We use cookies to enhance the usability of our website. If you continue, we'll assume that you are happy to receive all cookies. More information. Don't show this again.
DBNDD2
HPA
RESOURCES
  • TISSUE
  • BRAIN
  • SINGLE CELL
  • SUBCELLULAR
  • CANCER
  • BLOOD
  • CELL LINE
  • STRUCTURE & INTERACTION
ABOUT
  • INTRODUCTION
  • HISTORY
  • ORGANIZATION
  • PUBLICATIONS
  • ANTIBODY SUBMISSION
  • ANTIBODY AVAILABILITY
  • ACKNOWLEDGMENTS
  • CONTACT
NEWS
  • NEWS ARTICLES
  • PRESS ROOM
LEARN
  • DICTIONARY
  • PROTEIN CLASSES
  • PROTEIN EVIDENCE
  • METHODS
  • EDUCATIONAL VIDEOS
DATA
  • DOWNLOADABLE DATA
  • PUBLICATION DATA
  • RELEASE HISTORY
HELP
  • ANTIBODY VALIDATION
  • ASSAYS & ANNOTATION
  • DISCLAIMER
  • HELP & FAQ
  • PRIVACY STATEMENT
  • LICENCE & CITATION
Fields »
Search result

Field
Term
Gene name
Class
Subclass
Class
Keyword
Chromosome
External id
Tissue
Cell type
Expression
Antibody panel
Tissue
Main location
Patient ID
Annotation
Tissue
Category
Tau score
Cluster
Reliability
Brain region
Category
Tau score
Brain region
Category
Tau score
Brain region
Category
Tau score
Cluster
Reliability
Tissue
Cell type
Enrichment
Cell type
Category
Tau score
Cell type
Category
Tau score
Cell type
Category
Tau score
Cell lineage
Category
Tau score
Cluster
Cluster
Location
Searches
Location
Cell line
Class
Type
Phase
Reliability
Cancer
Prognosis
Cancer
Category
Cancer
Category
Tau score
Cluster
Variants
Interacting gene (ensg_id)
Type
Number of interactions
Pathway
Category
Score
Score
Score
Validation
Validation
Validation
Validation
Antibodies
Data type
Column


  • SUMMARY

  • TISSUE

  • BRAIN

  • SINGLE CELL

  • SUBCELL

  • CANCER

  • BLOOD

  • CELL LINE

  • STRUCT & INT

  • DBNDD2
TISSUE PRIMARY DATA SKIN Show tissue menu
ADIPOSE TISSUE ADRENAL GLAND AMYGDALA APPENDIX BASAL GANGLIA BONE MARROW BREAST BRONCHUS CEREBELLUM CEREBRAL CORTEX CERVIX CHOROID PLEXUS COLON DUODENUM
ENDOMETRIUM EPIDIDYMIS ESOPHAGUS FALLOPIAN TUBE GALLBLADDER HEART MUSCLE HIPPOCAMPAL FORMATION HYPOTHALAMUS KIDNEY LIVER LUNG LYMPH NODE MIDBRAIN NASOPHARYNX
ORAL MUCOSA OVARY PANCREAS PARATHYROID GLAND PITUITARY GLAND PLACENTA PROSTATE RECTUM RETINA SALIVARY GLAND SEMINAL VESICLE SKELETAL MUSCLE SKIN SMALL INTESTINE
SMOOTH MUSCLE SOFT TISSUE SPINAL CORD SPLEEN STOMACH TESTIS THYMUS THYROID GLAND TONGUE TONSIL URINARY BLADDER VAGINA
ANTIBODIES
AND
VALIDATION
Dictionary
Skin
Tissue proteome
Skin
SKIN - Expression summary
Protein expression
Skini

On the top, protein expression in current human tissue, based on all annotated cell types, is reported with the units not detected (n), low (l), medium (m) and high (h). Underneath, protein expression in each annotated cell type are reported using the same units.

Protein expression data is based on knowledge-based annotation. For genes where more than one antibody has been used, a collective score is set.

If knowledge-based annotation could not be performed for a gene, no data is displayed here. View antibody staining data further down this page.

h
m
l
n
Epidermal cells: Low
Fibroblasts: Not detected
Keratinocytes: Not detected
Langerhans: Not detected
Melanocytes: Not detected
RNA expressioni

A summary of mRNA expression data available for current tissue based on several datasets. The mRNA expression levels in human tissues are based on RNA-seq data generated by the Human Protein Atlas (HPA), Genotype-Tissue Expression (GTEx) portal and CAGE data generated by the FANTOM5 consortium. Consensus normalized expression levels for human tissues was created by combining the data from HPA and GTEx datasets.

The mRNA expression levels in pig are based on RNA-seq data generated by the Human Protein Atlas (HPA), and for mouse, HPA data and in situ hybridization generated by the Allen brain atlas are reported.

Scroll down to view mRNA expression data in more detail.
Consensus:66.4 nTPM
HPA:33.2 nTPM
GTEx:66.4 nTPM

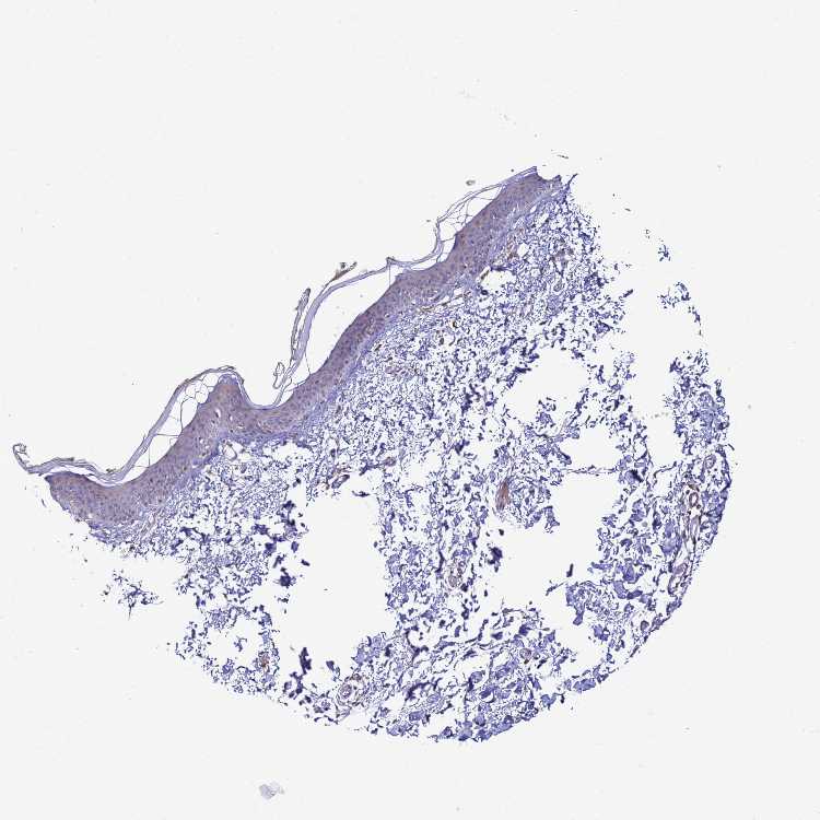
SKIN 1 - Antibody stainingi

Antibody staining in the annotated cell types in the current human tissue is reported as not detected, low, medium, or high, based on conventional immunohistochemistry profiling in selected tissues. This score is based on the combination of the staining intensity and fraction of stained cells.

Each image is clickable and will lead to virtual microscopy that enables deeper exploration of all samples and also displays staining intensity scores, fraction scores and subcellular localization as well as patient and tissue information for each sample.

Antibody HPA043991
Langerhans Not detected
Fibroblasts Not detected
Keratinocytes Not detected
Melanocytes Not detected


SKIN 2 - Antibody stainingi

Antibody staining in the annotated cell types in the current human tissue is reported as not detected, low, medium, or high, based on conventional immunohistochemistry profiling in selected tissues. This score is based on the combination of the staining intensity and fraction of stained cells.

Each image is clickable and will lead to virtual microscopy that enables deeper exploration of all samples and also displays staining intensity scores, fraction scores and subcellular localization as well as patient and tissue information for each sample.

Antibody HPA043991
Epidermal cells Low
 
 
 

SKIN - HPA RNA-seqi

The RNA-seq details section shows detailed information about the individual samples used for the transcript profiling and results of the RNA-seq analysis.

Information about each individual sample is listed below, including gender, age, a tissue section image and estimated fractions of cell types. nTPM (normalized transcripts per million) values give a quantification of the gene abundance which is comparable between different genes and samples.
Average nTPMi

Max subtype nTPM is the value for the subtype with the largest average nTPM across the subtype samples.

33.2
overview
Female, age 34
Skin sample 225
nTPM: 39.4
Cell types%
Keratinocytes:
60

Other cell types:
40

overview
Female, age 30
Skin sample 226
nTPM: 27.9
Cell types%
Keratinocytes:
55

Other cell types:
45

N/A
Male, age 57
Skin sample 227
nTPM: 32.2

SKIN - GTEx RNA-seqi

RNA-Seq data generated by the Genotype-Tissue Expression (GTEx) project from human tissues is reported as mean nTPM. More information can be found on the GTEx portal.

Distribution across the dataset is visualized with box plots, shown as median and 25th and 75th percentiles. Points are displayed as outliers if they are above or below 1.5 times the interquartile range. nTPM values of the individual samples are presented next to the box plot.
Max subtype nTPMi

Max subtype nTPM is the value for the subtype with the largest average nTPM across the subtype samples.

66.4
GTEx sample id Sample description nTPM
Skin - Not Sun Exposed (Suprapubic)
Average nTPM: 59.4
Samples: 604

Max nTPM: 120.2
Min nTPM: 30.5
Std nTPM: 15.8
Median nTPM: 57.0
GTEX-X585-2426-SM-46MW2 50-59 years, male 120.2
GTEX-17F97-2626-SM-7IGM5 50-59 years, male 116.5
GTEX-1QP2A-1726-SM-E76QC 50-59 years, male 115.8
GTEX-17F9Y-0126-SM-79OKX 70-79 years, female 111.4
GTEX-1PIGE-1826-SM-E8VOU 20-29 years, male 109.7
GTEX-1LGRB-0926-SM-COH3K 50-59 years, female 107.3
GTEX-13PDP-0726-SM-5L3HP 60-69 years, male 105.8
GTEX-1J8EW-2726-SM-CY8HR 60-69 years, female 105.7
GTEX-13YAN-0226-SM-5TDC6 60-69 years, male 104.1
GTEX-1CB4H-1126-SM-7MKGL 60-69 years, female 103.7
GTEX-1JMQK-1226-SM-D4P2S 60-69 years, male 103.4
GTEX-14E1K-2026-SM-7DUEI 50-59 years, male 101.1
GTEX-1RMOY-1326-SM-E9TIH 50-59 years, male 101.0
GTEX-14LZ3-0126-SM-69LPM 60-69 years, female 100.9
GTEX-1OJC3-1226-SM-DTXER 20-29 years, male 100.9
GTEX-14753-0726-SM-5QGQO 60-69 years, male 100.1
GTEX-ZP4G-1426-SM-4WWCL 20-29 years, female 98.9
GTEX-17EVQ-0126-SM-7IGLR 70-79 years, male 97.9
GTEX-1LSVX-2526-SM-DIPEU 60-69 years, male 96.7
GTEX-1OJC4-2726-SM-E76PJ 50-59 years, female 96.4
GTEX-XBEW-1126-SM-4QARW 40-49 years, male 95.7
GTEX-1E2YA-2126-SM-7MXUO 50-59 years, male 95.6
GTEX-16MTA-0926-SM-6M47Z 50-59 years, male 95.5
GTEX-YFCO-1226-SM-5LUAT 40-49 years, male 95.1
GTEX-ZLFU-1826-SM-4WWBV 40-49 years, male 94.7
GTEX-ZVE1-0726-SM-51MRN 50-59 years, female 94.4
GTEX-15CHR-1126-SM-7EWF4 50-59 years, male 94.1
GTEX-WFG7-2026-SM-5SI7P 20-29 years, male 94.0
GTEX-ZC5H-1526-SM-5HL9Y 40-49 years, female 93.6
GTEX-1399Q-2326-SM-5KM2X 40-49 years, male 92.8
GTEX-XQ8I-0926-SM-4BOOF 50-59 years, male 92.7
GTEX-15RIG-0726-SM-7KUM7 40-49 years, male 91.3
GTEX-14PII-0726-SM-6EU2B 60-69 years, male 89.4
GTEX-1LVAN-0626-SM-CNPOQ 50-59 years, female 89.4
GTEX-17F9E-2326-SM-79OKD 50-59 years, male 89.3
GTEX-1399S-0126-SM-5IJCF 30-39 years, female 88.4
GTEX-1F52S-2926-SM-7MKGA 60-69 years, female 88.4
GTEX-1LVAM-0726-SM-E6CIL 50-59 years, female 88.0
GTEX-1LKK1-2626-SM-DKPQE 50-59 years, female 87.3
GTEX-139TU-0726-SM-5L3EK 60-69 years, male 86.3
GTEX-1S82P-2126-SM-E6CI5 60-69 years, female 86.2
GTEX-ZF2S-1626-SM-57WES 50-59 years, female 86.0
GTEX-11GSP-2326-SM-5HL63 60-69 years, female 83.9
GTEX-1H3O1-1326-SM-9MQLD 60-69 years, male 83.9
GTEX-1R9PM-1926-SM-EVR3O 20-29 years, male 83.8
GTEX-ZWKS-0626-SM-5GIDV 30-39 years, male 83.4
GTEX-1K2DA-1026-SM-CGQGF 50-59 years, male 83.4
GTEX-1H1CY-0126-SM-9YFLY 60-69 years, female 83.3
GTEX-1NSGN-0726-SM-DTXEF 50-59 years, male 83.3
GTEX-ZAB4-2126-SM-5HL8U 40-49 years, male 83.2
GTEX-ZZPU-0826-SM-5GZX5 50-59 years, female 83.0
GTEX-14PJ5-1526-SM-6LLIL 60-69 years, female 82.9
GTEX-1JMQJ-0826-SM-CNPP7 50-59 years, male 82.6
GTEX-13NYS-0626-SM-5L3F1 60-69 years, male 82.2
GTEX-14AS3-1526-SM-5Q5ED 40-49 years, female 81.8
GTEX-11DYG-1526-SM-5A5JS 60-69 years, male 81.5
GTEX-1GZ4H-0526-SM-9KNU9 50-59 years, female 81.3
GTEX-1J1R8-2026-SM-CL53Y 40-49 years, male 81.3
GTEX-1KANB-2826-SM-CY8I6 50-59 years, male 81.1
GTEX-1HSMQ-2626-SM-A9SML 50-59 years, male 81.0
GTEX-13FTY-2126-SM-5IFFB 40-49 years, female 80.7
GTEX-XXEK-1626-SM-4BRUZ 50-59 years, male 80.6
GTEX-11DZ1-2426-SM-5GZZX 50-59 years, male 80.5
GTEX-1CAMS-2226-SM-7PBXQ 40-49 years, female 80.4
GTEX-1B8KE-1126-SM-7EPHI 50-59 years, male 80.3
GTEX-1JMQL-2226-SM-CNPP4 50-59 years, female 79.5
GTEX-1NV5F-0626-SM-DTXEG 60-69 years, female 79.3
GTEX-139D8-1126-SM-5LU8W 30-39 years, female 78.9
GTEX-1GMRU-2126-SM-7P8RA 50-59 years, male 78.9
GTEX-1HGF4-0126-SM-CNPPX 60-69 years, male 78.8
GTEX-1117F-2926-SM-5GZYI 60-69 years, female 78.5
GTEX-13IVO-0726-SM-5LZYV 70-79 years, male 78.2
GTEX-11ZU8-0126-SM-5EQ58 60-69 years, male 77.8
GTEX-XV7Q-1826-SM-4BRUV 40-49 years, female 77.7
GTEX-14LLW-2626-SM-62LDZ 70-79 years, female 77.3
GTEX-18A66-0626-SM-7LT8Z 60-69 years, male 77.0
GTEX-UPJH-0226-SM-3GADV 50-59 years, male 76.5
GTEX-16YQH-2226-SM-7IGM2 30-39 years, male 76.2
GTEX-1HSKV-1226-SM-ADEI4 60-69 years, male 76.2
GTEX-1EMGI-2326-SM-7PBYA 60-69 years, male 75.8
GTEX-1HCU7-0726-SM-A9SL1 50-59 years, male 75.8
GTEX-WXYG-2026-SM-4E3IY 50-59 years, female 75.7
GTEX-1192X-2726-SM-5N9DN 50-59 years, male 75.6
GTEX-13PL6-1126-SM-5L3IE 40-49 years, female 75.4
GTEX-XK95-0226-SM-4AT58 40-49 years, male 75.4
GTEX-XOT4-0626-SM-4B66L 60-69 years, female 75.3
GTEX-ZVE2-2826-SM-5GU51 50-59 years, male 75.3
GTEX-12KS4-2126-SM-5FQUT 30-39 years, male 75.2
GTEX-13RTJ-0126-SM-5S2NN 60-69 years, male 75.2
GTEX-1KAFJ-0126-SM-DIPEK 50-59 years, male 75.2
GTEX-14ICL-1626-SM-5YYAO 30-39 years, male 75.1
GTEX-1HBPN-0126-SM-CGQEF 50-59 years, male 74.8
GTEX-117YX-1926-SM-5GIEC 50-59 years, male 74.7
GTEX-13NZ8-1226-SM-5KM4A 60-69 years, female 74.4
GTEX-ZTX8-1326-SM-4YCEL 20-29 years, male 74.3
GTEX-147F4-0726-SM-5TDDD 50-59 years, male 74.1
GTEX-1J1OQ-0126-SM-D4P2N 40-49 years, female 73.9
GTEX-11OF3-0126-SM-5PNYF 60-69 years, male 73.7
GTEX-13G51-1826-SM-5KLZH 60-69 years, male 73.7
GTEX-ZE7O-2726-SM-51MT5 50-59 years, female 73.7
GTEX-12ZZX-2426-SM-5GCOE 40-49 years, female 73.5
GTEX-111CU-1126-SM-5EGIM 50-59 years, male 73.2
GTEX-11WQC-1826-SM-5GU59 60-69 years, male 73.2
GTEX-1HB9E-0126-SM-CM2S5 50-59 years, male 73.2
GTEX-ZPCL-1126-SM-4WWFE 60-69 years, female 73.1
GTEX-1R9PN-0426-SM-DTXDT 40-49 years, female 73.1
GTEX-1I1GT-1026-SM-ARZLV 60-69 years, female 73.0
GTEX-1MJK3-0726-SM-E6CJC 20-29 years, male 73.0
GTEX-WHSB-1326-SM-3LK6W 50-59 years, male 72.7
GTEX-1313W-0626-SM-5EQ4H 50-59 years, female 72.5
GTEX-Y5V6-2326-SM-4VDSA 60-69 years, male 72.5
GTEX-1PBJJ-1026-SM-E76OS 30-39 years, male 72.5
GTEX-1QP28-1126-SM-EVYC4 50-59 years, female 72.5
GTEX-12584-0726-SM-5FQTK 40-49 years, male 72.1
GTEX-11EQ8-0926-SM-5H12V 60-69 years, male 71.9
GTEX-1N2DV-1526-SM-DTXEP 40-49 years, male 71.8
GTEX-15RJE-2826-SM-7KUM9 40-49 years, male 71.6
GTEX-W5X1-2526-SM-3GILC 40-49 years, female 71.6
GTEX-16AAH-0626-SM-793C9 50-59 years, male 71.4
GTEX-XBEC-0726-SM-4QARZ 50-59 years, male 71.4
GTEX-1F6RS-2026-SM-7RHHC 60-69 years, female 71.4
GTEX-12WSL-2026-SM-5GCML 50-59 years, male 71.3
GTEX-1LBAC-0826-SM-CY8IJ 20-29 years, male 71.3
GTEX-13JUV-2026-SM-5K7UA 40-49 years, female 71.2
GTEX-WH7G-2026-SM-3NMBL 40-49 years, male 71.2
GTEX-1LVAO-2726-SM-E9TJ8 60-69 years, male 71.2
GTEX-139T8-0626-SM-5KLZX 60-69 years, male 71.0
GTEX-1477Z-0326-SM-7IGLA 60-69 years, male 70.9
GTEX-11DXY-0126-SM-5H11Q 60-69 years, male 70.7
GTEX-13OW8-1026-SM-5J1NQ 60-69 years, male 70.6
GTEX-YB5K-2026-SM-4VDT3 40-49 years, female 70.6
GTEX-1JMLX-0626-SM-ARL8T 50-59 years, male 70.6
GTEX-11PRG-0726-SM-5EGL1 50-59 years, male 70.1
GTEX-131XF-2626-SM-5EQ6K 60-69 years, male 69.9
GTEX-146FQ-2126-SM-5RQHU 30-39 years, male 69.8
GTEX-12C56-1526-SM-5FQUQ 20-29 years, male 69.7
GTEX-17F96-0126-SM-7EWDU 70-79 years, male 69.7
GTEX-145LS-0626-SM-7EPG7 60-69 years, female 69.6
GTEX-13OW5-2326-SM-5L3HO 60-69 years, male 69.5
GTEX-16BQI-1326-SM-6M486 30-39 years, female 69.5
GTEX-1RLM8-2926-SM-E8VON 50-59 years, male 69.3
GTEX-14PHY-1226-SM-5ZZWK 60-69 years, female 69.2
GTEX-1H3VE-0726-SM-9YFL5 40-49 years, male 69.2
GTEX-13NYB-0126-SM-5J1MD 40-49 years, male 68.9
GTEX-13JVG-0726-SM-5KM16 60-69 years, male 68.8
GTEX-1F75W-2726-SM-7SB8H 60-69 years, male 68.8
GTEX-144GL-0626-SM-5LU4D 50-59 years, male 68.6
GTEX-UPK5-0426-SM-3GAEK 40-49 years, male 68.6
GTEX-1JMPY-0226-SM-CKZOK 30-39 years, male 68.6
GTEX-15G19-2426-SM-7KUMR 60-69 years, male 68.5
GTEX-1JN1M-2726-SM-CY8I4 60-69 years, female 68.3
GTEX-1H1E6-0426-SM-9WYUS 30-39 years, male 68.2
GTEX-131XH-0126-SM-5LZUY 50-59 years, male 68.0
GTEX-1PPH8-0126-SM-EWRN8 20-29 years, male 67.7
GTEX-14PHX-2226-SM-6EU2P 50-59 years, male 67.6
GTEX-XYKS-1426-SM-4BRUO 60-69 years, female 67.4
GTEX-Y114-2126-SM-4TT8B 50-59 years, female 67.4
GTEX-1IDFM-0326-SM-ARL7V 60-69 years, male 67.4
GTEX-1M4P7-0726-SM-E6CJ3 60-69 years, male 67.3
GTEX-1POEN-2326-SM-E9J2L 30-39 years, female 67.3
GTEX-ZYFG-1526-SM-5GZYM 60-69 years, female 67.2
GTEX-1IKOE-1426-SM-CE6T7 30-39 years, female 67.2
GTEX-13OVH-0526-SM-5L3E6 70-79 years, male 66.9
GTEX-145MG-1526-SM-5Q5EM 50-59 years, male 66.9
GTEX-14C5O-0326-SM-5ZZUX 60-69 years, male 66.5
GTEX-1HR98-2226-SM-ADEI2 60-69 years, male 66.4
GTEX-144GO-2026-SM-5O99P 60-69 years, male 66.3
GTEX-16GPK-0626-SM-7KFSF 60-69 years, male 66.3
GTEX-18A7B-2726-SM-7LG56 70-79 years, male 66.2
GTEX-15RIE-1926-SM-7KUKJ 60-69 years, male 66.1
GTEX-Y3IK-1626-SM-4YCF5 50-59 years, female 66.1
GTEX-1F6I4-2326-SM-7RHGL 60-69 years, male 66.1
GTEX-1I1GS-2626-SM-B2LY3 60-69 years, male 66.0
GTEX-14A5H-0826-SM-5QGPJ 60-69 years, male 65.9
GTEX-1QP9N-1226-SM-E76QN 30-39 years, male 65.9
GTEX-13FTW-0326-SM-5K7UW 40-49 years, male 65.8
GTEX-17MFQ-1526-SM-7KFRR 20-29 years, male 65.6
GTEX-1BAJH-2426-SM-7IGP8 70-79 years, male 65.6
GTEX-ZLV1-1526-SM-DO91J 60-69 years, female 65.6
GTEX-ZTTD-2826-SM-4YCFA 50-59 years, male 65.5
GTEX-1R46S-2426-SM-E76QA 60-69 years, female 65.5
GTEX-ZXG5-2126-SM-59HKD 60-69 years, male 65.4
GTEX-1JJEA-1826-SM-ARU8P 60-69 years, male 65.3
GTEX-1IL2V-1926-SM-B2LW8 70-79 years, male 65.2
GTEX-1K9T9-1526-SM-DIPFR 50-59 years, female 65.2
GTEX-111VG-1626-SM-5EGIO 60-69 years, male 65.1
GTEX-15SHW-0226-SM-7LTAT 60-69 years, male 65.1
GTEX-1H1ZS-2726-SM-9WG75 70-79 years, male 65.0
GTEX-147GR-2426-SM-5ZZWQ 60-69 years, male 64.8
GTEX-1JJ6O-2726-SM-CNPOG 60-69 years, male 64.7
GTEX-16MT8-2926-SM-7DUFO 60-69 years, female 64.6
GTEX-1F75B-0726-SM-7PC3R 50-59 years, male 64.5
GTEX-ZGAY-1826-SM-DO91Q 40-49 years, female 64.5
GTEX-13O61-1426-SM-5KM3D 60-69 years, male 64.4
GTEX-131XW-0626-SM-5PNVD 50-59 years, female 64.3
GTEX-1IDJI-0126-SM-CMKHS 50-59 years, female 64.3
GTEX-ZAK1-0626-SM-5HL8E 50-59 years, female 64.0
GTEX-ZVZP-1226-SM-5GID7 50-59 years, male 63.8
GTEX-ZYW4-0626-SM-59HJR 60-69 years, male 63.8
GTEX-14BMV-2826-SM-5TDED 50-59 years, male 63.7
GTEX-1HFI6-0126-SM-CNPPI 40-49 years, male 63.7
GTEX-ZYT6-2326-SM-5GZY3 30-39 years, male 63.3
GTEX-1LSNM-0826-SM-DIPG8 50-59 years, male 63.2
GTEX-148VJ-0626-SM-5LUAW 70-79 years, male 63.1
GTEX-X4EP-0626-SM-3P621 60-69 years, female 63.1
GTEX-ZZ64-1026-SM-5GZXG 20-29 years, male 63.1
GTEX-1L5NE-1126-SM-D3L9P 50-59 years, male 63.1
GTEX-YECK-0326-SM-4W1YS 60-69 years, male 62.9
GTEX-12126-0826-SM-5FQTZ 20-29 years, male 62.8
GTEX-12WSK-2126-SM-5CVNC 40-49 years, female 62.6
GTEX-139TS-2126-SM-5K7XC 60-69 years, male 62.6
GTEX-18QFQ-1826-SM-72D52 30-39 years, male 62.6
GTEX-1AMEY-0826-SM-72D65 30-39 years, female 62.5
GTEX-12WSF-1626-SM-7KUG5 70-79 years, male 62.4
GTEX-1GPI7-1826-SM-9KNU1 20-29 years, male 62.4
GTEX-1314G-1326-SM-5BC6E 30-39 years, male 62.2
GTEX-1F48J-0726-SM-7RHGS 50-59 years, female 62.1
GTEX-1QW4Y-1126-SM-DTXE3 30-39 years, male 62.1
GTEX-15FZZ-0526-SM-7KUGD 30-39 years, female 61.9
GTEX-1H1DF-1126-SM-9WG7G 40-49 years, female 61.9
GTEX-1RB15-1326-SM-E76Q9 60-69 years, male 61.9
GTEX-12WSH-1526-SM-5BC5W 50-59 years, male 61.8
GTEX-18A6Q-0626-SM-7KFRP 60-69 years, male 61.8
GTEX-X3Y1-2026-SM-3P5YM 40-49 years, male 61.7
GTEX-139YR-1026-SM-5LZYN 50-59 years, male 61.5
GTEX-1IOXB-2726-SM-CM2RI 50-59 years, male 61.5
GTEX-1PPH7-1126-SM-DTX9A 40-49 years, male 61.5
GTEX-18D9A-1426-SM-7LT8M 30-39 years, female 61.4
GTEX-13NZ9-2626-SM-5L3FK 50-59 years, male 61.2
GTEX-144FL-0626-SM-5LU43 50-59 years, male 61.2
GTEX-13OVJ-0826-SM-5J1OK 50-59 years, female 61.0
GTEX-15UF6-1926-SM-7KUDV 70-79 years, female 61.0
GTEX-14PJ6-2626-SM-6EU2T 60-69 years, female 60.8
GTEX-15EO6-2426-SM-6PALZ 50-59 years, male 60.8
GTEX-15SKB-2826-SM-6PAMH 60-69 years, male 60.8
GTEX-1ICLY-0826-SM-CMKG1 50-59 years, male 60.8
GTEX-1I6K6-1726-SM-CGQFD 30-39 years, male 60.7
GTEX-1JN76-0626-SM-CKZOQ 20-29 years, female 60.6
GTEX-13X6I-1826-SM-5SIAO 60-69 years, male 60.5
GTEX-1CAV2-0126-SM-7IGN7 40-49 years, female 60.4
GTEX-1IDJD-2326-SM-ACKWX 30-39 years, male 60.4
GTEX-13D11-0926-SM-5J2NC 50-59 years, female 60.3
GTEX-13OVK-1426-SM-6PAN7 40-49 years, male 60.3
GTEX-13SLX-2226-SM-62LEP 50-59 years, female 60.3
GTEX-18A67-1626-SM-7LT9T 50-59 years, male 60.2
GTEX-1HCUA-0826-SM-ADEHM 50-59 years, female 60.2
GTEX-1IDJV-0126-SM-COH3Y 60-69 years, male 60.2
GTEX-1MCC2-1826-SM-DIPEX 30-39 years, female 60.2
GTEX-11NUK-2726-SM-5A5MC 50-59 years, male 60.1
GTEX-11P7K-1126-SM-5HL4L 30-39 years, male 60.0
GTEX-1EWIQ-0326-SM-7DHMQ 70-79 years, female 60.0
GTEX-YJ8O-2526-SM-5HL85 40-49 years, female 60.0
GTEX-132AR-0326-SM-5KM2C 50-59 years, female 59.8
GTEX-183WM-0326-SM-72D5V 70-79 years, female 59.7
GTEX-1K2DU-1226-SM-CYPT4 20-29 years, male 59.6
GTEX-11NSD-0626-SM-5A5LU 20-29 years, male 59.5
GTEX-11O72-0626-SM-5PNYE 40-49 years, male 59.5
GTEX-1MCYP-0526-SM-E9U6Q 20-29 years, female 59.5
GTEX-XMD2-2126-SM-4YCF8 60-69 years, female 59.4
GTEX-14PK6-0226-SM-62LF5 70-79 years, female 59.3
GTEX-11P81-2226-SM-5PNYI 30-39 years, female 59.2
GTEX-11P82-1426-SM-DTXFY 20-29 years, male 59.2
GTEX-1HSGN-0826-SM-ACKW3 40-49 years, female 59.1
GTEX-13FTX-1526-SM-5K7VJ 20-29 years, female 59.0
GTEX-13O3Q-0126-SM-5KM34 50-59 years, male 58.9
GTEX-1LB8K-0726-SM-D5OV2 50-59 years, male 58.9
GTEX-14JG1-1526-SM-5YY9X 40-49 years, male 58.8
GTEX-15DDE-2926-SM-6LLJ3 50-59 years, female 58.8
GTEX-1F6IF-0926-SM-7SB7M 60-69 years, male 58.8
GTEX-1H2FU-0926-SM-9WPPT 60-69 years, female 58.7
GTEX-1A3MW-0626-SM-731CB 60-69 years, female 58.5
GTEX-1399R-1326-SM-5PNYS 30-39 years, male 58.4
GTEX-1I1GP-1326-SM-A9G28 50-59 years, male 58.4
GTEX-1RAZS-2526-SM-E6CHT 50-59 years, male 58.4
GTEX-1AX9J-1326-SM-731BJ 60-69 years, male 58.3
GTEX-1C64N-2626-SM-7PC2N 50-59 years, male 58.3
GTEX-14C39-1726-SM-5RQIL 40-49 years, male 58.1
GTEX-WYBS-0626-SM-3NMAS 60-69 years, female 58.1
GTEX-13FH7-1126-SM-5K7UG 50-59 years, female 58.0
GTEX-14PJO-2526-SM-6AJBQ 60-69 years, male 58.0
GTEX-1O9I2-0226-SM-EYYXD 50-59 years, male 58.0
GTEX-145MO-2826-SM-5LU96 60-69 years, male 57.9
GTEX-ZDTT-0426-SM-4WKFL 60-69 years, male 57.9
GTEX-ZYFC-0426-SM-5GICQ 50-59 years, male 57.9
GTEX-18D9B-0926-SM-7LG4U 60-69 years, male 57.8
GTEX-1HCVE-2726-SM-CL54F 50-59 years, male 57.8
GTEX-1JK1U-0226-SM-ARZMX 60-69 years, male 57.8
GTEX-1JMOU-1026-SM-CYPSS 60-69 years, female 57.8
GTEX-1RAZQ-1326-SM-E9TK6 30-39 years, male 57.8
GTEX-1S82U-1026-SM-E6CJK 30-39 years, female 57.7
GTEX-11DXZ-2026-SM-5987S 50-59 years, male 57.6
GTEX-1B932-2326-SM-79OL5 40-49 years, female 57.6
GTEX-1GMR8-0626-SM-7RHI7 50-59 years, female 57.6
GTEX-1R9K4-2826-SM-DTX8F 60-69 years, male 57.6
GTEX-1HFI7-2326-SM-CGQFS 50-59 years, female 57.5
GTEX-1GMR2-0826-SM-7PC3V 50-59 years, male 57.4
GTEX-VUSG-2326-SM-4KL1U 50-59 years, male 57.3
GTEX-1H11D-1826-SM-9QEHM 40-49 years, male 57.2
GTEX-14E6C-2426-SM-5S2NF 40-49 years, male 57.1
GTEX-1HCU6-2526-SM-ADEHL 60-69 years, female 57.1
GTEX-1JJE9-2626-SM-ARZMT 70-79 years, male 57.1
GTEX-1QP66-1226-SM-DTX7U 50-59 years, male 57.1
GTEX-ZDTS-0826-SM-4WKHL 60-69 years, male 57.0
GTEX-11DXW-0826-SM-5H118 40-49 years, male 56.9
GTEX-Y5V5-0126-SM-5S2NW 60-69 years, female 56.7
GTEX-1I1HK-2326-SM-CKZOH 60-69 years, male 56.7
GTEX-ZU9S-1826-SM-5NQ9E 30-39 years, male 56.6
GTEX-1JMPZ-0726-SM-CY8HZ 30-39 years, male 56.5
GTEX-18465-2826-SM-7LT9J 50-59 years, male 56.4
GTEX-1CAMQ-1326-SM-7P8RV 40-49 years, male 56.4
GTEX-1JKYN-0826-SM-ARU8S 30-39 years, male 56.3
GTEX-1KD5A-0126-SM-E9U54 50-59 years, male 56.2
GTEX-14ABY-2026-SM-62LDL 50-59 years, male 56.1
GTEX-16XZZ-0726-SM-7KUF2 60-69 years, male 56.1
GTEX-111FC-2526-SM-5GZXU 60-69 years, male 56.0
GTEX-11ZUS-2626-SM-5FQUR 30-39 years, male 56.0
GTEX-WYJK-0526-SM-3NM8Z 50-59 years, male 55.9
GTEX-1A8G6-2726-SM-731AR 60-69 years, male 55.8
GTEX-WI4N-2726-SM-3LK7Y 40-49 years, female 55.8
GTEX-Z93S-1626-SM-5CVMB 50-59 years, male 55.7
GTEX-ZYY3-2926-SM-5GIEB 60-69 years, female 55.7
GTEX-1GN1V-2826-SM-9JGIA 60-69 years, male 55.7
GTEX-12WSD-0626-SM-5GCMW 60-69 years, female 55.6
GTEX-1QMI2-2526-SM-E8VNZ 60-69 years, male 55.6
GTEX-12WSJ-1126-SM-5LZVJ 40-49 years, female 55.5
GTEX-13N2G-0226-SM-5K7VF 60-69 years, male 55.5
GTEX-17HHE-1326-SM-7EWDZ 50-59 years, male 55.5
GTEX-17HII-1426-SM-7EPGG 50-59 years, male 55.5
GTEX-1IDJH-0126-SM-D3L92 70-79 years, male 55.5
GTEX-1B933-2426-SM-7DHMD 50-59 years, female 55.4
GTEX-1A8FM-0626-SM-7PC25 50-59 years, female 55.4
GTEX-1PIIG-2326-SM-DTXFR 30-39 years, male 55.4
GTEX-1RAZR-2126-SM-E9U6T 40-49 years, male 55.4
GTEX-15ER7-0626-SM-6PANF 20-29 years, female 55.1
GTEX-1HBPM-0726-SM-9YFL7 60-69 years, female 55.1
GTEX-WHWD-1826-SM-3LK6I 50-59 years, male 55.0
GTEX-1IDJU-1726-SM-CMKHU 60-69 years, female 55.0
GTEX-1JMQI-1726-SM-ARL93 50-59 years, male 55.0
GTEX-145MH-2826-SM-5RQJF 50-59 years, male 54.9
GTEX-1HR9M-2226-SM-CNPPY 60-69 years, male 54.5
GTEX-14BIN-1126-SM-5RQJZ 50-59 years, female 54.4
GTEX-14PJ4-0226-SM-5YY92 60-69 years, male 54.4
GTEX-ZAJG-1526-SM-5CVML 50-59 years, female 54.4
GTEX-ZE9C-2526-SM-5IJDR 60-69 years, male 54.4
GTEX-1EX96-1026-SM-7MKG2 50-59 years, male 54.2
GTEX-U8XE-0226-SM-4E3J3 30-39 years, male 54.1
GTEX-1GL5R-1326-SM-7RHHF 50-59 years, male 54.0
GTEX-13NYC-0126-SM-5L3F4 60-69 years, male 53.9
GTEX-Y111-0626-SM-4SOIT 50-59 years, male 53.9
GTEX-1LVA9-2626-SM-EVYD4 50-59 years, male 53.9
GTEX-ZVP2-0326-SM-57WBP 50-59 years, male 53.8
GTEX-1QPFJ-1926-SM-EVYBD 30-39 years, female 53.8
GTEX-14PJ2-0626-SM-6LLII 50-59 years, male 53.7
GTEX-ZYVF-0926-SM-5E44J 50-59 years, female 53.7
GTEX-1S831-1826-SM-EWROF 20-29 years, male 53.6
GTEX-11LCK-2226-SM-5HL4Q 30-39 years, male 53.4
GTEX-1F75A-0726-SM-7RHHD 50-59 years, male 53.4
GTEX-1F88F-0126-SM-9WYSZ 60-69 years, female 53.4
GTEX-1GF9X-1326-SM-7PC2Y 40-49 years, female 53.4
GTEX-12ZZZ-0726-SM-5GCNZ 60-69 years, male 53.3
GTEX-12WSM-1926-SM-5BC65 60-69 years, male 53.2
GTEX-147F3-1726-SM-5SIAW 50-59 years, female 53.2
GTEX-1GF9V-0826-SM-9KNUV 60-69 years, male 53.2
GTEX-1HC8U-1326-SM-9YFMJ 40-49 years, female 53.2
GTEX-1HCU8-2526-SM-CE6RX 60-69 years, female 53.2
GTEX-1PPGY-1626-SM-EVYBL 60-69 years, male 53.2
GTEX-1CAMR-1326-SM-7PC1F 20-29 years, male 53.1
GTEX-1I1GU-0926-SM-ACKVS 40-49 years, male 53.1
GTEX-WFON-1926-SM-3LK7L 40-49 years, male 53.0
GTEX-ZA64-1026-SM-5HL8R 20-29 years, male 53.0
GTEX-ZF29-0926-SM-4WKFZ 60-69 years, female 53.0
GTEX-11EI6-2826-SM-5H11D 60-69 years, male 52.9
GTEX-14DAR-1226-SM-73KYV 50-59 years, male 52.8
GTEX-1C64O-1326-SM-7MGWR 60-69 years, male 52.8
GTEX-15DYW-2726-SM-6EU2I 60-69 years, female 52.6
GTEX-15G1A-1626-SM-7KUKN 30-39 years, male 52.6
GTEX-1LG7Z-1626-SM-CXKYR 30-39 years, male 52.5
GTEX-1QEPI-2626-SM-DTXF4 60-69 years, female 52.5
GTEX-ZF3C-0626-SM-DO92O 50-59 years, female 52.5
GTEX-13FLV-0126-SM-5K7WT 50-59 years, male 52.4
GTEX-13PVQ-0626-SM-5LU47 50-59 years, male 52.4
GTEX-13QJC-0126-SM-5ZZWJ 60-69 years, female 52.2
GTEX-13O3O-2326-SM-5IJD6 60-69 years, female 52.0
GTEX-17MF6-2626-SM-79OKQ 40-49 years, male 52.0
GTEX-ZDYS-2426-SM-4WKGI 50-59 years, male 52.0
GTEX-14PKU-0126-SM-6LLHV 40-49 years, female 51.9
GTEX-17HG3-2626-SM-7DUF2 30-39 years, female 51.9
GTEX-1C6VQ-1226-SM-73KYD 50-59 years, male 51.9
GTEX-17HHY-0426-SM-7DHLC 50-59 years, male 51.8
GTEX-11GS4-0226-SM-5HL77 60-69 years, male 51.7
GTEX-1269C-0126-SM-5EQ5L 60-69 years, female 51.7
GTEX-XQ3S-1426-SM-4BOPR 20-29 years, male 51.7
GTEX-ZYFD-0626-SM-5E44E 50-59 years, male 51.7
GTEX-14C38-0726-SM-5SI6M 50-59 years, male 51.6
GTEX-1GZ2Q-0126-SM-9WG6M 40-49 years, male 51.6
GTEX-1I1CD-0626-SM-CE6SW 60-69 years, female 51.6
GTEX-11VI4-1126-SM-5EQMD 40-49 years, female 51.5
GTEX-1HSMP-0926-SM-A9SKX 70-79 years, male 51.5
GTEX-1EN7A-2426-SM-793DB 40-49 years, male 51.4
GTEX-1HT8W-0626-SM-A9G2H 30-39 years, male 51.4
GTEX-13SLW-0626-SM-5Q5ER 70-79 years, male 51.2
GTEX-1ICLZ-0326-SM-ARL82 60-69 years, male 51.2
GTEX-14PKV-1126-SM-6LLJ1 20-29 years, female 51.0
GTEX-X4EO-2926-SM-4E3JH 60-69 years, female 51.0
GTEX-131XG-0326-SM-5L3DX 50-59 years, female 50.9
GTEX-14JFF-0626-SM-5ZZVT 60-69 years, male 50.9
GTEX-139UW-0326-SM-5J1ML 60-69 years, male 50.8
GTEX-13FHO-0426-SM-5L3F5 60-69 years, male 50.6
GTEX-1R7EU-1626-SM-DTXG3 60-69 years, male 50.5
GTEX-14DAQ-0626-SM-793DS 60-69 years, female 50.4
GTEX-1GZ4I-2626-SM-9KNU3 50-59 years, male 50.4
GTEX-12WSA-0426-SM-5EQ5X 60-69 years, male 50.3
GTEX-ZT9X-1526-SM-5DUXD 40-49 years, male 50.3
GTEX-1HSMO-0626-SM-ACKXC 60-69 years, male 50.3
GTEX-13OW6-2726-SM-5J2OE 50-59 years, male 50.2
GTEX-ZDXO-3126-SM-5IJDF 60-69 years, male 50.0
GTEX-145LU-1926-SM-79OJN 50-59 years, male 49.9
GTEX-1ICG6-1226-SM-A9SLN 70-79 years, female 49.9
GTEX-12BJ1-0926-SM-5EQ62 60-69 years, male 49.8
GTEX-18A7A-0126-SM-731AH 50-59 years, female 49.8
GTEX-1LG7Y-2526-SM-EWRO7 50-59 years, male 49.7
GTEX-16NPX-0726-SM-7KULC 50-59 years, male 49.6
GTEX-17JCI-2926-SM-7DUFF 60-69 years, female 49.6
GTEX-13X6H-0926-SM-5SIB2 50-59 years, female 49.4
GTEX-1H23P-0626-SM-9WG6T 60-69 years, male 49.4
GTEX-14E6E-0526-SM-793DN 30-39 years, male 49.3
GTEX-Y9LG-1126-SM-4VBQ7 30-39 years, male 49.3
GTEX-1F75I-2226-SM-7SB8U 40-49 years, male 49.3
GTEX-1QCLY-0226-SM-EWRNH 30-39 years, male 49.3
GTEX-145MN-1526-SM-5SI9T 30-39 years, male 49.2
GTEX-1A32A-0626-SM-731AQ 50-59 years, female 49.2
GTEX-145MF-0926-SM-5Q5EA 50-59 years, male 49.1
GTEX-ZY6K-1426-SM-5GZX2 50-59 years, male 49.1
GTEX-1IDJC-1526-SM-B2LW4 50-59 years, male 49.1
GTEX-1C2JI-1026-SM-73KY1 50-59 years, male 48.9
GTEX-1B8L1-2226-SM-7P8PT 60-69 years, male 48.9
GTEX-1C6VR-0126-SM-7RHGB 60-69 years, male 48.9
GTEX-1I19N-0126-SM-CYPSF 70-79 years, male 48.9
GTEX-13N1W-2426-SM-5IJD1 70-79 years, male 48.8
GTEX-1C6WA-2626-SM-7MKGM 60-69 years, male 48.7
GTEX-1J8JJ-0626-SM-ARZMQ 60-69 years, female 48.7
GTEX-1QAET-0326-SM-EVR3U 50-59 years, male 48.7
GTEX-ZVT4-2426-SM-5GIEI 50-59 years, female 48.6
GTEX-1AYD5-2626-SM-7PBXY 50-59 years, male 48.5
GTEX-1IDJF-2026-SM-CL53V 20-29 years, male 48.5
GTEX-1LSNL-2726-SM-E9TKJ 50-59 years, male 48.5
GTEX-14BMU-1226-SM-5S2OR 20-29 years, female 48.4
GTEX-133LE-2326-SM-5K7W3 20-29 years, female 48.3
GTEX-13N11-2326-SM-5IJBF 50-59 years, female 48.3
GTEX-17F98-1326-SM-7DUEP 40-49 years, female 48.2
GTEX-15D1Q-2826-SM-6LLH7 40-49 years, male 48.1
GTEX-WRHU-2826-SM-3MJG8 50-59 years, female 48.1
GTEX-XUW1-0926-SM-4BONX 50-59 years, female 48.1
GTEX-Y8E4-2026-SM-5IFJB 40-49 years, male 48.1
GTEX-11DXX-2126-SM-5PNYR 60-69 years, female 48.0
GTEX-ZVTK-0226-SM-51MRG 20-29 years, male 47.9
GTEX-111YS-1526-SM-5GZYW 60-69 years, male 47.8
GTEX-13OVL-0126-SM-5L3GJ 50-59 years, male 47.7
GTEX-16MT9-0126-SM-7EPI8 60-69 years, female 47.7
GTEX-1GZHY-0626-SM-9KNVC 50-59 years, female 47.7
GTEX-ZVT2-0126-SM-5GIDQ 50-59 years, female 47.6
GTEX-1C475-1326-SM-7SB73 40-49 years, female 47.5
GTEX-1A8G7-1326-SM-73KVM 60-69 years, male 47.4
GTEX-WHPG-2626-SM-3NMBR 50-59 years, male 47.4
GTEX-XPVG-2126-SM-4B667 50-59 years, male 47.4
GTEX-1GN73-0726-SM-7P8TJ 60-69 years, male 47.4
GTEX-1N2EE-0626-SM-E76PW 60-69 years, male 47.4
GTEX-1HKZK-0726-SM-ACKW2 40-49 years, male 47.3
GTEX-1F88E-1626-SM-7SB8Z 60-69 years, female 47.2
GTEX-14PJ3-1126-SM-5ZZVX 50-59 years, male 47.1
GTEX-ZUA1-2626-SM-5NQ92 40-49 years, male 46.9
GTEX-1GN2E-0226-SM-9WG6K 60-69 years, male 46.9
GTEX-1I4MK-0126-SM-CY8G6 50-59 years, female 46.9
GTEX-XAJ8-1426-SM-47JYM 40-49 years, male 46.8
GTEX-1I1GV-0626-SM-ARL7M 60-69 years, male 46.8
GTEX-1H3NZ-2726-SM-9WYTQ 60-69 years, male 46.7
GTEX-1IKJJ-2226-SM-CJI4C 60-69 years, male 46.7
GTEX-1S5ZU-2526-SM-E6CIF 20-29 years, female 46.7
GTEX-X8HC-0626-SM-4E3HQ 50-59 years, female 46.4
GTEX-1GF9U-2026-SM-7SB92 40-49 years, female 46.3
GTEX-1N5O9-0926-SM-E9J3C 60-69 years, male 46.3
GTEX-145ME-1726-SM-5Q5EU 40-49 years, female 46.2
GTEX-1I6K7-1926-SM-B2LXR 40-49 years, male 46.2
GTEX-13W3W-0726-SM-5IJDQ 60-69 years, female 46.0
GTEX-16Z82-2626-SM-7KULU 60-69 years, male 46.0
GTEX-11TT1-1826-SM-5EQLV 20-29 years, male 45.9
GTEX-14PJN-1826-SM-6AJ98 30-39 years, male 45.9
GTEX-15EU6-2226-SM-6EU2L 50-59 years, male 45.9
GTEX-14JG6-1426-SM-9WG7C 30-39 years, female 45.9
GTEX-1HUB1-1426-SM-CGQF5 60-69 years, male 45.9
GTEX-131YS-2826-SM-5EQ47 60-69 years, female 45.8
GTEX-1CB4E-0926-SM-7EPHT 60-69 years, male 45.7
GTEX-1EH9U-2826-SM-7DUGT 60-69 years, male 45.7
GTEX-11UD2-2526-SM-5CVNU 50-59 years, male 45.6
GTEX-WHSE-0126-SM-3NMBT 20-29 years, male 45.6
GTEX-1AX8Z-0726-SM-73KTS 60-69 years, male 45.5
GTEX-1F5PK-2226-SM-7SB6N 50-59 years, male 45.5
GTEX-17KNJ-2126-SM-718AM 50-59 years, male 45.4
GTEX-Y3I4-1726-SM-4TT89 50-59 years, male 45.4
GTEX-1JKYR-0626-SM-ARL8R 20-29 years, male 45.4
GTEX-X5EB-1926-SM-4E3IW 40-49 years, male 45.3
GTEX-1399U-1126-SM-5L3DB 50-59 years, female 45.2
GTEX-WYVS-1626-SM-3NM9R 40-49 years, female 45.2
GTEX-14A6H-2026-SM-5Q5DD 30-39 years, male 45.1
GTEX-YEC3-1326-SM-DO92X 50-59 years, male 44.8
GTEX-1LGOU-1326-SM-D3L8M 20-29 years, female 44.7
GTEX-13VXT-1926-SM-5K7UO 20-29 years, female 44.5
GTEX-1GF9W-1426-SM-7PBYM 60-69 years, male 44.5
GTEX-YF7O-1526-SM-5IFI6 50-59 years, male 44.4
GTEX-12WSC-2826-SM-5BC5Y 50-59 years, male 44.3
GTEX-13X6J-0626-SM-5LU5F 50-59 years, male 44.3
GTEX-17EVP-2626-SM-7IGMA 40-49 years, male 44.3
GTEX-1H1DG-2426-SM-9QEHJ 70-79 years, male 44.3
GTEX-ZLWG-0826-SM-59888 50-59 years, female 44.1
GTEX-15RJ7-2126-SM-6PAMD 40-49 years, male 43.9
GTEX-1A3MV-1826-SM-731CD 30-39 years, male 43.9
GTEX-18D9U-0126-SM-731BM 40-49 years, male 43.8
GTEX-1IDJE-1426-SM-ADEIW 50-59 years, female 43.8
GTEX-1IY9M-2826-SM-ARU8H 60-69 years, male 43.8
GTEX-1KXAM-1626-SM-D3LAD 60-69 years, male 43.8
GTEX-145MI-0626-SM-5SI8S 60-69 years, female 43.7
GTEX-1497J-0226-SM-5QGPU 60-69 years, male 43.6
GTEX-1PDJ9-1226-SM-EXUSX 20-29 years, male 43.4
GTEX-Y8LW-1526-SM-5IFHL 50-59 years, female 43.3
GTEX-139TT-2126-SM-5LZWC 60-69 years, male 43.2
GTEX-11ZTT-2126-SM-5CVLO 60-69 years, female 43.1
GTEX-ZTSS-1426-SM-5985P 40-49 years, male 43.0
GTEX-11WQK-1026-SM-5EQLX 50-59 years, male 42.9
GTEX-YEC4-1826-SM-4W1YP 40-49 years, male 42.9
GTEX-1S3DN-2126-SM-E9TIN 50-59 years, male 42.9
GTEX-WK11-2726-SM-3NMAQ 50-59 years, male 42.8
GTEX-XBED-1926-SM-47JYP 60-69 years, male 42.8
GTEX-1J8QM-2426-SM-A9SLS 60-69 years, female 42.8
GTEX-1GPI6-1926-SM-9KNV7 60-69 years, male 42.6
GTEX-1KANA-1326-SM-DIPFA 20-29 years, male 42.6
GTEX-1IE54-1126-SM-A9G2Z 40-49 years, female 42.5
GTEX-1QP29-1826-SM-DTX9S 50-59 years, male 42.5
GTEX-12ZZY-0726-SM-5EQ66 60-69 years, male 42.4
GTEX-V1D1-2026-SM-3GAF4 50-59 years, male 42.4
GTEX-13112-0126-SM-5P9IU 50-59 years, male 42.3
GTEX-17HGU-2326-SM-7DUFE 50-59 years, male 42.2
GTEX-1EKGG-0626-SM-7DUGJ 60-69 years, male 42.1
GTEX-1212Z-0126-SM-59HK4 60-69 years, male 41.9
GTEX-1CB4I-0126-SM-7RHGG 50-59 years, male 41.9
GTEX-1122O-1026-SM-9WYSF 60-69 years, female 41.7
GTEX-16NGA-0726-SM-731AO 40-49 years, female 41.6
GTEX-1AMFI-1326-SM-7939R 50-59 years, female 41.5
GTEX-13OVG-1626-SM-5J1NF 60-69 years, male 41.4
GTEX-ZPU1-1126-SM-4YCF3 40-49 years, male 41.3
GTEX-1J8Q2-2626-SM-ACKWQ 60-69 years, male 41.2
GTEX-13VXU-0626-SM-5L3F9 50-59 years, male 41.1
GTEX-13113-1626-SM-5EQ4I 60-69 years, female 41.0
GTEX-1211K-1526-SM-5FQU4 60-69 years, female 40.9
GTEX-1RAZA-2226-SM-E9U4X 20-29 years, male 40.9
GTEX-13PVR-0426-SM-5RQK2 60-69 years, female 40.6
GTEX-144GM-0526-SM-79OJO 20-29 years, male 40.6
GTEX-1QCLZ-2426-SM-EVYBW 60-69 years, female 40.6
GTEX-1AX9I-2226-SM-73KUO 60-69 years, male 40.5
GTEX-1EU9M-1426-SM-793AI 60-69 years, male 40.5
GTEX-1GMR3-0126-SM-A9SLW 40-49 years, male 40.5
GTEX-1GTWX-2026-SM-9YFLM 60-69 years, male 40.5
GTEX-13OW7-0426-SM-5K7VK 50-59 years, male 40.4
GTEX-ZT9W-1126-SM-57WDR 50-59 years, male 40.1
GTEX-12696-0126-SM-5EQ4L 60-69 years, male 39.8
GTEX-WFG8-2126-SM-3GIKQ 20-29 years, male 39.6
GTEX-WY7C-2126-SM-3NB2R 50-59 years, male 39.5
GTEX-1KANC-1226-SM-CYPT7 50-59 years, female 39.4
GTEX-1B8SF-0126-SM-7DUG3 60-69 years, male 39.3
GTEX-15CHQ-0326-SM-69LQD 60-69 years, male 39.1
GTEX-145LT-0526-SM-5LUB2 40-49 years, male 38.8
GTEX-183FY-1026-SM-7939A 20-29 years, male 38.5
GTEX-WEY5-2326-SM-3GIKK 40-49 years, female 38.5
GTEX-1H4P4-2126-SM-9WYSL 50-59 years, male 38.5
GTEX-1B996-0426-SM-7EWF8 60-69 years, male 38.2
GTEX-1F5PL-0926-SM-7PC2W 40-49 years, female 38.2
GTEX-1JN6P-2926-SM-CL54D 60-69 years, male 38.1
GTEX-14B4R-1326-SM-5Q5EZ 30-39 years, male 37.8
GTEX-1E1VI-0326-SM-793D1 50-59 years, male 37.6
GTEX-1HCU9-0426-SM-9WYSD 20-29 years, male 37.6
GTEX-1A3MX-2626-SM-7PC24 60-69 years, male 37.3
GTEX-1KWVE-1026-SM-D3L9O 30-39 years, male 37.3
GTEX-11EQ9-1626-SM-5PNY8 30-39 years, male 37.2
GTEX-13X6K-0626-SM-5LU5D 60-69 years, female 37.1
GTEX-1CB4J-1326-SM-7P8RX 60-69 years, male 36.9
GTEX-1H1DE-1326-SM-9KNUG 20-29 years, male 36.7
GTEX-15CHC-1126-SM-6LLHQ 60-69 years, female 36.0
GTEX-13QBU-1226-SM-5LU4G 40-49 years, female 35.6
GTEX-11EM3-1226-SM-5N9DD 20-29 years, female 35.4
GTEX-1CB4F-1026-SM-7DUH1 60-69 years, male 35.2
GTEX-1GN1U-0626-SM-9MQL9 50-59 years, female 35.1
GTEX-1S83E-1326-SM-E6CJM 40-49 years, male 34.5
GTEX-VJYA-1526-SM-3GIJV 60-69 years, male 34.2
GTEX-1GN1W-2426-SM-9KNUU 50-59 years, female 34.1
GTEX-11TUW-0626-SM-5LU9M 60-69 years, male 33.9
GTEX-14XAO-1226-SM-6EU1C 60-69 years, female 33.8
GTEX-13U4I-2226-SM-5LU5H 40-49 years, female 33.6
GTEX-1HBPI-2126-SM-ARL9K 50-59 years, male 33.5
GTEX-ZPIC-0526-SM-DO91W 40-49 years, female 33.1
GTEX-1B97I-0626-SM-73KUZ 40-49 years, male 32.7
GTEX-1J8Q3-0526-SM-ARL8U 60-69 years, male 32.3
GTEX-Y5LM-0926-SM-6LLJG 40-49 years, female 31.3
GTEX-147JS-0226-SM-5S2U9 60-69 years, male 31.2
GTEX-1B8KZ-0326-SM-73KY4 50-59 years, male 31.2
GTEX-178AV-1726-SM-7KUL8 40-49 years, male 30.5
Show allShow less
Skin - Sun Exposed (Lower leg)
Average nTPM: 66.4
Samples: 701

Max nTPM: 139.9
Min nTPM: 27.0
Std nTPM: 18.5
Median nTPM: 63.9
GTEX-PSDG-0226-SM-DKPOZ 50-59 years, male 139.9
GTEX-17JCI-0126-SM-7LG5G 60-69 years, female 132.2
GTEX-1LBAC-0126-SM-DIPEZ 20-29 years, male 131.3
GTEX-XBEW-0626-SM-4QASP 40-49 years, male 130.9
GTEX-1LGRB-2526-SM-CNPPQ 50-59 years, female 128.8
GTEX-1K2DA-1826-SM-CGQGT 50-59 years, male 128.6
GTEX-1KD4Q-0226-SM-E9TJ9 40-49 years, male 123.4
GTEX-1L5NE-2526-SM-E6CIE 50-59 years, male 122.4
GTEX-1PIGE-0126-SM-EVYBJ 20-29 years, male 118.7
GTEX-1RAZA-0126-SM-E6CI3 20-29 years, male 118.2
GTEX-ZGAY-0526-SM-4WWBB 40-49 years, female 118.1
GTEX-P4QT-0126-SM-2I3FL 50-59 years, female 118.0
GTEX-15SB6-1726-SM-6PAME 50-59 years, female 117.9
GTEX-1399U-2326-SM-5K7WY 50-59 years, female 116.5
GTEX-XQ8I-0426-SM-4BOPO 50-59 years, male 113.2
GTEX-1GMR3-1926-SM-9KNUZ 40-49 years, male 113.0
GTEX-SE5C-1626-SM-2XCE3 40-49 years, female 111.9
GTEX-146FR-1326-SM-E9J48 60-69 years, female 111.4
GTEX-14753-0426-SM-5NQAM 60-69 years, male 111.1
GTEX-1LVAN-0226-SM-COH3S 50-59 years, female 109.0
GTEX-P4PP-0126-SM-3LK69 30-39 years, female 108.7
GTEX-13OVK-2026-SM-7KUEO 40-49 years, male 108.4
GTEX-1R9PM-2026-SM-E76OY 20-29 years, male 108.4
GTEX-1OJC4-0126-SM-E9J2E 50-59 years, female 108.0
GTEX-SNMC-1226-SM-2XCFP 20-29 years, male 107.4
GTEX-P4PQ-0126-SM-2S1NM 60-69 years, male 106.9
GTEX-1IL2U-0226-SM-CE6T8 60-69 years, male 106.0
GTEX-1IOXB-0126-SM-ARL8G 50-59 years, male 105.0
GTEX-13FTW-2626-SM-5K7WL 40-49 years, male 104.8
GTEX-YB5E-2026-SM-5IFIS 40-49 years, male 104.7
GTEX-WYJK-0126-SM-3NMAB 50-59 years, male 104.6
GTEX-14LZ3-0226-SM-62LET 60-69 years, female 104.5
GTEX-ZZPT-0226-SM-5E43X 50-59 years, male 103.6
GTEX-ZV6S-2326-SM-4YCEY 40-49 years, female 103.4
GTEX-W5WG-1826-SM-4KL2Y 50-59 years, female 102.8
GTEX-NPJ8-0126-SM-2YUNR 40-49 years, male 102.6
GTEX-146FQ-0126-SM-5NQA9 30-39 years, male 102.3
GTEX-WFON-2126-SM-3LK7O 40-49 years, male 101.5
GTEX-W5X1-3026-SM-EAZAX 40-49 years, female 101.0
GTEX-15RIG-0226-SM-7KFTL 40-49 years, male 100.7
GTEX-1J1R8-1726-SM-ARL8M 40-49 years, male 99.8
GTEX-WH7G-2326-SM-3NMBC 40-49 years, male 99.1
GTEX-PWCY-1826-SM-DHXIZ 20-29 years, female 98.9
GTEX-RUSQ-1526-SM-2TF62 50-59 years, male 98.6
GTEX-WQUQ-0426-SM-3MJFU 60-69 years, male 98.5
GTEX-1LSNM-1926-SM-E6CII 50-59 years, male 98.4
GTEX-14PHX-2326-SM-62LEM 50-59 years, male 97.9
GTEX-ZF2S-2326-SM-4WWCE 50-59 years, female 97.6
GTEX-SUCS-1926-SM-32PM3 70-79 years, male 97.1
GTEX-1GZHY-0326-SM-9QEHI 50-59 years, female 96.8
GTEX-14E6D-0126-SM-62LDV 50-59 years, male 96.5
GTEX-13O3P-0126-SM-5KM4S 50-59 years, male 95.7
GTEX-13D11-2426-SM-5KM1V 50-59 years, female 93.9
GTEX-1JMQL-0226-SM-CNPP5 50-59 years, female 93.9
GTEX-11GSP-2526-SM-5N9BP 60-69 years, female 93.8
GTEX-1HSEH-0126-SM-ACKXN 60-69 years, male 93.8
GTEX-1KAFJ-2026-SM-CY8ID 50-59 years, male 93.6
GTEX-14PII-0226-SM-6EU1T 60-69 years, male 93.4
GTEX-SJXC-0126-SM-2XCFF 60-69 years, male 93.3
GTEX-111FC-0126-SM-5N9DL 60-69 years, male 93.0
GTEX-1GZ4H-1726-SM-7PBZJ 50-59 years, female 92.9
GTEX-1122O-2126-SM-5EGIR 60-69 years, female 92.8
GTEX-15ETS-0126-SM-7KUMW 40-49 years, female 92.8
GTEX-12ZZX-0126-SM-5EGK9 40-49 years, female 92.3
GTEX-UJHI-1526-SM-3DB99 50-59 years, female 92.2
GTEX-12WSE-0526-SM-793B2 20-29 years, male 92.0
GTEX-1HSKV-0226-SM-A9SKJ 60-69 years, male 92.0
GTEX-1J8EW-0126-SM-CJI4F 60-69 years, female 91.5
GTEX-1QCLY-0326-SM-E8VOG 30-39 years, male 91.0
GTEX-1OJC3-0126-SM-E76QX 20-29 years, male 90.9
GTEX-1399T-2826-SM-5KLYZ 60-69 years, male 90.7
GTEX-PLZ5-2026-SM-2S1O4 50-59 years, male 90.6
GTEX-139T8-0126-SM-5K7XZ 60-69 years, male 90.1
GTEX-1IDFM-0126-SM-COH2V 60-69 years, male 89.7
GTEX-1RAZQ-0726-SM-EAZ43 30-39 years, male 89.7
GTEX-1H1CY-2826-SM-9MQM3 60-69 years, female 89.6
GTEX-1497J-2426-SM-7IGNX 60-69 years, male 89.4
GTEX-14BMV-0126-SM-5S2PO 50-59 years, male 89.2
GTEX-1QP67-1626-SM-EAZ3X 40-49 years, female 89.2
GTEX-11ZTS-0126-SM-5EQ6M 60-69 years, female 89.1
GTEX-1AYCT-2426-SM-7IGQ3 50-59 years, male 89.0
GTEX-1CAMS-0426-SM-7P8T2 40-49 years, female 89.0
GTEX-1NV5F-0226-SM-E8VNY 60-69 years, female 88.9
GTEX-1AYD5-2426-SM-73KXR 50-59 years, male 88.7
GTEX-11P7K-2126-SM-5GU7G 30-39 years, male 88.3
GTEX-18D9A-1926-SM-7LG6P 30-39 years, female 88.3
GTEX-139D8-0226-SM-5KLZO 30-39 years, female 88.1
GTEX-147F4-0226-SM-5QGPW 50-59 years, male 87.5
GTEX-12C56-1726-SM-5EQ61 20-29 years, male 86.9
GTEX-1PPH8-0226-SM-E8VND 20-29 years, male 86.6
GTEX-18A67-0126-SM-7LG5P 50-59 years, male 86.5
GTEX-X4EP-0126-SM-3P5YV 60-69 years, female 86.3
GTEX-Y3IK-2426-SM-4WWDU 50-59 years, female 86.3
GTEX-13NYS-0126-SM-5MR3W 60-69 years, male 86.2
GTEX-13FHP-0126-SM-5IJBG 50-59 years, male 86.0
GTEX-WVJS-0126-SM-4MVOT 50-59 years, male 85.9
GTEX-PWO3-1526-SM-48TCM 60-69 years, female 85.6
GTEX-131XF-5016-SM-7MGWE 60-69 years, male 85.6
GTEX-1JMQK-0226-SM-CL543 60-69 years, male 85.6
GTEX-1GF9X-2026-SM-7PC3A 40-49 years, female 85.3
GTEX-XAJ8-0826-SM-47JY6 40-49 years, male 84.9
GTEX-1F6RS-0126-SM-9MQKZ 60-69 years, female 84.7
GTEX-1J8QM-2126-SM-CYPSJ 60-69 years, female 84.6
GTEX-1CB4H-0226-SM-7PBXM 60-69 years, female 84.0
GTEX-14ICK-0226-SM-6EU25 40-49 years, male 83.9
GTEX-13JUV-2726-SM-5LZZ8 40-49 years, female 83.8
GTEX-RNOR-0126-SM-E9J4R 50-59 years, female 83.8
GTEX-QLQ7-1626-SM-2S1R8 60-69 years, male 83.7
GTEX-1F6I4-0126-SM-9MQL2 60-69 years, male 83.7
GTEX-145MO-0326-SM-5Q5B3 60-69 years, male 83.4
GTEX-1K9T9-0126-SM-EVYCF 50-59 years, female 83.4
GTEX-13NZB-2526-SM-5J1OM 30-39 years, male 83.0
GTEX-1QP9N-1426-SM-DTXFL 30-39 years, male 82.9
GTEX-OIZG-0726-SM-33HBL 50-59 years, male 82.7
GTEX-T2YK-0526-SM-32QPJ 50-59 years, male 82.7
GTEX-1GN1W-0526-SM-9MQJQ 50-59 years, female 82.7
GTEX-ZVT2-2526-SM-51MT1 50-59 years, female 82.6
GTEX-1I1GT-0626-SM-CGQER 60-69 years, female 82.6
GTEX-11OC5-0126-SM-5HL6A 60-69 years, male 82.3
GTEX-ZE9C-2726-SM-57WB5 60-69 years, male 82.2
GTEX-1LG7Z-1726-SM-D3LA4 30-39 years, male 82.1
GTEX-139TT-0126-SM-5K7Y5 60-69 years, male 82.0
GTEX-13OVH-0126-SM-5MR4B 70-79 years, male 82.0
GTEX-1S5ZA-0126-SM-EVYCV 20-29 years, male 81.7
GTEX-18A7A-0226-SM-718BH 50-59 years, female 81.6
GTEX-XXEK-2226-SM-4BRUM 50-59 years, male 81.6
GTEX-YB5K-2126-SM-4WWDJ 40-49 years, female 81.6
GTEX-1192X-0226-SM-5H12D 50-59 years, male 81.3
GTEX-145MN-2226-SM-5SIAU 30-39 years, male 81.3
GTEX-1LNCM-1126-SM-E9U5E 50-59 years, female 81.3
GTEX-1LB8K-0226-SM-EWRNW 50-59 years, male 81.0
GTEX-13O3Q-2426-SM-5IJBR 50-59 years, male 80.9
GTEX-1I4MK-2226-SM-ACKWD 50-59 years, female 80.6
GTEX-R45C-0126-SM-EAZ2R 60-69 years, female 80.4
GTEX-ZVE2-0226-SM-59HJB 50-59 years, male 80.3
GTEX-1QP29-0626-SM-EWRMX 50-59 years, male 80.3
GTEX-X585-0226-SM-4QAS2 50-59 years, male 80.1
GTEX-OOBJ-0126-SM-E6CJW 60-69 years, male 79.9
GTEX-139TS-2826-SM-5J1OO 60-69 years, male 79.8
GTEX-ZZ64-1726-SM-5GZYB 20-29 years, male 79.8
GTEX-145LV-2126-SM-5LU8N 50-59 years, male 79.7
GTEX-ZVT3-0126-SM-5GU6I 60-69 years, female 79.7
GTEX-Y5V5-2326-SM-4V6GA 60-69 years, female 79.6
GTEX-1HSGN-0226-SM-CGQFV 40-49 years, female 79.6
GTEX-144GN-2326-SM-5LU4F 50-59 years, male 79.3
GTEX-1B8L1-2526-SM-9WYTF 60-69 years, male 79.2
GTEX-OHPM-0126-SM-2YUN9 50-59 years, male 79.1
GTEX-TMMY-0226-SM-33HBA 40-49 years, female 79.1
GTEX-TMZS-0126-SM-3DB9Q 60-69 years, male 79.0
GTEX-14E6C-0126-SM-5RQIP 40-49 years, male 78.9
GTEX-QV44-1926-SM-2S1RF 50-59 years, male 78.9
GTEX-RTLS-0126-SM-447CA 60-69 years, female 78.9
GTEX-Y5V6-2426-SM-4VDSB 60-69 years, male 78.6
GTEX-1J1OQ-0226-SM-CYPSH 40-49 years, female 78.6
GTEX-1B8KE-2126-SM-73KYX 50-59 years, male 78.5
GTEX-117YX-2326-SM-5H12W 50-59 years, male 78.4
GTEX-X88G-0126-SM-47JZ3 30-39 years, male 78.3
GTEX-1I6K6-0126-SM-A9SLE 30-39 years, male 78.3
GTEX-PLZ4-0126-SM-5SI8O 50-59 years, female 78.2
GTEX-13FTY-0526-SM-5L3EV 40-49 years, female 78.1
GTEX-ZVTK-0426-SM-51MRS 20-29 years, male 78.1
GTEX-14BIM-0226-SM-7IGLD 60-69 years, female 77.9
GTEX-1QP2A-0126-SM-E9J43 50-59 years, male 77.6
GTEX-ZWKS-0126-SM-5SIAA 30-39 years, male 77.3
GTEX-1GPI7-0126-SM-9MQL8 20-29 years, male 77.3
GTEX-13CF2-2526-SM-5LZYX 60-69 years, male 77.2
GTEX-NFK9-0226-SM-2HMKQ 40-49 years, male 77.2
GTEX-ZYFG-2326-SM-5E44B 60-69 years, female 77.2
GTEX-ZYT6-0226-SM-5NQ6T 30-39 years, male 76.9
GTEX-Y8DK-0126-SM-4TT3L 60-69 years, male 76.8
GTEX-131YS-0126-SM-5KM1M 60-69 years, female 76.7
GTEX-Q734-1926-SM-2I5EV 40-49 years, female 76.6
GTEX-1EMGI-0126-SM-9KNUE 60-69 years, male 76.4
GTEX-1M4P7-0226-SM-DIPEV 60-69 years, male 76.4
GTEX-13QJ3-0326-SM-5S2RA 50-59 years, male 76.1
GTEX-1S82Z-0826-SM-E6CHY 30-39 years, female 76.1
GTEX-17F97-0326-SM-7LG5B 50-59 years, male 75.9
GTEX-ZAB5-1826-SM-5HL7C 50-59 years, male 75.9
GTEX-12KS4-0326-SM-5EQ41 30-39 years, male 75.8
GTEX-ZV68-0126-SM-59HKS 50-59 years, female 75.8
GTEX-1H3VE-0326-SM-9YFLH 40-49 years, male 75.8
GTEX-1HCUA-2426-SM-ADEIS 50-59 years, female 75.8
GTEX-131XG-2626-SM-5KM17 50-59 years, female 75.7
GTEX-1MGNQ-0126-SM-EVYCJ 40-49 years, male 75.7
GTEX-11EMC-2926-SM-5EQ4F 60-69 years, female 75.6
GTEX-1H1E6-1726-SM-ACKVK 30-39 years, male 75.3
GTEX-1RB15-2126-SM-E9TIM 60-69 years, male 75.3
GTEX-O5YT-0126-SM-48TBW 20-29 years, male 75.2
GTEX-13NYB-2526-SM-5K7Z6 40-49 years, male 75.1
GTEX-XYKS-2126-SM-4E3IB 60-69 years, female 75.1
GTEX-Z93T-0126-SM-5HL5N 50-59 years, male 75.1
GTEX-ZE7O-0126-SM-57WC1 50-59 years, female 75.1
GTEX-PLZ6-1426-SM-DKPOT 30-39 years, male 75.0
GTEX-18QFQ-0126-SM-731BE 30-39 years, male 74.9
GTEX-ZXES-1826-SM-5E43S 30-39 years, female 74.9
GTEX-RVPV-0126-SM-EAZAW 60-69 years, male 74.9
GTEX-ZEX8-2426-SM-4WKG4 50-59 years, male 74.8
GTEX-16GPK-0126-SM-7DHLE 60-69 years, male 74.6
GTEX-U412-0426-SM-3DB9O 60-69 years, male 74.6
GTEX-V1D1-2226-SM-3NMAX 50-59 years, male 74.6
GTEX-1O97I-0326-SM-EYYX7 60-69 years, male 74.6
GTEX-1RLM8-2326-SM-EWRN4 50-59 years, male 74.5
GTEX-1JN1M-0326-SM-CYPT3 60-69 years, female 74.4
GTEX-1AMEY-1326-SM-73KYK 30-39 years, female 74.2
GTEX-S33H-1026-SM-EZ6L6 30-39 years, male 74.2
GTEX-13FXS-0226-SM-5IJCK 50-59 years, male 74.1
GTEX-1HCU7-0226-SM-CL545 50-59 years, male 73.9
GTEX-1HUB1-0426-SM-E9U4U 60-69 years, male 73.9
GTEX-1LC47-0326-SM-E9TJP 60-69 years, male 73.9
GTEX-145LS-0126-SM-5QGP1 60-69 years, female 73.8
GTEX-XUW1-0426-SM-4BOOT 50-59 years, female 73.8
GTEX-1GZ2Q-0226-SM-7P8TL 40-49 years, male 73.8
GTEX-18A66-0226-SM-718BD 60-69 years, male 73.7
GTEX-ZYFD-0126-SM-5GIDL 50-59 years, male 73.7
GTEX-1CAV2-2226-SM-7P8P2 40-49 years, female 73.7
GTEX-13NZ8-0826-SM-5MR3I 60-69 years, female 73.6
GTEX-1HFI6-0226-SM-ADEHZ 40-49 years, male 73.6
GTEX-15SDE-2226-SM-7IGLO 50-59 years, female 73.3
GTEX-1JMPY-1326-SM-ARL8Y 30-39 years, male 73.3
GTEX-1JMQI-2226-SM-CM2SD 50-59 years, male 73.3
GTEX-XUZC-1726-SM-4BRWS 30-39 years, female 73.1
GTEX-YEC4-2126-SM-5IFJH 40-49 years, male 73.1
GTEX-132NY-0326-SM-5IJBL 60-69 years, male 72.9
GTEX-1H3NZ-0126-SM-ACKX7 60-69 years, male 72.9
GTEX-1S82Y-2026-SM-EVYCM 40-49 years, male 72.9
GTEX-1I1GV-0526-SM-A9G29 60-69 years, male 72.8
GTEX-X62O-0126-SM-4E3JN 50-59 years, male 72.7
GTEX-ZDTT-2726-SM-4WKF8 60-69 years, male 72.7
GTEX-113IC-0126-SM-5HL6T 60-69 years, male 72.6
GTEX-XV7Q-2526-SM-4BRV9 40-49 years, female 72.6
GTEX-1F52S-0126-SM-9MQJU 60-69 years, female 72.5
GTEX-12WSK-2326-SM-5GCOH 40-49 years, female 72.3
GTEX-13VXU-0126-SM-5SI9F 50-59 years, male 72.3
GTEX-1J8JJ-0226-SM-CL53I 60-69 years, female 72.3
GTEX-1IDJF-0126-SM-CM2RS 20-29 years, male 72.1
GTEX-13FTX-1826-SM-5J1NX 20-29 years, female 72.0
GTEX-15G19-0126-SM-6PANQ 60-69 years, male 72.0
GTEX-13PVR-2326-SM-5QGR1 60-69 years, female 71.8
GTEX-OOBK-0126-SM-2YUND 40-49 years, male 71.8
GTEX-11UD1-0126-SM-5PNYG 40-49 years, female 71.7
GTEX-1399R-2726-SM-5IJBA 30-39 years, male 71.7
GTEX-ZAK1-0126-SM-5IJD3 50-59 years, female 71.7
GTEX-OIZH-0126-SM-2HMIS 50-59 years, male 71.5
GTEX-1B933-0126-SM-7PC29 50-59 years, female 71.5
GTEX-16NGA-1726-SM-731B4 40-49 years, female 71.3
GTEX-TML8-1926-SM-32QOS 40-49 years, female 71.3
GTEX-12126-0326-SM-5PNW3 20-29 years, male 71.2
GTEX-11P82-1626-SM-59879 20-29 years, male 71.0
GTEX-Y114-2426-SM-4TT8A 50-59 years, female 71.0
GTEX-WXYG-2326-SM-4E3I6 50-59 years, female 70.9
GTEX-1MA7W-2026-SM-E9TJ6 20-29 years, female 70.8
GTEX-1R7EU-0226-SM-EVR4G 60-69 years, male 70.8
GTEX-11VI4-1726-SM-5CVLH 40-49 years, female 70.7
GTEX-ZVZO-0126-SM-5A5L9 40-49 years, male 70.7
GTEX-OIZF-0126-SM-7SB8I 60-69 years, male 70.4
GTEX-17F96-1626-SM-7DUFL 70-79 years, male 70.3
GTEX-ZC5H-0226-SM-4WAY9 40-49 years, female 70.3
GTEX-1H1ZS-0426-SM-9WG6G 70-79 years, male 70.3
GTEX-ZDYS-2026-SM-5HL5L 50-59 years, male 70.2
GTEX-1HBPH-0426-SM-B2LW5 40-49 years, female 70.2
GTEX-13N11-2526-SM-5K7UE 50-59 years, female 70.1
GTEX-1KANC-1526-SM-D3LAB 50-59 years, female 70.0
GTEX-15SHU-0126-SM-7KUEH 40-49 years, female 69.9
GTEX-16BQI-0226-SM-7KUEX 30-39 years, female 69.5
GTEX-11DXZ-2326-SM-5EGGV 50-59 years, male 69.4
GTEX-14PJ6-2126-SM-6EU1V 60-69 years, female 69.4
GTEX-1GN2E-0426-SM-9MQKX 60-69 years, male 69.3
GTEX-1HSMO-0126-SM-CL547 60-69 years, male 69.3
GTEX-1C64O-0126-SM-7SB8P 60-69 years, male 69.2
GTEX-1MCYP-1926-SM-E9J2R 20-29 years, female 69.1
GTEX-1S3DN-2226-SM-EVYCD 50-59 years, male 69.1
GTEX-ZF3C-0126-SM-DO92D 50-59 years, female 69.1
GTEX-X261-0126-SM-3NMD6 50-59 years, male 69.0
GTEX-Y8E4-0626-SM-4WWDL 40-49 years, male 68.9
GTEX-1GMRU-0126-SM-9YFLV 50-59 years, male 68.9
GTEX-1IL2V-0126-SM-CM2TX 70-79 years, male 68.9
GTEX-145LT-1726-SM-5QGP3 40-49 years, male 68.8
GTEX-17F98-0626-SM-79OMX 40-49 years, female 68.6
GTEX-OXRK-0226-SM-3NB2G 50-59 years, female 68.6
GTEX-1211K-2026-SM-5EQ4Z 60-69 years, female 68.5
GTEX-1GMR8-0126-SM-9WYTM 50-59 years, female 68.4
GTEX-1H1DG-0126-SM-9WYU2 70-79 years, male 68.4
GTEX-1MJK2-0426-SM-DTXE5 50-59 years, male 68.4
GTEX-1QP66-1726-SM-E8VO1 50-59 years, male 68.4
GTEX-13G51-2526-SM-5LZYK 60-69 years, male 68.3
GTEX-1H11D-0226-SM-9WG6Z 40-49 years, male 68.3
GTEX-131XW-0426-SM-5LZWP 50-59 years, female 68.2
GTEX-1I1HK-0126-SM-COH49 60-69 years, male 68.2
GTEX-1314G-1526-SM-5EGK2 30-39 years, male 68.0
GTEX-14BMU-2226-SM-5TDE9 20-29 years, female 67.9
GTEX-11DZ1-0126-SM-5985Q 50-59 years, male 67.8
GTEX-1F48J-0126-SM-7P8TT 50-59 years, female 67.8
GTEX-1F7RK-0126-SM-7PC2S 20-29 years, female 67.7
GTEX-RWS6-2026-SM-2XCB5 60-69 years, female 67.6
GTEX-13W46-0226-SM-5SIAG 50-59 years, male 67.4
GTEX-13YAN-0326-SM-5O9DF 60-69 years, male 67.4
GTEX-14BIN-0626-SM-793DP 50-59 years, female 67.3
GTEX-11EQ9-2426-SM-5HL5T 30-39 years, male 67.1
GTEX-145ME-1826-SM-5SI9G 40-49 years, female 67.1
GTEX-1PFEY-1526-SM-E76PP 30-39 years, male 66.9
GTEX-1QMI2-0226-SM-EVYBX 60-69 years, male 66.9
GTEX-11NSD-2226-SM-5986V 20-29 years, male 66.8
GTEX-14C5O-0126-SM-5SI6N 60-69 years, male 66.7
GTEX-ZY6K-1826-SM-5GZXK 50-59 years, male 66.5
GTEX-13PDP-0126-SM-5L3HD 60-69 years, male 66.4
GTEX-13RTK-1426-SM-5QGQJ 20-29 years, male 66.4
GTEX-1JJ6O-0126-SM-E6CI8 60-69 years, male 66.4
GTEX-1PDJ9-0326-SM-DTX95 20-29 years, male 66.4
GTEX-Z93S-0126-SM-5HL7M 50-59 years, male 66.3
GTEX-13O21-1426-SM-5K7XI 50-59 years, male 66.2
GTEX-1MUQO-0126-SM-EAZ58 60-69 years, male 66.2
GTEX-QCQG-1726-SM-3GIJ9 50-59 years, female 66.1
GTEX-R3RS-0126-SM-3GIJL 40-49 years, female 66.0
GTEX-1HSMQ-1226-SM-CGQFX 50-59 years, male 65.9
GTEX-1HKZK-0326-SM-9WYUH 40-49 years, male 65.8
GTEX-1I19N-0326-SM-ACKVX 70-79 years, male 65.8
GTEX-1QPFJ-0226-SM-E76PB 30-39 years, female 65.8
GTEX-1S83E-0126-SM-EWRO4 40-49 years, male 65.8
GTEX-QDVN-2026-SM-3GAEP 50-59 years, male 65.7
GTEX-12WSG-2826-SM-E9J4H 50-59 years, female 65.7
GTEX-1JJEA-0326-SM-CNPOT 60-69 years, male 65.7
GTEX-1A32A-0126-SM-718B1 50-59 years, female 65.6
GTEX-1R7EV-2426-SM-EVYBG 40-49 years, male 65.5
GTEX-ZTSS-1926-SM-57WEW 40-49 years, male 65.4
GTEX-1K2DU-2326-SM-E9TIV 20-29 years, male 65.4
GTEX-11OF3-2626-SM-5GU7F 60-69 years, male 65.3
GTEX-14PK6-1926-SM-6ETZU 70-79 years, female 65.2
GTEX-1CB4I-0226-SM-79OLH 50-59 years, male 65.1
GTEX-S95S-1226-SM-4GICG 60-69 years, male 65.1
GTEX-1KXAM-2226-SM-CYPTC 60-69 years, male 65.1
GTEX-ZDTS-0126-SM-4WAY5 60-69 years, male 65.0
GTEX-13OW5-0126-SM-DTXFS 60-69 years, male 65.0
GTEX-O5YW-0126-SM-3LK6D 50-59 years, male 64.9
GTEX-T6MN-0126-SM-32PLP 50-59 years, male 64.9
GTEX-UPJH-0326-SM-3GADU 50-59 years, male 64.9
GTEX-1GF9U-2126-SM-7SB7L 40-49 years, female 64.9
GTEX-14LLW-0126-SM-6LLIO 70-79 years, female 64.8
GTEX-1EWIQ-0126-SM-7RHH2 70-79 years, female 64.8
GTEX-Y5LM-1926-SM-5RQJH 40-49 years, female 64.6
GTEX-1PBJI-0526-SM-E8VNK 20-29 years, female 64.6
GTEX-1R46S-0626-SM-E9J41 60-69 years, female 64.6
GTEX-18D9U-0226-SM-718BP 40-49 years, male 64.4
GTEX-X4XX-0126-SM-3NMC2 60-69 years, male 64.4
GTEX-1OFPY-2426-SM-DTXEJ 60-69 years, male 64.4
GTEX-14PN3-2426-SM-6LLHS 60-69 years, female 64.2
GTEX-YFC4-0126-SM-5CVLY 40-49 years, female 64.2
GTEX-1GN73-0226-SM-9WG67 60-69 years, male 64.2
GTEX-11GS4-2726-SM-5A5LE 60-69 years, male 64.1
GTEX-1H3O1-0426-SM-9YFKY 60-69 years, male 64.1
GTEX-1I1GS-0126-SM-B2LVW 60-69 years, male 64.1
GTEX-139UW-2826-SM-5L3E7 60-69 years, male 63.9
GTEX-WZTO-0126-SM-3NM95 40-49 years, male 63.7
GTEX-1H2FU-0126-SM-9WYSI 60-69 years, female 63.7
GTEX-1HBPN-0226-SM-9YFM1 50-59 years, male 63.7
GTEX-11DYG-0126-SM-59883 60-69 years, male 63.6
GTEX-XUYS-0126-SM-47JWZ 50-59 years, male 63.6
GTEX-Y111-0126-SM-4SOIV 50-59 years, male 63.6
GTEX-11DXY-2626-SM-5GIE7 60-69 years, male 63.5
GTEX-Q2AI-1326-SM-2S1PL 40-49 years, male 63.4
GTEX-1JMLX-0226-SM-CM2RO 50-59 years, male 63.2
GTEX-1PIIG-0226-SM-EWRN6 30-39 years, male 63.2
GTEX-1HBPM-0226-SM-ARL9F 60-69 years, female 63.1
GTEX-QDT8-0126-SM-48TZ1 30-39 years, female 63.0
GTEX-1ICLY-0126-SM-D4P36 50-59 years, male 63.0
GTEX-15UKP-0426-SM-7KUFQ 20-29 years, male 62.9
GTEX-17EUY-0426-SM-793BD 20-29 years, male 62.8
GTEX-ZAB4-0226-SM-5N9F5 40-49 years, male 62.8
GTEX-1HR98-0126-SM-B2LWI 60-69 years, male 62.8
GTEX-1JMPZ-0226-SM-CNPP1 30-39 years, male 62.7
GTEX-1RQEC-0426-SM-E6CHU 60-69 years, male 62.7
GTEX-1B8SF-1426-SM-7DUGL 60-69 years, male 62.6
GTEX-SIU8-0126-SM-2XCDT 50-59 years, male 62.6
GTEX-1F75A-0126-SM-7RHGM 50-59 years, male 62.6
GTEX-1HGF4-2426-SM-ACKXM 60-69 years, male 62.6
GTEX-1N2DV-0226-SM-E6CJ6 40-49 years, male 62.6
GTEX-VJYA-1126-SM-3GIJU 60-69 years, male 62.4
GTEX-X4XY-0226-SM-4E3IZ 60-69 years, male 62.4
GTEX-1ICG6-2526-SM-CGQFZ 70-79 years, female 62.4
GTEX-14A5H-0426-SM-5QGQF 60-69 years, male 62.3
GTEX-11ZUS-0626-SM-59885 30-39 years, male 62.2
GTEX-Q2AH-1626-SM-3GAF8 40-49 years, male 62.2
GTEX-1C6WA-0126-SM-7PC2B 60-69 years, male 62.2
GTEX-1KANA-0726-SM-D3L9I 20-29 years, male 62.2
GTEX-11XUK-2026-SM-5EQLF 40-49 years, female 62.1
GTEX-1M5QR-1226-SM-EWROB 40-49 years, male 62.1
GTEX-ZTX8-1426-SM-5DUVO 20-29 years, male 62.0
GTEX-1GN1V-0126-SM-9WPOS 60-69 years, male 62.0
GTEX-ZTPG-0326-SM-5O9AX 20-29 years, female 61.9
GTEX-183FY-0126-SM-7LT9P 20-29 years, male 61.8
GTEX-16NPX-0226-SM-79OMT 50-59 years, male 61.6
GTEX-Q2AG-0126-SM-33HBV 40-49 years, female 61.6
GTEX-WI4N-1026-SM-3LK7N 40-49 years, female 61.6
GTEX-17KNJ-2326-SM-7DHLQ 50-59 years, male 61.5
GTEX-1H4P4-0726-SM-9YFLR 50-59 years, male 61.5
GTEX-ZQG8-1626-SM-DHXIT 60-69 years, female 61.5
GTEX-1F75B-0126-SM-9KNVL 50-59 years, male 61.4
GTEX-11DXX-2426-SM-5GZZW 60-69 years, female 61.3
GTEX-ZAJG-0126-SM-5HL94 50-59 years, female 61.3
GTEX-13111-1626-SM-5EGJY 50-59 years, male 61.1
GTEX-13NYC-0326-SM-E9J4S 60-69 years, male 61.1
GTEX-14JG1-0426-SM-6ETZZ 40-49 years, male 61.0
GTEX-POMQ-2226-SM-2I5FK 20-29 years, female 61.0
GTEX-11WQC-2526-SM-5CVLE 60-69 years, male 60.8
GTEX-139T4-0226-SM-5HL5S 50-59 years, female 60.8
GTEX-15UF6-0826-SM-6PALJ 70-79 years, female 60.8
GTEX-QVJO-1626-SM-2S1QW 60-69 years, female 60.8
GTEX-TKQ1-1026-SM-4GICL 30-39 years, male 60.8
GTEX-14A6H-0126-SM-5QGPK 30-39 years, male 60.6
GTEX-1QW4Y-1526-SM-EAZ3Z 30-39 years, male 60.6
GTEX-1IDJU-2626-SM-CM2RT 60-69 years, female 60.4
GTEX-ZF29-2326-SM-DO92K 60-69 years, female 60.4
GTEX-117YW-2626-SM-5GZZH 50-59 years, male 60.2
GTEX-16AAH-1726-SM-7939C 50-59 years, male 60.2
GTEX-148VJ-0126-SM-5TDDN 70-79 years, male 60.1
GTEX-13N2G-2626-SM-5J1OT 60-69 years, male 60.0
GTEX-1IGQW-0126-SM-COH42 60-69 years, male 60.0
GTEX-S7SE-0126-SM-2XCD5 50-59 years, male 59.7
GTEX-117XS-2726-SM-5N9BL 60-69 years, male 59.6
GTEX-13SLW-0126-SM-5SI6C 70-79 years, male 59.6
GTEX-1GL5R-1826-SM-9KNUY 50-59 years, male 59.5
GTEX-13IVO-0126-SM-5J1NG 70-79 years, male 59.0
GTEX-YJ89-0126-SM-4TT3X 60-69 years, male 59.0
GTEX-1CAMQ-0226-SM-7IGPK 40-49 years, male 58.9
GTEX-11TT1-2526-SM-5EGIB 20-29 years, male 58.7
GTEX-14PN4-0126-SM-6EU2V 50-59 years, male 58.7
GTEX-1F6IF-0726-SM-7P8TW 60-69 years, male 58.7
GTEX-13OVI-1426-SM-5L3EY 60-69 years, female 58.6
GTEX-1MCQQ-0826-SM-DLHC2 60-69 years, male 58.6
GTEX-1F5PL-0326-SM-7P8PQ 40-49 years, female 58.5
GTEX-113JC-2326-SM-5EQ4E 50-59 years, female 58.4
GTEX-13OW6-0426-SM-5L3HM 50-59 years, male 58.4
GTEX-T8EM-1026-SM-3DB7M 40-49 years, male 58.4
GTEX-QEG4-0226-SM-2S1PY 30-39 years, male 58.3
GTEX-SN8G-0126-SM-32PLI 50-59 years, female 58.3
GTEX-14JIY-0126-SM-6LLH6 60-69 years, male 58.1
GTEX-1F75I-0326-SM-9YFLU 40-49 years, male 58.1
GTEX-13OVL-0226-SM-5L3E9 50-59 years, male 58.0
GTEX-139TU-0126-SM-5K7WH 60-69 years, male 57.9
GTEX-13OW7-0126-SM-5MR3B 50-59 years, male 57.9
GTEX-14DAQ-0126-SM-5S2MQ 60-69 years, female 57.9
GTEX-15DCD-0126-SM-7KUEK 70-79 years, female 57.9
GTEX-OXRN-0126-SM-48TDM 50-59 years, male 57.7
GTEX-144FL-0126-SM-5TDC8 50-59 years, male 57.6
GTEX-15EOM-0126-SM-7KUGG 20-29 years, female 57.6
GTEX-RM2N-1426-SM-2TF4H 50-59 years, male 57.6
GTEX-XMD2-0126-SM-4YCDU 60-69 years, female 57.6
GTEX-ZVZP-2426-SM-59HKJ 50-59 years, male 57.6
GTEX-18A6Q-0126-SM-731BZ 60-69 years, male 57.5
GTEX-OXRP-0126-SM-3NB32 60-69 years, female 57.5
GTEX-X4EO-0326-SM-3P5YO 60-69 years, female 57.4
GTEX-1IE54-0126-SM-CMKHW 40-49 years, female 57.4
GTEX-RN64-0126-SM-2TC68 50-59 years, male 57.2
GTEX-1ICLZ-0126-SM-CKZPO 60-69 years, male 57.2
GTEX-T2IS-0126-SM-4DM6O 20-29 years, female 57.1
GTEX-1CB4G-0226-SM-7PC3O 60-69 years, male 57.1
GTEX-1HCU6-0126-SM-CL54K 60-69 years, female 57.1
GTEX-14PJM-0226-SM-62LF1 50-59 years, female 56.9
GTEX-1JKYR-0126-SM-CNPOJ 20-29 years, male 56.9
GTEX-1LG7Y-0526-SM-DKPQC 50-59 years, male 56.9
GTEX-1AX8Z-0126-SM-7DHM6 60-69 years, male 56.8
GTEX-ZQUD-1426-SM-57WER 30-39 years, male 56.8
GTEX-1N2DW-0226-SM-E9TK2 50-59 years, male 56.8
GTEX-111VG-2426-SM-5GZXD 60-69 years, male 56.7
GTEX-13X6I-0626-SM-5QGP9 60-69 years, male 56.7
GTEX-1EX96-1626-SM-7PBXR 50-59 years, male 56.7
GTEX-1HCU8-0626-SM-A9SM9 60-69 years, female 56.7
GTEX-1JMQJ-0526-SM-CYPSU 50-59 years, male 56.7
GTEX-1AMFI-2026-SM-731BH 50-59 years, female 56.6
GTEX-11O72-0126-SM-59887 40-49 years, male 56.3
GTEX-14JG6-2226-SM-6EU2G 30-39 years, female 56.3
GTEX-PX3G-0126-SM-2I3EN 20-29 years, female 56.3
GTEX-1BAJH-0526-SM-793CQ 70-79 years, male 56.2
GTEX-T5JW-1626-SM-3GADZ 20-29 years, female 56.1
GTEX-U8XE-0326-SM-3DB8P 30-39 years, male 56.1
GTEX-12WSD-0126-SM-59HKN 60-69 years, female 56.0
GTEX-PW2O-1526-SM-7RHHB 20-29 years, male 56.0
GTEX-13RTJ-2426-SM-5S2Q2 60-69 years, male 55.9
GTEX-1LGOU-2026-SM-DIPFF 20-29 years, female 55.9
GTEX-133LE-1826-SM-5J1MV 20-29 years, female 55.6
GTEX-183WM-0126-SM-7LTAB 70-79 years, female 55.6
GTEX-1AX9K-2326-SM-73KWU 50-59 years, male 55.6
GTEX-1EKGG-0226-SM-9WYTH 60-69 years, male 55.6
GTEX-1IKOH-0226-SM-COH4E 60-69 years, female 55.5
GTEX-1JJE9-0326-SM-CL53Z 70-79 years, male 55.4
GTEX-1PPH7-2326-SM-EVYB8 40-49 years, male 55.4
GTEX-1313W-0126-SM-5LZUN 50-59 years, female 55.3
GTEX-15F5U-1526-SM-6PANO 40-49 years, male 55.3
GTEX-U8T8-0126-SM-3DB94 60-69 years, male 55.3
GTEX-147GR-0526-SM-5S2MY 60-69 years, male 55.2
GTEX-17MF6-0126-SM-7LG4F 40-49 years, male 55.2
GTEX-QDVJ-1726-SM-2I5FX 50-59 years, male 55.2
GTEX-1IDJH-0326-SM-A9SLQ 70-79 years, male 55.2
GTEX-12WSA-0226-SM-5BC5V 60-69 years, male 55.1
GTEX-17HHY-0126-SM-7LG5D 50-59 years, male 55.1
GTEX-12WSJ-1826-SM-5GCNY 40-49 years, female 55.0
GTEX-12WSL-2526-SM-5GCNJ 50-59 years, male 55.0
GTEX-131XH-2226-SM-5DUXJ 50-59 years, male 55.0
GTEX-OHPL-0126-SM-2HMJ7 60-69 years, female 55.0
GTEX-X8HC-0126-SM-4E3JW 50-59 years, female 55.0
GTEX-1C4CL-0526-SM-73KVK 30-39 years, male 54.9
GTEX-X638-0126-SM-47JZ8 70-79 years, female 54.9
GTEX-1E2YA-0126-SM-9KNUC 50-59 years, male 54.9
GTEX-11UD2-0226-SM-5EQKY 50-59 years, male 54.8
GTEX-1C2JI-1826-SM-73KXC 50-59 years, male 54.8
GTEX-12584-0126-SM-5EGKQ 40-49 years, male 54.7
GTEX-XPVG-2626-SM-4B669 50-59 years, male 54.6
GTEX-ZUA1-0126-SM-5GU76 40-49 years, male 54.5
GTEX-1GTWX-0126-SM-9YFLK 60-69 years, male 54.5
GTEX-QESD-1426-SM-2S1R9 20-29 years, male 54.4
GTEX-ZDXO-3026-SM-5J1N5 60-69 years, male 54.4
GTEX-169BO-1326-SM-9MQK2 50-59 years, male 54.4
GTEX-16MT8-0426-SM-7KUEY 60-69 years, female 54.3
GTEX-1AX9J-0226-SM-73KXM 60-69 years, male 54.3
GTEX-1KD5A-0226-SM-D5OV3 50-59 years, male 54.3
GTEX-VUSG-2526-SM-4KL1V 50-59 years, male 54.2
GTEX-1GN1U-0126-SM-7PBZK 50-59 years, female 54.2
GTEX-1I1GP-2226-SM-CGQFK 50-59 years, male 54.2
GTEX-1KANB-0526-SM-E6CJH 50-59 years, male 54.1
GTEX-18D9B-0526-SM-7LTAS 60-69 years, male 54.0
GTEX-1C64N-0126-SM-793D7 50-59 years, male 54.0
GTEX-12696-2426-SM-5EQ6H 60-69 years, male 53.8
GTEX-1269C-2526-SM-5EGJ3 60-69 years, female 53.8
GTEX-ZU9S-0226-SM-5E441 30-39 years, male 53.8
GTEX-ZYFC-0226-SM-5NQ75 50-59 years, male 53.7
GTEX-147F3-0526-SM-5SI98 50-59 years, female 53.6
GTEX-1CB4E-2226-SM-793DC 60-69 years, male 53.5
GTEX-1JN76-0126-SM-CNPPE 20-29 years, female 53.5
GTEX-1HCU9-1526-SM-A9SL7 20-29 years, male 53.4
GTEX-18465-0126-SM-731BN 50-59 years, male 53.3
GTEX-1GF9V-0326-SM-7RHI5 60-69 years, male 53.2
GTEX-1KWVE-1426-SM-E9TJO 30-39 years, male 53.2
GTEX-1CB4F-0426-SM-9KNV4 60-69 years, male 53.1
GTEX-13FH7-2026-SM-E9J4I 50-59 years, female 52.9
GTEX-145MF-0626-SM-5LUAI 50-59 years, male 52.8
GTEX-1CAMR-1926-SM-7EPI2 20-29 years, male 52.8
GTEX-1128S-2326-SM-5GZZY 60-69 years, female 52.4
GTEX-1IKK5-0626-SM-ARL8A 60-69 years, male 52.4
GTEX-17GQL-2026-SM-718BA 60-69 years, male 52.2
GTEX-WFG8-2226-SM-3GIL9 20-29 years, male 52.0
GTEX-13113-5016-SM-7EPIP 60-69 years, female 51.9
GTEX-WRHK-1426-SM-3MJF9 20-29 years, female 51.9
GTEX-11DXW-0226-SM-5H122 40-49 years, male 51.8
GTEX-12ZZZ-0626-SM-5DUXI 60-69 years, male 51.8
GTEX-13CF3-2426-SM-5IFGX 60-69 years, female 51.8
GTEX-17HHE-2026-SM-79OKF 50-59 years, male 51.8
GTEX-PVOW-0126-SM-2XCFA 40-49 years, male 51.6
GTEX-131XE-2326-SM-5PNZ2 50-59 years, male 51.5
GTEX-14A5I-0126-SM-5TDEA 50-59 years, female 51.5
GTEX-13SLX-0526-SM-5S2ON 50-59 years, female 51.4
GTEX-1F5PK-2426-SM-7RHHY 50-59 years, male 51.4
GTEX-1HBPI-1526-SM-C1YQ1 50-59 years, male 51.3
GTEX-1JN6P-0126-SM-D3L98 60-69 years, male 51.3
GTEX-15DYW-0126-SM-7KULE 60-69 years, female 51.2
GTEX-1PWST-0226-SM-E76QJ 70-79 years, male 51.2
GTEX-OXRL-0126-SM-2YUMP 50-59 years, male 51.1
GTEX-T5JC-0426-SM-32PLO 20-29 years, male 51.1
GTEX-1JK1U-2026-SM-CM2RZ 60-69 years, male 51.0
GTEX-SSA3-0126-SM-32QPU 60-69 years, male 50.8
GTEX-14ABY-0226-SM-5TDCQ 50-59 years, male 50.6
GTEX-1B97I-1626-SM-73KYO 40-49 years, male 50.6
GTEX-11P81-2326-SM-59875 30-39 years, female 50.5
GTEX-1JKYN-1326-SM-CGQG9 30-39 years, male 50.4
GTEX-1R9PO-2126-SM-E9J4O 60-69 years, female 50.4
GTEX-1H3VY-0126-SM-ACKXD 50-59 years, male 50.3
GTEX-T6MO-1626-SM-32QOM 40-49 years, female 50.1
GTEX-13RTL-0126-SM-7LG5S 40-49 years, male 49.9
GTEX-14DAR-2026-SM-5S2O3 50-59 years, male 49.8
GTEX-1C6VR-2426-SM-79OLD 60-69 years, male 49.8
GTEX-1I1GR-0126-SM-CL55F 60-69 years, male 49.8
GTEX-1IKJJ-0126-SM-CNPQB 60-69 years, male 49.8
GTEX-1QEPI-0126-SM-EWRMQ 60-69 years, female 49.7
GTEX-11TTK-0126-SM-5987B 60-69 years, female 49.5
GTEX-1HCVE-0126-SM-CGQEU 50-59 years, male 49.5
GTEX-Z9EW-1626-SM-5CVMN 40-49 years, male 49.4
GTEX-16XZY-2126-SM-79OK1 70-79 years, male 49.3
GTEX-U3ZM-1526-SM-3DB9D 40-49 years, male 49.3
GTEX-1HFI7-1826-SM-ACKXH 50-59 years, female 49.1
GTEX-1NHNU-1026-SM-E9J2A 50-59 years, male 49.1
GTEX-16XZZ-0126-SM-793DV 60-69 years, male 49.0
GTEX-1C6VQ-0126-SM-7P8RI 50-59 years, male 48.9
GTEX-1B996-0226-SM-7RHGO 60-69 years, male 48.8
GTEX-14E6E-1826-SM-5S2R7 30-39 years, male 48.7
GTEX-1MA7X-2226-SM-E6CIY 60-69 years, male 48.7
GTEX-1AX9I-0126-SM-7SB74 60-69 years, male 48.6
GTEX-1HT8W-0126-SM-CNPPP 30-39 years, male 48.6
GTEX-11ZU8-2526-SM-5EQKI 60-69 years, male 48.4
GTEX-Y3I4-2126-SM-4TT7C 50-59 years, male 48.4
GTEX-1C475-1826-SM-73KWA 40-49 years, female 48.3
GTEX-13OW8-1326-SM-5J1OW 60-69 years, male 48.2
GTEX-QLQW-1126-SM-2S1Q8 30-39 years, male 48.1
GTEX-13S7M-0126-SM-5SI6A 60-69 years, female 48.0
GTEX-13W3W-2426-SM-5LU5B 60-69 years, female 48.0
GTEX-11TUW-2726-SM-E9J4M 60-69 years, male 47.9
GTEX-1H23P-0126-SM-ADEJ3 60-69 years, male 47.9
GTEX-12ZZY-0226-SM-5LZVE 60-69 years, male 47.7
GTEX-13FHO-0226-SM-5IFGY 60-69 years, male 47.7
GTEX-13NZA-0226-SM-5K7Z7 60-69 years, male 47.7
GTEX-1GPI6-0126-SM-9WG69 60-69 years, male 47.7
GTEX-1192W-2626-SM-5Q5AF 60-69 years, male 47.6
GTEX-13N1W-0126-SM-5K7VT 70-79 years, male 47.6
GTEX-1N2EF-0226-SM-EYYXB 60-69 years, male 47.6
GTEX-1GF9W-0326-SM-9KNUN 60-69 years, male 47.3
GTEX-U4B1-1826-SM-4DXSU 40-49 years, male 47.1
GTEX-1POEN-0126-SM-EYYXJ 30-39 years, female 47.1
GTEX-1IY9M-0126-SM-D3L8S 60-69 years, male 47.0
GTEX-14E7W-0126-SM-6LLJ9 70-79 years, male 46.8
GTEX-1EU9M-0226-SM-7P8SP 60-69 years, male 46.8
GTEX-R55E-0126-SM-2TC5Y 20-29 years, male 46.7
GTEX-11LCK-1026-SM-5A5KB 30-39 years, male 46.6
GTEX-1A8FM-0226-SM-7SB7Q 50-59 years, female 46.6
GTEX-1HSMP-0126-SM-E6CJS 70-79 years, male 46.6
GTEX-1B8KZ-2026-SM-7DHMB 50-59 years, male 46.5
GTEX-1C6VS-0526-SM-7DUEN 60-69 years, male 46.5
GTEX-R55G-2526-SM-2TC6D 40-49 years, female 46.5
GTEX-1F88F-2726-SM-7PBZZ 60-69 years, female 46.5
GTEX-13112-2826-SM-5DUWH 50-59 years, male 46.4
GTEX-1I1GQ-0126-SM-COH3H 50-59 years, male 46.4
GTEX-11H98-0126-SM-5EGHG 50-59 years, male 46.3
GTEX-WYVS-2126-SM-3NMA3 40-49 years, female 46.3
GTEX-XQ3S-1526-SM-4BOOC 20-29 years, male 46.3
GTEX-1LH75-2426-SM-E9TJE 50-59 years, female 46.3
GTEX-14PJ3-1826-SM-62LEX 50-59 years, male 46.2
GTEX-S7PM-0126-SM-4AD6S 60-69 years, male 45.9
GTEX-15DDE-0126-SM-6LPKH 50-59 years, female 45.8
GTEX-15EU6-0426-SM-6PAN5 50-59 years, male 45.7
GTEX-1A3MV-1926-SM-718BT 30-39 years, male 45.5
GTEX-13VXT-0126-SM-5LU4I 20-29 years, female 45.4
GTEX-11GSO-2426-SM-5A5LY 60-69 years, male 45.3
GTEX-15D1Q-0126-SM-7KUG6 40-49 years, male 45.2
GTEX-13O1R-0126-SM-5L3EH 60-69 years, male 45.1
GTEX-11EI6-0126-SM-5985R 60-69 years, male 45.0
GTEX-146FH-0126-SM-5QGPP 50-59 years, female 44.8
GTEX-14XAO-2326-SM-6EU1B 60-69 years, female 44.8
GTEX-U3ZN-2326-SM-3DB7W 30-39 years, female 44.8
GTEX-11EM3-2426-SM-59861 20-29 years, female 44.7
GTEX-11ZVC-2526-SM-5FQTE 50-59 years, female 44.7
GTEX-15ER7-0326-SM-7KUEV 20-29 years, female 44.6
GTEX-17HG3-2226-SM-7938L 30-39 years, female 44.6
GTEX-RU72-0926-SM-2TF6B 50-59 years, female 44.6
GTEX-13O3O-0126-SM-E9J49 60-69 years, female 44.6
GTEX-145LU-0126-SM-5TDCB 50-59 years, male 44.4
GTEX-13X6J-0126-SM-5QGOU 50-59 years, male 44.3
GTEX-14PHW-0126-SM-6LLJI 60-69 years, female 44.3
GTEX-17EVQ-0226-SM-7LG4P 70-79 years, male 44.1
GTEX-YJ8A-0426-SM-5IFID 20-29 years, male 44.1
GTEX-1J8Q3-1626-SM-CMKGC 60-69 years, male 44.1
GTEX-WY7C-2326-SM-3NB2U 50-59 years, male 44.0
GTEX-Y8LW-1826-SM-5S2MV 50-59 years, female 43.9
GTEX-11NUK-0126-SM-5A5L3 50-59 years, male 43.8
GTEX-TSE9-0126-SM-3DB83 60-69 years, female 43.8
GTEX-1I1CD-0126-SM-CM2TK 60-69 years, female 43.8
GTEX-1212Z-2526-SM-5EGKP 60-69 years, male 43.6
GTEX-1QAET-0926-SM-E76QM 50-59 years, male 43.6
GTEX-144GL-0126-SM-5TDE2 50-59 years, male 43.5
GTEX-148VI-1626-SM-5SI6E 60-69 years, female 43.5
GTEX-16YQH-0126-SM-7DUFJ 30-39 years, male 43.4
GTEX-15CHC-2126-SM-6EU21 60-69 years, female 43.3
GTEX-ZF28-0126-SM-4WKGK 60-69 years, male 43.3
GTEX-ZPIC-1726-SM-DHXIU 40-49 years, female 43.1
GTEX-13OVG-1926-SM-5L3DK 60-69 years, male 42.7
GTEX-ZXG5-0126-SM-5GIEU 60-69 years, male 42.6
GTEX-12WSC-0126-SM-5EQ4P 50-59 years, male 42.4
GTEX-17MFQ-1726-SM-793C7 20-29 years, male 42.4
GTEX-11WQK-0526-SM-5EQLD 50-59 years, male 42.2
GTEX-1RDX4-0126-SM-E9J4P 50-59 years, female 42.0
GTEX-11ZTT-2426-SM-5EQLS 60-69 years, female 41.9
GTEX-1A3MW-0126-SM-73KXX 60-69 years, female 41.9
GTEX-RWSA-0126-SM-2XCBB 40-49 years, male 41.9
GTEX-WOFL-0126-SM-3MJG2 60-69 years, male 41.7
GTEX-ZYY3-0126-SM-5GZY5 60-69 years, female 40.9
GTEX-13U4I-0126-SM-5LU38 40-49 years, female 40.6
GTEX-1HB9E-0226-SM-E9U4R 50-59 years, male 40.5
GTEX-15SHW-0326-SM-6PAML 60-69 years, male 40.4
GTEX-17HGU-0226-SM-7DHKV 50-59 years, male 39.8
GTEX-13OVJ-0126-SM-5KM36 50-59 years, female 39.6
GTEX-XBED-2226-SM-47JYQ 60-69 years, male 39.6
GTEX-ZVT4-0126-SM-DTXFN 50-59 years, female 39.6
GTEX-1A3MX-0126-SM-731BR 60-69 years, male 39.5
GTEX-U3ZH-2026-SM-3DB78 30-39 years, male 39.4
GTEX-X5EB-2226-SM-46MW4 40-49 years, male 39.1
GTEX-1J8Q2-0526-SM-CM2RW 60-69 years, male 39.1
GTEX-13X6H-2126-SM-7EWD5 50-59 years, female 38.7
GTEX-18A7B-0126-SM-7LG64 70-79 years, male 38.7
GTEX-1JMOU-1526-SM-CL54I 60-69 years, female 38.5
GTEX-ZYW4-0126-SM-5E44A 60-69 years, male 38.3
GTEX-OXRO-0126-SM-2YUN4 60-69 years, female 38.1
GTEX-1H1DE-2126-SM-9WG6R 20-29 years, male 38.1
GTEX-1E1VI-0126-SM-7DHMZ 50-59 years, male 38.0
GTEX-1I1GU-2226-SM-CGQFA 40-49 years, male 37.9
GTEX-1CB4J-0626-SM-7DHMP 60-69 years, male 37.6
GTEX-1B8SG-0126-SM-73KZ3 50-59 years, male 36.4
GTEX-14BIL-0126-SM-5SI92 50-59 years, male 35.4
GTEX-12WSN-5019-SM-79OM6 40-49 years, male 35.1
GTEX-145MI-0526-SM-5O9A8 60-69 years, female 34.8
GTEX-P44H-0226-SM-2XCEU 40-49 years, male 34.7
GTEX-VJWN-0126-SM-3GIK7 50-59 years, female 34.7
GTEX-1R9K4-0126-SM-DTX9X 60-69 years, male 34.5
GTEX-17EVP-0326-SM-7DHLG 40-49 years, male 33.9
GTEX-17HII-0226-SM-7LG4E 50-59 years, male 33.6
GTEX-1EN7A-0126-SM-7SB81 40-49 years, male 29.6
GTEX-S32W-2126-SM-2XCB1 50-59 years, female 27.0
Show allShow less

Contact

  • NEWS ARTICLES
  • PRESS ROOM

The Project

  • INTRODUCTION
  • ORGANIZATION
  • PUBLICATIONS

The Human Protein Atlas

  • DOWNLOADABLE DATA
  • LICENCE & CITATION
  • HELP & FAQ
The Human Protein Atlas project is funded
by the Knut & Alice Wallenberg Foundation.


contact@proteinatlas.org