We use cookies to enhance the usability of our website. If you continue, we'll assume that you are happy to receive all cookies. More information. Don't show this again.
PRAF2
HPA
RESOURCES
  • TISSUE
  • BRAIN
  • SINGLE CELL
  • SUBCELLULAR
  • CANCER
  • BLOOD
  • CELL LINE
  • STRUCTURE & INTERACTION
ABOUT
  • INTRODUCTION
  • HISTORY
  • ORGANIZATION
  • PUBLICATIONS
  • ANTIBODY SUBMISSION
  • ANTIBODY AVAILABILITY
  • ACKNOWLEDGMENTS
  • CONTACT
NEWS
  • NEWS ARTICLES
  • PRESS ROOM
LEARN
  • DICTIONARY
  • PROTEIN CLASSES
  • PROTEIN EVIDENCE
  • METHODS
  • EDUCATIONAL VIDEOS
DATA
  • DOWNLOADABLE DATA
  • PUBLICATION DATA
  • RELEASE HISTORY
HELP
  • ANTIBODY VALIDATION
  • ASSAYS & ANNOTATION
  • DISCLAIMER
  • HELP & FAQ
  • PRIVACY STATEMENT
  • LICENCE & CITATION
Fields »
Search result

Field
Term
Gene name
Class
Subclass
Class
Keyword
Chromosome
External id
Tissue
Cell type
Expression
Antibody panel
Tissue
Main location
Patient ID
Annotation
Tissue
Category
Tau score
Cluster
Reliability
Brain region
Category
Tau score
Brain region
Category
Tau score
Brain region
Category
Tau score
Cluster
Reliability
Tissue
Cell type
Enrichment
Cell type
Category
Tau score
Cell type
Category
Tau score
Cell type
Category
Tau score
Cell lineage
Category
Tau score
Cluster
Cluster
Location
Searches
Location
Cell line
Class
Type
Phase
Reliability
Cancer
Prognosis
Cancer
Category
Cancer
Category
Tau score
Cluster
Variants
Interacting gene (ensg_id)
Type
Number of interactions
Pathway
Category
Score
Score
Score
Validation
Validation
Validation
Validation
Antibodies
Data type
Column


  • SUMMARY

  • TISSUE

  • BRAIN

  • SINGLE CELL

  • SUBCELL

  • CANCER

  • BLOOD

  • CELL LINE

  • STRUCT & INT

  • PRAF2
TISSUE PRIMARY DATA SKELETAL MUSCLE Show tissue menu
ADIPOSE TISSUE ADRENAL GLAND AMYGDALA APPENDIX BASAL GANGLIA BONE MARROW BREAST BRONCHUS CEREBELLUM CEREBRAL CORTEX CERVIX CHOROID PLEXUS COLON DUODENUM
ENDOMETRIUM EPIDIDYMIS ESOPHAGUS FALLOPIAN TUBE GALLBLADDER HEART MUSCLE HIPPOCAMPAL FORMATION HYPOTHALAMUS KIDNEY LIVER LUNG LYMPH NODE MIDBRAIN NASOPHARYNX
ORAL MUCOSA OVARY PANCREAS PARATHYROID GLAND PITUITARY GLAND PLACENTA PROSTATE RECTUM RETINA SALIVARY GLAND SEMINAL VESICLE SKELETAL MUSCLE SKIN SMALL INTESTINE
SMOOTH MUSCLE SOFT TISSUE SPINAL CORD SPLEEN STOMACH TESTIS THYMUS THYROID GLAND TONGUE TONSIL URINARY BLADDER VAGINA
ANTIBODIES
AND
VALIDATION
Dictionary
Skeletal muscle
Tissue proteome
Skeletal muscle
SKELETAL MUSCLE - Expression summary
Protein expression
Skeletal musclei

On the top, protein expression in current human tissue, based on all annotated cell types, is reported with the units not detected (n), low (l), medium (m) and high (h). Underneath, protein expression in each annotated cell type are reported using the same units.

Protein expression data is based on knowledge-based annotation. For genes where more than one antibody has been used, a collective score is set.

If knowledge-based annotation could not be performed for a gene, no data is displayed here. View antibody staining data further down this page.

h
m
l
n
Myocytes: Low
RNA expressioni

A summary of mRNA expression data available for current tissue based on several datasets. The mRNA expression levels in human tissues are based on RNA-seq data generated by the Human Protein Atlas (HPA), Genotype-Tissue Expression (GTEx) portal and CAGE data generated by the FANTOM5 consortium. Consensus normalized expression levels for human tissues was created by combining the data from HPA and GTEx datasets.

The mRNA expression levels in pig are based on RNA-seq data generated by the Human Protein Atlas (HPA), and for mouse, HPA data and in situ hybridization generated by the Allen brain atlas are reported.

Scroll down to view mRNA expression data in more detail.
Consensus:11.7 nTPM
HPA:7.7 nTPM
GTEx:11.7 nTPM
FANTOM5:35.7 Scaled Tags Per Million

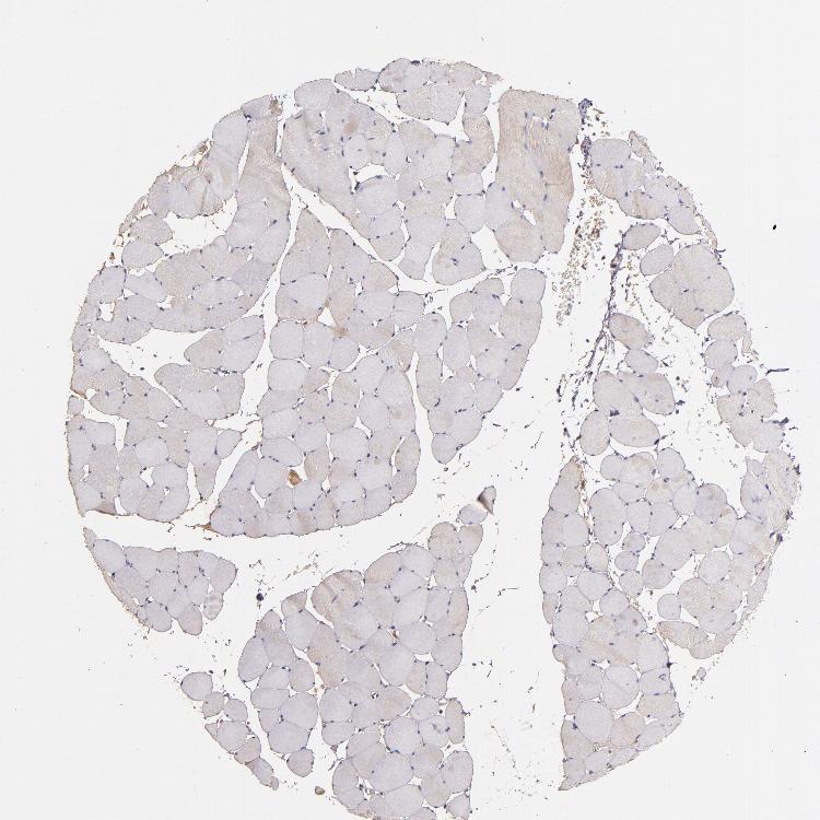
SKELETAL MUSCLE - Antibody stainingi

Antibody staining in the annotated cell types in the current human tissue is reported as not detected, low, medium, or high, based on conventional immunohistochemistry profiling in selected tissues. This score is based on the combination of the staining intensity and fraction of stained cells.

Each image is clickable and will lead to virtual microscopy that enables deeper exploration of all samples and also displays staining intensity scores, fraction scores and subcellular localization as well as patient and tissue information for each sample.

Antibody HPA002859Antibody CAB011655
Myocytes LowLow





SKELETAL MUSCLE - HPA RNA-seqi

The RNA-seq details section shows detailed information about the individual samples used for the transcript profiling and results of the RNA-seq analysis.

Information about each individual sample is listed below, including gender, age, a tissue section image and estimated fractions of cell types. nTPM (normalized transcripts per million) values give a quantification of the gene abundance which is comparable between different genes and samples.
Average nTPMi

Max subtype nTPM is the value for the subtype with the largest average nTPM across the subtype samples.

7.7
N/A
Male, age 23
Skeletal muscle sample 339
nTPM: 7.2
N/A
Female, age 25
Skeletal muscle sample 340
nTPM: 6.6
N/A
Female, age -
Skeletal muscle sample 341
nTPM: 6.5
N/A
Female, age 22
Skeletal muscle sample 342
nTPM: 9.3
N/A
Male, age 29
Skeletal muscle sample 343
nTPM: 8.7

SKELETAL MUSCLE - GTEx RNA-seqi

RNA-Seq data generated by the Genotype-Tissue Expression (GTEx) project from human tissues is reported as mean nTPM. More information can be found on the GTEx portal.

Distribution across the dataset is visualized with box plots, shown as median and 25th and 75th percentiles. Points are displayed as outliers if they are above or below 1.5 times the interquartile range. nTPM values of the individual samples are presented next to the box plot.
Max subtype nTPMi

Max subtype nTPM is the value for the subtype with the largest average nTPM across the subtype samples.

11.7
GTEx sample id Sample description nTPM
Muscle - Skeletal
Average nTPM: 11.7
Samples: 803

Max nTPM: 28.2
Min nTPM: 4.6
Std nTPM: 3.2
Median nTPM: 11.2
GTEX-1LVAO-0526-SM-EWRNS 60-69 years, male 28.2
GTEX-13NYC-0726-SM-5J2NQ 60-69 years, male 24.8
GTEX-WOFL-0626-SM-3MJG3 60-69 years, male 24.7
GTEX-1JMQL-0126-SM-CY8HN 50-59 years, female 24.0
GTEX-Y5LM-2126-SM-4VDSY 40-49 years, female 23.5
GTEX-OXRO-1726-SM-3LK6C 60-69 years, female 23.4
GTEX-1ICLZ-0626-SM-ARL83 60-69 years, male 23.4
GTEX-ZWKS-0326-SM-5NQ7G 30-39 years, male 23.0
GTEX-14E6C-1526-SM-664ND 40-49 years, male 21.9
GTEX-1H23P-0526-SM-9WG6S 60-69 years, male 21.5
GTEX-1CB4H-0426-SM-7MXTL 60-69 years, female 21.3
GTEX-146FQ-0326-SM-5NQAX 30-39 years, male 20.8
GTEX-ZTX8-1626-SM-51MRY 20-29 years, male 20.8
GTEX-ZQUD-1726-SM-7P8ON 30-39 years, male 20.0
GTEX-13IVO-0626-SM-5LZYJ 70-79 years, male 19.9
GTEX-WWTW-0626-SM-4MVNS 50-59 years, male 19.9
GTEX-ZT9X-1826-SM-57WDU 40-49 years, male 19.9
GTEX-1H4P4-0626-SM-9YFKZ 50-59 years, male 19.9
GTEX-11WQK-0726-SM-5GU71 50-59 years, male 19.6
GTEX-13YAN-0526-SM-5O9BE 60-69 years, male 19.5
GTEX-1A3MX-0526-SM-718A9 60-69 years, male 19.5
GTEX-183WM-0426-SM-731B1 70-79 years, female 19.4
GTEX-11DZ1-0926-SM-5EQ5R 50-59 years, male 19.3
GTEX-X88G-0326-SM-47JZ4 30-39 years, male 19.3
GTEX-14A5H-0326-SM-5RQIB 60-69 years, male 19.2
GTEX-14PN4-0326-SM-6EU2N 50-59 years, male 19.2
GTEX-17EVQ-1226-SM-7LG59 70-79 years, male 19.2
GTEX-X4XY-0626-SM-4E3IN 60-69 years, male 19.2
GTEX-139T4-0326-SM-5K7XN 50-59 years, female 19.1
GTEX-XV7Q-2926-SM-4BRUL 40-49 years, female 19.1
GTEX-ZZPT-0626-SM-5GZXT 50-59 years, male 19.1
GTEX-VJYA-1926-SM-3GIJJ 60-69 years, male 19.0
GTEX-1CB4J-1226-SM-7P8P3 60-69 years, male 19.0
GTEX-1N2EF-0526-SM-E76OK 60-69 years, male 18.9
GTEX-P4PQ-1626-SM-2HMKK 60-69 years, male 18.7
GTEX-1399Q-2426-SM-5J2MO 40-49 years, male 18.6
GTEX-14ASI-0526-SM-5QGQP 60-69 years, male 18.6
GTEX-OHPN-2726-SM-2I5H4 60-69 years, female 18.4
GTEX-XYKS-2426-SM-4AT43 60-69 years, female 18.4
GTEX-YFCO-1926-SM-4W212 40-49 years, male 18.3
GTEX-1GZ4I-0526-SM-9YFLX 50-59 years, male 18.3
GTEX-16NPV-2426-SM-6M482 50-59 years, female 18.1
GTEX-QDVN-2426-SM-2S1Q4 50-59 years, male 18.0
GTEX-1HSMO-0526-SM-ACKXB 60-69 years, male 18.0
GTEX-13FTY-0226-SM-5IJBW 40-49 years, female 17.9
GTEX-Y8E5-0326-SM-57WBM 60-69 years, male 17.9
GTEX-1F88E-1826-SM-9MQLV 60-69 years, female 17.9
GTEX-1NHNU-1226-SM-DTX8I 50-59 years, male 17.9
GTEX-QDVJ-1926-SM-2S1PJ 50-59 years, male 17.8
GTEX-1ICG6-2726-SM-CKZPN 70-79 years, female 17.8
GTEX-13PDP-0326-SM-5K7XP 60-69 years, male 17.6
GTEX-U8XE-0726-SM-3DB8O 30-39 years, male 17.6
GTEX-ZV7C-2426-SM-5NQ7Q 50-59 years, male 17.6
GTEX-11TT1-2326-SM-5GU6N 20-29 years, male 17.5
GTEX-13X6I-0526-SM-5QGP8 60-69 years, male 17.5
GTEX-P4PP-1626-SM-2HMJF 30-39 years, female 17.5
GTEX-ZTPG-0126-SM-5O9AL 20-29 years, female 17.5
GTEX-13FXS-0326-SM-5K7TV 50-59 years, male 17.4
GTEX-13O1R-0526-SM-5K7XU 60-69 years, male 17.4
GTEX-14PQA-0526-SM-7KUFS 50-59 years, female 17.4
GTEX-ZVT2-2426-SM-57WCQ 50-59 years, female 17.4
GTEX-1PWST-0426-SM-E76QV 70-79 years, male 17.3
GTEX-132AR-1026-SM-5PNVL 50-59 years, female 17.1
GTEX-13NYS-0326-SM-5MR4L 60-69 years, male 17.1
GTEX-14C38-0426-SM-5TDDZ 50-59 years, male 17.1
GTEX-1A32A-0526-SM-731B9 50-59 years, female 17.1
GTEX-15G19-0526-SM-6PAMT 60-69 years, male 17.0
GTEX-1IGQW-0526-SM-CKZO3 60-69 years, male 16.9
GTEX-11O72-0326-SM-5986D 40-49 years, male 16.8
GTEX-1FIGZ-1726-SM-9MQKS 40-49 years, male 16.5
GTEX-1R7EU-0626-SM-DTX9N 60-69 years, male 16.5
GTEX-13S86-2326-SM-5RQK1 40-49 years, male 16.4
GTEX-S32W-2326-SM-2XCAW 50-59 years, female 16.4
GTEX-ZY6K-2026-SM-5GZXQ 50-59 years, male 16.4
GTEX-1S82U-1426-SM-E6CJL 30-39 years, female 16.4
GTEX-13OVJ-0226-SM-5L3GK 50-59 years, female 16.2
GTEX-15G1A-2026-SM-7KUFG 30-39 years, male 16.2
GTEX-12WSM-0326-SM-5LZVI 60-69 years, male 16.1
GTEX-13FTX-2026-SM-5L3D6 20-29 years, female 16.0
GTEX-145MI-0326-SM-5Q5EV 60-69 years, female 16.0
GTEX-O5YT-1626-SM-32PK6 20-29 years, male 16.0
GTEX-U8T8-1426-SM-3DB9H 60-69 years, male 15.9
GTEX-WHSE-0526-SM-5GZZD 20-29 years, male 15.9
GTEX-1KANB-0126-SM-E6CJT 50-59 years, male 15.9
GTEX-1477Z-1626-SM-5SIA8 60-69 years, male 15.8
GTEX-14LLW-0526-SM-62LFB 70-79 years, female 15.8
GTEX-1R9PN-1826-SM-E8VO4 40-49 years, female 15.8
GTEX-11DXX-2726-SM-5PNXO 60-69 years, female 15.7
GTEX-1IDJE-2426-SM-ACKWF 50-59 years, female 15.7
GTEX-1R9K5-0326-SM-EWRNG 50-59 years, male 15.7
GTEX-1339X-2426-SM-5KLYU 40-49 years, male 15.6
GTEX-1399S-2726-SM-5KM22 30-39 years, female 15.6
GTEX-Y114-2526-SM-4TT8M 50-59 years, female 15.6
GTEX-1I1GU-2126-SM-CGQF9 40-49 years, male 15.5
GTEX-1JMPZ-0126-SM-CNPOZ 30-39 years, male 15.5
GTEX-1LC47-0626-SM-DIPFE 60-69 years, male 15.5
GTEX-11TUW-2526-SM-5EQKN 60-69 years, male 15.4
GTEX-13CF3-1826-SM-5J1NK 60-69 years, female 15.4
GTEX-13OW5-0326-SM-5L3HK 60-69 years, male 15.4
GTEX-1IDJF-0326-SM-ADEIG 20-29 years, male 15.4
GTEX-1314G-1726-SM-5LZUX 30-39 years, male 15.3
GTEX-1C6VQ-0326-SM-7DHMS 50-59 years, male 15.3
GTEX-X8HC-0526-SM-4E3JA 50-59 years, female 15.3
GTEX-1QW4Y-1726-SM-EWRN1 30-39 years, male 15.3
GTEX-132NY-0726-SM-5KLZM 60-69 years, male 15.2
GTEX-14H4A-0926-SM-5ZZUU 40-49 years, female 15.2
GTEX-17HG3-2726-SM-7DHL5 30-39 years, female 15.2
GTEX-1B97J-1226-SM-7PBZR 50-59 years, female 15.2
GTEX-1J1OQ-0426-SM-A9SLI 40-49 years, female 15.2
GTEX-1JN1M-0526-SM-CJI3D 60-69 years, female 15.2
GTEX-11UD1-0326-SM-5EQKX 40-49 years, female 15.1
GTEX-1LG7Z-2126-SM-CXKYU 30-39 years, male 15.1
GTEX-RUSQ-1726-SM-2TF68 50-59 years, male 15.0
GTEX-ZVE1-0526-SM-5NQ71 50-59 years, female 15.0
GTEX-12WSJ-1726-SM-5LZVV 40-49 years, female 14.9
GTEX-144GM-2026-SM-5LU3D 20-29 years, male 14.9
GTEX-145LT-1626-SM-5O992 40-49 years, male 14.9
GTEX-1H2FU-0526-SM-ACKXO 60-69 years, female 14.9
GTEX-1IDJD-1326-SM-CM2TQ 30-39 years, male 14.9
GTEX-1IDJV-0426-SM-COH3Z 60-69 years, male 14.9
GTEX-13SLW-0326-SM-5RQK5 70-79 years, male 14.8
GTEX-1117F-0426-SM-5EGHI 60-69 years, female 14.7
GTEX-111YS-2326-SM-5987L 60-69 years, male 14.7
GTEX-12WSN-2526-SM-5LZU8 40-49 years, male 14.7
GTEX-15UKP-0326-SM-7KUFP 20-29 years, male 14.7
GTEX-ZAB5-2126-SM-5K7UN 50-59 years, male 14.7
GTEX-ZE7O-0326-SM-51MTH 50-59 years, female 14.7
GTEX-1ICLY-0326-SM-ARL7S 50-59 years, male 14.7
GTEX-11LCK-1226-SM-5Q5AM 30-39 years, male 14.6
GTEX-1EH9U-0326-SM-7P8S2 60-69 years, male 14.6
GTEX-12WSF-0926-SM-6PALU 70-79 years, male 14.5
GTEX-1F88F-2526-SM-7PC2R 60-69 years, female 14.5
GTEX-1MJIX-2126-SM-E9J3A 40-49 years, male 14.5
GTEX-1QCLY-0426-SM-E8VOH 30-39 years, male 14.5
GTEX-14PJ4-2426-SM-6EU1U 60-69 years, male 14.4
GTEX-WXYG-2526-SM-3NB3F 50-59 years, female 14.4
GTEX-ZYW4-0526-SM-5GZZ5 60-69 years, male 14.4
GTEX-144GN-2426-SM-5LU4R 50-59 years, male 14.3
GTEX-15CHQ-0726-SM-6EU18 60-69 years, male 14.3
GTEX-18D9B-0426-SM-7LTAR 60-69 years, male 14.3
GTEX-1AMFI-2226-SM-731C6 50-59 years, female 14.3
GTEX-11XUK-2226-SM-5CVLL 40-49 years, female 14.2
GTEX-145MN-2426-SM-5NQA5 30-39 years, male 14.2
GTEX-14BIM-0326-SM-5SI9B 60-69 years, female 14.2
GTEX-1QPFJ-0326-SM-E8VO2 30-39 years, female 14.2
GTEX-11EM3-2126-SM-5H11M 20-29 years, female 14.1
GTEX-1LGRB-2626-SM-CNPPR 50-59 years, female 14.1
GTEX-1P4AB-0326-SM-EXUT3 50-59 years, male 14.1
GTEX-146FH-0526-SM-5QGQ3 50-59 years, female 14.0
GTEX-R3RS-0526-SM-3GADG 40-49 years, female 14.0
GTEX-WFON-2326-SM-3LK7M 40-49 years, male 14.0
GTEX-XBEW-1026-SM-4QARV 40-49 years, male 14.0
GTEX-1PBJJ-0326-SM-E8VNT 30-39 years, male 14.0
GTEX-ZEX8-2526-SM-DO92M 50-59 years, male 14.0
GTEX-139T8-0526-SM-5KLZL 60-69 years, male 13.9
GTEX-18A7B-0326-SM-7LG65 70-79 years, male 13.9
GTEX-V1D1-2426-SM-3GAER 50-59 years, male 13.9
GTEX-1PDJ9-0526-SM-DTXDL 20-29 years, male 13.9
GTEX-P4QT-1626-SM-DHXIR 50-59 years, female 13.9
GTEX-12696-2826-SM-5FQTY 60-69 years, male 13.8
GTEX-139UW-2626-SM-5K7W1 60-69 years, male 13.8
GTEX-OIZG-1326-SM-2HMIQ 50-59 years, male 13.8
GTEX-XAJ8-1026-SM-47JY9 40-49 years, male 13.8
GTEX-1QP2A-0526-SM-E8VN5 50-59 years, male 13.8
GTEX-1R46S-0326-SM-EWRNE 60-69 years, female 13.8
GTEX-S33H-2226-SM-DKPOP 30-39 years, male 13.8
GTEX-1B97I-2026-SM-7DHN2 40-49 years, male 13.7
GTEX-OHPL-1626-SM-2HMIR 60-69 years, female 13.7
GTEX-X4XX-0626-SM-3NMC1 60-69 years, male 13.7
GTEX-1KANA-0926-SM-D3L9K 20-29 years, male 13.7
GTEX-XMD1-0626-SM-EZ6MC 60-69 years, male 13.7
GTEX-11I78-2426-SM-5A5K9 50-59 years, female 13.6
GTEX-13QIC-1226-SM-5K7YR 60-69 years, female 13.6
GTEX-13RTJ-2726-SM-73KVG 60-69 years, male 13.6
GTEX-13X6H-2326-SM-7EWEB 50-59 years, female 13.6
GTEX-15SDE-2326-SM-6PAL4 50-59 years, female 13.6
GTEX-15UF7-2226-SM-6PAMQ 40-49 years, male 13.6
GTEX-17F96-2726-SM-7LT9F 70-79 years, male 13.6
GTEX-18D9U-0626-SM-7LTA4 40-49 years, male 13.6
GTEX-1C6WA-0326-SM-7DUGE 60-69 years, male 13.6
GTEX-PSDG-0426-SM-5SI86 50-59 years, male 13.6
GTEX-QEG5-0426-SM-2I5GJ 20-29 years, male 13.6
GTEX-XGQ4-2326-SM-4AT53 50-59 years, male 13.6
GTEX-1HFI6-0426-SM-B2LXB 40-49 years, male 13.6
GTEX-1PPGY-0426-SM-DTXFE 60-69 years, male 13.6
GTEX-132Q8-0626-SM-5L3F3 60-69 years, male 13.5
GTEX-15UF6-1026-SM-7KUF7 70-79 years, female 13.5
GTEX-PLZ4-0926-SM-2S1OI 50-59 years, female 13.5
GTEX-XUW1-0826-SM-4BOP6 50-59 years, female 13.5
GTEX-ZV6S-2126-SM-4YCEM 40-49 years, female 13.5
GTEX-1I4MK-2326-SM-ADEHR 50-59 years, female 13.5
GTEX-131XH-2726-SM-5GCO2 50-59 years, male 13.4
GTEX-13N1W-0526-SM-5MR4I 70-79 years, male 13.4
GTEX-144GO-1326-SM-5Q5EL 60-69 years, male 13.4
GTEX-14PJO-0526-SM-6EU2O 60-69 years, male 13.4
GTEX-OXRN-1326-SM-3LK5V 50-59 years, male 13.4
GTEX-QVUS-0226-SM-3GIJY 60-69 years, female 13.4
GTEX-1M4P7-0126-SM-DKPQF 60-69 years, male 13.4
GTEX-14PJ3-2026-SM-5ZZVK 50-59 years, male 13.3
GTEX-OOBJ-1626-SM-2I3F7 60-69 years, male 13.3
GTEX-1HC8U-2626-SM-CNPPH 40-49 years, female 13.3
GTEX-13113-5019-SM-7EPH2 60-69 years, female 13.2
GTEX-1AX9K-2726-SM-7DHMA 50-59 years, male 13.2
GTEX-YF7O-2526-SM-5IFJX 50-59 years, male 13.2
GTEX-ZAKK-0326-SM-5EGHA 70-79 years, male 13.2
GTEX-1F5PL-0426-SM-7P8PR 40-49 years, female 13.2
GTEX-1GF9U-2326-SM-7RHH9 40-49 years, female 13.2
GTEX-1JK1U-2226-SM-CNNPL 60-69 years, male 13.2
GTEX-13FTZ-2226-SM-5LZXI 60-69 years, male 13.1
GTEX-18A67-0326-SM-7LG5X 50-59 years, male 13.1
GTEX-1A3MW-0526-SM-731BY 60-69 years, female 13.1
GTEX-ZE9C-2326-SM-5J1NT 60-69 years, male 13.1
GTEX-ZZ64-1526-SM-5E43K 20-29 years, male 13.1
GTEX-1LVAM-0326-SM-DIPFL 50-59 years, female 13.1
GTEX-1S82Y-2226-SM-EWRNV 40-49 years, male 13.1
GTEX-14XAO-2226-SM-6LLHU 60-69 years, female 13.0
GTEX-16AAH-1826-SM-7939D 50-59 years, male 13.0
GTEX-17MF6-2026-SM-7LG5I 40-49 years, male 13.0
GTEX-1LVA9-0326-SM-DLHBU 50-59 years, male 13.0
GTEX-1QEPI-0526-SM-E76QF 60-69 years, female 13.0
GTEX-1R7EV-2026-SM-DTX83 40-49 years, male 13.0
GTEX-13O61-2326-SM-5J1NJ 60-69 years, male 12.9
GTEX-13SLX-0326-SM-5Q5E4 50-59 years, female 12.9
GTEX-14JG6-2126-SM-6EU2F 30-39 years, female 12.9
GTEX-1IDJC-2026-SM-ADEIK 50-59 years, male 12.9
GTEX-1N2DW-0426-SM-E9TK4 50-59 years, male 12.9
GTEX-147F3-0226-SM-5NQBV 50-59 years, female 12.8
GTEX-14E1K-2326-SM-664MP 50-59 years, male 12.8
GTEX-Y3I4-2326-SM-4TT81 50-59 years, male 12.8
GTEX-1E2YA-0526-SM-7P8RY 50-59 years, male 12.8
GTEX-11NSD-2026-SM-5HL5U 20-29 years, male 12.7
GTEX-13G51-2726-SM-5LZZ9 60-69 years, male 12.7
GTEX-15DDE-0526-SM-6ETZQ 50-59 years, female 12.7
GTEX-XQ8I-0626-SM-4BOPT 50-59 years, male 12.7
GTEX-YBZK-0326-SM-59HLN 50-59 years, female 12.7
GTEX-1GMR8-0326-SM-9KNUO 50-59 years, female 12.7
GTEX-1H3VE-0126-SM-9WYTW 40-49 years, male 12.7
GTEX-1S82P-0326-SM-E9TIR 60-69 years, female 12.7
GTEX-13111-2226-SM-5LZUE 50-59 years, male 12.6
GTEX-13NYB-2726-SM-5J2MT 40-49 years, male 12.6
GTEX-13W46-0726-SM-5LU3Z 50-59 years, male 12.6
GTEX-144FL-0326-SM-5O99O 50-59 years, male 12.6
GTEX-145MG-0226-SM-5TDDB 50-59 years, male 12.6
GTEX-14C39-2426-SM-5S2U5 40-49 years, male 12.6
GTEX-16MTA-2026-SM-7KUL3 50-59 years, male 12.6
GTEX-OOBK-1626-SM-2HMKG 40-49 years, male 12.6
GTEX-Q2AH-1826-SM-2S1Q2 40-49 years, male 12.6
GTEX-WRHK-1626-SM-3MJFH 20-29 years, female 12.6
GTEX-ZDXO-0326-SM-4WKHJ 60-69 years, male 12.6
GTEX-1F52S-0826-SM-7P8TQ 60-69 years, female 12.6
GTEX-1JMPY-1226-SM-CJI3A 30-39 years, male 12.6
GTEX-1128S-2426-SM-5H11B 60-69 years, female 12.5
GTEX-11GS4-2526-SM-5A5KT 60-69 years, male 12.5
GTEX-11UD2-0326-SM-5EQLE 50-59 years, male 12.5
GTEX-1269C-2626-SM-5EQ5C 60-69 years, female 12.5
GTEX-13RTK-1626-SM-5QGQS 20-29 years, male 12.5
GTEX-1445S-0626-SM-5LU3C 60-69 years, male 12.5
GTEX-15RJ7-2426-SM-6M48L 40-49 years, male 12.5
GTEX-16Z82-0126-SM-7DHLF 60-69 years, male 12.5
GTEX-T5JC-0626-SM-3NMA6 20-29 years, male 12.5
GTEX-ZP4G-2026-SM-57WEH 20-29 years, female 12.5
GTEX-1GN1V-0326-SM-9WYTO 60-69 years, male 12.5
GTEX-1GZ4H-1626-SM-7PC3F 50-59 years, female 12.5
GTEX-1LH75-2626-SM-E9TKL 50-59 years, female 12.5
GTEX-12ZZZ-0226-SM-59HKU 60-69 years, male 12.4
GTEX-13D11-2526-SM-5KM28 50-59 years, female 12.4
GTEX-13X6K-0326-SM-5Q5D6 60-69 years, female 12.4
GTEX-14JIY-0426-SM-62LF7 60-69 years, male 12.4
GTEX-ZVZO-0326-SM-5HL4N 40-49 years, male 12.4
GTEX-1J8EW-0326-SM-CYPSX 60-69 years, female 12.4
GTEX-1QP67-1826-SM-DTX8D 40-49 years, female 12.4
GTEX-13FTW-2326-SM-5K7YS 40-49 years, male 12.3
GTEX-13RTL-0326-SM-7LT89 40-49 years, male 12.3
GTEX-1CB4I-0326-SM-7DHMM 50-59 years, male 12.3
GTEX-QDT8-0526-SM-3NMD8 30-39 years, female 12.3
GTEX-YECK-0626-SM-4W1ZE 60-69 years, male 12.3
GTEX-ZF28-0526-SM-4WKGW 60-69 years, male 12.3
GTEX-1GZ2Q-0426-SM-9WPOU 40-49 years, male 12.3
GTEX-1JMQK-0326-SM-ARZN5 60-69 years, male 12.3
GTEX-1MCC2-2726-SM-EWRN3 30-39 years, female 12.3
GTEX-11EMC-2626-SM-59864 60-69 years, female 12.2
GTEX-12WSA-0726-SM-5FQU2 60-69 years, male 12.2
GTEX-12WSC-0326-SM-5EQ5E 50-59 years, male 12.2
GTEX-13FHO-0726-SM-5IJDG 60-69 years, male 12.2
GTEX-13OVI-1726-SM-5L3DW 60-69 years, female 12.2
GTEX-13PVR-2526-SM-5RQIT 60-69 years, female 12.2
GTEX-14PII-0626-SM-69LPY 60-69 years, male 12.2
GTEX-1A3MV-2026-SM-718BU 30-39 years, male 12.2
GTEX-1B8SG-0326-SM-73KXW 50-59 years, male 12.2
GTEX-NFK9-0626-SM-2HMIV 40-49 years, male 12.2
GTEX-V955-2426-SM-3GAEF 60-69 years, male 12.2
GTEX-VUSG-2626-SM-4KKZI 50-59 years, male 12.2
GTEX-WHSB-1826-SM-3TW8M 50-59 years, male 12.2
GTEX-XBED-2626-SM-4E3J5 60-69 years, male 12.2
GTEX-1HKZK-0226-SM-9WYUG 40-49 years, male 12.2
GTEX-1MA7W-1826-SM-DIPFP 20-29 years, female 12.2
GTEX-13PL6-0326-SM-5IJCP 40-49 years, female 12.1
GTEX-13VXT-0326-SM-5LU4U 20-29 years, female 12.1
GTEX-15F5U-1826-SM-6LLJF 40-49 years, male 12.1
GTEX-15SKB-2526-SM-6PALP 60-69 years, male 12.1
GTEX-18A7A-0626-SM-718BJ 50-59 years, female 12.1
GTEX-1C6VR-2526-SM-7DHMT 60-69 years, male 12.1
GTEX-YEC3-2126-SM-4YCDB 50-59 years, male 12.1
GTEX-ZUA1-0326-SM-5NQA3 40-49 years, male 12.1
GTEX-1CAMQ-0326-SM-7MXUI 40-49 years, male 12.1
GTEX-1EU9M-0126-SM-7P8P8 60-69 years, male 12.1
GTEX-1F75A-0626-SM-7PBYI 50-59 years, male 12.1
GTEX-1HSGN-0326-SM-ACKXQ 40-49 years, female 12.1
GTEX-1IDFM-1526-SM-ARL7U 60-69 years, male 12.1
GTEX-1MUQO-0226-SM-E9TJL 60-69 years, male 12.1
GTEX-117YX-2526-SM-5EQ4Q 50-59 years, male 12.0
GTEX-1CAMS-0126-SM-79396 40-49 years, female 12.0
GTEX-ZYFD-0326-SM-5NQ8I 50-59 years, male 12.0
GTEX-169BO-1526-SM-9KNVR 50-59 years, male 12.0
GTEX-1H1E6-2126-SM-9KNVM 30-39 years, male 12.0
GTEX-1LG7Y-0126-SM-E6CJ8 50-59 years, male 12.0
GTEX-1QAET-2026-SM-E9J3S 50-59 years, male 12.0
GTEX-1RQED-0426-SM-E6CJP 60-69 years, male 12.0
GTEX-139D8-0726-SM-5P9GJ 30-39 years, female 11.9
GTEX-13NZ9-0626-SM-5IJCO 50-59 years, male 11.9
GTEX-147F4-0326-SM-5TDCK 50-59 years, male 11.9
GTEX-U3ZG-0326-SM-47JXN 50-59 years, male 11.9
GTEX-WRHU-0826-SM-3MJFN 50-59 years, female 11.9
GTEX-XPT6-2026-SM-4B64V 20-29 years, male 11.9
GTEX-1M5QR-1326-SM-EWROC 40-49 years, male 11.9
GTEX-WEY5-2026-SM-CYPRC 40-49 years, female 11.9
GTEX-11GSP-2726-SM-5A5LJ 60-69 years, female 11.8
GTEX-1399U-2526-SM-5L3DL 50-59 years, female 11.8
GTEX-13PLJ-0326-SM-5L3I7 60-69 years, female 11.8
GTEX-14PJ6-2326-SM-6ETZR 60-69 years, female 11.8
GTEX-POMQ-1926-SM-3NB1Y 20-29 years, female 11.8
GTEX-TKQ1-1426-SM-4GICK 30-39 years, male 11.8
GTEX-YEC4-2226-SM-5IFJT 40-49 years, male 11.8
GTEX-1EX96-1526-SM-7PBXK 50-59 years, male 11.8
GTEX-1GMR2-2126-SM-7P8TX 50-59 years, male 11.8
GTEX-111CU-2026-SM-5GZZC 50-59 years, male 11.7
GTEX-113JC-2726-SM-5EGIS 50-59 years, female 11.7
GTEX-11WQC-2626-SM-5CVLF 60-69 years, male 11.7
GTEX-14A6H-5019-SM-793DH 30-39 years, male 11.7
GTEX-17EUY-0626-SM-793BE 20-29 years, male 11.7
GTEX-1F75B-0526-SM-7P8T5 50-59 years, male 11.7
GTEX-1I1GP-2126-SM-CKZPJ 50-59 years, male 11.7
GTEX-1J1R8-2326-SM-CKZPS 40-49 years, male 11.7
GTEX-131XE-2726-SM-5P9G7 50-59 years, male 11.6
GTEX-139T6-2026-SM-5IFFL 50-59 years, male 11.6
GTEX-1497J-2626-SM-5SI9K 60-69 years, male 11.6
GTEX-15CHC-2426-SM-6EU22 60-69 years, female 11.6
GTEX-15RIG-0426-SM-7KUF4 40-49 years, male 11.6
GTEX-1CB4E-2126-SM-793AP 60-69 years, male 11.6
GTEX-OIZH-1626-SM-2HMKI 50-59 years, male 11.6
GTEX-REY6-0826-SM-2TF4S 60-69 years, male 11.6
GTEX-U3ZH-1926-SM-4DXTR 30-39 years, male 11.6
GTEX-Z9EW-1726-SM-5CVMO 40-49 years, male 11.6
GTEX-ZYFC-0526-SM-5GIDF 50-59 years, male 11.6
GTEX-1GN2E-0726-SM-9MQLU 60-69 years, male 11.6
GTEX-1H11D-0326-SM-9WG71 40-49 years, male 11.6
GTEX-1HSEH-0326-SM-A9G26 60-69 years, male 11.6
GTEX-VJWN-0426-SM-3GIJI 50-59 years, female 11.5
GTEX-1C64N-0326-SM-7P8QC 50-59 years, male 11.5
GTEX-1CAV2-2426-SM-7P8QF 40-49 years, female 11.5
GTEX-1PPH7-2526-SM-E76OJ 40-49 years, male 11.5
GTEX-145LS-0526-SM-5LU8Y 60-69 years, female 11.4
GTEX-145LV-2326-SM-5LU8Z 50-59 years, male 11.4
GTEX-14PJN-2126-SM-6AJBM 30-39 years, male 11.4
GTEX-PLZ5-1726-SM-2I5F6 50-59 years, male 11.4
GTEX-SIU8-0526-SM-2XCDP 50-59 years, male 11.4
GTEX-Y8E4-1026-SM-4VBQ5 40-49 years, male 11.4
GTEX-ZYFG-2426-SM-5GIE8 60-69 years, female 11.4
GTEX-1F6I4-0326-SM-7P8T8 60-69 years, male 11.4
GTEX-1H3VY-0326-SM-9WYU6 50-59 years, male 11.4
GTEX-1I1GT-0726-SM-B2LWN 60-69 years, female 11.4
GTEX-1MCQQ-0626-SM-E9U5Q 60-69 years, male 11.4
GTEX-1MJK3-1426-SM-E9TK1 20-29 years, male 11.4
GTEX-1RAZA-0526-SM-E76R2 20-29 years, male 11.4
GTEX-ZLWG-2126-SM-DO91M 50-59 years, female 11.4
GTEX-111FC-0326-SM-5GZZ1 60-69 years, male 11.3
GTEX-1192X-0426-SM-5GIEE 50-59 years, male 11.3
GTEX-11OC5-0326-SM-5PNW5 60-69 years, male 11.3
GTEX-139TS-2626-SM-5J1MT 60-69 years, male 11.3
GTEX-15RIF-2126-SM-7KUM8 20-29 years, male 11.3
GTEX-QXCU-1726-SM-2TC6L 50-59 years, male 11.3
GTEX-XPVG-2526-SM-4B66D 50-59 years, male 11.3
GTEX-XUZC-2126-SM-4BRW8 30-39 years, female 11.3
GTEX-ZA64-2026-SM-5PNXT 20-29 years, male 11.3
GTEX-1GF9X-2126-SM-7PBXN 40-49 years, female 11.3
GTEX-1GMRU-0326-SM-9WYT6 50-59 years, male 11.3
GTEX-1JMQI-2126-SM-CM2SC 50-59 years, male 11.3
GTEX-1QP66-1626-SM-E76PC 50-59 years, male 11.3
GTEX-11EQ8-0526-SM-5N9BC 60-69 years, male 11.2
GTEX-11H98-0326-SM-5HL4S 50-59 years, male 11.2
GTEX-11ZTT-2626-SM-5EQKK 60-69 years, female 11.2
GTEX-12WSL-2726-SM-5CVNL 50-59 years, male 11.2
GTEX-131XG-2326-SM-5HL8F 50-59 years, female 11.2
GTEX-13O3P-0626-SM-5L3D5 50-59 years, male 11.2
GTEX-146FR-1726-SM-5Q5DT 60-69 years, female 11.2
GTEX-14E6E-2026-SM-664N5 30-39 years, male 11.2
GTEX-OXRL-1626-SM-2YUMU 50-59 years, male 11.2
GTEX-P44G-0526-SM-2XCD1 30-39 years, male 11.2
GTEX-ZAB4-0426-SM-5HL7N 40-49 years, male 11.2
GTEX-1GF9V-0126-SM-9WYT2 60-69 years, male 11.2
GTEX-1I1GQ-0326-SM-A9SKS 50-59 years, male 11.2
GTEX-1I6K6-0326-SM-CJI4A 30-39 years, male 11.2
GTEX-1S5ZA-0526-SM-EWRO1 20-29 years, male 11.2
GTEX-11OF3-2526-SM-5P9JL 60-69 years, male 11.1
GTEX-13JVG-0126-SM-5L3D3 60-69 years, male 11.1
GTEX-13X6J-0326-SM-7EPGD 50-59 years, male 11.1
GTEX-15D79-0526-SM-6ETZP 50-59 years, male 11.1
GTEX-16XZY-2226-SM-7938N 70-79 years, male 11.1
GTEX-P4QS-1626-SM-2S1NH 60-69 years, male 11.1
GTEX-SUCS-1626-SM-32PLS 70-79 years, male 11.1
GTEX-Y9LG-1926-SM-5IFHY 30-39 years, male 11.1
GTEX-Z93S-1326-SM-5CVMR 50-59 years, male 11.1
GTEX-1HB9E-0326-SM-D3LA5 50-59 years, male 11.1
GTEX-1HBPN-0526-SM-A9SM6 50-59 years, male 11.1
GTEX-1IY9M-0326-SM-ARZMN 60-69 years, male 11.1
GTEX-1K9T9-0326-SM-EWRNQ 50-59 years, female 11.1
GTEX-1122O-2426-SM-5GIDN 60-69 years, female 11.0
GTEX-12584-0526-SM-5FQTS 40-49 years, male 11.0
GTEX-13NZB-2626-SM-5J2M7 30-39 years, male 11.0
GTEX-13OVH-0626-SM-5L3EI 70-79 years, male 11.0
GTEX-14BMU-2026-SM-5S2W6 20-29 years, female 11.0
GTEX-18D9A-1826-SM-718BK 30-39 years, female 11.0
GTEX-N7MS-0426-SM-2YUN6 60-69 years, male 11.0
GTEX-1F5PK-2626-SM-7RHH6 50-59 years, male 11.0
GTEX-1HR9M-0326-SM-CL549 60-69 years, male 11.0
GTEX-13OVG-2126-SM-5KM1K 60-69 years, male 10.9
GTEX-148VJ-0326-SM-5QGQE 70-79 years, male 10.9
GTEX-14PJ5-2026-SM-6LLIN 60-69 years, female 10.9
GTEX-17GQL-1926-SM-718B9 60-69 years, male 10.9
GTEX-18QFQ-0326-SM-731C3 30-39 years, male 10.9
GTEX-1C2JI-2126-SM-793CG 50-59 years, male 10.9
GTEX-R53T-1826-SM-3GIJX 50-59 years, female 10.9
GTEX-ZVT4-0326-SM-51MS5 50-59 years, female 10.9
GTEX-ZXG5-0326-SM-5GICH 60-69 years, male 10.9
GTEX-1A8FM-0526-SM-7P8SF 50-59 years, female 10.9
GTEX-1H1DE-1726-SM-A9G3G 20-29 years, male 10.9
GTEX-1IE54-0326-SM-ARZMD 40-49 years, female 10.9
GTEX-1K2DA-2226-SM-CGQGM 50-59 years, male 10.9
GTEX-1R9K4-0626-SM-E76OZ 60-69 years, male 10.9
GTEX-11EI6-0326-SM-5EQ6G 60-69 years, male 10.8
GTEX-1313W-0526-SM-5P9FZ 50-59 years, female 10.8
GTEX-14AS3-2126-SM-5S2MK 40-49 years, female 10.8
GTEX-1C475-1726-SM-73KVX 40-49 years, female 10.8
GTEX-TSE9-0526-SM-3DB7Z 60-69 years, female 10.8
GTEX-XQ3S-0426-SM-4BOOA 20-29 years, male 10.8
GTEX-Y3IK-2626-SM-4WWDK 50-59 years, female 10.8
GTEX-YB5K-2326-SM-5IFHD 40-49 years, female 10.8
GTEX-ZLV1-2126-SM-4WWD2 60-69 years, female 10.8
GTEX-ZQG8-1226-SM-51MRX 60-69 years, female 10.8
GTEX-1HT8W-0326-SM-CM2SG 30-39 years, male 10.8
GTEX-1QP28-0526-SM-E8VNR 50-59 years, female 10.8
GTEX-11P7K-1926-SM-5GU6R 30-39 years, male 10.7
GTEX-133LE-2026-SM-5K7WM 20-29 years, female 10.7
GTEX-1E1VI-0426-SM-7DHN1 50-59 years, male 10.7
GTEX-WWYW-0526-SM-3NB2W 50-59 years, female 10.7
GTEX-1C6VS-0126-SM-7PC2H 60-69 years, male 10.7
GTEX-1GN1U-2226-SM-9MQK1 50-59 years, female 10.7
GTEX-1GPI6-0326-SM-9MQM6 60-69 years, male 10.7
GTEX-1MCYP-2026-SM-DTXE4 20-29 years, female 10.7
GTEX-13N11-2726-SM-5L3ER 50-59 years, female 10.6
GTEX-TKQ2-0826-SM-33HB6 50-59 years, male 10.6
GTEX-WYJK-1726-SM-3NM9U 50-59 years, male 10.6
GTEX-ZC5H-0326-SM-5HL9F 40-49 years, female 10.6
GTEX-1HSMQ-1326-SM-ADEHS 50-59 years, male 10.6
GTEX-1K2DU-2526-SM-D3L8V 20-29 years, male 10.6
GTEX-1LVAN-0526-SM-CNNQ1 50-59 years, female 10.6
GTEX-11P82-1826-SM-5PNYJ 20-29 years, male 10.5
GTEX-14DAQ-0326-SM-664MR 60-69 years, female 10.5
GTEX-14LZ3-0626-SM-5ZZWP 60-69 years, female 10.5
GTEX-1AMEY-1526-SM-73KYW 30-39 years, female 10.5
GTEX-OXRK-1826-SM-2HMJE 50-59 years, female 10.5
GTEX-P78B-1626-SM-5SI85 40-49 years, female 10.5
GTEX-TMMY-0426-SM-33HBB 40-49 years, female 10.5
GTEX-U3ZM-1226-SM-3DB9G 40-49 years, male 10.5
GTEX-1HCU6-0526-SM-A9SKU 60-69 years, female 10.5
GTEX-1HCUA-2326-SM-ACKVJ 50-59 years, female 10.5
GTEX-1I1HK-0326-SM-ACKW5 60-69 years, male 10.5
GTEX-1J8Q2-0126-SM-E9J2G 60-69 years, male 10.5
GTEX-1R9PM-2226-SM-E8VOC 20-29 years, male 10.5
GTEX-11ZU8-2326-SM-5EQMJ 60-69 years, male 10.4
GTEX-139YR-2526-SM-5IJC6 50-59 years, male 10.4
GTEX-17F98-1626-SM-7938R 40-49 years, female 10.4
GTEX-18A6Q-0326-SM-718AT 60-69 years, male 10.4
GTEX-1B8KZ-2126-SM-73KYG 50-59 years, male 10.4
GTEX-1B8L1-2726-SM-793AL 60-69 years, male 10.4
GTEX-1B933-0426-SM-7DHMC 50-59 years, female 10.4
GTEX-1F48J-0526-SM-9WYSX 50-59 years, female 10.4
GTEX-1KAFJ-2326-SM-D3L8Z 50-59 years, male 10.4
GTEX-1PIEJ-0326-SM-EVYB5 20-29 years, female 10.4
GTEX-139TU-0526-SM-5J2M8 60-69 years, male 10.3
GTEX-13CF2-2726-SM-5LZWW 60-69 years, male 10.3
GTEX-13FH7-2126-SM-5L3DJ 50-59 years, female 10.3
GTEX-13O3O-0526-SM-5J1NL 60-69 years, female 10.3
GTEX-13QBU-2426-SM-5LU4L 40-49 years, female 10.3
GTEX-13U4I-1826-SM-5IJD2 40-49 years, female 10.3
GTEX-145ME-2026-SM-5SIA5 40-49 years, female 10.3
GTEX-14ABY-0126-SM-62LDI 50-59 years, male 10.3
GTEX-14DAR-1826-SM-664N1 50-59 years, male 10.3
GTEX-15SHU-0626-SM-7KUFH 40-49 years, female 10.3
GTEX-16XZZ-0526-SM-7KUF1 60-69 years, male 10.3
GTEX-YFC4-1026-SM-5RQJM 40-49 years, female 10.3
GTEX-1F75W-0326-SM-7PC2Q 60-69 years, male 10.3
GTEX-1IKOH-0126-SM-COH4D 60-69 years, female 10.3
GTEX-ZLFU-2526-SM-DO91K 40-49 years, male 10.3
GTEX-139TT-0426-SM-5IJFA 60-69 years, male 10.2
GTEX-13O3Q-2726-SM-5KM51 50-59 years, male 10.2
GTEX-13OVL-1426-SM-5IJC1 50-59 years, male 10.2
GTEX-14PK6-2126-SM-6ETZV 70-79 years, female 10.2
GTEX-17KNJ-2426-SM-7DHLR 50-59 years, male 10.2
GTEX-R55D-0626-SM-3GAD5 50-59 years, male 10.2
GTEX-XBEC-0626-SM-4QARY 50-59 years, male 10.2
GTEX-1HCVE-0326-SM-CGQEW 50-59 years, male 10.2
GTEX-1JJEA-0126-SM-D3L8A 60-69 years, male 10.2
GTEX-1R9JW-2426-SM-DTXFI 30-39 years, female 10.2
GTEX-1RAZR-0326-SM-EWRNM 40-49 years, male 10.2
GTEX-OIZF-1626-SM-2YUNE 60-69 years, male 10.2
GTEX-11PRG-0326-SM-5GU53 50-59 years, male 10.1
GTEX-1B8SF-0426-SM-79OL4 60-69 years, male 10.1
GTEX-ZVZP-2526-SM-57WBR 50-59 years, male 10.1
GTEX-1AX8Z-5004-SM-ARZLD 60-69 years, male 10.1
GTEX-1F6IF-0226-SM-7PBZ6 60-69 years, male 10.1
GTEX-1GTWX-0326-SM-9WYTP 60-69 years, male 10.1
GTEX-1H1DG-0326-SM-9QEHK 70-79 years, male 10.1
GTEX-1I1GV-0126-SM-CL55G 60-69 years, male 10.1
GTEX-1S5VW-0526-SM-E6CHL 60-69 years, male 10.1
GTEX-11ZVC-2726-SM-5FQSZ 50-59 years, female 10.0
GTEX-13QJ3-0726-SM-5SI68 50-59 years, male 10.0
GTEX-14753-0526-SM-5QGPR 60-69 years, male 10.0
GTEX-15SHV-2526-SM-6PAMG 60-69 years, male 10.0
GTEX-16YQH-0426-SM-7KUL7 30-39 years, male 10.0
GTEX-183FY-0226-SM-7LG54 20-29 years, male 10.0
GTEX-1A8G6-0126-SM-7DUFY 60-69 years, male 10.0
GTEX-T8EM-1326-SM-3DB7G 40-49 years, male 10.0
GTEX-UPJH-0526-SM-4IHK8 50-59 years, male 10.0
GTEX-ZZPU-2626-SM-5E45Y 50-59 years, female 10.0
GTEX-1H3NZ-0326-SM-9MQL6 60-69 years, male 10.0
GTEX-1HBPI-0226-SM-ADEJ7 50-59 years, male 10.0
GTEX-1LBAC-0326-SM-DIPF1 20-29 years, male 10.0
GTEX-1PIIG-0126-SM-E9J46 30-39 years, male 10.0
GTEX-1RAZQ-0426-SM-DTXFQ 30-39 years, male 10.0
GTEX-131XW-0326-SM-5KM1J 50-59 years, female 9.9
GTEX-13OW6-0626-SM-5L3IB 50-59 years, male 9.9
GTEX-15DZA-2026-SM-6PANE 30-39 years, female 9.9
GTEX-YB5E-2226-SM-5IFJ5 40-49 years, male 9.9
GTEX-ZDYS-1726-SM-5HL4Y 50-59 years, male 9.9
GTEX-ZF3C-0326-SM-4WWBF 50-59 years, female 9.9
GTEX-1HBPM-0426-SM-CKZOO 60-69 years, female 9.9
GTEX-12C56-1926-SM-5FQUG 20-29 years, male 9.8
GTEX-147GR-0126-SM-62LER 60-69 years, male 9.8
GTEX-147JS-0526-SM-5TDD3 60-69 years, male 9.8
GTEX-14PJM-0426-SM-5ZZVN 50-59 years, female 9.8
GTEX-16NPX-0626-SM-7KULB 50-59 years, male 9.8
GTEX-17MFQ-1926-SM-793A6 20-29 years, male 9.8
GTEX-RTLS-0526-SM-2TF64 60-69 years, female 9.8
GTEX-T5JW-1826-SM-3GAE1 20-29 years, female 9.8
GTEX-1IL2V-0526-SM-ARL8B 70-79 years, male 9.8
GTEX-1OFPY-2526-SM-DTXEK 60-69 years, male 9.8
GTEX-117XS-2526-SM-5H11G 60-69 years, male 9.7
GTEX-13VXU-0326-SM-5LU36 50-59 years, male 9.7
GTEX-15CHR-2426-SM-7DUFX 50-59 years, male 9.7
GTEX-16MT8-0326-SM-6PAM5 60-69 years, female 9.7
GTEX-17HHE-2126-SM-7DHLO 50-59 years, male 9.7
GTEX-PWN1-1626-SM-2S1OL 40-49 years, female 9.7
GTEX-QEL4-0626-SM-3GIJM 50-59 years, male 9.7
GTEX-R55E-0526-SM-2TC6B 20-29 years, male 9.7
GTEX-RU72-1326-SM-2TF6T 50-59 years, female 9.7
GTEX-SNOS-1526-SM-32PLW 40-49 years, male 9.7
GTEX-WL46-0626-SM-3LK7R 50-59 years, male 9.7
GTEX-X638-0326-SM-47JY1 70-79 years, female 9.7
GTEX-1EWIQ-0626-SM-7PBYW 70-79 years, female 9.7
GTEX-1J8QM-2226-SM-CYPSK 60-69 years, female 9.7
GTEX-1JJ6O-0926-SM-CYPT1 60-69 years, male 9.7
GTEX-1LNCM-1226-SM-E9U5C 50-59 years, female 9.7
GTEX-11EQ9-2126-SM-5PNVW 30-39 years, male 9.6
GTEX-1399R-2526-SM-5IFG2 30-39 years, male 9.6
GTEX-13OW8-1426-SM-5IJDT 60-69 years, male 9.6
GTEX-14E6D-0326-SM-62LDX 50-59 years, male 9.6
GTEX-R55C-1726-SM-3GADJ 40-49 years, male 9.6
GTEX-UJMC-1826-SM-3GADT 50-59 years, male 9.6
GTEX-WK11-2526-SM-3NM9Y 50-59 years, male 9.6
GTEX-WOFM-1326-SM-3MJFR 20-29 years, male 9.6
GTEX-ZF2S-2126-SM-4WWAY 50-59 years, female 9.6
GTEX-ZPIC-2526-SM-57WDP 40-49 years, female 9.6
GTEX-ZVE2-0626-SM-5GU7I 50-59 years, male 9.6
GTEX-ZVP2-2126-SM-5GU6E 50-59 years, male 9.6
GTEX-1CB4F-0326-SM-9MQKD 60-69 years, male 9.6
GTEX-1EMGI-0326-SM-9MQM5 60-69 years, male 9.6
GTEX-1GPI7-0426-SM-7RHHP 20-29 years, male 9.6
GTEX-1KXAM-2426-SM-DIPFC 60-69 years, male 9.6
GTEX-1O9I2-0526-SM-EYYXI 50-59 years, male 9.6
GTEX-1S83E-2126-SM-EWRO6 40-49 years, male 9.6
GTEX-11ONC-2426-SM-5GU7H 60-69 years, male 9.5
GTEX-12126-0526-SM-5PNW4 20-29 years, male 9.5
GTEX-13JUV-2326-SM-5IJCE 40-49 years, female 9.5
GTEX-1AX9I-0326-SM-73KXQ 60-69 years, male 9.5
GTEX-PWCY-2026-SM-5SI8R 20-29 years, female 9.5
GTEX-RU1J-1726-SM-2TF5S 20-29 years, female 9.5
GTEX-U4B1-1626-SM-3DB8N 40-49 years, male 9.5
GTEX-WHPG-2226-SM-3NMBO 50-59 years, male 9.5
GTEX-X261-0326-SM-3NMD4 50-59 years, male 9.5
GTEX-X4EO-0526-SM-3P5Z3 60-69 years, female 9.5
GTEX-XMD2-0526-SM-4YCDI 60-69 years, female 9.5
GTEX-Y8LW-2026-SM-4V6G8 50-59 years, female 9.5
GTEX-1HCU9-1926-SM-9WYSE 20-29 years, male 9.5
GTEX-1RQEC-0126-SM-E9J2H 60-69 years, male 9.5
GTEX-11TTK-0326-SM-5BC5N 60-69 years, female 9.4
GTEX-13PVQ-0326-SM-5K7YF 50-59 years, male 9.4
GTEX-15ER7-0226-SM-7KUEU 20-29 years, female 9.4
GTEX-16BQI-0326-SM-6PAM4 30-39 years, female 9.4
GTEX-1B996-0326-SM-7DHMU 60-69 years, male 9.4
GTEX-1C64O-0326-SM-73KVW 60-69 years, male 9.4
GTEX-O5YV-2026-SM-2D7VS 60-69 years, female 9.4
GTEX-PW2O-1726-SM-2S1OO 20-29 years, male 9.4
GTEX-QVJO-0126-SM-3GIK4 60-69 years, female 9.4
GTEX-RWS6-2126-SM-2XCAV 60-69 years, female 9.4
GTEX-S95S-1426-SM-2XCDM 60-69 years, male 9.4
GTEX-TMZS-0326-SM-3DB9P 60-69 years, male 9.4
GTEX-Y111-0326-SM-4SOIX 50-59 years, male 9.4
GTEX-YJ8O-2826-SM-5CVM4 40-49 years, female 9.4
GTEX-ZAJG-0526-SM-5S2MT 50-59 years, female 9.4
GTEX-1GN1W-0726-SM-9KNTV 50-59 years, female 9.4
GTEX-1KANC-1626-SM-E6CIA 50-59 years, female 9.4
GTEX-1QP6S-0426-SM-DTXG4 40-49 years, male 9.4
GTEX-QV44-2026-SM-2S1RD 50-59 years, male 9.3
GTEX-R55G-2326-SM-2TC61 40-49 years, female 9.3
GTEX-U412-0326-SM-3DB9L 60-69 years, male 9.3
GTEX-W5WG-1926-SM-4KKZK 50-59 years, female 9.3
GTEX-12WSG-5016-SM-7SB84 50-59 years, female 9.3
GTEX-1HBPH-0826-SM-ARZNB 40-49 years, female 9.3
GTEX-1KD4Q-0326-SM-E9TJA 40-49 years, male 9.3
GTEX-1KD5A-0726-SM-DIPEO 50-59 years, male 9.3
GTEX-13N2G-2326-SM-5J1ON 60-69 years, male 9.2
GTEX-13O21-1726-SM-5MR5A 50-59 years, male 9.2
GTEX-14BMV-0326-SM-5RQHW 50-59 years, male 9.2
GTEX-18465-0326-SM-7LTAD 50-59 years, male 9.2
GTEX-1B932-0526-SM-73KU7 40-49 years, female 9.2
GTEX-UTHO-0726-SM-3GAEN 60-69 years, male 9.2
GTEX-ZPCL-2026-SM-57WFD 60-69 years, female 9.2
GTEX-1HCU7-0426-SM-D3L8Q 50-59 years, male 9.2
GTEX-1I1GR-0326-SM-CKZPI 60-69 years, male 9.2
GTEX-1KWVE-0926-SM-CXZKP 30-39 years, male 9.2
GTEX-QCQG-2126-SM-DTXFV 50-59 years, female 9.2
GTEX-11VI4-1926-SM-5CVLI 40-49 years, female 9.1
GTEX-13S7M-0326-SM-5S2PH 60-69 years, female 9.1
GTEX-145MO-0726-SM-5NQB9 60-69 years, male 9.1
GTEX-16GPK-0526-SM-7KUER 60-69 years, male 9.1
GTEX-1C4CL-0326-SM-7DHMH 30-39 years, male 9.1
GTEX-SE5C-1826-SM-2XCE4 40-49 years, female 9.1
GTEX-XUYS-0326-SM-47JX2 50-59 years, male 9.1
GTEX-1JKYR-0326-SM-CNPOL 20-29 years, male 9.1
GTEX-1L5NE-2226-SM-CXZKS 50-59 years, male 9.1
GTEX-1LGOU-2126-SM-DIPFG 20-29 years, female 9.1
GTEX-117YW-2426-SM-5Q5AE 50-59 years, male 9.0
GTEX-11P81-2526-SM-5GU6H 30-39 years, female 9.0
GTEX-12ZZY-0626-SM-5EQ5T 60-69 years, male 9.0
GTEX-1399T-2426-SM-5L3FJ 60-69 years, male 9.0
GTEX-15DCD-0626-SM-7KUG7 70-79 years, female 9.0
GTEX-WZTO-0826-SM-3NM8Q 40-49 years, male 9.0
GTEX-ZDTS-0526-SM-4WKH9 60-69 years, male 9.0
GTEX-1HSKV-0126-SM-E6CI1 60-69 years, male 9.0
GTEX-1QP9N-1926-SM-E6CPY 30-39 years, male 9.0
GTEX-13PL7-0626-SM-5IJCD 60-69 years, female 8.9
GTEX-14BIL-0326-SM-5SI9Q 50-59 years, male 8.9
GTEX-15RIE-2426-SM-7KUDS 60-69 years, male 8.9
GTEX-QV31-1426-SM-2S1QD 30-39 years, male 8.9
GTEX-S7PM-0526-SM-3NM92 60-69 years, male 8.9
GTEX-SSA3-0326-SM-32QPS 60-69 years, male 8.9
GTEX-TML8-1826-SM-32QOR 40-49 years, female 8.9
GTEX-ZYY3-0526-SM-5E45G 60-69 years, female 8.9
GTEX-1F75I-0526-SM-7RHI3 40-49 years, male 8.9
GTEX-1GMR3-2126-SM-9WYTZ 40-49 years, male 8.9
GTEX-1IDJH-0226-SM-CYPSB 70-79 years, male 8.9
GTEX-1PIGE-0226-SM-E76OT 20-29 years, male 8.9
GTEX-111VG-2626-SM-5GZY2 60-69 years, male 8.8
GTEX-11NV4-0326-SM-5HL58 60-69 years, male 8.8
GTEX-131XF-2326-SM-5BC6B 60-69 years, male 8.8
GTEX-14A5I-0326-SM-5NQ9J 50-59 years, female 8.8
GTEX-17F97-0526-SM-7DUF8 50-59 years, male 8.8
GTEX-17HGU-0626-SM-7939Y 50-59 years, male 8.8
GTEX-1A8G7-0326-SM-72D5B 60-69 years, male 8.8
GTEX-1AYD5-2226-SM-73KX3 50-59 years, male 8.8
GTEX-1B8KE-2226-SM-7939K 50-59 years, male 8.8
GTEX-RWSA-0726-SM-2XCBE 40-49 years, male 8.8
GTEX-U3ZN-2226-SM-3DB88 30-39 years, female 8.8
GTEX-WFG7-2226-SM-3GIKP 20-29 years, male 8.8
GTEX-ZV68-0526-SM-59HKI 50-59 years, female 8.8
GTEX-14PJ2-0326-SM-6EU2Q 50-59 years, male 8.7
GTEX-Y8DK-0326-SM-4TT3P 60-69 years, male 8.7
GTEX-1CB4G-0426-SM-7MXUN 60-69 years, male 8.7
GTEX-1I1GS-0326-SM-ARL7X 60-69 years, male 8.7
GTEX-1IOXB-0326-SM-CL55M 50-59 years, male 8.7
GTEX-1LSNM-2326-SM-EWRO8 50-59 years, male 8.7
GTEX-ZF29-2426-SM-DO92G 60-69 years, female 8.7
GTEX-ZGAY-0726-SM-DO91O 40-49 years, female 8.7
GTEX-14JG1-0126-SM-5ZZUP 40-49 years, male 8.6
GTEX-15ETS-0326-SM-6PANH 40-49 years, female 8.6
GTEX-QEG4-0626-SM-2S1OY 30-39 years, male 8.6
GTEX-T6MN-0526-SM-32PMS 50-59 years, male 8.6
GTEX-1I6K7-0326-SM-B2LXO 40-49 years, male 8.6
GTEX-11NUK-0226-SM-5A5L4 50-59 years, male 8.5
GTEX-12WSH-2526-SM-5CVNH 50-59 years, male 8.5
GTEX-12ZZX-0326-SM-5DUVH 40-49 years, female 8.5
GTEX-1AX9J-0126-SM-73KY2 60-69 years, male 8.5
GTEX-1GZHY-0126-SM-9WYUQ 50-59 years, female 8.5
GTEX-1H1CY-2726-SM-9MQLR 60-69 years, female 8.5
GTEX-1LB8K-0126-SM-EVYCN 50-59 years, male 8.5
GTEX-1RB15-2226-SM-DTXFZ 60-69 years, male 8.5
GTEX-OHPK-1626-SM-2YUN3 50-59 years, female 8.4
GTEX-1HUB1-0526-SM-CL54N 60-69 years, male 8.4
GTEX-1I19N-2026-SM-ACKXJ 70-79 years, male 8.4
GTEX-1IKJJ-0326-SM-CL55L 60-69 years, male 8.4
GTEX-1LSNL-0126-SM-EWRNR 50-59 years, male 8.4
GTEX-1R9PO-2426-SM-EVYBS 60-69 years, female 8.4
GTEX-12BJ1-2526-SM-5FQUE 60-69 years, male 8.3
GTEX-13112-2626-SM-5BC66 50-59 years, male 8.3
GTEX-16NGA-1926-SM-7LTA6 40-49 years, female 8.3
GTEX-1BAJH-0126-SM-7DHMF 70-79 years, male 8.3
GTEX-POYW-0526-SM-2XCEY 60-69 years, male 8.3
GTEX-QLQW-1326-SM-2S1QS 30-39 years, male 8.3
GTEX-ZYT6-1626-SM-5E45R 30-39 years, male 8.3
GTEX-12WSD-0526-SM-5EQ6F 60-69 years, female 8.2
GTEX-17EVP-1326-SM-7DHMR 40-49 years, male 8.2
GTEX-17JCI-0326-SM-7LG5H 60-69 years, female 8.2
GTEX-Y5V6-2626-SM-5IFIX 60-69 years, male 8.2
GTEX-ZAK1-0526-SM-5K7X4 50-59 years, female 8.2
GTEX-13OW7-0326-SM-5J1MP 50-59 years, male 8.1
GTEX-14ICL-1926-SM-5RQIZ 30-39 years, male 8.1
GTEX-17HHY-0326-SM-7938H 50-59 years, male 8.1
GTEX-1CAMR-1726-SM-793CU 20-29 years, male 8.1
GTEX-WY7C-2526-SM-3NB2N 50-59 years, male 8.1
GTEX-1HGF4-2626-SM-CM2SJ 60-69 years, male 8.1
GTEX-1JN6P-0526-SM-COH33 60-69 years, male 8.1
GTEX-1N2DV-0526-SM-DTX8W 40-49 years, male 8.1
GTEX-1QCLZ-0326-SM-DTXG2 60-69 years, female 8.1
GTEX-11DXY-2726-SM-5GID2 60-69 years, male 8.0
GTEX-145LU-2026-SM-5Q5E8 50-59 years, male 8.0
GTEX-15EO6-2826-SM-6PANB 50-59 years, male 8.0
GTEX-WFG8-2426-SM-3GILL 20-29 years, male 8.0
GTEX-1HSMP-0326-SM-A9SMC 70-79 years, male 8.0
GTEX-1JKYN-1826-SM-ARZMZ 30-39 years, male 8.0
GTEX-1JMLX-0326-SM-CM2RP 50-59 years, male 8.0
GTEX-131YS-0526-SM-5EGKJ 60-69 years, female 7.9
GTEX-PLZ6-1526-SM-2S1OC 30-39 years, male 7.9
GTEX-Q734-2026-SM-3GADA 40-49 years, female 7.9
GTEX-QESD-1626-SM-2S1RB 20-29 years, male 7.9
GTEX-ZVT3-0526-SM-5GIE9 60-69 years, female 7.9
GTEX-1211K-2126-SM-59HJZ 60-69 years, female 7.8
GTEX-13FHP-0526-SM-5K7UY 50-59 years, male 7.8
GTEX-144GL-0326-SM-5QGOY 50-59 years, male 7.8
GTEX-15SB6-1826-SM-6PALN 50-59 years, female 7.8
GTEX-1EN7A-0326-SM-7P8T1 40-49 years, male 7.8
GTEX-1H3O1-0626-SM-9MQM4 60-69 years, male 7.8
GTEX-15SHW-0726-SM-7KUEI 60-69 years, male 7.7
GTEX-17F9E-0226-SM-79OKK 50-59 years, male 7.7
GTEX-QLQ7-1726-SM-2S1QQ 60-69 years, male 7.7
GTEX-T2IS-2626-SM-32QPP 20-29 years, female 7.7
GTEX-UJHI-1726-SM-3DB9B 50-59 years, female 7.7
GTEX-1F7RK-0326-SM-7RHH7 20-29 years, female 7.7
GTEX-1GF9W-0526-SM-9MQJP 60-69 years, male 7.7
GTEX-1GN73-0126-SM-CNPPT 60-69 years, male 7.7
GTEX-1IL2U-0726-SM-EAZ2Y 60-69 years, male 7.7
GTEX-1J8Q3-1426-SM-CKZPU 60-69 years, male 7.7
GTEX-1PPH8-0326-SM-E76PR 20-29 years, male 7.7
GTEX-11DXW-0726-SM-5H12J 40-49 years, male 7.6
GTEX-XOT4-0526-SM-4B66O 60-69 years, female 7.6
GTEX-1H1ZS-0626-SM-CNPPU 70-79 years, male 7.6
GTEX-Y5V5-2526-SM-4VBQ4 60-69 years, female 7.5
GTEX-1J8JJ-0126-SM-D3L93 60-69 years, female 7.5
GTEX-P44H-0426-SM-2XCEZ 40-49 years, male 7.4
GTEX-PX3G-1626-SM-2S1PT 20-29 years, female 7.4
GTEX-Q2AG-0426-SM-2S1PU 40-49 years, female 7.4
GTEX-SNMC-1426-SM-2XCFM 20-29 years, male 7.4
GTEX-1HFI7-1926-SM-A96TQ 50-59 years, female 7.4
GTEX-1IDJU-2426-SM-ARZM9 60-69 years, female 7.3
GTEX-11ZUS-1426-SM-5FQSP 30-39 years, male 7.2
GTEX-12KS4-0826-SM-5BC5R 30-39 years, male 7.2
GTEX-145MH-0326-SM-5LU8H 50-59 years, male 7.2
GTEX-18A66-0126-SM-731CQ 60-69 years, male 7.2
GTEX-11DXZ-2426-SM-5N9DT 50-59 years, male 7.1
GTEX-WYVS-2326-SM-3NMAI 40-49 years, female 7.1
GTEX-1JMQJ-0126-SM-E6CI2 50-59 years, male 7.1
GTEX-17HII-0426-SM-793A3 50-59 years, male 7.0
GTEX-RN64-0326-SM-2TC5J 50-59 years, male 7.0
GTEX-14C5O-0626-SM-664N2 60-69 years, male 6.9
GTEX-OXRP-2326-SM-2S1NL 60-69 years, female 6.9
GTEX-13NZA-0526-SM-5L3D7 60-69 years, male 6.8
GTEX-13W3W-2626-SM-5SIA2 60-69 years, female 6.8
GTEX-1NUQO-0726-SM-E9J3K 20-29 years, female 6.8
GTEX-11GSO-2526-SM-5PNVX 60-69 years, male 6.7
GTEX-11ZTS-0526-SM-5CVL9 60-69 years, female 6.7
GTEX-13OVK-1926-SM-6M48G 40-49 years, male 6.7
GTEX-RM2N-1626-SM-2TF5N 50-59 years, male 6.5
GTEX-SJXC-0526-SM-2XCFG 60-69 years, male 6.5
GTEX-1QMI2-0526-SM-DTXFU 60-69 years, male 6.5
GTEX-1IKK5-0426-SM-CL53X 60-69 years, male 6.4
GTEX-ZVTK-0626-SM-5GU6Y 20-29 years, male 6.0
GTEX-1212Z-2626-SM-5YY8P 60-69 years, male 5.9
GTEX-SN8G-0326-SM-32PLG 50-59 years, female 5.9
GTEX-1JN76-0326-SM-ARZNJ 20-29 years, female 5.9
GTEX-OIZI-0626-SM-2XCEH 40-49 years, male 5.8
GTEX-X5EB-2326-SM-46MW5 40-49 years, male 5.4
GTEX-RNOR-0526-SM-2TF4O 50-59 years, female 5.1
GTEX-Q2AI-1526-SM-3GIJ3 40-49 years, male 4.6
Show allShow less

SKELETAL MUSCLE - FANTOM5 CAGEi

RNA expression in human tissues obtained through Cap Analysis of Gene Expression (CAGE) generated by the FANTOM5 project are reported as Scaled Tags Per Million.

Max subtype Scaled Tags Per Millioni

Max subtype Scaled Tags Per Million is the value for the subtype with the largest average Scaled Tags Per Million across the subtype samples.

35.7
FANTOM5 sample id Sample description Scaled Tags Per Million
Skeletal muscle
Scaled Tags Per Million: 35.7
FF:10023-101D5 55,79,79 years, mixed 35.7
Skeletal muscle - soleus muscle
Scaled Tags Per Million: 22.7
FF:10282-104F3 male 22.7

Contact

  • NEWS ARTICLES
  • PRESS ROOM

The Project

  • INTRODUCTION
  • ORGANIZATION
  • PUBLICATIONS

The Human Protein Atlas

  • DOWNLOADABLE DATA
  • LICENCE & CITATION
  • HELP & FAQ
The Human Protein Atlas project is funded
by the Knut & Alice Wallenberg Foundation.


contact@proteinatlas.org