We use cookies to enhance the usability of our website. If you continue, we'll assume that you are happy to receive all cookies. More information. Don't show this again.
RNASEK
HPA
RESOURCES
  • TISSUE
  • BRAIN
  • SINGLE CELL
  • SUBCELLULAR
  • CANCER
  • BLOOD
  • CELL LINE
  • STRUCTURE & INTERACTION
ABOUT
  • INTRODUCTION
  • HISTORY
  • ORGANIZATION
  • PUBLICATIONS
  • ANTIBODY SUBMISSION
  • ANTIBODY AVAILABILITY
  • ACKNOWLEDGMENTS
  • CONTACT
NEWS
  • NEWS ARTICLES
  • PRESS ROOM
LEARN
  • DICTIONARY
  • PROTEIN CLASSES
  • PROTEIN EVIDENCE
  • METHODS
  • EDUCATIONAL VIDEOS
DATA
  • DOWNLOADABLE DATA
  • PUBLICATION DATA
  • RELEASE HISTORY
HELP
  • ANTIBODY VALIDATION
  • ASSAYS & ANNOTATION
  • DISCLAIMER
  • HELP & FAQ
  • PRIVACY STATEMENT
  • LICENCE & CITATION
Fields »
Search result

Field
Term
Gene name
Class
Subclass
Class
Keyword
Chromosome
External id
Tissue
Cell type
Expression
Antibody panel
Tissue
Main location
Patient ID
Annotation
Tissue
Category
Tau score
Cluster
Reliability
Brain region
Category
Tau score
Brain region
Category
Tau score
Brain region
Category
Tau score
Cluster
Reliability
Tissue
Cell type
Enrichment
Cell type
Category
Tau score
Cell type
Category
Tau score
Cell type
Category
Tau score
Cell lineage
Category
Tau score
Cluster
Cluster
Location
Searches
Location
Cell line
Class
Type
Phase
Reliability
Cancer
Prognosis
Cancer
Category
Cancer
Category
Tau score
Cluster
Variants
Interacting gene (ensg_id)
Type
Number of interactions
Pathway
Category
Score
Score
Score
Validation
Validation
Validation
Validation
Antibodies
Data type
Column


  • SUMMARY

  • TISSUE

  • BRAIN

  • SINGLE CELL

  • SUBCELL

  • CANCER

  • BLOOD

  • CELL LINE

  • STRUCT & INT

  • RNASEK
TISSUE PRIMARY DATA SKIN Show tissue menu
ADIPOSE TISSUE ADRENAL GLAND AMYGDALA APPENDIX BASAL GANGLIA BONE MARROW BREAST BRONCHUS CEREBELLUM CEREBRAL CORTEX CERVIX CHOROID PLEXUS COLON DUODENUM
ENDOMETRIUM EPIDIDYMIS ESOPHAGUS FALLOPIAN TUBE GALLBLADDER HEART MUSCLE HIPPOCAMPAL FORMATION HYPOTHALAMUS KIDNEY LIVER LUNG LYMPH NODE MIDBRAIN NASOPHARYNX
ORAL MUCOSA OVARY PANCREAS PARATHYROID GLAND PITUITARY GLAND PLACENTA PROSTATE RECTUM RETINA SALIVARY GLAND SEMINAL VESICLE SKELETAL MUSCLE SKIN SMALL INTESTINE
SMOOTH MUSCLE SOFT TISSUE SPINAL CORD SPLEEN STOMACH TESTIS THYMUS THYROID GLAND TONGUE TONSIL URINARY BLADDER VAGINA
ANTIBODIES
AND
VALIDATION
Dictionary
Skin
Tissue proteome
Skin
SKIN - Expression summary
Protein expression
Skini

On the top, protein expression in current human tissue, based on all annotated cell types, is reported with the units not detected (n), low (l), medium (m) and high (h). Underneath, protein expression in each annotated cell type are reported using the same units.

Protein expression data is based on knowledge-based annotation. For genes where more than one antibody has been used, a collective score is set.

If knowledge-based annotation could not be performed for a gene, no data is displayed here. View antibody staining data further down this page.

h
m
l
n
Epidermal cells: Not detected
Fibroblasts: Not detected
Keratinocytes: Not detected
Langerhans: Not detected
Melanocytes: Not detected
RNA expressioni

A summary of mRNA expression data available for current tissue based on several datasets. The mRNA expression levels in human tissues are based on RNA-seq data generated by the Human Protein Atlas (HPA), Genotype-Tissue Expression (GTEx) portal and CAGE data generated by the FANTOM5 consortium. Consensus normalized expression levels for human tissues was created by combining the data from HPA and GTEx datasets.

The mRNA expression levels in pig are based on RNA-seq data generated by the Human Protein Atlas (HPA), and for mouse, HPA data and in situ hybridization generated by the Allen brain atlas are reported.

Scroll down to view mRNA expression data in more detail.
Consensus:287.5 nTPM
HPA:172.9 nTPM
GTEx:287.5 nTPM

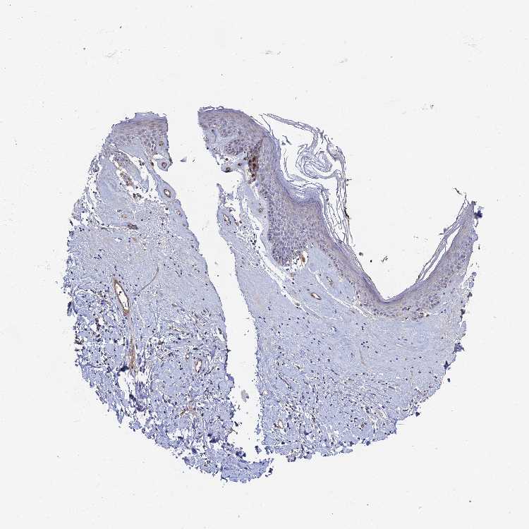
SKIN 1 - Antibody stainingi

Antibody staining in the annotated cell types in the current human tissue is reported as not detected, low, medium, or high, based on conventional immunohistochemistry profiling in selected tissues. This score is based on the combination of the staining intensity and fraction of stained cells.

Each image is clickable and will lead to virtual microscopy that enables deeper exploration of all samples and also displays staining intensity scores, fraction scores and subcellular localization as well as patient and tissue information for each sample.

Antibody HPA044708
Langerhans Not detected
Fibroblasts Not detected
Keratinocytes Not detected
Melanocytes Not detected
SKIN 2 - Antibody stainingi

Antibody staining in the annotated cell types in the current human tissue is reported as not detected, low, medium, or high, based on conventional immunohistochemistry profiling in selected tissues. This score is based on the combination of the staining intensity and fraction of stained cells.

Each image is clickable and will lead to virtual microscopy that enables deeper exploration of all samples and also displays staining intensity scores, fraction scores and subcellular localization as well as patient and tissue information for each sample.

Antibody HPA044708
Epidermal cells Not detected
 
 
 


SKIN - HPA RNA-seqi

The RNA-seq details section shows detailed information about the individual samples used for the transcript profiling and results of the RNA-seq analysis.

Information about each individual sample is listed below, including gender, age, a tissue section image and estimated fractions of cell types. nTPM (normalized transcripts per million) values give a quantification of the gene abundance which is comparable between different genes and samples.
Average nTPMi

Max subtype nTPM is the value for the subtype with the largest average nTPM across the subtype samples.

172.9
overview
Female, age 34
Skin sample 225
nTPM: 204.3
Cell types%
Keratinocytes:
60

Other cell types:
40

overview
Female, age 30
Skin sample 226
nTPM: 121.9
Cell types%
Keratinocytes:
55

Other cell types:
45

N/A
Male, age 57
Skin sample 227
nTPM: 192.7

SKIN - GTEx RNA-seqi

RNA-Seq data generated by the Genotype-Tissue Expression (GTEx) project from human tissues is reported as mean nTPM. More information can be found on the GTEx portal.

Distribution across the dataset is visualized with box plots, shown as median and 25th and 75th percentiles. Points are displayed as outliers if they are above or below 1.5 times the interquartile range. nTPM values of the individual samples are presented next to the box plot.
Max subtype nTPMi

Max subtype nTPM is the value for the subtype with the largest average nTPM across the subtype samples.

287.5
GTEx sample id Sample description nTPM
Skin - Not Sun Exposed (Suprapubic)
Average nTPM: 280.5
Samples: 604

Max nTPM: 710.3
Min nTPM: 150.1
Std nTPM: 77.5
Median nTPM: 264.5
GTEX-WFG7-2026-SM-5SI7P 20-29 years, male 710.3
GTEX-17F97-2626-SM-7IGM5 50-59 years, male 599.5
GTEX-1OJC3-1226-SM-DTXER 20-29 years, male 583.0
GTEX-X585-2426-SM-46MW2 50-59 years, male 574.7
GTEX-ZYW4-0626-SM-59HJR 60-69 years, male 571.1
GTEX-WI4N-2726-SM-3LK7Y 40-49 years, female 552.1
GTEX-Y114-2126-SM-4TT8B 50-59 years, female 551.1
GTEX-ZTX8-1326-SM-4YCEL 20-29 years, male 515.4
GTEX-14PJ3-1126-SM-5ZZVX 50-59 years, male 513.9
GTEX-11DYG-1526-SM-5A5JS 60-69 years, male 512.4
GTEX-Y5V6-2326-SM-4VDSA 60-69 years, male 503.6
GTEX-ZE7O-2726-SM-51MT5 50-59 years, female 498.1
GTEX-13YAN-0226-SM-5TDC6 60-69 years, male 486.4
GTEX-1F6I4-2326-SM-7RHGL 60-69 years, male 477.8
GTEX-1N2DV-1526-SM-DTXEP 40-49 years, male 470.6
GTEX-12WSJ-1126-SM-5LZVJ 40-49 years, female 467.8
GTEX-11P7K-1126-SM-5HL4L 30-39 years, male 465.6
GTEX-1192X-2726-SM-5N9DN 50-59 years, male 464.2
GTEX-1PIGE-1826-SM-E8VOU 20-29 years, male 453.2
GTEX-147F4-0726-SM-5TDDD 50-59 years, male 442.4
GTEX-14E1K-2026-SM-7DUEI 50-59 years, male 441.5
GTEX-139UW-0326-SM-5J1ML 60-69 years, male 439.3
GTEX-148VJ-0626-SM-5LUAW 70-79 years, male 438.3
GTEX-YECK-0326-SM-4W1YS 60-69 years, male 438.3
GTEX-ZLFU-1826-SM-4WWBV 40-49 years, male 438.3
GTEX-ZC5H-1526-SM-5HL9Y 40-49 years, female 433.5
GTEX-ZVP2-0326-SM-57WBP 50-59 years, male 433.0
GTEX-1PPH8-0126-SM-EWRN8 20-29 years, male 432.6
GTEX-ZPCL-1126-SM-4WWFE 60-69 years, female 430.6
GTEX-16YQH-2226-SM-7IGM2 30-39 years, male 430.5
GTEX-13NYS-0626-SM-5L3F1 60-69 years, male 429.8
GTEX-WHSE-0126-SM-3NMBT 20-29 years, male 429.5
GTEX-13IVO-0726-SM-5LZYV 70-79 years, male 429.3
GTEX-15RIG-0726-SM-7KUM7 40-49 years, male 423.8
GTEX-16MTA-0926-SM-6M47Z 50-59 years, male 423.7
GTEX-1IKOE-1426-SM-CE6T7 30-39 years, female 422.8
GTEX-1399Q-2326-SM-5KM2X 40-49 years, male 422.6
GTEX-15RIE-1926-SM-7KUKJ 60-69 years, male 420.1
GTEX-1E2YA-2126-SM-7MXUO 50-59 years, male 418.0
GTEX-1399S-0126-SM-5IJCF 30-39 years, female 416.4
GTEX-17F9Y-0126-SM-79OKX 70-79 years, female 407.8
GTEX-YEC4-1826-SM-4W1YP 40-49 years, male 405.8
GTEX-15UF6-1926-SM-7KUDV 70-79 years, female 404.5
GTEX-YB5K-2026-SM-4VDT3 40-49 years, female 403.8
GTEX-13PL6-1126-SM-5L3IE 40-49 years, female 403.3
GTEX-11WQC-1826-SM-5GU59 60-69 years, male 402.6
GTEX-1QP9N-1226-SM-E76QN 30-39 years, male 401.8
GTEX-14A5H-0826-SM-5QGPJ 60-69 years, male 398.1
GTEX-1HGF4-0126-SM-CNPPX 60-69 years, male 397.1
GTEX-11WQK-1026-SM-5EQLX 50-59 years, male 396.8
GTEX-13PDP-0726-SM-5L3HP 60-69 years, male 395.3
GTEX-1NV5F-0626-SM-DTXEG 60-69 years, female 395.3
GTEX-XK95-0226-SM-4AT58 40-49 years, male 393.2
GTEX-131XF-2626-SM-5EQ6K 60-69 years, male 392.8
GTEX-1JMLX-0626-SM-ARL8T 50-59 years, male 389.1
GTEX-ZF3C-0626-SM-DO92O 50-59 years, female 388.9
GTEX-14E6C-2426-SM-5S2NF 40-49 years, male 388.2
GTEX-14PJO-2526-SM-6AJBQ 60-69 years, male 386.6
GTEX-1117F-2926-SM-5GZYI 60-69 years, female 385.5
GTEX-131XG-0326-SM-5L3DX 50-59 years, female 379.8
GTEX-YFCO-1226-SM-5LUAT 40-49 years, male 379.6
GTEX-1LKK1-2626-SM-DKPQE 50-59 years, female 377.5
GTEX-139TS-2126-SM-5K7XC 60-69 years, male 377.0
GTEX-1AYD5-2626-SM-7PBXY 50-59 years, male 376.4
GTEX-Y8LW-1526-SM-5IFHL 50-59 years, female 375.5
GTEX-15SKB-2826-SM-6PAMH 60-69 years, male 374.0
GTEX-XBEW-1126-SM-4QARW 40-49 years, male 373.9
GTEX-13OVJ-0826-SM-5J1OK 50-59 years, female 372.9
GTEX-13JVG-0726-SM-5KM16 60-69 years, male 371.2
GTEX-ZDTS-0826-SM-4WKHL 60-69 years, male 370.4
GTEX-X8HC-0626-SM-4E3HQ 50-59 years, female 370.2
GTEX-15RJ7-2126-SM-6PAMD 40-49 years, male 369.4
GTEX-W5X1-2526-SM-3GILC 40-49 years, female 368.6
GTEX-13NYB-0126-SM-5J1MD 40-49 years, male 365.9
GTEX-1EX96-1026-SM-7MKG2 50-59 years, male 365.9
GTEX-1CAMQ-1326-SM-7P8RV 40-49 years, male 365.7
GTEX-11DZ1-2426-SM-5GZZX 50-59 years, male 365.5
GTEX-14C39-1726-SM-5RQIL 40-49 years, male 365.2
GTEX-1JMQL-2226-SM-CNPP4 50-59 years, female 364.9
GTEX-14ICL-1626-SM-5YYAO 30-39 years, male 364.7
GTEX-14DAR-1226-SM-73KYV 50-59 years, male 364.2
GTEX-1CAMS-2226-SM-7PBXQ 40-49 years, female 363.6
GTEX-ZAB4-2126-SM-5HL8U 40-49 years, male 363.0
GTEX-15SHW-0226-SM-7LTAT 60-69 years, male 362.0
GTEX-14PHY-1226-SM-5ZZWK 60-69 years, female 360.5
GTEX-144FL-0626-SM-5LU43 50-59 years, male 359.1
GTEX-14PII-0726-SM-6EU2B 60-69 years, male 357.9
GTEX-1KAFJ-0126-SM-DIPEK 50-59 years, male 356.5
GTEX-1H23P-0626-SM-9WG6T 60-69 years, male 355.6
GTEX-11PRG-0726-SM-5EGL1 50-59 years, male 355.1
GTEX-17HII-1426-SM-7EPGG 50-59 years, male 355.1
GTEX-1F75B-0726-SM-7PC3R 50-59 years, male 354.3
GTEX-11OF3-0126-SM-5PNYF 60-69 years, male 353.0
GTEX-1BAJH-2426-SM-7IGP8 70-79 years, male 353.0
GTEX-1PIIG-2326-SM-DTXFR 30-39 years, male 352.0
GTEX-13OW5-2326-SM-5L3HO 60-69 years, male 351.1
GTEX-1JMPY-0226-SM-CKZOK 30-39 years, male 351.1
GTEX-131XH-0126-SM-5LZUY 50-59 years, male 350.3
GTEX-18A6Q-0626-SM-7KFRP 60-69 years, male 350.3
GTEX-11O72-0626-SM-5PNYE 40-49 years, male 349.6
GTEX-1F52S-2926-SM-7MKGA 60-69 years, female 348.9
GTEX-12126-0826-SM-5FQTZ 20-29 years, male 347.9
GTEX-145MG-1526-SM-5Q5EM 50-59 years, male 347.9
GTEX-16AAH-0626-SM-793C9 50-59 years, male 347.5
GTEX-Y3IK-1626-SM-4YCF5 50-59 years, female 346.8
GTEX-15RJE-2826-SM-7KUM9 40-49 years, male 346.6
GTEX-1497J-0226-SM-5QGPU 60-69 years, male 345.9
GTEX-1HSMP-0926-SM-A9SKX 70-79 years, male 345.3
GTEX-17F96-0126-SM-7EWDU 70-79 years, male 344.9
GTEX-WH7G-2026-SM-3NMBL 40-49 years, male 344.6
GTEX-12WSH-1526-SM-5BC5W 50-59 years, male 344.5
GTEX-13RTJ-0126-SM-5S2NN 60-69 years, male 344.2
GTEX-1HSMQ-2626-SM-A9SML 50-59 years, male 343.3
GTEX-1R9K4-2826-SM-DTX8F 60-69 years, male 343.2
GTEX-11P82-1426-SM-DTXFY 20-29 years, male 343.0
GTEX-13OVK-1426-SM-6PAN7 40-49 years, male 342.8
GTEX-139YR-1026-SM-5LZYN 50-59 years, male 342.3
GTEX-ZPU1-1126-SM-4YCF3 40-49 years, male 342.0
GTEX-ZT9X-1526-SM-5DUXD 40-49 years, male 340.3
GTEX-Z93S-1626-SM-5CVMB 50-59 years, male 339.7
GTEX-ZVE1-0726-SM-51MRN 50-59 years, female 339.1
GTEX-1HCU7-0726-SM-A9SL1 50-59 years, male 338.2
GTEX-13O61-1426-SM-5KM3D 60-69 years, male 337.4
GTEX-1JMQJ-0826-SM-CNPP7 50-59 years, male 337.3
GTEX-1IDFM-0326-SM-ARL7V 60-69 years, male 336.5
GTEX-1RMOY-1326-SM-E9TIH 50-59 years, male 334.1
GTEX-ZP4G-1426-SM-4WWCL 20-29 years, female 333.6
GTEX-145ME-1726-SM-5Q5EU 40-49 years, female 330.9
GTEX-Y111-0626-SM-4SOIT 50-59 years, male 330.7
GTEX-1LVAN-0626-SM-CNPOQ 50-59 years, female 330.5
GTEX-ZDTT-0426-SM-4WKFL 60-69 years, male 330.1
GTEX-14PJ5-1526-SM-6LLIL 60-69 years, female 329.3
GTEX-16BQI-1326-SM-6M486 30-39 years, female 329.2
GTEX-1S3DN-2126-SM-E9TIN 50-59 years, male 327.7
GTEX-1PBJJ-1026-SM-E76OS 30-39 years, male 327.0
GTEX-1H3O1-1326-SM-9MQLD 60-69 years, male 326.5
GTEX-14753-0726-SM-5QGQO 60-69 years, male 326.3
GTEX-15DDE-2926-SM-6LLJ3 50-59 years, female 326.1
GTEX-11DXY-0126-SM-5H11Q 60-69 years, male 326.0
GTEX-11DXZ-2026-SM-5987S 50-59 years, male 323.6
GTEX-1399R-1326-SM-5PNYS 30-39 years, male 322.8
GTEX-14C5O-0326-SM-5ZZUX 60-69 years, male 322.4
GTEX-1H1ZS-2726-SM-9WG75 70-79 years, male 322.3
GTEX-1HCU6-2526-SM-ADEHL 60-69 years, female 321.2
GTEX-1J8EW-2726-SM-CY8HR 60-69 years, female 321.1
GTEX-17F9E-2326-SM-79OKD 50-59 years, male 320.8
GTEX-1MCYP-0526-SM-E9U6Q 20-29 years, female 320.5
GTEX-ZXG5-2126-SM-59HKD 60-69 years, male 320.2
GTEX-1EMGI-2326-SM-7PBYA 60-69 years, male 320.1
GTEX-WHSB-1326-SM-3LK6W 50-59 years, male 319.7
GTEX-11DXX-2126-SM-5PNYR 60-69 years, female 318.3
GTEX-14LLW-2626-SM-62LDZ 70-79 years, female 318.1
GTEX-1F75I-2226-SM-7SB8U 40-49 years, male 318.1
GTEX-1CAMR-1326-SM-7PC1F 20-29 years, male 317.2
GTEX-11EQ8-0926-SM-5H12V 60-69 years, male 316.8
GTEX-1C6WA-2626-SM-7MKGM 60-69 years, male 316.5
GTEX-1LSNM-0826-SM-DIPG8 50-59 years, male 316.0
GTEX-11TUW-0626-SM-5LU9M 60-69 years, male 315.8
GTEX-1R9PM-1926-SM-EVR3O 20-29 years, male 315.3
GTEX-13SLW-0626-SM-5Q5ER 70-79 years, male 314.2
GTEX-1LBAC-0826-SM-CY8IJ 20-29 years, male 313.6
GTEX-1H3VE-0726-SM-9YFL5 40-49 years, male 313.5
GTEX-ZTTD-2826-SM-4YCFA 50-59 years, male 313.4
GTEX-1QP28-1126-SM-EVYC4 50-59 years, female 312.5
GTEX-1R9PN-0426-SM-DTXDT 40-49 years, female 312.3
GTEX-1NSGN-0726-SM-DTXEF 50-59 years, male 312.0
GTEX-1IY9M-2826-SM-ARU8H 60-69 years, male 311.9
GTEX-ZF29-0926-SM-4WKFZ 60-69 years, female 311.0
GTEX-14LZ3-0126-SM-69LPM 60-69 years, female 310.5
GTEX-Y8E4-2026-SM-5IFJB 40-49 years, male 310.5
GTEX-1F6RS-2026-SM-7RHHC 60-69 years, female 310.4
GTEX-1IE54-1126-SM-A9G2Z 40-49 years, female 309.9
GTEX-1GN1V-2826-SM-9JGIA 60-69 years, male 307.6
GTEX-13112-0126-SM-5P9IU 50-59 years, male 307.2
GTEX-13G51-1826-SM-5KLZH 60-69 years, male 306.6
GTEX-15DYW-2726-SM-6EU2I 60-69 years, female 306.0
GTEX-18QFQ-1826-SM-72D52 30-39 years, male 305.2
GTEX-1ICLZ-0326-SM-ARL82 60-69 years, male 304.4
GTEX-ZA64-1026-SM-5HL8R 20-29 years, male 304.3
GTEX-13FTY-2126-SM-5IFFB 40-49 years, female 304.1
GTEX-13FTX-1526-SM-5K7VJ 20-29 years, female 304.0
GTEX-1MJK3-0726-SM-E6CJC 20-29 years, male 303.2
GTEX-147GR-2426-SM-5ZZWQ 60-69 years, male 302.9
GTEX-1GZ2Q-0126-SM-9WG6M 40-49 years, male 302.2
GTEX-139T8-0626-SM-5KLZX 60-69 years, male 302.0
GTEX-139TU-0726-SM-5L3EK 60-69 years, male 301.9
GTEX-13SLX-2226-SM-62LEP 50-59 years, female 301.9
GTEX-ZVZP-1226-SM-5GID7 50-59 years, male 301.7
GTEX-139D8-1126-SM-5LU8W 30-39 years, female 300.8
GTEX-1J8Q2-2626-SM-ACKWQ 60-69 years, male 300.8
GTEX-ZWKS-0626-SM-5GIDV 30-39 years, male 299.5
GTEX-1JJEA-1826-SM-ARU8P 60-69 years, male 299.0
GTEX-144GO-2026-SM-5O99P 60-69 years, male 298.9
GTEX-1GMRU-2126-SM-7P8RA 50-59 years, male 298.7
GTEX-1HT8W-0626-SM-A9G2H 30-39 years, male 298.2
GTEX-1LSVX-2526-SM-DIPEU 60-69 years, male 297.4
GTEX-14PHX-2226-SM-6EU2P 50-59 years, male 297.1
GTEX-WXYG-2026-SM-4E3IY 50-59 years, female 296.8
GTEX-14PK6-0226-SM-62LF5 70-79 years, female 296.7
GTEX-ZAJG-1526-SM-5CVML 50-59 years, female 296.6
GTEX-11NSD-0626-SM-5A5LU 20-29 years, male 296.3
GTEX-18D9B-0926-SM-7LG4U 60-69 years, male 296.2
GTEX-1B8KE-1126-SM-7EPHI 50-59 years, male 296.2
GTEX-1C64N-2626-SM-7PC2N 50-59 years, male 296.2
GTEX-13FHO-0426-SM-5L3F5 60-69 years, male 295.9
GTEX-14C38-0726-SM-5SI6M 50-59 years, male 294.8
GTEX-1IKJJ-2226-SM-CJI4C 60-69 years, male 294.7
GTEX-17HHE-1326-SM-7EWDZ 50-59 years, male 293.8
GTEX-1H2FU-0926-SM-9WPPT 60-69 years, female 293.7
GTEX-13113-1626-SM-5EQ4I 60-69 years, female 292.9
GTEX-11P81-2226-SM-5PNYI 30-39 years, female 292.7
GTEX-1J1OQ-0126-SM-D4P2N 40-49 years, female 292.5
GTEX-12BJ1-0926-SM-5EQ62 60-69 years, male 291.9
GTEX-ZYFC-0426-SM-5GICQ 50-59 years, male 291.7
GTEX-1I1GS-2626-SM-B2LY3 60-69 years, male 291.7
GTEX-1313W-0626-SM-5EQ4H 50-59 years, female 291.6
GTEX-145LS-0626-SM-7EPG7 60-69 years, female 291.2
GTEX-13NZ9-2626-SM-5L3FK 50-59 years, male 290.8
GTEX-1A3MV-1826-SM-731CD 30-39 years, male 290.7
GTEX-XXEK-1626-SM-4BRUZ 50-59 years, male 290.6
GTEX-ZF2S-1626-SM-57WES 50-59 years, female 290.5
GTEX-14PKV-1126-SM-6LLJ1 20-29 years, female 290.2
GTEX-1S5ZU-2526-SM-E6CIF 20-29 years, female 289.8
GTEX-ZAK1-0626-SM-5HL8E 50-59 years, female 288.6
GTEX-1HCUA-0826-SM-ADEHM 50-59 years, female 288.1
GTEX-18D9U-0126-SM-731BM 40-49 years, male 288.0
GTEX-16XZZ-0726-SM-7KUF2 60-69 years, male 287.9
GTEX-ZYFD-0626-SM-5E44E 50-59 years, male 287.9
GTEX-1314G-1326-SM-5BC6E 30-39 years, male 287.7
GTEX-1QCLY-0226-SM-EWRNH 30-39 years, male 287.7
GTEX-ZDXO-3126-SM-5IJDF 60-69 years, male 287.1
GTEX-1S831-1826-SM-EWROF 20-29 years, male 287.0
GTEX-1CAV2-0126-SM-7IGN7 40-49 years, female 286.5
GTEX-145MN-1526-SM-5SI9T 30-39 years, male 286.4
GTEX-1RLM8-2926-SM-E8VON 50-59 years, male 286.4
GTEX-ZY6K-1426-SM-5GZX2 50-59 years, male 286.2
GTEX-11UD2-2526-SM-5CVNU 50-59 years, male 285.9
GTEX-12WSD-0626-SM-5GCMW 60-69 years, female 285.9
GTEX-12696-0126-SM-5EQ4L 60-69 years, male 285.5
GTEX-Y3I4-1726-SM-4TT89 50-59 years, male 284.9
GTEX-15G19-2426-SM-7KUMR 60-69 years, male 284.8
GTEX-1I1GP-1326-SM-A9G28 50-59 years, male 284.7
GTEX-1IL2V-1926-SM-B2LW8 70-79 years, male 284.7
GTEX-1K2DA-1026-SM-CGQGF 50-59 years, male 284.7
GTEX-16MT8-2926-SM-7DUFO 60-69 years, female 284.0
GTEX-1LVAO-2726-SM-E9TJ8 60-69 years, male 283.6
GTEX-12ZZZ-0726-SM-5GCNZ 60-69 years, male 283.5
GTEX-17MFQ-1526-SM-7KFRR 20-29 years, male 283.1
GTEX-111CU-1126-SM-5EGIM 50-59 years, male 282.5
GTEX-1A3MW-0626-SM-731CB 60-69 years, female 282.5
GTEX-1HBPN-0126-SM-CGQEF 50-59 years, male 282.5
GTEX-13NZ8-1226-SM-5KM4A 60-69 years, female 282.0
GTEX-U8XE-0226-SM-4E3J3 30-39 years, male 281.7
GTEX-12WSL-2026-SM-5GCML 50-59 years, male 280.4
GTEX-ZDYS-2426-SM-4WKGI 50-59 years, male 279.9
GTEX-146FQ-2126-SM-5RQHU 30-39 years, male 279.1
GTEX-145MH-2826-SM-5RQJF 50-59 years, male 278.1
GTEX-11ZU8-0126-SM-5EQ58 60-69 years, male 277.4
GTEX-14PJN-1826-SM-6AJ98 30-39 years, male 277.2
GTEX-1JMOU-1026-SM-CYPSS 60-69 years, female 276.2
GTEX-111YS-1526-SM-5GZYW 60-69 years, male 276.1
GTEX-1QPFJ-1926-SM-EVYBD 30-39 years, female 276.0
GTEX-1HFI6-0126-SM-CNPPI 40-49 years, male 275.8
GTEX-1JMQI-1726-SM-ARL93 50-59 years, male 275.8
GTEX-11NUK-2726-SM-5A5MC 50-59 years, male 275.6
GTEX-ZVE2-2826-SM-5GU51 50-59 years, male 275.3
GTEX-18A66-0626-SM-7LT8Z 60-69 years, male 275.2
GTEX-ZYT6-2326-SM-5GZY3 30-39 years, male 274.9
GTEX-1RAZQ-1326-SM-E9TK6 30-39 years, male 274.7
GTEX-1HB9E-0126-SM-CM2S5 50-59 years, male 273.7
GTEX-1GN73-0726-SM-7P8TJ 60-69 years, male 273.6
GTEX-14AS3-1526-SM-5Q5ED 40-49 years, female 273.1
GTEX-1JN1M-2726-SM-CY8I4 60-69 years, female 273.0
GTEX-12WSF-1626-SM-7KUG5 70-79 years, male 272.6
GTEX-ZZ64-1026-SM-5GZXG 20-29 years, male 272.2
GTEX-13NYC-0126-SM-5L3F4 60-69 years, male 270.5
GTEX-X4EP-0626-SM-3P621 60-69 years, female 270.5
GTEX-13OW6-2726-SM-5J2OE 50-59 years, male 270.0
GTEX-1HR98-2226-SM-ADEI2 60-69 years, male 270.0
GTEX-13X6I-1826-SM-5SIAO 60-69 years, male 269.6
GTEX-1LGRB-0926-SM-COH3K 50-59 years, female 269.5
GTEX-1QP2A-1726-SM-E76QC 50-59 years, male 269.5
GTEX-ZU9S-1826-SM-5NQ9E 30-39 years, male 269.3
GTEX-18D9A-1426-SM-7LT8M 30-39 years, female 269.2
GTEX-12KS4-2126-SM-5FQUT 30-39 years, male 268.6
GTEX-ZYFG-1526-SM-5GZYM 60-69 years, female 268.2
GTEX-1QW4Y-1126-SM-DTXE3 30-39 years, male 267.8
GTEX-139TT-2126-SM-5LZWC 60-69 years, male 267.5
GTEX-13N11-2326-SM-5IJBF 50-59 years, female 267.1
GTEX-1PPH7-1126-SM-DTX9A 40-49 years, male 266.9
GTEX-13N1W-2426-SM-5IJD1 70-79 years, male 266.5
GTEX-16MT9-0126-SM-7EPI8 60-69 years, female 266.3
GTEX-1CB4F-1026-SM-7DUH1 60-69 years, male 266.1
GTEX-13X6H-0926-SM-5SIB2 50-59 years, female 265.8
GTEX-1I19N-0126-SM-CYPSF 70-79 years, male 265.8
GTEX-11TT1-1826-SM-5EQLV 20-29 years, male 265.7
GTEX-11ZTT-2126-SM-5CVLO 60-69 years, female 265.5
GTEX-15CHQ-0326-SM-69LQD 60-69 years, male 265.5
GTEX-WHWD-1826-SM-3LK6I 50-59 years, male 265.3
GTEX-1HBPM-0726-SM-9YFL7 60-69 years, female 265.2
GTEX-144GL-0626-SM-5LU4D 50-59 years, male 265.0
GTEX-1GZ4H-0526-SM-9KNU9 50-59 years, female 264.6
GTEX-VUSG-2326-SM-4KL1U 50-59 years, male 264.5
GTEX-131XW-0626-SM-5PNVD 50-59 years, female 264.2
GTEX-XOT4-0626-SM-4B66L 60-69 years, female 264.1
GTEX-1H1CY-0126-SM-9YFLY 60-69 years, female 264.1
GTEX-14JFF-0626-SM-5ZZVT 60-69 years, male 264.0
GTEX-1RB15-1326-SM-E76Q9 60-69 years, male 263.6
GTEX-X3Y1-2026-SM-3P5YM 40-49 years, male 263.5
GTEX-1GPI7-1826-SM-9KNU1 20-29 years, male 262.8
GTEX-117YX-1926-SM-5GIEC 50-59 years, male 262.5
GTEX-1JMQK-1226-SM-D4P2S 60-69 years, male 262.3
GTEX-XYKS-1426-SM-4BRUO 60-69 years, female 262.1
GTEX-1H11D-1826-SM-9QEHM 40-49 years, male 261.9
GTEX-12584-0726-SM-5FQTK 40-49 years, male 261.8
GTEX-11VI4-1126-SM-5EQMD 40-49 years, female 261.7
GTEX-ZYVF-0926-SM-5E44J 50-59 years, female 261.7
GTEX-111VG-1626-SM-5EGIO 60-69 years, male 261.6
GTEX-WHPG-2626-SM-3NMBR 50-59 years, male 260.9
GTEX-1LG7Y-2526-SM-EWRO7 50-59 years, male 260.9
GTEX-17KNJ-2126-SM-718AM 50-59 years, male 260.5
GTEX-1F88F-0126-SM-9WYSZ 60-69 years, female 260.3
GTEX-1JJ6O-2726-SM-CNPOG 60-69 years, male 260.3
GTEX-1A32A-0626-SM-731AQ 50-59 years, female 259.4
GTEX-15ER7-0626-SM-6PANF 20-29 years, female 258.8
GTEX-15G1A-1626-SM-7KUKN 30-39 years, male 258.7
GTEX-XQ3S-1426-SM-4BOPR 20-29 years, male 258.7
GTEX-1GMR2-0826-SM-7PC3V 50-59 years, male 258.2
GTEX-18A67-1626-SM-7LT9T 50-59 years, male 258.0
GTEX-13QJC-0126-SM-5ZZWJ 60-69 years, female 257.5
GTEX-1211K-1526-SM-5FQU4 60-69 years, female 257.4
GTEX-1CB4J-1326-SM-7P8RX 60-69 years, male 257.2
GTEX-1HC8U-1326-SM-9YFMJ 40-49 years, female 257.0
GTEX-YEC3-1326-SM-DO92X 50-59 years, male 256.6
GTEX-13D11-0926-SM-5J2NC 50-59 years, female 256.4
GTEX-1JK1U-0226-SM-ARZMX 60-69 years, male 256.4
GTEX-Y5LM-0926-SM-6LLJG 40-49 years, female 255.9
GTEX-ZZPU-0826-SM-5GZX5 50-59 years, female 255.6
GTEX-1AX9I-2226-SM-73KUO 60-69 years, male 255.2
GTEX-1QAET-0326-SM-EVR3U 50-59 years, male 255.0
GTEX-1J8JJ-0626-SM-ARZMQ 60-69 years, female 254.6
GTEX-13FTW-0326-SM-5K7UW 40-49 years, male 254.3
GTEX-1N2EE-0626-SM-E76PW 60-69 years, male 254.3
GTEX-145MI-0626-SM-5SI8S 60-69 years, female 254.1
GTEX-12ZZX-2426-SM-5GCOE 40-49 years, female 253.5
GTEX-1F48J-0726-SM-7RHGS 50-59 years, female 253.5
GTEX-1LVA9-2626-SM-EVYD4 50-59 years, male 253.3
GTEX-1399U-1126-SM-5L3DB 50-59 years, female 252.9
GTEX-15CHR-1126-SM-7EWF4 50-59 years, male 252.8
GTEX-ZYY3-2926-SM-5GIEB 60-69 years, female 252.7
GTEX-17HGU-2326-SM-7DUFE 50-59 years, male 252.2
GTEX-15EO6-2426-SM-6PALZ 50-59 years, male 251.3
GTEX-1PPGY-1626-SM-EVYBL 60-69 years, male 251.1
GTEX-133LE-2326-SM-5K7W3 20-29 years, female 250.8
GTEX-13OVG-1626-SM-5J1NF 60-69 years, male 250.2
GTEX-1E1VI-0326-SM-793D1 50-59 years, male 248.9
GTEX-12ZZY-0726-SM-5EQ66 60-69 years, male 248.1
GTEX-ZVT4-2426-SM-5GIEI 50-59 years, female 248.1
GTEX-13OVH-0526-SM-5L3E6 70-79 years, male 246.9
GTEX-14ABY-2026-SM-62LDL 50-59 years, male 246.8
GTEX-1R7EU-1626-SM-DTXG3 60-69 years, male 246.8
GTEX-1F5PK-2226-SM-7SB6N 50-59 years, male 246.5
GTEX-14BMU-1226-SM-5S2OR 20-29 years, female 246.0
GTEX-17F98-1326-SM-7DUEP 40-49 years, female 245.8
GTEX-13PVQ-0626-SM-5LU47 50-59 years, male 245.7
GTEX-Y9LG-1126-SM-4VBQ7 30-39 years, male 245.1
GTEX-XBEC-0726-SM-4QARZ 50-59 years, male 244.8
GTEX-11DXW-0826-SM-5H118 40-49 years, male 244.5
GTEX-131YS-2826-SM-5EQ47 60-69 years, female 243.8
GTEX-1F6IF-0926-SM-7SB7M 60-69 years, male 243.8
GTEX-1GF9W-1426-SM-7PBYM 60-69 years, male 243.6
GTEX-1GN1U-0626-SM-9MQL9 50-59 years, female 243.4
GTEX-145LT-0526-SM-5LUB2 40-49 years, male 243.3
GTEX-UPK5-0426-SM-3GAEK 40-49 years, male 243.3
GTEX-1C64O-1326-SM-7MGWR 60-69 years, male 243.1
GTEX-13W3W-0726-SM-5IJDQ 60-69 years, female 243.0
GTEX-ZE9C-2526-SM-5IJDR 60-69 years, male 242.9
GTEX-1F75A-0726-SM-7RHHD 50-59 years, male 242.8
GTEX-1S82P-2126-SM-E6CI5 60-69 years, female 242.7
GTEX-1HBPI-2126-SM-ARL9K 50-59 years, male 242.5
GTEX-1I1GT-1026-SM-ARZLV 60-69 years, female 242.5
GTEX-1477Z-0326-SM-7IGLA 60-69 years, male 242.4
GTEX-1GF9V-0826-SM-9KNUV 60-69 years, male 242.3
GTEX-ZLV1-1526-SM-DO91J 60-69 years, female 241.9
GTEX-YJ8O-2526-SM-5HL85 40-49 years, female 241.5
GTEX-1HUB1-1426-SM-CGQF5 60-69 years, male 241.5
GTEX-111FC-2526-SM-5GZXU 60-69 years, male 241.2
GTEX-1AX8Z-0726-SM-73KTS 60-69 years, male 241.2
GTEX-18465-2826-SM-7LT9J 50-59 years, male 240.7
GTEX-1C2JI-1026-SM-73KY1 50-59 years, male 240.6
GTEX-1R46S-2426-SM-E76QA 60-69 years, female 239.9
GTEX-17EVQ-0126-SM-7IGLR 70-79 years, male 239.6
GTEX-WEY5-2326-SM-3GIKK 40-49 years, female 239.6
GTEX-XQ8I-0926-SM-4BOOF 50-59 years, male 239.6
GTEX-X5EB-1926-SM-4E3IW 40-49 years, male 239.5
GTEX-1JKYN-0826-SM-ARU8S 30-39 years, male 239.4
GTEX-1I1GV-0626-SM-ARL7M 60-69 years, male 239.3
GTEX-17EVP-2626-SM-7IGMA 40-49 years, male 239.2
GTEX-1PDJ9-1226-SM-EXUSX 20-29 years, male 239.2
GTEX-1269C-0126-SM-5EQ5L 60-69 years, female 239.1
GTEX-1H1DG-2426-SM-9QEHJ 70-79 years, male 239.1
GTEX-1GTWX-2026-SM-9YFLM 60-69 years, male 239.0
GTEX-14XAO-1226-SM-6EU1C 60-69 years, female 238.3
GTEX-14JG1-1526-SM-5YY9X 40-49 years, male 237.8
GTEX-1EH9U-2826-SM-7DUGT 60-69 years, male 237.0
GTEX-1GPI6-1926-SM-9KNV7 60-69 years, male 237.0
GTEX-11GS4-0226-SM-5HL77 60-69 years, male 236.9
GTEX-1GZ4I-2626-SM-9KNU3 50-59 years, male 236.8
GTEX-16NPX-0726-SM-7KULC 50-59 years, male 236.6
GTEX-12WSK-2126-SM-5CVNC 40-49 years, female 235.6
GTEX-ZLWG-0826-SM-59888 50-59 years, female 235.3
GTEX-183WM-0326-SM-72D5V 70-79 years, female 235.2
GTEX-1B996-0426-SM-7EWF8 60-69 years, male 234.9
GTEX-1122O-1026-SM-9WYSF 60-69 years, female 234.9
GTEX-11EQ9-1626-SM-5PNY8 30-39 years, male 234.6
GTEX-1CB4E-0926-SM-7EPHT 60-69 years, male 234.3
GTEX-144GM-0526-SM-79OJO 20-29 years, male 233.6
GTEX-132AR-0326-SM-5KM2C 50-59 years, female 232.9
GTEX-WY7C-2126-SM-3NB2R 50-59 years, male 232.9
GTEX-XV7Q-1826-SM-4BRUV 40-49 years, female 232.9
GTEX-16GPK-0626-SM-7KFSF 60-69 years, male 232.8
GTEX-ZGAY-1826-SM-DO91Q 40-49 years, female 232.6
GTEX-1GMR3-0126-SM-A9SLW 40-49 years, male 232.4
GTEX-ZTSS-1426-SM-5985P 40-49 years, male 232.1
GTEX-1H1DF-1126-SM-9WG7G 40-49 years, female 231.7
GTEX-1IDJF-2026-SM-CL53V 20-29 years, male 231.7
GTEX-13VXT-1926-SM-5K7UO 20-29 years, female 231.5
GTEX-1IDJH-0126-SM-D3L92 70-79 years, male 231.5
GTEX-1CB4H-1126-SM-7MKGL 60-69 years, female 231.1
GTEX-14JG6-1426-SM-9WG7C 30-39 years, female 231.1
GTEX-11GSP-2326-SM-5HL63 60-69 years, female 230.9
GTEX-1KANB-2826-SM-CY8I6 50-59 years, male 230.8
GTEX-1KD5A-0126-SM-E9U54 50-59 years, male 230.6
GTEX-ZT9W-1126-SM-57WDR 50-59 years, male 230.1
GTEX-1H4P4-2126-SM-9WYSL 50-59 years, male 230.1
GTEX-13JUV-2026-SM-5K7UA 40-49 years, female 230.0
GTEX-1B97I-0626-SM-73KUZ 40-49 years, male 229.5
GTEX-1I1CD-0626-SM-CE6SW 60-69 years, female 229.3
GTEX-1RAZR-2126-SM-E9U6T 40-49 years, male 228.9
GTEX-11EM3-1226-SM-5N9DD 20-29 years, female 228.4
GTEX-18A7A-0126-SM-731AH 50-59 years, female 228.4
GTEX-1I6K7-1926-SM-B2LXR 40-49 years, male 228.1
GTEX-1A8G7-1326-SM-73KVM 60-69 years, male 227.8
GTEX-1JN6P-2926-SM-CL54D 60-69 years, male 227.3
GTEX-1LSNL-2726-SM-E9TKJ 50-59 years, male 226.6
GTEX-13O3O-2326-SM-5IJD6 60-69 years, female 226.5
GTEX-1AX9J-1326-SM-731BJ 60-69 years, male 226.5
GTEX-1RAZS-2526-SM-E6CHT 50-59 years, male 226.4
GTEX-1B933-2426-SM-7DHMD 50-59 years, female 226.3
GTEX-1H1DE-1326-SM-9KNUG 20-29 years, male 226.3
GTEX-1HFI7-2326-SM-CGQFS 50-59 years, female 226.3
GTEX-11LCK-2226-SM-5HL4Q 30-39 years, male 226.0
GTEX-1IDJC-1526-SM-B2LW4 50-59 years, male 225.8
GTEX-1QP29-1826-SM-DTX9S 50-59 years, male 225.5
GTEX-1EWIQ-0326-SM-7DHMQ 70-79 years, female 225.0
GTEX-13O3Q-0126-SM-5KM34 50-59 years, male 224.4
GTEX-X4EO-2926-SM-4E3JH 60-69 years, female 223.4
GTEX-13U4I-2226-SM-5LU5H 40-49 years, female 222.8
GTEX-1JN76-0626-SM-CKZOQ 20-29 years, female 222.8
GTEX-15D1Q-2826-SM-6LLH7 40-49 years, male 222.3
GTEX-16NGA-0726-SM-731AO 40-49 years, female 222.3
GTEX-13FLV-0126-SM-5K7WT 50-59 years, male 221.4
GTEX-1IDJI-0126-SM-CMKHS 50-59 years, female 221.3
GTEX-14PJ4-0226-SM-5YY92 60-69 years, male 221.1
GTEX-1C6VQ-1226-SM-73KYD 50-59 years, male 221.0
GTEX-178AV-1726-SM-7KUL8 40-49 years, male 220.3
GTEX-18A7B-2726-SM-7LG56 70-79 years, male 220.1
GTEX-14E6E-0526-SM-793DN 30-39 years, male 219.8
GTEX-1HCVE-2726-SM-CL54F 50-59 years, male 219.7
GTEX-1QP66-1226-SM-DTX7U 50-59 years, male 219.5
GTEX-12WSM-1926-SM-5BC65 60-69 years, male 219.4
GTEX-1K2DU-1226-SM-CYPT4 20-29 years, male 219.4
GTEX-WK11-2726-SM-3NMAQ 50-59 years, male 219.3
GTEX-1LGOU-1326-SM-D3L8M 20-29 years, female 219.1
GTEX-ZVT2-0126-SM-5GIDQ 50-59 years, female 217.6
GTEX-14BMV-2826-SM-5TDED 50-59 years, male 217.4
GTEX-1S82U-1026-SM-E6CJK 30-39 years, female 217.2
GTEX-1KANA-1326-SM-DIPFA 20-29 years, male 217.1
GTEX-17HHY-0426-SM-7DHLC 50-59 years, male 217.0
GTEX-1A8G6-2726-SM-731AR 60-69 years, male 216.9
GTEX-1A8FM-0626-SM-7PC25 50-59 years, female 216.9
GTEX-1POEN-2326-SM-E9J2L 30-39 years, female 216.7
GTEX-1EU9M-1426-SM-793AI 60-69 years, male 216.6
GTEX-1IDJE-1426-SM-ADEIW 50-59 years, female 216.6
GTEX-XPVG-2126-SM-4B667 50-59 years, male 216.4
GTEX-14B4R-1326-SM-5Q5EZ 30-39 years, male 216.1
GTEX-14BIN-1126-SM-5RQJZ 50-59 years, female 216.0
GTEX-1F75W-2726-SM-7SB8H 60-69 years, male 215.6
GTEX-15FZZ-0526-SM-7KUGD 30-39 years, female 215.5
GTEX-1I4MK-0126-SM-CY8G6 50-59 years, female 215.5
GTEX-12C56-1526-SM-5FQUQ 20-29 years, male 215.3
GTEX-13OW7-0426-SM-5K7VK 50-59 years, male 214.9
GTEX-ZVTK-0226-SM-51MRG 20-29 years, male 214.8
GTEX-1OJC4-2726-SM-E76PJ 50-59 years, female 214.8
GTEX-1KXAM-1626-SM-D3LAD 60-69 years, male 214.6
GTEX-1MCC2-1826-SM-DIPEX 30-39 years, female 214.5
GTEX-1HKZK-0726-SM-ACKW2 40-49 years, male 214.4
GTEX-1JMPZ-0726-SM-CY8HZ 30-39 years, male 214.2
GTEX-1KANC-1226-SM-CYPT7 50-59 years, female 213.9
GTEX-13VXU-0626-SM-5L3F9 50-59 years, male 213.7
GTEX-1JJE9-2626-SM-ARZMT 70-79 years, male 213.2
GTEX-13OVL-0126-SM-5L3GJ 50-59 years, male 212.2
GTEX-1IDJU-1726-SM-CMKHU 60-69 years, female 212.0
GTEX-1N5O9-0926-SM-E9J3C 60-69 years, male 211.2
GTEX-XUW1-0926-SM-4BONX 50-59 years, female 210.0
GTEX-13FH7-1126-SM-5K7UG 50-59 years, female 209.2
GTEX-1GMR8-0626-SM-7RHI7 50-59 years, female 208.6
GTEX-15EU6-2226-SM-6EU2L 50-59 years, male 208.5
GTEX-XMD2-2126-SM-4YCF8 60-69 years, female 208.5
GTEX-Y5V5-0126-SM-5S2NW 60-69 years, female 208.1
GTEX-13OW8-1026-SM-5J1NQ 60-69 years, male 207.9
GTEX-1C475-1326-SM-7SB73 40-49 years, female 207.9
GTEX-1B8SF-0126-SM-7DUG3 60-69 years, male 207.8
GTEX-1J1R8-2026-SM-CL53Y 40-49 years, male 207.8
GTEX-1O9I2-0226-SM-EYYXD 50-59 years, male 207.6
GTEX-145MO-2826-SM-5LU96 60-69 years, male 207.5
GTEX-147F3-1726-SM-5SIAW 50-59 years, female 207.4
GTEX-13N2G-0226-SM-5K7VF 60-69 years, male 207.3
GTEX-11ZUS-2626-SM-5FQUR 30-39 years, male 207.2
GTEX-1QMI2-2526-SM-E8VNZ 60-69 years, male 206.9
GTEX-13X6J-0626-SM-5LU5F 50-59 years, male 206.6
GTEX-1LG7Z-1626-SM-CXKYR 30-39 years, male 206.6
GTEX-1GN1W-2426-SM-9KNUU 50-59 years, female 206.5
GTEX-16Z82-2626-SM-7KULU 60-69 years, male 205.6
GTEX-1IOXB-2726-SM-CM2RI 50-59 years, male 205.4
GTEX-WYBS-0626-SM-3NMAS 60-69 years, female 204.5
GTEX-1M4P7-0726-SM-E6CJ3 60-69 years, male 204.3
GTEX-17HG3-2626-SM-7DUF2 30-39 years, female 203.8
GTEX-1F88E-1626-SM-7SB8Z 60-69 years, female 203.5
GTEX-13PVR-0426-SM-5RQK2 60-69 years, female 203.3
GTEX-11EI6-2826-SM-5H11D 60-69 years, male 203.1
GTEX-1QEPI-2626-SM-DTXF4 60-69 years, female 202.9
GTEX-12WSC-2826-SM-5BC5Y 50-59 years, male 202.4
GTEX-1KWVE-1026-SM-D3L9O 30-39 years, male 202.2
GTEX-ZPIC-0526-SM-DO91W 40-49 years, female 202.1
GTEX-1HR9M-2226-SM-CNPPY 60-69 years, male 201.8
GTEX-1212Z-0126-SM-59HK4 60-69 years, male 201.2
GTEX-1I1HK-2326-SM-CKZOH 60-69 years, male 200.8
GTEX-1H1E6-0426-SM-9WYUS 30-39 years, male 200.6
GTEX-1I1GU-0926-SM-ACKVS 40-49 years, male 200.5
GTEX-145MF-0926-SM-5Q5EA 50-59 years, male 200.4
GTEX-1LVAM-0726-SM-E6CIL 50-59 years, female 200.3
GTEX-WFON-1926-SM-3LK7L 40-49 years, male 199.9
GTEX-1B8KZ-0326-SM-73KY4 50-59 years, male 199.5
GTEX-VJYA-1526-SM-3GIJV 60-69 years, male 199.3
GTEX-12WSA-0426-SM-5EQ5X 60-69 years, male 199.0
GTEX-1IDJV-0126-SM-COH3Y 60-69 years, male 198.8
GTEX-1I6K6-1726-SM-CGQFD 30-39 years, male 198.1
GTEX-1L5NE-1126-SM-D3L9P 50-59 years, male 197.8
GTEX-1K9T9-1526-SM-DIPFR 50-59 years, female 197.6
GTEX-1F5PL-0926-SM-7PC2W 40-49 years, female 197.4
GTEX-XAJ8-1426-SM-47JYM 40-49 years, male 197.1
GTEX-1ICLY-0826-SM-CMKG1 50-59 years, male 196.4
GTEX-XBED-1926-SM-47JYP 60-69 years, male 196.2
GTEX-1GF9X-1326-SM-7PC2Y 40-49 years, female 195.4
GTEX-13X6K-0626-SM-5LU5D 60-69 years, female 195.3
GTEX-YF7O-1526-SM-5IFI6 50-59 years, male 195.3
GTEX-ZUA1-2626-SM-5NQ92 40-49 years, male 195.0
GTEX-1CB4I-0126-SM-7RHGG 50-59 years, male 194.8
GTEX-14PJ6-2626-SM-6EU2T 60-69 years, female 194.7
GTEX-1IDJD-2326-SM-ACKWX 30-39 years, male 194.3
GTEX-UPJH-0226-SM-3GADV 50-59 years, male 194.1
GTEX-1EN7A-2426-SM-793DB 40-49 years, male 193.6
GTEX-1JKYR-0626-SM-ARL8R 20-29 years, male 193.2
GTEX-17MF6-2626-SM-79OKQ 40-49 years, male 193.1
GTEX-183FY-1026-SM-7939A 20-29 years, male 192.8
GTEX-1HSMO-0626-SM-ACKXC 60-69 years, male 192.8
GTEX-WRHU-2826-SM-3MJG8 50-59 years, female 192.7
GTEX-145LU-1926-SM-79OJN 50-59 years, male 192.0
GTEX-1C6VR-0126-SM-7RHGB 60-69 years, male 192.0
GTEX-1GZHY-0626-SM-9KNVC 50-59 years, female 191.2
GTEX-14PKU-0126-SM-6LLHV 40-49 years, female 191.1
GTEX-1GL5R-1326-SM-7RHHF 50-59 years, male 190.9
GTEX-1ICG6-1226-SM-A9SLN 70-79 years, female 190.9
GTEX-1GN2E-0226-SM-9WG6K 60-69 years, male 190.3
GTEX-1S83E-1326-SM-E6CJM 40-49 years, male 190.0
GTEX-17JCI-2926-SM-7DUFF 60-69 years, female 189.9
GTEX-147JS-0226-SM-5S2U9 60-69 years, male 188.4
GTEX-1LB8K-0726-SM-D5OV2 50-59 years, male 188.4
GTEX-1B8L1-2226-SM-7P8PT 60-69 years, male 188.0
GTEX-15CHC-1126-SM-6LLHQ 60-69 years, female 187.7
GTEX-14PJ2-0626-SM-6LLII 50-59 years, male 187.2
GTEX-1EKGG-0626-SM-7DUGJ 60-69 years, male 184.1
GTEX-14DAQ-0626-SM-793DS 60-69 years, female 183.9
GTEX-1QCLZ-2426-SM-EVYBW 60-69 years, female 183.7
GTEX-1HSKV-1226-SM-ADEI4 60-69 years, male 183.2
GTEX-14A6H-2026-SM-5Q5DD 30-39 years, male 181.4
GTEX-WFG8-2126-SM-3GIKQ 20-29 years, male 179.2
GTEX-1J8Q3-0526-SM-ARL8U 60-69 years, male 179.0
GTEX-1RAZA-2226-SM-E9U4X 20-29 years, male 178.2
GTEX-1HCU8-2526-SM-CE6RX 60-69 years, female 176.7
GTEX-1HCU9-0426-SM-9WYSD 20-29 years, male 176.7
GTEX-13QBU-1226-SM-5LU4G 40-49 years, female 173.9
GTEX-1HSGN-0826-SM-ACKW3 40-49 years, female 167.7
GTEX-1A3MX-2626-SM-7PC24 60-69 years, male 164.6
GTEX-WYJK-0526-SM-3NM8Z 50-59 years, male 164.1
GTEX-1AMFI-1326-SM-7939R 50-59 years, female 164.0
GTEX-1J8QM-2426-SM-A9SLS 60-69 years, female 161.8
GTEX-1GF9U-2026-SM-7SB92 40-49 years, female 161.2
GTEX-1AMEY-0826-SM-72D65 30-39 years, female 161.1
GTEX-1H3NZ-2726-SM-9WYTQ 60-69 years, male 159.8
GTEX-WYVS-1626-SM-3NM9R 40-49 years, female 155.3
GTEX-1B932-2326-SM-79OL5 40-49 years, female 152.0
GTEX-V1D1-2026-SM-3GAF4 50-59 years, male 150.1
Show allShow less
Skin - Sun Exposed (Lower leg)
Average nTPM: 287.5
Samples: 701

Max nTPM: 731.0
Min nTPM: 146.7
Std nTPM: 80.1
Median nTPM: 271.8
GTEX-1399U-2326-SM-5K7WY 50-59 years, female 731.0
GTEX-Y3IK-2426-SM-4WWDU 50-59 years, female 690.5
GTEX-14E6C-0126-SM-5RQIP 40-49 years, male 657.0
GTEX-W5X1-3026-SM-EAZAX 40-49 years, female 624.9
GTEX-15SB6-1726-SM-6PAME 50-59 years, female 613.9
GTEX-WI4N-1026-SM-3LK7N 40-49 years, female 602.5
GTEX-15UF6-0826-SM-6PALJ 70-79 years, female 576.6
GTEX-13FTW-2626-SM-5K7WL 40-49 years, male 530.5
GTEX-O5YW-0126-SM-3LK6D 50-59 years, male 514.7
GTEX-Y5V6-2426-SM-4VDSB 60-69 years, male 514.1
GTEX-139TS-2826-SM-5J1OO 60-69 years, male 505.3
GTEX-ZVTK-0426-SM-51MRS 20-29 years, male 503.7
GTEX-13FXS-0226-SM-5IJCK 50-59 years, male 495.5
GTEX-Y114-2426-SM-4TT8A 50-59 years, female 494.5
GTEX-13CF2-2526-SM-5LZYX 60-69 years, male 493.1
GTEX-1CAV2-2226-SM-7P8P2 40-49 years, female 489.9
GTEX-1QP9N-1426-SM-DTXFL 30-39 years, male 488.0
GTEX-12WSJ-1826-SM-5GCNY 40-49 years, female 487.8
GTEX-P4QT-0126-SM-2I3FL 50-59 years, female 481.1
GTEX-ZF3C-0126-SM-DO92D 50-59 years, female 478.4
GTEX-1497J-2426-SM-7IGNX 60-69 years, male 478.0
GTEX-ZVT2-2526-SM-51MT1 50-59 years, female 470.0
GTEX-11UD1-0126-SM-5PNYG 40-49 years, female 461.2
GTEX-UJHI-1526-SM-3DB99 50-59 years, female 457.5
GTEX-1HBPM-0226-SM-ARL9F 60-69 years, female 456.1
GTEX-14753-0426-SM-5NQAM 60-69 years, male 455.8
GTEX-14ICK-0226-SM-6EU25 40-49 years, male 455.1
GTEX-1122O-2126-SM-5EGIR 60-69 years, female 455.0
GTEX-XUZC-1726-SM-4BRWS 30-39 years, female 451.9
GTEX-139UW-2826-SM-5L3E7 60-69 years, male 449.0
GTEX-13NZ8-0826-SM-5MR3I 60-69 years, female 448.4
GTEX-POMQ-2226-SM-2I5FK 20-29 years, female 445.8
GTEX-145MO-0326-SM-5Q5B3 60-69 years, male 441.6
GTEX-U412-0426-SM-3DB9O 60-69 years, male 441.4
GTEX-ZGAY-0526-SM-4WWBB 40-49 years, female 440.3
GTEX-RTLS-0126-SM-447CA 60-69 years, female 436.2
GTEX-ZTX8-1426-SM-5DUVO 20-29 years, male 435.5
GTEX-YB5K-2126-SM-4WWDJ 40-49 years, female 435.3
GTEX-ZYFD-0126-SM-5GIDL 50-59 years, male 434.7
GTEX-1211K-2026-SM-5EQ4Z 60-69 years, female 432.8
GTEX-S33H-1026-SM-EZ6L6 30-39 years, male 428.6
GTEX-131XE-2326-SM-5PNZ2 50-59 years, male 428.5
GTEX-146FQ-0126-SM-5NQA9 30-39 years, male 428.2
GTEX-1NV5F-0226-SM-E8VNY 60-69 years, female 427.0
GTEX-X8HC-0126-SM-4E3JW 50-59 years, female 422.4
GTEX-13NYS-0126-SM-5MR3W 60-69 years, male 421.1
GTEX-1JMLX-0226-SM-CM2RO 50-59 years, male 419.5
GTEX-X4EP-0126-SM-3P5YV 60-69 years, female 418.5
GTEX-14PN4-0126-SM-6EU2V 50-59 years, male 418.3
GTEX-1K2DA-1826-SM-CGQGT 50-59 years, male 417.5
GTEX-1JMQL-0226-SM-CNPP5 50-59 years, female 416.2
GTEX-16XZZ-0126-SM-793DV 60-69 years, male 414.8
GTEX-X88G-0126-SM-47JZ3 30-39 years, male 413.9
GTEX-PSDG-0226-SM-DKPOZ 50-59 years, male 413.6
GTEX-ZXES-1826-SM-5E43S 30-39 years, female 413.0
GTEX-13O3P-0126-SM-5KM4S 50-59 years, male 411.0
GTEX-15EOM-0126-SM-7KUGG 20-29 years, female 409.6
GTEX-11TUW-2726-SM-E9J4M 60-69 years, male 408.4
GTEX-11WQK-0526-SM-5EQLD 50-59 years, male 405.0
GTEX-1PFEY-1526-SM-E76PP 30-39 years, male 402.2
GTEX-ZTPG-0326-SM-5O9AX 20-29 years, female 401.0
GTEX-145MN-2226-SM-5SIAU 30-39 years, male 400.7
GTEX-1H2FU-0126-SM-9WYSI 60-69 years, female 400.0
GTEX-P4PP-0126-SM-3LK69 30-39 years, female 399.9
GTEX-OIZG-0726-SM-33HBL 50-59 years, male 399.1
GTEX-1LBAC-0126-SM-DIPEZ 20-29 years, male 398.5
GTEX-O5YT-0126-SM-48TBW 20-29 years, male 394.9
GTEX-1GZ2Q-0226-SM-7P8TL 40-49 years, male 393.1
GTEX-131XG-2626-SM-5KM17 50-59 years, female 392.8
GTEX-ZAB4-0226-SM-5N9F5 40-49 years, male 392.2
GTEX-1I1GV-0526-SM-A9G29 60-69 years, male 391.5
GTEX-ZWKS-0126-SM-5SIAA 30-39 years, male 391.2
GTEX-11DXZ-2326-SM-5EGGV 50-59 years, male 388.7
GTEX-1IKK5-0626-SM-ARL8A 60-69 years, male 388.7
GTEX-11DYG-0126-SM-59883 60-69 years, male 388.0
GTEX-1F6RS-0126-SM-9MQKZ 60-69 years, female 387.6
GTEX-11TT1-2526-SM-5EGIB 20-29 years, male 385.3
GTEX-1R9PM-2026-SM-E76OY 20-29 years, male 384.8
GTEX-YB5E-2026-SM-5IFIS 40-49 years, male 381.4
GTEX-U8T8-0126-SM-3DB94 60-69 years, male 381.1
GTEX-1B8KE-2126-SM-73KYX 50-59 years, male 380.5
GTEX-14PII-0226-SM-6EU1T 60-69 years, male 379.5
GTEX-ZDTS-0126-SM-4WAY5 60-69 years, male 378.5
GTEX-RVPV-0126-SM-EAZAW 60-69 years, male 377.5
GTEX-1OJC3-0126-SM-E76QX 20-29 years, male 376.9
GTEX-111FC-0126-SM-5N9DL 60-69 years, male 376.4
GTEX-12WSK-2326-SM-5GCOH 40-49 years, female 375.5
GTEX-12126-0326-SM-5PNW3 20-29 years, male 375.1
GTEX-Y5LM-1926-SM-5RQJH 40-49 years, female 374.4
GTEX-145LT-1726-SM-5QGP3 40-49 years, male 373.0
GTEX-13O21-1426-SM-5K7XI 50-59 years, male 370.9
GTEX-OIZH-0126-SM-2HMIS 50-59 years, male 370.8
GTEX-1JMPY-1326-SM-ARL8Y 30-39 years, male 370.8
GTEX-1RB15-2126-SM-E9TIM 60-69 years, male 370.6
GTEX-13YAN-0326-SM-5O9DF 60-69 years, male 367.9
GTEX-1LVAN-0226-SM-COH3S 50-59 years, female 367.4
GTEX-1JN6P-0126-SM-D3L98 60-69 years, male 366.5
GTEX-T2YK-0526-SM-32QPJ 50-59 years, male 366.1
GTEX-1JN1M-0326-SM-CYPT3 60-69 years, female 364.9
GTEX-1F6I4-0126-SM-9MQL2 60-69 years, male 364.7
GTEX-13SLW-0126-SM-5SI6C 70-79 years, male 364.5
GTEX-132NY-0326-SM-5IJBL 60-69 years, male 363.6
GTEX-13111-1626-SM-5EGJY 50-59 years, male 363.5
GTEX-117XS-2726-SM-5N9BL 60-69 years, male 363.3
GTEX-1399R-2726-SM-5IJBA 30-39 years, male 363.1
GTEX-YJ8A-0426-SM-5IFID 20-29 years, male 361.0
GTEX-1192X-0226-SM-5H12D 50-59 years, male 360.8
GTEX-1PWST-0226-SM-E76QJ 70-79 years, male 360.8
GTEX-OOBJ-0126-SM-E6CJW 60-69 years, male 360.8
GTEX-11P7K-2126-SM-5GU7G 30-39 years, male 360.7
GTEX-W5WG-1826-SM-4KL2Y 50-59 years, female 360.4
GTEX-14XAO-2326-SM-6EU1B 60-69 years, female 360.0
GTEX-TMZS-0126-SM-3DB9Q 60-69 years, male 359.9
GTEX-139T8-0126-SM-5K7XZ 60-69 years, male 359.5
GTEX-ZE7O-0126-SM-57WC1 50-59 years, female 359.3
GTEX-1J1OQ-0226-SM-CYPSH 40-49 years, female 357.8
GTEX-14PHX-2326-SM-62LEM 50-59 years, male 356.5
GTEX-13X6H-2126-SM-7EWD5 50-59 years, female 355.3
GTEX-1PIIG-0226-SM-EWRN6 30-39 years, male 354.9
GTEX-1HSMO-0126-SM-CL547 60-69 years, male 354.7
GTEX-18QFQ-0126-SM-731BE 30-39 years, male 354.3
GTEX-Y8DK-0126-SM-4TT3L 60-69 years, male 353.6
GTEX-12696-2426-SM-5EQ6H 60-69 years, male 352.5
GTEX-1H1CY-2826-SM-9MQM3 60-69 years, female 352.4
GTEX-145LV-2126-SM-5LU8N 50-59 years, male 352.2
GTEX-YEC4-2126-SM-5IFJH 40-49 years, male 352.1
GTEX-15ER7-0326-SM-7KUEV 20-29 years, female 349.6
GTEX-1HCU6-0126-SM-CL54K 60-69 years, female 349.4
GTEX-1PDJ9-0326-SM-DTX95 20-29 years, male 348.1
GTEX-1R46S-0626-SM-E9J41 60-69 years, female 348.1
GTEX-T6MN-0126-SM-32PLP 50-59 years, male 347.4
GTEX-1J8EW-0126-SM-CJI4F 60-69 years, female 347.0
GTEX-TKQ1-1026-SM-4GICL 30-39 years, male 346.7
GTEX-1PPH8-0226-SM-E8VND 20-29 years, male 346.7
GTEX-1B8SF-1426-SM-7DUGL 60-69 years, male 346.4
GTEX-139D8-0226-SM-5KLZO 30-39 years, female 345.5
GTEX-1KANC-1526-SM-D3LAB 50-59 years, female 345.4
GTEX-13NZB-2526-SM-5J1OM 30-39 years, male 343.7
GTEX-ZYFG-2326-SM-5E44B 60-69 years, female 343.2
GTEX-11UD2-0226-SM-5EQKY 50-59 years, male 341.1
GTEX-ZAJG-0126-SM-5HL94 50-59 years, female 340.5
GTEX-17F98-0626-SM-79OMX 40-49 years, female 340.3
GTEX-18A6Q-0126-SM-731BZ 60-69 years, male 339.6
GTEX-1LGRB-2526-SM-CNPPQ 50-59 years, female 339.5
GTEX-13FTX-1826-SM-5J1NX 20-29 years, female 338.7
GTEX-ZE9C-2726-SM-57WB5 60-69 years, male 337.9
GTEX-PWCY-1826-SM-DHXIZ 20-29 years, female 337.8
GTEX-18D9A-1926-SM-7LG6P 30-39 years, female 337.5
GTEX-14BMU-2226-SM-5TDE9 20-29 years, female 337.0
GTEX-PX3G-0126-SM-2I3EN 20-29 years, female 336.9
GTEX-S7PM-0126-SM-4AD6S 60-69 years, male 336.4
GTEX-13PDP-0126-SM-5L3HD 60-69 years, male 336.2
GTEX-1JN76-0126-SM-CNPPE 20-29 years, female 336.0
GTEX-15DDE-0126-SM-6LPKH 50-59 years, female 332.8
GTEX-13OVK-2026-SM-7KUEO 40-49 years, male 331.9
GTEX-1QP66-1726-SM-E8VO1 50-59 years, male 331.1
GTEX-117YW-2626-SM-5GZZH 50-59 years, male 330.2
GTEX-Z93T-0126-SM-5HL5N 50-59 years, male 330.0
GTEX-U8XE-0326-SM-3DB8P 30-39 years, male 329.6
GTEX-ZY6K-1826-SM-5GZXK 50-59 years, male 329.5
GTEX-1N2EF-0226-SM-EYYXB 60-69 years, male 329.2
GTEX-14PK6-1926-SM-6ETZU 70-79 years, female 329.1
GTEX-15ETS-0126-SM-7KUMW 40-49 years, female 328.4
GTEX-YJ89-0126-SM-4TT3X 60-69 years, male 328.4
GTEX-1S3DN-2226-SM-EVYCD 50-59 years, male 328.4
GTEX-13PVR-2326-SM-5QGR1 60-69 years, female 328.3
GTEX-15RIG-0226-SM-7KFTL 40-49 years, male 327.5
GTEX-WYJK-0126-SM-3NMAB 50-59 years, male 326.9
GTEX-1EWIQ-0126-SM-7RHH2 70-79 years, female 326.0
GTEX-1F5PL-0326-SM-7P8PQ 40-49 years, female 325.9
GTEX-11GSP-2526-SM-5N9BP 60-69 years, female 325.1
GTEX-17GQL-2026-SM-718BA 60-69 years, male 325.0
GTEX-1GMR3-1926-SM-9KNUZ 40-49 years, male 324.9
GTEX-145LS-0126-SM-5QGP1 60-69 years, female 323.6
GTEX-XYKS-2126-SM-4E3IB 60-69 years, female 323.1
GTEX-1F6IF-0726-SM-7P8TW 60-69 years, male 322.5
GTEX-ZPIC-1726-SM-DHXIU 40-49 years, female 322.4
GTEX-T6MO-1626-SM-32QOM 40-49 years, female 322.2
GTEX-QESD-1426-SM-2S1R9 20-29 years, male 322.1
GTEX-YFC4-0126-SM-5CVLY 40-49 years, female 322.0
GTEX-1MJK2-0426-SM-DTXE5 50-59 years, male 321.6
GTEX-14DAR-2026-SM-5S2O3 50-59 years, male 321.5
GTEX-1H1DG-0126-SM-9WYU2 70-79 years, male 321.1
GTEX-Y111-0126-SM-4SOIV 50-59 years, male 320.8
GTEX-1LGOU-2026-SM-DIPFF 20-29 years, female 320.6
GTEX-SUCS-1926-SM-32PM3 70-79 years, male 320.3
GTEX-1EMGI-0126-SM-9KNUE 60-69 years, male 319.8
GTEX-1S83E-0126-SM-EWRO4 40-49 years, male 319.5
GTEX-148VJ-0126-SM-5TDDN 70-79 years, male 318.8
GTEX-SN8G-0126-SM-32PLI 50-59 years, female 318.8
GTEX-ZU9S-0226-SM-5E441 30-39 years, male 318.6
GTEX-1R7EU-0226-SM-EVR4G 60-69 years, male 318.5
GTEX-1IOXB-0126-SM-ARL8G 50-59 years, male 317.8
GTEX-1HGF4-2426-SM-ACKXM 60-69 years, male 317.7
GTEX-16MT8-0426-SM-7KUEY 60-69 years, female 317.2
GTEX-1MA7W-2026-SM-E9TJ6 20-29 years, female 317.1
GTEX-ZVZP-2426-SM-59HKJ 50-59 years, male 316.7
GTEX-11DZ1-0126-SM-5985Q 50-59 years, male 316.6
GTEX-11ZTS-0126-SM-5EQ6M 60-69 years, female 316.6
GTEX-13FHP-0126-SM-5IJBG 50-59 years, male 316.6
GTEX-PLZ6-1426-SM-DKPOT 30-39 years, male 316.4
GTEX-13CF3-2426-SM-5IFGX 60-69 years, female 316.3
GTEX-1GN2E-0426-SM-9MQKX 60-69 years, male 315.9
GTEX-ZYFC-0226-SM-5NQ75 50-59 years, male 315.2
GTEX-Q2AI-1326-SM-2S1PL 40-49 years, male 314.4
GTEX-1S5ZA-0126-SM-EVYCV 20-29 years, male 313.9
GTEX-T5JW-1626-SM-3GADZ 20-29 years, female 313.8
GTEX-X4XX-0126-SM-3NMC2 60-69 years, male 313.4
GTEX-1OFPY-2426-SM-DTXEJ 60-69 years, male 313.4
GTEX-1313W-0126-SM-5LZUN 50-59 years, female 312.5
GTEX-PLZ4-0126-SM-5SI8O 50-59 years, female 312.3
GTEX-1QPFJ-0226-SM-E76PB 30-39 years, female 312.3
GTEX-ZDTT-2726-SM-4WKF8 60-69 years, male 312.1
GTEX-13RTK-1426-SM-5QGQJ 20-29 years, male 311.5
GTEX-1H3VE-0326-SM-9YFLH 40-49 years, male 311.1
GTEX-1HSEH-0126-SM-ACKXN 60-69 years, male 311.1
GTEX-XBEW-0626-SM-4QASP 40-49 years, male 310.8
GTEX-ZTSS-1926-SM-57WEW 40-49 years, male 310.7
GTEX-13VXU-0126-SM-5SI9F 50-59 years, male 310.6
GTEX-1EX96-1626-SM-7PBXR 50-59 years, male 310.5
GTEX-13NYB-2526-SM-5K7Z6 40-49 years, male 310.1
GTEX-OHPL-0126-SM-2HMJ7 60-69 years, female 310.1
GTEX-1KD4Q-0226-SM-E9TJ9 40-49 years, male 309.3
GTEX-131XF-5016-SM-7MGWE 60-69 years, male 308.1
GTEX-Y8E4-0626-SM-4WWDL 40-49 years, male 307.6
GTEX-1F75B-0126-SM-9KNVL 50-59 years, male 307.6
GTEX-131YS-0126-SM-5KM1M 60-69 years, female 307.3
GTEX-1I4MK-2226-SM-ACKWD 50-59 years, female 306.9
GTEX-ZDXO-3026-SM-5J1N5 60-69 years, male 305.8
GTEX-1I1GS-0126-SM-B2LVW 60-69 years, male 305.8
GTEX-1AX9J-0226-SM-73KXM 60-69 years, male 305.7
GTEX-1KXAM-2226-SM-CYPTC 60-69 years, male 305.7
GTEX-13IVO-0126-SM-5J1NG 70-79 years, male 305.1
GTEX-X585-0226-SM-4QAS2 50-59 years, male 305.1
GTEX-1H11D-0226-SM-9WG6Z 40-49 years, male 304.9
GTEX-1JMQI-2226-SM-CM2SD 50-59 years, male 304.1
GTEX-SIU8-0126-SM-2XCDT 50-59 years, male 304.0
GTEX-WH7G-2326-SM-3NMBC 40-49 years, male 303.5
GTEX-ZF2S-2326-SM-4WWCE 50-59 years, female 303.3
GTEX-15SHU-0126-SM-7KUEH 40-49 years, female 303.1
GTEX-X5EB-2226-SM-46MW4 40-49 years, male 303.0
GTEX-1J8QM-2126-SM-CYPSJ 60-69 years, female 302.6
GTEX-1QAET-0926-SM-E76QM 50-59 years, male 302.3
GTEX-QDVN-2026-SM-3GAEP 50-59 years, male 302.2
GTEX-QV44-1926-SM-2S1RF 50-59 years, male 302.0
GTEX-13RTJ-2426-SM-5S2Q2 60-69 years, male 301.6
GTEX-12WSD-0126-SM-59HKN 60-69 years, female 301.5
GTEX-13D11-2426-SM-5KM1V 50-59 years, female 301.5
GTEX-18D9U-0226-SM-718BP 40-49 years, male 301.0
GTEX-WVJS-0126-SM-4MVOT 50-59 years, male 300.8
GTEX-WQUQ-0426-SM-3MJFU 60-69 years, male 299.5
GTEX-1GF9X-2026-SM-7PC3A 40-49 years, female 299.1
GTEX-11OF3-2626-SM-5GU7F 60-69 years, male 298.7
GTEX-13FHO-0226-SM-5IFGY 60-69 years, male 298.4
GTEX-XXEK-2226-SM-4BRUM 50-59 years, male 298.4
GTEX-NPJ8-0126-SM-2YUNR 40-49 years, male 298.2
GTEX-11DXX-2426-SM-5GZZW 60-69 years, female 298.1
GTEX-133LE-1826-SM-5J1MV 20-29 years, female 297.8
GTEX-183WM-0126-SM-7LTAB 70-79 years, female 297.5
GTEX-T5JC-0426-SM-32PLO 20-29 years, male 297.4
GTEX-1CB4I-0226-SM-79OLH 50-59 years, male 297.1
GTEX-144FL-0126-SM-5TDC8 50-59 years, male 296.4
GTEX-13G51-2526-SM-5LZYK 60-69 years, male 295.9
GTEX-11EQ9-2426-SM-5HL5T 30-39 years, male 295.8
GTEX-11DXW-0226-SM-5H122 40-49 years, male 295.7
GTEX-1N2DW-0226-SM-E9TK2 50-59 years, male 295.6
GTEX-TML8-1926-SM-32QOS 40-49 years, female 295.2
GTEX-14A5I-0126-SM-5TDEA 50-59 years, female 295.1
GTEX-1CAMS-0426-SM-7P8T2 40-49 years, female 295.1
GTEX-13QJ3-0326-SM-5S2RA 50-59 years, male 295.0
GTEX-1BAJH-0526-SM-793CQ 70-79 years, male 294.7
GTEX-1A3MW-0126-SM-73KXX 60-69 years, female 294.5
GTEX-15F5U-1526-SM-6PANO 40-49 years, male 294.0
GTEX-1IDJH-0326-SM-A9SLQ 70-79 years, male 293.2
GTEX-SE5C-1626-SM-2XCE3 40-49 years, female 293.2
GTEX-13OW5-0126-SM-DTXFS 60-69 years, male 293.1
GTEX-17EUY-0426-SM-793BD 20-29 years, male 292.7
GTEX-12WSG-2826-SM-E9J4H 50-59 years, female 292.5
GTEX-1LC47-0326-SM-E9TJP 60-69 years, male 292.4
GTEX-11H98-0126-SM-5EGHG 50-59 years, male 292.0
GTEX-14LLW-0126-SM-6LLIO 70-79 years, female 291.7
GTEX-1LG7Z-1726-SM-D3LA4 30-39 years, male 291.5
GTEX-1H3O1-0426-SM-9YFKY 60-69 years, male 291.4
GTEX-1HSGN-0226-SM-CGQFV 40-49 years, female 291.2
GTEX-Y3I4-2126-SM-4TT7C 50-59 years, male 290.4
GTEX-131XH-2226-SM-5DUXJ 50-59 years, male 290.1
GTEX-P4PQ-0126-SM-2S1NM 60-69 years, male 289.7
GTEX-S95S-1226-SM-4GICG 60-69 years, male 289.4
GTEX-1GZ4H-1726-SM-7PBZJ 50-59 years, female 289.4
GTEX-1HR98-0126-SM-B2LWI 60-69 years, male 289.1
GTEX-1C6VQ-0126-SM-7P8RI 50-59 years, male 288.9
GTEX-ZV68-0126-SM-59HKS 50-59 years, female 288.2
GTEX-13O1R-0126-SM-5L3EH 60-69 years, male 287.8
GTEX-1GN1U-0126-SM-7PBZK 50-59 years, female 287.7
GTEX-1GPI7-0126-SM-9MQL8 20-29 years, male 287.7
GTEX-1MUQO-0126-SM-EAZ58 60-69 years, male 287.0
GTEX-ZAK1-0126-SM-5IJD3 50-59 years, female 286.6
GTEX-145MF-0626-SM-5LUAI 50-59 years, male 286.4
GTEX-1J8JJ-0226-SM-CL53I 60-69 years, female 286.4
GTEX-WRHK-1426-SM-3MJF9 20-29 years, female 285.1
GTEX-1A32A-0126-SM-718B1 50-59 years, female 284.7
GTEX-T8EM-1026-SM-3DB7M 40-49 years, male 284.6
GTEX-RNOR-0126-SM-E9J4R 50-59 years, female 284.6
GTEX-1AYD5-2426-SM-73KXR 50-59 years, male 284.2
GTEX-131XW-0426-SM-5LZWP 50-59 years, female 284.0
GTEX-RM2N-1426-SM-2TF4H 50-59 years, male 283.8
GTEX-Q734-1926-SM-2I5EV 40-49 years, female 283.7
GTEX-117YX-2326-SM-5H12W 50-59 years, male 283.5
GTEX-13OVI-1426-SM-5L3EY 60-69 years, female 283.4
GTEX-1ICG6-2526-SM-CGQFZ 70-79 years, female 283.4
GTEX-ZAB5-1826-SM-5HL7C 50-59 years, male 283.2
GTEX-1L5NE-2526-SM-E6CIE 50-59 years, male 283.1
GTEX-ZF29-2326-SM-DO92K 60-69 years, female 283.1
GTEX-1AX8Z-0126-SM-7DHM6 60-69 years, male 282.4
GTEX-13OVJ-0126-SM-5KM36 50-59 years, female 282.1
GTEX-QEG4-0226-SM-2S1PY 30-39 years, male 282.1
GTEX-145ME-1826-SM-5SI9G 40-49 years, female 281.3
GTEX-11GS4-2726-SM-5A5LE 60-69 years, male 281.0
GTEX-ZYT6-0226-SM-5NQ6T 30-39 years, male 280.6
GTEX-1JMPZ-0226-SM-CNPP1 30-39 years, male 280.5
GTEX-XAJ8-0826-SM-47JY6 40-49 years, male 279.3
GTEX-Y5V5-2326-SM-4V6GA 60-69 years, female 279.2
GTEX-ZF28-0126-SM-4WKGK 60-69 years, male 279.2
GTEX-1C2JI-1826-SM-73KXC 50-59 years, male 279.0
GTEX-1GF9V-0326-SM-7RHI5 60-69 years, male 278.9
GTEX-1J1R8-1726-SM-ARL8M 40-49 years, male 278.8
GTEX-WXYG-2326-SM-4E3I6 50-59 years, female 278.0
GTEX-148VI-1626-SM-5SI6E 60-69 years, female 277.9
GTEX-R45C-0126-SM-EAZ2R 60-69 years, female 277.6
GTEX-1M5QR-1226-SM-EWROB 40-49 years, male 277.4
GTEX-XUW1-0426-SM-4BOOT 50-59 years, female 277.3
GTEX-1H1DE-2126-SM-9WG6R 20-29 years, male 277.3
GTEX-14C5O-0126-SM-5SI6N 60-69 years, male 276.3
GTEX-1CB4E-2226-SM-793DC 60-69 years, male 275.8
GTEX-1LB8K-0226-SM-EWRNW 50-59 years, male 275.6
GTEX-1RDX4-0126-SM-E9J4P 50-59 years, female 275.4
GTEX-1KAFJ-2026-SM-CY8ID 50-59 years, male 275.3
GTEX-ZDYS-2026-SM-5HL5L 50-59 years, male 275.2
GTEX-14BIM-0226-SM-7IGLD 60-69 years, female 274.8
GTEX-1H4P4-0726-SM-9YFLR 50-59 years, male 274.1
GTEX-1AYCT-2426-SM-7IGQ3 50-59 years, male 273.6
GTEX-OXRK-0226-SM-3NB2G 50-59 years, female 273.6
GTEX-11TTK-0126-SM-5987B 60-69 years, female 273.2
GTEX-Z93S-0126-SM-5HL7M 50-59 years, male 272.9
GTEX-17HII-0226-SM-7LG4E 50-59 years, male 272.7
GTEX-1MCQQ-0826-SM-DLHC2 60-69 years, male 272.7
GTEX-13112-2826-SM-5DUWH 50-59 years, male 272.6
GTEX-1GZHY-0326-SM-9QEHI 50-59 years, female 272.3
GTEX-1HCUA-2426-SM-ADEIS 50-59 years, female 272.0
GTEX-14PJM-0226-SM-62LF1 50-59 years, female 271.9
GTEX-18A7A-0226-SM-718BH 50-59 years, female 271.8
GTEX-17JCI-0126-SM-7LG5G 60-69 years, female 271.2
GTEX-12584-0126-SM-5EGKQ 40-49 years, male 271.0
GTEX-1I6K6-0126-SM-A9SLE 30-39 years, male 270.6
GTEX-144GN-2326-SM-5LU4F 50-59 years, male 270.5
GTEX-11WQC-2526-SM-5CVLE 60-69 years, male 270.0
GTEX-13113-5016-SM-7EPIP 60-69 years, female 269.1
GTEX-1HFI6-0226-SM-ADEHZ 40-49 years, male 269.0
GTEX-11NSD-2226-SM-5986V 20-29 years, male 268.9
GTEX-1JMQK-0226-SM-CL543 60-69 years, male 268.8
GTEX-1R7EV-2426-SM-EVYBG 40-49 years, male 268.7
GTEX-1MGNQ-0126-SM-EVYCJ 40-49 years, male 268.6
GTEX-1IDJF-0126-SM-CM2RS 20-29 years, male 268.3
GTEX-13O3Q-2426-SM-5IJBR 50-59 years, male 267.9
GTEX-1S82Y-2026-SM-EVYCM 40-49 years, male 267.7
GTEX-14PN3-2426-SM-6LLHS 60-69 years, female 267.6
GTEX-11EM3-2426-SM-59861 20-29 years, female 267.1
GTEX-WY7C-2326-SM-3NB2U 50-59 years, male 267.0
GTEX-1A3MX-0126-SM-731BR 60-69 years, male 266.9
GTEX-1314G-1526-SM-5EGK2 30-39 years, male 266.7
GTEX-T2IS-0126-SM-4DM6O 20-29 years, female 266.7
GTEX-1CAMR-1926-SM-7EPI2 20-29 years, male 266.1
GTEX-11OC5-0126-SM-5HL6A 60-69 years, male 266.0
GTEX-13S7M-0126-SM-5SI6A 60-69 years, female 265.7
GTEX-ZV6S-2326-SM-4YCEY 40-49 years, female 265.7
GTEX-1QCLY-0326-SM-E8VOG 30-39 years, male 265.5
GTEX-13N11-2526-SM-5K7UE 50-59 years, female 265.4
GTEX-1GN73-0226-SM-9WG67 60-69 years, male 265.4
GTEX-XV7Q-2526-SM-4BRV9 40-49 years, female 265.3
GTEX-1KWVE-1426-SM-E9TJO 30-39 years, male 265.3
GTEX-13OVL-0226-SM-5L3E9 50-59 years, male 265.1
GTEX-14PJ3-1826-SM-62LEX 50-59 years, male 265.1
GTEX-1JMQJ-0526-SM-CYPSU 50-59 years, male 265.1
GTEX-1GF9U-2126-SM-7SB7L 40-49 years, female 265.0
GTEX-1F52S-0126-SM-9MQJU 60-69 years, female 264.7
GTEX-1MCYP-1926-SM-E9J2R 20-29 years, female 264.7
GTEX-1B933-0126-SM-7PC29 50-59 years, female 264.6
GTEX-XQ3S-1526-SM-4BOOC 20-29 years, male 263.1
GTEX-1AX9I-0126-SM-7SB74 60-69 years, male 262.7
GTEX-1CB4H-0226-SM-7PBXM 60-69 years, female 262.6
GTEX-14A5H-0426-SM-5QGQF 60-69 years, male 262.5
GTEX-13X6J-0126-SM-5QGOU 50-59 years, male 262.4
GTEX-12ZZX-0126-SM-5EGK9 40-49 years, female 262.1
GTEX-13OVH-0126-SM-5MR4B 70-79 years, male 261.9
GTEX-1C4CL-0526-SM-73KVK 30-39 years, male 261.9
GTEX-1H23P-0126-SM-ADEJ3 60-69 years, male 261.8
GTEX-1JJ6O-0126-SM-E6CI8 60-69 years, male 261.7
GTEX-XQ8I-0426-SM-4BOPO 50-59 years, male 261.6
GTEX-1ICLZ-0126-SM-CKZPO 60-69 years, male 261.3
GTEX-1QMI2-0226-SM-EVYBX 60-69 years, male 261.0
GTEX-NFK9-0226-SM-2HMKQ 40-49 years, male 260.9
GTEX-12ZZZ-0626-SM-5DUXI 60-69 years, male 260.4
GTEX-13W46-0226-SM-5SIAG 50-59 years, male 260.0
GTEX-Q2AH-1626-SM-3GAF8 40-49 years, male 259.5
GTEX-OHPM-0126-SM-2YUN9 50-59 years, male 259.1
GTEX-11P81-2326-SM-59875 30-39 years, female 259.0
GTEX-14JG1-0426-SM-6ETZZ 40-49 years, male 258.6
GTEX-1399T-2826-SM-5KLYZ 60-69 years, male 258.5
GTEX-11P82-1626-SM-59879 20-29 years, male 258.2
GTEX-X4EO-0326-SM-3P5YO 60-69 years, female 258.2
GTEX-QDT8-0126-SM-48TZ1 30-39 years, female 257.7
GTEX-13O3O-0126-SM-E9J49 60-69 years, female 257.7
GTEX-16GPK-0126-SM-7DHLE 60-69 years, male 257.6
GTEX-15D1Q-0126-SM-7KUG6 40-49 years, male 257.5
GTEX-146FH-0126-SM-5QGPP 50-59 years, female 257.4
GTEX-145LU-0126-SM-5TDCB 50-59 years, male 257.1
GTEX-16YQH-0126-SM-7DUFJ 30-39 years, male 256.7
GTEX-ZVZO-0126-SM-5A5L9 40-49 years, male 256.7
GTEX-1269C-2526-SM-5EGJ3 60-69 years, female 256.4
GTEX-ZZPT-0226-SM-5E43X 50-59 years, male 256.3
GTEX-ZC5H-0226-SM-4WAY9 40-49 years, female 256.1
GTEX-17F97-0326-SM-7LG5B 50-59 years, male 255.9
GTEX-1B8SG-0126-SM-73KZ3 50-59 years, male 255.9
GTEX-1KANA-0726-SM-D3L9I 20-29 years, male 255.4
GTEX-11XUK-2026-SM-5EQLF 40-49 years, female 255.3
GTEX-1HT8W-0126-SM-CNPPP 30-39 years, male 255.0
GTEX-13VXT-0126-SM-5LU4I 20-29 years, female 254.9
GTEX-1PPH7-2326-SM-EVYB8 40-49 years, male 254.8
GTEX-ZEX8-2426-SM-4WKG4 50-59 years, male 254.2
GTEX-15UKP-0426-SM-7KUFQ 20-29 years, male 253.8
GTEX-1CB4F-0426-SM-9KNV4 60-69 years, male 253.8
GTEX-1I1CD-0126-SM-CM2TK 60-69 years, female 253.4
GTEX-113JC-2326-SM-5EQ4E 50-59 years, female 253.2
GTEX-OXRN-0126-SM-48TDM 50-59 years, male 253.2
GTEX-1B8KZ-2026-SM-7DHMB 50-59 years, male 252.9
GTEX-11GSO-2426-SM-5A5LY 60-69 years, male 252.4
GTEX-15SDE-2226-SM-7IGLO 50-59 years, female 252.3
GTEX-1LNCM-1126-SM-E9U5E 50-59 years, female 252.3
GTEX-1N2DV-0226-SM-E6CJ6 40-49 years, male 252.2
GTEX-RU72-0926-SM-2TF6B 50-59 years, female 252.1
GTEX-169BO-1326-SM-9MQK2 50-59 years, male 252.0
GTEX-1IL2U-0226-SM-CE6T8 60-69 years, male 252.0
GTEX-13X6I-0626-SM-5QGP9 60-69 years, male 251.9
GTEX-ZQUD-1426-SM-57WER 30-39 years, male 251.7
GTEX-147F4-0226-SM-5QGPW 50-59 years, male 251.6
GTEX-1HBPI-1526-SM-C1YQ1 50-59 years, male 251.5
GTEX-111VG-2426-SM-5GZXD 60-69 years, male 251.4
GTEX-13JUV-2726-SM-5LZZ8 40-49 years, female 251.4
GTEX-11EMC-2926-SM-5EQ4F 60-69 years, female 251.1
GTEX-17EVQ-0226-SM-7LG4P 70-79 years, male 251.0
GTEX-ZZ64-1726-SM-5GZYB 20-29 years, male 250.7
GTEX-Y8LW-1826-SM-5S2MV 50-59 years, female 250.5
GTEX-1CB4G-0226-SM-7PC3O 60-69 years, male 249.8
GTEX-1192W-2626-SM-5Q5AF 60-69 years, male 249.5
GTEX-145MI-0526-SM-5O9A8 60-69 years, female 249.0
GTEX-1QP67-1626-SM-EAZ3X 40-49 years, female 248.0
GTEX-13OW7-0126-SM-5MR3B 50-59 years, male 247.5
GTEX-1F75A-0126-SM-7RHGM 50-59 years, male 246.5
GTEX-VUSG-2526-SM-4KL1V 50-59 years, male 245.7
GTEX-1LSNM-1926-SM-E6CII 50-59 years, male 245.6
GTEX-S7SE-0126-SM-2XCD5 50-59 years, male 245.4
GTEX-1PIGE-0126-SM-EVYBJ 20-29 years, male 245.3
GTEX-ZQG8-1626-SM-DHXIT 60-69 years, female 245.2
GTEX-18A66-0226-SM-718BD 60-69 years, male 244.6
GTEX-ZVE2-0226-SM-59HJB 50-59 years, male 244.5
GTEX-SNMC-1226-SM-2XCFP 20-29 years, male 244.4
GTEX-14BIN-0626-SM-793DP 50-59 years, female 244.1
GTEX-1HSMQ-1226-SM-CGQFX 50-59 years, male 244.1
GTEX-1JKYR-0126-SM-CNPOJ 20-29 years, male 243.7
GTEX-15G19-0126-SM-6PANQ 60-69 years, male 243.5
GTEX-11ZVC-2526-SM-5FQTE 50-59 years, female 243.2
GTEX-1GMR8-0126-SM-9WYTM 50-59 years, female 243.1
GTEX-18A7B-0126-SM-7LG64 70-79 years, male 242.7
GTEX-1LH75-2426-SM-E9TJE 50-59 years, female 242.7
GTEX-1GMRU-0126-SM-9YFLV 50-59 years, male 242.6
GTEX-1E2YA-0126-SM-9KNUC 50-59 years, male 242.3
GTEX-1F7RK-0126-SM-7PC2S 20-29 years, female 241.8
GTEX-1LG7Y-0526-SM-DKPQC 50-59 years, male 241.8
GTEX-ZVT3-0126-SM-5GU6I 60-69 years, female 241.7
GTEX-14E6D-0126-SM-62LDV 50-59 years, male 241.2
GTEX-13NZA-0226-SM-5K7Z7 60-69 years, male 241.1
GTEX-1128S-2326-SM-5GZZY 60-69 years, female 240.9
GTEX-1IDFM-0126-SM-COH2V 60-69 years, male 240.9
GTEX-ZVT4-0126-SM-DTXFN 50-59 years, female 240.9
GTEX-17HHE-2026-SM-79OKF 50-59 years, male 240.5
GTEX-17KNJ-2326-SM-7DHLQ 50-59 years, male 240.4
GTEX-14LZ3-0226-SM-62LET 60-69 years, female 240.3
GTEX-13FTY-0526-SM-5L3EV 40-49 years, female 240.1
GTEX-1B8L1-2526-SM-9WYTF 60-69 years, male 239.5
GTEX-13N2G-2626-SM-5J1OT 60-69 years, male 239.0
GTEX-1C64O-0126-SM-7SB8P 60-69 years, male 239.0
GTEX-12WSA-0226-SM-5BC5V 60-69 years, male 238.6
GTEX-17F96-1626-SM-7DUFL 70-79 years, male 238.1
GTEX-14ABY-0226-SM-5TDCQ 50-59 years, male 237.3
GTEX-1JJEA-0326-SM-CNPOT 60-69 years, male 237.2
GTEX-11VI4-1726-SM-5CVLH 40-49 years, female 237.1
GTEX-S32W-2126-SM-2XCB1 50-59 years, female 237.0
GTEX-18465-0126-SM-731BN 50-59 years, male 236.9
GTEX-1GTWX-0126-SM-9YFLK 60-69 years, male 236.8
GTEX-1C64N-0126-SM-793D7 50-59 years, male 236.7
GTEX-OXRL-0126-SM-2YUMP 50-59 years, male 236.7
GTEX-WZTO-0126-SM-3NM95 40-49 years, male 236.6
GTEX-1HSMP-0126-SM-E6CJS 70-79 years, male 236.5
GTEX-13N1W-0126-SM-5K7VT 70-79 years, male 236.3
GTEX-12KS4-0326-SM-5EQ41 30-39 years, male 236.0
GTEX-17HHY-0126-SM-7LG5D 50-59 years, male 235.8
GTEX-147GR-0526-SM-5S2MY 60-69 years, male 235.7
GTEX-1ICLY-0126-SM-D4P36 50-59 years, male 235.7
GTEX-11NUK-0126-SM-5A5L3 50-59 years, male 235.5
GTEX-Z9EW-1626-SM-5CVMN 40-49 years, male 235.5
GTEX-13U4I-0126-SM-5LU38 40-49 years, female 235.3
GTEX-ZYY3-0126-SM-5GZY5 60-69 years, female 235.3
GTEX-11DXY-2626-SM-5GIE7 60-69 years, male 234.8
GTEX-1C6WA-0126-SM-7PC2B 60-69 years, male 234.6
GTEX-R55G-2526-SM-2TC6D 40-49 years, female 234.4
GTEX-RUSQ-1526-SM-2TF62 50-59 years, male 234.1
GTEX-14JG6-2226-SM-6EU2G 30-39 years, female 234.0
GTEX-OXRP-0126-SM-3NB32 60-69 years, female 233.7
GTEX-113IC-0126-SM-5HL6T 60-69 years, male 233.6
GTEX-WFON-2126-SM-3LK7O 40-49 years, male 233.5
GTEX-17EVP-0326-SM-7DHLG 40-49 years, male 232.9
GTEX-12WSE-0526-SM-793B2 20-29 years, male 232.8
GTEX-X4XY-0226-SM-4E3IZ 60-69 years, male 232.1
GTEX-16AAH-1726-SM-7939C 50-59 years, male 231.7
GTEX-12C56-1726-SM-5EQ61 20-29 years, male 231.2
GTEX-1212Z-2526-SM-5EGKP 60-69 years, male 230.7
GTEX-1F48J-0126-SM-7P8TT 50-59 years, female 230.7
GTEX-QVJO-1626-SM-2S1QW 60-69 years, female 230.3
GTEX-OXRO-0126-SM-2YUN4 60-69 years, female 230.2
GTEX-PWO3-1526-SM-48TCM 60-69 years, female 230.2
GTEX-WFG8-2226-SM-3GIL9 20-29 years, male 229.9
GTEX-17HG3-2226-SM-7938L 30-39 years, female 229.6
GTEX-1POEN-0126-SM-EYYXJ 30-39 years, female 229.6
GTEX-PW2O-1526-SM-7RHHB 20-29 years, male 229.5
GTEX-U3ZM-1526-SM-3DB9D 40-49 years, male 229.3
GTEX-15SHW-0326-SM-6PAML 60-69 years, male 228.6
GTEX-VJYA-1126-SM-3GIJU 60-69 years, male 228.5
GTEX-1RLM8-2326-SM-EWRN4 50-59 years, male 228.5
GTEX-1KD5A-0226-SM-D5OV3 50-59 years, male 227.7
GTEX-SJXC-0126-SM-2XCFF 60-69 years, male 227.4
GTEX-1A3MV-1926-SM-718BT 30-39 years, male 227.1
GTEX-1JMOU-1526-SM-CL54I 60-69 years, female 227.0
GTEX-14E6E-1826-SM-5S2R7 30-39 years, male 226.7
GTEX-1HCU8-0626-SM-A9SM9 60-69 years, female 226.2
GTEX-1HSKV-0226-SM-A9SKJ 60-69 years, male 226.1
GTEX-1K2DU-2326-SM-E9TIV 20-29 years, male 226.0
GTEX-QCQG-1726-SM-3GIJ9 50-59 years, female 225.9
GTEX-1HBPH-0426-SM-B2LW5 40-49 years, female 225.7
GTEX-1IY9M-0126-SM-D3L8S 60-69 years, male 224.9
GTEX-16BQI-0226-SM-7KUEX 30-39 years, female 224.5
GTEX-15EU6-0426-SM-6PAN5 50-59 years, male 224.2
GTEX-1J8Q2-0526-SM-CM2RW 60-69 years, male 224.1
GTEX-1R9K4-0126-SM-DTX9X 60-69 years, male 223.8
GTEX-13RTL-0126-SM-7LG5S 40-49 years, male 223.5
GTEX-14A6H-0126-SM-5QGPK 30-39 years, male 223.5
GTEX-1GF9W-0326-SM-9KNUN 60-69 years, male 223.5
GTEX-13OW6-0426-SM-5L3HM 50-59 years, male 223.4
GTEX-1GN1V-0126-SM-9WPOS 60-69 years, male 223.4
GTEX-PLZ5-2026-SM-2S1O4 50-59 years, male 223.3
GTEX-1H3VY-0126-SM-ACKXD 50-59 years, male 223.3
GTEX-OOBK-0126-SM-2YUND 40-49 years, male 223.1
GTEX-13NYC-0326-SM-E9J4S 60-69 years, male 222.7
GTEX-12ZZY-0226-SM-5LZVE 60-69 years, male 221.9
GTEX-ZYW4-0126-SM-5E44A 60-69 years, male 221.9
GTEX-1RAZQ-0726-SM-EAZ43 30-39 years, male 221.6
GTEX-183FY-0126-SM-7LT9P 20-29 years, male 221.0
GTEX-1B97I-1626-SM-73KYO 40-49 years, male 220.8
GTEX-QDVJ-1726-SM-2I5FX 50-59 years, male 220.8
GTEX-X62O-0126-SM-4E3JN 50-59 years, male 220.8
GTEX-1M4P7-0226-SM-DIPEV 60-69 years, male 220.6
GTEX-1O97I-0326-SM-EYYX7 60-69 years, male 220.5
GTEX-12WSL-2526-SM-5GCNJ 50-59 years, male 220.4
GTEX-1B996-0226-SM-7RHGO 60-69 years, male 220.1
GTEX-1EU9M-0226-SM-7P8SP 60-69 years, male 220.1
GTEX-1HCVE-0126-SM-CGQEU 50-59 years, male 220.0
GTEX-13OW8-1326-SM-5J1OW 60-69 years, male 219.9
GTEX-1CAMQ-0226-SM-7IGPK 40-49 years, male 219.6
GTEX-1NHNU-1026-SM-E9J2A 50-59 years, male 219.1
GTEX-14PJ6-2126-SM-6EU1V 60-69 years, female 218.9
GTEX-1I19N-0326-SM-ACKVX 70-79 years, male 218.8
GTEX-1QP29-0626-SM-EWRMX 50-59 years, male 218.6
GTEX-TSE9-0126-SM-3DB83 60-69 years, female 218.2
GTEX-1OJC4-0126-SM-E9J2E 50-59 years, female 218.2
GTEX-1JKYN-1326-SM-CGQG9 30-39 years, male 218.0
GTEX-1AX9K-2326-SM-73KWU 50-59 years, male 217.9
GTEX-18A67-0126-SM-7LG5P 50-59 years, male 217.2
GTEX-1F5PK-2426-SM-7RHHY 50-59 years, male 216.2
GTEX-139TU-0126-SM-5K7WH 60-69 years, male 216.1
GTEX-OIZF-0126-SM-7SB8I 60-69 years, male 216.0
GTEX-13SLX-0526-SM-5S2ON 50-59 years, female 215.7
GTEX-1HCU9-1526-SM-A9SL7 20-29 years, male 215.7
GTEX-PVOW-0126-SM-2XCFA 40-49 years, male 215.5
GTEX-17HGU-0226-SM-7DHKV 50-59 years, male 214.9
GTEX-11O72-0126-SM-59887 40-49 years, male 214.5
GTEX-13OVG-1926-SM-5L3DK 60-69 years, male 213.4
GTEX-16NPX-0226-SM-79OMT 50-59 years, male 213.4
GTEX-X261-0126-SM-3NMD6 50-59 years, male 213.4
GTEX-1CB4J-0626-SM-7DHMP 60-69 years, male 212.8
GTEX-1MA7X-2226-SM-E6CIY 60-69 years, male 212.6
GTEX-15DYW-0126-SM-7KULE 60-69 years, female 212.1
GTEX-ZXG5-0126-SM-5GIEU 60-69 years, male 212.1
GTEX-RWS6-2026-SM-2XCB5 60-69 years, female 211.8
GTEX-11EI6-0126-SM-5985R 60-69 years, male 210.6
GTEX-13FH7-2026-SM-E9J4I 50-59 years, female 210.0
GTEX-1I1GT-0626-SM-CGQER 60-69 years, female 210.0
GTEX-1PBJI-0526-SM-E8VNK 20-29 years, female 209.9
GTEX-1S82Z-0826-SM-E6CHY 30-39 years, female 209.9
GTEX-TMMY-0226-SM-33HBA 40-49 years, female 209.2
GTEX-17MF6-0126-SM-7LG4F 40-49 years, male 209.0
GTEX-14BMV-0126-SM-5S2PO 50-59 years, male 208.9
GTEX-15CHC-2126-SM-6EU21 60-69 years, female 207.8
GTEX-1IKJJ-0126-SM-CNPQB 60-69 years, male 207.6
GTEX-14BIL-0126-SM-5SI92 50-59 years, male 207.5
GTEX-RWSA-0126-SM-2XCBB 40-49 years, male 207.3
GTEX-X638-0126-SM-47JZ8 70-79 years, female 207.2
GTEX-1I1GP-2226-SM-CGQFK 50-59 years, male 207.0
GTEX-1HUB1-0426-SM-E9U4U 60-69 years, male 206.8
GTEX-1GPI6-0126-SM-9WG69 60-69 years, male 206.7
GTEX-17MFQ-1726-SM-793C7 20-29 years, male 206.5
GTEX-1RAZA-0126-SM-E6CI3 20-29 years, male 206.5
GTEX-SSA3-0126-SM-32QPU 60-69 years, male 205.9
GTEX-1C6VS-0526-SM-7DUEN 60-69 years, male 205.7
GTEX-1C475-1826-SM-73KWA 40-49 years, female 205.1
GTEX-R3RS-0126-SM-3GIJL 40-49 years, female 204.8
GTEX-1HBPN-0226-SM-9YFM1 50-59 years, male 204.8
GTEX-1KANB-0526-SM-E6CJH 50-59 years, male 204.7
GTEX-139T4-0226-SM-5HL5S 50-59 years, female 204.5
GTEX-1C6VR-2426-SM-79OLD 60-69 years, male 204.2
GTEX-139TT-0126-SM-5K7Y5 60-69 years, male 204.0
GTEX-QLQW-1126-SM-2S1Q8 30-39 years, male 203.8
GTEX-1HCU7-0226-SM-CL545 50-59 years, male 203.6
GTEX-16NGA-1726-SM-731B4 40-49 years, female 203.2
GTEX-1IGQW-0126-SM-COH42 60-69 years, male 202.4
GTEX-13W3W-2426-SM-5LU5B 60-69 years, female 202.2
GTEX-14JIY-0126-SM-6LLH6 60-69 years, male 201.7
GTEX-18D9B-0526-SM-7LTAS 60-69 years, male 200.2
GTEX-1IDJU-2626-SM-CM2RT 60-69 years, female 200.1
GTEX-1K9T9-0126-SM-EVYCF 50-59 years, female 199.5
GTEX-1HFI7-1826-SM-ACKXH 50-59 years, female 199.3
GTEX-U3ZN-2326-SM-3DB7W 30-39 years, female 198.8
GTEX-1AMEY-1326-SM-73KYK 30-39 years, female 198.2
GTEX-1HKZK-0326-SM-9WYUH 40-49 years, male 197.7
GTEX-QLQ7-1626-SM-2S1R8 60-69 years, male 197.6
GTEX-Q2AG-0126-SM-33HBV 40-49 years, female 196.4
GTEX-1I1GR-0126-SM-CL55F 60-69 years, male 195.6
GTEX-11LCK-1026-SM-5A5KB 30-39 years, male 195.2
GTEX-144GL-0126-SM-5TDE2 50-59 years, male 195.2
GTEX-XMD2-0126-SM-4YCDU 60-69 years, female 195.2
GTEX-1GN1W-0526-SM-9MQJQ 50-59 years, female 194.8
GTEX-UPJH-0326-SM-3GADU 50-59 years, male 194.0
GTEX-1F88F-2726-SM-7PBZZ 60-69 years, female 193.7
GTEX-U4B1-1826-SM-4DXSU 40-49 years, male 193.4
GTEX-1R9PO-2126-SM-E9J4O 60-69 years, female 193.4
GTEX-1JK1U-2026-SM-CM2RZ 60-69 years, male 193.3
GTEX-12WSC-0126-SM-5EQ4P 50-59 years, male 193.2
GTEX-1IL2V-0126-SM-CM2TX 70-79 years, male 193.0
GTEX-14DAQ-0126-SM-5S2MQ 60-69 years, female 192.8
GTEX-1H3NZ-0126-SM-ACKX7 60-69 years, male 192.2
GTEX-U3ZH-2026-SM-3DB78 30-39 years, male 191.4
GTEX-1H1ZS-0426-SM-9WG6G 70-79 years, male 190.9
GTEX-1IKOH-0226-SM-COH4E 60-69 years, female 190.6
GTEX-12WSN-5019-SM-79OM6 40-49 years, male 190.1
GTEX-XBED-2226-SM-47JYQ 60-69 years, male 189.9
GTEX-15DCD-0126-SM-7KUEK 70-79 years, female 189.7
GTEX-1QW4Y-1526-SM-EAZ3Z 30-39 years, male 189.6
GTEX-1E1VI-0126-SM-7DHMZ 50-59 years, male 189.5
GTEX-1QP2A-0126-SM-E9J43 50-59 years, male 189.5
GTEX-ZUA1-0126-SM-5GU76 40-49 years, male 189.3
GTEX-VJWN-0126-SM-3GIK7 50-59 years, female 188.4
GTEX-XUYS-0126-SM-47JWZ 50-59 years, male 187.9
GTEX-1RQEC-0426-SM-E6CHU 60-69 years, male 187.4
GTEX-WOFL-0126-SM-3MJG2 60-69 years, male 187.2
GTEX-14PHW-0126-SM-6LLJI 60-69 years, female 187.1
GTEX-P44H-0226-SM-2XCEU 40-49 years, male 186.8
GTEX-16XZY-2126-SM-79OK1 70-79 years, male 186.3
GTEX-R55E-0126-SM-2TC5Y 20-29 years, male 186.0
GTEX-11ZTT-2426-SM-5EQLS 60-69 years, female 185.2
GTEX-14E7W-0126-SM-6LLJ9 70-79 years, male 184.2
GTEX-1H1E6-1726-SM-ACKVK 30-39 years, male 183.7
GTEX-1HB9E-0226-SM-E9U4R 50-59 years, male 183.7
GTEX-1AMFI-2026-SM-731BH 50-59 years, female 183.5
GTEX-1IE54-0126-SM-CMKHW 40-49 years, female 183.2
GTEX-11ZUS-0626-SM-59885 30-39 years, male 182.9
GTEX-1I1GQ-0126-SM-COH3H 50-59 years, male 182.3
GTEX-1J8Q3-1626-SM-CMKGC 60-69 years, male 181.2
GTEX-WYVS-2126-SM-3NMA3 40-49 years, female 176.9
GTEX-1EKGG-0226-SM-9WYTH 60-69 years, male 176.7
GTEX-146FR-1326-SM-E9J48 60-69 years, female 176.6
GTEX-XPVG-2626-SM-4B669 50-59 years, male 174.3
GTEX-1F75I-0326-SM-9YFLU 40-49 years, male 174.3
GTEX-1GL5R-1826-SM-9KNUY 50-59 years, male 174.1
GTEX-1A8FM-0226-SM-7SB7Q 50-59 years, female 173.8
GTEX-1QEPI-0126-SM-EWRMQ 60-69 years, female 172.8
GTEX-1JJE9-0326-SM-CL53Z 70-79 years, male 168.3
GTEX-RN64-0126-SM-2TC68 50-59 years, male 168.2
GTEX-V1D1-2226-SM-3NMAX 50-59 years, male 167.7
GTEX-147F3-0526-SM-5SI98 50-59 years, female 167.4
GTEX-1I1GU-2226-SM-CGQFA 40-49 years, male 163.6
GTEX-1EN7A-0126-SM-7SB81 40-49 years, male 161.0
GTEX-1I1HK-0126-SM-COH49 60-69 years, male 154.8
GTEX-11ZU8-2526-SM-5EQKI 60-69 years, male 146.7
Show allShow less

Contact

  • NEWS ARTICLES
  • PRESS ROOM

The Project

  • INTRODUCTION
  • ORGANIZATION
  • PUBLICATIONS

The Human Protein Atlas

  • DOWNLOADABLE DATA
  • LICENCE & CITATION
  • HELP & FAQ
The Human Protein Atlas project is funded
by the Knut & Alice Wallenberg Foundation.


contact@proteinatlas.org