We use cookies to enhance the usability of our website. If you continue, we'll assume that you are happy to receive all cookies. More information. Don't show this again.
NDUFB7
HPA
RESOURCES
  • TISSUE
  • BRAIN
  • SINGLE CELL
  • SUBCELLULAR
  • CANCER
  • BLOOD
  • CELL LINE
  • STRUCTURE & INTERACTION
ABOUT
  • INTRODUCTION
  • HISTORY
  • ORGANIZATION
  • PUBLICATIONS
  • ANTIBODY SUBMISSION
  • ANTIBODY AVAILABILITY
  • ACKNOWLEDGMENTS
  • CONTACT
NEWS
  • NEWS ARTICLES
  • PRESS ROOM
LEARN
  • DICTIONARY
  • PROTEIN CLASSES
  • PROTEIN EVIDENCE
  • METHODS
  • EDUCATIONAL VIDEOS
DATA
  • DOWNLOADABLE DATA
  • PUBLICATION DATA
  • RELEASE HISTORY
HELP
  • ANTIBODY VALIDATION
  • ASSAYS & ANNOTATION
  • DISCLAIMER
  • HELP & FAQ
  • PRIVACY STATEMENT
  • LICENCE & CITATION
Fields »
Search result

Field
Term
Gene name
Class
Subclass
Class
Keyword
Chromosome
External id
Tissue
Cell type
Expression
Antibody panel
Tissue
Main location
Patient ID
Annotation
Tissue
Category
Tau score
Cluster
Reliability
Brain region
Category
Tau score
Brain region
Category
Tau score
Brain region
Category
Tau score
Cluster
Reliability
Tissue
Cell type
Enrichment
Cell type
Category
Tau score
Cell type
Category
Tau score
Cell type
Category
Tau score
Cell lineage
Category
Tau score
Cluster
Cluster
Location
Searches
Location
Cell line
Class
Type
Phase
Reliability
Cancer
Prognosis
Cancer
Category
Cancer
Category
Tau score
Cluster
Variants
Interacting gene (ensg_id)
Type
Number of interactions
Pathway
Category
Score
Score
Score
Validation
Validation
Validation
Validation
Antibodies
Data type
Column


  • SUMMARY

  • TISSUE

  • BRAIN

  • SINGLE CELL

  • SUBCELL

  • CANCER

  • BLOOD

  • CELL LINE

  • STRUCT & INT

  • NDUFB7
TISSUE PRIMARY DATA PANCREAS Show tissue menu
ADIPOSE TISSUE ADRENAL GLAND AMYGDALA APPENDIX BASAL GANGLIA BONE MARROW BREAST BRONCHUS CEREBELLUM CEREBRAL CORTEX CERVIX CHOROID PLEXUS COLON DUODENUM
ENDOMETRIUM EPIDIDYMIS ESOPHAGUS FALLOPIAN TUBE GALLBLADDER HEART MUSCLE HIPPOCAMPAL FORMATION HYPOTHALAMUS KIDNEY LIVER LUNG LYMPH NODE MIDBRAIN NASOPHARYNX
ORAL MUCOSA OVARY PANCREAS PARATHYROID GLAND PITUITARY GLAND PLACENTA PROSTATE RECTUM RETINA SALIVARY GLAND SEMINAL VESICLE SKELETAL MUSCLE SKIN SMALL INTESTINE
SMOOTH MUSCLE SOFT TISSUE SPINAL CORD SPLEEN STOMACH TESTIS THYMUS THYROID GLAND TONGUE TONSIL URINARY BLADDER VAGINA
ANTIBODIES
AND
VALIDATION
Dictionary
Pancreas
Tissue proteome
Pancreas
PANCREAS - Expression summary
Protein expression
Pancreasi

On the top, protein expression in current human tissue, based on all annotated cell types, is reported with the units not detected (n), low (l), medium (m) and high (h). Underneath, protein expression in each annotated cell type are reported using the same units.

Protein expression data is based on knowledge-based annotation. For genes where more than one antibody has been used, a collective score is set.

If knowledge-based annotation could not be performed for a gene, no data is displayed here. View antibody staining data further down this page.

h
m
l
n
Exocrine glandular cells: Medium
Pancreatic endocrine cells: Medium
RNA expressioni

A summary of mRNA expression data available for current tissue based on several datasets. The mRNA expression levels in human tissues are based on RNA-seq data generated by the Human Protein Atlas (HPA), Genotype-Tissue Expression (GTEx) portal and CAGE data generated by the FANTOM5 consortium. Consensus normalized expression levels for human tissues was created by combining the data from HPA and GTEx datasets.

The mRNA expression levels in pig are based on RNA-seq data generated by the Human Protein Atlas (HPA), and for mouse, HPA data and in situ hybridization generated by the Allen brain atlas are reported.

Scroll down to view mRNA expression data in more detail.
Consensus:207.3 nTPM
HPA:148.7 nTPM
GTEx:207.3 nTPM
FANTOM5:214.3 Scaled Tags Per Million

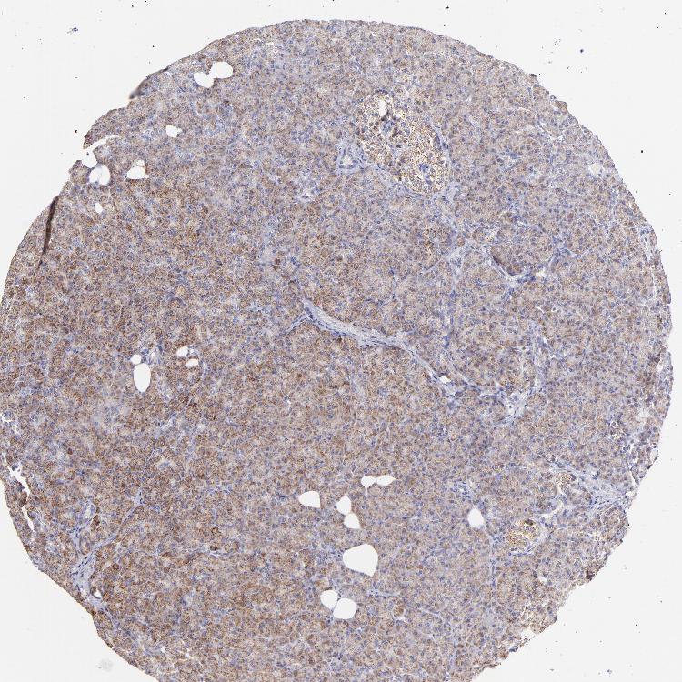
PANCREAS - Antibody stainingi

Antibody staining in the annotated cell types in the current human tissue is reported as not detected, low, medium, or high, based on conventional immunohistochemistry profiling in selected tissues. This score is based on the combination of the staining intensity and fraction of stained cells.

Each image is clickable and will lead to virtual microscopy that enables deeper exploration of all samples and also displays staining intensity scores, fraction scores and subcellular localization as well as patient and tissue information for each sample.

Antibody HPA002817
Exocrine glandular cells Medium
Pancreatic endocrine cells Medium


PANCREAS - HPA RNA-seqi

The RNA-seq details section shows detailed information about the individual samples used for the transcript profiling and results of the RNA-seq analysis.

Information about each individual sample is listed below, including gender, age, a tissue section image and estimated fractions of cell types. nTPM (normalized transcripts per million) values give a quantification of the gene abundance which is comparable between different genes and samples.
Average nTPMi

Max subtype nTPM is the value for the subtype with the largest average nTPM across the subtype samples.

148.7
overview
Female, age 59
Pancreas sample 194
nTPM: 159.5
Cell types%
Exocrine glandular cells:
75

Pancreatic endocrine cells:
10

Ductal cells:
5

Other cell types:
10

overview
Male, age 60
Pancreas sample 195
nTPM: 137.9
Cell types%
Exocrine glandular cells:
90

Pancreatic endocrine cells:
5

Ductal cells:
5


PANCREAS - GTEx RNA-seqi

RNA-Seq data generated by the Genotype-Tissue Expression (GTEx) project from human tissues is reported as mean nTPM. More information can be found on the GTEx portal.

Distribution across the dataset is visualized with box plots, shown as median and 25th and 75th percentiles. Points are displayed as outliers if they are above or below 1.5 times the interquartile range. nTPM values of the individual samples are presented next to the box plot.
Max subtype nTPMi

Max subtype nTPM is the value for the subtype with the largest average nTPM across the subtype samples.

207.3
GTEx sample id Sample description nTPM
Pancreas
Average nTPM: 207.3
Samples: 328

Max nTPM: 436.9
Min nTPM: 89.8
Std nTPM: 47.0
Median nTPM: 203.8
GTEX-16Z82-1726-SM-7MGX3 60-69 years, male 436.9
GTEX-17MF6-1426-SM-7IGOX 40-49 years, male 384.0
GTEX-1PBJI-2126-SM-DPRYG 20-29 years, female 378.3
GTEX-1H1DG-1426-SM-9OSXP 70-79 years, male 352.3
GTEX-ZAB4-1726-SM-5HL8C 40-49 years, male 327.9
GTEX-1CAMQ-1626-SM-7MGXG 40-49 years, male 326.9
GTEX-13SLX-1326-SM-5S2QS 50-59 years, female 318.4
GTEX-11XUK-0626-SM-5N9ES 40-49 years, female 309.2
GTEX-14PJO-1826-SM-69LPR 60-69 years, male 306.8
GTEX-1OKEX-1726-SM-E9U4F 60-69 years, male 304.7
GTEX-WRHK-0226-SM-4MVOH 20-29 years, female 302.4
GTEX-14PJM-2126-SM-6AJAS 50-59 years, female 294.2
GTEX-15ER7-1326-SM-6LPK9 20-29 years, female 290.9
GTEX-18A6Q-1726-SM-7LT9A 60-69 years, male 289.9
GTEX-OOBJ-1026-SM-3NB2L 60-69 years, male 289.3
GTEX-14PJN-1526-SM-6AJBP 30-39 years, male 286.4
GTEX-1N2DV-1726-SM-DPRYR 40-49 years, male 286.1
GTEX-1LSNM-0726-SM-DHXL1 50-59 years, male 285.9
GTEX-1L5NE-0826-SM-DHXKU 50-59 years, male 284.0
GTEX-11GSP-0426-SM-5A5KX 60-69 years, female 282.2
GTEX-13FTW-0526-SM-5IFIP 40-49 years, male 281.5
GTEX-18A7A-1726-SM-7LT93 50-59 years, female 281.3
GTEX-QV31-0226-SM-447BO 30-39 years, male 279.9
GTEX-YF7O-1326-SM-4W1ZR 50-59 years, male 278.2
GTEX-ZAK1-2326-SM-5CVMY 50-59 years, female 275.6
GTEX-1C6VQ-1726-SM-7IGLQ 50-59 years, male 274.7
GTEX-ZEX8-1026-SM-4WKHE 50-59 years, male 274.0
GTEX-13FLV-0626-SM-5IFEY 50-59 years, male 273.0
GTEX-1NUQO-0826-SM-DPS16 20-29 years, female 271.7
GTEX-1AX9K-2026-SM-731D1 50-59 years, male 269.4
GTEX-ZLWG-0326-SM-4WWC7 50-59 years, female 268.9
GTEX-1R46S-1426-SM-EXOJD 60-69 years, female 268.7
GTEX-1O97I-1726-SM-EXOIP 60-69 years, male 267.6
GTEX-15SHV-1526-SM-6LLIB 60-69 years, male 266.4
GTEX-1I1GQ-2226-SM-B2LX1 50-59 years, male 266.4
GTEX-14JG6-0426-SM-68715 30-39 years, female 265.7
GTEX-1MUQO-1426-SM-DPRYJ 60-69 years, male 265.6
GTEX-RM2N-0326-SM-48FD8 50-59 years, male 262.8
GTEX-1IDJU-0326-SM-CGQEE 60-69 years, female 260.8
GTEX-14PHY-1126-SM-664OR 60-69 years, female 258.7
GTEX-WH7G-0826-SM-4LVMR 40-49 years, male 258.7
GTEX-14ICL-1126-SM-5S2RE 30-39 years, male 254.0
GTEX-1I4MK-1026-SM-AHZ2H 50-59 years, female 251.8
GTEX-18D9U-1626-SM-7KFTW 40-49 years, male 251.3
GTEX-11NSD-0526-SM-5A5LT 20-29 years, male 250.4
GTEX-13O61-2126-SM-5IJEO 60-69 years, male 250.3
GTEX-P4PP-1026-SM-3NM9O 30-39 years, female 249.6
GTEX-145MO-2126-SM-5Q5CZ 60-69 years, male 249.0
GTEX-TML8-0526-SM-32QOQ 40-49 years, female 248.9
GTEX-1F5PL-0726-SM-7MKH8 40-49 years, female 248.7
GTEX-QEL4-1326-SM-447AD 50-59 years, male 247.5
GTEX-1LG7Z-0326-SM-DHXK3 30-39 years, male 247.5
GTEX-1GMR3-1226-SM-7MGY1 40-49 years, male 246.9
GTEX-13O1R-1826-SM-5KM3B 60-69 years, male 246.6
GTEX-15DYW-1626-SM-6LLI1 60-69 years, female 246.1
GTEX-1J8EW-1926-SM-CGQGR 60-69 years, female 245.0
GTEX-ZPIC-0926-SM-4WWFK 40-49 years, female 244.4
GTEX-WFG8-0326-SM-4LVN4 20-29 years, male 244.2
GTEX-12WSD-1626-SM-5GCNR 60-69 years, female 244.0
GTEX-ZG7Y-0326-SM-4WWEY 50-59 years, male 243.4
GTEX-146FQ-1526-SM-5Q5CX 30-39 years, male 242.5
GTEX-WHPG-0326-SM-4M1XV 50-59 years, male 241.4
GTEX-XUW1-1726-SM-4BOOZ 50-59 years, female 240.7
GTEX-1PFEY-1126-SM-DPRZ3 30-39 years, male 240.6
GTEX-QLQW-0326-SM-447A8 30-39 years, male 240.1
GTEX-XBEW-1626-SM-4SOJP 40-49 years, male 239.9
GTEX-S33H-1226-SM-4AD69 30-39 years, male 239.8
GTEX-ZZPU-0726-SM-5N9C8 50-59 years, female 239.2
GTEX-ZYY3-0826-SM-5E44R 60-69 years, female 238.4
GTEX-1QEPI-1626-SM-EAZ3I 60-69 years, female 237.5
GTEX-UJHI-0626-SM-3DB8T 50-59 years, female 237.4
GTEX-13W3W-1026-SM-5IFG4 60-69 years, female 237.2
GTEX-SNOS-0926-SM-4DM7A 40-49 years, male 236.9
GTEX-QESD-0226-SM-447BH 20-29 years, male 236.6
GTEX-ZYT6-1326-SM-5E453 30-39 years, male 236.4
GTEX-WFG7-0426-SM-4LMK5 20-29 years, male 236.0
GTEX-13U4I-1526-SM-5IFFF 40-49 years, female 235.5
GTEX-14PKV-0926-SM-6AJB4 20-29 years, female 235.5
GTEX-12BJ1-1126-SM-5EGGG 60-69 years, male 235.2
GTEX-14PN4-1626-SM-6AJB5 50-59 years, male 235.1
GTEX-12WSG-1026-SM-5EGII 50-59 years, female 234.4
GTEX-RWS6-1126-SM-47JXC 60-69 years, female 233.6
GTEX-ZTPG-1026-SM-5DUWP 20-29 years, female 233.6
GTEX-1M5QR-0926-SM-DHXK8 40-49 years, male 233.6
GTEX-PLZ6-0726-SM-3P619 30-39 years, male 232.8
GTEX-TMMY-1326-SM-4DXU9 40-49 years, female 232.6
GTEX-1S83E-1426-SM-EV7B8 40-49 years, male 232.5
GTEX-T8EM-0826-SM-4DM76 40-49 years, male 232.2
GTEX-VJYA-0826-SM-4KL1M 60-69 years, male 231.4
GTEX-YEC4-1326-SM-5IFHG 40-49 years, male 230.4
GTEX-13CF3-1026-SM-5LZWY 60-69 years, female 230.2
GTEX-WHSB-0726-SM-4M1XQ 50-59 years, male 229.1
GTEX-1QP29-1926-SM-DPRZO 50-59 years, male 228.9
GTEX-148VI-0826-SM-5TDDI 60-69 years, female 228.4
GTEX-1CAMR-1126-SM-7MGXF 20-29 years, male 228.2
GTEX-13FH7-1426-SM-5IFIC 50-59 years, female 227.7
GTEX-1K2DU-1026-SM-DHXKC 20-29 years, male 227.3
GTEX-X15G-0726-SM-4PQZ5 50-59 years, female 226.8
GTEX-1122O-0726-SM-5GIEV 60-69 years, female 226.6
GTEX-WQUQ-2126-SM-4OOSO 60-69 years, male 226.6
GTEX-XQ8I-1926-SM-4BOOK 50-59 years, male 225.8
GTEX-Y3I4-0826-SM-4TT2A 50-59 years, male 225.2
GTEX-YB5K-1826-SM-5IFJC 40-49 years, female 225.1
GTEX-S3XE-0526-SM-4AD4G 50-59 years, male 224.7
GTEX-Y8E4-1326-SM-5IFIY 40-49 years, male 224.7
GTEX-YB5E-0526-SM-4VDSD 40-49 years, male 223.8
GTEX-14PJ6-0926-SM-686ZA 60-69 years, female 223.1
GTEX-QDVJ-1226-SM-48U1V 50-59 years, male 223.0
GTEX-R55D-1426-SM-48FEN 50-59 years, male 222.8
GTEX-13OVI-0526-SM-5IFFQ 60-69 years, female 222.3
GTEX-QLQ7-0626-SM-CE6QX 60-69 years, male 222.3
GTEX-SE5C-0326-SM-4BRWX 40-49 years, female 222.1
GTEX-Y5LM-0526-SM-4V6G3 40-49 years, female 222.1
GTEX-XMK1-0326-SM-4B652 40-49 years, male 221.3
GTEX-PSDG-1526-SM-48TCY 50-59 years, male 221.1
GTEX-ZDYS-2526-SM-4WKGU 50-59 years, male 220.9
GTEX-XGQ4-0226-SM-4GIDS 50-59 years, male 220.6
GTEX-1A8FM-1826-SM-7MGXO 50-59 years, female 220.2
GTEX-1OFPY-0626-SM-EXOJ4 60-69 years, male 219.5
GTEX-14PN3-0126-SM-6AJAU 60-69 years, female 219.3
GTEX-1LGRB-0426-SM-CNNRD 50-59 years, female 219.3
GTEX-1AYCT-1226-SM-7EPGH 50-59 years, male 218.4
GTEX-QV44-0426-SM-4R1KF 50-59 years, male 218.1
GTEX-11EQ9-1026-SM-5H134 30-39 years, male 217.5
GTEX-117YX-0226-SM-5EGH6 50-59 years, male 217.3
GTEX-14PJ3-0426-SM-6LLHF 50-59 years, male 217.3
GTEX-1QP28-1026-SM-EAZ4K 50-59 years, female 217.3
GTEX-X4LF-0326-SM-4QAS9 50-59 years, male 217.1
GTEX-1A3MW-1926-SM-7IGM8 60-69 years, female 216.9
GTEX-1211K-1126-SM-5EGGB 60-69 years, female 216.6
GTEX-WI4N-1826-SM-4OOSF 40-49 years, female 216.5
GTEX-111YS-1226-SM-5EGGJ 60-69 years, male 215.2
GTEX-PW2O-0826-SM-48TC5 20-29 years, male 215.1
GTEX-YEC3-0626-SM-CMKFG 50-59 years, male 215.0
GTEX-13VXT-1226-SM-5LU3M 20-29 years, female 214.2
GTEX-QMRM-0326-SM-CKZNB 50-59 years, male 212.6
GTEX-1GN1W-1126-SM-9OSW3 50-59 years, female 212.5
GTEX-11LCK-0226-SM-5A5M6 30-39 years, male 212.1
GTEX-PX3G-1026-SM-48TZW 20-29 years, female 211.9
GTEX-145ME-0326-SM-5S2QO 40-49 years, female 211.5
GTEX-1IDJC-0526-SM-AHZ2Q 50-59 years, male 211.5
GTEX-15UKP-1326-SM-6LPI8 20-29 years, male 211.1
GTEX-NFK9-1626-SM-3LK5J 40-49 years, male 210.2
GTEX-13PVR-0726-SM-5S2PX 60-69 years, female 209.9
GTEX-ZP4G-0426-SM-4YCER 20-29 years, female 209.6
GTEX-ZPU1-0226-SM-4WWC9 40-49 years, male 209.5
GTEX-P4QS-1026-SM-3NMCW 60-69 years, male 209.2
GTEX-X3Y1-0726-SM-3P5YU 40-49 years, male 208.4
GTEX-1KXAM-0226-SM-EV7AP 60-69 years, male 207.4
GTEX-Q2AI-0426-SM-48U13 40-49 years, male 207.3
GTEX-1IL2U-2326-SM-CNNQV 60-69 years, male 207.1
GTEX-1MGNQ-1226-SM-EV7BM 40-49 years, male 207.1
GTEX-11TT1-0326-SM-5LUAY 20-29 years, male 206.7
GTEX-15FZZ-0626-SM-7KFTO 30-39 years, female 206.3
GTEX-14AS3-0326-SM-5Q5DB 40-49 years, female 206.2
GTEX-15EU6-1126-SM-68721 50-59 years, male 206.2
GTEX-1I1GT-0926-SM-AHZ2G 60-69 years, female 205.8
GTEX-WYJK-2426-SM-4ONDQ 50-59 years, male 205.6
GTEX-Y8LW-1026-SM-5IFJY 50-59 years, female 205.5
GTEX-ZDTT-1126-SM-4WKFW 60-69 years, male 205.2
GTEX-V955-0326-SM-4JBGV 60-69 years, male 204.7
GTEX-XV7Q-0926-SM-4BRVQ 40-49 years, female 204.6
GTEX-15RIF-0626-SM-6LLI3 20-29 years, male 204.2
GTEX-S4P3-0626-SM-4AD59 50-59 years, female 204.1
GTEX-1C2JI-0926-SM-731F1 50-59 years, male 203.6
GTEX-Q734-0426-SM-48TZX 40-49 years, female 203.5
GTEX-OOBK-1026-SM-48TC2 40-49 years, male 203.0
GTEX-Y114-0826-SM-4TT77 50-59 years, female 203.0
GTEX-11VI4-0426-SM-5EGHZ 40-49 years, female 202.5
GTEX-1QW4Y-0926-SM-DPRY2 30-39 years, male 202.5
GTEX-1GF9X-1126-SM-7MKHC 40-49 years, female 202.1
GTEX-T5JW-0226-SM-4DM7I 20-29 years, female 202.0
GTEX-13FTX-1226-SM-5IFGN 20-29 years, female 201.9
GTEX-SUCS-1426-SM-4DM5W 70-79 years, male 201.8
GTEX-17KNJ-1926-SM-7KFRV 50-59 years, male 200.8
GTEX-OHPM-1026-SM-3LK74 50-59 years, male 200.6
GTEX-R53T-0426-SM-48FEM 50-59 years, female 199.8
GTEX-1399S-0326-SM-5IFFS 30-39 years, female 199.6
GTEX-14E6E-1426-SM-5RQI2 30-39 years, male 199.4
GTEX-WY7C-1026-SM-4OND3 50-59 years, male 199.4
GTEX-1H23P-2026-SM-9OSXY 60-69 years, male 199.0
GTEX-18A66-2126-SM-7189D 60-69 years, male 198.3
GTEX-144FL-1526-SM-5Q5CA 50-59 years, male 198.0
GTEX-146FR-0126-SM-5Q5F3 60-69 years, female 198.0
GTEX-XBED-0226-SM-47JY8 60-69 years, male 197.9
GTEX-XXEK-1726-SM-4BRVB 50-59 years, male 197.9
GTEX-TKQ2-0426-SM-4DXUO 50-59 years, male 197.5
GTEX-131XG-1426-SM-5GCMO 50-59 years, female 197.3
GTEX-1K2DA-0326-SM-CGQGX 50-59 years, male 197.0
GTEX-1R7EV-1126-SM-DPRXU 40-49 years, male 196.6
GTEX-WFON-0626-SM-4LVLX 40-49 years, male 196.3
GTEX-Y3IK-0426-SM-4WWE2 50-59 years, female 196.3
GTEX-13N11-0226-SM-5KM3C 50-59 years, female 196.2
GTEX-1339X-1026-SM-5IFH5 40-49 years, male 196.0
GTEX-1RAZQ-1426-SM-EV7B2 30-39 years, male 195.9
GTEX-14PJ4-0726-SM-6872E 60-69 years, male 194.9
GTEX-1B933-1726-SM-731FC 50-59 years, female 194.4
GTEX-ZF29-1126-SM-4WKGO 60-69 years, female 193.4
GTEX-14C39-1026-SM-73KWG 40-49 years, male 193.2
GTEX-11DXX-0926-SM-5H112 60-69 years, female 193.1
GTEX-14DAR-0526-SM-664MX 50-59 years, male 193.0
GTEX-W5WG-0826-SM-4RGNE 50-59 years, female 192.9
GTEX-1LVAN-1226-SM-CNNQY 50-59 years, female 192.9
GTEX-1B996-1326-SM-731EO 60-69 years, male 192.8
GTEX-145MN-1426-SM-5SI9H 30-39 years, male 192.1
GTEX-111CU-0526-SM-5EGHK 50-59 years, male 191.7
GTEX-11I78-0626-SM-5A5LZ 50-59 years, female 191.5
GTEX-1HSMO-2026-SM-CNNQO 60-69 years, male 191.0
GTEX-1KANA-1526-SM-CXZKG 20-29 years, male 190.4
GTEX-13D11-2226-SM-5IFEO 50-59 years, female 190.2
GTEX-14PJ2-1526-SM-686Z4 50-59 years, male 189.9
GTEX-15CHR-2026-SM-7MXU2 50-59 years, male 189.7
GTEX-1PPH8-2326-SM-EAZ48 20-29 years, male 189.4
GTEX-132AR-1826-SM-5EGHR 50-59 years, female 188.9
GTEX-S95S-0726-SM-4B64H 60-69 years, male 188.7
GTEX-1CAMS-1926-SM-7DUEU 40-49 years, female 188.5
GTEX-1IDJD-0126-SM-C1YQZ 30-39 years, male 188.2
GTEX-132QS-0926-SM-5P9GB 60-69 years, male 188.1
GTEX-N7MT-1626-SM-3LK71 60-69 years, female 187.8
GTEX-S32W-0826-SM-4AD5Z 50-59 years, female 187.8
GTEX-1GZ4H-0626-SM-9OSXJ 50-59 years, female 187.7
GTEX-1QPFJ-2226-SM-EXOJW 30-39 years, female 187.6
GTEX-Y9LG-0726-SM-4VDS3 30-39 years, male 186.8
GTEX-1R7EU-0726-SM-DPRZM 60-69 years, male 186.4
GTEX-1J8Q3-0626-SM-AHZ3V 60-69 years, male 184.8
GTEX-WHWD-0726-SM-4OORX 50-59 years, male 184.7
GTEX-11ONC-0526-SM-5BC57 60-69 years, male 184.3
GTEX-ZLFU-0726-SM-57WF6 40-49 years, male 183.4
GTEX-XPVG-0326-SM-4B653 50-59 years, male 181.4
GTEX-1GL5R-0926-SM-9JGFO 50-59 years, male 180.7
GTEX-ZYW4-2126-SM-59HJ9 60-69 years, male 180.3
GTEX-131XF-1426-SM-5BC68 60-69 years, male 180.1
GTEX-12WSN-0826-SM-5GCOF 40-49 years, male 179.4
GTEX-17F98-0426-SM-79ONZ 40-49 years, female 179.3
GTEX-Q2AH-0926-SM-48TZK 40-49 years, male 179.2
GTEX-ZAB5-0826-SM-5P9FU 50-59 years, male 178.9
GTEX-NPJ8-2126-SM-3MJGK 40-49 years, male 178.7
GTEX-WFJO-0626-SM-4LVMC 30-39 years, male 178.6
GTEX-ZV7C-0726-SM-59HKH 50-59 years, male 178.6
GTEX-1RAZA-1626-SM-EV79I 20-29 years, male 178.2
GTEX-14PKU-0626-SM-6EU1Q 40-49 years, female 177.7
GTEX-ZF3C-2026-SM-4WWB5 50-59 years, female 177.6
GTEX-1H1E6-0826-SM-9WG83 30-39 years, male 177.6
GTEX-1399U-0926-SM-5IFHA 50-59 years, female 177.3
GTEX-13YAN-2126-SM-5Q5C4 60-69 years, male 176.4
GTEX-178AV-0226-SM-793B7 40-49 years, male 176.2
GTEX-1S82P-1026-SM-EAZ4W 60-69 years, female 175.5
GTEX-OIZF-1026-SM-2HML5 60-69 years, male 175.2
GTEX-1I1GU-0326-SM-AHZ2K 40-49 years, male 175.1
GTEX-17HGU-2026-SM-79OKS 50-59 years, male 174.9
GTEX-WYVS-0926-SM-4SOJV 40-49 years, female 174.3
GTEX-P4PQ-1026-SM-3NMCN 60-69 years, male 174.1
GTEX-14PHX-2026-SM-6872C 50-59 years, male 173.9
GTEX-1HSGN-1426-SM-A8NAA 40-49 years, female 173.7
GTEX-1NSGN-1726-SM-EXOJG 50-59 years, male 173.3
GTEX-ZPCL-0726-SM-DO91S 60-69 years, female 173.3
GTEX-1128S-0826-SM-5GZZI 60-69 years, female 173.1
GTEX-139YR-1526-SM-5IFJ1 50-59 years, male 173.1
GTEX-V1D1-0726-SM-4JBH7 50-59 years, male 173.0
GTEX-ZVT2-2026-SM-5NQ8Q 50-59 years, female 172.4
GTEX-15UF6-1826-SM-6LLI9 70-79 years, female 172.3
GTEX-1CB4G-1826-SM-7MKGO 60-69 years, male 171.1
GTEX-1K9T9-1726-SM-CXZK1 50-59 years, female 170.3
GTEX-1HKZK-1126-SM-9WG82 40-49 years, male 170.1
GTEX-13X6H-0626-SM-5LU53 50-59 years, female 169.9
GTEX-11P7K-0526-SM-5BC5I 30-39 years, male 168.9
GTEX-ZYFG-0826-SM-5BC5T 60-69 years, female 168.8
GTEX-1QP2A-1326-SM-EAZ3K 50-59 years, male 167.8
GTEX-ZT9W-0926-SM-57WFS 50-59 years, male 167.5
GTEX-1H11D-0926-SM-9OSXO 40-49 years, male 167.5
GTEX-15UF7-0826-SM-6M46E 40-49 years, male 167.2
GTEX-15RJ7-0826-SM-6LLI8 40-49 years, male 165.9
GTEX-1QAET-1326-SM-E9U64 50-59 years, male 165.7
GTEX-1PWST-1526-SM-EXOIT 70-79 years, male 165.2
GTEX-XYKS-1226-SM-4BRVI 60-69 years, female 164.7
GTEX-YFCO-1026-SM-5LU9S 40-49 years, male 164.5
GTEX-OHPL-1026-SM-3MJGI 60-69 years, female 164.0
GTEX-1N2EF-2126-SM-DPRYL 60-69 years, male 163.8
GTEX-R55G-0326-SM-48FDM 40-49 years, female 163.7
GTEX-1S831-0626-SM-EV79N 20-29 years, male 162.2
GTEX-15SDE-0826-SM-6M463 50-59 years, female 161.9
GTEX-17F9E-1426-SM-793BG 50-59 years, male 160.1
GTEX-OIZI-1526-SM-E6CHI 40-49 years, male 159.8
GTEX-18A67-1726-SM-7KFT9 50-59 years, male 159.5
GTEX-1C64O-1426-SM-7EWER 60-69 years, male 158.7
GTEX-UJMC-1126-SM-3GADP 50-59 years, male 158.3
GTEX-1399R-0426-SM-5IJE3 30-39 years, male 157.8
GTEX-1B8KE-0726-SM-72D7G 50-59 years, male 157.5
GTEX-144GM-0726-SM-79OJQ 20-29 years, male 156.1
GTEX-1JKYR-1026-SM-CGQGI 20-29 years, male 154.1
GTEX-1JMPZ-1026-SM-CXZJS 30-39 years, male 154.0
GTEX-1JK1U-1026-SM-AHZ44 60-69 years, male 153.3
GTEX-O5YT-1026-SM-3MJGF 20-29 years, male 153.1
GTEX-1AMFI-0726-SM-731D9 50-59 years, female 150.1
GTEX-17HHE-0526-SM-7DUGR 50-59 years, male 149.1
GTEX-15SB6-0226-SM-6LLIA 50-59 years, female 148.8
GTEX-1B97J-1526-SM-79ONI 50-59 years, female 148.4
GTEX-1C4CL-0926-SM-79OL2 30-39 years, male 146.8
GTEX-1CB4I-1326-SM-79OLY 50-59 years, male 146.6
GTEX-144GN-0826-SM-5LU5G 50-59 years, male 145.4
GTEX-U8XE-2026-SM-3DB8S 30-39 years, male 145.2
GTEX-131XE-1926-SM-5IFER 50-59 years, male 145.0
GTEX-1GN1U-1126-SM-9WPPZ 50-59 years, female 144.5
GTEX-ZVZP-0626-SM-59HL5 50-59 years, male 143.9
GTEX-ZVP2-0726-SM-59HKY 50-59 years, male 142.1
GTEX-OXRK-1526-SM-E6CHJ 50-59 years, female 141.7
GTEX-1AX9J-1726-SM-731FF 60-69 years, male 140.5
GTEX-1JKYN-0426-SM-CGQG2 30-39 years, male 140.4
GTEX-1497J-0426-SM-5Q5CO 60-69 years, male 140.2
GTEX-VUSG-0326-SM-3GIJ7 50-59 years, male 140.2
GTEX-WXYG-0826-SM-4ONC7 50-59 years, female 140.2
GTEX-13PL7-2226-SM-5L3IC 60-69 years, female 138.4
GTEX-QDVN-0926-SM-2I5GL 50-59 years, male 134.7
GTEX-ZC5H-0826-SM-5N9FH 40-49 years, female 134.0
GTEX-12WSK-0226-SM-5BC62 40-49 years, female 133.8
GTEX-1R9K5-1226-SM-E6CPQ 50-59 years, male 132.3
GTEX-U4B1-0726-SM-4DXUA 40-49 years, male 132.1
GTEX-1B932-1626-SM-731EA 40-49 years, female 130.8
GTEX-14PK6-1026-SM-664NZ 70-79 years, female 130.7
GTEX-12WSL-0426-SM-5GCNX 50-59 years, male 129.1
GTEX-QCQG-0426-SM-48U29 50-59 years, female 123.5
GTEX-1CB4F-1226-SM-7DHKU 60-69 years, male 122.8
GTEX-X5EB-0526-SM-46MVP 40-49 years, male 121.9
GTEX-1AYD5-0326-SM-7EWEO 50-59 years, male 119.2
GTEX-1AX8Z-1726-SM-731DE 60-69 years, male 117.1
GTEX-1B8KZ-0926-SM-731D7 50-59 years, male 108.5
GTEX-16MT8-1726-SM-7EWE7 60-69 years, female 100.8
GTEX-14BMU-0726-SM-73KXS 20-29 years, female 89.8
Show allShow less

PANCREAS - FANTOM5 CAGEi

RNA expression in human tissues obtained through Cap Analysis of Gene Expression (CAGE) generated by the FANTOM5 project are reported as Scaled Tags Per Million.

Max subtype Scaled Tags Per Millioni

Max subtype Scaled Tags Per Million is the value for the subtype with the largest average Scaled Tags Per Million across the subtype samples.

214.3
FANTOM5 sample id Sample description Scaled Tags Per Million
Pancreas
Scaled Tags Per Million: 214.3
FF:10049-101G4 52 years, male 214.3

Contact

  • NEWS ARTICLES
  • PRESS ROOM

The Project

  • INTRODUCTION
  • ORGANIZATION
  • PUBLICATIONS

The Human Protein Atlas

  • DOWNLOADABLE DATA
  • LICENCE & CITATION
  • HELP & FAQ
The Human Protein Atlas project is funded
by the Knut & Alice Wallenberg Foundation.


contact@proteinatlas.org