We use cookies to enhance the usability of our website. If you continue, we'll assume that you are happy to receive all cookies. More information. Don't show this again.
MDH1
HPA
RESOURCES
  • TISSUE
  • BRAIN
  • SINGLE CELL
  • SUBCELLULAR
  • CANCER
  • BLOOD
  • CELL LINE
  • STRUCTURE & INTERACTION
ABOUT
  • INTRODUCTION
  • HISTORY
  • ORGANIZATION
  • PUBLICATIONS
  • ANTIBODY SUBMISSION
  • ANTIBODY AVAILABILITY
  • ACKNOWLEDGMENTS
  • CONTACT
NEWS
  • NEWS ARTICLES
  • PRESS ROOM
LEARN
  • DICTIONARY
  • PROTEIN CLASSES
  • PROTEIN EVIDENCE
  • METHODS
  • EDUCATIONAL VIDEOS
DATA
  • DOWNLOADABLE DATA
  • PUBLICATION DATA
  • RELEASE HISTORY
HELP
  • ANTIBODY VALIDATION
  • ASSAYS & ANNOTATION
  • DISCLAIMER
  • HELP & FAQ
  • PRIVACY STATEMENT
  • LICENCE & CITATION
Fields »
Search result

Field
Term
Gene name
Class
Subclass
Class
Keyword
Chromosome
External id
Tissue
Cell type
Expression
Antibody panel
Tissue
Main location
Patient ID
Annotation
Tissue
Category
Tau score
Cluster
Reliability
Brain region
Category
Tau score
Brain region
Category
Tau score
Brain region
Category
Tau score
Cluster
Reliability
Tissue
Cell type
Enrichment
Cell type
Category
Tau score
Cell type
Category
Tau score
Cell type
Category
Tau score
Cell lineage
Category
Tau score
Cluster
Cluster
Location
Searches
Location
Cell line
Class
Type
Phase
Reliability
Cancer
Prognosis
Cancer
Category
Cancer
Category
Tau score
Cluster
Variants
Interacting gene (ensg_id)
Type
Number of interactions
Pathway
Category
Score
Score
Score
Validation
Validation
Validation
Validation
Antibodies
Data type
Column


  • SUMMARY

  • TISSUE

  • BRAIN

  • SINGLE CELL

  • SUBCELL

  • CANCER

  • BLOOD

  • CELL LINE

  • STRUCT & INT

  • MDH1
TISSUE PRIMARY DATA STOMACH Show tissue menu
ADIPOSE TISSUE ADRENAL GLAND AMYGDALA APPENDIX BASAL GANGLIA BONE MARROW BREAST BRONCHUS CEREBELLUM CEREBRAL CORTEX CERVIX CHOROID PLEXUS COLON DUODENUM
ENDOMETRIUM EPIDIDYMIS ESOPHAGUS FALLOPIAN TUBE GALLBLADDER HEART MUSCLE HIPPOCAMPAL FORMATION HYPOTHALAMUS KIDNEY LIVER LUNG LYMPH NODE MIDBRAIN NASOPHARYNX
ORAL MUCOSA OVARY PANCREAS PARATHYROID GLAND PITUITARY GLAND PLACENTA PROSTATE RECTUM RETINA SALIVARY GLAND SEMINAL VESICLE SKELETAL MUSCLE SKIN SMALL INTESTINE
SMOOTH MUSCLE SOFT TISSUE SPINAL CORD SPLEEN STOMACH TESTIS THYMUS THYROID GLAND TONGUE TONSIL URINARY BLADDER VAGINA
ANTIBODIES
AND
VALIDATION
Dictionary
Tissue proteome
Stomach
STOMACH - Expression summary
Protein expression
Stomachi

On the top, protein expression in current human tissue, based on all annotated cell types, is reported with the units not detected (n), low (l), medium (m) and high (h). Underneath, protein expression in each annotated cell type are reported using the same units.

Protein expression data is based on knowledge-based annotation. For genes where more than one antibody has been used, a collective score is set.

If knowledge-based annotation could not be performed for a gene, no data is displayed here. View antibody staining data further down this page.

h
m
l
n
Glandular cells: High
RNA expressioni

A summary of mRNA expression data available for current tissue based on several datasets. The mRNA expression levels in human tissues are based on RNA-seq data generated by the Human Protein Atlas (HPA), Genotype-Tissue Expression (GTEx) portal and CAGE data generated by the FANTOM5 consortium. Consensus normalized expression levels for human tissues was created by combining the data from HPA and GTEx datasets.

The mRNA expression levels in pig are based on RNA-seq data generated by the Human Protein Atlas (HPA), and for mouse, HPA data and in situ hybridization generated by the Allen brain atlas are reported.

Scroll down to view mRNA expression data in more detail.
Consensus:187.6 nTPM
HPA:187.6 nTPM
GTEx:140.6 nTPM

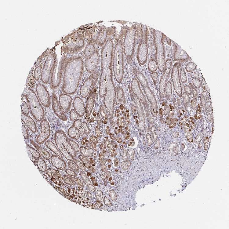
STOMACH 1 - Antibody stainingi

Antibody staining in the annotated cell types in the current human tissue is reported as not detected, low, medium, or high, based on conventional immunohistochemistry profiling in selected tissues. This score is based on the combination of the staining intensity and fraction of stained cells.

Each image is clickable and will lead to virtual microscopy that enables deeper exploration of all samples and also displays staining intensity scores, fraction scores and subcellular localization as well as patient and tissue information for each sample.

Antibody HPA027296Antibody HPA054276Antibody CAB047333
Glandular cells HighHighHigh






STOMACH 2 - Antibody stainingi

Antibody staining in the annotated cell types in the current human tissue is reported as not detected, low, medium, or high, based on conventional immunohistochemistry profiling in selected tissues. This score is based on the combination of the staining intensity and fraction of stained cells.

Each image is clickable and will lead to virtual microscopy that enables deeper exploration of all samples and also displays staining intensity scores, fraction scores and subcellular localization as well as patient and tissue information for each sample.

Antibody HPA027296Antibody HPA054276Antibody CAB047333
Glandular cells Not detectedHighHigh







STOMACH - HPA RNA-seqi

The RNA-seq details section shows detailed information about the individual samples used for the transcript profiling and results of the RNA-seq analysis.

Information about each individual sample is listed below, including gender, age, a tissue section image and estimated fractions of cell types. nTPM (normalized transcripts per million) values give a quantification of the gene abundance which is comparable between different genes and samples.
Average nTPMi

Max subtype nTPM is the value for the subtype with the largest average nTPM across the subtype samples.

187.6
overview
Female, age 33
Stomach sample 61
nTPM: 242.1
Cell types%
Glandular cells:
60

Smooth muscle cells:
5

Other cell types:
35

N/A
Male, age 82
Stomach sample 240
nTPM: 69.9
Cell types%
Glandular cells:
65

Smooth muscle cells:
5

Other cell types:
30

overview
Male, age 71
Stomach sample 241
nTPM: 80.6
Cell types%
Glandular cells:
50

Smooth muscle cells:
5

Other cell types:
45

overview
Female, age 66
Stomach sample 369
nTPM: 357.8
Cell types%
Glandular cells:
50

Smooth muscle cells:
10

Other cell types:
40


STOMACH - GTEx RNA-seqi

RNA-Seq data generated by the Genotype-Tissue Expression (GTEx) project from human tissues is reported as mean nTPM. More information can be found on the GTEx portal.

Distribution across the dataset is visualized with box plots, shown as median and 25th and 75th percentiles. Points are displayed as outliers if they are above or below 1.5 times the interquartile range. nTPM values of the individual samples are presented next to the box plot.
Max subtype nTPMi

Max subtype nTPM is the value for the subtype with the largest average nTPM across the subtype samples.

140.6
GTEx sample id Sample description nTPM
Stomach
Average nTPM: 140.6
Samples: 359

Max nTPM: 362.8
Min nTPM: 43.3
Std nTPM: 60.6
Median nTPM: 133.7
GTEX-1GL5R-1926-SM-9WG7U 50-59 years, male 362.8
GTEX-14PJ6-0826-SM-686Z9 60-69 years, female 347.0
GTEX-WFON-1126-SM-4LVMA 40-49 years, male 343.9
GTEX-1RMOY-1126-SM-EV79E 50-59 years, male 319.8
GTEX-ZLWG-1526-SM-DO12F 50-59 years, female 310.7
GTEX-ZLV1-0826-SM-DO11P 60-69 years, female 287.7
GTEX-1B97J-1826-SM-7IGPP 50-59 years, female 287.1
GTEX-15DCE-1626-SM-6LPJM 20-29 years, male 280.0
GTEX-1AMFI-1226-SM-731CZ 50-59 years, female 273.9
GTEX-RWS6-0926-SM-47JXE 60-69 years, female 273.6
GTEX-OOBJ-1526-SM-3NB1Q 60-69 years, male 271.5
GTEX-1LG7Z-1226-SM-DHXK4 30-39 years, male 269.5
GTEX-1QMI2-2126-SM-DPRXQ 60-69 years, male 265.2
GTEX-OHPM-1526-SM-EV796 50-59 years, male 261.0
GTEX-QV44-1226-SM-CJI1S 50-59 years, male 260.6
GTEX-1KANA-1126-SM-D3L9M 20-29 years, male 257.8
GTEX-1MGNQ-1826-SM-DPRYI 40-49 years, male 256.3
GTEX-PX3G-1526-SM-48U11 20-29 years, female 255.3
GTEX-12WSK-1426-SM-5CVNN 40-49 years, female 253.8
GTEX-1RB15-1026-SM-E9U6V 60-69 years, male 252.5
GTEX-1399S-1626-SM-5P9GI 30-39 years, female 251.5
GTEX-ZYFG-1326-SM-5GICJ 60-69 years, female 249.7
GTEX-1JK1U-1326-SM-AHZ45 60-69 years, male 246.8
GTEX-17GQL-1226-SM-7KFTS 60-69 years, male 245.4
GTEX-OIZF-1526-SM-2I5GR 60-69 years, male 243.1
GTEX-14BIL-1926-SM-73KYI 50-59 years, male 240.2
GTEX-15CHR-1326-SM-79OLT 50-59 years, male 239.8
GTEX-QLQW-0726-SM-447AA 30-39 years, male 238.7
GTEX-12WSD-2326-SM-59HKQ 60-69 years, female 238.6
GTEX-ZP4G-1226-SM-4WWCJ 20-29 years, female 235.7
GTEX-S341-0626-SM-4AD5T 40-49 years, female 234.8
GTEX-1LGOU-1526-SM-D3LAJ 20-29 years, female 232.7
GTEX-1AMEY-1226-SM-731DU 30-39 years, female 229.0
GTEX-T5JW-0926-SM-4DM5K 20-29 years, female 225.8
GTEX-S4UY-1626-SM-4AD55 40-49 years, female 225.4
GTEX-YB5E-1126-SM-664NU 40-49 years, male 222.4
GTEX-14ICL-0826-SM-5YY9W 30-39 years, male 222.3
GTEX-1HFI7-1526-SM-9WG7W 50-59 years, female 217.5
GTEX-QXCU-1926-SM-48FE4 50-59 years, male 213.3
GTEX-1HBPI-0726-SM-9WG7Z 50-59 years, male 213.1
GTEX-OXRL-1526-SM-E6CHQ 50-59 years, male 213.1
GTEX-17F9E-2226-SM-7IGNC 50-59 years, male 211.0
GTEX-13PVQ-2126-SM-5L3FW 50-59 years, male 209.9
GTEX-WHSB-1226-SM-4M1XR 50-59 years, male 208.1
GTEX-1ICG6-1826-SM-AHZ2O 70-79 years, female 207.7
GTEX-1AYCT-1326-SM-7MKHB 50-59 years, male 206.3
GTEX-1A8G6-1426-SM-731EZ 60-69 years, male 206.1
GTEX-1MUQO-1926-SM-EAZ59 60-69 years, male 205.8
GTEX-WXYG-1626-SM-4ONCR 50-59 years, female 205.2
GTEX-14E6E-0926-SM-664N8 30-39 years, male 205.0
GTEX-1QP2A-2126-SM-DPRZ7 50-59 years, male 204.4
GTEX-17HHE-1026-SM-79ON6 50-59 years, male 203.2
GTEX-1R7EU-1126-SM-EAZ4M 60-69 years, male 203.2
GTEX-Q2AI-0826-SM-48TZO 40-49 years, male 203.1
GTEX-13OVK-0926-SM-7KUFX 40-49 years, male 202.8
GTEX-14PJ4-1626-SM-664OB 60-69 years, male 202.8
GTEX-1F5PK-1826-SM-7RHHX 50-59 years, male 202.6
GTEX-1F5PL-1426-SM-7MKFH 40-49 years, female 202.5
GTEX-18A7A-2726-SM-7LG6U 50-59 years, female 201.8
GTEX-YEC4-1426-SM-5IFHS 40-49 years, male 201.4
GTEX-11NSD-1426-SM-5HL67 20-29 years, male 200.9
GTEX-QCQG-0526-SM-48U2A 50-59 years, female 199.2
GTEX-144GN-1226-SM-5O991 50-59 years, male 198.9
GTEX-U3ZN-2026-SM-4DXUC 30-39 years, female 198.0
GTEX-1QPFJ-1526-SM-DPRXT 30-39 years, female 197.8
GTEX-1C475-1026-SM-7MKFJ 40-49 years, female 197.4
GTEX-1QCLY-1126-SM-EAZ4J 30-39 years, male 196.4
GTEX-13FTX-0726-SM-5N9BI 20-29 years, female 195.5
GTEX-1B8KE-1326-SM-73KVI 50-59 years, male 193.3
GTEX-145LT-1426-SM-5O9B3 40-49 years, male 193.2
GTEX-1R9K5-1026-SM-EAZ4F 50-59 years, male 192.6
GTEX-1H1E6-1626-SM-9OSWC 30-39 years, male 191.3
GTEX-Y5V6-1326-SM-4VDTF 60-69 years, male 190.7
GTEX-ZF2S-1426-SM-57WET 50-59 years, female 190.4
GTEX-QV31-0626-SM-447C5 30-39 years, male 189.1
GTEX-18D9A-0626-SM-7KFTY 30-39 years, female 186.5
GTEX-13X6J-2126-SM-5TDCV 50-59 years, male 185.9
GTEX-ZPU1-1626-SM-4WWB2 40-49 years, male 185.8
GTEX-14PJ5-0826-SM-6AJAR 60-69 years, female 185.0
GTEX-13O21-0926-SM-5IFGT 50-59 years, male 184.7
GTEX-15RIF-1126-SM-7KUG2 20-29 years, male 184.4
GTEX-ZZ64-0426-SM-5E43F 20-29 years, male 184.0
GTEX-1B8KZ-1226-SM-793CP 50-59 years, male 181.5
GTEX-ZQUD-0826-SM-57WDQ 30-39 years, male 181.0
GTEX-144GM-1726-SM-5O9AS 20-29 years, male 180.7
GTEX-1122O-1926-SM-5EGIQ 60-69 years, female 179.5
GTEX-111CU-0926-SM-5EGIK 50-59 years, male 179.4
GTEX-15RIE-1026-SM-6LPJQ 60-69 years, male 179.2
GTEX-11NUK-2426-SM-5BC4U 50-59 years, male 178.8
GTEX-XMK1-1526-SM-EYYVO 40-49 years, male 178.8
GTEX-ZYY3-1726-SM-5EGH3 60-69 years, female 176.9
GTEX-Q734-1026-SM-48U16 40-49 years, female 176.3
GTEX-YFCO-0826-SM-5LUAG 40-49 years, male 176.3
GTEX-1J8Q3-1926-SM-C1YSJ 60-69 years, male 175.6
GTEX-11DXX-1326-SM-5GIDZ 60-69 years, female 175.4
GTEX-11EM3-1026-SM-5A5KL 20-29 years, female 175.4
GTEX-S95S-0826-SM-4B64N 60-69 years, male 175.1
GTEX-1IDJU-1526-SM-CNNR3 60-69 years, female 175.0
GTEX-111YS-1126-SM-5GZYQ 60-69 years, male 174.8
GTEX-ZDYS-1926-SM-5HL59 50-59 years, male 174.8
GTEX-145MN-1326-SM-5NQ9S 30-39 years, male 172.5
GTEX-XUZC-0726-SM-4BOPH 30-39 years, female 172.0
GTEX-VJYA-1026-SM-4KL21 60-69 years, male 171.9
GTEX-14PHX-1026-SM-664OL 50-59 years, male 170.6
GTEX-Y3IK-1426-SM-4YCES 50-59 years, female 169.2
GTEX-1LBAC-1426-SM-CXZKT 20-29 years, male 169.2
GTEX-1A3MV-1226-SM-718BW 30-39 years, male 169.1
GTEX-RM2N-0826-SM-48FD3 50-59 years, male 169.0
GTEX-11I78-1726-SM-5A5M3 50-59 years, female 167.8
GTEX-ZF29-1526-SM-4WKF7 60-69 years, female 166.9
GTEX-R53T-1226-SM-48FCT 50-59 years, female 166.8
GTEX-RTLS-2626-SM-46MUJ 60-69 years, female 166.8
GTEX-XBED-1226-SM-4AT5V 60-69 years, male 166.7
GTEX-1QCLZ-1826-SM-DPRXP 60-69 years, female 166.6
GTEX-UJMC-1226-SM-4IHLI 50-59 years, male 165.6
GTEX-WY7C-1726-SM-4ONCC 50-59 years, male 165.1
GTEX-1F75I-1826-SM-7MKGX 40-49 years, male 164.8
GTEX-18QFQ-1226-SM-718AE 30-39 years, male 162.9
GTEX-WEY5-1226-SM-4LMIQ 40-49 years, female 162.1
GTEX-16AAH-1226-SM-79OO9 50-59 years, male 161.1
GTEX-SNMC-0626-SM-4DM6H 20-29 years, male 161.1
GTEX-1HBPN-1626-SM-9WPNP 50-59 years, male 161.0
GTEX-T6MO-0726-SM-4DM58 40-49 years, female 160.8
GTEX-ZGAY-1626-SM-DNZZ3 40-49 years, female 159.8
GTEX-117YX-1026-SM-5H11V 50-59 years, male 159.2
GTEX-ZXES-1426-SM-5NQ8S 30-39 years, female 159.2
GTEX-1J8QM-1126-SM-C1YQB 60-69 years, female 157.3
GTEX-15DZA-1126-SM-6LPK8 30-39 years, female 156.4
GTEX-ZVZP-1726-SM-5GZWY 50-59 years, male 156.3
GTEX-OHPK-1526-SM-3MJGM 50-59 years, female 155.4
GTEX-1CAMR-0726-SM-7EPIE 20-29 years, male 155.0
GTEX-1B97I-1226-SM-7MGWQ 40-49 years, male 155.0
GTEX-11GSP-2126-SM-5HL5E 60-69 years, female 154.6
GTEX-1H3VY-2326-SM-9WG81 50-59 years, male 153.0
GTEX-QDVJ-1426-SM-48U1Y 50-59 years, male 152.3
GTEX-1GMRU-2526-SM-9WG7T 50-59 years, male 152.2
GTEX-XQ8I-2026-SM-4BOOL 50-59 years, male 151.7
GTEX-131XF-1226-SM-5HL8V 60-69 years, male 151.6
GTEX-SUCS-0926-SM-4DM4Z 70-79 years, male 150.8
GTEX-14PKV-1826-SM-69LO9 20-29 years, female 150.6
GTEX-13FTW-1726-SM-5KM2B 40-49 years, male 150.4
GTEX-ZVP2-1626-SM-5GU5D 50-59 years, male 149.9
GTEX-P4PP-1526-SM-3P61M 30-39 years, female 149.3
GTEX-1GZ4H-1026-SM-9OSXL 50-59 years, female 149.3
GTEX-S3XE-1026-SM-4AD4O 50-59 years, male 149.1
GTEX-1J8EW-2226-SM-AHZ3T 60-69 years, female 148.9
GTEX-S4Q7-0726-SM-4AD5F 20-29 years, male 148.8
GTEX-QLQ7-0826-SM-447B3 60-69 years, male 148.6
GTEX-133LE-1326-SM-5IFGO 20-29 years, female 146.9
GTEX-NFK9-1526-SM-3LK7B 40-49 years, male 146.1
GTEX-V1D1-1726-SM-4JBHB 50-59 years, male 146.1
GTEX-XBEW-1826-SM-4RTWX 40-49 years, male 145.9
GTEX-13113-0726-SM-5LZUF 60-69 years, female 145.7
GTEX-18A66-2226-SM-7189E 60-69 years, male 145.7
GTEX-1I6K7-1726-SM-B2LXQ 40-49 years, male 144.3
GTEX-Y8LW-0826-SM-4WWDO 50-59 years, female 144.1
GTEX-1MJIX-1126-SM-EV7AO 40-49 years, male 143.9
GTEX-X15G-1126-SM-4PQZG 50-59 years, female 143.8
GTEX-ZVT2-1626-SM-51MRC 50-59 years, female 143.5
GTEX-ZT9W-1526-SM-4YCDE 50-59 years, male 143.4
GTEX-WYJK-2526-SM-4ONDF 50-59 years, male 140.9
GTEX-13D11-2126-SM-5IFH2 50-59 years, female 140.5
GTEX-WRHK-0626-SM-4MVOE 20-29 years, female 140.0
GTEX-13FH7-1026-SM-5IJGF 50-59 years, female 138.8
GTEX-14DAR-0926-SM-73KUQ 50-59 years, male 138.8
GTEX-1AX9J-2626-SM-731EK 60-69 years, male 138.6
GTEX-PWCY-0926-SM-48TD7 20-29 years, female 138.4
GTEX-13OW6-2526-SM-5IJEC 50-59 years, male 138.2
GTEX-PWN1-1526-SM-48TDA 40-49 years, female 137.8
GTEX-1KXAM-0926-SM-CXZKA 60-69 years, male 137.7
GTEX-ZLFU-1326-SM-DO11R 40-49 years, male 136.9
GTEX-1399R-1126-SM-5IFIO 30-39 years, male 136.3
GTEX-WFG7-1326-SM-4LMK1 20-29 years, male 136.1
GTEX-XXEK-0826-SM-4BRWG 50-59 years, male 135.8
GTEX-ZV7C-1626-SM-5NQ7E 50-59 years, male 135.7
GTEX-17HGU-2126-SM-7IGOV 50-59 years, male 135.6
GTEX-ZZPU-1426-SM-5GZZ6 50-59 years, female 135.0
GTEX-14E1K-1526-SM-664MN 50-59 years, male 134.2
GTEX-YEC3-1426-SM-D4P1S 50-59 years, male 133.8
GTEX-14B4R-0726-SM-5TDDR 30-39 years, male 133.7
GTEX-13QBU-1126-SM-5LU44 40-49 years, female 132.5
GTEX-1PIGE-1126-SM-EWRMV 20-29 years, male 132.5
GTEX-T8EM-1226-SM-4DM5J 40-49 years, male 131.8
GTEX-WHPG-0426-SM-4M1XW 50-59 years, male 131.8
GTEX-1I1GT-1726-SM-C1YS3 60-69 years, female 131.1
GTEX-Q2AH-1126-SM-48TZM 40-49 years, male 130.9
GTEX-1HKZK-1526-SM-B2LWG 40-49 years, male 130.9
GTEX-13111-1226-SM-5GCNC 50-59 years, male 130.2
GTEX-132QS-1826-SM-5IFFN 60-69 years, male 129.7
GTEX-WFG8-1326-SM-4LVN3 20-29 years, male 129.6
GTEX-13S7M-1826-SM-5RQK6 60-69 years, female 127.9
GTEX-1RQEC-2126-SM-DPS15 60-69 years, male 127.3
GTEX-TMMY-1626-SM-4DXTY 40-49 years, female 126.0
GTEX-1IDJD-2426-SM-C1YS6 30-39 years, male 125.6
GTEX-1S82Z-1726-SM-E6CHZ 30-39 years, female 125.1
GTEX-1CB4E-1326-SM-7DUGD 60-69 years, male 123.6
GTEX-1NSGN-1926-SM-E9J36 50-59 years, male 123.4
GTEX-1I1HK-2026-SM-CNNRB 60-69 years, male 123.3
GTEX-QMRM-1126-SM-447BN 50-59 years, male 123.2
GTEX-1E2YA-2426-SM-7EPIG 50-59 years, male 122.5
GTEX-POMQ-0826-SM-3P61H 20-29 years, female 121.8
GTEX-15G19-1526-SM-6LPKP 60-69 years, male 120.9
GTEX-W5WG-1726-SM-4LMI5 50-59 years, female 120.4
GTEX-17F98-1526-SM-7EWD8 40-49 years, female 120.1
GTEX-1HSEH-1526-SM-B2LXG 60-69 years, male 119.1
GTEX-V955-1326-SM-4JBHR 60-69 years, male 118.9
GTEX-1QW4Y-0726-SM-DTX8E 30-39 years, male 118.7
GTEX-R55D-1526-SM-48FEJ 50-59 years, male 118.3
GTEX-ZY6K-0726-SM-5A5L8 50-59 years, male 117.6
GTEX-ZA64-0826-SM-5HL9U 20-29 years, male 117.4
GTEX-1HSMQ-2426-SM-CE6RY 50-59 years, male 117.4
GTEX-16NGA-1526-SM-72D56 40-49 years, female 117.3
GTEX-PW2O-1226-SM-48TCH 20-29 years, male 117.3
GTEX-OXRK-1626-SM-3NB17 50-59 years, female 117.1
GTEX-15EU6-2526-SM-7KUGB 50-59 years, male 116.7
GTEX-1GN1W-2126-SM-9JGI7 50-59 years, female 116.7
GTEX-13X6H-1626-SM-5Q5CT 50-59 years, female 116.2
GTEX-15UF7-1226-SM-6M46G 40-49 years, male 115.9
GTEX-ZV6S-0926-SM-57WGB 40-49 years, female 115.3
GTEX-Y5LM-1326-SM-5RQIS 40-49 years, female 115.0
GTEX-P78B-1826-SM-3P5YX 40-49 years, female 113.7
GTEX-TKQ1-0526-SM-4DXTG 30-39 years, male 113.4
GTEX-XPVG-1526-SM-4B66C 50-59 years, male 113.3
GTEX-S4P3-0726-SM-4AD57 50-59 years, female 113.1
GTEX-14PJ3-1426-SM-664O8 50-59 years, male 111.8
GTEX-ZPIC-2026-SM-57WG3 40-49 years, female 111.2
GTEX-1H1DE-1226-SM-9JGHH 20-29 years, male 111.2
GTEX-1LSNM-1026-SM-DHXL2 50-59 years, male 111.2
GTEX-P4PQ-1526-SM-3NMCK 60-69 years, male 110.6
GTEX-14DAQ-2826-SM-664MU 60-69 years, female 110.3
GTEX-1RAZR-1526-SM-EAZ4U 40-49 years, male 110.2
GTEX-18A67-2626-SM-718AD 50-59 years, male 110.0
GTEX-1K2DA-0826-SM-CGQGD 50-59 years, male 109.3
GTEX-1I4MK-0926-SM-A9SLD 50-59 years, female 108.5
GTEX-1EH9U-2226-SM-7PBXX 60-69 years, male 108.0
GTEX-1JMLX-2426-SM-CXZJQ 50-59 years, male 107.8
GTEX-SNOS-0826-SM-4DM5N 40-49 years, male 105.7
GTEX-PLZ6-0826-SM-3P61K 30-39 years, male 105.3
GTEX-1LVAM-1426-SM-E9TJ4 50-59 years, female 104.2
GTEX-1JN76-0926-SM-ARZNH 20-29 years, female 103.2
GTEX-1QP28-2126-SM-DTX8B 50-59 years, female 102.8
GTEX-OIZH-1526-SM-3NB1J 50-59 years, male 102.7
GTEX-QDVN-1226-SM-48TZ5 50-59 years, male 102.5
GTEX-13CF3-1926-SM-5K7WF 60-69 years, female 102.4
GTEX-13O61-1126-SM-5L3FI 60-69 years, male 102.0
GTEX-1S831-1126-SM-EWROI 20-29 years, male 101.5
GTEX-13PVR-2126-SM-73KVR 60-69 years, female 101.3
GTEX-12696-1726-SM-5EQLH 60-69 years, male 100.4
GTEX-Y8E4-1526-SM-4WWDI 40-49 years, male 100.4
GTEX-PLZ5-1226-SM-EXOHA 50-59 years, male 99.9
GTEX-1GPI7-1326-SM-9KNVA 20-29 years, male 98.9
GTEX-ZTX8-0426-SM-59HLG 20-29 years, male 98.3
GTEX-12BJ1-1726-SM-5HL9B 60-69 years, male 97.7
GTEX-XV7Q-1326-SM-4BRWM 40-49 years, female 97.6
GTEX-17MF6-2126-SM-7KFS7 40-49 years, male 97.5
GTEX-Y114-1226-SM-4TT88 50-59 years, female 97.5
GTEX-18D9B-2226-SM-718BM 60-69 years, male 96.8
GTEX-11P7K-1726-SM-5GU6F 30-39 years, male 96.7
GTEX-146FH-2126-SM-5SI9U 50-59 years, female 96.7
GTEX-RU1J-0526-SM-46MUT 20-29 years, female 94.9
GTEX-XAJ8-0326-SM-47JYI 40-49 years, male 94.2
GTEX-1IL2V-2026-SM-ARZMA 70-79 years, male 93.9
GTEX-11VI4-0326-SM-5EQ6L 40-49 years, female 93.8
GTEX-1H11D-2226-SM-9OSXN 40-49 years, male 93.6
GTEX-1JKYN-1726-SM-AHZ48 30-39 years, male 93.5
GTEX-1211K-1426-SM-5FQTF 60-69 years, female 93.1
GTEX-13N1W-2026-SM-5K7YU 70-79 years, male 93.0
GTEX-TKQ2-0926-SM-4DXU5 50-59 years, male 93.0
GTEX-131XG-1226-SM-5EGH9 50-59 years, female 92.9
GTEX-1B8L1-1526-SM-79OLK 60-69 years, male 92.8
GTEX-14JG6-1226-SM-664O6 30-39 years, female 92.7
GTEX-R55C-1026-SM-48FCM 40-49 years, male 92.6
GTEX-1PPH8-1326-SM-DTXFO 20-29 years, male 92.2
GTEX-1LGRB-1726-SM-CNNRA 50-59 years, female 91.8
GTEX-145ME-1026-SM-5O9B4 40-49 years, female 91.7
GTEX-WYVS-1326-SM-4ONCQ 40-49 years, female 91.7
GTEX-13U4I-2526-SM-5SI8Z 40-49 years, female 91.4
GTEX-Y9LG-1026-SM-5IFJN 30-39 years, male 91.1
GTEX-R55G-1126-SM-48FDG 40-49 years, female 90.8
GTEX-1H1DG-2126-SM-9WPPB 70-79 years, male 89.9
GTEX-S7SF-0626-SM-4AD4V 20-29 years, female 89.7
GTEX-14BMU-1126-SM-5RQJ8 20-29 years, female 89.2
GTEX-S4Z8-1226-SM-4AD6W 60-69 years, male 88.0
GTEX-UJHI-1026-SM-4IHJP 50-59 years, female 87.7
GTEX-13RTK-0226-SM-5RQHR 20-29 years, male 86.6
GTEX-WH7G-1526-SM-4LVMX 40-49 years, male 86.5
GTEX-17JCI-2226-SM-7LTA1 60-69 years, female 85.9
GTEX-1S3DN-1526-SM-EVYCB 50-59 years, male 85.9
GTEX-11P82-0726-SM-5PNYL 20-29 years, male 85.7
GTEX-1JMPZ-1826-SM-CXZJT 30-39 years, male 85.4
GTEX-12C56-0526-SM-5FQST 20-29 years, male 84.8
GTEX-1N2DV-0926-SM-E9TJT 40-49 years, male 84.2
GTEX-17KNJ-1526-SM-7LTA9 50-59 years, male 84.1
GTEX-145MO-2226-SM-5Q5BN 60-69 years, male 83.2
GTEX-1H3NZ-2226-SM-9WYUT 60-69 years, male 83.0
GTEX-WFJO-1126-SM-4LVLZ 30-39 years, male 82.6
GTEX-14PKU-1126-SM-69LOU 40-49 years, female 82.1
GTEX-131XE-2226-SM-5PNYX 50-59 years, male 81.9
GTEX-1C64O-2226-SM-73KTV 60-69 years, male 81.3
GTEX-1HR9M-2326-SM-CNPPZ 60-69 years, male 81.2
GTEX-T5JC-1926-SM-4DM6Q 20-29 years, male 80.6
GTEX-1MCYP-1126-SM-E9J2P 20-29 years, female 80.1
GTEX-WHWD-1426-SM-4OORU 50-59 years, male 80.0
GTEX-12WSJ-0926-SM-5P9JD 40-49 years, female 79.2
GTEX-O5YW-1526-SM-3MJGL 50-59 years, male 78.2
GTEX-17EUY-1526-SM-793CA 20-29 years, male 78.0
GTEX-RUSQ-1126-SM-EAZAU 50-59 years, male 77.9
GTEX-13O3Q-2126-SM-5KM4C 50-59 years, male 77.8
GTEX-U4B1-1026-SM-4DXT1 40-49 years, male 77.8
GTEX-15SHW-2126-SM-6M46Y 60-69 years, male 77.3
GTEX-1J8JJ-1726-SM-C1YQG 60-69 years, female 76.8
GTEX-11TT1-0726-SM-5GU5A 20-29 years, male 76.4
GTEX-14PHY-0926-SM-5ZZWL 60-69 years, female 75.9
GTEX-12WSG-2026-SM-5FQUU 50-59 years, female 74.4
GTEX-15G1A-1226-SM-7KUF3 30-39 years, male 74.1
GTEX-1IDJF-1426-SM-ACKWK 20-29 years, male 73.6
GTEX-117YW-2226-SM-5N9DB 50-59 years, male 73.4
GTEX-1HCU8-1326-SM-C1YQQ 60-69 years, female 71.9
GTEX-14PN3-1326-SM-6AJ9U 60-69 years, female 71.2
GTEX-ZYVF-2726-SM-5GID4 50-59 years, female 70.3
GTEX-1399U-1626-SM-5P9J3 50-59 years, female 69.7
GTEX-ZEX8-1626-SM-4WKG7 50-59 years, male 69.0
GTEX-11WQK-2626-SM-5EQ4K 50-59 years, male 68.9
GTEX-P4QT-1526-SM-3NMCT 50-59 years, female 68.8
GTEX-QDT8-2026-SM-EZ6LS 30-39 years, female 68.4
GTEX-132AR-2426-SM-5IFFD 50-59 years, female 67.8
GTEX-1CB4H-2426-SM-7PBYR 60-69 years, female 66.1
GTEX-139YR-1926-SM-5LZXM 50-59 years, male 65.7
GTEX-1339X-1426-SM-5K7YO 40-49 years, male 65.6
GTEX-1HCUA-1626-SM-A9SMG 50-59 years, female 63.7
GTEX-1LVAN-2426-SM-CNNPZ 50-59 years, female 63.7
GTEX-1QP67-1026-SM-EVR47 40-49 years, female 63.7
GTEX-1JMQJ-1326-SM-D4P3B 50-59 years, male 62.1
GTEX-ZVT3-2126-SM-59HL2 60-69 years, female 61.9
GTEX-11EQ9-1226-SM-5987E 30-39 years, male 61.8
GTEX-WZTO-2126-SM-4PQYW 40-49 years, male 61.8
GTEX-17HII-2426-SM-7KFTT 50-59 years, male 61.7
GTEX-1KD5A-1426-SM-D4P3V 50-59 years, male 61.2
GTEX-1HT8W-2326-SM-A9SLA 30-39 years, male 60.9
GTEX-YJ8A-1526-SM-5P9FT 20-29 years, male 60.3
GTEX-ZAB4-1526-SM-5CVN7 40-49 years, male 59.4
GTEX-Y3I4-1626-SM-4TT7W 50-59 years, male 59.2
GTEX-11EI6-2426-SM-5PNVS 60-69 years, male 58.7
GTEX-14BMV-2226-SM-5RQHX 50-59 years, male 58.3
GTEX-1E1VI-2826-SM-7MGWU 50-59 years, male 57.1
GTEX-1QP29-2326-SM-EXOJO 50-59 years, male 57.1
GTEX-UPK5-2126-SM-4JBJK 40-49 years, male 55.9
GTEX-1L5NE-1526-SM-DIPFW 50-59 years, male 54.0
GTEX-1A3MX-1926-SM-72D7F 60-69 years, male 53.7
GTEX-1H23P-2726-SM-9JGHN 60-69 years, male 53.2
GTEX-146FR-2026-SM-5NQAI 60-69 years, female 52.7
GTEX-13OVI-2426-SM-5KM4J 60-69 years, female 52.1
GTEX-1JN1M-2926-SM-CNNPJ 60-69 years, female 50.5
GTEX-1GF9U-1126-SM-AHZ4H 40-49 years, female 49.1
GTEX-139D8-2326-SM-5IFGE 30-39 years, female 48.0
GTEX-ZE7O-3026-SM-51MS4 50-59 years, female 45.9
GTEX-1JMPY-0926-SM-ARL92 30-39 years, male 44.7
GTEX-O5YV-1926-SM-EV797 60-69 years, female 44.6
GTEX-13QJ3-2726-SM-5SI6L 50-59 years, male 43.3
Show allShow less

Contact

  • NEWS ARTICLES
  • PRESS ROOM

The Project

  • INTRODUCTION
  • ORGANIZATION
  • PUBLICATIONS

The Human Protein Atlas

  • DOWNLOADABLE DATA
  • LICENCE & CITATION
  • HELP & FAQ
The Human Protein Atlas project is funded
by the Knut & Alice Wallenberg Foundation.


contact@proteinatlas.org