We use cookies to enhance the usability of our website. If you continue, we'll assume that you are happy to receive all cookies. More information. Don't show this again.
CD59
HPA
RESOURCES
  • TISSUE
  • BRAIN
  • SINGLE CELL
  • SUBCELLULAR
  • CANCER
  • BLOOD
  • CELL LINE
  • STRUCTURE & INTERACTION
ABOUT
  • INTRODUCTION
  • HISTORY
  • ORGANIZATION
  • PUBLICATIONS
  • ANTIBODY SUBMISSION
  • ANTIBODY AVAILABILITY
  • ACKNOWLEDGMENTS
  • CONTACT
NEWS
  • NEWS ARTICLES
  • PRESS ROOM
LEARN
  • DICTIONARY
  • PROTEIN CLASSES
  • PROTEIN EVIDENCE
  • METHODS
  • EDUCATIONAL VIDEOS
DATA
  • DOWNLOADABLE DATA
  • PUBLICATION DATA
  • RELEASE HISTORY
HELP
  • ANTIBODY VALIDATION
  • ASSAYS & ANNOTATION
  • DISCLAIMER
  • HELP & FAQ
  • PRIVACY STATEMENT
  • LICENCE & CITATION
Fields »
Search result

Field
Term
Gene name
Class
Subclass
Class
Keyword
Chromosome
External id
Tissue
Cell type
Expression
Antibody panel
Tissue
Main location
Patient ID
Annotation
Tissue
Category
Tau score
Cluster
Reliability
Brain region
Category
Tau score
Brain region
Category
Tau score
Brain region
Category
Tau score
Cluster
Reliability
Tissue
Cell type
Enrichment
Cell type
Category
Tau score
Cell type
Category
Tau score
Cell type
Category
Tau score
Cell lineage
Category
Tau score
Cluster
Cluster
Location
Searches
Location
Cell line
Class
Type
Phase
Reliability
Cancer
Prognosis
Cancer
Category
Cancer
Category
Tau score
Cluster
Variants
Interacting gene (ensg_id)
Type
Number of interactions
Pathway
Category
Score
Score
Score
Validation
Validation
Validation
Validation
Antibodies
Data type
Column


  • SUMMARY

  • TISSUE

  • BRAIN

  • SINGLE CELL

  • SUBCELL

  • CANCER

  • BLOOD

  • CELL LINE

  • STRUCT & INT

  • CD59
TISSUE PRIMARY DATA COLON Show tissue menu
ADIPOSE TISSUE ADRENAL GLAND AMYGDALA APPENDIX BASAL GANGLIA BONE MARROW BREAST BRONCHUS CEREBELLUM CEREBRAL CORTEX CERVIX CHOROID PLEXUS COLON DUODENUM
ENDOMETRIUM EPIDIDYMIS ESOPHAGUS FALLOPIAN TUBE GALLBLADDER HEART MUSCLE HIPPOCAMPAL FORMATION HYPOTHALAMUS KIDNEY LIVER LUNG LYMPH NODE MIDBRAIN NASOPHARYNX
ORAL MUCOSA OVARY PANCREAS PARATHYROID GLAND PITUITARY GLAND PLACENTA PROSTATE RECTUM RETINA SALIVARY GLAND SEMINAL VESICLE SKELETAL MUSCLE SKIN SMALL INTESTINE
SMOOTH MUSCLE SOFT TISSUE SPINAL CORD SPLEEN STOMACH TESTIS THYMUS THYROID GLAND TONGUE TONSIL URINARY BLADDER VAGINA
ANTIBODIES
AND
VALIDATION
Dictionary
Colon
Tissue proteome
Intestine
COLON - Expression summary
Protein expression
Coloni

On the top, protein expression in current human tissue, based on all annotated cell types, is reported with the units not detected (n), low (l), medium (m) and high (h). Underneath, protein expression in each annotated cell type are reported using the same units.

Protein expression data is based on knowledge-based annotation. For genes where more than one antibody has been used, a collective score is set.

If knowledge-based annotation could not be performed for a gene, no data is displayed here. View antibody staining data further down this page.

h
m
l
n
Endothelial cells: High
Glandular cells: Not detected
Peripheral nerve/ganglion: High
RNA expressioni

A summary of mRNA expression data available for current tissue based on several datasets. The mRNA expression levels in human tissues are based on RNA-seq data generated by the Human Protein Atlas (HPA), Genotype-Tissue Expression (GTEx) portal and CAGE data generated by the FANTOM5 consortium. Consensus normalized expression levels for human tissues was created by combining the data from HPA and GTEx datasets.

The mRNA expression levels in pig are based on RNA-seq data generated by the Human Protein Atlas (HPA), and for mouse, HPA data and in situ hybridization generated by the Allen brain atlas are reported.

Scroll down to view mRNA expression data in more detail.
Consensus:246.5 nTPM
HPA:232.0 nTPM
GTEx:246.5 nTPM
FANTOM5:219.1 Scaled Tags Per Million

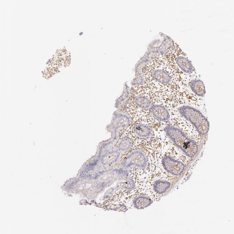
COLON - Antibody stainingi

Antibody staining in the annotated cell types in the current human tissue is reported as not detected, low, medium, or high, based on conventional immunohistochemistry profiling in selected tissues. This score is based on the combination of the staining intensity and fraction of stained cells.

Each image is clickable and will lead to virtual microscopy that enables deeper exploration of all samples and also displays staining intensity scores, fraction scores and subcellular localization as well as patient and tissue information for each sample.

Antibody HPA026494Antibody CAB001448
Endothelial cells HighMedium
Glandular cells Not detectedNot detected
Peripheral nerve/ganglion HighMedium





COLON - HPA RNA-seqi

The RNA-seq details section shows detailed information about the individual samples used for the transcript profiling and results of the RNA-seq analysis.

Information about each individual sample is listed below, including gender, age, a tissue section image and estimated fractions of cell types. nTPM (normalized transcripts per million) values give a quantification of the gene abundance which is comparable between different genes and samples.
Average nTPMi

Max subtype nTPM is the value for the subtype with the largest average nTPM across the subtype samples.

232.0
overview
Male, age 54
Colon sample 67
nTPM: 225.5
Cell types%
Glandular cells:
65

Smooth muscle cells:
10

Other cell types:
25

overview
Female, age 57
Colon sample 68
nTPM: 162.1
Cell types%
Glandular cells:
40

Smooth muscle cells:
5

Other cell types:
55

overview
Male, age 80
Colon sample 69
nTPM: 203.9
Cell types%
Glandular cells:
55

Smooth muscle cells:
5

Other cell types:
40

overview
Male, age 68
Colon sample 70
nTPM: 250.7
Cell types%
Glandular cells:
35

Smooth muscle cells:
10

Other cell types:
55

overview
Female, age 68
Colon sample 76
nTPM: 296.6
Cell types%
Glandular cells:
25

Smooth muscle cells:
5

Other cell types:
70

overview
Female, age 61
Colon sample 299
nTPM: 290.1
Cell types%
Glandular cells:
5

Smooth muscle cells:
65

Other cell types:
30

overview
Male, age 80
Colon sample 300
nTPM: 306.9
Cell types%
Glandular cells:
15

Smooth muscle cells:
20

Other cell types:
65

overview
Female, age 78
Colon sample 368
nTPM: 172.8
Cell types%
Glandular cells:
45

Smooth muscle cells:
5

Other cell types:
50

overview
Male, age 84
Colon sample 381
nTPM: 209.8
Cell types%
Glandular cells:
50

Smooth muscle cells:
15

Other cell types:
35

overview
Male, age 80
Colon sample 384
nTPM: 252.8
Cell types%
Glandular cells:
20

Smooth muscle cells:
35

Other cell types:
45

overview
Female, age 78
Colon sample 389
nTPM: 214.1
Cell types%
Glandular cells:
35

Smooth muscle cells:
10

Other cell types:
55

overview
Female, age 69
Colon sample 391
nTPM: 212.3
Cell types%
Glandular cells:
10

Smooth muscle cells:
45

Other cell types:
45

overview
Female, age 72
Colon sample 403
nTPM: 218
Cell types%
Glandular cells:
20

Smooth muscle cells:
15

Other cell types:
65


COLON - GTEx RNA-seqi

RNA-Seq data generated by the Genotype-Tissue Expression (GTEx) project from human tissues is reported as mean nTPM. More information can be found on the GTEx portal.

Distribution across the dataset is visualized with box plots, shown as median and 25th and 75th percentiles. Points are displayed as outliers if they are above or below 1.5 times the interquartile range. nTPM values of the individual samples are presented next to the box plot.
Max subtype nTPMi

Max subtype nTPM is the value for the subtype with the largest average nTPM across the subtype samples.

246.5
GTEx sample id Sample description nTPM
Colon - Sigmoid
Average nTPM: 246.5
Samples: 373

Max nTPM: 494.0
Min nTPM: 127.2
Std nTPM: 53.5
Median nTPM: 241.2
GTEX-11EQ8-2626-SM-5N9BO 60-69 years, male 494.0
GTEX-WHSE-2726-SM-EZ6ML 20-29 years, male 469.9
GTEX-1A3MX-2326-SM-718B4 60-69 years, male 452.9
GTEX-13OVJ-1826-SM-5KM2D 50-59 years, female 412.2
GTEX-15ER7-2826-SM-6PAN2 20-29 years, female 412.0
GTEX-15RJ7-1726-SM-6PAL3 40-49 years, male 398.8
GTEX-1RLM8-1726-SM-E9TKF 50-59 years, male 390.9
GTEX-11TT1-0926-SM-5GU5M 20-29 years, male 386.9
GTEX-ZTSS-1226-SM-51MSZ 40-49 years, male 386.8
GTEX-15RIE-2026-SM-7KFRW 60-69 years, male 372.1
GTEX-12WSG-2426-SM-5EQLZ 50-59 years, female 364.8
GTEX-13PVR-1726-SM-5Q5EC 60-69 years, female 363.8
GTEX-144GM-1126-SM-79OJK 20-29 years, male 362.4
GTEX-1QP2A-2226-SM-DTXF6 50-59 years, male 360.3
GTEX-ZDTS-2726-SM-5L3E2 60-69 years, male 357.7
GTEX-183WM-2526-SM-731BP 70-79 years, female 354.6
GTEX-16Z82-2426-SM-7KUMS 60-69 years, male 350.6
GTEX-1HBPH-2526-SM-ACKXK 40-49 years, female 346.7
GTEX-1EU9M-2726-SM-7P8QD 60-69 years, male 338.0
GTEX-1N2EF-1726-SM-EXUSI 60-69 years, male 338.0
GTEX-YF7O-1626-SM-5IFII 50-59 years, male 337.3
GTEX-11P7K-1826-SM-5HL5A 30-39 years, male 333.3
GTEX-1S5ZA-1426-SM-E6CJQ 20-29 years, male 329.6
GTEX-1I1CD-2826-SM-A9SL4 60-69 years, female 329.4
GTEX-1IL2U-2526-SM-C1YQV 60-69 years, male 329.1
GTEX-ZYFD-2226-SM-5E43P 50-59 years, male 327.9
GTEX-13SLW-2826-SM-5Q5ES 70-79 years, male 326.0
GTEX-11P81-1426-SM-5P9JN 30-39 years, female 325.8
GTEX-17EUY-1726-SM-79OK4 20-29 years, male 325.8
GTEX-13X6I-2726-SM-5Q5ET 60-69 years, male 323.9
GTEX-1J1R8-1426-SM-CL55O 40-49 years, male 322.7
GTEX-148VJ-2426-SM-5NQ9Y 70-79 years, male 318.0
GTEX-17KNJ-1826-SM-7LT9N 50-59 years, male 314.4
GTEX-WY7C-1926-SM-4ONCI 50-59 years, male 314.1
GTEX-15DZA-1026-SM-6PAND 30-39 years, female 312.5
GTEX-ZTTD-2626-SM-57WEX 50-59 years, male 312.4
GTEX-WI4N-2226-SM-4OOS9 40-49 years, female 310.4
GTEX-15F5U-1426-SM-7KUN2 40-49 years, male 308.9
GTEX-1P4AB-2626-SM-DTXEU 50-59 years, male 308.4
GTEX-145LS-2926-SM-5O99G 60-69 years, female 307.7
GTEX-1LKK1-2426-SM-DIPES 50-59 years, female 307.2
GTEX-16NGA-0926-SM-718AG 40-49 years, female 304.5
GTEX-WFON-1326-SM-4LVMN 40-49 years, male 303.5
GTEX-1K9T9-2926-SM-E9TKD 50-59 years, female 303.0
GTEX-1LVAN-2626-SM-CNPQF 50-59 years, female 302.8
GTEX-14E1K-1626-SM-664MO 50-59 years, male 301.0
GTEX-13111-1926-SM-5GCOL 50-59 years, male 300.4
GTEX-1PBJJ-2026-SM-DTX8U 30-39 years, male 299.3
GTEX-ZVT2-1726-SM-51MRO 50-59 years, female 299.2
GTEX-14JG6-1626-SM-5YYBC 30-39 years, female 298.8
GTEX-1PIEJ-1826-SM-EWRMN 20-29 years, female 298.4
GTEX-YEC3-2026-SM-DKPOL 50-59 years, male 297.5
GTEX-ZT9W-1726-SM-51MS3 50-59 years, male 297.0
GTEX-1PBJI-2526-SM-E6CP4 20-29 years, female 296.7
GTEX-1AX9J-2526-SM-73KUY 60-69 years, male 296.6
GTEX-1H3VE-2326-SM-9KNVU 40-49 years, male 295.4
GTEX-1LGRB-2026-SM-COH47 50-59 years, female 295.4
GTEX-11EM3-1626-SM-5N9CO 20-29 years, female 295.1
GTEX-132AR-2826-SM-5IJFV 50-59 years, female 293.9
GTEX-1399U-2226-SM-5KLZI 50-59 years, female 293.1
GTEX-1HBPM-2626-SM-9WYU5 60-69 years, female 292.7
GTEX-ZXES-1726-SM-5E43G 30-39 years, female 292.3
GTEX-14AS3-1026-SM-5TDD7 40-49 years, female 292.1
GTEX-14C39-1626-SM-5S2P4 40-49 years, male 290.6
GTEX-1K2DA-1626-SM-CGQGB 50-59 years, male 289.8
GTEX-YJ8A-1726-SM-5P9IQ 20-29 years, male 289.2
GTEX-1QPFJ-2426-SM-EVR3L 30-39 years, female 288.9
GTEX-132NY-2726-SM-5PNY2 60-69 years, male 288.0
GTEX-ZA64-1426-SM-5CVMC 20-29 years, male 288.0
GTEX-111CU-1226-SM-5EGIN 50-59 years, male 287.7
GTEX-13D11-0626-SM-5LZYY 50-59 years, female 286.4
GTEX-XXEK-1826-SM-4BRVC 50-59 years, male 285.3
GTEX-13O1R-2426-SM-5KLZZ 60-69 years, male 284.5
GTEX-1LSVX-2026-SM-E9TJD 60-69 years, male 283.7
GTEX-1GMR8-2926-SM-9KNW5 50-59 years, female 283.4
GTEX-15RIF-1426-SM-7KUKQ 20-29 years, male 282.9
GTEX-ZLV1-1326-SM-DO11Q 60-69 years, female 282.4
GTEX-13U4I-2626-SM-5SI9C 40-49 years, female 281.2
GTEX-12WSL-1826-SM-5LZW9 50-59 years, male 280.9
GTEX-1B932-2126-SM-7IGMU 40-49 years, female 280.8
GTEX-1LSNL-1626-SM-E9TJY 50-59 years, male 280.8
GTEX-1S831-1726-SM-EWROJ 20-29 years, male 280.6
GTEX-13RTJ-1926-SM-5YYA2 60-69 years, male 280.0
GTEX-1RMOY-1726-SM-EVYC9 50-59 years, male 279.7
GTEX-1RDX4-1926-SM-E6CJJ 50-59 years, female 279.4
GTEX-YFCO-1526-SM-5YYB8 40-49 years, male 279.3
GTEX-111YS-1826-SM-5GIEP 60-69 years, male 277.4
GTEX-1GTWX-2626-SM-9WPOT 60-69 years, male 277.4
GTEX-WRHK-1126-SM-4MVOJ 20-29 years, female 277.0
GTEX-14C5O-2626-SM-5RQI5 60-69 years, male 276.8
GTEX-14E6C-2226-SM-5QGQG 40-49 years, male 276.8
GTEX-1EMGI-2626-SM-7IGNR 60-69 years, male 275.9
GTEX-1R9PO-2026-SM-E9J4N 60-69 years, female 275.6
GTEX-1N2DV-1826-SM-E6CJ5 40-49 years, male 275.1
GTEX-1CB4F-1926-SM-7MKFN 60-69 years, male 274.5
GTEX-11I78-1326-SM-5PNY9 50-59 years, female 274.4
GTEX-16XZZ-2726-SM-7EWDO 60-69 years, male 273.1
GTEX-1HB9E-2526-SM-D4P35 50-59 years, male 272.8
GTEX-14PJ4-1826-SM-5YY97 60-69 years, male 272.4
GTEX-1LVAO-2826-SM-E9TJH 60-69 years, male 272.1
GTEX-1C6VQ-2626-SM-7IGMQ 50-59 years, male 271.8
GTEX-1399R-2126-SM-5K7WZ 30-39 years, male 271.4
GTEX-1CAMS-2626-SM-7PBY3 40-49 years, female 270.9
GTEX-1QP67-1426-SM-E8VOO 40-49 years, female 270.6
GTEX-15ETS-2326-SM-7KUGC 40-49 years, female 270.1
GTEX-11PRG-2026-SM-5GU5F 50-59 years, male 270.0
GTEX-1JKYR-2026-SM-CNPON 20-29 years, male 269.8
GTEX-1BAJH-2726-SM-7IGNJ 70-79 years, male 268.6
GTEX-14PN3-1926-SM-6EU1Y 60-69 years, female 268.5
GTEX-145ME-1126-SM-5SIAT 40-49 years, female 268.2
GTEX-11TUW-2326-SM-5EQMO 60-69 years, male 268.1
GTEX-131XE-1026-SM-5EGKE 50-59 years, male 267.4
GTEX-1KXAM-1926-SM-D3LAG 60-69 years, male 267.3
GTEX-1HBPI-2226-SM-9WYTY 50-59 years, male 266.9
GTEX-1HCU6-2926-SM-B2LWV 60-69 years, female 266.9
GTEX-15G1A-1926-SM-7KUFF 30-39 years, male 266.8
GTEX-ZZ64-0826-SM-5E449 20-29 years, male 266.0
GTEX-X4EO-2726-SM-4E3HS 60-69 years, female 265.5
GTEX-1CAMR-1026-SM-7P8QI 20-29 years, male 264.9
GTEX-ZYY3-2226-SM-5E45A 60-69 years, female 264.4
GTEX-17MFQ-1226-SM-7KFSA 20-29 years, male 264.3
GTEX-ZLFU-1426-SM-4WWEU 40-49 years, male 263.8
GTEX-1GN73-2726-SM-9WYUB 60-69 years, male 263.7
GTEX-1I1GP-2826-SM-A9SKZ 50-59 years, male 262.8
GTEX-15RJE-2226-SM-6M46A 40-49 years, male 262.5
GTEX-WFG7-1626-SM-4LVMF 20-29 years, male 262.0
GTEX-1B996-2726-SM-7DUGG 60-69 years, male 261.8
GTEX-1JKYN-2226-SM-ARZNE 30-39 years, male 260.2
GTEX-17HG3-1126-SM-7DUFC 30-39 years, female 260.1
GTEX-1J1OQ-2826-SM-D3L88 40-49 years, female 260.1
GTEX-13OVK-1026-SM-7KFTC 40-49 years, male 259.5
GTEX-18A67-2226-SM-7LT9Z 50-59 years, male 259.3
GTEX-18A6Q-2226-SM-7LG61 60-69 years, male 259.2
GTEX-13X6K-2726-SM-5O9DG 60-69 years, female 258.5
GTEX-1GMR3-2526-SM-7P8QS 40-49 years, male 258.4
GTEX-ZAB4-2426-SM-5HL8A 40-49 years, male 257.3
GTEX-1HCU7-2726-SM-A9G3D 50-59 years, male 257.3
GTEX-ZE7O-2626-SM-51MSS 50-59 years, female 256.7
GTEX-1F5PK-1726-SM-7RHHW 50-59 years, male 256.6
GTEX-17JCI-2826-SM-7IGNA 60-69 years, female 256.5
GTEX-1JK1U-1426-SM-CNPOW 60-69 years, male 256.1
GTEX-16BQI-2026-SM-7KULQ 30-39 years, female 255.9
GTEX-15DYW-2426-SM-7KUG8 60-69 years, female 255.4
GTEX-1R9K5-2226-SM-DTX9G 50-59 years, male 254.8
GTEX-14A5H-1626-SM-5SIAN 60-69 years, male 254.7
GTEX-Y114-1626-SM-4TT7I 50-59 years, female 254.6
GTEX-14DAQ-2926-SM-664MV 60-69 years, female 254.0
GTEX-1QCLY-2026-SM-EVR4C 30-39 years, male 253.8
GTEX-1B8L1-1926-SM-7IGND 60-69 years, male 253.7
GTEX-ZQG8-2426-SM-57WEE 60-69 years, female 253.4
GTEX-XAJ8-0726-SM-47JY5 40-49 years, male 253.2
GTEX-11ZTT-1626-SM-5EQKR 60-69 years, female 252.8
GTEX-12ZZW-2426-SM-5DUWE 50-59 years, male 252.8
GTEX-1AMFI-1826-SM-73KWB 50-59 years, female 251.6
GTEX-139T6-1426-SM-5P9J7 50-59 years, male 251.1
GTEX-1PIGE-1526-SM-DTXFC 20-29 years, male 250.6
GTEX-ZPCL-1626-SM-57WGC 60-69 years, female 250.5
GTEX-131XG-1526-SM-5GCNQ 50-59 years, female 250.1
GTEX-16MTA-1626-SM-6M47N 50-59 years, male 249.1
GTEX-1JMQJ-2626-SM-CY8HQ 50-59 years, male 249.1
GTEX-ZAB5-1426-SM-5HL9D 50-59 years, male 249.0
GTEX-1IDJI-2226-SM-CKZPM 50-59 years, female 248.8
GTEX-1H3VY-2526-SM-9KNW1 50-59 years, male 248.7
GTEX-1H3NZ-2526-SM-9KNVO 60-69 years, male 248.5
GTEX-11EQ9-1526-SM-5PNY7 30-39 years, male 248.3
GTEX-ZF2S-1826-SM-4WKFF 50-59 years, female 247.8
GTEX-11DXX-1926-SM-5EGJK 60-69 years, female 247.6
GTEX-11ZU8-1126-SM-5EQ5K 60-69 years, male 247.3
GTEX-1CB4G-2726-SM-79OO4 60-69 years, male 246.6
GTEX-1C475-1526-SM-7DHM3 40-49 years, female 246.3
GTEX-1211K-1826-SM-5EGJ2 60-69 years, female 246.2
GTEX-ZF28-2526-SM-57WFH 60-69 years, male 246.2
GTEX-ZY6K-1326-SM-5GZWP 50-59 years, male 245.9
GTEX-117YX-0526-SM-5EGJH 50-59 years, male 245.5
GTEX-11EMC-1426-SM-5N9E4 60-69 years, female 244.5
GTEX-1F75W-2126-SM-7RHIA 60-69 years, male 243.8
GTEX-1QP29-2526-SM-E6CQ3 50-59 years, male 243.8
GTEX-13FHO-2726-SM-5K7VG 60-69 years, male 243.7
GTEX-1MGNQ-2126-SM-EV7AC 40-49 years, male 243.7
GTEX-1B97I-1526-SM-73KUK 40-49 years, male 243.5
GTEX-13O61-1526-SM-5KM3P 60-69 years, male 243.3
GTEX-1PPH8-2226-SM-EWRN7 20-29 years, male 242.6
GTEX-WXYG-1726-SM-4ONCU 50-59 years, female 241.7
GTEX-WHPG-1626-SM-4M1ZL 50-59 years, male 241.5
GTEX-ZLWG-1826-SM-DO11I 50-59 years, female 241.5
GTEX-1QW4Y-1426-SM-E76P3 30-39 years, male 241.3
GTEX-ZPU1-1726-SM-4WWFV 40-49 years, male 241.2
GTEX-145LT-0826-SM-5S2QL 40-49 years, male 241.1
GTEX-1GF9X-1426-SM-7RHGX 40-49 years, female 241.0
GTEX-XV7Q-2226-SM-4BRVY 40-49 years, female 240.7
GTEX-ZVT4-2626-SM-5N9GJ 50-59 years, female 240.5
GTEX-1RAZR-2026-SM-E9TKE 40-49 years, male 240.5
GTEX-14A5I-2426-SM-5Q5CP 50-59 years, female 240.2
GTEX-17F96-2126-SM-7KFSM 70-79 years, male 240.2
GTEX-12ZZY-2726-SM-5EQ45 60-69 years, male 239.9
GTEX-11VI4-1426-SM-5GU6O 40-49 years, female 238.3
GTEX-14PK6-1826-SM-69LOM 70-79 years, female 237.4
GTEX-XUZC-1526-SM-4BRV4 30-39 years, female 236.9
GTEX-1GPI7-1926-SM-9KNUH 20-29 years, male 236.4
GTEX-1ICG6-2226-SM-B2LY7 70-79 years, female 236.3
GTEX-1E2YA-2526-SM-7IGOU 50-59 years, male 236.0
GTEX-1H23P-2626-SM-9KNVN 60-69 years, male 235.1
GTEX-ZE9C-2126-SM-4WKGY 60-69 years, male 234.9
GTEX-1LBAC-1726-SM-D3L9W 20-29 years, male 234.9
GTEX-1122O-1426-SM-5H11R 60-69 years, female 234.6
GTEX-13PL7-2426-SM-5J2N3 60-69 years, female 234.4
GTEX-1AX9K-1626-SM-73KUS 50-59 years, male 234.4
GTEX-ZYT6-2826-SM-5GICX 30-39 years, male 233.6
GTEX-147JS-2626-SM-5S2UX 60-69 years, male 233.5
GTEX-12WSD-2626-SM-5EGJE 60-69 years, female 233.3
GTEX-WHWD-1526-SM-4OORV 50-59 years, male 232.6
GTEX-1I6K6-1926-SM-A96SN 30-39 years, male 232.4
GTEX-13CF3-1326-SM-5LZXZ 60-69 years, female 231.8
GTEX-1PDJ9-2026-SM-E76PT 20-29 years, male 231.8
GTEX-139UW-2326-SM-5KM1Y 60-69 years, male 231.7
GTEX-14PHX-1126-SM-5YYA5 50-59 years, male 230.5
GTEX-13G51-2126-SM-5IJD9 60-69 years, male 229.6
GTEX-1JJEA-2526-SM-CY8HJ 60-69 years, male 229.3
GTEX-14E6E-1726-SM-5S2R6 30-39 years, male 229.2
GTEX-139D8-2926-SM-5IJBM 30-39 years, female 228.2
GTEX-146FH-2426-SM-5Q5EW 50-59 years, female 227.7
GTEX-1AYCT-1926-SM-793AE 50-59 years, male 227.7
GTEX-Y3I4-1126-SM-4TT7Y 50-59 years, male 227.5
GTEX-1RAZQ-2026-SM-E76P7 30-39 years, male 227.0
GTEX-1212Z-1826-SM-5FQSH 60-69 years, male 226.8
GTEX-1HSKV-2326-SM-A9SL9 60-69 years, male 226.2
GTEX-12696-1926-SM-5EGJT 60-69 years, male 225.7
GTEX-147GR-2826-SM-5RQK8 60-69 years, male 225.7
GTEX-11EI6-2626-SM-5PNVT 60-69 years, male 225.4
GTEX-1F5PL-1926-SM-7MXTP 40-49 years, female 224.9
GTEX-X15G-1526-SM-4PQZM 50-59 years, female 224.5
GTEX-11DXZ-1626-SM-5GIDI 50-59 years, male 224.4
GTEX-1I1GR-2226-SM-ARL7F 60-69 years, male 224.3
GTEX-1J8JJ-2426-SM-D4P4A 60-69 years, female 224.2
GTEX-1477Z-2126-SM-5Q5CM 60-69 years, male 223.8
GTEX-145MO-2626-SM-5QGPD 60-69 years, male 223.5
GTEX-WQUQ-2626-SM-4MVNP 60-69 years, male 223.5
GTEX-1A3MV-1026-SM-72D5U 30-39 years, male 223.2
GTEX-13QBU-2026-SM-5KLZB 40-49 years, female 223.0
GTEX-ZV6S-1126-SM-57WE9 40-49 years, female 223.0
GTEX-15UF6-2726-SM-7KULY 70-79 years, female 222.6
GTEX-ZAJG-2626-SM-5S2NU 50-59 years, female 222.2
GTEX-13FH7-1626-SM-5J2O9 50-59 years, female 222.1
GTEX-1GMRU-2626-SM-9WPPM 50-59 years, male 222.1
GTEX-1HSMO-2526-SM-A9SKP 60-69 years, male 222.0
GTEX-13PVQ-2726-SM-5L3H7 50-59 years, male 221.9
GTEX-18A66-2626-SM-72D67 60-69 years, male 221.5
GTEX-1A32A-2626-SM-73KX9 50-59 years, female 221.5
GTEX-12KS4-2326-SM-5EGJB 30-39 years, male 221.2
GTEX-1QP28-2226-SM-DTX8C 50-59 years, female 221.0
GTEX-11GS4-1826-SM-5HL4T 60-69 years, male 220.2
GTEX-1H1ZS-2626-SM-9QEIX 70-79 years, male 220.2
GTEX-131YS-2926-SM-5EGKI 60-69 years, female 220.1
GTEX-1IKOE-2126-SM-A96T5 30-39 years, female 219.8
GTEX-18465-2726-SM-7LT9I 50-59 years, male 219.7
GTEX-1J8QM-1226-SM-CY8HI 60-69 years, female 219.7
GTEX-1GMR2-1826-SM-9KNUP 50-59 years, male 219.0
GTEX-18QFQ-1726-SM-731C9 30-39 years, male 218.9
GTEX-13FTW-2126-SM-5K7YG 40-49 years, male 218.8
GTEX-12WSM-1426-SM-5GCPA 60-69 years, male 218.4
GTEX-1HSGN-2226-SM-A9SL6 40-49 years, female 217.1
GTEX-15UF7-1326-SM-7KUKV 40-49 years, male 216.5
GTEX-14BMU-1326-SM-5RQIH 20-29 years, female 216.2
GTEX-ZVZQ-2626-SM-59HLB 60-69 years, female 216.1
GTEX-1HCUA-1926-SM-B2LWE 50-59 years, female 215.8
GTEX-1HSEH-1926-SM-A96SB 60-69 years, male 215.5
GTEX-117XS-2226-SM-5GIE1 60-69 years, male 215.4
GTEX-1LG7Y-2226-SM-E9U5K 50-59 years, male 215.2
GTEX-1QP9N-0826-SM-DTX9O 30-39 years, male 215.1
GTEX-ZYFG-1826-SM-5GZWX 60-69 years, female 215.0
GTEX-1OFPY-1226-SM-E76OM 60-69 years, male 214.2
GTEX-1KANA-1726-SM-CY8IG 20-29 years, male 214.0
GTEX-ZC5H-2426-SM-4WAZ6 40-49 years, female 213.7
GTEX-1LG7Z-1326-SM-DIPF3 30-39 years, male 213.6
GTEX-17HHE-1626-SM-7DHLN 50-59 years, male 213.5
GTEX-YECK-2826-SM-5IFHF 60-69 years, male 213.2
GTEX-13OVI-2126-SM-5KM3U 60-69 years, female 213.1
GTEX-13OW5-2826-SM-5KM1G 60-69 years, male 212.8
GTEX-18D9A-1326-SM-7LT8P 30-39 years, female 212.3
GTEX-Y8LW-1126-SM-4VDS4 50-59 years, female 211.7
GTEX-1RQEC-2626-SM-EVR3Z 60-69 years, male 210.4
GTEX-1JMPY-1026-SM-ARZN1 30-39 years, male 210.0
GTEX-12BJ1-2026-SM-5FQUH 60-69 years, male 209.7
GTEX-17F9Y-2626-SM-7IGN9 70-79 years, female 209.7
GTEX-WFG8-1726-SM-4LVM6 20-29 years, male 209.4
GTEX-1JMPZ-2626-SM-ARU8Z 30-39 years, male 209.1
GTEX-1HSMQ-2526-SM-A9SMK 50-59 years, male 208.8
GTEX-ZP4G-1526-SM-57WE5 20-29 years, female 207.9
GTEX-WYVS-1126-SM-4SOJX 40-49 years, female 207.7
GTEX-1LGOU-1726-SM-D3L8P 20-29 years, female 206.9
GTEX-1QCLZ-2026-SM-EAZ4A 60-69 years, female 206.7
GTEX-1GZ4H-1326-SM-7P8TE 50-59 years, female 206.5
GTEX-1EH9U-1926-SM-7P8QM 60-69 years, male 206.2
GTEX-183FY-1426-SM-7DHLM 20-29 years, male 205.5
GTEX-15EO6-2326-SM-6LPKK 50-59 years, male 205.3
GTEX-Z93S-2626-SM-57WBX 50-59 years, male 205.1
GTEX-14PKV-1926-SM-686YU 20-29 years, female 204.6
GTEX-15CHQ-2626-SM-686YZ 60-69 years, male 204.6
GTEX-13VXT-2026-SM-5L3EW 20-29 years, female 204.1
GTEX-ZPIC-2626-SM-57WE2 40-49 years, female 203.6
GTEX-1LVAM-1726-SM-DHXKQ 50-59 years, female 203.6
GTEX-1S82P-2026-SM-E9TIQ 60-69 years, female 203.3
GTEX-17GQL-1626-SM-7LG69 60-69 years, male 203.0
GTEX-1JMQK-2326-SM-ARZN4 60-69 years, male 201.4
GTEX-1R9JW-2126-SM-E76QT 30-39 years, female 200.5
GTEX-1HFI7-1626-SM-9WYTR 50-59 years, female 200.3
GTEX-14PJ3-1226-SM-5ZZVY 50-59 years, male 200.0
GTEX-XQ8I-2326-SM-4BOQC 50-59 years, male 199.9
GTEX-ZQUD-1026-SM-4YCEZ 30-39 years, male 199.9
GTEX-1IDJH-2826-SM-CJI49 70-79 years, male 198.3
GTEX-ZF29-1826-SM-4WKG8 60-69 years, female 198.2
GTEX-1LB8K-2526-SM-DIPEQ 50-59 years, male 197.9
GTEX-13OW6-2226-SM-5N9FL 50-59 years, male 197.8
GTEX-1R7EU-1826-SM-DTX9L 60-69 years, male 197.0
GTEX-13N2G-2226-SM-5IJCU 60-69 years, male 196.7
GTEX-14BIN-2426-SM-5TDCF 50-59 years, female 196.3
GTEX-1B8KE-1526-SM-7DUG2 50-59 years, male 196.1
GTEX-1LSNM-1426-SM-E6CIH 50-59 years, male 195.9
GTEX-1J8EW-2426-SM-CE6T5 60-69 years, female 195.6
GTEX-139TS-2226-SM-5J2N1 60-69 years, male 194.7
GTEX-1H1E6-1826-SM-A9G21 30-39 years, male 194.0
GTEX-1I1GT-2026-SM-CKZPK 60-69 years, female 194.0
GTEX-13X6J-2826-SM-7EPGA 50-59 years, male 193.5
GTEX-15G19-2726-SM-6LPKG 60-69 years, male 192.1
GTEX-YJ8O-1426-SM-5PNV9 40-49 years, female 191.8
GTEX-ZG7Y-1826-SM-4WWD3 50-59 years, male 191.4
GTEX-1J8Q3-2426-SM-CL53S 60-69 years, male 190.4
GTEX-1L5NE-1926-SM-D3L9R 50-59 years, male 189.9
GTEX-12ZZX-2726-SM-5N9FT 40-49 years, female 189.6
GTEX-XBED-1726-SM-47JYO 60-69 years, male 189.2
GTEX-1JJE9-2526-SM-ARU8K 70-79 years, male 188.5
GTEX-17HGU-2626-SM-79OKN 50-59 years, male 188.3
GTEX-1IDJU-1926-SM-CL53W 60-69 years, female 188.2
GTEX-1C4CL-1626-SM-7DUF3 30-39 years, male 187.4
GTEX-XUW1-1826-SM-4BOQD 50-59 years, female 187.4
GTEX-ZVT3-2826-SM-5GU6A 60-69 years, female 186.1
GTEX-1JN76-1326-SM-ARU94 20-29 years, female 184.4
GTEX-1PIIG-2126-SM-EXUSD 30-39 years, male 184.4
GTEX-V955-1726-SM-4JBHF 60-69 years, male 184.2
GTEX-Y5LM-1426-SM-5RQJL 40-49 years, female 184.1
GTEX-1HBPN-2026-SM-B2LWA 50-59 years, male 183.1
GTEX-1HKZK-2026-SM-9WYUF 40-49 years, male 182.9
GTEX-1C2JI-1726-SM-73KUW 50-59 years, male 182.7
GTEX-15FZZ-1826-SM-6LLJP 30-39 years, female 182.2
GTEX-1JMLX-2526-SM-CY8HX 50-59 years, male 182.2
GTEX-1H1DE-1626-SM-9KNU5 20-29 years, male 181.7
GTEX-13OW8-2726-SM-5L3FZ 60-69 years, male 181.3
GTEX-12WSJ-1426-SM-5GCON 40-49 years, female 180.7
GTEX-1HCVE-2326-SM-9WYUD 50-59 years, male 178.7
GTEX-1GL5R-1726-SM-9KNUX 50-59 years, male 177.5
GTEX-1339X-1726-SM-5P9J9 40-49 years, male 176.9
GTEX-Y8E4-2326-SM-EAZAZ 40-49 years, male 175.3
GTEX-13CF2-1826-SM-5N9GK 60-69 years, male 175.0
GTEX-1C64N-2226-SM-7SB7C 50-59 years, male 175.0
GTEX-WOFM-1926-SM-4OOSP 20-29 years, male 174.9
GTEX-1JN6P-2126-SM-ARL98 60-69 years, male 172.6
GTEX-1AMEY-1826-SM-72D5L 30-39 years, female 171.1
GTEX-11DXY-2026-SM-5N9CZ 60-69 years, male 168.4
GTEX-Y9LG-1326-SM-4VBQB 30-39 years, male 166.0
GTEX-W5WG-2026-SM-4LMIB 50-59 years, female 165.3
GTEX-Y5V6-1626-SM-4VDT2 60-69 years, male 163.2
GTEX-11ZTS-1526-SM-5N9G7 60-69 years, female 159.0
GTEX-WH7G-1426-SM-4LVMU 40-49 years, male 158.4
GTEX-1PFEY-1726-SM-DPRZ4 30-39 years, male 156.7
GTEX-145MH-2726-SM-5QGQ6 50-59 years, male 156.4
GTEX-1OJC3-1826-SM-DTX93 20-29 years, male 155.9
GTEX-WYJK-2326-SM-4ONDN 50-59 years, male 155.5
GTEX-1C64O-2426-SM-7P8R3 60-69 years, male 148.9
GTEX-11ONC-1926-SM-5GU75 60-69 years, male 147.3
GTEX-13113-1426-SM-5EGHU 60-69 years, female 144.4
GTEX-X5EB-1126-SM-46MVV 40-49 years, male 137.6
GTEX-VJYA-2126-SM-4KL1O 60-69 years, male 127.4
GTEX-13W3W-2226-SM-5LU4M 60-69 years, female 127.2
Show allShow less
Colon - Transverse
Average nTPM: 225.3
Samples: 406

Max nTPM: 687.8
Min nTPM: 111.8
Std nTPM: 74.2
Median nTPM: 210.3
GTEX-1N2EF-1926-SM-DTX8M 60-69 years, male 687.8
GTEX-13OVG-1426-SM-5K7VP 60-69 years, male 595.1
GTEX-1OKEX-1226-SM-DTXEC 60-69 years, male 558.3
GTEX-ZXES-1626-SM-5NQ7L 30-39 years, female 534.8
GTEX-11TT1-1026-SM-5PNW7 20-29 years, male 520.2
GTEX-ZYVF-2826-SM-5GIDK 50-59 years, female 508.8
GTEX-1PWST-2426-SM-EWRMP 70-79 years, male 498.2
GTEX-WVJS-2426-SM-EZ6LI 50-59 years, male 472.7
GTEX-1IOXB-2626-SM-CJI2N 50-59 years, male 450.7
GTEX-15UF6-2626-SM-6M466 70-79 years, female 405.1
GTEX-1ICLZ-2426-SM-CKZOD 60-69 years, male 402.9
GTEX-117YW-1826-SM-5PNY5 50-59 years, male 396.3
GTEX-1JN1M-2626-SM-CY8I3 60-69 years, female 392.9
GTEX-1LVAN-2526-SM-CNPPC 50-59 years, female 380.9
GTEX-13O3P-2326-SM-5KM55 50-59 years, male 380.8
GTEX-14E6E-1526-SM-5RQIG 30-39 years, male 371.6
GTEX-148VJ-2626-SM-5QGPI 70-79 years, male 353.2
GTEX-15SHU-2526-SM-6M47D 40-49 years, female 350.4
GTEX-12ZZZ-2426-SM-5GCNN 60-69 years, male 346.1
GTEX-17EVQ-1826-SM-7IGPH 70-79 years, male 344.5
GTEX-1AX9I-2626-SM-73KU5 60-69 years, male 341.4
GTEX-111CU-1426-SM-5GZYP 50-59 years, male 340.8
GTEX-R45C-2126-SM-EZ6KZ 60-69 years, female 337.2
GTEX-145ME-0826-SM-5O9AF 40-49 years, female 337.1
GTEX-1EMGI-2726-SM-7P8S4 60-69 years, male 335.7
GTEX-O5YT-1426-SM-3MJHC 20-29 years, male 332.7
GTEX-13W3W-2126-SM-5K7UX 60-69 years, female 330.2
GTEX-145LS-2726-SM-5Q5D8 60-69 years, female 329.0
GTEX-144GM-1226-SM-5LU52 20-29 years, male 328.9
GTEX-14E1K-1826-SM-793DT 50-59 years, male 328.9
GTEX-1HCU7-2626-SM-C1YQO 50-59 years, male 327.2
GTEX-11O72-2226-SM-5PNW2 40-49 years, male 325.0
GTEX-13O3O-2526-SM-5L3DR 60-69 years, female 323.4
GTEX-1R9K5-2126-SM-E8VN1 50-59 years, male 320.8
GTEX-14ICL-1226-SM-5S2RD 30-39 years, male 320.2
GTEX-11EQ9-1426-SM-5987G 30-39 years, male 319.9
GTEX-18A7B-2026-SM-72D71 70-79 years, male 319.3
GTEX-1IDJD-2226-SM-A96TD 30-39 years, male 316.9
GTEX-14JIY-3326-SM-6871E 60-69 years, male 311.1
GTEX-117YX-0826-SM-5H11J 50-59 years, male 310.2
GTEX-15DZA-0926-SM-69LQ3 30-39 years, female 310.2
GTEX-14XAO-2026-SM-69LOI 60-69 years, female 310.0
GTEX-15DYW-2326-SM-6PAMU 60-69 years, female 309.8
GTEX-SJXC-2226-SM-EVYAK 60-69 years, male 309.1
GTEX-1S5VW-2926-SM-E9U6H 60-69 years, male 306.2
GTEX-14PK6-1726-SM-6871J 70-79 years, female 303.7
GTEX-13CF3-1426-SM-5K7YY 60-69 years, female 302.1
GTEX-111VG-2226-SM-5N9DU 60-69 years, male 301.9
GTEX-13OVI-2026-SM-5J1MU 60-69 years, female 301.8
GTEX-1HCU6-2726-SM-A9SKV 60-69 years, female 301.2
GTEX-1IKK5-2726-SM-CNPQ6 60-69 years, male 300.8
GTEX-14C5O-2526-SM-73KU2 60-69 years, male 300.1
GTEX-16XZZ-2626-SM-6M47S 60-69 years, male 296.2
GTEX-OXRN-2026-SM-E6CHK 50-59 years, male 295.7
GTEX-1I1GT-1926-SM-ARU7D 60-69 years, female 293.1
GTEX-1GN73-2626-SM-9KNUQ 60-69 years, male 292.3
GTEX-OXRO-0726-SM-E9U4C 60-69 years, female 292.3
GTEX-XAJ8-0426-SM-47JYJ 40-49 years, male 292.1
GTEX-17F96-2026-SM-79ON4 70-79 years, male 291.1
GTEX-14AS3-1126-SM-5Q5CR 40-49 years, female 290.6
GTEX-1JJ6O-2426-SM-ARU8J 60-69 years, male 290.3
GTEX-1AMEY-1926-SM-73KVT 30-39 years, female 290.2
GTEX-15CHQ-2526-SM-6EU24 60-69 years, male 289.9
GTEX-U412-1726-SM-EZ6KX 60-69 years, male 287.9
GTEX-111YS-1626-SM-5GZZ9 60-69 years, male 287.6
GTEX-14H4A-1926-SM-5ZZWN 40-49 years, female 287.4
GTEX-ZF29-1726-SM-4WKFV 60-69 years, female 283.5
GTEX-1AX8Z-2726-SM-73KUC 60-69 years, male 282.3
GTEX-1F75B-2726-SM-7P8QO 50-59 years, male 280.9
GTEX-14BMV-2426-SM-5S2PP 50-59 years, male 280.6
GTEX-1RMOY-1626-SM-EVYC8 50-59 years, male 279.2
GTEX-1RAZQ-2126-SM-DTX9V 30-39 years, male 278.6
GTEX-1J1OQ-2726-SM-AHZ3R 40-49 years, female 277.2
GTEX-14DAQ-2726-SM-5S2QY 60-69 years, female 275.7
GTEX-1A3MV-1126-SM-718BS 30-39 years, male 274.9
GTEX-17JCI-2626-SM-7EWE6 60-69 years, female 274.4
GTEX-1C6VQ-2726-SM-73KUL 50-59 years, male 274.1
GTEX-11TTK-2426-SM-5PNYO 60-69 years, female 273.7
GTEX-1MCC2-1626-SM-DIPEW 30-39 years, female 273.2
GTEX-1CB4F-2026-SM-79OLU 60-69 years, male 272.5
GTEX-1EH9U-2026-SM-7PBYS 60-69 years, male 272.5
GTEX-17MF6-2426-SM-7LTAM 40-49 years, male 271.7
GTEX-145MO-2426-SM-5NQ9W 60-69 years, male 271.3
GTEX-1JJE9-2426-SM-D3L8T 70-79 years, male 271.0
GTEX-1H1DG-2226-SM-9WPPC 70-79 years, male 270.5
GTEX-1HSMP-2326-SM-D3L8R 70-79 years, male 270.5
GTEX-UJHI-1126-SM-4IHLN 50-59 years, female 270.4
GTEX-1339X-1626-SM-5IJDN 40-49 years, male 267.6
GTEX-1399R-2226-SM-5P9JB 30-39 years, male 265.9
GTEX-12WSL-1626-SM-5GCMU 50-59 years, male 265.3
GTEX-13X6H-1926-SM-7EWD3 50-59 years, female 263.1
GTEX-1B932-2826-SM-73KUD 40-49 years, female 263.1
GTEX-WY7C-1626-SM-4ONC8 50-59 years, male 263.1
GTEX-144GL-2526-SM-5TDDL 50-59 years, male 262.5
GTEX-S341-1426-SM-4AD6U 40-49 years, female 262.1
GTEX-13OVJ-1726-SM-5IJDZ 50-59 years, female 261.6
GTEX-1B996-2626-SM-73KZ1 60-69 years, male 261.4
GTEX-1CB4I-2226-SM-7P8SL 50-59 years, male 259.7
GTEX-17F98-1026-SM-7IGO8 40-49 years, female 259.2
GTEX-ZYFG-1926-SM-5GID5 60-69 years, female 258.2
GTEX-WEY5-1426-SM-4LMJ3 40-49 years, female 256.7
GTEX-1KXAM-2126-SM-CY8I9 60-69 years, male 255.8
GTEX-OXRL-1426-SM-3NM9E 50-59 years, male 255.7
GTEX-1K2DA-2026-SM-CGQGK 50-59 years, male 255.6
GTEX-1IDJC-1326-SM-CL53H 50-59 years, male 255.5
GTEX-Y8LW-1226-SM-4WWDP 50-59 years, female 255.2
GTEX-131XG-1826-SM-5LZV4 50-59 years, female 253.3
GTEX-T6MO-0826-SM-4DM51 40-49 years, female 252.9
GTEX-17KNJ-1726-SM-7LG6A 50-59 years, male 252.8
GTEX-ZT9W-1826-SM-51MQX 50-59 years, male 252.2
GTEX-Y3I4-1426-SM-4TT9C 50-59 years, male 251.0
GTEX-1GMR2-1726-SM-9JGI2 50-59 years, male 250.6
GTEX-1I4MK-1126-SM-B2LWS 50-59 years, female 249.9
GTEX-1NV5F-2226-SM-DTX8O 60-69 years, female 249.5
GTEX-16Z82-2226-SM-6LPJ7 60-69 years, male 249.3
GTEX-13FHP-2426-SM-5KLZ5 50-59 years, male 248.8
GTEX-1S82U-0726-SM-E9TKI 30-39 years, female 247.8
GTEX-14PJ3-0926-SM-69LQG 50-59 years, male 247.4
GTEX-18D9B-2526-SM-718BN 60-69 years, male 247.4
GTEX-11GSP-1626-SM-5986N 60-69 years, female 247.3
GTEX-13OW5-2626-SM-5MR3M 60-69 years, male 246.5
GTEX-11ZVC-2126-SM-5EGJ1 50-59 years, female 246.3
GTEX-PSDG-1826-SM-EAZ2S 50-59 years, male 245.5
GTEX-1PPGY-2826-SM-DTX9H 60-69 years, male 245.2
GTEX-TKQ1-0626-SM-4DXTS 30-39 years, male 243.7
GTEX-1C475-1626-SM-731FP 40-49 years, female 241.5
GTEX-11ONC-2026-SM-5HL61 60-69 years, male 241.4
GTEX-ZYFC-2626-SM-5NQ6S 50-59 years, male 241.3
GTEX-1CAMR-0926-SM-7MXTD 20-29 years, male 241.1
GTEX-ZDYS-2326-SM-4WKG6 50-59 years, male 240.3
GTEX-11P81-1126-SM-5GU5G 30-39 years, female 240.0
GTEX-S3XE-1126-SM-4AD4N 50-59 years, male 239.7
GTEX-Q734-1126-SM-48TZY 40-49 years, female 239.1
GTEX-1KANB-1526-SM-CXZK4 50-59 years, male 238.8
GTEX-13OVK-0826-SM-7KULZ 40-49 years, male 238.1
GTEX-XXEK-1926-SM-4BRVD 50-59 years, male 237.1
GTEX-11VI4-1526-SM-5EQKC 40-49 years, female 236.8
GTEX-13QJ3-2626-SM-9OSXQ 50-59 years, male 236.2
GTEX-X4EO-2526-SM-EWRM8 60-69 years, female 235.4
GTEX-1F5PL-2126-SM-7PC2O 40-49 years, female 234.7
GTEX-R55D-1826-SM-48FEF 50-59 years, male 234.3
GTEX-1122O-1526-SM-5N9CL 60-69 years, female 234.2
GTEX-1LH75-2126-SM-EVR5F 50-59 years, female 234.2
GTEX-1PIEJ-2026-SM-E6CPA 20-29 years, female 234.2
GTEX-15DCE-2026-SM-7KUFE 20-29 years, male 232.8
GTEX-QDVN-1326-SM-48TZ3 50-59 years, male 232.6
GTEX-1QPFJ-2326-SM-E6CR7 30-39 years, female 232.2
GTEX-17F9E-1826-SM-7IGMC 50-59 years, male 232.1
GTEX-15G1A-1826-SM-7KUKO 30-39 years, male 231.7
GTEX-1F5PK-1926-SM-7MXT7 50-59 years, male 230.1
GTEX-1BAJH-2326-SM-7IGMO 70-79 years, male 229.8
GTEX-13U4I-2426-SM-5LU34 40-49 years, female 228.5
GTEX-144GN-1126-SM-5LU33 50-59 years, male 228.1
GTEX-18QFQ-1526-SM-72D57 30-39 years, male 227.3
GTEX-1HCVE-2526-SM-A9G2G 50-59 years, male 226.2
GTEX-1QMI2-2626-SM-E6CR4 60-69 years, male 226.1
GTEX-1HFI7-1726-SM-A9G22 50-59 years, female 225.9
GTEX-ZG7Y-2126-SM-DO117 50-59 years, male 225.3
GTEX-1MA7W-0626-SM-EV79Z 20-29 years, female 224.6
GTEX-1IDJF-1826-SM-CKZOE 20-29 years, male 224.5
GTEX-1GZ4H-1226-SM-9KNUA 50-59 years, female 224.1
GTEX-ZPCL-1826-SM-57WF1 60-69 years, female 223.7
GTEX-ZV6S-1226-SM-59HLH 40-49 years, female 223.0
GTEX-18D9A-1126-SM-7KFRJ 30-39 years, female 222.9
GTEX-1GL5R-2426-SM-7MXV1 50-59 years, male 222.6
GTEX-Q2AI-0926-SM-48U1F 40-49 years, male 222.4
GTEX-Z93S-2426-SM-5HL8N 50-59 years, male 222.0
GTEX-18A7A-2226-SM-7LT8K 50-59 years, female 221.7
GTEX-1LGOU-1626-SM-D3LAK 20-29 years, female 221.3
GTEX-1LBAC-1626-SM-CXZKV 20-29 years, male 221.1
GTEX-PWCY-1026-SM-48TD4 20-29 years, female 220.4
GTEX-1LSVX-1726-SM-DHXJP 60-69 years, male 220.4
GTEX-14PHX-1526-SM-68717 50-59 years, male 220.3
GTEX-1JMPZ-2426-SM-C1YQP 30-39 years, male 220.3
GTEX-15CHC-1626-SM-5ZZWS 60-69 years, female 219.8
GTEX-13PL7-2526-SM-5IFGR 60-69 years, female 219.0
GTEX-1GZ4I-2426-SM-9WPPP 50-59 years, male 218.9
GTEX-1MUQO-2626-SM-EWRO3 60-69 years, male 218.8
GTEX-1MGNQ-2026-SM-EAZ51 40-49 years, male 218.5
GTEX-WYJK-2226-SM-4ONDJ 50-59 years, male 218.2
GTEX-14ICK-1026-SM-6AJA4 40-49 years, male 218.0
GTEX-12WSJ-1526-SM-5GCNI 40-49 years, female 217.8
GTEX-QLQ7-1126-SM-CYPRB 60-69 years, male 217.3
GTEX-1H1E6-1926-SM-9OSWD 30-39 years, male 216.9
GTEX-V955-1626-SM-4JBHJ 60-69 years, male 216.4
GTEX-1IGQW-2326-SM-CE6RV 60-69 years, male 215.4
GTEX-P4QT-1426-SM-3NMCX 50-59 years, female 215.3
GTEX-1AYD5-1726-SM-7RHFW 50-59 years, male 215.0
GTEX-OIZH-1426-SM-3NB1O 50-59 years, male 214.4
GTEX-ZDTT-1926-SM-5HL5W 60-69 years, male 214.4
GTEX-1399U-1926-SM-5IFH7 50-59 years, female 213.6
GTEX-13O61-1626-SM-5KM3T 60-69 years, male 213.5
GTEX-Y8E4-2426-SM-4WWDN 40-49 years, male 213.5
GTEX-16NPV-2626-SM-6M484 50-59 years, female 212.8
GTEX-1J1R8-1126-SM-CNPQ3 40-49 years, male 212.8
GTEX-1NHNU-2326-SM-E6CQE 50-59 years, male 212.3
GTEX-13FH7-1526-SM-5J2N6 50-59 years, female 211.8
GTEX-Y3IK-1826-SM-4WWDS 50-59 years, female 211.5
GTEX-ZGAY-2126-SM-4YCFB 40-49 years, female 211.4
GTEX-1POEN-2026-SM-E6CRL 30-39 years, female 211.3
GTEX-16NGA-1026-SM-7KFS3 40-49 years, female 211.0
GTEX-14BMU-1526-SM-5TDE6 20-29 years, female 210.6
GTEX-OHPM-1426-SM-3TW8Y 50-59 years, male 210.4
GTEX-14PJ5-0926-SM-6LLIK 60-69 years, female 210.2
GTEX-1GMR3-2826-SM-9WPOG 40-49 years, male 210.1
GTEX-Y114-1526-SM-4TT79 50-59 years, female 209.7
GTEX-16AAH-1326-SM-7KFRG 50-59 years, male 209.6
GTEX-13D11-0826-SM-5KLZJ 50-59 years, female 209.5
GTEX-1KANC-0926-SM-D3LA9 50-59 years, female 209.2
GTEX-1N5O9-2726-SM-E76QH 60-69 years, male 209.0
GTEX-ZY6K-1226-SM-5GZYL 50-59 years, male 208.2
GTEX-13PVR-1626-SM-73KVF 60-69 years, female 207.6
GTEX-1QW4Y-1326-SM-EWRMZ 30-39 years, male 207.6
GTEX-ZTSS-1126-SM-5985O 40-49 years, male 207.2
GTEX-11EM3-1526-SM-5A5KN 20-29 years, female 206.3
GTEX-Y5LM-1526-SM-4VDTA 40-49 years, female 206.0
GTEX-11TUW-2026-SM-5EQL8 60-69 years, male 205.6
GTEX-1IKOE-2026-SM-AHZ31 30-39 years, female 205.6
GTEX-ZLWG-1726-SM-DNZZ2 50-59 years, female 205.2
GTEX-RWS6-1826-SM-47JXX 60-69 years, female 204.9
GTEX-WFON-1426-SM-4LVMT 40-49 years, male 204.1
GTEX-XUZC-1326-SM-4BRV2 30-39 years, female 204.1
GTEX-1C64O-2326-SM-73KU8 60-69 years, male 203.8
GTEX-16MT8-2726-SM-7IGLJ 60-69 years, female 203.5
GTEX-11P7K-1526-SM-5EGI7 30-39 years, male 201.7
GTEX-WQUQ-2526-SM-4MVNO 60-69 years, male 201.7
GTEX-1GF9X-1526-SM-7P8QP 40-49 years, female 201.7
GTEX-ZVP2-1526-SM-5NQ82 50-59 years, male 200.4
GTEX-ZAB4-2226-SM-5HL97 40-49 years, male 200.3
GTEX-14PJM-2626-SM-686ZD 50-59 years, female 200.0
GTEX-17HII-2726-SM-7MGVM 50-59 years, male 199.9
GTEX-15RIF-1326-SM-6LPKO 20-29 years, male 199.6
GTEX-YEC4-1926-SM-5IFHJ 40-49 years, male 199.3
GTEX-1S3DN-1826-SM-EV79K 50-59 years, male 199.1
GTEX-13S86-1626-SM-5Q5C5 40-49 years, male 198.9
GTEX-1R9JW-2026-SM-EAZ4O 30-39 years, female 198.9
GTEX-T5JW-1126-SM-4DM5V 20-29 years, female 197.8
GTEX-ZZ64-0726-SM-5GZX4 20-29 years, male 197.5
GTEX-145LT-0926-SM-5LU9C 40-49 years, male 197.4
GTEX-147JS-2526-SM-5S2Q8 60-69 years, male 197.4
GTEX-1H11D-2626-SM-9JGH4 40-49 years, male 197.2
GTEX-1F75I-2426-SM-9WPOY 40-49 years, male 196.8
GTEX-ZPU1-1926-SM-57WDT 40-49 years, male 195.7
GTEX-QDVJ-1326-SM-48U1X 50-59 years, male 195.6
GTEX-XUW1-1926-SM-4BOP1 50-59 years, female 194.6
GTEX-145MN-1726-SM-5SIA6 30-39 years, male 194.0
GTEX-15RIE-1826-SM-6M48P 60-69 years, male 193.9
GTEX-132AR-2726-SM-5PNVN 50-59 years, female 193.3
GTEX-13O21-2426-SM-5MR4A 50-59 years, male 193.1
GTEX-1JKYN-2326-SM-CGQG7 30-39 years, male 192.5
GTEX-WOFM-2026-SM-4OOSQ 20-29 years, male 192.1
GTEX-1LG7Y-2126-SM-DIPER 50-59 years, male 192.1
GTEX-QCQG-1626-SM-48U26 50-59 years, female 191.8
GTEX-15SB6-1226-SM-7KUMP 50-59 years, female 191.1
GTEX-1AYCT-1826-SM-731EG 50-59 years, male 190.9
GTEX-SNOS-1226-SM-4DM5H 40-49 years, male 190.7
GTEX-14JG6-1726-SM-69LPL 30-39 years, female 190.2
GTEX-18D9U-1926-SM-7KFTM 40-49 years, male 190.1
GTEX-1C2JI-1626-SM-7EPHC 50-59 years, male 189.0
GTEX-1QCLY-1726-SM-DPRXY 30-39 years, male 188.3
GTEX-S4Q7-0826-SM-4AD5E 20-29 years, male 188.0
GTEX-ZF2S-1926-SM-4WWAN 50-59 years, female 187.8
GTEX-1RDX4-1826-SM-EVR54 50-59 years, female 187.7
GTEX-146FQ-1926-SM-5NQBY 30-39 years, male 187.6
GTEX-1JK1U-1526-SM-AHZ46 60-69 years, male 187.5
GTEX-QV31-0826-SM-CKZNC 30-39 years, male 187.0
GTEX-1128S-1626-SM-5H12O 60-69 years, female 186.9
GTEX-1H3VY-2426-SM-9WPPD 50-59 years, male 186.9
GTEX-131XE-0826-SM-5HL9W 50-59 years, male 186.8
GTEX-ZP4G-1726-SM-4WWCM 20-29 years, female 186.8
GTEX-WHSB-0926-SM-4M1XJ 50-59 years, male 186.6
GTEX-PLZ5-1126-SM-3P613 50-59 years, male 186.2
GTEX-S4UY-0826-SM-4AD4Z 40-49 years, female 185.9
GTEX-11I78-1226-SM-5A5K6 50-59 years, female 185.8
GTEX-178AV-1326-SM-6LPJX 40-49 years, male 185.7
GTEX-1H1DE-1526-SM-ARL9B 20-29 years, male 185.7
GTEX-X5EB-0926-SM-46MVT 40-49 years, male 185.5
GTEX-O5YW-1426-SM-3MJHF 50-59 years, male 185.4
GTEX-R55G-1226-SM-48FDC 40-49 years, female 185.2
GTEX-RM2N-0926-SM-48FD1 50-59 years, male 184.8
GTEX-ZVT2-1926-SM-5GU5T 50-59 years, female 184.3
GTEX-1LVAM-1626-SM-EV79Y 50-59 years, female 184.3
GTEX-ZV7C-1526-SM-5NQ72 50-59 years, male 184.0
GTEX-1JMLX-2726-SM-CM2SB 50-59 years, male 183.8
GTEX-1QCLZ-1926-SM-E6CR3 60-69 years, female 183.7
GTEX-11DXX-1826-SM-5H126 60-69 years, female 183.2
GTEX-13VXT-2426-SM-5LU46 20-29 years, female 182.6
GTEX-1PFEY-1426-SM-E9U6U 30-39 years, male 182.2
GTEX-13QBU-1826-SM-5IJG3 40-49 years, female 182.0
GTEX-12BJ1-2126-SM-5BC5O 60-69 years, male 180.9
GTEX-1399S-1926-SM-5J2M5 30-39 years, female 180.7
GTEX-1QP67-1326-SM-EAZ4D 40-49 years, female 180.7
GTEX-1JKYR-1926-SM-C1YR7 20-29 years, male 180.0
GTEX-13OW6-2126-SM-5N9GL 50-59 years, male 179.8
GTEX-SNMC-1126-SM-4DM5M 20-29 years, male 179.8
GTEX-147F3-1926-SM-5SIB9 50-59 years, female 179.7
GTEX-139YR-2126-SM-5KM11 50-59 years, male 179.2
GTEX-15ER7-2926-SM-7KUFK 20-29 years, female 178.7
GTEX-1PPH8-2026-SM-DTX7P 20-29 years, male 178.6
GTEX-ZLV1-1226-SM-4WWBX 60-69 years, female 178.1
GTEX-U3ZH-1326-SM-4DXSF 30-39 years, male 177.8
GTEX-1MJK3-0926-SM-EV7AY 20-29 years, male 177.3
GTEX-18A66-2426-SM-7KFSQ 60-69 years, male 176.7
GTEX-1RAZA-1726-SM-DPS13 20-29 years, male 175.6
GTEX-1E2YA-2626-SM-7MGWW 50-59 years, male 175.1
GTEX-W5WG-2426-SM-4LMI6 50-59 years, female 174.3
GTEX-1I1GR-2526-SM-CNNQF 60-69 years, male 174.2
GTEX-SE5C-1526-SM-4BRWU 40-49 years, female 174.0
GTEX-XV7Q-2126-SM-4BRVX 40-49 years, female 174.0
GTEX-11P82-1026-SM-5BC5J 20-29 years, male 173.6
GTEX-Y9LG-1526-SM-4WWDR 30-39 years, male 173.4
GTEX-QLQW-0426-SM-447A7 30-39 years, male 172.9
GTEX-13FTW-1826-SM-5IJEN 40-49 years, male 172.7
GTEX-1R9PM-1526-SM-DPRY8 20-29 years, male 171.9
GTEX-XGQ4-1226-SM-4AT67 50-59 years, male 171.8
GTEX-R55C-1126-SM-48FCJ 40-49 years, male 171.6
GTEX-X3Y1-1726-SM-4PQZL 40-49 years, male 171.0
GTEX-17GQL-1526-SM-7LTAC 60-69 years, male 170.4
GTEX-PLZ6-0926-SM-3P5ZQ 30-39 years, male 170.4
GTEX-QEL4-1926-SM-D3L8D 50-59 years, male 169.5
GTEX-WYVS-1826-SM-4OND6 40-49 years, female 169.4
GTEX-1IDJU-2026-SM-A9SLM 60-69 years, female 168.4
GTEX-X15G-1326-SM-4PQZJ 50-59 years, female 168.0
GTEX-U4B1-1126-SM-4DXV3 40-49 years, male 167.6
GTEX-1LGRB-1426-SM-CNNPT 50-59 years, female 167.6
GTEX-P78B-1726-SM-3P5ZV 40-49 years, female 167.0
GTEX-1HKZK-2126-SM-A9SL3 40-49 years, male 166.4
GTEX-1I6K6-1826-SM-B2LX5 30-39 years, male 166.3
GTEX-1N2DV-1426-SM-DPRYQ 40-49 years, male 165.8
GTEX-1B8KE-1926-SM-731EE 50-59 years, male 164.5
GTEX-1L5NE-2026-SM-CXZKR 50-59 years, male 164.4
GTEX-14PJ4-1926-SM-6LLHG 60-69 years, male 164.2
GTEX-14BIN-3026-SM-5ZZUS 50-59 years, female 164.0
GTEX-Q2AH-1226-SM-48TZL 40-49 years, male 164.0
GTEX-TKQ2-1326-SM-4DXT9 50-59 years, male 163.7
GTEX-OXRK-1726-SM-3NB16 50-59 years, female 163.6
GTEX-14PKV-2126-SM-664O3 20-29 years, female 163.2
GTEX-XYKS-2226-SM-4E3IU 60-69 years, female 163.0
GTEX-YB5E-1626-SM-5IFIQ 40-49 years, male 162.7
GTEX-1HSEH-1726-SM-B2LXH 60-69 years, male 162.5
GTEX-YF7O-1726-SM-5IFJ9 50-59 years, male 161.7
GTEX-11LCK-2026-SM-5A5MA 30-39 years, male 161.6
GTEX-XBEW-1926-SM-4SOJO 40-49 years, male 161.2
GTEX-ZEX8-1926-SM-4WKFR 50-59 years, male 161.0
GTEX-1HSGN-2626-SM-CE6S1 40-49 years, female 160.8
GTEX-1LG7Z-1426-SM-CXKYV 30-39 years, male 160.6
GTEX-OHPN-2026-SM-E9TIA 60-69 years, female 160.2
GTEX-XBED-1526-SM-4AT5W 60-69 years, male 160.1
GTEX-17EUY-1826-SM-7DUEZ 20-29 years, male 159.8
GTEX-147GR-2726-SM-664OO 60-69 years, male 159.7
GTEX-1AMFI-1726-SM-7189L 50-59 years, female 159.7
GTEX-QMRM-1226-SM-447C6 50-59 years, male 159.3
GTEX-RU1J-1326-SM-46MUL 20-29 years, female 159.1
GTEX-14DAR-1526-SM-5RQIX 50-59 years, male 158.7
GTEX-YEC3-2426-SM-DO11A 50-59 years, male 158.1
GTEX-13111-0726-SM-5DUVE 50-59 years, male 157.9
GTEX-WH7G-1326-SM-4LVMS 40-49 years, male 156.7
GTEX-PX3G-1426-SM-48U1J 20-29 years, female 156.6
GTEX-1CAMS-2526-SM-7EPH7 40-49 years, female 155.7
GTEX-1KANA-1926-SM-DHXKF 20-29 years, male 154.9
GTEX-R53T-1326-SM-48FCQ 50-59 years, female 154.5
GTEX-XMK1-1726-SM-4B64Z 40-49 years, male 154.3
GTEX-1S83E-1626-SM-EV7B9 40-49 years, male 153.8
GTEX-S7SF-1926-SM-4AT5B 20-29 years, female 153.7
GTEX-OIZF-1426-SM-2HML2 60-69 years, male 153.7
GTEX-VJYA-2026-SM-4KL1K 60-69 years, male 153.6
GTEX-S4P3-1226-SM-4AD4Y 50-59 years, female 153.4
GTEX-NFK9-2026-SM-3LK5K 40-49 years, male 152.9
GTEX-1C4CL-2126-SM-7IGQC 30-39 years, male 152.6
GTEX-15CHR-1426-SM-7DUGV 50-59 years, male 152.0
GTEX-U3ZM-1126-SM-4DXUB 40-49 years, male 151.6
GTEX-1R7EU-1926-SM-E9U62 60-69 years, male 151.2
GTEX-U3ZN-2126-SM-4DXU1 30-39 years, female 151.1
GTEX-17HHE-1826-SM-79OKE 50-59 years, male 150.4
GTEX-P4PP-1426-SM-3NM9L 30-39 years, female 150.4
GTEX-ZPIC-2226-SM-57WDX 40-49 years, female 149.9
GTEX-1JMPY-0426-SM-C1YQ3 30-39 years, male 148.9
GTEX-WFG7-1526-SM-4LVMG 20-29 years, male 148.4
GTEX-12KS4-2426-SM-5LU8P 30-39 years, male 148.2
GTEX-1GPI7-1726-SM-7P8R1 20-29 years, male 147.9
GTEX-139T6-1326-SM-5IFFO 50-59 years, male 147.7
GTEX-11NSD-1626-SM-5986U 20-29 years, male 147.6
GTEX-OOBJ-1426-SM-E6CHH 60-69 years, male 147.0
GTEX-1JN76-1226-SM-C1YRM 20-29 years, female 146.3
GTEX-133LE-1526-SM-5IFEN 20-29 years, female 146.1
GTEX-1211K-1726-SM-5FQUJ 60-69 years, female 144.2
GTEX-UJMC-1326-SM-4IHLS 50-59 years, male 144.2
GTEX-1HSMQ-2726-SM-C1YRE 50-59 years, male 144.1
GTEX-12C56-0626-SM-5EGGC 20-29 years, male 142.8
GTEX-1PIGE-1426-SM-E9U61 20-29 years, male 142.1
GTEX-PWN1-1426-SM-48TDF 40-49 years, female 141.5
GTEX-1QP9N-1026-SM-E6CPX 30-39 years, male 141.4
GTEX-139TS-1926-SM-5IJFO 60-69 years, male 140.5
GTEX-11DXZ-1726-SM-5H12M 50-59 years, male 139.0
GTEX-XQ8I-2126-SM-4BOOM 50-59 years, male 137.4
GTEX-WHWD-1226-SM-4OOS1 50-59 years, male 135.9
GTEX-17HGU-2426-SM-7EWDP 50-59 years, male 134.9
GTEX-1NSGN-2326-SM-E9U5X 50-59 years, male 132.4
GTEX-1RAZR-1926-SM-E6CRF 40-49 years, male 132.3
GTEX-1GF9U-1526-SM-7MXUW 40-49 years, female 131.4
GTEX-TML8-1326-SM-4DXTO 40-49 years, female 129.4
GTEX-XPVG-1826-SM-4B64X 50-59 years, male 127.9
GTEX-1B8KZ-1326-SM-7DUG6 50-59 years, male 126.4
GTEX-1HCU9-1326-SM-B2LXT 20-29 years, male 124.9
GTEX-14C39-1926-SM-5ZZW5 40-49 years, male 124.0
GTEX-1K9T9-2826-SM-D4P3F 50-59 years, female 111.8
Show allShow less

COLON - FANTOM5 CAGEi

RNA expression in human tissues obtained through Cap Analysis of Gene Expression (CAGE) generated by the FANTOM5 project are reported as Scaled Tags Per Million.

Max subtype Scaled Tags Per Millioni

Max subtype Scaled Tags Per Million is the value for the subtype with the largest average Scaled Tags Per Million across the subtype samples.

219.1
FANTOM5 sample id Sample description Scaled Tags Per Million
Colon
Scaled Tags Per Million: 219.1
FF:10014-101C5 62,83,84 years, mixed 219.1

Contact

  • NEWS ARTICLES
  • PRESS ROOM

The Project

  • INTRODUCTION
  • ORGANIZATION
  • PUBLICATIONS

The Human Protein Atlas

  • DOWNLOADABLE DATA
  • LICENCE & CITATION
  • HELP & FAQ
The Human Protein Atlas project is funded
by the Knut & Alice Wallenberg Foundation.


contact@proteinatlas.org