We use cookies to enhance the usability of our website. If you continue, we'll assume that you are happy to receive all cookies. More information. Don't show this again.
PABPC1
HPA
RESOURCES
  • TISSUE
  • BRAIN
  • SINGLE CELL
  • SUBCELLULAR
  • CANCER
  • BLOOD
  • CELL LINE
  • STRUCTURE & INTERACTION
ABOUT
  • INTRODUCTION
  • HISTORY
  • ORGANIZATION
  • PUBLICATIONS
  • ANTIBODY SUBMISSION
  • ANTIBODY AVAILABILITY
  • ACKNOWLEDGMENTS
  • CONTACT
NEWS
  • NEWS ARTICLES
  • PRESS ROOM
LEARN
  • DICTIONARY
  • PROTEIN CLASSES
  • PROTEIN EVIDENCE
  • METHODS
  • EDUCATIONAL VIDEOS
DATA
  • DOWNLOADABLE DATA
  • PUBLICATION DATA
  • RELEASE HISTORY
HELP
  • ANTIBODY VALIDATION
  • ASSAYS & ANNOTATION
  • DISCLAIMER
  • HELP & FAQ
  • PRIVACY STATEMENT
  • LICENCE & CITATION
Fields »
Search result

Field
Term
Gene name
Class
Subclass
Class
Keyword
Chromosome
External id
Tissue
Cell type
Expression
Antibody panel
Tissue
Main location
Patient ID
Annotation
Tissue
Category
Tau score
Cluster
Reliability
Brain region
Category
Tau score
Brain region
Category
Tau score
Brain region
Category
Tau score
Cluster
Reliability
Tissue
Cell type
Enrichment
Cell type
Category
Tau score
Cell type
Category
Tau score
Cell type
Category
Tau score
Cell lineage
Category
Tau score
Cluster
Cluster
Location
Searches
Location
Cell line
Class
Type
Phase
Reliability
Cancer
Prognosis
Cancer
Category
Cancer
Category
Tau score
Cluster
Variants
Interacting gene (ensg_id)
Type
Number of interactions
Pathway
Category
Score
Score
Score
Validation
Validation
Validation
Validation
Antibodies
Data type
Column


  • SUMMARY

  • TISSUE

  • BRAIN

  • SINGLE CELL

  • SUBCELL

  • CANCER

  • BLOOD

  • CELL LINE

  • STRUCT & INT

  • PABPC1
TISSUE PRIMARY DATA SALIVARY GLAND Show tissue menu
ADIPOSE TISSUE ADRENAL GLAND AMYGDALA APPENDIX BASAL GANGLIA BONE MARROW BREAST BRONCHUS CEREBELLUM CEREBRAL CORTEX CERVIX CHOROID PLEXUS COLON DUODENUM
ENDOMETRIUM EPIDIDYMIS ESOPHAGUS FALLOPIAN TUBE GALLBLADDER HEART MUSCLE HIPPOCAMPAL FORMATION HYPOTHALAMUS KIDNEY LIVER LUNG LYMPH NODE MIDBRAIN NASOPHARYNX
ORAL MUCOSA OVARY PANCREAS PARATHYROID GLAND PITUITARY GLAND PLACENTA PROSTATE RECTUM RETINA SALIVARY GLAND SEMINAL VESICLE SKELETAL MUSCLE SKIN SMALL INTESTINE
SMOOTH MUSCLE SOFT TISSUE SPINAL CORD SPLEEN STOMACH TESTIS THYMUS THYROID GLAND TONGUE TONSIL URINARY BLADDER VAGINA
ANTIBODIES
AND
VALIDATION
Dictionary
Salivary gland
Tissue proteome
Salivary gland
SALIVARY GLAND - Expression summary
Protein expression
Salivary glandi

On the top, protein expression in current human tissue, based on all annotated cell types, is reported with the units not detected (n), low (l), medium (m) and high (h). Underneath, protein expression in each annotated cell type are reported using the same units.

Protein expression data is based on knowledge-based annotation. For genes where more than one antibody has been used, a collective score is set.

If knowledge-based annotation could not be performed for a gene, no data is displayed here. View antibody staining data further down this page.

h
m
l
n
Glandular cells: Medium
RNA expressioni

A summary of mRNA expression data available for current tissue based on several datasets. The mRNA expression levels in human tissues are based on RNA-seq data generated by the Human Protein Atlas (HPA), Genotype-Tissue Expression (GTEx) portal and CAGE data generated by the FANTOM5 consortium. Consensus normalized expression levels for human tissues was created by combining the data from HPA and GTEx datasets.

The mRNA expression levels in pig are based on RNA-seq data generated by the Human Protein Atlas (HPA), and for mouse, HPA data and in situ hybridization generated by the Allen brain atlas are reported.

Scroll down to view mRNA expression data in more detail.
Consensus:1251.7 nTPM
HPA:1251.7 nTPM
GTEx:934.9 nTPM
FANTOM5:4077.6 Scaled Tags Per Million

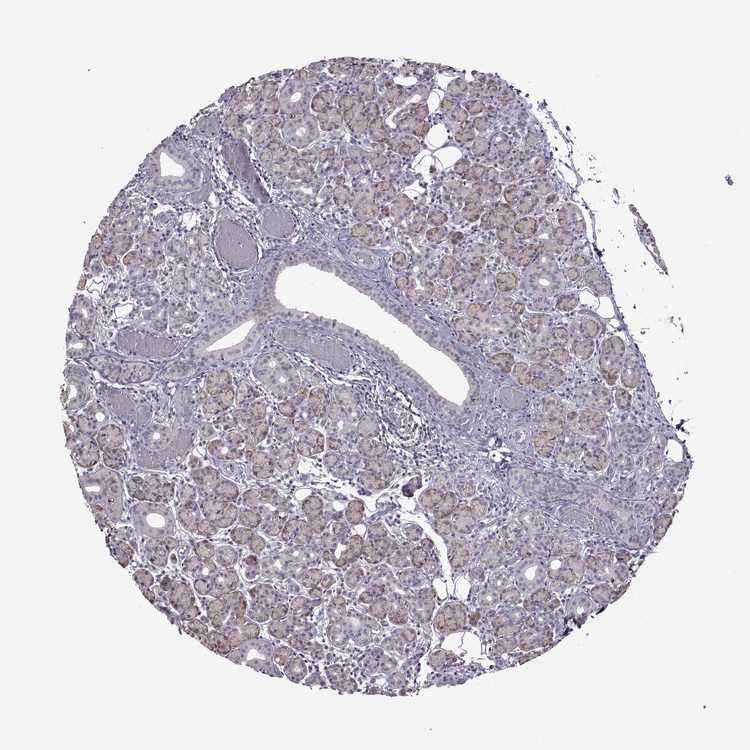
SALIVARY GLAND - Antibody stainingi

Antibody staining in the annotated cell types in the current human tissue is reported as not detected, low, medium, or high, based on conventional immunohistochemistry profiling in selected tissues. This score is based on the combination of the staining intensity and fraction of stained cells.

Each image is clickable and will lead to virtual microscopy that enables deeper exploration of all samples and also displays staining intensity scores, fraction scores and subcellular localization as well as patient and tissue information for each sample.

Antibody HPA045423Antibody CAB011536
Glandular cells MediumHigh





SALIVARY GLAND - HPA RNA-seqi

The RNA-seq details section shows detailed information about the individual samples used for the transcript profiling and results of the RNA-seq analysis.

Information about each individual sample is listed below, including gender, age, a tissue section image and estimated fractions of cell types. nTPM (normalized transcripts per million) values give a quantification of the gene abundance which is comparable between different genes and samples.
Average nTPMi

Max subtype nTPM is the value for the subtype with the largest average nTPM across the subtype samples.

1251.7
overview
Female, age 68
Salivary gland sample 216
nTPM: 686.9
Cell types%
Glandular cells:
45

Ductal cells:
25

Adipocytes:
5

Other cell types:
25

overview
Male, age 60
Salivary gland sample 217
nTPM: 1490.8
Cell types%
Glandular cells:
55

Ductal cells:
20

Adipocytes:
5

Endothelial cells:
5

Other cell types:
15

overview
Female, age 21
Salivary gland sample 218
nTPM: 1577.5
Cell types%
Glandular cells:
55

Ductal cells:
15

Adipocytes:
5

Endothelial cells:
5

Other cell types:
20


SALIVARY GLAND - GTEx RNA-seqi

RNA-Seq data generated by the Genotype-Tissue Expression (GTEx) project from human tissues is reported as mean nTPM. More information can be found on the GTEx portal.

Distribution across the dataset is visualized with box plots, shown as median and 25th and 75th percentiles. Points are displayed as outliers if they are above or below 1.5 times the interquartile range. nTPM values of the individual samples are presented next to the box plot.
Max subtype nTPMi

Max subtype nTPM is the value for the subtype with the largest average nTPM across the subtype samples.

934.9
GTEx sample id Sample description nTPM
Minor Salivary Gland
Average nTPM: 934.9
Samples: 162

Max nTPM: 2495.4
Min nTPM: 246.3
Std nTPM: 341.2
Median nTPM: 884.2
GTEX-ZLWG-2026-SM-DO11F 50-59 years, female 2495.4
GTEX-ZLFU-2226-SM-EXUS7 40-49 years, male 2450.6
GTEX-ZPU1-2326-SM-57WEP 40-49 years, male 2296.6
GTEX-ZF29-2126-SM-DNZYX 60-69 years, female 1903.0
GTEX-11P81-2026-SM-5P9GT 30-39 years, female 1713.8
GTEX-1LSNL-2626-SM-EV7AT 50-59 years, male 1708.9
GTEX-1HCU7-0126-SM-C1YR3 50-59 years, male 1630.0
GTEX-Y5LM-1826-SM-4VDT9 40-49 years, female 1573.7
GTEX-14E1K-2626-SM-664OJ 50-59 years, male 1569.6
GTEX-1192X-2926-SM-5N9BA 50-59 years, male 1562.5
GTEX-1C4CL-2026-SM-731EB 30-39 years, male 1456.6
GTEX-ZT9W-2126-SM-51MSF 50-59 years, male 1432.2
GTEX-12BJ1-2226-SM-5BC6G 60-69 years, male 1402.8
GTEX-ZP4G-1926-SM-57WDZ 20-29 years, female 1393.0
GTEX-15SHV-2226-SM-6M464 60-69 years, male 1391.3
GTEX-1R9K4-0526-SM-E76P1 60-69 years, male 1374.8
GTEX-1339X-2326-SM-5HL5B 40-49 years, male 1371.4
GTEX-11WQK-2926-SM-5EQKT 50-59 years, male 1300.7
GTEX-13VXT-1726-SM-5IFF5 20-29 years, female 1266.0
GTEX-ZQUD-2126-SM-51MSY 30-39 years, male 1261.2
GTEX-13OVL-2926-SM-5IFG3 50-59 years, male 1230.7
GTEX-1POEN-2226-SM-DPRXV 30-39 years, female 1202.3
GTEX-1KD5A-2226-SM-EV79U 50-59 years, male 1191.6
GTEX-1A3MV-1726-SM-72D68 30-39 years, male 1181.0
GTEX-1IDJD-2526-SM-C1YSA 30-39 years, male 1175.0
GTEX-1LKK1-2926-SM-EVR4Z 50-59 years, female 1154.5
GTEX-12WSM-1826-SM-5BC64 60-69 years, male 1153.4
GTEX-XGQ4-2626-SM-4AT6B 50-59 years, male 1151.7
GTEX-YB5K-1726-SM-5IFIZ 40-49 years, female 1142.2
GTEX-12WSN-2226-SM-5DUXT 40-49 years, male 1135.6
GTEX-1GZ2Q-2526-SM-9KNVW 40-49 years, male 1116.5
GTEX-11ZTS-3026-SM-5EQM7 60-69 years, female 1113.2
GTEX-14PJN-1726-SM-69LO7 30-39 years, male 1110.7
GTEX-11P82-0926-SM-5986X 20-29 years, male 1105.0
GTEX-1I6K6-0626-SM-ARU7J 30-39 years, male 1104.3
GTEX-14B4R-1426-SM-5Q5CG 30-39 years, male 1100.4
GTEX-1NSGN-0626-SM-E9J35 50-59 years, male 1094.0
GTEX-1KANC-1326-SM-CYPT8 50-59 years, female 1085.8
GTEX-1LBAC-0626-SM-D3L9T 20-29 years, male 1077.9
GTEX-15RJE-2726-SM-6LPJ1 40-49 years, male 1074.4
GTEX-13QBU-2126-SM-5KLZN 40-49 years, female 1072.5
GTEX-11NV4-1926-SM-5N9D4 60-69 years, male 1068.9
GTEX-1CB4I-2526-SM-7MKG1 50-59 years, male 1062.4
GTEX-1B97J-2126-SM-79OL6 50-59 years, female 1052.9
GTEX-1AMEY-1126-SM-72D79 30-39 years, female 1049.1
GTEX-1C6VR-0726-SM-7P8OV 60-69 years, male 1024.0
GTEX-11EMC-2526-SM-5PNVU 60-69 years, female 1015.3
GTEX-ZQG8-2126-SM-4YCF1 60-69 years, female 1008.4
GTEX-1I4MK-1326-SM-B2LWT 50-59 years, female 1002.0
GTEX-1JN1M-2426-SM-ARU93 60-69 years, female 1001.6
GTEX-12WSL-2126-SM-5GCNG 50-59 years, male 995.4
GTEX-1IY9M-2926-SM-A96TH 60-69 years, male 990.6
GTEX-1S82P-0726-SM-EVR4O 60-69 years, female 977.5
GTEX-18QFQ-0626-SM-718AW 30-39 years, male 972.0
GTEX-131XH-2626-SM-5GCNP 50-59 years, male 967.4
GTEX-YF7O-2226-SM-5CVN8 50-59 years, male 961.4
GTEX-11EQ9-2026-SM-5P9JI 30-39 years, male 960.2
GTEX-1KD4Q-2526-SM-CXZKL 40-49 years, male 957.0
GTEX-14PN4-2526-SM-686ZG 50-59 years, male 955.7
GTEX-1HSGN-0626-SM-A9G2E 40-49 years, female 950.0
GTEX-1IOXB-2826-SM-AHZ32 50-59 years, male 949.7
GTEX-13113-1526-SM-5EGHV 60-69 years, female 946.8
GTEX-1I6K7-0926-SM-A96SV 40-49 years, male 938.7
GTEX-ZG7Y-2426-SM-DO11H 50-59 years, male 937.5
GTEX-1LVA9-2526-SM-EVR5H 50-59 years, male 936.8
GTEX-1IDJC-1626-SM-AHZ2R 50-59 years, male 936.6
GTEX-17MFQ-1626-SM-7938Z 20-29 years, male 936.5
GTEX-13OVK-1826-SM-6PALE 40-49 years, male 932.6
GTEX-1R9PM-1726-SM-E8VOA 20-29 years, male 923.6
GTEX-18D9U-2226-SM-7KFTN 40-49 years, male 918.6
GTEX-1QP9N-2026-SM-DPRZT 30-39 years, male 916.0
GTEX-WFJO-2026-SM-4LVM3 30-39 years, male 914.7
GTEX-146FR-1226-SM-5SIA7 60-69 years, female 911.6
GTEX-1IE54-0826-SM-AHZ2Z 40-49 years, female 907.9
GTEX-1314G-2026-SM-5LZUM 30-39 years, male 905.4
GTEX-1EH9U-2926-SM-7DHLX 60-69 years, male 904.7
GTEX-11TUW-2426-SM-5EQKB 60-69 years, male 904.0
GTEX-X3Y1-1926-SM-4PQZO 40-49 years, male 903.0
GTEX-1JKYR-0726-SM-AHZ3K 20-29 years, male 888.7
GTEX-1PIEJ-0626-SM-DTX99 20-29 years, female 887.8
GTEX-1GF9X-0226-SM-7P8SM 40-49 years, female 886.4
GTEX-1RAZA-0626-SM-EAZ4H 20-29 years, male 881.9
GTEX-111FC-2926-SM-5GZY7 60-69 years, male 877.4
GTEX-1445S-2926-SM-5O993 60-69 years, male 859.6
GTEX-1C64N-2926-SM-79OLM 50-59 years, male 856.5
GTEX-1MCC2-2226-SM-EV7AJ 30-39 years, female 856.4
GTEX-14PJ3-1526-SM-664O9 50-59 years, male 844.1
GTEX-1OJC3-1026-SM-E6CQK 20-29 years, male 843.2
GTEX-1GN1W-2526-SM-9JGHX 50-59 years, female 843.0
GTEX-ZA64-1726-SM-5CVMF 20-29 years, male 841.5
GTEX-1RNSC-2926-SM-EV79L 60-69 years, male 840.6
GTEX-1MCQQ-2226-SM-DLHC4 60-69 years, male 839.4
GTEX-1GMR2-2026-SM-7MKHK 50-59 years, male 833.8
GTEX-WH7G-2126-SM-4M1XU 40-49 years, male 826.1
GTEX-15EU6-2626-SM-7KUN4 50-59 years, male 823.4
GTEX-XV7Q-2426-SM-4BRV8 40-49 years, female 823.4
GTEX-ZE7O-2926-SM-51MSG 50-59 years, female 823.2
GTEX-13OVI-2326-SM-5KM47 60-69 years, female 816.3
GTEX-1AX8Z-0626-SM-731EH 60-69 years, male 811.1
GTEX-13111-2326-SM-5LZUQ 50-59 years, male 809.8
GTEX-1GPI7-0326-SM-7MKH6 20-29 years, male 808.4
GTEX-XMK1-2626-SM-4B65R 40-49 years, male 806.2
GTEX-WOFM-2126-SM-4OOSR 20-29 years, male 800.6
GTEX-1B8SF-1826-SM-731DJ 60-69 years, male 778.2
GTEX-13QJC-2326-SM-5Q5CD 60-69 years, female 774.1
GTEX-18A7B-2826-SM-7KFTK 70-79 years, male 766.3
GTEX-145ME-1626-SM-5RQI3 40-49 years, female 763.2
GTEX-1AYD5-2726-SM-7MXVG 50-59 years, male 761.5
GTEX-13NYB-2426-SM-5IFF4 40-49 years, male 757.9
GTEX-1JN6P-2526-SM-CNNPX 60-69 years, male 757.8
GTEX-1I1HK-2526-SM-A96SM 60-69 years, male 753.8
GTEX-1GTWX-2526-SM-9JGHG 60-69 years, male 750.8
GTEX-1MGNQ-1926-SM-DTX8L 40-49 years, male 750.4
GTEX-13O21-1926-SM-5MR39 50-59 years, male 747.3
GTEX-X5EB-1726-SM-4E3J7 40-49 years, male 746.9
GTEX-Y5V6-2226-SM-4VDTC 60-69 years, male 745.3
GTEX-1GN1V-2926-SM-9JGI3 60-69 years, male 743.8
GTEX-Y111-2626-SM-4TT24 50-59 years, male 740.9
GTEX-1C64O-0626-SM-7DHL1 60-69 years, male 739.5
GTEX-1QCLZ-2526-SM-EXUST 60-69 years, female 737.9
GTEX-13G51-2426-SM-5LZY8 60-69 years, male 734.9
GTEX-WHSB-2326-SM-4M1XK 50-59 years, male 733.7
GTEX-11ZTT-2226-SM-5CVLP 60-69 years, female 730.4
GTEX-178AV-1426-SM-6LLID 40-49 years, male 725.4
GTEX-17KNJ-2726-SM-7KFRE 50-59 years, male 724.2
GTEX-Y3I4-1926-SM-4TT8L 50-59 years, male 718.8
GTEX-1HSEH-1826-SM-A96SA 60-69 years, male 710.7
GTEX-15CHC-1226-SM-686ZH 60-69 years, female 708.4
GTEX-1J8QM-1826-SM-A96TA 60-69 years, female 705.8
GTEX-1HSMQ-0926-SM-A96SI 50-59 years, male 691.5
GTEX-1B8KZ-1726-SM-73KV7 50-59 years, male 683.3
GTEX-WYVS-2026-SM-4RGNS 40-49 years, female 668.0
GTEX-WY7C-1426-SM-4OND1 50-59 years, male 652.1
GTEX-1PPH8-1526-SM-E6CQO 20-29 years, male 650.4
GTEX-1LVAO-2626-SM-EVR4S 60-69 years, male 649.5
GTEX-1117F-3026-SM-5GZYU 60-69 years, female 644.5
GTEX-1HFI7-2426-SM-B2LXV 50-59 years, female 643.3
GTEX-ZXG5-2826-SM-5NQ8T 60-69 years, male 642.2
GTEX-1H4P4-2026-SM-9WPNV 50-59 years, male 636.1
GTEX-1AX9K-2126-SM-72D7K 50-59 years, male 630.1
GTEX-1R9PO-2626-SM-E6CPU 60-69 years, female 618.9
GTEX-1HR9M-2526-SM-A9G3J 60-69 years, male 613.8
GTEX-1J1R8-1826-SM-AHZ3B 40-49 years, male 611.9
GTEX-ZAB5-2326-SM-5IJFR 50-59 years, male 603.9
GTEX-1S83E-0626-SM-E9TKC 40-49 years, male 603.6
GTEX-X261-2426-SM-4PQZU 50-59 years, male 602.5
GTEX-1QEPI-0626-SM-E76QE 60-69 years, female 599.1
GTEX-1QMI2-0426-SM-EWRND 60-69 years, male 598.8
GTEX-1OJC4-3126-SM-EXOJK 50-59 years, female 593.0
GTEX-1R9K5-0626-SM-DPRZB 50-59 years, male 592.7
GTEX-1LC47-2426-SM-DHXKK 60-69 years, male 590.0
GTEX-1P4AB-2926-SM-EXOJR 50-59 years, male 578.0
GTEX-X15G-2126-SM-4PQZR 50-59 years, female 573.1
GTEX-18A67-0626-SM-7KFSL 50-59 years, male 560.5
GTEX-1B932-0626-SM-731EM 40-49 years, female 543.0
GTEX-13JVG-2926-SM-5J2N9 60-69 years, male 541.6
GTEX-1H1CY-2326-SM-9OSXW 60-69 years, female 526.9
GTEX-1J8EW-2826-SM-A96T9 60-69 years, female 483.4
GTEX-131XF-2826-SM-5EGKH 60-69 years, male 449.8
GTEX-ZC5H-2726-SM-5KLZW 40-49 years, female 436.0
GTEX-13CF2-2426-SM-5LZYL 60-69 years, male 431.3
GTEX-14JIY-3026-SM-6EU1R 60-69 years, male 246.3
Show allShow less

SALIVARY GLAND - FANTOM5 CAGEi

RNA expression in human tissues obtained through Cap Analysis of Gene Expression (CAGE) generated by the FANTOM5 project are reported as Scaled Tags Per Million.

Max subtype Scaled Tags Per Millioni

Max subtype Scaled Tags Per Million is the value for the subtype with the largest average Scaled Tags Per Million across the subtype samples.

4077.6
FANTOM5 sample id Sample description Scaled Tags Per Million
Parotid gland
Scaled Tags Per Million: 4077.6
FF:10199-103F1 23 years, male 4077.6
Salivary gland
Scaled Tags Per Million: 3212.0
FF:10093-102C3 16-60 years, mixed 3212.0
Submaxillary gland
Scaled Tags Per Million: 1994.2
FF:10202-103F4 24 years, male 1994.2

Contact

  • NEWS ARTICLES
  • PRESS ROOM

The Project

  • INTRODUCTION
  • ORGANIZATION
  • PUBLICATIONS

The Human Protein Atlas

  • DOWNLOADABLE DATA
  • LICENCE & CITATION
  • HELP & FAQ
The Human Protein Atlas project is funded
by the Knut & Alice Wallenberg Foundation.


contact@proteinatlas.org