We use cookies to enhance the usability of our website. If you continue, we'll assume that you are happy to receive all cookies. More information. Don't show this again.
PRAF2
HPA
RESOURCES
  • TISSUE
  • BRAIN
  • SINGLE CELL
  • SUBCELLULAR
  • CANCER
  • BLOOD
  • CELL LINE
  • STRUCTURE & INTERACTION
ABOUT
  • INTRODUCTION
  • HISTORY
  • ORGANIZATION
  • PUBLICATIONS
  • ANTIBODY SUBMISSION
  • ANTIBODY AVAILABILITY
  • ACKNOWLEDGMENTS
  • CONTACT
NEWS
  • NEWS ARTICLES
  • PRESS ROOM
LEARN
  • DICTIONARY
  • PROTEIN CLASSES
  • PROTEIN EVIDENCE
  • METHODS
  • EDUCATIONAL VIDEOS
DATA
  • DOWNLOADABLE DATA
  • PUBLICATION DATA
  • RELEASE HISTORY
HELP
  • ANTIBODY VALIDATION
  • ASSAYS & ANNOTATION
  • DISCLAIMER
  • HELP & FAQ
  • PRIVACY STATEMENT
  • LICENCE & CITATION
Fields »
Search result

Field
Term
Gene name
Class
Subclass
Class
Keyword
Chromosome
External id
Tissue
Cell type
Expression
Antibody panel
Tissue
Main location
Patient ID
Annotation
Tissue
Category
Tau score
Cluster
Reliability
Brain region
Category
Tau score
Brain region
Category
Tau score
Brain region
Category
Tau score
Cluster
Reliability
Tissue
Cell type
Enrichment
Cell type
Category
Tau score
Cell type
Category
Tau score
Cell type
Category
Tau score
Cell lineage
Category
Tau score
Cluster
Cluster
Location
Searches
Location
Cell line
Class
Type
Phase
Reliability
Cancer
Prognosis
Cancer
Category
Cancer
Category
Tau score
Cluster
Variants
Interacting gene (ensg_id)
Type
Number of interactions
Pathway
Category
Score
Score
Score
Validation
Validation
Validation
Validation
Antibodies
Data type
Column


  • SUMMARY

  • TISSUE

  • BRAIN

  • SINGLE CELL

  • SUBCELL

  • CANCER

  • BLOOD

  • CELL LINE

  • STRUCT & INT

  • PRAF2
TISSUE PRIMARY DATA OVARY Show tissue menu
ADIPOSE TISSUE ADRENAL GLAND AMYGDALA APPENDIX BASAL GANGLIA BONE MARROW BREAST BRONCHUS CEREBELLUM CEREBRAL CORTEX CERVIX CHOROID PLEXUS COLON DUODENUM
ENDOMETRIUM EPIDIDYMIS ESOPHAGUS FALLOPIAN TUBE GALLBLADDER HEART MUSCLE HIPPOCAMPAL FORMATION HYPOTHALAMUS KIDNEY LIVER LUNG LYMPH NODE MIDBRAIN NASOPHARYNX
ORAL MUCOSA OVARY PANCREAS PARATHYROID GLAND PITUITARY GLAND PLACENTA PROSTATE RECTUM RETINA SALIVARY GLAND SEMINAL VESICLE SKELETAL MUSCLE SKIN SMALL INTESTINE
SMOOTH MUSCLE SOFT TISSUE SPINAL CORD SPLEEN STOMACH TESTIS THYMUS THYROID GLAND TONGUE TONSIL URINARY BLADDER VAGINA
ANTIBODIES
AND
VALIDATION
Dictionary
Ovary
Tissue proteome
Ovary
OVARY - Expression summary
Protein expression
Ovaryi

On the top, protein expression in current human tissue, based on all annotated cell types, is reported with the units not detected (n), low (l), medium (m) and high (h). Underneath, protein expression in each annotated cell type are reported using the same units.

Protein expression data is based on knowledge-based annotation. For genes where more than one antibody has been used, a collective score is set.

If knowledge-based annotation could not be performed for a gene, no data is displayed here. View antibody staining data further down this page.

h
m
l
n
Ovarian stroma cells: Low
RNA expressioni

A summary of mRNA expression data available for current tissue based on several datasets. The mRNA expression levels in human tissues are based on RNA-seq data generated by the Human Protein Atlas (HPA), Genotype-Tissue Expression (GTEx) portal and CAGE data generated by the FANTOM5 consortium. Consensus normalized expression levels for human tissues was created by combining the data from HPA and GTEx datasets.

The mRNA expression levels in pig are based on RNA-seq data generated by the Human Protein Atlas (HPA), and for mouse, HPA data and in situ hybridization generated by the Allen brain atlas are reported.

Scroll down to view mRNA expression data in more detail.
Consensus:36.5 nTPM
HPA:28.3 nTPM
GTEx:36.5 nTPM
FANTOM5:126.1 Scaled Tags Per Million

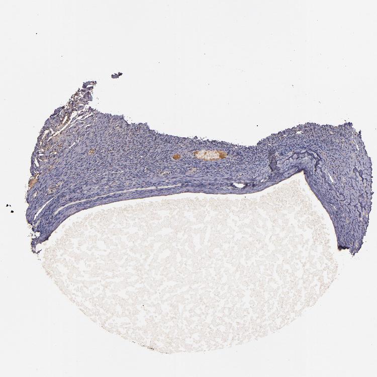
OVARY - Antibody stainingi

Antibody staining in the annotated cell types in the current human tissue is reported as not detected, low, medium, or high, based on conventional immunohistochemistry profiling in selected tissues. This score is based on the combination of the staining intensity and fraction of stained cells.

Each image is clickable and will lead to virtual microscopy that enables deeper exploration of all samples and also displays staining intensity scores, fraction scores and subcellular localization as well as patient and tissue information for each sample.

Antibody HPA002859Antibody CAB011655
Ovarian stroma cells LowMedium





OVARY - HPA RNA-seqi

The RNA-seq details section shows detailed information about the individual samples used for the transcript profiling and results of the RNA-seq analysis.

Information about each individual sample is listed below, including gender, age, a tissue section image and estimated fractions of cell types. nTPM (normalized transcripts per million) values give a quantification of the gene abundance which is comparable between different genes and samples.
Average nTPMi

Max subtype nTPM is the value for the subtype with the largest average nTPM across the subtype samples.

28.3
overview
Female, age 64
Ovary sample 192
nTPM: 22.3
Cell types%
Stromal cells:
70

Smooth muscle cells:
15

Other cell types:
15

overview
Female, age 52
Ovary sample 193
nTPM: 22.2
Cell types%
Stromal cells:
95

Other cell types:
5

overview
Female, age 80
Ovary sample 308
nTPM: 26.3
Cell types%
Stromal cells:
70

Smooth muscle cells:
25

Other cell types:
5

N/A
Female, age 7
Ovary sample 3662
nTPM: 29.4
N/A
Female, age 16
Ovary sample 3663
nTPM: 34.1
N/A
Female, age 20
Ovary sample 3664
nTPM: 29.1
N/A
Female, age 32
Ovary sample 3665
nTPM: 34.5

OVARY - GTEx RNA-seqi

RNA-Seq data generated by the Genotype-Tissue Expression (GTEx) project from human tissues is reported as mean nTPM. More information can be found on the GTEx portal.

Distribution across the dataset is visualized with box plots, shown as median and 25th and 75th percentiles. Points are displayed as outliers if they are above or below 1.5 times the interquartile range. nTPM values of the individual samples are presented next to the box plot.
Max subtype nTPMi

Max subtype nTPM is the value for the subtype with the largest average nTPM across the subtype samples.

36.5
GTEx sample id Sample description nTPM
Ovary
Average nTPM: 36.5
Samples: 180

Max nTPM: 91.2
Min nTPM: 20.2
Std nTPM: 10.1
Median nTPM: 35.0
GTEX-XYKS-1726-SM-4E3IO 60-69 years, female 91.2
GTEX-15EOM-1526-SM-68723 20-29 years, female 89.9
GTEX-OHPL-2426-SM-48TDN 60-69 years, female 76.8
GTEX-1F5PL-1626-SM-7MXTY 40-49 years, female 62.6
GTEX-WI4N-2526-SM-4OOSE 40-49 years, female 62.5
GTEX-12WSJ-1226-SM-5LU91 40-49 years, female 53.5
GTEX-R55G-1526-SM-48FER 40-49 years, female 53.4
GTEX-1ICG6-1526-SM-C1YQT 70-79 years, female 52.8
GTEX-146FH-2526-SM-5Q5BP 50-59 years, female 52.5
GTEX-11DXX-1426-SM-5GIDU 60-69 years, female 52.4
GTEX-13OVI-0726-SM-5L3DD 60-69 years, female 52.2
GTEX-1JN1M-2126-SM-D4P2X 60-69 years, female 51.9
GTEX-13OVJ-2426-SM-5KM3I 50-59 years, female 51.8
GTEX-UJHI-1226-SM-4IHLR 50-59 years, female 50.2
GTEX-131XG-1926-SM-5LZVG 50-59 years, female 49.2
GTEX-1LNCM-0926-SM-DHXK5 50-59 years, female 49.0
GTEX-WEY5-0626-SM-4LMIA 40-49 years, female 48.7
GTEX-X8HC-2726-SM-46MUA 50-59 years, female 47.7
GTEX-1RDX4-0826-SM-E9TK7 50-59 years, female 46.2
GTEX-1S5ZU-2326-SM-EAZ5B 20-29 years, female 46.2
GTEX-SN8G-2426-SM-EVR31 50-59 years, female 45.5
GTEX-ZP4G-0626-SM-4WWF1 20-29 years, female 45.4
GTEX-1I4MK-1526-SM-CE6T1 50-59 years, female 45.0
GTEX-13SLX-2426-SM-664OM 50-59 years, female 44.9
GTEX-XUZC-1026-SM-4BOPY 30-39 years, female 44.9
GTEX-1J1OQ-1626-SM-CE6TB 40-49 years, female 44.7
GTEX-PWN1-2426-SM-48TDD 40-49 years, female 44.6
GTEX-X15G-1726-SM-4PQZN 50-59 years, female 44.3
GTEX-XV7Q-1426-SM-4BRWA 40-49 years, female 44.3
GTEX-139D8-2426-SM-5KM3A 30-39 years, female 44.2
GTEX-1F52S-2226-SM-7MXVE 60-69 years, female 44.1
GTEX-TSE9-2226-SM-4DXUR 60-69 years, female 43.5
GTEX-13VXT-1526-SM-5LU3J 20-29 years, female 43.4
GTEX-OHPK-2426-SM-3MJGH 50-59 years, female 42.5
GTEX-13D11-1126-SM-5KLYS 50-59 years, female 42.4
GTEX-ZV6S-1426-SM-59HKX 40-49 years, female 42.3
GTEX-11GSP-0226-SM-5A5KV 60-69 years, female 41.9
GTEX-1IDJE-1126-SM-A96SO 50-59 years, female 41.8
GTEX-13O3O-2726-SM-5KM35 60-69 years, female 41.5
GTEX-T5JW-0426-SM-4DM7M 20-29 years, female 41.1
GTEX-ZYY3-2726-SM-5EGH4 60-69 years, female 40.6
GTEX-1LGRB-2326-SM-CNNPU 50-59 years, female 40.5
GTEX-ZPIC-1426-SM-4WWCP 40-49 years, female 40.4
GTEX-11I78-1926-SM-59878 50-59 years, female 40.3
GTEX-WXYG-1426-SM-4ONCK 50-59 years, female 40.2
GTEX-18A7A-2626-SM-7LG6L 50-59 years, female 39.7
GTEX-15DDE-2326-SM-6AJA8 50-59 years, female 39.6
GTEX-1313W-2726-SM-5P9IX 50-59 years, female 39.5
GTEX-1F6RS-2726-SM-7MKHA 60-69 years, female 39.5
GTEX-ZAJG-2726-SM-5S2MU 50-59 years, female 39.5
GTEX-Y114-1726-SM-4TT7U 50-59 years, female 39.4
GTEX-RWS6-1026-SM-47JXD 60-69 years, female 39.3
GTEX-13X6H-1026-SM-5SIBE 50-59 years, female 39.2
GTEX-1R9PN-0626-SM-E6CR9 40-49 years, female 39.1
GTEX-1QEPI-2726-SM-DPRZ6 60-69 years, female 38.8
GTEX-ZC5H-2026-SM-5CVN2 40-49 years, female 38.4
GTEX-S4P3-0926-SM-4AD54 50-59 years, female 38.3
GTEX-1GN1U-2326-SM-9MQK4 50-59 years, female 38.2
GTEX-13PVR-1226-SM-5RQJ2 60-69 years, female 38.1
GTEX-1HBPH-2726-SM-A96TW 40-49 years, female 38.1
GTEX-RTLS-2326-SM-46MUH 60-69 years, female 37.9
GTEX-1J8JJ-0826-SM-AHZ3F 60-69 years, female 37.9
GTEX-1OJC4-2026-SM-E6CQW 50-59 years, female 37.8
GTEX-1KANC-1026-SM-D3LAA 50-59 years, female 37.6
GTEX-14JG6-0626-SM-68716 30-39 years, female 37.4
GTEX-1A8FM-2226-SM-7PC1C 50-59 years, female 37.4
GTEX-1QP28-1326-SM-DPRXZ 50-59 years, female 37.4
GTEX-12WSG-1426-SM-5FQUK 50-59 years, female 37.3
GTEX-13N11-0526-SM-5IJFI 50-59 years, female 37.3
GTEX-1LKK1-1626-SM-EVR4Y 50-59 years, female 37.3
GTEX-14PKU-1226-SM-686ZM 40-49 years, female 37.2
GTEX-1MCC2-1026-SM-EVR5I 30-39 years, female 37.1
GTEX-14PKV-1226-SM-6871T 20-29 years, female 37.0
GTEX-PX3G-2426-SM-48TZZ 20-29 years, female 37.0
GTEX-PLZ4-2826-SM-3P617 50-59 years, female 36.9
GTEX-1LVAM-1826-SM-DHXKR 50-59 years, female 36.5
GTEX-QCQG-1426-SM-48U22 50-59 years, female 36.4
GTEX-1IKOE-2326-SM-A8N99 30-39 years, female 36.3
GTEX-12ZZX-2026-SM-5LZV9 40-49 years, female 36.2
GTEX-1CAMS-2126-SM-7MXTF 40-49 years, female 36.1
GTEX-1H1CY-1926-SM-9WG7X 60-69 years, female 36.1
GTEX-11ZTT-1826-SM-5CVLN 60-69 years, female 36.0
GTEX-1C475-0426-SM-7P8OU 40-49 years, female 36.0
GTEX-145ME-1226-SM-5SIB6 40-49 years, female 35.9
GTEX-145MI-2626-SM-5QGQ8 60-69 years, female 35.8
GTEX-11XUK-1626-SM-5GU5O 40-49 years, female 35.4
GTEX-14DAQ-2226-SM-5YYAD 60-69 years, female 35.4
GTEX-S32W-1226-SM-4AD67 50-59 years, female 35.3
GTEX-1F48J-2326-SM-7MKG3 50-59 years, female 35.2
GTEX-11EMC-1726-SM-5H11P 60-69 years, female 35.0
GTEX-POMQ-1426-SM-3P61D 20-29 years, female 35.0
GTEX-1B933-2126-SM-7MGXR 50-59 years, female 35.0
GTEX-1MA7W-1426-SM-EV7A1 20-29 years, female 35.0
GTEX-X4EO-2426-SM-4QASD 60-69 years, female 34.9
GTEX-1EWIQ-2226-SM-7MGXJ 70-79 years, female 34.9
GTEX-1A32A-2726-SM-73KVU 50-59 years, female 34.8
GTEX-11P81-1526-SM-5P9GS 30-39 years, female 34.6
GTEX-1399S-2126-SM-5J2MH 30-39 years, female 34.6
GTEX-P4QT-2426-SM-3NMCL 50-59 years, female 34.6
GTEX-T6MO-1126-SM-4DM5D 40-49 years, female 34.6
GTEX-XUW1-0126-SM-4BOOQ 50-59 years, female 34.5
GTEX-15ER7-2326-SM-7KUN3 20-29 years, female 34.2
GTEX-15UF6-2026-SM-6LPI3 70-79 years, female 34.2
GTEX-TMMY-1726-SM-4DXTD 40-49 years, female 34.2
GTEX-Y3IK-2026-SM-4YCDG 50-59 years, female 34.2
GTEX-131YS-2226-SM-5P9G8 60-69 years, female 34.1
GTEX-16MT8-2226-SM-6LPK2 60-69 years, female 34.0
GTEX-13QIC-1526-SM-5IJFL 60-69 years, female 33.7
GTEX-P78B-1926-SM-3P616 40-49 years, female 33.5
GTEX-RU72-2226-SM-46MUE 50-59 years, female 33.0
GTEX-S341-0726-SM-4AD5R 40-49 years, female 33.0
GTEX-16NGA-0426-SM-7LG6K 40-49 years, female 32.5
GTEX-RU1J-0826-SM-46MUU 20-29 years, female 32.3
GTEX-1K9T9-2426-SM-DHXKT 50-59 years, female 32.3
GTEX-1LVAN-2726-SM-CNPQG 50-59 years, female 32.3
GTEX-QVJO-3126-SM-COH22 60-69 years, female 32.1
GTEX-133LE-1226-SM-5IFGC 20-29 years, female 32.0
GTEX-ZLWG-0926-SM-4WWC3 50-59 years, female 31.9
GTEX-Q734-0726-SM-48TZP 40-49 years, female 31.8
GTEX-1HCUA-1326-SM-9WPP6 50-59 years, female 31.7
GTEX-QDT8-2226-SM-EZ6LT 30-39 years, female 31.5
GTEX-14PN3-1526-SM-6ETZM 60-69 years, female 31.3
GTEX-W5WG-0926-SM-4RTX9 50-59 years, female 31.3
GTEX-YFC4-2726-SM-5IFJW 40-49 years, female 31.2
GTEX-ZZPU-2126-SM-5EGIU 50-59 years, female 31.2
GTEX-P4PP-2426-SM-3P61L 30-39 years, female 31.1
GTEX-1F88F-2126-SM-9KNUK 60-69 years, female 31.1
GTEX-1PBJI-2026-SM-DPRYF 20-29 years, female 31.1
GTEX-1QP67-1526-SM-E76P4 40-49 years, female 31.1
GTEX-13W3W-1526-SM-5LU5I 60-69 years, female 31.0
GTEX-15DYW-2626-SM-6LPK7 60-69 years, female 31.0
GTEX-ZVT2-0326-SM-5E44G 50-59 years, female 30.8
GTEX-TML8-0926-SM-4DXSJ 40-49 years, female 30.5
GTEX-1GN1W-1426-SM-9JGHP 50-59 years, female 30.5
GTEX-U3ZN-1026-SM-4DXTC 30-39 years, female 30.3
GTEX-11ZTS-1926-SM-5CVLA 60-69 years, female 30.2
GTEX-13QBU-1526-SM-5LU3W 40-49 years, female 30.2
GTEX-14AS3-1326-SM-5RQJE 40-49 years, female 30.0
GTEX-1269C-1826-SM-5N9E1 60-69 years, female 29.9
GTEX-183WM-1926-SM-72D5F 70-79 years, female 29.7
GTEX-T2IS-2026-SM-4DM6W 20-29 years, female 29.7
GTEX-1399U-1726-SM-5P9J4 50-59 years, female 29.6
GTEX-13U4I-2126-SM-5LU55 40-49 years, female 29.6
GTEX-PWCY-1326-SM-48TCU 20-29 years, female 29.6
GTEX-17JCI-2326-SM-7IGPC 60-69 years, female 29.4
GTEX-XMD3-2326-SM-4AT5H 50-59 years, female 29.2
GTEX-1JN76-1426-SM-AHZ4F 20-29 years, female 29.2
GTEX-WWYW-2726-SM-4MVOP 50-59 years, female 29.1
GTEX-WYBS-2426-SM-4ONDI 60-69 years, female 29.1
GTEX-145LS-2326-SM-5TDCY 60-69 years, female 28.9
GTEX-15SDE-0926-SM-6LPIA 50-59 years, female 28.9
GTEX-11EM3-1726-SM-5N9D1 20-29 years, female 28.6
GTEX-11VI4-1026-SM-5EQM1 40-49 years, female 28.4
GTEX-12WSK-1926-SM-5LZVK 40-49 years, female 27.9
GTEX-1F88E-2026-SM-7MXVP 60-69 years, female 27.9
GTEX-1PIEJ-1626-SM-E6CP9 20-29 years, female 27.4
GTEX-1H2FU-2326-SM-9WG7R 60-69 years, female 26.7
GTEX-1HSGN-2426-SM-C1YRI 40-49 years, female 26.6
GTEX-12WSD-2726-SM-59HLR 60-69 years, female 26.2
GTEX-YJ8O-1026-SM-5CVM5 40-49 years, female 26.2
GTEX-14PJM-2426-SM-686ZC 50-59 years, female 25.8
GTEX-1LGOU-1026-SM-DHXL4 20-29 years, female 25.8
GTEX-1QPFJ-1726-SM-EXOJU 30-39 years, female 25.7
GTEX-13FTX-0926-SM-5IFF7 20-29 years, female 25.5
GTEX-14BIN-1426-SM-664NI 50-59 years, female 25.1
GTEX-ZVT3-2626-SM-5GU5L 60-69 years, female 25.0
GTEX-11ZVC-1426-SM-5EGGA 50-59 years, female 24.6
GTEX-WYVS-1526-SM-4OND4 40-49 years, female 24.6
GTEX-132AR-1426-SM-5IFF1 50-59 years, female 24.3
GTEX-15FZZ-0826-SM-6LLJO 30-39 years, female 24.1
GTEX-1AMFI-1426-SM-731EL 50-59 years, female 24.0
GTEX-1GF9X-2426-SM-7SB7W 40-49 years, female 24.0
GTEX-13PL7-2326-SM-5L3FY 60-69 years, female 23.8
GTEX-1IDJU-1126-SM-A9G2S 60-69 years, female 23.5
GTEX-S7SF-1326-SM-4AD4P 20-29 years, female 23.4
GTEX-ZYFG-1726-SM-5GZZB 60-69 years, female 23.3
GTEX-14BMU-1726-SM-5TDE8 20-29 years, female 23.2
GTEX-18D9A-0826-SM-718C1 30-39 years, female 22.6
GTEX-1AMEY-0926-SM-72D6G 30-39 years, female 20.9
GTEX-1GZHY-2426-SM-9JGGK 50-59 years, female 20.2
Show allShow less

OVARY - FANTOM5 CAGEi

RNA expression in human tissues obtained through Cap Analysis of Gene Expression (CAGE) generated by the FANTOM5 project are reported as Scaled Tags Per Million.

Max subtype Scaled Tags Per Millioni

Max subtype Scaled Tags Per Million is the value for the subtype with the largest average Scaled Tags Per Million across the subtype samples.

126.1
FANTOM5 sample id Sample description Scaled Tags Per Million
Ovary
Scaled Tags Per Million: 126.1
FF:10020-101D2 47,75,84 years, female 126.1

Contact

  • NEWS ARTICLES
  • PRESS ROOM

The Project

  • INTRODUCTION
  • ORGANIZATION
  • PUBLICATIONS

The Human Protein Atlas

  • DOWNLOADABLE DATA
  • LICENCE & CITATION
  • HELP & FAQ
The Human Protein Atlas project is funded
by the Knut & Alice Wallenberg Foundation.


contact@proteinatlas.org