We use cookies to enhance the usability of our website. If you continue, we'll assume that you are happy to receive all cookies. More information. Don't show this again.
MDH1
HPA
RESOURCES
  • TISSUE
  • BRAIN
  • SINGLE CELL
  • SUBCELLULAR
  • CANCER
  • BLOOD
  • CELL LINE
  • STRUCTURE & INTERACTION
ABOUT
  • INTRODUCTION
  • HISTORY
  • ORGANIZATION
  • PUBLICATIONS
  • ANTIBODY SUBMISSION
  • ANTIBODY AVAILABILITY
  • ACKNOWLEDGMENTS
  • CONTACT
NEWS
  • NEWS ARTICLES
  • PRESS ROOM
LEARN
  • DICTIONARY
  • PROTEIN CLASSES
  • PROTEIN EVIDENCE
  • METHODS
  • EDUCATIONAL VIDEOS
DATA
  • DOWNLOADABLE DATA
  • PUBLICATION DATA
  • RELEASE HISTORY
HELP
  • ANTIBODY VALIDATION
  • ASSAYS & ANNOTATION
  • DISCLAIMER
  • HELP & FAQ
  • PRIVACY STATEMENT
  • LICENCE & CITATION
Fields »
Search result

Field
Term
Gene name
Class
Subclass
Class
Keyword
Chromosome
External id
Tissue
Cell type
Expression
Antibody panel
Tissue
Main location
Patient ID
Annotation
Tissue
Category
Tau score
Cluster
Reliability
Brain region
Category
Tau score
Brain region
Category
Tau score
Brain region
Category
Tau score
Cluster
Reliability
Tissue
Cell type
Enrichment
Cell type
Category
Tau score
Cell type
Category
Tau score
Cell type
Category
Tau score
Cell lineage
Category
Tau score
Cluster
Cluster
Location
Searches
Location
Cell line
Class
Type
Phase
Reliability
Cancer
Prognosis
Cancer
Category
Cancer
Category
Tau score
Cluster
Variants
Interacting gene (ensg_id)
Type
Number of interactions
Pathway
Category
Score
Score
Score
Validation
Validation
Validation
Validation
Antibodies
Data type
Column


  • SUMMARY

  • TISSUE

  • BRAIN

  • SINGLE CELL

  • SUBCELL

  • CANCER

  • BLOOD

  • CELL LINE

  • STRUCT & INT

  • MDH1
TISSUE PRIMARY DATA BREAST Show tissue menu
ADIPOSE TISSUE ADRENAL GLAND AMYGDALA APPENDIX BASAL GANGLIA BONE MARROW BREAST BRONCHUS CEREBELLUM CEREBRAL CORTEX CERVIX CHOROID PLEXUS COLON DUODENUM
ENDOMETRIUM EPIDIDYMIS ESOPHAGUS FALLOPIAN TUBE GALLBLADDER HEART MUSCLE HIPPOCAMPAL FORMATION HYPOTHALAMUS KIDNEY LIVER LUNG LYMPH NODE MIDBRAIN NASOPHARYNX
ORAL MUCOSA OVARY PANCREAS PARATHYROID GLAND PITUITARY GLAND PLACENTA PROSTATE RECTUM RETINA SALIVARY GLAND SEMINAL VESICLE SKELETAL MUSCLE SKIN SMALL INTESTINE
SMOOTH MUSCLE SOFT TISSUE SPINAL CORD SPLEEN STOMACH TESTIS THYMUS THYROID GLAND TONGUE TONSIL URINARY BLADDER VAGINA
ANTIBODIES
AND
VALIDATION
Dictionary
Breast
Tissue proteome
Breast
BREAST - Expression summary
Protein expression
Breasti

On the top, protein expression in current human tissue, based on all annotated cell types, is reported with the units not detected (n), low (l), medium (m) and high (h). Underneath, protein expression in each annotated cell type are reported using the same units.

Protein expression data is based on knowledge-based annotation. For genes where more than one antibody has been used, a collective score is set.

If knowledge-based annotation could not be performed for a gene, no data is displayed here. View antibody staining data further down this page.

h
m
l
n
Adipocytes: Not detected
Glandular cells: Not detected
Myoepithelial cells: Not detected
RNA expressioni

A summary of mRNA expression data available for current tissue based on several datasets. The mRNA expression levels in human tissues are based on RNA-seq data generated by the Human Protein Atlas (HPA), Genotype-Tissue Expression (GTEx) portal and CAGE data generated by the FANTOM5 consortium. Consensus normalized expression levels for human tissues was created by combining the data from HPA and GTEx datasets.

The mRNA expression levels in pig are based on RNA-seq data generated by the Human Protein Atlas (HPA), and for mouse, HPA data and in situ hybridization generated by the Allen brain atlas are reported.

Scroll down to view mRNA expression data in more detail.
Consensus:133.4 nTPM
HPA:133.4 nTPM
GTEx:99.2 nTPM
FANTOM5:78.4 Scaled Tags Per Million

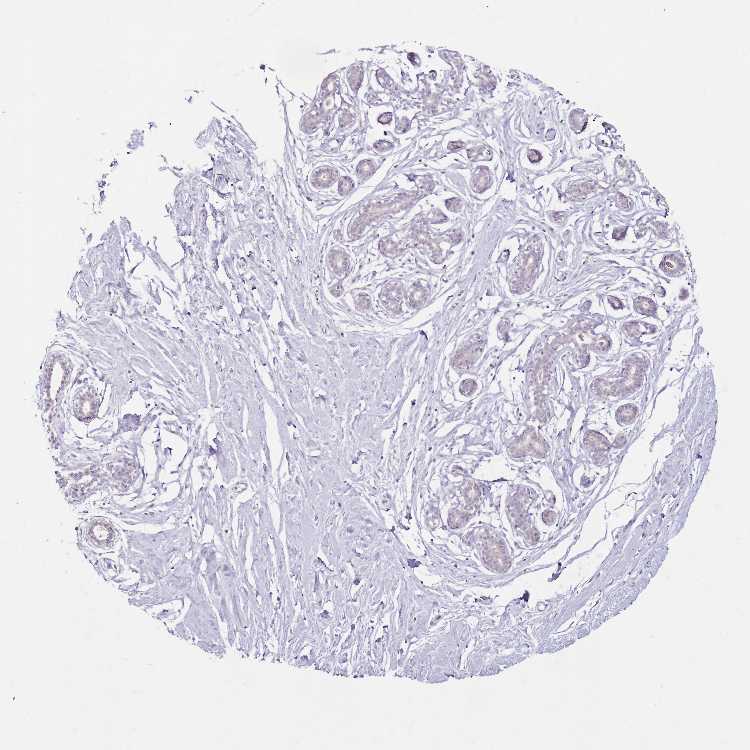
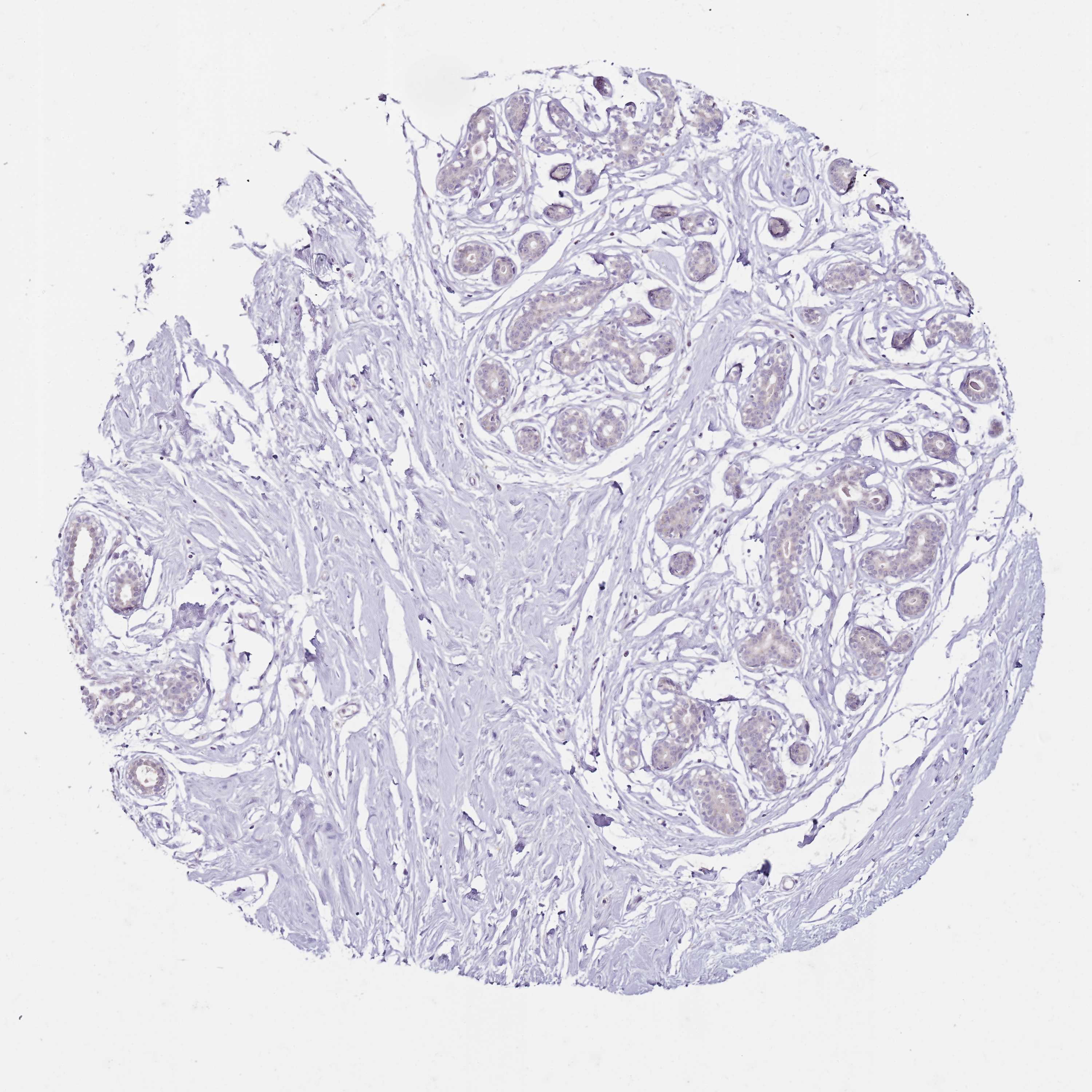
BREAST - Antibody stainingi

Antibody staining in the annotated cell types in the current human tissue is reported as not detected, low, medium, or high, based on conventional immunohistochemistry profiling in selected tissues. This score is based on the combination of the staining intensity and fraction of stained cells.

Each image is clickable and will lead to virtual microscopy that enables deeper exploration of all samples and also displays staining intensity scores, fraction scores and subcellular localization as well as patient and tissue information for each sample.

Antibody HPA027296Antibody HPA054276Antibody CAB047333
Adipocytes Not detectedNot detectedNot detected
Glandular cells Not detectedMediumNot detected
Myoepithelial cells Not detectedMediumNot detected






BREAST - HPA RNA-seqi

The RNA-seq details section shows detailed information about the individual samples used for the transcript profiling and results of the RNA-seq analysis.

Information about each individual sample is listed below, including gender, age, a tissue section image and estimated fractions of cell types. nTPM (normalized transcripts per million) values give a quantification of the gene abundance which is comparable between different genes and samples.
Average nTPMi

Max subtype nTPM is the value for the subtype with the largest average nTPM across the subtype samples.

133.4
overview
Female, age 52
Breast sample 373
nTPM: 138
Cell types%
Glandular cells:
15

Adipocytes:
5

Other cell types:
80

overview
Female, age 80
Breast sample 390
nTPM: 134.6
Cell types%
Glandular cells:
5

Adipocytes:
15

Other cell types:
80

overview
Female, age 47
Breast sample 405
nTPM: 117.1
Cell types%
Glandular cells:
5

Adipocytes:
5

Other cell types:
90

overview
Female, age 38
Breast sample 410
nTPM: 144
Cell types%
Glandular cells:
40

Adipocytes:
5

Other cell types:
55


BREAST - GTEx RNA-seqi

RNA-Seq data generated by the Genotype-Tissue Expression (GTEx) project from human tissues is reported as mean nTPM. More information can be found on the GTEx portal.

Distribution across the dataset is visualized with box plots, shown as median and 25th and 75th percentiles. Points are displayed as outliers if they are above or below 1.5 times the interquartile range. nTPM values of the individual samples are presented next to the box plot.
Max subtype nTPMi

Max subtype nTPM is the value for the subtype with the largest average nTPM across the subtype samples.

99.2
GTEx sample id Sample description nTPM
Breast - Mammary Tissue
Average nTPM: 99.2
Samples: 459

Max nTPM: 485.2
Min nTPM: 26.4
Std nTPM: 62.4
Median nTPM: 77.0
GTEX-1CAMR-1426-SM-793BO 20-29 years, male 485.2
GTEX-1F5PK-2126-SM-7PC28 50-59 years, male 381.3
GTEX-ZLWG-1926-SM-DO92J 50-59 years, female 360.0
GTEX-1S82Z-0726-SM-E6CHX 30-39 years, female 356.0
GTEX-1OKEX-0826-SM-E9J2B 60-69 years, male 351.3
GTEX-YECK-0726-SM-EZ6LV 60-69 years, male 292.7
GTEX-1JKYN-0726-SM-ARZMY 30-39 years, male 292.2
GTEX-11P82-1326-SM-5HL62 20-29 years, male 292.1
GTEX-1QP28-1226-SM-E9J2M 50-59 years, female 289.9
GTEX-14DAR-1326-SM-7DUEG 50-59 years, male 284.6
GTEX-18D9A-1526-SM-7LG4J 30-39 years, female 275.6
GTEX-XQ8I-2426-SM-4WAXY 50-59 years, male 268.0
GTEX-11ZUS-0826-SM-5FQUY 30-39 years, male 267.8
GTEX-1IDJU-1826-SM-CMKHV 60-69 years, female 265.4
GTEX-1H11D-1526-SM-9MQJY 40-49 years, male 256.7
GTEX-XMK1-1126-SM-4IHJ8 40-49 years, male 254.7
GTEX-1ICG6-1326-SM-ACKWR 70-79 years, female 252.5
GTEX-1NHNU-0926-SM-E9J2T 50-59 years, male 252.5
GTEX-WY7C-2726-SM-3NB3P 50-59 years, male 251.1
GTEX-1QP9N-1826-SM-E8VMP 30-39 years, male 243.1
GTEX-ZQG8-0726-SM-5P9H9 60-69 years, female 240.7
GTEX-11TUW-1826-SM-5BC5D 60-69 years, male 228.4
GTEX-1R9JW-0326-SM-EAZ45 30-39 years, female 228.2
GTEX-1H1ZS-0126-SM-9YFKQ 70-79 years, male 226.5
GTEX-WFON-1826-SM-3GILG 40-49 years, male 224.5
GTEX-14B4R-1226-SM-5TDDT 30-39 years, male 221.0
GTEX-1R7EV-1526-SM-E8VOD 40-49 years, male 218.2
GTEX-18465-2026-SM-718AP 50-59 years, male 215.9
GTEX-145ME-1526-SM-5Q5F2 40-49 years, female 211.4
GTEX-YB5K-1626-SM-5IFIN 40-49 years, female 208.3
GTEX-YJ8O-2226-SM-5IFHW 40-49 years, female 205.9
GTEX-1I1GV-2426-SM-CGQFM 60-69 years, male 205.7
GTEX-11ZTT-2326-SM-5EQLG 60-69 years, female 204.3
GTEX-16YQH-2826-SM-6PAMY 30-39 years, male 203.1
GTEX-XGQ4-0926-SM-4AT4U 50-59 years, male 201.8
GTEX-YB5E-1726-SM-5IFJ3 40-49 years, male 200.2
GTEX-11ONC-2126-SM-5HL6E 60-69 years, male 199.4
GTEX-12KS4-0126-SM-5Q5A5 30-39 years, male 198.4
GTEX-1LBAC-0926-SM-CXKY9 20-29 years, male 198.4
GTEX-1N2EF-2226-SM-E9J33 60-69 years, male 197.5
GTEX-ZUA1-1526-SM-59HLS 40-49 years, male 192.7
GTEX-1HFI7-0126-SM-CGQFQ 50-59 years, female 191.9
GTEX-13N1W-0626-SM-5MR4U 70-79 years, male 189.5
GTEX-16BQI-1026-SM-7KUEA 30-39 years, female 188.8
GTEX-1I1GP-0426-SM-COH3N 50-59 years, male 187.3
GTEX-17GQL-0326-SM-7LG5U 60-69 years, male 187.2
GTEX-13FTX-1126-SM-5N9EN 20-29 years, female 186.8
GTEX-13FTW-1426-SM-5LZWZ 40-49 years, male 186.4
GTEX-144GL-2026-SM-5LU3O 50-59 years, male 182.4
GTEX-1MJK3-1126-SM-E9J3F 20-29 years, male 180.8
GTEX-14BMV-0626-SM-793AU 50-59 years, male 179.5
GTEX-17HGU-1326-SM-79OKB 50-59 years, male 178.8
GTEX-YFCO-1826-SM-4W1YH 40-49 years, male 175.2
GTEX-T6MO-0326-SM-32QOK 40-49 years, female 173.3
GTEX-15UF7-0726-SM-6M46D 40-49 years, male 170.7
GTEX-11EQ9-1826-SM-5Q5AJ 30-39 years, male 170.2
GTEX-ZDTT-2126-SM-DKPOM 60-69 years, male 168.5
GTEX-1QCLZ-2326-SM-DTXDO 60-69 years, female 166.4
GTEX-ZDYS-1126-SM-5K7UB 50-59 years, male 164.8
GTEX-ZPIC-1126-SM-5BC7F 40-49 years, female 163.6
GTEX-XQ3S-1326-SM-4BOPQ 20-29 years, male 162.2
GTEX-145MO-0826-SM-5NQBL 60-69 years, male 160.2
GTEX-1S82U-1126-SM-E9U6I 30-39 years, female 160.0
GTEX-1HSEH-2026-SM-ADEHN 60-69 years, male 155.5
GTEX-1L5NE-2126-SM-CY8IH 50-59 years, male 155.4
GTEX-ZQUD-1926-SM-51MSA 30-39 years, male 154.1
GTEX-REY6-2426-SM-48FF5 60-69 years, male 153.3
GTEX-13CF3-2126-SM-5IFJP 60-69 years, female 152.9
GTEX-117YX-1426-SM-5H12H 50-59 years, male 152.3
GTEX-1HCU9-0326-SM-9WYSC 20-29 years, male 151.4
GTEX-ZT9W-2026-SM-51MRA 50-59 years, male 151.3
GTEX-1I1GU-1026-SM-ADEHJ 40-49 years, male 150.9
GTEX-12WSM-1726-SM-5BC6J 60-69 years, male 149.8
GTEX-13PVQ-1026-SM-5KM3M 50-59 years, male 149.8
GTEX-TKQ1-0226-SM-33HB5 30-39 years, male 149.7
GTEX-1AMEY-1026-SM-718AA 30-39 years, female 149.6
GTEX-ZAB4-2526-SM-5HL8M 40-49 years, male 147.2
GTEX-183FY-1126-SM-7DHLJ 20-29 years, male 145.4
GTEX-Y5V6-2126-SM-4WWFX 60-69 years, male 144.3
GTEX-13QJ3-0826-SM-7DHKK 50-59 years, male 142.8
GTEX-11GSP-0926-SM-9WYSG 60-69 years, female 140.8
GTEX-13113-5013-SM-7SB7G 60-69 years, female 139.9
GTEX-139T6-1626-SM-5PNYZ 50-59 years, male 139.2
GTEX-1IOXB-1926-SM-ARL8E 50-59 years, male 138.9
GTEX-1J8Q3-1326-SM-CMKI1 60-69 years, male 138.8
GTEX-1MA7X-1626-SM-E9U5B 60-69 years, male 137.6
GTEX-U8XE-0826-SM-4E3J1 30-39 years, male 137.0
GTEX-R55D-0826-SM-48FEA 50-59 years, male 135.4
GTEX-X4XY-0926-SM-4E3JD 60-69 years, male 132.2
GTEX-1LG7Z-0726-SM-CXKYD 30-39 years, male 132.1
GTEX-17MFQ-0926-SM-7LG4S 20-29 years, male 131.8
GTEX-18A66-1726-SM-7LG5N 60-69 years, male 131.1
GTEX-ZYFC-0826-SM-5E44K 50-59 years, male 130.8
GTEX-1PDJ9-1126-SM-EXUSW 20-29 years, male 128.9
GTEX-14ABY-2126-SM-5QGQZ 50-59 years, male 128.7
GTEX-S7SE-0826-SM-4AT4D 50-59 years, male 128.7
GTEX-18A6Q-0926-SM-7LG4N 60-69 years, male 128.6
GTEX-YEC3-1026-SM-5IFI5 50-59 years, male 128.4
GTEX-1A3MX-2726-SM-718B6 60-69 years, male 127.0
GTEX-1313W-0826-SM-5EQ4T 50-59 years, female 126.5
GTEX-1211K-1926-SM-5EQLB 60-69 years, female 126.4
GTEX-145MN-1926-SM-5SIAI 30-39 years, male 126.2
GTEX-1JMOU-2026-SM-CMKGU 60-69 years, female 125.9
GTEX-1EWIQ-1726-SM-7SB7T 70-79 years, female 125.2
GTEX-1PPH7-0826-SM-E8VNX 40-49 years, male 125.2
GTEX-11O72-2126-SM-5N9FO 40-49 years, male 124.7
GTEX-169BO-1126-SM-7MGWN 50-59 years, male 124.6
GTEX-1RLM8-2226-SM-EVYD1 50-59 years, male 124.0
GTEX-S32W-2026-SM-4AD6E 50-59 years, female 123.9
GTEX-1LSNL-2826-SM-E9U5L 50-59 years, male 122.4
GTEX-11LCK-2426-SM-5HL5F 30-39 years, male 122.3
GTEX-15EOM-5019-SM-793DK 20-29 years, female 120.2
GTEX-ZZ64-1226-SM-5E43R 20-29 years, male 120.2
GTEX-Y8E4-1626-SM-5S2MW 40-49 years, male 120.1
GTEX-11I78-2226-SM-5PNYA 50-59 years, female 120.0
GTEX-12BJ1-1826-SM-5HL9N 60-69 years, male 119.9
GTEX-Z9EW-1526-SM-EZ6LU 40-49 years, male 118.7
GTEX-12WSN-1326-SM-5GCNT 40-49 years, male 118.4
GTEX-1QW4Y-1026-SM-DTXE2 30-39 years, male 118.3
GTEX-QMRM-1626-SM-D4P1U 50-59 years, male 117.4
GTEX-17F98-0526-SM-79OK5 40-49 years, female 116.1
GTEX-14E6E-1326-SM-5S2NR 30-39 years, male 115.5
GTEX-14E6C-1326-SM-62LEQ 40-49 years, male 115.2
GTEX-14PJ4-2126-SM-6ETZJ 60-69 years, male 115.2
GTEX-144GM-0926-SM-5O994 20-29 years, male 115.1
GTEX-V955-2026-SM-3GAFA 60-69 years, male 114.9
GTEX-1NV8Z-2826-SM-E8VME 60-69 years, male 114.8
GTEX-117XS-1926-SM-5GICO 60-69 years, male 113.8
GTEX-13O61-1826-SM-5KM4I 60-69 years, male 113.2
GTEX-ZA64-1526-SM-5CVMD 20-29 years, male 113.1
GTEX-SE5C-2126-SM-4BRUJ 40-49 years, female 112.7
GTEX-1KD5A-1926-SM-DKPQA 50-59 years, male 112.4
GTEX-UTHO-1026-SM-3GAF7 60-69 years, male 111.8
GTEX-14E7W-0826-SM-62LEJ 70-79 years, male 111.5
GTEX-1I4MK-1626-SM-CM2TJ 50-59 years, female 111.2
GTEX-1GZHY-0726-SM-9WG6B 50-59 years, female 111.0
GTEX-1R9PM-1826-SM-EVYBH 20-29 years, male 109.9
GTEX-ZDXO-0126-SM-5S2ND 60-69 years, male 109.6
GTEX-1IKOE-1326-SM-CE6T6 30-39 years, female 109.2
GTEX-WHSB-1926-SM-EXOHH 50-59 years, male 109.1
GTEX-1KANC-1426-SM-CYPT9 50-59 years, female 108.5
GTEX-11TT1-2126-SM-5GU5Y 20-29 years, male 108.4
GTEX-S4Q7-1126-SM-4AD6R 20-29 years, male 108.4
GTEX-17EVQ-0426-SM-7LG57 70-79 years, male 107.7
GTEX-ZLFU-2126-SM-DO931 40-49 years, male 107.6
GTEX-17F96-2426-SM-7IGLN 70-79 years, male 107.3
GTEX-14PJO-0726-SM-69LO8 60-69 years, male 107.1
GTEX-1HCVE-2626-SM-ADEJ8 50-59 years, male 106.5
GTEX-Y5V5-2126-SM-4WWFO 60-69 years, female 106.3
GTEX-17F9E-2526-SM-7MGW2 50-59 years, male 105.8
GTEX-139TU-0626-SM-5KM3X 60-69 years, male 105.7
GTEX-ZV6S-1826-SM-5NQ8D 40-49 years, female 105.5
GTEX-1LSVX-2426-SM-E6CJX 60-69 years, male 105.2
GTEX-11OF3-1926-SM-59889 60-69 years, male 104.9
GTEX-1GF9U-1726-SM-7MGY5 40-49 years, female 104.0
GTEX-1HC8U-0826-SM-ADEIL 40-49 years, female 103.8
GTEX-ZVZQ-0826-SM-51MRF 60-69 years, female 102.7
GTEX-Y9LG-1426-SM-5IFJZ 30-39 years, male 102.3
GTEX-1H23P-0726-SM-9WG7K 60-69 years, male 102.2
GTEX-1C6VQ-0426-SM-79OOX 50-59 years, male 101.5
GTEX-11GSO-1926-SM-5A5K3 60-69 years, male 101.4
GTEX-1F5PL-1026-SM-7RHI1 40-49 years, female 101.1
GTEX-1I19N-2826-SM-CL55D 70-79 years, male 100.0
GTEX-17F97-2526-SM-7EWDV 50-59 years, male 99.7
GTEX-1JJE9-2326-SM-ARL8Q 70-79 years, male 99.2
GTEX-17JCI-0726-SM-7EPH1 60-69 years, female 99.0
GTEX-17HHY-0926-SM-793C1 50-59 years, male 98.6
GTEX-1M4P7-2626-SM-E9U5F 60-69 years, male 98.2
GTEX-1EKGG-2626-SM-7IGPY 60-69 years, male 98.1
GTEX-15G19-2126-SM-6M48J 60-69 years, male 97.8
GTEX-QEL4-2126-SM-447AE 50-59 years, male 97.0
GTEX-146FH-0826-SM-5SI8T 50-59 years, female 96.8
GTEX-XYKS-1326-SM-4BRUN 60-69 years, female 96.8
GTEX-ZYT6-0126-SM-5E45J 30-39 years, male 96.3
GTEX-14AS3-1626-SM-5S2OY 40-49 years, female 96.1
GTEX-1HR98-0426-SM-COH36 60-69 years, male 95.8
GTEX-XV7Q-2326-SM-4BRVZ 40-49 years, female 95.4
GTEX-1QEPI-0926-SM-DTXF3 60-69 years, female 94.4
GTEX-ZVT4-1026-SM-57WC4 50-59 years, female 94.1
GTEX-1GPI7-0926-SM-7PC3J 20-29 years, male 93.9
GTEX-13S86-1226-SM-5S2OA 40-49 years, male 93.5
GTEX-1R46S-2526-SM-E8VN2 60-69 years, female 92.9
GTEX-R53T-1526-SM-48FEK 50-59 years, female 92.2
GTEX-13PVR-2226-SM-7DHKP 60-69 years, female 90.9
GTEX-14ICK-2426-SM-6EU27 40-49 years, male 90.9
GTEX-13VXU-2826-SM-664MA 50-59 years, male 90.4
GTEX-1LVAM-0926-SM-E9TJ2 50-59 years, female 90.2
GTEX-1399U-1826-SM-5PNZ1 50-59 years, female 89.7
GTEX-11DXZ-1926-SM-5GZZL 50-59 years, male 89.0
GTEX-1C6WA-2426-SM-7SB86 60-69 years, male 88.8
GTEX-11NSD-0926-SM-5N9DR 20-29 years, male 88.4
GTEX-1HBPN-2326-SM-9WPPU 50-59 years, male 88.3
GTEX-Y114-2026-SM-4TT7L 50-59 years, female 88.1
GTEX-1JN6P-2426-SM-ARL99 60-69 years, male 87.8
GTEX-TKQ2-1826-SM-33HB2 50-59 years, male 87.7
GTEX-TML8-1226-SM-32QON 40-49 years, female 87.0
GTEX-11DXY-2326-SM-5GICW 60-69 years, male 85.3
GTEX-13OW8-0226-SM-5K7UP 60-69 years, male 85.2
GTEX-XUW1-2326-SM-4BOO5 50-59 years, female 85.0
GTEX-14PN4-0626-SM-62LFP 50-59 years, male 84.9
GTEX-132AR-0826-SM-5EGK6 50-59 years, female 84.8
GTEX-1QPFJ-2026-SM-EVYBE 30-39 years, female 84.2
GTEX-ZTPG-2826-SM-57WGA 20-29 years, female 84.1
GTEX-1JKYR-0926-SM-CMKGJ 20-29 years, male 83.5
GTEX-1JN1M-3026-SM-CMKGK 60-69 years, female 83.3
GTEX-13W3W-1226-SM-5LU4H 60-69 years, female 82.8
GTEX-145LT-0726-SM-5S2VM 40-49 years, male 82.8
GTEX-1GMR2-1926-SM-9MQLZ 50-59 years, male 82.8
GTEX-1B8KE-1226-SM-73KWK 50-59 years, male 82.6
GTEX-Y3IK-2326-SM-4WWDT 50-59 years, female 82.4
GTEX-Y3I4-1526-SM-4TT7K 50-59 years, male 81.6
GTEX-1C475-1226-SM-7SB72 40-49 years, female 81.6
GTEX-1A3MV-1626-SM-731C1 30-39 years, male 81.3
GTEX-ZLV1-1426-SM-DO92Z 60-69 years, female 81.2
GTEX-1MJK2-2226-SM-EVYCR 50-59 years, male 80.8
GTEX-1R9PN-0326-SM-DTX85 40-49 years, female 80.4
GTEX-1NUQO-2226-SM-E9U68 20-29 years, female 80.0
GTEX-1QP29-1726-SM-E8VMQ 50-59 years, male 79.5
GTEX-18A7A-0726-SM-7LTAI 50-59 years, female 79.3
GTEX-1F75I-2026-SM-7SB7N 40-49 years, male 79.1
GTEX-1POEN-0926-SM-DTX88 30-39 years, female 78.5
GTEX-12WSK-2226-SM-5GCO5 40-49 years, female 78.3
GTEX-1AX9I-0726-SM-73KWV 60-69 years, male 78.2
GTEX-VJWN-0726-SM-3GIJ8 50-59 years, female 78.1
GTEX-1GZ4I-2826-SM-9MQK5 50-59 years, male 78.0
GTEX-RUSQ-2026-SM-4GIAK 50-59 years, male 77.6
GTEX-WRHU-0326-SM-3MJFY 50-59 years, female 77.2
GTEX-1RQEC-2026-SM-DTXDM 60-69 years, male 77.2
GTEX-14753-2426-SM-5LU8U 60-69 years, male 77.1
GTEX-1H4P4-2226-SM-9MQKQ 50-59 years, male 77.0
GTEX-132NY-0826-SM-5K7Y7 60-69 years, male 76.9
GTEX-1H1DG-0526-SM-9YFLN 70-79 years, male 76.7
GTEX-13SLX-2326-SM-5ZZWE 50-59 years, female 76.4
GTEX-1B97I-0426-SM-79OL7 40-49 years, male 76.2
GTEX-18A7B-2626-SM-7LG55 70-79 years, male 76.0
GTEX-PSDG-1626-SM-48TCQ 50-59 years, male 75.7
GTEX-11NV4-2026-SM-5N9DG 60-69 years, male 75.5
GTEX-1IGQW-0926-SM-ADEH6 60-69 years, male 75.5
GTEX-183WM-0726-SM-7LTAA 70-79 years, female 75.2
GTEX-1I6K7-1026-SM-A9SLK 40-49 years, male 74.6
GTEX-ZTTD-1026-SM-51MRD 50-59 years, male 74.5
GTEX-1H3VY-0926-SM-ACKXE 50-59 years, male 74.3
GTEX-1GN2E-2226-SM-9WG6J 60-69 years, male 74.2
GTEX-1N2EE-2126-SM-E8VNN 60-69 years, male 74.1
GTEX-WXYG-2226-SM-4E3IM 50-59 years, female 74.0
GTEX-14A5I-0726-SM-5TDEB 50-59 years, female 73.8
GTEX-14PKU-0426-SM-6EU1P 40-49 years, female 73.7
GTEX-1PPGY-1526-SM-EVYBK 60-69 years, male 73.2
GTEX-1J8QM-2026-SM-ARZMW 60-69 years, female 73.0
GTEX-1AX9J-1126-SM-731B7 60-69 years, male 72.7
GTEX-ZGAY-1726-SM-DO91P 40-49 years, female 72.7
GTEX-13QIC-2326-SM-5LU5N 60-69 years, female 71.6
GTEX-11P81-1926-SM-5BC53 30-39 years, female 71.0
GTEX-1MA7W-1026-SM-DKPQK 20-29 years, female 71.0
GTEX-1MCC2-2126-SM-EWRON 30-39 years, female 71.0
GTEX-1269C-2426-SM-5FQSN 60-69 years, female 70.5
GTEX-13FHO-0826-SM-5L3E8 60-69 years, male 70.2
GTEX-1E2YA-2726-SM-7IGPW 50-59 years, male 70.2
GTEX-1QMI2-0726-SM-E9J4F 60-69 years, male 70.2
GTEX-1HCU7-1026-SM-ADEIP 50-59 years, male 70.1
GTEX-ZVT2-1826-SM-5NQ8W 50-59 years, female 69.1
GTEX-ZVTK-0326-SM-51MRR 20-29 years, male 69.1
GTEX-1I6K6-0826-SM-ARL7Z 30-39 years, male 69.0
GTEX-17EVP-0226-SM-79OND 40-49 years, male 68.9
GTEX-UJHI-1426-SM-3DB9C 50-59 years, female 68.5
GTEX-ZV7C-1826-SM-5NQ83 50-59 years, male 68.4
GTEX-14H4A-2526-SM-5YYAY 40-49 years, female 68.3
GTEX-S4UY-0726-SM-4AD6X 40-49 years, female 68.1
GTEX-13D11-1026-SM-5IJFB 50-59 years, female 68.0
GTEX-ZF3C-2326-SM-5S2NC 50-59 years, female 67.8
GTEX-133LE-1726-SM-5K7VQ 20-29 years, female 67.4
GTEX-11WQK-2426-SM-5GU5C 50-59 years, male 67.1
GTEX-1ICLY-1726-SM-B2LVT 50-59 years, male 67.1
GTEX-S33H-0326-SM-4AD6N 30-39 years, male 67.0
GTEX-17HG3-0126-SM-7IGNH 30-39 years, female 66.9
GTEX-XUZC-1626-SM-4BRVP 30-39 years, female 66.7
GTEX-1F75B-0626-SM-7SB8A 50-59 years, male 66.5
GTEX-1IDJH-2226-SM-E6CJV 70-79 years, male 66.4
GTEX-1KANA-2026-SM-DIPFB 20-29 years, male 65.9
GTEX-QVJO-1826-SM-447C9 60-69 years, female 65.8
GTEX-1LSNM-1326-SM-E9TJ1 50-59 years, male 65.8
GTEX-T5JW-2026-SM-4DM63 20-29 years, female 65.5
GTEX-13O3O-0826-SM-5K7WE 60-69 years, female 65.3
GTEX-Y111-2026-SM-4SOJA 50-59 years, male 65.3
GTEX-1HBPM-0126-SM-ARL9E 60-69 years, female 65.0
GTEX-17HHE-1426-SM-7EPH4 50-59 years, male 64.9
GTEX-1HSMO-0826-SM-ADEIV 60-69 years, male 64.8
GTEX-13NZ9-1026-SM-5MR5K 50-59 years, male 64.7
GTEX-1F75A-1826-SM-7SB8G 50-59 years, male 64.7
GTEX-1IDJE-0826-SM-CKZNZ 50-59 years, female 64.6
GTEX-1N5O9-1126-SM-DTXEQ 60-69 years, male 64.5
GTEX-14PHY-1926-SM-5YY95 60-69 years, female 64.3
GTEX-1LC47-1226-SM-D4P44 60-69 years, male 64.3
GTEX-Y8LW-1626-SM-5IFHX 50-59 years, female 63.9
GTEX-14BMU-1626-SM-5TDE7 20-29 years, female 63.7
GTEX-1J8Q2-2726-SM-A9G2X 60-69 years, male 63.6
GTEX-1122O-1226-SM-5H113 60-69 years, female 63.4
GTEX-1ICLZ-0426-SM-B2LW2 60-69 years, male 63.4
GTEX-11P7K-0726-SM-5EGKX 30-39 years, male 63.1
GTEX-16NGA-0826-SM-718AF 40-49 years, female 63.1
GTEX-18QFQ-0826-SM-718AX 30-39 years, male 63.1
GTEX-13N11-1726-SM-5J1OJ 50-59 years, female 63.0
GTEX-1B8SG-1226-SM-7IGPF 50-59 years, male 63.0
GTEX-1MCYP-0126-SM-E6CIS 20-29 years, female 62.8
GTEX-1B97J-0426-SM-79OLQ 50-59 years, female 62.4
GTEX-1C6VS-0726-SM-7EPHF 60-69 years, male 62.4
GTEX-1A8G7-2426-SM-731AK 60-69 years, male 62.1
GTEX-1H1CY-2226-SM-9WG7E 60-69 years, female 62.0
GTEX-QEG5-0726-SM-D4P1T 20-29 years, male 62.0
GTEX-13O3Q-2226-SM-5KM4O 50-59 years, male 61.9
GTEX-VUSG-2226-SM-4KKZO 50-59 years, male 61.5
GTEX-11PRG-0826-SM-5EQ6A 50-59 years, male 61.3
GTEX-1HSKV-2026-SM-CMKGX 60-69 years, male 61.3
GTEX-145MF-2226-SM-7EPIR 50-59 years, male 61.1
GTEX-1QCLY-1626-SM-DTXDW 30-39 years, male 60.8
GTEX-1B932-0826-SM-73KXG 40-49 years, female 60.5
GTEX-1KXAM-1026-SM-CY8IA 60-69 years, male 60.3
GTEX-17KNJ-2026-SM-7LG53 50-59 years, male 60.2
GTEX-15RJE-2626-SM-7KFT1 40-49 years, male 60.1
GTEX-131XW-0726-SM-5EGK3 50-59 years, female 59.8
GTEX-X261-0626-SM-3NMD9 50-59 years, male 59.7
GTEX-X62O-0526-SM-EWRMA 50-59 years, male 59.5
GTEX-1B8KZ-1526-SM-7DUG7 50-59 years, male 59.4
GTEX-1GN1W-1926-SM-7P8TH 50-59 years, female 59.3
GTEX-1CAMS-1426-SM-7IGPM 40-49 years, female 59.2
GTEX-RU1J-0626-SM-4WAWY 20-29 years, female 59.0
GTEX-R3RS-0626-SM-48FE1 40-49 years, female 58.5
GTEX-13SLW-2526-SM-62LDQ 70-79 years, male 58.4
GTEX-17EUY-1926-SM-7DUF6 20-29 years, male 58.4
GTEX-ZY6K-1626-SM-5GZWV 50-59 years, male 58.4
GTEX-12ZZX-1126-SM-5EGKB 40-49 years, female 58.2
GTEX-T2IS-1526-SM-32QPR 20-29 years, female 58.2
GTEX-RWS6-1926-SM-47JXY 60-69 years, female 57.9
GTEX-1HT8W-2226-SM-CGQEC 30-39 years, male 57.9
GTEX-1LGRB-1826-SM-CNPQL 50-59 years, female 57.9
GTEX-1I1HK-2426-SM-ADEHX 60-69 years, male 57.7
GTEX-1HR9M-2426-SM-ACKXI 60-69 years, male 57.6
GTEX-1IE54-0626-SM-ARL8D 40-49 years, female 57.5
GTEX-13CF2-2026-SM-5K7VI 60-69 years, male 57.3
GTEX-T6MN-0726-SM-32PML 50-59 years, male 57.3
GTEX-1JJEA-2726-SM-ARL8V 60-69 years, male 57.3
GTEX-147F4-2826-SM-5NQBN 50-59 years, male 57.2
GTEX-1JMLX-2026-SM-CMKGN 50-59 years, male 57.1
GTEX-1CB4E-0226-SM-79OLW 60-69 years, male 56.8
GTEX-1K2DA-1726-SM-CGQGS 50-59 years, male 56.8
GTEX-1IY9M-2726-SM-CMKG5 60-69 years, male 56.5
GTEX-13W46-0826-SM-5LU3H 50-59 years, male 56.4
GTEX-1CB4J-1826-SM-7EWF9 60-69 years, male 56.4
GTEX-1R7EU-1226-SM-E8VMR 60-69 years, male 56.3
GTEX-1LNCM-0226-SM-DIPF4 50-59 years, female 56.2
GTEX-ZVE2-1226-SM-5NQ8R 50-59 years, male 56.1
GTEX-T5JC-2126-SM-32PMO 20-29 years, male 56.0
GTEX-1RAZQ-1226-SM-EWRNL 30-39 years, male 55.9
GTEX-W5X1-2326-SM-3GIL6 40-49 years, female 55.8
GTEX-13NZ8-0126-SM-5IJCT 60-69 years, female 55.5
GTEX-TMMY-0726-SM-33HBE 40-49 years, female 55.5
GTEX-1EU9M-2826-SM-7EWFH 60-69 years, male 55.3
GTEX-11DZ1-0326-SM-5N9BN 50-59 years, male 55.0
GTEX-14LLW-0626-SM-62LFC 70-79 years, female 55.0
GTEX-1K9T9-1426-SM-DIPFQ 50-59 years, female 55.0
GTEX-1192X-2326-SM-5987X 50-59 years, male 54.6
GTEX-X15G-1626-SM-3NMB3 50-59 years, female 54.4
GTEX-15ER7-1626-SM-6PAMZ 20-29 years, female 54.3
GTEX-15SHW-1326-SM-6PAL8 60-69 years, male 54.2
GTEX-T2YK-2226-SM-32QPT 50-59 years, male 54.2
GTEX-ZYW4-0826-SM-5GIDG 60-69 years, male 53.7
GTEX-1GPI6-0626-SM-7RHHJ 60-69 years, male 53.6
GTEX-ZU9S-1926-SM-5NQBP 30-39 years, male 53.3
GTEX-1B933-2526-SM-7IGO5 50-59 years, female 53.2
GTEX-1GF9X-1026-SM-ACKX2 40-49 years, female 53.2
GTEX-1AX8Z-0926-SM-731AW 60-69 years, male 53.1
GTEX-1BAJH-0826-SM-7EWEF 70-79 years, male 53.1
GTEX-1JMPY-0526-SM-CL54O 30-39 years, male 52.9
GTEX-QDT8-0626-SM-48TYW 30-39 years, female 52.7
GTEX-WYBS-0926-SM-3NM94 60-69 years, female 52.7
GTEX-1GF9V-2526-SM-7SB8K 60-69 years, male 52.6
GTEX-Y5LM-1726-SM-4VDSX 40-49 years, female 52.3
GTEX-1IKOH-2326-SM-CM2TW 60-69 years, female 52.3
GTEX-15FZZ-0726-SM-7KUFZ 30-39 years, female 52.2
GTEX-1EN7A-1426-SM-7PBY4 40-49 years, male 52.2
GTEX-1HKZK-1826-SM-ADEJ2 40-49 years, male 52.0
GTEX-1M5QR-2526-SM-E9U5P 40-49 years, male 52.0
GTEX-13NZB-2126-SM-5MR4Y 30-39 years, male 51.7
GTEX-11EMC-2026-SM-5A5JV 60-69 years, female 51.5
GTEX-Q2AG-0326-SM-48U1O 40-49 years, female 51.5
GTEX-1HCUA-0726-SM-ACKVU 50-59 years, female 51.5
GTEX-1P4AB-1826-SM-E76PU 50-59 years, male 51.4
GTEX-ZAJG-0626-SM-5HL8X 50-59 years, female 51.3
GTEX-1IKJJ-2326-SM-COH3U 60-69 years, male 51.2
GTEX-ZF29-1926-SM-5S2P1 60-69 years, female 51.1
GTEX-1J8EW-2626-SM-CL53E 60-69 years, female 51.0
GTEX-11EM3-1326-SM-5N9C6 20-29 years, female 50.9
GTEX-S4P3-1326-SM-4AD6V 50-59 years, female 50.7
GTEX-XOT4-0726-SM-4GIAW 60-69 years, female 50.7
GTEX-1LVAN-1326-SM-CNPQE 50-59 years, female 50.7
GTEX-1RAZS-1226-SM-E8VMT 50-59 years, male 50.6
GTEX-15UF6-0126-SM-6PAMB 70-79 years, female 50.1
GTEX-ZC5H-2626-SM-5J2MG 40-49 years, female 50.1
GTEX-131YS-0626-SM-5EGKL 60-69 years, female 50.0
GTEX-1117F-2826-SM-5GZXL 60-69 years, female 49.9
GTEX-ZZPU-0626-SM-5E43T 50-59 years, female 49.8
GTEX-1GMRU-0826-SM-9WYT7 50-59 years, male 49.8
GTEX-13OW5-2226-SM-5L3HC 60-69 years, male 49.6
GTEX-WFG8-2026-SM-EXOHO 20-29 years, male 49.6
GTEX-WI4N-1426-SM-3LK7H 40-49 years, female 49.4
GTEX-XBED-1626-SM-47JYN 60-69 years, male 49.4
GTEX-ZAK1-1326-SM-EVYAS 50-59 years, female 49.3
GTEX-11WQC-1726-SM-5GU4W 60-69 years, male 49.2
GTEX-1IDJF-2326-SM-ARL86 20-29 years, male 49.2
GTEX-XMD2-0926-SM-4WWEF 60-69 years, female 48.9
GTEX-1GMR3-2626-SM-7RHHG 40-49 years, male 48.9
GTEX-1314G-1226-SM-5BC6D 30-39 years, male 48.8
GTEX-1F6I4-2526-SM-7SB8F 60-69 years, male 48.7
GTEX-1HCU8-0126-SM-ADEHH 60-69 years, female 48.5
GTEX-11EI6-0626-SM-5985T 60-69 years, male 48.4
GTEX-ZTX8-1226-SM-4YCE9 20-29 years, male 48.4
GTEX-1JK1U-1826-SM-ARL8W 60-69 years, male 48.1
GTEX-11GS4-2126-SM-5A5KR 60-69 years, male 48.0
GTEX-1GZ2Q-2626-SM-7MXV9 40-49 years, male 48.0
GTEX-1H1E6-0926-SM-9YFLT 30-39 years, male 47.9
GTEX-11DXW-0626-SM-5N9ER 40-49 years, male 47.8
GTEX-15ETS-0626-SM-7KUMX 40-49 years, female 47.4
GTEX-13PL6-2926-SM-5L3I2 40-49 years, female 47.2
GTEX-WYJK-1326-SM-3NB2T 50-59 years, male 47.1
GTEX-S341-1526-SM-4AD6K 40-49 years, female 46.8
GTEX-WYVS-1726-SM-3NMAY 40-49 years, female 46.8
GTEX-1HUB1-1626-SM-CM2SL 60-69 years, male 46.7
GTEX-1B8L1-2426-SM-9WYTE 60-69 years, male 46.5
GTEX-U412-1826-SM-4DXTJ 60-69 years, male 46.2
GTEX-ZXES-0826-SM-5E43C 30-39 years, female 46.1
GTEX-1C64O-0726-SM-7DUFU 60-69 years, male 45.8
GTEX-1I1GT-1126-SM-ARL7J 60-69 years, female 45.5
GTEX-1GMR8-0726-SM-9KNVI 50-59 years, female 45.1
GTEX-U3ZN-1926-SM-4DXSG 30-39 years, female 44.7
GTEX-1KD4Q-2326-SM-D4P3M 40-49 years, male 44.7
GTEX-1GN1U-0526-SM-9KNTT 50-59 years, female 44.5
GTEX-17MF6-0326-SM-7EPH5 40-49 years, male 43.9
GTEX-139T8-0826-SM-5L3DE 60-69 years, male 43.2
GTEX-13FTY-2226-SM-5J1ND 40-49 years, female 43.0
GTEX-1KAFJ-0226-SM-DIPEL 50-59 years, male 43.0
GTEX-1HSGN-1526-SM-A9SMO 40-49 years, female 42.7
GTEX-ZWKS-2826-SM-5NQ74 30-39 years, male 42.6
GTEX-X4EP-2926-SM-3P5YQ 60-69 years, female 41.7
GTEX-U3ZH-1426-SM-4DXSR 30-39 years, male 41.6
GTEX-UPK5-2326-SM-3P5Z8 40-49 years, male 41.5
GTEX-111YS-1926-SM-5GICC 60-69 years, male 41.1
GTEX-1GZ4H-0326-SM-7P8QX 50-59 years, female 41.0
GTEX-1CB4G-2326-SM-79OOI 60-69 years, male 40.2
GTEX-ZF2S-2026-SM-5E461 50-59 years, female 40.1
GTEX-1JMPZ-1626-SM-COH31 30-39 years, male 40.0
GTEX-YFC4-1426-SM-5IFJG 40-49 years, female 39.4
GTEX-1JMQK-2626-SM-COH2W 60-69 years, male 37.1
GTEX-132Q8-1426-SM-5EGK7 60-69 years, male 36.5
GTEX-ZEX8-2226-SM-57WC6 50-59 years, male 36.3
GTEX-13O3P-0826-SM-5L3DH 50-59 years, male 36.1
GTEX-WOFL-0826-SM-3MJG1 60-69 years, male 33.8
GTEX-1IDFM-0426-SM-B2LVV 60-69 years, male 33.6
GTEX-RU72-0626-SM-46MUI 50-59 years, female 33.0
GTEX-XMD1-0826-SM-4AT52 60-69 years, male 26.4
Show allShow less

BREAST - FANTOM5 CAGEi

RNA expression in human tissues obtained through Cap Analysis of Gene Expression (CAGE) generated by the FANTOM5 project are reported as Scaled Tags Per Million.

Max subtype Scaled Tags Per Millioni

Max subtype Scaled Tags Per Million is the value for the subtype with the largest average Scaled Tags Per Million across the subtype samples.

78.4
FANTOM5 sample id Sample description Scaled Tags Per Million
Breast
Scaled Tags Per Million: 78.4
FF:10080-102A8 77 years, female 78.4

Contact

  • NEWS ARTICLES
  • PRESS ROOM

The Project

  • INTRODUCTION
  • ORGANIZATION
  • PUBLICATIONS

The Human Protein Atlas

  • DOWNLOADABLE DATA
  • LICENCE & CITATION
  • HELP & FAQ
The Human Protein Atlas project is funded
by the Knut & Alice Wallenberg Foundation.


contact@proteinatlas.org