We use cookies to enhance the usability of our website. If you continue, we'll assume that you are happy to receive all cookies. More information. Don't show this again.
SERPINB3
HPA
RESOURCES
  • TISSUE
  • BRAIN
  • SINGLE CELL
  • SUBCELLULAR
  • CANCER
  • BLOOD
  • CELL LINE
  • STRUCTURE & INTERACTION
ABOUT
  • INTRODUCTION
  • HISTORY
  • ORGANIZATION
  • PUBLICATIONS
  • ANTIBODY SUBMISSION
  • ANTIBODY AVAILABILITY
  • ACKNOWLEDGMENTS
  • CONTACT
NEWS
  • NEWS ARTICLES
  • PRESS ROOM
LEARN
  • DICTIONARY
  • PROTEIN CLASSES
  • PROTEIN EVIDENCE
  • METHODS
  • EDUCATIONAL VIDEOS
DATA
  • DOWNLOADABLE DATA
  • PUBLICATION DATA
  • RELEASE HISTORY
HELP
  • ANTIBODY VALIDATION
  • ASSAYS & ANNOTATION
  • DISCLAIMER
  • HELP & FAQ
  • PRIVACY STATEMENT
  • LICENCE & CITATION
Fields »
Search result

Field
Term
Gene name
Class
Subclass
Class
Keyword
Chromosome
External id
Tissue
Cell type
Expression
Antibody panel
Tissue
Main location
Patient ID
Annotation
Tissue
Category
Tau score
Cluster
Reliability
Brain region
Category
Tau score
Brain region
Category
Tau score
Brain region
Category
Tau score
Cluster
Reliability
Tissue
Cell type
Enrichment
Cell type
Category
Tau score
Cell type
Category
Tau score
Cell type
Category
Tau score
Cell lineage
Category
Tau score
Cluster
Cluster
Location
Searches
Location
Cell line
Class
Type
Phase
Reliability
Cancer
Prognosis
Cancer
Category
Cancer
Category
Tau score
Cluster
Variants
Interacting gene (ensg_id)
Type
Number of interactions
Pathway
Category
Score
Score
Score
Validation
Validation
Validation
Validation
Antibodies
Data type
Column


  • SUMMARY

  • TISSUE

  • BRAIN

  • SINGLE CELL

  • SUBCELL

  • CANCER

  • BLOOD

  • CELL LINE

  • STRUCT & INT

  • SERPINB3
TISSUE PRIMARY DATA SKIN Show tissue menu
ADIPOSE TISSUE ADRENAL GLAND AMYGDALA APPENDIX BASAL GANGLIA BONE MARROW BREAST BRONCHUS CEREBELLUM CEREBRAL CORTEX CERVIX CHOROID PLEXUS COLON DUODENUM
ENDOMETRIUM EPIDIDYMIS ESOPHAGUS FALLOPIAN TUBE GALLBLADDER HEART MUSCLE HIPPOCAMPAL FORMATION HYPOTHALAMUS KIDNEY LIVER LUNG LYMPH NODE MIDBRAIN NASOPHARYNX
ORAL MUCOSA OVARY PANCREAS PARATHYROID GLAND PITUITARY GLAND PLACENTA PROSTATE RECTUM RETINA SALIVARY GLAND SEMINAL VESICLE SKELETAL MUSCLE SKIN SMALL INTESTINE
SMOOTH MUSCLE SOFT TISSUE SPINAL CORD SPLEEN STOMACH TESTIS THYMUS THYROID GLAND TONGUE TONSIL URINARY BLADDER VAGINA
ANTIBODIES
AND
VALIDATION
Dictionary
Skin
Tissue proteome
Skin
SKIN - Expression summary
Protein expression
Skini

On the top, protein expression in current human tissue, based on all annotated cell types, is reported with the units not detected (n), low (l), medium (m) and high (h). Underneath, protein expression in each annotated cell type are reported using the same units.

Protein expression data is based on knowledge-based annotation. For genes where more than one antibody has been used, a collective score is set.

If knowledge-based annotation could not be performed for a gene, no data is displayed here. View antibody staining data further down this page.

h
m
l
n
Cells in basal layer: Not detected
Cells in corneal layer: High
Cells in granular layer: High
Cells in spinous layer: High
Endothelial cells: Not detected
Extracellular matrix: Not detected
Fibrohistiocytic cells: Not detected
Langerhans cells: Not detected
Lymphocytes: Not detected
Melanocytes: Not detected
Vascular mural cells: Not detected
RNA expressioni

A summary of mRNA expression data available for current tissue based on several datasets. The mRNA expression levels in human tissues are based on RNA-seq data generated by the Human Protein Atlas (HPA), Genotype-Tissue Expression (GTEx) portal and CAGE data generated by the FANTOM5 consortium. Consensus normalized expression levels for human tissues was created by combining the data from HPA and GTEx datasets.

The mRNA expression levels in pig are based on RNA-seq data generated by the Human Protein Atlas (HPA), and for mouse, HPA data and in situ hybridization generated by the Allen brain atlas are reported.

Scroll down to view mRNA expression data in more detail.
Consensus:41.8 nTPM
HPA:41.8 nTPM
GTEx:21.4 nTPM

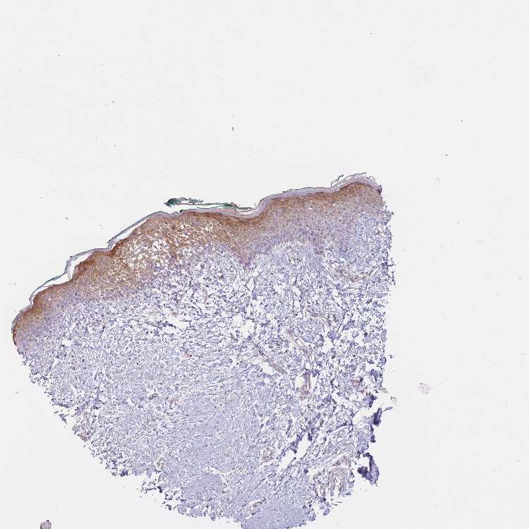
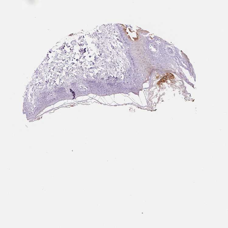
SKIN 1 - Antibody stainingi

Antibody staining in the annotated cell types in the current human tissue is reported as not detected, low, medium, or high, based on conventional immunohistochemistry profiling in selected tissues. This score is based on the combination of the staining intensity and fraction of stained cells.

Each image is clickable and will lead to virtual microscopy that enables deeper exploration of all samples and also displays staining intensity scores, fraction scores and subcellular localization as well as patient and tissue information for each sample.

Antibody HPA048341Antibody HPA049988Antibody HPA055992Antibody CAB018772Antibody CAB036007
Langerhans Not detectedLow-LowNot detected
Cells in basal layer --Not detected--
Cells in corneal layer --High--
Cells in granular layer --High--
Cells in spinous layer --High--
Endothelial cells --Not detected--
Extracellular matrix --Not detected--
Fibroblasts Not detectedNot detected-Not detectedNot detected
Fibrohistiocytic cells --Not detected--
Keratinocytes Not detectedMedium-MediumMedium
Langerhans cells --Not detected--
Lymphocytes --Not detected--
Melanocytes Not detectedNot detectedNot detectedNot detectedNot detected
Vascular mural cells --Not detected--






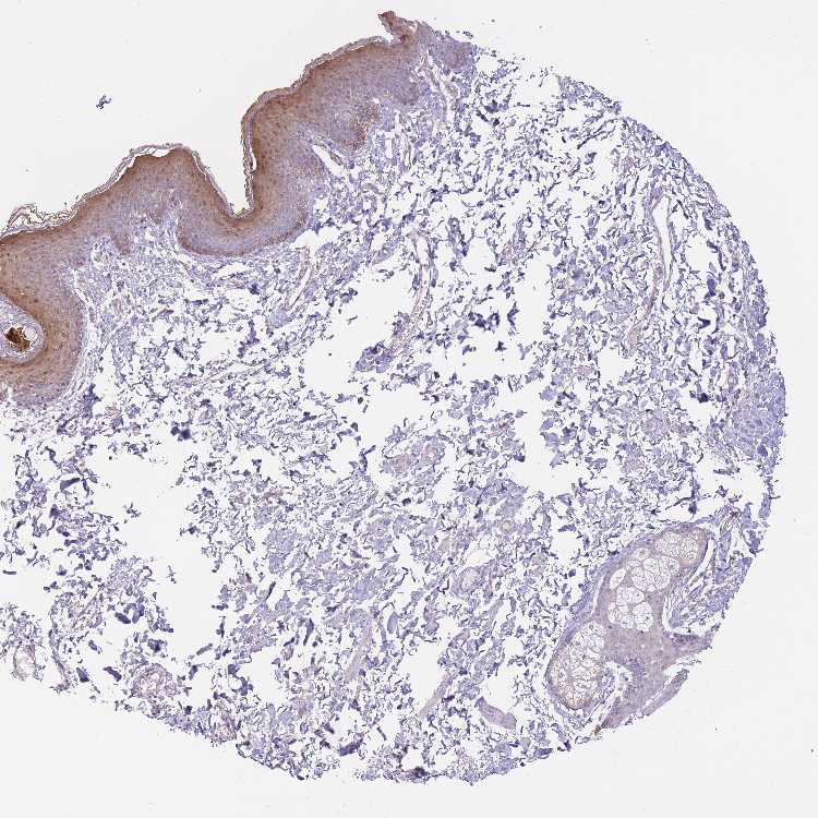
SKIN 2 - Antibody stainingi

Antibody staining in the annotated cell types in the current human tissue is reported as not detected, low, medium, or high, based on conventional immunohistochemistry profiling in selected tissues. This score is based on the combination of the staining intensity and fraction of stained cells.

Each image is clickable and will lead to virtual microscopy that enables deeper exploration of all samples and also displays staining intensity scores, fraction scores and subcellular localization as well as patient and tissue information for each sample.

Antibody HPA048341Antibody HPA049988Antibody HPA055992Antibody CAB018772Antibody CAB036007
Cells in basal layer --Not detected--
Cells in corneal layer --High--
Cells in granular layer --High--
Cells in spinous layer --High--
Endothelial cells --Not detected--
Epidermal cells MediumMedium-HighHigh
Extracellular matrix --Not detected--
Fibrohistiocytic cells --Not detected--
Langerhans cells --Not detected--
Lymphocytes --Not detected--
Melanocytes --Not detected--
Vascular mural cells --Not detected--
     
     








SKIN - HPA RNA-seqi

The RNA-seq details section shows detailed information about the individual samples used for the transcript profiling and results of the RNA-seq analysis.

Information about each individual sample is listed below, including gender, age, a tissue section image and estimated fractions of cell types. nTPM (normalized transcripts per million) values give a quantification of the gene abundance which is comparable between different genes and samples.
Average nTPMi

Max subtype nTPM is the value for the subtype with the largest average nTPM across the subtype samples.

41.8
overview
Female, age 34
Skin sample 225
nTPM: 78.9
Cell types%
Keratinocytes:
60

Other cell types:
40

overview
Female, age 30
Skin sample 226
nTPM: 21.3
Cell types%
Keratinocytes:
55

Other cell types:
45

N/A
Male, age 57
Skin sample 227
nTPM: 25.3

SKIN - GTEx RNA-seqi

RNA-Seq data generated by the Genotype-Tissue Expression (GTEx) project from human tissues is reported as mean nTPM. More information can be found on the GTEx portal.

Distribution across the dataset is visualized with box plots, shown as median and 25th and 75th percentiles. Points are displayed as outliers if they are above or below 1.5 times the interquartile range. nTPM values of the individual samples are presented next to the box plot.
Max subtype nTPMi

Max subtype nTPM is the value for the subtype with the largest average nTPM across the subtype samples.

21.4
GTEx sample id Sample description nTPM
Skin - Not Sun Exposed (Suprapubic)
Average nTPM: 21.4
Samples: 604

Max nTPM: 309.3
Min nTPM: 0.0
Std nTPM: 28.1
Median nTPM: 13.5
GTEX-ZY6K-1426-SM-5GZX2 50-59 years, male 309.3
GTEX-1A3MW-0626-SM-731CB 60-69 years, female 230.1
GTEX-1IKOE-1426-SM-CE6T7 30-39 years, female 208.6
GTEX-1GF9X-1326-SM-7PC2Y 40-49 years, female 171.4
GTEX-1AYD5-2626-SM-7PBXY 50-59 years, male 156.9
GTEX-16MT9-0126-SM-7EPI8 60-69 years, female 134.7
GTEX-1CAMS-2226-SM-7PBXQ 40-49 years, female 132.7
GTEX-1C6VQ-1226-SM-73KYD 50-59 years, male 130.8
GTEX-YECK-0326-SM-4W1YS 60-69 years, male 124.4
GTEX-1F48J-0726-SM-7RHGS 50-59 years, female 121.1
GTEX-1PPH8-0126-SM-EWRN8 20-29 years, male 114.2
GTEX-1R9K4-2826-SM-DTX8F 60-69 years, male 105.4
GTEX-ZTTD-2826-SM-4YCFA 50-59 years, male 104.5
GTEX-17HGU-2326-SM-7DUFE 50-59 years, male 102.9
GTEX-15RIE-1926-SM-7KUKJ 60-69 years, male 98.6
GTEX-111YS-1526-SM-5GZYW 60-69 years, male 94.7
GTEX-1E1VI-0326-SM-793D1 50-59 years, male 94.2
GTEX-144GL-0626-SM-5LU4D 50-59 years, male 91.0
GTEX-11WQK-1026-SM-5EQLX 50-59 years, male 89.0
GTEX-ZYVF-0926-SM-5E44J 50-59 years, female 86.6
GTEX-VJYA-1526-SM-3GIJV 60-69 years, male 84.3
GTEX-ZT9X-1526-SM-5DUXD 40-49 years, male 83.1
GTEX-1F88E-1626-SM-7SB8Z 60-69 years, female 82.0
GTEX-17JCI-2926-SM-7DUFF 60-69 years, female 81.6
GTEX-12584-0726-SM-5FQTK 40-49 years, male 81.5
GTEX-15UF6-1926-SM-7KUDV 70-79 years, female 79.8
GTEX-1HSMP-0926-SM-A9SKX 70-79 years, male 78.0
GTEX-1E2YA-2126-SM-7MXUO 50-59 years, male 75.3
GTEX-15ER7-0626-SM-6PANF 20-29 years, female 72.1
GTEX-15SHW-0226-SM-7LTAT 60-69 years, male 71.3
GTEX-11LCK-2226-SM-5HL4Q 30-39 years, male 70.3
GTEX-13X6I-1826-SM-5SIAO 60-69 years, male 69.7
GTEX-145LU-1926-SM-79OJN 50-59 years, male 67.0
GTEX-14PJ3-1126-SM-5ZZVX 50-59 years, male 64.8
GTEX-1AX8Z-0726-SM-73KTS 60-69 years, male 64.8
GTEX-17F97-2626-SM-7IGM5 50-59 years, male 63.6
GTEX-183FY-1026-SM-7939A 20-29 years, male 62.6
GTEX-13G51-1826-SM-5KLZH 60-69 years, male 62.5
GTEX-1H1DF-1126-SM-9WG7G 40-49 years, female 62.4
GTEX-18A66-0626-SM-7LT8Z 60-69 years, male 62.1
GTEX-18A67-1626-SM-7LT9T 50-59 years, male 61.2
GTEX-1JMOU-1026-SM-CYPSS 60-69 years, female 61.2
GTEX-13OW6-2726-SM-5J2OE 50-59 years, male 60.7
GTEX-1LSNL-2726-SM-E9TKJ 50-59 years, male 58.8
GTEX-144FL-0626-SM-5LU43 50-59 years, male 55.6
GTEX-XPVG-2126-SM-4B667 50-59 years, male 54.5
GTEX-1I1CD-0626-SM-CE6SW 60-69 years, female 53.3
GTEX-11TT1-1826-SM-5EQLV 20-29 years, male 52.8
GTEX-1EU9M-1426-SM-793AI 60-69 years, male 52.3
GTEX-11DXX-2126-SM-5PNYR 60-69 years, female 51.3
GTEX-14ICL-1626-SM-5YYAO 30-39 years, male 50.8
GTEX-ZE9C-2526-SM-5IJDR 60-69 years, male 49.5
GTEX-1IDJF-2026-SM-CL53V 20-29 years, male 49.1
GTEX-15SKB-2826-SM-6PAMH 60-69 years, male 48.9
GTEX-1LKK1-2626-SM-DKPQE 50-59 years, female 48.7
GTEX-1KXAM-1626-SM-D3LAD 60-69 years, male 48.3
GTEX-1B8L1-2226-SM-7P8PT 60-69 years, male 46.7
GTEX-1399Q-2326-SM-5KM2X 40-49 years, male 46.5
GTEX-1R46S-2426-SM-E76QA 60-69 years, female 45.6
GTEX-16Z82-2626-SM-7KULU 60-69 years, male 45.0
GTEX-15G19-2426-SM-7KUMR 60-69 years, male 44.8
GTEX-ZYFD-0626-SM-5E44E 50-59 years, male 44.8
GTEX-1H11D-1826-SM-9QEHM 40-49 years, male 44.6
GTEX-1I1HK-2326-SM-CKZOH 60-69 years, male 44.3
GTEX-16XZZ-0726-SM-7KUF2 60-69 years, male 44.0
GTEX-XBEC-0726-SM-4QARZ 50-59 years, male 43.4
GTEX-17HG3-2626-SM-7DUF2 30-39 years, female 42.8
GTEX-1JJEA-1826-SM-ARU8P 60-69 years, male 42.8
GTEX-13O3O-2326-SM-5IJD6 60-69 years, female 42.2
GTEX-13FHO-0426-SM-5L3F5 60-69 years, male 42.1
GTEX-1O9I2-0226-SM-EYYXD 50-59 years, male 41.9
GTEX-1PBJJ-1026-SM-E76OS 30-39 years, male 41.1
GTEX-1HCVE-2726-SM-CL54F 50-59 years, male 41.0
GTEX-1LVAO-2726-SM-E9TJ8 60-69 years, male 41.0
GTEX-1BAJH-2426-SM-7IGP8 70-79 years, male 40.7
GTEX-1JMQL-2226-SM-CNPP4 50-59 years, female 40.5
GTEX-144GO-2026-SM-5O99P 60-69 years, male 39.0
GTEX-1QPFJ-1926-SM-EVYBD 30-39 years, female 37.9
GTEX-13OVH-0526-SM-5L3E6 70-79 years, male 37.7
GTEX-14A6H-2026-SM-5Q5DD 30-39 years, male 37.3
GTEX-1RMOY-1326-SM-E9TIH 50-59 years, male 37.0
GTEX-15G1A-1626-SM-7KUKN 30-39 years, male 36.7
GTEX-UPJH-0226-SM-3GADV 50-59 years, male 36.4
GTEX-14BMV-2826-SM-5TDED 50-59 years, male 35.6
GTEX-1QAET-0326-SM-EVR3U 50-59 years, male 35.1
GTEX-147F4-0726-SM-5TDDD 50-59 years, male 35.0
GTEX-11NSD-0626-SM-5A5LU 20-29 years, male 34.9
GTEX-WYVS-1626-SM-3NM9R 40-49 years, female 34.8
GTEX-1HCU7-0726-SM-A9SL1 50-59 years, male 34.8
GTEX-13SLW-0626-SM-5Q5ER 70-79 years, male 34.7
GTEX-12ZZX-2426-SM-5GCOE 40-49 years, female 34.1
GTEX-1H2FU-0926-SM-9WPPT 60-69 years, female 34.1
GTEX-13NYB-0126-SM-5J1MD 40-49 years, male 34.0
GTEX-1I1GS-2626-SM-B2LY3 60-69 years, male 34.0
GTEX-1EKGG-0626-SM-7DUGJ 60-69 years, male 33.4
GTEX-X4EO-2926-SM-4E3JH 60-69 years, female 33.2
GTEX-13PL6-1126-SM-5L3IE 40-49 years, female 32.8
GTEX-17MF6-2626-SM-79OKQ 40-49 years, male 32.7
GTEX-1GF9W-1426-SM-7PBYM 60-69 years, male 32.6
GTEX-1GZ4I-2626-SM-9KNU3 50-59 years, male 32.4
GTEX-VUSG-2326-SM-4KL1U 50-59 years, male 32.3
GTEX-14PHX-2226-SM-6EU2P 50-59 years, male 32.2
GTEX-15RJE-2826-SM-7KUM9 40-49 years, male 31.9
GTEX-1AX9I-2226-SM-73KUO 60-69 years, male 31.9
GTEX-1J8JJ-0626-SM-ARZMQ 60-69 years, female 31.7
GTEX-11TUW-0626-SM-5LU9M 60-69 years, male 31.5
GTEX-YEC4-1826-SM-4W1YP 40-49 years, male 31.4
GTEX-1192X-2726-SM-5N9DN 50-59 years, male 31.3
GTEX-1F5PK-2226-SM-7SB6N 50-59 years, male 31.2
GTEX-1N2DV-1526-SM-DTXEP 40-49 years, male 31.2
GTEX-13112-0126-SM-5P9IU 50-59 years, male 31.1
GTEX-1HCU8-2526-SM-CE6RX 60-69 years, female 31.0
GTEX-12KS4-2126-SM-5FQUT 30-39 years, male 30.9
GTEX-11NUK-2726-SM-5A5MC 50-59 years, male 30.4
GTEX-13QBU-1226-SM-5LU4G 40-49 years, female 30.4
GTEX-14B4R-1326-SM-5Q5EZ 30-39 years, male 30.4
GTEX-1A8G7-1326-SM-73KVM 60-69 years, male 30.4
GTEX-146FQ-2126-SM-5RQHU 30-39 years, male 30.0
GTEX-1EN7A-2426-SM-793DB 40-49 years, male 30.0
GTEX-13X6K-0626-SM-5LU5D 60-69 years, female 29.9
GTEX-WK11-2726-SM-3NMAQ 50-59 years, male 29.8
GTEX-1GMRU-2126-SM-7P8RA 50-59 years, male 29.7
GTEX-17EVP-2626-SM-7IGMA 40-49 years, male 29.6
GTEX-1H1DG-2426-SM-9QEHJ 70-79 years, male 29.1
GTEX-1KD5A-0126-SM-E9U54 50-59 years, male 29.1
GTEX-14JG1-1526-SM-5YY9X 40-49 years, male 28.9
GTEX-1R7EU-1626-SM-DTXG3 60-69 years, male 28.9
GTEX-1MCC2-1826-SM-DIPEX 30-39 years, female 28.6
GTEX-15EU6-2226-SM-6EU2L 50-59 years, male 28.4
GTEX-17F98-1326-SM-7DUEP 40-49 years, female 28.4
GTEX-V1D1-2026-SM-3GAF4 50-59 years, male 28.4
GTEX-1HSMO-0626-SM-ACKXC 60-69 years, male 28.2
GTEX-178AV-1726-SM-7KUL8 40-49 years, male 27.9
GTEX-ZDTT-0426-SM-4WKFL 60-69 years, male 27.6
GTEX-WFG8-2126-SM-3GIKQ 20-29 years, male 27.4
GTEX-12WSD-0626-SM-5GCMW 60-69 years, female 27.2
GTEX-14BIN-1126-SM-5RQJZ 50-59 years, female 27.1
GTEX-1RLM8-2926-SM-E8VON 50-59 years, male 27.0
GTEX-14PJ2-0626-SM-6LLII 50-59 years, male 26.9
GTEX-16NPX-0726-SM-7KULC 50-59 years, male 26.7
GTEX-17F96-0126-SM-7EWDU 70-79 years, male 26.7
GTEX-12WSF-1626-SM-7KUG5 70-79 years, male 26.5
GTEX-ZXG5-2126-SM-59HKD 60-69 years, male 26.4
GTEX-1HC8U-1326-SM-9YFMJ 40-49 years, female 26.3
GTEX-1RAZQ-1326-SM-E9TK6 30-39 years, male 26.3
GTEX-XMD2-2126-SM-4YCF8 60-69 years, female 25.9
GTEX-14C38-0726-SM-5SI6M 50-59 years, male 25.8
GTEX-1B933-2426-SM-7DHMD 50-59 years, female 25.8
GTEX-WY7C-2126-SM-3NB2R 50-59 years, male 25.8
GTEX-111VG-1626-SM-5EGIO 60-69 years, male 25.7
GTEX-18D9A-1426-SM-7LT8M 30-39 years, female 25.7
GTEX-WFG7-2026-SM-5SI7P 20-29 years, male 25.3
GTEX-1H4P4-2126-SM-9WYSL 50-59 years, male 25.3
GTEX-11EQ9-1626-SM-5PNY8 30-39 years, male 25.1
GTEX-13X6J-0626-SM-5LU5F 50-59 years, male 25.1
GTEX-12126-0826-SM-5FQTZ 20-29 years, male 25.0
GTEX-12WSH-1526-SM-5BC5W 50-59 years, male 24.7
GTEX-12ZZY-0726-SM-5EQ66 60-69 years, male 24.6
GTEX-1IY9M-2826-SM-ARU8H 60-69 years, male 24.3
GTEX-14PJO-2526-SM-6AJBQ 60-69 years, male 24.2
GTEX-ZDYS-2426-SM-4WKGI 50-59 years, male 24.1
GTEX-131XG-0326-SM-5L3DX 50-59 years, female 23.8
GTEX-17HHY-0426-SM-7DHLC 50-59 years, male 23.8
GTEX-1B8KZ-0326-SM-73KY4 50-59 years, male 23.8
GTEX-17KNJ-2126-SM-718AM 50-59 years, male 23.6
GTEX-1F75B-0726-SM-7PC3R 50-59 years, male 23.6
GTEX-1314G-1326-SM-5BC6E 30-39 years, male 23.5
GTEX-ZVT4-2426-SM-5GIEI 50-59 years, female 23.1
GTEX-13NYC-0126-SM-5L3F4 60-69 years, male 22.8
GTEX-13NZ8-1226-SM-5KM4A 60-69 years, female 22.8
GTEX-11P7K-1126-SM-5HL4L 30-39 years, male 22.7
GTEX-1IOXB-2726-SM-CM2RI 50-59 years, male 22.5
GTEX-1JMQJ-0826-SM-CNPP7 50-59 years, male 22.5
GTEX-147GR-2426-SM-5ZZWQ 60-69 years, male 22.2
GTEX-1IKJJ-2226-SM-CJI4C 60-69 years, male 22.2
GTEX-1JMPY-0226-SM-CKZOK 30-39 years, male 22.1
GTEX-WH7G-2026-SM-3NMBL 40-49 years, male 22.0
GTEX-13O3Q-0126-SM-5KM34 50-59 years, male 21.8
GTEX-1C64O-1326-SM-7MGWR 60-69 years, male 21.6
GTEX-12WSK-2126-SM-5CVNC 40-49 years, female 21.5
GTEX-145LS-0626-SM-7EPG7 60-69 years, female 21.5
GTEX-18QFQ-1826-SM-72D52 30-39 years, male 21.5
GTEX-1H23P-0626-SM-9WG6T 60-69 years, male 21.5
GTEX-1HR9M-2226-SM-CNPPY 60-69 years, male 21.3
GTEX-133LE-2326-SM-5K7W3 20-29 years, female 21.1
GTEX-ZAB4-2126-SM-5HL8U 40-49 years, male 20.9
GTEX-ZWKS-0626-SM-5GIDV 30-39 years, male 20.9
GTEX-11OF3-0126-SM-5PNYF 60-69 years, male 20.8
GTEX-13YAN-0226-SM-5TDC6 60-69 years, male 20.7
GTEX-WRHU-2826-SM-3MJG8 50-59 years, female 20.6
GTEX-Y5LM-0926-SM-6LLJG 40-49 years, female 20.6
GTEX-15RJ7-2126-SM-6PAMD 40-49 years, male 20.5
GTEX-14PII-0726-SM-6EU2B 60-69 years, male 20.4
GTEX-1C6WA-2626-SM-7MKGM 60-69 years, male 20.4
GTEX-UPK5-0426-SM-3GAEK 40-49 years, male 20.3
GTEX-X585-2426-SM-46MW2 50-59 years, male 20.3
GTEX-1GZHY-0626-SM-9KNVC 50-59 years, female 20.2
GTEX-13FTW-0326-SM-5K7UW 40-49 years, male 20.1
GTEX-1K2DA-1026-SM-CGQGF 50-59 years, male 20.0
GTEX-1F88F-0126-SM-9WYSZ 60-69 years, female 19.9
GTEX-1F6RS-2026-SM-7RHHC 60-69 years, female 19.8
GTEX-144GM-0526-SM-79OJO 20-29 years, male 19.7
GTEX-15CHR-1126-SM-7EWF4 50-59 years, male 19.6
GTEX-1JKYR-0626-SM-ARL8R 20-29 years, male 19.6
GTEX-ZDXO-3126-SM-5IJDF 60-69 years, male 19.5
GTEX-1IDFM-0326-SM-ARL7V 60-69 years, male 19.4
GTEX-16MT8-2926-SM-7DUFO 60-69 years, female 19.3
GTEX-17F9Y-0126-SM-79OKX 70-79 years, female 19.3
GTEX-13W3W-0726-SM-5IJDQ 60-69 years, female 19.2
GTEX-14LZ3-0126-SM-69LPM 60-69 years, female 19.2
GTEX-ZZ64-1026-SM-5GZXG 20-29 years, male 19.2
GTEX-1HBPN-0126-SM-CGQEF 50-59 years, male 19.2
GTEX-1PPH7-1126-SM-DTX9A 40-49 years, male 19.2
GTEX-1S83E-1326-SM-E6CJM 40-49 years, male 19.2
GTEX-1H1ZS-2726-SM-9WG75 70-79 years, male 19.0
GTEX-1PPGY-1626-SM-EVYBL 60-69 years, male 19.0
GTEX-1RAZA-2226-SM-E9U4X 20-29 years, male 19.0
GTEX-13U4I-2226-SM-5LU5H 40-49 years, female 18.7
GTEX-139TU-0726-SM-5L3EK 60-69 years, male 18.6
GTEX-1C2JI-1026-SM-73KY1 50-59 years, male 18.6
GTEX-ZDTS-0826-SM-4WKHL 60-69 years, male 18.2
GTEX-1GMR3-0126-SM-A9SLW 40-49 years, male 18.2
GTEX-1PIGE-1826-SM-E8VOU 20-29 years, male 18.2
GTEX-1H3NZ-2726-SM-9WYTQ 60-69 years, male 18.1
GTEX-18465-2826-SM-7LT9J 50-59 years, male 18.0
GTEX-ZF2S-1626-SM-57WES 50-59 years, female 17.8
GTEX-1QP29-1826-SM-DTX9S 50-59 years, male 17.8
GTEX-12ZZZ-0726-SM-5GCNZ 60-69 years, male 17.7
GTEX-15RIG-0726-SM-7KUM7 40-49 years, male 17.7
GTEX-Y114-2126-SM-4TT8B 50-59 years, female 17.7
GTEX-13OW8-1026-SM-5J1NQ 60-69 years, male 17.6
GTEX-145LT-0526-SM-5LUB2 40-49 years, male 17.6
GTEX-1A8G6-2726-SM-731AR 60-69 years, male 17.6
GTEX-1J1OQ-0126-SM-D4P2N 40-49 years, female 17.6
GTEX-1R9PM-1926-SM-EVR3O 20-29 years, male 17.6
GTEX-1212Z-0126-SM-59HK4 60-69 years, male 17.5
GTEX-WHPG-2626-SM-3NMBR 50-59 years, male 17.5
GTEX-11P81-2226-SM-5PNYI 30-39 years, female 17.4
GTEX-1I1GP-1326-SM-A9G28 50-59 years, male 17.4
GTEX-139UW-0326-SM-5J1ML 60-69 years, male 17.3
GTEX-1IE54-1126-SM-A9G2Z 40-49 years, female 17.2
GTEX-1QW4Y-1126-SM-DTXE3 30-39 years, male 17.2
GTEX-14XAO-1226-SM-6EU1C 60-69 years, female 17.1
GTEX-13OW7-0426-SM-5K7VK 50-59 years, male 17.0
GTEX-XQ3S-1426-SM-4BOPR 20-29 years, male 17.0
GTEX-11DXY-0126-SM-5H11Q 60-69 years, male 16.9
GTEX-1C6VR-0126-SM-7RHGB 60-69 years, male 16.9
GTEX-1IL2V-1926-SM-B2LW8 70-79 years, male 16.9
GTEX-1HBPI-2126-SM-ARL9K 50-59 years, male 16.7
GTEX-16AAH-0626-SM-793C9 50-59 years, male 16.6
GTEX-17F9E-2326-SM-79OKD 50-59 years, male 16.6
GTEX-Y8E4-2026-SM-5IFJB 40-49 years, male 16.5
GTEX-1JMQI-1726-SM-ARL93 50-59 years, male 16.4
GTEX-15CHC-1126-SM-6LLHQ 60-69 years, female 16.3
GTEX-15CHQ-0326-SM-69LQD 60-69 years, male 16.3
GTEX-1H3O1-1326-SM-9MQLD 60-69 years, male 16.3
GTEX-1I1GU-0926-SM-ACKVS 40-49 years, male 16.3
GTEX-1CB4I-0126-SM-7RHGG 50-59 years, male 15.9
GTEX-1IDJH-0126-SM-D3L92 70-79 years, male 15.6
GTEX-1LSVX-2526-SM-DIPEU 60-69 years, male 15.6
GTEX-1CAMQ-1326-SM-7P8RV 40-49 years, male 15.5
GTEX-1K2DU-1226-SM-CYPT4 20-29 years, male 15.5
GTEX-145MH-2826-SM-5RQJF 50-59 years, male 15.4
GTEX-11UD2-2526-SM-5CVNU 50-59 years, male 15.3
GTEX-1CAMR-1326-SM-7PC1F 20-29 years, male 15.3
GTEX-11DXW-0826-SM-5H118 40-49 years, male 15.1
GTEX-148VJ-0626-SM-5LUAW 70-79 years, male 15.1
GTEX-18A6Q-0626-SM-7KFRP 60-69 years, male 15.1
GTEX-1H1DE-1326-SM-9KNUG 20-29 years, male 15.1
GTEX-1QMI2-2526-SM-E8VNZ 60-69 years, male 15.1
GTEX-1A8FM-0626-SM-7PC25 50-59 years, female 15.0
GTEX-1F75W-2726-SM-7SB8H 60-69 years, male 14.9
GTEX-15D1Q-2826-SM-6LLH7 40-49 years, male 14.8
GTEX-1GN73-0726-SM-7P8TJ 60-69 years, male 14.8
GTEX-1HFI6-0126-SM-CNPPI 40-49 years, male 14.8
GTEX-1HT8W-0626-SM-A9G2H 30-39 years, male 14.8
GTEX-XK95-0226-SM-4AT58 40-49 years, male 14.7
GTEX-13D11-0926-SM-5J2NC 50-59 years, female 14.6
GTEX-147JS-0226-SM-5S2U9 60-69 years, male 14.6
GTEX-14PKU-0126-SM-6LLHV 40-49 years, female 14.6
GTEX-Z93S-1626-SM-5CVMB 50-59 years, male 14.6
GTEX-1HB9E-0126-SM-CM2S5 50-59 years, male 14.6
GTEX-1CB4F-1026-SM-7DUH1 60-69 years, male 14.5
GTEX-1C64N-2626-SM-7PC2N 50-59 years, male 14.5
GTEX-13NYS-0626-SM-5L3F1 60-69 years, male 14.4
GTEX-16YQH-2226-SM-7IGM2 30-39 years, male 14.4
GTEX-14753-0726-SM-5QGQO 60-69 years, male 14.2
GTEX-16MTA-0926-SM-6M47Z 50-59 years, male 14.2
GTEX-1GL5R-1326-SM-7RHHF 50-59 years, male 14.2
GTEX-12C56-1526-SM-5FQUQ 20-29 years, male 14.1
GTEX-1I6K7-1926-SM-B2LXR 40-49 years, male 14.1
GTEX-1313W-0626-SM-5EQ4H 50-59 years, female 14.0
GTEX-139TT-2126-SM-5LZWC 60-69 years, male 13.8
GTEX-ZVZP-1226-SM-5GID7 50-59 years, male 13.8
GTEX-1GPI6-1926-SM-9KNV7 60-69 years, male 13.8
GTEX-1JN76-0626-SM-CKZOQ 20-29 years, female 13.8
GTEX-11DYG-1526-SM-5A5JS 60-69 years, male 13.7
GTEX-13N1W-2426-SM-5IJD1 70-79 years, male 13.7
GTEX-14ABY-2026-SM-62LDL 50-59 years, male 13.6
GTEX-1CB4H-1126-SM-7MKGL 60-69 years, female 13.6
GTEX-1OJC4-2726-SM-E76PJ 50-59 years, female 13.6
GTEX-1JJE9-2626-SM-ARZMT 70-79 years, male 13.5
GTEX-1MJK3-0726-SM-E6CJC 20-29 years, male 13.4
GTEX-WHSE-0126-SM-3NMBT 20-29 years, male 13.3
GTEX-X4EP-0626-SM-3P621 60-69 years, female 13.3
GTEX-1CB4E-0926-SM-7EPHT 60-69 years, male 13.2
GTEX-XBEW-1126-SM-4QARW 40-49 years, male 13.2
GTEX-139D8-1126-SM-5LU8W 30-39 years, female 13.1
GTEX-X5EB-1926-SM-4E3IW 40-49 years, male 13.1
GTEX-13VXU-0626-SM-5L3F9 50-59 years, male 12.9
GTEX-1ICLY-0826-SM-CMKG1 50-59 years, male 12.9
GTEX-1QCLY-0226-SM-EWRNH 30-39 years, male 12.9
GTEX-11DXZ-2026-SM-5987S 50-59 years, male 12.7
GTEX-18D9U-0126-SM-731BM 40-49 years, male 12.7
GTEX-YJ8O-2526-SM-5HL85 40-49 years, female 12.7
GTEX-WHWD-1826-SM-3LK6I 50-59 years, male 12.6
GTEX-XUW1-0926-SM-4BONX 50-59 years, female 12.6
GTEX-1LG7Y-2526-SM-EWRO7 50-59 years, male 12.6
GTEX-1LVAM-0726-SM-E6CIL 50-59 years, female 12.6
GTEX-11GS4-0226-SM-5HL77 60-69 years, male 12.5
GTEX-132AR-0326-SM-5KM2C 50-59 years, female 12.5
GTEX-12WSA-0426-SM-5EQ5X 60-69 years, male 12.4
GTEX-13IVO-0726-SM-5LZYV 70-79 years, male 12.4
GTEX-1GF9V-0826-SM-9KNUV 60-69 years, male 12.4
GTEX-1KANB-2826-SM-CY8I6 50-59 years, male 12.4
GTEX-13FLV-0126-SM-5K7WT 50-59 years, male 12.2
GTEX-1ICLZ-0326-SM-ARL82 60-69 years, male 12.2
GTEX-1POEN-2326-SM-E9J2L 30-39 years, female 12.2
GTEX-1117F-2926-SM-5GZYI 60-69 years, female 12.0
GTEX-ZC5H-1526-SM-5HL9Y 40-49 years, female 11.9
GTEX-147F3-1726-SM-5SIAW 50-59 years, female 11.8
GTEX-1N2EE-0626-SM-E76PW 60-69 years, male 11.8
GTEX-145MO-2826-SM-5LU96 60-69 years, male 11.7
GTEX-1F52S-2926-SM-7MKGA 60-69 years, female 11.7
GTEX-1GMR2-0826-SM-7PC3V 50-59 years, male 11.7
GTEX-12WSM-1926-SM-5BC65 60-69 years, male 11.6
GTEX-1A32A-0626-SM-731AQ 50-59 years, female 11.6
GTEX-139T8-0626-SM-5KLZX 60-69 years, male 11.5
GTEX-13PDP-0726-SM-5L3HP 60-69 years, male 11.5
GTEX-1F6IF-0926-SM-7SB7M 60-69 years, male 11.4
GTEX-1EH9U-2826-SM-7DUGT 60-69 years, male 11.3
GTEX-WYBS-0626-SM-3NMAS 60-69 years, female 11.3
GTEX-Y8LW-1526-SM-5IFHL 50-59 years, female 11.3
GTEX-14JFF-0626-SM-5ZZVT 60-69 years, male 11.3
GTEX-1HCU6-2526-SM-ADEHL 60-69 years, female 11.3
GTEX-1LSNM-0826-SM-DIPG8 50-59 years, male 11.3
GTEX-1JK1U-0226-SM-ARZMX 60-69 years, male 11.2
GTEX-11ZTT-2126-SM-5CVLO 60-69 years, female 11.1
GTEX-1S5ZU-2526-SM-E6CIF 20-29 years, female 11.1
GTEX-11EI6-2826-SM-5H11D 60-69 years, male 11.0
GTEX-1A3MX-2626-SM-7PC24 60-69 years, male 11.0
GTEX-1F5PL-0926-SM-7PC2W 40-49 years, female 10.9
GTEX-12WSC-2826-SM-5BC5Y 50-59 years, male 10.8
GTEX-ZYT6-2326-SM-5GZY3 30-39 years, male 10.7
GTEX-1IDJE-1426-SM-ADEIW 50-59 years, female 10.7
GTEX-13OVJ-0826-SM-5J1OK 50-59 years, female 10.6
GTEX-ZP4G-1426-SM-4WWCL 20-29 years, female 10.6
GTEX-Y111-0626-SM-4SOIT 50-59 years, male 10.5
GTEX-13OVK-1426-SM-6PAN7 40-49 years, male 10.4
GTEX-14C5O-0326-SM-5ZZUX 60-69 years, male 10.3
GTEX-14PJ4-0226-SM-5YY92 60-69 years, male 10.3
GTEX-W5X1-2526-SM-3GILC 40-49 years, female 10.3
GTEX-13RTJ-0126-SM-5S2NN 60-69 years, male 10.2
GTEX-1B8SF-0126-SM-7DUG3 60-69 years, male 10.2
GTEX-ZE7O-2726-SM-51MT5 50-59 years, female 10.2
GTEX-1CB4J-1326-SM-7P8RX 60-69 years, male 10.1
GTEX-1GN1W-2426-SM-9KNUU 50-59 years, female 10.1
GTEX-11WQC-1826-SM-5GU59 60-69 years, male 10.0
GTEX-131YS-2826-SM-5EQ47 60-69 years, female 10.0
GTEX-15EO6-2426-SM-6PALZ 50-59 years, male 10.0
GTEX-XXEK-1626-SM-4BRUZ 50-59 years, male 10.0
GTEX-1GN1V-2826-SM-9JGIA 60-69 years, male 10.0
GTEX-1HGF4-0126-SM-CNPPX 60-69 years, male 10.0
GTEX-1M4P7-0726-SM-E6CJ3 60-69 years, male 9.9
GTEX-145MN-1526-SM-5SI9T 30-39 years, male 9.8
GTEX-14PJN-1826-SM-6AJ98 30-39 years, male 9.8
GTEX-1477Z-0326-SM-7IGLA 60-69 years, male 9.7
GTEX-WXYG-2026-SM-4E3IY 50-59 years, female 9.7
GTEX-XBED-1926-SM-47JYP 60-69 years, male 9.7
GTEX-1ICG6-1226-SM-A9SLN 70-79 years, female 9.7
GTEX-11DZ1-2426-SM-5GZZX 50-59 years, male 9.6
GTEX-13PVQ-0626-SM-5LU47 50-59 years, male 9.6
GTEX-14PJ5-1526-SM-6LLIL 60-69 years, female 9.4
GTEX-1B97I-0626-SM-73KUZ 40-49 years, male 9.4
GTEX-1GMR8-0626-SM-7RHI7 50-59 years, female 9.4
GTEX-14C39-1726-SM-5RQIL 40-49 years, male 9.3
GTEX-14PJ6-2626-SM-6EU2T 60-69 years, female 9.3
GTEX-1B932-2326-SM-79OL5 40-49 years, female 9.3
GTEX-ZVE2-2826-SM-5GU51 50-59 years, male 9.3
GTEX-1HSKV-1226-SM-ADEI4 60-69 years, male 9.3
GTEX-ZLV1-1526-SM-DO91J 60-69 years, female 9.2
GTEX-Y5V6-2326-SM-4VDSA 60-69 years, male 9.0
GTEX-1QP9N-1226-SM-E76QN 30-39 years, male 9.0
GTEX-14AS3-1526-SM-5Q5ED 40-49 years, female 8.9
GTEX-1LGRB-0926-SM-COH3K 50-59 years, female 8.9
GTEX-1399S-0126-SM-5IJCF 30-39 years, female 8.8
GTEX-13O61-1426-SM-5KM3D 60-69 years, male 8.8
GTEX-1F6I4-2326-SM-7RHGL 60-69 years, male 8.8
GTEX-1GZ4H-0526-SM-9KNU9 50-59 years, female 8.8
GTEX-131XF-2626-SM-5EQ6K 60-69 years, male 8.7
GTEX-131XW-0626-SM-5PNVD 50-59 years, female 8.7
GTEX-17MFQ-1526-SM-7KFRR 20-29 years, male 8.7
GTEX-Y3I4-1726-SM-4TT89 50-59 years, male 8.7
GTEX-YB5K-2026-SM-4VDT3 40-49 years, female 8.6
GTEX-ZYFC-0426-SM-5GICQ 50-59 years, male 8.6
GTEX-Y5V5-0126-SM-5S2NW 60-69 years, female 8.4
GTEX-ZPCL-1126-SM-4WWFE 60-69 years, female 8.3
GTEX-1GN1U-0626-SM-9MQL9 50-59 years, female 8.3
GTEX-1S3DN-2126-SM-E9TIN 50-59 years, male 8.2
GTEX-1J8QM-2426-SM-A9SLS 60-69 years, female 8.1
GTEX-1KWVE-1026-SM-D3L9O 30-39 years, male 8.1
GTEX-13OVG-1626-SM-5J1NF 60-69 years, male 8.0
GTEX-1EMGI-2326-SM-7PBYA 60-69 years, male 8.0
GTEX-11EQ8-0926-SM-5H12V 60-69 years, male 7.9
GTEX-14A5H-0826-SM-5QGPJ 60-69 years, male 7.9
GTEX-1JJ6O-2726-SM-CNPOG 60-69 years, male 7.9
GTEX-1K9T9-1526-SM-DIPFR 50-59 years, female 7.9
GTEX-13JVG-0726-SM-5KM16 60-69 years, male 7.8
GTEX-13OW5-2326-SM-5L3HO 60-69 years, male 7.8
GTEX-15DYW-2726-SM-6EU2I 60-69 years, female 7.8
GTEX-WYJK-0526-SM-3NM8Z 50-59 years, male 7.8
GTEX-ZVE1-0726-SM-51MRN 50-59 years, female 7.8
GTEX-139YR-1026-SM-5LZYN 50-59 years, male 7.7
GTEX-13NZ9-2626-SM-5L3FK 50-59 years, male 7.7
GTEX-1JMPZ-0726-SM-CY8HZ 30-39 years, male 7.7
GTEX-1QP2A-1726-SM-E76QC 50-59 years, male 7.7
GTEX-1I19N-0126-SM-CYPSF 70-79 years, male 7.6
GTEX-1GTWX-2026-SM-9YFLM 60-69 years, male 7.5
GTEX-183WM-0326-SM-72D5V 70-79 years, female 7.4
GTEX-WI4N-2726-SM-3LK7Y 40-49 years, female 7.3
GTEX-1KAFJ-0126-SM-DIPEK 50-59 years, male 7.3
GTEX-1RAZS-2526-SM-E6CHT 50-59 years, male 7.2
GTEX-17HHE-1326-SM-7EWDZ 50-59 years, male 7.1
GTEX-YEC3-1326-SM-DO92X 50-59 years, male 7.1
GTEX-14PHY-1226-SM-5ZZWK 60-69 years, female 7.0
GTEX-1JMQK-1226-SM-D4P2S 60-69 years, male 7.0
GTEX-111CU-1126-SM-5EGIM 50-59 years, male 6.9
GTEX-ZTSS-1426-SM-5985P 40-49 years, male 6.9
GTEX-1KANA-1326-SM-DIPFA 20-29 years, male 6.9
GTEX-1B8KE-1126-SM-7EPHI 50-59 years, male 6.8
GTEX-1B996-0426-SM-7EWF8 60-69 years, male 6.8
GTEX-YFCO-1226-SM-5LUAT 40-49 years, male 6.8
GTEX-ZYY3-2926-SM-5GIEB 60-69 years, female 6.8
GTEX-ZF3C-0626-SM-DO92O 50-59 years, female 6.8
GTEX-14DAR-1226-SM-73KYV 50-59 years, male 6.7
GTEX-ZYW4-0626-SM-59HJR 60-69 years, male 6.7
GTEX-1IDJD-2326-SM-ACKWX 30-39 years, male 6.7
GTEX-1JN6P-2926-SM-CL54D 60-69 years, male 6.7
GTEX-145MF-0926-SM-5Q5EA 50-59 years, male 6.6
GTEX-13QJC-0126-SM-5ZZWJ 60-69 years, female 6.5
GTEX-16NGA-0726-SM-731AO 40-49 years, female 6.5
GTEX-Y9LG-1126-SM-4VBQ7 30-39 years, male 6.5
GTEX-ZLFU-1826-SM-4WWBV 40-49 years, male 6.5
GTEX-1GN2E-0226-SM-9WG6K 60-69 years, male 6.5
GTEX-ZVP2-0326-SM-57WBP 50-59 years, male 6.4
GTEX-1IDJU-1726-SM-CMKHU 60-69 years, female 6.4
GTEX-1LB8K-0726-SM-D5OV2 50-59 years, male 6.4
GTEX-1269C-0126-SM-5EQ5L 60-69 years, female 6.3
GTEX-12696-0126-SM-5EQ4L 60-69 years, male 6.2
GTEX-139TS-2126-SM-5K7XC 60-69 years, male 6.2
GTEX-1HBPM-0726-SM-9YFL7 60-69 years, female 6.2
GTEX-1J1R8-2026-SM-CL53Y 40-49 years, male 6.2
GTEX-1J8EW-2726-SM-CY8HR 60-69 years, female 6.2
GTEX-11GSP-2326-SM-5HL63 60-69 years, female 6.1
GTEX-17HII-1426-SM-7EPGG 50-59 years, male 6.0
GTEX-1GPI7-1826-SM-9KNU1 20-29 years, male 6.0
GTEX-1S831-1826-SM-EWROF 20-29 years, male 6.0
GTEX-13OVL-0126-SM-5L3GJ 50-59 years, male 5.9
GTEX-14E1K-2026-SM-7DUEI 50-59 years, male 5.9
GTEX-WFON-1926-SM-3LK7L 40-49 years, male 5.9
GTEX-11P82-1426-SM-DTXFY 20-29 years, male 5.9
GTEX-1F75I-2226-SM-7SB8U 40-49 years, male 5.9
GTEX-1JKYN-0826-SM-ARU8S 30-39 years, male 5.9
GTEX-X3Y1-2026-SM-3P5YM 40-49 years, male 5.8
GTEX-ZZPU-0826-SM-5GZX5 50-59 years, female 5.8
GTEX-1QP28-1126-SM-EVYC4 50-59 years, female 5.8
GTEX-ZPIC-0526-SM-DO91W 40-49 years, female 5.7
GTEX-1399U-1126-SM-5L3DB 50-59 years, female 5.6
GTEX-18A7A-0126-SM-731AH 50-59 years, female 5.6
GTEX-XAJ8-1426-SM-47JYM 40-49 years, male 5.6
GTEX-1PDJ9-1226-SM-EXUSX 20-29 years, male 5.6
GTEX-1PIIG-2326-SM-DTXFR 30-39 years, male 5.6
GTEX-11O72-0626-SM-5PNYE 40-49 years, male 5.4
GTEX-13FTX-1526-SM-5K7VJ 20-29 years, female 5.4
GTEX-145MI-0626-SM-5SI8S 60-69 years, female 5.4
GTEX-U8XE-0226-SM-4E3J3 30-39 years, male 5.4
GTEX-1N5O9-0926-SM-E9J3C 60-69 years, male 5.4
GTEX-1QCLZ-2426-SM-EVYBW 60-69 years, female 5.4
GTEX-11ZU8-0126-SM-5EQ58 60-69 years, male 5.3
GTEX-X8HC-0626-SM-4E3HQ 50-59 years, female 5.3
GTEX-1F75A-0726-SM-7RHHD 50-59 years, male 5.3
GTEX-1GZ2Q-0126-SM-9WG6M 40-49 years, male 5.3
GTEX-1H1E6-0426-SM-9WYUS 30-39 years, male 5.3
GTEX-1NV5F-0626-SM-DTXEG 60-69 years, female 5.2
GTEX-1RB15-1326-SM-E76Q9 60-69 years, male 5.2
GTEX-18D9B-0926-SM-7LG4U 60-69 years, male 5.1
GTEX-1JN1M-2726-SM-CY8I4 60-69 years, female 5.1
GTEX-13113-1626-SM-5EQ4I 60-69 years, female 5.0
GTEX-1MCYP-0526-SM-E9U6Q 20-29 years, female 5.0
GTEX-13N2G-0226-SM-5K7VF 60-69 years, male 4.9
GTEX-ZTX8-1326-SM-4YCEL 20-29 years, male 4.9
GTEX-14DAQ-0626-SM-793DS 60-69 years, female 4.8
GTEX-1HCU9-0426-SM-9WYSD 20-29 years, male 4.8
GTEX-ZAK1-0626-SM-5HL8E 50-59 years, female 4.7
GTEX-ZA64-1026-SM-5HL8R 20-29 years, male 4.6
GTEX-1I1GT-1026-SM-ARZLV 60-69 years, female 4.5
GTEX-117YX-1926-SM-5GIEC 50-59 years, male 4.4
GTEX-13PVR-0426-SM-5RQK2 60-69 years, female 4.4
GTEX-14LLW-2626-SM-62LDZ 70-79 years, female 4.4
GTEX-XYKS-1426-SM-4BRUO 60-69 years, female 4.4
GTEX-1211K-1526-SM-5FQU4 60-69 years, female 4.3
GTEX-1R9PN-0426-SM-DTXDT 40-49 years, female 4.3
GTEX-11PRG-0726-SM-5EGL1 50-59 years, male 4.2
GTEX-1EX96-1026-SM-7MKG2 50-59 years, male 4.2
GTEX-13X6H-0926-SM-5SIB2 50-59 years, female 4.0
GTEX-14JG6-1426-SM-9WG7C 30-39 years, female 4.0
GTEX-1HSMQ-2626-SM-A9SML 50-59 years, male 4.0
GTEX-11ZUS-2626-SM-5FQUR 30-39 years, male 3.8
GTEX-1OJC3-1226-SM-DTXER 20-29 years, male 3.8
GTEX-1I1GV-0626-SM-ARL7M 60-69 years, male 3.7
GTEX-1I4MK-0126-SM-CY8G6 50-59 years, female 3.7
GTEX-13SLX-2226-SM-62LEP 50-59 years, female 3.6
GTEX-1A3MV-1826-SM-731CD 30-39 years, male 3.6
GTEX-1IDJC-1526-SM-B2LW4 50-59 years, male 3.6
GTEX-13FTY-2126-SM-5IFFB 40-49 years, female 3.5
GTEX-18A7B-2726-SM-7LG56 70-79 years, male 3.5
GTEX-ZAJG-1526-SM-5CVML 50-59 years, female 3.5
GTEX-ZF29-0926-SM-4WKFZ 60-69 years, female 3.5
GTEX-1IDJV-0126-SM-COH3Y 60-69 years, male 3.5
GTEX-1LVAN-0626-SM-CNPOQ 50-59 years, female 3.5
GTEX-1RAZR-2126-SM-E9U6T 40-49 years, male 3.5
GTEX-1C475-1326-SM-7SB73 40-49 years, female 3.4
GTEX-12WSL-2026-SM-5GCML 50-59 years, male 3.3
GTEX-14E6C-2426-SM-5S2NF 40-49 years, male 3.3
GTEX-1I6K6-1726-SM-CGQFD 30-39 years, male 3.3
GTEX-12BJ1-0926-SM-5EQ62 60-69 years, male 3.2
GTEX-15DDE-2926-SM-6LLJ3 50-59 years, female 3.2
GTEX-1AMEY-0826-SM-72D65 30-39 years, female 3.2
GTEX-WHSB-1326-SM-3LK6W 50-59 years, male 3.1
GTEX-XQ8I-0926-SM-4BOOF 50-59 years, male 3.1
GTEX-ZT9W-1126-SM-57WDR 50-59 years, male 3.1
GTEX-1HR98-2226-SM-ADEI2 60-69 years, male 3.1
GTEX-1HUB1-1426-SM-CGQF5 60-69 years, male 3.1
GTEX-14E6E-0526-SM-793DN 30-39 years, male 3.0
GTEX-1EWIQ-0326-SM-7DHMQ 70-79 years, female 3.0
GTEX-WEY5-2326-SM-3GIKK 40-49 years, female 3.0
GTEX-ZPU1-1126-SM-4YCF3 40-49 years, male 3.0
GTEX-1LG7Z-1626-SM-CXKYR 30-39 years, male 3.0
GTEX-13N11-2326-SM-5IJBF 50-59 years, female 2.9
GTEX-16BQI-1326-SM-6M486 30-39 years, female 2.9
GTEX-1QP66-1226-SM-DTX7U 50-59 years, male 2.9
GTEX-11VI4-1126-SM-5EQMD 40-49 years, female 2.8
GTEX-14PK6-0226-SM-62LF5 70-79 years, female 2.5
GTEX-XV7Q-1826-SM-4BRUV 40-49 years, female 2.5
GTEX-1J8Q2-2626-SM-ACKWQ 60-69 years, male 2.5
GTEX-ZU9S-1826-SM-5NQ9E 30-39 years, male 2.4
GTEX-1HKZK-0726-SM-ACKW2 40-49 years, male 2.4
GTEX-1IDJI-0126-SM-CMKHS 50-59 years, female 2.3
GTEX-1J8Q3-0526-SM-ARL8U 60-69 years, male 2.3
GTEX-14BMU-1226-SM-5S2OR 20-29 years, female 2.1
GTEX-XOT4-0626-SM-4B66L 60-69 years, female 2.1
GTEX-ZVT2-0126-SM-5GIDQ 50-59 years, female 2.1
GTEX-1HSGN-0826-SM-ACKW3 40-49 years, female 2.1
GTEX-1QEPI-2626-SM-DTXF4 60-69 years, female 2.1
GTEX-ZYFG-1526-SM-5GZYM 60-69 years, female 2.0
GTEX-1S82P-2126-SM-E6CI5 60-69 years, female 2.0
GTEX-12WSJ-1126-SM-5LZVJ 40-49 years, female 1.9
GTEX-1122O-1026-SM-9WYSF 60-69 years, female 1.9
GTEX-13FH7-1126-SM-5K7UG 50-59 years, female 1.8
GTEX-1LGOU-1326-SM-D3L8M 20-29 years, female 1.7
GTEX-ZGAY-1826-SM-DO91Q 40-49 years, female 1.7
GTEX-145ME-1726-SM-5Q5EU 40-49 years, female 1.6
GTEX-1LVA9-2626-SM-EVYD4 50-59 years, male 1.6
GTEX-1KANC-1226-SM-CYPT7 50-59 years, female 1.5
GTEX-15FZZ-0526-SM-7KUGD 30-39 years, female 1.4
GTEX-17EVQ-0126-SM-7IGLR 70-79 years, male 1.3
GTEX-Y3IK-1626-SM-4YCF5 50-59 years, female 1.3
GTEX-ZLWG-0826-SM-59888 50-59 years, female 1.3
GTEX-1497J-0226-SM-5QGPU 60-69 years, male 1.2
GTEX-1AMFI-1326-SM-7939R 50-59 years, female 1.2
GTEX-145MG-1526-SM-5Q5EM 50-59 years, male 1.1
GTEX-1NSGN-0726-SM-DTXEF 50-59 years, male 1.1
GTEX-1S82U-1026-SM-E6CJK 30-39 years, female 1.1
GTEX-13JUV-2026-SM-5K7UA 40-49 years, female 1.0
GTEX-13VXT-1926-SM-5K7UO 20-29 years, female 1.0
GTEX-1H3VE-0726-SM-9YFL5 40-49 years, male 1.0
GTEX-1HFI7-2326-SM-CGQFS 50-59 years, female 1.0
GTEX-1JMLX-0626-SM-ARL8T 50-59 years, male 1.0
GTEX-14PKV-1126-SM-6LLJ1 20-29 years, female 0.9
GTEX-1LBAC-0826-SM-CY8IJ 20-29 years, male 0.9
GTEX-131XH-0126-SM-5LZUY 50-59 years, male 0.8
GTEX-1AX9J-1326-SM-731BJ 60-69 years, male 0.8
GTEX-1H1CY-0126-SM-9YFLY 60-69 years, female 0.8
GTEX-1HCUA-0826-SM-ADEHM 50-59 years, female 0.7
GTEX-YF7O-1526-SM-5IFI6 50-59 years, male 0.6
GTEX-ZUA1-2626-SM-5NQ92 40-49 years, male 0.5
GTEX-1GF9U-2026-SM-7SB92 40-49 years, female 0.5
GTEX-11EM3-1226-SM-5N9DD 20-29 years, female 0.4
GTEX-111FC-2526-SM-5GZXU 60-69 years, male 0.3
GTEX-1399R-1326-SM-5PNYS 30-39 years, male 0.3
GTEX-16GPK-0626-SM-7KFSF 60-69 years, male 0.2
GTEX-1CAV2-0126-SM-7IGN7 40-49 years, female 0.2
GTEX-ZVTK-0226-SM-51MRG 20-29 years, male 0.2
GTEX-1L5NE-1126-SM-D3L9P 50-59 years, male 0.0
Show allShow less
Skin - Sun Exposed (Lower leg)
Average nTPM: 11.2
Samples: 701

Max nTPM: 562.4
Min nTPM: 0.0
Std nTPM: 30.7
Median nTPM: 5.9
GTEX-POMQ-2226-SM-2I5FK 20-29 years, female 562.4
GTEX-1R9K4-0126-SM-DTX9X 60-69 years, male 383.1
GTEX-183WM-0126-SM-7LTAB 70-79 years, female 329.5
GTEX-11TT1-2526-SM-5EGIB 20-29 years, male 144.5
GTEX-14BIM-0226-SM-7IGLD 60-69 years, female 120.6
GTEX-1192W-2626-SM-5Q5AF 60-69 years, male 111.2
GTEX-1A3MW-0126-SM-73KXX 60-69 years, female 95.0
GTEX-144FL-0126-SM-5TDC8 50-59 years, male 79.2
GTEX-11WQK-0526-SM-5EQLD 50-59 years, male 70.3
GTEX-1JMQK-0226-SM-CL543 60-69 years, male 66.2
GTEX-1K2DA-1826-SM-CGQGT 50-59 years, male 61.5
GTEX-15DCD-0126-SM-7KUEK 70-79 years, female 60.3
GTEX-117YW-2626-SM-5GZZH 50-59 years, male 59.5
GTEX-1C6VQ-0126-SM-7P8RI 50-59 years, male 58.8
GTEX-11O72-0126-SM-59887 40-49 years, male 54.3
GTEX-1F6IF-0726-SM-7P8TW 60-69 years, male 54.1
GTEX-1JJEA-0326-SM-CNPOT 60-69 years, male 52.0
GTEX-Y5V6-2426-SM-4VDSB 60-69 years, male 50.6
GTEX-1ICLZ-0126-SM-CKZPO 60-69 years, male 50.2
GTEX-1PPH8-0226-SM-E8VND 20-29 years, male 49.2
GTEX-ZF3C-0126-SM-DO92D 50-59 years, female 45.2
GTEX-15UKP-0426-SM-7KUFQ 20-29 years, male 43.4
GTEX-1GZ2Q-0226-SM-7P8TL 40-49 years, male 41.4
GTEX-1399T-2826-SM-5KLYZ 60-69 years, male 39.7
GTEX-13OVJ-0126-SM-5KM36 50-59 years, female 39.7
GTEX-1QCLY-0326-SM-E8VOG 30-39 years, male 37.7
GTEX-WVJS-0126-SM-4MVOT 50-59 years, male 36.5
GTEX-1128S-2326-SM-5GZZY 60-69 years, female 35.9
GTEX-X88G-0126-SM-47JZ3 30-39 years, male 35.0
GTEX-145LU-0126-SM-5TDCB 50-59 years, male 34.0
GTEX-OIZG-0726-SM-33HBL 50-59 years, male 34.0
GTEX-13FTW-2626-SM-5K7WL 40-49 years, male 33.9
GTEX-18QFQ-0126-SM-731BE 30-39 years, male 33.4
GTEX-13NYB-2526-SM-5K7Z6 40-49 years, male 33.1
GTEX-R3RS-0126-SM-3GIJL 40-49 years, female 30.4
GTEX-ZU9S-0226-SM-5E441 30-39 years, male 28.8
GTEX-11EI6-0126-SM-5985R 60-69 years, male 28.7
GTEX-RUSQ-1526-SM-2TF62 50-59 years, male 26.3
GTEX-ZF2S-2326-SM-4WWCE 50-59 years, female 25.8
GTEX-13FHP-0126-SM-5IJBG 50-59 years, male 25.7
GTEX-XMD2-0126-SM-4YCDU 60-69 years, female 25.3
GTEX-1497J-2426-SM-7IGNX 60-69 years, male 24.9
GTEX-14BMV-0126-SM-5S2PO 50-59 years, male 24.9
GTEX-YJ8A-0426-SM-5IFID 20-29 years, male 24.9
GTEX-1B8L1-2526-SM-9WYTF 60-69 years, male 24.6
GTEX-11ZU8-2526-SM-5EQKI 60-69 years, male 24.3
GTEX-ZYT6-0226-SM-5NQ6T 30-39 years, male 22.8
GTEX-1HR98-0126-SM-B2LWI 60-69 years, male 22.8
GTEX-18A7B-0126-SM-7LG64 70-79 years, male 22.7
GTEX-QDVN-2026-SM-3GAEP 50-59 years, male 22.7
GTEX-12ZZX-0126-SM-5EGK9 40-49 years, female 22.6
GTEX-14C5O-0126-SM-5SI6N 60-69 years, male 22.6
GTEX-14JG1-0426-SM-6ETZZ 40-49 years, male 22.5
GTEX-YB5E-2026-SM-5IFIS 40-49 years, male 22.4
GTEX-146FQ-0126-SM-5NQA9 30-39 years, male 21.8
GTEX-VJYA-1126-SM-3GIJU 60-69 years, male 21.7
GTEX-1F5PK-2426-SM-7RHHY 50-59 years, male 21.4
GTEX-1GF9X-2026-SM-7PC3A 40-49 years, female 21.4
GTEX-13RTJ-2426-SM-5S2Q2 60-69 years, male 21.3
GTEX-VUSG-2526-SM-4KL1V 50-59 years, male 21.3
GTEX-RVPV-0126-SM-EAZAW 60-69 years, male 21.1
GTEX-12696-2426-SM-5EQ6H 60-69 years, male 20.8
GTEX-RN64-0126-SM-2TC68 50-59 years, male 20.7
GTEX-1LC47-0326-SM-E9TJP 60-69 years, male 20.6
GTEX-11XUK-2026-SM-5EQLF 40-49 years, female 20.4
GTEX-13NYC-0326-SM-E9J4S 60-69 years, male 20.4
GTEX-1AX8Z-0126-SM-7DHM6 60-69 years, male 20.2
GTEX-14E6E-1826-SM-5S2R7 30-39 years, male 20.0
GTEX-1F5PL-0326-SM-7P8PQ 40-49 years, female 19.6
GTEX-1R9PM-2026-SM-E76OY 20-29 years, male 18.6
GTEX-1S82Y-2026-SM-EVYCM 40-49 years, male 18.5
GTEX-ZE9C-2726-SM-57WB5 60-69 years, male 18.4
GTEX-17EUY-0426-SM-793BD 20-29 years, male 18.2
GTEX-1M5QR-1226-SM-EWROB 40-49 years, male 17.7
GTEX-15G19-0126-SM-6PANQ 60-69 years, male 17.5
GTEX-147GR-0526-SM-5S2MY 60-69 years, male 17.4
GTEX-15EU6-0426-SM-6PAN5 50-59 years, male 17.4
GTEX-1PWST-0226-SM-E76QJ 70-79 years, male 17.4
GTEX-U8XE-0326-SM-3DB8P 30-39 years, male 17.3
GTEX-1HSKV-0226-SM-A9SKJ 60-69 years, male 17.3
GTEX-145LS-0126-SM-5QGP1 60-69 years, female 17.2
GTEX-WOFL-0126-SM-3MJG2 60-69 years, male 17.2
GTEX-111VG-2426-SM-5GZXD 60-69 years, male 16.9
GTEX-12ZZY-0226-SM-5LZVE 60-69 years, male 16.9
GTEX-13FHO-0226-SM-5IFGY 60-69 years, male 16.9
GTEX-1CB4H-0226-SM-7PBXM 60-69 years, female 16.6
GTEX-17KNJ-2326-SM-7DHLQ 50-59 years, male 16.2
GTEX-QDVJ-1726-SM-2I5FX 50-59 years, male 16.0
GTEX-11NUK-0126-SM-5A5L3 50-59 years, male 15.9
GTEX-1CAMS-0426-SM-7P8T2 40-49 years, female 15.7
GTEX-ZWKS-0126-SM-5SIAA 30-39 years, male 15.4
GTEX-1I19N-0326-SM-ACKVX 70-79 years, male 15.1
GTEX-1HGF4-2426-SM-ACKXM 60-69 years, male 15.0
GTEX-OIZH-0126-SM-2HMIS 50-59 years, male 14.9
GTEX-WFG8-2226-SM-3GIL9 20-29 years, male 14.7
GTEX-14XAO-2326-SM-6EU1B 60-69 years, female 14.6
GTEX-PSDG-0226-SM-DKPOZ 50-59 years, male 14.6
GTEX-13SLX-0526-SM-5S2ON 50-59 years, female 14.5
GTEX-13X6I-0626-SM-5QGP9 60-69 years, male 14.5
GTEX-ZVE2-0226-SM-59HJB 50-59 years, male 14.5
GTEX-13NZB-2526-SM-5J1OM 30-39 years, male 14.4
GTEX-1PDJ9-0326-SM-DTX95 20-29 years, male 14.4
GTEX-1R7EU-0226-SM-EVR4G 60-69 years, male 14.4
GTEX-1EU9M-0226-SM-7P8SP 60-69 years, male 14.0
GTEX-18A7A-0226-SM-718BH 50-59 years, female 13.9
GTEX-1C6VR-2426-SM-79OLD 60-69 years, male 13.9
GTEX-1IKJJ-0126-SM-CNPQB 60-69 years, male 13.9
GTEX-13G51-2526-SM-5LZYK 60-69 years, male 13.8
GTEX-1EKGG-0226-SM-9WYTH 60-69 years, male 13.8
GTEX-183FY-0126-SM-7LT9P 20-29 years, male 13.7
GTEX-17JCI-0126-SM-7LG5G 60-69 years, female 13.6
GTEX-NFK9-0226-SM-2HMKQ 40-49 years, male 13.6
GTEX-X4XY-0226-SM-4E3IZ 60-69 years, male 13.5
GTEX-1EX96-1626-SM-7PBXR 50-59 years, male 13.4
GTEX-1H11D-0226-SM-9WG6Z 40-49 years, male 13.4
GTEX-XUYS-0126-SM-47JWZ 50-59 years, male 13.0
GTEX-ZDTT-2726-SM-4WKF8 60-69 years, male 13.0
GTEX-1S82Z-0826-SM-E6CHY 30-39 years, female 13.0
GTEX-11P81-2326-SM-59875 30-39 years, female 12.9
GTEX-145MO-0326-SM-5Q5B3 60-69 years, male 12.9
GTEX-17EVQ-0226-SM-7LG4P 70-79 years, male 12.9
GTEX-YEC4-2126-SM-5IFJH 40-49 years, male 12.7
GTEX-WYVS-2126-SM-3NMA3 40-49 years, female 12.6
GTEX-17MF6-0126-SM-7LG4F 40-49 years, male 12.5
GTEX-18A66-0226-SM-718BD 60-69 years, male 12.5
GTEX-1ICLY-0126-SM-D4P36 50-59 years, male 12.5
GTEX-1JMQI-2226-SM-CM2SD 50-59 years, male 12.5
GTEX-14JG6-2226-SM-6EU2G 30-39 years, female 12.4
GTEX-1F88F-2726-SM-7PBZZ 60-69 years, female 12.4
GTEX-1I4MK-2226-SM-ACKWD 50-59 years, female 12.3
GTEX-1QP9N-1426-SM-DTXFL 30-39 years, male 12.3
GTEX-1314G-1526-SM-5EGK2 30-39 years, male 12.2
GTEX-16AAH-1726-SM-7939C 50-59 years, male 12.2
GTEX-1JKYN-1326-SM-CGQG9 30-39 years, male 12.2
GTEX-1O97I-0326-SM-EYYX7 60-69 years, male 12.2
GTEX-11DXW-0226-SM-5H122 40-49 years, male 12.1
GTEX-13N1W-0126-SM-5K7VT 70-79 years, male 12.1
GTEX-13N2G-2626-SM-5J1OT 60-69 years, male 12.1
GTEX-14BIN-0626-SM-793DP 50-59 years, female 12.1
GTEX-ZDYS-2026-SM-5HL5L 50-59 years, male 12.1
GTEX-W5X1-3026-SM-EAZAX 40-49 years, female 12.1
GTEX-15F5U-1526-SM-6PANO 40-49 years, male 12.0
GTEX-PVOW-0126-SM-2XCFA 40-49 years, male 12.0
GTEX-S7SE-0126-SM-2XCD5 50-59 years, male 12.0
GTEX-1EN7A-0126-SM-7SB81 40-49 years, male 12.0
GTEX-1RLM8-2326-SM-EWRN4 50-59 years, male 12.0
GTEX-148VJ-0126-SM-5TDDN 70-79 years, male 11.9
GTEX-1E1VI-0126-SM-7DHMZ 50-59 years, male 11.9
GTEX-PLZ5-2026-SM-2S1O4 50-59 years, male 11.9
GTEX-ZUA1-0126-SM-5GU76 40-49 years, male 11.8
GTEX-ZY6K-1826-SM-5GZXK 50-59 years, male 11.8
GTEX-1HUB1-0426-SM-E9U4U 60-69 years, male 11.7
GTEX-ZQG8-1626-SM-DHXIT 60-69 years, female 11.7
GTEX-ZYFD-0126-SM-5GIDL 50-59 years, male 11.6
GTEX-1JMPY-1326-SM-ARL8Y 30-39 years, male 11.6
GTEX-13113-5016-SM-7EPIP 60-69 years, female 11.5
GTEX-14ICK-0226-SM-6EU25 40-49 years, male 11.5
GTEX-14PHX-2326-SM-62LEM 50-59 years, male 11.5
GTEX-OXRO-0126-SM-2YUN4 60-69 years, female 11.5
GTEX-11TUW-2726-SM-E9J4M 60-69 years, male 11.5
GTEX-1GPI7-0126-SM-9MQL8 20-29 years, male 11.5
GTEX-12584-0126-SM-5EGKQ 40-49 years, male 11.4
GTEX-13OVH-0126-SM-5MR4B 70-79 years, male 11.4
GTEX-1AX9J-0226-SM-73KXM 60-69 years, male 11.4
GTEX-1CB4J-0626-SM-7DHMP 60-69 years, male 11.4
GTEX-1F75A-0126-SM-7RHGM 50-59 years, male 11.4
GTEX-1QEPI-0126-SM-EWRMQ 60-69 years, female 11.3
GTEX-18D9A-1926-SM-7LG6P 30-39 years, female 11.2
GTEX-1CB4F-0426-SM-9KNV4 60-69 years, male 11.2
GTEX-1CB4I-0226-SM-79OLH 50-59 years, male 11.1
GTEX-Y5V5-2326-SM-4V6GA 60-69 years, female 11.1
GTEX-1IOXB-0126-SM-ARL8G 50-59 years, male 11.1
GTEX-12ZZZ-0626-SM-5DUXI 60-69 years, male 11.0
GTEX-15SHU-0126-SM-7KUEH 40-49 years, female 11.0
GTEX-17F97-0326-SM-7LG5B 50-59 years, male 11.0
GTEX-1QMI2-0226-SM-EVYBX 60-69 years, male 11.0
GTEX-ZYFC-0226-SM-5NQ75 50-59 years, male 10.8
GTEX-1HCU7-0226-SM-CL545 50-59 years, male 10.8
GTEX-11H98-0126-SM-5EGHG 50-59 years, male 10.7
GTEX-12WSL-2526-SM-5GCNJ 50-59 years, male 10.7
GTEX-139TU-0126-SM-5K7WH 60-69 years, male 10.7
GTEX-1HBPN-0226-SM-9YFM1 50-59 years, male 10.7
GTEX-OXRN-0126-SM-48TDM 50-59 years, male 10.6
GTEX-17F96-1626-SM-7DUFL 70-79 years, male 10.3
GTEX-1S83E-0126-SM-EWRO4 40-49 years, male 10.3
GTEX-13OVL-0226-SM-5L3E9 50-59 years, male 10.2
GTEX-18D9U-0226-SM-718BP 40-49 years, male 10.2
GTEX-T8EM-1026-SM-3DB7M 40-49 years, male 10.2
GTEX-1GF9V-0326-SM-7RHI5 60-69 years, male 10.2
GTEX-1IY9M-0126-SM-D3L8S 60-69 years, male 10.2
GTEX-O5YW-0126-SM-3LK6D 50-59 years, male 10.0
GTEX-1JMOU-1526-SM-CL54I 60-69 years, female 10.0
GTEX-1MJK2-0426-SM-DTXE5 50-59 years, male 10.0
GTEX-11GSO-2426-SM-5A5LY 60-69 years, male 9.9
GTEX-16MT8-0426-SM-7KUEY 60-69 years, female 9.9
GTEX-1I1GV-0526-SM-A9G29 60-69 years, male 9.8
GTEX-1R46S-0626-SM-E9J41 60-69 years, female 9.8
GTEX-1AYD5-2426-SM-73KXR 50-59 years, male 9.7
GTEX-P44H-0226-SM-2XCEU 40-49 years, male 9.7
GTEX-111FC-0126-SM-5N9DL 60-69 years, male 9.6
GTEX-1399R-2726-SM-5IJBA 30-39 years, male 9.5
GTEX-139TS-2826-SM-5J1OO 60-69 years, male 9.5
GTEX-1E2YA-0126-SM-9KNUC 50-59 years, male 9.5
GTEX-1H1DG-0126-SM-9WYU2 70-79 years, male 9.5
GTEX-1HBPI-1526-SM-C1YQ1 50-59 years, male 9.5
GTEX-1QPFJ-0226-SM-E76PB 30-39 years, female 9.5
GTEX-1EWIQ-0126-SM-7RHH2 70-79 years, female 9.4
GTEX-18A67-0126-SM-7LG5P 50-59 years, male 9.3
GTEX-18A6Q-0126-SM-731BZ 60-69 years, male 9.3
GTEX-1IDJH-0326-SM-A9SLQ 70-79 years, male 9.3
GTEX-1122O-2126-SM-5EGIR 60-69 years, female 9.2
GTEX-139UW-2826-SM-5L3E7 60-69 years, male 9.2
GTEX-13OW6-0426-SM-5L3HM 50-59 years, male 9.2
GTEX-1B8SF-1426-SM-7DUGL 60-69 years, male 9.2
GTEX-1OFPY-2426-SM-DTXEJ 60-69 years, male 9.2
GTEX-139T8-0126-SM-5K7XZ 60-69 years, male 9.1
GTEX-Q734-1926-SM-2I5EV 40-49 years, female 9.1
GTEX-ZE7O-0126-SM-57WC1 50-59 years, female 9.1
GTEX-1I6K6-0126-SM-A9SLE 30-39 years, male 9.1
GTEX-13RTK-1426-SM-5QGQJ 20-29 years, male 8.9
GTEX-1B8KZ-2026-SM-7DHMB 50-59 years, male 8.8
GTEX-ZXES-1826-SM-5E43S 30-39 years, female 8.8
GTEX-1AX9I-0126-SM-7SB74 60-69 years, male 8.8
GTEX-1KANA-0726-SM-D3L9I 20-29 years, male 8.8
GTEX-1L5NE-2526-SM-E6CIE 50-59 years, male 8.8
GTEX-14PII-0226-SM-6EU1T 60-69 years, male 8.7
GTEX-S7PM-0126-SM-4AD6S 60-69 years, male 8.7
GTEX-Y8E4-0626-SM-4WWDL 40-49 years, male 8.7
GTEX-ZAB5-1826-SM-5HL7C 50-59 years, male 8.7
GTEX-14753-0426-SM-5NQAM 60-69 years, male 8.5
GTEX-17HGU-0226-SM-7DHKV 50-59 years, male 8.5
GTEX-QLQW-1126-SM-2S1Q8 30-39 years, male 8.5
GTEX-1GN2E-0426-SM-9MQKX 60-69 years, male 8.5
GTEX-1A8FM-0226-SM-7SB7Q 50-59 years, female 8.4
GTEX-ZV68-0126-SM-59HKS 50-59 years, female 8.3
GTEX-1H3O1-0426-SM-9YFKY 60-69 years, male 8.3
GTEX-1IL2V-0126-SM-CM2TX 70-79 years, male 8.3
GTEX-1LG7Z-1726-SM-D3LA4 30-39 years, male 8.3
GTEX-13SLW-0126-SM-5SI6C 70-79 years, male 8.2
GTEX-1C4CL-0526-SM-73KVK 30-39 years, male 8.2
GTEX-XBED-2226-SM-47JYQ 60-69 years, male 8.2
GTEX-ZXG5-0126-SM-5GIEU 60-69 years, male 8.2
GTEX-117XS-2726-SM-5N9BL 60-69 years, male 8.1
GTEX-UPJH-0326-SM-3GADU 50-59 years, male 8.1
GTEX-ZV6S-2326-SM-4YCEY 40-49 years, female 8.1
GTEX-1KXAM-2226-SM-CYPTC 60-69 years, male 8.1
GTEX-11ZTS-0126-SM-5EQ6M 60-69 years, female 8.0
GTEX-15RIG-0226-SM-7KFTL 40-49 years, male 8.0
GTEX-1A3MX-0126-SM-731BR 60-69 years, male 8.0
GTEX-1HB9E-0226-SM-E9U4R 50-59 years, male 8.0
GTEX-13OVG-1926-SM-5L3DK 60-69 years, male 7.9
GTEX-QV44-1926-SM-2S1RF 50-59 years, male 7.9
GTEX-ZVZO-0126-SM-5A5L9 40-49 years, male 7.9
GTEX-1JN6P-0126-SM-D3L98 60-69 years, male 7.9
GTEX-1LH75-2426-SM-E9TJE 50-59 years, female 7.9
GTEX-1BAJH-0526-SM-793CQ 70-79 years, male 7.8
GTEX-ZQUD-1426-SM-57WER 30-39 years, male 7.8
GTEX-1J8Q2-0526-SM-CM2RW 60-69 years, male 7.8
GTEX-1JMPZ-0226-SM-CNPP1 30-39 years, male 7.8
GTEX-1LGRB-2526-SM-CNPPQ 50-59 years, female 7.8
GTEX-1NV5F-0226-SM-E8VNY 60-69 years, female 7.7
GTEX-12126-0326-SM-5PNW3 20-29 years, male 7.6
GTEX-13O3Q-2426-SM-5IJBR 50-59 years, male 7.6
GTEX-13PDP-0126-SM-5L3HD 60-69 years, male 7.6
GTEX-ZTSS-1926-SM-57WEW 40-49 years, male 7.6
GTEX-1JMQJ-0526-SM-CYPSU 50-59 years, male 7.6
GTEX-X4EP-0126-SM-3P5YV 60-69 years, female 7.5
GTEX-XAJ8-0826-SM-47JY6 40-49 years, male 7.5
GTEX-1HCVE-0126-SM-CGQEU 50-59 years, male 7.5
GTEX-1JK1U-2026-SM-CM2RZ 60-69 years, male 7.5
GTEX-12WSE-0526-SM-793B2 20-29 years, male 7.4
GTEX-12WSJ-1826-SM-5GCNY 40-49 years, female 7.4
GTEX-18465-0126-SM-731BN 50-59 years, male 7.4
GTEX-SNMC-1226-SM-2XCFP 20-29 years, male 7.4
GTEX-ZDXO-3026-SM-5J1N5 60-69 years, male 7.4
GTEX-1GL5R-1826-SM-9KNUY 50-59 years, male 7.4
GTEX-1MGNQ-0126-SM-EVYCJ 40-49 years, male 7.4
GTEX-13IVO-0126-SM-5J1NG 70-79 years, male 7.3
GTEX-SUCS-1926-SM-32PM3 70-79 years, male 7.3
GTEX-T6MN-0126-SM-32PLP 50-59 years, male 7.3
GTEX-ZVTK-0426-SM-51MRS 20-29 years, male 7.3
GTEX-YFC4-0126-SM-5CVLY 40-49 years, female 7.2
GTEX-145LV-2126-SM-5LU8N 50-59 years, male 7.1
GTEX-WYJK-0126-SM-3NMAB 50-59 years, male 7.1
GTEX-1F6RS-0126-SM-9MQKZ 60-69 years, female 7.1
GTEX-1I1GR-0126-SM-CL55F 60-69 years, male 7.1
GTEX-1KAFJ-2026-SM-CY8ID 50-59 years, male 7.1
GTEX-S33H-1026-SM-EZ6L6 30-39 years, male 7.1
GTEX-12KS4-0326-SM-5EQ41 30-39 years, male 7.0
GTEX-13W46-0226-SM-5SIAG 50-59 years, male 7.0
GTEX-YB5K-2126-SM-4WWDJ 40-49 years, female 7.0
GTEX-1I1HK-0126-SM-COH49 60-69 years, male 7.0
GTEX-1KD4Q-0226-SM-E9TJ9 40-49 years, male 7.0
GTEX-1CB4E-2226-SM-793DC 60-69 years, male 6.9
GTEX-11DZ1-0126-SM-5985Q 50-59 years, male 6.8
GTEX-13OW7-0126-SM-5MR3B 50-59 years, male 6.8
GTEX-T2IS-0126-SM-4DM6O 20-29 years, female 6.8
GTEX-ZAB4-0226-SM-5N9F5 40-49 years, male 6.8
GTEX-1GF9U-2126-SM-7SB7L 40-49 years, female 6.8
GTEX-1I1GP-2226-SM-CGQFK 50-59 years, male 6.8
GTEX-1192X-0226-SM-5H12D 50-59 years, male 6.7
GTEX-145MI-0526-SM-5O9A8 60-69 years, female 6.7
GTEX-Q2AG-0126-SM-33HBV 40-49 years, female 6.7
GTEX-U3ZH-2026-SM-3DB78 30-39 years, male 6.7
GTEX-131XF-5016-SM-7MGWE 60-69 years, male 6.7
GTEX-1HT8W-0126-SM-CNPPP 30-39 years, male 6.7
GTEX-1IDJF-0126-SM-CM2RS 20-29 years, male 6.7
GTEX-11GS4-2726-SM-5A5LE 60-69 years, male 6.6
GTEX-17HHE-2026-SM-79OKF 50-59 years, male 6.6
GTEX-1C2JI-1826-SM-73KXC 50-59 years, male 6.6
GTEX-1CAMR-1926-SM-7EPI2 20-29 years, male 6.6
GTEX-Z93S-0126-SM-5HL7M 50-59 years, male 6.6
GTEX-1GMRU-0126-SM-9YFLV 50-59 years, male 6.6
GTEX-1HSEH-0126-SM-ACKXN 60-69 years, male 6.6
GTEX-1KD5A-0226-SM-D5OV3 50-59 years, male 6.6
GTEX-11OC5-0126-SM-5HL6A 60-69 years, male 6.5
GTEX-131XW-0426-SM-5LZWP 50-59 years, female 6.5
GTEX-ZVT3-0126-SM-5GU6I 60-69 years, female 6.5
GTEX-ZZ64-1726-SM-5GZYB 20-29 years, male 6.5
GTEX-13OW5-0126-SM-DTXFS 60-69 years, male 6.5
GTEX-1I1CD-0126-SM-CM2TK 60-69 years, female 6.5
GTEX-1JJE9-0326-SM-CL53Z 70-79 years, male 6.5
GTEX-1LSNM-1926-SM-E6CII 50-59 years, male 6.5
GTEX-1M4P7-0226-SM-DIPEV 60-69 years, male 6.5
GTEX-11UD2-0226-SM-5EQKY 50-59 years, male 6.4
GTEX-132NY-0326-SM-5IJBL 60-69 years, male 6.4
GTEX-SIU8-0126-SM-2XCDT 50-59 years, male 6.4
GTEX-1GF9W-0326-SM-9KNUN 60-69 years, male 6.4
GTEX-1POEN-0126-SM-EYYXJ 30-39 years, female 6.4
GTEX-11WQC-2526-SM-5CVLE 60-69 years, male 6.3
GTEX-145ME-1826-SM-5SI9G 40-49 years, female 6.3
GTEX-1K2DU-2326-SM-E9TIV 20-29 years, male 6.3
GTEX-1RDX4-0126-SM-E9J4P 50-59 years, female 6.3
GTEX-1399U-2326-SM-5K7WY 50-59 years, female 6.2
GTEX-13VXU-0126-SM-5SI9F 50-59 years, male 6.2
GTEX-15SB6-1726-SM-6PAME 50-59 years, female 6.2
GTEX-W5WG-1826-SM-4KL2Y 50-59 years, female 6.2
GTEX-1C64O-0126-SM-7SB8P 60-69 years, male 6.2
GTEX-1JKYR-0126-SM-CNPOJ 20-29 years, male 6.2
GTEX-11ZVC-2526-SM-5FQTE 50-59 years, female 6.1
GTEX-13CF3-2426-SM-5IFGX 60-69 years, female 6.1
GTEX-1C64N-0126-SM-793D7 50-59 years, male 6.1
GTEX-Q2AI-1326-SM-2S1PL 40-49 years, male 6.1
GTEX-1HCU6-0126-SM-CL54K 60-69 years, female 6.1
GTEX-14A5H-0426-SM-5QGQF 60-69 years, male 6.0
GTEX-14PHW-0126-SM-6LLJI 60-69 years, female 6.0
GTEX-1HSMQ-1226-SM-CGQFX 50-59 years, male 6.0
GTEX-12WSN-5019-SM-79OM6 40-49 years, male 5.9
GTEX-13X6J-0126-SM-5QGOU 50-59 years, male 5.9
GTEX-QESD-1426-SM-2S1R9 20-29 years, male 5.9
GTEX-Y111-0126-SM-4SOIV 50-59 years, male 5.9
GTEX-1GN73-0226-SM-9WG67 60-69 years, male 5.9
GTEX-1H3VY-0126-SM-ACKXD 50-59 years, male 5.9
GTEX-1HSGN-0226-SM-CGQFV 40-49 years, female 5.9
GTEX-1ICG6-2526-SM-CGQFZ 70-79 years, female 5.9
GTEX-OOBJ-0126-SM-E6CJW 60-69 years, male 5.9
GTEX-11DXX-2426-SM-5GZZW 60-69 years, female 5.8
GTEX-13111-1626-SM-5EGJY 50-59 years, male 5.8
GTEX-131YS-0126-SM-5KM1M 60-69 years, female 5.8
GTEX-13OW8-1326-SM-5J1OW 60-69 years, male 5.8
GTEX-1CAV2-2226-SM-7P8P2 40-49 years, female 5.8
GTEX-1CB4G-0226-SM-7PC3O 60-69 years, male 5.8
GTEX-1EMGI-0126-SM-9KNUE 60-69 years, male 5.8
GTEX-1GZ4H-1726-SM-7PBZJ 50-59 years, female 5.8
GTEX-1JJ6O-0126-SM-E6CI8 60-69 years, male 5.8
GTEX-1S3DN-2226-SM-EVYCD 50-59 years, male 5.8
GTEX-139D8-0226-SM-5KLZO 30-39 years, female 5.7
GTEX-ZAK1-0126-SM-5IJD3 50-59 years, female 5.7
GTEX-1IDFM-0126-SM-COH2V 60-69 years, male 5.7
GTEX-11DXY-2626-SM-5GIE7 60-69 years, male 5.6
GTEX-1A32A-0126-SM-718B1 50-59 years, female 5.6
GTEX-O5YT-0126-SM-48TBW 20-29 years, male 5.6
GTEX-1GPI6-0126-SM-9WG69 60-69 years, male 5.6
GTEX-1R7EV-2426-SM-EVYBG 40-49 years, male 5.6
GTEX-1RB15-2126-SM-E9TIM 60-69 years, male 5.6
GTEX-ZPIC-1726-SM-DHXIU 40-49 years, female 5.6
GTEX-11EQ9-2426-SM-5HL5T 30-39 years, male 5.5
GTEX-12C56-1726-SM-5EQ61 20-29 years, male 5.5
GTEX-12WSA-0226-SM-5BC5V 60-69 years, male 5.5
GTEX-13112-2826-SM-5DUWH 50-59 years, male 5.5
GTEX-14DAQ-0126-SM-5S2MQ 60-69 years, female 5.5
GTEX-WY7C-2326-SM-3NB2U 50-59 years, male 5.5
GTEX-1B933-0126-SM-7PC29 50-59 years, female 5.5
GTEX-1OJC3-0126-SM-E76QX 20-29 years, male 5.5
GTEX-1QAET-0926-SM-E76QM 50-59 years, male 5.5
GTEX-11DYG-0126-SM-59883 60-69 years, male 5.4
GTEX-X261-0126-SM-3NMD6 50-59 years, male 5.4
GTEX-1H3NZ-0126-SM-ACKX7 60-69 years, male 5.4
GTEX-14LZ3-0226-SM-62LET 60-69 years, female 5.3
GTEX-15ER7-0326-SM-7KUEV 20-29 years, female 5.3
GTEX-15ETS-0126-SM-7KUMW 40-49 years, female 5.3
GTEX-16GPK-0126-SM-7DHLE 60-69 years, male 5.3
GTEX-Z93T-0126-SM-5HL5N 50-59 years, male 5.3
GTEX-ZYY3-0126-SM-5GZY5 60-69 years, female 5.3
GTEX-1KWVE-1426-SM-E9TJO 30-39 years, male 5.3
GTEX-13S7M-0126-SM-5SI6A 60-69 years, female 5.2
GTEX-144GL-0126-SM-5TDE2 50-59 years, male 5.2
GTEX-14BMU-2226-SM-5TDE9 20-29 years, female 5.2
GTEX-14PJ3-1826-SM-62LEX 50-59 years, male 5.2
GTEX-T2YK-0526-SM-32QPJ 50-59 years, male 5.2
GTEX-U3ZN-2326-SM-3DB7W 30-39 years, female 5.2
GTEX-X4XX-0126-SM-3NMC2 60-69 years, male 5.2
GTEX-Y3IK-2426-SM-4WWDU 50-59 years, female 5.2
GTEX-1GZHY-0326-SM-9QEHI 50-59 years, female 5.2
GTEX-14PN3-2426-SM-6LLHS 60-69 years, female 5.1
GTEX-X585-0226-SM-4QAS2 50-59 years, male 5.1
GTEX-1H1E6-1726-SM-ACKVK 30-39 years, male 5.1
GTEX-1H2FU-0126-SM-9WYSI 60-69 years, female 5.1
GTEX-13U4I-0126-SM-5LU38 40-49 years, female 5.0
GTEX-16BQI-0226-SM-7KUEX 30-39 years, female 5.0
GTEX-17F98-0626-SM-79OMX 40-49 years, female 5.0
GTEX-TSE9-0126-SM-3DB83 60-69 years, female 5.0
GTEX-V1D1-2226-SM-3NMAX 50-59 years, male 5.0
GTEX-XBEW-0626-SM-4QASP 40-49 years, male 5.0
GTEX-12WSG-2826-SM-E9J4H 50-59 years, female 5.0
GTEX-1HCU9-1526-SM-A9SL7 20-29 years, male 5.0
GTEX-1I1GU-2226-SM-CGQFA 40-49 years, male 5.0
GTEX-1J1OQ-0226-SM-CYPSH 40-49 years, female 5.0
GTEX-1MA7X-2226-SM-E6CIY 60-69 years, male 5.0
GTEX-11GSP-2526-SM-5N9BP 60-69 years, female 4.9
GTEX-17HHY-0126-SM-7LG5D 50-59 years, male 4.9
GTEX-ZDTS-0126-SM-4WAY5 60-69 years, male 4.9
GTEX-ZVZP-2426-SM-59HKJ 50-59 years, male 4.9
GTEX-1HFI7-1826-SM-ACKXH 50-59 years, female 4.9
GTEX-131XH-2226-SM-5DUXJ 50-59 years, male 4.8
GTEX-16XZZ-0126-SM-793DV 60-69 years, male 4.8
GTEX-17HG3-2226-SM-7938L 30-39 years, female 4.8
GTEX-QEG4-0226-SM-2S1PY 30-39 years, male 4.8
GTEX-169BO-1326-SM-9MQK2 50-59 years, male 4.8
GTEX-1F75B-0126-SM-9KNVL 50-59 years, male 4.8
GTEX-1GMR3-1926-SM-9KNUZ 40-49 years, male 4.8
GTEX-1GN1U-0126-SM-7PBZK 50-59 years, female 4.8
GTEX-1KANB-0526-SM-E6CJH 50-59 years, male 4.8
GTEX-1PBJI-0526-SM-E8VNK 20-29 years, female 4.8
GTEX-11P82-1626-SM-59879 20-29 years, male 4.7
GTEX-13D11-2426-SM-5KM1V 50-59 years, female 4.7
GTEX-13YAN-0326-SM-5O9DF 60-69 years, male 4.7
GTEX-16NPX-0226-SM-79OMT 50-59 years, male 4.7
GTEX-17MFQ-1726-SM-793C7 20-29 years, male 4.7
GTEX-T5JC-0426-SM-32PLO 20-29 years, male 4.7
GTEX-TMZS-0126-SM-3DB9Q 60-69 years, male 4.7
GTEX-1MUQO-0126-SM-EAZ58 60-69 years, male 4.7
GTEX-1QP2A-0126-SM-E9J43 50-59 years, male 4.7
GTEX-117YX-2326-SM-5H12W 50-59 years, male 4.6
GTEX-11P7K-2126-SM-5GU7G 30-39 years, male 4.6
GTEX-14DAR-2026-SM-5S2O3 50-59 years, male 4.6
GTEX-X8HC-0126-SM-4E3JW 50-59 years, female 4.6
GTEX-Y5LM-1926-SM-5RQJH 40-49 years, female 4.6
GTEX-ZC5H-0226-SM-4WAY9 40-49 years, female 4.6
GTEX-1J8EW-0126-SM-CJI4F 60-69 years, female 4.6
GTEX-QCQG-1726-SM-3GIJ9 50-59 years, female 4.5
GTEX-1HCU8-0626-SM-A9SM9 60-69 years, female 4.5
GTEX-145MF-0626-SM-5LUAI 50-59 years, male 4.4
GTEX-15D1Q-0126-SM-7KUG6 40-49 years, male 4.4
GTEX-OXRK-0226-SM-3NB2G 50-59 years, female 4.4
GTEX-SJXC-0126-SM-2XCFF 60-69 years, male 4.4
GTEX-1H23P-0126-SM-ADEJ3 60-69 years, male 4.4
GTEX-11OF3-2626-SM-5GU7F 60-69 years, male 4.3
GTEX-145LT-1726-SM-5QGP3 40-49 years, male 4.3
GTEX-16NGA-1726-SM-731B4 40-49 years, female 4.3
GTEX-SSA3-0126-SM-32QPU 60-69 years, male 4.3
GTEX-T6MO-1626-SM-32QOM 40-49 years, female 4.3
GTEX-ZF28-0126-SM-4WKGK 60-69 years, male 4.3
GTEX-1PIGE-0126-SM-EVYBJ 20-29 years, male 4.3
GTEX-P4QT-0126-SM-2I3FL 50-59 years, female 4.2
GTEX-1F52S-0126-SM-9MQJU 60-69 years, female 4.2
GTEX-131XE-2326-SM-5PNZ2 50-59 years, male 4.1
GTEX-18D9B-0526-SM-7LTAS 60-69 years, male 4.1
GTEX-1C475-1826-SM-73KWA 40-49 years, female 4.1
GTEX-1CAMQ-0226-SM-7IGPK 40-49 years, male 4.1
GTEX-1H1DE-2126-SM-9WG6R 20-29 years, male 4.1
GTEX-1HFI6-0226-SM-ADEHZ 40-49 years, male 4.1
GTEX-1I1GT-0626-SM-CGQER 60-69 years, female 4.1
GTEX-1J8QM-2126-SM-CYPSJ 60-69 years, female 4.1
GTEX-1QP29-0626-SM-EWRMX 50-59 years, male 4.1
GTEX-11LCK-1026-SM-5A5KB 30-39 years, male 4.0
GTEX-13O3P-0126-SM-5KM4S 50-59 years, male 4.0
GTEX-13OVK-2026-SM-7KUEO 40-49 years, male 4.0
GTEX-13X6H-2126-SM-7EWD5 50-59 years, female 4.0
GTEX-14E7W-0126-SM-6LLJ9 70-79 years, male 4.0
GTEX-RM2N-1426-SM-2TF4H 50-59 years, male 4.0
GTEX-S32W-2126-SM-2XCB1 50-59 years, female 4.0
GTEX-S95S-1226-SM-4GICG 60-69 years, male 4.0
GTEX-T5JW-1626-SM-3GADZ 20-29 years, female 4.0
GTEX-TML8-1926-SM-32QOS 40-49 years, female 4.0
GTEX-Z9EW-1626-SM-5CVMN 40-49 years, male 4.0
GTEX-139T4-0226-SM-5HL5S 50-59 years, female 3.9
GTEX-14LLW-0126-SM-6LLIO 70-79 years, female 3.9
GTEX-15UF6-0826-SM-6PALJ 70-79 years, female 3.9
GTEX-P4PQ-0126-SM-2S1NM 60-69 years, male 3.9
GTEX-1GMR8-0126-SM-9WYTM 50-59 years, female 3.9
GTEX-1IL2U-0226-SM-CE6T8 60-69 years, male 3.9
GTEX-1J8JJ-0226-SM-CL53I 60-69 years, female 3.9
GTEX-1LB8K-0226-SM-EWRNW 50-59 years, male 3.9
GTEX-1313W-0126-SM-5LZUN 50-59 years, female 3.8
GTEX-13QJ3-0326-SM-5S2RA 50-59 years, male 3.8
GTEX-XYKS-2126-SM-4E3IB 60-69 years, female 3.8
GTEX-1KANC-1526-SM-D3LAB 50-59 years, female 3.8
GTEX-15DYW-0126-SM-7KULE 60-69 years, female 3.7
GTEX-WFON-2126-SM-3LK7O 40-49 years, male 3.7
GTEX-ZZPT-0226-SM-5E43X 50-59 years, male 3.7
GTEX-1212Z-2526-SM-5EGKP 60-69 years, male 3.6
GTEX-PX3G-0126-SM-2I3EN 20-29 years, female 3.6
GTEX-QLQ7-1626-SM-2S1R8 60-69 years, male 3.6
GTEX-YJ89-0126-SM-4TT3X 60-69 years, male 3.6
GTEX-1N2DW-0226-SM-E9TK2 50-59 years, male 3.6
GTEX-1PIIG-0226-SM-EWRN6 30-39 years, male 3.6
GTEX-11DXZ-2326-SM-5EGGV 50-59 years, male 3.5
GTEX-145MN-2226-SM-5SIAU 30-39 years, male 3.5
GTEX-14PJ6-2126-SM-6EU1V 60-69 years, female 3.5
GTEX-OXRP-0126-SM-3NB32 60-69 years, female 3.5
GTEX-R55E-0126-SM-2TC5Y 20-29 years, male 3.5
GTEX-X4EO-0326-SM-3P5YO 60-69 years, female 3.5
GTEX-1H3VE-0326-SM-9YFLH 40-49 years, male 3.5
GTEX-1IDJU-2626-SM-CM2RT 60-69 years, female 3.5
GTEX-1IGQW-0126-SM-COH42 60-69 years, male 3.5
GTEX-12WSC-0126-SM-5EQ4P 50-59 years, male 3.4
GTEX-139TT-0126-SM-5K7Y5 60-69 years, male 3.4
GTEX-15EOM-0126-SM-7KUGG 20-29 years, female 3.4
GTEX-P4PP-0126-SM-3LK69 30-39 years, female 3.4
GTEX-TMMY-0226-SM-33HBA 40-49 years, female 3.4
GTEX-XPVG-2626-SM-4B669 50-59 years, male 3.4
GTEX-Y114-2426-SM-4TT8A 50-59 years, female 3.4
GTEX-ZEX8-2426-SM-4WKG4 50-59 years, male 3.4
GTEX-ZTPG-0326-SM-5O9AX 20-29 years, female 3.4
GTEX-13O3O-0126-SM-E9J49 60-69 years, female 3.4
GTEX-1F48J-0126-SM-7P8TT 50-59 years, female 3.4
GTEX-1IKK5-0626-SM-ARL8A 60-69 years, male 3.4
GTEX-1J1R8-1726-SM-ARL8M 40-49 years, male 3.4
GTEX-1RQEC-0426-SM-E6CHU 60-69 years, male 3.4
GTEX-13CF2-2526-SM-5LZYX 60-69 years, male 3.3
GTEX-13FXS-0226-SM-5IJCK 50-59 years, male 3.3
GTEX-13NYS-0126-SM-5MR3W 60-69 years, male 3.3
GTEX-13OVI-1426-SM-5L3EY 60-69 years, female 3.3
GTEX-14A5I-0126-SM-5TDEA 50-59 years, female 3.3
GTEX-14PJM-0226-SM-62LF1 50-59 years, female 3.3
GTEX-14PN4-0126-SM-6EU2V 50-59 years, male 3.3
GTEX-16XZY-2126-SM-79OK1 70-79 years, male 3.3
GTEX-NPJ8-0126-SM-2YUNR 40-49 years, male 3.3
GTEX-PWO3-1526-SM-48TCM 60-69 years, female 3.3
GTEX-RWSA-0126-SM-2XCBB 40-49 years, male 3.3
GTEX-WH7G-2326-SM-3NMBC 40-49 years, male 3.3
GTEX-ZTX8-1426-SM-5DUVO 20-29 years, male 3.3
GTEX-1H1ZS-0426-SM-9WG6G 70-79 years, male 3.3
GTEX-1LNCM-1126-SM-E9U5E 50-59 years, female 3.3
GTEX-1NHNU-1026-SM-E9J2A 50-59 years, male 3.3
GTEX-1S5ZA-0126-SM-EVYCV 20-29 years, male 3.3
GTEX-QVJO-1626-SM-2S1QW 60-69 years, female 3.2
GTEX-U3ZM-1526-SM-3DB9D 40-49 years, male 3.2
GTEX-WXYG-2326-SM-4E3I6 50-59 years, female 3.2
GTEX-1B996-0226-SM-7RHGO 60-69 years, male 3.2
GTEX-1LBAC-0126-SM-DIPEZ 20-29 years, male 3.2
GTEX-RNOR-0126-SM-E9J4R 50-59 years, female 3.2
GTEX-13VXT-0126-SM-5LU4I 20-29 years, female 3.1
GTEX-147F4-0226-SM-5QGPW 50-59 years, male 3.1
GTEX-14ABY-0226-SM-5TDCQ 50-59 years, male 3.1
GTEX-15CHC-2126-SM-6EU21 60-69 years, female 3.1
GTEX-1B97I-1626-SM-73KYO 40-49 years, male 3.1
GTEX-OHPM-0126-SM-2YUN9 50-59 years, male 3.1
GTEX-1C6WA-0126-SM-7PC2B 60-69 years, male 3.1
GTEX-1RAZA-0126-SM-E6CI3 20-29 years, male 3.1
GTEX-13N11-2526-SM-5K7UE 50-59 years, female 3.0
GTEX-PLZ4-0126-SM-5SI8O 50-59 years, female 3.0
GTEX-SN8G-0126-SM-32PLI 50-59 years, female 3.0
GTEX-UJHI-1526-SM-3DB99 50-59 years, female 3.0
GTEX-Y8DK-0126-SM-4TT3L 60-69 years, male 3.0
GTEX-Y8LW-1826-SM-5S2MV 50-59 years, female 3.0
GTEX-1I1GS-0126-SM-B2LVW 60-69 years, male 3.0
GTEX-1K9T9-0126-SM-EVYCF 50-59 years, female 3.0
GTEX-11EMC-2926-SM-5EQ4F 60-69 years, female 2.9
GTEX-1A3MV-1926-SM-718BT 30-39 years, male 2.9
GTEX-1AYCT-2426-SM-7IGQ3 50-59 years, male 2.9
GTEX-OHPL-0126-SM-2HMJ7 60-69 years, female 2.9
GTEX-RTLS-0126-SM-447CA 60-69 years, female 2.9
GTEX-RU72-0926-SM-2TF6B 50-59 years, female 2.9
GTEX-1F6I4-0126-SM-9MQL2 60-69 years, male 2.9
GTEX-1HSMP-0126-SM-E6CJS 70-79 years, male 2.9
GTEX-1JN76-0126-SM-CNPPE 20-29 years, female 2.9
GTEX-1QP66-1726-SM-E8VO1 50-59 years, male 2.9
GTEX-147F3-0526-SM-5SI98 50-59 years, female 2.8
GTEX-15DDE-0126-SM-6LPKH 50-59 years, female 2.8
GTEX-ZGAY-0526-SM-4WWBB 40-49 years, female 2.8
GTEX-1HCUA-2426-SM-ADEIS 50-59 years, female 2.8
GTEX-1I1GQ-0126-SM-COH3H 50-59 years, male 2.8
GTEX-ZVT4-0126-SM-DTXFN 50-59 years, female 2.8
GTEX-16YQH-0126-SM-7DUFJ 30-39 years, male 2.7
GTEX-QDT8-0126-SM-48TZ1 30-39 years, female 2.7
GTEX-X5EB-2226-SM-46MW4 40-49 years, male 2.7
GTEX-XXEK-2226-SM-4BRUM 50-59 years, male 2.7
GTEX-1JMLX-0226-SM-CM2RO 50-59 years, male 2.7
GTEX-11NSD-2226-SM-5986V 20-29 years, male 2.6
GTEX-131XG-2626-SM-5KM17 50-59 years, female 2.6
GTEX-1B8SG-0126-SM-73KZ3 50-59 years, male 2.6
GTEX-RWS6-2026-SM-2XCB5 60-69 years, female 2.6
GTEX-WZTO-0126-SM-3NM95 40-49 years, male 2.6
GTEX-1J8Q3-1626-SM-CMKGC 60-69 years, male 2.6
GTEX-1JMQL-0226-SM-CNPP5 50-59 years, female 2.6
GTEX-13FTY-0526-SM-5L3EV 40-49 years, female 2.5
GTEX-13NZ8-0826-SM-5MR3I 60-69 years, female 2.5
GTEX-ZVT2-2526-SM-51MT1 50-59 years, female 2.5
GTEX-SE5C-1626-SM-2XCE3 40-49 years, female 2.5
GTEX-14E6C-0126-SM-5RQIP 40-49 years, male 2.4
GTEX-1IKOH-0226-SM-COH4E 60-69 years, female 2.4
GTEX-1JN1M-0326-SM-CYPT3 60-69 years, female 2.4
GTEX-1MCQQ-0826-SM-DLHC2 60-69 years, male 2.4
GTEX-13JUV-2726-SM-5LZZ8 40-49 years, female 2.3
GTEX-148VI-1626-SM-5SI6E 60-69 years, female 2.3
GTEX-17EVP-0326-SM-7DHLG 40-49 years, male 2.3
GTEX-17HII-0226-SM-7LG4E 50-59 years, male 2.3
GTEX-1AMFI-2026-SM-731BH 50-59 years, female 2.3
GTEX-XQ3S-1526-SM-4BOOC 20-29 years, male 2.3
GTEX-1PFEY-1526-SM-E76PP 30-39 years, male 2.3
GTEX-113JC-2326-SM-5EQ4E 50-59 years, female 2.2
GTEX-13PVR-2326-SM-5QGR1 60-69 years, female 2.2
GTEX-U412-0426-SM-3DB9O 60-69 years, male 2.2
GTEX-U8T8-0126-SM-3DB94 60-69 years, male 2.2
GTEX-1F7RK-0126-SM-7PC2S 20-29 years, female 2.2
GTEX-1N2EF-0226-SM-EYYXB 60-69 years, male 2.2
GTEX-12WSK-2326-SM-5GCOH 40-49 years, female 2.1
GTEX-13W3W-2426-SM-5LU5B 60-69 years, female 2.1
GTEX-14A6H-0126-SM-5QGPK 30-39 years, male 2.1
GTEX-14PK6-1926-SM-6ETZU 70-79 years, female 2.1
GTEX-VJWN-0126-SM-3GIK7 50-59 years, female 2.1
GTEX-XQ8I-0426-SM-4BOPO 50-59 years, male 2.1
GTEX-XV7Q-2526-SM-4BRV9 40-49 years, female 2.1
GTEX-1HKZK-0326-SM-9WYUH 40-49 years, male 2.1
GTEX-12WSD-0126-SM-59HKN 60-69 years, female 2.0
GTEX-133LE-1826-SM-5J1MV 20-29 years, female 2.0
GTEX-13NZA-0226-SM-5K7Z7 60-69 years, male 2.0
GTEX-ZYFG-2326-SM-5E44B 60-69 years, female 2.0
GTEX-1MA7W-2026-SM-E9TJ6 20-29 years, female 2.0
GTEX-OIZF-0126-SM-7SB8I 60-69 years, male 2.0
GTEX-146FH-0126-SM-5QGPP 50-59 years, female 1.9
GTEX-1AX9K-2326-SM-73KWU 50-59 years, male 1.9
GTEX-1B8KE-2126-SM-73KYX 50-59 years, male 1.9
GTEX-1C6VS-0526-SM-7DUEN 60-69 years, male 1.9
GTEX-WQUQ-0426-SM-3MJFU 60-69 years, male 1.9
GTEX-1GN1V-0126-SM-9WPOS 60-69 years, male 1.9
GTEX-1H1CY-2826-SM-9MQM3 60-69 years, female 1.9
GTEX-1HSMO-0126-SM-CL547 60-69 years, male 1.9
GTEX-PLZ6-1426-SM-DKPOT 30-39 years, male 1.9
GTEX-PWCY-1826-SM-DHXIZ 20-29 years, female 1.9
GTEX-144GN-2326-SM-5LU4F 50-59 years, male 1.8
GTEX-1LVAN-0226-SM-COH3S 50-59 years, female 1.8
GTEX-1MCYP-1926-SM-E9J2R 20-29 years, female 1.8
GTEX-11VI4-1726-SM-5CVLH 40-49 years, female 1.7
GTEX-14BIL-0126-SM-5SI92 50-59 years, male 1.7
GTEX-1LG7Y-0526-SM-DKPQC 50-59 years, male 1.7
GTEX-WRHK-1426-SM-3MJF9 20-29 years, female 1.6
GTEX-XUZC-1726-SM-4BRWS 30-39 years, female 1.6
GTEX-13FH7-2026-SM-E9J4I 50-59 years, female 1.6
GTEX-1H4P4-0726-SM-9YFLR 50-59 years, male 1.6
GTEX-1PPH7-2326-SM-EVYB8 40-49 years, male 1.6
GTEX-11EM3-2426-SM-59861 20-29 years, female 1.5
GTEX-13O1R-0126-SM-5L3EH 60-69 years, male 1.5
GTEX-15SDE-2226-SM-7IGLO 50-59 years, female 1.5
GTEX-Y3I4-2126-SM-4TT7C 50-59 years, male 1.5
GTEX-ZYW4-0126-SM-5E44A 60-69 years, male 1.5
GTEX-13O21-1426-SM-5K7XI 50-59 years, male 1.4
GTEX-13RTL-0126-SM-7LG5S 40-49 years, male 1.4
GTEX-17GQL-2026-SM-718BA 60-69 years, male 1.4
GTEX-OOBK-0126-SM-2YUND 40-49 years, male 1.4
GTEX-ZAJG-0126-SM-5HL94 50-59 years, female 1.4
GTEX-PW2O-1526-SM-7RHHB 20-29 years, male 1.4
GTEX-11TTK-0126-SM-5987B 60-69 years, female 1.3
GTEX-1211K-2026-SM-5EQ4Z 60-69 years, female 1.3
GTEX-WI4N-1026-SM-3LK7N 40-49 years, female 1.3
GTEX-XUW1-0426-SM-4BOOT 50-59 years, female 1.3
GTEX-113IC-0126-SM-5HL6T 60-69 years, male 1.2
GTEX-1AMEY-1326-SM-73KYK 30-39 years, female 1.2
GTEX-OXRL-0126-SM-2YUMP 50-59 years, male 1.2
GTEX-1GN1W-0526-SM-9MQJQ 50-59 years, female 1.2
GTEX-1GTWX-0126-SM-9YFLK 60-69 years, male 1.2
GTEX-1LGOU-2026-SM-DIPFF 20-29 years, female 1.2
GTEX-1N2DV-0226-SM-E6CJ6 40-49 years, male 1.2
GTEX-ZF29-2326-SM-DO92K 60-69 years, female 1.2
GTEX-13FTX-1826-SM-5J1NX 20-29 years, female 1.1
GTEX-14E6D-0126-SM-62LDV 50-59 years, male 1.1
GTEX-TKQ1-1026-SM-4GICL 30-39 years, male 1.1
GTEX-11ZTT-2426-SM-5EQLS 60-69 years, female 1.0
GTEX-1IE54-0126-SM-CMKHW 40-49 years, female 1.0
GTEX-1269C-2526-SM-5EGJ3 60-69 years, female 0.9
GTEX-15SHW-0326-SM-6PAML 60-69 years, male 0.9
GTEX-1F75I-0326-SM-9YFLU 40-49 years, male 0.9
GTEX-1OJC4-0126-SM-E9J2E 50-59 years, female 0.9
GTEX-11UD1-0126-SM-5PNYG 40-49 years, female 0.7
GTEX-R55G-2526-SM-2TC6D 40-49 years, female 0.7
GTEX-Q2AH-1626-SM-3GAF8 40-49 years, male 0.6
GTEX-X638-0126-SM-47JZ8 70-79 years, female 0.6
GTEX-1HBPM-0226-SM-ARL9F 60-69 years, female 0.6
GTEX-X62O-0126-SM-4E3JN 50-59 years, male 0.5
GTEX-1QW4Y-1526-SM-EAZ3Z 30-39 years, male 0.5
GTEX-11ZUS-0626-SM-59885 30-39 years, male 0.2
GTEX-R45C-0126-SM-EAZ2R 60-69 years, female 0.2
GTEX-U4B1-1826-SM-4DXSU 40-49 years, male 0.1
GTEX-1HBPH-0426-SM-B2LW5 40-49 years, female 0.1
GTEX-1QP67-1626-SM-EAZ3X 40-49 years, female 0.1
GTEX-1RAZQ-0726-SM-EAZ43 30-39 years, male 0.1
GTEX-14JIY-0126-SM-6LLH6 60-69 years, male 0.0
GTEX-146FR-1326-SM-E9J48 60-69 years, female 0.0
GTEX-1R9PO-2126-SM-E9J4O 60-69 years, female 0.0
Show allShow less

Contact

  • NEWS ARTICLES
  • PRESS ROOM

The Project

  • INTRODUCTION
  • ORGANIZATION
  • PUBLICATIONS

The Human Protein Atlas

  • DOWNLOADABLE DATA
  • LICENCE & CITATION
  • HELP & FAQ
The Human Protein Atlas project is funded
by the Knut & Alice Wallenberg Foundation.


contact@proteinatlas.org