We use cookies to enhance the usability of our website. If you continue, we'll assume that you are happy to receive all cookies. More information. Don't show this again.
BCL2L13
HPA
RESOURCES
  • TISSUE
  • BRAIN
  • SINGLE CELL
  • SUBCELLULAR
  • CANCER
  • BLOOD
  • CELL LINE
  • STRUCTURE & INTERACTION
ABOUT
  • INTRODUCTION
  • HISTORY
  • ORGANIZATION
  • PUBLICATIONS
  • ANTIBODY SUBMISSION
  • ANTIBODY AVAILABILITY
  • ACKNOWLEDGMENTS
  • CONTACT
NEWS
  • NEWS ARTICLES
  • PRESS ROOM
LEARN
  • DICTIONARY
  • PROTEIN CLASSES
  • PROTEIN EVIDENCE
  • METHODS
  • EDUCATIONAL VIDEOS
DATA
  • DOWNLOADABLE DATA
  • PUBLICATION DATA
  • RELEASE HISTORY
HELP
  • ANTIBODY VALIDATION
  • ASSAYS & ANNOTATION
  • DISCLAIMER
  • HELP & FAQ
  • PRIVACY STATEMENT
  • LICENCE & CITATION
Fields »
Search result

Field
Term
Gene name
Class
Subclass
Class
Keyword
Chromosome
External id
Tissue
Cell type
Expression
Antibody panel
Tissue
Main location
Patient ID
Annotation
Tissue
Category
Tau score
Cluster
Reliability
Brain region
Category
Tau score
Brain region
Category
Tau score
Brain region
Category
Tau score
Cluster
Reliability
Tissue
Cell type
Enrichment
Cell type
Category
Tau score
Cell type
Category
Tau score
Cell type
Category
Tau score
Cell lineage
Category
Tau score
Cluster
Cluster
Location
Searches
Location
Cell line
Class
Type
Phase
Reliability
Cancer
Prognosis
Cancer
Category
Cancer
Category
Tau score
Cluster
Variants
Interacting gene (ensg_id)
Type
Number of interactions
Pathway
Category
Score
Score
Score
Validation
Validation
Validation
Validation
Antibodies
Data type
Column


  • SUMMARY

  • TISSUE

  • BRAIN

  • SINGLE CELL

  • SUBCELL

  • CANCER

  • BLOOD

  • CELL LINE

  • STRUCT & INT

  • BCL2L13
TISSUE PRIMARY DATA COLON Show tissue menu
ADIPOSE TISSUE ADRENAL GLAND AMYGDALA APPENDIX BASAL GANGLIA BONE MARROW BREAST BRONCHUS CEREBELLUM CEREBRAL CORTEX CERVIX CHOROID PLEXUS COLON DUODENUM
ENDOMETRIUM EPIDIDYMIS ESOPHAGUS FALLOPIAN TUBE GALLBLADDER HEART MUSCLE HIPPOCAMPAL FORMATION HYPOTHALAMUS KIDNEY LIVER LUNG LYMPH NODE MIDBRAIN NASOPHARYNX
ORAL MUCOSA OVARY PANCREAS PARATHYROID GLAND PITUITARY GLAND PLACENTA PROSTATE RECTUM RETINA SALIVARY GLAND SEMINAL VESICLE SKELETAL MUSCLE SKIN SMALL INTESTINE
SMOOTH MUSCLE SOFT TISSUE SPINAL CORD SPLEEN STOMACH TESTIS THYMUS THYROID GLAND TONGUE TONSIL URINARY BLADDER VAGINA
ANTIBODIES
AND
VALIDATION
Dictionary
Colon
Tissue proteome
Intestine
COLON - Expression summary
Protein expression
Coloni

On the top, protein expression in current human tissue, based on all annotated cell types, is reported with the units not detected (n), low (l), medium (m) and high (h). Underneath, protein expression in each annotated cell type are reported using the same units.

Protein expression data is based on knowledge-based annotation. For genes where more than one antibody has been used, a collective score is set.

If knowledge-based annotation could not be performed for a gene, no data is displayed here. View antibody staining data further down this page.

h
m
l
n
Endothelial cells: Medium
Glandular cells: Low
Peripheral nerve/ganglion: Not detected
RNA expressioni

A summary of mRNA expression data available for current tissue based on several datasets. The mRNA expression levels in human tissues are based on RNA-seq data generated by the Human Protein Atlas (HPA), Genotype-Tissue Expression (GTEx) portal and CAGE data generated by the FANTOM5 consortium. Consensus normalized expression levels for human tissues was created by combining the data from HPA and GTEx datasets.

The mRNA expression levels in pig are based on RNA-seq data generated by the Human Protein Atlas (HPA), and for mouse, HPA data and in situ hybridization generated by the Allen brain atlas are reported.

Scroll down to view mRNA expression data in more detail.
Consensus:9.7 nTPM
HPA:8.6 nTPM
GTEx:9.7 nTPM
FANTOM5:30.8 Scaled Tags Per Million

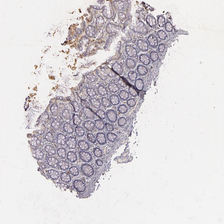
COLON - Antibody stainingi

Antibody staining in the annotated cell types in the current human tissue is reported as not detected, low, medium, or high, based on conventional immunohistochemistry profiling in selected tissues. This score is based on the combination of the staining intensity and fraction of stained cells.

Each image is clickable and will lead to virtual microscopy that enables deeper exploration of all samples and also displays staining intensity scores, fraction scores and subcellular localization as well as patient and tissue information for each sample.

Antibody HPA030994Antibody CAB002052
Endothelial cells MediumLow
Glandular cells LowNot detected
Peripheral nerve/ganglion Not detected-




COLON - HPA RNA-seqi

The RNA-seq details section shows detailed information about the individual samples used for the transcript profiling and results of the RNA-seq analysis.

Information about each individual sample is listed below, including gender, age, a tissue section image and estimated fractions of cell types. nTPM (normalized transcripts per million) values give a quantification of the gene abundance which is comparable between different genes and samples.
Average nTPMi

Max subtype nTPM is the value for the subtype with the largest average nTPM across the subtype samples.

8.6
overview
Male, age 54
Colon sample 67
nTPM: 6.9
Cell types%
Glandular cells:
65

Smooth muscle cells:
10

Other cell types:
25

overview
Female, age 57
Colon sample 68
nTPM: 6.8
Cell types%
Glandular cells:
40

Smooth muscle cells:
5

Other cell types:
55

overview
Male, age 80
Colon sample 69
nTPM: 5.9
Cell types%
Glandular cells:
55

Smooth muscle cells:
5

Other cell types:
40

overview
Male, age 68
Colon sample 70
nTPM: 7.1
Cell types%
Glandular cells:
35

Smooth muscle cells:
10

Other cell types:
55

overview
Female, age 68
Colon sample 76
nTPM: 5.3
Cell types%
Glandular cells:
25

Smooth muscle cells:
5

Other cell types:
70

overview
Female, age 61
Colon sample 299
nTPM: 8.8
Cell types%
Glandular cells:
5

Smooth muscle cells:
65

Other cell types:
30

overview
Male, age 80
Colon sample 300
nTPM: 11.4
Cell types%
Glandular cells:
15

Smooth muscle cells:
20

Other cell types:
65

overview
Female, age 78
Colon sample 368
nTPM: 9.9
Cell types%
Glandular cells:
45

Smooth muscle cells:
5

Other cell types:
50

overview
Male, age 84
Colon sample 381
nTPM: 9.5
Cell types%
Glandular cells:
50

Smooth muscle cells:
15

Other cell types:
35

overview
Male, age 80
Colon sample 384
nTPM: 12
Cell types%
Glandular cells:
20

Smooth muscle cells:
35

Other cell types:
45

overview
Female, age 78
Colon sample 389
nTPM: 10.1
Cell types%
Glandular cells:
35

Smooth muscle cells:
10

Other cell types:
55

overview
Female, age 69
Colon sample 391
nTPM: 9
Cell types%
Glandular cells:
10

Smooth muscle cells:
45

Other cell types:
45

overview
Female, age 72
Colon sample 403
nTPM: 9
Cell types%
Glandular cells:
20

Smooth muscle cells:
15

Other cell types:
65


COLON - GTEx RNA-seqi

RNA-Seq data generated by the Genotype-Tissue Expression (GTEx) project from human tissues is reported as mean nTPM. More information can be found on the GTEx portal.

Distribution across the dataset is visualized with box plots, shown as median and 25th and 75th percentiles. Points are displayed as outliers if they are above or below 1.5 times the interquartile range. nTPM values of the individual samples are presented next to the box plot.
Max subtype nTPMi

Max subtype nTPM is the value for the subtype with the largest average nTPM across the subtype samples.

9.7
GTEx sample id Sample description nTPM
Colon - Sigmoid
Average nTPM: 9.3
Samples: 373

Max nTPM: 18.3
Min nTPM: 3.9
Std nTPM: 2.8
Median nTPM: 9.1
GTEX-ZZ64-0826-SM-5E449 20-29 years, male 18.3
GTEX-1S5ZA-1426-SM-E6CJQ 20-29 years, male 17.7
GTEX-13O61-1526-SM-5KM3P 60-69 years, male 17.3
GTEX-1JMPY-1026-SM-ARZN1 30-39 years, male 16.7
GTEX-WFG7-1626-SM-4LVMF 20-29 years, male 16.5
GTEX-1J8Q3-2426-SM-CL53S 60-69 years, male 16.0
GTEX-1AX9J-2526-SM-73KUY 60-69 years, male 15.6
GTEX-ZA64-1426-SM-5CVMC 20-29 years, male 15.3
GTEX-1L5NE-1926-SM-D3L9R 50-59 years, male 15.2
GTEX-11EM3-1626-SM-5N9CO 20-29 years, female 15.1
GTEX-1LSNM-1426-SM-E6CIH 50-59 years, male 14.9
GTEX-13CF3-1326-SM-5LZXZ 60-69 years, female 14.8
GTEX-14E6E-1726-SM-5S2R6 30-39 years, male 14.8
GTEX-111YS-1826-SM-5GIEP 60-69 years, male 14.5
GTEX-Y9LG-1326-SM-4VBQB 30-39 years, male 14.5
GTEX-1I1CD-2826-SM-A9SL4 60-69 years, female 14.4
GTEX-14PK6-1826-SM-69LOM 70-79 years, female 14.3
GTEX-1JKYN-2226-SM-ARZNE 30-39 years, male 14.3
GTEX-1KANA-1726-SM-CY8IG 20-29 years, male 14.3
GTEX-1A32A-2626-SM-73KX9 50-59 years, female 14.2
GTEX-1C475-1526-SM-7DHM3 40-49 years, female 14.1
GTEX-1GL5R-1726-SM-9KNUX 50-59 years, male 14.1
GTEX-1HCUA-1926-SM-B2LWE 50-59 years, female 14.1
GTEX-1OFPY-1226-SM-E76OM 60-69 years, male 14.1
GTEX-11I78-1326-SM-5PNY9 50-59 years, female 14.0
GTEX-13QBU-2026-SM-5KLZB 40-49 years, female 13.8
GTEX-1S831-1726-SM-EWROJ 20-29 years, male 13.8
GTEX-13OVI-2126-SM-5KM3U 60-69 years, female 13.7
GTEX-145LT-0826-SM-5S2QL 40-49 years, male 13.7
GTEX-18D9A-1326-SM-7LT8P 30-39 years, female 13.7
GTEX-1RMOY-1726-SM-EVYC9 50-59 years, male 13.6
GTEX-13PVR-1726-SM-5Q5EC 60-69 years, female 13.5
GTEX-1B996-2726-SM-7DUGG 60-69 years, male 13.4
GTEX-1QP2A-2226-SM-DTXF6 50-59 years, male 13.4
GTEX-13FH7-1626-SM-5J2O9 50-59 years, female 13.3
GTEX-14C5O-2626-SM-5RQI5 60-69 years, male 13.3
GTEX-ZLFU-1426-SM-4WWEU 40-49 years, male 13.3
GTEX-15G1A-1926-SM-7KUFF 30-39 years, male 13.3
GTEX-1KXAM-1926-SM-D3LAG 60-69 years, male 13.3
GTEX-1B8KE-1526-SM-7DUG2 50-59 years, male 13.2
GTEX-ZXES-1726-SM-5E43G 30-39 years, female 13.2
GTEX-1J1R8-1426-SM-CL55O 40-49 years, male 13.2
GTEX-14E1K-1626-SM-664MO 50-59 years, male 13.1
GTEX-15RIF-1426-SM-7KUKQ 20-29 years, male 13.1
GTEX-14PJ4-1826-SM-5YY97 60-69 years, male 13.0
GTEX-Y114-1626-SM-4TT7I 50-59 years, female 12.9
GTEX-1JK1U-1426-SM-CNPOW 60-69 years, male 12.9
GTEX-131XG-1526-SM-5GCNQ 50-59 years, female 12.7
GTEX-1AYCT-1926-SM-793AE 50-59 years, male 12.7
GTEX-XAJ8-0726-SM-47JY5 40-49 years, male 12.7
GTEX-1A3MV-1026-SM-72D5U 30-39 years, male 12.6
GTEX-14PN3-1926-SM-6EU1Y 60-69 years, female 12.5
GTEX-1K2DA-1626-SM-CGQGB 50-59 years, male 12.5
GTEX-117YX-0526-SM-5EGJH 50-59 years, male 12.4
GTEX-1AX9K-1626-SM-73KUS 50-59 years, male 12.4
GTEX-1F5PK-1726-SM-7RHHW 50-59 years, male 12.4
GTEX-1LGOU-1726-SM-D3L8P 20-29 years, female 12.3
GTEX-1J8QM-1226-SM-CY8HI 60-69 years, female 12.2
GTEX-ZLV1-1326-SM-DO11Q 60-69 years, female 12.2
GTEX-ZQUD-1026-SM-4YCEZ 30-39 years, male 12.1
GTEX-1F5PL-1926-SM-7MXTP 40-49 years, female 12.0
GTEX-1HBPN-2026-SM-B2LWA 50-59 years, male 12.0
GTEX-1R7EU-1826-SM-DTX9L 60-69 years, male 12.0
GTEX-11P7K-1826-SM-5HL5A 30-39 years, male 11.9
GTEX-1B97I-1526-SM-73KUK 40-49 years, male 11.9
GTEX-YFCO-1526-SM-5YYB8 40-49 years, male 11.9
GTEX-1N2DV-1826-SM-E6CJ5 40-49 years, male 11.9
GTEX-1R9K5-2226-SM-DTX9G 50-59 years, male 11.9
GTEX-14JG6-1626-SM-5YYBC 30-39 years, female 11.8
GTEX-16MTA-1626-SM-6M47N 50-59 years, male 11.8
GTEX-13D11-0626-SM-5LZYY 50-59 years, female 11.7
GTEX-14PJ3-1226-SM-5ZZVY 50-59 years, male 11.7
GTEX-WRHK-1126-SM-4MVOJ 20-29 years, female 11.7
GTEX-1PBJJ-2026-SM-DTX8U 30-39 years, male 11.7
GTEX-11VI4-1426-SM-5GU6O 40-49 years, female 11.6
GTEX-11ZTT-1626-SM-5EQKR 60-69 years, female 11.6
GTEX-12WSG-2426-SM-5EQLZ 50-59 years, female 11.6
GTEX-12WSJ-1426-SM-5GCON 40-49 years, female 11.6
GTEX-139T6-1426-SM-5P9J7 50-59 years, male 11.6
GTEX-139UW-2326-SM-5KM1Y 60-69 years, male 11.6
GTEX-1IDJI-2226-SM-CKZPM 50-59 years, female 11.6
GTEX-1QPFJ-2426-SM-EVR3L 30-39 years, female 11.6
GTEX-1PDJ9-2026-SM-E76PT 20-29 years, male 11.5
GTEX-11ZU8-1126-SM-5EQ5K 60-69 years, male 11.4
GTEX-145ME-1126-SM-5SIAT 40-49 years, female 11.4
GTEX-15RIE-2026-SM-7KFRW 60-69 years, male 11.4
GTEX-ZPIC-2626-SM-57WE2 40-49 years, female 11.4
GTEX-ZQG8-2426-SM-57WEE 60-69 years, female 11.4
GTEX-111CU-1226-SM-5EGIN 50-59 years, male 11.3
GTEX-16NGA-0926-SM-718AG 40-49 years, female 11.3
GTEX-1C2JI-1726-SM-73KUW 50-59 years, male 11.3
GTEX-1CAMR-1026-SM-7P8QI 20-29 years, male 11.3
GTEX-1HFI7-1626-SM-9WYTR 50-59 years, female 11.3
GTEX-1IDJU-1926-SM-CL53W 60-69 years, female 11.3
GTEX-1MGNQ-2126-SM-EV7AC 40-49 years, male 11.3
GTEX-1AMFI-1826-SM-73KWB 50-59 years, female 11.2
GTEX-11TT1-0926-SM-5GU5M 20-29 years, male 11.1
GTEX-YF7O-1626-SM-5IFII 50-59 years, male 11.1
GTEX-ZDTS-2726-SM-5L3E2 60-69 years, male 11.1
GTEX-1211K-1826-SM-5EGJ2 60-69 years, female 11.0
GTEX-15ETS-2326-SM-7KUGC 40-49 years, female 11.0
GTEX-17EUY-1726-SM-79OK4 20-29 years, male 11.0
GTEX-X5EB-1126-SM-46MVV 40-49 years, male 11.0
GTEX-1JN76-1326-SM-ARU94 20-29 years, female 11.0
GTEX-1QP67-1426-SM-E8VOO 40-49 years, female 11.0
GTEX-1RAZQ-2026-SM-E76P7 30-39 years, male 11.0
GTEX-14PHX-1126-SM-5YYA5 50-59 years, male 10.9
GTEX-16BQI-2026-SM-7KULQ 30-39 years, female 10.9
GTEX-ZG7Y-1826-SM-4WWD3 50-59 years, male 10.9
GTEX-ZP4G-1526-SM-57WE5 20-29 years, female 10.9
GTEX-1LG7Z-1326-SM-DIPF3 30-39 years, male 10.9
GTEX-1399U-2226-SM-5KLZI 50-59 years, female 10.8
GTEX-XBED-1726-SM-47JYO 60-69 years, male 10.8
GTEX-ZTSS-1226-SM-51MSZ 40-49 years, male 10.8
GTEX-1K9T9-2926-SM-E9TKD 50-59 years, female 10.8
GTEX-15DZA-1026-SM-6PAND 30-39 years, female 10.7
GTEX-WFG8-1726-SM-4LVM6 20-29 years, male 10.7
GTEX-YEC3-2026-SM-DKPOL 50-59 years, male 10.7
GTEX-12BJ1-2026-SM-5FQUH 60-69 years, male 10.6
GTEX-13FTW-2126-SM-5K7YG 40-49 years, male 10.6
GTEX-WYJK-2326-SM-4ONDN 50-59 years, male 10.6
GTEX-1H1E6-1826-SM-A9G21 30-39 years, male 10.6
GTEX-1H3VY-2526-SM-9KNW1 50-59 years, male 10.6
GTEX-13111-1926-SM-5GCOL 50-59 years, male 10.5
GTEX-15F5U-1426-SM-7KUN2 40-49 years, male 10.5
GTEX-ZYFG-1826-SM-5GZWX 60-69 years, female 10.5
GTEX-13O1R-2426-SM-5KLZZ 60-69 years, male 10.4
GTEX-14BMU-1326-SM-5RQIH 20-29 years, female 10.4
GTEX-1122O-1426-SM-5H11R 60-69 years, female 10.3
GTEX-13RTJ-1926-SM-5YYA2 60-69 years, male 10.3
GTEX-144GM-1126-SM-79OJK 20-29 years, male 10.3
GTEX-WH7G-1426-SM-4LVMU 40-49 years, male 10.3
GTEX-XUZC-1526-SM-4BRV4 30-39 years, female 10.3
GTEX-1GPI7-1926-SM-9KNUH 20-29 years, male 10.3
GTEX-148VJ-2426-SM-5NQ9Y 70-79 years, male 10.2
GTEX-183FY-1426-SM-7DHLM 20-29 years, male 10.2
GTEX-18A66-2626-SM-72D67 60-69 years, male 10.2
GTEX-ZF29-1826-SM-4WKG8 60-69 years, female 10.2
GTEX-1ICG6-2226-SM-B2LY7 70-79 years, female 10.2
GTEX-1PIEJ-1826-SM-EWRMN 20-29 years, female 10.2
GTEX-1QP28-2226-SM-DTX8C 50-59 years, female 10.2
GTEX-ZLWG-1826-SM-DO11I 50-59 years, female 10.2
GTEX-15UF7-1326-SM-7KUKV 40-49 years, male 10.1
GTEX-17KNJ-1826-SM-7LT9N 50-59 years, male 10.1
GTEX-1I1GT-2026-SM-CKZPK 60-69 years, female 10.1
GTEX-1339X-1726-SM-5P9J9 40-49 years, male 10.0
GTEX-17GQL-1626-SM-7LG69 60-69 years, male 10.0
GTEX-17HHE-1626-SM-7DHLN 50-59 years, male 10.0
GTEX-Y5LM-1426-SM-5RQJL 40-49 years, female 10.0
GTEX-1HSMQ-2526-SM-A9SMK 50-59 years, male 10.0
GTEX-1LGRB-2026-SM-COH47 50-59 years, female 10.0
GTEX-WOFM-1926-SM-4OOSP 20-29 years, male 9.9
GTEX-ZF28-2526-SM-57WFH 60-69 years, male 9.9
GTEX-1LB8K-2526-SM-DIPEQ 50-59 years, male 9.9
GTEX-Y3I4-1126-SM-4TT7Y 50-59 years, male 9.8
GTEX-1CAMS-2626-SM-7PBY3 40-49 years, female 9.8
GTEX-1HKZK-2026-SM-9WYUF 40-49 years, male 9.8
GTEX-14C39-1626-SM-5S2P4 40-49 years, male 9.7
GTEX-15FZZ-1826-SM-6LLJP 30-39 years, female 9.7
GTEX-VJYA-2126-SM-4KL1O 60-69 years, male 9.7
GTEX-1N2EF-1726-SM-EXUSI 60-69 years, male 9.7
GTEX-17HGU-2626-SM-79OKN 50-59 years, male 9.6
GTEX-1AMEY-1826-SM-72D5L 30-39 years, female 9.6
GTEX-WI4N-2226-SM-4OOS9 40-49 years, female 9.6
GTEX-1GMR2-1826-SM-9KNUP 50-59 years, male 9.5
GTEX-1QCLY-2026-SM-EVR4C 30-39 years, male 9.5
GTEX-15DYW-2426-SM-7KUG8 60-69 years, female 9.4
GTEX-1A3MX-2326-SM-718B4 60-69 years, male 9.4
GTEX-W5WG-2026-SM-4LMIB 50-59 years, female 9.4
GTEX-WHPG-1626-SM-4M1ZL 50-59 years, male 9.4
GTEX-X4EO-2726-SM-4E3HS 60-69 years, female 9.4
GTEX-Y5V6-1626-SM-4VDT2 60-69 years, male 9.4
GTEX-1LBAC-1726-SM-D3L9W 20-29 years, male 9.4
GTEX-1PPH8-2226-SM-EWRN7 20-29 years, male 9.4
GTEX-WY7C-1926-SM-4ONCI 50-59 years, male 9.3
GTEX-11DXZ-1626-SM-5GIDI 50-59 years, male 9.2
GTEX-13W3W-2226-SM-5LU4M 60-69 years, female 9.2
GTEX-WHWD-1526-SM-4OORV 50-59 years, male 9.2
GTEX-1J1OQ-2826-SM-D3L88 40-49 years, female 9.2
GTEX-1JKYR-2026-SM-CNPON 20-29 years, male 9.2
GTEX-1LVAM-1726-SM-DHXKQ 50-59 years, female 9.2
GTEX-1LVAN-2626-SM-CNPQF 50-59 years, female 9.2
GTEX-12WSL-1826-SM-5LZW9 50-59 years, male 9.1
GTEX-13VXT-2026-SM-5L3EW 20-29 years, female 9.1
GTEX-14A5H-1626-SM-5SIAN 60-69 years, male 9.1
GTEX-15RJ7-1726-SM-6PAL3 40-49 years, male 9.1
GTEX-WXYG-1726-SM-4ONCU 50-59 years, female 9.1
GTEX-1OJC3-1826-SM-DTX93 20-29 years, male 9.1
GTEX-WFON-1326-SM-4LVMN 40-49 years, male 9.0
GTEX-XXEK-1826-SM-4BRVC 50-59 years, male 9.0
GTEX-ZAB5-1426-SM-5HL9D 50-59 years, male 9.0
GTEX-1HBPH-2526-SM-ACKXK 40-49 years, female 9.0
GTEX-WYVS-1126-SM-4SOJX 40-49 years, female 8.9
GTEX-ZYFD-2226-SM-5E43P 50-59 years, male 8.9
GTEX-1JMQK-2326-SM-ARZN4 60-69 years, male 8.9
GTEX-15UF6-2726-SM-7KULY 70-79 years, female 8.8
GTEX-183WM-2526-SM-731BP 70-79 years, female 8.8
GTEX-ZV6S-1126-SM-57WE9 40-49 years, female 8.8
GTEX-ZYT6-2826-SM-5GICX 30-39 years, male 8.8
GTEX-1QP9N-0826-SM-DTX9O 30-39 years, male 8.8
GTEX-1I1GP-2826-SM-A9SKZ 50-59 years, male 8.7
GTEX-1R9JW-2126-SM-E76QT 30-39 years, female 8.7
GTEX-11DXX-1926-SM-5EGJK 60-69 years, female 8.6
GTEX-11P81-1426-SM-5P9JN 30-39 years, female 8.6
GTEX-ZT9W-1726-SM-51MS3 50-59 years, male 8.6
GTEX-1HSGN-2226-SM-A9SL6 40-49 years, female 8.6
GTEX-1QP29-2526-SM-E6CQ3 50-59 years, male 8.6
GTEX-1S82P-2026-SM-E9TIQ 60-69 years, female 8.6
GTEX-XV7Q-2226-SM-4BRVY 40-49 years, female 8.5
GTEX-ZY6K-1326-SM-5GZWP 50-59 years, male 8.5
GTEX-1PIGE-1526-SM-DTXFC 20-29 years, male 8.5
GTEX-15RJE-2226-SM-6M46A 40-49 years, male 8.4
GTEX-1EMGI-2626-SM-7IGNR 60-69 years, male 8.4
GTEX-XUW1-1826-SM-4BOQD 50-59 years, female 8.4
GTEX-1IKOE-2126-SM-A96T5 30-39 years, female 8.4
GTEX-ZPCL-1626-SM-57WGC 60-69 years, female 8.3
GTEX-ZPU1-1726-SM-4WWFV 40-49 years, male 8.3
GTEX-1LKK1-2426-SM-DIPES 50-59 years, female 8.3
GTEX-1PBJI-2526-SM-E6CP4 20-29 years, female 8.3
GTEX-11EQ9-1526-SM-5PNY7 30-39 years, male 8.2
GTEX-1399R-2126-SM-5K7WZ 30-39 years, male 8.2
GTEX-13OVK-1026-SM-7KFTC 40-49 years, male 8.2
GTEX-XQ8I-2326-SM-4BOQC 50-59 years, male 8.2
GTEX-1GMR8-2926-SM-9KNW5 50-59 years, female 8.2
GTEX-1GN73-2726-SM-9WYUB 60-69 years, male 8.2
GTEX-1H1ZS-2626-SM-9QEIX 70-79 years, male 8.2
GTEX-1JMQJ-2626-SM-CY8HQ 50-59 years, male 8.2
GTEX-12696-1926-SM-5EGJT 60-69 years, male 8.1
GTEX-1GZ4H-1326-SM-7P8TE 50-59 years, female 8.1
GTEX-1H3VE-2326-SM-9KNVU 40-49 years, male 8.1
GTEX-1I6K6-1926-SM-A96SN 30-39 years, male 8.1
GTEX-1QW4Y-1426-SM-E76P3 30-39 years, male 8.1
GTEX-Y8E4-2326-SM-EAZAZ 40-49 years, male 8.1
GTEX-13OW8-2726-SM-5L3FZ 60-69 years, male 8.0
GTEX-13PL7-2426-SM-5J2N3 60-69 years, female 8.0
GTEX-ZTTD-2626-SM-57WEX 50-59 years, male 8.0
GTEX-1RAZR-2026-SM-E9TKE 40-49 years, male 8.0
GTEX-14PKV-1926-SM-686YU 20-29 years, female 7.9
GTEX-17F96-2126-SM-7KFSM 70-79 years, male 7.9
GTEX-17MFQ-1226-SM-7KFSA 20-29 years, male 7.9
GTEX-V955-1726-SM-4JBHF 60-69 years, male 7.9
GTEX-12WSM-1426-SM-5GCPA 60-69 years, male 7.8
GTEX-146FH-2426-SM-5Q5EW 50-59 years, female 7.8
GTEX-15ER7-2826-SM-6PAN2 20-29 years, female 7.8
GTEX-ZE9C-2126-SM-4WKGY 60-69 years, male 7.8
GTEX-131XE-1026-SM-5EGKE 50-59 years, male 7.7
GTEX-13OVJ-1826-SM-5KM2D 50-59 years, female 7.7
GTEX-YJ8A-1726-SM-5P9IQ 20-29 years, male 7.7
GTEX-1EH9U-1926-SM-7P8QM 60-69 years, male 7.7
GTEX-1HCU7-2726-SM-A9G3D 50-59 years, male 7.7
GTEX-11TUW-2326-SM-5EQMO 60-69 years, male 7.6
GTEX-13113-1426-SM-5EGHU 60-69 years, female 7.6
GTEX-16XZZ-2726-SM-7EWDO 60-69 years, male 7.6
GTEX-18A6Q-2226-SM-7LG61 60-69 years, male 7.6
GTEX-1H3NZ-2526-SM-9KNVO 60-69 years, male 7.6
GTEX-1PFEY-1726-SM-DPRZ4 30-39 years, male 7.6
GTEX-12ZZW-2426-SM-5DUWE 50-59 years, male 7.5
GTEX-139D8-2926-SM-5IJBM 30-39 years, female 7.5
GTEX-14AS3-1026-SM-5TDD7 40-49 years, female 7.5
GTEX-WQUQ-2626-SM-4MVNP 60-69 years, male 7.5
GTEX-1H1DE-1626-SM-9KNU5 20-29 years, male 7.5
GTEX-1HSEH-1926-SM-A96SB 60-69 years, male 7.5
GTEX-18QFQ-1726-SM-731C9 30-39 years, male 7.4
GTEX-1RDX4-1926-SM-E6CJJ 50-59 years, female 7.4
GTEX-1C4CL-1626-SM-7DUF3 30-39 years, male 7.3
GTEX-1CB4G-2726-SM-79OO4 60-69 years, male 7.3
GTEX-14E6C-2226-SM-5QGQG 40-49 years, male 7.2
GTEX-YECK-2826-SM-5IFHF 60-69 years, male 7.2
GTEX-ZVT2-1726-SM-51MRO 50-59 years, female 7.2
GTEX-1IDJH-2826-SM-CJI49 70-79 years, male 7.2
GTEX-1RLM8-1726-SM-E9TKF 50-59 years, male 7.2
GTEX-11EMC-1426-SM-5N9E4 60-69 years, female 7.1
GTEX-132NY-2726-SM-5PNY2 60-69 years, male 7.1
GTEX-13G51-2126-SM-5IJD9 60-69 years, male 7.1
GTEX-145MO-2626-SM-5QGPD 60-69 years, male 7.1
GTEX-1HSMO-2526-SM-A9SKP 60-69 years, male 7.1
GTEX-132AR-2826-SM-5IJFV 50-59 years, female 7.0
GTEX-14DAQ-2926-SM-664MV 60-69 years, female 7.0
GTEX-1E2YA-2526-SM-7IGOU 50-59 years, male 7.0
GTEX-1GTWX-2626-SM-9WPOT 60-69 years, male 7.0
GTEX-1R9PO-2026-SM-E9J4N 60-69 years, female 7.0
GTEX-12WSD-2626-SM-5EGJE 60-69 years, female 6.9
GTEX-18A67-2226-SM-7LT9Z 50-59 years, male 6.9
GTEX-ZF2S-1826-SM-4WKFF 50-59 years, female 6.9
GTEX-ZVT3-2826-SM-5GU6A 60-69 years, female 6.9
GTEX-1HBPM-2626-SM-9WYU5 60-69 years, female 6.9
GTEX-1HCU6-2926-SM-B2LWV 60-69 years, female 6.9
GTEX-1J8EW-2426-SM-CE6T5 60-69 years, female 6.9
GTEX-1LVAO-2826-SM-E9TJH 60-69 years, male 6.9
GTEX-1C64O-2426-SM-7P8R3 60-69 years, male 6.8
GTEX-1H23P-2626-SM-9KNVN 60-69 years, male 6.8
GTEX-1JJE9-2526-SM-ARU8K 70-79 years, male 6.8
GTEX-1JMPZ-2626-SM-ARU8Z 30-39 years, male 6.8
GTEX-1LG7Y-2226-SM-E9U5K 50-59 years, male 6.8
GTEX-117XS-2226-SM-5GIE1 60-69 years, male 6.7
GTEX-1CB4F-1926-SM-7MKFN 60-69 years, male 6.7
GTEX-1JMLX-2526-SM-CY8HX 50-59 years, male 6.7
GTEX-12KS4-2326-SM-5EGJB 30-39 years, male 6.6
GTEX-13OW5-2826-SM-5KM1G 60-69 years, male 6.6
GTEX-17JCI-2826-SM-7IGNA 60-69 years, female 6.6
GTEX-ZC5H-2426-SM-4WAZ6 40-49 years, female 6.6
GTEX-1GMR3-2526-SM-7P8QS 40-49 years, male 6.6
GTEX-1P4AB-2626-SM-DTXEU 50-59 years, male 6.6
GTEX-11GS4-1826-SM-5HL4T 60-69 years, male 6.5
GTEX-13N2G-2226-SM-5IJCU 60-69 years, male 6.5
GTEX-15EO6-2326-SM-6LPKK 50-59 years, male 6.5
GTEX-15G19-2726-SM-6LPKG 60-69 years, male 6.5
GTEX-11ZTS-1526-SM-5N9G7 60-69 years, female 6.4
GTEX-131YS-2926-SM-5EGKI 60-69 years, female 6.4
GTEX-13FHO-2726-SM-5K7VG 60-69 years, male 6.4
GTEX-13PVQ-2726-SM-5L3H7 50-59 years, male 6.4
GTEX-147GR-2826-SM-5RQK8 60-69 years, male 6.4
GTEX-17F9Y-2626-SM-7IGN9 70-79 years, female 6.4
GTEX-ZAJG-2626-SM-5S2NU 50-59 years, female 6.4
GTEX-1B932-2126-SM-7IGMU 40-49 years, female 6.3
GTEX-1I1GR-2226-SM-ARL7F 60-69 years, male 6.3
GTEX-16Z82-2426-SM-7KUMS 60-69 years, male 6.2
GTEX-ZAB4-2426-SM-5HL8A 40-49 years, male 6.2
GTEX-1EU9M-2726-SM-7P8QD 60-69 years, male 6.2
GTEX-13U4I-2626-SM-5SI9C 40-49 years, female 6.1
GTEX-13X6K-2726-SM-5O9DG 60-69 years, female 6.1
GTEX-17HG3-1126-SM-7DUFC 30-39 years, female 6.1
GTEX-X15G-1526-SM-4PQZM 50-59 years, female 6.1
GTEX-ZVT4-2626-SM-5N9GJ 50-59 years, female 6.1
GTEX-1HBPI-2226-SM-9WYTY 50-59 years, male 6.1
GTEX-1JJEA-2526-SM-CY8HJ 60-69 years, male 6.1
GTEX-1LSVX-2026-SM-E9TJD 60-69 years, male 6.1
GTEX-147JS-2626-SM-5S2UX 60-69 years, male 6.0
GTEX-Z93S-2626-SM-57WBX 50-59 years, male 6.0
GTEX-1QCLZ-2026-SM-EAZ4A 60-69 years, female 6.0
GTEX-11EQ8-2626-SM-5N9BO 60-69 years, male 5.9
GTEX-13X6J-2826-SM-7EPGA 50-59 years, male 5.9
GTEX-14BIN-2426-SM-5TDCF 50-59 years, female 5.9
GTEX-1C6VQ-2626-SM-7IGMQ 50-59 years, male 5.9
GTEX-YJ8O-1426-SM-5PNV9 40-49 years, female 5.9
GTEX-ZVZQ-2626-SM-59HLB 60-69 years, female 5.9
GTEX-1PIIG-2126-SM-EXUSD 30-39 years, male 5.9
GTEX-WHSE-2726-SM-EZ6ML 20-29 years, male 5.9
GTEX-11PRG-2026-SM-5GU5F 50-59 years, male 5.8
GTEX-13SLW-2826-SM-5Q5ES 70-79 years, male 5.8
GTEX-1F75W-2126-SM-7RHIA 60-69 years, male 5.8
GTEX-12ZZY-2726-SM-5EQ45 60-69 years, male 5.7
GTEX-15CHQ-2626-SM-686YZ 60-69 years, male 5.7
GTEX-1HCVE-2326-SM-9WYUD 50-59 years, male 5.7
GTEX-11ONC-1926-SM-5GU75 60-69 years, male 5.6
GTEX-1212Z-1826-SM-5FQSH 60-69 years, male 5.6
GTEX-1RQEC-2626-SM-EVR3Z 60-69 years, male 5.6
GTEX-11EI6-2626-SM-5PNVT 60-69 years, male 5.5
GTEX-1LSNL-1626-SM-E9TJY 50-59 years, male 5.5
GTEX-1B8L1-1926-SM-7IGND 60-69 years, male 5.4
GTEX-Y8LW-1126-SM-4VDS4 50-59 years, female 5.4
GTEX-ZYY3-2226-SM-5E45A 60-69 years, female 5.4
GTEX-1GF9X-1426-SM-7RHGX 40-49 years, female 5.4
GTEX-1IL2U-2526-SM-C1YQV 60-69 years, male 5.4
GTEX-1JN6P-2126-SM-ARL98 60-69 years, male 5.4
GTEX-145LS-2926-SM-5O99G 60-69 years, female 5.2
GTEX-1GMRU-2626-SM-9WPPM 50-59 years, male 5.2
GTEX-13CF2-1826-SM-5N9GK 60-69 years, male 5.1
GTEX-1BAJH-2726-SM-7IGNJ 70-79 years, male 5.0
GTEX-1HB9E-2526-SM-D4P35 50-59 years, male 5.0
GTEX-1HSKV-2326-SM-A9SL9 60-69 years, male 5.0
GTEX-13OW6-2226-SM-5N9FL 50-59 years, male 4.9
GTEX-14A5I-2426-SM-5Q5CP 50-59 years, female 4.8
GTEX-1C64N-2226-SM-7SB7C 50-59 years, male 4.8
GTEX-139TS-2226-SM-5J2N1 60-69 years, male 4.7
GTEX-12ZZX-2726-SM-5N9FT 40-49 years, female 4.6
GTEX-1477Z-2126-SM-5Q5CM 60-69 years, male 4.6
GTEX-13X6I-2726-SM-5Q5ET 60-69 years, male 4.5
GTEX-145MH-2726-SM-5QGQ6 50-59 years, male 4.3
GTEX-18465-2726-SM-7LT9I 50-59 years, male 4.2
GTEX-1J8JJ-2426-SM-D4P4A 60-69 years, female 4.2
GTEX-ZE7O-2626-SM-51MSS 50-59 years, female 4.1
GTEX-11DXY-2026-SM-5N9CZ 60-69 years, male 3.9
Show allShow less
Colon - Transverse
Average nTPM: 9.7
Samples: 406

Max nTPM: 18.5
Min nTPM: 4.4
Std nTPM: 2.3
Median nTPM: 9.9
GTEX-13CF3-1426-SM-5K7YY 60-69 years, female 18.5
GTEX-WEY5-1426-SM-4LMJ3 40-49 years, female 16.9
GTEX-1B8KE-1926-SM-731EE 50-59 years, male 16.4
GTEX-1CB4I-2226-SM-7P8SL 50-59 years, male 16.1
GTEX-131XG-1826-SM-5LZV4 50-59 years, female 14.7
GTEX-14E6E-1526-SM-5RQIG 30-39 years, male 14.5
GTEX-Y114-1526-SM-4TT79 50-59 years, female 14.5
GTEX-ZLWG-1726-SM-DNZZ2 50-59 years, female 14.3
GTEX-13O61-1626-SM-5KM3T 60-69 years, male 14.2
GTEX-1A3MV-1126-SM-718BS 30-39 years, male 14.0
GTEX-X5EB-0926-SM-46MVT 40-49 years, male 14.0
GTEX-T6MO-0826-SM-4DM51 40-49 years, female 13.9
GTEX-1K2DA-2026-SM-CGQGK 50-59 years, male 13.9
GTEX-ZV6S-1226-SM-59HLH 40-49 years, female 13.8
GTEX-ZDYS-2326-SM-4WKG6 50-59 years, male 13.5
GTEX-1RAZQ-2126-SM-DTX9V 30-39 years, male 13.5
GTEX-PWN1-1426-SM-48TDF 40-49 years, female 13.4
GTEX-ZZ64-0726-SM-5GZX4 20-29 years, male 13.4
GTEX-15DZA-0926-SM-69LQ3 30-39 years, female 13.3
GTEX-1C475-1626-SM-731FP 40-49 years, female 13.3
GTEX-1JKYN-2326-SM-CGQG7 30-39 years, male 13.3
GTEX-14H4A-1926-SM-5ZZWN 40-49 years, female 13.1
GTEX-17HHE-1826-SM-79OKE 50-59 years, male 13.1
GTEX-13FH7-1526-SM-5J2N6 50-59 years, female 13.0
GTEX-1AMFI-1726-SM-7189L 50-59 years, female 13.0
GTEX-1MA7W-0626-SM-EV79Z 20-29 years, female 13.0
GTEX-11EM3-1526-SM-5A5KN 20-29 years, female 12.9
GTEX-11VI4-1526-SM-5EQKC 40-49 years, female 12.9
GTEX-14PJ5-0926-SM-6LLIK 60-69 years, female 12.9
GTEX-XAJ8-0426-SM-47JYJ 40-49 years, male 12.9
GTEX-Y5LM-1526-SM-4VDTA 40-49 years, female 12.9
GTEX-1122O-1526-SM-5N9CL 60-69 years, female 12.8
GTEX-14ICL-1226-SM-5S2RD 30-39 years, male 12.8
GTEX-14PJ4-1926-SM-6LLHG 60-69 years, male 12.8
GTEX-14PK6-1726-SM-6871J 70-79 years, female 12.8
GTEX-ZF2S-1926-SM-4WWAN 50-59 years, female 12.8
GTEX-13O21-2426-SM-5MR4A 50-59 years, male 12.7
GTEX-S4Q7-0826-SM-4AD5E 20-29 years, male 12.7
GTEX-14PKV-2126-SM-664O3 20-29 years, female 12.6
GTEX-WHSB-0926-SM-4M1XJ 50-59 years, male 12.6
GTEX-WOFM-2026-SM-4OOSQ 20-29 years, male 12.6
GTEX-XUZC-1326-SM-4BRV2 30-39 years, female 12.6
GTEX-1HSMP-2326-SM-D3L8R 70-79 years, male 12.6
GTEX-OOBJ-1426-SM-E6CHH 60-69 years, male 12.6
GTEX-18D9B-2526-SM-718BN 60-69 years, male 12.5
GTEX-1H11D-2626-SM-9JGH4 40-49 years, male 12.5
GTEX-1JN76-1226-SM-C1YRM 20-29 years, female 12.5
GTEX-1MUQO-2626-SM-EWRO3 60-69 years, male 12.5
GTEX-111CU-1426-SM-5GZYP 50-59 years, male 12.4
GTEX-13PVR-1626-SM-73KVF 60-69 years, female 12.4
GTEX-16AAH-1326-SM-7KFRG 50-59 years, male 12.4
GTEX-P4PP-1426-SM-3NM9L 30-39 years, female 12.4
GTEX-WY7C-1626-SM-4ONC8 50-59 years, male 12.4
GTEX-ZGAY-2126-SM-4YCFB 40-49 years, female 12.4
GTEX-1LGOU-1626-SM-D3LAK 20-29 years, female 12.4
GTEX-1N2EF-1926-SM-DTX8M 60-69 years, male 12.4
GTEX-1RAZA-1726-SM-DPS13 20-29 years, male 12.4
GTEX-TKQ1-0626-SM-4DXTS 30-39 years, male 12.3
GTEX-1CAMR-0926-SM-7MXTD 20-29 years, male 12.3
GTEX-1IDJF-1826-SM-CKZOE 20-29 years, male 12.3
GTEX-1PIEJ-2026-SM-E6CPA 20-29 years, female 12.3
GTEX-YEC4-1926-SM-5IFHJ 40-49 years, male 12.2
GTEX-1H1E6-1926-SM-9OSWD 30-39 years, male 12.2
GTEX-13FTW-1826-SM-5IJEN 40-49 years, male 12.1
GTEX-18QFQ-1526-SM-72D57 30-39 years, male 12.1
GTEX-1RAZR-1926-SM-E6CRF 40-49 years, male 12.1
GTEX-12WSL-1626-SM-5GCMU 50-59 years, male 12.0
GTEX-ZYVF-2826-SM-5GIDK 50-59 years, female 12.0
GTEX-111YS-1626-SM-5GZZ9 60-69 years, male 11.9
GTEX-QMRM-1226-SM-447C6 50-59 years, male 11.9
GTEX-Y3I4-1426-SM-4TT9C 50-59 years, male 11.9
GTEX-1IDJU-2026-SM-A9SLM 60-69 years, female 11.9
GTEX-11P82-1026-SM-5BC5J 20-29 years, male 11.8
GTEX-14C5O-2526-SM-73KU2 60-69 years, male 11.8
GTEX-1AMEY-1926-SM-73KVT 30-39 years, female 11.8
GTEX-WH7G-1326-SM-4LVMS 40-49 years, male 11.8
GTEX-1F5PK-1926-SM-7MXT7 50-59 years, male 11.8
GTEX-14ICK-1026-SM-6AJA4 40-49 years, male 11.7
GTEX-15RIF-1326-SM-6LPKO 20-29 years, male 11.7
GTEX-17F98-1026-SM-7IGO8 40-49 years, female 11.7
GTEX-RWS6-1826-SM-47JXX 60-69 years, female 11.7
GTEX-W5WG-2426-SM-4LMI6 50-59 years, female 11.7
GTEX-XXEK-1926-SM-4BRVD 50-59 years, male 11.7
GTEX-1GL5R-2426-SM-7MXV1 50-59 years, male 11.7
GTEX-1MGNQ-2026-SM-EAZ51 40-49 years, male 11.7
GTEX-T5JW-1126-SM-4DM5V 20-29 years, female 11.6
GTEX-U4B1-1126-SM-4DXV3 40-49 years, male 11.6
GTEX-1GZ4H-1226-SM-9KNUA 50-59 years, female 11.6
GTEX-14E1K-1826-SM-793DT 50-59 years, male 11.5
GTEX-14JG6-1726-SM-69LPL 30-39 years, female 11.5
GTEX-16NGA-1026-SM-7KFS3 40-49 years, female 11.5
GTEX-WYJK-2226-SM-4ONDJ 50-59 years, male 11.5
GTEX-1HKZK-2126-SM-A9SL3 40-49 years, male 11.5
GTEX-1KXAM-2126-SM-CY8I9 60-69 years, male 11.5
GTEX-1NHNU-2326-SM-E6CQE 50-59 years, male 11.5
GTEX-14DAR-1526-SM-5RQIX 50-59 years, male 11.4
GTEX-17F9E-1826-SM-7IGMC 50-59 years, male 11.4
GTEX-QDVJ-1326-SM-48U1X 50-59 years, male 11.4
GTEX-YB5E-1626-SM-5IFIQ 40-49 years, male 11.4
GTEX-ZG7Y-2126-SM-DO117 50-59 years, male 11.4
GTEX-117YX-0826-SM-5H11J 50-59 years, male 11.3
GTEX-11DXZ-1726-SM-5H12M 50-59 years, male 11.3
GTEX-13QBU-1826-SM-5IJG3 40-49 years, female 11.3
GTEX-O5YT-1426-SM-3MJHC 20-29 years, male 11.3
GTEX-ZYFG-1926-SM-5GID5 60-69 years, female 11.3
GTEX-1F5PL-2126-SM-7PC2O 40-49 years, female 11.3
GTEX-1IDJC-1326-SM-CL53H 50-59 years, male 11.3
GTEX-1QP9N-1026-SM-E6CPX 30-39 years, male 11.3
GTEX-12BJ1-2126-SM-5BC5O 60-69 years, male 11.2
GTEX-13111-0726-SM-5DUVE 50-59 years, male 11.2
GTEX-18D9U-1926-SM-7KFTM 40-49 years, male 11.2
GTEX-PLZ5-1126-SM-3P613 50-59 years, male 11.2
GTEX-XUW1-1926-SM-4BOP1 50-59 years, female 11.2
GTEX-1F75I-2426-SM-9WPOY 40-49 years, male 11.2
GTEX-13W3W-2126-SM-5K7UX 60-69 years, female 11.1
GTEX-18D9A-1126-SM-7KFRJ 30-39 years, female 11.1
GTEX-1AX8Z-2726-SM-73KUC 60-69 years, male 11.1
GTEX-1AYCT-1826-SM-731EG 50-59 years, male 11.1
GTEX-1KANA-1926-SM-DHXKF 20-29 years, male 11.1
GTEX-ZDTT-1926-SM-5HL5W 60-69 years, male 11.1
GTEX-Y3IK-1826-SM-4WWDS 50-59 years, female 11.0
GTEX-1HSGN-2626-SM-CE6S1 40-49 years, female 11.0
GTEX-1QPFJ-2326-SM-E6CR7 30-39 years, female 11.0
GTEX-OIZF-1426-SM-2HML2 60-69 years, male 11.0
GTEX-11P7K-1526-SM-5EGI7 30-39 years, male 10.9
GTEX-O5YW-1426-SM-3MJHF 50-59 years, male 10.9
GTEX-QCQG-1626-SM-48U26 50-59 years, female 10.9
GTEX-WFG7-1526-SM-4LVMG 20-29 years, male 10.9
GTEX-Y8LW-1226-SM-4WWDP 50-59 years, female 10.9
GTEX-1KANC-0926-SM-D3LA9 50-59 years, female 10.9
GTEX-1LGRB-1426-SM-CNNPT 50-59 years, female 10.9
GTEX-11TTK-2426-SM-5PNYO 60-69 years, female 10.8
GTEX-145ME-0826-SM-5O9AF 40-49 years, female 10.8
GTEX-WFON-1426-SM-4LVMT 40-49 years, male 10.8
GTEX-WHWD-1226-SM-4OOS1 50-59 years, male 10.8
GTEX-Y9LG-1526-SM-4WWDR 30-39 years, male 10.8
GTEX-ZP4G-1726-SM-4WWCM 20-29 years, female 10.8
GTEX-ZPIC-2226-SM-57WDX 40-49 years, female 10.8
GTEX-1J1R8-1126-SM-CNPQ3 40-49 years, male 10.8
GTEX-1S82U-0726-SM-E9TKI 30-39 years, female 10.8
GTEX-QLQ7-1126-SM-CYPRB 60-69 years, male 10.8
GTEX-145MN-1726-SM-5SIA6 30-39 years, male 10.7
GTEX-15DCE-2026-SM-7KUFE 20-29 years, male 10.7
GTEX-1JN1M-2626-SM-CY8I3 60-69 years, female 10.7
GTEX-11EQ9-1426-SM-5987G 30-39 years, male 10.6
GTEX-1211K-1726-SM-5FQUJ 60-69 years, female 10.6
GTEX-14JIY-3326-SM-6871E 60-69 years, male 10.6
GTEX-R55D-1826-SM-48FEF 50-59 years, male 10.6
GTEX-ZLV1-1226-SM-4WWBX 60-69 years, female 10.6
GTEX-ZT9W-1826-SM-51MQX 50-59 years, male 10.6
GTEX-ZTSS-1126-SM-5985O 40-49 years, male 10.6
GTEX-ZV7C-1526-SM-5NQ72 50-59 years, male 10.6
GTEX-1JK1U-1526-SM-AHZ46 60-69 years, male 10.6
GTEX-1N2DV-1426-SM-DPRYQ 40-49 years, male 10.6
GTEX-1QCLY-1726-SM-DPRXY 30-39 years, male 10.6
GTEX-OXRN-2026-SM-E6CHK 50-59 years, male 10.6
GTEX-15G1A-1826-SM-7KUKO 30-39 years, male 10.5
GTEX-15RIE-1826-SM-6M48P 60-69 years, male 10.5
GTEX-S7SF-1926-SM-4AT5B 20-29 years, female 10.5
GTEX-UJMC-1326-SM-4IHLS 50-59 years, male 10.5
GTEX-ZVT2-1926-SM-5GU5T 50-59 years, female 10.5
GTEX-1QW4Y-1326-SM-EWRMZ 30-39 years, male 10.5
GTEX-1R7EU-1926-SM-E9U62 60-69 years, male 10.5
GTEX-13OVG-1426-SM-5K7VP 60-69 years, male 10.4
GTEX-14AS3-1126-SM-5Q5CR 40-49 years, female 10.4
GTEX-14PJ3-0926-SM-69LQG 50-59 years, male 10.4
GTEX-1B996-2626-SM-73KZ1 60-69 years, male 10.4
GTEX-1C4CL-2126-SM-7IGQC 30-39 years, male 10.4
GTEX-R55G-1226-SM-48FDC 40-49 years, female 10.4
GTEX-1I4MK-1126-SM-B2LWS 50-59 years, female 10.4
GTEX-1MCC2-1626-SM-DIPEW 30-39 years, female 10.4
GTEX-1S83E-1626-SM-EV7B9 40-49 years, male 10.4
GTEX-13D11-0826-SM-5KLZJ 50-59 years, female 10.3
GTEX-14PHX-1526-SM-68717 50-59 years, male 10.3
GTEX-1C64O-2326-SM-73KU8 60-69 years, male 10.3
GTEX-S3XE-1126-SM-4AD4N 50-59 years, male 10.3
GTEX-ZF29-1726-SM-4WKFV 60-69 years, female 10.3
GTEX-1HSEH-1726-SM-B2LXH 60-69 years, male 10.3
GTEX-1RMOY-1626-SM-EVYC8 50-59 years, male 10.3
GTEX-11I78-1226-SM-5A5K6 50-59 years, female 10.2
GTEX-132AR-2726-SM-5PNVN 50-59 years, female 10.2
GTEX-139T6-1326-SM-5IFFO 50-59 years, male 10.2
GTEX-139YR-2126-SM-5KM11 50-59 years, male 10.2
GTEX-14XAO-2026-SM-69LOI 60-69 years, female 10.2
GTEX-Q2AI-0926-SM-48U1F 40-49 years, male 10.2
GTEX-S4UY-0826-SM-4AD4Z 40-49 years, female 10.2
GTEX-X15G-1326-SM-4PQZJ 50-59 years, female 10.2
GTEX-1LVAM-1626-SM-EV79Y 50-59 years, female 10.2
GTEX-17KNJ-1726-SM-7LG6A 50-59 years, male 10.1
GTEX-TML8-1326-SM-4DXTO 40-49 years, female 10.1
GTEX-ZEX8-1926-SM-4WKFR 50-59 years, male 10.1
GTEX-1H3VY-2426-SM-9WPPD 50-59 years, male 10.1
GTEX-1OKEX-1226-SM-DTXEC 60-69 years, male 10.1
GTEX-11TT1-1026-SM-5PNW7 20-29 years, male 10.0
GTEX-15CHC-1626-SM-5ZZWS 60-69 years, female 10.0
GTEX-S341-1426-SM-4AD6U 40-49 years, female 10.0
GTEX-U3ZN-2126-SM-4DXU1 30-39 years, female 10.0
GTEX-145LT-0926-SM-5LU9C 40-49 years, male 9.9
GTEX-17JCI-2626-SM-7EWE6 60-69 years, female 9.9
GTEX-OHPM-1426-SM-3TW8Y 50-59 years, male 9.9
GTEX-V955-1626-SM-4JBHJ 60-69 years, male 9.9
GTEX-1GMR2-1726-SM-9JGI2 50-59 years, male 9.9
GTEX-1LG7Z-1426-SM-CXKYV 30-39 years, male 9.9
GTEX-1PPH8-2026-SM-DTX7P 20-29 years, male 9.9
GTEX-1399S-1926-SM-5J2M5 30-39 years, female 9.8
GTEX-18A66-2426-SM-7KFSQ 60-69 years, male 9.8
GTEX-1B8KZ-1326-SM-7DUG6 50-59 years, male 9.8
GTEX-Y8E4-2426-SM-4WWDN 40-49 years, male 9.8
GTEX-1LH75-2126-SM-EVR5F 50-59 years, female 9.7
GTEX-1MJK3-0926-SM-EV7AY 20-29 years, male 9.7
GTEX-11TUW-2026-SM-5EQL8 60-69 years, male 9.6
GTEX-13PL7-2526-SM-5IFGR 60-69 years, female 9.6
GTEX-178AV-1326-SM-6LPJX 40-49 years, male 9.6
GTEX-PWCY-1026-SM-48TD4 20-29 years, female 9.6
GTEX-R53T-1326-SM-48FCQ 50-59 years, female 9.6
GTEX-1PWST-2426-SM-EWRMP 70-79 years, male 9.6
GTEX-PSDG-1826-SM-EAZ2S 50-59 years, male 9.6
GTEX-QV31-0826-SM-CKZNC 30-39 years, male 9.6
GTEX-147GR-2726-SM-664OO 60-69 years, male 9.5
GTEX-17F96-2026-SM-79ON4 70-79 years, male 9.5
GTEX-OXRK-1726-SM-3NB16 50-59 years, female 9.5
GTEX-PLZ6-0926-SM-3P5ZQ 30-39 years, male 9.5
GTEX-QLQW-0426-SM-447A7 30-39 years, male 9.5
GTEX-YF7O-1726-SM-5IFJ9 50-59 years, male 9.5
GTEX-146FQ-1926-SM-5NQBY 30-39 years, male 9.4
GTEX-15SB6-1226-SM-7KUMP 50-59 years, female 9.4
GTEX-1C2JI-1626-SM-7EPHC 50-59 years, male 9.4
GTEX-XPVG-1826-SM-4B64X 50-59 years, male 9.4
GTEX-ZXES-1626-SM-5NQ7L 30-39 years, female 9.4
GTEX-1PFEY-1426-SM-E9U6U 30-39 years, male 9.4
GTEX-14BMU-1526-SM-5TDE6 20-29 years, female 9.3
GTEX-R55C-1126-SM-48FCJ 40-49 years, male 9.3
GTEX-1JMPY-0426-SM-C1YQ3 30-39 years, male 9.3
GTEX-1R9K5-2126-SM-E8VN1 50-59 years, male 9.3
GTEX-144GM-1226-SM-5LU52 20-29 years, male 9.2
GTEX-15CHR-1426-SM-7DUGV 50-59 years, male 9.2
GTEX-RM2N-0926-SM-48FD1 50-59 years, male 9.2
GTEX-1HCU6-2726-SM-A9SKV 60-69 years, female 9.2
GTEX-1HFI7-1726-SM-A9G22 50-59 years, female 9.2
GTEX-1JKYR-1926-SM-C1YR7 20-29 years, male 9.2
GTEX-1R9JW-2026-SM-EAZ4O 30-39 years, female 9.2
GTEX-148VJ-2626-SM-5QGPI 70-79 years, male 9.1
GTEX-16MT8-2726-SM-7IGLJ 60-69 years, female 9.1
GTEX-U3ZM-1126-SM-4DXUB 40-49 years, male 9.1
GTEX-XBED-1526-SM-4AT5W 60-69 years, male 9.1
GTEX-XQ8I-2126-SM-4BOOM 50-59 years, male 9.1
GTEX-12C56-0626-SM-5EGGC 20-29 years, male 9.0
GTEX-ZPCL-1826-SM-57WF1 60-69 years, female 9.0
GTEX-1I1GT-1926-SM-ARU7D 60-69 years, female 9.0
GTEX-1PIGE-1426-SM-E9U61 20-29 years, male 9.0
GTEX-1QP67-1326-SM-EAZ4D 40-49 years, female 9.0
GTEX-13S86-1626-SM-5Q5C5 40-49 years, male 8.9
GTEX-XMK1-1726-SM-4B64Z 40-49 years, male 8.9
GTEX-ZVP2-1526-SM-5NQ82 50-59 years, male 8.9
GTEX-1IKK5-2726-SM-CNPQ6 60-69 years, male 8.9
GTEX-1IKOE-2026-SM-AHZ31 30-39 years, female 8.9
GTEX-1LBAC-1626-SM-CXZKV 20-29 years, male 8.9
GTEX-11P81-1126-SM-5GU5G 30-39 years, female 8.8
GTEX-12WSJ-1526-SM-5GCNI 40-49 years, female 8.8
GTEX-133LE-1526-SM-5IFEN 20-29 years, female 8.8
GTEX-1399U-1926-SM-5IFH7 50-59 years, female 8.8
GTEX-147F3-1926-SM-5SIB9 50-59 years, female 8.8
GTEX-14PJM-2626-SM-686ZD 50-59 years, female 8.8
GTEX-15UF6-2626-SM-6M466 70-79 years, female 8.8
GTEX-18A7B-2026-SM-72D71 70-79 years, male 8.8
GTEX-1CAMS-2526-SM-7EPH7 40-49 years, female 8.8
GTEX-S4P3-1226-SM-4AD4Y 50-59 years, female 8.8
GTEX-XGQ4-1226-SM-4AT67 50-59 years, male 8.8
GTEX-XYKS-2226-SM-4E3IU 60-69 years, female 8.8
GTEX-1LVAN-2526-SM-CNPPC 50-59 years, female 8.8
GTEX-P4QT-1426-SM-3NMCX 50-59 years, female 8.7
GTEX-SE5C-1526-SM-4BRWU 40-49 years, female 8.7
GTEX-U412-1726-SM-EZ6KX 60-69 years, male 8.7
GTEX-17MF6-2426-SM-7LTAM 40-49 years, male 8.6
GTEX-NFK9-2026-SM-3LK5K 40-49 years, male 8.6
GTEX-OIZH-1426-SM-3NB1O 50-59 years, male 8.6
GTEX-OXRL-1426-SM-3NM9E 50-59 years, male 8.6
GTEX-XBEW-1926-SM-4SOJO 40-49 years, male 8.6
GTEX-1HCU9-1326-SM-B2LXT 20-29 years, male 8.6
GTEX-1NSGN-2326-SM-E9U5X 50-59 years, male 8.6
GTEX-QDVN-1326-SM-48TZ3 50-59 years, male 8.5
GTEX-1I1GR-2526-SM-CNNQF 60-69 years, male 8.5
GTEX-1JJ6O-2426-SM-ARU8J 60-69 years, male 8.5
GTEX-U3ZH-1326-SM-4DXSF 30-39 years, male 8.4
GTEX-UJHI-1126-SM-4IHLN 50-59 years, female 8.4
GTEX-X3Y1-1726-SM-4PQZL 40-49 years, male 8.4
GTEX-1EH9U-2026-SM-7PBYS 60-69 years, male 8.4
GTEX-1339X-1626-SM-5IJDN 40-49 years, male 8.3
GTEX-139TS-1926-SM-5IJFO 60-69 years, male 8.3
GTEX-1CB4F-2026-SM-79OLU 60-69 years, male 8.3
GTEX-PX3G-1426-SM-48U1J 20-29 years, female 8.3
GTEX-Q734-1126-SM-48TZY 40-49 years, female 8.3
GTEX-1S3DN-1826-SM-EV79K 50-59 years, male 8.3
GTEX-1LG7Y-2126-SM-DIPER 50-59 years, male 8.2
GTEX-11DXX-1826-SM-5H126 60-69 years, female 8.1
GTEX-13X6H-1926-SM-7EWD3 50-59 years, female 8.1
GTEX-144GN-1126-SM-5LU33 50-59 years, male 8.1
GTEX-17EUY-1826-SM-7DUEZ 20-29 years, male 8.1
GTEX-Q2AH-1226-SM-48TZL 40-49 years, male 8.1
GTEX-SNMC-1126-SM-4DM5M 20-29 years, male 8.1
GTEX-1GMR3-2826-SM-9WPOG 40-49 years, male 8.1
GTEX-1KANB-1526-SM-CXZK4 50-59 years, male 8.1
GTEX-1128S-1626-SM-5H12O 60-69 years, female 8.0
GTEX-11NSD-1626-SM-5986U 20-29 years, male 8.0
GTEX-13O3O-2526-SM-5L3DR 60-69 years, female 8.0
GTEX-13OVJ-1726-SM-5IJDZ 50-59 years, female 8.0
GTEX-1AX9I-2626-SM-73KU5 60-69 years, male 8.0
GTEX-13QJ3-2626-SM-9OSXQ 50-59 years, male 8.0
GTEX-1EMGI-2726-SM-7P8S4 60-69 years, male 8.0
GTEX-WVJS-2426-SM-EZ6LI 50-59 years, male 8.0
GTEX-117YW-1826-SM-5PNY5 50-59 years, male 7.9
GTEX-17HGU-2426-SM-7EWDP 50-59 years, male 7.9
GTEX-WYVS-1826-SM-4OND6 40-49 years, female 7.9
GTEX-1GPI7-1726-SM-7P8R1 20-29 years, male 7.9
GTEX-1ICLZ-2426-SM-CKZOD 60-69 years, male 7.9
GTEX-15DYW-2326-SM-6PAMU 60-69 years, female 7.8
GTEX-P78B-1726-SM-3P5ZV 40-49 years, female 7.8
GTEX-1AYD5-1726-SM-7RHFW 50-59 years, male 7.8
GTEX-RU1J-1326-SM-46MUL 20-29 years, female 7.7
GTEX-ZPU1-1926-SM-57WDT 40-49 years, male 7.7
GTEX-1JJE9-2426-SM-D3L8T 70-79 years, male 7.7
GTEX-145LS-2726-SM-5Q5D8 60-69 years, female 7.6
GTEX-TKQ2-1326-SM-4DXT9 50-59 years, male 7.6
GTEX-12KS4-2426-SM-5LU8P 30-39 years, male 7.5
GTEX-1399R-2226-SM-5P9JB 30-39 years, male 7.5
GTEX-14DAQ-2726-SM-5S2QY 60-69 years, female 7.5
GTEX-VJYA-2026-SM-4KL1K 60-69 years, male 7.5
GTEX-1IDJD-2226-SM-A96TD 30-39 years, male 7.4
GTEX-13OVI-2026-SM-5J1MU 60-69 years, female 7.3
GTEX-13VXT-2426-SM-5LU46 20-29 years, female 7.3
GTEX-1B932-2826-SM-73KUD 40-49 years, female 7.3
GTEX-1HCU7-2626-SM-C1YQO 50-59 years, male 7.3
GTEX-1I6K6-1826-SM-B2LX5 30-39 years, male 7.3
GTEX-1L5NE-2026-SM-CXZKR 50-59 years, male 7.3
GTEX-YEC3-2426-SM-DO11A 50-59 years, male 7.3
GTEX-11GSP-1626-SM-5986N 60-69 years, female 7.2
GTEX-11LCK-2026-SM-5A5MA 30-39 years, male 7.2
GTEX-11O72-2226-SM-5PNW2 40-49 years, male 7.2
GTEX-1HCVE-2526-SM-A9G2G 50-59 years, male 7.2
GTEX-1J1OQ-2726-SM-AHZ3R 40-49 years, female 7.2
GTEX-17EVQ-1826-SM-7IGPH 70-79 years, male 7.1
GTEX-Z93S-2426-SM-5HL8N 50-59 years, male 7.1
GTEX-ZAB4-2226-SM-5HL97 40-49 years, male 7.1
GTEX-1GZ4I-2426-SM-9WPPP 50-59 years, male 7.1
GTEX-1LSVX-1726-SM-DHXJP 60-69 years, male 7.1
GTEX-13U4I-2426-SM-5LU34 40-49 years, female 7.0
GTEX-18A7A-2226-SM-7LT8K 50-59 years, female 7.0
GTEX-1JMPZ-2426-SM-C1YQP 30-39 years, male 7.0
GTEX-13OVK-0826-SM-7KULZ 40-49 years, male 6.9
GTEX-14BMV-2426-SM-5S2PP 50-59 years, male 6.9
GTEX-WQUQ-2526-SM-4MVNO 60-69 years, male 6.9
GTEX-ZY6K-1226-SM-5GZYL 50-59 years, male 6.9
GTEX-1GN73-2626-SM-9KNUQ 60-69 years, male 6.9
GTEX-R45C-2126-SM-EZ6KZ 60-69 years, female 6.9
GTEX-13O3P-2326-SM-5KM55 50-59 years, male 6.8
GTEX-1PPGY-2826-SM-DTX9H 60-69 years, male 6.8
GTEX-1QMI2-2626-SM-E6CR4 60-69 years, male 6.8
GTEX-1R9PM-1526-SM-DPRY8 20-29 years, male 6.8
GTEX-1RDX4-1826-SM-EVR54 50-59 years, female 6.8
GTEX-QEL4-1926-SM-D3L8D 50-59 years, male 6.8
GTEX-1F75B-2726-SM-7P8QO 50-59 years, male 6.7
GTEX-1QCLZ-1926-SM-E6CR3 60-69 years, female 6.7
GTEX-X4EO-2526-SM-EWRM8 60-69 years, female 6.7
GTEX-131XE-0826-SM-5HL9W 50-59 years, male 6.6
GTEX-1C6VQ-2726-SM-73KUL 50-59 years, male 6.6
GTEX-1IOXB-2626-SM-CJI2N 50-59 years, male 6.6
GTEX-1K9T9-2826-SM-D4P3F 50-59 years, female 6.6
GTEX-16XZZ-2626-SM-6M47S 60-69 years, male 6.5
GTEX-1GF9U-1526-SM-7MXUW 40-49 years, female 6.5
GTEX-1HSMQ-2726-SM-C1YRE 50-59 years, male 6.5
GTEX-1N5O9-2726-SM-E76QH 60-69 years, male 6.5
GTEX-1NV5F-2226-SM-DTX8O 60-69 years, female 6.5
GTEX-OXRO-0726-SM-E9U4C 60-69 years, female 6.5
GTEX-15SHU-2526-SM-6M47D 40-49 years, female 6.4
GTEX-1H1DG-2226-SM-9WPPC 70-79 years, male 6.4
GTEX-1JMLX-2726-SM-CM2SB 50-59 years, male 6.4
GTEX-1E2YA-2626-SM-7MGWW 50-59 years, male 6.3
GTEX-1POEN-2026-SM-E6CRL 30-39 years, female 6.3
GTEX-145MO-2426-SM-5NQ9W 60-69 years, male 6.2
GTEX-16NPV-2626-SM-6M484 50-59 years, female 6.2
GTEX-17GQL-1526-SM-7LTAC 60-69 years, male 6.2
GTEX-1BAJH-2326-SM-7IGMO 70-79 years, male 6.2
GTEX-ZYFC-2626-SM-5NQ6S 50-59 years, male 6.2
GTEX-1IGQW-2326-SM-CE6RV 60-69 years, male 6.2
GTEX-13OW6-2126-SM-5N9GL 50-59 years, male 6.1
GTEX-11ONC-2026-SM-5HL61 60-69 years, male 6.0
GTEX-12ZZZ-2426-SM-5GCNN 60-69 years, male 6.0
GTEX-13FHP-2426-SM-5KLZ5 50-59 years, male 6.0
GTEX-1H1DE-1526-SM-ARL9B 20-29 years, male 6.0
GTEX-111VG-2226-SM-5N9DU 60-69 years, male 5.9
GTEX-OHPN-2026-SM-E9TIA 60-69 years, female 5.9
GTEX-SNOS-1226-SM-4DM5H 40-49 years, male 5.8
GTEX-1GF9X-1526-SM-7P8QP 40-49 years, female 5.8
GTEX-14C39-1926-SM-5ZZW5 40-49 years, male 5.7
GTEX-11ZVC-2126-SM-5EGJ1 50-59 years, female 5.6
GTEX-144GL-2526-SM-5TDDL 50-59 years, male 5.6
GTEX-XV7Q-2126-SM-4BRVX 40-49 years, female 5.5
GTEX-13OW5-2626-SM-5MR3M 60-69 years, male 5.4
GTEX-15ER7-2926-SM-7KUFK 20-29 years, female 5.4
GTEX-147JS-2526-SM-5S2Q8 60-69 years, male 5.3
GTEX-14BIN-3026-SM-5ZZUS 50-59 years, female 5.2
GTEX-15CHQ-2526-SM-6EU24 60-69 years, male 4.8
GTEX-16Z82-2226-SM-6LPJ7 60-69 years, male 4.8
GTEX-17HII-2726-SM-7MGVM 50-59 years, male 4.7
GTEX-SJXC-2226-SM-EVYAK 60-69 years, male 4.6
GTEX-1S5VW-2926-SM-E9U6H 60-69 years, male 4.4
Show allShow less

COLON - FANTOM5 CAGEi

RNA expression in human tissues obtained through Cap Analysis of Gene Expression (CAGE) generated by the FANTOM5 project are reported as Scaled Tags Per Million.

Max subtype Scaled Tags Per Millioni

Max subtype Scaled Tags Per Million is the value for the subtype with the largest average Scaled Tags Per Million across the subtype samples.

30.8
FANTOM5 sample id Sample description Scaled Tags Per Million
Colon
Scaled Tags Per Million: 30.8
FF:10014-101C5 62,83,84 years, mixed 30.8

Contact

  • NEWS ARTICLES
  • PRESS ROOM

The Project

  • INTRODUCTION
  • ORGANIZATION
  • PUBLICATIONS

The Human Protein Atlas

  • DOWNLOADABLE DATA
  • LICENCE & CITATION
  • HELP & FAQ
The Human Protein Atlas project is funded
by the Knut & Alice Wallenberg Foundation.


contact@proteinatlas.org