We use cookies to enhance the usability of our website. If you continue, we'll assume that you are happy to receive all cookies. More information. Don't show this again.
FHL1
HPA
RESOURCES
  • TISSUE
  • BRAIN
  • SINGLE CELL
  • SUBCELLULAR
  • CANCER
  • BLOOD
  • CELL LINE
  • STRUCTURE & INTERACTION
ABOUT
  • INTRODUCTION
  • HISTORY
  • ORGANIZATION
  • PUBLICATIONS
  • ANTIBODY SUBMISSION
  • ANTIBODY AVAILABILITY
  • ACKNOWLEDGMENTS
  • CONTACT
NEWS
  • NEWS ARTICLES
  • PRESS ROOM
LEARN
  • DICTIONARY
  • PROTEIN CLASSES
  • PROTEIN EVIDENCE
  • METHODS
  • EDUCATIONAL VIDEOS
DATA
  • DOWNLOADABLE DATA
  • PUBLICATION DATA
  • RELEASE HISTORY
HELP
  • ANTIBODY VALIDATION
  • ASSAYS & ANNOTATION
  • DISCLAIMER
  • HELP & FAQ
  • PRIVACY STATEMENT
  • LICENCE & CITATION
Fields »
Search result

Field
Term
Gene name
Class
Subclass
Class
Keyword
Chromosome
External id
Tissue
Cell type
Expression
Antibody panel
Tissue
Main location
Patient ID
Annotation
Tissue
Category
Tau score
Cluster
Reliability
Brain region
Category
Tau score
Brain region
Category
Tau score
Brain region
Category
Tau score
Cluster
Reliability
Tissue
Cell type
Enrichment
Cell type
Category
Tau score
Cell type
Category
Tau score
Cell type
Category
Tau score
Cell lineage
Category
Tau score
Cluster
Cluster
Location
Searches
Location
Cell line
Class
Type
Phase
Reliability
Cancer
Prognosis
Cancer
Category
Cancer
Category
Tau score
Cluster
Variants
Interacting gene (ensg_id)
Type
Number of interactions
Pathway
Category
Score
Score
Score
Validation
Validation
Validation
Validation
Antibodies
Data type
Column


  • SUMMARY

  • TISSUE

  • BRAIN

  • SINGLE CELL

  • SUBCELL

  • CANCER

  • BLOOD

  • CELL LINE

  • STRUCT & INT

  • FHL1
TISSUE PRIMARY DATA HEART MUSCLE Show tissue menu
ADIPOSE TISSUE ADRENAL GLAND AMYGDALA APPENDIX BASAL GANGLIA BONE MARROW BREAST BRONCHUS CEREBELLUM CEREBRAL CORTEX CERVIX CHOROID PLEXUS COLON DUODENUM
ENDOMETRIUM EPIDIDYMIS ESOPHAGUS FALLOPIAN TUBE GALLBLADDER HEART MUSCLE HIPPOCAMPAL FORMATION HYPOTHALAMUS KIDNEY LIVER LUNG LYMPH NODE MIDBRAIN NASOPHARYNX
ORAL MUCOSA OVARY PANCREAS PARATHYROID GLAND PITUITARY GLAND PLACENTA PROSTATE RECTUM RETINA SALIVARY GLAND SEMINAL VESICLE SKELETAL MUSCLE SKIN SMALL INTESTINE
SMOOTH MUSCLE SOFT TISSUE SPINAL CORD SPLEEN STOMACH TESTIS THYMUS THYROID GLAND TONGUE TONSIL URINARY BLADDER VAGINA
ANTIBODIES
AND
VALIDATION
Dictionary
Heart muscle
Tissue proteome
Heart
HEART MUSCLE - Expression summary
Protein expression
Heart musclei

On the top, protein expression in current human tissue, based on all annotated cell types, is reported with the units not detected (n), low (l), medium (m) and high (h). Underneath, protein expression in each annotated cell type are reported using the same units.

Protein expression data is based on knowledge-based annotation. For genes where more than one antibody has been used, a collective score is set.

If knowledge-based annotation could not be performed for a gene, no data is displayed here. View antibody staining data further down this page.

h
m
l
n
Cardiomyocytes: Medium
RNA expressioni

A summary of mRNA expression data available for current tissue based on several datasets. The mRNA expression levels in human tissues are based on RNA-seq data generated by the Human Protein Atlas (HPA), Genotype-Tissue Expression (GTEx) portal and CAGE data generated by the FANTOM5 consortium. Consensus normalized expression levels for human tissues was created by combining the data from HPA and GTEx datasets.

The mRNA expression levels in pig are based on RNA-seq data generated by the Human Protein Atlas (HPA), and for mouse, HPA data and in situ hybridization generated by the Allen brain atlas are reported.

Scroll down to view mRNA expression data in more detail.
Consensus:1410.4 nTPM
HPA:1410.4 nTPM
GTEx:1017.2 nTPM
FANTOM5:801.8 Scaled Tags Per Million

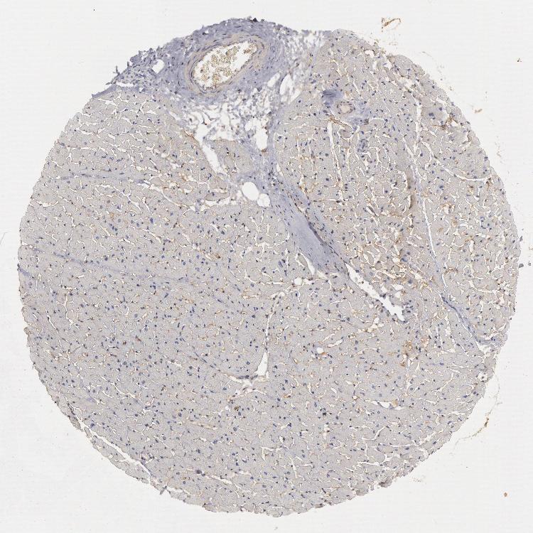
HEART MUSCLE - Antibody stainingi

Antibody staining in the annotated cell types in the current human tissue is reported as not detected, low, medium, or high, based on conventional immunohistochemistry profiling in selected tissues. This score is based on the combination of the staining intensity and fraction of stained cells.

Each image is clickable and will lead to virtual microscopy that enables deeper exploration of all samples and also displays staining intensity scores, fraction scores and subcellular localization as well as patient and tissue information for each sample.

Antibody HPA001040Antibody HPA001391Antibody CAB020817
Cardiomyocytes HighLowMedium







HEART MUSCLE - HPA RNA-seqi

The RNA-seq details section shows detailed information about the individual samples used for the transcript profiling and results of the RNA-seq analysis.

Information about each individual sample is listed below, including gender, age, a tissue section image and estimated fractions of cell types. nTPM (normalized transcripts per million) values give a quantification of the gene abundance which is comparable between different genes and samples.
Average nTPMi

Max subtype nTPM is the value for the subtype with the largest average nTPM across the subtype samples.

1410.4
overview
Female, age 48
Heart muscle sample 149
nTPM: 2308.5
Cell types%
Myocytes:
15

Fibroblasts:
55

Endothelial cells:
25

Other cell types:
5

overview
Female, age 42
Heart muscle sample 150
nTPM: 2063.1
Cell types%
Myocytes:
20

Fibroblasts:
45

Endothelial cells:
30

Other cell types:
5

overview
Male, age 53
Heart muscle sample 151
nTPM: 498.7
Cell types%
Myocytes:
20

Fibroblasts:
45

Endothelial cells:
30

Other cell types:
5

overview
Female, age 69
Heart muscle sample 152
nTPM: 771.3
Cell types%
Myocytes:
20

Fibroblasts:
45

Endothelial cells:
30

Other cell types:
5


HEART MUSCLE - GTEx RNA-seqi

RNA-Seq data generated by the Genotype-Tissue Expression (GTEx) project from human tissues is reported as mean nTPM. More information can be found on the GTEx portal.

Distribution across the dataset is visualized with box plots, shown as median and 25th and 75th percentiles. Points are displayed as outliers if they are above or below 1.5 times the interquartile range. nTPM values of the individual samples are presented next to the box plot.
Max subtype nTPMi

Max subtype nTPM is the value for the subtype with the largest average nTPM across the subtype samples.

1017.2
GTEx sample id Sample description nTPM
Heart - Atrial Appendage
Average nTPM: 532.0
Samples: 429

Max nTPM: 2763.8
Min nTPM: 84.9
Std nTPM: 393.6
Median nTPM: 421.2
GTEX-1A32A-1326-SM-73KWW 50-59 years, female 2763.8
GTEX-13FTW-0826-SM-5K7XR 40-49 years, male 2513.9
GTEX-1LGRB-1026-SM-CNPQD 50-59 years, female 2369.1
GTEX-1RLM8-0226-SM-E6CJY 50-59 years, male 2285.7
GTEX-1HBPM-1026-SM-ARL9D 60-69 years, female 2084.1
GTEX-YF7O-0526-SM-5P9IO 50-59 years, male 2004.5
GTEX-1B996-1026-SM-793CF 60-69 years, male 1913.9
GTEX-X8HC-1026-SM-46MWH 50-59 years, female 1858.6
GTEX-1H1ZS-1026-SM-9WG6E 70-79 years, male 1725.7
GTEX-14PJO-0826-SM-6ETZK 60-69 years, male 1710.7
GTEX-12696-1226-SM-5FQSM 60-69 years, male 1709.5
GTEX-1GZ4I-0826-SM-9WG6O 50-59 years, male 1692.3
GTEX-ZLFU-0326-SM-4WWBK 40-49 years, male 1663.5
GTEX-16XZY-0526-SM-7DHKY 70-79 years, male 1557.9
GTEX-145MN-0726-SM-5NQBH 30-39 years, male 1521.5
GTEX-139TU-1926-SM-5J2OC 60-69 years, male 1515.4
GTEX-1GN1W-0226-SM-7P8QY 50-59 years, female 1485.6
GTEX-13OVI-0326-SM-5K7X1 60-69 years, female 1433.2
GTEX-ZTTD-0626-SM-4YCCY 50-59 years, male 1411.4
GTEX-132QS-0526-SM-5IJC7 60-69 years, male 1335.3
GTEX-UPK5-0226-SM-3GAEV 40-49 years, male 1328.1
GTEX-12WSG-1226-SM-5EQ4C 50-59 years, female 1324.0
GTEX-145LS-1326-SM-5Q5EP 60-69 years, female 1299.7
GTEX-132Q8-1126-SM-5K7XS 60-69 years, male 1272.4
GTEX-132NY-1426-SM-5J1MJ 60-69 years, male 1261.8
GTEX-1IKK5-1726-SM-CM2RU 60-69 years, male 1247.7
GTEX-1IDJF-0826-SM-ARU7N 20-29 years, male 1243.2
GTEX-1HBPN-0926-SM-CGQEG 50-59 years, male 1242.1
GTEX-1JJEA-0926-SM-CYPSO 60-69 years, male 1219.5
GTEX-11O72-1026-SM-5986B 40-49 years, male 1198.3
GTEX-WFG8-0726-SM-3GILP 20-29 years, male 1171.7
GTEX-15SKB-0926-SM-7KUFC 60-69 years, male 1157.0
GTEX-XLM4-2026-SM-4AT4X 60-69 years, male 1114.7
GTEX-1E1VI-1426-SM-793CY 50-59 years, male 1101.4
GTEX-1MCC2-0226-SM-EVYD5 30-39 years, female 1099.7
GTEX-1192X-0726-SM-5987R 50-59 years, male 1090.5
GTEX-11WQK-0226-SM-5EQLI 50-59 years, male 1088.6
GTEX-13QBU-0226-SM-5LU48 40-49 years, female 1034.8
GTEX-1F75A-1026-SM-7PC3W 50-59 years, male 1026.5
GTEX-1JMLX-1826-SM-CNPOX 50-59 years, male 1024.8
GTEX-13PL6-0826-SM-5IJBI 40-49 years, female 1013.7
GTEX-1MJIX-0426-SM-DTXEN 40-49 years, male 1005.8
GTEX-1B8L1-0426-SM-7SB76 60-69 years, male 1002.4
GTEX-1J1OQ-2226-SM-A96SS 40-49 years, female 1001.4
GTEX-XQ3S-0526-SM-4BOQA 20-29 years, male 995.5
GTEX-13OW5-0926-SM-5L3GZ 60-69 years, male 964.6
GTEX-13CF2-0226-SM-5L3DV 60-69 years, male 960.0
GTEX-XBEC-1226-SM-4AT65 50-59 years, male 957.7
GTEX-13SLW-0826-SM-5QGP7 70-79 years, male 957.1
GTEX-13RTJ-0526-SM-62LDP 60-69 years, male 950.9
GTEX-1B8SF-1326-SM-7IGQJ 60-69 years, male 944.4
GTEX-13D11-1526-SM-5J2NA 50-59 years, female 935.8
GTEX-14C5O-1226-SM-664N3 60-69 years, male 935.5
GTEX-15ER7-0826-SM-6PALW 20-29 years, female 930.3
GTEX-1HBPH-0226-SM-9WYSM 40-49 years, female 919.9
GTEX-17MF6-0926-SM-7LTAL 40-49 years, male 918.6
GTEX-1JJ6O-2226-SM-AHZ3I 60-69 years, male 917.5
GTEX-1GMRU-1326-SM-9WYUI 50-59 years, male 912.3
GTEX-WRHU-1026-SM-4E3ID 50-59 years, female 911.4
GTEX-12BJ1-0326-SM-5FQUB 60-69 years, male 903.3
GTEX-1LB8K-0926-SM-D4P42 50-59 years, male 900.0
GTEX-X62O-0826-SM-46MW8 50-59 years, male 893.6
GTEX-1E2YA-0626-SM-7P8P4 50-59 years, male 882.7
GTEX-17F9Y-1226-SM-7EPGE 70-79 years, female 841.5
GTEX-1QEPI-1126-SM-E8VN7 60-69 years, female 840.4
GTEX-16GPK-1226-SM-7LTAU 60-69 years, male 839.9
GTEX-ZVT4-1326-SM-5NQ8E 50-59 years, female 817.4
GTEX-13S86-0326-SM-5SI6K 40-49 years, male 813.9
GTEX-13JUV-0226-SM-5IJCC 40-49 years, female 807.4
GTEX-11DXY-1026-SM-5987V 60-69 years, male 799.1
GTEX-1GZ2Q-0926-SM-7RHHN 40-49 years, male 792.8
GTEX-147F4-1126-SM-5TDDE 50-59 years, male 787.6
GTEX-1A8G6-1826-SM-73KY8 60-69 years, male 775.7
GTEX-WWYW-1126-SM-3NB2Q 50-59 years, female 761.7
GTEX-17EVP-0526-SM-7EPGY 40-49 years, male 747.0
GTEX-13O61-0426-SM-5L3ET 60-69 years, male 745.2
GTEX-1GF9U-0526-SM-7P8SK 40-49 years, female 741.1
GTEX-Y5V5-0726-SM-4VBPY 60-69 years, female 728.4
GTEX-1QMI2-1026-SM-DTX7T 60-69 years, male 727.8
GTEX-1I1GP-0626-SM-ARL7H 50-59 years, male 726.4
GTEX-YECK-1226-SM-4W21G 60-69 years, male 723.7
GTEX-Y3IK-1026-SM-51MR7 50-59 years, female 723.5
GTEX-17JCI-0826-SM-7LT8W 60-69 years, female 710.2
GTEX-12WSN-0226-SM-5DUXH 40-49 years, male 707.1
GTEX-1C6WA-0826-SM-7PBXS 60-69 years, male 705.3
GTEX-WK11-0626-SM-3NMAV 50-59 years, male 702.0
GTEX-XXEK-2026-SM-4BRVE 50-59 years, male 699.0
GTEX-1212Z-0726-SM-5EGI5 60-69 years, male 698.9
GTEX-132AR-1926-SM-5EGK5 50-59 years, female 695.6
GTEX-1F6I4-0826-SM-7RHGK 60-69 years, male 688.3
GTEX-ZF3C-1126-SM-57WEG 50-59 years, female 687.6
GTEX-1GN1U-1426-SM-7P8TF 50-59 years, female 682.0
GTEX-1I1HK-0626-SM-CNPQM 60-69 years, male 677.9
GTEX-1HT8W-1326-SM-CGQEN 30-39 years, male 672.5
GTEX-ZAB4-0926-SM-5CVN4 40-49 years, male 664.7
GTEX-W5X1-0826-SM-3GILN 40-49 years, female 662.3
GTEX-131XE-0526-SM-5K7YT 50-59 years, male 656.9
GTEX-ZTPG-1326-SM-51MSQ 20-29 years, female 656.2
GTEX-15SHU-0926-SM-6PAMK 40-49 years, female 656.1
GTEX-1HFI7-0526-SM-A9SMA 50-59 years, female 652.5
GTEX-11ONC-1026-SM-5GU64 60-69 years, male 651.6
GTEX-1LH75-0526-SM-DIPG2 50-59 years, female 643.6
GTEX-1399S-0826-SM-5KM23 30-39 years, female 641.5
GTEX-XPVG-0726-SM-4B658 50-59 years, male 641.5
GTEX-1H2FU-0826-SM-9WYSU 60-69 years, female 641.0
GTEX-YJ8O-0826-SM-5CVM3 40-49 years, female 634.9
GTEX-13N1W-0926-SM-5MR36 70-79 years, male 634.7
GTEX-15SHV-0526-SM-7KUEN 60-69 years, male 631.1
GTEX-13PVQ-1326-SM-5LU4J 50-59 years, male 630.8
GTEX-13X6J-1226-SM-79OMF 50-59 years, male 627.1
GTEX-16MT8-0826-SM-7KULO 60-69 years, female 620.2
GTEX-13O3P-1426-SM-5L3DT 50-59 years, male 616.1
GTEX-1AX9I-1026-SM-73KYF 60-69 years, male 614.7
GTEX-WY7C-1126-SM-3NB3A 50-59 years, male 612.1
GTEX-111VG-0326-SM-5GZX7 60-69 years, male 606.6
GTEX-13FTZ-0326-SM-5J1O1 60-69 years, male 600.4
GTEX-1LVAO-0626-SM-EWRNT 60-69 years, male 599.3
GTEX-1POEN-0726-SM-DTXDU 30-39 years, female 597.3
GTEX-UTHO-1226-SM-3GAEE 60-69 years, male 596.8
GTEX-1H3NZ-1026-SM-A9SM5 60-69 years, male 595.9
GTEX-1GN2E-1426-SM-7RHHI 60-69 years, male 595.3
GTEX-1AX9J-0926-SM-73KXA 60-69 years, male 594.4
GTEX-1CAMQ-0726-SM-7P8SG 40-49 years, male 585.4
GTEX-14BIM-2726-SM-5Q5EG 60-69 years, female 585.2
GTEX-Y3I4-0526-SM-4TT6X 50-59 years, male 582.8
GTEX-18A6Q-1526-SM-731CO 60-69 years, male 580.7
GTEX-1GMR3-0426-SM-7PC17 40-49 years, male 579.2
GTEX-1C6VQ-0826-SM-7PBZT 50-59 years, male 572.4
GTEX-WL46-0726-SM-3LK5Z 50-59 years, male 570.6
GTEX-WHSE-0826-SM-4SOJU 20-29 years, male 568.3
GTEX-11NV4-0826-SM-5BC4S 60-69 years, male 568.1
GTEX-1QP6S-1026-SM-DTXFW 40-49 years, male 566.2
GTEX-1EU9M-1926-SM-7RHH4 60-69 years, male 562.7
GTEX-11GSP-1226-SM-5985M 60-69 years, female 561.8
GTEX-1KANC-0226-SM-E9TIW 50-59 years, female 559.7
GTEX-13N11-0726-SM-5L3DP 50-59 years, female 559.4
GTEX-YEC4-0226-SM-4W1YG 40-49 years, male 557.3
GTEX-1IL2V-1126-SM-CMKGH 70-79 years, male 552.9
GTEX-1C64N-0826-SM-7RHGQ 50-59 years, male 552.5
GTEX-YFC4-0426-SM-4TT3J 40-49 years, female 551.8
GTEX-1B933-0826-SM-79OMW 50-59 years, female 549.5
GTEX-1399T-0726-SM-5J1MH 60-69 years, male 549.4
GTEX-1IL2U-1226-SM-CL53P 60-69 years, male 546.1
GTEX-ZDTS-1226-SM-4WKGL 60-69 years, male 545.0
GTEX-13SLX-0926-SM-5S2NM 50-59 years, female 543.3
GTEX-12WSD-1226-SM-5HL9Q 60-69 years, female 543.2
GTEX-1LSNL-0626-SM-DIPFJ 50-59 years, male 539.6
GTEX-1HUB1-0726-SM-CGQF4 60-69 years, male 538.5
GTEX-1I19N-0626-SM-A9SKY 70-79 years, male 535.5
GTEX-U8XE-0926-SM-3DB8V 30-39 years, male 531.4
GTEX-12WSI-0426-SM-5EQ5J 50-59 years, male 530.1
GTEX-WYBS-1226-SM-3NM9N 60-69 years, female 529.4
GTEX-14PII-1026-SM-5ZZVW 60-69 years, male 529.3
GTEX-1EMGI-1126-SM-9KNUF 60-69 years, male 525.2
GTEX-14JG1-0826-SM-5ZZWR 40-49 years, male 524.1
GTEX-Y114-0126-SM-4TT8K 50-59 years, female 523.1
GTEX-ZVZQ-0726-SM-51MR3 60-69 years, female 522.8
GTEX-111YS-0326-SM-5GZZ3 60-69 years, male 522.1
GTEX-13OW7-1626-SM-5IJDH 50-59 years, male 520.2
GTEX-1GF9V-1726-SM-9KNW4 60-69 years, male 519.4
GTEX-148VJ-1426-SM-5TDE3 70-79 years, male 508.5
GTEX-13FHP-0826-SM-5K7V5 50-59 years, male 507.2
GTEX-1HFI6-0826-SM-9YFM2 40-49 years, male 506.4
GTEX-11DYG-1026-SM-5A5JQ 60-69 years, male 502.1
GTEX-1GN73-2326-SM-9MQKV 60-69 years, male 501.6
GTEX-1RB15-0426-SM-E9U4Y 60-69 years, male 499.3
GTEX-1H1CY-0426-SM-9KNVD 60-69 years, female 498.9
GTEX-14BMV-1026-SM-5SI6B 50-59 years, male 495.8
GTEX-12WSC-1026-SM-5EQ5Y 50-59 years, male 492.8
GTEX-1MJK2-1626-SM-EVYCQ 50-59 years, male 492.7
GTEX-14PJM-0826-SM-6LLIW 50-59 years, female 492.3
GTEX-1GMR8-1026-SM-9MQLA 50-59 years, female 492.2
GTEX-1CB4H-0626-SM-7IGN3 60-69 years, female 491.7
GTEX-14PN4-0826-SM-69LON 50-59 years, male 491.5
GTEX-15CHQ-1326-SM-6871Z 60-69 years, male 488.9
GTEX-1EWIQ-1126-SM-7EPIK 70-79 years, female 487.4
GTEX-1CB4J-0226-SM-7P8T4 60-69 years, male 485.0
GTEX-1OFPY-0926-SM-DTX8Q 60-69 years, male 484.7
GTEX-ZZPU-1126-SM-5N9CW 50-59 years, female 483.1
GTEX-18465-0726-SM-7LG4L 50-59 years, male 482.1
GTEX-13NZB-0426-SM-5KM26 30-39 years, male 477.5
GTEX-1IOXB-0726-SM-A9G32 50-59 years, male 473.5
GTEX-13NYB-0326-SM-5IJDP 40-49 years, male 470.8
GTEX-1GN1V-1026-SM-CNPPS 60-69 years, male 470.5
GTEX-1K2DU-0226-SM-DIPF6 20-29 years, male 465.8
GTEX-1PPGY-0926-SM-DTXFF 60-69 years, male 465.4
GTEX-WZTO-1226-SM-3NMAZ 40-49 years, male 464.0
GTEX-12ZZY-1226-SM-5GCNK 60-69 years, male 463.8
GTEX-ZUA1-0726-SM-4YCD9 40-49 years, male 460.9
GTEX-1IKJJ-0626-SM-CY8GF 60-69 years, male 460.4
GTEX-1CB4G-0726-SM-79OOJ 60-69 years, male 459.7
GTEX-1339X-0326-SM-5K7Z8 40-49 years, male 459.0
GTEX-1EH9U-0626-SM-7PC33 60-69 years, male 451.0
GTEX-ZDXO-0426-SM-4WKF6 60-69 years, male 450.5
GTEX-11TT1-1426-SM-5EGIA 20-29 years, male 449.4
GTEX-131YS-0826-SM-5PNYV 60-69 years, female 446.8
GTEX-11TUW-1126-SM-5EQKJ 60-69 years, male 446.3
GTEX-V1D1-0626-SM-4JBHN 50-59 years, male 439.7
GTEX-13O3O-1426-SM-5KM2S 60-69 years, female 439.2
GTEX-ZYFC-1026-SM-5GZX9 50-59 years, male 437.5
GTEX-14DAQ-1026-SM-793B1 60-69 years, female 437.4
GTEX-15D1Q-0426-SM-6AJ9G 40-49 years, male 435.1
GTEX-13NZA-0826-SM-5K7WS 60-69 years, male 434.8
GTEX-13112-0526-SM-5EQ4S 50-59 years, male 431.5
GTEX-11NUK-0926-SM-5HL57 50-59 years, male 431.4
GTEX-18A7A-1226-SM-7LTAJ 50-59 years, female 430.6
GTEX-16XZZ-1026-SM-7DHKS 60-69 years, male 428.9
GTEX-ZAK1-1126-SM-5PNXU 50-59 years, female 428.2
GTEX-13NZ9-0126-SM-5K7XV 50-59 years, male 427.9
GTEX-1IDJU-0626-SM-CKZOG 60-69 years, female 427.1
GTEX-11ZUS-0326-SM-5EQ4W 30-39 years, male 426.9
GTEX-1H3O1-0226-SM-9WYSW 60-69 years, male 425.2
GTEX-13PDP-1326-SM-5K7U9 60-69 years, male 425.0
GTEX-11GS4-0426-SM-5N9CD 60-69 years, male 423.8
GTEX-12584-1026-SM-59HK3 40-49 years, male 421.2
GTEX-13O21-0326-SM-5J1N9 50-59 years, male 419.3
GTEX-14PJ2-1126-SM-69LOD 50-59 years, male 419.0
GTEX-13W3W-0526-SM-5LU3X 60-69 years, female 416.0
GTEX-144GL-1026-SM-5O99R 50-59 years, male 415.4
GTEX-1CB4I-1526-SM-7DHMY 50-59 years, male 413.5
GTEX-15RIE-1326-SM-6PAMM 60-69 years, male 412.5
GTEX-1A8FM-1026-SM-7PC26 50-59 years, female 411.3
GTEX-ZPIC-0426-SM-DO91V 40-49 years, female 410.6
GTEX-ZDTT-0326-SM-4WKF9 60-69 years, male 409.3
GTEX-1HSKV-0726-SM-ACKWE 60-69 years, male 408.3
GTEX-1JN6P-0826-SM-ARL97 60-69 years, male 407.4
GTEX-1IKOH-0926-SM-A9SLU 60-69 years, female 407.2
GTEX-WYJK-1126-SM-3NM9Z 50-59 years, male 406.3
GTEX-11UD2-0926-SM-5CVL6 50-59 years, male 405.3
GTEX-1B8SG-0726-SM-79ONS 50-59 years, male 403.4
GTEX-13PL7-0726-SM-5KM1S 60-69 years, female 401.4
GTEX-13FXS-1026-SM-62LFQ 50-59 years, male 401.3
GTEX-1HCVE-0826-SM-CM2SF 50-59 years, male 400.7
GTEX-WOFL-1226-SM-4OOST 60-69 years, male 399.6
GTEX-12ZZX-0726-SM-5EGKA 40-49 years, female 398.9
GTEX-1IY9M-0626-SM-D4P2L 60-69 years, male 398.2
GTEX-13O3Q-0326-SM-5L3FE 50-59 years, male 396.5
GTEX-ZEX8-0326-SM-DO92C 50-59 years, male 396.2
GTEX-14PJ4-0926-SM-5YY98 60-69 years, male 395.6
GTEX-14C39-0726-SM-5RQIK 40-49 years, male 390.6
GTEX-16YQH-0726-SM-7IGM1 30-39 years, male 390.0
GTEX-ZPCL-0526-SM-DO91R 60-69 years, female 389.4
GTEX-117YX-0626-SM-5EGJI 50-59 years, male 387.8
GTEX-1KD5A-0926-SM-D4P3U 50-59 years, male 387.4
GTEX-117XS-0726-SM-5H131 60-69 years, male 387.0
GTEX-146FR-0926-SM-5QGPE 60-69 years, female 386.8
GTEX-147JS-1326-SM-5SI6D 60-69 years, male 386.4
GTEX-1LG7Y-1426-SM-D4P31 50-59 years, male 381.8
GTEX-WFON-0226-SM-3GIKR 40-49 years, male 381.5
GTEX-1477Z-1126-SM-5P9GK 60-69 years, male 379.8
GTEX-1J8EW-0626-SM-CM2TY 60-69 years, female 379.3
GTEX-1R9K4-1026-SM-EXUT1 60-69 years, male 378.8
GTEX-1192W-0226-SM-5EGGT 60-69 years, male 378.3
GTEX-12WSK-0526-SM-5CVNA 40-49 years, female 374.8
GTEX-1I1GR-1026-SM-A9SLC 60-69 years, male 373.5
GTEX-18A66-1126-SM-731C5 60-69 years, male 372.2
GTEX-13FHO-1226-SM-5L3EF 60-69 years, male 371.6
GTEX-1BAJH-1026-SM-7EWEG 70-79 years, male 370.0
GTEX-14BIL-0926-SM-7DHKN 50-59 years, male 363.7
GTEX-1HSMQ-0426-SM-ADEIM 50-59 years, male 363.1
GTEX-XYKS-0226-SM-4BRW3 60-69 years, female 363.0
GTEX-14BIN-2126-SM-793AX 50-59 years, female 362.1
GTEX-1EX96-2626-SM-9MQJV 50-59 years, male 360.7
GTEX-14ASI-0826-SM-5Q5EB 60-69 years, male 359.7
GTEX-14A5I-1026-SM-5Q5E3 50-59 years, female 353.5
GTEX-1P4AB-0926-SM-E76PV 50-59 years, male 352.6
GTEX-13X6K-1726-SM-7IGLG 60-69 years, female 351.6
GTEX-11DXX-0526-SM-5PNVR 60-69 years, female 351.1
GTEX-X3Y1-0226-SM-3P5Z5 40-49 years, male 350.6
GTEX-ZXG5-0626-SM-5NQ85 60-69 years, male 350.3
GTEX-12WSE-0926-SM-5S2VX 20-29 years, male 350.2
GTEX-1I1GV-1426-SM-B2LXN 60-69 years, male 348.7
GTEX-14PN3-0726-SM-6EU14 60-69 years, female 348.4
GTEX-13YAN-1426-SM-7EPG8 60-69 years, male 346.4
GTEX-1B8KE-0326-SM-73KTY 50-59 years, male 346.1
GTEX-13OW6-0926-SM-5L3GM 50-59 years, male 342.6
GTEX-ZE7O-0626-SM-57WCD 50-59 years, female 341.0
GTEX-ZT9W-0526-SM-57WFG 50-59 years, male 338.1
GTEX-11ZVC-0526-SM-5N9G1 50-59 years, female 335.0
GTEX-14E7W-1126-SM-5ZZVS 70-79 years, male 334.4
GTEX-131XF-0426-SM-5HL7U 60-69 years, male 333.4
GTEX-17HGU-1126-SM-793BP 50-59 years, male 333.2
GTEX-1117F-0726-SM-5GIEN 60-69 years, female 329.5
GTEX-1L5NE-0526-SM-DIPG5 50-59 years, male 328.6
GTEX-1GL5R-0426-SM-9WPOP 50-59 years, male 327.0
GTEX-VJWN-1026-SM-4M1ZN 50-59 years, female 326.3
GTEX-14E6C-0326-SM-5Q5EE 40-49 years, male 326.2
GTEX-XOT4-1126-SM-4B66E 60-69 years, female 325.0
GTEX-1F88F-0326-SM-9KNV3 60-69 years, female 324.7
GTEX-X261-0926-SM-3NMCY 50-59 years, male 324.4
GTEX-ZG7Y-1426-SM-4WWBM 50-59 years, male 322.8
GTEX-14PK6-0726-SM-6LLIX 70-79 years, female 322.4
GTEX-1JMQK-0926-SM-ARL96 60-69 years, male 321.7
GTEX-X4XX-1126-SM-3NMBY 60-69 years, male 320.8
GTEX-ZPU1-0726-SM-5HL6O 40-49 years, male 319.6
GTEX-1313W-1126-SM-5EQ5U 50-59 years, female 319.3
GTEX-1JMQL-1026-SM-CMKGV 50-59 years, female 318.8
GTEX-16NPX-0826-SM-6M489 50-59 years, male 317.3
GTEX-1C64O-0926-SM-79OLN 60-69 years, male 315.7
GTEX-1QPFJ-0926-SM-EVR3K 30-39 years, female 315.4
GTEX-1I1CD-1326-SM-A9SMM 60-69 years, female 314.9
GTEX-15SDE-1826-SM-7KUFN 50-59 years, female 311.2
GTEX-X4EP-0326-SM-3P5Z6 60-69 years, female 309.2
GTEX-WH7G-0326-SM-3NMBH 40-49 years, male 308.2
GTEX-1HCUA-0626-SM-ACKVT 50-59 years, female 304.9
GTEX-11EMC-0826-SM-59862 60-69 years, female 303.9
GTEX-1GTWX-0926-SM-9MQKM 60-69 years, male 303.1
GTEX-ZVT3-0826-SM-5GIC8 60-69 years, female 303.0
GTEX-1M5QR-1626-SM-E9U5O 40-49 years, male 302.1
GTEX-1445S-1226-SM-5O9BF 60-69 years, male 301.5
GTEX-Y8E4-0426-SM-4V6GB 40-49 years, male 299.2
GTEX-Z93S-0326-SM-5HL84 50-59 years, male 298.4
GTEX-1R9JW-0426-SM-E76QL 30-39 years, female 298.0
GTEX-1H1DG-0826-SM-9QEIW 70-79 years, male 297.4
GTEX-11EQ8-1326-SM-5EGJQ 60-69 years, male 295.9
GTEX-111FC-0626-SM-5N9CU 60-69 years, male 295.6
GTEX-1J8Q3-1126-SM-ARU8N 60-69 years, male 282.8
GTEX-14PHX-0626-SM-5YY8Z 50-59 years, male 281.7
GTEX-15DCE-0826-SM-7KULW 20-29 years, male 280.5
GTEX-117YW-0426-SM-5GZZZ 50-59 years, male 276.3
GTEX-1H3VY-1126-SM-A96TP 50-59 years, male 274.9
GTEX-ZV7C-0526-SM-9WPNK 50-59 years, male 274.5
GTEX-1KXAM-1426-SM-D3LAC 60-69 years, male 272.1
GTEX-1IDJH-1126-SM-COH3R 70-79 years, male 267.3
GTEX-1HC8U-0626-SM-B2LWB 40-49 years, female 265.7
GTEX-1AYCT-0526-SM-7RHHS 50-59 years, male 264.8
GTEX-18D9B-1126-SM-7KFSH 60-69 years, male 261.6
GTEX-ZYT6-0926-SM-5GIEM 30-39 years, male 261.5
GTEX-XQ8I-0226-SM-4BOPM 50-59 years, male 260.8
GTEX-ZAB5-0126-SM-5CVMT 50-59 years, male 260.2
GTEX-1399R-1726-SM-5K7YJ 30-39 years, male 258.8
GTEX-14PJ6-0626-SM-686Z6 60-69 years, female 257.6
GTEX-1HCU7-1226-SM-B2LX8 50-59 years, male 257.4
GTEX-1IKOE-0626-SM-A9G31 30-39 years, female 255.6
GTEX-ZDYS-0326-SM-5HL4W 50-59 years, male 254.3
GTEX-15CHC-0326-SM-5ZZVP 60-69 years, female 253.5
GTEX-ZF2S-0826-SM-4WWBI 50-59 years, female 252.9
GTEX-1AX8Z-1126-SM-731CS 60-69 years, male 245.9
GTEX-11DXZ-0326-SM-5EGH1 50-59 years, male 245.2
GTEX-17F96-0826-SM-7DHLU 70-79 years, male 244.7
GTEX-1KANB-1126-SM-DHXJT 50-59 years, male 243.0
GTEX-1H11D-1026-SM-9QEIU 40-49 years, male 242.6
GTEX-WI4N-0726-SM-3TW93 40-49 years, female 240.6
GTEX-1F75B-1126-SM-7RHGP 50-59 years, male 239.7
GTEX-WHWD-0326-SM-3LK6L 50-59 years, male 239.6
GTEX-13U4I-0626-SM-5LU5L 40-49 years, female 238.6
GTEX-ZF29-0426-SM-4WKFN 60-69 years, female 237.4
GTEX-ZYFG-0526-SM-5GZXX 60-69 years, female 236.1
GTEX-15EU6-1326-SM-6PANG 50-59 years, male 236.0
GTEX-146FH-1126-SM-5NQAT 50-59 years, female 234.8
GTEX-15RJE-0726-SM-7KUEG 40-49 years, male 233.7
GTEX-1B932-1326-SM-79OM4 40-49 years, female 233.4
GTEX-1I1GQ-1226-SM-CL55J 50-59 years, male 230.6
GTEX-1LGOU-0326-SM-D3LAM 20-29 years, female 229.1
GTEX-VUSG-0726-SM-3GIK1 50-59 years, male 228.6
GTEX-17KNJ-0626-SM-7LT9L 50-59 years, male 228.2
GTEX-ZZPT-0926-SM-5GICZ 50-59 years, male 227.4
GTEX-1CB4E-0626-SM-7DHMW 60-69 years, male 224.9
GTEX-13NYS-1926-SM-5IJCB 60-69 years, male 224.3
GTEX-1JK1U-0626-SM-CKZOJ 60-69 years, male 224.2
GTEX-1LVAN-1526-SM-CNPQN 50-59 years, female 224.2
GTEX-1122O-0626-SM-5N9B9 60-69 years, female 220.2
GTEX-1IDJD-0226-SM-CKZOA 30-39 years, male 218.8
GTEX-ZVT2-0926-SM-5GICE 50-59 years, female 215.3
GTEX-13O1R-0926-SM-5L3DS 60-69 years, male 213.8
GTEX-1C2JI-0626-SM-7DHM1 50-59 years, male 212.1
GTEX-11P81-0526-SM-59873 30-39 years, female 211.6
GTEX-1NSGN-1226-SM-E76OL 50-59 years, male 211.5
GTEX-1NHNU-0626-SM-E6CP1 50-59 years, male 211.3
GTEX-1211K-0226-SM-59HJY 60-69 years, female 209.8
GTEX-X5EB-0626-SM-46MVQ 40-49 years, male 208.4
GTEX-17F9E-0726-SM-793A1 50-59 years, male 207.6
GTEX-11EM3-0426-SM-5N9BZ 20-29 years, female 207.3
GTEX-1J8Q2-1026-SM-ARU8I 60-69 years, male 207.2
GTEX-131XG-0526-SM-5DUWF 50-59 years, female 205.7
GTEX-14E1K-0826-SM-5ZZW9 50-59 years, male 205.7
GTEX-1LSNM-0426-SM-E9TIZ 50-59 years, male 203.4
GTEX-1B97J-0326-SM-7939H 50-59 years, female 203.0
GTEX-1JMOU-0326-SM-ARL8X 60-69 years, female 201.9
GTEX-12WSA-1126-SM-5EGKU 60-69 years, male 201.1
GTEX-18A67-1026-SM-731CE 50-59 years, male 199.8
GTEX-ZAJG-0926-SM-5Q5AB 50-59 years, female 199.8
GTEX-1F48J-1126-SM-9WYSY 50-59 years, female 199.8
GTEX-1HSMO-1126-SM-CGQF2 60-69 years, male 199.4
GTEX-13OVG-0426-SM-5KM2T 60-69 years, male 199.0
GTEX-15CHR-0326-SM-7DHN3 50-59 years, male 197.9
GTEX-1AX9K-0426-SM-73KUG 50-59 years, male 196.6
GTEX-14PHY-0326-SM-62LE3 60-69 years, female 196.3
GTEX-13PVR-0926-SM-5S2RB 60-69 years, female 194.8
GTEX-13JVG-1126-SM-5KM2M 60-69 years, male 193.2
GTEX-1HR98-1026-SM-CKZOM 60-69 years, male 193.0
GTEX-WHPG-1026-SM-3NMBA 50-59 years, male 192.4
GTEX-14A6H-0326-SM-5NQAN 30-39 years, male 190.7
GTEX-1QP29-1426-SM-DTX9Q 50-59 years, male 190.4
GTEX-1HSGN-0926-SM-CNNQM 40-49 years, female 189.7
GTEX-18D9U-1426-SM-718BO 40-49 years, male 187.9
GTEX-11LCK-0826-SM-5PNYD 30-39 years, male 182.1
GTEX-XV7Q-0726-SM-4BRV6 40-49 years, female 181.4
GTEX-139YR-0526-SM-5L3DG 50-59 years, male 179.8
GTEX-WEY5-0226-SM-3GIKN 40-49 years, female 179.6
GTEX-11ZTT-0526-SM-5EQLA 60-69 years, female 177.4
GTEX-13FH7-0826-SM-5J2NW 50-59 years, female 176.4
GTEX-1GMR2-1326-SM-9KNUT 50-59 years, male 173.8
GTEX-YEC3-0426-SM-CYPS8 50-59 years, male 172.8
GTEX-WFG7-0826-SM-3GIKU 20-29 years, male 171.9
GTEX-1ICG6-0726-SM-B2LY5 70-79 years, female 170.9
GTEX-1QCLZ-1126-SM-EWRNB 60-69 years, female 170.5
GTEX-XPT6-0226-SM-4B65L 20-29 years, male 169.9
GTEX-183WM-0926-SM-718AN 70-79 years, female 168.6
GTEX-15UF7-1526-SM-6LPI7 40-49 years, male 167.2
GTEX-1J8QM-0326-SM-CL53D 60-69 years, female 164.7
GTEX-WQUQ-1326-SM-3MJFF 60-69 years, male 163.7
GTEX-1R7EV-0426-SM-DTX7Z 40-49 years, male 163.1
GTEX-ZYFD-2026-SM-5E459 50-59 years, male 161.4
GTEX-1399U-0726-SM-5KM1D 50-59 years, female 156.6
GTEX-13VXT-0726-SM-5SIAD 20-29 years, female 156.0
GTEX-ZGAY-0226-SM-4WWAL 40-49 years, female 154.8
GTEX-1F75I-1326-SM-7PBZX 40-49 years, male 150.7
GTEX-14H4A-0426-SM-5ZZWO 40-49 years, female 150.2
GTEX-145LV-0226-SM-5S2QG 50-59 years, male 147.2
GTEX-V955-0826-SM-CYPR5 60-69 years, male 142.6
GTEX-YB5K-0226-SM-5IFJE 40-49 years, female 141.6
GTEX-17GQL-0626-SM-731CN 60-69 years, male 139.9
GTEX-XGQ4-0526-SM-4AT6C 50-59 years, male 133.0
GTEX-1CAMS-1126-SM-7MXUQ 40-49 years, female 125.0
GTEX-ZYVF-1826-SM-5E44F 50-59 years, female 124.2
GTEX-1A3MX-1226-SM-731B3 60-69 years, male 103.0
GTEX-14C38-1326-SM-62LDK 50-59 years, male 94.6
GTEX-14XAO-0926-SM-69LPZ 60-69 years, female 84.9
Show allShow less
Heart - Left Ventricle
Average nTPM: 1017.2
Samples: 432

Max nTPM: 6644.7
Min nTPM: 97.9
Std nTPM: 1040.8
Median nTPM: 645.8
GTEX-11EM3-0626-SM-5H12Z 20-29 years, female 6644.7
GTEX-YB5K-0126-SM-5IFJ2 40-49 years, female 6509.4
GTEX-ZPIC-0826-SM-4WWFJ 40-49 years, female 5817.8
GTEX-YF7O-0426-SM-5P9FS 50-59 years, male 5465.4
GTEX-WFG7-0726-SM-3GIKO 20-29 years, male 5427.4
GTEX-WY7C-0526-SM-3NB3D 50-59 years, male 5406.1
GTEX-1LSNM-0526-SM-DIPG6 50-59 years, male 4783.5
GTEX-131XG-0626-SM-5GCMP 50-59 years, female 4647.2
GTEX-1IDJU-0726-SM-CNPQ9 60-69 years, female 4422.0
GTEX-ZGAY-0326-SM-57WF5 40-49 years, female 4276.6
GTEX-PWCY-0526-SM-5P9HG 20-29 years, female 4193.6
GTEX-1QP2A-1126-SM-EVR3H 50-59 years, male 3996.3
GTEX-WH7G-0426-SM-3NMBJ 40-49 years, male 3889.2
GTEX-12WSK-0626-SM-5LZUJ 40-49 years, female 3858.6
GTEX-145MN-0626-SM-5QGRH 30-39 years, male 3719.4
GTEX-1J8QM-0426-SM-AHZ3X 60-69 years, female 3717.2
GTEX-14H4A-0626-SM-5ZZUT 40-49 years, female 3691.4
GTEX-13FH7-0926-SM-5J2MR 50-59 years, female 3577.8
GTEX-13W3W-0426-SM-5SI9D 60-69 years, female 3514.6
GTEX-1GN1W-0326-SM-9JGHF 50-59 years, female 3342.6
GTEX-YEC4-0326-SM-4W216 40-49 years, male 3316.2
GTEX-PLZ5-0626-SM-2I5F8 50-59 years, male 3212.4
GTEX-13CF3-0726-SM-5J2MY 60-69 years, female 3207.8
GTEX-13VXT-1126-SM-5LU3A 20-29 years, female 3169.0
GTEX-QDVN-0326-SM-2I3FS 50-59 years, male 3152.1
GTEX-ZG7Y-0926-SM-5EQ6O 50-59 years, male 2951.7
GTEX-17GQL-0526-SM-72D5N 60-69 years, male 2888.6
GTEX-15EOM-5007-SM-793DG 20-29 years, female 2868.4
GTEX-QDVJ-0426-SM-2I5FW 50-59 years, male 2851.1
GTEX-SUCS-0326-SM-32PLL 70-79 years, male 2796.9
GTEX-1LGOU-0726-SM-E9TIY 20-29 years, female 2740.7
GTEX-14XAO-1126-SM-6EU11 60-69 years, female 2739.1
GTEX-1H11D-1226-SM-9WPQ2 40-49 years, male 2682.3
GTEX-XV7Q-0826-SM-4BRV7 40-49 years, female 2570.4
GTEX-U4B1-0326-SM-3DB8K 40-49 years, male 2522.2
GTEX-1I6K7-0626-SM-ARL7Q 40-49 years, male 2508.9
GTEX-UJMC-0526-SM-3GAE3 50-59 years, male 2488.3
GTEX-1HSMQ-0226-SM-C1YQL 50-59 years, male 2485.2
GTEX-13PVR-1026-SM-5QGQW 60-69 years, female 2465.3
GTEX-1J8Q3-1226-SM-CKZPT 60-69 years, male 2418.2
GTEX-XXEK-0926-SM-4BRWH 50-59 years, male 2337.6
GTEX-XGQ4-0326-SM-4GIEE 50-59 years, male 2290.2
GTEX-11TT1-1326-SM-5PNYM 20-29 years, male 2268.0
GTEX-15RIE-1726-SM-7KUMU 60-69 years, male 2267.1
GTEX-XBED-0526-SM-47JY3 60-69 years, male 2259.0
GTEX-12696-1126-SM-5FQTI 60-69 years, male 2249.6
GTEX-132QS-0426-SM-5KLZ6 60-69 years, male 2238.0
GTEX-U3ZN-1426-SM-3DB87 30-39 years, female 2214.4
GTEX-11I78-0826-SM-5A5K4 50-59 years, female 2213.6
GTEX-16XZY-0426-SM-793BI 70-79 years, male 2208.4
GTEX-1PPGY-1126-SM-E76OU 60-69 years, male 2206.7
GTEX-ZDYS-0226-SM-5HL4K 50-59 years, male 2199.8
GTEX-1LC47-1026-SM-D3LAH 60-69 years, male 2123.2
GTEX-1HSMO-1226-SM-CL548 60-69 years, male 2112.7
GTEX-1IDJF-0726-SM-CJI1U 20-29 years, male 2036.5
GTEX-1211K-0626-SM-5FQUZ 60-69 years, female 1995.5
GTEX-ZDTT-0726-SM-4WKFK 60-69 years, male 1955.8
GTEX-1QCLZ-0926-SM-E6CQZ 60-69 years, female 1933.6
GTEX-XPT6-0126-SM-4B65S 20-29 years, male 1910.2
GTEX-XPVG-0826-SM-4B654 50-59 years, male 1853.0
GTEX-1L5NE-0426-SM-E9TIX 50-59 years, male 1835.2
GTEX-1CB4J-0326-SM-7PBZO 60-69 years, male 1808.5
GTEX-1QPFJ-1026-SM-E6CR6 30-39 years, female 1796.4
GTEX-SE5C-0626-SM-2XCDV 40-49 years, female 1772.4
GTEX-13FTW-1026-SM-5L3E3 40-49 years, male 1766.0
GTEX-1MUQO-1226-SM-E9TJK 60-69 years, male 1754.4
GTEX-131XF-5001-SM-7DHLY 60-69 years, male 1750.6
GTEX-ZEX8-0426-SM-DO92Y 50-59 years, male 1745.2
GTEX-ZPCL-0426-SM-DNZZ4 60-69 years, female 1739.7
GTEX-1F5PK-0326-SM-9KNUD 50-59 years, male 1728.3
GTEX-SNMC-0126-SM-2XCFO 20-29 years, male 1695.9
GTEX-PX3G-0326-SM-2I3EO 20-29 years, female 1615.0
GTEX-ZLFU-0226-SM-4WWFH 40-49 years, male 1600.2
GTEX-1RB15-0326-SM-E6CQB 60-69 years, male 1592.8
GTEX-132AR-2026-SM-5IJG4 50-59 years, female 1553.4
GTEX-1HCU6-1026-SM-A9G25 60-69 years, female 1528.6
GTEX-OHPL-0326-SM-33HC8 60-69 years, female 1509.5
GTEX-18D9B-1226-SM-72D6V 60-69 years, male 1473.0
GTEX-1CB4E-0526-SM-7MXTK 60-69 years, male 1469.0
GTEX-WFG8-0626-SM-3GILJ 20-29 years, male 1467.2
GTEX-146FR-0626-SM-5RQJ1 60-69 years, female 1463.6
GTEX-1M5QR-1026-SM-DHXK9 40-49 years, male 1461.2
GTEX-1C64O-0826-SM-79OKZ 60-69 years, male 1460.5
GTEX-O5YV-0326-SM-2I5H2 60-69 years, female 1443.1
GTEX-1AX9J-1026-SM-72D6E 60-69 years, male 1437.1
GTEX-ZTPG-1226-SM-4YCDO 20-29 years, female 1422.1
GTEX-QEG5-0926-SM-2TC64 20-29 years, male 1410.9
GTEX-1B8KE-0126-SM-793AM 50-59 years, male 1409.2
GTEX-U3ZH-0326-SM-3DB7A 30-39 years, male 1404.5
GTEX-13FLV-0926-SM-5L3DZ 50-59 years, male 1398.8
GTEX-1R9K5-1326-SM-E6CPR 50-59 years, male 1385.9
GTEX-OXRK-0826-SM-2HMK7 50-59 years, female 1374.3
GTEX-1MCC2-0326-SM-EV7AK 30-39 years, female 1371.0
GTEX-1GMR2-1426-SM-7RHHK 50-59 years, male 1369.4
GTEX-1399S-1026-SM-5KLZ9 30-39 years, female 1331.1
GTEX-1339X-0426-SM-5KLZY 40-49 years, male 1317.4
GTEX-QESD-0526-SM-2I5G5 20-29 years, male 1316.0
GTEX-13S86-0226-SM-5S2PJ 40-49 years, male 1296.0
GTEX-1B996-1126-SM-73KWN 60-69 years, male 1285.4
GTEX-Y3I4-0626-SM-4TT7A 50-59 years, male 1282.5
GTEX-1B8SG-0826-SM-7EWF7 50-59 years, male 1282.1
GTEX-18D9U-1126-SM-72D5Y 40-49 years, male 1280.9
GTEX-1EU9M-1826-SM-7DUGU 60-69 years, male 1279.1
GTEX-Y3IK-0826-SM-51MT8 50-59 years, female 1267.5
GTEX-OHPK-0326-SM-2HMJO 50-59 years, female 1261.7
GTEX-SIU8-0826-SM-2XCDQ 50-59 years, male 1261.3
GTEX-1OKEX-0726-SM-DPRYE 60-69 years, male 1249.4
GTEX-13PVQ-1226-SM-5IJDC 50-59 years, male 1240.7
GTEX-1F75I-1126-SM-9WYUO 40-49 years, male 1236.4
GTEX-12WSN-5001-SM-7DHMK 40-49 years, male 1217.5
GTEX-WHSE-0926-SM-3NMBS 20-29 years, male 1215.0
GTEX-18A66-1226-SM-7LT8G 60-69 years, male 1200.8
GTEX-1K9T9-1126-SM-D3L9E 50-59 years, female 1198.9
GTEX-Y114-0226-SM-4TT8W 50-59 years, female 1180.1
GTEX-17KNJ-0826-SM-793A4 50-59 years, male 1170.7
GTEX-QLQ7-0526-SM-2I5G3 60-69 years, male 1165.0
GTEX-P4PQ-0326-SM-2HMJ8 60-69 years, male 1164.8
GTEX-WHPG-0826-SM-3NMBF 50-59 years, male 1162.9
GTEX-POMQ-0326-SM-2I5FO 20-29 years, female 1160.6
GTEX-14C38-1426-SM-5RQHZ 50-59 years, male 1141.3
GTEX-RUSQ-0526-SM-2TF72 50-59 years, male 1123.0
GTEX-1JMLX-1626-SM-ARZMV 50-59 years, male 1116.8
GTEX-QEG4-0426-SM-33HC3 30-39 years, male 1106.9
GTEX-RU72-0326-SM-2TF5T 50-59 years, female 1098.9
GTEX-ZF2S-1026-SM-9QEGK 50-59 years, female 1098.7
GTEX-1LGRB-1126-SM-CNPP2 50-59 years, female 1096.1
GTEX-1RMOY-0626-SM-E9TIE 50-59 years, male 1093.1
GTEX-11LCK-0926-SM-5A5KA 30-39 years, male 1078.9
GTEX-1GMRU-1526-SM-9WYT5 50-59 years, male 1060.8
GTEX-1399R-1926-SM-5K7X8 30-39 years, male 1054.4
GTEX-ZQUD-1526-SM-7IGO2 30-39 years, male 1049.0
GTEX-P78B-0426-SM-2I5F5 40-49 years, female 1037.7
GTEX-1LVAN-1726-SM-CNNR1 50-59 years, female 1028.8
GTEX-OXRL-0326-SM-2I3F2 50-59 years, male 1024.8
GTEX-1QP29-1526-SM-EXUSY 50-59 years, male 1009.0
GTEX-1GZ4I-1026-SM-9KNV5 50-59 years, male 987.5
GTEX-Q2AH-0526-SM-2I3ED 40-49 years, male 981.9
GTEX-12WSD-1126-SM-5EGJD 60-69 years, female 980.6
GTEX-111YS-0426-SM-5987O 60-69 years, male 977.2
GTEX-X3Y1-0426-SM-3P5Z4 40-49 years, male 977.2
GTEX-12WSG-0526-SM-5FQTH 50-59 years, female 974.6
GTEX-T6MN-0926-SM-32PLX 50-59 years, male 964.5
GTEX-1EMGI-1226-SM-793DD 60-69 years, male 964.4
GTEX-14PHX-2126-SM-6EU2U 50-59 years, male 963.0
GTEX-V955-0726-SM-3GAFG 60-69 years, male 960.2
GTEX-ZVT2-1026-SM-5GU55 50-59 years, female 954.0
GTEX-1IL2U-1326-SM-A9G2O 60-69 years, male 943.7
GTEX-O5YT-0326-SM-32PKA 20-29 years, male 939.1
GTEX-1IDJI-1026-SM-A96TE 50-59 years, female 934.2
GTEX-1JMQK-0626-SM-D4P2R 60-69 years, male 932.1
GTEX-1HC8U-0726-SM-ACKXL 40-49 years, female 931.5
GTEX-14PK6-0826-SM-5ZZVO 70-79 years, female 931.1
GTEX-RWS6-0326-SM-2XCAP 60-69 years, female 930.8
GTEX-1IKK5-1526-SM-CKZPW 60-69 years, male 928.6
GTEX-OOBJ-0326-SM-33HBO 60-69 years, male 927.5
GTEX-1GN73-2426-SM-7RHFQ 60-69 years, male 924.5
GTEX-1AX8Z-5007-SM-AHZ36 60-69 years, male 923.3
GTEX-ZF29-0226-SM-4WKHO 60-69 years, female 911.6
GTEX-1CB4I-1626-SM-7RHGV 50-59 years, male 905.9
GTEX-N7MS-0826-SM-2HML4 60-69 years, male 905.6
GTEX-15DDE-1126-SM-6LLHN 50-59 years, female 904.0
GTEX-R45C-0926-SM-3GAD4 60-69 years, female 896.9
GTEX-1GF9V-1626-SM-7PBXL 60-69 years, male 891.2
GTEX-1JK1U-0526-SM-CYPSQ 60-69 years, male 890.5
GTEX-1KXAM-1326-SM-E9TJW 60-69 years, male 884.7
GTEX-1GL5R-0326-SM-9WYTJ 50-59 years, male 883.5
GTEX-1KD5A-1026-SM-CY8I8 50-59 years, male 865.9
GTEX-OIZI-0926-SM-E6CHF 40-49 years, male 865.0
GTEX-NPJ8-0426-SM-2HMK6 40-49 years, male 864.9
GTEX-13QBU-0426-SM-5J2O4 40-49 years, female 863.0
GTEX-13O61-0526-SM-5J2M1 60-69 years, male 852.3
GTEX-1MJIX-0326-SM-EVR42 40-49 years, male 849.9
GTEX-13SLX-1026-SM-5ZZUQ 50-59 years, female 848.0
GTEX-1N2EF-2826-SM-E6CQF 60-69 years, male 843.9
GTEX-V1D1-0526-SM-4JBGW 50-59 years, male 839.8
GTEX-146FH-1026-SM-5RQIF 50-59 years, female 837.6
GTEX-1A3MX-1326-SM-72D58 60-69 years, male 835.1
GTEX-1H23P-1226-SM-9QEJ2 60-69 years, male 833.2
GTEX-14PJ6-0726-SM-69LOL 60-69 years, female 831.7
GTEX-U8XE-1126-SM-3DB8W 30-39 years, male 821.9
GTEX-14E1K-1026-SM-73KUR 50-59 years, male 817.9
GTEX-15CHR-0226-SM-7PC2Z 50-59 years, male 815.7
GTEX-1F6IF-2526-SM-7P8TV 60-69 years, male 815.3
GTEX-1B97J-0726-SM-7RHG3 50-59 years, female 812.3
GTEX-1122O-0826-SM-5GICV 60-69 years, female 802.3
GTEX-13U4I-0826-SM-5SIBD 40-49 years, female 800.9
GTEX-17HGU-1026-SM-79OKL 50-59 years, male 800.0
GTEX-117YX-1126-SM-5H128 50-59 years, male 797.2
GTEX-Y5V6-0826-SM-4VBRU 60-69 years, male 793.2
GTEX-11DXZ-0626-SM-5GU77 50-59 years, male 775.7
GTEX-WFON-0326-SM-3GIKX 40-49 years, male 772.0
GTEX-13OW6-1126-SM-5L3HL 50-59 years, male 766.4
GTEX-OIZF-0326-SM-3MJGY 60-69 years, male 757.6
GTEX-14E6C-0426-SM-5YYA8 40-49 years, male 732.5
GTEX-OIZH-0326-SM-2HMKC 50-59 years, male 707.5
GTEX-UPK5-0326-SM-CYPR4 40-49 years, male 702.7
GTEX-ZV7C-0326-SM-57WB1 50-59 years, male 699.8
GTEX-15RJ7-0226-SM-7KUMN 40-49 years, male 697.1
GTEX-S32W-0626-SM-2XCBG 50-59 years, female 696.8
GTEX-1BAJH-1626-SM-73KUV 70-79 years, male 690.2
GTEX-ZDXO-0726-SM-57WBT 60-69 years, male 689.5
GTEX-14PJ4-1126-SM-5YY91 60-69 years, male 689.4
GTEX-1J8EW-0926-SM-A9G33 60-69 years, female 687.7
GTEX-1AX9K-0526-SM-73KV1 50-59 years, male 680.8
GTEX-13112-0426-SM-5PNVC 50-59 years, male 679.9
GTEX-ZAB5-0226-SM-5CVMH 50-59 years, male 678.1
GTEX-13O3O-1526-SM-5KM1C 60-69 years, female 675.3
GTEX-18A6Q-1626-SM-7KFTA 60-69 years, male 672.8
GTEX-YEC3-0726-SM-CMKFH 50-59 years, male 670.5
GTEX-R55G-0526-SM-2TC5O 40-49 years, female 667.9
GTEX-UJHI-0426-SM-3DB8Y 50-59 years, female 666.6
GTEX-13N11-0426-SM-5KM3O 50-59 years, female 661.6
GTEX-14A6H-0226-SM-5Q5DX 30-39 years, male 650.8
GTEX-18A67-1226-SM-7KFRS 50-59 years, male 650.7
GTEX-13N1W-1026-SM-5IJC5 70-79 years, male 648.2
GTEX-X8HC-1626-SM-46MWE 50-59 years, female 647.0
GTEX-X15G-0426-SM-4PQZ6 50-59 years, female 644.6
GTEX-1E1VI-1326-SM-7IGQD 50-59 years, male 641.6
GTEX-1HSGN-1126-SM-CJI4G 40-49 years, female 638.5
GTEX-1HCUA-0526-SM-A9SMH 50-59 years, female 637.4
GTEX-ZDTS-1326-SM-6LLHE 60-69 years, male 632.3
GTEX-ZYFG-0426-SM-5E43M 60-69 years, female 629.0
GTEX-13D11-1726-SM-5IFGQ 50-59 years, female 626.7
GTEX-1JMOU-0226-SM-CNNPD 60-69 years, female 625.6
GTEX-1RQEC-0926-SM-EWROG 60-69 years, male 625.3
GTEX-1KANC-0426-SM-CXZK5 50-59 years, female 624.5
GTEX-1I1HK-0726-SM-B2LY4 60-69 years, male 623.0
GTEX-1IDJE-0326-SM-CM2TD 50-59 years, female 621.8
GTEX-P4QS-0326-SM-2I3EU 60-69 years, male 621.5
GTEX-11GS4-0526-SM-5A5KQ 60-69 years, male 617.1
GTEX-WHWD-0426-SM-3LK83 50-59 years, male 608.7
GTEX-Y5V5-0626-SM-4VBPX 60-69 years, female 607.9
GTEX-REY6-1026-SM-2TF4Y 60-69 years, male 606.7
GTEX-1399U-0526-SM-5K7YM 50-59 years, female 597.3
GTEX-14PN3-0526-SM-69LQF 60-69 years, female 597.0
GTEX-1212Z-0626-SM-5FQTB 60-69 years, male 596.9
GTEX-131XE-0626-SM-5HL98 50-59 years, male 595.6
GTEX-1JJEA-0826-SM-CL53T 60-69 years, male 593.8
GTEX-14JG1-1026-SM-6ETZY 40-49 years, male 592.6
GTEX-1HBPH-0126-SM-CNNQ7 40-49 years, female 591.3
GTEX-1AYCT-0426-SM-73KVZ 50-59 years, male 590.8
GTEX-148VI-0326-SM-5RQK7 60-69 years, female 575.0
GTEX-1497J-1226-SM-5Q5BL 60-69 years, male 567.5
GTEX-1R9K4-1326-SM-DTX8G 60-69 years, male 566.6
GTEX-131XH-0226-SM-5LZVB 50-59 years, male 561.0
GTEX-WL46-0926-SM-3LK7T 50-59 years, male 556.9
GTEX-1POEN-0626-SM-EVR4B 30-39 years, female 556.0
GTEX-16YQH-0926-SM-793BC 30-39 years, male 551.6
GTEX-P4PP-0326-SM-33HC4 30-39 years, female 551.3
GTEX-11ZUS-0226-SM-5FQT8 30-39 years, male 549.3
GTEX-13OVL-0526-SM-5KLZQ 50-59 years, male 548.4
GTEX-OIZG-1126-SM-2HMIU 50-59 years, male 547.9
GTEX-XQ3S-0626-SM-4BOOB 20-29 years, male 545.3
GTEX-PSDG-0926-SM-2I5FP 50-59 years, male 541.2
GTEX-13NZB-0226-SM-5KM1T 30-39 years, male 534.1
GTEX-1GF9U-0426-SM-7RHHA 40-49 years, female 529.6
GTEX-15SHU-1126-SM-7KUMB 40-49 years, female 528.5
GTEX-WEY5-0426-SM-3GIKT 40-49 years, female 520.4
GTEX-1CB4G-0826-SM-7DUGF 60-69 years, male 520.3
GTEX-111FC-0826-SM-5GZWO 60-69 years, male 518.0
GTEX-12584-0926-SM-5FQTN 40-49 years, male 517.7
GTEX-ZVZP-0226-SM-5NQ73 50-59 years, male 513.3
GTEX-1R7EV-0326-SM-E76PA 40-49 years, male 513.3
GTEX-1OFPY-1026-SM-EXUSO 60-69 years, male 510.4
GTEX-WYJK-1026-SM-3NM8W 50-59 years, male 500.8
GTEX-1I1GQ-1426-SM-B2LWY 50-59 years, male 500.0
GTEX-QEL4-0926-SM-3GAD1 50-59 years, male 495.8
GTEX-18465-0926-SM-731AY 50-59 years, male 487.1
GTEX-1HFI7-0826-SM-A9G23 50-59 years, female 487.1
GTEX-15ER7-1726-SM-6PAMX 20-29 years, female 486.8
GTEX-1LVA9-0926-SM-EVR5G 50-59 years, male 484.4
GTEX-1F6I4-0726-SM-7PC2P 60-69 years, male 480.9
GTEX-1PWST-1026-SM-DTXF2 70-79 years, male 477.9
GTEX-145LV-0326-SM-5Q5BW 50-59 years, male 477.0
GTEX-12BJ1-0226-SM-5LUA2 60-69 years, male 473.6
GTEX-Y8E4-0326-SM-4VBRR 40-49 years, male 473.0
GTEX-1IKOE-1026-SM-ARZMF 30-39 years, female 471.6
GTEX-13O1R-1226-SM-5J1NU 60-69 years, male 470.9
GTEX-15DYW-1126-SM-6LPK5 60-69 years, female 467.5
GTEX-17F9E-0926-SM-7IGMG 50-59 years, male 460.0
GTEX-R55C-0326-SM-3GAF1 40-49 years, male 459.4
GTEX-14DAQ-1126-SM-664MT 60-69 years, female 458.8
GTEX-11TUW-1026-SM-5GU7D 60-69 years, male 453.8
GTEX-13O21-2326-SM-5MR3X 50-59 years, male 449.7
GTEX-13OVG-0526-SM-5K7YD 60-69 years, male 448.4
GTEX-1JJE9-1426-SM-ARL8P 70-79 years, male 444.4
GTEX-PVOW-0426-SM-5MR5R 40-49 years, male 444.2
GTEX-RNOR-0826-SM-2TF5C 50-59 years, female 441.0
GTEX-132NY-1726-SM-5EGKK 60-69 years, male 440.9
GTEX-1O9I2-1126-SM-DTXEA 50-59 years, male 438.1
GTEX-O5YW-0326-SM-2I5EI 50-59 years, male 437.3
GTEX-QMRM-0526-SM-2I5GA 50-59 years, male 435.7
GTEX-ZZPU-0926-SM-5GZYT 50-59 years, female 434.8
GTEX-147JS-1526-SM-5ZZWF 60-69 years, male 434.0
GTEX-12ZZZ-1726-SM-59HK5 60-69 years, male 431.5
GTEX-WZTO-1326-SM-3NM8X 40-49 years, male 430.7
GTEX-16BQI-0926-SM-6M485 30-39 years, female 428.3
GTEX-XQ8I-0126-SM-4BOPL 50-59 years, male 427.0
GTEX-14PHY-0226-SM-5ZZWM 60-69 years, female 423.5
GTEX-ZPU1-0626-SM-4YCDM 40-49 years, male 423.2
GTEX-12WSC-1126-SM-5EQ4G 50-59 years, male 418.9
GTEX-17JCI-1126-SM-7IGMM 60-69 years, female 415.5
GTEX-1C2JI-0526-SM-7EWEQ 50-59 years, male 412.3
GTEX-1CAMS-1326-SM-79OJR 40-49 years, female 401.6
GTEX-RTLS-0826-SM-2TF5Q 60-69 years, female 400.0
GTEX-17F9Y-1326-SM-7MGW9 70-79 years, female 398.7
GTEX-1JMPZ-1426-SM-CJI3C 30-39 years, male 397.8
GTEX-RWSA-0626-SM-2XCBD 40-49 years, male 397.6
GTEX-1ICLY-1326-SM-CJI47 50-59 years, male 396.3
GTEX-14E6D-0926-SM-5S2QV 50-59 years, male 395.9
GTEX-1JN1M-1026-SM-CNPOS 60-69 years, female 394.1
GTEX-1J8Q2-1226-SM-A9G2W 60-69 years, male 393.8
GTEX-T2IS-0426-SM-32QPE 20-29 years, female 389.4
GTEX-13OW8-2126-SM-5J1OS 60-69 years, male 388.2
GTEX-11ONC-0126-SM-5PNW6 60-69 years, male 384.4
GTEX-ZYFC-1126-SM-5E44W 50-59 years, male 381.8
GTEX-15CHC-0426-SM-6LLHI 60-69 years, female 381.4
GTEX-1S3DN-0726-SM-E9TIO 50-59 years, male 380.7
GTEX-13X6K-1826-SM-5O9CR 60-69 years, female 380.0
GTEX-R55E-1026-SM-2TC5S 20-29 years, male 377.7
GTEX-11DXX-0326-SM-5PNWC 60-69 years, female 368.2
GTEX-145MO-1126-SM-5NQBX 60-69 years, male 364.1
GTEX-1GMR3-0326-SM-7P8QT 40-49 years, male 358.9
GTEX-ZAB4-1026-SM-5HL7T 40-49 years, male 358.5
GTEX-1GN1V-0826-SM-9KNU6 60-69 years, male 355.6
GTEX-QV44-0526-SM-2S1RE 50-59 years, male 355.4
GTEX-139YR-0826-SM-5LZXY 50-59 years, male 355.3
GTEX-16NPX-0926-SM-7KUEZ 50-59 years, male 353.5
GTEX-117YW-0326-SM-5N9CY 50-59 years, male 342.3
GTEX-R53T-0926-SM-3GADH 50-59 years, female 339.4
GTEX-1R9PO-0326-SM-DTXA1 60-69 years, female 336.5
GTEX-1H1CY-0326-SM-9QEIZ 60-69 years, female 335.7
GTEX-1JJ6O-2126-SM-CNNP6 60-69 years, male 334.6
GTEX-1269C-0826-SM-5N9EM 60-69 years, female 332.1
GTEX-1LH75-0426-SM-E9TJF 50-59 years, female 331.4
GTEX-1I1GV-1326-SM-A96SE 60-69 years, male 330.8
GTEX-RN64-0826-SM-2TC62 50-59 years, male 327.1
GTEX-12ZZY-1126-SM-5DUWQ 60-69 years, male 325.6
GTEX-14PJM-1126-SM-6LLHK 50-59 years, female 324.3
GTEX-1LG7Y-1226-SM-CXZKD 50-59 years, male 323.1
GTEX-1314G-0126-SM-5LZUL 30-39 years, male 322.2
GTEX-1PPH7-2026-SM-E9J3N 40-49 years, male 322.1
GTEX-13RTJ-0726-SM-5QGQN 60-69 years, male 320.9
GTEX-1GN2E-1326-SM-9KNVG 60-69 years, male 318.8
GTEX-1R9JW-0526-SM-EWRNK 30-39 years, female 317.3
GTEX-13CF2-0426-SM-5KM1H 60-69 years, male 314.7
GTEX-11DXY-0826-SM-5EGGR 60-69 years, male 313.2
GTEX-11GSP-1326-SM-5A5KY 60-69 years, female 312.7
GTEX-ZAJG-0826-SM-5PNVA 50-59 years, female 311.8
GTEX-1ICLZ-1026-SM-A9SLF 60-69 years, male 311.7
GTEX-1EKGG-1126-SM-7MGXB 60-69 years, male 308.7
GTEX-OHPM-0326-SM-33HCA 50-59 years, male 306.6
GTEX-13FTZ-0226-SM-5K7X6 60-69 years, male 305.1
GTEX-17HII-1326-SM-7IGOB 50-59 years, male 302.9
GTEX-WQUQ-1426-SM-3MJFD 60-69 years, male 302.6
GTEX-1EWIQ-1426-SM-7IGOS 70-79 years, female 302.3
GTEX-14BIL-1126-SM-79OMC 50-59 years, male 299.9
GTEX-OXRO-2026-SM-2YUMZ 60-69 years, female 299.3
GTEX-17HHY-1426-SM-7EWDQ 50-59 years, male 298.4
GTEX-1HBPM-1226-SM-A9SM8 60-69 years, female 294.7
GTEX-1HT8W-1726-SM-CNNQB 30-39 years, male 292.7
GTEX-14E7W-1226-SM-5RQIU 70-79 years, male 290.3
GTEX-1313W-1426-SM-5KLZU 50-59 years, female 288.6
GTEX-16MT8-0926-SM-6M487 60-69 years, female 286.4
GTEX-NFK9-0926-SM-2HMJU 40-49 years, male 283.0
GTEX-WK11-0826-SM-EZ6LH 50-59 years, male 282.3
GTEX-1EX96-2526-SM-7RHGW 50-59 years, male 279.7
GTEX-11EMC-0726-SM-5EGJO 60-69 years, female 277.7
GTEX-1IKJJ-0826-SM-A96SP 60-69 years, male 277.7
GTEX-1O97I-0826-SM-E8VNE 60-69 years, male 277.4
GTEX-11ZVC-0426-SM-5CVLD 50-59 years, female 275.2
GTEX-1NV8Z-1526-SM-DTX8X 60-69 years, male 274.7
GTEX-WRHU-1226-SM-4E3IJ 50-59 years, female 273.5
GTEX-YJ8O-0926-SM-EAZ2Z 40-49 years, female 272.3
GTEX-14C5O-1326-SM-5S2UW 60-69 years, male 272.2
GTEX-14JIY-1126-SM-6EU28 60-69 years, male 271.3
GTEX-148VJ-1526-SM-5Q5DU 70-79 years, male 270.1
GTEX-ZYW4-0926-SM-59HJS 60-69 years, male 269.7
GTEX-1B8L1-0526-SM-79ONX 60-69 years, male 266.1
GTEX-13X6H-0426-SM-5LU4E 50-59 years, female 261.7
GTEX-12ZZW-1026-SM-5GCMM 50-59 years, male 258.3
GTEX-1EN7A-0726-SM-7PBXT 40-49 years, male 255.8
GTEX-N7MT-1326-SM-2I3FV 60-69 years, female 255.6
GTEX-14PJ2-1026-SM-6EU1M 50-59 years, male 255.3
GTEX-1EH9U-0826-SM-7IGPT 60-69 years, male 249.0
GTEX-15CHQ-1526-SM-69LPW 60-69 years, male 241.8
GTEX-13JVG-1326-SM-5N9F8 60-69 years, male 240.8
GTEX-1RAZS-0826-SM-E76QP 50-59 years, male 240.4
GTEX-11O72-1126-SM-5N9E2 40-49 years, male 240.1
GTEX-1H1ZS-1126-SM-9MQLJ 70-79 years, male 240.1
GTEX-17MF6-0726-SM-7LT8E 40-49 years, male 239.5
GTEX-1I1GP-0826-SM-A96SD 50-59 years, male 236.1
GTEX-YFC4-0526-SM-5ZZVI 40-49 years, female 233.8
GTEX-1399T-0426-SM-5PNVJ 60-69 years, male 232.8
GTEX-1HCU7-1326-SM-CNPPW 50-59 years, male 231.3
GTEX-QVJO-1926-SM-2S1QZ 60-69 years, female 231.2
GTEX-1A3MW-1326-SM-7189P 60-69 years, female 228.8
GTEX-147F4-1226-SM-5NQAY 50-59 years, male 228.3
GTEX-1GTWX-1026-SM-7P8QW 60-69 years, male 226.9
GTEX-S33H-0526-SM-COH1W 30-39 years, male 225.5
GTEX-1F48J-1026-SM-7P8SO 50-59 years, female 223.1
GTEX-ZUA1-0826-SM-4YCDL 40-49 years, male 221.4
GTEX-1AX9I-1126-SM-7EPHH 60-69 years, male 220.6
GTEX-P44H-0726-SM-48TBT 40-49 years, male 218.8
GTEX-13FHP-1026-SM-5K7Y2 50-59 years, male 217.5
GTEX-14C39-0926-SM-5TDDV 40-49 years, male 217.4
GTEX-XBEC-1326-SM-4AT69 50-59 years, male 217.0
GTEX-1LB8K-1026-SM-DHXJJ 50-59 years, male 214.9
GTEX-WWYW-1326-SM-3NB2S 50-59 years, female 214.3
GTEX-1A8G6-1626-SM-7MGWO 60-69 years, male 212.1
GTEX-1B932-1026-SM-793CL 40-49 years, female 210.5
GTEX-1IDJH-1026-SM-E9TKH 70-79 years, male 207.8
GTEX-1KD4Q-0726-SM-DIPGE 40-49 years, male 204.2
GTEX-ZYT6-1726-SM-5E44P 30-39 years, male 200.4
GTEX-1JN6P-1126-SM-CKZON 60-69 years, male 200.2
GTEX-1H3NZ-1126-SM-9WYT9 60-69 years, male 199.8
GTEX-ZF3C-1226-SM-4WWCB 50-59 years, female 195.3
GTEX-1ICG6-0626-SM-ACKWS 70-79 years, female 194.2
GTEX-1HCVE-1126-SM-9WPPG 50-59 years, male 190.3
GTEX-1C6VQ-1126-SM-7EWET 50-59 years, male 188.3
GTEX-13X6I-1426-SM-5SI9Z 60-69 years, male 183.3
GTEX-15RJE-0626-SM-7KUKR 40-49 years, male 179.7
GTEX-13NYB-0226-SM-5N9G4 40-49 years, male 173.5
GTEX-13OW5-1126-SM-5J1NR 60-69 years, male 169.7
GTEX-WI4N-0626-SM-3TW8Z 40-49 years, female 168.0
GTEX-14A5I-1226-SM-5NQBW 50-59 years, female 166.4
GTEX-13YAN-1326-SM-5Q5F1 60-69 years, male 151.6
GTEX-X261-1426-SM-4PQZ1 50-59 years, male 145.3
GTEX-14BIN-2226-SM-5YYA1 50-59 years, female 134.8
GTEX-13O3P-1626-SM-5K7X3 50-59 years, male 130.3
GTEX-15SHW-1226-SM-6M46C 60-69 years, male 111.5
GTEX-P44G-0826-SM-2I5ES 30-39 years, male 97.9
Show allShow less

HEART MUSCLE - FANTOM5 CAGEi

RNA expression in human tissues obtained through Cap Analysis of Gene Expression (CAGE) generated by the FANTOM5 project are reported as Scaled Tags Per Million.

Max subtype Scaled Tags Per Millioni

Max subtype Scaled Tags Per Million is the value for the subtype with the largest average Scaled Tags Per Million across the subtype samples.

801.8
FANTOM5 sample id Sample description Scaled Tags Per Million
Heart
Scaled Tags Per Million: 534.1
FF:10016-101C7 70,73,74 years, mixed 534.1
Left atrium
Scaled Tags Per Million: 326.4
FF:10079-102A7 40 years, male 326.4
Left ventricle
Scaled Tags Per Million: 801.8
FF:10078-102A6 73 years, female 801.8

Contact

  • NEWS ARTICLES
  • PRESS ROOM

The Project

  • INTRODUCTION
  • ORGANIZATION
  • PUBLICATIONS

The Human Protein Atlas

  • DOWNLOADABLE DATA
  • LICENCE & CITATION
  • HELP & FAQ
The Human Protein Atlas project is funded
by the Knut & Alice Wallenberg Foundation.


contact@proteinatlas.org