We use cookies to enhance the usability of our website. If you continue, we'll assume that you are happy to receive all cookies. More information. Don't show this again.
FHL1
HPA
RESOURCES
  • TISSUE
  • BRAIN
  • SINGLE CELL
  • SUBCELLULAR
  • CANCER
  • BLOOD
  • CELL LINE
  • STRUCTURE & INTERACTION
ABOUT
  • INTRODUCTION
  • HISTORY
  • ORGANIZATION
  • PUBLICATIONS
  • ANTIBODY SUBMISSION
  • ANTIBODY AVAILABILITY
  • ACKNOWLEDGMENTS
  • CONTACT
NEWS
  • NEWS ARTICLES
  • PRESS ROOM
LEARN
  • DICTIONARY
  • PROTEIN CLASSES
  • PROTEIN EVIDENCE
  • METHODS
  • EDUCATIONAL VIDEOS
DATA
  • DOWNLOADABLE DATA
  • PUBLICATION DATA
  • RELEASE HISTORY
HELP
  • ANTIBODY VALIDATION
  • ASSAYS & ANNOTATION
  • DISCLAIMER
  • HELP & FAQ
  • PRIVACY STATEMENT
  • LICENCE & CITATION
Fields »
Search result

Field
Term
Gene name
Class
Subclass
Class
Keyword
Chromosome
External id
Tissue
Cell type
Expression
Antibody panel
Tissue
Main location
Patient ID
Annotation
Tissue
Category
Tau score
Cluster
Reliability
Brain region
Category
Tau score
Brain region
Category
Tau score
Brain region
Category
Tau score
Cluster
Reliability
Tissue
Cell type
Enrichment
Cell type
Category
Tau score
Cell type
Category
Tau score
Cell type
Category
Tau score
Cell lineage
Category
Tau score
Cluster
Cluster
Location
Searches
Location
Cell line
Class
Type
Phase
Reliability
Cancer
Prognosis
Cancer
Category
Cancer
Category
Tau score
Cluster
Variants
Interacting gene (ensg_id)
Type
Number of interactions
Pathway
Category
Score
Score
Score
Validation
Validation
Validation
Validation
Antibodies
Data type
Column


  • SUMMARY

  • TISSUE

  • BRAIN

  • SINGLE CELL

  • SUBCELL

  • CANCER

  • BLOOD

  • CELL LINE

  • STRUCT & INT

  • FHL1
TISSUE PRIMARY DATA STOMACH Show tissue menu
ADIPOSE TISSUE ADRENAL GLAND AMYGDALA APPENDIX BASAL GANGLIA BONE MARROW BREAST BRONCHUS CEREBELLUM CEREBRAL CORTEX CERVIX CHOROID PLEXUS COLON DUODENUM
ENDOMETRIUM EPIDIDYMIS ESOPHAGUS FALLOPIAN TUBE GALLBLADDER HEART MUSCLE HIPPOCAMPAL FORMATION HYPOTHALAMUS KIDNEY LIVER LUNG LYMPH NODE MIDBRAIN NASOPHARYNX
ORAL MUCOSA OVARY PANCREAS PARATHYROID GLAND PITUITARY GLAND PLACENTA PROSTATE RECTUM RETINA SALIVARY GLAND SEMINAL VESICLE SKELETAL MUSCLE SKIN SMALL INTESTINE
SMOOTH MUSCLE SOFT TISSUE SPINAL CORD SPLEEN STOMACH TESTIS THYMUS THYROID GLAND TONGUE TONSIL URINARY BLADDER VAGINA
ANTIBODIES
AND
VALIDATION
Dictionary
Tissue proteome
Stomach
STOMACH - Expression summary
Protein expression
Stomachi

On the top, protein expression in current human tissue, based on all annotated cell types, is reported with the units not detected (n), low (l), medium (m) and high (h). Underneath, protein expression in each annotated cell type are reported using the same units.

Protein expression data is based on knowledge-based annotation. For genes where more than one antibody has been used, a collective score is set.

If knowledge-based annotation could not be performed for a gene, no data is displayed here. View antibody staining data further down this page.

h
m
l
n
Glandular cells: Not detected
RNA expressioni

A summary of mRNA expression data available for current tissue based on several datasets. The mRNA expression levels in human tissues are based on RNA-seq data generated by the Human Protein Atlas (HPA), Genotype-Tissue Expression (GTEx) portal and CAGE data generated by the FANTOM5 consortium. Consensus normalized expression levels for human tissues was created by combining the data from HPA and GTEx datasets.

The mRNA expression levels in pig are based on RNA-seq data generated by the Human Protein Atlas (HPA), and for mouse, HPA data and in situ hybridization generated by the Allen brain atlas are reported.

Scroll down to view mRNA expression data in more detail.
Consensus:356.3 nTPM
HPA:77.9 nTPM
GTEx:356.3 nTPM

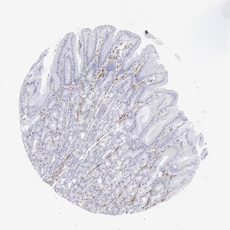
STOMACH 1 - Antibody stainingi

Antibody staining in the annotated cell types in the current human tissue is reported as not detected, low, medium, or high, based on conventional immunohistochemistry profiling in selected tissues. This score is based on the combination of the staining intensity and fraction of stained cells.

Each image is clickable and will lead to virtual microscopy that enables deeper exploration of all samples and also displays staining intensity scores, fraction scores and subcellular localization as well as patient and tissue information for each sample.

Antibody HPA001040Antibody HPA001391Antibody CAB020817
Glandular cells Not detectedNot detectedLow





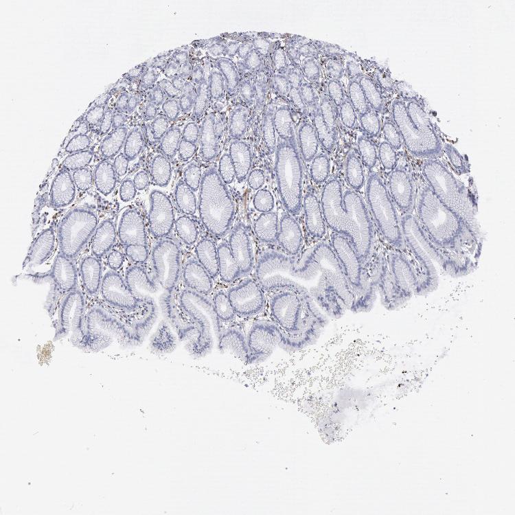
STOMACH 2 - Antibody stainingi

Antibody staining in the annotated cell types in the current human tissue is reported as not detected, low, medium, or high, based on conventional immunohistochemistry profiling in selected tissues. This score is based on the combination of the staining intensity and fraction of stained cells.

Each image is clickable and will lead to virtual microscopy that enables deeper exploration of all samples and also displays staining intensity scores, fraction scores and subcellular localization as well as patient and tissue information for each sample.

Antibody HPA001040Antibody HPA001391Antibody CAB020817
Glandular cells Not detectedNot detectedLow







STOMACH - HPA RNA-seqi

The RNA-seq details section shows detailed information about the individual samples used for the transcript profiling and results of the RNA-seq analysis.

Information about each individual sample is listed below, including gender, age, a tissue section image and estimated fractions of cell types. nTPM (normalized transcripts per million) values give a quantification of the gene abundance which is comparable between different genes and samples.
Average nTPMi

Max subtype nTPM is the value for the subtype with the largest average nTPM across the subtype samples.

77.9
overview
Female, age 33
Stomach sample 61
nTPM: 59.3
Cell types%
Glandular cells:
60

Smooth muscle cells:
5

Other cell types:
35

N/A
Male, age 82
Stomach sample 240
nTPM: 69.3
Cell types%
Glandular cells:
65

Smooth muscle cells:
5

Other cell types:
30

overview
Male, age 71
Stomach sample 241
nTPM: 62.1
Cell types%
Glandular cells:
50

Smooth muscle cells:
5

Other cell types:
45

overview
Female, age 66
Stomach sample 369
nTPM: 120.9
Cell types%
Glandular cells:
50

Smooth muscle cells:
10

Other cell types:
40


STOMACH - GTEx RNA-seqi

RNA-Seq data generated by the Genotype-Tissue Expression (GTEx) project from human tissues is reported as mean nTPM. More information can be found on the GTEx portal.

Distribution across the dataset is visualized with box plots, shown as median and 25th and 75th percentiles. Points are displayed as outliers if they are above or below 1.5 times the interquartile range. nTPM values of the individual samples are presented next to the box plot.
Max subtype nTPMi

Max subtype nTPM is the value for the subtype with the largest average nTPM across the subtype samples.

356.3
GTEx sample id Sample description nTPM
Stomach
Average nTPM: 356.3
Samples: 359

Max nTPM: 1914.1
Min nTPM: 25.1
Std nTPM: 377.8
Median nTPM: 150.6
GTEX-WH7G-1526-SM-4LVMX 40-49 years, male 1914.1
GTEX-1JN76-0926-SM-ARZNH 20-29 years, female 1585.7
GTEX-UJHI-1026-SM-4IHJP 50-59 years, female 1557.5
GTEX-1S82Z-1726-SM-E6CHZ 30-39 years, female 1550.2
GTEX-1NSGN-1926-SM-E9J36 50-59 years, male 1539.4
GTEX-1B8L1-1526-SM-79OLK 60-69 years, male 1359.8
GTEX-1E2YA-2426-SM-7EPIG 50-59 years, male 1356.5
GTEX-S4P3-0726-SM-4AD57 50-59 years, female 1301.3
GTEX-11EQ9-1226-SM-5987E 30-39 years, male 1278.8
GTEX-13O61-1126-SM-5L3FI 60-69 years, male 1211.6
GTEX-11P82-0726-SM-5PNYL 20-29 years, male 1208.6
GTEX-14PKU-1126-SM-69LOU 40-49 years, female 1194.9
GTEX-1GPI7-1326-SM-9KNVA 20-29 years, male 1194.1
GTEX-13O3Q-2126-SM-5KM4C 50-59 years, male 1181.3
GTEX-ZTX8-0426-SM-59HLG 20-29 years, male 1175.6
GTEX-1KD5A-1426-SM-D4P3V 50-59 years, male 1161.6
GTEX-1QP67-1026-SM-EVR47 40-49 years, female 1140.9
GTEX-TKQ1-0526-SM-4DXTG 30-39 years, male 1139.4
GTEX-1PIGE-1126-SM-EWRMV 20-29 years, male 1132.3
GTEX-XPVG-1526-SM-4B66C 50-59 years, male 1126.9
GTEX-13N1W-2026-SM-5K7YU 70-79 years, male 1097.9
GTEX-146FR-2026-SM-5NQAI 60-69 years, female 1088.3
GTEX-1H3NZ-2226-SM-9WYUT 60-69 years, male 1082.6
GTEX-PLZ6-0826-SM-3P61K 30-39 years, male 1076.9
GTEX-14E1K-1526-SM-664MN 50-59 years, male 1073.9
GTEX-P4QT-1526-SM-3NMCT 50-59 years, female 1069.1
GTEX-15RIF-1126-SM-7KUG2 20-29 years, male 1068.6
GTEX-18D9B-2226-SM-718BM 60-69 years, male 1064.0
GTEX-13OVI-2426-SM-5KM4J 60-69 years, female 1056.1
GTEX-13X6H-1626-SM-5Q5CT 50-59 years, female 1051.2
GTEX-1H1DE-1226-SM-9JGHH 20-29 years, male 1047.0
GTEX-1PPH8-1326-SM-DTXFO 20-29 years, male 1045.1
GTEX-WZTO-2126-SM-4PQYW 40-49 years, male 1035.5
GTEX-ZV6S-0926-SM-57WGB 40-49 years, female 1030.3
GTEX-12C56-0526-SM-5FQST 20-29 years, male 1026.2
GTEX-11P7K-1726-SM-5GU6F 30-39 years, male 1006.8
GTEX-1EH9U-2226-SM-7PBXX 60-69 years, male 999.8
GTEX-OIZH-1526-SM-3NB1J 50-59 years, male 985.0
GTEX-1CB4E-1326-SM-7DUGD 60-69 years, male 982.7
GTEX-1QP28-2126-SM-DTX8B 50-59 years, female 969.0
GTEX-14PN3-1326-SM-6AJ9U 60-69 years, female 967.9
GTEX-1211K-1426-SM-5FQTF 60-69 years, female 962.3
GTEX-1LVAM-1426-SM-E9TJ4 50-59 years, female 957.8
GTEX-1QW4Y-0726-SM-DTX8E 30-39 years, male 951.5
GTEX-WFJO-1126-SM-4LVLZ 30-39 years, male 929.1
GTEX-1C64O-2226-SM-73KTV 60-69 years, male 898.1
GTEX-1399U-1626-SM-5P9J3 50-59 years, female 890.4
GTEX-1N2DV-0926-SM-E9TJT 40-49 years, male 887.9
GTEX-17KNJ-1526-SM-7LTA9 50-59 years, male 886.0
GTEX-YEC3-1426-SM-D4P1S 50-59 years, male 885.7
GTEX-13111-1226-SM-5GCNC 50-59 years, male 873.0
GTEX-1S831-1126-SM-EWROI 20-29 years, male 864.5
GTEX-1HR9M-2326-SM-CNPPZ 60-69 years, male 849.4
GTEX-1HSMQ-2426-SM-CE6RY 50-59 years, male 843.5
GTEX-17EUY-1526-SM-793CA 20-29 years, male 823.3
GTEX-1K2DA-0826-SM-CGQGD 50-59 years, male 822.4
GTEX-RU1J-0526-SM-46MUT 20-29 years, female 813.6
GTEX-Y114-1226-SM-4TT88 50-59 years, female 804.3
GTEX-T5JC-1926-SM-4DM6Q 20-29 years, male 797.7
GTEX-1MCYP-1126-SM-E9J2P 20-29 years, female 791.2
GTEX-13QJ3-2726-SM-5SI6L 50-59 years, male 785.8
GTEX-1IDJF-1426-SM-ACKWK 20-29 years, male 776.2
GTEX-1HT8W-2326-SM-A9SLA 30-39 years, male 761.7
GTEX-1CB4H-2426-SM-7PBYR 60-69 years, female 752.8
GTEX-1AX9J-2626-SM-731EK 60-69 years, male 750.1
GTEX-1S3DN-1526-SM-EVYCB 50-59 years, male 739.0
GTEX-TKQ2-0926-SM-4DXU5 50-59 years, male 737.8
GTEX-1IL2V-2026-SM-ARZMA 70-79 years, male 729.5
GTEX-15SHW-2126-SM-6M46Y 60-69 years, male 721.4
GTEX-16NGA-1526-SM-72D56 40-49 years, female 719.2
GTEX-11VI4-0326-SM-5EQ6L 40-49 years, female 714.1
GTEX-R55D-1526-SM-48FEJ 50-59 years, male 691.9
GTEX-15EU6-2526-SM-7KUGB 50-59 years, male 689.2
GTEX-1AMEY-1226-SM-731DU 30-39 years, female 678.3
GTEX-17JCI-2226-SM-7LTA1 60-69 years, female 663.0
GTEX-1HSEH-1526-SM-B2LXG 60-69 years, male 658.4
GTEX-12WSJ-0926-SM-5P9JD 40-49 years, female 631.0
GTEX-QDT8-2026-SM-EZ6LS 30-39 years, female 629.6
GTEX-P4PQ-1526-SM-3NMCK 60-69 years, male 616.7
GTEX-XAJ8-0326-SM-47JYI 40-49 years, male 615.8
GTEX-S4Z8-1226-SM-4AD6W 60-69 years, male 607.9
GTEX-NFK9-1526-SM-3LK7B 40-49 years, male 605.1
GTEX-1JMPY-0926-SM-ARL92 30-39 years, male 599.6
GTEX-1H11D-2226-SM-9OSXN 40-49 years, male 593.1
GTEX-QXCU-1926-SM-48FE4 50-59 years, male 576.0
GTEX-1339X-1426-SM-5K7YO 40-49 years, male 571.1
GTEX-1E1VI-2826-SM-7MGWU 50-59 years, male 551.5
GTEX-WEY5-1226-SM-4LMIQ 40-49 years, female 548.4
GTEX-17MF6-2126-SM-7KFS7 40-49 years, male 524.3
GTEX-R55C-1026-SM-48FCM 40-49 years, male 519.8
GTEX-RUSQ-1126-SM-EAZAU 50-59 years, male 517.4
GTEX-S7SF-0626-SM-4AD4V 20-29 years, female 501.0
GTEX-131XE-2226-SM-5PNYX 50-59 years, male 500.7
GTEX-O5YV-1926-SM-EV797 60-69 years, female 491.7
GTEX-12WSD-2326-SM-59HKQ 60-69 years, female 488.4
GTEX-1LSNM-1026-SM-DHXL2 50-59 years, male 484.8
GTEX-14BMV-2226-SM-5RQHX 50-59 years, male 482.8
GTEX-ZPIC-2026-SM-57WG3 40-49 years, female 480.2
GTEX-WYVS-1326-SM-4ONCQ 40-49 years, female 478.8
GTEX-145MO-2226-SM-5Q5BN 60-69 years, male 475.4
GTEX-RTLS-2626-SM-46MUJ 60-69 years, female 466.9
GTEX-1HCUA-1626-SM-A9SMG 50-59 years, female 463.6
GTEX-14JG6-1226-SM-664O6 30-39 years, female 463.0
GTEX-11WQK-2626-SM-5EQ4K 50-59 years, male 462.0
GTEX-PLZ5-1226-SM-EXOHA 50-59 years, male 453.7
GTEX-14DAQ-2826-SM-664MU 60-69 years, female 447.7
GTEX-R55G-1126-SM-48FDG 40-49 years, female 442.1
GTEX-O5YW-1526-SM-3MJGL 50-59 years, male 433.6
GTEX-146FH-2126-SM-5SI9U 50-59 years, female 429.7
GTEX-Y8E4-1526-SM-4WWDI 40-49 years, male 423.0
GTEX-1A3MX-1926-SM-72D7F 60-69 years, male 419.1
GTEX-11EI6-2426-SM-5PNVS 60-69 years, male 415.4
GTEX-145LT-1426-SM-5O9B3 40-49 years, male 409.1
GTEX-1QP29-2326-SM-EXOJO 50-59 years, male 408.6
GTEX-XBEW-1826-SM-4RTWX 40-49 years, male 390.6
GTEX-14PHY-0926-SM-5ZZWL 60-69 years, female 390.4
GTEX-13X6J-2126-SM-5TDCV 50-59 years, male 390.0
GTEX-13QBU-1126-SM-5LU44 40-49 years, female 385.3
GTEX-13FH7-1026-SM-5IJGF 50-59 years, female 381.2
GTEX-1J8EW-2226-SM-AHZ3T 60-69 years, female 377.4
GTEX-SNOS-0826-SM-4DM5N 40-49 years, male 363.4
GTEX-1JMQJ-1326-SM-D4P3B 50-59 years, male 356.8
GTEX-ZE7O-3026-SM-51MS4 50-59 years, female 354.6
GTEX-1RQEC-2126-SM-DPS15 60-69 years, male 341.1
GTEX-ZGAY-1626-SM-DNZZ3 40-49 years, female 338.4
GTEX-UPK5-2126-SM-4JBJK 40-49 years, male 314.0
GTEX-T8EM-1226-SM-4DM5J 40-49 years, male 312.4
GTEX-QMRM-1126-SM-447BN 50-59 years, male 312.1
GTEX-1JMPZ-1826-SM-CXZJT 30-39 years, male 311.3
GTEX-18A7A-2726-SM-7LG6U 50-59 years, female 306.6
GTEX-13S7M-1826-SM-5RQK6 60-69 years, female 303.3
GTEX-15G1A-1226-SM-7KUF3 30-39 years, male 298.5
GTEX-Y3I4-1626-SM-4TT7W 50-59 years, male 294.9
GTEX-1I1GT-1726-SM-C1YS3 60-69 years, female 293.7
GTEX-1JMLX-2426-SM-CXZJQ 50-59 years, male 292.3
GTEX-ZZPU-1426-SM-5GZZ6 50-59 years, female 290.5
GTEX-13RTK-0226-SM-5RQHR 20-29 years, male 284.9
GTEX-1B8KE-1326-SM-73KVI 50-59 years, male 277.9
GTEX-1F5PK-1826-SM-7RHHX 50-59 years, male 271.2
GTEX-1A3MV-1226-SM-718BW 30-39 years, male 266.7
GTEX-18D9A-0626-SM-7KFTY 30-39 years, female 260.5
GTEX-139D8-2326-SM-5IFGE 30-39 years, female 250.1
GTEX-ZEX8-1626-SM-4WKG7 50-59 years, male 244.0
GTEX-117YW-2226-SM-5N9DB 50-59 years, male 237.0
GTEX-14DAR-0926-SM-73KUQ 50-59 years, male 219.7
GTEX-1L5NE-1526-SM-DIPFW 50-59 years, male 219.5
GTEX-1QCLZ-1826-SM-DPRXP 60-69 years, female 213.8
GTEX-WRHK-0626-SM-4MVOE 20-29 years, female 211.7
GTEX-1I4MK-0926-SM-A9SLD 50-59 years, female 210.2
GTEX-1HCU8-1326-SM-C1YQQ 60-69 years, female 209.3
GTEX-SUCS-0926-SM-4DM4Z 70-79 years, male 208.7
GTEX-1QCLY-1126-SM-EAZ4J 30-39 years, male 207.7
GTEX-139YR-1926-SM-5LZXM 50-59 years, male 200.7
GTEX-ZYVF-2726-SM-5GID4 50-59 years, female 200.2
GTEX-YJ8A-1526-SM-5P9FT 20-29 years, male 198.8
GTEX-1JN1M-2926-SM-CNNPJ 60-69 years, female 198.1
GTEX-ZVT3-2126-SM-59HL2 60-69 years, female 197.3
GTEX-111YS-1126-SM-5GZYQ 60-69 years, male 191.8
GTEX-R53T-1226-SM-48FCT 50-59 years, female 185.7
GTEX-1RAZR-1526-SM-EAZ4U 40-49 years, male 184.2
GTEX-1H1E6-1626-SM-9OSWC 30-39 years, male 183.9
GTEX-S4UY-1626-SM-4AD55 40-49 years, female 183.4
GTEX-1GMRU-2526-SM-9WG7T 50-59 years, male 183.3
GTEX-WHWD-1426-SM-4OORU 50-59 years, male 182.2
GTEX-133LE-1326-SM-5IFGO 20-29 years, female 180.2
GTEX-1LVAN-2426-SM-CNNPZ 50-59 years, female 174.8
GTEX-ZLV1-0826-SM-DO11P 60-69 years, female 171.9
GTEX-ZXES-1426-SM-5NQ8S 30-39 years, female 170.5
GTEX-ZVZP-1726-SM-5GZWY 50-59 years, male 167.2
GTEX-Y5V6-1326-SM-4VDTF 60-69 years, male 165.0
GTEX-WYJK-2526-SM-4ONDF 50-59 years, male 162.5
GTEX-1JKYN-1726-SM-AHZ48 30-39 years, male 162.0
GTEX-1J8JJ-1726-SM-C1YQG 60-69 years, female 159.5
GTEX-1H23P-2726-SM-9JGHN 60-69 years, male 159.3
GTEX-18A66-2226-SM-7189E 60-69 years, male 157.6
GTEX-PWCY-0926-SM-48TD7 20-29 years, female 156.9
GTEX-YB5E-1126-SM-664NU 40-49 years, male 155.4
GTEX-17HII-2426-SM-7KFTT 50-59 years, male 155.3
GTEX-ZP4G-1226-SM-4WWCJ 20-29 years, female 151.8
GTEX-1GN1W-2126-SM-9JGI7 50-59 years, female 150.6
GTEX-14ICL-0826-SM-5YY9W 30-39 years, male 149.3
GTEX-1HFI7-1526-SM-9WG7W 50-59 years, female 149.2
GTEX-1QP2A-2126-SM-DPRZ7 50-59 years, male 147.7
GTEX-1MUQO-1926-SM-EAZ59 60-69 years, male 147.3
GTEX-1B97I-1226-SM-7MGWQ 40-49 years, male 145.4
GTEX-1IDJU-1526-SM-CNNR3 60-69 years, female 142.1
GTEX-132AR-2426-SM-5IFFD 50-59 years, female 138.7
GTEX-1J8QM-1126-SM-C1YQB 60-69 years, female 138.5
GTEX-1MJIX-1126-SM-EV7AO 40-49 years, male 137.0
GTEX-OXRL-1526-SM-E6CHQ 50-59 years, male 136.6
GTEX-OXRK-1626-SM-3NB17 50-59 years, female 135.3
GTEX-XMK1-1526-SM-EYYVO 40-49 years, male 135.3
GTEX-1GZ4H-1026-SM-9OSXL 50-59 years, female 135.2
GTEX-14B4R-0726-SM-5TDDR 30-39 years, male 134.4
GTEX-13PVR-2126-SM-73KVR 60-69 years, female 134.2
GTEX-T6MO-0726-SM-4DM58 40-49 years, female 130.8
GTEX-1JK1U-1326-SM-AHZ45 60-69 years, male 129.5
GTEX-1J8Q3-1926-SM-C1YSJ 60-69 years, male 129.4
GTEX-1HKZK-1526-SM-B2LWG 40-49 years, male 129.1
GTEX-WHSB-1226-SM-4M1XR 50-59 years, male 128.7
GTEX-Y9LG-1026-SM-5IFJN 30-39 years, male 127.2
GTEX-TMMY-1626-SM-4DXTY 40-49 years, female 127.0
GTEX-18QFQ-1226-SM-718AE 30-39 years, male 126.2
GTEX-OIZF-1526-SM-2I5GR 60-69 years, male 125.6
GTEX-11NUK-2426-SM-5BC4U 50-59 years, male 124.9
GTEX-1C475-1026-SM-7MKFJ 40-49 years, female 124.3
GTEX-ZT9W-1526-SM-4YCDE 50-59 years, male 123.6
GTEX-1QMI2-2126-SM-DPRXQ 60-69 years, male 120.2
GTEX-12WSK-1426-SM-5CVNN 40-49 years, female 119.5
GTEX-W5WG-1726-SM-4LMI5 50-59 years, female 119.0
GTEX-ZVT2-1626-SM-51MRC 50-59 years, female 118.8
GTEX-PW2O-1226-SM-48TCH 20-29 years, male 118.3
GTEX-S4Q7-0726-SM-4AD5F 20-29 years, male 117.8
GTEX-XUZC-0726-SM-4BOPH 30-39 years, female 117.6
GTEX-14PJ3-1426-SM-664O8 50-59 years, male 117.3
GTEX-1HBPI-0726-SM-9WG7Z 50-59 years, male 117.0
GTEX-11EM3-1026-SM-5A5KL 20-29 years, female 115.9
GTEX-1AMFI-1226-SM-731CZ 50-59 years, female 115.9
GTEX-1F75I-1826-SM-7MKGX 40-49 years, male 114.5
GTEX-16AAH-1226-SM-79OO9 50-59 years, male 114.3
GTEX-14PJ4-1626-SM-664OB 60-69 years, male 113.9
GTEX-ZQUD-0826-SM-57WDQ 30-39 years, male 113.2
GTEX-1GF9U-1126-SM-AHZ4H 40-49 years, female 113.0
GTEX-T5JW-0926-SM-4DM5K 20-29 years, female 112.5
GTEX-OHPM-1526-SM-EV796 50-59 years, male 111.3
GTEX-1B97J-1826-SM-7IGPP 50-59 years, female 110.7
GTEX-WFG7-1326-SM-4LMK1 20-29 years, male 109.9
GTEX-XQ8I-2026-SM-4BOOL 50-59 years, male 109.8
GTEX-132QS-1826-SM-5IFFN 60-69 years, male 109.7
GTEX-15DCE-1626-SM-6LPJM 20-29 years, male 109.7
GTEX-11I78-1726-SM-5A5M3 50-59 years, female 109.4
GTEX-QV44-1226-SM-CJI1S 50-59 years, male 109.3
GTEX-1H1DG-2126-SM-9WPPB 70-79 years, male 108.9
GTEX-17F98-1526-SM-7EWD8 40-49 years, female 108.5
GTEX-ZF2S-1426-SM-57WET 50-59 years, female 108.3
GTEX-1F5PL-1426-SM-7MKFH 40-49 years, female 107.2
GTEX-ZYFG-1326-SM-5GICJ 60-69 years, female 106.8
GTEX-ZZ64-0426-SM-5E43F 20-29 years, male 106.8
GTEX-1LBAC-1426-SM-CXZKT 20-29 years, male 106.8
GTEX-RM2N-0826-SM-48FD3 50-59 years, male 106.4
GTEX-1122O-1926-SM-5EGIQ 60-69 years, female 103.2
GTEX-1H3VY-2326-SM-9WG81 50-59 years, male 103.0
GTEX-U3ZN-2026-SM-4DXUC 30-39 years, female 102.1
GTEX-1QPFJ-1526-SM-DPRXT 30-39 years, female 101.2
GTEX-ZLWG-1526-SM-DO12F 50-59 years, female 101.2
GTEX-OOBJ-1526-SM-3NB1Q 60-69 years, male 101.0
GTEX-1MGNQ-1826-SM-DPRYI 40-49 years, male 100.4
GTEX-13D11-2126-SM-5IFH2 50-59 years, female 100.2
GTEX-11GSP-2126-SM-5HL5E 60-69 years, female 99.8
GTEX-P78B-1826-SM-3P5YX 40-49 years, female 99.7
GTEX-1HBPN-1626-SM-9WPNP 50-59 years, male 99.4
GTEX-1CAMR-0726-SM-7EPIE 20-29 years, male 99.1
GTEX-15G19-1526-SM-6LPKP 60-69 years, male 98.0
GTEX-ZF29-1526-SM-4WKF7 60-69 years, female 97.7
GTEX-1LG7Z-1226-SM-DHXK4 30-39 years, male 97.6
GTEX-1RMOY-1126-SM-EV79E 50-59 years, male 97.4
GTEX-P4PP-1526-SM-3P61M 30-39 years, female 97.3
GTEX-17HHE-1026-SM-79ON6 50-59 years, male 96.8
GTEX-Q734-1026-SM-48U16 40-49 years, female 96.5
GTEX-117YX-1026-SM-5H11V 50-59 years, male 96.3
GTEX-V955-1326-SM-4JBHR 60-69 years, male 95.9
GTEX-V1D1-1726-SM-4JBHB 50-59 years, male 95.8
GTEX-OHPK-1526-SM-3MJGM 50-59 years, female 95.3
GTEX-1R7EU-1126-SM-EAZ4M 60-69 years, male 95.3
GTEX-S341-0626-SM-4AD5T 40-49 years, female 94.8
GTEX-ZA64-0826-SM-5HL9U 20-29 years, male 94.8
GTEX-15DZA-1126-SM-6LPK8 30-39 years, female 94.4
GTEX-ZV7C-1626-SM-5NQ7E 50-59 years, male 94.1
GTEX-145ME-1026-SM-5O9B4 40-49 years, female 94.0
GTEX-1LGRB-1726-SM-CNNRA 50-59 years, female 93.4
GTEX-UJMC-1226-SM-4IHLI 50-59 years, male 93.3
GTEX-PX3G-1526-SM-48U11 20-29 years, female 91.8
GTEX-1KXAM-0926-SM-CXZKA 60-69 years, male 91.4
GTEX-131XG-1226-SM-5EGH9 50-59 years, female 91.0
GTEX-14PKV-1826-SM-69LO9 20-29 years, female 90.1
GTEX-13FTW-1726-SM-5KM2B 40-49 years, male 89.7
GTEX-131XF-1226-SM-5HL8V 60-69 years, male 89.1
GTEX-11DXX-1326-SM-5GIDZ 60-69 years, female 86.9
GTEX-14BMU-1126-SM-5RQJ8 20-29 years, female 86.3
GTEX-1LGOU-1526-SM-D3LAJ 20-29 years, female 86.1
GTEX-13113-0726-SM-5LZUF 60-69 years, female 85.1
GTEX-XV7Q-1326-SM-4BRWM 40-49 years, female 84.3
GTEX-17F9E-2226-SM-7IGNC 50-59 years, male 83.8
GTEX-14PJ6-0826-SM-686Z9 60-69 years, female 83.4
GTEX-ZYY3-1726-SM-5EGH3 60-69 years, female 83.3
GTEX-1399R-1126-SM-5IFIO 30-39 years, male 82.4
GTEX-YFCO-0826-SM-5LUAG 40-49 years, male 82.4
GTEX-11NSD-1426-SM-5HL67 20-29 years, male 81.6
GTEX-1R9K5-1026-SM-EAZ4F 50-59 years, male 81.1
GTEX-ZLFU-1326-SM-DO11R 40-49 years, male 80.9
GTEX-13PVQ-2126-SM-5L3FW 50-59 years, male 80.6
GTEX-1A8G6-1426-SM-731EZ 60-69 years, male 80.6
GTEX-XXEK-0826-SM-4BRWG 50-59 years, male 80.4
GTEX-13OVK-0926-SM-7KUFX 40-49 years, male 78.9
GTEX-14BIL-1926-SM-73KYI 50-59 years, male 78.2
GTEX-14E6E-0926-SM-664N8 30-39 years, male 78.1
GTEX-QDVN-1226-SM-48TZ5 50-59 years, male 77.2
GTEX-Y8LW-0826-SM-4WWDO 50-59 years, female 76.6
GTEX-1ICG6-1826-SM-AHZ2O 70-79 years, female 76.2
GTEX-QV31-0626-SM-447C5 30-39 years, male 75.7
GTEX-12WSG-2026-SM-5FQUU 50-59 years, female 75.4
GTEX-13CF3-1926-SM-5K7WF 60-69 years, female 75.4
GTEX-1AYCT-1326-SM-7MKHB 50-59 years, male 75.1
GTEX-144GN-1226-SM-5O991 50-59 years, male 74.7
GTEX-WY7C-1726-SM-4ONCC 50-59 years, male 74.6
GTEX-SNMC-0626-SM-4DM6H 20-29 years, male 73.8
GTEX-1I1HK-2026-SM-CNNRB 60-69 years, male 73.8
GTEX-1IDJD-2426-SM-C1YS6 30-39 years, male 73.2
GTEX-QLQW-0726-SM-447AA 30-39 years, male 72.8
GTEX-ZAB4-1526-SM-5CVN7 40-49 years, male 72.5
GTEX-ZY6K-0726-SM-5A5L8 50-59 years, male 72.4
GTEX-WHPG-0426-SM-4M1XW 50-59 years, male 72.3
GTEX-1I6K7-1726-SM-B2LXQ 40-49 years, male 72.0
GTEX-QCQG-0526-SM-48U2A 50-59 years, female 71.7
GTEX-S95S-0826-SM-4B64N 60-69 years, male 71.6
GTEX-QLQ7-0826-SM-447B3 60-69 years, male 71.5
GTEX-POMQ-0826-SM-3P61H 20-29 years, female 71.0
GTEX-13OW6-2526-SM-5IJEC 50-59 years, male 70.4
GTEX-1399S-1626-SM-5P9GI 30-39 years, female 69.6
GTEX-XBED-1226-SM-4AT5V 60-69 years, male 68.2
GTEX-15UF7-1226-SM-6M46G 40-49 years, male 68.1
GTEX-145MN-1326-SM-5NQ9S 30-39 years, male 67.5
GTEX-13U4I-2526-SM-5SI8Z 40-49 years, female 67.0
GTEX-17GQL-1226-SM-7KFTS 60-69 years, male 66.3
GTEX-111CU-0926-SM-5EGIK 50-59 years, male 65.6
GTEX-X15G-1126-SM-4PQZG 50-59 years, female 65.6
GTEX-13O21-0926-SM-5IFGT 50-59 years, male 65.4
GTEX-14PHX-1026-SM-664OL 50-59 years, male 65.4
GTEX-Y3IK-1426-SM-4YCES 50-59 years, female 65.2
GTEX-WFON-1126-SM-4LVMA 40-49 years, male 65.0
GTEX-14PJ5-0826-SM-6AJAR 60-69 years, female 64.8
GTEX-12696-1726-SM-5EQLH 60-69 years, male 63.5
GTEX-12BJ1-1726-SM-5HL9B 60-69 years, male 61.7
GTEX-15CHR-1326-SM-79OLT 50-59 years, male 61.6
GTEX-17HGU-2126-SM-7IGOV 50-59 years, male 61.6
GTEX-ZVP2-1626-SM-5GU5D 50-59 years, male 61.3
GTEX-S3XE-1026-SM-4AD4O 50-59 years, male 59.2
GTEX-YEC4-1426-SM-5IFHS 40-49 years, male 58.8
GTEX-WFG8-1326-SM-4LVN3 20-29 years, male 58.7
GTEX-WXYG-1626-SM-4ONCR 50-59 years, female 57.5
GTEX-PWN1-1526-SM-48TDA 40-49 years, female 55.1
GTEX-Q2AI-0826-SM-48TZO 40-49 years, male 55.0
GTEX-VJYA-1026-SM-4KL21 60-69 years, male 54.9
GTEX-Y5LM-1326-SM-5RQIS 40-49 years, female 52.0
GTEX-QDVJ-1426-SM-48U1Y 50-59 years, male 51.8
GTEX-Q2AH-1126-SM-48TZM 40-49 years, male 50.6
GTEX-RWS6-0926-SM-47JXE 60-69 years, female 50.1
GTEX-1B8KZ-1226-SM-793CP 50-59 years, male 49.2
GTEX-ZDYS-1926-SM-5HL59 50-59 years, male 49.1
GTEX-1GL5R-1926-SM-9WG7U 50-59 years, male 47.6
GTEX-1KANA-1126-SM-D3L9M 20-29 years, male 45.9
GTEX-1RB15-1026-SM-E9U6V 60-69 years, male 43.5
GTEX-15RIE-1026-SM-6LPJQ 60-69 years, male 43.4
GTEX-18A67-2626-SM-718AD 50-59 years, male 42.5
GTEX-13FTX-0726-SM-5N9BI 20-29 years, female 42.3
GTEX-ZPU1-1626-SM-4WWB2 40-49 years, male 38.6
GTEX-11TT1-0726-SM-5GU5A 20-29 years, male 34.1
GTEX-U4B1-1026-SM-4DXT1 40-49 years, male 27.6
GTEX-144GM-1726-SM-5O9AS 20-29 years, male 25.1
Show allShow less

Contact

  • NEWS ARTICLES
  • PRESS ROOM

The Project

  • INTRODUCTION
  • ORGANIZATION
  • PUBLICATIONS

The Human Protein Atlas

  • DOWNLOADABLE DATA
  • LICENCE & CITATION
  • HELP & FAQ
The Human Protein Atlas project is funded
by the Knut & Alice Wallenberg Foundation.


contact@proteinatlas.org