We use cookies to enhance the usability of our website. If you continue, we'll assume that you are happy to receive all cookies. More information. Don't show this again.
CD74
HPA
RESOURCES
  • TISSUE
  • BRAIN
  • SINGLE CELL
  • SUBCELLULAR
  • CANCER
  • BLOOD
  • CELL LINE
  • STRUCTURE & INTERACTION
ABOUT
  • INTRODUCTION
  • HISTORY
  • ORGANIZATION
  • PUBLICATIONS
  • ANTIBODY SUBMISSION
  • ANTIBODY AVAILABILITY
  • ACKNOWLEDGMENTS
  • CONTACT
NEWS
  • NEWS ARTICLES
  • PRESS ROOM
LEARN
  • DICTIONARY
  • PROTEIN CLASSES
  • PROTEIN EVIDENCE
  • METHODS
  • EDUCATIONAL VIDEOS
DATA
  • DOWNLOADABLE DATA
  • PUBLICATION DATA
  • RELEASE HISTORY
HELP
  • ANTIBODY VALIDATION
  • ASSAYS & ANNOTATION
  • DISCLAIMER
  • HELP & FAQ
  • PRIVACY STATEMENT
  • LICENCE & CITATION
Fields »
Search result

Field
Term
Gene name
Class
Subclass
Class
Keyword
Chromosome
External id
Tissue
Cell type
Expression
Antibody panel
Tissue
Main location
Patient ID
Annotation
Tissue
Category
Tau score
Cluster
Reliability
Brain region
Category
Tau score
Brain region
Category
Tau score
Brain region
Category
Tau score
Cluster
Reliability
Tissue
Cell type
Enrichment
Cell type
Category
Tau score
Cell type
Category
Tau score
Cell type
Category
Tau score
Cell lineage
Category
Tau score
Cluster
Cluster
Location
Searches
Location
Cell line
Class
Type
Phase
Reliability
Cancer
Prognosis
Cancer
Category
Cancer
Category
Tau score
Cluster
Variants
Interacting gene (ensg_id)
Type
Number of interactions
Pathway
Category
Score
Score
Score
Validation
Validation
Validation
Validation
Antibodies
Data type
Column


  • SUMMARY

  • TISSUE

  • BRAIN

  • SINGLE CELL

  • SUBCELL

  • CANCER

  • BLOOD

  • CELL LINE

  • STRUCT & INT

  • CD74
TISSUE PRIMARY DATA VAGINA Show tissue menu
ADIPOSE TISSUE ADRENAL GLAND AMYGDALA APPENDIX BASAL GANGLIA BONE MARROW BREAST BRONCHUS CEREBELLUM CEREBRAL CORTEX CERVIX CHOROID PLEXUS COLON DUODENUM
ENDOMETRIUM EPIDIDYMIS ESOPHAGUS FALLOPIAN TUBE GALLBLADDER HEART MUSCLE HIPPOCAMPAL FORMATION HYPOTHALAMUS KIDNEY LIVER LUNG LYMPH NODE MIDBRAIN NASOPHARYNX
ORAL MUCOSA OVARY PANCREAS PARATHYROID GLAND PITUITARY GLAND PLACENTA PROSTATE RECTUM RETINA SALIVARY GLAND SEMINAL VESICLE SKELETAL MUSCLE SKIN SMALL INTESTINE
SMOOTH MUSCLE SOFT TISSUE SPINAL CORD SPLEEN STOMACH TESTIS THYMUS THYROID GLAND TONGUE TONSIL URINARY BLADDER VAGINA
ANTIBODIES
AND
VALIDATION
Dictionary
Vagina
Tissue proteome
Vagina
VAGINA - Expression summary
Protein expression
Vaginai

On the top, protein expression in current human tissue, based on all annotated cell types, is reported with the units not detected (n), low (l), medium (m) and high (h). Underneath, protein expression in each annotated cell type are reported using the same units.

Protein expression data is based on knowledge-based annotation. For genes where more than one antibody has been used, a collective score is set.

If knowledge-based annotation could not be performed for a gene, no data is displayed here. View antibody staining data further down this page.

h
m
l
n
Squamous epithelial cells: Not detected
RNA expressioni

A summary of mRNA expression data available for current tissue based on several datasets. The mRNA expression levels in human tissues are based on RNA-seq data generated by the Human Protein Atlas (HPA), Genotype-Tissue Expression (GTEx) portal and CAGE data generated by the FANTOM5 consortium. Consensus normalized expression levels for human tissues was created by combining the data from HPA and GTEx datasets.

The mRNA expression levels in pig are based on RNA-seq data generated by the Human Protein Atlas (HPA), and for mouse, HPA data and in situ hybridization generated by the Allen brain atlas are reported.

Scroll down to view mRNA expression data in more detail.
Consensus:468.1 nTPM
GTEx:468.1 nTPM
FANTOM5:1041.1 Scaled Tags Per Million

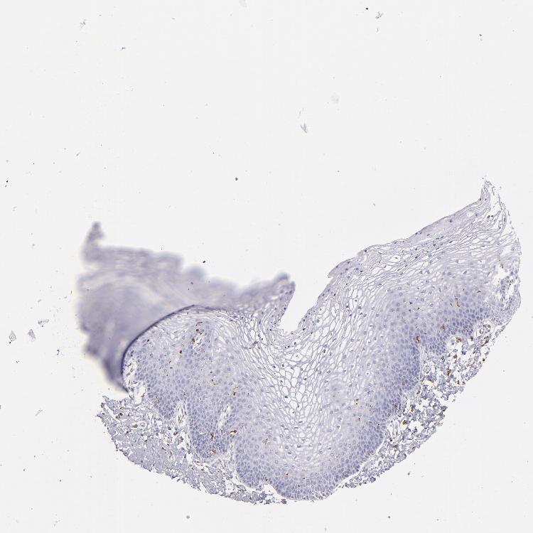
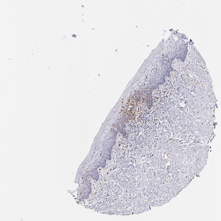
VAGINA - Antibody stainingi

Antibody staining in the annotated cell types in the current human tissue is reported as not detected, low, medium, or high, based on conventional immunohistochemistry profiling in selected tissues. This score is based on the combination of the staining intensity and fraction of stained cells.

Each image is clickable and will lead to virtual microscopy that enables deeper exploration of all samples and also displays staining intensity scores, fraction scores and subcellular localization as well as patient and tissue information for each sample.

Antibody HPA010592Antibody CAB002506Antibody CAB079994
Squamous epithelial cells Not detectedNot detectedNot detected




VAGINA - GTEx RNA-seqi

RNA-Seq data generated by the Genotype-Tissue Expression (GTEx) project from human tissues is reported as mean nTPM. More information can be found on the GTEx portal.

Distribution across the dataset is visualized with box plots, shown as median and 25th and 75th percentiles. Points are displayed as outliers if they are above or below 1.5 times the interquartile range. nTPM values of the individual samples are presented next to the box plot.
Max subtype nTPMi

Max subtype nTPM is the value for the subtype with the largest average nTPM across the subtype samples.

468.1
GTEx sample id Sample description nTPM
Vagina
Average nTPM: 468.1
Samples: 156

Max nTPM: 2715.5
Min nTPM: 83.0
Std nTPM: 299.9
Median nTPM: 403.6
GTEX-1HCU8-2026-SM-9YFLE 60-69 years, female 2715.5
GTEX-1F48J-2526-SM-7P8TU 50-59 years, female 1304.5
GTEX-1JN1M-2326-SM-ARZNG 60-69 years, female 1066.6
GTEX-PX3G-2526-SM-48TZV 20-29 years, female 1029.7
GTEX-1LH75-1726-SM-DHXKZ 50-59 years, female 1026.3
GTEX-OHPN-2426-SM-E9TI5 60-69 years, female 998.2
GTEX-13PVR-1426-SM-5S2PW 60-69 years, female 984.7
GTEX-14PJM-2926-SM-69LOE 50-59 years, female 983.8
GTEX-145LS-2526-SM-5TDC9 60-69 years, female 924.8
GTEX-XV7Q-1626-SM-4BRWC 40-49 years, female 905.7
GTEX-13U4I-2026-SM-5LU3L 40-49 years, female 903.5
GTEX-1HFI7-1126-SM-A96S5 50-59 years, female 903.3
GTEX-1PIEJ-1926-SM-EVYB7 20-29 years, female 848.6
GTEX-ZV6S-1326-SM-59HJA 40-49 years, female 832.1
GTEX-1GF9U-1926-SM-7P8TZ 40-49 years, female 824.5
GTEX-1JN76-1526-SM-CNPPF 20-29 years, female 809.8
GTEX-ZQG8-1126-SM-51MRL 60-69 years, female 799.8
GTEX-WYVS-1426-SM-4ONCV 40-49 years, female 795.4
GTEX-1IE54-2626-SM-CMKFY 40-49 years, female 790.2
GTEX-13N11-1526-SM-5L3FL 50-59 years, female 779.6
GTEX-11GSP-2226-SM-5HL5Q 60-69 years, female 777.6
GTEX-11DXX-1726-SM-5H11T 60-69 years, female 774.7
GTEX-17JCI-2526-SM-7DHLB 60-69 years, female 747.5
GTEX-12ZZX-1926-SM-5EGKC 40-49 years, female 743.5
GTEX-1I4MK-1726-SM-ARL7O 50-59 years, female 736.3
GTEX-15DYW-2926-SM-6PANA 60-69 years, female 732.8
GTEX-1EWIQ-2326-SM-7IGNF 70-79 years, female 723.0
GTEX-131YS-2426-SM-5J2OD 60-69 years, female 715.1
GTEX-14DAQ-2326-SM-5S2QX 60-69 years, female 698.5
GTEX-12WSD-2926-SM-5LZUH 60-69 years, female 695.6
GTEX-QDT8-2526-SM-48TYX 30-39 years, female 693.5
GTEX-WRHU-2926-SM-4MVNQ 50-59 years, female 680.4
GTEX-14PJ6-1626-SM-6872D 60-69 years, female 655.8
GTEX-ZTPG-2226-SM-57WF9 20-29 years, female 645.6
GTEX-1LGRB-2126-SM-COH48 50-59 years, female 633.9
GTEX-OHPL-2526-SM-3MJGT 60-69 years, female 633.8
GTEX-S4UY-1326-SM-4AD4X 40-49 years, female 627.2
GTEX-QCQG-1226-SM-48U23 50-59 years, female 618.7
GTEX-W5WG-1026-SM-4LMIF 50-59 years, female 613.6
GTEX-15ER7-2526-SM-7KUFW 20-29 years, female 560.6
GTEX-ZVT3-2726-SM-5GU5X 60-69 years, female 555.9
GTEX-1I1GT-1226-SM-B2LVK 60-69 years, female 550.5
GTEX-Y3IK-2226-SM-4YCD4 50-59 years, female 537.5
GTEX-NPJ7-2526-SM-EV79A 60-69 years, female 533.1
GTEX-TML8-1126-SM-4DXSS 40-49 years, female 527.9
GTEX-WEY5-0826-SM-4LMIH 40-49 years, female 527.3
GTEX-RWS6-1726-SM-47JXP 60-69 years, female 527.0
GTEX-T2IS-1926-SM-4DM74 20-29 years, female 522.9
GTEX-1HCU6-2326-SM-ACKXP 60-69 years, female 521.3
GTEX-ZAK1-2426-SM-EXOHM 50-59 years, female 517.9
GTEX-13OVI-0926-SM-5J1MI 60-69 years, female 516.7
GTEX-1R9JW-1426-SM-DTX9K 30-39 years, female 516.5
GTEX-X15G-1926-SM-4PQZQ 50-59 years, female 512.7
GTEX-ZYVF-0326-SM-5GIES 50-59 years, female 505.2
GTEX-1GMR8-2526-SM-7RHI9 50-59 years, female 496.6
GTEX-UJHI-1326-SM-4IHJO 50-59 years, female 495.5
GTEX-1QCLZ-2226-SM-DTX7R 60-69 years, female 493.2
GTEX-145ME-1426-SM-5RQJS 40-49 years, female 491.6
GTEX-146FH-2626-SM-5Q5E1 50-59 years, female 485.6
GTEX-YJ8O-1226-SM-5P9JE 40-49 years, female 478.1
GTEX-183WM-2126-SM-7LG4I 70-79 years, female 460.8
GTEX-13W3W-2326-SM-5LU4Y 60-69 years, female 459.1
GTEX-18A7A-2826-SM-7LT8J 50-59 years, female 452.6
GTEX-ZGAY-2226-SM-4YCCX 40-49 years, female 442.8
GTEX-15SDE-1726-SM-6LPJS 50-59 years, female 441.6
GTEX-ZE7O-2426-SM-57WD7 50-59 years, female 435.0
GTEX-11EM3-1826-SM-5A5KO 20-29 years, female 433.0
GTEX-1MCC2-1126-SM-EVYD6 30-39 years, female 426.8
GTEX-XUW1-0326-SM-4BOOR 50-59 years, female 425.5
GTEX-RU1J-1426-SM-46MUV 20-29 years, female 420.4
GTEX-1NUQO-1826-SM-E6CQU 20-29 years, female 415.5
GTEX-147F3-1526-SM-5SIAK 50-59 years, female 414.1
GTEX-1A8FM-2426-SM-7IGPE 50-59 years, female 412.1
GTEX-13QIC-1826-SM-5J1MY 60-69 years, female 410.8
GTEX-OHPK-2526-SM-3MJH9 50-59 years, female 405.7
GTEX-PLZ4-2726-SM-3P61A 50-59 years, female 405.5
GTEX-P4PP-2526-SM-3P61P 30-39 years, female 405.1
GTEX-1QPFJ-1626-SM-DTX7X 30-39 years, female 404.8
GTEX-ZVT2-0626-SM-5GICR 50-59 years, female 402.4
GTEX-1399U-1526-SM-5J2N7 50-59 years, female 398.5
GTEX-Q734-1426-SM-DTXFX 40-49 years, female 397.6
GTEX-1AMFI-1526-SM-73KVY 50-59 years, female 397.5
GTEX-12WSJ-1326-SM-5GCOB 40-49 years, female 394.2
GTEX-X8HC-2826-SM-46MWJ 50-59 years, female 394.1
GTEX-S7SF-1426-SM-4AT5A 20-29 years, female 386.7
GTEX-1C475-0526-SM-793AC 40-49 years, female 382.5
GTEX-15UF6-2126-SM-6M46Z 70-79 years, female 381.6
GTEX-XUZC-1226-SM-4BRVJ 30-39 years, female 381.3
GTEX-ZP4G-0826-SM-4WWF3 20-29 years, female 377.4
GTEX-13D11-1326-SM-5IJFY 50-59 years, female 376.8
GTEX-15SB6-1426-SM-7KUEM 50-59 years, female 374.0
GTEX-1HCUA-1026-SM-A9SMI 50-59 years, female 366.0
GTEX-ZC5H-2226-SM-4WAWS 40-49 years, female 365.6
GTEX-1LVAM-1926-SM-E6CIM 50-59 years, female 364.9
GTEX-U3ZN-0926-SM-4DXTU 30-39 years, female 361.7
GTEX-14BMU-1926-SM-5S2QC 20-29 years, female 358.9
GTEX-1ICG6-1626-SM-ARL81 70-79 years, female 354.8
GTEX-Y114-1926-SM-4TT8J 50-59 years, female 347.1
GTEX-146FR-2426-SM-5NQAU 60-69 years, female 342.2
GTEX-13QBU-1726-SM-5IJFQ 40-49 years, female 340.9
GTEX-11XUK-1326-SM-5EQM4 40-49 years, female 339.3
GTEX-113JC-1926-SM-5N9GE 50-59 years, female 338.0
GTEX-1IDJU-1026-SM-AHZ2U 60-69 years, female 334.7
GTEX-1F5PL-1826-SM-7P8PP 40-49 years, female 334.4
GTEX-TMMY-1926-SM-4DXUU 40-49 years, female 332.0
GTEX-Y8LW-1426-SM-5RQJJ 50-59 years, female 323.3
GTEX-14JG6-0726-SM-69LQH 30-39 years, female 318.5
GTEX-1GN1U-2426-SM-9KNTU 50-59 years, female 318.3
GTEX-P78B-2226-SM-3P5ZZ 40-49 years, female 317.0
GTEX-1QP28-1426-SM-EVR4E 50-59 years, female 316.2
GTEX-14PN3-1626-SM-6AJAV 60-69 years, female 313.4
GTEX-11TTK-2726-SM-5GU58 60-69 years, female 303.2
GTEX-ZLWG-1126-SM-4WWFQ 50-59 years, female 294.4
GTEX-131XG-2126-SM-5DUXG 50-59 years, female 287.6
GTEX-15SHU-2926-SM-7KUKT 40-49 years, female 284.5
GTEX-PWN1-2526-SM-48TDS 40-49 years, female 282.0
GTEX-PWCY-1726-SM-48TD3 20-29 years, female 275.3
GTEX-14H4A-2426-SM-664OQ 40-49 years, female 265.0
GTEX-1LGOU-1126-SM-D3LAI 20-29 years, female 264.6
GTEX-QVJO-2526-SM-CYPRA 60-69 years, female 261.9
GTEX-S4P3-1126-SM-4AD52 50-59 years, female 255.2
GTEX-16NGA-1626-SM-72D6M 40-49 years, female 252.8
GTEX-1399S-2326-SM-5K7YV 30-39 years, female 248.5
GTEX-11VI4-0726-SM-5GU5B 40-49 years, female 246.0
GTEX-TSE9-2526-SM-4DXUS 60-69 years, female 245.5
GTEX-14PKU-1326-SM-6871B 40-49 years, female 244.1
GTEX-11P81-2126-SM-5HL6N 30-39 years, female 238.3
GTEX-ZYY3-2626-SM-5N9DH 60-69 years, female 237.5
GTEX-14A5I-2726-SM-5SIB3 50-59 years, female 236.4
GTEX-SN8G-2626-SM-EXUQT 50-59 years, female 233.5
GTEX-1GN1W-1526-SM-7P8TG 50-59 years, female 232.0
GTEX-T6MO-1226-SM-4DM5S 40-49 years, female 230.3
GTEX-1LNCM-1026-SM-E9U5D 50-59 years, female 221.6
GTEX-ZXES-0626-SM-5E45P 30-39 years, female 214.1
GTEX-YFC4-2926-SM-5IFJ8 40-49 years, female 214.0
GTEX-1S5ZU-2626-SM-E9TII 20-29 years, female 204.5
GTEX-18D9A-1026-SM-7KFRU 30-39 years, female 187.9
GTEX-11I78-2026-SM-5987C 50-59 years, female 182.2
GTEX-1CAMS-2326-SM-793CR 40-49 years, female 177.1
GTEX-1HBPM-2726-SM-9WYUA 60-69 years, female 176.8
GTEX-16NPV-2526-SM-6M483 50-59 years, female 176.7
GTEX-1LVAN-1626-SM-CNPQ7 50-59 years, female 173.9
GTEX-13PL7-2726-SM-5L3GB 60-69 years, female 167.9
GTEX-1J8EW-2526-SM-CKZO2 60-69 years, female 159.5
GTEX-1J1OQ-1826-SM-CL53R 40-49 years, female 158.0
GTEX-ZZPU-2226-SM-5EGIV 50-59 years, female 154.7
GTEX-11EMC-1926-SM-5A5JU 60-69 years, female 151.6
GTEX-1MCYP-1326-SM-EV7AD 20-29 years, female 147.7
GTEX-N7MT-1926-SM-3LK5N 60-69 years, female 145.4
GTEX-1JMQL-2326-SM-CNNPV 50-59 years, female 137.0
GTEX-SE5C-1126-SM-4BRWZ 40-49 years, female 135.3
GTEX-1117F-2526-SM-5GZY6 60-69 years, female 132.9
GTEX-17F9Y-2326-SM-7DUFP 70-79 years, female 132.2
GTEX-14AS3-1726-SM-5RQJV 40-49 years, female 116.5
GTEX-1HBPH-2926-SM-9WPNX 40-49 years, female 96.8
GTEX-S341-1226-SM-4AD5S 40-49 years, female 83.0
Show allShow less

VAGINA - FANTOM5 CAGEi

RNA expression in human tissues obtained through Cap Analysis of Gene Expression (CAGE) generated by the FANTOM5 project are reported as Scaled Tags Per Million.

Max subtype Scaled Tags Per Millioni

Max subtype Scaled Tags Per Million is the value for the subtype with the largest average Scaled Tags Per Million across the subtype samples.

1041.1
FANTOM5 sample id Sample description Scaled Tags Per Million
Vagina
Scaled Tags Per Million: 1041.1
FF:10204-103F6 68 years, female 1041.1

Contact

  • NEWS ARTICLES
  • PRESS ROOM

The Project

  • INTRODUCTION
  • ORGANIZATION
  • PUBLICATIONS

The Human Protein Atlas

  • DOWNLOADABLE DATA
  • LICENCE & CITATION
  • HELP & FAQ
The Human Protein Atlas project is funded
by the Knut & Alice Wallenberg Foundation.


contact@proteinatlas.org