We use cookies to enhance the usability of our website. If you continue, we'll assume that you are happy to receive all cookies. More information. Don't show this again.
DBNDD2
HPA
RESOURCES
  • TISSUE
  • BRAIN
  • SINGLE CELL
  • SUBCELLULAR
  • CANCER
  • BLOOD
  • CELL LINE
  • STRUCTURE & INTERACTION
ABOUT
  • INTRODUCTION
  • HISTORY
  • ORGANIZATION
  • PUBLICATIONS
  • ANTIBODY SUBMISSION
  • ANTIBODY AVAILABILITY
  • ACKNOWLEDGMENTS
  • CONTACT
NEWS
  • NEWS ARTICLES
  • PRESS ROOM
LEARN
  • DICTIONARY
  • PROTEIN CLASSES
  • PROTEIN EVIDENCE
  • METHODS
  • EDUCATIONAL VIDEOS
DATA
  • DOWNLOADABLE DATA
  • PUBLICATION DATA
  • RELEASE HISTORY
HELP
  • ANTIBODY VALIDATION
  • ASSAYS & ANNOTATION
  • DISCLAIMER
  • HELP & FAQ
  • PRIVACY STATEMENT
  • LICENCE & CITATION
Fields »
Search result

Field
Term
Gene name
Class
Subclass
Class
Keyword
Chromosome
External id
Tissue
Cell type
Expression
Antibody panel
Tissue
Main location
Patient ID
Annotation
Tissue
Category
Tau score
Cluster
Reliability
Brain region
Category
Tau score
Brain region
Category
Tau score
Brain region
Category
Tau score
Cluster
Reliability
Tissue
Cell type
Enrichment
Cell type
Category
Tau score
Cell type
Category
Tau score
Cell type
Category
Tau score
Cell lineage
Category
Tau score
Cluster
Cluster
Location
Searches
Location
Cell line
Class
Type
Phase
Reliability
Cancer
Prognosis
Cancer
Category
Cancer
Category
Tau score
Cluster
Variants
Interacting gene (ensg_id)
Type
Number of interactions
Pathway
Category
Score
Score
Score
Validation
Validation
Validation
Validation
Antibodies
Data type
Column


  • SUMMARY

  • TISSUE

  • BRAIN

  • SINGLE CELL

  • SUBCELL

  • CANCER

  • BLOOD

  • CELL LINE

  • STRUCT & INT

  • DBNDD2
TISSUE PRIMARY DATA VAGINA Show tissue menu
ADIPOSE TISSUE ADRENAL GLAND AMYGDALA APPENDIX BASAL GANGLIA BONE MARROW BREAST BRONCHUS CEREBELLUM CEREBRAL CORTEX CERVIX CHOROID PLEXUS COLON DUODENUM
ENDOMETRIUM EPIDIDYMIS ESOPHAGUS FALLOPIAN TUBE GALLBLADDER HEART MUSCLE HIPPOCAMPAL FORMATION HYPOTHALAMUS KIDNEY LIVER LUNG LYMPH NODE MIDBRAIN NASOPHARYNX
ORAL MUCOSA OVARY PANCREAS PARATHYROID GLAND PITUITARY GLAND PLACENTA PROSTATE RECTUM RETINA SALIVARY GLAND SEMINAL VESICLE SKELETAL MUSCLE SKIN SMALL INTESTINE
SMOOTH MUSCLE SOFT TISSUE SPINAL CORD SPLEEN STOMACH TESTIS THYMUS THYROID GLAND TONGUE TONSIL URINARY BLADDER VAGINA
ANTIBODIES
AND
VALIDATION
Dictionary
Vagina
Tissue proteome
Vagina
VAGINA - Expression summary
Protein expression
Vaginai

On the top, protein expression in current human tissue, based on all annotated cell types, is reported with the units not detected (n), low (l), medium (m) and high (h). Underneath, protein expression in each annotated cell type are reported using the same units.

Protein expression data is based on knowledge-based annotation. For genes where more than one antibody has been used, a collective score is set.

If knowledge-based annotation could not be performed for a gene, no data is displayed here. View antibody staining data further down this page.

h
m
l
n
Squamous epithelial cells: Not detected
RNA expressioni

A summary of mRNA expression data available for current tissue based on several datasets. The mRNA expression levels in human tissues are based on RNA-seq data generated by the Human Protein Atlas (HPA), Genotype-Tissue Expression (GTEx) portal and CAGE data generated by the FANTOM5 consortium. Consensus normalized expression levels for human tissues was created by combining the data from HPA and GTEx datasets.

The mRNA expression levels in pig are based on RNA-seq data generated by the Human Protein Atlas (HPA), and for mouse, HPA data and in situ hybridization generated by the Allen brain atlas are reported.

Scroll down to view mRNA expression data in more detail.
Consensus:67.4 nTPM
GTEx:67.4 nTPM
FANTOM5:69.2 Scaled Tags Per Million

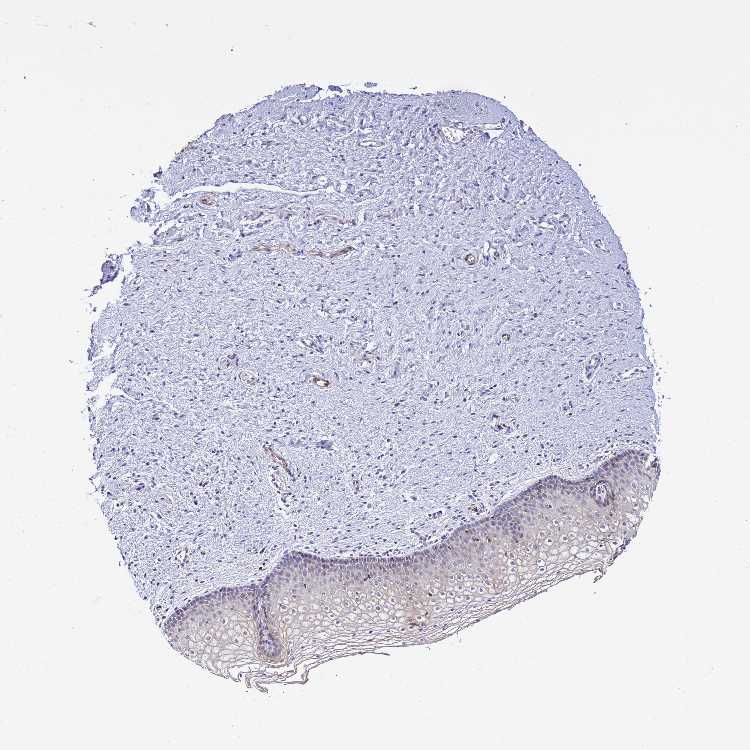
VAGINA - Antibody stainingi

Antibody staining in the annotated cell types in the current human tissue is reported as not detected, low, medium, or high, based on conventional immunohistochemistry profiling in selected tissues. This score is based on the combination of the staining intensity and fraction of stained cells.

Each image is clickable and will lead to virtual microscopy that enables deeper exploration of all samples and also displays staining intensity scores, fraction scores and subcellular localization as well as patient and tissue information for each sample.

Antibody HPA043991
Squamous epithelial cells Not detected


VAGINA - GTEx RNA-seqi

RNA-Seq data generated by the Genotype-Tissue Expression (GTEx) project from human tissues is reported as mean nTPM. More information can be found on the GTEx portal.

Distribution across the dataset is visualized with box plots, shown as median and 25th and 75th percentiles. Points are displayed as outliers if they are above or below 1.5 times the interquartile range. nTPM values of the individual samples are presented next to the box plot.
Max subtype nTPMi

Max subtype nTPM is the value for the subtype with the largest average nTPM across the subtype samples.

67.4
GTEx sample id Sample description nTPM
Vagina
Average nTPM: 67.4
Samples: 156

Max nTPM: 205.5
Min nTPM: 23.1
Std nTPM: 35.9
Median nTPM: 55.7
GTEX-ZQG8-1126-SM-51MRL 60-69 years, female 205.5
GTEX-ZV6S-1326-SM-59HJA 40-49 years, female 183.9
GTEX-1QPFJ-1626-SM-DTX7X 30-39 years, female 171.2
GTEX-UJHI-1326-SM-4IHJO 50-59 years, female 159.2
GTEX-WRHU-2926-SM-4MVNQ 50-59 years, female 159.1
GTEX-12WSJ-1326-SM-5GCOB 40-49 years, female 158.8
GTEX-1I4MK-1726-SM-ARL7O 50-59 years, female 152.2
GTEX-WEY5-0826-SM-4LMIH 40-49 years, female 150.2
GTEX-147F3-1526-SM-5SIAK 50-59 years, female 148.3
GTEX-1MCC2-1126-SM-EVYD6 30-39 years, female 148.3
GTEX-RU1J-1426-SM-46MUV 20-29 years, female 144.6
GTEX-S4UY-1326-SM-4AD4X 40-49 years, female 143.3
GTEX-Y114-1926-SM-4TT8J 50-59 years, female 136.0
GTEX-13W3W-2326-SM-5LU4Y 60-69 years, female 133.8
GTEX-12WSD-2926-SM-5LZUH 60-69 years, female 130.0
GTEX-1HFI7-1126-SM-A96S5 50-59 years, female 127.6
GTEX-1I1GT-1226-SM-B2LVK 60-69 years, female 122.3
GTEX-146FR-2426-SM-5NQAU 60-69 years, female 120.0
GTEX-12ZZX-1926-SM-5EGKC 40-49 years, female 114.6
GTEX-W5WG-1026-SM-4LMIF 50-59 years, female 114.4
GTEX-11EM3-1826-SM-5A5KO 20-29 years, female 111.4
GTEX-ZGAY-2226-SM-4YCCX 40-49 years, female 111.0
GTEX-11GSP-2226-SM-5HL5Q 60-69 years, female 106.9
GTEX-1IE54-2626-SM-CMKFY 40-49 years, female 106.2
GTEX-YFC4-2926-SM-5IFJ8 40-49 years, female 103.6
GTEX-1LGRB-2126-SM-COH48 50-59 years, female 96.6
GTEX-16NPV-2526-SM-6M483 50-59 years, female 91.9
GTEX-13OVI-0926-SM-5J1MI 60-69 years, female 90.7
GTEX-1QCLZ-2226-SM-DTX7R 60-69 years, female 89.3
GTEX-1PIEJ-1926-SM-EVYB7 20-29 years, female 87.6
GTEX-1GMR8-2526-SM-7RHI9 50-59 years, female 84.6
GTEX-1S5ZU-2626-SM-E9TII 20-29 years, female 83.8
GTEX-XUZC-1226-SM-4BRVJ 30-39 years, female 83.4
GTEX-QCQG-1226-SM-48U23 50-59 years, female 82.4
GTEX-Y8LW-1426-SM-5RQJJ 50-59 years, female 81.7
GTEX-13D11-1326-SM-5IJFY 50-59 years, female 81.0
GTEX-1AMFI-1526-SM-73KVY 50-59 years, female 79.2
GTEX-183WM-2126-SM-7LG4I 70-79 years, female 78.8
GTEX-X15G-1926-SM-4PQZQ 50-59 years, female 78.0
GTEX-ZAK1-2426-SM-EXOHM 50-59 years, female 77.6
GTEX-1HCU8-2026-SM-9YFLE 60-69 years, female 77.2
GTEX-TMMY-1926-SM-4DXUU 40-49 years, female 76.2
GTEX-N7MT-1926-SM-3LK5N 60-69 years, female 75.6
GTEX-ZVT3-2726-SM-5GU5X 60-69 years, female 73.8
GTEX-P4PP-2526-SM-3P61P 30-39 years, female 72.0
GTEX-OHPL-2526-SM-3MJGT 60-69 years, female 71.3
GTEX-ZP4G-0826-SM-4WWF3 20-29 years, female 71.3
GTEX-1F48J-2526-SM-7P8TU 50-59 years, female 71.2
GTEX-13N11-1526-SM-5L3FL 50-59 years, female 70.5
GTEX-ZTPG-2226-SM-57WF9 20-29 years, female 69.8
GTEX-RWS6-1726-SM-47JXP 60-69 years, female 69.4
GTEX-1J8EW-2526-SM-CKZO2 60-69 years, female 68.0
GTEX-145ME-1426-SM-5RQJS 40-49 years, female 67.9
GTEX-XV7Q-1626-SM-4BRWC 40-49 years, female 66.8
GTEX-145LS-2526-SM-5TDC9 60-69 years, female 65.0
GTEX-14A5I-2726-SM-5SIB3 50-59 years, female 64.6
GTEX-14DAQ-2326-SM-5S2QX 60-69 years, female 64.6
GTEX-1JMQL-2326-SM-CNNPV 50-59 years, female 64.3
GTEX-17F9Y-2326-SM-7DUFP 70-79 years, female 63.4
GTEX-1EWIQ-2326-SM-7IGNF 70-79 years, female 62.9
GTEX-13PL7-2726-SM-5L3GB 60-69 years, female 62.2
GTEX-14PJM-2926-SM-69LOE 50-59 years, female 61.5
GTEX-1HBPM-2726-SM-9WYUA 60-69 years, female 60.7
GTEX-NPJ7-2526-SM-EV79A 60-69 years, female 60.5
GTEX-QDT8-2526-SM-48TYX 30-39 years, female 60.4
GTEX-1LVAM-1926-SM-E6CIM 50-59 years, female 59.8
GTEX-13U4I-2026-SM-5LU3L 40-49 years, female 59.6
GTEX-15UF6-2126-SM-6M46Z 70-79 years, female 59.1
GTEX-OHPN-2426-SM-E9TI5 60-69 years, female 59.1
GTEX-131XG-2126-SM-5DUXG 50-59 years, female 58.7
GTEX-1HCUA-1026-SM-A9SMI 50-59 years, female 58.6
GTEX-ZZPU-2226-SM-5EGIV 50-59 years, female 58.4
GTEX-PWN1-2526-SM-48TDS 40-49 years, female 58.0
GTEX-18A7A-2826-SM-7LT8J 50-59 years, female 57.1
GTEX-X8HC-2826-SM-46MWJ 50-59 years, female 57.1
GTEX-11XUK-1326-SM-5EQM4 40-49 years, female 56.9
GTEX-131YS-2426-SM-5J2OD 60-69 years, female 56.3
GTEX-1JN76-1526-SM-CNPPF 20-29 years, female 56.1
GTEX-146FH-2626-SM-5Q5E1 50-59 years, female 55.4
GTEX-PLZ4-2726-SM-3P61A 50-59 years, female 55.4
GTEX-1GN1U-2426-SM-9KNTU 50-59 years, female 54.7
GTEX-ZYVF-0326-SM-5GIES 50-59 years, female 54.5
GTEX-13QIC-1826-SM-5J1MY 60-69 years, female 54.2
GTEX-1LNCM-1026-SM-E9U5D 50-59 years, female 54.2
GTEX-1CAMS-2326-SM-793CR 40-49 years, female 53.9
GTEX-14JG6-0726-SM-69LQH 30-39 years, female 53.5
GTEX-XUW1-0326-SM-4BOOR 50-59 years, female 53.0
GTEX-T2IS-1926-SM-4DM74 20-29 years, female 52.0
GTEX-1JN1M-2326-SM-ARZNG 60-69 years, female 52.0
GTEX-11EMC-1926-SM-5A5JU 60-69 years, female 51.9
GTEX-14BMU-1926-SM-5S2QC 20-29 years, female 51.8
GTEX-1117F-2526-SM-5GZY6 60-69 years, female 51.1
GTEX-13QBU-1726-SM-5IJFQ 40-49 years, female 51.1
GTEX-14AS3-1726-SM-5RQJV 40-49 years, female 50.8
GTEX-ZC5H-2226-SM-4WAWS 40-49 years, female 50.7
GTEX-15DYW-2926-SM-6PANA 60-69 years, female 50.6
GTEX-18D9A-1026-SM-7KFRU 30-39 years, female 50.2
GTEX-1A8FM-2426-SM-7IGPE 50-59 years, female 50.0
GTEX-SN8G-2626-SM-EXUQT 50-59 years, female 50.0
GTEX-PX3G-2526-SM-48TZV 20-29 years, female 49.5
GTEX-YJ8O-1226-SM-5P9JE 40-49 years, female 49.4
GTEX-TSE9-2526-SM-4DXUS 60-69 years, female 49.1
GTEX-ZYY3-2626-SM-5N9DH 60-69 years, female 48.6
GTEX-11VI4-0726-SM-5GU5B 40-49 years, female 48.4
GTEX-P78B-2226-SM-3P5ZZ 40-49 years, female 47.9
GTEX-1399S-2326-SM-5K7YV 30-39 years, female 47.6
GTEX-1399U-1526-SM-5J2N7 50-59 years, female 47.0
GTEX-11TTK-2726-SM-5GU58 60-69 years, female 45.9
GTEX-ZLWG-1126-SM-4WWFQ 50-59 years, female 45.7
GTEX-1ICG6-1626-SM-ARL81 70-79 years, female 45.6
GTEX-17JCI-2526-SM-7DHLB 60-69 years, female 45.5
GTEX-S7SF-1426-SM-4AT5A 20-29 years, female 45.4
GTEX-WYVS-1426-SM-4ONCV 40-49 years, female 45.1
GTEX-113JC-1926-SM-5N9GE 50-59 years, female 45.0
GTEX-1F5PL-1826-SM-7P8PP 40-49 years, female 44.5
GTEX-1LVAN-1626-SM-CNPQ7 50-59 years, female 44.5
GTEX-11DXX-1726-SM-5H11T 60-69 years, female 44.0
GTEX-15SHU-2926-SM-7KUKT 40-49 years, female 43.6
GTEX-14H4A-2426-SM-664OQ 40-49 years, female 43.2
GTEX-1QP28-1426-SM-EVR4E 50-59 years, female 42.5
GTEX-1R9JW-1426-SM-DTX9K 30-39 years, female 42.5
GTEX-QVJO-2526-SM-CYPRA 60-69 years, female 42.5
GTEX-13PVR-1426-SM-5S2PW 60-69 years, female 42.2
GTEX-11I78-2026-SM-5987C 50-59 years, female 42.0
GTEX-U3ZN-0926-SM-4DXTU 30-39 years, female 42.0
GTEX-1J1OQ-1826-SM-CL53R 40-49 years, female 42.0
GTEX-1NUQO-1826-SM-E6CQU 20-29 years, female 41.9
GTEX-15ER7-2526-SM-7KUFW 20-29 years, female 41.4
GTEX-1GN1W-1526-SM-7P8TG 50-59 years, female 41.3
GTEX-T6MO-1226-SM-4DM5S 40-49 years, female 39.7
GTEX-ZE7O-2426-SM-57WD7 50-59 years, female 39.4
GTEX-PWCY-1726-SM-48TD3 20-29 years, female 39.1
GTEX-S4P3-1126-SM-4AD52 50-59 years, female 38.8
GTEX-Q734-1426-SM-DTXFX 40-49 years, female 38.6
GTEX-OHPK-2526-SM-3MJH9 50-59 years, female 38.5
GTEX-1LH75-1726-SM-DHXKZ 50-59 years, female 38.2
GTEX-1C475-0526-SM-793AC 40-49 years, female 38.1
GTEX-1GF9U-1926-SM-7P8TZ 40-49 years, female 37.5
GTEX-11P81-2126-SM-5HL6N 30-39 years, female 36.7
GTEX-1HBPH-2926-SM-9WPNX 40-49 years, female 36.0
GTEX-14PKU-1326-SM-6871B 40-49 years, female 34.8
GTEX-1LGOU-1126-SM-D3LAI 20-29 years, female 34.4
GTEX-15SB6-1426-SM-7KUEM 50-59 years, female 33.1
GTEX-14PJ6-1626-SM-6872D 60-69 years, female 32.6
GTEX-SE5C-1126-SM-4BRWZ 40-49 years, female 31.3
GTEX-15SDE-1726-SM-6LPJS 50-59 years, female 31.1
GTEX-ZVT2-0626-SM-5GICR 50-59 years, female 31.1
GTEX-1IDJU-1026-SM-AHZ2U 60-69 years, female 30.2
GTEX-1HCU6-2326-SM-ACKXP 60-69 years, female 30.1
GTEX-1MCYP-1326-SM-EV7AD 20-29 years, female 29.5
GTEX-ZXES-0626-SM-5E45P 30-39 years, female 29.2
GTEX-16NGA-1626-SM-72D6M 40-49 years, female 27.6
GTEX-TML8-1126-SM-4DXSS 40-49 years, female 26.0
GTEX-Y3IK-2226-SM-4YCD4 50-59 years, female 25.3
GTEX-S341-1226-SM-4AD5S 40-49 years, female 24.2
GTEX-14PN3-1626-SM-6AJAV 60-69 years, female 23.1
Show allShow less

VAGINA - FANTOM5 CAGEi

RNA expression in human tissues obtained through Cap Analysis of Gene Expression (CAGE) generated by the FANTOM5 project are reported as Scaled Tags Per Million.

Max subtype Scaled Tags Per Millioni

Max subtype Scaled Tags Per Million is the value for the subtype with the largest average Scaled Tags Per Million across the subtype samples.

69.2
FANTOM5 sample id Sample description Scaled Tags Per Million
Vagina
Scaled Tags Per Million: 69.2
FF:10204-103F6 68 years, female 69.2

Contact

  • NEWS ARTICLES
  • PRESS ROOM

The Project

  • INTRODUCTION
  • ORGANIZATION
  • PUBLICATIONS

The Human Protein Atlas

  • DOWNLOADABLE DATA
  • LICENCE & CITATION
  • HELP & FAQ
The Human Protein Atlas project is funded
by the Knut & Alice Wallenberg Foundation.


contact@proteinatlas.org