We use cookies to enhance the usability of our website. If you continue, we'll assume that you are happy to receive all cookies. More information. Don't show this again.
FHL1
HPA
RESOURCES
  • TISSUE
  • BRAIN
  • SINGLE CELL
  • SUBCELLULAR
  • CANCER
  • BLOOD
  • CELL LINE
  • STRUCTURE & INTERACTION
ABOUT
  • INTRODUCTION
  • HISTORY
  • ORGANIZATION
  • PUBLICATIONS
  • ANTIBODY SUBMISSION
  • ANTIBODY AVAILABILITY
  • ACKNOWLEDGMENTS
  • CONTACT
NEWS
  • NEWS ARTICLES
  • PRESS ROOM
LEARN
  • DICTIONARY
  • PROTEIN CLASSES
  • PROTEIN EVIDENCE
  • METHODS
  • EDUCATIONAL VIDEOS
DATA
  • DOWNLOADABLE DATA
  • PUBLICATION DATA
  • RELEASE HISTORY
HELP
  • ANTIBODY VALIDATION
  • ASSAYS & ANNOTATION
  • DISCLAIMER
  • HELP & FAQ
  • PRIVACY STATEMENT
  • LICENCE & CITATION
Fields »
Search result

Field
Term
Gene name
Class
Subclass
Class
Keyword
Chromosome
External id
Tissue
Cell type
Expression
Antibody panel
Tissue
Main location
Patient ID
Annotation
Tissue
Category
Tau score
Cluster
Reliability
Brain region
Category
Tau score
Brain region
Category
Tau score
Brain region
Category
Tau score
Cluster
Reliability
Tissue
Cell type
Enrichment
Cell type
Category
Tau score
Cell type
Category
Tau score
Cell type
Category
Tau score
Cell lineage
Category
Tau score
Cluster
Cluster
Location
Searches
Location
Cell line
Class
Type
Phase
Reliability
Cancer
Prognosis
Cancer
Category
Cancer
Category
Tau score
Cluster
Variants
Interacting gene (ensg_id)
Type
Number of interactions
Pathway
Category
Score
Score
Score
Validation
Validation
Validation
Validation
Antibodies
Data type
Column


  • SUMMARY

  • TISSUE

  • BRAIN

  • SINGLE CELL

  • SUBCELL

  • CANCER

  • BLOOD

  • CELL LINE

  • STRUCT & INT

  • FHL1
TISSUE PRIMARY DATA THYROID GLAND Show tissue menu
ADIPOSE TISSUE ADRENAL GLAND AMYGDALA APPENDIX BASAL GANGLIA BONE MARROW BREAST BRONCHUS CEREBELLUM CEREBRAL CORTEX CERVIX CHOROID PLEXUS COLON DUODENUM
ENDOMETRIUM EPIDIDYMIS ESOPHAGUS FALLOPIAN TUBE GALLBLADDER HEART MUSCLE HIPPOCAMPAL FORMATION HYPOTHALAMUS KIDNEY LIVER LUNG LYMPH NODE MIDBRAIN NASOPHARYNX
ORAL MUCOSA OVARY PANCREAS PARATHYROID GLAND PITUITARY GLAND PLACENTA PROSTATE RECTUM RETINA SALIVARY GLAND SEMINAL VESICLE SKELETAL MUSCLE SKIN SMALL INTESTINE
SMOOTH MUSCLE SOFT TISSUE SPINAL CORD SPLEEN STOMACH TESTIS THYMUS THYROID GLAND TONGUE TONSIL URINARY BLADDER VAGINA
ANTIBODIES
AND
VALIDATION
Dictionary
Thyroid gland
Tissue proteome
Thyroid gland
THYROID GLAND - Expression summary
Protein expression
Thyroid glandi

On the top, protein expression in current human tissue, based on all annotated cell types, is reported with the units not detected (n), low (l), medium (m) and high (h). Underneath, protein expression in each annotated cell type are reported using the same units.

Protein expression data is based on knowledge-based annotation. For genes where more than one antibody has been used, a collective score is set.

If knowledge-based annotation could not be performed for a gene, no data is displayed here. View antibody staining data further down this page.

h
m
l
n
Glandular cells: High
RNA expressioni

A summary of mRNA expression data available for current tissue based on several datasets. The mRNA expression levels in human tissues are based on RNA-seq data generated by the Human Protein Atlas (HPA), Genotype-Tissue Expression (GTEx) portal and CAGE data generated by the FANTOM5 consortium. Consensus normalized expression levels for human tissues was created by combining the data from HPA and GTEx datasets.

The mRNA expression levels in pig are based on RNA-seq data generated by the Human Protein Atlas (HPA), and for mouse, HPA data and in situ hybridization generated by the Allen brain atlas are reported.

Scroll down to view mRNA expression data in more detail.
Consensus:300.9 nTPM
HPA:300.9 nTPM
GTEx:197.6 nTPM
FANTOM5:128.8 Scaled Tags Per Million

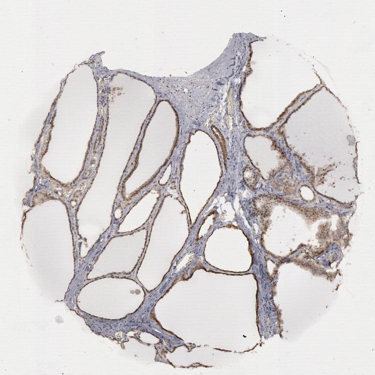
THYROID GLAND - Antibody stainingi

Antibody staining in the annotated cell types in the current human tissue is reported as not detected, low, medium, or high, based on conventional immunohistochemistry profiling in selected tissues. This score is based on the combination of the staining intensity and fraction of stained cells.

Each image is clickable and will lead to virtual microscopy that enables deeper exploration of all samples and also displays staining intensity scores, fraction scores and subcellular localization as well as patient and tissue information for each sample.

Antibody HPA001040Antibody HPA001391Antibody CAB020817
Glandular cells HighHighMedium







THYROID GLAND - HPA RNA-seqi

The RNA-seq details section shows detailed information about the individual samples used for the transcript profiling and results of the RNA-seq analysis.

Information about each individual sample is listed below, including gender, age, a tissue section image and estimated fractions of cell types. nTPM (normalized transcripts per million) values give a quantification of the gene abundance which is comparable between different genes and samples.
Average nTPMi

Max subtype nTPM is the value for the subtype with the largest average nTPM across the subtype samples.

300.9
overview
Female, age 20
Thyroid gland sample 249
nTPM: 149.9
Cell types%
Glandular cells:
70

Endothelial cells:
20

Other cell types:
10

overview
Female, age 55
Thyroid gland sample 250
nTPM: 252.1
Cell types%
Glandular cells:
70

Endothelial cells:
20

Other cell types:
10

overview
Female, age 58
Thyroid gland sample 251
nTPM: 307.1
Cell types%
Glandular cells:
70

Endothelial cells:
15

Other cell types:
15

overview
Female, age 48
Thyroid gland sample 252
nTPM: 337.1
Cell types%
Glandular cells:
70

Endothelial cells:
20

Other cell types:
10

overview
Male, age 21
Thyroid gland sample 363
nTPM: 458.3
Cell types%
Glandular cells:
75

Endothelial cells:
10

Other cell types:
15


THYROID GLAND - GTEx RNA-seqi

RNA-Seq data generated by the Genotype-Tissue Expression (GTEx) project from human tissues is reported as mean nTPM. More information can be found on the GTEx portal.

Distribution across the dataset is visualized with box plots, shown as median and 25th and 75th percentiles. Points are displayed as outliers if they are above or below 1.5 times the interquartile range. nTPM values of the individual samples are presented next to the box plot.
Max subtype nTPMi

Max subtype nTPM is the value for the subtype with the largest average nTPM across the subtype samples.

197.6
GTEx sample id Sample description nTPM
Thyroid
Average nTPM: 197.6
Samples: 653

Max nTPM: 688.3
Min nTPM: 46.9
Std nTPM: 108.4
Median nTPM: 158.1
GTEX-1B8SF-0626-SM-73KVV 60-69 years, male 688.3
GTEX-1PIIG-2026-SM-EVR43 30-39 years, male 667.3
GTEX-1MJK2-0826-SM-DTXE8 50-59 years, male 654.0
GTEX-14JIY-1226-SM-6871R 60-69 years, male 591.9
GTEX-18A6Q-0726-SM-7LT8Y 60-69 years, male 577.7
GTEX-13FTY-0726-SM-5J2OH 40-49 years, female 567.3
GTEX-1PPGY-1426-SM-EVR3R 60-69 years, male 550.2
GTEX-1F88F-0726-SM-7P8R7 60-69 years, female 541.5
GTEX-SIU8-0626-SM-2XCDN 50-59 years, male 534.1
GTEX-1N5O9-1026-SM-DTX8Y 60-69 years, male 533.1
GTEX-ZDTS-0926-SM-5YY9D 60-69 years, male 522.4
GTEX-11GSP-0126-SM-5A5KU 60-69 years, female 521.3
GTEX-ZDXO-1726-SM-5HL6L 60-69 years, male 519.2
GTEX-13X6J-0826-SM-5LU32 50-59 years, male 507.8
GTEX-117XS-0526-SM-5987Q 60-69 years, male 506.4
GTEX-147F4-0826-SM-5QGRB 50-59 years, male 502.9
GTEX-1LB8K-0626-SM-D4P3Z 50-59 years, male 498.6
GTEX-1HT8W-1526-SM-CE6S3 30-39 years, male 488.2
GTEX-1HBPH-0926-SM-A9SME 40-49 years, female 483.4
GTEX-1C64N-1026-SM-79ONM 50-59 years, male 477.1
GTEX-13NYB-0726-SM-5MR4J 40-49 years, male 464.5
GTEX-1GN2E-0826-SM-9WYT8 60-69 years, male 457.4
GTEX-1A8G6-0626-SM-7IGNB 60-69 years, male 453.7
GTEX-14ASI-0726-SM-5Q5DC 60-69 years, male 450.5
GTEX-1J8JJ-0726-SM-AHZ3E 60-69 years, female 449.0
GTEX-11ZVC-0126-SM-5986G 50-59 years, female 436.9
GTEX-1GZHY-1426-SM-9WG5H 50-59 years, female 428.8
GTEX-1QEPI-0726-SM-E76QG 60-69 years, female 428.8
GTEX-1HBPI-0826-SM-9WYTX 50-59 years, male 427.9
GTEX-1BAJH-0926-SM-79OO6 70-79 years, male 426.9
GTEX-11DXY-0426-SM-5H12R 60-69 years, male 424.4
GTEX-14DAQ-0826-SM-73KWT 60-69 years, female 421.5
GTEX-117YW-0126-SM-5EGGN 50-59 years, male 417.7
GTEX-16YQH-0326-SM-6LPJV 30-39 years, male 417.4
GTEX-RWSA-0826-SM-2XCBF 40-49 years, male 417.1
GTEX-1QP6S-2526-SM-DTX9Z 40-49 years, male 416.8
GTEX-16GPK-0926-SM-6LPJ9 60-69 years, male 415.0
GTEX-T2IS-0626-SM-32QP6 20-29 years, female 412.9
GTEX-1212Z-0426-SM-5FQT6 60-69 years, male 410.7
GTEX-1OJC3-0626-SM-E8VMO 20-29 years, male 410.4
GTEX-WHSE-0626-SM-4RGNF 20-29 years, male 409.1
GTEX-WRHU-0926-SM-4E3IG 50-59 years, female 407.5
GTEX-139TS-0126-SM-5K7XJ 60-69 years, male 405.9
GTEX-1EU9M-0626-SM-7MXUT 60-69 years, male 402.4
GTEX-1J8EW-1126-SM-A96T8 60-69 years, female 401.0
GTEX-1F75A-0326-SM-7MXTR 50-59 years, male 396.7
GTEX-WK11-0926-SM-3NMAU 50-59 years, male 396.2
GTEX-1RQEC-1026-SM-EVR5B 60-69 years, male 392.6
GTEX-1LG7Z-0526-SM-D4P3Q 30-39 years, male 392.4
GTEX-12WSD-0926-SM-5GCNL 60-69 years, female 392.3
GTEX-1O97I-1026-SM-E76PI 60-69 years, male 392.0
GTEX-1EN7A-1026-SM-7IGPZ 40-49 years, male 387.4
GTEX-13FLV-0226-SM-5J2OF 50-59 years, male 387.2
GTEX-SJXC-0726-SM-2XCFJ 60-69 years, male 384.9
GTEX-145LU-0426-SM-5O9AH 50-59 years, male 380.7
GTEX-1QMI2-0826-SM-EXUT4 60-69 years, male 380.7
GTEX-18465-1426-SM-7KFTF 50-59 years, male 379.0
GTEX-XYKS-0826-SM-4BRVF 60-69 years, female 374.0
GTEX-1M4P7-0626-SM-EVR51 60-69 years, male 367.4
GTEX-145MG-0826-SM-5Q5C2 50-59 years, male 366.8
GTEX-1C6VR-0426-SM-7IGN6 60-69 years, male 365.1
GTEX-1IKOH-0626-SM-CJI35 60-69 years, female 362.8
GTEX-1H1CY-0726-SM-9OSXX 60-69 years, female 362.2
GTEX-1F6IF-1126-SM-9KNV2 60-69 years, male 361.6
GTEX-113JC-0126-SM-5EGJW 50-59 years, female 358.3
GTEX-R55E-0826-SM-2TC5M 20-29 years, male 357.6
GTEX-17JCI-0626-SM-7IGM7 60-69 years, female 356.3
GTEX-144GL-1226-SM-5O9A4 50-59 years, male 355.0
GTEX-ZQUD-0126-SM-7EPIS 30-39 years, male 351.9
GTEX-1IKJJ-1026-SM-A96SQ 60-69 years, male 348.9
GTEX-1JMQJ-2026-SM-CNPP9 50-59 years, male 345.3
GTEX-13VXU-0826-SM-5KLZ2 50-59 years, male 344.8
GTEX-ZF3C-0826-SM-DO11E 50-59 years, female 342.8
GTEX-T6MN-0626-SM-32PM9 50-59 years, male 340.4
GTEX-QXCU-0326-SM-2TC63 50-59 years, male 340.0
GTEX-14ABY-0926-SM-5Q5DY 50-59 years, male 339.0
GTEX-ZVZQ-0626-SM-59HJU 60-69 years, female 338.1
GTEX-U412-0726-SM-EVR2Y 60-69 years, male 334.5
GTEX-17MF6-0626-SM-7LT8D 40-49 years, male 333.1
GTEX-12WSC-0826-SM-5EQ5Q 50-59 years, male 332.9
GTEX-1GZ4I-0626-SM-9WPPN 50-59 years, male 332.2
GTEX-131XH-0526-SM-5DUX7 50-59 years, male 330.9
GTEX-13112-0326-SM-5P9IW 50-59 years, male 330.5
GTEX-1399T-0126-SM-5KM15 60-69 years, male 330.2
GTEX-13G51-1226-SM-5K7Z3 60-69 years, male 329.7
GTEX-XLM4-0726-SM-4AT64 60-69 years, male 329.1
GTEX-1GF9V-0926-SM-9KNW7 60-69 years, male 325.1
GTEX-1RAZS-1026-SM-E9TID 50-59 years, male 324.1
GTEX-11DYG-0826-SM-5N9GH 60-69 years, male 323.7
GTEX-1GMRU-1126-SM-9KNV1 50-59 years, male 322.9
GTEX-1192W-0126-SM-5EGGS 60-69 years, male 322.3
GTEX-S7SE-0726-SM-2XCD7 50-59 years, male 322.0
GTEX-11TTK-0826-SM-5N9EG 60-69 years, female 315.3
GTEX-1B8KZ-0426-SM-731DP 50-59 years, male 314.6
GTEX-1477Z-0226-SM-5TDCI 60-69 years, male 308.8
GTEX-1RNSC-1126-SM-E9TIP 60-69 years, male 307.8
GTEX-13N1W-0826-SM-5MR5J 70-79 years, male 307.4
GTEX-1IOXB-1026-SM-CJI4D 50-59 years, male 305.9
GTEX-17HG3-0226-SM-7EWEA 30-39 years, female 305.0
GTEX-1RAZR-1126-SM-E6CRC 40-49 years, male 304.8
GTEX-ZYFC-0926-SM-5GZWW 50-59 years, male 303.9
GTEX-1A8FM-0726-SM-7DUGK 50-59 years, female 301.4
GTEX-15CHQ-0826-SM-69LOT 60-69 years, male 300.8
GTEX-1HSKV-1026-SM-B2LWK 60-69 years, male 299.9
GTEX-1CAMQ-1126-SM-7EWFE 40-49 years, male 299.4
GTEX-1RDX4-0926-SM-E9U6D 50-59 years, female 296.8
GTEX-1KD5A-0426-SM-D4P3X 50-59 years, male 294.4
GTEX-1CB4F-0826-SM-793CV 60-69 years, male 293.7
GTEX-1GZ2Q-0826-SM-7P8TK 40-49 years, male 293.2
GTEX-1EX96-0126-SM-9KNVH 50-59 years, male 293.0
GTEX-1B933-1026-SM-7P8RO 50-59 years, female 291.4
GTEX-13OW7-0826-SM-5L3EL 50-59 years, male 290.6
GTEX-1JMLX-0826-SM-CNNPP 50-59 years, male 290.5
GTEX-OIZF-2626-SM-7P8QZ 60-69 years, male 290.5
GTEX-1313W-0726-SM-5EGK1 50-59 years, female 290.0
GTEX-1O9I2-1226-SM-E6CQC 50-59 years, male 288.9
GTEX-14E7W-0926-SM-5YYA4 70-79 years, male 288.2
GTEX-11OF3-0626-SM-5BC4Y 60-69 years, male 288.1
GTEX-11EMC-0226-SM-5EGLP 60-69 years, female 286.8
GTEX-14ICK-1626-SM-6ETZX 40-49 years, male 286.5
GTEX-11EI6-0726-SM-59866 60-69 years, male 284.2
GTEX-1LG7Y-0626-SM-DHXJM 50-59 years, male 284.0
GTEX-1I1GR-1126-SM-A9G2I 60-69 years, male 283.4
GTEX-1GN1U-0826-SM-9WPPX 50-59 years, female 282.1
GTEX-ZVT3-0726-SM-5GICN 60-69 years, female 281.8
GTEX-12ZZX-1226-SM-5EGHS 40-49 years, female 281.4
GTEX-N7MS-2326-SM-2HMLD 60-69 years, male 279.8
GTEX-WVLH-0626-SM-3MJG7 50-59 years, male 278.6
GTEX-1PBJJ-1926-SM-DTX8T 30-39 years, male 278.6
GTEX-15ER7-0726-SM-7KUMF 20-29 years, female 278.0
GTEX-1269C-0226-SM-5EGKS 60-69 years, female 274.7
GTEX-11P82-0226-SM-5HL4O 20-29 years, male 273.7
GTEX-13NZA-1026-SM-5MR48 60-69 years, male 273.6
GTEX-13FLW-0326-SM-5J2M4 50-59 years, male 273.3
GTEX-1EWIQ-0826-SM-7MXTH 70-79 years, female 273.3
GTEX-13JVG-0926-SM-5IJE1 60-69 years, male 272.4
GTEX-1GN73-0826-SM-9OSW4 60-69 years, male 271.7
GTEX-11ZTS-1126-SM-5LU9X 60-69 years, female 271.3
GTEX-1EKGG-0726-SM-7IGPX 60-69 years, male 270.3
GTEX-1IL2U-0826-SM-CL53Q 60-69 years, male 269.8
GTEX-1AX9I-0626-SM-72D54 60-69 years, male 268.9
GTEX-XOT4-1526-SM-EAZ2W 60-69 years, female 267.8
GTEX-1PBJI-0726-SM-EXUSQ 20-29 years, female 267.5
GTEX-1GN1V-0626-SM-7P8QU 60-69 years, male 267.4
GTEX-13O3Q-0626-SM-5IJG1 50-59 years, male 264.7
GTEX-16BQI-0726-SM-6LPJZ 30-39 years, female 262.3
GTEX-ZE7O-1126-SM-57WC8 50-59 years, female 262.3
GTEX-1RQED-0926-SM-EWRNZ 60-69 years, male 262.2
GTEX-13PVQ-0726-SM-5L3GI 50-59 years, male 261.3
GTEX-11NUK-1026-SM-5HL5J 50-59 years, male 260.7
GTEX-1E1VI-0726-SM-7P8QJ 50-59 years, male 260.7
GTEX-1R9JW-0226-SM-EVR4K 30-39 years, female 259.4
GTEX-1I1GV-0726-SM-ARZLY 60-69 years, male 255.3
GTEX-11GS4-0826-SM-5986J 60-69 years, male 253.9
GTEX-1NUQO-0926-SM-DTXEX 20-29 years, female 253.0
GTEX-PX3G-2626-SM-2I3EG 20-29 years, female 252.3
GTEX-12ZZZ-1226-SM-59HK1 60-69 years, male 252.2
GTEX-1128S-0126-SM-5H12S 60-69 years, female 252.1
GTEX-14C39-0226-SM-5TDDW 40-49 years, male 251.1
GTEX-XMK1-0626-SM-4B65A 40-49 years, male 250.2
GTEX-1MA7X-0926-SM-DIPEJ 60-69 years, male 248.9
GTEX-15SB6-1526-SM-7KUMQ 50-59 years, female 248.2
GTEX-1HCVE-0726-SM-A96SH 50-59 years, male 245.9
GTEX-17EVQ-0526-SM-7KFSK 70-79 years, male 243.8
GTEX-Z93S-0526-SM-EVYB4 50-59 years, male 243.6
GTEX-1I1GQ-0826-SM-CNNQR 50-59 years, male 243.2
GTEX-VJYA-0426-SM-3GIJK 60-69 years, male 242.3
GTEX-W5X1-0426-SM-3GILB 40-49 years, female 241.3
GTEX-RU72-0126-SM-2TF6Z 50-59 years, female 239.2
GTEX-11O72-2326-SM-5BC7H 40-49 years, male 237.7
GTEX-147GR-0726-SM-5S2PL 60-69 years, male 237.5
GTEX-ZAK1-0726-SM-5HL8Q 50-59 years, female 237.5
GTEX-1JJEA-0626-SM-D3L96 60-69 years, male 236.1
GTEX-Q2AG-0826-SM-2HMKF 40-49 years, female 235.2
GTEX-1A8G7-1026-SM-73KVA 60-69 years, male 234.6
GTEX-16Z82-0426-SM-7EPGX 60-69 years, male 234.0
GTEX-1HUB1-1226-SM-B2LWX 60-69 years, male 233.4
GTEX-Y111-1926-SM-4SOIS 50-59 years, male 231.9
GTEX-132QS-0326-SM-5IJFN 60-69 years, male 230.9
GTEX-1C4CL-0726-SM-7IGP9 30-39 years, male 228.4
GTEX-ZUA1-0926-SM-4YCDX 40-49 years, male 227.6
GTEX-XUZC-0126-SM-4BOO6 30-39 years, female 227.5
GTEX-12WSE-1226-SM-73KUF 20-29 years, male 227.2
GTEX-1CB4G-1526-SM-7P8QG 60-69 years, male 226.8
GTEX-WEY5-0526-SM-3GIKZ 40-49 years, female 226.2
GTEX-15SHU-0726-SM-7KUFI 40-49 years, female 225.1
GTEX-1A3MV-0326-SM-73KW7 30-39 years, male 224.2
GTEX-RNOR-0926-SM-2TF56 50-59 years, female 223.0
GTEX-1GTWX-0726-SM-9WPPA 60-69 years, male 222.5
GTEX-12ZZY-0826-SM-5EQMT 60-69 years, male 221.9
GTEX-OXRP-0326-SM-33HBJ 60-69 years, female 221.9
GTEX-11DXZ-0926-SM-5N9CG 50-59 years, male 221.5
GTEX-1LSVX-0726-SM-E9TJG 60-69 years, male 221.2
GTEX-132NY-1026-SM-5P9IY 60-69 years, male 220.9
GTEX-111VG-0526-SM-5N9BW 60-69 years, male 220.2
GTEX-RVPV-1226-SM-2TF73 60-69 years, male 220.0
GTEX-14753-0926-SM-5Q5BI 60-69 years, male 218.3
GTEX-UJMC-0326-SM-3GAE2 50-59 years, male 217.5
GTEX-1I1GP-0326-SM-CNPQ4 50-59 years, male 217.5
GTEX-RN64-0626-SM-2TC5V 50-59 years, male 214.7
GTEX-17HII-1926-SM-79OLB 50-59 years, male 214.2
GTEX-1QCLY-0826-SM-DTX8A 30-39 years, male 213.5
GTEX-1LGRB-1226-SM-CNNPS 50-59 years, female 212.7
GTEX-1B97I-0326-SM-7DUGB 40-49 years, male 212.6
GTEX-SN8G-1526-SM-4DM79 50-59 years, female 209.0
GTEX-13O3O-0926-SM-5KM1F 60-69 years, female 208.8
GTEX-PWN1-2626-SM-2I3FH 40-49 years, female 208.7
GTEX-13FXS-0726-SM-5LZXJ 50-59 years, male 208.3
GTEX-1KD4Q-1026-SM-CXZKJ 40-49 years, male 208.3
GTEX-15RJ7-0326-SM-6M47H 40-49 years, male 207.6
GTEX-13OW6-0726-SM-5L3FX 50-59 years, male 207.1
GTEX-1IDJH-0826-SM-CE6SY 70-79 years, male 206.8
GTEX-15DZA-0226-SM-7KFS6 30-39 years, female 205.7
GTEX-13OW8-0126-SM-5IJE5 60-69 years, male 205.6
GTEX-RTLS-0626-SM-5SI7Z 60-69 years, female 205.0
GTEX-1HR9M-0626-SM-A96S6 60-69 years, male 203.6
GTEX-1LVAN-0726-SM-CNNPF 50-59 years, female 203.4
GTEX-1399R-0126-SM-5IFEV 30-39 years, male 203.2
GTEX-18A7A-0826-SM-7KFTJ 50-59 years, female 203.2
GTEX-WL46-0126-SM-3TW8I 50-59 years, male 202.8
GTEX-1HFI7-0326-SM-9WPOX 50-59 years, female 202.4
GTEX-13QJ3-0926-SM-73KX5 50-59 years, male 201.6
GTEX-14PQA-1226-SM-6M47A 50-59 years, female 201.2
GTEX-1J8Q3-0226-SM-C1YR4 60-69 years, male 201.0
GTEX-1JMPZ-0626-SM-CY8HY 30-39 years, male 200.2
GTEX-16MTA-0726-SM-7KUL4 50-59 years, male 200.1
GTEX-YJ89-0726-SM-5P9F7 60-69 years, male 199.9
GTEX-14BMV-0726-SM-73KVE 50-59 years, male 199.8
GTEX-ZYW4-1126-SM-5SI99 60-69 years, male 199.8
GTEX-111FC-1026-SM-5GZX1 60-69 years, male 199.2
GTEX-WXYG-0226-SM-3NB2Y 50-59 years, female 199.1
GTEX-145MH-0426-SM-5LU8T 50-59 years, male 197.2
GTEX-1C6VS-0826-SM-7EWEI 60-69 years, male 197.1
GTEX-1HSGN-0726-SM-A9G2F 40-49 years, female 195.4
GTEX-14BIN-0126-SM-5TDCG 50-59 years, female 195.3
GTEX-1B8L1-1626-SM-7IGMH 60-69 years, male 194.2
GTEX-TSE9-0626-SM-3DB8B 60-69 years, female 192.4
GTEX-1GMR3-0726-SM-9WPOF 40-49 years, male 192.3
GTEX-1S5ZU-0726-SM-EWROH 20-29 years, female 191.1
GTEX-17HHY-0826-SM-7EPID 50-59 years, male 190.9
GTEX-12BJ1-0426-SM-5FQSO 60-69 years, male 190.5
GTEX-1I19N-0226-SM-CE6ST 70-79 years, male 190.2
GTEX-U3ZH-0226-SM-3DB7B 30-39 years, male 190.1
GTEX-WFG8-0426-SM-3GILD 20-29 years, male 190.1
GTEX-P44G-0626-SM-2I5EO 30-39 years, male 189.5
GTEX-146FQ-0726-SM-5LUA7 30-39 years, male 189.3
GTEX-P78B-0526-SM-2I5F7 40-49 years, female 189.2
GTEX-OXRN-1526-SM-E6CHM 50-59 years, male 188.8
GTEX-1AMEY-0126-SM-73KTX 30-39 years, female 188.3
GTEX-1JMPY-0126-SM-CJI39 30-39 years, male 187.4
GTEX-W5WG-1426-SM-4KKZP 50-59 years, female 186.0
GTEX-ZXG5-0926-SM-5NQ8H 60-69 years, male 185.7
GTEX-1IY9M-1026-SM-A96TG 60-69 years, male 185.4
GTEX-1C6VQ-0526-SM-7MGWD 50-59 years, male 184.8
GTEX-15RJE-1326-SM-6LPI6 40-49 years, male 184.6
GTEX-13PL6-1026-SM-5L3E5 40-49 years, female 183.1
GTEX-1AX9J-2126-SM-731DD 60-69 years, male 183.1
GTEX-QV31-0726-SM-3GAEG 30-39 years, male 182.9
GTEX-1IL2V-0626-SM-ARU7S 70-79 years, male 182.1
GTEX-1EMGI-0826-SM-7EPHY 60-69 years, male 181.8
GTEX-OHPM-2626-SM-33HC5 50-59 years, male 181.7
GTEX-18A67-0826-SM-7KFTI 50-59 years, male 180.9
GTEX-OHPK-2626-SM-2HMK9 50-59 years, female 180.8
GTEX-14JG6-1326-SM-9OSXU 30-39 years, female 179.6
GTEX-139UW-0126-SM-5KM1B 60-69 years, male 179.3
GTEX-1GZ4H-0226-SM-9JGGJ 50-59 years, female 178.7
GTEX-1IE54-0926-SM-A9G2Y 40-49 years, female 178.4
GTEX-1HC8U-1226-SM-9WYUW 40-49 years, female 178.2
GTEX-OXRO-1226-SM-48TDL 60-69 years, female 177.9
GTEX-OIZI-0726-SM-2XCEI 40-49 years, male 176.1
GTEX-17HHE-0426-SM-79OK3 50-59 years, male 176.0
GTEX-U3ZN-0326-SM-3DB86 30-39 years, female 175.9
GTEX-14PN3-0826-SM-69LOS 60-69 years, female 175.6
GTEX-S7SF-0226-SM-5SI7H 20-29 years, female 175.6
GTEX-1CB4E-0326-SM-7MXT3 60-69 years, male 175.2
GTEX-T8EM-0226-SM-3DB7C 40-49 years, male 175.1
GTEX-1QPFJ-0626-SM-DTX7Y 30-39 years, female 175.0
GTEX-148VI-0526-SM-5TDDG 60-69 years, female 174.8
GTEX-ZA64-0426-SM-5HL96 20-29 years, male 174.8
GTEX-1B8KE-0626-SM-7189H 50-59 years, male 174.6
GTEX-1RAZA-0826-SM-EAZ4I 20-29 years, male 174.6
GTEX-1R9PM-0226-SM-DPRY7 20-29 years, male 173.6
GTEX-14PII-0826-SM-6871S 60-69 years, male 173.4
GTEX-WFJO-0226-SM-3GIKW 30-39 years, male 173.4
GTEX-15RIF-0326-SM-7KUFR 20-29 years, male 173.3
GTEX-1QP67-0326-SM-EVR45 40-49 years, female 172.8
GTEX-1NV5F-0726-SM-DTXEH 60-69 years, female 171.7
GTEX-ZGAY-1026-SM-4WWBR 40-49 years, female 171.5
GTEX-148VJ-0726-SM-5LU8J 70-79 years, male 170.1
GTEX-13FHO-0926-SM-5N9EW 60-69 years, male 169.9
GTEX-14B4R-0126-SM-5TDE4 30-39 years, male 169.9
GTEX-11UD2-0626-SM-5GU6L 50-59 years, male 169.7
GTEX-13FHP-0926-SM-5L3EC 50-59 years, male 169.5
GTEX-1OJC4-0526-SM-E6CQV 50-59 years, female 168.8
GTEX-1JN6P-0626-SM-ARZN6 60-69 years, male 168.6
GTEX-16AAH-0326-SM-7DHML 50-59 years, male 168.3
GTEX-1HSMQ-0526-SM-A96TY 50-59 years, male 167.8
GTEX-17EVP-0126-SM-7EPHW 40-49 years, male 167.1
GTEX-11GSO-0626-SM-5A5LW 60-69 years, male 166.8
GTEX-1HB9E-0826-SM-CNNQJ 50-59 years, male 166.8
GTEX-1FIGZ-0226-SM-7P8QR 40-49 years, male 166.6
GTEX-1R9K4-0726-SM-EWRN2 60-69 years, male 166.5
GTEX-1IGQW-0626-SM-C1YR9 60-69 years, male 166.2
GTEX-WHSB-1626-SM-3LK6J 50-59 years, male 165.6
GTEX-1QP28-0626-SM-E76P5 50-59 years, female 165.5
GTEX-1F52S-0526-SM-7P8TP 60-69 years, female 165.4
GTEX-17F9E-0626-SM-79ON5 50-59 years, male 164.5
GTEX-11TUW-0226-SM-5LU8X 60-69 years, male 163.7
GTEX-1AYCT-0226-SM-73KVB 50-59 years, male 163.3
GTEX-YF7O-0726-SM-4W213 50-59 years, male 163.2
GTEX-ZYY3-1926-SM-5GZXS 60-69 years, female 163.1
GTEX-13RTK-0326-SM-5RQHS 20-29 years, male 162.2
GTEX-133LE-0326-SM-5P9G4 20-29 years, female 161.8
GTEX-1EH9U-0926-SM-7EWF1 60-69 years, male 161.6
GTEX-ZV7C-0126-SM-57WDE 50-59 years, male 161.6
GTEX-14PN4-1526-SM-6871V 50-59 years, male 161.3
GTEX-1HFI6-1326-SM-A9SL8 40-49 years, male 161.2
GTEX-1J1R8-0126-SM-CJI36 40-49 years, male 161.0
GTEX-11EM3-0126-SM-5985K 20-29 years, female 160.9
GTEX-Y114-0626-SM-4TT98 50-59 years, female 160.7
GTEX-11DXX-0226-SM-5P9HL 60-69 years, female 160.4
GTEX-1OFPY-1526-SM-DTX8R 60-69 years, male 159.9
GTEX-14C5O-0826-SM-5TDEG 60-69 years, male 159.5
GTEX-Y5V5-0326-SM-5RQJG 60-69 years, female 159.0
GTEX-15EU6-1426-SM-6M48E 50-59 years, male 158.5
GTEX-ZQG8-0926-SM-57WFF 60-69 years, female 158.5
GTEX-117YX-1226-SM-5H11S 50-59 years, male 158.1
GTEX-13RTJ-0326-SM-5YYAE 60-69 years, male 158.0
GTEX-1HBPN-1226-SM-B2LW9 50-59 years, male 158.0
GTEX-1F5PL-0826-SM-7MXU7 40-49 years, female 157.9
GTEX-15CHR-1726-SM-7DUGW 50-59 years, male 157.6
GTEX-1KXAM-1726-SM-D3LAE 60-69 years, male 157.4
GTEX-1AX9K-0626-SM-73KVD 50-59 years, male 156.5
GTEX-145LT-0226-SM-5S2QK 40-49 years, male 156.0
GTEX-1PIGE-0726-SM-DPRZD 20-29 years, male 155.6
GTEX-11P81-0126-SM-5HL5Y 30-39 years, female 155.4
GTEX-13OVI-0826-SM-5KLZ8 60-69 years, female 155.3
GTEX-VUSG-0426-SM-3GIKD 50-59 years, male 155.3
GTEX-14E6C-2626-SM-5RQJP 40-49 years, male 155.2
GTEX-14PJ6-0326-SM-6871H 60-69 years, female 155.2
GTEX-13OVJ-0626-SM-5J2O2 50-59 years, female 155.0
GTEX-14PKV-0626-SM-6AJA2 20-29 years, female 155.0
GTEX-1H1ZS-0726-SM-A9G3K 70-79 years, male 155.0
GTEX-1399U-0326-SM-5P9G5 50-59 years, female 154.9
GTEX-17F9Y-0526-SM-7EWDC 70-79 years, female 154.8
GTEX-RWS6-0626-SM-2XCAS 60-69 years, female 154.6
GTEX-YEC4-0626-SM-5CVLU 40-49 years, male 154.6
GTEX-POYW-0826-SM-2XCEM 60-69 years, male 154.1
GTEX-RM2N-0526-SM-2TF4N 50-59 years, male 153.6
GTEX-1192X-1126-SM-5EGGU 50-59 years, male 153.4
GTEX-1QP2A-0626-SM-DTX9C 50-59 years, male 153.3
GTEX-1QP9N-0126-SM-DPRZS 30-39 years, male 153.3
GTEX-WYJK-1626-SM-3NM9J 50-59 years, male 153.2
GTEX-12WSJ-0326-SM-5GCMT 40-49 years, female 153.0
GTEX-13PDP-1026-SM-5L3FA 60-69 years, male 152.8
GTEX-1MUQO-0726-SM-E9TJM 60-69 years, male 152.8
GTEX-ZZ64-0126-SM-5GZXA 20-29 years, male 152.7
GTEX-1B8SG-1126-SM-7IGMT 50-59 years, male 152.6
GTEX-QV44-0826-SM-2S1RG 50-59 years, male 152.6
GTEX-1PDJ9-0826-SM-E76PS 20-29 years, male 152.4
GTEX-12696-0326-SM-5EGL4 60-69 years, male 152.2
GTEX-NFK9-0726-SM-2HMJW 40-49 years, male 152.2
GTEX-1122O-0226-SM-5N9DA 60-69 years, female 151.8
GTEX-1H1DG-0726-SM-A96TN 70-79 years, male 151.7
GTEX-1KAFJ-0426-SM-DHXJH 50-59 years, male 151.0
GTEX-1B97J-0626-SM-7P8RU 50-59 years, female 150.9
GTEX-12WSL-0626-SM-5GCOY 50-59 years, male 150.8
GTEX-13PVR-0626-SM-5S2RC 60-69 years, female 150.4
GTEX-1PPH8-0926-SM-DTX9U 20-29 years, male 149.9
GTEX-1HCUA-0126-SM-B2LWC 50-59 years, female 149.2
GTEX-1I1GS-0726-SM-C1YS7 60-69 years, male 149.2
GTEX-13111-0226-SM-5EQ55 50-59 years, male 148.8
GTEX-1HR98-0326-SM-CGQEL 60-69 years, male 147.6
GTEX-REY6-0526-SM-2TF5M 60-69 years, male 147.4
GTEX-12WSK-0926-SM-5CVNQ 40-49 years, female 146.9
GTEX-P4PQ-2626-SM-33HC9 60-69 years, male 146.6
GTEX-1I1GT-0826-SM-B2LWO 60-69 years, female 146.6
GTEX-1RAZQ-0926-SM-EAZ4Q 30-39 years, male 146.0
GTEX-1QP66-0326-SM-DTX7V 50-59 years, male 145.9
GTEX-X4LF-0426-SM-3NMB5 50-59 years, male 145.7
GTEX-183FY-0626-SM-79OKR 20-29 years, male 145.3
GTEX-111YS-0726-SM-5GZY8 60-69 years, male 145.1
GTEX-Y3IK-0526-SM-4WWE3 50-59 years, female 145.1
GTEX-18D9A-0126-SM-7KFSI 30-39 years, female 144.9
GTEX-1GL5R-0626-SM-7PBZY 50-59 years, male 144.4
GTEX-1JJE9-0226-SM-CY8HU 70-79 years, male 144.2
GTEX-S341-0226-SM-D4P1Y 40-49 years, female 143.9
GTEX-OOBJ-2626-SM-2I3F6 60-69 years, male 143.7
GTEX-OXRL-2626-SM-2I3F1 50-59 years, male 143.7
GTEX-WOFL-0726-SM-3MJG4 60-69 years, male 143.0
GTEX-16XZZ-0826-SM-7IGM3 60-69 years, male 142.6
GTEX-1P4AB-1126-SM-DTX94 50-59 years, male 142.6
GTEX-13D11-0226-SM-5LZXL 50-59 years, female 142.4
GTEX-14AS3-0226-SM-5Q5B6 40-49 years, female 141.7
GTEX-R55C-0626-SM-2TF4Q 40-49 years, male 141.6
GTEX-WYVS-0326-SM-3NM9V 40-49 years, female 141.5
GTEX-U3ZM-0126-SM-3DB8M 40-49 years, male 140.9
GTEX-18A66-0826-SM-72D5Z 60-69 years, male 140.8
GTEX-1GPI7-0726-SM-9WG84 20-29 years, male 140.7
GTEX-15ETS-0526-SM-6PAN3 40-49 years, female 140.2
GTEX-ZTSS-0226-SM-59877 40-49 years, male 140.2
GTEX-R3RS-0726-SM-3GIJR 40-49 years, female 139.6
GTEX-YB5E-0626-SM-4VDSE 40-49 years, male 139.6
GTEX-OIZG-0226-SM-2TC5L 50-59 years, male 139.5
GTEX-131YS-0726-SM-5P9G9 60-69 years, female 139.4
GTEX-1HGF4-0726-SM-9WYU9 60-69 years, male 139.3
GTEX-11NV4-0626-SM-5N9BR 60-69 years, male 139.1
GTEX-YB5K-0526-SM-5LUAS 40-49 years, female 138.9
GTEX-QDVJ-0226-SM-2I5FV 50-59 years, male 138.6
GTEX-1C2JI-0326-SM-7EWFD 50-59 years, male 138.2
GTEX-13O3P-0726-SM-5J2OM 50-59 years, male 138.1
GTEX-13OVK-0226-SM-6M472 40-49 years, male 138.1
GTEX-14A5H-0726-SM-5Q5DW 60-69 years, male 138.1
GTEX-ZC5H-0626-SM-5LU9K 40-49 years, female 137.9
GTEX-1KANC-0826-SM-D3LA8 50-59 years, female 137.6
GTEX-15D1Q-0626-SM-6AJAZ 40-49 years, male 137.4
GTEX-139T6-0326-SM-5J2LY 50-59 years, male 137.0
GTEX-14A6H-2426-SM-5Q5BO 30-39 years, male 136.9
GTEX-14PJO-0626-SM-6LLHH 60-69 years, male 136.9
GTEX-12WSH-0226-SM-5GCOG 50-59 years, male 136.6
GTEX-1CB4I-0726-SM-7DUGS 50-59 years, male 136.6
GTEX-Y8E4-0126-SM-4VBQ2 40-49 years, male 136.6
GTEX-ZVP2-0426-SM-57WC2 50-59 years, male 136.4
GTEX-1QCLZ-0626-SM-E6CR2 60-69 years, female 136.3
GTEX-18QFQ-0726-SM-7LG6D 30-39 years, male 136.2
GTEX-1J1OQ-0526-SM-A9G2P 40-49 years, female 136.2
GTEX-T5JW-1226-SM-3GACY 20-29 years, female 135.9
GTEX-Y5LM-0626-SM-4V6G4 40-49 years, female 135.9
GTEX-ZT9W-0226-SM-7SB6H 50-59 years, male 135.8
GTEX-13W46-0926-SM-5LU3T 50-59 years, male 135.1
GTEX-146FR-0326-SM-5SI8U 60-69 years, female 135.0
GTEX-Y9LG-0426-SM-4VBRT 30-39 years, male 135.0
GTEX-178AV-0726-SM-6LPJI 40-49 years, male 134.8
GTEX-1LBAC-0726-SM-D3L9U 20-29 years, male 134.8
GTEX-ZPU1-0426-SM-4WWCA 40-49 years, male 134.6
GTEX-P4QT-2626-SM-2I3FM 50-59 years, female 134.4
GTEX-16XZY-0726-SM-79OMU 70-79 years, male 133.8
GTEX-ZTX8-0626-SM-59HKC 20-29 years, male 133.7
GTEX-12584-0826-SM-5FQSK 40-49 years, male 133.6
GTEX-R53T-0526-SM-3GADL 50-59 years, female 133.4
GTEX-SNOS-0226-SM-32PLR 40-49 years, male 133.2
GTEX-11I78-0526-SM-5986A 50-59 years, female 132.9
GTEX-ZYFD-0826-SM-5NQ9A 50-59 years, male 132.5
GTEX-ZYFG-0626-SM-5GZYA 60-69 years, female 132.4
GTEX-144GO-0126-SM-5LUAO 60-69 years, male 132.2
GTEX-14E6E-0326-SM-73KY6 30-39 years, male 132.1
GTEX-1AMFI-0526-SM-7189M 50-59 years, female 131.9
GTEX-1K9T9-0826-SM-EAZ4X 50-59 years, female 131.9
GTEX-QDT8-1226-SM-EVR35 30-39 years, female 131.4
GTEX-1MGNQ-0726-SM-DPRYH 40-49 years, male 130.5
GTEX-14PKU-0326-SM-6AJA7 40-49 years, female 130.4
GTEX-V1D1-0926-SM-4JBHQ 50-59 years, male 130.4
GTEX-13NZ8-0226-SM-5J2OK 60-69 years, female 130.2
GTEX-ZLFU-0626-SM-4WWBO 40-49 years, male 130.2
GTEX-1JMQK-2126-SM-CY8I2 60-69 years, male 130.2
GTEX-1497J-0126-SM-5Q5BK 60-69 years, male 129.6
GTEX-11NSD-0126-SM-5987F 20-29 years, male 129.4
GTEX-13OVG-0226-SM-5LU93 60-69 years, male 128.8
GTEX-1GF9W-0626-SM-7MXVJ 60-69 years, male 128.5
GTEX-ZZPU-1326-SM-5GZWS 50-59 years, female 127.9
GTEX-WFG7-0326-SM-DKPO8 20-29 years, male 127.7
GTEX-15FZZ-0226-SM-6LLI4 30-39 years, female 127.5
GTEX-13O61-0226-SM-5KM52 60-69 years, male 127.2
GTEX-WYBS-1926-SM-3NM8N 60-69 years, female 127.0
GTEX-1S83E-0726-SM-EV7B6 40-49 years, male 127.0
GTEX-13X6H-0526-SM-5LU4Q 50-59 years, female 126.7
GTEX-RN5K-2826-SM-EZ6L3 50-59 years, female 126.5
GTEX-11P7K-0226-SM-5986Z 30-39 years, male 126.1
GTEX-ZYT6-0426-SM-5GID3 30-39 years, male 126.1
GTEX-Q734-0526-SM-2I3EH 40-49 years, female 126.0
GTEX-Y3I4-0226-SM-4TT27 50-59 years, male 125.7
GTEX-1R9K5-0726-SM-EAZ4E 50-59 years, male 125.4
GTEX-1CB4H-0126-SM-7IGN2 60-69 years, female 125.1
GTEX-YFCO-0326-SM-4W1ZP 40-49 years, male 124.8
GTEX-ZY6K-0226-SM-5SIAY 50-59 years, male 124.6
GTEX-ZPCL-0126-SM-4WWC8 60-69 years, female 124.5
GTEX-13O21-2226-SM-5MR3L 50-59 years, male 124.1
GTEX-12WSN-0726-SM-5GCMS 40-49 years, male 123.9
GTEX-17F97-0626-SM-7IGOH 50-59 years, male 123.9
GTEX-11VI4-0226-SM-5GU6C 40-49 years, female 123.4
GTEX-13OW5-0626-SM-5J2N2 60-69 years, male 123.4
GTEX-11ZTT-1026-SM-5EQKF 60-69 years, female 123.2
GTEX-1B932-0926-SM-73KUP 40-49 years, female 123.1
GTEX-1H11D-0626-SM-9WPQ1 40-49 years, male 122.7
GTEX-13FH7-0126-SM-5KLZ1 50-59 years, female 122.6
GTEX-Z9EW-0226-SM-5CVM7 40-49 years, male 122.3
GTEX-ZF29-0726-SM-DO92H 60-69 years, female 122.3
GTEX-17KNJ-1026-SM-79ONK 50-59 years, male 122.1
GTEX-X5EB-0726-SM-46MVR 40-49 years, male 122.0
GTEX-13FTW-0626-SM-5IFEX 40-49 years, male 121.8
GTEX-1F48J-0926-SM-7P8PZ 50-59 years, female 121.5
GTEX-1GN1W-0126-SM-7MXV7 50-59 years, female 121.3
GTEX-1JKYR-0826-SM-ARU8L 20-29 years, male 121.3
GTEX-PLZ4-1226-SM-2I5FE 50-59 years, female 121.1
GTEX-ZVZP-1026-SM-5GICI 50-59 years, male 121.0
GTEX-1I6K7-1126-SM-A96SW 40-49 years, male 120.9
GTEX-1H2FU-0626-SM-9WPPS 60-69 years, female 120.8
GTEX-18D9U-1026-SM-72D5R 40-49 years, male 120.7
GTEX-131XF-1826-SM-5EGKG 60-69 years, male 120.2
GTEX-11EQ8-0826-SM-5N9FG 60-69 years, male 119.7
GTEX-V955-0426-SM-3GAEL 60-69 years, male 119.3
GTEX-1F75B-0826-SM-9QEIT 50-59 years, male 118.9
GTEX-WH7G-0526-SM-3NMBI 40-49 years, male 118.7
GTEX-1HKZK-0826-SM-A9G2C 40-49 years, male 118.3
GTEX-16NPX-1426-SM-6LPK3 50-59 years, male 118.2
GTEX-OXRK-0626-SM-2HMJ5 50-59 years, female 118.1
GTEX-1AX8Z-0826-SM-7DUFZ 60-69 years, male 117.6
GTEX-1H3VE-0826-SM-9KNVQ 40-49 years, male 117.3
GTEX-1ICG6-0426-SM-ARU7M 70-79 years, female 117.3
GTEX-Y5V6-0526-SM-4VBRV 60-69 years, male 117.1
GTEX-S32W-0726-SM-2XCBL 50-59 years, female 117.0
GTEX-1CAMS-0826-SM-7P8P1 40-49 years, female 116.8
GTEX-1LVAM-0826-SM-EV79X 50-59 years, female 116.8
GTEX-14PJ4-0326-SM-664OT 60-69 years, male 116.6
GTEX-XUW1-1026-SM-4BONY 50-59 years, female 116.4
GTEX-15EO6-0126-SM-6LPKJ 50-59 years, male 116.2
GTEX-T6MO-0226-SM-32QOL 40-49 years, female 116.2
GTEX-WY7C-0226-SM-3NB37 50-59 years, male 116.1
GTEX-15DDE-0626-SM-69LOK 50-59 years, female 116.0
GTEX-14ICL-0426-SM-5RQJ3 30-39 years, male 115.9
GTEX-11LCK-0526-SM-5A5M9 30-39 years, male 115.7
GTEX-15RIE-0426-SM-7KUMH 60-69 years, male 115.7
GTEX-17F96-0526-SM-79OLE 70-79 years, male 115.6
GTEX-1H1DF-1026-SM-9QEJ1 40-49 years, female 115.6
GTEX-ZAB5-0726-SM-5P9JG 50-59 years, male 115.4
GTEX-ZPIC-0226-SM-DO91T 40-49 years, female 115.4
GTEX-131XG-0226-SM-5IFG1 50-59 years, female 115.2
GTEX-18D9B-0726-SM-72D6K 60-69 years, male 115.2
GTEX-WWYW-0826-SM-3NB2X 50-59 years, female 115.0
GTEX-1IDJC-1026-SM-A96T2 50-59 years, male 114.8
GTEX-ZV6S-0226-SM-59HJT 40-49 years, female 114.6
GTEX-1C475-0226-SM-7MGXM 40-49 years, female 114.4
GTEX-17GQL-0226-SM-7LTAK 60-69 years, male 114.2
GTEX-1MCC2-0526-SM-DHXJS 30-39 years, female 114.1
GTEX-RU1J-0226-SM-2TF5Y 20-29 years, female 114.0
GTEX-1IDJU-1626-SM-CJI4B 60-69 years, female 114.0
GTEX-X8HC-0726-SM-46MWG 50-59 years, female 113.8
GTEX-13QBU-0626-SM-5J2OG 40-49 years, female 113.7
GTEX-1JMQL-0926-SM-CJI3F 50-59 years, female 113.7
GTEX-1GF9U-0226-SM-7P8TY 40-49 years, female 113.6
GTEX-1HCU9-0226-SM-9WPNT 20-29 years, male 113.4
GTEX-1ICLY-0726-SM-A96TB 50-59 years, male 113.3
GTEX-X4XY-0826-SM-4E3JM 60-69 years, male 113.1
GTEX-PWCY-2326-SM-2I3EQ 20-29 years, female 112.9
GTEX-1JKYN-1126-SM-CGQG5 30-39 years, male 112.7
GTEX-15G19-0626-SM-6M474 60-69 years, male 112.5
GTEX-1JJ6O-0626-SM-AHZ3H 60-69 years, male 112.5
GTEX-14PJ3-0126-SM-69LQP 50-59 years, male 111.7
GTEX-1IKOE-0926-SM-ARU7X 30-39 years, female 111.6
GTEX-1J8QM-0726-SM-CE6RF 60-69 years, female 111.5
GTEX-13VXT-0626-SM-5SIA1 20-29 years, female 111.4
GTEX-139YR-1226-SM-5IFEU 50-59 years, male 111.3
GTEX-U8T8-2326-SM-3DB96 60-69 years, male 110.4
GTEX-14XAO-0426-SM-6AJB6 60-69 years, female 110.1
GTEX-16NGA-0326-SM-718AJ 40-49 years, female 110.1
GTEX-1K2DA-1526-SM-CGQGQ 50-59 years, male 110.1
GTEX-13N11-1026-SM-5K7XQ 50-59 years, female 109.8
GTEX-13IVO-0926-SM-5KLZP 70-79 years, male 109.5
GTEX-145MI-1126-SM-5O9AK 60-69 years, female 109.5
GTEX-XBEW-0126-SM-4AT66 40-49 years, male 109.3
GTEX-P4QS-2626-SM-2I3EV 60-69 years, male 108.9
GTEX-1HBPM-0926-SM-ARL9C 60-69 years, female 108.9
GTEX-1PWST-0726-SM-EWRMO 70-79 years, male 108.7
GTEX-X15G-0526-SM-3NMB7 50-59 years, female 108.3
GTEX-1211K-0726-SM-5FQUW 60-69 years, female 108.1
GTEX-15CHC-0126-SM-5YYBA 60-69 years, female 108.1
GTEX-13U4I-0526-SM-5LU59 40-49 years, female 107.6
GTEX-1CAMR-0226-SM-7DUGO 20-29 years, male 107.6
GTEX-1RMOY-0126-SM-EWRNN 50-59 years, male 107.4
GTEX-TKQ1-0126-SM-33HB3 30-39 years, male 107.3
GTEX-QLQ7-0726-SM-2I5G2 60-69 years, male 106.6
GTEX-ZAJG-0726-SM-5HL9A 50-59 years, female 106.6
GTEX-ZDYS-0626-SM-5J2N5 50-59 years, male 106.6
GTEX-169BO-0326-SM-7EPIM 50-59 years, male 106.0
GTEX-ZT9X-0226-SM-51MT2 40-49 years, male 105.6
GTEX-1HSEH-0826-SM-B2LXE 60-69 years, male 105.2
GTEX-O5YV-1526-SM-EV799 60-69 years, female 105.2
GTEX-1LH75-0626-SM-DIPG3 50-59 years, female 104.9
GTEX-YEC3-0826-SM-4WWFP 50-59 years, male 104.7
GTEX-ZLWG-0526-SM-4WWFB 50-59 years, female 104.3
GTEX-1H1E6-0326-SM-9OSWE 30-39 years, male 104.1
GTEX-144GM-0226-SM-5Q5CB 20-29 years, male 103.5
GTEX-11EQ9-0626-SM-5A5K1 30-39 years, male 103.2
GTEX-13QJC-0826-SM-5RQKC 60-69 years, female 103.1
GTEX-13S86-1126-SM-5RQJX 40-49 years, male 103.1
GTEX-14PJM-1326-SM-664NX 50-59 years, female 103.1
GTEX-QDVN-0626-SM-2I3FP 50-59 years, male 103.0
GTEX-1K2DU-0126-SM-E9TIU 20-29 years, male 102.9
GTEX-1H1DE-0226-SM-ARZN8 20-29 years, male 102.8
GTEX-14PK6-0426-SM-6EU1J 70-79 years, female 102.5
GTEX-XXEK-1326-SM-4BRV1 50-59 years, male 102.5
GTEX-1PFEY-0226-SM-EVR3M 30-39 years, male 102.2
GTEX-XGQ4-0426-SM-4AT4I 50-59 years, male 101.7
GTEX-1HCU7-0826-SM-B2LX7 50-59 years, male 101.3
GTEX-WHPG-0226-SM-3NMB9 50-59 years, male 101.2
GTEX-1GMR8-0826-SM-9KNUR 50-59 years, female 99.8
GTEX-YFC4-2626-SM-5P9FQ 40-49 years, female 99.4
GTEX-14PHW-2926-SM-6AJBA 60-69 years, female 98.9
GTEX-1GF9X-0126-SM-A9G38 40-49 years, female 98.6
GTEX-15G1A-0326-SM-6M467 30-39 years, male 98.3
GTEX-1R46S-0426-SM-EVR48 60-69 years, female 98.1
GTEX-15UF6-1126-SM-6LPJ3 70-79 years, female 97.7
GTEX-1QAET-0226-SM-EVR3T 50-59 years, male 97.4
GTEX-1MJK3-0326-SM-DTX96 20-29 years, male 97.2
GTEX-QEL4-0726-SM-3GIJ5 50-59 years, male 96.3
GTEX-16MT8-0626-SM-6M47Q 60-69 years, female 96.0
GTEX-1I1GU-0826-SM-ARZM5 40-49 years, male 95.9
GTEX-XBED-0126-SM-47JY7 60-69 years, male 95.1
GTEX-1JK1U-0326-SM-CXZJH 60-69 years, male 92.5
GTEX-Q2AH-0726-SM-2I3EA 40-49 years, male 92.4
GTEX-ZTPG-0826-SM-5DUVC 20-29 years, female 92.0
GTEX-11DZ1-2726-SM-5A5KH 50-59 years, male 91.8
GTEX-1HSMO-0726-SM-A96TM 60-69 years, male 91.3
GTEX-1ICLZ-0526-SM-ARZM8 60-69 years, male 91.2
GTEX-XV7Q-0326-SM-4BRVM 40-49 years, female 91.0
GTEX-13NZ9-1126-SM-5MR37 50-59 years, male 89.7
GTEX-ZF28-0826-SM-4WKGJ 60-69 years, male 89.1
GTEX-183WM-2626-SM-7KFRY 70-79 years, female 88.9
GTEX-SE5C-0726-SM-4BRWY 40-49 years, female 88.8
GTEX-U4B1-0626-SM-3DB8L 40-49 years, male 88.8
GTEX-13N2G-0726-SM-5MR38 60-69 years, male 87.5
GTEX-X261-0726-SM-EZ6MH 50-59 years, male 87.2
GTEX-15SHV-0426-SM-6M476 60-69 years, male 87.0
GTEX-131XE-0126-SM-5LZVC 50-59 years, male 86.3
GTEX-X4XX-0926-SM-46MV7 60-69 years, male 85.7
GTEX-13NYC-2426-SM-5MR3K 60-69 years, male 85.3
GTEX-SUCS-0226-SM-32PLQ 70-79 years, male 84.5
GTEX-ZYVF-1126-SM-5E458 50-59 years, female 84.4
GTEX-12WSG-0226-SM-5EGIF 50-59 years, female 84.3
GTEX-13113-0126-SM-5LZVX 60-69 years, female 83.7
GTEX-111CU-0226-SM-5GZXC 50-59 years, male 83.5
GTEX-1CB4J-1426-SM-7MKFR 60-69 years, male 83.1
GTEX-13CF3-0926-SM-5LZZC 60-69 years, female 82.0
GTEX-17HGU-0826-SM-7EWE5 50-59 years, male 81.5
GTEX-1F75I-0926-SM-7MXUU 40-49 years, male 80.7
GTEX-132AR-1126-SM-5P9GA 50-59 years, female 79.8
GTEX-Q2AI-0326-SM-2I3EK 40-49 years, male 79.0
GTEX-13YAN-0926-SM-5O9C3 60-69 years, male 77.4
GTEX-1LGOU-0126-SM-EV79W 20-29 years, female 76.7
GTEX-145ME-0126-SM-5S2QM 40-49 years, female 76.5
GTEX-ZLV1-0126-SM-4WWBZ 60-69 years, female 75.9
GTEX-RUSQ-1026-SM-2TF6V 50-59 years, male 75.3
GTEX-13O1R-0826-SM-5J2MB 60-69 years, male 75.1
GTEX-11TT1-1126-SM-5P9GV 20-29 years, male 74.6
GTEX-R55G-0726-SM-2TC6J 40-49 years, female 72.8
GTEX-14BMU-0226-SM-5S2QA 20-29 years, female 68.5
GTEX-TMMY-0826-SM-33HB9 40-49 years, female 68.4
GTEX-QEG5-0826-SM-2I5GF 20-29 years, male 66.6
GTEX-OHPL-2626-SM-2HMJA 60-69 years, female 60.8
GTEX-1QW4Y-0226-SM-EAZ3U 30-39 years, male 58.3
GTEX-14C38-0826-SM-5S2U8 50-59 years, male 53.6
GTEX-1I6K6-0726-SM-B2LX4 30-39 years, male 47.2
GTEX-11XUK-0226-SM-5EQLW 40-49 years, female 46.9
Show allShow less

THYROID GLAND - FANTOM5 CAGEi

RNA expression in human tissues obtained through Cap Analysis of Gene Expression (CAGE) generated by the FANTOM5 project are reported as Scaled Tags Per Million.

Max subtype Scaled Tags Per Millioni

Max subtype Scaled Tags Per Million is the value for the subtype with the largest average Scaled Tags Per Million across the subtype samples.

128.8
FANTOM5 sample id Sample description Scaled Tags Per Million
Thyroid
Scaled Tags Per Million: 128.8
FF:10028-101E1 67,68,78 years, mixed 128.8

Contact

  • NEWS ARTICLES
  • PRESS ROOM

The Project

  • INTRODUCTION
  • ORGANIZATION
  • PUBLICATIONS

The Human Protein Atlas

  • DOWNLOADABLE DATA
  • LICENCE & CITATION
  • HELP & FAQ
The Human Protein Atlas project is funded
by the Knut & Alice Wallenberg Foundation.


contact@proteinatlas.org