News Articles


Cell Image of the Month - Let there be SUN

21_H8_1_red_green.jpg

SUN2 (Sad1 and UNC84 domain containing 2), found in the nuclear membrane of cells, is an essential protein for many cellular processes. SUN plays a large role in the organization of multi-nucleated muscle cells, and dysregulation of SUN can cause muscular dystrophy among other diseases...Read more


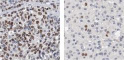
205 genes associated with prognosis in melanoma

MCM6 melanoma unfav_2.jpg

Malignant melanoma originates from the pigment-producing melanocytes in the epidermal basal layer, and is considered to develop in a multi-step process. By using a systems level approach to analyze the melanoma proteome with respect to clinical outcome based on genome-wide transcriptomics, 205 genes were found to be associated with prognostic outcome...Read more


Autophagosomes in the cell

B2_7_z0_rgb.jpg

Autophagosomes play a crucial role in recycling, by degrading cellular components and providing building blocks for renewal och cell components. Last year, we published a post about autophagy, which was the subject of the 2016 Nobel Prize in Physiology and Medicine.

We show, for the first time, images of HPA antibodies that co-localize with the autophagosomes. These membrane bound vesicles are involved in degradation of cellular constituents through a process called autophagy. The protein detected is localized to the autophagosomes (green) in SH-SY5Y cells, a human neuroblastoma cell line from neural tissue...Read more


Antibody validation emphasised in the new version of the Human Protein Atlas

blog1.png

Research-used antibodies continue to be important tools for detection, analysis and characterization of proteins. As reagents, and used in combination with technological platforms, antibodies enable researchers to explore the human body and understand how building-blocks like proteins are produced, distributed and diminished, as well as monitor alteration in time, space and during disease development...Read more


ASCB/EMBO meeting starts on the 2 December

ASCB.png

The American Society for Cell Biology (ASCB) and the European Molecular Biology Organization (EMBO) jointly organize the first international conference on cell biology of brain. The ASCB/EMBO meeting takes place in Philadelphia on the 2-4 of December 2017. The conference brings together a program covering presentations from molecular structure and function analysis to signalling pathways, immunity and cellular interplay in organoids...Read more