We use cookies to enhance the usability of our website. If you continue, we'll assume that you are happy to receive all cookies. More information. Don't show this again.
SERPINB3
HPA
RESOURCES
  • TISSUE
  • BRAIN
  • SINGLE CELL
  • SUBCELLULAR
  • CANCER
  • BLOOD
  • CELL LINE
  • STRUCTURE & INTERACTION
ABOUT
  • INTRODUCTION
  • HISTORY
  • ORGANIZATION
  • PUBLICATIONS
  • ANTIBODY SUBMISSION
  • ANTIBODY AVAILABILITY
  • ACKNOWLEDGMENTS
  • CONTACT
NEWS
  • NEWS ARTICLES
  • PRESS ROOM
LEARN
  • DICTIONARY
  • PROTEIN CLASSES
  • PROTEIN EVIDENCE
  • METHODS
  • EDUCATIONAL VIDEOS
DATA
  • DOWNLOADABLE DATA
  • PUBLICATION DATA
  • RELEASE HISTORY
HELP
  • ANTIBODY VALIDATION
  • ASSAYS & ANNOTATION
  • DISCLAIMER
  • HELP & FAQ
  • PRIVACY STATEMENT
  • LICENCE & CITATION
Fields »
Search result

Field
Term
Gene name
Class
Subclass
Class
Keyword
Chromosome
External id
Tissue
Cell type
Expression
Antibody panel
Tissue
Main location
Patient ID
Annotation
Tissue
Category
Tau score
Cluster
Reliability
Brain region
Category
Tau score
Brain region
Category
Tau score
Brain region
Category
Tau score
Cluster
Reliability
Tissue
Cell type
Enrichment
Cell type
Category
Tau score
Cell type
Category
Tau score
Cell type
Category
Tau score
Cell lineage
Category
Tau score
Cluster
Cluster
Location
Searches
Location
Cell line
Class
Type
Phase
Reliability
Cancer
Prognosis
Cancer
Category
Cancer
Category
Tau score
Cluster
Variants
Interacting gene (ensg_id)
Type
Number of interactions
Pathway
Category
Score
Score
Score
Validation
Validation
Validation
Validation
Antibodies
Data type
Column


  • SUMMARY

  • TISSUE

  • BRAIN

  • SINGLE CELL

  • SUBCELL

  • CANCER

  • BLOOD

  • CELL LINE

  • STRUCT & INT

  • SERPINB3
TISSUE PRIMARY DATA ESOPHAGUS Show tissue menu
ADIPOSE TISSUE ADRENAL GLAND AMYGDALA APPENDIX BASAL GANGLIA BONE MARROW BREAST BRONCHUS CEREBELLUM CEREBRAL CORTEX CERVIX CHOROID PLEXUS COLON DUODENUM
ENDOMETRIUM EPIDIDYMIS ESOPHAGUS FALLOPIAN TUBE GALLBLADDER HEART MUSCLE HIPPOCAMPAL FORMATION HYPOTHALAMUS KIDNEY LIVER LUNG LYMPH NODE MIDBRAIN NASOPHARYNX
ORAL MUCOSA OVARY PANCREAS PARATHYROID GLAND PITUITARY GLAND PLACENTA PROSTATE RECTUM RETINA SALIVARY GLAND SEMINAL VESICLE SKELETAL MUSCLE SKIN SMALL INTESTINE
SMOOTH MUSCLE SOFT TISSUE SPINAL CORD SPLEEN STOMACH TESTIS THYMUS THYROID GLAND TONGUE TONSIL URINARY BLADDER VAGINA
ANTIBODIES
AND
VALIDATION
Dictionary
Esophagus
Tissue proteome
Esophagus
ESOPHAGUS - Expression summary
Protein expression
Esophagusi

On the top, protein expression in current human tissue, based on all annotated cell types, is reported with the units not detected (n), low (l), medium (m) and high (h). Underneath, protein expression in each annotated cell type are reported using the same units.

Protein expression data is based on knowledge-based annotation. For genes where more than one antibody has been used, a collective score is set.

If knowledge-based annotation could not be performed for a gene, no data is displayed here. View antibody staining data further down this page.

h
m
l
n
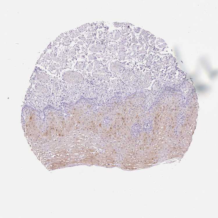
Squamous epithelial cells: Medium
RNA expressioni

A summary of mRNA expression data available for current tissue based on several datasets. The mRNA expression levels in human tissues are based on RNA-seq data generated by the Human Protein Atlas (HPA), Genotype-Tissue Expression (GTEx) portal and CAGE data generated by the FANTOM5 consortium. Consensus normalized expression levels for human tissues was created by combining the data from HPA and GTEx datasets.

The mRNA expression levels in pig are based on RNA-seq data generated by the Human Protein Atlas (HPA), and for mouse, HPA data and in situ hybridization generated by the Allen brain atlas are reported.

Scroll down to view mRNA expression data in more detail.
Consensus:783.4 nTPM
HPA:783.4 nTPM
GTEx:633.6 nTPM
FANTOM5:275.4 Scaled Tags Per Million

ESOPHAGUS - Antibody stainingi

Antibody staining in the annotated cell types in the current human tissue is reported as not detected, low, medium, or high, based on conventional immunohistochemistry profiling in selected tissues. This score is based on the combination of the staining intensity and fraction of stained cells.

Each image is clickable and will lead to virtual microscopy that enables deeper exploration of all samples and also displays staining intensity scores, fraction scores and subcellular localization as well as patient and tissue information for each sample.

Antibody HPA048341Antibody HPA049988Antibody HPA055992Antibody CAB018772Antibody CAB036007
Squamous epithelial cells MediumMediumMediumHighHigh









ESOPHAGUS - HPA RNA-seqi

The RNA-seq details section shows detailed information about the individual samples used for the transcript profiling and results of the RNA-seq analysis.

Information about each individual sample is listed below, including gender, age, a tissue section image and estimated fractions of cell types. nTPM (normalized transcripts per million) values give a quantification of the gene abundance which is comparable between different genes and samples.
Average nTPMi

Max subtype nTPM is the value for the subtype with the largest average nTPM across the subtype samples.

783.4
overview
Female, age 70
Esophagus sample 130
nTPM: 547.8
Cell types%
Squamous epithelial cells:
35

Smooth muscle cells:
15

Skeletal muscle cells:
5

Other cell types:
45

overview
Male, age 38
Esophagus sample 131
nTPM: 598.1
Cell types%
Squamous epithelial cells:
60

Smooth muscle cells:
20

Other cell types:
20

overview
Male, age 76
Esophagus sample 132
nTPM: 1204.4
Cell types%
Squamous epithelial cells:
45

Smooth muscle cells:
15

Other cell types:
40


ESOPHAGUS - GTEx RNA-seqi

RNA-Seq data generated by the Genotype-Tissue Expression (GTEx) project from human tissues is reported as mean nTPM. More information can be found on the GTEx portal.

Distribution across the dataset is visualized with box plots, shown as median and 25th and 75th percentiles. Points are displayed as outliers if they are above or below 1.5 times the interquartile range. nTPM values of the individual samples are presented next to the box plot.
Max subtype nTPMi

Max subtype nTPM is the value for the subtype with the largest average nTPM across the subtype samples.

633.6
GTEx sample id Sample description nTPM
Esophagus - Mucosa
Average nTPM: 633.6
Samples: 555

Max nTPM: 2480.7
Min nTPM: 6.5
Std nTPM: 446.8
Median nTPM: 537.3
GTEX-ZTSS-0626-SM-59867 40-49 years, male 2480.7
GTEX-WHPG-1126-SM-4M1XT 50-59 years, male 2375.2
GTEX-14AS3-0626-SM-5QGQD 40-49 years, female 2292.7
GTEX-VUSG-1226-SM-4KKZF 50-59 years, male 2206.2
GTEX-15RIF-0826-SM-6M47C 20-29 years, male 2166.4
GTEX-18D9A-0526-SM-7KFSW 30-39 years, female 2137.5
GTEX-14DAR-0826-SM-73KYJ 50-59 years, male 2103.0
GTEX-11EQ9-0726-SM-5A5K2 30-39 years, male 2093.7
GTEX-1N2EE-2426-SM-EXOIO 60-69 years, male 2079.4
GTEX-1B97I-0926-SM-731DZ 40-49 years, male 2058.8
GTEX-1PIGE-0926-SM-E9U5Z 20-29 years, male 2024.1
GTEX-ZVP2-1326-SM-57WCE 50-59 years, male 2009.3
GTEX-ZDTT-1326-SM-4WKFH 60-69 years, male 1886.6
GTEX-1AMFI-0226-SM-731D5 50-59 years, female 1861.4
GTEX-YB5E-0926-SM-4WWDQ 40-49 years, male 1853.3
GTEX-139YR-1726-SM-5IFFK 50-59 years, male 1834.9
GTEX-13OVG-0626-SM-5IFEP 60-69 years, male 1757.6
GTEX-18QFQ-1026-SM-7LG6B 30-39 years, male 1756.0
GTEX-1C2JI-1126-SM-731FH 50-59 years, male 1699.8
GTEX-YEC4-1026-SM-9WG7N 40-49 years, male 1650.2
GTEX-YEC3-2526-SM-CXZIH 50-59 years, male 1649.5
GTEX-1N2DV-2026-SM-EV7BL 40-49 years, male 1631.6
GTEX-14ICL-0526-SM-5RQJ6 30-39 years, male 1574.9
GTEX-1GMR2-1526-SM-7MXV6 50-59 years, male 1568.6
GTEX-1S83E-0826-SM-EV7B7 40-49 years, male 1565.5
GTEX-1LG7Z-0926-SM-CXKYK 30-39 years, male 1553.6
GTEX-111CU-0726-SM-5GZYD 50-59 years, male 1545.8
GTEX-11P7K-1326-SM-5BC5G 30-39 years, male 1533.4
GTEX-16XZY-0926-SM-7938M 70-79 years, male 1510.4
GTEX-1F75I-1726-SM-7MKGW 40-49 years, male 1506.6
GTEX-1L5NE-1426-SM-DHXKV 50-59 years, male 1453.1
GTEX-WFON-0826-SM-4LVMI 40-49 years, male 1450.1
GTEX-139T6-0626-SM-5IFF9 50-59 years, male 1419.0
GTEX-1JKYR-2126-SM-CNNPC 20-29 years, male 1416.0
GTEX-OIZF-0626-SM-7MKHG 60-69 years, male 1415.7
GTEX-12BJ1-1626-SM-5HL8Y 60-69 years, male 1413.2
GTEX-Z9EW-0526-SM-5HL8S 40-49 years, male 1406.3
GTEX-1IKOE-1526-SM-C1YSD 30-39 years, female 1394.2
GTEX-WFG7-1126-SM-4LMK3 20-29 years, male 1347.0
GTEX-15RIE-0826-SM-6M47X 60-69 years, male 1345.9
GTEX-14ICK-2026-SM-6AJB2 40-49 years, male 1324.7
GTEX-1J8QM-1926-SM-AHZ3Z 60-69 years, female 1322.1
GTEX-1NSGN-2026-SM-DPRYM 50-59 years, male 1317.5
GTEX-1399S-1326-SM-5P9GH 30-39 years, female 1302.9
GTEX-145LT-1126-SM-5LUA1 40-49 years, male 1282.5
GTEX-1EX96-2226-SM-7MKGT 50-59 years, male 1257.7
GTEX-131XE-1426-SM-5HL7V 50-59 years, male 1243.4
GTEX-PWN1-0626-SM-48TDT 40-49 years, female 1233.9
GTEX-11P81-0826-SM-5P9GR 30-39 years, female 1230.2
GTEX-14B4R-0326-SM-5TDDP 30-39 years, male 1221.7
GTEX-ZF2S-1226-SM-4WWAX 50-59 years, female 1220.9
GTEX-XBED-1026-SM-48TCB 60-69 years, male 1216.0
GTEX-ZF29-1326-SM-DNZYV 60-69 years, female 1211.6
GTEX-1F5PK-1526-SM-7MKGV 50-59 years, male 1210.2
GTEX-Y3IK-1126-SM-51MSV 50-59 years, female 1208.1
GTEX-1CB4E-1026-SM-793AB 60-69 years, male 1206.2
GTEX-Q2AI-0626-SM-48TZU 40-49 years, male 1204.4
GTEX-ZLFU-1126-SM-DO11K 40-49 years, male 1204.0
GTEX-1B933-2026-SM-7EWFC 50-59 years, female 1203.8
GTEX-144GM-1426-SM-5LU31 20-29 years, male 1201.4
GTEX-WRHK-0526-SM-4MVOF 20-29 years, female 1175.9
GTEX-QV44-1126-SM-CL55C 50-59 years, male 1172.8
GTEX-14PJN-0526-SM-68724 30-39 years, male 1168.2
GTEX-WHSB-0426-SM-4M1XI 50-59 years, male 1166.1
GTEX-T6MO-0526-SM-4DM6R 40-49 years, female 1164.2
GTEX-1CB4F-1526-SM-7MKFM 60-69 years, male 1164.0
GTEX-16AAH-0726-SM-793A9 50-59 years, male 1158.1
GTEX-14PHY-0626-SM-664NN 60-69 years, female 1138.8
GTEX-PWCY-0726-SM-48TCS 20-29 years, female 1131.9
GTEX-1H11D-2126-SM-9OSXM 40-49 years, male 1129.4
GTEX-11DXX-1126-SM-5GZZK 60-69 years, female 1122.9
GTEX-1K2DA-0626-SM-CGQGO 50-59 years, male 1121.1
GTEX-14A6H-1326-SM-5NQBC 30-39 years, male 1109.5
GTEX-WYVS-0726-SM-4ONDO 40-49 years, female 1108.9
GTEX-NFK9-1126-SM-3LK78 40-49 years, male 1103.9
GTEX-1122O-1726-SM-5GICM 60-69 years, female 1103.5
GTEX-ZT9W-1326-SM-51MTB 50-59 years, male 1102.1
GTEX-YECK-1626-SM-5IFHQ 60-69 years, male 1102.0
GTEX-W5WG-1626-SM-4LMKG 50-59 years, female 1098.6
GTEX-RM2N-0726-SM-48FD5 50-59 years, male 1092.6
GTEX-ZLWG-1326-SM-DNZYZ 50-59 years, female 1088.9
GTEX-13S86-0826-SM-5SI6J 40-49 years, male 1087.1
GTEX-R55C-0826-SM-48FCL 40-49 years, male 1083.1
GTEX-147F3-0826-SM-5NQA7 50-59 years, female 1081.7
GTEX-ZTX8-0226-SM-5E44D 20-29 years, male 1076.8
GTEX-18A66-1426-SM-7KFRT 60-69 years, male 1065.9
GTEX-ZGAY-1126-SM-4WWBS 40-49 years, female 1057.8
GTEX-12WSL-1526-SM-5GCP8 50-59 years, male 1057.1
GTEX-U3ZH-1026-SM-4DXUZ 30-39 years, male 1056.7
GTEX-18A67-2426-SM-7LT95 50-59 years, male 1051.5
GTEX-WXYG-1226-SM-4ONCJ 50-59 years, female 1050.7
GTEX-1GPI7-1026-SM-7MGY2 20-29 years, male 1044.4
GTEX-1LGRB-1626-SM-CNNR7 50-59 years, female 1037.5
GTEX-Y3I4-1226-SM-4TT8N 50-59 years, male 1032.4
GTEX-13FTX-0526-SM-5IFGS 20-29 years, female 1032.2
GTEX-1MCYP-1026-SM-DPRYB 20-29 years, female 1017.2
GTEX-11LCK-1726-SM-5S2OQ 30-39 years, male 1010.6
GTEX-15SB6-0726-SM-6M48F 50-59 years, female 1005.9
GTEX-1399R-0826-SM-5IJEL 30-39 years, male 1005.6
GTEX-OIZH-0626-SM-3NB1L 50-59 years, male 1000.6
GTEX-1OJC3-0826-SM-DPRYU 20-29 years, male 998.0
GTEX-XMK1-1326-SM-4B65Q 40-49 years, male 996.6
GTEX-1QP9N-0926-SM-E9U5S 30-39 years, male 995.5
GTEX-145ME-5004-SM-7MGXP 40-49 years, female 993.9
GTEX-PLZ6-0526-SM-3P61C 30-39 years, male 993.0
GTEX-1JMPY-0826-SM-AHZ4A 30-39 years, male 977.4
GTEX-1RAZS-2626-SM-EV79C 50-59 years, male 969.3
GTEX-SUCS-0726-SM-4DM7J 70-79 years, male 967.9
GTEX-1LB8K-1326-SM-CXZKB 50-59 years, male 963.6
GTEX-U4B1-0826-SM-4DXTW 40-49 years, male 963.5
GTEX-12ZZX-1326-SM-5DUWI 40-49 years, female 950.0
GTEX-XBEW-1326-SM-4AT63 40-49 years, male 943.1
GTEX-13NYB-0926-SM-5IFFA 40-49 years, male 938.8
GTEX-146FH-1726-SM-5QGQ2 50-59 years, female 938.3
GTEX-ZLV1-0526-SM-4WWD4 60-69 years, female 926.5
GTEX-145LV-1326-SM-5S2QI 50-59 years, male 922.7
GTEX-131XG-1026-SM-5GCMX 50-59 years, female 921.2
GTEX-XGQ4-1526-SM-4AT6H 50-59 years, male 917.4
GTEX-U8XE-1726-SM-4E3IF 30-39 years, male 913.0
GTEX-14PKV-1726-SM-6871U 20-29 years, female 911.6
GTEX-R55G-1026-SM-48FDI 40-49 years, female 911.1
GTEX-14H4A-1626-SM-5SI69 40-49 years, female 909.7
GTEX-ZPCL-1426-SM-57WEC 60-69 years, female 906.7
GTEX-1MCC2-1926-SM-DHXJR 30-39 years, female 904.7
GTEX-132AR-2226-SM-5J2NT 50-59 years, female 904.5
GTEX-1KANA-0626-SM-D4P3I 20-29 years, male 898.1
GTEX-1KANB-1826-SM-DHXJU 50-59 years, male 894.7
GTEX-15UF7-0926-SM-6M46F 40-49 years, male 892.0
GTEX-15EOM-5013-SM-7MKF9 20-29 years, female 891.2
GTEX-1QP2A-1926-SM-EXOJ9 50-59 years, male 885.5
GTEX-Y8E4-1726-SM-5LU9G 40-49 years, male 880.3
GTEX-13U4I-1126-SM-5LU3S 40-49 years, female 879.9
GTEX-18D9U-2126-SM-7LG4Y 40-49 years, male 879.7
GTEX-T8EM-0526-SM-4DM64 40-49 years, male 879.6
GTEX-1HFI6-1226-SM-A96SK 40-49 years, male 868.9
GTEX-1JK1U-1726-SM-CNNPM 60-69 years, male 868.9
GTEX-13OVK-1126-SM-6PAMR 40-49 years, male 864.3
GTEX-1B8KE-1826-SM-731FD 50-59 years, male 858.3
GTEX-RN64-1026-SM-48FDX 50-59 years, male 857.0
GTEX-1MGNQ-1626-SM-EAZ4Z 40-49 years, male 856.0
GTEX-RWS6-0826-SM-47JXF 60-69 years, female 846.2
GTEX-12ZZY-1426-SM-5N9EI 60-69 years, male 839.4
GTEX-ZYY3-1526-SM-5SIA9 60-69 years, female 834.8
GTEX-1HCUA-1426-SM-9WPP7 50-59 years, female 833.9
GTEX-Y5LM-1026-SM-4VDSQ 40-49 years, female 831.7
GTEX-17HHE-0926-SM-7938K 50-59 years, male 830.1
GTEX-18D9B-2026-SM-7LT96 60-69 years, male 829.9
GTEX-13RTK-0526-SM-5S2QF 20-29 years, male 829.4
GTEX-11DXZ-1226-SM-5H11L 50-59 years, male 828.6
GTEX-OXRN-1726-SM-3NM9B 50-59 years, male 822.3
GTEX-OIZG-1026-SM-3LK5X 50-59 years, male 821.2
GTEX-UJMC-0926-SM-4IHLK 50-59 years, male 820.2
GTEX-16MTA-0826-SM-6LLIC 50-59 years, male 819.1
GTEX-WEY5-0926-SM-4LMI4 40-49 years, female 815.6
GTEX-1LVAM-1126-SM-DHXKP 50-59 years, female 814.2
GTEX-1KXAM-0826-SM-CXZK9 60-69 years, male 810.9
GTEX-14PJM-1526-SM-664NY 50-59 years, female 808.3
GTEX-1I6K7-1426-SM-B2LXP 40-49 years, male 806.5
GTEX-169BO-0526-SM-793AK 50-59 years, male 802.8
GTEX-131YS-1426-SM-5IJF7 60-69 years, female 802.0
GTEX-1R9PM-0926-SM-DPRYA 20-29 years, male 798.8
GTEX-WQUQ-1626-SM-4OOSH 60-69 years, male 797.6
GTEX-14JIY-0926-SM-6871D 60-69 years, male 790.1
GTEX-1399U-1026-SM-5J1OC 50-59 years, female 789.0
GTEX-12KS4-0926-SM-5BC5S 30-39 years, male 787.1
GTEX-S3XE-0926-SM-4AD4S 50-59 years, male 783.2
GTEX-1GN1W-2226-SM-9JGI5 50-59 years, female 781.9
GTEX-X585-1226-SM-46MW7 50-59 years, male 781.3
GTEX-P4PP-0626-SM-3NM9X 30-39 years, female 770.7
GTEX-ZZ64-0226-SM-5E44X 20-29 years, male 768.8
GTEX-13D11-1926-SM-5IFGB 50-59 years, female 766.4
GTEX-148VI-1026-SM-5TDDJ 60-69 years, female 762.9
GTEX-13FTW-1626-SM-5KM4N 40-49 years, male 760.7
GTEX-S7SF-0926-SM-4AD4M 20-29 years, female 760.5
GTEX-QESD-0826-SM-47J4G 20-29 years, male 759.8
GTEX-14E1K-1226-SM-5S2PD 50-59 years, male 758.8
GTEX-183FY-1526-SM-7IGOW 20-29 years, male 758.6
GTEX-1EH9U-2426-SM-7EWFG 60-69 years, male 749.3
GTEX-ZG7Y-1126-SM-4WWEZ 50-59 years, male 748.9
GTEX-146FQ-1026-SM-5LU8I 30-39 years, male 747.6
GTEX-1399Q-1126-SM-5P9JA 40-49 years, male 747.4
GTEX-13QBU-1026-SM-5LU3R 40-49 years, female 743.5
GTEX-13PVR-1826-SM-5Q5CC 60-69 years, female 743.4
GTEX-1JMQJ-1226-SM-D3L97 50-59 years, male 741.5
GTEX-TML8-1526-SM-4DXUX 40-49 years, female 737.4
GTEX-X4LF-0626-SM-4QASB 50-59 years, male 734.9
GTEX-OOBK-0625-SM-3LK5P 40-49 years, male 733.6
GTEX-R53T-1126-SM-48FD4 50-59 years, female 733.0
GTEX-QDVJ-0726-SM-48U1W 50-59 years, male 732.3
GTEX-1S82Y-1226-SM-EV7BD 40-49 years, male 719.4
GTEX-ZY6K-0626-SM-59HJL 50-59 years, male 719.3
GTEX-132QS-1426-SM-5P9GE 60-69 years, male 717.4
GTEX-OXRK-1326-SM-3NB1A 50-59 years, female 711.2
GTEX-P4QS-0626-SM-3NMD1 60-69 years, male 706.9
GTEX-1AMEY-0226-SM-7189Q 30-39 years, female 706.7
GTEX-S4Q7-0626-SM-4AD5M 20-29 years, male 706.3
GTEX-17MFQ-0526-SM-7KFTX 20-29 years, male 705.8
GTEX-1QP28-1826-SM-EAZ4L 50-59 years, female 703.2
GTEX-RTLS-1126-SM-46MUQ 60-69 years, female 697.9
GTEX-12WSD-1826-SM-5GCOA 60-69 years, female 697.3
GTEX-PLZ5-0926-SM-3TW8L 50-59 years, male 689.4
GTEX-TKQ1-0326-SM-4DXSM 30-39 years, male 683.4
GTEX-ZEX8-1426-SM-4WKHQ 50-59 years, male 682.6
GTEX-11DXY-1426-SM-5N9CN 60-69 years, male 681.9
GTEX-11NSD-1126-SM-5N9BQ 20-29 years, male 680.7
GTEX-1AX9J-1826-SM-731FM 60-69 years, male 679.0
GTEX-14PJ4-1526-SM-664OA 60-69 years, male 677.7
GTEX-1A32A-1826-SM-72D5G 50-59 years, female 673.0
GTEX-1HBPH-1126-SM-A96TU 40-49 years, female 672.9
GTEX-12C56-1226-SM-5FQSU 20-29 years, male 670.2
GTEX-SNMC-0526-SM-4DM69 20-29 years, male 669.3
GTEX-17JCI-1226-SM-793D9 60-69 years, female 668.9
GTEX-WFG8-1226-SM-4V6EI 20-29 years, male 668.1
GTEX-U3ZM-0526-SM-4DXTB 40-49 years, male 666.1
GTEX-P4QT-0626-SM-3NMCP 50-59 years, female 663.0
GTEX-Y5V6-1026-SM-4VBS2 60-69 years, male 659.9
GTEX-V1D1-1026-SM-4JBHE 50-59 years, male 658.4
GTEX-11ZTS-2626-SM-5EGIC 60-69 years, female 657.9
GTEX-1GMR3-1526-SM-9JGGL 40-49 years, male 653.9
GTEX-PSDG-1326-SM-48TD2 50-59 years, male 651.3
GTEX-O5YV-1026-SM-3LK72 60-69 years, female 647.9
GTEX-1QW4Y-0526-SM-EAZ3V 30-39 years, male 646.6
GTEX-1H1ZS-1526-SM-9OSXR 70-79 years, male 644.9
GTEX-ZYFG-1126-SM-5GICY 60-69 years, female 643.9
GTEX-14PJ3-0626-SM-6UGC5 50-59 years, male 643.5
GTEX-1B8KZ-0726-SM-7938W 50-59 years, male 642.5
GTEX-14E6E-0726-SM-5S2R3 30-39 years, male 641.5
GTEX-1I1CD-1726-SM-A9G3P 60-69 years, female 641.4
GTEX-ZQUD-0426-SM-57WFR 30-39 years, male 640.9
GTEX-14PJ5-0526-SM-664OE 60-69 years, female 640.5
GTEX-QEG4-0726-SM-CNNRF 30-39 years, male 638.6
GTEX-16NGA-1426-SM-718AC 40-49 years, female 637.6
GTEX-144GN-0626-SM-5O9B2 50-59 years, male 632.4
GTEX-1RAZR-1226-SM-E6CRD 40-49 years, male 632.4
GTEX-15EU6-1626-SM-6LPKF 50-59 years, male 631.7
GTEX-1RAZQ-1726-SM-EAZ4T 30-39 years, male 631.4
GTEX-1A3MV-1326-SM-7LG6C 30-39 years, male 627.2
GTEX-1J1R8-0326-SM-AHZ3D 40-49 years, male 626.7
GTEX-1IDJD-1626-SM-C1YRC 30-39 years, male 626.2
GTEX-X15G-0826-SM-4PQZD 50-59 years, female 614.0
GTEX-S341-0526-SM-4AD5U 40-49 years, female 609.8
GTEX-1IDJF-1226-SM-C1YPX 20-29 years, male 608.9
GTEX-QLQW-0526-SM-4R1KS 30-39 years, male 607.3
GTEX-1I1GR-1326-SM-ARU7B 60-69 years, male 605.7
GTEX-1HSMQ-2026-SM-B2LY1 50-59 years, male 604.6
GTEX-YFC4-1226-SM-5LU9R 40-49 years, female 604.4
GTEX-11ONC-1526-SM-5GU6S 60-69 years, male 603.1
GTEX-1211K-0926-SM-5FQTL 60-69 years, female 602.9
GTEX-1HGF4-0926-SM-9WPP8 60-69 years, male 600.1
GTEX-14PK6-1326-SM-686ZE 70-79 years, female 598.6
GTEX-P4PQ-0626-SM-3NMCU 60-69 years, male 598.4
GTEX-1I1GS-2126-SM-ARU7G 60-69 years, male 596.4
GTEX-SE5C-1226-SM-4BRWV 40-49 years, female 590.4
GTEX-XQ8I-1526-SM-4BOOH 50-59 years, male 584.7
GTEX-15F5U-5010-SM-AHZ2D 40-49 years, male 578.9
GTEX-YB5K-0826-SM-5YYB7 40-49 years, female 578.8
GTEX-T2YK-1326-SM-4DM6S 50-59 years, male 574.4
GTEX-ZAB5-0926-SM-5CVMV 50-59 years, male 574.0
GTEX-1KAFJ-0626-SM-D3L8X 50-59 years, male 572.7
GTEX-XXEK-0326-SM-4BRVV 50-59 years, male 565.3
GTEX-16MT8-1326-SM-6M47R 60-69 years, female 565.0
GTEX-13QJ3-1726-SM-5RQK9 50-59 years, male 562.6
GTEX-13OVI-2626-SM-5KM4T 60-69 years, female 559.7
GTEX-1HKZK-1426-SM-A96U1 40-49 years, male 558.8
GTEX-TSE9-1226-SM-4DXTM 60-69 years, female 558.0
GTEX-1R7EU-0826-SM-DPRZL 60-69 years, male 556.7
GTEX-QDVN-1026-SM-48TZA 50-59 years, male 552.8
GTEX-1EMGI-1926-SM-7938Y 60-69 years, male 550.5
GTEX-12WSK-1126-SM-5LZV8 40-49 years, female 549.2
GTEX-15SHU-1426-SM-6LPIN 40-49 years, female 546.2
GTEX-1C64O-1826-SM-7DHM4 60-69 years, male 545.0
GTEX-QEL4-1426-SM-447AC 50-59 years, male 543.8
GTEX-RU72-0726-SM-46MUW 50-59 years, female 543.0
GTEX-1LSVX-1226-SM-DHXJN 60-69 years, male 541.9
GTEX-1LVAN-2326-SM-CNNPY 50-59 years, female 540.8
GTEX-1AYD5-0926-SM-793AF 50-59 years, male 540.3
GTEX-1I4MK-0426-SM-B2LWQ 50-59 years, female 538.1
GTEX-1H23P-1426-SM-9JGH5 60-69 years, male 537.3
GTEX-ZA64-0626-SM-5HL9O 20-29 years, male 533.4
GTEX-1C6VQ-1826-SM-7EWEH 50-59 years, male 531.4
GTEX-OIZI-1426-SM-3NB1T 40-49 years, male 528.4
GTEX-ZVT2-1326-SM-5E45H 50-59 years, female 526.7
GTEX-11P82-0526-SM-5986P 20-29 years, male 522.8
GTEX-1CB4G-1326-SM-7MKFP 60-69 years, male 520.5
GTEX-13PL7-0226-SM-731DT 60-69 years, female 519.4
GTEX-13OW8-2326-SM-5L3I9 60-69 years, male 518.5
GTEX-1C475-0926-SM-7MKFI 40-49 years, female 513.3
GTEX-1PPH8-1626-SM-E6CQP 20-29 years, male 512.7
GTEX-15UF6-2326-SM-6M465 70-79 years, female 508.9
GTEX-13111-0826-SM-5LZV3 50-59 years, male 508.5
GTEX-NPJ8-1926-SM-3MJGB 40-49 years, male 508.5
GTEX-1JKYN-1526-SM-CGQGA 30-39 years, male 508.5
GTEX-133LE-0626-SM-5IFFJ 20-29 years, female 502.2
GTEX-13SLX-1726-SM-5Q5E5 50-59 years, female 499.9
GTEX-1R9K5-1526-SM-DPRZA 50-59 years, male 499.3
GTEX-1GL5R-1526-SM-7MKHO 50-59 years, male 497.7
GTEX-14BMU-0926-SM-5S2QB 20-29 years, female 497.6
GTEX-14JG6-0926-SM-6871Y 30-39 years, female 495.0
GTEX-131XF-0826-SM-5GICG 60-69 years, male 493.6
GTEX-1LG7Y-1726-SM-EV7AR 50-59 years, male 491.4
GTEX-14DAQ-1426-SM-5RQJD 60-69 years, female 489.2
GTEX-1MA7W-0426-SM-E9TJ5 20-29 years, female 488.7
GTEX-1HCVE-1226-SM-9WPPH 50-59 years, male 486.4
GTEX-1OKEX-1326-SM-E9J2U 60-69 years, male 485.9
GTEX-17EVQ-1926-SM-7IGOF 70-79 years, male 484.4
GTEX-RU1J-0326-SM-46MUM 20-29 years, female 479.8
GTEX-16A39-1026-SM-6LPJU 30-39 years, female 478.6
GTEX-117YW-1926-SM-5H121 50-59 years, male 478.2
GTEX-S32W-0926-SM-4AD5X 50-59 years, female 477.7
GTEX-1EU9M-2326-SM-7MKGS 60-69 years, male 477.0
GTEX-145LU-0926-SM-79OJL 50-59 years, male 464.0
GTEX-15RJ7-0926-SM-6LPJO 40-49 years, male 462.1
GTEX-1RAZA-1326-SM-DPS12 20-29 years, male 461.4
GTEX-1GN1U-1826-SM-9JGH2 50-59 years, female 460.2
GTEX-16BQI-1526-SM-6LLIE 30-39 years, female 460.0
GTEX-13FHO-1726-SM-DPRZX 60-69 years, male 458.9
GTEX-1HCU7-2126-SM-A96SG 50-59 years, male 458.8
GTEX-1LNCM-0626-SM-EV7AI 50-59 years, female 457.8
GTEX-XUZC-0426-SM-4BOPE 30-39 years, female 455.4
GTEX-14PJ6-1026-SM-686ZB 60-69 years, female 453.7
GTEX-17F98-1726-SM-7938O 40-49 years, female 451.9
GTEX-15ETS-1926-SM-7KUN5 40-49 years, female 451.6
GTEX-1EKGG-1726-SM-7MXUP 60-69 years, male 450.5
GTEX-139TU-1226-SM-5J2NL 60-69 years, male 448.3
GTEX-1HBPI-0626-SM-9WPP4 50-59 years, male 448.1
GTEX-REY6-1326-SM-48FDO 60-69 years, male 447.2
GTEX-12WSA-1426-SM-5EGJU 60-69 years, male 446.8
GTEX-WH7G-0926-SM-4LVMJ 40-49 years, male 445.9
GTEX-13NZB-1226-SM-5J2MW 30-39 years, male 445.8
GTEX-Y9LG-0626-SM-4WWDH 30-39 years, male 444.7
GTEX-SNOS-0626-SM-4DM5F 40-49 years, male 444.6
GTEX-S33H-0826-SM-4AD5Y 30-39 years, male 442.1
GTEX-13W46-1926-SM-5J2MF 50-59 years, male 442.0
GTEX-1QCLZ-1626-SM-E9U5R 60-69 years, female 435.9
GTEX-1K2DU-1726-SM-EV79S 20-29 years, male 433.0
GTEX-ZT9X-0526-SM-5GCOP 40-49 years, male 431.2
GTEX-V955-1126-SM-4JBH3 60-69 years, male 429.7
GTEX-ZVE2-1326-SM-5NQ94 50-59 years, male 427.4
GTEX-1QP67-0726-SM-DPRY1 40-49 years, female 427.3
GTEX-1H3NZ-1326-SM-9JGHI 60-69 years, male 426.9
GTEX-WYJK-1926-SM-4ONDP 50-59 years, male 426.6
GTEX-QLQ7-0926-SM-447BC 60-69 years, male 425.9
GTEX-12696-1326-SM-5FQTJ 60-69 years, male 424.8
GTEX-1M5QR-0726-SM-DHXK7 40-49 years, male 421.3
GTEX-13O21-0626-SM-5IJDI 50-59 years, male 419.6
GTEX-13W3W-1626-SM-5LU35 60-69 years, female 417.9
GTEX-145MN-1026-SM-5NQ9G 30-39 years, male 416.2
GTEX-ZAK1-1526-SM-5S2OV 50-59 years, female 414.5
GTEX-1RDX4-2126-SM-EV7B3 50-59 years, female 412.6
GTEX-ZPU1-1426-SM-4WWFU 40-49 years, male 411.2
GTEX-12WSN-5013-SM-7P8P9 40-49 years, male 400.7
GTEX-11I78-1526-SM-5A5K7 50-59 years, female 398.8
GTEX-U3ZN-1726-SM-4DXUQ 30-39 years, female 398.6
GTEX-1LBAC-1226-SM-DHXK1 20-29 years, male 393.8
GTEX-11EMC-2226-SM-5A5JW 60-69 years, female 393.2
GTEX-S4P3-0426-SM-4AD56 50-59 years, female 392.9
GTEX-13O61-0926-SM-5IFFE 60-69 years, male 392.0
GTEX-15DCE-1326-SM-6LPJL 20-29 years, male 390.5
GTEX-XK95-1026-SM-4GIDV 40-49 years, male 384.0
GTEX-1MJIX-0826-SM-DTXEO 40-49 years, male 384.0
GTEX-1I1GU-1426-SM-B2LX3 40-49 years, male 380.3
GTEX-OHPN-1026-SM-E9TI8 60-69 years, female 380.2
GTEX-XV7Q-1126-SM-4BRVS 40-49 years, female 373.4
GTEX-1HB9E-1526-SM-D3LA6 50-59 years, male 371.9
GTEX-178AV-0526-SM-6LPJH 40-49 years, male 369.6
GTEX-17HII-1526-SM-9OSVD 50-59 years, male 368.4
GTEX-1CAMQ-2726-SM-7MKGD 40-49 years, male 367.3
GTEX-WK11-1026-SM-4OOS8 50-59 years, male 365.7
GTEX-XQ3S-1126-SM-4BOPK 20-29 years, male 364.2
GTEX-17HGU-1426-SM-7938G 50-59 years, male 363.1
GTEX-SJXC-1426-SM-EYYVB 60-69 years, male 362.5
GTEX-ZE9C-1126-SM-4WWBD 60-69 years, male 361.1
GTEX-1I1GV-2226-SM-ARU7E 60-69 years, male 361.1
GTEX-1K9T9-2026-SM-CXZK3 50-59 years, female 355.5
GTEX-X62O-2226-SM-46MW3 50-59 years, male 354.1
GTEX-145MF-1426-SM-5O9B6 50-59 years, male 351.8
GTEX-1JMPZ-2026-SM-C1YR8 30-39 years, male 350.8
GTEX-17EUY-1426-SM-7938X 20-29 years, male 349.5
GTEX-1IDFM-1126-SM-A96SY 60-69 years, male 349.2
GTEX-1NUQO-1126-SM-DTX98 20-29 years, female 349.1
GTEX-1HBPM-1426-SM-9WPPE 60-69 years, female 348.9
GTEX-1B97J-1026-SM-7MXTE 50-59 years, female 345.9
GTEX-1AX9K-1126-SM-731DQ 50-59 years, male 344.7
GTEX-ZDYS-0826-SM-4WWCR 50-59 years, male 344.0
GTEX-1HSKV-2426-SM-A8N8K 60-69 years, male 344.0
GTEX-18A6Q-1226-SM-7KFS9 60-69 years, male 340.8
GTEX-1PFEY-0826-SM-E9U6A 30-39 years, male 340.8
GTEX-TMMY-1126-SM-4DXSX 40-49 years, female 340.6
GTEX-1EWIQ-1526-SM-79OO7 70-79 years, female 340.3
GTEX-ZC5H-1326-SM-5HL7E 40-49 years, female 339.2
GTEX-14C38-2126-SM-5RQJO 50-59 years, male 338.1
GTEX-1J8EW-1326-SM-AHZ3S 60-69 years, female 336.5
GTEX-146FR-0426-SM-5SI97 60-69 years, female 333.5
GTEX-X4EO-1226-SM-4QARR 60-69 years, female 332.9
GTEX-1H3VY-2026-SM-9JGHK 50-59 years, male 331.3
GTEX-1HCU8-2226-SM-9WPOV 60-69 years, female 325.7
GTEX-14C5O-1626-SM-73KYH 60-69 years, male 324.3
GTEX-WHWD-0926-SM-4OORY 50-59 years, male 323.4
GTEX-1CB4I-1026-SM-7MKFZ 50-59 years, male 321.2
GTEX-T5JW-1326-SM-4DM5G 20-29 years, female 320.2
GTEX-OXRL-0626-SM-3NM9C 50-59 years, male 320.0
GTEX-RVPV-0526-SM-47JYL 60-69 years, male 317.1
GTEX-ZUA1-1226-SM-5NQ6O 40-49 years, male 311.2
GTEX-11ZU8-1526-SM-5EGHX 60-69 years, male 310.7
GTEX-1E1VI-1526-SM-7IGQ2 50-59 years, male 310.5
GTEX-1HC8U-1526-SM-9WPO4 40-49 years, female 308.7
GTEX-14BIN-2726-SM-5RQIE 50-59 years, female 307.3
GTEX-Y5V5-1626-SM-4VDSG 60-69 years, female 305.3
GTEX-11TUW-1326-SM-5EQKV 60-69 years, male 304.0
GTEX-1N2DW-1426-SM-EV7AZ 50-59 years, male 304.0
GTEX-132Q8-1826-SM-5EGIY 60-69 years, male 303.4
GTEX-15RJE-0926-SM-6LLHZ 40-49 years, male 303.0
GTEX-Y8LW-0726-SM-5IFI1 50-59 years, female 301.1
GTEX-1R9JW-1526-SM-DPRZK 30-39 years, female 300.1
GTEX-UPJH-1026-SM-EAZB2 50-59 years, male 300.0
GTEX-17F96-2526-SM-7DHL3 70-79 years, male 298.3
GTEX-POYW-1326-SM-48TCG 60-69 years, male 297.4
GTEX-1I1GP-1026-SM-C1YRZ 50-59 years, male 297.3
GTEX-111YS-0926-SM-5EGGI 60-69 years, male 296.3
GTEX-16NPX-1626-SM-6LLI5 50-59 years, male 293.6
GTEX-1IKK5-1326-SM-AHZ2X 60-69 years, male 290.0
GTEX-UJHI-0826-SM-4IHLM 50-59 years, female 288.2
GTEX-XMD2-1326-SM-4YCET 60-69 years, female 288.1
GTEX-Y114-0926-SM-4TT7J 50-59 years, female 288.1
GTEX-WFJO-0826-SM-4LVM5 30-39 years, male 286.7
GTEX-13G51-0926-SM-5IFFU 60-69 years, male 285.5
GTEX-18465-1126-SM-7LG6E 50-59 years, male 283.3
GTEX-17F9E-1926-SM-7IGQF 50-59 years, male 282.3
GTEX-1H1DE-1026-SM-9JGH6 20-29 years, male 279.7
GTEX-18A7A-2326-SM-7KFRH 50-59 years, female 279.5
GTEX-1PPGY-1726-SM-EVR3S 60-69 years, male 279.3
GTEX-13FH7-0526-SM-5IJF8 50-59 years, female 278.1
GTEX-X3Y1-1326-SM-4PQZB 40-49 years, male 272.8
GTEX-1497J-2726-SM-5SI9W 60-69 years, male 272.0
GTEX-13X6K-2126-SM-5O9D4 60-69 years, female 269.9
GTEX-ZAB4-1126-SM-5HL86 40-49 years, male 268.4
GTEX-ZYT6-1126-SM-5GZYR 30-39 years, male 268.1
GTEX-11GSP-1826-SM-5N9DQ 60-69 years, female 266.0
GTEX-1IDJH-2026-SM-CNNQX 70-79 years, male 265.7
GTEX-1AX8Z-5016-SM-AHZ2B 60-69 years, male 265.0
GTEX-UPK5-1226-SM-4IHL8 40-49 years, male 262.6
GTEX-1RLM8-0726-SM-E6CRH 50-59 years, male 261.5
GTEX-Q2AG-1326-SM-43V8K 40-49 years, female 261.0
GTEX-1AX9I-1426-SM-7DHM8 60-69 years, male 260.5
GTEX-ZZPT-1426-SM-5N9C5 50-59 years, male 260.2
GTEX-1I1GQ-1726-SM-B2LWZ 50-59 years, male 255.6
GTEX-QCQG-0626-SM-48U21 50-59 years, female 253.9
GTEX-PLZ4-1626-SM-3P618 50-59 years, female 251.8
GTEX-13X6I-1026-SM-5LU4C 60-69 years, male 251.0
GTEX-YJ89-1526-SM-5P9IR 60-69 years, male 250.6
GTEX-ZXES-1126-SM-5GZXN 30-39 years, female 250.6
GTEX-13OVJ-1226-SM-5L3HA 50-59 years, female 250.0
GTEX-13X6H-1326-SM-5LU42 50-59 years, female 249.9
GTEX-WOFM-0626-SM-4OOS3 20-29 years, male 249.0
GTEX-ZTPG-1626-SM-5DUX2 20-29 years, female 245.1
GTEX-13YAN-1926-SM-7EPH9 60-69 years, male 240.3
GTEX-1B996-1826-SM-7MGY6 60-69 years, male 238.6
GTEX-1IY9M-1626-SM-AHZ39 60-69 years, male 238.5
GTEX-13FHP-1526-SM-5IJGE 50-59 years, male 237.2
GTEX-12WSG-5007-SM-7DUGZ 50-59 years, female 237.1
GTEX-1LGOU-0526-SM-D3LAO 20-29 years, female 232.1
GTEX-1MA7X-0726-SM-EV7AB 60-69 years, male 229.7
GTEX-148VJ-1026-SM-5LU98 70-79 years, male 229.3
GTEX-N7MT-0326-SM-48TDP 60-69 years, female 228.5
GTEX-T5JC-1726-SM-4DM6U 20-29 years, male 224.7
GTEX-QVUS-0626-SM-447CC 60-69 years, female 223.8
GTEX-15DYW-1826-SM-6LPIY 60-69 years, female 222.0
GTEX-RUSQ-0826-SM-47JWW 50-59 years, male 219.9
GTEX-11EM3-0826-SM-5N9CC 20-29 years, female 218.3
GTEX-R55E-1326-SM-48FCR 20-29 years, male 218.0
GTEX-145LS-1826-SM-5LUAZ 60-69 years, female 215.3
GTEX-1269C-1026-SM-5N9EY 60-69 years, female 214.7
GTEX-PVOW-1626-SM-48TC9 40-49 years, male 213.8
GTEX-1GF9U-0826-SM-7MXTZ 40-49 years, female 212.7
GTEX-WVLH-1426-SM-4MVNX 50-59 years, male 212.2
GTEX-15ER7-2126-SM-7939E 20-29 years, female 208.3
GTEX-1HCU6-1326-SM-A96TZ 60-69 years, female 205.6
GTEX-1QPFJ-1226-SM-EAZ3M 30-39 years, female 203.9
GTEX-13CF3-1626-SM-5IFG9 60-69 years, female 203.3
GTEX-1A8FM-1526-SM-7MXTA 50-59 years, female 200.2
GTEX-P78B-1026-SM-3NMC4 40-49 years, female 198.0
GTEX-1J1OQ-2526-SM-AHZ3Q 40-49 years, female 197.9
GTEX-1R9K4-1926-SM-DPRZW 60-69 years, male 197.4
GTEX-S95S-0426-SM-4B64I 60-69 years, male 196.7
GTEX-1GN73-1926-SM-9JGGS 60-69 years, male 193.6
GTEX-WHSE-1526-SM-4M1XH 20-29 years, male 191.1
GTEX-1HSGN-1626-SM-A96U2 40-49 years, female 190.3
GTEX-X4EP-1626-SM-4QAS6 60-69 years, female 188.9
GTEX-1GMR8-1826-SM-9WYUE 50-59 years, female 187.2
GTEX-1F88F-1126-SM-7MKHL 60-69 years, female 185.4
GTEX-T2IS-0826-SM-4DM6L 20-29 years, female 185.3
GTEX-1LSNL-2226-SM-DHXKM 50-59 years, male 183.6
GTEX-OXRP-0926-SM-48TC1 60-69 years, female 181.8
GTEX-11NUK-1326-SM-5P9GN 50-59 years, male 179.9
GTEX-1QP29-2126-SM-E6CPZ 50-59 years, male 178.9
GTEX-144FL-2726-SM-5O98Z 50-59 years, male 177.3
GTEX-11DZ1-2026-SM-5A5KG 50-59 years, male 176.8
GTEX-R55D-1126-SM-48FEB 50-59 years, male 175.7
GTEX-VJYA-0726-SM-4KL1T 60-69 years, male 169.7
GTEX-1QCLY-1526-SM-DPRXX 30-39 years, male 167.7
GTEX-XYKS-1526-SM-4BRUP 60-69 years, female 166.9
GTEX-1H1DG-1226-SM-9JGH3 70-79 years, male 166.9
GTEX-14BIM-1326-SM-7EWD1 60-69 years, female 164.3
GTEX-1212Z-2126-SM-5FQTM 60-69 years, male 163.7
GTEX-1GTWX-1326-SM-9JGHU 60-69 years, male 161.7
GTEX-15DCD-1626-SM-6AJBH 70-79 years, female 161.5
GTEX-11VI4-0526-SM-5EQ48 40-49 years, female 157.0
GTEX-11TT1-0526-SM-5P9JO 20-29 years, male 153.3
GTEX-ZYFC-1626-SM-5N9EU 50-59 years, male 153.1
GTEX-ZYVF-2226-SM-5GIDD 50-59 years, female 149.9
GTEX-13O3Q-0826-SM-5IFGF 50-59 years, male 149.3
GTEX-ZYW4-1326-SM-5E45N 60-69 years, male 149.1
GTEX-16Z82-1926-SM-6M47U 60-69 years, male 148.3
GTEX-139UW-1126-SM-5IJEJ 60-69 years, male 148.1
GTEX-1QEPI-1826-SM-EAZ3J 60-69 years, female 143.8
GTEX-12ZZW-1726-SM-5DUVD 50-59 years, male 142.6
GTEX-YF7O-0926-SM-5IFIF 50-59 years, male 141.7
GTEX-13JVG-2026-SM-5KM1N 60-69 years, male 140.8
GTEX-QEG5-1426-SM-447AS 20-29 years, male 140.4
GTEX-145MO-1426-SM-DTX9W 60-69 years, male 140.1
GTEX-11DYG-1326-SM-5N9DO 60-69 years, male 136.3
GTEX-11EI6-1526-SM-5P9GL 60-69 years, male 135.9
GTEX-1MCQQ-1026-SM-EV7AX 60-69 years, male 134.0
GTEX-X4XY-1726-SM-46MVO 60-69 years, male 132.9
GTEX-1JMQK-2026-SM-C1YQN 60-69 years, male 126.1
GTEX-11XUK-0826-SM-5GU6P 40-49 years, female 124.4
GTEX-13O1R-1326-SM-5IJF5 60-69 years, male 122.6
GTEX-R45C-1226-SM-48FEE 60-69 years, female 116.6
GTEX-Q2AH-0826-SM-48TZN 40-49 years, male 113.0
GTEX-XLM4-2326-SM-4AT5E 60-69 years, male 111.0
GTEX-RNOR-1226-SM-48FDQ 50-59 years, female 109.3
GTEX-13FLV-1126-SM-5J2NO 50-59 years, male 108.9
GTEX-1CB4H-1526-SM-7MXU4 60-69 years, female 100.0
GTEX-ZAJG-1326-SM-5S2NV 50-59 years, female 99.8
GTEX-1KD4Q-1126-SM-CXZKK 40-49 years, male 98.2
GTEX-1EN7A-1226-SM-7MGX9 40-49 years, male 97.5
GTEX-1CB4J-2426-SM-7MXVC 60-69 years, male 96.9
GTEX-183WM-1726-SM-7KFT5 70-79 years, female 95.2
GTEX-1F5PL-1726-SM-9QEGL 40-49 years, female 94.1
GTEX-17KNJ-1326-SM-7KFTG 50-59 years, male 89.8
GTEX-144GO-2726-SM-5O9A2 60-69 years, male 76.8
GTEX-1JMLX-2326-SM-CXZJP 50-59 years, male 69.5
GTEX-17F97-1326-SM-7MGVO 50-59 years, male 62.5
GTEX-15EO6-1026-SM-7KUG9 50-59 years, male 62.3
GTEX-1F7RK-1526-SM-7P8T6 20-29 years, female 61.3
GTEX-Y111-1626-SM-57WCY 50-59 years, male 59.8
GTEX-1LVA9-2126-SM-DLHBY 50-59 years, male 55.2
GTEX-R3RS-1326-SM-48FE7 40-49 years, female 54.0
GTEX-ZF3C-1626-SM-4WWB4 50-59 years, female 47.8
GTEX-1ICG6-1926-SM-ARU7L 70-79 years, female 47.0
GTEX-1F52S-1426-SM-7P8PU 60-69 years, female 44.7
GTEX-13PVQ-1726-SM-5IFF3 50-59 years, male 30.3
GTEX-ZV68-0926-SM-59HK7 50-59 years, female 29.1
GTEX-1BAJH-2026-SM-7P8OZ 70-79 years, male 6.7
GTEX-N7MS-1225-SM-3LK5G 60-69 years, male 6.5
Show allShow less

ESOPHAGUS - FANTOM5 CAGEi

RNA expression in human tissues obtained through Cap Analysis of Gene Expression (CAGE) generated by the FANTOM5 project are reported as Scaled Tags Per Million.

Max subtype Scaled Tags Per Millioni

Max subtype Scaled Tags Per Million is the value for the subtype with the largest average Scaled Tags Per Million across the subtype samples.

275.4
FANTOM5 sample id Sample description Scaled Tags Per Million
Esophagus
Scaled Tags Per Million: 275.4
FF:10015-101C6 68,74,75 years, mixed 275.4

Contact

  • NEWS ARTICLES
  • PRESS ROOM

The Project

  • INTRODUCTION
  • ORGANIZATION
  • PUBLICATIONS

The Human Protein Atlas

  • DOWNLOADABLE DATA
  • LICENCE & CITATION
  • HELP & FAQ
The Human Protein Atlas project is funded
by the Knut & Alice Wallenberg Foundation.


contact@proteinatlas.org