We use cookies to enhance the usability of our website. If you continue, we'll assume that you are happy to receive all cookies. More information. Don't show this again.
CD59
HPA
RESOURCES
  • TISSUE
  • BRAIN
  • SINGLE CELL
  • SUBCELLULAR
  • CANCER
  • BLOOD
  • CELL LINE
  • STRUCTURE & INTERACTION
ABOUT
  • INTRODUCTION
  • HISTORY
  • ORGANIZATION
  • PUBLICATIONS
  • ANTIBODY SUBMISSION
  • ANTIBODY AVAILABILITY
  • ACKNOWLEDGMENTS
  • CONTACT
NEWS
  • NEWS ARTICLES
  • PRESS ROOM
LEARN
  • DICTIONARY
  • PROTEIN CLASSES
  • PROTEIN EVIDENCE
  • METHODS
  • EDUCATIONAL VIDEOS
DATA
  • DOWNLOADABLE DATA
  • PUBLICATION DATA
  • RELEASE HISTORY
HELP
  • ANTIBODY VALIDATION
  • ASSAYS & ANNOTATION
  • DISCLAIMER
  • HELP & FAQ
  • PRIVACY STATEMENT
  • LICENCE & CITATION
Fields »
Search result

Field
Term
Gene name
Class
Subclass
Class
Keyword
Chromosome
External id
Tissue
Cell type
Expression
Antibody panel
Tissue
Main location
Patient ID
Annotation
Tissue
Category
Tau score
Cluster
Reliability
Brain region
Category
Tau score
Brain region
Category
Tau score
Brain region
Category
Tau score
Cluster
Reliability
Tissue
Cell type
Enrichment
Cell type
Category
Tau score
Cell type
Category
Tau score
Cell type
Category
Tau score
Cell lineage
Category
Tau score
Cluster
Cluster
Location
Searches
Location
Cell line
Class
Type
Phase
Reliability
Cancer
Prognosis
Cancer
Category
Cancer
Category
Tau score
Cluster
Variants
Interacting gene (ensg_id)
Type
Number of interactions
Pathway
Category
Score
Score
Score
Validation
Validation
Validation
Validation
Antibodies
Data type
Column


  • SUMMARY

  • TISSUE

  • BRAIN

  • SINGLE CELL

  • SUBCELL

  • CANCER

  • BLOOD

  • CELL LINE

  • STRUCT & INT

  • CD59
TISSUE PRIMARY DATA SALIVARY GLAND Show tissue menu
ADIPOSE TISSUE ADRENAL GLAND AMYGDALA APPENDIX BASAL GANGLIA BONE MARROW BREAST BRONCHUS CEREBELLUM CEREBRAL CORTEX CERVIX CHOROID PLEXUS COLON DUODENUM
ENDOMETRIUM EPIDIDYMIS ESOPHAGUS FALLOPIAN TUBE GALLBLADDER HEART MUSCLE HIPPOCAMPAL FORMATION HYPOTHALAMUS KIDNEY LIVER LUNG LYMPH NODE MIDBRAIN NASOPHARYNX
ORAL MUCOSA OVARY PANCREAS PARATHYROID GLAND PITUITARY GLAND PLACENTA PROSTATE RECTUM RETINA SALIVARY GLAND SEMINAL VESICLE SKELETAL MUSCLE SKIN SMALL INTESTINE
SMOOTH MUSCLE SOFT TISSUE SPINAL CORD SPLEEN STOMACH TESTIS THYMUS THYROID GLAND TONGUE TONSIL URINARY BLADDER VAGINA
ANTIBODIES
AND
VALIDATION
Dictionary
Salivary gland
Tissue proteome
Salivary gland
SALIVARY GLAND - Expression summary
Protein expression
Salivary glandi

On the top, protein expression in current human tissue, based on all annotated cell types, is reported with the units not detected (n), low (l), medium (m) and high (h). Underneath, protein expression in each annotated cell type are reported using the same units.

Protein expression data is based on knowledge-based annotation. For genes where more than one antibody has been used, a collective score is set.

If knowledge-based annotation could not be performed for a gene, no data is displayed here. View antibody staining data further down this page.

h
m
l
n
Glandular cells: Medium
RNA expressioni

A summary of mRNA expression data available for current tissue based on several datasets. The mRNA expression levels in human tissues are based on RNA-seq data generated by the Human Protein Atlas (HPA), Genotype-Tissue Expression (GTEx) portal and CAGE data generated by the FANTOM5 consortium. Consensus normalized expression levels for human tissues was created by combining the data from HPA and GTEx datasets.

The mRNA expression levels in pig are based on RNA-seq data generated by the Human Protein Atlas (HPA), and for mouse, HPA data and in situ hybridization generated by the Allen brain atlas are reported.

Scroll down to view mRNA expression data in more detail.
Consensus:673.2 nTPM
HPA:562.4 nTPM
GTEx:673.2 nTPM
FANTOM5:774.8 Scaled Tags Per Million

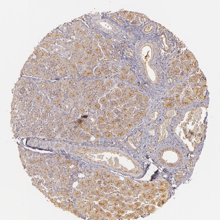
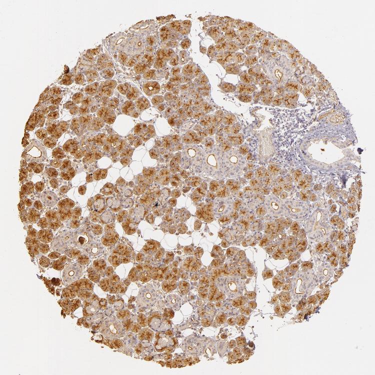
SALIVARY GLAND - Antibody stainingi

Antibody staining in the annotated cell types in the current human tissue is reported as not detected, low, medium, or high, based on conventional immunohistochemistry profiling in selected tissues. This score is based on the combination of the staining intensity and fraction of stained cells.

Each image is clickable and will lead to virtual microscopy that enables deeper exploration of all samples and also displays staining intensity scores, fraction scores and subcellular localization as well as patient and tissue information for each sample.

Antibody HPA026494Antibody CAB001448
Glandular cells HighMedium





SALIVARY GLAND - HPA RNA-seqi

The RNA-seq details section shows detailed information about the individual samples used for the transcript profiling and results of the RNA-seq analysis.

Information about each individual sample is listed below, including gender, age, a tissue section image and estimated fractions of cell types. nTPM (normalized transcripts per million) values give a quantification of the gene abundance which is comparable between different genes and samples.
Average nTPMi

Max subtype nTPM is the value for the subtype with the largest average nTPM across the subtype samples.

562.4
overview
Female, age 68
Salivary gland sample 216
nTPM: 694.1
Cell types%
Glandular cells:
45

Ductal cells:
25

Adipocytes:
5

Other cell types:
25

overview
Male, age 60
Salivary gland sample 217
nTPM: 622.2
Cell types%
Glandular cells:
55

Ductal cells:
20

Adipocytes:
5

Endothelial cells:
5

Other cell types:
15

overview
Female, age 21
Salivary gland sample 218
nTPM: 371
Cell types%
Glandular cells:
55

Ductal cells:
15

Adipocytes:
5

Endothelial cells:
5

Other cell types:
20


SALIVARY GLAND - GTEx RNA-seqi

RNA-Seq data generated by the Genotype-Tissue Expression (GTEx) project from human tissues is reported as mean nTPM. More information can be found on the GTEx portal.

Distribution across the dataset is visualized with box plots, shown as median and 25th and 75th percentiles. Points are displayed as outliers if they are above or below 1.5 times the interquartile range. nTPM values of the individual samples are presented next to the box plot.
Max subtype nTPMi

Max subtype nTPM is the value for the subtype with the largest average nTPM across the subtype samples.

673.2
GTEx sample id Sample description nTPM
Minor Salivary Gland
Average nTPM: 673.2
Samples: 162

Max nTPM: 1408.1
Min nTPM: 330.1
Std nTPM: 203.3
Median nTPM: 629.5
GTEX-18D9U-2226-SM-7KFTN 40-49 years, male 1408.1
GTEX-1339X-2326-SM-5HL5B 40-49 years, male 1308.2
GTEX-12WSL-2126-SM-5GCNG 50-59 years, male 1217.9
GTEX-11P81-2026-SM-5P9GT 30-39 years, female 1186.2
GTEX-ZQUD-2126-SM-51MSY 30-39 years, male 1099.3
GTEX-1PIEJ-0626-SM-DTX99 20-29 years, female 1096.5
GTEX-13OVK-1826-SM-6PALE 40-49 years, male 1090.8
GTEX-YF7O-2226-SM-5CVN8 50-59 years, male 1070.8
GTEX-14PJN-1726-SM-69LO7 30-39 years, male 1053.6
GTEX-17KNJ-2726-SM-7KFRE 50-59 years, male 1051.1
GTEX-1A3MV-1726-SM-72D68 30-39 years, male 1030.0
GTEX-11P82-0926-SM-5986X 20-29 years, male 1009.2
GTEX-1RAZA-0626-SM-EAZ4H 20-29 years, male 987.7
GTEX-1QP9N-2026-SM-DPRZT 30-39 years, male 976.7
GTEX-12WSN-2226-SM-5DUXT 40-49 years, male 964.4
GTEX-11WQK-2926-SM-5EQKT 50-59 years, male 955.5
GTEX-1I4MK-1326-SM-B2LWT 50-59 years, female 937.3
GTEX-18A7B-2826-SM-7KFTK 70-79 years, male 930.0
GTEX-1314G-2026-SM-5LZUM 30-39 years, male 927.8
GTEX-1IDJD-2526-SM-C1YSA 30-39 years, male 919.6
GTEX-WH7G-2126-SM-4M1XU 40-49 years, male 914.8
GTEX-178AV-1426-SM-6LLID 40-49 years, male 914.2
GTEX-1MGNQ-1926-SM-DTX8L 40-49 years, male 903.3
GTEX-XMK1-2626-SM-4B65R 40-49 years, male 894.0
GTEX-YB5K-1726-SM-5IFIZ 40-49 years, female 885.4
GTEX-Y5V6-2226-SM-4VDTC 60-69 years, male 874.0
GTEX-1I6K7-0926-SM-A96SV 40-49 years, male 872.1
GTEX-ZLWG-2026-SM-DO11F 50-59 years, female 868.4
GTEX-1JKYR-0726-SM-AHZ3K 20-29 years, male 858.7
GTEX-ZA64-1726-SM-5CVMF 20-29 years, male 858.5
GTEX-1GN1W-2526-SM-9JGHX 50-59 years, female 856.3
GTEX-13VXT-1726-SM-5IFF5 20-29 years, female 850.2
GTEX-1LSNL-2626-SM-EV7AT 50-59 years, male 849.1
GTEX-11EQ9-2026-SM-5P9JI 30-39 years, male 834.3
GTEX-18A67-0626-SM-7KFSL 50-59 years, male 825.4
GTEX-1I6K6-0626-SM-ARU7J 30-39 years, male 823.1
GTEX-14PN4-2526-SM-686ZG 50-59 years, male 820.2
GTEX-18QFQ-0626-SM-718AW 30-39 years, male 806.1
GTEX-13111-2326-SM-5LZUQ 50-59 years, male 797.4
GTEX-ZG7Y-2426-SM-DO11H 50-59 years, male 794.8
GTEX-1C64O-0626-SM-7DHL1 60-69 years, male 793.9
GTEX-1R9K5-0626-SM-DPRZB 50-59 years, male 787.3
GTEX-14PJ3-1526-SM-664O9 50-59 years, male 784.3
GTEX-1GF9X-0226-SM-7P8SM 40-49 years, female 783.4
GTEX-15EU6-2626-SM-7KUN4 50-59 years, male 779.2
GTEX-1C4CL-2026-SM-731EB 30-39 years, male 778.8
GTEX-1IDJC-1626-SM-AHZ2R 50-59 years, male 778.8
GTEX-13OVL-2926-SM-5IFG3 50-59 years, male 774.3
GTEX-1MCC2-2226-SM-EV7AJ 30-39 years, female 762.1
GTEX-1KD5A-2226-SM-EV79U 50-59 years, male 760.4
GTEX-1AMEY-1126-SM-72D79 30-39 years, female 751.4
GTEX-ZP4G-1926-SM-57WDZ 20-29 years, female 746.9
GTEX-1S82P-0726-SM-EVR4O 60-69 years, female 744.5
GTEX-WY7C-1426-SM-4OND1 50-59 years, male 742.6
GTEX-1OJC3-1026-SM-E6CQK 20-29 years, male 740.5
GTEX-13NYB-2426-SM-5IFF4 40-49 years, male 732.9
GTEX-1GPI7-0326-SM-7MKH6 20-29 years, male 732.4
GTEX-1EH9U-2926-SM-7DHLX 60-69 years, male 730.9
GTEX-14B4R-1426-SM-5Q5CG 30-39 years, male 726.9
GTEX-15SHV-2226-SM-6M464 60-69 years, male 715.3
GTEX-1AYD5-2726-SM-7MXVG 50-59 years, male 713.1
GTEX-1PPH8-1526-SM-E6CQO 20-29 years, male 708.0
GTEX-WFJO-2026-SM-4LVM3 30-39 years, male 707.9
GTEX-15CHC-1226-SM-686ZH 60-69 years, female 700.5
GTEX-11TUW-2426-SM-5EQKB 60-69 years, male 692.8
GTEX-WHSB-2326-SM-4M1XK 50-59 years, male 683.7
GTEX-1KANC-1326-SM-CYPT8 50-59 years, female 679.8
GTEX-1LBAC-0626-SM-D3L9T 20-29 years, male 677.6
GTEX-ZLFU-2226-SM-EXUS7 40-49 years, male 675.8
GTEX-1AX8Z-0626-SM-731EH 60-69 years, male 668.6
GTEX-1RNSC-2926-SM-EV79L 60-69 years, male 666.4
GTEX-ZXG5-2826-SM-5NQ8T 60-69 years, male 661.8
GTEX-ZPU1-2326-SM-57WEP 40-49 years, male 657.5
GTEX-WOFM-2126-SM-4OOSR 20-29 years, male 656.0
GTEX-12WSM-1826-SM-5BC64 60-69 years, male 651.2
GTEX-XGQ4-2626-SM-4AT6B 50-59 years, male 646.3
GTEX-1MCQQ-2226-SM-DLHC4 60-69 years, male 644.3
GTEX-1LVA9-2526-SM-EVR5H 50-59 years, male 638.6
GTEX-1HSEH-1826-SM-A96SA 60-69 years, male 637.3
GTEX-1IE54-0826-SM-AHZ2Z 40-49 years, female 632.4
GTEX-1R9K4-0526-SM-E76P1 60-69 years, male 631.9
GTEX-13OVI-2326-SM-5KM47 60-69 years, female 627.1
GTEX-WYVS-2026-SM-4RGNS 40-49 years, female 618.8
GTEX-X261-2426-SM-4PQZU 50-59 years, male 613.3
GTEX-1HSMQ-0926-SM-A96SI 50-59 years, male 595.9
GTEX-Y5LM-1826-SM-4VDT9 40-49 years, female 592.2
GTEX-1GMR2-2026-SM-7MKHK 50-59 years, male 590.4
GTEX-1HFI7-2426-SM-B2LXV 50-59 years, female 590.2
GTEX-1AX9K-2126-SM-72D7K 50-59 years, male 588.5
GTEX-13O21-1926-SM-5MR39 50-59 years, male 585.8
GTEX-1QEPI-0626-SM-E76QE 60-69 years, female 584.6
GTEX-13JVG-2926-SM-5J2N9 60-69 years, male 584.5
GTEX-1KD4Q-2526-SM-CXZKL 40-49 years, male 583.7
GTEX-XV7Q-2426-SM-4BRV8 40-49 years, female 581.7
GTEX-1B932-0626-SM-731EM 40-49 years, female 581.1
GTEX-1POEN-2226-SM-DPRXV 30-39 years, female 578.4
GTEX-ZT9W-2126-SM-51MSF 50-59 years, male 576.5
GTEX-1LC47-2426-SM-DHXKK 60-69 years, male 576.4
GTEX-1HR9M-2526-SM-A9G3J 60-69 years, male 575.8
GTEX-13QJC-2326-SM-5Q5CD 60-69 years, female 575.2
GTEX-ZF29-2126-SM-DNZYX 60-69 years, female 574.8
GTEX-1B8SF-1826-SM-731DJ 60-69 years, male 572.2
GTEX-X5EB-1726-SM-4E3J7 40-49 years, male 571.6
GTEX-1B97J-2126-SM-79OL6 50-59 years, female 571.4
GTEX-1J8QM-1826-SM-A96TA 60-69 years, female 570.6
GTEX-1P4AB-2926-SM-EXOJR 50-59 years, male 569.3
GTEX-1R9PM-1726-SM-E8VOA 20-29 years, male 567.1
GTEX-X3Y1-1926-SM-4PQZO 40-49 years, male 566.1
GTEX-11NV4-1926-SM-5N9D4 60-69 years, male 562.4
GTEX-1B8KZ-1726-SM-73KV7 50-59 years, male 561.7
GTEX-1LVAO-2626-SM-EVR4S 60-69 years, male 552.1
GTEX-145ME-1626-SM-5RQI3 40-49 years, female 551.9
GTEX-1J1R8-1826-SM-AHZ3B 40-49 years, male 550.8
GTEX-1HSGN-0626-SM-A9G2E 40-49 years, female 549.7
GTEX-1LKK1-2926-SM-EVR4Z 50-59 years, female 546.7
GTEX-1S83E-0626-SM-E9TKC 40-49 years, male 546.2
GTEX-Y111-2626-SM-4TT24 50-59 years, male 545.4
GTEX-14E1K-2626-SM-664OJ 50-59 years, male 543.9
GTEX-13113-1526-SM-5EGHV 60-69 years, female 541.9
GTEX-1IY9M-2926-SM-A96TH 60-69 years, male 536.7
GTEX-11ZTT-2226-SM-5CVLP 60-69 years, female 536.6
GTEX-13G51-2426-SM-5LZY8 60-69 years, male 536.5
GTEX-1445S-2926-SM-5O993 60-69 years, male 535.9
GTEX-1192X-2926-SM-5N9BA 50-59 years, male 534.2
GTEX-Y3I4-1926-SM-4TT8L 50-59 years, male 521.7
GTEX-1HCU7-0126-SM-C1YR3 50-59 years, male 519.2
GTEX-146FR-1226-SM-5SIA7 60-69 years, female 518.3
GTEX-ZE7O-2926-SM-51MSG 50-59 years, female 518.2
GTEX-1QCLZ-2526-SM-EXUST 60-69 years, female 509.7
GTEX-ZQG8-2126-SM-4YCF1 60-69 years, female 509.3
GTEX-1CB4I-2526-SM-7MKG1 50-59 years, male 506.9
GTEX-17MFQ-1626-SM-7938Z 20-29 years, male 504.2
GTEX-1JN6P-2526-SM-CNNPX 60-69 years, male 503.3
GTEX-1OJC4-3126-SM-EXOJK 50-59 years, female 501.0
GTEX-1IOXB-2826-SM-AHZ32 50-59 years, male 493.5
GTEX-1QMI2-0426-SM-EWRND 60-69 years, male 493.4
GTEX-X15G-2126-SM-4PQZR 50-59 years, female 493.2
GTEX-1NSGN-0626-SM-E9J35 50-59 years, male 492.5
GTEX-ZAB5-2326-SM-5IJFR 50-59 years, male 487.1
GTEX-15RJE-2726-SM-6LPJ1 40-49 years, male 483.6
GTEX-1GTWX-2526-SM-9JGHG 60-69 years, male 479.9
GTEX-111FC-2926-SM-5GZY7 60-69 years, male 472.9
GTEX-1I1HK-2526-SM-A96SM 60-69 years, male 458.1
GTEX-1C64N-2926-SM-79OLM 50-59 years, male 453.6
GTEX-1GZ2Q-2526-SM-9KNVW 40-49 years, male 452.3
GTEX-1GN1V-2926-SM-9JGI3 60-69 years, male 439.4
GTEX-1R9PO-2626-SM-E6CPU 60-69 years, female 433.8
GTEX-13QBU-2126-SM-5KLZN 40-49 years, female 423.0
GTEX-1JN1M-2426-SM-ARU93 60-69 years, female 419.9
GTEX-14JIY-3026-SM-6EU1R 60-69 years, male 412.7
GTEX-1C6VR-0726-SM-7P8OV 60-69 years, male 412.4
GTEX-1J8EW-2826-SM-A96T9 60-69 years, female 411.6
GTEX-12BJ1-2226-SM-5BC6G 60-69 years, male 402.7
GTEX-ZC5H-2726-SM-5KLZW 40-49 years, female 396.8
GTEX-1H1CY-2326-SM-9OSXW 60-69 years, female 392.1
GTEX-1H4P4-2026-SM-9WPNV 50-59 years, male 386.3
GTEX-13CF2-2426-SM-5LZYL 60-69 years, male 374.6
GTEX-131XF-2826-SM-5EGKH 60-69 years, male 372.9
GTEX-11EMC-2526-SM-5PNVU 60-69 years, female 370.7
GTEX-11ZTS-3026-SM-5EQM7 60-69 years, female 368.7
GTEX-131XH-2626-SM-5GCNP 50-59 years, male 348.5
GTEX-1117F-3026-SM-5GZYU 60-69 years, female 330.1
Show allShow less

SALIVARY GLAND - FANTOM5 CAGEi

RNA expression in human tissues obtained through Cap Analysis of Gene Expression (CAGE) generated by the FANTOM5 project are reported as Scaled Tags Per Million.

Max subtype Scaled Tags Per Millioni

Max subtype Scaled Tags Per Million is the value for the subtype with the largest average Scaled Tags Per Million across the subtype samples.

774.8
FANTOM5 sample id Sample description Scaled Tags Per Million
Parotid gland
Scaled Tags Per Million: 430.1
FF:10199-103F1 23 years, male 430.1
Salivary gland
Scaled Tags Per Million: 774.8
FF:10093-102C3 16-60 years, mixed 774.8
Submaxillary gland
Scaled Tags Per Million: 456.7
FF:10202-103F4 24 years, male 456.7

Contact

  • NEWS ARTICLES
  • PRESS ROOM

The Project

  • INTRODUCTION
  • ORGANIZATION
  • PUBLICATIONS

The Human Protein Atlas

  • DOWNLOADABLE DATA
  • LICENCE & CITATION
  • HELP & FAQ
The Human Protein Atlas project is funded
by the Knut & Alice Wallenberg Foundation.


contact@proteinatlas.org