM-3GIJB 60-69 years, female 86.2
GTEX-1MJK2-3026-SM-EV7A5 50-59 years, male 86.1
GTEX-11NUK-3026-SM-5986K 50-59 years, male 85.7
GTEX-147F4-3026-SM-5Q5BJ 50-59 years, male 85.7
GTEX-P44H-2426-SM-2XCEJ 40-49 years, male 85.7
GTEX-11DXY-3126-SM-5N9BT 60-69 years, male 85.6
GTEX-1C6WA-3326-SM-7MKGN 60-69 years, male 85.6
GTEX-11TTK-2826-SM-5GU5K 60-69 years, female 85.4
GTEX-13QIC-3026-SM-5LU58 60-69 years, female 85.3
GTEX-12WSE-2926-SM-5RQJ9 20-29 years, male 85.2
GTEX-1192X-3226-SM-5987D 50-59 years, male 84.7
GTEX-13NYB-3226-SM-5J2ND 40-49 years, male 84.7
GTEX-14BIN-3326-SM-5Q5E6 50-59 years, female 84.6
GTEX-14E7W-2926-SM-5S2R8 70-79 years, male 84.5
GTEX-1H1CY-3026-SM-9OSW7 60-69 years, female 84.5
GTEX-14E6D-2926-SM-664OP 50-59 years, male 84.4
GTEX-16XZZ-2926-SM-6LPK4 60-69 years, male 84.4
GTEX-X261-3126-SM-4PQZC 50-59 years, male 84.1
GTEX-1B8SG-1926-SM-73KUB 50-59 years, male 84.0
GTEX-N7MS-2526-SM-2D7W3 60-69 years, male 83.8
GTEX-13OVH-2926-SM-5IJFH 70-79 years, male 83.7
GTEX-1RNSC-3126-SM-EVR4V 60-69 years, male 83.7
GTEX-139TT-2626-SM-5LZUB 60-69 years, male 83.6
GTEX-1F75W-3126-SM-7P8SJ 60-69 years, male 83.2
GTEX-PWO3-1026-SM-2I5F2 60-69 years, female 83.1
GTEX-11ZUS-2826-SM-5EQKW 30-39 years, male 82.9
GTEX-11NV4-2226-SM-5BC4T 60-69 years, male 82.7
GTEX-15G19-2826-SM-6M48K 60-69 years, male 82.6
GTEX-145LS-3026-SM-5O99S 60-69 years, female 82.5
GTEX-11DYG-2926-SM-5H132 60-69 years, male 82.3
GTEX-13G51-3126-SM-5IJG7 60-69 years, male 82.2
GTEX-12WSM-2126-SM-5GCOC 60-69 years, male 82.0
GTEX-14ABY-3026-SM-664NE 50-59 years, male 82.0
GTEX-13RTJ-3126-SM-5S2Q4 60-69 years, male 81.9
GTEX-1JMOU-2826-SM-EV79R 60-69 years, female 81.8
GTEX-1F6IF-3026-SM-7P8QN 60-69 years, male 81.6
GTEX-13CF2-3026-SM-5IFFX 60-69 years, male 81.3
GTEX-14BIM-3126-SM-5Q5C7 60-69 years, female 81.3
GTEX-13JUV-3026-SM-5K7WX 40-49 years, female 81.2
GTEX-YJ89-2926-SM-5P9IT 60-69 years, male 81.1
GTEX-1BAJH-3126-SM-7MGXY 70-79 years, male 80.9
GTEX-1IDJH-3126-SM-C1YQS 70-79 years, male 80.8
GTEX-17EVP-2926-SM-793BU 40-49 years, male 80.5
GTEX-NPJ7-2826-SM-2I3FU 60-69 years, female 80.3
GTEX-14JG1-2926-SM-686ZK 40-49 years, male 80.2
GTEX-1HB9E-3126-SM-AHZ4M 50-59 years, male 80.1
GTEX-145MH-2926-SM-5Q5D2 50-59 years, male 80.0
GTEX-15SHU-3026-SM-6LPIB 40-49 years, female 80.0
GTEX-1EX96-3126-SM-9JGGC 50-59 years, male 80.0
GTEX-131YS-3026-SM-5EGHY 60-69 years, female 79.9
GTEX-1RQEC-3026-SM-DPRXM 60-69 years, male 79.9
GTEX-1I1GV-3026-SM-CNNR9 60-69 years, male 79.7
GTEX-1JMLX-3026-SM-EV79Q 50-59 years, male 79.7
GTEX-117XS-3126-SM-5GIDP 60-69 years, male 79.6
GTEX-1LG7Y-3126-SM-EV7AS 50-59 years, male 79.5
GTEX-1R46S-3126-SM-DPRZ9 60-69 years, female 79.2
GTEX-ZYY3-3026-SM-5GIEJ 60-69 years, female 79.1
GTEX-1GF9V-3026-SM-7P8R8 60-69 years, male 79.1
GTEX-18465-2926-SM-7KFSE 50-59 years, male 78.8
GTEX-139TS-3126-SM-5LZWX 60-69 years, male 78.7
GTEX-12WSD-3026-SM-5LZU7 60-69 years, female 78.6
GTEX-16Z82-2926-SM-6LPJJ 60-69 years, male 78.3
GTEX-13OW6-2926-SM-5KM29 50-59 years, male 78.2
GTEX-14A5I-2826-SM-5SIBF 50-59 years, female 78.2
GTEX-144GL-2926-SM-5O99F 50-59 years, male 78.0
GTEX-145LU-2626-SM-5LU9Z 50-59 years, male 78.0
GTEX-1GZHY-3026-SM-7MXVA 50-59 years, female 78.0
GTEX-13OW7-2926-SM-5MR3Z 50-59 years, male 77.9
GTEX-14DAQ-3026-SM-5S2QZ 60-69 years, female 77.9
GTEX-1CB4G-2926-SM-7MKFQ 60-69 years, male 77.8
GTEX-11GSO-3026-SM-5Q5AL 60-69 years, male 77.2
GTEX-13112-2926-SM-5DUWT 50-59 years, male 77.2
GTEX-1H4P4-2726-SM-9JGGB 50-59 years, male 77.2
GTEX-N7MT-1226-SM-DKPOK 60-69 years, female 77.0
GTEX-17JCI-3026-SM-7EWDR 60-69 years, female 76.9
GTEX-12ZZZ-3126-SM-5LZU6 60-69 years, male 76.8
GTEX-14ASI-2926-SM-5Q5DG 60-69 years, male 76.6
GTEX-1HSKV-2926-SM-B2LWJ 60-69 years, male 76.6
GTEX-1B8SF-3026-SM-731DX 60-69 years, male 76.5
GTEX-R55E-2526-SM-2TC6H 20-29 years, male 76.5
GTEX-17F97-2926-SM-7DUEQ 50-59 years, male 76.2
GTEX-WZTO-2826-SM-3NM8P 40-49 years, male 76.2
GTEX-11ZVC-3026-SM-59HJM 50-59 years, female 76.1
GTEX-1EKGG-3126-SM-9WPO5 60-69 years, male 76.1
GTEX-13VXU-3026-SM-5LU3K 50-59 years, male 76.0
GTEX-1JJE9-3026-SM-CNNPA 70-79 years, male 75.9
GTEX-12126-0926-SM-5FQTW 20-29 years, male 75.8
GTEX-147GR-3126-SM-5S2PM 60-69 years, male 75.8
GTEX-14PN4-3026-SM-664O4 50-59 years, male 75.6
GTEX-1269C-3126-SM-5EGI6 60-69 years, female 75.5
GTEX-14JIY-2326-SM-6AJAJ 60-69 years, male 75.4
GTEX-1E2YA-2926-SM-7MGWX 50-59 years, male 75.2
GTEX-17HG3-2826-SM-7EPGO 30-39 years, female 75.1
GTEX-ZUA1-2926-SM-59HL3 40-49 years, male 74.8
GTEX-11ZTS-3226-SM-5EGID 60-69 years, female 74.6
GTEX-16YQH-2926-SM-6LPJE 30-39 years, male 74.6
GTEX-ZAJG-3026-SM-5HL92 50-59 years, female 74.6
GTEX-183WM-2726-SM-7KFRF 70-79 years, female 74.5
GTEX-RU72-2926-SM-2TF66 50-59 years, female 74.1
GTEX-1A8G7-3026-SM-73KTT 60-69 years, male 73.9
GTEX-13S7M-3026-SM-5S2QQ 60-69 years, female 73.8
GTEX-13SLX-3226-SM-5YYA6 50-59 years, female 73.8
GTEX-1KANB-3226-SM-D4P3G 50-59 years, male 73.8
GTEX-14JFF-2826-SM-6871Q 60-69 years, male 73.7
GTEX-Z93S-2826-SM-57WBL 50-59 years, male 73.7
GTEX-1R9PO-2826-SM-E6CPV 60-69 years, female 73.6
GTEX-1EU9M-2926-SM-793DF 60-69 years, male 73.5
GTEX-1IY9M-3126-SM-AHZ3A 60-69 years, male 73.5
GTEX-1QEPI-3026-SM-EXOIW 60-69 years, female 73.5
GTEX-11OC5-0626-SM-5HL6M 60-69 years, male 73.4
GTEX-RNOR-2226-SM-2TF5O 50-59 years, female 73.3
GTEX-YFC4-3026-SM-5IFJK 40-49 years, female 73.3
GTEX-15ER7-3026-SM-6M47W 20-29 years, female 73.2
GTEX-ZVT3-2926-SM-5GU6M 60-69 years, female 73.1
GTEX-145MF-2826-SM-7EPGU 50-59 years, male 72.8
GTEX-14PJM-3026-SM-6LLHM 50-59 years, female 72.8
GTEX-14C5O-2926-SM-5RQI1 60-69 years, male 72.7
GTEX-1I1CD-2926-SM-A96SJ 60-69 years, female 72.7
GTEX-1E1VI-2926-SM-7IGLT 50-59 years, male 72.4
GTEX-WL46-2826-SM-3LK81 50-59 years, male 72.4
GTEX-1QP6S-3026-SM-EAZ4N 40-49 years, male 72.4
GTEX-13PVQ-2926-SM-5L3HJ 50-59 years, male 72.3
GTEX-1KD4Q-3026-SM-EV7A7 40-49 years, male 72.3
GTEX-1C6VR-3026-SM-7IGLW 60-69 years, male 72.1
GTEX-1CB4H-3026-SM-79OLX 60-69 years, female 72.1
GTEX-P44G-2526-SM-2I5EK 30-39 years, male 72.0
GTEX-Q2AG-2826-SM-2HMJQ 40-49 years, female 72.0
GTEX-WHSE-2926-SM-3NMBG 20-29 years, male 72.0
GTEX-1A8G6-3126-SM-731D8 60-69 years, male 71.7
GTEX-1128S-2826-SM-5N9DI 60-69 years, female 71.5
GTEX-111FC-3326-SM-5GZYV 60-69 years, male 71.4
GTEX-1POEN-2726-SM-E9U6B 30-39 years, female 71.2
GTEX-13O3O-3026-SM-5KM42 60-69 years, female 70.7
GTEX-11EI6-2926-SM-5985U 60-69 years, male 70.5
GTEX-WWYW-3026-SM-3NB36 50-59 years, female 70.3
GTEX-17EVQ-2726-SM-7EWDT 70-79 years, male 69.9
GTEX-18A6Q-2826-SM-7LTAO 60-69 years, male 69.9
GTEX-17HHY-2926-SM-79OJW 50-59 years, male 69.8
GTEX-145MG-3126-SM-5Q5D3 50-59 years, male 69.7
GTEX-1GZ2Q-3026-SM-9JGG3 40-49 years, male 69.4
GTEX-1PIIG-2826-SM-DTX7O 30-39 years, male 69.1
GTEX-Y8DK-0726-SM-4TT3S 60-69 years, male 69.0
GTEX-T5JC-2326-SM-32PMR 20-29 years, male 68.7
GTEX-11PRG-2826-SM-5BC54 50-59 years, male 68.5
GTEX-132Q8-2926-SM-5IFFP 60-69 years, male 68.5
GTEX-17HII-2926-SM-79OMK 50-59 years, male 68.5
GTEX-1A3MX-2926-SM-718B7 60-69 years, male 68.1
GTEX-1IL2V-3026-SM-CYPSA 70-79 years, male 68.1
GTEX-PVOW-2626-SM-32PL8 40-49 years, male 67.9
GTEX-1B933-3026-SM-731DB 50-59 years, female 67.8
GTEX-1JN1M-3126-SM-AHZ4E 60-69 years, female 67.6
GTEX-1EWIQ-3026-SM-7IGOJ 70-79 years, female 67.5
GTEX-1JJEA-2926-SM-C1YSK 60-69 years, male 67.3
GTEX-T2IS-2926-SM-32QPO 20-29 years, female 66.7
GTEX-1I1HK-2726-SM-AHZ2M 60-69 years, male 66.7
GTEX-13X6J-2926-SM-7EPGP 50-59 years, male 66.4
GTEX-ZF28-2926-SM-4WKG1 60-69 years, male 66.0
GTEX-1H1DG-2826-SM-9JGHB 70-79 years, male 65.7
GTEX-1KWVE-2226-SM-CXZKN 30-39 years, male 64.0
GTEX-12ZZX-2826-SM-5BC6K 40-49 years, female 63.8
GTEX-QVJO-1325-SM-2S1QX 60-69 years, female 63.7
GTEX-1GZ4I-2926-SM-9JGGO 50-59 years, male 63.7
GTEX-1C64N-3126-SM-79OO3 50-59 years, male 63.4
GTEX-NPJ8-2626-SM-2D7W2 40-49 years, male 63.4
GTEX-14C39-3026-SM-5S2QE 40-49 years, male 62.8
GTEX-12WSH-3126-SM-5LZW8 50-59 years, male 61.9
GTEX-1F52S-3026-SM-7P8PV 60-69 years, female 61.4
GTEX-UTHO-2926-SM-3P5Z9 60-69 years, male 60.3
GTEX-1H3NZ-2926-SM-9WPQ8 60-69 years, male 55.8
GTEX-1P4AB-3026-SM-EXOJS 50-59 years, male 55.0
GTEX-11DZ1-2926-SM-5A5KI 50-59 years, male 54.9
GTEX-1HSMO-2926-SM-C1YR5 60-69 years, male 54.0
GTEX-XMD1-2826-SM-4AT5F 60-69 years, male 48.1
GTEX-X4XX-2926-SM-3NMB1 60-69 years, male 45.7
GTEX-ZZPT-2926-SM-5EQ5S 50-59 years, male 39.6
Show allShow less

CEREBELLUM - FANTOM5 CAGEi

RNA expression in human tissues obtained through Cap Analysis of Gene Expression (CAGE) generated by the FANTOM5 project are reported as Scaled Tags Per Million.

Max subtype Scaled Tags Per Millioni

Max subtype Scaled Tags Per Million is the value for the subtype with the largest average Scaled Tags Per Million across the subtype samples.

58.8
FANTOM5 sample id Sample description Scaled Tags Per Million
Cerebellum
Scaled Tags Per Million: 58.8
FF:10166-103B4 76 years, female 61.5
FF:10083-102B2 22-68 years, mixed 56.0

CEREBELLUM - Pig RNA-seqi

RNA-seq data obtained from pig brain is reported as nTPM .

Normal distribution across the dataset is visualized with box plots, shown as median and 25th and 75th percentiles. Points are displayed as outliers if they are above or below 1.5 times the interquartile range. nTPM values of the individual samples are presented next to the box plot.
Max subtype nTPMi

Max subtype nTPM is the value for the subtype with the largest average nTPM across the subtype samples.

47.5
Pig sample Sample description nTPM
Cerebellum
nTPM: 47.5
Samples: 4

Max nTPM: 78.6
Min nTPM: 34.6
Sample A Female 78.6
Sample B Female 38.4
Sample C Male 34.6
Sample D Male 38.3

Contact

  • NEWS ARTICLES
  • PRESS ROOM

The Project

  • INTRODUCTION
  • ORGANIZATION
  • PUBLICATIONS

The Human Protein Atlas

  • DOWNLOADABLE DATA
  • LICENCE & CITATION
  • HELP & FAQ
The Human Protein Atlas project is funded
by the Knut & Alice Wallenberg Foundation.


contact@proteinatlas.org