We use cookies to enhance the usability of our website. If you continue, we'll assume that you are happy to receive all cookies. More information. Don't show this again.
CD74
HPA
RESOURCES
  • TISSUE
  • BRAIN
  • SINGLE CELL
  • SUBCELLULAR
  • CANCER
  • BLOOD
  • CELL LINE
  • STRUCTURE & INTERACTION
ABOUT
  • INTRODUCTION
  • HISTORY
  • ORGANIZATION
  • PUBLICATIONS
  • ANTIBODY SUBMISSION
  • ANTIBODY AVAILABILITY
  • ACKNOWLEDGMENTS
  • CONTACT
NEWS
  • NEWS ARTICLES
  • PRESS ROOM
LEARN
  • DICTIONARY
  • PROTEIN CLASSES
  • PROTEIN EVIDENCE
  • METHODS
  • EDUCATIONAL VIDEOS
DATA
  • DOWNLOADABLE DATA
  • PUBLICATION DATA
  • RELEASE HISTORY
HELP
  • ANTIBODY VALIDATION
  • ASSAYS & ANNOTATION
  • DISCLAIMER
  • HELP & FAQ
  • PRIVACY STATEMENT
  • LICENCE & CITATION
Fields »
Search result

Field
Term
Gene name
Class
Subclass
Class
Keyword
Chromosome
External id
Tissue
Cell type
Expression
Antibody panel
Tissue
Main location
Patient ID
Annotation
Tissue
Category
Tau score
Cluster
Reliability
Brain region
Category
Tau score
Brain region
Category
Tau score
Brain region
Category
Tau score
Cluster
Reliability
Tissue
Cell type
Enrichment
Cell type
Category
Tau score
Cell type
Category
Tau score
Cell type
Category
Tau score
Cell lineage
Category
Tau score
Cluster
Cluster
Location
Searches
Location
Cell line
Class
Type
Phase
Reliability
Cancer
Prognosis
Cancer
Category
Cancer
Category
Tau score
Cluster
Variants
Interacting gene (ensg_id)
Type
Number of interactions
Pathway
Category
Score
Score
Score
Validation
Validation
Validation
Validation
Antibodies
Data type
Column


  • SUMMARY

  • TISSUE

  • BRAIN

  • SINGLE CELL

  • SUBCELL

  • CANCER

  • BLOOD

  • CELL LINE

  • STRUCT & INT

  • CD74
TISSUE PRIMARY DATA SALIVARY GLAND Show tissue menu
ADIPOSE TISSUE ADRENAL GLAND AMYGDALA APPENDIX BASAL GANGLIA BONE MARROW BREAST BRONCHUS CEREBELLUM CEREBRAL CORTEX CERVIX CHOROID PLEXUS COLON DUODENUM
ENDOMETRIUM EPIDIDYMIS ESOPHAGUS FALLOPIAN TUBE GALLBLADDER HEART MUSCLE HIPPOCAMPAL FORMATION HYPOTHALAMUS KIDNEY LIVER LUNG LYMPH NODE MIDBRAIN NASOPHARYNX
ORAL MUCOSA OVARY PANCREAS PARATHYROID GLAND PITUITARY GLAND PLACENTA PROSTATE RECTUM RETINA SALIVARY GLAND SEMINAL VESICLE SKELETAL MUSCLE SKIN SMALL INTESTINE
SMOOTH MUSCLE SOFT TISSUE SPINAL CORD SPLEEN STOMACH TESTIS THYMUS THYROID GLAND TONGUE TONSIL URINARY BLADDER VAGINA
ANTIBODIES
AND
VALIDATION
Dictionary
Salivary gland
Tissue proteome
Salivary gland
SALIVARY GLAND - Expression summary
Protein expression
Salivary glandi

On the top, protein expression in current human tissue, based on all annotated cell types, is reported with the units not detected (n), low (l), medium (m) and high (h). Underneath, protein expression in each annotated cell type are reported using the same units.

Protein expression data is based on knowledge-based annotation. For genes where more than one antibody has been used, a collective score is set.

If knowledge-based annotation could not be performed for a gene, no data is displayed here. View antibody staining data further down this page.

h
m
l
n
Glandular cells: Medium
RNA expressioni

A summary of mRNA expression data available for current tissue based on several datasets. The mRNA expression levels in human tissues are based on RNA-seq data generated by the Human Protein Atlas (HPA), Genotype-Tissue Expression (GTEx) portal and CAGE data generated by the FANTOM5 consortium. Consensus normalized expression levels for human tissues was created by combining the data from HPA and GTEx datasets.

The mRNA expression levels in pig are based on RNA-seq data generated by the Human Protein Atlas (HPA), and for mouse, HPA data and in situ hybridization generated by the Allen brain atlas are reported.

Scroll down to view mRNA expression data in more detail.
Consensus:2001.7 nTPM
HPA:2001.7 nTPM
GTEx:605.2 nTPM
FANTOM5:2658.5 Scaled Tags Per Million

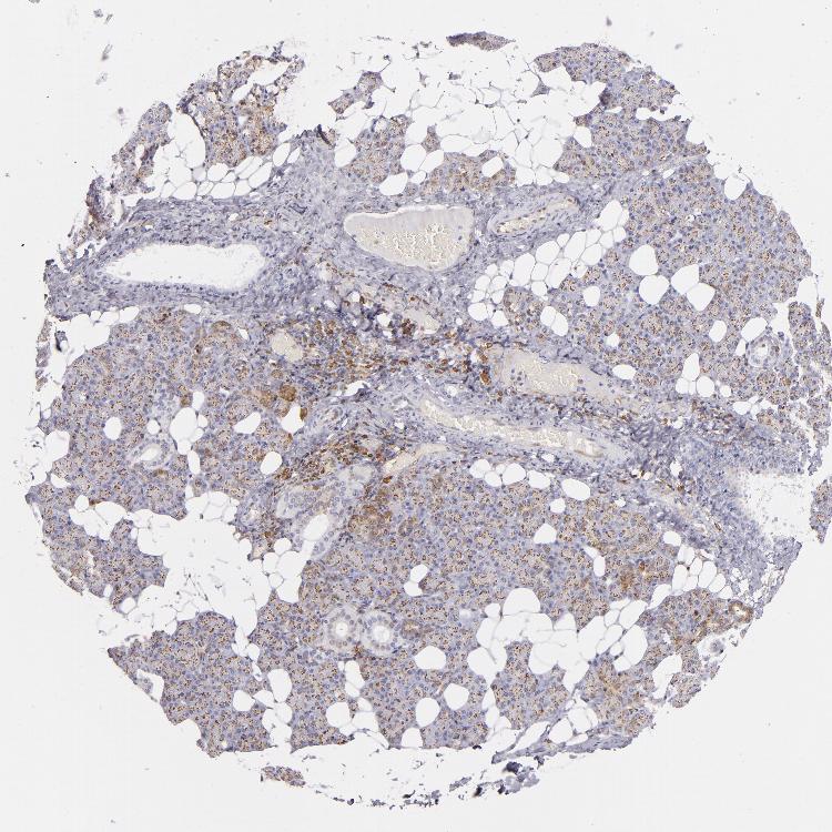
SALIVARY GLAND - Antibody stainingi

Antibody staining in the annotated cell types in the current human tissue is reported as not detected, low, medium, or high, based on conventional immunohistochemistry profiling in selected tissues. This score is based on the combination of the staining intensity and fraction of stained cells.

Each image is clickable and will lead to virtual microscopy that enables deeper exploration of all samples and also displays staining intensity scores, fraction scores and subcellular localization as well as patient and tissue information for each sample.

Antibody HPA010592Antibody CAB002506Antibody CAB079994
Glandular cells MediumMediumMedium






SALIVARY GLAND - HPA RNA-seqi

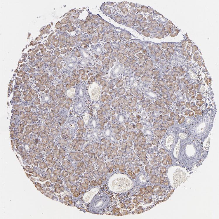
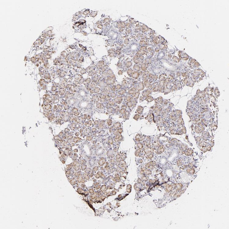
The RNA-seq details section shows detailed information about the individual samples used for the transcript profiling and results of the RNA-seq analysis.

Information about each individual sample is listed below, including gender, age, a tissue section image and estimated fractions of cell types. nTPM (normalized transcripts per million) values give a quantification of the gene abundance which is comparable between different genes and samples.
Average nTPMi

Max subtype nTPM is the value for the subtype with the largest average nTPM across the subtype samples.

2001.7
overview
Female, age 68
Salivary gland sample 216
nTPM: 4053.3
Cell types%
Glandular cells:
45

Ductal cells:
25

Adipocytes:
5

Other cell types:
25

overview
Male, age 60
Salivary gland sample 217
nTPM: 947.3
Cell types%
Glandular cells:
55

Ductal cells:
20

Adipocytes:
5

Endothelial cells:
5

Other cell types:
15

overview
Female, age 21
Salivary gland sample 218
nTPM: 1004.3
Cell types%
Glandular cells:
55

Ductal cells:
15

Adipocytes:
5

Endothelial cells:
5

Other cell types:
20


SALIVARY GLAND - GTEx RNA-seqi

RNA-Seq data generated by the Genotype-Tissue Expression (GTEx) project from human tissues is reported as mean nTPM. More information can be found on the GTEx portal.

Distribution across the dataset is visualized with box plots, shown as median and 25th and 75th percentiles. Points are displayed as outliers if they are above or below 1.5 times the interquartile range. nTPM values of the individual samples are presented next to the box plot.
Max subtype nTPMi

Max subtype nTPM is the value for the subtype with the largest average nTPM across the subtype samples.

605.2
GTEx sample id Sample description nTPM
Minor Salivary Gland
Average nTPM: 605.2
Samples: 162

Max nTPM: 1522.2
Min nTPM: 207.5
Std nTPM: 248.0
Median nTPM: 568.1
GTEX-X3Y1-1926-SM-4PQZO 40-49 years, male 1522.2
GTEX-1R9K5-0626-SM-DPRZB 50-59 years, male 1365.0
GTEX-1AYD5-2726-SM-7MXVG 50-59 years, male 1309.1
GTEX-1QEPI-0626-SM-E76QE 60-69 years, female 1205.1
GTEX-WYVS-2026-SM-4RGNS 40-49 years, female 1111.4
GTEX-1445S-2926-SM-5O993 60-69 years, male 1110.1
GTEX-17KNJ-2726-SM-7KFRE 50-59 years, male 1106.0
GTEX-1JN1M-2426-SM-ARU93 60-69 years, female 1101.7
GTEX-145ME-1626-SM-5RQI3 40-49 years, female 1097.6
GTEX-1IE54-0826-SM-AHZ2Z 40-49 years, female 1095.3
GTEX-1314G-2026-SM-5LZUM 30-39 years, male 1089.7
GTEX-1JN6P-2526-SM-CNNPX 60-69 years, male 1088.0
GTEX-13111-2326-SM-5LZUQ 50-59 years, male 1050.5
GTEX-1LVAO-2626-SM-EVR4S 60-69 years, male 1004.7
GTEX-14JIY-3026-SM-6EU1R 60-69 years, male 971.6
GTEX-11TUW-2426-SM-5EQKB 60-69 years, male 956.0
GTEX-1R9PM-1726-SM-E8VOA 20-29 years, male 953.9
GTEX-1HR9M-2526-SM-A9G3J 60-69 years, male 942.6
GTEX-1GTWX-2526-SM-9JGHG 60-69 years, male 909.9
GTEX-1I1HK-2526-SM-A96SM 60-69 years, male 908.4
GTEX-1J8EW-2826-SM-A96T9 60-69 years, female 896.2
GTEX-178AV-1426-SM-6LLID 40-49 years, male 892.2
GTEX-1QMI2-0426-SM-EWRND 60-69 years, male 863.1
GTEX-X15G-2126-SM-4PQZR 50-59 years, female 862.0
GTEX-WOFM-2126-SM-4OOSR 20-29 years, male 860.4
GTEX-1R9PO-2626-SM-E6CPU 60-69 years, female 852.7
GTEX-ZC5H-2726-SM-5KLZW 40-49 years, female 847.4
GTEX-11ZTS-3026-SM-5EQM7 60-69 years, female 846.5
GTEX-1IY9M-2926-SM-A96TH 60-69 years, male 824.7
GTEX-1J1R8-1826-SM-AHZ3B 40-49 years, male 823.5
GTEX-ZXG5-2826-SM-5NQ8T 60-69 years, male 809.2
GTEX-14PN4-2526-SM-686ZG 50-59 years, male 805.0
GTEX-13G51-2426-SM-5LZY8 60-69 years, male 801.8
GTEX-13113-1526-SM-5EGHV 60-69 years, female 796.7
GTEX-1AX9K-2126-SM-72D7K 50-59 years, male 794.3
GTEX-1S83E-0626-SM-E9TKC 40-49 years, male 787.8
GTEX-18D9U-2226-SM-7KFTN 40-49 years, male 786.6
GTEX-131XF-2826-SM-5EGKH 60-69 years, male 767.3
GTEX-11P82-0926-SM-5986X 20-29 years, male 761.9
GTEX-13OVK-1826-SM-6PALE 40-49 years, male 760.9
GTEX-1MGNQ-1926-SM-DTX8L 40-49 years, male 728.9
GTEX-11ZTT-2226-SM-5CVLP 60-69 years, female 726.7
GTEX-1117F-3026-SM-5GZYU 60-69 years, female 720.4
GTEX-1C64O-0626-SM-7DHL1 60-69 years, male 719.2
GTEX-ZG7Y-2426-SM-DO11H 50-59 years, male 713.6
GTEX-1J8QM-1826-SM-A96TA 60-69 years, female 699.2
GTEX-1EH9U-2926-SM-7DHLX 60-69 years, male 683.9
GTEX-1B932-0626-SM-731EM 40-49 years, female 681.0
GTEX-ZA64-1726-SM-5CVMF 20-29 years, male 677.0
GTEX-ZQUD-2126-SM-51MSY 30-39 years, male 674.2
GTEX-13CF2-2426-SM-5LZYL 60-69 years, male 673.7
GTEX-XMK1-2626-SM-4B65R 40-49 years, male 672.5
GTEX-XV7Q-2426-SM-4BRV8 40-49 years, female 669.5
GTEX-WH7G-2126-SM-4M1XU 40-49 years, male 659.2
GTEX-WY7C-1426-SM-4OND1 50-59 years, male 650.7
GTEX-1GF9X-0226-SM-7P8SM 40-49 years, female 637.8
GTEX-13OVI-2326-SM-5KM47 60-69 years, female 634.0
GTEX-Y5V6-2226-SM-4VDTC 60-69 years, male 633.5
GTEX-1GN1V-2926-SM-9JGI3 60-69 years, male 633.2
GTEX-1S82P-0726-SM-EVR4O 60-69 years, female 633.1
GTEX-1I6K7-0926-SM-A96SV 40-49 years, male 631.6
GTEX-1QCLZ-2526-SM-EXUST 60-69 years, female 631.1
GTEX-1OJC4-3126-SM-EXOJK 50-59 years, female 621.3
GTEX-131XH-2626-SM-5GCNP 50-59 years, male 617.6
GTEX-Y3I4-1926-SM-4TT8L 50-59 years, male 613.9
GTEX-ZPU1-2326-SM-57WEP 40-49 years, male 612.0
GTEX-14PJ3-1526-SM-664O9 50-59 years, male 606.2
GTEX-18A7B-2826-SM-7KFTK 70-79 years, male 599.2
GTEX-1HFI7-2426-SM-B2LXV 50-59 years, female 599.1
GTEX-1HSGN-0626-SM-A9G2E 40-49 years, female 586.0
GTEX-11P81-2026-SM-5P9GT 30-39 years, female 581.8
GTEX-1IDJC-1626-SM-AHZ2R 50-59 years, male 581.7
GTEX-1P4AB-2926-SM-EXOJR 50-59 years, male 581.6
GTEX-146FR-1226-SM-5SIA7 60-69 years, female 580.7
GTEX-1HSMQ-0926-SM-A96SI 50-59 years, male 580.2
GTEX-1C6VR-0726-SM-7P8OV 60-69 years, male 577.2
GTEX-Y111-2626-SM-4TT24 50-59 years, male 576.4
GTEX-15CHC-1226-SM-686ZH 60-69 years, female 576.2
GTEX-WFJO-2026-SM-4LVM3 30-39 years, male 575.8
GTEX-15EU6-2626-SM-7KUN4 50-59 years, male 572.9
GTEX-1NSGN-0626-SM-E9J35 50-59 years, male 570.5
GTEX-11NV4-1926-SM-5N9D4 60-69 years, male 565.6
GTEX-1339X-2326-SM-5HL5B 40-49 years, male 563.3
GTEX-1H1CY-2326-SM-9OSXW 60-69 years, female 562.3
GTEX-1AX8Z-0626-SM-731EH 60-69 years, male 559.9
GTEX-1GMR2-2026-SM-7MKHK 50-59 years, male 559.3
GTEX-1IOXB-2826-SM-AHZ32 50-59 years, male 555.6
GTEX-WHSB-2326-SM-4M1XK 50-59 years, male 550.8
GTEX-13O21-1926-SM-5MR39 50-59 years, male 550.3
GTEX-13JVG-2926-SM-5J2N9 60-69 years, male 548.4
GTEX-14E1K-2626-SM-664OJ 50-59 years, male 545.9
GTEX-1RNSC-2926-SM-EV79L 60-69 years, male 534.1
GTEX-1PIEJ-0626-SM-DTX99 20-29 years, female 531.7
GTEX-11EMC-2526-SM-5PNVU 60-69 years, female 526.7
GTEX-ZQG8-2126-SM-4YCF1 60-69 years, female 525.4
GTEX-YF7O-2226-SM-5CVN8 50-59 years, male 514.7
GTEX-1MCQQ-2226-SM-DLHC4 60-69 years, male 512.0
GTEX-18A67-0626-SM-7KFSL 50-59 years, male 502.0
GTEX-1POEN-2226-SM-DPRXV 30-39 years, female 491.4
GTEX-1GPI7-0326-SM-7MKH6 20-29 years, male 488.0
GTEX-12WSL-2126-SM-5GCNG 50-59 years, male 484.7
GTEX-14PJN-1726-SM-69LO7 30-39 years, male 481.3
GTEX-1OJC3-1026-SM-E6CQK 20-29 years, male 480.0
GTEX-XGQ4-2626-SM-4AT6B 50-59 years, male 474.9
GTEX-13OVL-2926-SM-5IFG3 50-59 years, male 469.1
GTEX-15RJE-2726-SM-6LPJ1 40-49 years, male 469.0
GTEX-1I6K6-0626-SM-ARU7J 30-39 years, male 468.3
GTEX-1HSEH-1826-SM-A96SA 60-69 years, male 464.2
GTEX-15SHV-2226-SM-6M464 60-69 years, male 458.0
GTEX-1KD4Q-2526-SM-CXZKL 40-49 years, male 457.3
GTEX-YB5K-1726-SM-5IFIZ 40-49 years, female 456.7
GTEX-1QP9N-2026-SM-DPRZT 30-39 years, male 448.5
GTEX-13NYB-2426-SM-5IFF4 40-49 years, male 446.6
GTEX-111FC-2926-SM-5GZY7 60-69 years, male 445.2
GTEX-1C4CL-2026-SM-731EB 30-39 years, male 444.2
GTEX-1I4MK-1326-SM-B2LWT 50-59 years, female 440.6
GTEX-1R9K4-0526-SM-E76P1 60-69 years, male 440.4
GTEX-12WSN-2226-SM-5DUXT 40-49 years, male 436.8
GTEX-1GZ2Q-2526-SM-9KNVW 40-49 years, male 433.4
GTEX-1B8KZ-1726-SM-73KV7 50-59 years, male 429.9
GTEX-1HCU7-0126-SM-C1YR3 50-59 years, male 424.6
GTEX-14B4R-1426-SM-5Q5CG 30-39 years, male 421.7
GTEX-1JKYR-0726-SM-AHZ3K 20-29 years, male 414.2
GTEX-1AMEY-1126-SM-72D79 30-39 years, female 413.9
GTEX-ZT9W-2126-SM-51MSF 50-59 years, male 413.9
GTEX-1LKK1-2926-SM-EVR4Z 50-59 years, female 413.5
GTEX-1KD5A-2226-SM-EV79U 50-59 years, male 411.6
GTEX-1LBAC-0626-SM-D3L9T 20-29 years, male 406.1
GTEX-12WSM-1826-SM-5BC64 60-69 years, male 405.2
GTEX-1RAZA-0626-SM-EAZ4H 20-29 years, male 404.6
GTEX-1LC47-2426-SM-DHXKK 60-69 years, male 399.0
GTEX-1MCC2-2226-SM-EV7AJ 30-39 years, female 384.2
GTEX-1H4P4-2026-SM-9WPNV 50-59 years, male 384.1
GTEX-X5EB-1726-SM-4E3J7 40-49 years, male 378.7
GTEX-ZE7O-2926-SM-51MSG 50-59 years, female 376.6
GTEX-1PPH8-1526-SM-E6CQO 20-29 years, male 371.7
GTEX-1GN1W-2526-SM-9JGHX 50-59 years, female 361.7
GTEX-13QJC-2326-SM-5Q5CD 60-69 years, female 358.4
GTEX-1CB4I-2526-SM-7MKG1 50-59 years, male 358.4
GTEX-1IDJD-2526-SM-C1YSA 30-39 years, male 350.1
GTEX-1C64N-2926-SM-79OLM 50-59 years, male 347.0
GTEX-1LVA9-2526-SM-EVR5H 50-59 years, male 344.5
GTEX-17MFQ-1626-SM-7938Z 20-29 years, male 344.4
GTEX-1B8SF-1826-SM-731DJ 60-69 years, male 344.2
GTEX-11EQ9-2026-SM-5P9JI 30-39 years, male 333.8
GTEX-13VXT-1726-SM-5IFF5 20-29 years, female 331.4
GTEX-1LSNL-2626-SM-EV7AT 50-59 years, male 330.3
GTEX-ZAB5-2326-SM-5IJFR 50-59 years, male 327.9
GTEX-1KANC-1326-SM-CYPT8 50-59 years, female 326.2
GTEX-1A3MV-1726-SM-72D68 30-39 years, male 323.7
GTEX-Y5LM-1826-SM-4VDT9 40-49 years, female 322.2
GTEX-ZF29-2126-SM-DNZYX 60-69 years, female 319.8
GTEX-1B97J-2126-SM-79OL6 50-59 years, female 290.9
GTEX-ZLWG-2026-SM-DO11F 50-59 years, female 290.6
GTEX-11WQK-2926-SM-5EQKT 50-59 years, male 287.5
GTEX-12BJ1-2226-SM-5BC6G 60-69 years, male 258.8
GTEX-ZP4G-1926-SM-57WDZ 20-29 years, female 252.8
GTEX-18QFQ-0626-SM-718AW 30-39 years, male 248.9
GTEX-ZLFU-2226-SM-EXUS7 40-49 years, male 236.6
GTEX-13QBU-2126-SM-5KLZN 40-49 years, female 236.0
GTEX-1192X-2926-SM-5N9BA 50-59 years, male 231.4
GTEX-X261-2426-SM-4PQZU 50-59 years, male 207.5
Show allShow less

SALIVARY GLAND - FANTOM5 CAGEi

RNA expression in human tissues obtained through Cap Analysis of Gene Expression (CAGE) generated by the FANTOM5 project are reported as Scaled Tags Per Million.

Max subtype Scaled Tags Per Millioni

Max subtype Scaled Tags Per Million is the value for the subtype with the largest average Scaled Tags Per Million across the subtype samples.

2658.5
FANTOM5 sample id Sample description Scaled Tags Per Million
Parotid gland
Scaled Tags Per Million: 1821.4
FF:10199-103F1 23 years, male 1821.4
Salivary gland
Scaled Tags Per Million: 2658.5
FF:10093-102C3 16-60 years, mixed 2658.5
Submaxillary gland
Scaled Tags Per Million: 2031.9
FF:10202-103F4 24 years, male 2031.9

Contact

  • NEWS ARTICLES
  • PRESS ROOM

The Project

  • INTRODUCTION
  • ORGANIZATION
  • PUBLICATIONS

The Human Protein Atlas

  • DOWNLOADABLE DATA
  • LICENCE & CITATION
  • HELP & FAQ
The Human Protein Atlas project is funded
by the Knut & Alice Wallenberg Foundation.


contact@proteinatlas.org