We use cookies to enhance the usability of our website. If you continue, we'll assume that you are happy to receive all cookies. More information. Don't show this again.
NDUFB7
HPA
RESOURCES
  • TISSUE
  • BRAIN
  • SINGLE CELL
  • SUBCELLULAR
  • CANCER
  • BLOOD
  • CELL LINE
  • STRUCTURE & INTERACTION
ABOUT
  • INTRODUCTION
  • HISTORY
  • ORGANIZATION
  • PUBLICATIONS
  • ANTIBODY SUBMISSION
  • ANTIBODY AVAILABILITY
  • ACKNOWLEDGMENTS
  • CONTACT
NEWS
  • NEWS ARTICLES
  • PRESS ROOM
LEARN
  • DICTIONARY
  • PROTEIN CLASSES
  • PROTEIN EVIDENCE
  • METHODS
  • EDUCATIONAL VIDEOS
DATA
  • DOWNLOADABLE DATA
  • PUBLICATION DATA
  • RELEASE HISTORY
HELP
  • ANTIBODY VALIDATION
  • ASSAYS & ANNOTATION
  • DISCLAIMER
  • HELP & FAQ
  • PRIVACY STATEMENT
  • LICENCE & CITATION
Fields »
Search result

Field
Term
Gene name
Class
Subclass
Class
Keyword
Chromosome
External id
Tissue
Cell type
Expression
Antibody panel
Tissue
Main location
Patient ID
Annotation
Tissue
Category
Tau score
Cluster
Reliability
Brain region
Category
Tau score
Brain region
Category
Tau score
Brain region
Category
Tau score
Cluster
Reliability
Tissue
Cell type
Enrichment
Cell type
Category
Tau score
Cell type
Category
Tau score
Cell type
Category
Tau score
Cell lineage
Category
Tau score
Cluster
Cluster
Location
Searches
Location
Cell line
Class
Type
Phase
Reliability
Cancer
Prognosis
Cancer
Category
Cancer
Category
Tau score
Cluster
Variants
Interacting gene (ensg_id)
Type
Number of interactions
Pathway
Category
Score
Score
Score
Validation
Validation
Validation
Validation
Antibodies
Data type
Column


  • SUMMARY

  • TISSUE

  • BRAIN

  • SINGLE CELL

  • SUBCELL

  • CANCER

  • BLOOD

  • CELL LINE

  • STRUCT & INT

  • NDUFB7
TISSUE PRIMARY DATA SKIN Show tissue menu
ADIPOSE TISSUE ADRENAL GLAND AMYGDALA APPENDIX BASAL GANGLIA BONE MARROW BREAST BRONCHUS CEREBELLUM CEREBRAL CORTEX CERVIX CHOROID PLEXUS COLON DUODENUM
ENDOMETRIUM EPIDIDYMIS ESOPHAGUS FALLOPIAN TUBE GALLBLADDER HEART MUSCLE HIPPOCAMPAL FORMATION HYPOTHALAMUS KIDNEY LIVER LUNG LYMPH NODE MIDBRAIN NASOPHARYNX
ORAL MUCOSA OVARY PANCREAS PARATHYROID GLAND PITUITARY GLAND PLACENTA PROSTATE RECTUM RETINA SALIVARY GLAND SEMINAL VESICLE SKELETAL MUSCLE SKIN SMALL INTESTINE
SMOOTH MUSCLE SOFT TISSUE SPINAL CORD SPLEEN STOMACH TESTIS THYMUS THYROID GLAND TONGUE TONSIL URINARY BLADDER VAGINA
ANTIBODIES
AND
VALIDATION
Dictionary
Skin
Tissue proteome
Skin
SKIN - Expression summary
Protein expression
Skini

On the top, protein expression in current human tissue, based on all annotated cell types, is reported with the units not detected (n), low (l), medium (m) and high (h). Underneath, protein expression in each annotated cell type are reported using the same units.

Protein expression data is based on knowledge-based annotation. For genes where more than one antibody has been used, a collective score is set.

If knowledge-based annotation could not be performed for a gene, no data is displayed here. View antibody staining data further down this page.

h
m
l
n
Epidermal cells: Medium
Fibroblasts: Not detected
Keratinocytes: Medium
Langerhans: Not detected
Melanocytes: Not detected
RNA expressioni

A summary of mRNA expression data available for current tissue based on several datasets. The mRNA expression levels in human tissues are based on RNA-seq data generated by the Human Protein Atlas (HPA), Genotype-Tissue Expression (GTEx) portal and CAGE data generated by the FANTOM5 consortium. Consensus normalized expression levels for human tissues was created by combining the data from HPA and GTEx datasets.

The mRNA expression levels in pig are based on RNA-seq data generated by the Human Protein Atlas (HPA), and for mouse, HPA data and in situ hybridization generated by the Allen brain atlas are reported.

Scroll down to view mRNA expression data in more detail.
Consensus:183.6 nTPM
HPA:67.1 nTPM
GTEx:183.6 nTPM

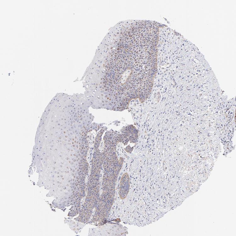
SKIN 1 - Antibody stainingi

Antibody staining in the annotated cell types in the current human tissue is reported as not detected, low, medium, or high, based on conventional immunohistochemistry profiling in selected tissues. This score is based on the combination of the staining intensity and fraction of stained cells.

Each image is clickable and will lead to virtual microscopy that enables deeper exploration of all samples and also displays staining intensity scores, fraction scores and subcellular localization as well as patient and tissue information for each sample.

Antibody HPA002817
Langerhans Not detected
Fibroblasts Not detected
Keratinocytes Medium
Melanocytes Not detected


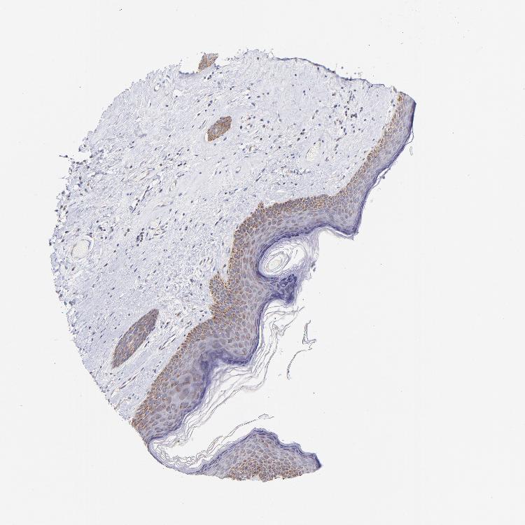
SKIN 2 - Antibody stainingi

Antibody staining in the annotated cell types in the current human tissue is reported as not detected, low, medium, or high, based on conventional immunohistochemistry profiling in selected tissues. This score is based on the combination of the staining intensity and fraction of stained cells.

Each image is clickable and will lead to virtual microscopy that enables deeper exploration of all samples and also displays staining intensity scores, fraction scores and subcellular localization as well as patient and tissue information for each sample.

Antibody HPA002817
Epidermal cells Medium
 
 
 



SKIN - HPA RNA-seqi

The RNA-seq details section shows detailed information about the individual samples used for the transcript profiling and results of the RNA-seq analysis.

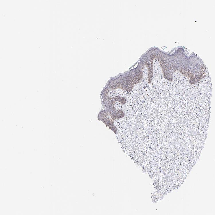
Information about each individual sample is listed below, including gender, age, a tissue section image and estimated fractions of cell types. nTPM (normalized transcripts per million) values give a quantification of the gene abundance which is comparable between different genes and samples.
Average nTPMi

Max subtype nTPM is the value for the subtype with the largest average nTPM across the subtype samples.

67.1
overview
Female, age 34
Skin sample 225
nTPM: 57.8
Cell types%
Keratinocytes:
60

Other cell types:
40

overview
Female, age 30
Skin sample 226
nTPM: 26.3
Cell types%
Keratinocytes:
55

Other cell types:
45

N/A
Male, age 57
Skin sample 227
nTPM: 117.1

SKIN - GTEx RNA-seqi

RNA-Seq data generated by the Genotype-Tissue Expression (GTEx) project from human tissues is reported as mean nTPM. More information can be found on the GTEx portal.

Distribution across the dataset is visualized with box plots, shown as median and 25th and 75th percentiles. Points are displayed as outliers if they are above or below 1.5 times the interquartile range. nTPM values of the individual samples are presented next to the box plot.
Max subtype nTPMi

Max subtype nTPM is the value for the subtype with the largest average nTPM across the subtype samples.

183.6
GTEx sample id Sample description nTPM
Skin - Not Sun Exposed (Suprapubic)
Average nTPM: 183.6
Samples: 604

Max nTPM: 457.0
Min nTPM: 89.8
Std nTPM: 50.4
Median nTPM: 173.0
GTEX-1PIGE-1826-SM-E8VOU 20-29 years, male 457.0
GTEX-15RIG-0726-SM-7KUM7 40-49 years, male 421.9
GTEX-Y114-2126-SM-4TT8B 50-59 years, female 411.7
GTEX-Y5V6-2326-SM-4VDSA 60-69 years, male 409.6
GTEX-1OJC3-1226-SM-DTXER 20-29 years, male 403.6
GTEX-1IKOE-1426-SM-CE6T7 30-39 years, female 368.2
GTEX-14PJ3-1126-SM-5ZZVX 50-59 years, male 360.9
GTEX-1E2YA-2126-SM-7MXUO 50-59 years, male 359.2
GTEX-15RIE-1926-SM-7KUKJ 60-69 years, male 341.5
GTEX-X585-2426-SM-46MW2 50-59 years, male 341.1
GTEX-11DYG-1526-SM-5A5JS 60-69 years, male 329.0
GTEX-1PPH8-0126-SM-EWRN8 20-29 years, male 326.9
GTEX-1HSMP-0926-SM-A9SKX 70-79 years, male 325.5
GTEX-ZF3C-0626-SM-DO92O 50-59 years, female 318.8
GTEX-11OF3-0126-SM-5PNYF 60-69 years, male 318.7
GTEX-WFG7-2026-SM-5SI7P 20-29 years, male 318.4
GTEX-ZPCL-1126-SM-4WWFE 60-69 years, female 316.2
GTEX-17F97-2626-SM-7IGM5 50-59 years, male 310.6
GTEX-145MG-1526-SM-5Q5EM 50-59 years, male 306.3
GTEX-WI4N-2726-SM-3LK7Y 40-49 years, female 305.2
GTEX-14E1K-2026-SM-7DUEI 50-59 years, male 304.1
GTEX-1CAMR-1326-SM-7PC1F 20-29 years, male 298.0
GTEX-131XH-0126-SM-5LZUY 50-59 years, male 295.1
GTEX-XBEW-1126-SM-4QARW 40-49 years, male 291.0
GTEX-147F4-0726-SM-5TDDD 50-59 years, male 290.9
GTEX-ZDTS-0826-SM-4WKHL 60-69 years, male 289.4
GTEX-Y111-0626-SM-4SOIT 50-59 years, male 287.2
GTEX-1QP9N-1226-SM-E76QN 30-39 years, male 282.7
GTEX-16YQH-2226-SM-7IGM2 30-39 years, male 277.3
GTEX-1S3DN-2126-SM-E9TIN 50-59 years, male 276.7
GTEX-XQ3S-1426-SM-4BOPR 20-29 years, male 274.9
GTEX-XOT4-0626-SM-4B66L 60-69 years, female 271.3
GTEX-1H1ZS-2726-SM-9WG75 70-79 years, male 270.0
GTEX-1F6I4-2326-SM-7RHGL 60-69 years, male 268.3
GTEX-11P7K-1126-SM-5HL4L 30-39 years, male 264.7
GTEX-15G19-2426-SM-7KUMR 60-69 years, male 264.7
GTEX-13SLX-2226-SM-62LEP 50-59 years, female 260.9
GTEX-1JMLX-0626-SM-ARL8T 50-59 years, male 259.9
GTEX-XYKS-1426-SM-4BRUO 60-69 years, female 258.5
GTEX-Y3IK-1626-SM-4YCF5 50-59 years, female 257.0
GTEX-17HHE-1326-SM-7EWDZ 50-59 years, male 256.4
GTEX-12WSJ-1126-SM-5LZVJ 40-49 years, female 254.7
GTEX-1N2DV-1526-SM-DTXEP 40-49 years, male 254.6
GTEX-1QCLY-0226-SM-EWRNH 30-39 years, male 253.2
GTEX-WH7G-2026-SM-3NMBL 40-49 years, male 249.3
GTEX-13NYB-0126-SM-5J1MD 40-49 years, male 249.2
GTEX-1C6WA-2626-SM-7MKGM 60-69 years, male 248.2
GTEX-1R9PM-1926-SM-EVR3O 20-29 years, male 247.5
GTEX-1LBAC-0826-SM-CY8IJ 20-29 years, male 246.2
GTEX-YECK-0326-SM-4W1YS 60-69 years, male 246.0
GTEX-1K2DA-1026-SM-CGQGF 50-59 years, male 245.9
GTEX-ZYW4-0626-SM-59HJR 60-69 years, male 245.7
GTEX-ZTX8-1326-SM-4YCEL 20-29 years, male 245.6
GTEX-1192X-2726-SM-5N9DN 50-59 years, male 245.0
GTEX-11PRG-0726-SM-5EGL1 50-59 years, male 245.0
GTEX-ZPU1-1126-SM-4YCF3 40-49 years, male 244.3
GTEX-1H3O1-1326-SM-9MQLD 60-69 years, male 243.6
GTEX-ZE7O-2726-SM-51MT5 50-59 years, female 243.2
GTEX-14PHY-1226-SM-5ZZWK 60-69 years, female 243.1
GTEX-1C64O-1326-SM-7MGWR 60-69 years, male 242.3
GTEX-139TS-2126-SM-5K7XC 60-69 years, male 240.8
GTEX-111VG-1626-SM-5EGIO 60-69 years, male 240.6
GTEX-12126-0826-SM-5FQTZ 20-29 years, male 240.3
GTEX-YEC4-1826-SM-4W1YP 40-49 years, male 239.9
GTEX-ZT9X-1526-SM-5DUXD 40-49 years, male 239.8
GTEX-1LVAN-0626-SM-CNPOQ 50-59 years, female 239.0
GTEX-17F96-0126-SM-7EWDU 70-79 years, male 238.7
GTEX-1LKK1-2626-SM-DKPQE 50-59 years, female 238.7
GTEX-15RJ7-2126-SM-6PAMD 40-49 years, male 238.5
GTEX-15RJE-2826-SM-7KUM9 40-49 years, male 237.9
GTEX-1399Q-2326-SM-5KM2X 40-49 years, male 237.2
GTEX-14ICL-1626-SM-5YYAO 30-39 years, male 236.9
GTEX-11DXZ-2026-SM-5987S 50-59 years, male 236.8
GTEX-1CAMS-2226-SM-7PBXQ 40-49 years, female 235.9
GTEX-11DXX-2126-SM-5PNYR 60-69 years, female 235.3
GTEX-WXYG-2026-SM-4E3IY 50-59 years, female 235.3
GTEX-1LSNM-0826-SM-DIPG8 50-59 years, male 234.6
GTEX-1399R-1326-SM-5PNYS 30-39 years, male 234.4
GTEX-ZP4G-1426-SM-4WWCL 20-29 years, female 233.9
GTEX-1HCUA-0826-SM-ADEHM 50-59 years, female 233.3
GTEX-1PIIG-2326-SM-DTXFR 30-39 years, male 232.8
GTEX-16MTA-0926-SM-6M47Z 50-59 years, male 232.5
GTEX-15DYW-2726-SM-6EU2I 60-69 years, female 232.3
GTEX-1NSGN-0726-SM-DTXEF 50-59 years, male 232.2
GTEX-13112-0126-SM-5P9IU 50-59 years, male 230.5
GTEX-1RMOY-1326-SM-E9TIH 50-59 years, male 230.3
GTEX-ZVP2-0326-SM-57WBP 50-59 years, male 230.2
GTEX-1H1CY-0126-SM-9YFLY 60-69 years, female 229.2
GTEX-Z93S-1626-SM-5CVMB 50-59 years, male 227.9
GTEX-11NUK-2726-SM-5A5MC 50-59 years, male 226.5
GTEX-1HGF4-0126-SM-CNPPX 60-69 years, male 225.7
GTEX-YB5K-2026-SM-4VDT3 40-49 years, female 224.7
GTEX-1QW4Y-1126-SM-DTXE3 30-39 years, male 224.7
GTEX-14PJO-2526-SM-6AJBQ 60-69 years, male 224.6
GTEX-ZU9S-1826-SM-5NQ9E 30-39 years, male 224.6
GTEX-13G51-1826-SM-5KLZH 60-69 years, male 224.4
GTEX-17F9E-2326-SM-79OKD 50-59 years, male 224.1
GTEX-ZDXO-3126-SM-5IJDF 60-69 years, male 223.7
GTEX-139TU-0726-SM-5L3EK 60-69 years, male 223.4
GTEX-1J8EW-2726-SM-CY8HR 60-69 years, female 223.4
GTEX-1RAZQ-1326-SM-E9TK6 30-39 years, male 223.3
GTEX-1CAMQ-1326-SM-7P8RV 40-49 years, male 222.7
GTEX-12WSF-1626-SM-7KUG5 70-79 years, male 222.3
GTEX-1AYD5-2626-SM-7PBXY 50-59 years, male 222.3
GTEX-11NSD-0626-SM-5A5LU 20-29 years, male 221.8
GTEX-1HFI6-0126-SM-CNPPI 40-49 years, male 221.7
GTEX-1JMQK-1226-SM-D4P2S 60-69 years, male 220.9
GTEX-17MFQ-1526-SM-7KFRR 20-29 years, male 220.8
GTEX-1EMGI-2326-SM-7PBYA 60-69 years, male 220.8
GTEX-1IKJJ-2226-SM-CJI4C 60-69 years, male 220.8
GTEX-131XG-0326-SM-5L3DX 50-59 years, female 220.5
GTEX-1LVA9-2626-SM-EVYD4 50-59 years, male 219.9
GTEX-14DAR-1226-SM-73KYV 50-59 years, male 219.5
GTEX-1399S-0126-SM-5IJCF 30-39 years, female 219.3
GTEX-145MN-1526-SM-5SI9T 30-39 years, male 218.9
GTEX-13RTJ-0126-SM-5S2NN 60-69 years, male 217.9
GTEX-1JMQJ-0826-SM-CNPP7 50-59 years, male 217.6
GTEX-1N2EE-0626-SM-E76PW 60-69 years, male 217.4
GTEX-ZYT6-2326-SM-5GZY3 30-39 years, male 216.9
GTEX-1H11D-1826-SM-9QEHM 40-49 years, male 216.8
GTEX-ZXG5-2126-SM-59HKD 60-69 years, male 216.7
GTEX-1B97I-0626-SM-73KUZ 40-49 years, male 216.5
GTEX-13JVG-0726-SM-5KM16 60-69 years, male 216.3
GTEX-1R9PN-0426-SM-DTXDT 40-49 years, female 215.3
GTEX-17HII-1426-SM-7EPGG 50-59 years, male 215.1
GTEX-1LG7Z-1626-SM-CXKYR 30-39 years, male 215.0
GTEX-YEC3-1326-SM-DO92X 50-59 years, male 214.3
GTEX-13FTY-2126-SM-5IFFB 40-49 years, female 214.2
GTEX-1JMPY-0226-SM-CKZOK 30-39 years, male 214.2
GTEX-18A6Q-0626-SM-7KFRP 60-69 years, male 214.0
GTEX-XK95-0226-SM-4AT58 40-49 years, male 214.0
GTEX-117YX-1926-SM-5GIEC 50-59 years, male 213.7
GTEX-X3Y1-2026-SM-3P5YM 40-49 years, male 213.7
GTEX-1O9I2-0226-SM-EYYXD 50-59 years, male 212.6
GTEX-1313W-0626-SM-5EQ4H 50-59 years, female 211.7
GTEX-15CHR-1126-SM-7EWF4 50-59 years, male 211.5
GTEX-1MCYP-0526-SM-E9U6Q 20-29 years, female 211.4
GTEX-1HCU6-2526-SM-ADEHL 60-69 years, female 210.9
GTEX-1IL2V-1926-SM-B2LW8 70-79 years, male 210.9
GTEX-YFCO-1226-SM-5LUAT 40-49 years, male 210.7
GTEX-145ME-1726-SM-5Q5EU 40-49 years, female 210.5
GTEX-ZC5H-1526-SM-5HL9Y 40-49 years, female 210.0
GTEX-13IVO-0726-SM-5LZYV 70-79 years, male 209.6
GTEX-1J1OQ-0126-SM-D4P2N 40-49 years, female 209.1
GTEX-1LSVX-2526-SM-DIPEU 60-69 years, male 208.9
GTEX-139UW-0326-SM-5J1ML 60-69 years, male 208.8
GTEX-ZVZP-1226-SM-5GID7 50-59 years, male 208.7
GTEX-16MT8-2926-SM-7DUFO 60-69 years, female 208.6
GTEX-13OVG-1626-SM-5J1NF 60-69 years, male 208.3
GTEX-ZDTT-0426-SM-4WKFL 60-69 years, male 208.1
GTEX-15SHW-0226-SM-7LTAT 60-69 years, male 207.8
GTEX-1E1VI-0326-SM-793D1 50-59 years, male 206.9
GTEX-111YS-1526-SM-5GZYW 60-69 years, male 206.7
GTEX-ZYVF-0926-SM-5E44J 50-59 years, female 206.7
GTEX-132AR-0326-SM-5KM2C 50-59 years, female 205.4
GTEX-145LS-0626-SM-7EPG7 60-69 years, female 205.3
GTEX-1IY9M-2826-SM-ARU8H 60-69 years, male 205.2
GTEX-11WQC-1826-SM-5GU59 60-69 years, male 204.9
GTEX-11TT1-1826-SM-5EQLV 20-29 years, male 203.9
GTEX-1GPI7-1826-SM-9KNU1 20-29 years, male 203.9
GTEX-1I19N-0126-SM-CYPSF 70-79 years, male 203.3
GTEX-14ABY-2026-SM-62LDL 50-59 years, male 203.1
GTEX-XXEK-1626-SM-4BRUZ 50-59 years, male 202.9
GTEX-1212Z-0126-SM-59HK4 60-69 years, male 202.4
GTEX-1GN1V-2826-SM-9JGIA 60-69 years, male 201.8
GTEX-ZVTK-0226-SM-51MRG 20-29 years, male 200.8
GTEX-144GO-2026-SM-5O99P 60-69 years, male 200.2
GTEX-16MT9-0126-SM-7EPI8 60-69 years, female 200.1
GTEX-146FQ-2126-SM-5RQHU 30-39 years, male 199.6
GTEX-1AX8Z-0726-SM-73KTS 60-69 years, male 199.6
GTEX-ZF2S-1626-SM-57WES 50-59 years, female 199.2
GTEX-13OW6-2726-SM-5J2OE 50-59 years, male 198.5
GTEX-1KAFJ-0126-SM-DIPEK 50-59 years, male 198.2
GTEX-17EVP-2626-SM-7IGMA 40-49 years, male 197.8
GTEX-139TT-2126-SM-5LZWC 60-69 years, male 197.7
GTEX-131XF-2626-SM-5EQ6K 60-69 years, male 197.6
GTEX-12BJ1-0926-SM-5EQ62 60-69 years, male 197.4
GTEX-13PL6-1126-SM-5L3IE 40-49 years, female 196.9
GTEX-1RB15-1326-SM-E76Q9 60-69 years, male 196.9
GTEX-W5X1-2526-SM-3GILC 40-49 years, female 196.7
GTEX-Y3I4-1726-SM-4TT89 50-59 years, male 196.7
GTEX-15CHQ-0326-SM-69LQD 60-69 years, male 196.6
GTEX-XV7Q-1826-SM-4BRUV 40-49 years, female 196.6
GTEX-11DXY-0126-SM-5H11Q 60-69 years, male 196.5
GTEX-1CB4I-0126-SM-7RHGG 50-59 years, male 196.5
GTEX-1JN6P-2926-SM-CL54D 60-69 years, male 196.3
GTEX-12WSH-1526-SM-5BC5W 50-59 years, male 195.6
GTEX-147GR-2426-SM-5ZZWQ 60-69 years, male 195.6
GTEX-14A5H-0826-SM-5QGPJ 60-69 years, male 195.6
GTEX-1CB4F-1026-SM-7DUH1 60-69 years, male 195.6
GTEX-WY7C-2126-SM-3NB2R 50-59 years, male 195.6
GTEX-11O72-0626-SM-5PNYE 40-49 years, male 195.4
GTEX-14JFF-0626-SM-5ZZVT 60-69 years, male 195.1
GTEX-1B8KE-1126-SM-7EPHI 50-59 years, male 195.0
GTEX-WFG8-2126-SM-3GIKQ 20-29 years, male 194.9
GTEX-14XAO-1226-SM-6EU1C 60-69 years, female 194.6
GTEX-14PII-0726-SM-6EU2B 60-69 years, male 194.5
GTEX-ZAK1-0626-SM-5HL8E 50-59 years, female 194.4
GTEX-18A67-1626-SM-7LT9T 50-59 years, male 194.2
GTEX-WHSB-1326-SM-3LK6W 50-59 years, male 194.0
GTEX-1C64N-2626-SM-7PC2N 50-59 years, male 194.0
GTEX-1LG7Y-2526-SM-EWRO7 50-59 years, male 193.9
GTEX-1ICG6-1226-SM-A9SLN 70-79 years, female 193.3
GTEX-1JJEA-1826-SM-ARU8P 60-69 years, male 193.3
GTEX-ZTTD-2826-SM-4YCFA 50-59 years, male 193.0
GTEX-ZWKS-0626-SM-5GIDV 30-39 years, male 192.9
GTEX-Y8E4-2026-SM-5IFJB 40-49 years, male 192.7
GTEX-1QAET-0326-SM-EVR3U 50-59 years, male 192.6
GTEX-1R9K4-2826-SM-DTX8F 60-69 years, male 192.6
GTEX-1KANB-2826-SM-CY8I6 50-59 years, male 192.4
GTEX-18QFQ-1826-SM-72D52 30-39 years, male 192.3
GTEX-1GMR2-0826-SM-7PC3V 50-59 years, male 192.3
GTEX-18465-2826-SM-7LT9J 50-59 years, male 192.1
GTEX-Y9LG-1126-SM-4VBQ7 30-39 years, male 191.5
GTEX-1PPGY-1626-SM-EVYBL 60-69 years, male 191.2
GTEX-11ZU8-0126-SM-5EQ58 60-69 years, male 190.9
GTEX-13FTX-1526-SM-5K7VJ 20-29 years, female 190.9
GTEX-1POEN-2326-SM-E9J2L 30-39 years, female 190.9
GTEX-ZF29-0926-SM-4WKFZ 60-69 years, female 190.7
GTEX-ZDYS-2426-SM-4WKGI 50-59 years, male 190.5
GTEX-1HBPN-0126-SM-CGQEF 50-59 years, male 190.3
GTEX-111FC-2526-SM-5GZXU 60-69 years, male 190.1
GTEX-ZYFG-1526-SM-5GZYM 60-69 years, female 190.0
GTEX-15DDE-2926-SM-6LLJ3 50-59 years, female 189.8
GTEX-ZLFU-1826-SM-4WWBV 40-49 years, male 189.2
GTEX-1I1GP-1326-SM-A9G28 50-59 years, male 189.1
GTEX-1JN76-0626-SM-CKZOQ 20-29 years, female 189.1
GTEX-14JG1-1526-SM-5YY9X 40-49 years, male 189.0
GTEX-17KNJ-2126-SM-718AM 50-59 years, male 189.0
GTEX-13VXU-0626-SM-5L3F9 50-59 years, male 188.6
GTEX-18D9A-1426-SM-7LT8M 30-39 years, female 188.6
GTEX-XBEC-0726-SM-4QARZ 50-59 years, male 188.3
GTEX-18D9U-0126-SM-731BM 40-49 years, male 188.2
GTEX-1GF9V-0826-SM-9KNUV 60-69 years, male 188.0
GTEX-1KANA-1326-SM-DIPFA 20-29 years, male 188.0
GTEX-14PHX-2226-SM-6EU2P 50-59 years, male 187.6
GTEX-ZZPU-0826-SM-5GZX5 50-59 years, female 187.6
GTEX-1GMRU-2126-SM-7P8RA 50-59 years, male 187.0
GTEX-11P82-1426-SM-DTXFY 20-29 years, male 186.4
GTEX-14753-0726-SM-5QGQO 60-69 years, male 186.2
GTEX-1CB4E-0926-SM-7EPHT 60-69 years, male 185.7
GTEX-1A3MV-1826-SM-731CD 30-39 years, male 185.5
GTEX-XPVG-2126-SM-4B667 50-59 years, male 185.4
GTEX-1RAZA-2226-SM-E9U4X 20-29 years, male 185.4
GTEX-1S831-1826-SM-EWROF 20-29 years, male 185.4
GTEX-16Z82-2626-SM-7KULU 60-69 years, male 185.0
GTEX-18A7B-2726-SM-7LG56 70-79 years, male 184.6
GTEX-1F75I-2226-SM-7SB8U 40-49 years, male 184.6
GTEX-131XW-0626-SM-5PNVD 50-59 years, female 184.5
GTEX-145LT-0526-SM-5LUB2 40-49 years, male 184.5
GTEX-1F75W-2726-SM-7SB8H 60-69 years, male 184.3
GTEX-1IDJE-1426-SM-ADEIW 50-59 years, female 184.1
GTEX-X4EO-2926-SM-4E3JH 60-69 years, female 183.4
GTEX-17HGU-2326-SM-7DUFE 50-59 years, male 183.2
GTEX-1GTWX-2026-SM-9YFLM 60-69 years, male 182.6
GTEX-14PK6-0226-SM-62LF5 70-79 years, female 182.5
GTEX-13U4I-2226-SM-5LU5H 40-49 years, female 182.4
GTEX-1HSMQ-2626-SM-A9SML 50-59 years, male 182.4
GTEX-ZAB4-2126-SM-5HL8U 40-49 years, male 182.3
GTEX-12ZZX-2426-SM-5GCOE 40-49 years, female 182.0
GTEX-144FL-0626-SM-5LU43 50-59 years, male 181.9
GTEX-1EKGG-0626-SM-7DUGJ 60-69 years, male 181.8
GTEX-1B996-0426-SM-7EWF8 60-69 years, male 181.7
GTEX-ZLWG-0826-SM-59888 50-59 years, female 181.5
GTEX-145MH-2826-SM-5RQJF 50-59 years, male 180.1
GTEX-1IDJC-1526-SM-B2LW4 50-59 years, male 180.1
GTEX-13FH7-1126-SM-5K7UG 50-59 years, female 179.5
GTEX-14C39-1726-SM-5RQIL 40-49 years, male 179.4
GTEX-14LZ3-0126-SM-69LPM 60-69 years, female 179.4
GTEX-1KANC-1226-SM-CYPT7 50-59 years, female 179.4
GTEX-13O61-1426-SM-5KM3D 60-69 years, male 179.3
GTEX-12ZZY-0726-SM-5EQ66 60-69 years, male 179.0
GTEX-1HBPI-2126-SM-ARL9K 50-59 years, male 178.9
GTEX-13NZ9-2626-SM-5L3FK 50-59 years, male 178.7
GTEX-ZVE1-0726-SM-51MRN 50-59 years, female 178.4
GTEX-1I6K7-1926-SM-B2LXR 40-49 years, male 178.4
GTEX-11P81-2226-SM-5PNYI 30-39 years, female 178.0
GTEX-139YR-1026-SM-5LZYN 50-59 years, male 177.9
GTEX-1497J-0226-SM-5QGPU 60-69 years, male 177.9
GTEX-1H1DG-2426-SM-9QEHJ 70-79 years, male 177.7
GTEX-13OVJ-0826-SM-5J1OK 50-59 years, female 177.1
GTEX-YJ8O-2526-SM-5HL85 40-49 years, female 177.1
GTEX-1HB9E-0126-SM-CM2S5 50-59 years, male 177.1
GTEX-1EX96-1026-SM-7MKG2 50-59 years, male 176.4
GTEX-1MCC2-1826-SM-DIPEX 30-39 years, female 176.4
GTEX-12696-0126-SM-5EQ4L 60-69 years, male 176.1
GTEX-11ZTT-2126-SM-5CVLO 60-69 years, female 175.8
GTEX-1F6IF-0926-SM-7SB7M 60-69 years, male 175.8
GTEX-16AAH-0626-SM-793C9 50-59 years, male 175.5
GTEX-148VJ-0626-SM-5LUAW 70-79 years, male 175.4
GTEX-12ZZZ-0726-SM-5GCNZ 60-69 years, male 175.2
GTEX-11DXW-0826-SM-5H118 40-49 years, male 174.5
GTEX-1GMR3-0126-SM-A9SLW 40-49 years, male 174.5
GTEX-1GN1U-0626-SM-9MQL9 50-59 years, female 174.3
GTEX-1BAJH-2426-SM-7IGP8 70-79 years, male 174.2
GTEX-111CU-1126-SM-5EGIM 50-59 years, male 174.0
GTEX-13OVK-1426-SM-6PAN7 40-49 years, male 174.0
GTEX-1I1GT-1026-SM-ARZLV 60-69 years, female 173.4
GTEX-11UD2-2526-SM-5CVNU 50-59 years, male 173.3
GTEX-13OVL-0126-SM-5L3GJ 50-59 years, male 173.3
GTEX-18A66-0626-SM-7LT8Z 60-69 years, male 173.3
GTEX-12WSD-0626-SM-5GCMW 60-69 years, female 173.1
GTEX-ZVT4-2426-SM-5GIEI 50-59 years, female 172.9
GTEX-1H4P4-2126-SM-9WYSL 50-59 years, male 172.7
GTEX-VUSG-2326-SM-4KL1U 50-59 years, male 172.6
GTEX-XMD2-2126-SM-4YCF8 60-69 years, female 172.6
GTEX-1HCU9-0426-SM-9WYSD 20-29 years, male 172.6
GTEX-11VI4-1126-SM-5EQMD 40-49 years, female 172.3
GTEX-11DZ1-2426-SM-5GZZX 50-59 years, male 172.2
GTEX-1399U-1126-SM-5L3DB 50-59 years, female 172.2
GTEX-1HC8U-1326-SM-9YFMJ 40-49 years, female 172.1
GTEX-16BQI-1326-SM-6M486 30-39 years, female 172.0
GTEX-ZY6K-1426-SM-5GZX2 50-59 years, male 171.8
GTEX-ZZ64-1026-SM-5GZXG 20-29 years, male 171.8
GTEX-16GPK-0626-SM-7KFSF 60-69 years, male 171.7
GTEX-1H2FU-0926-SM-9WPPT 60-69 years, female 171.7
GTEX-13N11-2326-SM-5IJBF 50-59 years, female 171.6
GTEX-UPK5-0426-SM-3GAEK 40-49 years, male 171.4
GTEX-1I1GV-0626-SM-ARL7M 60-69 years, male 171.2
GTEX-ZPIC-0526-SM-DO91W 40-49 years, female 171.2
GTEX-1N5O9-0926-SM-E9J3C 60-69 years, male 171.1
GTEX-13NYS-0626-SM-5L3F1 60-69 years, male 170.7
GTEX-1JMOU-1026-SM-CYPSS 60-69 years, female 170.7
GTEX-16NPX-0726-SM-7KULC 50-59 years, male 170.3
GTEX-11ZUS-2626-SM-5FQUR 30-39 years, male 170.2
GTEX-1QP66-1226-SM-DTX7U 50-59 years, male 170.1
GTEX-1A8FM-0626-SM-7PC25 50-59 years, female 170.0
GTEX-14PKV-1126-SM-6LLJ1 20-29 years, female 169.9
GTEX-15G1A-1626-SM-7KUKN 30-39 years, male 169.8
GTEX-12WSA-0426-SM-5EQ5X 60-69 years, male 169.4
GTEX-1F5PK-2226-SM-7SB6N 50-59 years, male 169.4
GTEX-Y5LM-0926-SM-6LLJG 40-49 years, female 169.1
GTEX-18D9B-0926-SM-7LG4U 60-69 years, male 169.0
GTEX-1LB8K-0726-SM-D5OV2 50-59 years, male 168.8
GTEX-11EQ9-1626-SM-5PNY8 30-39 years, male 168.7
GTEX-13OW5-2326-SM-5L3HO 60-69 years, male 168.7
GTEX-13W3W-0726-SM-5IJDQ 60-69 years, female 168.6
GTEX-1QEPI-2626-SM-DTXF4 60-69 years, female 168.6
GTEX-1GZ4I-2626-SM-9KNU3 50-59 years, male 168.5
GTEX-14BIN-1126-SM-5RQJZ 50-59 years, female 168.1
GTEX-1117F-2926-SM-5GZYI 60-69 years, female 167.9
GTEX-15SKB-2826-SM-6PAMH 60-69 years, male 167.8
GTEX-1LGOU-1326-SM-D3L8M 20-29 years, female 167.5
GTEX-1GZ2Q-0126-SM-9WG6M 40-49 years, male 167.4
GTEX-1JKYN-0826-SM-ARU8S 30-39 years, male 167.4
GTEX-1EH9U-2826-SM-7DUGT 60-69 years, male 167.3
GTEX-WHWD-1826-SM-3LK6I 50-59 years, male 167.3
GTEX-XQ8I-0926-SM-4BOOF 50-59 years, male 167.3
GTEX-16XZZ-0726-SM-7KUF2 60-69 years, male 167.0
GTEX-17EVQ-0126-SM-7IGLR 70-79 years, male 166.7
GTEX-1GN73-0726-SM-7P8TJ 60-69 years, male 166.6
GTEX-14E6E-0526-SM-793DN 30-39 years, male 166.5
GTEX-1QP28-1126-SM-EVYC4 50-59 years, female 166.5
GTEX-1F88F-0126-SM-9WYSZ 60-69 years, female 166.2
GTEX-13X6K-0626-SM-5LU5D 60-69 years, female 166.0
GTEX-1HT8W-0626-SM-A9G2H 30-39 years, male 166.0
GTEX-WHPG-2626-SM-3NMBR 50-59 years, male 165.7
GTEX-WK11-2726-SM-3NMAQ 50-59 years, male 165.7
GTEX-13FTW-0326-SM-5K7UW 40-49 years, male 165.3
GTEX-1QPFJ-1926-SM-EVYBD 30-39 years, female 165.3
GTEX-11GSP-2326-SM-5HL63 60-69 years, female 165.2
GTEX-18A7A-0126-SM-731AH 50-59 years, female 165.1
GTEX-1KD5A-0126-SM-E9U54 50-59 years, male 164.6
GTEX-1RLM8-2926-SM-E8VON 50-59 years, male 164.4
GTEX-1LVAO-2726-SM-E9TJ8 60-69 years, male 164.1
GTEX-14LLW-2626-SM-62LDZ 70-79 years, female 163.9
GTEX-1CAV2-0126-SM-7IGN7 40-49 years, female 163.7
GTEX-1K2DU-1226-SM-CYPT4 20-29 years, male 163.7
GTEX-13PDP-0726-SM-5L3HP 60-69 years, male 163.5
GTEX-1F75A-0726-SM-7RHHD 50-59 years, male 163.5
GTEX-11TUW-0626-SM-5LU9M 60-69 years, male 163.4
GTEX-1I1HK-2326-SM-CKZOH 60-69 years, male 163.3
GTEX-1OJC4-2726-SM-E76PJ 50-59 years, female 163.2
GTEX-17HG3-2626-SM-7DUF2 30-39 years, female 163.1
GTEX-1J8QM-2426-SM-A9SLS 60-69 years, female 162.9
GTEX-13PVQ-0626-SM-5LU47 50-59 years, male 162.8
GTEX-13NYC-0126-SM-5L3F4 60-69 years, male 162.7
GTEX-1A32A-0626-SM-731AQ 50-59 years, female 162.6
GTEX-ZE9C-2526-SM-5IJDR 60-69 years, male 162.6
GTEX-1IOXB-2726-SM-CM2RI 50-59 years, male 162.6
GTEX-11WQK-1026-SM-5EQLX 50-59 years, male 162.5
GTEX-13SLW-0626-SM-5Q5ER 70-79 years, male 162.4
GTEX-1J8JJ-0626-SM-ARZMQ 60-69 years, female 162.4
GTEX-1JMPZ-0726-SM-CY8HZ 30-39 years, male 162.2
GTEX-17F98-1326-SM-7DUEP 40-49 years, female 162.0
GTEX-14BMV-2826-SM-5TDED 50-59 years, male 161.9
GTEX-144GM-0526-SM-79OJO 20-29 years, male 161.7
GTEX-1JK1U-0226-SM-ARZMX 60-69 years, male 161.6
GTEX-1A3MW-0626-SM-731CB 60-69 years, female 161.5
GTEX-139D8-1126-SM-5LU8W 30-39 years, female 161.3
GTEX-1HCU7-0726-SM-A9SL1 50-59 years, male 161.1
GTEX-1EWIQ-0326-SM-7DHMQ 70-79 years, female 160.9
GTEX-1PBJJ-1026-SM-E76OS 30-39 years, male 160.7
GTEX-12KS4-2126-SM-5FQUT 30-39 years, male 160.6
GTEX-1F52S-2926-SM-7MKGA 60-69 years, female 160.5
GTEX-17JCI-2926-SM-7DUFF 60-69 years, female 160.3
GTEX-1LSNL-2726-SM-E9TKJ 50-59 years, male 160.3
GTEX-WRHU-2826-SM-3MJG8 50-59 years, female 160.2
GTEX-15EU6-2226-SM-6EU2L 50-59 years, male 160.1
GTEX-Y8LW-1526-SM-5IFHL 50-59 years, female 160.1
GTEX-1QMI2-2526-SM-E8VNZ 60-69 years, male 160.1
GTEX-ZYFC-0426-SM-5GICQ 50-59 years, male 160.0
GTEX-X8HC-0626-SM-4E3HQ 50-59 years, female 159.6
GTEX-1I1GS-2626-SM-B2LY3 60-69 years, male 159.6
GTEX-14PJN-1826-SM-6AJ98 30-39 years, male 159.5
GTEX-15UF6-1926-SM-7KUDV 70-79 years, female 159.4
GTEX-178AV-1726-SM-7KUL8 40-49 years, male 159.0
GTEX-WFON-1926-SM-3LK7L 40-49 years, male 158.9
GTEX-1J1R8-2026-SM-CL53Y 40-49 years, male 158.8
GTEX-12584-0726-SM-5FQTK 40-49 years, male 158.3
GTEX-13JUV-2026-SM-5K7UA 40-49 years, female 158.2
GTEX-XUW1-0926-SM-4BONX 50-59 years, female 158.2
GTEX-1EN7A-2426-SM-793DB 40-49 years, male 158.1
GTEX-1K9T9-1526-SM-DIPFR 50-59 years, female 158.1
GTEX-ZA64-1026-SM-5HL8R 20-29 years, male 158.0
GTEX-1GN1W-2426-SM-9KNUU 50-59 years, female 158.0
GTEX-1NV5F-0626-SM-DTXEG 60-69 years, female 157.9
GTEX-1JMQI-1726-SM-ARL93 50-59 years, male 157.8
GTEX-1C475-1326-SM-7SB73 40-49 years, female 157.7
GTEX-1GZ4H-0526-SM-9KNU9 50-59 years, female 157.7
GTEX-1S82U-1026-SM-E6CJK 30-39 years, female 157.7
GTEX-1AX9J-1326-SM-731BJ 60-69 years, male 157.6
GTEX-1PPH7-1126-SM-DTX9A 40-49 years, male 156.8
GTEX-133LE-2326-SM-5K7W3 20-29 years, female 156.5
GTEX-1I1CD-0626-SM-CE6SW 60-69 years, female 156.5
GTEX-X5EB-1926-SM-4E3IW 40-49 years, male 156.3
GTEX-1B8SF-0126-SM-7DUG3 60-69 years, male 156.2
GTEX-XBED-1926-SM-47JYP 60-69 years, male 156.1
GTEX-1MJK3-0726-SM-E6CJC 20-29 years, male 156.1
GTEX-145LU-1926-SM-79OJN 50-59 years, male 155.9
GTEX-13OVH-0526-SM-5L3E6 70-79 years, male 155.4
GTEX-1H1DE-1326-SM-9KNUG 20-29 years, male 155.3
GTEX-1HR98-2226-SM-ADEI2 60-69 years, male 155.3
GTEX-13X6I-1826-SM-5SIAO 60-69 years, male 155.2
GTEX-1IDJH-0126-SM-D3L92 70-79 years, male 155.1
GTEX-1HSGN-0826-SM-ACKW3 40-49 years, female 155.0
GTEX-1I6K6-1726-SM-CGQFD 30-39 years, male 154.6
GTEX-1JJE9-2626-SM-ARZMT 70-79 years, male 154.3
GTEX-1I1GU-0926-SM-ACKVS 40-49 years, male 154.1
GTEX-13X6J-0626-SM-5LU5F 50-59 years, male 154.0
GTEX-145MF-0926-SM-5Q5EA 50-59 years, male 153.5
GTEX-UPJH-0226-SM-3GADV 50-59 years, male 153.5
GTEX-13YAN-0226-SM-5TDC6 60-69 years, male 153.2
GTEX-1122O-1026-SM-9WYSF 60-69 years, female 152.8
GTEX-17HHY-0426-SM-7DHLC 50-59 years, male 152.7
GTEX-1AX9I-2226-SM-73KUO 60-69 years, male 152.7
GTEX-13D11-0926-SM-5J2NC 50-59 years, female 152.6
GTEX-145MO-2826-SM-5LU96 60-69 years, male 152.3
GTEX-13O3Q-0126-SM-5KM34 50-59 years, male 152.0
GTEX-1HFI7-2326-SM-CGQFS 50-59 years, female 151.6
GTEX-14AS3-1526-SM-5Q5ED 40-49 years, female 151.5
GTEX-1ICLZ-0326-SM-ARL82 60-69 years, male 151.5
GTEX-17F9Y-0126-SM-79OKX 70-79 years, female 150.7
GTEX-14PJ6-2626-SM-6EU2T 60-69 years, female 150.2
GTEX-15CHC-1126-SM-6LLHQ 60-69 years, female 150.2
GTEX-14DAQ-0626-SM-793DS 60-69 years, female 150.1
GTEX-1JKYR-0626-SM-ARL8R 20-29 years, male 150.1
GTEX-144GL-0626-SM-5LU4D 50-59 years, male 150.0
GTEX-14BMU-1226-SM-5S2OR 20-29 years, female 150.0
GTEX-12WSL-2026-SM-5GCML 50-59 years, male 149.7
GTEX-1IDJD-2326-SM-ACKWX 30-39 years, male 149.7
GTEX-13NZ8-1226-SM-5KM4A 60-69 years, female 149.1
GTEX-ZUA1-2626-SM-5NQ92 40-49 years, male 149.1
GTEX-1H1E6-0426-SM-9WYUS 30-39 years, male 149.1
GTEX-13O3O-2326-SM-5IJD6 60-69 years, female 149.0
GTEX-1JJ6O-2726-SM-CNPOG 60-69 years, male 149.0
GTEX-WYJK-0526-SM-3NM8Z 50-59 years, male 148.8
GTEX-1IE54-1126-SM-A9G2Z 40-49 years, female 148.8
GTEX-1HUB1-1426-SM-CGQF5 60-69 years, male 148.6
GTEX-13FHO-0426-SM-5L3F5 60-69 years, male 148.5
GTEX-ZAJG-1526-SM-5CVML 50-59 years, female 148.2
GTEX-1CB4J-1326-SM-7P8RX 60-69 years, male 148.1
GTEX-1LGRB-0926-SM-COH3K 50-59 years, female 148.1
GTEX-1211K-1526-SM-5FQU4 60-69 years, female 148.0
GTEX-13OW7-0426-SM-5K7VK 50-59 years, male 148.0
GTEX-ZTSS-1426-SM-5985P 40-49 years, male 147.9
GTEX-XAJ8-1426-SM-47JYM 40-49 years, male 147.8
GTEX-1CB4H-1126-SM-7MKGL 60-69 years, female 147.7
GTEX-12WSK-2126-SM-5CVNC 40-49 years, female 147.6
GTEX-147F3-1726-SM-5SIAW 50-59 years, female 147.4
GTEX-15D1Q-2826-SM-6LLH7 40-49 years, male 147.4
GTEX-1H3VE-0726-SM-9YFL5 40-49 years, male 147.3
GTEX-11GS4-0226-SM-5HL77 60-69 years, male 146.8
GTEX-13N1W-2426-SM-5IJD1 70-79 years, male 146.3
GTEX-1GF9X-1326-SM-7PC2Y 40-49 years, female 146.3
GTEX-13FLV-0126-SM-5K7WT 50-59 years, male 145.9
GTEX-1QCLZ-2426-SM-EVYBW 60-69 years, female 145.6
GTEX-183WM-0326-SM-72D5V 70-79 years, female 145.5
GTEX-1A8G6-2726-SM-731AR 60-69 years, male 145.4
GTEX-1JN1M-2726-SM-CY8I4 60-69 years, female 145.2
GTEX-1JMQL-2226-SM-CNPP4 50-59 years, female 145.0
GTEX-ZLV1-1526-SM-DO91J 60-69 years, female 144.9
GTEX-15FZZ-0526-SM-7KUGD 30-39 years, female 144.8
GTEX-13113-1626-SM-5EQ4I 60-69 years, female 144.7
GTEX-1GN2E-0226-SM-9WG6K 60-69 years, male 144.7
GTEX-X4EP-0626-SM-3P621 60-69 years, female 144.6
GTEX-1C6VR-0126-SM-7RHGB 60-69 years, male 144.6
GTEX-1R7EU-1626-SM-DTXG3 60-69 years, male 144.4
GTEX-YF7O-1526-SM-5IFI6 50-59 years, male 144.3
GTEX-16NGA-0726-SM-731AO 40-49 years, female 144.1
GTEX-U8XE-0226-SM-4E3J3 30-39 years, male 144.1
GTEX-1IDJF-2026-SM-CL53V 20-29 years, male 143.9
GTEX-14C38-0726-SM-5SI6M 50-59 years, male 143.7
GTEX-1B933-2426-SM-7DHMD 50-59 years, female 143.5
GTEX-13OW8-1026-SM-5J1NQ 60-69 years, male 143.4
GTEX-1GPI6-1926-SM-9KNV7 60-69 years, male 143.3
GTEX-1B8KZ-0326-SM-73KY4 50-59 years, male 143.2
GTEX-1PDJ9-1226-SM-EXUSX 20-29 years, male 143.2
GTEX-12WSC-2826-SM-5BC5Y 50-59 years, male 143.1
GTEX-11EI6-2826-SM-5H11D 60-69 years, male 142.9
GTEX-1RAZR-2126-SM-E9U6T 40-49 years, male 142.9
GTEX-11EQ8-0926-SM-5H12V 60-69 years, male 142.8
GTEX-14PJ5-1526-SM-6LLIL 60-69 years, female 142.8
GTEX-1QP2A-1726-SM-E76QC 50-59 years, male 142.6
GTEX-WEY5-2326-SM-3GIKK 40-49 years, female 142.5
GTEX-ZT9W-1126-SM-57WDR 50-59 years, male 142.2
GTEX-1F75B-0726-SM-7PC3R 50-59 years, male 142.2
GTEX-1C6VQ-1226-SM-73KYD 50-59 years, male 141.9
GTEX-1269C-0126-SM-5EQ5L 60-69 years, female 141.0
GTEX-1L5NE-1126-SM-D3L9P 50-59 years, male 140.8
GTEX-1GZHY-0626-SM-9KNVC 50-59 years, female 140.6
GTEX-1477Z-0326-SM-7IGLA 60-69 years, male 140.3
GTEX-1A8G7-1326-SM-73KVM 60-69 years, male 140.3
GTEX-ZYFD-0626-SM-5E44E 50-59 years, male 139.2
GTEX-17MF6-2626-SM-79OKQ 40-49 years, male 138.3
GTEX-13PVR-0426-SM-5RQK2 60-69 years, female 138.2
GTEX-1RAZS-2526-SM-E6CHT 50-59 years, male 137.7
GTEX-14E6C-2426-SM-5S2NF 40-49 years, male 137.5
GTEX-12WSM-1926-SM-5BC65 60-69 years, male 137.2
GTEX-ZVE2-2826-SM-5GU51 50-59 years, male 136.9
GTEX-1IDJU-1726-SM-CMKHU 60-69 years, female 136.4
GTEX-1HCVE-2726-SM-CL54F 50-59 years, male 136.1
GTEX-1KWVE-1026-SM-D3L9O 30-39 years, male 136.1
GTEX-13VXT-1926-SM-5K7UO 20-29 years, female 134.8
GTEX-14A6H-2026-SM-5Q5DD 30-39 years, male 134.1
GTEX-11EM3-1226-SM-5N9DD 20-29 years, female 134.0
GTEX-1GF9W-1426-SM-7PBYM 60-69 years, male 134.0
GTEX-131YS-2826-SM-5EQ47 60-69 years, female 133.3
GTEX-13QJC-0126-SM-5ZZWJ 60-69 years, female 133.3
GTEX-183FY-1026-SM-7939A 20-29 years, male 132.9
GTEX-1QP29-1826-SM-DTX9S 50-59 years, male 132.9
GTEX-14JG6-1426-SM-9WG7C 30-39 years, female 132.7
GTEX-1I4MK-0126-SM-CY8G6 50-59 years, female 132.7
GTEX-1C2JI-1026-SM-73KY1 50-59 years, male 132.2
GTEX-13X6H-0926-SM-5SIB2 50-59 years, female 131.8
GTEX-1HCU8-2526-SM-CE6RX 60-69 years, female 131.7
GTEX-15EO6-2426-SM-6PALZ 50-59 years, male 131.2
GTEX-1B8L1-2226-SM-7P8PT 60-69 years, male 130.9
GTEX-13N2G-0226-SM-5K7VF 60-69 years, male 130.7
GTEX-14PJ4-0226-SM-5YY92 60-69 years, male 130.7
GTEX-1R46S-2426-SM-E76QA 60-69 years, female 130.6
GTEX-1HR9M-2226-SM-CNPPY 60-69 years, male 130.4
GTEX-1F48J-0726-SM-7RHGS 50-59 years, female 130.2
GTEX-14B4R-1326-SM-5Q5EZ 30-39 years, male 130.0
GTEX-WHSE-0126-SM-3NMBT 20-29 years, male 129.4
GTEX-145MI-0626-SM-5SI8S 60-69 years, female 129.3
GTEX-1IDJI-0126-SM-CMKHS 50-59 years, female 128.9
GTEX-Y5V5-0126-SM-5S2NW 60-69 years, female 127.6
GTEX-139T8-0626-SM-5KLZX 60-69 years, male 127.5
GTEX-1HSKV-1226-SM-ADEI4 60-69 years, male 126.5
GTEX-1HKZK-0726-SM-ACKW2 40-49 years, male 126.3
GTEX-ZYY3-2926-SM-5GIEB 60-69 years, female 125.8
GTEX-14PJ2-0626-SM-6LLII 50-59 years, male 125.7
GTEX-1KXAM-1626-SM-D3LAD 60-69 years, male 125.6
GTEX-1S82P-2126-SM-E6CI5 60-69 years, female 125.3
GTEX-1IDFM-0326-SM-ARL7V 60-69 years, male 124.7
GTEX-11LCK-2226-SM-5HL4Q 30-39 years, male 124.5
GTEX-1EU9M-1426-SM-793AI 60-69 years, male 123.8
GTEX-14C5O-0326-SM-5ZZUX 60-69 years, male 123.4
GTEX-ZGAY-1826-SM-DO91Q 40-49 years, female 123.0
GTEX-15ER7-0626-SM-6PANF 20-29 years, female 122.3
GTEX-ZVT2-0126-SM-5GIDQ 50-59 years, female 121.9
GTEX-12C56-1526-SM-5FQUQ 20-29 years, male 121.4
GTEX-1H23P-0626-SM-9WG6T 60-69 years, male 121.3
GTEX-WYVS-1626-SM-3NM9R 40-49 years, female 118.7
GTEX-1GMR8-0626-SM-7RHI7 50-59 years, female 118.7
GTEX-1J8Q2-2626-SM-ACKWQ 60-69 years, male 117.7
GTEX-1H3NZ-2726-SM-9WYTQ 60-69 years, male 117.6
GTEX-1IDJV-0126-SM-COH3Y 60-69 years, male 117.4
GTEX-1H1DF-1126-SM-9WG7G 40-49 years, female 116.2
GTEX-1314G-1326-SM-5BC6E 30-39 years, male 114.2
GTEX-1B932-2326-SM-79OL5 40-49 years, female 114.1
GTEX-VJYA-1526-SM-3GIJV 60-69 years, male 112.0
GTEX-1F5PL-0926-SM-7PC2W 40-49 years, female 111.6
GTEX-1M4P7-0726-SM-E6CJ3 60-69 years, male 110.6
GTEX-1GL5R-1326-SM-7RHHF 50-59 years, male 110.4
GTEX-1GF9U-2026-SM-7SB92 40-49 years, female 109.9
GTEX-V1D1-2026-SM-3GAF4 50-59 years, male 108.7
GTEX-14PKU-0126-SM-6LLHV 40-49 years, female 107.1
GTEX-147JS-0226-SM-5S2U9 60-69 years, male 106.9
GTEX-WYBS-0626-SM-3NMAS 60-69 years, female 106.0
GTEX-1HSMO-0626-SM-ACKXC 60-69 years, male 103.1
GTEX-1F88E-1626-SM-7SB8Z 60-69 years, female 102.4
GTEX-1LVAM-0726-SM-E6CIL 50-59 years, female 101.6
GTEX-1J8Q3-0526-SM-ARL8U 60-69 years, male 97.9
GTEX-1AMEY-0826-SM-72D65 30-39 years, female 96.9
GTEX-1HBPM-0726-SM-9YFL7 60-69 years, female 95.8
GTEX-1A3MX-2626-SM-7PC24 60-69 years, male 92.9
GTEX-1S83E-1326-SM-E6CJM 40-49 years, male 92.1
GTEX-1F6RS-2026-SM-7RHHC 60-69 years, female 91.2
GTEX-1AMFI-1326-SM-7939R 50-59 years, female 91.0
GTEX-1ICLY-0826-SM-CMKG1 50-59 years, male 90.4
GTEX-13QBU-1226-SM-5LU4G 40-49 years, female 89.9
GTEX-1S5ZU-2526-SM-E6CIF 20-29 years, female 89.8
Show allShow less
Skin - Sun Exposed (Lower leg)
Average nTPM: 183.2
Samples: 701

Max nTPM: 534.6
Min nTPM: 80.4
Std nTPM: 50.6
Median nTPM: 174.7
GTEX-15SB6-1726-SM-6PAME 50-59 years, female 534.6
GTEX-W5X1-3026-SM-EAZAX 40-49 years, female 427.5
GTEX-Y3IK-2426-SM-4WWDU 50-59 years, female 414.3
GTEX-Y5V6-2426-SM-4VDSB 60-69 years, male 409.2
GTEX-1399U-2326-SM-5K7WY 50-59 years, female 398.9
GTEX-11UD1-0126-SM-5PNYG 40-49 years, female 386.3
GTEX-SE5C-1626-SM-2XCE3 40-49 years, female 374.4
GTEX-1JMLX-0226-SM-CM2RO 50-59 years, male 341.5
GTEX-OIZG-0726-SM-33HBL 50-59 years, male 340.2
GTEX-RVPV-0126-SM-EAZAW 60-69 years, male 339.0
GTEX-12126-0326-SM-5PNW3 20-29 years, male 336.5
GTEX-ZVTK-0426-SM-51MRS 20-29 years, male 334.5
GTEX-O5YT-0126-SM-48TBW 20-29 years, male 332.5
GTEX-XUZC-1726-SM-4BRWS 30-39 years, female 322.1
GTEX-1CAV2-2226-SM-7P8P2 40-49 years, female 319.6
GTEX-S33H-1026-SM-EZ6L6 30-39 years, male 314.8
GTEX-1H1CY-2826-SM-9MQM3 60-69 years, female 311.2
GTEX-Y114-2426-SM-4TT8A 50-59 years, female 310.6
GTEX-TMZS-0126-SM-3DB9Q 60-69 years, male 304.5
GTEX-1I1GV-0526-SM-A9G29 60-69 years, male 304.3
GTEX-146FQ-0126-SM-5NQA9 30-39 years, male 302.9
GTEX-U412-0426-SM-3DB9O 60-69 years, male 299.3
GTEX-ZVZO-0126-SM-5A5L9 40-49 years, male 298.2
GTEX-O5YW-0126-SM-3LK6D 50-59 years, male 293.7
GTEX-1J8EW-0126-SM-CJI4F 60-69 years, female 292.8
GTEX-POMQ-2226-SM-2I5FK 20-29 years, female 287.8
GTEX-P4PP-0126-SM-3LK69 30-39 years, female 287.6
GTEX-13CF2-2526-SM-5LZYX 60-69 years, male 286.7
GTEX-1497J-2426-SM-7IGNX 60-69 years, male 285.8
GTEX-139TS-2826-SM-5J1OO 60-69 years, male 284.4
GTEX-1122O-2126-SM-5EGIR 60-69 years, female 283.4
GTEX-13FTW-2626-SM-5K7WL 40-49 years, male 279.4
GTEX-17JCI-0126-SM-7LG5G 60-69 years, female 276.4
GTEX-117YW-2626-SM-5GZZH 50-59 years, male 275.7
GTEX-11DYG-0126-SM-59883 60-69 years, male 275.0
GTEX-X4XX-0126-SM-3NMC2 60-69 years, male 274.9
GTEX-SIU8-0126-SM-2XCDT 50-59 years, male 274.7
GTEX-XQ3S-1526-SM-4BOOC 20-29 years, male 273.0
GTEX-T6MN-0126-SM-32PLP 50-59 years, male 270.5
GTEX-13FXS-0226-SM-5IJCK 50-59 years, male 269.8
GTEX-1QP9N-1426-SM-DTXFL 30-39 years, male 269.5
GTEX-1IKK5-0626-SM-ARL8A 60-69 years, male 267.3
GTEX-12WSD-0126-SM-59HKN 60-69 years, female 263.8
GTEX-X585-0226-SM-4QAS2 50-59 years, male 261.0
GTEX-Y8DK-0126-SM-4TT3L 60-69 years, male 260.7
GTEX-ZE9C-2726-SM-57WB5 60-69 years, male 260.4
GTEX-Z93S-0126-SM-5HL7M 50-59 years, male 256.7
GTEX-Z93T-0126-SM-5HL5N 50-59 years, male 256.1
GTEX-14753-0426-SM-5NQAM 60-69 years, male 255.3
GTEX-RTLS-0126-SM-447CA 60-69 years, female 255.1
GTEX-X88G-0126-SM-47JZ3 30-39 years, male 254.6
GTEX-WI4N-1026-SM-3LK7N 40-49 years, female 254.5
GTEX-1OJC3-0126-SM-E76QX 20-29 years, male 254.1
GTEX-ZDTS-0126-SM-4WAY5 60-69 years, male 253.2
GTEX-NPJ8-0126-SM-2YUNR 40-49 years, male 252.9
GTEX-117XS-2726-SM-5N9BL 60-69 years, male 252.8
GTEX-15RIG-0226-SM-7KFTL 40-49 years, male 251.1
GTEX-139UW-2826-SM-5L3E7 60-69 years, male 249.9
GTEX-S7PM-0126-SM-4AD6S 60-69 years, male 248.8
GTEX-131XF-5016-SM-7MGWE 60-69 years, male 248.4
GTEX-ZVT2-2526-SM-51MT1 50-59 years, female 248.3
GTEX-1KD4Q-0226-SM-E9TJ9 40-49 years, male 248.1
GTEX-WVJS-0126-SM-4MVOT 50-59 years, male 247.1
GTEX-1R9PM-2026-SM-E76OY 20-29 years, male 245.9
GTEX-U8T8-0126-SM-3DB94 60-69 years, male 245.3
GTEX-1HR98-0126-SM-B2LWI 60-69 years, male 245.3
GTEX-1MCQQ-0826-SM-DLHC2 60-69 years, male 245.0
GTEX-14ICK-0226-SM-6EU25 40-49 years, male 244.2
GTEX-17F98-0626-SM-79OMX 40-49 years, female 243.1
GTEX-1313W-0126-SM-5LZUN 50-59 years, female 243.0
GTEX-15ER7-0326-SM-7KUEV 20-29 years, female 239.0
GTEX-PWCY-1826-SM-DHXIZ 20-29 years, female 238.9
GTEX-111FC-0126-SM-5N9DL 60-69 years, male 238.7
GTEX-16MT8-0426-SM-7KUEY 60-69 years, female 238.6
GTEX-1IOXB-0126-SM-ARL8G 50-59 years, male 238.4
GTEX-1PIIG-0226-SM-EWRN6 30-39 years, male 237.7
GTEX-Y111-0126-SM-4SOIV 50-59 years, male 237.6
GTEX-WY7C-2326-SM-3NB2U 50-59 years, male 237.3
GTEX-18A6Q-0126-SM-731BZ 60-69 years, male 237.2
GTEX-18QFQ-0126-SM-731BE 30-39 years, male 237.2
GTEX-145LT-1726-SM-5QGP3 40-49 years, male 236.9
GTEX-11GSP-2526-SM-5N9BP 60-69 years, female 236.5
GTEX-XYKS-2126-SM-4E3IB 60-69 years, female 236.2
GTEX-1AYCT-2426-SM-7IGQ3 50-59 years, male 235.8
GTEX-OIZH-0126-SM-2HMIS 50-59 years, male 235.2
GTEX-13G51-2526-SM-5LZYK 60-69 years, male 234.6
GTEX-13NYB-2526-SM-5K7Z6 40-49 years, male 234.4
GTEX-13O3Q-2426-SM-5IJBR 50-59 years, male 234.2
GTEX-X4EP-0126-SM-3P5YV 60-69 years, female 233.5
GTEX-14PK6-1926-SM-6ETZU 70-79 years, female 232.9
GTEX-WZTO-0126-SM-3NM95 40-49 years, male 232.9
GTEX-X8HC-0126-SM-4E3JW 50-59 years, female 232.7
GTEX-1PPH8-0226-SM-E8VND 20-29 years, male 231.5
GTEX-P4QT-0126-SM-2I3FL 50-59 years, female 231.0
GTEX-13O21-1426-SM-5K7XI 50-59 years, male 230.8
GTEX-YFC4-0126-SM-5CVLY 40-49 years, female 230.5
GTEX-T2IS-0126-SM-4DM6O 20-29 years, female 229.7
GTEX-131YS-0126-SM-5KM1M 60-69 years, female 229.2
GTEX-U8XE-0326-SM-3DB8P 30-39 years, male 229.1
GTEX-11P7K-2126-SM-5GU7G 30-39 years, male 228.9
GTEX-1F6I4-0126-SM-9MQL2 60-69 years, male 228.7
GTEX-18D9A-1926-SM-7LG6P 30-39 years, female 228.6
GTEX-RNOR-0126-SM-E9J4R 50-59 years, female 228.4
GTEX-1NV5F-0226-SM-E8VNY 60-69 years, female 227.6
GTEX-SUCS-1926-SM-32PM3 70-79 years, male 227.3
GTEX-1A32A-0126-SM-718B1 50-59 years, female 227.2
GTEX-ZDXO-3026-SM-5J1N5 60-69 years, male 226.6
GTEX-1EWIQ-0126-SM-7RHH2 70-79 years, female 226.6
GTEX-1MJK2-0426-SM-DTXE5 50-59 years, male 226.5
GTEX-UJHI-1526-SM-3DB99 50-59 years, female 225.5
GTEX-1I1GP-2226-SM-CGQFK 50-59 years, male 225.0
GTEX-XQ8I-0426-SM-4BOPO 50-59 years, male 224.7
GTEX-YJ89-0126-SM-4TT3X 60-69 years, male 224.2
GTEX-ZU9S-0226-SM-5E441 30-39 years, male 224.0
GTEX-11ZTS-0126-SM-5EQ6M 60-69 years, female 223.3
GTEX-1RDX4-0126-SM-E9J4P 50-59 years, female 223.1
GTEX-145MO-0326-SM-5Q5B3 60-69 years, male 221.4
GTEX-11OC5-0126-SM-5HL6A 60-69 years, male 221.3
GTEX-13X6J-0126-SM-5QGOU 50-59 years, male 221.3
GTEX-131XH-2226-SM-5DUXJ 50-59 years, male 221.1
GTEX-1LB8K-0226-SM-EWRNW 50-59 years, male 220.2
GTEX-13VXU-0126-SM-5SI9F 50-59 years, male 219.3
GTEX-132NY-0326-SM-5IJBL 60-69 years, male 219.0
GTEX-15UF6-0826-SM-6PALJ 70-79 years, female 218.5
GTEX-1JMPY-1326-SM-ARL8Y 30-39 years, male 218.4
GTEX-1IDJH-0326-SM-A9SLQ 70-79 years, male 218.3
GTEX-1H4P4-0726-SM-9YFLR 50-59 years, male 218.1
GTEX-145MN-2226-SM-5SIAU 30-39 years, male 218.0
GTEX-QEG4-0226-SM-2S1PY 30-39 years, male 217.9
GTEX-17HHY-0126-SM-7LG5D 50-59 years, male 217.3
GTEX-13NZ8-0826-SM-5MR3I 60-69 years, female 217.2
GTEX-1HGF4-2426-SM-ACKXM 60-69 years, male 217.1
GTEX-11DXZ-2326-SM-5EGGV 50-59 years, male 216.8
GTEX-1GZHY-0326-SM-9QEHI 50-59 years, female 216.5
GTEX-PX3G-0126-SM-2I3EN 20-29 years, female 215.9
GTEX-S7SE-0126-SM-2XCD5 50-59 years, male 215.6
GTEX-14E6D-0126-SM-62LDV 50-59 years, male 215.4
GTEX-T5JW-1626-SM-3GADZ 20-29 years, female 215.3
GTEX-1S3DN-2226-SM-EVYCD 50-59 years, male 215.2
GTEX-13NZB-2526-SM-5J1OM 30-39 years, male 215.0
GTEX-14BMU-2226-SM-5TDE9 20-29 years, female 214.5
GTEX-P4PQ-0126-SM-2S1NM 60-69 years, male 214.3
GTEX-14JG1-0426-SM-6ETZZ 40-49 years, male 213.6
GTEX-T2YK-0526-SM-32QPJ 50-59 years, male 213.1
GTEX-1J1OQ-0226-SM-CYPSH 40-49 years, female 213.1
GTEX-1ICG6-2526-SM-CGQFZ 70-79 years, female 212.8
GTEX-1QP66-1726-SM-E8VO1 50-59 years, male 212.8
GTEX-1GZ2Q-0226-SM-7P8TL 40-49 years, male 212.3
GTEX-ZPIC-1726-SM-DHXIU 40-49 years, female 212.3
GTEX-1C4CL-0526-SM-73KVK 30-39 years, male 211.9
GTEX-13QJ3-0326-SM-5S2RA 50-59 years, male 211.6
GTEX-1B933-0126-SM-7PC29 50-59 years, female 211.4
GTEX-1KWVE-1426-SM-E9TJO 30-39 years, male 211.2
GTEX-169BO-1326-SM-9MQK2 50-59 years, male 211.1
GTEX-PSDG-0226-SM-DKPOZ 50-59 years, male 210.2
GTEX-ZYFG-2326-SM-5E44B 60-69 years, female 209.7
GTEX-1JN6P-0126-SM-D3L98 60-69 years, male 209.6
GTEX-WXYG-2326-SM-4E3I6 50-59 years, female 209.3
GTEX-X4EO-0326-SM-3P5YO 60-69 years, female 209.1
GTEX-ZYFD-0126-SM-5GIDL 50-59 years, male 208.5
GTEX-YB5K-2126-SM-4WWDJ 40-49 years, female 208.0
GTEX-1OFPY-2426-SM-DTXEJ 60-69 years, male 207.6
GTEX-1B8SF-1426-SM-7DUGL 60-69 years, male 207.0
GTEX-1F7RK-0126-SM-7PC2S 20-29 years, female 206.5
GTEX-1GF9W-0326-SM-9KNUN 60-69 years, male 206.5
GTEX-1HFI6-0226-SM-ADEHZ 40-49 years, male 206.5
GTEX-OHPL-0126-SM-2HMJ7 60-69 years, female 206.2
GTEX-ZF3C-0126-SM-DO92D 50-59 years, female 206.0
GTEX-14E6C-0126-SM-5RQIP 40-49 years, male 205.9
GTEX-1CAMS-0426-SM-7P8T2 40-49 years, female 205.7
GTEX-145MF-0626-SM-5LUAI 50-59 years, male 205.5
GTEX-1GF9V-0326-SM-7RHI5 60-69 years, male 205.3
GTEX-1C6VQ-0126-SM-7P8RI 50-59 years, male 205.2
GTEX-WYJK-0126-SM-3NMAB 50-59 years, male 205.0
GTEX-ZAB4-0226-SM-5N9F5 40-49 years, male 204.8
GTEX-ZGAY-0526-SM-4WWBB 40-49 years, female 204.6
GTEX-1GF9U-2126-SM-7SB7L 40-49 years, female 204.5
GTEX-1399R-2726-SM-5IJBA 30-39 years, male 204.1
GTEX-11GSO-2426-SM-5A5LY 60-69 years, male 203.5
GTEX-1CAMR-1926-SM-7EPI2 20-29 years, male 203.5
GTEX-13OVK-2026-SM-7KUEO 40-49 years, male 203.3
GTEX-14PJ3-1826-SM-62LEX 50-59 years, male 203.3
GTEX-11OF3-2626-SM-5GU7F 60-69 years, male 203.2
GTEX-11UD2-0226-SM-5EQKY 50-59 years, male 203.2
GTEX-1MCYP-1926-SM-E9J2R 20-29 years, female 203.2
GTEX-14PJM-0226-SM-62LF1 50-59 years, female 203.0
GTEX-1GN2E-0426-SM-9MQKX 60-69 years, male 202.9
GTEX-1LBAC-0126-SM-DIPEZ 20-29 years, male 202.7
GTEX-145LS-0126-SM-5QGP1 60-69 years, female 202.5
GTEX-1QAET-0926-SM-E76QM 50-59 years, male 202.5
GTEX-1PFEY-1526-SM-E76PP 30-39 years, male 202.4
GTEX-13FHP-0126-SM-5IJBG 50-59 years, male 201.6
GTEX-1N2DW-0226-SM-E9TK2 50-59 years, male 201.6
GTEX-11GS4-2726-SM-5A5LE 60-69 years, male 201.3
GTEX-U3ZM-1526-SM-3DB9D 40-49 years, male 201.3
GTEX-1HCU6-0126-SM-CL54K 60-69 years, female 201.3
GTEX-1RB15-2126-SM-E9TIM 60-69 years, male 201.1
GTEX-13PDP-0126-SM-5L3HD 60-69 years, male 200.9
GTEX-13OW7-0126-SM-5MR3B 50-59 years, male 200.6
GTEX-ZE7O-0126-SM-57WC1 50-59 years, female 200.4
GTEX-1H3O1-0426-SM-9YFKY 60-69 years, male 200.4
GTEX-1EMGI-0126-SM-9KNUE 60-69 years, male 200.0
GTEX-12WSG-2826-SM-E9J4H 50-59 years, female 199.8
GTEX-1J8JJ-0226-SM-CL53I 60-69 years, female 199.7
GTEX-1F5PL-0326-SM-7P8PQ 40-49 years, female 199.4
GTEX-139T8-0126-SM-5K7XZ 60-69 years, male 199.0
GTEX-Y5LM-1926-SM-5RQJH 40-49 years, female 198.9
GTEX-13FTY-0526-SM-5L3EV 40-49 years, female 198.8
GTEX-RU72-0926-SM-2TF6B 50-59 years, female 198.7
GTEX-147F4-0226-SM-5QGPW 50-59 years, male 198.5
GTEX-1JN1M-0326-SM-CYPT3 60-69 years, female 198.5
GTEX-ZDYS-2026-SM-5HL5L 50-59 years, male 198.4
GTEX-14PII-0226-SM-6EU1T 60-69 years, male 198.3
GTEX-ZVT4-0126-SM-DTXFN 50-59 years, female 198.2
GTEX-13113-5016-SM-7EPIP 60-69 years, female 198.1
GTEX-XXEK-2226-SM-4BRUM 50-59 years, male 197.8
GTEX-WQUQ-0426-SM-3MJFU 60-69 years, male 197.7
GTEX-15ETS-0126-SM-7KUMW 40-49 years, female 197.2
GTEX-1F6RS-0126-SM-9MQKZ 60-69 years, female 197.1
GTEX-1QCLY-0326-SM-E8VOG 30-39 years, male 197.1
GTEX-PLZ6-1426-SM-DKPOT 30-39 years, male 197.1
GTEX-X5EB-2226-SM-46MW4 40-49 years, male 197.0
GTEX-11DXW-0226-SM-5H122 40-49 years, male 196.9
GTEX-W5WG-1826-SM-4KL2Y 50-59 years, female 196.8
GTEX-1KXAM-2226-SM-CYPTC 60-69 years, male 196.5
GTEX-QV44-1926-SM-2S1RF 50-59 years, male 196.4
GTEX-ZWKS-0126-SM-5SIAA 30-39 years, male 196.4
GTEX-1JMQJ-0526-SM-CYPSU 50-59 years, male 196.4
GTEX-1LG7Z-1726-SM-D3LA4 30-39 years, male 195.5
GTEX-1GF9X-2026-SM-7PC3A 40-49 years, female 195.1
GTEX-11NUK-0126-SM-5A5L3 50-59 years, male 195.0
GTEX-ZAK1-0126-SM-5IJD3 50-59 years, female 195.0
GTEX-WH7G-2326-SM-3NMBC 40-49 years, male 194.8
GTEX-117YX-2326-SM-5H12W 50-59 years, male 194.7
GTEX-1JKYR-0126-SM-CNPOJ 20-29 years, male 194.4
GTEX-1F75A-0126-SM-7RHGM 50-59 years, male 194.3
GTEX-18465-0126-SM-731BN 50-59 years, male 194.0
GTEX-1MA7W-2026-SM-E9TJ6 20-29 years, female 193.8
GTEX-1PBJI-0526-SM-E8VNK 20-29 years, female 193.8
GTEX-1LG7Y-0526-SM-DKPQC 50-59 years, male 193.6
GTEX-1211K-2026-SM-5EQ4Z 60-69 years, female 193.4
GTEX-13RTJ-2426-SM-5S2Q2 60-69 years, male 193.2
GTEX-14PN4-0126-SM-6EU2V 50-59 years, male 193.0
GTEX-144GN-2326-SM-5LU4F 50-59 years, male 192.8
GTEX-Y8E4-0626-SM-4WWDL 40-49 years, male 192.8
GTEX-1K2DA-1826-SM-CGQGT 50-59 years, male 192.6
GTEX-14PHX-2326-SM-62LEM 50-59 years, male 192.3
GTEX-12696-2426-SM-5EQ6H 60-69 years, male 192.1
GTEX-QCQG-1726-SM-3GIJ9 50-59 years, female 192.1
GTEX-18A7A-0226-SM-718BH 50-59 years, female 192.0
GTEX-1S83E-0126-SM-EWRO4 40-49 years, male 191.8
GTEX-12WSA-0226-SM-5BC5V 60-69 years, male 191.5
GTEX-1CB4I-0226-SM-79OLH 50-59 years, male 191.5
GTEX-1PDJ9-0326-SM-DTX95 20-29 years, male 191.4
GTEX-ZYFC-0226-SM-5NQ75 50-59 years, male 191.0
GTEX-1KANC-1526-SM-D3LAB 50-59 years, female 191.0
GTEX-1I1GS-0126-SM-B2LVW 60-69 years, male 190.9
GTEX-13O3O-0126-SM-E9J49 60-69 years, female 190.8
GTEX-1MGNQ-0126-SM-EVYCJ 40-49 years, male 190.7
GTEX-ZVT3-0126-SM-5GU6I 60-69 years, female 190.4
GTEX-11ZUS-0626-SM-59885 30-39 years, male 190.0
GTEX-Y3I4-2126-SM-4TT7C 50-59 years, male 189.8
GTEX-1GMRU-0126-SM-9YFLV 50-59 years, male 189.5
GTEX-T5JC-0426-SM-32PLO 20-29 years, male 189.4
GTEX-12WSE-0526-SM-793B2 20-29 years, male 189.3
GTEX-15CHC-2126-SM-6EU21 60-69 years, female 189.0
GTEX-131XG-2626-SM-5KM17 50-59 years, female 188.6
GTEX-13S7M-0126-SM-5SI6A 60-69 years, female 188.5
GTEX-1AX8Z-0126-SM-7DHM6 60-69 years, male 188.3
GTEX-13N11-2526-SM-5K7UE 50-59 years, female 188.2
GTEX-1F6IF-0726-SM-7P8TW 60-69 years, male 188.2
GTEX-1269C-2526-SM-5EGJ3 60-69 years, female 187.9
GTEX-1HSKV-0226-SM-A9SKJ 60-69 years, male 187.2
GTEX-111VG-2426-SM-5GZXD 60-69 years, male 187.0
GTEX-1GMR3-1926-SM-9KNUZ 40-49 years, male 187.0
GTEX-1HSEH-0126-SM-ACKXN 60-69 years, male 187.0
GTEX-1B8L1-2526-SM-9WYTF 60-69 years, male 186.9
GTEX-XV7Q-2526-SM-4BRV9 40-49 years, female 186.7
GTEX-1HT8W-0126-SM-CNPPP 30-39 years, male 186.6
GTEX-131XE-2326-SM-5PNZ2 50-59 years, male 186.1
GTEX-TML8-1926-SM-32QOS 40-49 years, female 185.6
GTEX-12WSK-2326-SM-5GCOH 40-49 years, female 185.5
GTEX-1JMQL-0226-SM-CNPP5 50-59 years, female 185.5
GTEX-18D9U-0226-SM-718BP 40-49 years, male 185.3
GTEX-13IVO-0126-SM-5J1NG 70-79 years, male 185.2
GTEX-1HBPI-1526-SM-C1YQ1 50-59 years, male 185.2
GTEX-X4XY-0226-SM-4E3IZ 60-69 years, male 185.1
GTEX-1H3VE-0326-SM-9YFLH 40-49 years, male 185.1
GTEX-12ZZZ-0626-SM-5DUXI 60-69 years, male 184.7
GTEX-14XAO-2326-SM-6EU1B 60-69 years, female 184.3
GTEX-VUSG-2526-SM-4KL1V 50-59 years, male 183.2
GTEX-139D8-0226-SM-5KLZO 30-39 years, female 183.1
GTEX-1C64N-0126-SM-793D7 50-59 years, male 183.1
GTEX-1IKOH-0226-SM-COH4E 60-69 years, female 182.9
GTEX-ZXES-1826-SM-5E43S 30-39 years, female 182.8
GTEX-1GTWX-0126-SM-9YFLK 60-69 years, male 182.8
GTEX-1399T-2826-SM-5KLYZ 60-69 years, male 182.4
GTEX-16GPK-0126-SM-7DHLE 60-69 years, male 182.2
GTEX-17HII-0226-SM-7LG4E 50-59 years, male 182.1
GTEX-UPJH-0326-SM-3GADU 50-59 years, male 181.9
GTEX-131XW-0426-SM-5LZWP 50-59 years, female 181.8
GTEX-13SLW-0126-SM-5SI6C 70-79 years, male 181.6
GTEX-1IL2U-0226-SM-CE6T8 60-69 years, male 181.6
GTEX-XPVG-2626-SM-4B669 50-59 years, male 181.4
GTEX-TKQ1-1026-SM-4GICL 30-39 years, male 181.3
GTEX-OXRL-0126-SM-2YUMP 50-59 years, male 181.1
GTEX-13RTK-1426-SM-5QGQJ 20-29 years, male 181.0
GTEX-YEC4-2126-SM-5IFJH 40-49 years, male 180.5
GTEX-1HCUA-2426-SM-ADEIS 50-59 years, female 180.5
GTEX-YB5E-2026-SM-5IFIS 40-49 years, male 180.4
GTEX-1GPI7-0126-SM-9MQL8 20-29 years, male 179.9
GTEX-1IDFM-0126-SM-COH2V 60-69 years, male 179.8
GTEX-1M5QR-1226-SM-EWROB 40-49 years, male 179.1
GTEX-14DAR-2026-SM-5S2O3 50-59 years, male 179.0
GTEX-S95S-1226-SM-4GICG 60-69 years, male 179.0
GTEX-14LZ3-0226-SM-62LET 60-69 years, female 178.8
GTEX-13OW6-0426-SM-5L3HM 50-59 years, male 178.6
GTEX-1A3MX-0126-SM-731BR 60-69 years, male 178.5
GTEX-XAJ8-0826-SM-47JY6 40-49 years, male 178.4
GTEX-1RAZQ-0726-SM-EAZ43 30-39 years, male 178.4
GTEX-13112-2826-SM-5DUWH 50-59 years, male 178.3
GTEX-13OVL-0226-SM-5L3E9 50-59 years, male 178.3
GTEX-139TU-0126-SM-5K7WH 60-69 years, male 178.1
GTEX-1KD5A-0226-SM-D5OV3 50-59 years, male 178.1
GTEX-17F97-0326-SM-7LG5B 50-59 years, male 177.9
GTEX-1GN1V-0126-SM-9WPOS 60-69 years, male 177.9
GTEX-1JMPZ-0226-SM-CNPP1 30-39 years, male 177.8
GTEX-1HCVE-0126-SM-CGQEU 50-59 years, male 177.3
GTEX-12WSJ-1826-SM-5GCNY 40-49 years, female 177.2
GTEX-13111-1626-SM-5EGJY 50-59 years, male 177.1
GTEX-17EVQ-0226-SM-7LG4P 70-79 years, male 177.1
GTEX-11TUW-2726-SM-E9J4M 60-69 years, male 177.1
GTEX-12ZZY-0226-SM-5LZVE 60-69 years, male 177.0
GTEX-145ME-1826-SM-5SI9G 40-49 years, female 176.8
GTEX-1H3VY-0126-SM-ACKXD 50-59 years, male 176.8
GTEX-17MF6-0126-SM-7LG4F 40-49 years, male 176.6
GTEX-1C6WA-0126-SM-7PC2B 60-69 years, male 176.6
GTEX-1I6K6-0126-SM-A9SLE 30-39 years, male 176.0
GTEX-ZF28-0126-SM-4WKGK 60-69 years, male 175.6
GTEX-ZV68-0126-SM-59HKS 50-59 years, female 175.6
GTEX-12ZZX-0126-SM-5EGK9 40-49 years, female 175.5
GTEX-15DYW-0126-SM-7KULE 60-69 years, female 175.4
GTEX-1OJC4-0126-SM-E9J2E 50-59 years, female 175.4
GTEX-1KANA-0726-SM-D3L9I 20-29 years, male 175.3
GTEX-Q734-1926-SM-2I5EV 40-49 years, female 175.2
GTEX-1HSGN-0226-SM-CGQFV 40-49 years, female 175.1
GTEX-1LVAN-0226-SM-COH3S 50-59 years, female 175.1
GTEX-14BIM-0226-SM-7IGLD 60-69 years, female 174.9
GTEX-15SDE-2226-SM-7IGLO 50-59 years, female 174.9
GTEX-1CB4E-2226-SM-793DC 60-69 years, male 174.9
GTEX-18A7B-0126-SM-7LG64 70-79 years, male 174.7
GTEX-1F75B-0126-SM-9KNVL 50-59 years, male 174.7
GTEX-1QPFJ-0226-SM-E76PB 30-39 years, female 174.4
GTEX-1CB4F-0426-SM-9KNV4 60-69 years, male 174.3
GTEX-1314G-1526-SM-5EGK2 30-39 years, male 174.2
GTEX-133LE-1826-SM-5J1MV 20-29 years, female 174.0
GTEX-Q2AI-1326-SM-2S1PL 40-49 years, male 174.0
GTEX-11XUK-2026-SM-5EQLF 40-49 years, female 173.8
GTEX-XBEW-0626-SM-4QASP 40-49 years, male 173.8
GTEX-WYVS-2126-SM-3NMA3 40-49 years, female 173.7
GTEX-1KAFJ-2026-SM-CY8ID 50-59 years, male 173.7
GTEX-OOBJ-0126-SM-E6CJW 60-69 years, male 173.7
GTEX-1H11D-0226-SM-9WG6Z 40-49 years, male 173.6
GTEX-1212Z-2526-SM-5EGKP 60-69 years, male 173.3
GTEX-X62O-0126-SM-4E3JN 50-59 years, male 173.1
GTEX-ZF2S-2326-SM-4WWCE 50-59 years, female 173.1
GTEX-1HBPM-0226-SM-ARL9F 60-69 years, female 173.1
GTEX-13OW8-1326-SM-5J1OW 60-69 years, male 173.0
GTEX-11O72-0126-SM-59887 40-49 years, male 172.9
GTEX-15SHW-0326-SM-6PAML 60-69 years, male 172.9
GTEX-13CF3-2426-SM-5IFGX 60-69 years, female 172.8
GTEX-1NHNU-1026-SM-E9J2A 50-59 years, male 172.8
GTEX-113JC-2326-SM-5EQ4E 50-59 years, female 172.7
GTEX-14BMV-0126-SM-5S2PO 50-59 years, male 172.7
GTEX-145LV-2126-SM-5LU8N 50-59 years, male 172.3
GTEX-QDT8-0126-SM-48TZ1 30-39 years, female 172.2
GTEX-1S82Y-2026-SM-EVYCM 40-49 years, male 172.2
GTEX-NFK9-0226-SM-2HMKQ 40-49 years, male 172.1
GTEX-13FH7-2026-SM-E9J4I 50-59 years, female 172.0
GTEX-SJXC-0126-SM-2XCFF 60-69 years, male 171.8
GTEX-1HCU9-1526-SM-A9SL7 20-29 years, male 171.6
GTEX-13NZA-0226-SM-5K7Z7 60-69 years, male 171.4
GTEX-1S5ZA-0126-SM-EVYCV 20-29 years, male 171.4
GTEX-ZF29-2326-SM-DO92K 60-69 years, female 171.2
GTEX-1BAJH-0526-SM-793CQ 70-79 years, male 171.0
GTEX-18A67-0126-SM-7LG5P 50-59 years, male 170.8
GTEX-1PIGE-0126-SM-EVYBJ 20-29 years, male 170.5
GTEX-PWO3-1526-SM-48TCM 60-69 years, female 170.2
GTEX-ZAJG-0126-SM-5HL94 50-59 years, female 170.1
GTEX-1CB4G-0226-SM-7PC3O 60-69 years, male 170.1
GTEX-14A5H-0426-SM-5QGQF 60-69 years, male 169.8
GTEX-15DDE-0126-SM-6LPKH 50-59 years, female 169.6
GTEX-1EX96-1626-SM-7PBXR 50-59 years, male 169.4
GTEX-SN8G-0126-SM-32PLI 50-59 years, female 169.3
GTEX-X638-0126-SM-47JZ8 70-79 years, female 169.3
GTEX-XUW1-0426-SM-4BOOT 50-59 years, female 169.3
GTEX-15SHU-0126-SM-7KUEH 40-49 years, female 169.0
GTEX-17KNJ-2326-SM-7DHLQ 50-59 years, male 169.0
GTEX-1HCU8-0626-SM-A9SM9 60-69 years, female 169.0
GTEX-11DZ1-0126-SM-5985Q 50-59 years, male 168.9
GTEX-ZYT6-0226-SM-5NQ6T 30-39 years, male 168.9
GTEX-11DXX-2426-SM-5GZZW 60-69 years, female 168.5
GTEX-1IDJF-0126-SM-CM2RS 20-29 years, male 168.5
GTEX-11TT1-2526-SM-5EGIB 20-29 years, male 168.4
GTEX-QESD-1426-SM-2S1R9 20-29 years, male 168.4
GTEX-1GN1U-0126-SM-7PBZK 50-59 years, female 168.4
GTEX-139T4-0226-SM-5HL5S 50-59 years, female 168.3
GTEX-13U4I-0126-SM-5LU38 40-49 years, female 168.0
GTEX-ZEX8-2426-SM-4WKG4 50-59 years, male 167.8
GTEX-1B8KE-2126-SM-73KYX 50-59 years, male 167.6
GTEX-PLZ4-0126-SM-5SI8O 50-59 years, female 167.6
GTEX-1IY9M-0126-SM-D3L8S 60-69 years, male 167.6
GTEX-17HHE-2026-SM-79OKF 50-59 years, male 167.5
GTEX-U3ZN-2326-SM-3DB7W 30-39 years, female 166.9
GTEX-11TTK-0126-SM-5987B 60-69 years, female 166.7
GTEX-13O3P-0126-SM-5KM4S 50-59 years, male 166.7
GTEX-1LGOU-2026-SM-DIPFF 20-29 years, female 166.6
GTEX-11EMC-2926-SM-5EQ4F 60-69 years, female 166.5
GTEX-1AX9I-0126-SM-7SB74 60-69 years, male 166.5
GTEX-1I1CD-0126-SM-CM2TK 60-69 years, female 166.5
GTEX-1A3MV-1926-SM-718BT 30-39 years, male 166.4
GTEX-ZTPG-0326-SM-5O9AX 20-29 years, female 166.4
GTEX-1I19N-0326-SM-ACKVX 70-79 years, male 166.4
GTEX-1EKGG-0226-SM-9WYTH 60-69 years, male 166.3
GTEX-1LNCM-1126-SM-E9U5E 50-59 years, female 166.1
GTEX-1R7EU-0226-SM-EVR4G 60-69 years, male 166.0
GTEX-13JUV-2726-SM-5LZZ8 40-49 years, female 165.8
GTEX-1C64O-0126-SM-7SB8P 60-69 years, male 165.8
GTEX-1B8SG-0126-SM-73KZ3 50-59 years, male 165.6
GTEX-1IGQW-0126-SM-COH42 60-69 years, male 165.3
GTEX-14JIY-0126-SM-6LLH6 60-69 years, male 165.1
GTEX-11P82-1626-SM-59879 20-29 years, male 165.0
GTEX-ZVZP-2426-SM-59HKJ 50-59 years, male 165.0
GTEX-1IL2V-0126-SM-CM2TX 70-79 years, male 165.0
GTEX-ZAB5-1826-SM-5HL7C 50-59 years, male 164.8
GTEX-OXRK-0226-SM-3NB2G 50-59 years, female 164.7
GTEX-1GPI6-0126-SM-9WG69 60-69 years, male 164.7
GTEX-1GN73-0226-SM-9WG67 60-69 years, male 164.5
GTEX-13FHO-0226-SM-5IFGY 60-69 years, male 164.4
GTEX-1ICLZ-0126-SM-CKZPO 60-69 years, male 164.4
GTEX-11EM3-2426-SM-59861 20-29 years, female 164.2
GTEX-1H1DE-2126-SM-9WG6R 20-29 years, male 164.0
GTEX-RWSA-0126-SM-2XCBB 40-49 years, male 163.8
GTEX-1R9PO-2126-SM-E9J4O 60-69 years, female 163.7
GTEX-1O97I-0326-SM-EYYX7 60-69 years, male 163.6
GTEX-17EVP-0326-SM-7DHLG 40-49 years, male 163.5
GTEX-1F75I-0326-SM-9YFLU 40-49 years, male 163.5
GTEX-ZTX8-1426-SM-5DUVO 20-29 years, male 163.3
GTEX-1ICLY-0126-SM-D4P36 50-59 years, male 163.2
GTEX-ZQG8-1626-SM-DHXIT 60-69 years, female 163.2
GTEX-13PVR-2326-SM-5QGR1 60-69 years, female 163.1
GTEX-WFON-2126-SM-3LK7O 40-49 years, male 162.6
GTEX-1GZ4H-1726-SM-7PBZJ 50-59 years, female 162.6
GTEX-OHPM-0126-SM-2YUN9 50-59 years, male 162.5
GTEX-16YQH-0126-SM-7DUFJ 30-39 years, male 162.4
GTEX-1K2DU-2326-SM-E9TIV 20-29 years, male 162.4
GTEX-1RLM8-2326-SM-EWRN4 50-59 years, male 162.3
GTEX-14PJ6-2126-SM-6EU1V 60-69 years, female 162.2
GTEX-1CB4H-0226-SM-7PBXM 60-69 years, female 162.2
GTEX-1QP67-1626-SM-EAZ3X 40-49 years, female 162.2
GTEX-12584-0126-SM-5EGKQ 40-49 years, male 162.1
GTEX-OXRP-0126-SM-3NB32 60-69 years, female 161.6
GTEX-13N1W-0126-SM-5K7VT 70-79 years, male 161.4
GTEX-QVJO-1626-SM-2S1QW 60-69 years, female 160.8
GTEX-1H1DG-0126-SM-9WYU2 70-79 years, male 160.4
GTEX-XUYS-0126-SM-47JWZ 50-59 years, male 160.1
GTEX-1192X-0226-SM-5H12D 50-59 years, male 159.7
GTEX-T8EM-1026-SM-3DB7M 40-49 years, male 159.7
GTEX-13RTL-0126-SM-7LG5S 40-49 years, male 159.4
GTEX-1R46S-0626-SM-E9J41 60-69 years, female 159.4
GTEX-RUSQ-1526-SM-2TF62 50-59 years, male 159.2
GTEX-139TT-0126-SM-5K7Y5 60-69 years, male 159.0
GTEX-1HBPH-0426-SM-B2LW5 40-49 years, female 158.9
GTEX-148VI-1626-SM-5SI6E 60-69 years, female 158.7
GTEX-13OW5-0126-SM-DTXFS 60-69 years, male 158.7
GTEX-PW2O-1526-SM-7RHHB 20-29 years, male 158.7
GTEX-144FL-0126-SM-5TDC8 50-59 years, male 158.6
GTEX-14E6E-1826-SM-5S2R7 30-39 years, male 158.5
GTEX-11EI6-0126-SM-5985R 60-69 years, male 158.4
GTEX-13YAN-0326-SM-5O9DF 60-69 years, male 158.4
GTEX-R3RS-0126-SM-3GIJL 40-49 years, female 158.2
GTEX-1F52S-0126-SM-9MQJU 60-69 years, female 157.9
GTEX-1AYD5-2426-SM-73KXR 50-59 years, male 157.8
GTEX-1J1R8-1726-SM-ARL8M 40-49 years, male 157.8
GTEX-144GL-0126-SM-5TDE2 50-59 years, male 157.6
GTEX-XBED-2226-SM-47JYQ 60-69 years, male 157.3
GTEX-1HBPN-0226-SM-9YFM1 50-59 years, male 157.3
GTEX-13SLX-0526-SM-5S2ON 50-59 years, female 157.2
GTEX-ZC5H-0226-SM-4WAY9 40-49 years, female 156.7
GTEX-ZYW4-0126-SM-5E44A 60-69 years, male 156.7
GTEX-13D11-2426-SM-5KM1V 50-59 years, female 156.6
GTEX-R55E-0126-SM-2TC5Y 20-29 years, male 156.6
GTEX-1M4P7-0226-SM-DIPEV 60-69 years, male 156.6
GTEX-11ZVC-2526-SM-5FQTE 50-59 years, female 156.3
GTEX-17HGU-0226-SM-7DHKV 50-59 years, male 155.9
GTEX-1192W-2626-SM-5Q5AF 60-69 years, male 155.8
GTEX-17HG3-2226-SM-7938L 30-39 years, female 155.6
GTEX-ZDTT-2726-SM-4WKF8 60-69 years, male 155.6
GTEX-146FH-0126-SM-5QGPP 50-59 years, female 155.5
GTEX-1JJEA-0326-SM-CNPOT 60-69 years, male 155.5
GTEX-V1D1-2226-SM-3NMAX 50-59 years, male 155.4
GTEX-1J8QM-2126-SM-CYPSJ 60-69 years, female 155.1
GTEX-XMD2-0126-SM-4YCDU 60-69 years, female 154.7
GTEX-13FTX-1826-SM-5J1NX 20-29 years, female 154.4
GTEX-1R9K4-0126-SM-DTX9X 60-69 years, male 154.1
GTEX-183FY-0126-SM-7LT9P 20-29 years, male 153.8
GTEX-1H1ZS-0426-SM-9WG6G 70-79 years, male 153.8
GTEX-13X6H-2126-SM-7EWD5 50-59 years, female 153.7
GTEX-1JMQI-2226-SM-CM2SD 50-59 years, male 153.7
GTEX-15D1Q-0126-SM-7KUG6 40-49 years, male 153.6
GTEX-11P81-2326-SM-59875 30-39 years, female 153.4
GTEX-17F96-1626-SM-7DUFL 70-79 years, male 153.4
GTEX-1POEN-0126-SM-EYYXJ 30-39 years, female 153.4
GTEX-17GQL-2026-SM-718BA 60-69 years, male 153.0
GTEX-17MFQ-1726-SM-793C7 20-29 years, male 153.0
GTEX-1AX9J-0226-SM-73KXM 60-69 years, male 152.9
GTEX-1128S-2326-SM-5GZZY 60-69 years, female 152.7
GTEX-X261-0126-SM-3NMD6 50-59 years, male 152.2
GTEX-1LGRB-2526-SM-CNPPQ 50-59 years, female 152.2
GTEX-1MUQO-0126-SM-EAZ58 60-69 years, male 152.2
GTEX-OXRN-0126-SM-48TDM 50-59 years, male 151.4
GTEX-1PWST-0226-SM-E76QJ 70-79 years, male 151.0
GTEX-R45C-0126-SM-EAZ2R 60-69 years, female 151.0
GTEX-1JMQK-0226-SM-CL543 60-69 years, male 150.8
GTEX-T6MO-1626-SM-32QOM 40-49 years, female 150.7
GTEX-1HSMP-0126-SM-E6CJS 70-79 years, male 150.7
GTEX-11DXY-2626-SM-5GIE7 60-69 years, male 150.6
GTEX-13OVI-1426-SM-5L3EY 60-69 years, female 150.6
GTEX-13O1R-0126-SM-5L3EH 60-69 years, male 150.5
GTEX-14A6H-0126-SM-5QGPK 30-39 years, male 150.4
GTEX-11WQC-2526-SM-5CVLE 60-69 years, male 150.1
GTEX-15G19-0126-SM-6PANQ 60-69 years, male 150.1
GTEX-1CAMQ-0226-SM-7IGPK 40-49 years, male 149.8
GTEX-ZYY3-0126-SM-5GZY5 60-69 years, female 149.5
GTEX-ZZ64-1726-SM-5GZYB 20-29 years, male 149.5
GTEX-Y5V5-2326-SM-4V6GA 60-69 years, female 149.3
GTEX-145MI-0526-SM-5O9A8 60-69 years, female 148.9
GTEX-145LU-0126-SM-5TDCB 50-59 years, male 148.4
GTEX-WRHK-1426-SM-3MJF9 20-29 years, female 148.4
GTEX-OOBK-0126-SM-2YUND 40-49 years, male 148.3
GTEX-1HSMO-0126-SM-CL547 60-69 years, male 148.3
GTEX-15DCD-0126-SM-7KUEK 70-79 years, female 148.2
GTEX-14JG6-2226-SM-6EU2G 30-39 years, female 148.1
GTEX-QDVN-2026-SM-3GAEP 50-59 years, male 148.0
GTEX-11EQ9-2426-SM-5HL5T 30-39 years, male 147.9
GTEX-11H98-0126-SM-5EGHG 50-59 years, male 147.7
GTEX-14DAQ-0126-SM-5S2MQ 60-69 years, female 147.7
GTEX-QLQW-1126-SM-2S1Q8 30-39 years, male 147.3
GTEX-1E2YA-0126-SM-9KNUC 50-59 years, male 147.3
GTEX-VJYA-1126-SM-3GIJU 60-69 years, male 147.0
GTEX-1B996-0226-SM-7RHGO 60-69 years, male 147.0
GTEX-1H2FU-0126-SM-9WYSI 60-69 years, female 146.9
GTEX-ZZPT-0226-SM-5E43X 50-59 years, male 146.6
GTEX-11NSD-2226-SM-5986V 20-29 years, male 146.2
GTEX-1QW4Y-1526-SM-EAZ3Z 30-39 years, male 146.1
GTEX-1EU9M-0226-SM-7P8SP 60-69 years, male 145.8
GTEX-13VXT-0126-SM-5LU4I 20-29 years, female 145.5
GTEX-ZTSS-1926-SM-57WEW 40-49 years, male 145.5
GTEX-16NPX-0226-SM-79OMT 50-59 years, male 145.2
GTEX-15UKP-0426-SM-7KUFQ 20-29 years, male 145.1
GTEX-1HKZK-0326-SM-9WYUH 40-49 years, male 144.4
GTEX-OXRO-0126-SM-2YUN4 60-69 years, female 144.3
GTEX-11ZTT-2426-SM-5EQLS 60-69 years, female 144.2
GTEX-1QEPI-0126-SM-EWRMQ 60-69 years, female 144.1
GTEX-12C56-1726-SM-5EQ61 20-29 years, male 143.9
GTEX-1HUB1-0426-SM-E9U4U 60-69 years, male 143.9
GTEX-17EUY-0426-SM-793BD 20-29 years, male 143.4
GTEX-R55G-2526-SM-2TC6D 40-49 years, female 143.1
GTEX-1J8Q2-0526-SM-CM2RW 60-69 years, male 143.1
GTEX-1B8KZ-2026-SM-7DHMB 50-59 years, male 142.9
GTEX-11ZU8-2526-SM-5EQKI 60-69 years, male 142.8
GTEX-1HB9E-0226-SM-E9U4R 50-59 years, male 142.7
GTEX-1QP29-0626-SM-EWRMX 50-59 years, male 142.5
GTEX-13W46-0226-SM-5SIAG 50-59 years, male 141.8
GTEX-1QMI2-0226-SM-EVYBX 60-69 years, male 141.8
GTEX-113IC-0126-SM-5HL6T 60-69 years, male 141.4
GTEX-13W3W-2426-SM-5LU5B 60-69 years, female 141.3
GTEX-16XZZ-0126-SM-793DV 60-69 years, male 141.1
GTEX-1CB4J-0626-SM-7DHMP 60-69 years, male 141.0
GTEX-ZV6S-2326-SM-4YCEY 40-49 years, female 140.7
GTEX-11VI4-1726-SM-5CVLH 40-49 years, female 140.6
GTEX-U3ZH-2026-SM-3DB78 30-39 years, male 140.6
GTEX-13X6I-0626-SM-5QGP9 60-69 years, male 140.3
GTEX-1R7EV-2426-SM-EVYBG 40-49 years, male 140.2
GTEX-1E1VI-0126-SM-7DHMZ 50-59 years, male 140.1
GTEX-1IKJJ-0126-SM-CNPQB 60-69 years, male 139.8
GTEX-ZQUD-1426-SM-57WER 30-39 years, male 139.7
GTEX-14C5O-0126-SM-5SI6N 60-69 years, male 139.3
GTEX-14LLW-0126-SM-6LLIO 70-79 years, female 139.2
GTEX-16BQI-0226-SM-7KUEX 30-39 years, female 139.2
GTEX-1N2EF-0226-SM-EYYXB 60-69 years, male 139.1
GTEX-13NYS-0126-SM-5MR3W 60-69 years, male 139.0
GTEX-14A5I-0126-SM-5TDEA 50-59 years, female 138.7
GTEX-14BIN-0626-SM-793DP 50-59 years, female 138.6
GTEX-RN64-0126-SM-2TC68 50-59 years, male 138.4
GTEX-ZY6K-1826-SM-5GZXK 50-59 years, male 138.4
GTEX-1GN1W-0526-SM-9MQJQ 50-59 years, female 138.4
GTEX-1AX9K-2326-SM-73KWU 50-59 years, male 138.1
GTEX-1C2JI-1826-SM-73KXC 50-59 years, male 137.8
GTEX-15EU6-0426-SM-6PAN5 50-59 years, male 136.8
GTEX-12WSC-0126-SM-5EQ4P 50-59 years, male 136.6
GTEX-147GR-0526-SM-5S2MY 60-69 years, male 136.4
GTEX-1I1HK-0126-SM-COH49 60-69 years, male 136.3
GTEX-1PPH7-2326-SM-EVYB8 40-49 years, male 136.3
GTEX-ZUA1-0126-SM-5GU76 40-49 years, male 136.1
GTEX-1F88F-2726-SM-7PBZZ 60-69 years, female 135.8
GTEX-13OVH-0126-SM-5MR4B 70-79 years, male 135.2
GTEX-12WSL-2526-SM-5GCNJ 50-59 years, male 134.7
GTEX-16XZY-2126-SM-79OK1 70-79 years, male 134.7
GTEX-WOFL-0126-SM-3MJG2 60-69 years, male 134.6
GTEX-1I4MK-2226-SM-ACKWD 50-59 years, female 134.6
GTEX-1I1GR-0126-SM-CL55F 60-69 years, male 134.4
GTEX-1C6VR-2426-SM-79OLD 60-69 years, male 133.8
GTEX-YJ8A-0426-SM-5IFID 20-29 years, male 133.8
GTEX-1LH75-2426-SM-E9TJE 50-59 years, female 133.3
GTEX-RM2N-1426-SM-2TF4H 50-59 years, male 133.1
GTEX-1I1GQ-0126-SM-COH3H 50-59 years, male 133.0
GTEX-1JJE9-0326-SM-CL53Z 70-79 years, male 132.0
GTEX-13OVJ-0126-SM-5KM36 50-59 years, female 131.8
GTEX-18D9B-0526-SM-7LTAS 60-69 years, male 131.7
GTEX-1A8FM-0226-SM-7SB7Q 50-59 years, female 131.4
GTEX-RWS6-2026-SM-2XCB5 60-69 years, female 131.3
GTEX-WFG8-2226-SM-3GIL9 20-29 years, male 131.1
GTEX-1HSMQ-1226-SM-CGQFX 50-59 years, male 131.1
GTEX-1JKYN-1326-SM-CGQG9 30-39 years, male 130.4
GTEX-Q2AG-0126-SM-33HBV 40-49 years, female 130.3
GTEX-1H3NZ-0126-SM-ACKX7 60-69 years, male 130.3
GTEX-14ABY-0226-SM-5TDCQ 50-59 years, male 129.1
GTEX-1I1GT-0626-SM-CGQER 60-69 years, female 128.9
GTEX-1J8Q3-1626-SM-CMKGC 60-69 years, male 128.7
GTEX-13OVG-1926-SM-5L3DK 60-69 years, male 128.5
GTEX-14E7W-0126-SM-6LLJ9 70-79 years, male 128.5
GTEX-Y8LW-1826-SM-5S2MV 50-59 years, female 128.2
GTEX-1B97I-1626-SM-73KYO 40-49 years, male 128.1
GTEX-ZVE2-0226-SM-59HJB 50-59 years, male 127.5
GTEX-147F3-0526-SM-5SI98 50-59 years, female 127.4
GTEX-18A66-0226-SM-718BD 60-69 years, male 127.3
GTEX-1LC47-0326-SM-E9TJP 60-69 years, male 127.3
GTEX-1AMEY-1326-SM-73KYK 30-39 years, female 127.2
GTEX-1AMFI-2026-SM-731BH 50-59 years, female 127.1
GTEX-PLZ5-2026-SM-2S1O4 50-59 years, male 126.4
GTEX-1F48J-0126-SM-7P8TT 50-59 years, female 126.4
GTEX-QDVJ-1726-SM-2I5FX 50-59 years, male 126.2
GTEX-16NGA-1726-SM-731B4 40-49 years, female 126.0
GTEX-1EN7A-0126-SM-7SB81 40-49 years, male 126.0
GTEX-12KS4-0326-SM-5EQ41 30-39 years, male 125.7
GTEX-1C6VS-0526-SM-7DUEN 60-69 years, male 125.6
GTEX-183WM-0126-SM-7LTAB 70-79 years, female 125.3
GTEX-13N2G-2626-SM-5J1OT 60-69 years, male 124.8
GTEX-1JN76-0126-SM-CNPPE 20-29 years, female 124.0
GTEX-14PN3-2426-SM-6LLHS 60-69 years, female 123.8
GTEX-QLQ7-1626-SM-2S1R8 60-69 years, male 123.7
GTEX-1RQEC-0426-SM-E6CHU 60-69 years, male 122.9
GTEX-11WQK-0526-SM-5EQLD 50-59 years, male 122.8
GTEX-PVOW-0126-SM-2XCFA 40-49 years, male 122.5
GTEX-11LCK-1026-SM-5A5KB 30-39 years, male 121.9
GTEX-1GMR8-0126-SM-9WYTM 50-59 years, female 120.8
GTEX-148VJ-0126-SM-5TDDN 70-79 years, male 120.1
GTEX-15F5U-1526-SM-6PANO 40-49 years, male 119.8
GTEX-14BIL-0126-SM-5SI92 50-59 years, male 119.3
GTEX-1RAZA-0126-SM-E6CI3 20-29 years, male 119.0
GTEX-S32W-2126-SM-2XCB1 50-59 years, female 118.4
GTEX-1C475-1826-SM-73KWA 40-49 years, female 118.0
GTEX-1K9T9-0126-SM-EVYCF 50-59 years, female 118.0
GTEX-VJWN-0126-SM-3GIK7 50-59 years, female 117.8
GTEX-1I1GU-2226-SM-CGQFA 40-49 years, male 117.6
GTEX-1IDJU-2626-SM-CM2RT 60-69 years, female 117.2
GTEX-1QP2A-0126-SM-E9J43 50-59 years, male 116.8
GTEX-SSA3-0126-SM-32QPU 60-69 years, male 116.7
GTEX-1LSNM-1926-SM-E6CII 50-59 years, male 116.0
GTEX-U4B1-1826-SM-4DXSU 40-49 years, male 115.3
GTEX-Q2AH-1626-SM-3GAF8 40-49 years, male 115.2
GTEX-1N2DV-0226-SM-E6CJ6 40-49 years, male 115.2
GTEX-1GL5R-1826-SM-9KNUY 50-59 years, male 114.9
GTEX-16AAH-1726-SM-7939C 50-59 years, male 114.2
GTEX-TSE9-0126-SM-3DB83 60-69 years, female 114.0
GTEX-ZXG5-0126-SM-5GIEU 60-69 years, male 113.0
GTEX-Z9EW-1626-SM-5CVMN 40-49 years, male 112.8
GTEX-OIZF-0126-SM-7SB8I 60-69 years, male 112.1
GTEX-1H1E6-1726-SM-ACKVK 30-39 years, male 111.9
GTEX-1MA7X-2226-SM-E6CIY 60-69 years, male 111.0
GTEX-15EOM-0126-SM-7KUGG 20-29 years, female 109.3
GTEX-1KANB-0526-SM-E6CJH 50-59 years, male 107.2
GTEX-1JMOU-1526-SM-CL54I 60-69 years, female 107.0
GTEX-TMMY-0226-SM-33HBA 40-49 years, female 106.8
GTEX-13NYC-0326-SM-E9J4S 60-69 years, male 106.6
GTEX-1H23P-0126-SM-ADEJ3 60-69 years, male 106.6
GTEX-1HFI7-1826-SM-ACKXH 50-59 years, female 106.6
GTEX-1A3MW-0126-SM-73KXX 60-69 years, female 106.3
GTEX-1JJ6O-0126-SM-E6CI8 60-69 years, male 106.3
GTEX-1L5NE-2526-SM-E6CIE 50-59 years, male 105.5
GTEX-14PHW-0126-SM-6LLJI 60-69 years, female 104.4
GTEX-1F5PK-2426-SM-7RHHY 50-59 years, male 104.1
GTEX-146FR-1326-SM-E9J48 60-69 years, female 102.2
GTEX-1HCU7-0226-SM-CL545 50-59 years, male 100.4
GTEX-1IE54-0126-SM-CMKHW 40-49 years, female 100.3
GTEX-SNMC-1226-SM-2XCFP 20-29 years, male 97.8
GTEX-12WSN-5019-SM-79OM6 40-49 years, male 94.7
GTEX-1JK1U-2026-SM-CM2RZ 60-69 years, male 93.7
GTEX-P44H-0226-SM-2XCEU 40-49 years, male 91.2
GTEX-1S82Z-0826-SM-E6CHY 30-39 years, female 80.4
Show allShow less

Contact

  • NEWS ARTICLES
  • PRESS ROOM

The Project

  • INTRODUCTION
  • ORGANIZATION
  • PUBLICATIONS

The Human Protein Atlas

  • DOWNLOADABLE DATA
  • LICENCE & CITATION
  • HELP & FAQ
The Human Protein Atlas project is funded
by the Knut & Alice Wallenberg Foundation.


contact@proteinatlas.org