We use cookies to enhance the usability of our website. If you continue, we'll assume that you are happy to receive all cookies. More information. Don't show this again.
MDH1
HPA
RESOURCES
  • TISSUE
  • BRAIN
  • SINGLE CELL
  • SUBCELLULAR
  • CANCER
  • BLOOD
  • CELL LINE
  • STRUCTURE & INTERACTION
ABOUT
  • INTRODUCTION
  • HISTORY
  • ORGANIZATION
  • PUBLICATIONS
  • ANTIBODY SUBMISSION
  • ANTIBODY AVAILABILITY
  • ACKNOWLEDGMENTS
  • CONTACT
NEWS
  • NEWS ARTICLES
  • PRESS ROOM
LEARN
  • DICTIONARY
  • PROTEIN CLASSES
  • PROTEIN EVIDENCE
  • METHODS
  • EDUCATIONAL VIDEOS
DATA
  • DOWNLOADABLE DATA
  • PUBLICATION DATA
  • RELEASE HISTORY
HELP
  • ANTIBODY VALIDATION
  • ASSAYS & ANNOTATION
  • DISCLAIMER
  • HELP & FAQ
  • PRIVACY STATEMENT
  • LICENCE & CITATION
Fields »
Search result

Field
Term
Gene name
Class
Subclass
Class
Keyword
Chromosome
External id
Tissue
Cell type
Expression
Antibody panel
Tissue
Main location
Patient ID
Annotation
Tissue
Category
Tau score
Cluster
Reliability
Brain region
Category
Tau score
Brain region
Category
Tau score
Brain region
Category
Tau score
Cluster
Reliability
Tissue
Cell type
Enrichment
Cell type
Category
Tau score
Cell type
Category
Tau score
Cell type
Category
Tau score
Cell lineage
Category
Tau score
Cluster
Cluster
Location
Searches
Location
Cell line
Class
Type
Phase
Reliability
Cancer
Prognosis
Cancer
Category
Cancer
Category
Tau score
Cluster
Variants
Interacting gene (ensg_id)
Type
Number of interactions
Pathway
Category
Score
Score
Score
Validation
Validation
Validation
Validation
Antibodies
Data type
Column


  • SUMMARY

  • TISSUE

  • BRAIN

  • SINGLE CELL

  • SUBCELL

  • CANCER

  • BLOOD

  • CELL LINE

  • STRUCT & INT

  • MDH1
TISSUE PRIMARY DATA ESOPHAGUS Show tissue menu
ADIPOSE TISSUE ADRENAL GLAND AMYGDALA APPENDIX BASAL GANGLIA BONE MARROW BREAST BRONCHUS CEREBELLUM CEREBRAL CORTEX CERVIX CHOROID PLEXUS COLON DUODENUM
ENDOMETRIUM EPIDIDYMIS ESOPHAGUS FALLOPIAN TUBE GALLBLADDER HEART MUSCLE HIPPOCAMPAL FORMATION HYPOTHALAMUS KIDNEY LIVER LUNG LYMPH NODE MIDBRAIN NASOPHARYNX
ORAL MUCOSA OVARY PANCREAS PARATHYROID GLAND PITUITARY GLAND PLACENTA PROSTATE RECTUM RETINA SALIVARY GLAND SEMINAL VESICLE SKELETAL MUSCLE SKIN SMALL INTESTINE
SMOOTH MUSCLE SOFT TISSUE SPINAL CORD SPLEEN STOMACH TESTIS THYMUS THYROID GLAND TONGUE TONSIL URINARY BLADDER VAGINA
ANTIBODIES
AND
VALIDATION
Dictionary
Esophagus
Tissue proteome
Esophagus
ESOPHAGUS - Expression summary
Protein expression
Esophagusi

On the top, protein expression in current human tissue, based on all annotated cell types, is reported with the units not detected (n), low (l), medium (m) and high (h). Underneath, protein expression in each annotated cell type are reported using the same units.

Protein expression data is based on knowledge-based annotation. For genes where more than one antibody has been used, a collective score is set.

If knowledge-based annotation could not be performed for a gene, no data is displayed here. View antibody staining data further down this page.

h
m
l
n
Squamous epithelial cells: Not detected
RNA expressioni

A summary of mRNA expression data available for current tissue based on several datasets. The mRNA expression levels in human tissues are based on RNA-seq data generated by the Human Protein Atlas (HPA), Genotype-Tissue Expression (GTEx) portal and CAGE data generated by the FANTOM5 consortium. Consensus normalized expression levels for human tissues was created by combining the data from HPA and GTEx datasets.

The mRNA expression levels in pig are based on RNA-seq data generated by the Human Protein Atlas (HPA), and for mouse, HPA data and in situ hybridization generated by the Allen brain atlas are reported.

Scroll down to view mRNA expression data in more detail.
Consensus:121.1 nTPM
HPA:121.1 nTPM
GTEx:85.4 nTPM
FANTOM5:201.6 Scaled Tags Per Million

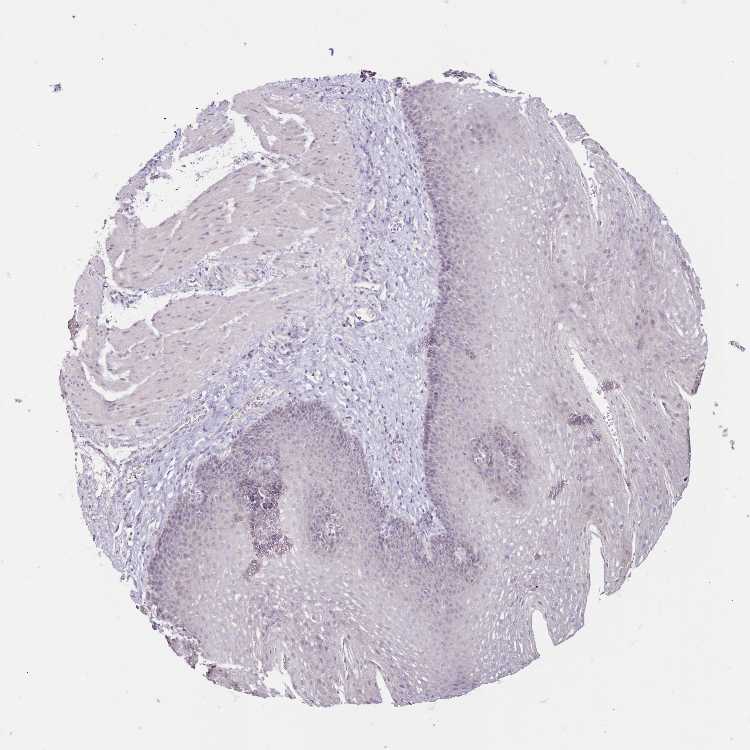
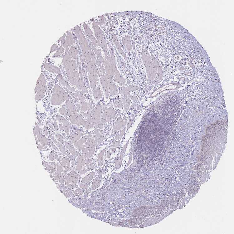
ESOPHAGUS - Antibody stainingi

Antibody staining in the annotated cell types in the current human tissue is reported as not detected, low, medium, or high, based on conventional immunohistochemistry profiling in selected tissues. This score is based on the combination of the staining intensity and fraction of stained cells.

Each image is clickable and will lead to virtual microscopy that enables deeper exploration of all samples and also displays staining intensity scores, fraction scores and subcellular localization as well as patient and tissue information for each sample.

Antibody HPA027296Antibody HPA054276Antibody CAB047333
Squamous epithelial cells Not detectedMediumNot detected





ESOPHAGUS - HPA RNA-seqi

The RNA-seq details section shows detailed information about the individual samples used for the transcript profiling and results of the RNA-seq analysis.

Information about each individual sample is listed below, including gender, age, a tissue section image and estimated fractions of cell types. nTPM (normalized transcripts per million) values give a quantification of the gene abundance which is comparable between different genes and samples.
Average nTPMi

Max subtype nTPM is the value for the subtype with the largest average nTPM across the subtype samples.

121.1
overview
Female, age 70
Esophagus sample 130
nTPM: 157.9
Cell types%
Squamous epithelial cells:
35

Smooth muscle cells:
15

Skeletal muscle cells:
5

Other cell types:
45

overview
Male, age 38
Esophagus sample 131
nTPM: 109.3
Cell types%
Squamous epithelial cells:
60

Smooth muscle cells:
20

Other cell types:
20

overview
Male, age 76
Esophagus sample 132
nTPM: 96.2
Cell types%
Squamous epithelial cells:
45

Smooth muscle cells:
15

Other cell types:
40


ESOPHAGUS - GTEx RNA-seqi

RNA-Seq data generated by the Genotype-Tissue Expression (GTEx) project from human tissues is reported as mean nTPM. More information can be found on the GTEx portal.

Distribution across the dataset is visualized with box plots, shown as median and 25th and 75th percentiles. Points are displayed as outliers if they are above or below 1.5 times the interquartile range. nTPM values of the individual samples are presented next to the box plot.
Max subtype nTPMi

Max subtype nTPM is the value for the subtype with the largest average nTPM across the subtype samples.

85.4
GTEx sample id Sample description nTPM
Esophagus - Mucosa
Average nTPM: 85.4
Samples: 555

Max nTPM: 184.5
Min nTPM: 27.5
Std nTPM: 23.9
Median nTPM: 87.6
GTEX-15RIF-0826-SM-6M47C 20-29 years, male 184.5
GTEX-1N2EE-2426-SM-EXOIO 60-69 years, male 166.3
GTEX-13PVR-1826-SM-5Q5CC 60-69 years, female 160.7
GTEX-18QFQ-1026-SM-7LG6B 30-39 years, male 156.6
GTEX-15F5U-5010-SM-AHZ2D 40-49 years, male 150.3
GTEX-1RAZA-1326-SM-DPS12 20-29 years, male 146.4
GTEX-14PKV-1726-SM-6871U 20-29 years, female 138.4
GTEX-15SB6-0726-SM-6M48F 50-59 years, female 137.1
GTEX-1RAZR-1226-SM-E6CRD 40-49 years, male 135.6
GTEX-1N2DV-2026-SM-EV7BL 40-49 years, male 134.7
GTEX-1OKEX-1326-SM-E9J2U 60-69 years, male 131.8
GTEX-18D9B-2026-SM-7LT96 60-69 years, male 131.7
GTEX-12WSN-5013-SM-7P8P9 40-49 years, male 131.3
GTEX-W5WG-1626-SM-4LMKG 50-59 years, female 130.6
GTEX-14PJ5-0526-SM-664OE 60-69 years, female 129.6
GTEX-16A39-1026-SM-6LPJU 30-39 years, female 129.6
GTEX-1NSGN-2026-SM-DPRYM 50-59 years, male 128.6
GTEX-Y5V6-1026-SM-4VBS2 60-69 years, male 128.3
GTEX-1NUQO-1126-SM-DTX98 20-29 years, female 126.3
GTEX-1L5NE-1426-SM-DHXKV 50-59 years, male 126.2
GTEX-14PJ6-1026-SM-686ZB 60-69 years, female 126.0
GTEX-Y8E4-1726-SM-5LU9G 40-49 years, male 125.9
GTEX-1QP2A-1926-SM-EXOJ9 50-59 years, male 125.7
GTEX-148VI-1026-SM-5TDDJ 60-69 years, female 124.8
GTEX-16BQI-1526-SM-6LLIE 30-39 years, female 124.8
GTEX-1GF9U-0826-SM-7MXTZ 40-49 years, female 124.7
GTEX-ZTX8-0226-SM-5E44D 20-29 years, male 124.5
GTEX-WEY5-0926-SM-4LMI4 40-49 years, female 123.8
GTEX-18A66-1426-SM-7KFRT 60-69 years, male 123.5
GTEX-Y5LM-1026-SM-4VDSQ 40-49 years, female 122.5
GTEX-14E1K-1226-SM-5S2PD 50-59 years, male 121.5
GTEX-18D9A-0526-SM-7KFSW 30-39 years, female 120.7
GTEX-1K2DA-0626-SM-CGQGO 50-59 years, male 120.4
GTEX-TMMY-1126-SM-4DXSX 40-49 years, female 120.3
GTEX-1MCYP-1026-SM-DPRYB 20-29 years, female 119.8
GTEX-16NGA-1426-SM-718AC 40-49 years, female 119.6
GTEX-1C2JI-1126-SM-731FH 50-59 years, male 118.7
GTEX-1JKYR-2126-SM-CNNPC 20-29 years, male 118.6
GTEX-1F5PK-1526-SM-7MKGV 50-59 years, male 118.4
GTEX-14ICL-0526-SM-5RQJ6 30-39 years, male 118.3
GTEX-1C475-0926-SM-7MKFI 40-49 years, female 118.1
GTEX-1H1DE-1026-SM-9JGH6 20-29 years, male 117.6
GTEX-1AX9K-1126-SM-731DQ 50-59 years, male 117.5
GTEX-ZVT2-1326-SM-5E45H 50-59 years, female 117.4
GTEX-1S83E-0826-SM-EV7B7 40-49 years, male 117.4
GTEX-QV44-1126-SM-CL55C 50-59 years, male 116.6
GTEX-183FY-1526-SM-7IGOW 20-29 years, male 116.5
GTEX-14DAR-0826-SM-73KYJ 50-59 years, male 116.2
GTEX-1R7EU-0826-SM-DPRZL 60-69 years, male 116.1
GTEX-133LE-0626-SM-5IFFJ 20-29 years, female 115.9
GTEX-YEC4-1026-SM-9WG7N 40-49 years, male 115.7
GTEX-ZXES-1126-SM-5GZXN 30-39 years, female 115.6
GTEX-17MFQ-0526-SM-7KFTX 20-29 years, male 115.0
GTEX-18A7A-2326-SM-7KFRH 50-59 years, female 114.4
GTEX-18D9U-2126-SM-7LG4Y 40-49 years, male 114.4
GTEX-12WSL-1526-SM-5GCP8 50-59 years, male 114.2
GTEX-1R9K5-1526-SM-DPRZA 50-59 years, male 114.2
GTEX-1QP67-0726-SM-DPRY1 40-49 years, female 113.7
GTEX-OIZF-0626-SM-7MKHG 60-69 years, male 113.6
GTEX-QEL4-1426-SM-447AC 50-59 years, male 113.3
GTEX-1R9JW-1526-SM-DPRZK 30-39 years, female 113.3
GTEX-1IKOE-1526-SM-C1YSD 30-39 years, female 113.1
GTEX-13X6H-1326-SM-5LU42 50-59 years, female 113.0
GTEX-131XF-0826-SM-5GICG 60-69 years, male 112.7
GTEX-S32W-0926-SM-4AD5X 50-59 years, female 111.9
GTEX-14PJN-0526-SM-68724 30-39 years, male 111.5
GTEX-1CB4I-1026-SM-7MKFZ 50-59 years, male 110.7
GTEX-1AX8Z-5016-SM-AHZ2B 60-69 years, male 110.5
GTEX-Y3IK-1126-SM-51MSV 50-59 years, female 110.0
GTEX-11DXY-1426-SM-5N9CN 60-69 years, male 109.7
GTEX-1AMEY-0226-SM-7189Q 30-39 years, female 109.7
GTEX-13111-0826-SM-5LZV3 50-59 years, male 109.6
GTEX-1CB4E-1026-SM-793AB 60-69 years, male 109.6
GTEX-1F5PL-1726-SM-9QEGL 40-49 years, female 109.6
GTEX-V955-1126-SM-4JBH3 60-69 years, male 109.4
GTEX-1LG7Z-0926-SM-CXKYK 30-39 years, male 109.4
GTEX-TKQ1-0326-SM-4DXSM 30-39 years, male 109.3
GTEX-WHPG-1126-SM-4M1XT 50-59 years, male 109.2
GTEX-1QW4Y-0526-SM-EAZ3V 30-39 years, male 109.2
GTEX-ZLWG-1326-SM-DNZYZ 50-59 years, female 109.0
GTEX-S7SF-0926-SM-4AD4M 20-29 years, female 108.4
GTEX-1MCC2-1926-SM-DHXJR 30-39 years, female 108.4
GTEX-15DCE-1326-SM-6LPJL 20-29 years, male 108.3
GTEX-1B97I-0926-SM-731DZ 40-49 years, male 108.3
GTEX-1I4MK-0426-SM-B2LWQ 50-59 years, female 108.1
GTEX-1J1R8-0326-SM-AHZ3D 40-49 years, male 107.9
GTEX-12WSK-1126-SM-5LZV8 40-49 years, female 107.6
GTEX-1B8KZ-0726-SM-7938W 50-59 years, male 107.5
GTEX-1LVAN-2326-SM-CNNPY 50-59 years, female 107.5
GTEX-Q2AI-0626-SM-48TZU 40-49 years, male 107.4
GTEX-1OJC3-0826-SM-DPRYU 20-29 years, male 107.2
GTEX-WFG7-1126-SM-4LMK3 20-29 years, male 107.1
GTEX-145LV-1326-SM-5S2QI 50-59 years, male 106.9
GTEX-WOFM-0626-SM-4OOS3 20-29 years, male 106.9
GTEX-1KANA-0626-SM-D4P3I 20-29 years, male 106.9
GTEX-ZLFU-1126-SM-DO11K 40-49 years, male 106.8
GTEX-11LCK-1726-SM-5S2OQ 30-39 years, male 106.6
GTEX-1GN1W-2226-SM-9JGI5 50-59 years, female 106.5
GTEX-XBEW-1326-SM-4AT63 40-49 years, male 105.9
GTEX-1RAZQ-1726-SM-EAZ4T 30-39 years, male 105.9
GTEX-1MJIX-0826-SM-DTXEO 40-49 years, male 105.8
GTEX-Y5V5-1626-SM-4VDSG 60-69 years, female 105.6
GTEX-1MGNQ-1626-SM-EAZ4Z 40-49 years, male 105.5
GTEX-1QCLZ-1626-SM-E9U5R 60-69 years, female 105.5
GTEX-1LNCM-0626-SM-EV7AI 50-59 years, female 105.4
GTEX-13D11-1926-SM-5IFGB 50-59 years, female 105.3
GTEX-V1D1-1026-SM-4JBHE 50-59 years, male 105.1
GTEX-1PPH8-1626-SM-E6CQP 20-29 years, male 105.1
GTEX-RWS6-0826-SM-47JXF 60-69 years, female 105.0
GTEX-11EM3-0826-SM-5N9CC 20-29 years, female 104.8
GTEX-13OVG-0626-SM-5IFEP 60-69 years, male 104.6
GTEX-1R9PM-0926-SM-DPRYA 20-29 years, male 104.5
GTEX-13FTX-0526-SM-5IFGS 20-29 years, female 104.4
GTEX-139T6-0626-SM-5IFF9 50-59 years, male 104.3
GTEX-OIZH-0626-SM-3NB1L 50-59 years, male 104.3
GTEX-15SHU-1426-SM-6LPIN 40-49 years, female 104.2
GTEX-XMK1-1326-SM-4B65Q 40-49 years, male 103.8
GTEX-13NYB-0926-SM-5IFFA 40-49 years, male 103.6
GTEX-1LGRB-1626-SM-CNNR7 50-59 years, female 103.5
GTEX-11P7K-1326-SM-5BC5G 30-39 years, male 103.4
GTEX-14AS3-0626-SM-5QGQD 40-49 years, female 103.4
GTEX-1F75I-1726-SM-7MKGW 40-49 years, male 103.4
GTEX-1JMPZ-2026-SM-C1YR8 30-39 years, male 103.2
GTEX-1HCUA-1426-SM-9WPP7 50-59 years, female 103.1
GTEX-1AX9J-1826-SM-731FM 60-69 years, male 103.0
GTEX-U4B1-0826-SM-4DXTW 40-49 years, male 102.9
GTEX-111YS-0926-SM-5EGGI 60-69 years, male 102.6
GTEX-1399U-1026-SM-5J1OC 50-59 years, female 102.6
GTEX-YEC3-2526-SM-CXZIH 50-59 years, male 102.6
GTEX-1LGOU-0526-SM-D3LAO 20-29 years, female 102.5
GTEX-1IDJD-1626-SM-C1YRC 30-39 years, male 102.4
GTEX-145ME-5004-SM-7MGXP 40-49 years, female 102.3
GTEX-11NSD-1126-SM-5N9BQ 20-29 years, male 102.1
GTEX-S341-0526-SM-4AD5U 40-49 years, female 101.8
GTEX-ZYY3-1526-SM-5SIA9 60-69 years, female 101.8
GTEX-1MA7W-0426-SM-E9TJ5 20-29 years, female 101.8
GTEX-14B4R-0326-SM-5TDDP 30-39 years, male 101.5
GTEX-18A67-2426-SM-7LT95 50-59 years, male 101.5
GTEX-T8EM-0526-SM-4DM64 40-49 years, male 101.5
GTEX-14E6E-0726-SM-5S2R3 30-39 years, male 101.4
GTEX-PSDG-1326-SM-48TD2 50-59 years, male 101.4
GTEX-1JKYN-1526-SM-CGQGA 30-39 years, male 101.4
GTEX-PWCY-0726-SM-48TCS 20-29 years, female 101.2
GTEX-15EU6-1626-SM-6LPKF 50-59 years, male 101.0
GTEX-XYKS-1526-SM-4BRUP 60-69 years, female 101.0
GTEX-14PJ3-0626-SM-6UGC5 50-59 years, male 100.7
GTEX-ZDTT-1326-SM-4WKFH 60-69 years, male 100.6
GTEX-1122O-1726-SM-5GICM 60-69 years, female 100.5
GTEX-RU1J-0326-SM-46MUM 20-29 years, female 100.4
GTEX-13O21-0626-SM-5IJDI 50-59 years, male 100.3
GTEX-SNMC-0526-SM-4DM69 20-29 years, male 100.2
GTEX-1QCLY-1526-SM-DPRXX 30-39 years, male 99.7
GTEX-1M5QR-0726-SM-DHXK7 40-49 years, male 99.6
GTEX-14H4A-1626-SM-5SI69 40-49 years, female 99.5
GTEX-14PJ4-1526-SM-664OA 60-69 years, male 99.5
GTEX-144GN-0626-SM-5O9B2 50-59 years, male 99.4
GTEX-X3Y1-1326-SM-4PQZB 40-49 years, male 99.4
GTEX-1AMFI-0226-SM-731D5 50-59 years, female 99.2
GTEX-OIZI-1426-SM-3NB1T 40-49 years, male 99.2
GTEX-1JK1U-1726-SM-CNNPM 60-69 years, male 99.2
GTEX-1ICG6-1926-SM-ARU7L 70-79 years, female 99.1
GTEX-OXRK-1326-SM-3NB1A 50-59 years, female 99.0
GTEX-RU72-0726-SM-46MUW 50-59 years, female 99.0
GTEX-U3ZH-1026-SM-4DXUZ 30-39 years, male 99.0
GTEX-17HHE-0926-SM-7938K 50-59 years, male 98.9
GTEX-Z9EW-0526-SM-5HL8S 40-49 years, male 98.9
GTEX-1CB4F-1526-SM-7MKFM 60-69 years, male 98.7
GTEX-ZT9W-1326-SM-51MTB 50-59 years, male 98.7
GTEX-YB5E-0926-SM-4WWDQ 40-49 years, male 98.5
GTEX-1HSMQ-2026-SM-B2LY1 50-59 years, male 98.5
GTEX-13FTW-1626-SM-5KM4N 40-49 years, male 98.4
GTEX-146FQ-1026-SM-5LU8I 30-39 years, male 98.4
GTEX-145MO-1426-SM-DTX9W 60-69 years, male 98.1
GTEX-ZG7Y-1126-SM-4WWEZ 50-59 years, male 97.9
GTEX-169BO-0526-SM-793AK 50-59 years, male 97.8
GTEX-14ICK-2026-SM-6AJB2 40-49 years, male 97.7
GTEX-11P81-0826-SM-5P9GR 30-39 years, female 97.5
GTEX-15RIE-0826-SM-6M47X 60-69 years, male 97.4
GTEX-XV7Q-1126-SM-4BRVS 40-49 years, female 97.2
GTEX-WYVS-0726-SM-4ONDO 40-49 years, female 97.0
GTEX-13CF3-1626-SM-5IFG9 60-69 years, female 96.9
GTEX-145LT-1126-SM-5LUA1 40-49 years, male 96.7
GTEX-WXYG-1226-SM-4ONCJ 50-59 years, female 96.7
GTEX-16XZY-0926-SM-7938M 70-79 years, male 96.6
GTEX-WFG8-1226-SM-4V6EI 20-29 years, male 96.5
GTEX-ZF2S-1226-SM-4WWAX 50-59 years, female 96.5
GTEX-ZGAY-1126-SM-4WWBS 40-49 years, female 96.4
GTEX-1QP28-1826-SM-EAZ4L 50-59 years, female 96.3
GTEX-178AV-0526-SM-6LPJH 40-49 years, male 96.2
GTEX-1EX96-2226-SM-7MKGT 50-59 years, male 96.2
GTEX-1HGF4-0926-SM-9WPP8 60-69 years, male 96.1
GTEX-1LBAC-1226-SM-DHXK1 20-29 years, male 96.1
GTEX-12WSG-5007-SM-7DUGZ 50-59 years, female 95.9
GTEX-145MF-1426-SM-5O9B6 50-59 years, male 95.9
GTEX-1KANB-1826-SM-DHXJU 50-59 years, male 95.8
GTEX-1HKZK-1426-SM-A96U1 40-49 years, male 95.7
GTEX-Y8LW-0726-SM-5IFI1 50-59 years, female 95.6
GTEX-1I6K7-1426-SM-B2LXP 40-49 years, male 95.6
GTEX-15RJE-0926-SM-6LLHZ 40-49 years, male 95.2
GTEX-TML8-1526-SM-4DXUX 40-49 years, female 95.1
GTEX-1A3MV-1326-SM-7LG6C 30-39 years, male 95.0
GTEX-X15G-0826-SM-4PQZD 50-59 years, female 95.0
GTEX-ZA64-0626-SM-5HL9O 20-29 years, male 94.9
GTEX-13W3W-1626-SM-5LU35 60-69 years, female 94.7
GTEX-14JG6-0926-SM-6871Y 30-39 years, female 94.7
GTEX-1HC8U-1526-SM-9WPO4 40-49 years, female 94.7
GTEX-ZAB5-0926-SM-5CVMV 50-59 years, male 94.5
GTEX-146FH-1726-SM-5QGQ2 50-59 years, female 94.4
GTEX-U3ZN-1726-SM-4DXUQ 30-39 years, female 94.4
GTEX-WQUQ-1626-SM-4OOSH 60-69 years, male 94.4
GTEX-1PFEY-0826-SM-E9U6A 30-39 years, male 94.2
GTEX-ZT9X-0526-SM-5GCOP 40-49 years, male 94.1
GTEX-WHSB-0426-SM-4M1XI 50-59 years, male 94.0
GTEX-1H11D-2126-SM-9OSXM 40-49 years, male 94.0
GTEX-ZVP2-1326-SM-57WCE 50-59 years, male 93.9
GTEX-1LVAM-1126-SM-DHXKP 50-59 years, female 93.9
GTEX-13OVK-1126-SM-6PAMR 40-49 years, male 93.6
GTEX-ZTSS-0626-SM-59867 40-49 years, male 93.3
GTEX-139YR-1726-SM-5IFFK 50-59 years, male 93.2
GTEX-15ER7-2126-SM-7939E 20-29 years, female 93.2
GTEX-1QPFJ-1226-SM-EAZ3M 30-39 years, female 93.1
GTEX-NFK9-1126-SM-3LK78 40-49 years, male 92.9
GTEX-WHWD-0926-SM-4OORY 50-59 years, male 92.9
GTEX-WRHK-0526-SM-4MVOF 20-29 years, female 92.9
GTEX-12ZZX-1326-SM-5DUWI 40-49 years, female 92.8
GTEX-1H23P-1426-SM-9JGH5 60-69 years, male 92.8
GTEX-T5JW-1326-SM-4DM5G 20-29 years, female 92.3
GTEX-WFJO-0826-SM-4LVM5 30-39 years, male 92.1
GTEX-UPJH-1026-SM-EAZB2 50-59 years, male 92.1
GTEX-11VI4-0526-SM-5EQ48 40-49 years, female 92.0
GTEX-1F88F-1126-SM-7MKHL 60-69 years, female 92.0
GTEX-132QS-1426-SM-5P9GE 60-69 years, male 91.9
GTEX-ZDYS-0826-SM-4WWCR 50-59 years, male 91.9
GTEX-1KXAM-0826-SM-CXZK9 60-69 years, male 91.7
GTEX-144FL-2726-SM-5O98Z 50-59 years, male 91.6
GTEX-RM2N-0726-SM-48FD5 50-59 years, male 91.6
GTEX-144GM-1426-SM-5LU31 20-29 years, male 91.4
GTEX-ZF29-1326-SM-DNZYV 60-69 years, female 91.4
GTEX-13U4I-1126-SM-5LU3S 40-49 years, female 91.2
GTEX-1IDJF-1226-SM-C1YPX 20-29 years, male 91.1
GTEX-1J8QM-1926-SM-AHZ3Z 60-69 years, female 91.1
GTEX-WFON-0826-SM-4LVMI 40-49 years, male 90.9
GTEX-ZEX8-1426-SM-4WKHQ 50-59 years, male 90.9
GTEX-11I78-1526-SM-5A5K7 50-59 years, female 90.8
GTEX-PWN1-0626-SM-48TDT 40-49 years, female 90.8
GTEX-11DXZ-1226-SM-5H11L 50-59 years, male 90.7
GTEX-UJHI-0826-SM-4IHLM 50-59 years, female 90.6
GTEX-Y111-1626-SM-57WCY 50-59 years, male 90.6
GTEX-1EMGI-1926-SM-7938Y 60-69 years, male 90.5
GTEX-P4PQ-0626-SM-3NMCU 60-69 years, male 90.5
GTEX-X4LF-0626-SM-4QASB 50-59 years, male 90.3
GTEX-1QP9N-0926-SM-E9U5S 30-39 years, male 90.3
GTEX-12C56-1226-SM-5FQSU 20-29 years, male 90.2
GTEX-QDVN-1026-SM-48TZA 50-59 years, male 90.0
GTEX-15EOM-5013-SM-7MKF9 20-29 years, female 89.9
GTEX-1GL5R-1526-SM-7MKHO 50-59 years, male 89.9
GTEX-147F3-0826-SM-5NQA7 50-59 years, female 89.8
GTEX-UPK5-1226-SM-4IHL8 40-49 years, male 89.6
GTEX-14PHY-0626-SM-664NN 60-69 years, female 89.4
GTEX-SUCS-0726-SM-4DM7J 70-79 years, male 89.3
GTEX-16AAH-0726-SM-793A9 50-59 years, male 89.1
GTEX-11P82-0526-SM-5986P 20-29 years, male 88.9
GTEX-11DXX-1126-SM-5GZZK 60-69 years, female 88.8
GTEX-1H3VY-2026-SM-9JGHK 50-59 years, male 88.7
GTEX-16MTA-0826-SM-6LLIC 50-59 years, male 88.6
GTEX-T6MO-0526-SM-4DM6R 40-49 years, female 88.6
GTEX-17EUY-1426-SM-7938X 20-29 years, male 88.5
GTEX-1B8KE-1826-SM-731FD 50-59 years, male 88.5
GTEX-11EMC-2226-SM-5A5JW 60-69 years, female 88.4
GTEX-111CU-0726-SM-5GZYD 50-59 years, male 88.2
GTEX-1399S-1326-SM-5P9GH 30-39 years, female 88.2
GTEX-13QBU-1026-SM-5LU3R 40-49 years, female 88.2
GTEX-1AYD5-0926-SM-793AF 50-59 years, male 88.1
GTEX-1KAFJ-0626-SM-D3L8X 50-59 years, male 88.1
GTEX-ZY6K-0626-SM-59HJL 50-59 years, male 88.0
GTEX-SE5C-1226-SM-4BRWV 40-49 years, female 87.8
GTEX-1HB9E-1526-SM-D3LA6 50-59 years, male 87.8
GTEX-17HGU-1426-SM-7938G 50-59 years, male 87.6
GTEX-17F98-1726-SM-7938O 40-49 years, female 87.4
GTEX-S95S-0426-SM-4B64I 60-69 years, male 87.3
GTEX-XQ8I-1526-SM-4BOOH 50-59 years, male 87.0
GTEX-YF7O-0926-SM-5IFIF 50-59 years, male 86.9
GTEX-1PIGE-0926-SM-E9U5Z 20-29 years, male 86.8
GTEX-13SLX-1726-SM-5Q5E5 50-59 years, female 86.5
GTEX-ZLV1-0526-SM-4WWD4 60-69 years, female 86.3
GTEX-ZYFG-1126-SM-5GICY 60-69 years, female 86.3
GTEX-131XG-1026-SM-5GCMX 50-59 years, female 85.9
GTEX-1CB4G-1326-SM-7MKFP 60-69 years, male 85.7
GTEX-PLZ6-0526-SM-3P61C 30-39 years, male 85.7
GTEX-U3ZM-0526-SM-4DXTB 40-49 years, male 85.7
GTEX-1HBPI-0626-SM-9WPP4 50-59 years, male 85.7
GTEX-1I1GQ-1726-SM-B2LWZ 50-59 years, male 85.3
GTEX-17KNJ-1326-SM-7KFTG 50-59 years, male 84.9
GTEX-WYJK-1926-SM-4ONDP 50-59 years, male 84.7
GTEX-18465-1126-SM-7LG6E 50-59 years, male 84.5
GTEX-P78B-1026-SM-3NMC4 40-49 years, female 84.2
GTEX-XUZC-0426-SM-4BOPE 30-39 years, female 84.0
GTEX-TSE9-1226-SM-4DXTM 60-69 years, female 83.8
GTEX-1J1OQ-2526-SM-AHZ3Q 40-49 years, female 83.8
GTEX-1JMQJ-1226-SM-D3L97 50-59 years, male 83.8
GTEX-ZPCL-1426-SM-57WEC 60-69 years, female 83.6
GTEX-UJMC-0926-SM-4IHLK 50-59 years, male 83.5
GTEX-1B97J-1026-SM-7MXTE 50-59 years, female 83.1
GTEX-15UF7-0926-SM-6M46F 40-49 years, male 83.0
GTEX-1GMR3-1526-SM-9JGGL 40-49 years, male 83.0
GTEX-R55G-1026-SM-48FDI 40-49 years, female 82.6
GTEX-13FHO-1726-SM-DPRZX 60-69 years, male 82.5
GTEX-QCQG-0626-SM-48U21 50-59 years, female 82.3
GTEX-13S86-0826-SM-5SI6J 40-49 years, male 82.1
GTEX-XBED-1026-SM-48TCB 60-69 years, male 82.0
GTEX-1JMPY-0826-SM-AHZ4A 30-39 years, male 82.0
GTEX-RUSQ-0826-SM-47JWW 50-59 years, male 81.8
GTEX-S4Q7-0626-SM-4AD5M 20-29 years, male 81.8
GTEX-16MT8-1326-SM-6M47R 60-69 years, female 81.6
GTEX-YB5K-0826-SM-5YYB7 40-49 years, female 81.5
GTEX-N7MS-1225-SM-3LK5G 60-69 years, male 81.4
GTEX-13RTK-0526-SM-5S2QF 20-29 years, male 81.3
GTEX-13X6K-2126-SM-5O9D4 60-69 years, female 81.3
GTEX-OIZG-1026-SM-3LK5X 50-59 years, male 81.0
GTEX-S4P3-0426-SM-4AD56 50-59 years, female 80.9
GTEX-14PK6-1326-SM-686ZE 70-79 years, female 80.8
GTEX-S33H-0826-SM-4AD5Y 30-39 years, male 80.7
GTEX-1211K-0926-SM-5FQTL 60-69 years, female 80.4
GTEX-XGQ4-1526-SM-4AT6H 50-59 years, male 80.4
GTEX-13OVI-2626-SM-5KM4T 60-69 years, female 80.2
GTEX-1HCU8-2226-SM-9WPOV 60-69 years, female 80.1
GTEX-QEG5-1426-SM-447AS 20-29 years, male 80.0
GTEX-12KS4-0926-SM-5BC5S 30-39 years, male 79.8
GTEX-QLQW-0526-SM-4R1KS 30-39 years, male 79.8
GTEX-1B996-1826-SM-7MGY6 60-69 years, male 79.8
GTEX-ZPU1-1426-SM-4WWFU 40-49 years, male 79.3
GTEX-1LSVX-1226-SM-DHXJN 60-69 years, male 79.0
GTEX-14BMU-0926-SM-5S2QB 20-29 years, female 78.8
GTEX-RTLS-1126-SM-46MUQ 60-69 years, female 78.5
GTEX-1C64O-1826-SM-7DHM4 60-69 years, male 78.4
GTEX-ZAK1-1526-SM-5S2OV 50-59 years, female 78.4
GTEX-Y3I4-1226-SM-4TT8N 50-59 years, male 78.3
GTEX-Y9LG-0626-SM-4WWDH 30-39 years, male 78.1
GTEX-146FR-0426-SM-5SI97 60-69 years, female 78.0
GTEX-OXRL-0626-SM-3NM9C 50-59 years, male 77.9
GTEX-1S82Y-1226-SM-EV7BD 40-49 years, male 77.9
GTEX-15ETS-1926-SM-7KUN5 40-49 years, female 77.8
GTEX-1399R-0826-SM-5IJEL 30-39 years, male 77.7
GTEX-P4QS-0626-SM-3NMD1 60-69 years, male 77.6
GTEX-RN64-1026-SM-48FDX 50-59 years, male 77.6
GTEX-1HSGN-1626-SM-A96U2 40-49 years, female 77.5
GTEX-145MN-1026-SM-5NQ9G 30-39 years, male 77.4
GTEX-1GMR2-1526-SM-7MXV6 50-59 years, male 77.3
GTEX-1GPI7-1026-SM-7MGY2 20-29 years, male 77.3
GTEX-12BJ1-1626-SM-5HL8Y 60-69 years, male 77.2
GTEX-ZAB4-1126-SM-5HL86 40-49 years, male 77.2
GTEX-1K2DU-1726-SM-EV79S 20-29 years, male 77.2
GTEX-1GN73-1926-SM-9JGGS 60-69 years, male 77.1
GTEX-13O1R-1326-SM-5IJF5 60-69 years, male 76.9
GTEX-12WSD-1826-SM-5GCOA 60-69 years, female 76.8
GTEX-XXEK-0326-SM-4BRVV 50-59 years, male 76.7
GTEX-QESD-0826-SM-47J4G 20-29 years, male 76.5
GTEX-11GSP-1826-SM-5N9DQ 60-69 years, female 76.4
GTEX-11TT1-0526-SM-5P9JO 20-29 years, male 76.3
GTEX-Q2AG-1326-SM-43V8K 40-49 years, female 76.3
GTEX-R55C-0826-SM-48FCL 40-49 years, male 76.1
GTEX-ZTPG-1626-SM-5DUX2 20-29 years, female 76.1
GTEX-14PJM-1526-SM-664NY 50-59 years, female 75.8
GTEX-OOBK-0625-SM-3LK5P 40-49 years, male 75.8
GTEX-1IY9M-1626-SM-AHZ39 60-69 years, male 75.8
GTEX-YFC4-1226-SM-5LU9R 40-49 years, female 75.6
GTEX-1I1GS-2126-SM-ARU7G 60-69 years, male 75.5
GTEX-P4PP-0626-SM-3NM9X 30-39 years, female 75.3
GTEX-WH7G-0926-SM-4LVMJ 40-49 years, male 75.1
GTEX-1497J-2726-SM-5SI9W 60-69 years, male 75.0
GTEX-1RDX4-2126-SM-EV7B3 50-59 years, female 75.0
GTEX-QDVJ-0726-SM-48U1W 50-59 years, male 74.9
GTEX-11EQ9-0726-SM-5A5K2 30-39 years, male 74.8
GTEX-R55E-1326-SM-48FCR 20-29 years, male 74.8
GTEX-16NPX-1626-SM-6LLI5 50-59 years, male 74.6
GTEX-ZZ64-0226-SM-5E44X 20-29 years, male 74.5
GTEX-1IDJH-2026-SM-CNNQX 70-79 years, male 74.5
GTEX-13PL7-0226-SM-731DT 60-69 years, female 74.3
GTEX-ZE9C-1126-SM-4WWBD 60-69 years, male 74.3
GTEX-Y114-0926-SM-4TT7J 50-59 years, female 74.2
GTEX-1HCVE-1226-SM-9WPPH 50-59 years, male 74.2
GTEX-1IKK5-1326-SM-AHZ2X 60-69 years, male 74.1
GTEX-1C6VQ-1826-SM-7EWEH 50-59 years, male 74.0
GTEX-12696-1326-SM-5FQTJ 60-69 years, male 73.9
GTEX-17F9E-1926-SM-7IGQF 50-59 years, male 73.9
GTEX-1N2DW-1426-SM-EV7AZ 50-59 years, male 73.9
GTEX-ZC5H-1326-SM-5HL7E 40-49 years, female 73.8
GTEX-1CB4J-2426-SM-7MXVC 60-69 years, male 73.7
GTEX-13FH7-0526-SM-5IJF8 50-59 years, female 73.4
GTEX-NPJ8-1926-SM-3MJGB 40-49 years, male 73.1
GTEX-ZQUD-0426-SM-57WFR 30-39 years, male 73.1
GTEX-132AR-2226-SM-5J2NT 50-59 years, female 73.0
GTEX-T5JC-1726-SM-4DM6U 20-29 years, male 72.9
GTEX-R53T-1126-SM-48FD4 50-59 years, female 72.7
GTEX-144GO-2726-SM-5O9A2 60-69 years, male 72.6
GTEX-13FLV-1126-SM-5J2NO 50-59 years, male 72.4
GTEX-11ZU8-1526-SM-5EGHX 60-69 years, male 72.3
GTEX-S3XE-0926-SM-4AD4S 50-59 years, male 72.2
GTEX-XLM4-2326-SM-4AT5E 60-69 years, male 72.2
GTEX-PLZ4-1626-SM-3P618 50-59 years, female 71.3
GTEX-ZVE2-1326-SM-5NQ94 50-59 years, male 71.3
GTEX-131XE-1426-SM-5HL7V 50-59 years, male 70.9
GTEX-1H1ZS-1526-SM-9OSXR 70-79 years, male 70.9
GTEX-1I1GU-1426-SM-B2LX3 40-49 years, male 70.9
GTEX-1J8EW-1326-SM-AHZ3S 60-69 years, female 70.9
GTEX-XQ3S-1126-SM-4BOPK 20-29 years, male 70.8
GTEX-RNOR-1226-SM-48FDQ 50-59 years, female 70.7
GTEX-T2IS-0826-SM-4DM6L 20-29 years, female 70.5
GTEX-1JMQK-2026-SM-C1YQN 60-69 years, male 70.5
GTEX-QEG4-0726-SM-CNNRF 30-39 years, male 70.5
GTEX-14C38-2126-SM-5RQJO 50-59 years, male 70.3
GTEX-P4QT-0626-SM-3NMCP 50-59 years, female 70.2
GTEX-15DYW-1826-SM-6LPIY 60-69 years, female 70.0
GTEX-1GN1U-1826-SM-9JGH2 50-59 years, female 69.7
GTEX-R55D-1126-SM-48FEB 50-59 years, male 69.5
GTEX-QLQ7-0926-SM-447BC 60-69 years, male 69.4
GTEX-VJYA-0726-SM-4KL1T 60-69 years, male 69.3
GTEX-WK11-1026-SM-4OOS8 50-59 years, male 69.3
GTEX-ZYT6-1126-SM-5GZYR 30-39 years, male 69.3
GTEX-139UW-1126-SM-5IJEJ 60-69 years, male 68.9
GTEX-O5YV-1026-SM-3LK72 60-69 years, female 68.9
GTEX-SNOS-0626-SM-4DM5F 40-49 years, male 68.9
GTEX-1QP29-2126-SM-E6CPZ 50-59 years, male 68.4
GTEX-11ZTS-2626-SM-5EGIC 60-69 years, female 68.3
GTEX-1212Z-2126-SM-5FQTM 60-69 years, male 68.1
GTEX-13O61-0926-SM-5IFFE 60-69 years, male 67.7
GTEX-183WM-1726-SM-7KFT5 70-79 years, female 67.6
GTEX-Q2AH-0826-SM-48TZN 40-49 years, male 67.6
GTEX-1GTWX-1326-SM-9JGHU 60-69 years, male 67.5
GTEX-U8XE-1726-SM-4E3IF 30-39 years, male 67.4
GTEX-13X6I-1026-SM-5LU4C 60-69 years, male 67.3
GTEX-1LG7Y-1726-SM-EV7AR 50-59 years, male 67.3
GTEX-17F96-2526-SM-7DHL3 70-79 years, male 67.1
GTEX-15RJ7-0926-SM-6LPJO 40-49 years, male 66.8
GTEX-VUSG-1226-SM-4KKZF 50-59 years, male 66.7
GTEX-13PVQ-1726-SM-5IFF3 50-59 years, male 66.6
GTEX-15DCD-1626-SM-6AJBH 70-79 years, female 66.4
GTEX-X4EO-1226-SM-4QARR 60-69 years, female 66.4
GTEX-13OVJ-1226-SM-5L3HA 50-59 years, female 66.3
GTEX-1HCU6-1326-SM-A96TZ 60-69 years, female 66.1
GTEX-13NZB-1226-SM-5J2MW 30-39 years, male 66.0
GTEX-ZYW4-1326-SM-5E45N 60-69 years, male 65.9
GTEX-1K9T9-2026-SM-CXZK3 50-59 years, female 65.8
GTEX-14JIY-0926-SM-6871D 60-69 years, male 65.7
GTEX-PLZ5-0926-SM-3TW8L 50-59 years, male 65.7
GTEX-11ONC-1526-SM-5GU6S 60-69 years, male 65.6
GTEX-ZYVF-2226-SM-5GIDD 50-59 years, female 65.5
GTEX-1HCU7-2126-SM-A96SG 50-59 years, male 65.1
GTEX-13OW8-2326-SM-5L3I9 60-69 years, male 65.0
GTEX-11DZ1-2026-SM-5A5KG 50-59 years, male 64.9
GTEX-11DYG-1326-SM-5N9DO 60-69 years, male 64.8
GTEX-OHPN-1026-SM-E9TI8 60-69 years, female 64.8
GTEX-WHSE-1526-SM-4M1XH 20-29 years, male 64.7
GTEX-1EKGG-1726-SM-7MXUP 60-69 years, male 64.7
GTEX-11XUK-0826-SM-5GU6P 40-49 years, female 64.1
GTEX-1R9K4-1926-SM-DPRZW 60-69 years, male 63.7
GTEX-132Q8-1826-SM-5EGIY 60-69 years, male 63.3
GTEX-ZF3C-1626-SM-4WWB4 50-59 years, female 62.8
GTEX-145LU-0926-SM-79OJL 50-59 years, male 62.1
GTEX-QVUS-0626-SM-447CC 60-69 years, female 62.1
GTEX-17EVQ-1926-SM-7IGOF 70-79 years, male 61.9
GTEX-1BAJH-2026-SM-7P8OZ 70-79 years, male 61.0
GTEX-1HSKV-2426-SM-A8N8K 60-69 years, male 61.0
GTEX-17JCI-1226-SM-793D9 60-69 years, female 60.9
GTEX-1CAMQ-2726-SM-7MKGD 40-49 years, male 60.9
GTEX-14BIN-2726-SM-5RQIE 50-59 years, female 60.3
GTEX-1I1CD-1726-SM-A9G3P 60-69 years, female 60.1
GTEX-139TU-1226-SM-5J2NL 60-69 years, male 59.8
GTEX-13G51-0926-SM-5IFFU 60-69 years, male 59.7
GTEX-1399Q-1126-SM-5P9JA 40-49 years, male 59.4
GTEX-1EU9M-2326-SM-7MKGS 60-69 years, male 59.4
GTEX-PVOW-1626-SM-48TC9 40-49 years, male 59.4
GTEX-1H3NZ-1326-SM-9JGHI 60-69 years, male 58.9
GTEX-ZAJG-1326-SM-5S2NV 50-59 years, female 58.4
GTEX-131YS-1426-SM-5IJF7 60-69 years, female 58.3
GTEX-15UF6-2326-SM-6M465 70-79 years, female 58.1
GTEX-N7MT-0326-SM-48TDP 60-69 years, female 57.5
GTEX-1PPGY-1726-SM-EVR3S 60-69 years, male 57.4
GTEX-R3RS-1326-SM-48FE7 40-49 years, female 56.6
GTEX-12WSA-1426-SM-5EGJU 60-69 years, male 56.3
GTEX-ZUA1-1226-SM-5NQ6O 40-49 years, male 56.2
GTEX-1I1GP-1026-SM-C1YRZ 50-59 years, male 56.0
GTEX-1RAZS-2626-SM-EV79C 50-59 years, male 55.8
GTEX-14DAQ-1426-SM-5RQJD 60-69 years, female 55.5
GTEX-1A32A-1826-SM-72D5G 50-59 years, female 54.8
GTEX-REY6-1326-SM-48FDO 60-69 years, male 54.7
GTEX-WVLH-1426-SM-4MVNX 50-59 years, male 54.6
GTEX-1B933-2026-SM-7EWFC 50-59 years, female 54.2
GTEX-X585-1226-SM-46MW7 50-59 years, male 54.1
GTEX-1CB4H-1526-SM-7MXU4 60-69 years, female 53.8
GTEX-14BIM-1326-SM-7EWD1 60-69 years, female 53.1
GTEX-1MA7X-0726-SM-EV7AB 60-69 years, male 53.1
GTEX-18A6Q-1226-SM-7KFS9 60-69 years, male 53.0
GTEX-13QJ3-1726-SM-5RQK9 50-59 years, male 52.7
GTEX-1A8FM-1526-SM-7MXTA 50-59 years, female 52.4
GTEX-14A6H-1326-SM-5NQBC 30-39 years, male 52.3
GTEX-1AX9I-1426-SM-7DHM8 60-69 years, male 52.1
GTEX-11NUK-1326-SM-5P9GN 50-59 years, male 51.8
GTEX-YECK-1626-SM-5IFHQ 60-69 years, male 51.6
GTEX-1I1GV-2226-SM-ARU7E 60-69 years, male 51.3
GTEX-T2YK-1326-SM-4DM6S 50-59 years, male 51.1
GTEX-OXRN-1726-SM-3NM9B 50-59 years, male 50.7
GTEX-ZZPT-1426-SM-5N9C5 50-59 years, male 50.7
GTEX-1HFI6-1226-SM-A96SK 40-49 years, male 50.7
GTEX-1LB8K-1326-SM-CXZKB 50-59 years, male 50.7
GTEX-12ZZY-1426-SM-5N9EI 60-69 years, male 50.6
GTEX-1RLM8-0726-SM-E6CRH 50-59 years, male 50.3
GTEX-XK95-1026-SM-4GIDV 40-49 years, male 50.2
GTEX-13YAN-1926-SM-7EPH9 60-69 years, male 49.9
GTEX-1H1DG-1226-SM-9JGH3 70-79 years, male 49.9
GTEX-13O3Q-0826-SM-5IFGF 50-59 years, male 49.8
GTEX-ZYFC-1626-SM-5N9EU 50-59 years, male 49.0
GTEX-OXRP-0926-SM-48TC1 60-69 years, female 48.9
GTEX-11EI6-1526-SM-5P9GL 60-69 years, male 48.7
GTEX-1JMLX-2326-SM-CXZJP 50-59 years, male 48.7
GTEX-13JVG-2026-SM-5KM1N 60-69 years, male 48.5
GTEX-1F52S-1426-SM-7P8PU 60-69 years, female 48.2
GTEX-1E1VI-1526-SM-7IGQ2 50-59 years, male 47.9
GTEX-1LSNL-2226-SM-DHXKM 50-59 years, male 47.8
GTEX-1QEPI-1826-SM-EAZ3J 60-69 years, female 47.8
GTEX-14C5O-1626-SM-73KYH 60-69 years, male 47.6
GTEX-1EH9U-2426-SM-7EWFG 60-69 years, male 47.5
GTEX-ZV68-0926-SM-59HK7 50-59 years, female 47.5
GTEX-1EWIQ-1526-SM-79OO7 70-79 years, female 46.9
GTEX-R45C-1226-SM-48FEE 60-69 years, female 46.7
GTEX-17HII-1526-SM-9OSVD 50-59 years, male 46.3
GTEX-12ZZW-1726-SM-5DUVD 50-59 years, male 46.2
GTEX-SJXC-1426-SM-EYYVB 60-69 years, male 45.8
GTEX-1GMR8-1826-SM-9WYUE 50-59 years, female 44.5
GTEX-1HBPH-1126-SM-A96TU 40-49 years, female 44.5
GTEX-1KD4Q-1126-SM-CXZKK 40-49 years, male 44.4
GTEX-YJ89-1526-SM-5P9IR 60-69 years, male 44.0
GTEX-1I1GR-1326-SM-ARU7B 60-69 years, male 43.5
GTEX-1EN7A-1226-SM-7MGX9 40-49 years, male 43.4
GTEX-POYW-1326-SM-48TCG 60-69 years, male 42.7
GTEX-17F97-1326-SM-7MGVO 50-59 years, male 42.5
GTEX-148VJ-1026-SM-5LU98 70-79 years, male 41.5
GTEX-145LS-1826-SM-5LUAZ 60-69 years, female 41.4
GTEX-X62O-2226-SM-46MW3 50-59 years, male 41.3
GTEX-11TUW-1326-SM-5EQKV 60-69 years, male 40.7
GTEX-XMD2-1326-SM-4YCET 60-69 years, female 40.2
GTEX-X4EP-1626-SM-4QAS6 60-69 years, female 39.9
GTEX-13FHP-1526-SM-5IJGE 50-59 years, male 39.1
GTEX-1269C-1026-SM-5N9EY 60-69 years, female 38.8
GTEX-RVPV-0526-SM-47JYL 60-69 years, male 38.8
GTEX-X4XY-1726-SM-46MVO 60-69 years, male 38.1
GTEX-1HBPM-1426-SM-9WPPE 60-69 years, female 36.3
GTEX-1F7RK-1526-SM-7P8T6 20-29 years, female 35.5
GTEX-13W46-1926-SM-5J2MF 50-59 years, male 35.3
GTEX-117YW-1926-SM-5H121 50-59 years, male 33.8
GTEX-15EO6-1026-SM-7KUG9 50-59 years, male 33.7
GTEX-16Z82-1926-SM-6M47U 60-69 years, male 33.0
GTEX-1LVA9-2126-SM-DLHBY 50-59 years, male 29.5
GTEX-1MCQQ-1026-SM-EV7AX 60-69 years, male 27.6
GTEX-1IDFM-1126-SM-A96SY 60-69 years, male 27.5
Show allShow less

ESOPHAGUS - FANTOM5 CAGEi

RNA expression in human tissues obtained through Cap Analysis of Gene Expression (CAGE) generated by the FANTOM5 project are reported as Scaled Tags Per Million.

Max subtype Scaled Tags Per Millioni

Max subtype Scaled Tags Per Million is the value for the subtype with the largest average Scaled Tags Per Million across the subtype samples.

201.6
FANTOM5 sample id Sample description Scaled Tags Per Million
Esophagus
Scaled Tags Per Million: 201.6
FF:10015-101C6 68,74,75 years, mixed 201.6

Contact

  • NEWS ARTICLES
  • PRESS ROOM

The Project

  • INTRODUCTION
  • ORGANIZATION
  • PUBLICATIONS

The Human Protein Atlas

  • DOWNLOADABLE DATA
  • LICENCE & CITATION
  • HELP & FAQ
The Human Protein Atlas project is funded
by the Knut & Alice Wallenberg Foundation.


contact@proteinatlas.org