We use cookies to enhance the usability of our website. If you continue, we'll assume that you are happy to receive all cookies. More information. Don't show this again.
HBA1
HPA
RESOURCES
  • TISSUE
  • BRAIN
  • SINGLE CELL
  • SUBCELLULAR
  • CANCER
  • BLOOD
  • CELL LINE
  • STRUCTURE & INTERACTION
ABOUT
  • INTRODUCTION
  • HISTORY
  • ORGANIZATION
  • PUBLICATIONS
  • ANTIBODY SUBMISSION
  • ANTIBODY AVAILABILITY
  • ACKNOWLEDGMENTS
  • CONTACT
NEWS
  • NEWS ARTICLES
  • PRESS ROOM
LEARN
  • DICTIONARY
  • PROTEIN CLASSES
  • PROTEIN EVIDENCE
  • METHODS
  • EDUCATIONAL VIDEOS
DATA
  • DOWNLOADABLE DATA
  • PUBLICATION DATA
  • RELEASE HISTORY
HELP
  • ANTIBODY VALIDATION
  • ASSAYS & ANNOTATION
  • DISCLAIMER
  • HELP & FAQ
  • PRIVACY STATEMENT
  • LICENCE & CITATION
Fields »
Search result

Field
Term
Gene name
Class
Subclass
Class
Keyword
Chromosome
External id
Tissue
Cell type
Expression
Antibody panel
Tissue
Main location
Patient ID
Annotation
Tissue
Category
Tau score
Cluster
Reliability
Brain region
Category
Tau score
Brain region
Category
Tau score
Brain region
Category
Tau score
Cluster
Reliability
Tissue
Cell type
Enrichment
Cell type
Category
Tau score
Cell type
Category
Tau score
Cell type
Category
Tau score
Cell lineage
Category
Tau score
Cluster
Cluster
Location
Searches
Location
Cell line
Class
Type
Phase
Reliability
Cancer
Prognosis
Cancer
Category
Cancer
Category
Tau score
Cluster
Variants
Interacting gene (ensg_id)
Type
Number of interactions
Pathway
Category
Score
Score
Score
Validation
Validation
Validation
Validation
Antibodies
Data type
Column


  • SUMMARY

  • TISSUE

  • BRAIN

  • SINGLE CELL

  • SUBCELL

  • CANCER

  • BLOOD

  • CELL LINE

  • STRUCT & INT

  • HBA1
BRAIN CEREBRAL CORTEX Show tissue menu
AMYGDALA BASAL GANGLIA CEREBELLUM CEREBRAL CORTEX CHOROID PLEXUS HIPPOCAMPAL FORMATION HYPOTHALAMUS
MEDULLA OBLONGATA MIDBRAIN PONS SPINAL CORD THALAMUS WHITE MATTER
ANTIBODIES
AND
VALIDATION
Brain proteome
Cerebral cortex
CEREBRAL CORTEX - Expression summary
Protein expression
Cerebral cortexi

On the top, protein expression in current human tissue, based on all annotated cell types, is reported with the units not detected (n), low (l), medium (m) and high (h). Underneath, protein expression in each annotated cell type are reported using the same units.

Protein expression data is based on knowledge-based annotation. For genes where more than one antibody has been used, a collective score is set.

If knowledge-based annotation could not be performed for a gene, no data is displayed here. View antibody staining data further down this page.

h
m
l
n
Endothelial cells: Not detected
Glial cells: Not detected
Neuronal cells: Not detected
Neuropil: Not detected
RNA expressioni

A summary of mRNA expression data available for current tissue based on several datasets. The mRNA expression levels in human tissues are based on RNA-seq data generated by the Human Protein Atlas (HPA), Genotype-Tissue Expression (GTEx) portal and CAGE data generated by the FANTOM5 consortium. Consensus normalized expression levels for human tissues was created by combining the data from HPA and GTEx datasets.

The mRNA expression levels in pig are based on RNA-seq data generated by the Human Protein Atlas (HPA), and for mouse, HPA data and in situ hybridization generated by the Allen brain atlas are reported.

Scroll down to view mRNA expression data in more detail.
Consensus:342.3 nTPM
HPA:26.7 nTPM
HPA Brain:574.1 nTPM
HPA PFC Brain:226.4 nTPM
GTEx:342.3 nTPM
FANTOM5:0.9 Scaled Tags Per Million

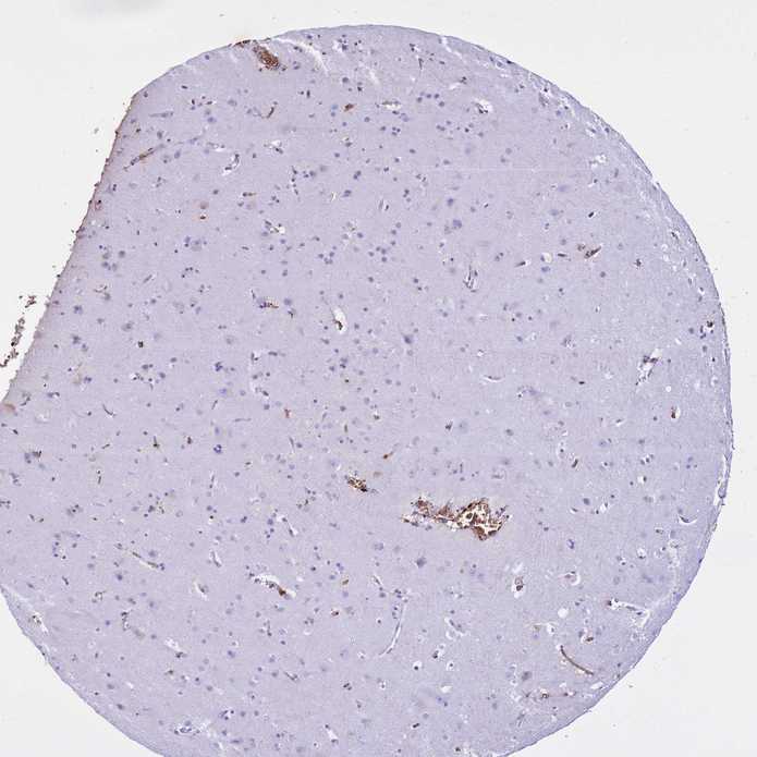
CEREBRAL CORTEX - Antibody stainingi

Antibody staining in the annotated cell types in the current human tissue is reported as not detected, low, medium, or high, based on conventional immunohistochemistry profiling in selected tissues. This score is based on the combination of the staining intensity and fraction of stained cells.

Each image is clickable and will lead to virtual microscopy that enables deeper exploration of all samples and also displays staining intensity scores, fraction scores and subcellular localization as well as patient and tissue information for each sample.

Antibody HPA043780Antibody CAB032534
Endothelial cells LowNot detected
Glial cells Not detectedNot detected
Neuronal cells Not detectedNot detected
Neuropil Not detectedNot detected





CEREBRAL CORTEX - HPA RNA-seqi

The RNA-seq details section shows detailed information about the individual samples used for the transcript profiling and results of the RNA-seq analysis.

Information about each individual sample is listed below, including gender, age, a tissue section image and estimated fractions of cell types. nTPM (normalized transcripts per million) values give a quantification of the gene abundance which is comparable between different genes and samples.
Average nTPMi

Max subtype nTPM is the value for the subtype with the largest average nTPM across the subtype samples.

26.7
N/A
Male, age 5
Cerebral cortex sample 48
nTPM: 40.9
overview
Female, age 40
Cerebral cortex sample 105
nTPM: 11.7
Cell types%
Neuronal cells:
35

Glial cells and endothelial cells:
65

overview
Male, age 70
Cerebral cortex sample 106
nTPM: 27.4
Cell types%
Neuronal cells:
35

Glial cells and endothelial cells:
65


CEREBRAL CORTEX - HPA Brain RNA-seq
Max subtype nTPMi

Max subtype nTPM is the value for the subtype with the largest average nTPM across the subtype samples.

574.1
Sample id Sample description nTPM
Angular gyrus
nTPM: 173.1
2722 Male, age 61, left hemisphere 278.3
2265 Female, age 91, left hemisphere 224.2
1790 Male, age 76, right hemisphere 196.8
1866 Male, age 76, both hemispheres 196.2
2602 Female, age 94, right hemisphere 156.2
2103 Male, age 75, left hemisphere 120.4
2221 Female, age 67, right hemisphere 109.8
2260 Female, age 72, left hemisphere 103.3
Anterior cingulate cortex, supragenual-dorsal
nTPM: 269.3
2478 Female, age 67, right hemisphere 436.0
2342 Female, age 94, right hemisphere 402.8
1896 Female, age 85, right hemisphere 240.3
2472 Male, age 75, left hemisphere 140.2
2547 Male, age 74, left hemisphere 127.1
Anterior cingulate cortex, supragenual-ventral
nTPM: 158.6
1755 Female, age 94, right hemisphere 283.2
2479 Female, age 67, right hemisphere 136.6
1950 Female, age 85, right hemisphere 135.6
2538 Male, age 75, left hemisphere 131.7
1761 Male, age 74, left hemisphere 105.9
Anterior insular cortex, dorsal
nTPM: 525.0
2235 Female, age 91, right hemisphere 1808.3
2506 Female, age 94, right hemisphere 103.7
2670 Male, age 75, left hemisphere 98.4
2001 Male, age 76, right hemisphere 89.5
Anterior insular cortex, ventral
nTPM: 132.9
2757 Male, age 61, right hemisphere 207.1
1852 Male, age 76, left hemisphere 140.8
2507 Female, age 94, left hemisphere 130.3
1925 Female, age 91, left hemisphere 120.4
2262 Female, age 67, right hemisphere 108.4
2596 Male, age 75, left hemisphere 90.3
Area parastriata, inferior
nTPM: 206.5
1760 Female, age 67, left hemisphere 238.0
1758 Female, age 72, right hemisphere 232.6
2268 Male, age 61, right hemisphere 230.1
2509 Female, age 94, left hemisphere 228.9
2234 Male, age 75, left hemisphere 195.9
1789 Male, age 76, right hemisphere 161.7
2421 Female, age 91, left hemisphere 158.6
Area parastriata, parietal
nTPM: 224.6
1785 Male, age 76, right hemisphere 421.5
2233 Male, age 61, right hemisphere 231.2
2680 Female, age 94, right hemisphere 196.4
2236 Female, age 91, left hemisphere 144.7
2420 Male, age 75, left hemisphere 129.0
Area parastriata, superior
nTPM: 574.1
2435 Male, age 61, left hemisphere 2043.9
2604 Female, age 94, right hemisphere 513.3
2881 Male, age 76, left hemisphere 278.2
2419 Male, age 75, right hemisphere 258.3
2684 Female, age 67, left hemisphere 231.1
1773 Female, age 91, left hemisphere 119.9
Area parastriata, temporal
nTPM: 206.3
2267 Male, age 61, right hemisphere 359.4
2424 Female, age 67, left hemisphere 175.6
2681 Female, age 94, right hemisphere 173.5
2471 Male, age 75, left hemisphere 166.3
1804 Male, age 76, right hemisphere 156.7
Area striata
nTPM: 146.4
2417 Male, age 61, right hemisphere 193.7
1884 Male, age 76, left hemisphere 188.5
2679 Female, age 94, right hemisphere 173.9
1753 Female, age 72, right hemisphere 111.3
2002 Female, age 91, right hemisphere 106.3
2427 Female, age 91, left hemisphere 104.5
Claustrum
nTPM: 234.4
2568 Male, age 61, both hemispheres 611.0
2196 Female, age 79, unknown 372.1
2491 Male, age 75, both hemispheres 222.8
2392 Female, age 94, both hemispheres 202.8
2645 Female, age 72, unknown 185.0
2284 Female, age 91, both hemispheres 140.8
1956 Male, age 74, unknown 136.1
2198 Male, age 80, both hemispheres 133.0
2292 Female, age 85, both hemispheres 105.6
Frontal eye field
nTPM: 164.4
2147 Male, age 61, left hemisphere 250.7
2543 Male, age 74, left hemisphere 168.4
2441 Male, age 75, left hemisphere 134.6
2761 Female, age 94, left hemisphere 103.7
Frontal operculum
nTPM: 355.4
2348 Male, age 75, left hemisphere 661.6
2030 Male, age 61, right hemisphere 289.6
2781 Female, age 85, right hemisphere 115.0
Fusiform gyrus
nTPM: 195.9
2431 Male, age 75, right hemisphere 309.2
2074 Female, age 91, left hemisphere 253.6
1807 Male, age 76, left hemisphere 224.0
2617 Female, age 94, left hemisphere 189.6
2784 Female, age 85, left hemisphere 168.7
2112 Male, age 80, both hemispheres 119.9
2433 Female, age 72, left hemisphere 106.4
Inferior frontal gyrus, opercular
nTPM: 169.7
2866 Male, age 61, right hemisphere 264.0
2865 Male, age 61, left hemisphere 238.3
2871 Female, age 94, left hemisphere 188.1
2874 Female, age 85, right hemisphere 180.9
2868 Male, age 75, right hemisphere 178.8
2873 Female, age 85, left hemisphere 162.1
2875 Female, age 67, left hemisphere 155.4
2867 Male, age 75, left hemisphere 121.3
2872 Female, age 94, right hemisphere 117.5
2869 Male, age 74, left hemisphere 91.1
Inferior parietal lobule
nTPM: 241.3
2876 Male, age 76, right hemisphere 309.5
2606 Female, age 67, right hemisphere 271.9
2599 Female, age 94, left hemisphere 212.0
2418 Male, age 75, left hemisphere 171.6
Inferior temporal gyrus
nTPM: 174.7
1808 Male, age 76, left hemisphere 329.6
1970 Female, age 85, right hemisphere 191.4
1880 Male, age 80, right hemisphere 183.3
2430 Male, age 75, right hemisphere 145.6
1965 Female, age 91, left hemisphere 125.5
2689 Female, age 94, right hemisphere 72.7
Intraparietal deep sulcus
nTPM: 191.5
2607 Female, age 67, right hemisphere 300.1
2798 Male, age 76, left hemisphere 215.6
2669 Male, age 75, left hemisphere 195.8
2230 Male, age 61, right hemisphere 192.0
2102 Female, age 91, left hemisphere 125.8
2600 Female, age 94, right hemisphere 119.4
Lingual gyrus
nTPM: 119.8
2688 Male, age 75, right hemisphere 150.2
1893 Male, age 76, left hemisphere 122.8
2073 Female, age 85, left hemisphere 121.7
2618 Female, age 94, left hemisphere 121.3
2838 Male, age 80, right hemisphere 82.8
Middle cingulate cortex
nTPM: 155.4
2539 Male, age 75, left hemisphere 186.0
2357 Female, age 67, right hemisphere 175.9
2633 Male, age 74, left hemisphere 164.2
2028 Female, age 85, left hemisphere 126.6
2640 Female, age 94, right hemisphere 124.1
Middle temporal gyrus
nTPM: 149.7
1799 Male, age 76, left hemisphere 314.0
2611 Male, age 75, right hemisphere 176.4
2616 Female, age 94, left hemisphere 96.8
1819 Male, age 80, right hemisphere 92.1
2034 Female, age 91, right hemisphere 69.5
Occipital cortex
nTPM: 207.0
2470 Male, age 75, right hemisphere 278.0
2608 Female, age 67, both hemispheres 243.5
1842 Male, age 76, right hemisphere 189.8
2426 Male, age 75, midline 175.9
2677 Female, age 67, right hemisphere 147.8
Olfactory area
nTPM: 93.3
2440 Male, age 75, left hemisphere 145.5
2542 Male, age 74, left hemisphere 129.2
2756 Female, age 67, right hemisphere 82.6
1805 Female, age 85, right hemisphere 75.9
2222 Female, age 67, right hemisphere 73.7
2352 Female, age 94, right hemisphere 53.0
Olfactory tubercle
nTPM: 99.5
2856 Male, age 75, right hemisphere 141.5
2487 Female, age 94, left hemisphere 89.1
1846 Male, age 80, right hemisphere 89.0
1998 Female, age 91, both hemispheres 78.6
Orbitofrontal gyrus, anterior
nTPM: 172.5
2864 Female, age 67, left hemisphere 387.8
2863 Female, age 85, right hemisphere 67.9
2862 Female, age 85, left hemisphere 61.9
Paracentral lobule, anterior
nTPM: 171.9
1776 Female, age 85, right hemisphere 311.1
1926 Male, age 61, left hemisphere 269.2
1754 Male, age 75, left hemisphere 176.1
2638 Female, age 94, right hemisphere 101.9
2340 Female, age 67, right hemisphere 100.5
2474 Male, age 74, left hemisphere 72.8
Paracentral lobule, posterior
nTPM: 207.8
1775 Female, age 85, right hemisphere 361.7
2345 Male, age 61, left hemisphere 285.0
2446 Male, age 75, left hemisphere 153.2
2551 Female, age 94, right hemisphere 141.6
1764 Male, age 74, right hemisphere 97.6
Parietal operculum
nTPM: 202.1
2719 Male, age 75, left hemisphere 278.4
1763 Male, age 74, left hemisphere 246.2
2552 Female, age 94, right hemisphere 179.6
2356 Female, age 67, right hemisphere 104.3
Parieto-insular cortex
nTPM: 117.3
2232 Male, age 61, right hemisphere 130.5
2508 Female, age 94, right hemisphere 121.9
1976 Female, age 91, right hemisphere 115.7
2671 Male, age 75, left hemisphere 112.2
2831 Male, age 76, right hemisphere 106.3
Parieto-occipital transitional area
nTPM: 238.6
2270 Male, age 61, right hemisphere 360.7
1784 Male, age 76, right hemisphere 254.1
2683 Female, age 67, left hemisphere 223.9
2674 Female, age 94, right hemisphere 202.1
2468 Male, age 75, left hemisphere 152.0
Piriform cortex
nTPM: 142.3
2153 Female, age 85, left hemisphere 176.3
2347 Male, age 75, right hemisphere 108.3
Postcentral gyrus
nTPM: 146.5
2533 Male, age 75, right hemisphere 146.5
Postcentral gyrus, dorsal
nTPM: 175.5
2350 Male, age 75, left hemisphere 282.8
2151 Male, age 61, left hemisphere 197.2
1836 Female, age 85, right hemisphere 182.9
2477 Female, age 94, right hemisphere 182.4
2544 Male, age 74, left hemisphere 143.8
2339 Female, age 67, right hemisphere 63.8
Postcentral gyrus, middle
nTPM: 186.1
2248 Male, age 61, left hemisphere 359.1
1897 Female, age 85, right hemisphere 212.7
2545 Male, age 74, left hemisphere 142.8
2444 Male, age 75, left hemisphere 112.9
2146 Female, age 67, right hemisphere 103.0
Postcentral gyrus, ventral
nTPM: 125.2
2445 Male, age 75, left hemisphere 131.7
2836 Female, age 94, right hemisphere 128.2
2024 Female, age 85, right hemisphere 115.8
Posterior cingulate cortex
nTPM: 202.6
2473 Male, age 75, left hemisphere 261.8
2553 Female, age 94, right hemisphere 222.6
1759 Male, age 74, right hemisphere 123.5
Posterior cingulate cortex, dorsal
nTPM: 237.0
2343 Male, age 61, left hemisphere 452.9
2556 Female, age 67, right hemisphere 355.7
2634 Male, age 74, left hemisphere 177.3
2540 Male, age 75, right hemisphere 164.6
2076 Female, age 85, right hemisphere 137.9
2641 Female, age 94, right hemisphere 133.7
Posterior cingulate cortex, ventral
nTPM: 196.2
2346 Male, age 61, left hemisphere 296.0
1994 Female, age 85, right hemisphere 239.8
2541 Male, age 75, right hemisphere 225.8
2635 Male, age 74, left hemisphere 156.4
2448 Female, age 67, right hemisphere 148.1
1762 Female, age 94, right hemisphere 111.0
Posterior insular cortex
nTPM: 170.0
2597 Male, age 75, left hemisphere 253.9
2832 Female, age 91, right hemisphere 220.2
2231 Male, age 61, left hemisphere 178.3
2603 Female, age 94, left hemisphere 145.1
2511 Female, age 67, right hemisphere 114.9
1823 Male, age 76, right hemisphere 107.7
Precentral gyrus
nTPM: 129.5
2557 Male, age 75, right hemisphere 129.5
Precentral gyrus, dorsal
nTPM: 149.0
2476 Female, age 94, right hemisphere 203.6
2354 Female, age 67, right hemisphere 148.5
2442 Male, age 75, left hemisphere 146.1
1756 Male, age 74, left hemisphere 97.6
Precentral gyrus, middle
nTPM: 198.3
2475 Male, age 74, right hemisphere 385.1
1909 Male, age 61, left hemisphere 239.1
2443 Male, age 75, left hemisphere 182.3
2549 Female, age 94, right hemisphere 108.9
1969 Female, age 67, right hemisphere 76.0
Precentral gyrus, ventral
nTPM: 173.9
2630 Male, age 75, left hemisphere 250.6
2550 Female, age 94, right hemisphere 199.0
2678 Male, age 74, left hemisphere 145.4
2662 Female, age 67, right hemisphere 100.4
Precuneus
nTPM: 203.2
2594 Male, age 61, left hemisphere 296.0
2467 Male, age 75, right hemisphere 249.2
2510 Female, age 67, right hemisphere 213.5
1782 Male, age 76, right hemisphere 169.6
1780 Female, age 91, right hemisphere 162.8
2673 Female, age 94, right hemisphere 128.3
Premotor cortex, dorsal
nTPM: 176.4
2027 Male, age 61, left hemisphere 251.9
2536 Male, age 75, left hemisphere 249.8
2631 Male, age 74, left hemisphere 143.8
1878 Female, age 85, right hemisphere 131.1
2554 Female, age 67, right hemisphere 105.3
Premotor cortex, ventral
nTPM: 182.4
1779 Male, age 61, left hemisphere 323.3
2637 Female, age 94, right hemisphere 303.2
2349 Male, age 75, left hemisphere 133.4
1881 Female, age 85, right hemisphere 114.6
1777 Female, age 67, left hemisphere 112.8
1757 Male, age 74, left hemisphere 107.1
Retrosplenial cortex
nTPM: 211.0
1951 Male, age 61, right hemisphere 283.3
1914 Male, age 76, right hemisphere 187.6
2675 Female, age 94, left hemisphere 162.2
Subcentral gyrus, S2
nTPM: 168.2
2072 Male, age 61, left hemisphere 334.9
1964 Female, age 85, right hemisphere 168.1
2351 Male, age 75, left hemisphere 153.3
2839 Female, age 94, right hemisphere 142.2
2762 Male, age 74, left hemisphere 119.1
2555 Female, age 67, right hemisphere 91.5
Superior parietal lobule
nTPM: 205.2
2605 Female, age 67, right hemisphere 377.9
1800 Male, age 76, right hemisphere 211.2
2229 Male, age 61, right hemisphere 211.1
2672 Female, age 94, right hemisphere 137.5
1992 Female, age 91, right hemisphere 88.2
Superior temporal gyrus
nTPM: 138.2
1843 Male, age 76, left hemisphere 226.0
2025 Male, age 80, right hemisphere 175.9
2615 Female, age 94, left hemisphere 106.8
2687 Male, age 75, right hemisphere 99.2
1844 Female, age 91, left hemisphere 83.0
Supplementary motor cortex
nTPM: 185.1
1993 Male, age 61, left hemisphere 311.3
2548 Female, age 94, right hemisphere 157.5
2632 Male, age 74, left hemisphere 139.2
2537 Male, age 75, left hemisphere 132.2
Supramarginal gyrus
nTPM: 246.2
2513 Female, age 72, left hemisphere 530.7
2415 Male, age 61, left hemisphere 211.2
1798 Male, age 76, right hemisphere 176.1
1991 Female, age 91, right hemisphere 157.1
2601 Female, age 94, left hemisphere 155.8
Temporal pole
nTPM: 154.9
2518 Male, age 75, right hemisphere 178.0
1853 Female, age 85, right hemisphere 171.6
1832 Female, age 91, left hemisphere 155.5
2612 Female, age 94, left hemisphere 142.6
1826 Male, age 76, right hemisphere 127.0
Temporo-insular cortex, parainsular gyrus
nTPM: 143.9
2416 Male, age 61, right hemisphere 196.5
1802 Male, age 76, left hemisphere 179.9
2598 Male, age 75, left hemisphere 157.8
2264 Female, age 91, right hemisphere 135.9
2512 Female, age 67, right hemisphere 122.7
2676 Female, age 94, right hemisphere 70.3
Temporo-occipital transitional zone
nTPM: 477.4
2251 Female, age 85, right hemisphere 1120.9
1900 Male, age 76, left hemisphere 158.5
1793 Male, age 80, right hemisphere 152.7
Transversal temporal gyrus, anterior
nTPM: 178.3
1910 Male, age 80, right hemisphere 311.0
1809 Male, age 76, right hemisphere 216.0
2522 Female, age 94, left hemisphere 161.4
2610 Male, age 75, right hemisphere 156.1
1888 Female, age 91, left hemisphere 47.1
Transversal temporal gyrus, posterior
nTPM: 152.1
2614 Female, age 94, left hemisphere 173.2
1967 Female, age 91, right hemisphere 168.3
2520 Male, age 75, right hemisphere 152.3
2833 Male, age 80, right hemisphere 133.9
1922 Male, age 76, left hemisphere 133.0

CEREBRAL CORTEX - HPA PFC Brain RNA-seq
Max subtype nTPMi

Max subtype nTPM is the value for the subtype with the largest average nTPM across the subtype samples.

226.4
Sample id Sample description nTPM
Anterior cingulate gyrus, pregenual-dorsal
nTPM: 144.5
1514 Male, age 74, right hemisphere 359.3
1513 Male, age 74, left hemisphere 345.2
1517 Female, age 67, left hemisphere 193.8
1516 Female, age 85, left hemisphere 148.9
1518 Female, age 67, right hemisphere 136.2
1511 Male, age 61, right hemisphere 38.4
1510 Male, age 61, left hemisphere 36.3
1515 Female, age 94, right hemisphere 27.6
1512 Male, age 75, left hemisphere 14.9
Anterior cingulate gyrus, pregenual-ventral
nTPM: 226.4
1521 Male, age 74, left hemisphere 542.5
1522 Male, age 74, right hemisphere 486.4
1523 Female, age 67, left hemisphere 56.6
1520 Male, age 75, right hemisphere 24.4
1519 Male, age 61, left hemisphere 21.9
Anterior cingulate gyrus, subgenual
nTPM: 165.9
1527 Male, age 74, left hemisphere 506.1
1528 Male, age 74, right hemisphere 348.5
1529 Female, age 85, left hemisphere 160.3
1530 Female, age 67, right hemisphere 64.7
1526 Male, age 75, right hemisphere 32.9
1525 Male, age 75, left hemisphere 28.3
1524 Male, age 61, left hemisphere 20.5
Dorsolateral prefrontal cortex
nTPM: 49.8
1449 Female, age 85, right hemisphere 113.8
1450 Female, age 67, right hemisphere 111.3
1446 Male, age 74, right hemisphere 83.4
1444 Male, age 75, left hemisphere 12.5
1448 Female, age 94, right hemisphere 12.2
1445 Male, age 75, right hemisphere 7.8
1447 Female, age 94, left hemisphere 7.6
Dorsomedial prefrontal cortex
nTPM: 17.3
1443 Female, age 67, right hemisphere 52.3
1442 Male, age 75, right hemisphere 15.0
1441 Male, age 75, left hemisphere 7.5
1439 Male, age 61, left hemisphere 5.9
1440 Male, age 61, right hemisphere 5.8
Frontal cortex
nTPM: 37.9
1582 Female, age 67, left hemisphere 93.8
1576 Male, age 74, left hemisphere 81.6
1581 Female, age 85, right hemisphere 78.3
1580 Female, age 85, left hemisphere 58.6
1577 Male, age 74, right hemisphere 51.6
1583 Female, age 67, right hemisphere 16.9
1573 Male, age 61, right hemisphere 14.7
1574 Male, age 75, left hemisphere 14.2
1575 Male, age 75, right hemisphere 12.6
1579 Female, age 94, right hemisphere 12.5
1572 Male, age 61, left hemisphere 9.8
1578 Female, age 94, left hemisphere 9.5
Frontomarginal cortex
nTPM: 36.5
1468 Male, age 74, left hemisphere 142.7
1471 Female, age 85, left hemisphere 71.7
1472 Female, age 67, left hemisphere 37.0
1469 Female, age 94, left hemisphere 29.9
1473 Female, age 67, right hemisphere 24.2
1466 Male, age 61, right hemisphere 7.9
1470 Female, age 94, right hemisphere 7.5
1467 Male, age 75, right hemisphere 5.3
1465 Male, age 61, left hemisphere 2.2
Frontopolar cortex
nTPM: 17.3
1463 Female, age 67, left hemisphere 35.0
1462 Female, age 94, left hemisphere 24.5
1461 Male, age 75, right hemisphere 22.3
1464 Female, age 67, right hemisphere 21.9
1460 Male, age 75, left hemisphere 8.3
1459 Male, age 61, right hemisphere 5.6
1458 Male, age 61, left hemisphere 3.2
Gyrus rectus
nTPM: 14.0
1480 Female, age 85, left hemisphere 47.9
1478 Female, age 94, left hemisphere 20.9
1481 Female, age 67, left hemisphere 17.7
1479 Female, age 94, right hemisphere 9.8
1477 Male, age 75, right hemisphere 9.0
1474 Male, age 61, left hemisphere 2.6
1476 Male, age 75, left hemisphere 2.5
1475 Male, age 61, right hemisphere 1.6
Inferior frontal gyrus, orbital
nTPM: 92.3
1504 Male, age 74, left hemisphere 240.1
1505 Male, age 74, right hemisphere 192.7
1509 Female, age 67, right hemisphere 138.2
1507 Female, age 85, left hemisphere 112.9
1508 Female, age 85, right hemisphere 93.2
1506 Female, age 94, left hemisphere 44.5
1502 Male, age 75, left hemisphere 33.0
1500 Male, age 61, left hemisphere 24.5
1503 Male, age 75, right hemisphere 24.4
1501 Male, age 61, right hemisphere 19.8
Inferior frontal gyrus, triangular
nTPM: 79.7
1545 Male, age 74, right hemisphere 241.8
1547 Female, age 85, left hemisphere 138.7
1548 Female, age 85, right hemisphere 85.8
1549 Female, age 67, left hemisphere 56.4
1546 Female, age 94, right hemisphere 45.3
1543 Male, age 61, right hemisphere 31.6
1544 Male, age 75, right hemisphere 20.6
1542 Male, age 61, left hemisphere 17.6
Orbitofrontal gyrus, lateral
nTPM: 62.7
1497 Female, age 85, left hemisphere 196.8
1499 Female, age 67, right hemisphere 70.9
1498 Female, age 85, right hemisphere 60.6
1496 Female, age 94, right hemisphere 40.5
1495 Female, age 94, left hemisphere 29.8
1494 Male, age 75, left hemisphere 23.1
1493 Male, age 61, right hemisphere 17.1
Orbitofrontal gyrus, medial
nTPM: 28.1
1485 Male, age 74, left hemisphere 71.2
1489 Female, age 85, left hemisphere 57.5
1491 Female, age 67, left hemisphere 52.8
1490 Female, age 85, right hemisphere 36.6
1486 Male, age 74, right hemisphere 34.9
1492 Female, age 67, right hemisphere 25.3
1488 Female, age 94, right hemisphere 11.6
1487 Female, age 94, left hemisphere 6.7
1482 Male, age 61, left hemisphere 4.5
1483 Male, age 75, left hemisphere 4.5
1484 Male, age 75, right hemisphere 3.8
Orbitofrontal gyrus, posterior
nTPM: 142.8
1535 Male, age 74, left hemisphere 613.4
1540 Female, age 67, left hemisphere 234.4
1541 Female, age 67, right hemisphere 223.3
1539 Female, age 85, right hemisphere 165.9
1538 Female, age 85, left hemisphere 165.7
1536 Female, age 94, left hemisphere 44.0
1533 Male, age 75, left hemisphere 43.0
1537 Female, age 94, right hemisphere 31.2
1532 Male, age 61, right hemisphere 18.6
1534 Male, age 75, right hemisphere 15.5
1531 Male, age 61, left hemisphere 15.4
Subcallosal gyrus
nTPM: 25.4
1555 Male, age 74, right hemisphere 90.1
1554 Male, age 74, left hemisphere 61.8
1560 Female, age 67, left hemisphere 38.5
1559 Female, age 85, right hemisphere 29.0
1558 Female, age 85, left hemisphere 19.4
1556 Female, age 94, left hemisphere 16.8
1557 Female, age 94, right hemisphere 16.4
1561 Female, age 67, right hemisphere 9.7
1551 Male, age 61, right hemisphere 7.5
1552 Male, age 75, left hemisphere 6.0
1550 Male, age 61, left hemisphere 5.0
1553 Male, age 75, right hemisphere 4.9
Superior frontal gyrus
nTPM: 34.9
1566 Male, age 74, right hemisphere 98.3
1571 Female, age 67, right hemisphere 90.3
1570 Female, age 85, right hemisphere 73.2
1569 Female, age 85, left hemisphere 30.4
1564 Male, age 75, left hemisphere 12.2
1562 Male, age 61, left hemisphere 11.0
1565 Male, age 75, right hemisphere 10.1
1563 Male, age 61, right hemisphere 9.1
1567 Female, age 94, left hemisphere 7.8
1568 Female, age 94, right hemisphere 6.0
Temporal cortex
nTPM: 34.8
1593 Male, age 74, right hemisphere 86.2
1592 Male, age 74, left hemisphere 82.2
1596 Female, age 85, right hemisphere 27.5
1595 Female, age 94, right hemisphere 22.2
1594 Female, age 94, left hemisphere 15.1
1591 Male, age 75, right hemisphere 6.0
1590 Male, age 61, right hemisphere 4.2
Ventrolateral prefrontal cortex
nTPM: 55.5
1452 Male, age 74, left hemisphere 95.2
1456 Female, age 67, left hemisphere 84.2
1453 Male, age 74, right hemisphere 78.7
1455 Female, age 85, right hemisphere 74.8
1457 Female, age 67, right hemisphere 33.3
1454 Female, age 94, left hemisphere 17.3
1451 Male, age 75, right hemisphere 5.3
Ventromedial prefrontal cortex
nTPM: 29.4
1438 Female, age 67, left hemisphere 60.2
1437 Female, age 85, right hemisphere 57.6
1436 Female, age 85, left hemisphere 46.4
1435 Female, age 94, right hemisphere 13.3
1432 Male, age 61, left hemisphere 12.5
1433 Male, age 61, right hemisphere 8.2
1434 Male, age 75, right hemisphere 7.5

CEREBRAL CORTEX - GTEx RNA-seqi

RNA-Seq data generated by the Genotype-Tissue Expression (GTEx) project from human tissues is reported as mean nTPM. More information can be found on the GTEx portal.

Distribution across the dataset is visualized with box plots, shown as median and 25th and 75th percentiles. Points are displayed as outliers if they are above or below 1.5 times the interquartile range. nTPM values of the individual samples are presented next to the box plot.
Max subtype nTPMi

Max subtype nTPM is the value for the subtype with the largest average nTPM across the subtype samples.

342.3
GTEx sample id Sample description nTPM
Brain - Anterior cingulate cortex (BA24)
Average nTPM: 342.3
Samples: 176

Max nTPM: 4053.8
Min nTPM: 36.0
Std nTPM: 466.5
Median nTPM: 192.7
GTEX-1H3VE-0011-R3a-SM-CE6SK 40-49 years, male 4053.8
GTEX-145MG-0011-R3b-SM-5SI67 50-59 years, male 1910.3
GTEX-X4EP-0011-R3A-SM-3P626 60-69 years, female 1872.7
GTEX-16XZZ-0011-R3a-SM-7IGLH 60-69 years, male 1786.7
GTEX-1H2FU-0011-R3b-SM-CKZP4 60-69 years, female 1647.3
GTEX-1I1GS-0011-R3b-SM-CYPS7 60-69 years, male 1623.2
GTEX-1JMPZ-0011-R3a-SM-EYYWX 30-39 years, male 1568.2
GTEX-12ZZW-0011-R3a-SM-5DUWW 50-59 years, male 1396.0
GTEX-13SLW-0011-R3b-SM-5SI6Y 70-79 years, male 1378.7
GTEX-1477Z-0011-R3b-SM-5PNX9 60-69 years, male 1331.6
GTEX-17EVQ-0011-R3b-SM-7LT9B 70-79 years, male 1221.0
GTEX-NPJ8-0011-R3a-SM-2HMIW 40-49 years, male 1105.7
GTEX-1445S-0011-R3a-SM-5P9HY 60-69 years, male 997.4
GTEX-1EH9U-0011-R3b-SM-CL534 60-69 years, male 977.1
GTEX-1MCQQ-0011-R3a-SM-EXURW 60-69 years, male 972.6
GTEX-1IKK5-0011-R3b-SM-C1YRY 60-69 years, male 954.3
GTEX-11UD1-0011-R3a-SM-5BC6S 40-49 years, female 852.2
GTEX-1HR98-0011-R3b-SM-A9G1U 60-69 years, male 807.5
GTEX-PWO3-0011-R3A-SM-2I5EX 60-69 years, female 735.3
GTEX-1KD4Q-0011-R3b-SM-EXOID 40-49 years, male 726.7
GTEX-139T8-0011-R3b-SM-5HL4R 60-69 years, male 671.8
GTEX-1EX96-0011-R3b-SM-ARZMH 50-59 years, male 584.8
GTEX-13PLJ-0011-R3a-SM-5O9DT 60-69 years, female 584.4
GTEX-1GMR8-0011-R3b-SM-9QEIG 50-59 years, female 546.4
GTEX-ZF28-0011-R3a-SM-4WWDA 60-69 years, male 541.8
GTEX-12WSD-0011-R3b-SM-5LZWN 60-69 years, female 523.2
GTEX-1H23P-0011-R3b-SM-CL54S 60-69 years, male 519.5
GTEX-1F52S-0011-R3a-SM-CKZNI 60-69 years, female 482.3
GTEX-11WQK-0011-R3b-SM-DO93K 50-59 years, male 481.8
GTEX-1GZ2Q-0011-R3a-SM-A96RP 40-49 years, male 470.3
GTEX-ZVT3-0011-R3b-SM-51MTJ 60-69 years, female 456.0
GTEX-1GZ4I-0011-R3b-SM-9OSWP 50-59 years, male 454.3
GTEX-1GF9W-0011-R3b-SM-CJI2S 60-69 years, male 449.4
GTEX-148VJ-0011-R3b-SM-69LQJ 70-79 years, male 445.8
GTEX-13FHO-0011-R3b-SM-5K7YA 60-69 years, male 436.5
GTEX-1LVAO-0011-R3a-SM-EXOI7 60-69 years, male 432.6
GTEX-N7MT-0011-R3a-SM-2I3GC 60-69 years, female 429.2
GTEX-17HII-0011-R3a-SM-7LT9D 50-59 years, male 426.6
GTEX-13NYS-0011-R3b-SM-5MR41 60-69 years, male 414.2
GTEX-ZE9C-0011-R3a-SM-4WKGT 60-69 years, male 407.8
GTEX-1J8Q2-0011-R3b-SM-ACKVG 60-69 years, male 375.3
GTEX-1EN7A-0011-R3a-SM-9OSVT 40-49 years, male 371.9
GTEX-1HGF4-0011-R3b-SM-CL54W 60-69 years, male 356.6
GTEX-13PVQ-0011-R3b-SM-5O9D6 50-59 years, male 355.9
GTEX-1H1ZS-0011-R3b-SM-CE6RS 70-79 years, male 355.6
GTEX-15EO6-0011-R3b-SM-7KUDY 50-59 years, male 354.5
GTEX-14LZ3-0011-R3a-SM-664NQ 60-69 years, female 345.0
GTEX-13CZV-0011-R3a-SM-5KM27 60-69 years, male 342.2
GTEX-1HB9E-0011-R3a-SM-ARL7D 50-59 years, male 339.0
GTEX-13IVO-0011-R3b-SM-5IJBJ 70-79 years, male 335.2
GTEX-ZAB4-0011-R3a-SM-4RGNQ 40-49 years, male 335.1
GTEX-11GSP-0011-R3a-SM-9QEGF 60-69 years, female 332.8
GTEX-RVPV-0011-R3A-SM-2TF63 60-69 years, male 332.2
GTEX-XMD1-0011-R3B-SM-4AT5R 60-69 years, male 322.7
GTEX-13JVG-0011-R3b-SM-5LZXF 60-69 years, male 317.6
GTEX-145LS-0011-R3a-SM-5S2VJ 60-69 years, female 314.6
GTEX-1J8EW-0011-R3a-SM-ARU8A 60-69 years, female 302.6
GTEX-X4XY-0011-R3B-SM-EXOHI 60-69 years, male 297.7
GTEX-11ZTS-0011-R3a-SM-5BC78 60-69 years, female 296.5
GTEX-12WSF-0011-R3a-SM-5DUW7 70-79 years, male 291.4
GTEX-QVUS-0011-R3A-SM-3GAFD 60-69 years, female 287.2
GTEX-1A3MX-0011-R3b-SM-79OOW 60-69 years, male 280.3
GTEX-1I1GV-0011-R3a-SM-CL557 60-69 years, male 272.9
GTEX-ZUA1-0011-R3a-SM-4YCEE 40-49 years, male 259.5
GTEX-UTHO-0011-R3A-SM-3GIK8 60-69 years, male 257.7
GTEX-1E1VI-0011-R3a-SM-9OSWH 50-59 years, male 256.1
GTEX-13OW7-0011-R3a-SM-5O9DA 50-59 years, male 249.3
GTEX-13RTL-0011-R3a-SM-5P9JP 40-49 years, male 240.3
GTEX-1HUB1-0011-R3b-SM-CKZOX 60-69 years, male 237.7
GTEX-14E7W-0011-R3b-SM-5YYB5 70-79 years, male 235.8
GTEX-11WQC-0011-R3a-SM-DO11T 60-69 years, male 235.5
GTEX-ZVZQ-0011-R3a-SM-57WC7 60-69 years, female 234.6
GTEX-14PJO-0011-R3a-SM-6AJBY 60-69 years, male 233.6
GTEX-13NYB-0011-R3b-SM-A9SM4 40-49 years, male 226.7
GTEX-WHSE-0011-R3A-SM-3P5ZM 20-29 years, male 218.5
GTEX-14JG1-0011-R3a-SM-62LEC 40-49 years, male 211.4
GTEX-1HFI6-0011-R3b-SM-A9SKB 40-49 years, male 210.0
GTEX-11ZVC-0011-R3a-SM-5BC6V 50-59 years, female 209.2
GTEX-1F75A-0011-R3b-SM-ARL8K 50-59 years, male 208.0
GTEX-14C39-0011-R3b-SM-5YYA3 40-49 years, male 207.0
GTEX-13CIG-0011-R3b-SM-5K7XF 50-59 years, male 206.8
GTEX-QDT8-0011-R3A-SM-32PKR 30-39 years, female 204.5
GTEX-14LLW-0011-R3b-SM-62LFW 70-79 years, female 203.7
GTEX-1C6WA-0011-R3a-SM-9OSVP 60-69 years, male 201.0
GTEX-13X6I-0011-R3b-SM-5P9HM 60-69 years, male 200.6
GTEX-15SHU-0011-R3a-SM-7IGPS 40-49 years, female 199.9
GTEX-P44H-0011-R3A-SM-D3L8E 40-49 years, male 192.9
GTEX-1N2EE-0011-R3b-SM-EXURY 60-69 years, male 192.8
GTEX-15CHQ-0011-R3b-SM-686ZY 60-69 years, male 192.7
GTEX-15G19-0011-R3a-SM-6LPIG 60-69 years, male 186.5
GTEX-YJ89-0011-R3b-SM-4V6EF 60-69 years, male 184.0
GTEX-WL46-0011-R3A-SM-3TW8E 50-59 years, male 179.5
GTEX-1F7RK-0011-R3b-SM-9OSWJ 20-29 years, female 178.0
GTEX-13OW8-0011-R3a-SM-5L3I4 60-69 years, male 176.2
GTEX-13OW5-0011-R3a-SM-5L3I5 60-69 years, male 175.6
GTEX-13QIC-0011-R3a-SM-5P9HT 60-69 years, female 172.7
GTEX-13RTJ-0011-R3a-SM-5PNX7 60-69 years, male 172.2
GTEX-1H3O1-0011-R3a-SM-ACKVD 60-69 years, male 172.2
GTEX-13VXU-0011-R3b-SM-5O9CU 50-59 years, male 162.3
GTEX-NL3H-0011-R3a-SM-2I3GL 60-69 years, male 161.4
GTEX-145LU-0011-R3a-SM-5P9K2 50-59 years, male 157.9
GTEX-12ZZZ-0011-R3b-SM-5DUXK 60-69 years, male 151.4
GTEX-14BMV-0011-R3a-SM-5ZZU7 50-59 years, male 151.1
GTEX-14JIY-0011-R3a-SM-5YYAQ 60-69 years, male 151.0
GTEX-Q2AG-0011-R3A-SM-2HMJ9 40-49 years, female 149.0
GTEX-1J1OQ-0011-R3b-SM-D4P2B 40-49 years, female 148.8
GTEX-13O3Q-0011-R3a-SM-5P9H3 50-59 years, male 147.3
GTEX-1B933-0011-R3b-SM-7P8PL 50-59 years, female 147.0
GTEX-14DAQ-0011-R3b-SM-5YYAJ 60-69 years, female 145.0
GTEX-11DZ1-0011-R3a-SM-DNZYY 50-59 years, male 143.7
GTEX-1HCU6-0011-R3a-SM-ARU75 60-69 years, female 143.4
GTEX-1EU9M-0011-R3a-SM-9QEHY 60-69 years, male 142.6
GTEX-1F6I4-0011-R3a-SM-9QEH9 60-69 years, male 142.5
GTEX-1HBPH-0011-R3a-SM-A96RY 40-49 years, female 139.3
GTEX-13S7M-0011-R3a-SM-5PNX2 60-69 years, female 137.3
GTEX-13X6J-0011-R3b-SM-5P9K5 50-59 years, male 137.3
GTEX-XLM4-0011-R3B-SM-4AT6E 60-69 years, male 134.5
GTEX-17F97-0011-R3b-SM-7LT9E 50-59 years, male 132.8
GTEX-11DXW-0011-R3b-SM-DNZZE 40-49 years, male 130.5
GTEX-1GTWX-0011-R3b-SM-CJI2Z 60-69 years, male 130.3
GTEX-13OVH-0011-R3a-SM-5KM49 70-79 years, male 129.4
GTEX-1CB4G-0011-R3a-SM-CE6QQ 60-69 years, male 127.9
GTEX-WZTO-0011-R3B-SM-3NMC6 40-49 years, male 123.2
GTEX-1B996-0011-R3b-SM-9QEGY 60-69 years, male 121.4
GTEX-18A6Q-0011-R3a-SM-718A7 60-69 years, male 120.5
GTEX-14PN4-0011-R3b-SM-686ZU 50-59 years, male 118.7
GTEX-139TT-0011-R3b-SM-5K7VL 60-69 years, male 115.5
GTEX-Z93S-0011-R3b-SM-4RGNH 50-59 years, male 114.3
GTEX-N7MS-0011-R3a-SM-33HC6 60-69 years, male 114.0
GTEX-YFC4-0011-R3a-SM-4RGLP 40-49 years, female 112.9
GTEX-1CB4H-0011-R3b-SM-9OSVI 60-69 years, female 111.7
GTEX-P44G-0011-R3A-SM-2I3FC 30-39 years, male 109.3
GTEX-11GSO-0011-R3b-SM-57WB2 60-69 years, male 107.3
GTEX-1I1GR-0011-R3a-SM-CM2T4 60-69 years, male 106.4
GTEX-145MH-0011-R3b-SM-5P9JQ 50-59 years, male 97.0
GTEX-1EMGI-0011-R3b-SM-CE6R9 60-69 years, male 96.5
GTEX-13CF2-0011-R3b-SM-5LZZ6 60-69 years, male 96.4
GTEX-T2IS-0011-R3A-SM-32QPB 20-29 years, female 95.9
GTEX-ZDXO-0011-R3a-SM-4WKFS 60-69 years, male 93.3
GTEX-13FLV-0011-R3b-SM-5LZYP 50-59 years, male 91.9
GTEX-RNOR-0011-R3A-SM-5SI8E 50-59 years, female 89.4
GTEX-13112-0011-R3b-SM-5HL9L 50-59 years, male 89.3
GTEX-12WSC-0011-R3a-SM-5P9F1 50-59 years, male 86.8
GTEX-X4XX-0011-R3B-SM-46MWK 60-69 years, male 86.6
GTEX-16YQH-0011-R3a-SM-7EPGM 30-39 years, male 86.4
GTEX-131YS-0011-R3b-SM-5DUXB 60-69 years, female 86.1
GTEX-14BIM-0011-R3b-SM-5S2RL 60-69 years, female 81.9
GTEX-144GL-0011-R3a-SM-5P9HP 50-59 years, male 75.0
GTEX-13N1W-0011-R3a-SM-5MR5E 70-79 years, male 74.9
GTEX-15DCD-0011-R3b-SM-D4P1P 70-79 years, female 74.6
GTEX-Y8DK-0011-R3A-SM-4RTW5 60-69 years, male 74.2
GTEX-1313W-0011-R3a-SM-5EGLI 50-59 years, female 72.5
GTEX-15DYW-0011-R3b-SM-6LPIM 60-69 years, female 71.1
GTEX-13X6K-0011-R3b-SM-5PNUD 60-69 years, female 70.1
GTEX-14BIN-0011-R3b-SM-6AJBL 50-59 years, female 70.1
GTEX-14PJM-0011-R3b-SM-5ZZV9 50-59 years, female 70.1
GTEX-17HHY-0011-R3a-SM-7EWDK 50-59 years, male 69.6
GTEX-17EVP-0011-R3a-SM-7EPI9 40-49 years, male 69.2
GTEX-PVOW-0011-R3A-SM-32PKX 40-49 years, male 68.5
GTEX-1F48J-0011-R3b-SM-9OSVY 50-59 years, female 67.1
GTEX-1IKJJ-0011-R3b-SM-C1YRW 60-69 years, male 66.5
GTEX-1JJEA-0011-R3b-SM-EXUTD 60-69 years, male 65.3
GTEX-12WSM-0011-R3b-SM-5LZWI 60-69 years, male 63.6
GTEX-131XH-0011-R3b-SM-5DUWM 50-59 years, male 59.9
GTEX-13OVL-0011-R3b-SM-5L3I8 50-59 years, male 59.0
GTEX-13O3O-0011-R3b-SM-5KM3R 60-69 years, female 56.4
GTEX-14PQA-0011-R3b-SM-69LQO 50-59 years, female 55.4
GTEX-X585-0011-R3B-SM-46MVG 50-59 years, male 47.6
GTEX-1BAJH-0011-R3a-SM-7IGNU 70-79 years, male 43.7
GTEX-13N2G-0011-R3b-SM-5MR5G 60-69 years, male 43.1
GTEX-1B8L1-0011-R3a-SM-7EPIO 60-69 years, male 42.5
GTEX-1JMOU-0011-R3a-SM-EYYXN 60-69 years, female 42.0
GTEX-12ZZX-0011-R3b-SM-5EGLH 40-49 years, female 40.9
GTEX-15ER7-0011-R3a-SM-6LPIK 20-29 years, female 38.7
GTEX-1GN73-0011-R3b-SM-9QEIL 60-69 years, male 37.4
GTEX-1IDJH-0011-R3a-SM-CJI42 70-79 years, male 36.0
Show allShow less
Brain - Cortex
Average nTPM: 314.5
Samples: 255

Max nTPM: 4223.2
Min nTPM: 22.2
Std nTPM: 439.5
Median nTPM: 167.5
GTEX-1445S-3026-SM-5O9BR 60-69 years, male 4223.2
GTEX-13OVJ-2826-SM-5L3GW 50-59 years, female 2402.9
GTEX-1JMPZ-2726-SM-ARZNF 30-39 years, male 2377.9
GTEX-1JJE9-2926-SM-CY8HV 70-79 years, male 1863.1
GTEX-1LC47-2926-SM-CXZKC 60-69 years, male 1803.7
GTEX-1H3VE-2726-SM-9WPP3 40-49 years, male 1594.9
GTEX-1192X-3126-SM-5N9BY 50-59 years, male 1533.9
GTEX-ZYY3-3126-SM-5SI9L 60-69 years, female 1456.2
GTEX-1JMQL-2826-SM-ARU91 50-59 years, female 1312.3
GTEX-1CAV2-2726-SM-7IGNN 40-49 years, female 1270.6
GTEX-1LKK1-3126-SM-EWRNY 50-59 years, female 1210.5
GTEX-11ONC-2926-SM-5P9JM 60-69 years, male 1147.1
GTEX-1GN1V-3126-SM-7PBZG 60-69 years, male 1098.2
GTEX-1O9I2-3026-SM-E76PX 50-59 years, male 1050.6
GTEX-17EVQ-2826-SM-7IGQK 70-79 years, male 1009.7
GTEX-15EO6-3026-SM-7KUMA 50-59 years, male 964.0
GTEX-12ZZW-2926-SM-5LZUP 50-59 years, male 953.1
GTEX-1HBPM-2926-SM-CL54E 60-69 years, female 950.7
GTEX-11TTK-2926-SM-5PNYP 60-69 years, female 948.1
GTEX-QVUS-2826-SM-3GADB 60-69 years, female 871.6
GTEX-1JMOU-2726-SM-CY8IO 60-69 years, female 830.7
GTEX-15UF6-3026-SM-7KUKL 70-79 years, female 824.9
GTEX-1HB9E-2926-SM-D4P3S 50-59 years, male 796.8
GTEX-1NV5F-3226-SM-EXUSL 60-69 years, female 785.4
GTEX-1N2DW-2826-SM-E9TK5 50-59 years, male 755.6
GTEX-144FL-3026-SM-5O99C 50-59 years, male 688.4
GTEX-1IDFM-2826-SM-ACKWJ 60-69 years, male 658.3
GTEX-1C6VS-3026-SM-79OLA 60-69 years, male 646.7
GTEX-1R9K4-3126-SM-DTX9Y 60-69 years, male 613.5
GTEX-145MG-3026-SM-5RQJA 50-59 years, male 597.7
GTEX-X4XY-3026-SM-EWRM9 60-69 years, male 593.0
GTEX-1EN7A-3026-SM-7PBYT 40-49 years, male 584.6
GTEX-11EMC-3226-SM-5EGKW 60-69 years, female 580.7
GTEX-1E2YA-3026-SM-7IGO7 50-59 years, male 537.7
GTEX-1ICLZ-2826-SM-CL53U 60-69 years, male 535.2
GTEX-PWO3-0926-SM-2I5EY 60-69 years, female 531.9
GTEX-NPJ8-1526-SM-2D7VU 40-49 years, male 516.1
GTEX-16XZZ-3026-SM-79OMJ 60-69 years, male 509.1
GTEX-1HFI6-3026-SM-CNPPJ 40-49 years, male 500.5
GTEX-145MF-2726-SM-5O995 50-59 years, male 494.2
GTEX-1C6VQ-3026-SM-7IGPU 50-59 years, male 486.0
GTEX-1KD4Q-2926-SM-D3L9N 40-49 years, male 465.5
GTEX-1EX96-3026-SM-7RHH5 50-59 years, male 460.6
GTEX-17HII-3026-SM-7EWFM 50-59 years, male 457.0
GTEX-13QIC-2926-SM-5J2NF 60-69 years, female 456.7
GTEX-1IKK5-2926-SM-ARU7Q 60-69 years, male 455.5
GTEX-QVJO-1426-SM-2S1QY 60-69 years, female 452.0
GTEX-1R9PO-2926-SM-EVYBR 60-69 years, female 449.3
GTEX-1JMLX-2926-SM-CL54C 50-59 years, male 436.3
GTEX-1HR98-3026-SM-CNPPK 60-69 years, male 413.6
GTEX-1GMR8-3026-SM-9KNVF 50-59 years, female 405.6
GTEX-1117F-3226-SM-5N9CT 60-69 years, female 402.0
GTEX-1F88E-2826-SM-7RHHE 60-69 years, female 393.8
GTEX-1F52S-3126-SM-7PC3M 60-69 years, female 391.3
GTEX-13FHO-3026-SM-5J1O9 60-69 years, male 390.7
GTEX-1HSMO-3026-SM-A9G3F 60-69 years, male 387.0
GTEX-131XW-3126-SM-5LZUC 50-59 years, female 383.1
GTEX-1IOXB-3126-SM-CKZO1 50-59 years, male 378.4
GTEX-1H2FU-3126-SM-9WYUJ 60-69 years, female 375.9
GTEX-1A3MX-3026-SM-731BF 60-69 years, male 374.0
GTEX-139T8-1026-SM-5J2MC 60-69 years, male 365.7
GTEX-ZF28-3026-SM-4WKHP 60-69 years, male 364.9
GTEX-1I1GQ-3026-SM-CL55K 50-59 years, male 364.8
GTEX-132Q8-3026-SM-5PNVG 60-69 years, male 348.1
GTEX-1RQEC-2926-SM-EVR5A 60-69 years, male 347.8
GTEX-1GZHY-3126-SM-9QEHH 50-59 years, female 346.6
GTEX-14BIL-3026-SM-7EWD4 50-59 years, male 342.2
GTEX-15RJE-3026-SM-7KUM1 40-49 years, male 339.4
GTEX-1PWST-3126-SM-EXUSE 70-79 years, male 336.6
GTEX-1J1OQ-3226-SM-A9G2Q 40-49 years, female 333.9
GTEX-N7MT-1126-SM-CYPQY 60-69 years, female 327.6
GTEX-1N5O9-2926-SM-EXUSN 60-69 years, male 326.4
GTEX-1F6RS-3126-SM-9MQK7 60-69 years, female 325.4
GTEX-1H23P-2926-SM-9WYU8 60-69 years, male 321.6
GTEX-1F75B-3026-SM-7PBZ7 50-59 years, male 314.5
GTEX-1H1ZS-3026-SM-9KNUJ 70-79 years, male 306.6
GTEX-OXRN-2426-SM-2I5EQ 50-59 years, male 301.1
GTEX-1GMRU-3026-SM-7P8TC 50-59 years, male 290.7
GTEX-144GL-3026-SM-5Q5CW 50-59 years, male 290.3
GTEX-1HUB1-2926-SM-ACKXA 60-69 years, male 288.4
GTEX-13JUV-2926-SM-5LZX7 40-49 years, female 286.1
GTEX-1IKJJ-2926-SM-A9G2N 60-69 years, male 280.4
GTEX-13X6J-3026-SM-5Q5CU 50-59 years, male 279.3
GTEX-1I1HK-2826-SM-CKZPL 60-69 years, male 278.8
GTEX-1H1DG-2926-SM-9WYU3 70-79 years, male 277.5
GTEX-14C39-3126-SM-5ZZW6 40-49 years, male 272.7
GTEX-1C6WA-3026-SM-7P8RQ 60-69 years, male 270.9
GTEX-1HGF4-3126-SM-CL54M 60-69 years, male 269.7
GTEX-145LS-3126-SM-5Q5BY 60-69 years, female 268.4
GTEX-1GF9W-2626-SM-7P8TA 60-69 years, male 268.2
GTEX-WHSE-3026-SM-3P5ZH 20-29 years, male 267.2
GTEX-OHPN-2526-SM-2I5H3 60-69 years, female 266.6
GTEX-1HBPI-2826-SM-ARZNO 50-59 years, male 265.8
GTEX-1F6I4-3126-SM-7P8SD 60-69 years, male 259.8
GTEX-1M4P7-2726-SM-E9TJQ 60-69 years, male 259.4
GTEX-13OW8-2826-SM-5L3GC 60-69 years, male 249.9
GTEX-14JIY-2926-SM-69LPT 60-69 years, male 242.5
GTEX-1I19N-3026-SM-CL55E 70-79 years, male 239.8
GTEX-1C64N-3026-SM-7MGVU 50-59 years, male 239.4
GTEX-RU72-3026-SM-CYPRV 50-59 years, female 238.3
GTEX-11GSP-3226-SM-5986O 60-69 years, female 234.2
GTEX-1I1CD-3026-SM-B2LY2 60-69 years, female 231.5
GTEX-ZZPT-3026-SM-5GZXH 50-59 years, male 230.9
GTEX-ZE7O-3126-SM-5HL5X 50-59 years, female 225.7
GTEX-14A5I-2926-SM-5Q5CQ 50-59 years, female 215.3
GTEX-13NYS-3126-SM-5KLYV 60-69 years, male 212.7
GTEX-11O72-2926-SM-5BC4V 40-49 years, male 210.0
GTEX-11NV4-2126-SM-5N9DS 60-69 years, male 207.6
GTEX-11GS4-3126-SM-5A5LH 60-69 years, male 195.0
GTEX-11WQK-3026-SM-5EQL6 50-59 years, male 194.5
GTEX-Q2AG-2926-SM-2HMJ3 40-49 years, female 192.4
GTEX-17F97-3026-SM-79OKC 50-59 years, male 191.2
GTEX-13IVO-2926-SM-5L3CZ 70-79 years, male 191.1
GTEX-1B933-3126-SM-7P8RL 50-59 years, female 189.7
GTEX-T5JC-2426-SM-3NMDB 20-29 years, male 188.7
GTEX-1128S-2726-SM-5H12C 60-69 years, female 187.1
GTEX-1399T-3026-SM-5KLZC 60-69 years, male 186.9
GTEX-147GR-3026-SM-5S2ML 60-69 years, male 186.2
GTEX-12WSD-3126-SM-5HL7P 60-69 years, female 184.4
GTEX-13JVG-3126-SM-5L3FH 60-69 years, male 182.3
GTEX-1J8Q2-3026-SM-CKZN8 60-69 years, male 181.4
GTEX-1LG7Y-3026-SM-D5OVI 50-59 years, male 179.3
GTEX-13O3Q-2926-SM-5KM45 50-59 years, male 177.3
GTEX-1I1GV-3126-SM-A96SF 60-69 years, male 175.4
GTEX-13S7M-3126-SM-5RQJQ 60-69 years, female 174.9
GTEX-1HCVE-3026-SM-CL54G 50-59 years, male 173.2
GTEX-ZE9C-3026-SM-4WKHB 60-69 years, male 168.9
GTEX-NPJ7-2726-SM-2I3FT 60-69 years, female 167.5
GTEX-13PL6-3126-SM-5LUAR 40-49 years, female 164.2
GTEX-1EWIQ-3126-SM-7MXTI 70-79 years, female 160.2
GTEX-WWYW-3126-SM-3NB39 50-59 years, female 159.9
GTEX-1GZ2Q-3226-SM-9WG6L 40-49 years, male 157.5
GTEX-1B8SG-1726-SM-73KXK 50-59 years, male 156.1
GTEX-15SHU-3126-SM-6M46H 40-49 years, female 155.1
GTEX-13PVQ-3026-SM-5SI93 50-59 years, male 153.7
GTEX-13SLX-3126-SM-5S2Q5 50-59 years, female 150.7
GTEX-13OVH-3026-SM-5MR4N 70-79 years, male 150.4
GTEX-T2IS-3026-SM-32QPM 20-29 years, female 149.5
GTEX-Y8DK-0826-SM-4TT3T 60-69 years, male 142.4
GTEX-1PPGY-3126-SM-EXUSR 60-69 years, male 139.2
GTEX-XLM4-3026-SM-4AT6L 60-69 years, male 139.1
GTEX-17EVP-3026-SM-7IGQL 40-49 years, male 136.5
GTEX-1QP6S-2926-SM-DTXF8 40-49 years, male 135.5
GTEX-T6MN-2626-SM-32PMQ 50-59 years, male 134.1
GTEX-14C5O-3026-SM-5YYB2 60-69 years, male 132.4
GTEX-X4XX-3026-SM-3NMB2 60-69 years, male 132.4
GTEX-1JJEA-2826-SM-ARU8R 60-69 years, male 131.7
GTEX-1F7RK-1826-SM-7RHI4 20-29 years, female 131.2
GTEX-1E1VI-3026-SM-7RHHU 50-59 years, male 130.5
GTEX-1313W-3126-SM-5LZUI 50-59 years, female 130.2
GTEX-ZAJG-3126-SM-5HL9J 50-59 years, female 129.9
GTEX-1A8G7-3126-SM-7IGP7 60-69 years, male 126.8
GTEX-17HG3-2926-SM-79ON8 30-39 years, female 125.4
GTEX-1CB4H-3126-SM-7IGN4 60-69 years, female 125.3
GTEX-13FLW-1426-SM-5K7YE 50-59 years, male 124.5
GTEX-P44G-2426-SM-2I5ER 30-39 years, male 124.3
GTEX-13FXS-3126-SM-5J2NN 50-59 years, male 124.2
GTEX-14LZ3-3026-SM-5ZZVU 60-69 years, female 124.2
GTEX-14BIM-3026-SM-7EWCY 60-69 years, female 122.5
GTEX-1I1GR-2926-SM-CNNQG 60-69 years, male 122.2
GTEX-ZUA1-3026-SM-59HJC 40-49 years, male 121.3
GTEX-1GZ4I-3026-SM-9KNTX 50-59 years, male 120.3
GTEX-15G19-2926-SM-7KUFL 60-69 years, male 118.6
GTEX-1EMGI-3026-SM-7P8P6 60-69 years, male 116.4
GTEX-13X6K-2926-SM-5Q5D5 60-69 years, female 116.3
GTEX-1JJ6O-3126-SM-CNNP8 60-69 years, male 116.3
GTEX-WL46-2926-SM-3LK82 50-59 years, male 115.0
GTEX-1EKGG-2926-SM-7EPIH 60-69 years, male 114.5
GTEX-1HSKV-3026-SM-A96SL 60-69 years, male 113.2
GTEX-1PIIG-2726-SM-E76PQ 30-39 years, male 113.0
GTEX-11OC5-0726-SM-5P9JK 60-69 years, male 111.2
GTEX-1IL2U-3026-SM-C1YSH 60-69 years, male 110.6
GTEX-PVOW-2526-SM-2XCF7 40-49 years, male 110.5
GTEX-WVLH-3026-SM-3MJG9 50-59 years, male 109.8
GTEX-YFC4-3126-SM-5PNV6 40-49 years, female 107.8
GTEX-1F75A-3026-SM-9KNU2 50-59 years, male 107.2
GTEX-11EI6-3026-SM-5GZZO 60-69 years, male 106.4
GTEX-1B8SF-3126-SM-73KU1 60-69 years, male 105.3
GTEX-YJ89-3026-SM-5IFJI 60-69 years, male 104.1
GTEX-12WSF-3126-SM-6M478 70-79 years, male 103.2
GTEX-12126-1026-SM-5P9JJ 20-29 years, male 102.8
GTEX-13NYC-2826-SM-5K7WR 60-69 years, male 102.7
GTEX-16GPK-3026-SM-79ON9 60-69 years, male 102.4
GTEX-ZDXO-2126-SM-4WKFI 60-69 years, male 100.4
GTEX-13VXU-2926-SM-5LU5C 50-59 years, male 100.1
GTEX-1IY9M-3026-SM-A9G37 60-69 years, male 98.7
GTEX-1QMI2-3126-SM-EXUT5 60-69 years, male 98.5
GTEX-1GF9V-2926-SM-7PBXO 60-69 years, male 98.4
GTEX-1JMQK-3026-SM-ARL95 60-69 years, male 97.6
GTEX-1KWVE-2326-SM-D4P3N 30-39 years, male 96.2
GTEX-1H3O1-1726-SM-9WYSR 60-69 years, male 94.7
GTEX-14BIN-3226-SM-62LDR 50-59 years, female 92.5
GTEX-15DCD-2926-SM-7KULT 70-79 years, female 92.3
GTEX-Z93S-2926-SM-57WB9 50-59 years, male 91.6
GTEX-17JCI-3126-SM-7LTA2 60-69 years, female 90.9
GTEX-117XS-3026-SM-5N9CA 60-69 years, male 90.3
GTEX-1F48J-2826-SM-7P8R4 50-59 years, female 89.5
GTEX-TSE9-3026-SM-3DB76 60-69 years, female 89.2
GTEX-WZTO-2926-SM-3NM9I 40-49 years, male 89.0
GTEX-13OW7-3026-SM-5L3GY 50-59 years, male 88.1
GTEX-1HT8W-3026-SM-CGQEO 30-39 years, male 86.7
GTEX-QMR6-1426-SM-32PLA 50-59 years, male 86.5
GTEX-1HCU6-3126-SM-CL54L 60-69 years, female 86.4
GTEX-12WSA-2926-SM-5EQ4D 60-69 years, male 85.5
GTEX-16YQH-3026-SM-79OMM 30-39 years, male 84.5
GTEX-1GN73-3126-SM-9KNTY 60-69 years, male 84.1
GTEX-1IDJH-3026-SM-CL53B 70-79 years, male 82.1
GTEX-12ZZZ-3026-SM-5BC67 60-69 years, male 82.0
GTEX-1NV8Z-3126-SM-E76R3 60-69 years, male 82.0
GTEX-11OF3-2926-SM-5HL78 60-69 years, male 79.5
GTEX-11ZUS-2926-SM-5FQSL 30-39 years, male 77.8
GTEX-14BMV-3026-SM-5S2PQ 50-59 years, male 77.4
GTEX-UTHO-3026-SM-3GAFB 60-69 years, male 74.3
GTEX-ZYFD-3026-SM-5E44C 50-59 years, male 74.3
GTEX-1GN2E-3026-SM-9WG6I 60-69 years, male 72.8
GTEX-ZAK1-3026-SM-5S2MJ 50-59 years, female 71.6
GTEX-16Z82-3026-SM-79ON3 60-69 years, male 71.0
GTEX-ZVT3-3026-SM-5E43N 60-69 years, female 70.5
GTEX-11PRG-2926-SM-5987A 50-59 years, male 69.2
GTEX-1H3NZ-3026-SM-9JGHW 60-69 years, male 67.5
GTEX-1OJC4-2826-SM-E6CQX 50-59 years, female 66.0
GTEX-111FC-3126-SM-5GZZ2 60-69 years, male 65.4
GTEX-QDT8-2926-SM-32PKC 30-39 years, female 65.1
GTEX-18A6Q-2926-SM-718AR 60-69 years, male 64.5
GTEX-11GSO-2926-SM-5HL73 60-69 years, male 63.1
GTEX-145MH-3026-SM-5Q5DZ 50-59 years, male 63.1
GTEX-Y111-2726-SM-4TT3N 50-59 years, male 62.2
GTEX-1A8G6-2926-SM-731CK 60-69 years, male 61.6
GTEX-12WSH-3026-SM-5CVNI 50-59 years, male 61.4
GTEX-13FHP-3026-SM-5IJBS 50-59 years, male 58.4
GTEX-14PJM-3126-SM-6EU2R 50-59 years, female 56.3
GTEX-X585-3026-SM-46MWF 50-59 years, male 56.0
GTEX-183WM-2826-SM-731C2 70-79 years, female 55.4
GTEX-131YS-3126-SM-5KLYT 60-69 years, female 54.7
GTEX-RNOR-2326-SM-2TF4I 50-59 years, female 53.1
GTEX-13G51-3026-SM-5IJB8 60-69 years, male 53.0
GTEX-14DAQ-3126-SM-62LDS 60-69 years, female 52.0
GTEX-17MF6-2926-SM-7LTAW 40-49 years, male 51.8
GTEX-14JG1-3026-SM-5YYAA 40-49 years, male 50.9
GTEX-1AX9I-3026-SM-73KUH 60-69 years, male 50.9
GTEX-14ASI-3026-SM-5S2PN 60-69 years, male 50.7
GTEX-11DXW-1126-SM-5H12Q 40-49 years, male 46.2
GTEX-1B8L1-3026-SM-7EPHK 60-69 years, male 44.4
GTEX-15ER7-3126-SM-7KUGH 20-29 years, female 40.7
GTEX-13O3O-3126-SM-5KM3H 60-69 years, female 40.5
GTEX-13NYB-3026-SM-5IJD7 40-49 years, male 40.3
GTEX-12WSC-3026-SM-5GCNF 50-59 years, male 39.6
GTEX-12ZZY-3026-SM-5GCOU 60-69 years, male 39.6
GTEX-1HBPH-3126-SM-9WYUV 40-49 years, female 38.9
GTEX-13OW6-3026-SM-5J2MI 50-59 years, male 38.1
GTEX-11DXY-3226-SM-5GIDE 60-69 years, male 36.1
GTEX-17HHY-3026-SM-79OKP 50-59 years, male 35.7
GTEX-12ZZX-2926-SM-5GCOQ 40-49 years, female 33.6
GTEX-18465-3026-SM-7LG6Y 50-59 years, male 26.0
GTEX-11NUK-2926-SM-5A5MD 50-59 years, male 22.2
Show allShow less
Brain - Frontal Cortex (BA9)
Average nTPM: 253.9
Samples: 209

Max nTPM: 1692.8
Min nTPM: 19.7
Std nTPM: 312.0
Median nTPM: 141.1
GTEX-OHPN-0011-R10A-SM-33HBU 60-69 years, female 1692.8
GTEX-X4XY-0011-R10B-SM-46MWS 60-69 years, male 1667.4
GTEX-1LC47-0011-R10b-SM-EYYWE 60-69 years, male 1620.1
GTEX-11TTK-0011-R10b-SM-DO925 60-69 years, female 1539.4
GTEX-1IKK5-0011-R10b-SM-CE6SP 60-69 years, male 1382.1
GTEX-1H3VE-0011-R10b-SM-A9SKC 40-49 years, male 1301.4
GTEX-1445S-0011-R10a-SM-5PNWB 60-69 years, male 1253.7
GTEX-1477Z-0011-R10b-SM-5S2RF 60-69 years, male 1139.9
GTEX-13OVJ-0011-R10b-SM-5L3HT 50-59 years, female 1128.0
GTEX-15UF6-0011-R10b-SM-9OSVF 70-79 years, female 995.6
GTEX-14753-0011-R10b-SM-5S2WE 60-69 years, male 911.7
GTEX-1IL2V-0011-R10a-SM-CL55A 70-79 years, male 880.0
GTEX-13SLW-0011-R10a-SM-5S2UI 70-79 years, male 838.7
GTEX-12ZZW-0011-R10b-SM-5HL9X 50-59 years, male 797.0
GTEX-S7SE-0011-R10A-SM-2XCDF 50-59 years, male 773.8
GTEX-1HBPM-0011-R10a-SM-CJI3Q 60-69 years, female 771.1
GTEX-11H98-0011-R10b-SM-5NQ98 50-59 years, male 698.5
GTEX-1HSMO-0011-R10a-SM-CL54Y 60-69 years, male 694.3
GTEX-131XW-0011-R10a-SM-5DUVA 50-59 years, female 678.9
GTEX-145MI-0011-R10a-SM-5PNZD 60-69 years, female 676.0
GTEX-1GN1V-0011-R10a-SM-CKZNU 60-69 years, male 653.9
GTEX-1I1CD-0011-R10b-SM-CJI3W 60-69 years, female 587.3
GTEX-1H23P-0011-R10a-SM-A96RS 60-69 years, male 574.6
GTEX-1192X-0011-R10a-SM-DO941 50-59 years, male 566.4
GTEX-1GMR8-0011-R10a-SM-CJI21 50-59 years, female 551.3
GTEX-11GSP-0011-R10a-SM-5NQ7J 60-69 years, female 507.5
GTEX-16NPV-0011-R10a-SM-79OKA 50-59 years, female 503.9
GTEX-X4EP-0011-R10B-SM-4QASJ 60-69 years, female 503.1
GTEX-ZE7O-0011-R10a-SM-57WAZ 50-59 years, female 485.1
GTEX-13IVO-0011-R10a-SM-5LZY3 70-79 years, male 411.5
GTEX-1HB9E-0011-R10a-SM-CJI3H 50-59 years, male 396.7
GTEX-X261-0011-R10B-SM-4E3JT 50-59 years, male 393.9
GTEX-11EMC-0011-R10a-SM-DNZZJ 60-69 years, female 387.2
GTEX-1A3MX-0011-R10b-SM-7P8PG 60-69 years, male 381.2
GTEX-14PJO-0011-R10a-SM-686ZS 60-69 years, male 367.7
GTEX-145MG-0011-R10a-SM-5PNWG 50-59 years, male 366.6
GTEX-13JVG-0011-R10b-SM-5KM2P 60-69 years, male 361.5
GTEX-ZV68-0011-R10a-SM-51MT7 50-59 years, female 353.3
GTEX-1H1ZS-0011-R10b-SM-A9SK9 70-79 years, male 344.8
GTEX-1GN1U-0011-R10b-SM-CKZNH 50-59 years, female 341.9
GTEX-16XZZ-0011-R10b-SM-7LT91 60-69 years, male 328.8
GTEX-1ICLZ-0011-R10a-SM-A9SM2 60-69 years, male 326.6
GTEX-16GPK-0011-R10b-SM-7MKFG 60-69 years, male 323.5
GTEX-13QIC-0011-R10a-SM-5O9C7 60-69 years, female 316.3
GTEX-13CZV-0011-R10b-SM-5LZYD 60-69 years, male 315.6
GTEX-NL4W-0011-R10A-SM-2I3DY 50-59 years, male 310.9
GTEX-11ZTS-0011-R10a-SM-DO93S 60-69 years, female 309.8
GTEX-147F4-0011-R10b-SM-5S2WC 50-59 years, male 308.6
GTEX-1H4P4-0011-R10b-SM-CE6SG 50-59 years, male 298.6
GTEX-P44H-0011-R10A-SM-2XCEK 40-49 years, male 291.0
GTEX-1CB4J-0011-R10a-SM-9WG63 60-69 years, male 289.7
GTEX-1HR9M-0011-R10a-SM-CM2SU 60-69 years, male 289.7
GTEX-17HII-0011-R10a-SM-79OMY 50-59 years, male 287.0
GTEX-UTHO-0011-R10A-SM-3GIJQ 60-69 years, male 279.8
GTEX-1EX96-0011-R10b-SM-CE6QR 50-59 years, male 275.0
GTEX-OXRO-0011-R10A-SM-2I5EH 60-69 years, female 267.1
GTEX-1HCU6-0011-R10a-SM-CKZP8 60-69 years, female 265.0
GTEX-ZUA1-0011-R10a-SM-51MT6 40-49 years, male 261.2
GTEX-13NZA-0011-R10b-SM-5KM54 60-69 years, male 258.9
GTEX-11EI6-0011-R10a-SM-DO93R 60-69 years, male 258.0
GTEX-11DZ1-0011-R10b-SM-DO943 50-59 years, male 257.6
GTEX-11TUW-0011-R10a-SM-DO924 60-69 years, male 245.9
GTEX-QVJO-0011-R10A-SM-2S1QJ 60-69 years, female 235.8
GTEX-13FHO-0011-R10b-SM-5J2MM 60-69 years, male 235.6
GTEX-13RTJ-0011-R10b-SM-5O9CW 60-69 years, male 234.3
GTEX-1HGF4-0011-R10b-SM-CE6S5 60-69 years, male 230.3
GTEX-13NYS-0011-R10a-SM-5MR4S 60-69 years, male 226.6
GTEX-1C6VQ-0011-R10b-SM-7P8Q1 50-59 years, male 223.7
GTEX-11WQK-0011-R10a-SM-5BC6R 50-59 years, male 223.4
GTEX-1H1CY-0011-R10a-SM-CE6SD 60-69 years, female 221.8
GTEX-QVUS-0011-R10A-SM-3GIK3 60-69 years, female 220.5
GTEX-XMD1-0011-R10A-SM-4AT4A 60-69 years, male 219.2
GTEX-1H1DG-0011-R10b-SM-CE6S7 70-79 years, male 218.1
GTEX-1GZ2Q-0011-R10b-SM-CE6RN 40-49 years, male 218.0
GTEX-ZVZQ-0011-R10b-SM-51MRT 60-69 years, female 209.6
GTEX-ZF28-0011-R10a-SM-4WWEH 60-69 years, male 207.2
GTEX-ZXG5-0011-R10a-SM-57WDD 60-69 years, male 204.2
GTEX-145LS-0011-R10a-SM-5PNUQ 60-69 years, female 203.3
GTEX-1J1OQ-0011-R10a-SM-A9G1Y 40-49 years, female 200.1
GTEX-OXRN-0011-R10A-SM-2I5GC 50-59 years, male 198.5
GTEX-NPJ8-0011-R10A-SM-2YUMO 40-49 years, male 194.0
GTEX-N7MT-0011-R10A-SM-2I3E1 60-69 years, female 190.1
GTEX-1C6VR-0011-R10b-SM-7P8QA 60-69 years, male 188.9
GTEX-13QJC-0011-R10a-SM-5SI63 60-69 years, female 180.0
GTEX-11DYG-0011-R10b-SM-DNZZO 60-69 years, male 178.9
GTEX-14BIL-0011-R10a-SM-5SI75 50-59 years, male 177.8
GTEX-ZVT3-0011-R10b-SM-57WB6 60-69 years, female 176.9
GTEX-13X6I-0011-R10a-SM-5PNWI 60-69 years, male 175.9
GTEX-1E1VI-0011-R10b-SM-ARU8F 50-59 years, male 172.0
GTEX-1J8Q2-0011-R10b-SM-D4P2C 60-69 years, male 165.7
GTEX-1I1GV-0011-R10a-SM-CE6S6 60-69 years, male 164.6
GTEX-132Q8-0011-R10b-SM-5DUWZ 60-69 years, male 163.4
GTEX-1EH9U-0011-R10a-SM-CJI2A 60-69 years, male 162.1
GTEX-17F97-0011-R10b-SM-793BB 50-59 years, male 160.4
GTEX-1BAJH-0011-R10a-SM-7MXT9 70-79 years, male 156.5
GTEX-15CHQ-0011-R10b-SM-6AJBV 60-69 years, male 156.1
GTEX-1GMRU-0011-R10b-SM-CJI2L 50-59 years, male 154.1
GTEX-13O3O-0011-R10a-SM-5LUA9 60-69 years, female 152.7
GTEX-1GN2E-0011-R10a-SM-CE6RI 60-69 years, male 152.3
GTEX-12WSF-0011-R10a-SM-5LZVH 70-79 years, male 150.5
GTEX-1HFI6-0011-R10b-SM-ARZLO 40-49 years, male 149.1
GTEX-TSE9-0011-R10A-SM-3DB7O 60-69 years, female 147.7
GTEX-NPJ7-0011-R10A-SM-2I3E5 60-69 years, female 146.2
GTEX-1B8SF-0011-R10b-SM-7P8SW 60-69 years, male 144.0
GTEX-1GTWX-0011-R10b-SM-CJI2X 60-69 years, male 141.1
GTEX-13SLX-0011-R10a-SM-5P9HV 50-59 years, female 140.1
GTEX-13OW8-0011-R10a-SM-5L3H6 60-69 years, male 139.0
GTEX-11DXY-0011-R10b-SM-DO12C 60-69 years, male 138.4
GTEX-WHSE-0011-R10A-SM-EYYVG 20-29 years, male 137.1
GTEX-ZAB4-0011-R10a-SM-4SOKH 40-49 years, male 132.8
GTEX-QMR6-0011-R10A-SM-32PKO 50-59 years, male 132.3
GTEX-WWYW-0011-R10A-SM-3NB35 50-59 years, female 131.5
GTEX-T5JC-0011-R10A-SM-32PM2 20-29 years, male 131.3
GTEX-13FXS-0011-R10a-SM-5J2MA 50-59 years, male 130.5
GTEX-13JUV-0011-R10b-SM-5LZXR 40-49 years, female 127.6
GTEX-1I1HK-0011-R10b-SM-CJI3M 60-69 years, male 123.9
GTEX-1HBPH-0011-R10a-SM-CE6SI 40-49 years, female 123.0
GTEX-1F75W-0011-R10b-SM-ARU7Z 60-69 years, male 122.8
GTEX-12WSE-0011-R10b-SM-5P9JV 20-29 years, male 122.3
GTEX-1HSKV-0011-R10b-SM-CMKH6 60-69 years, male 122.2
GTEX-145LU-0011-R10a-SM-5PNWJ 50-59 years, male 121.9
GTEX-14JIY-0011-R10a-SM-6AJAO 60-69 years, male 120.7
GTEX-13X6J-0011-R10b-SM-5PNWA 50-59 years, male 119.8
GTEX-12WSA-0011-R10b-SM-5P9ET 60-69 years, male 118.0
GTEX-1GF9V-0011-R10b-SM-CKZNP 60-69 years, male 118.0
GTEX-N7MS-0011-R10A-SM-2HMJK 60-69 years, male 117.3
GTEX-1GZ4I-0011-R10a-SM-9OSX3 50-59 years, male 117.0
GTEX-1GF9W-0011-R10a-SM-9OSXH 60-69 years, male 114.2
GTEX-1A8G6-0011-R10b-SM-7P8PB 60-69 years, male 111.5
GTEX-1F6IF-0011-R10a-SM-9QEIN 60-69 years, male 109.7
GTEX-1B933-0011-R10b-SM-9OSVN 50-59 years, female 107.8
GTEX-P44G-0011-R10A-SM-2I3FF 30-39 years, male 107.3
GTEX-1GN73-0011-R10b-SM-CKZNR 60-69 years, male 104.8
GTEX-14PJM-0011-R10a-SM-686ZP 50-59 years, female 104.7
GTEX-T6MN-0011-R10A-SM-32QP7 50-59 years, male 103.4
GTEX-14PN4-0011-R10b-SM-69LP2 50-59 years, male 103.0
GTEX-Z93S-0011-R10a-SM-4RGNM 50-59 years, male 99.4
GTEX-NL3H-0011-R10A-SM-2I3E9 60-69 years, male 99.1
GTEX-11PRG-0011-R10b-SM-DO93G 50-59 years, male 94.8
GTEX-1F7RK-0011-R10b-SM-ARU7Y 20-29 years, female 94.4
GTEX-14LZ3-0011-R10b-SM-6AJA9 60-69 years, female 91.6
GTEX-14C5O-0011-R10a-SM-6872F 60-69 years, male 90.3
GTEX-147GR-0011-R10b-SM-5S2UM 60-69 years, male 87.9
GTEX-13G51-0011-R10b-SM-5LZYF 60-69 years, male 87.6
GTEX-XLM4-0011-R10A-SM-4AT5P 60-69 years, male 87.1
GTEX-1B8L1-0011-R10b-SM-7P8Q4 60-69 years, male 86.5
GTEX-YJ89-0011-R10a-SM-4SOK9 60-69 years, male 86.2
GTEX-Q2AG-0011-R10A-SM-2HMLA 40-49 years, female 85.5
GTEX-13OW7-0011-R10a-SM-5L3H3 50-59 years, male 83.5
GTEX-12ZZZ-0011-R10a-SM-5P9HC 60-69 years, male 80.9
GTEX-145MH-0011-R10b-SM-5PNUK 50-59 years, male 80.6
GTEX-1HCVE-0011-R10a-SM-ARZLT 50-59 years, male 79.4
GTEX-15DDE-0011-R10a-SM-7KUKW 50-59 years, female 79.3
GTEX-1F6I4-0011-R10b-SM-9OSWT 60-69 years, male 78.3
GTEX-1HBPI-0011-R10a-SM-A96RZ 50-59 years, male 78.0
GTEX-13FLW-0011-R10b-SM-5LZZF 50-59 years, male 77.6
GTEX-13FLV-0011-R10b-SM-5LZZ2 50-59 years, male 76.0
GTEX-1H3O1-0011-R10a-SM-CJI3O 60-69 years, male 75.1
GTEX-YFC4-0011-R10a-SM-4SOK5 40-49 years, female 74.9
GTEX-13FTZ-0011-R10b-SM-5KLZS 60-69 years, male 74.4
GTEX-11WQC-0011-R10a-SM-57WCT 60-69 years, male 73.9
GTEX-WL46-0011-R10A-SM-3MJFQ 50-59 years, male 73.9
GTEX-1CB4H-0011-R10b-SM-9QEH3 60-69 years, female 73.0
GTEX-15DCD-0011-R10b-SM-6LPII 70-79 years, female 72.2
GTEX-X4XX-0011-R10B-SM-46MWO 60-69 years, male 71.7
GTEX-1F48J-0011-R10a-SM-9QEIB 50-59 years, female 70.4
GTEX-13S7M-0011-R10b-SM-5PNZB 60-69 years, female 68.6
GTEX-14BIN-0011-R10a-SM-5S2UA 50-59 years, female 66.0
GTEX-16Z82-0011-R10a-SM-79OJX 60-69 years, male 65.8
GTEX-13X6K-0011-R10a-SM-5P9JR 60-69 years, female 63.1
GTEX-WVLH-0011-R10A-SM-3MJFM 50-59 years, male 62.6
GTEX-1CB4G-0011-R10a-SM-9QEHS 60-69 years, male 60.4
GTEX-12WSC-0011-R10a-SM-5GU57 50-59 years, male 57.0
GTEX-16YQH-0011-R10b-SM-7LT8U 30-39 years, male 54.5
GTEX-1EMGI-0011-R10a-SM-9OSWY 60-69 years, male 54.4
GTEX-ZDXO-0011-R10a-SM-4WWD8 60-69 years, male 54.3
GTEX-13N1W-0011-R10b-SM-5MR4H 70-79 years, male 53.6
GTEX-Y8DK-0011-R10A-SM-4SOK1 60-69 years, male 53.3
GTEX-13OVL-0011-R10a-SM-5L3GS 50-59 years, male 52.7
GTEX-131XH-0011-R10a-SM-5EGLJ 50-59 years, male 52.6
GTEX-13O3Q-0011-R10b-SM-5KM39 50-59 years, male 52.3
GTEX-WZTO-0011-R10B-SM-4E3KB 40-49 years, male 52.2
GTEX-18464-0011-R10a-SM-72D6X 50-59 years, male 51.9
GTEX-12WSH-0011-R10a-SM-5LZUS 50-59 years, male 51.2
GTEX-139TS-0011-R10a-SM-5K7TU 60-69 years, male 51.1
GTEX-1313W-0011-R10b-SM-5DUXA 50-59 years, female 49.8
GTEX-14PQA-0011-R10a-SM-6AJAA 50-59 years, female 49.1
GTEX-1IOXB-0011-R10a-SM-D3L8I 50-59 years, male 48.4
GTEX-15G19-0011-R10b-SM-7KUG4 60-69 years, male 47.8
GTEX-X585-0011-R10A-SM-46MUY 50-59 years, male 46.8
GTEX-18A6Q-0011-R10b-SM-72D7A 60-69 years, male 46.3
GTEX-1B996-0011-R10b-SM-CJI3T 60-69 years, male 45.3
GTEX-13OW6-0011-R10a-SM-5L3HE 50-59 years, male 41.9
GTEX-PVOW-0011-R10A-SM-EXOHB 40-49 years, male 41.1
GTEX-12WSM-0011-R10a-SM-5DUWV 60-69 years, male 39.8
GTEX-14E7W-0011-R10a-SM-5YYAX 70-79 years, male 39.8
GTEX-14ASI-0011-R10b-SM-5S2VZ 60-69 years, male 38.3
GTEX-131YS-0011-R10b-SM-5EQ5N 60-69 years, female 37.4
GTEX-17EVP-0011-R10a-SM-7IGLP 40-49 years, male 37.2
GTEX-QDT8-0011-R10A-SM-32PKG 30-39 years, female 36.8
GTEX-1IDJH-0011-R10a-SM-ARZLK 70-79 years, male 35.7
GTEX-17HG3-0011-R10b-SM-7LT97 30-39 years, female 34.8
GTEX-13NYB-0011-R10a-SM-5KM43 40-49 years, male 34.4
GTEX-13N2G-0011-R10a-SM-5MR34 60-69 years, male 29.2
GTEX-17JCI-0011-R10b-SM-718A2 60-69 years, female 28.9
GTEX-12126-0011-R10b-SM-5BC6T 20-29 years, male 27.6
GTEX-14E6D-0011-R10a-SM-5YY9C 50-59 years, male 20.9
GTEX-12ZZY-0011-R10b-SM-5HL7W 60-69 years, male 19.8
GTEX-12ZZX-0011-R10b-SM-5DUWK 40-49 years, female 19.7
Show allShow less

CEREBRAL CORTEX - FANTOM5 CAGEi

RNA expression in human tissues obtained through Cap Analysis of Gene Expression (CAGE) generated by the FANTOM5 project are reported as Scaled Tags Per Million.

Max subtype Scaled Tags Per Millioni

Max subtype Scaled Tags Per Million is the value for the subtype with the largest average Scaled Tags Per Million across the subtype samples.

0.9
FANTOM5 sample id Sample description Scaled Tags Per Million
Occipital cortex
Scaled Tags Per Million: 0.1
FF:10163-103B1 76 years, female 0.1
Postcentral gyrus
Scaled Tags Per Million: 0.0
FF:10032-101E5 44-52 years, mixed 0.0
Frontal lobe
Scaled Tags Per Million: 0.0
FF:10040-101F4 32-61 years, mixed 0.0
Insula
Scaled Tags Per Million: 0.4
FF:10039-101F3 20-68 years, mixed 0.4
Medial frontal gyrus
Scaled Tags Per Million: 0.8
FF:10150-102I6 76 years, female 0.8
Medial temporal gyrus
Scaled Tags Per Million: 0.3
FF:10183-103D3 60 years, female 0.3
FF:10156-103A3 76 years, female 0.3
Occipital lobe
Scaled Tags Per Million: 0.5
FF:10076-102A4 27 years, male 0.5
Occipital pole
Scaled Tags Per Million: 0.0
FF:10036-101E9 22-68 years, mixed 0.0
Paracentral gyrus
Scaled Tags Per Million: 0.9
FF:10035-101E8 22-69 years, mixed 0.9
Parietal lobe
Scaled Tags Per Million: 0.6
FF:10171-103B9 60 years, female 1.0
FF:10034-101E7 35-89 years, mixed 0.5
FF:10157-103A4 76 years, female 0.2
Temporal lobe
Scaled Tags Per Million: 0.3
FF:10031-101E4 32-61 years, mixed 0.3

Contact

  • NEWS ARTICLES
  • PRESS ROOM

The Project

  • INTRODUCTION
  • ORGANIZATION
  • PUBLICATIONS

The Human Protein Atlas

  • DOWNLOADABLE DATA
  • LICENCE & CITATION
  • HELP & FAQ
The Human Protein Atlas project is funded
by the Knut & Alice Wallenberg Foundation.


contact@proteinatlas.org