We use cookies to enhance the usability of our website. If you continue, we'll assume that you are happy to receive all cookies. More information. Don't show this again.
BCL2L13
HPA
RESOURCES
  • TISSUE
  • BRAIN
  • SINGLE CELL
  • SUBCELLULAR
  • CANCER
  • BLOOD
  • CELL LINE
  • STRUCTURE & INTERACTION
ABOUT
  • INTRODUCTION
  • HISTORY
  • ORGANIZATION
  • PUBLICATIONS
  • ANTIBODY SUBMISSION
  • ANTIBODY AVAILABILITY
  • ACKNOWLEDGMENTS
  • CONTACT
NEWS
  • NEWS ARTICLES
  • PRESS ROOM
LEARN
  • DICTIONARY
  • PROTEIN CLASSES
  • PROTEIN EVIDENCE
  • METHODS
  • EDUCATIONAL VIDEOS
DATA
  • DOWNLOADABLE DATA
  • PUBLICATION DATA
  • RELEASE HISTORY
HELP
  • ANTIBODY VALIDATION
  • ASSAYS & ANNOTATION
  • DISCLAIMER
  • HELP & FAQ
  • PRIVACY STATEMENT
  • LICENCE & CITATION
Fields »
Search result

Field
Term
Gene name
Class
Subclass
Class
Keyword
Chromosome
External id
Tissue
Cell type
Expression
Antibody panel
Tissue
Main location
Patient ID
Annotation
Tissue
Category
Tau score
Cluster
Reliability
Brain region
Category
Tau score
Brain region
Category
Tau score
Brain region
Category
Tau score
Cluster
Reliability
Tissue
Cell type
Enrichment
Cell type
Category
Tau score
Cell type
Category
Tau score
Cell type
Category
Tau score
Cell lineage
Category
Tau score
Cluster
Cluster
Location
Searches
Location
Cell line
Class
Type
Phase
Reliability
Cancer
Prognosis
Cancer
Category
Cancer
Category
Tau score
Cluster
Variants
Interacting gene (ensg_id)
Type
Number of interactions
Pathway
Category
Score
Score
Score
Validation
Validation
Validation
Validation
Antibodies
Data type
Column


  • SUMMARY

  • TISSUE

  • BRAIN

  • SINGLE CELL

  • SUBCELL

  • CANCER

  • BLOOD

  • CELL LINE

  • STRUCT & INT

  • BCL2L13
TISSUE PRIMARY DATA HEART MUSCLE Show tissue menu
ADIPOSE TISSUE ADRENAL GLAND AMYGDALA APPENDIX BASAL GANGLIA BONE MARROW BREAST BRONCHUS CEREBELLUM CEREBRAL CORTEX CERVIX CHOROID PLEXUS COLON DUODENUM
ENDOMETRIUM EPIDIDYMIS ESOPHAGUS FALLOPIAN TUBE GALLBLADDER HEART MUSCLE HIPPOCAMPAL FORMATION HYPOTHALAMUS KIDNEY LIVER LUNG LYMPH NODE MIDBRAIN NASOPHARYNX
ORAL MUCOSA OVARY PANCREAS PARATHYROID GLAND PITUITARY GLAND PLACENTA PROSTATE RECTUM RETINA SALIVARY GLAND SEMINAL VESICLE SKELETAL MUSCLE SKIN SMALL INTESTINE
SMOOTH MUSCLE SOFT TISSUE SPINAL CORD SPLEEN STOMACH TESTIS THYMUS THYROID GLAND TONGUE TONSIL URINARY BLADDER VAGINA
ANTIBODIES
AND
VALIDATION
Dictionary
Heart muscle
Tissue proteome
Heart
HEART MUSCLE - Expression summary
Protein expression
Heart musclei

On the top, protein expression in current human tissue, based on all annotated cell types, is reported with the units not detected (n), low (l), medium (m) and high (h). Underneath, protein expression in each annotated cell type are reported using the same units.

Protein expression data is based on knowledge-based annotation. For genes where more than one antibody has been used, a collective score is set.

If knowledge-based annotation could not be performed for a gene, no data is displayed here. View antibody staining data further down this page.

h
m
l
n
Cardiomyocytes: Medium
RNA expressioni

A summary of mRNA expression data available for current tissue based on several datasets. The mRNA expression levels in human tissues are based on RNA-seq data generated by the Human Protein Atlas (HPA), Genotype-Tissue Expression (GTEx) portal and CAGE data generated by the FANTOM5 consortium. Consensus normalized expression levels for human tissues was created by combining the data from HPA and GTEx datasets.

The mRNA expression levels in pig are based on RNA-seq data generated by the Human Protein Atlas (HPA), and for mouse, HPA data and in situ hybridization generated by the Allen brain atlas are reported.

Scroll down to view mRNA expression data in more detail.
Consensus:19.1 nTPM
HPA:13.2 nTPM
GTEx:19.1 nTPM
FANTOM5:86.7 Scaled Tags Per Million

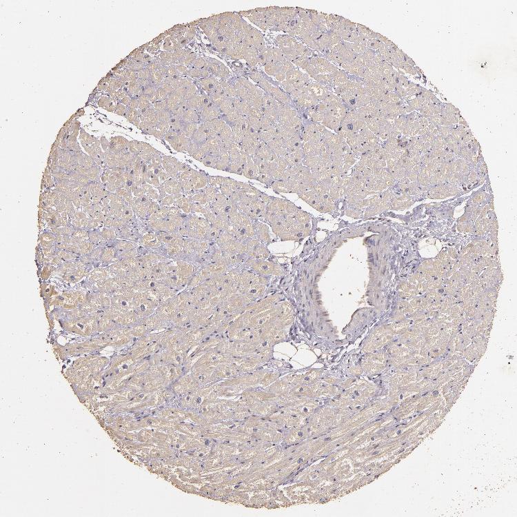
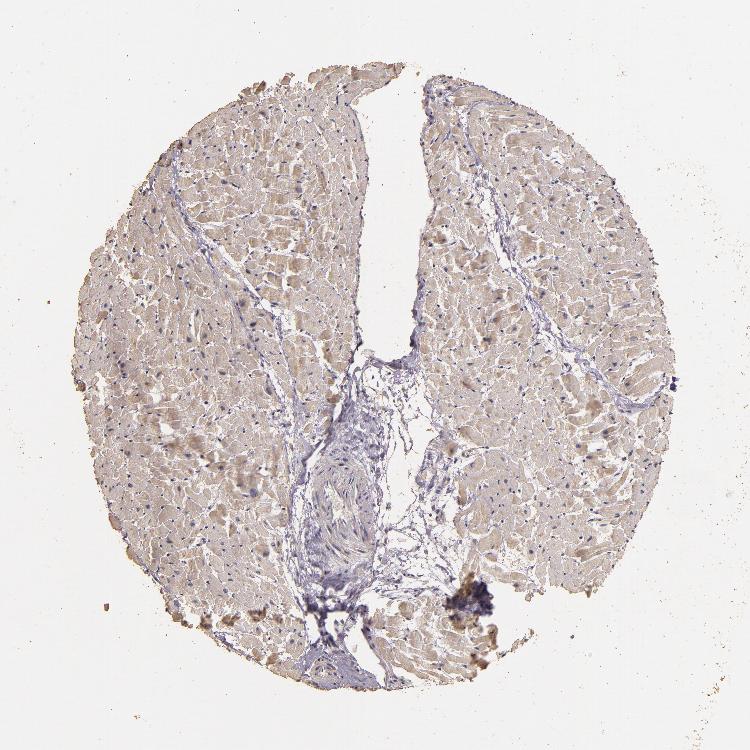
HEART MUSCLE - Antibody stainingi

Antibody staining in the annotated cell types in the current human tissue is reported as not detected, low, medium, or high, based on conventional immunohistochemistry profiling in selected tissues. This score is based on the combination of the staining intensity and fraction of stained cells.

Each image is clickable and will lead to virtual microscopy that enables deeper exploration of all samples and also displays staining intensity scores, fraction scores and subcellular localization as well as patient and tissue information for each sample.

Antibody HPA030994Antibody CAB002052
Cardiomyocytes MediumNot detected




HEART MUSCLE - HPA RNA-seqi

The RNA-seq details section shows detailed information about the individual samples used for the transcript profiling and results of the RNA-seq analysis.

Information about each individual sample is listed below, including gender, age, a tissue section image and estimated fractions of cell types. nTPM (normalized transcripts per million) values give a quantification of the gene abundance which is comparable between different genes and samples.
Average nTPMi

Max subtype nTPM is the value for the subtype with the largest average nTPM across the subtype samples.

13.2
overview
Female, age 48
Heart muscle sample 149
nTPM: 16.5
Cell types%
Myocytes:
15

Fibroblasts:
55

Endothelial cells:
25

Other cell types:
5

overview
Female, age 42
Heart muscle sample 150
nTPM: 12.5
Cell types%
Myocytes:
20

Fibroblasts:
45

Endothelial cells:
30

Other cell types:
5

overview
Male, age 53
Heart muscle sample 151
nTPM: 9.7
Cell types%
Myocytes:
20

Fibroblasts:
45

Endothelial cells:
30

Other cell types:
5

overview
Female, age 69
Heart muscle sample 152
nTPM: 14
Cell types%
Myocytes:
20

Fibroblasts:
45

Endothelial cells:
30

Other cell types:
5


HEART MUSCLE - GTEx RNA-seqi

RNA-Seq data generated by the Genotype-Tissue Expression (GTEx) project from human tissues is reported as mean nTPM. More information can be found on the GTEx portal.

Distribution across the dataset is visualized with box plots, shown as median and 25th and 75th percentiles. Points are displayed as outliers if they are above or below 1.5 times the interquartile range. nTPM values of the individual samples are presented next to the box plot.
Max subtype nTPMi

Max subtype nTPM is the value for the subtype with the largest average nTPM across the subtype samples.

19.1
GTEx sample id Sample description nTPM
Heart - Atrial Appendage
Average nTPM: 11.4
Samples: 429

Max nTPM: 25.0
Min nTPM: 4.5
Std nTPM: 3.8
Median nTPM: 10.7
GTEX-1MJIX-0426-SM-DTXEN 40-49 years, male 25.0
GTEX-117YX-0626-SM-5EGJI 50-59 years, male 23.1
GTEX-145MN-0726-SM-5NQBH 30-39 years, male 22.3
GTEX-1GF9U-0526-SM-7P8SK 40-49 years, female 22.0
GTEX-1LGRB-1026-SM-CNPQD 50-59 years, female 21.4
GTEX-1IDJF-0826-SM-ARU7N 20-29 years, male 20.9
GTEX-1LSNM-0426-SM-E9TIZ 50-59 years, male 20.7
GTEX-111YS-0326-SM-5GZZ3 60-69 years, male 20.4
GTEX-Y114-0126-SM-4TT8K 50-59 years, female 20.2
GTEX-1KXAM-1426-SM-D3LAC 60-69 years, male 20.0
GTEX-14PJ4-0926-SM-5YY98 60-69 years, male 19.2
GTEX-1HBPN-0926-SM-CGQEG 50-59 years, male 19.2
GTEX-1NHNU-0626-SM-E6CP1 50-59 years, male 19.0
GTEX-1OFPY-0926-SM-DTX8Q 60-69 years, male 19.0
GTEX-YF7O-0526-SM-5P9IO 50-59 years, male 18.8
GTEX-WFG7-0826-SM-3GIKU 20-29 years, male 18.6
GTEX-1B8KE-0326-SM-73KTY 50-59 years, male 18.5
GTEX-WH7G-0326-SM-3NMBH 40-49 years, male 18.5
GTEX-1J8QM-0326-SM-CL53D 60-69 years, female 18.5
GTEX-131XG-0526-SM-5DUWF 50-59 years, female 18.3
GTEX-13O61-0426-SM-5L3ET 60-69 years, male 18.3
GTEX-1399S-0826-SM-5KM23 30-39 years, female 18.2
GTEX-ZV7C-0526-SM-9WPNK 50-59 years, male 18.2
GTEX-13OVI-0326-SM-5K7X1 60-69 years, female 17.9
GTEX-1A32A-1326-SM-73KWW 50-59 years, female 17.9
GTEX-ZDTT-0326-SM-4WKF9 60-69 years, male 17.9
GTEX-13FTW-0826-SM-5K7XR 40-49 years, male 17.6
GTEX-1L5NE-0526-SM-DIPG5 50-59 years, male 17.6
GTEX-16XZY-0526-SM-7DHKY 70-79 years, male 17.5
GTEX-132QS-0526-SM-5IJC7 60-69 years, male 17.4
GTEX-WEY5-0226-SM-3GIKN 40-49 years, female 17.3
GTEX-YEC4-0226-SM-4W1YG 40-49 years, male 17.3
GTEX-13O1R-0926-SM-5L3DS 60-69 years, male 17.2
GTEX-ZG7Y-1426-SM-4WWBM 50-59 years, male 17.2
GTEX-1GN1W-0226-SM-7P8QY 50-59 years, female 17.2
GTEX-12WSK-0526-SM-5CVNA 40-49 years, female 17.1
GTEX-1KANC-0226-SM-E9TIW 50-59 years, female 17.1
GTEX-11TT1-1426-SM-5EGIA 20-29 years, male 17.0
GTEX-14PJO-0826-SM-6ETZK 60-69 years, male 17.0
GTEX-1122O-0626-SM-5N9B9 60-69 years, female 16.9
GTEX-18D9U-1426-SM-718BO 40-49 years, male 16.8
GTEX-1JK1U-0626-SM-CKZOJ 60-69 years, male 16.7
GTEX-1LGOU-0326-SM-D3LAM 20-29 years, female 16.7
GTEX-ZPCL-0526-SM-DO91R 60-69 years, female 16.7
GTEX-13YAN-1426-SM-7EPG8 60-69 years, male 16.6
GTEX-14H4A-0426-SM-5ZZWO 40-49 years, female 16.5
GTEX-WFON-0226-SM-3GIKR 40-49 years, male 16.5
GTEX-ZTTD-0626-SM-4YCCY 50-59 years, male 16.5
GTEX-1IDJU-0626-SM-CKZOG 60-69 years, female 16.4
GTEX-YEC3-0426-SM-CYPS8 50-59 years, male 16.3
GTEX-15RIE-1326-SM-6PAMM 60-69 years, male 16.2
GTEX-16MT8-0826-SM-7KULO 60-69 years, female 16.1
GTEX-ZF29-0426-SM-4WKFN 60-69 years, female 16.1
GTEX-1399U-0726-SM-5KM1D 50-59 years, female 16.0
GTEX-1445S-1226-SM-5O9BF 60-69 years, male 16.0
GTEX-17F96-0826-SM-7DHLU 70-79 years, male 16.0
GTEX-17F9E-0726-SM-793A1 50-59 years, male 15.9
GTEX-15EU6-1326-SM-6PANG 50-59 years, male 15.8
GTEX-X5EB-0626-SM-46MVQ 40-49 years, male 15.8
GTEX-11EM3-0426-SM-5N9BZ 20-29 years, female 15.7
GTEX-XXEK-2026-SM-4BRVE 50-59 years, male 15.6
GTEX-1MCC2-0226-SM-EVYD5 30-39 years, female 15.6
GTEX-13D11-1526-SM-5J2NA 50-59 years, female 15.5
GTEX-13OVG-0426-SM-5KM2T 60-69 years, male 15.5
GTEX-Y3IK-1026-SM-51MR7 50-59 years, female 15.5
GTEX-13PVR-0926-SM-5S2RB 60-69 years, female 15.4
GTEX-1HBPH-0226-SM-9WYSM 40-49 years, female 15.4
GTEX-WY7C-1126-SM-3NB3A 50-59 years, male 15.3
GTEX-13O21-0326-SM-5J1N9 50-59 years, male 15.2
GTEX-1B996-1026-SM-793CF 60-69 years, male 15.2
GTEX-ZYFG-0526-SM-5GZXX 60-69 years, female 15.2
GTEX-ZEX8-0326-SM-DO92C 50-59 years, male 15.2
GTEX-12WSG-1226-SM-5EQ4C 50-59 years, female 15.1
GTEX-13QBU-0226-SM-5LU48 40-49 years, female 15.1
GTEX-12WSN-0226-SM-5DUXH 40-49 years, male 15.0
GTEX-13PL7-0726-SM-5KM1S 60-69 years, female 15.0
GTEX-1AX9J-0926-SM-73KXA 60-69 years, male 15.0
GTEX-UPK5-0226-SM-3GAEV 40-49 years, male 15.0
GTEX-1F75I-1326-SM-7PBZX 40-49 years, male 14.9
GTEX-1GMR2-1326-SM-9KNUT 50-59 years, male 14.9
GTEX-1211K-0226-SM-59HJY 60-69 years, female 14.8
GTEX-1B97J-0326-SM-7939H 50-59 years, female 14.8
GTEX-13NZB-0426-SM-5KM26 30-39 years, male 14.7
GTEX-14BMV-1026-SM-5SI6B 50-59 years, male 14.7
GTEX-14PJM-0826-SM-6LLIW 50-59 years, female 14.6
GTEX-XLM4-2026-SM-4AT4X 60-69 years, male 14.6
GTEX-ZAB4-0926-SM-5CVN4 40-49 years, male 14.6
GTEX-ZGAY-0226-SM-4WWAL 40-49 years, female 14.6
GTEX-1HSGN-0926-SM-CNNQM 40-49 years, female 14.6
GTEX-1J8Q3-1126-SM-ARU8N 60-69 years, male 14.6
GTEX-18A66-1126-SM-731C5 60-69 years, male 14.5
GTEX-WHWD-0326-SM-3LK6L 50-59 years, male 14.5
GTEX-1GZ4I-0826-SM-9WG6O 50-59 years, male 14.5
GTEX-14PJ6-0626-SM-686Z6 60-69 years, female 14.4
GTEX-14PK6-0726-SM-6LLIX 70-79 years, female 14.4
GTEX-XGQ4-0526-SM-4AT6C 50-59 years, male 14.4
GTEX-1AYCT-0526-SM-7RHHS 50-59 years, male 14.4
GTEX-132AR-1926-SM-5EGK5 50-59 years, female 14.3
GTEX-13FHO-1226-SM-5L3EF 60-69 years, male 14.3
GTEX-1HSMQ-0426-SM-ADEIM 50-59 years, male 14.3
GTEX-ZLFU-0326-SM-4WWBK 40-49 years, male 14.2
GTEX-1HBPM-1026-SM-ARL9D 60-69 years, female 14.2
GTEX-1HCUA-0626-SM-ACKVT 50-59 years, female 14.2
GTEX-1192X-0726-SM-5987R 50-59 years, male 14.1
GTEX-11ZTT-0526-SM-5EQLA 60-69 years, female 14.1
GTEX-18D9B-1126-SM-7KFSH 60-69 years, male 14.1
GTEX-YB5K-0226-SM-5IFJE 40-49 years, female 14.1
GTEX-1GMR3-0426-SM-7PC17 40-49 years, male 14.1
GTEX-1GN1U-1426-SM-7P8TF 50-59 years, female 14.1
GTEX-1GN73-2326-SM-9MQKV 60-69 years, male 14.1
GTEX-131YS-0826-SM-5PNYV 60-69 years, female 14.0
GTEX-13S86-0326-SM-5SI6K 40-49 years, male 14.0
GTEX-14XAO-0926-SM-69LPZ 60-69 years, female 14.0
GTEX-1C2JI-0626-SM-7DHM1 50-59 years, male 14.0
GTEX-ZDTS-1226-SM-4WKGL 60-69 years, male 14.0
GTEX-1QCLZ-1126-SM-EWRNB 60-69 years, female 14.0
GTEX-XPVG-0726-SM-4B658 50-59 years, male 13.9
GTEX-1GL5R-0426-SM-9WPOP 50-59 years, male 13.9
GTEX-1IKOE-0626-SM-A9G31 30-39 years, female 13.9
GTEX-1P4AB-0926-SM-E76PV 50-59 years, male 13.9
GTEX-17JCI-0826-SM-7LT8W 60-69 years, female 13.8
GTEX-1QMI2-1026-SM-DTX7T 60-69 years, male 13.8
GTEX-15ER7-0826-SM-6PALW 20-29 years, female 13.7
GTEX-1C64O-0926-SM-79OLN 60-69 years, male 13.7
GTEX-XBEC-1226-SM-4AT65 50-59 years, male 13.7
GTEX-ZAB5-0126-SM-5CVMT 50-59 years, male 13.7
GTEX-ZT9W-0526-SM-57WFG 50-59 years, male 13.7
GTEX-1K2DU-0226-SM-DIPF6 20-29 years, male 13.7
GTEX-1RLM8-0226-SM-E6CJY 50-59 years, male 13.7
GTEX-V955-0826-SM-CYPR5 60-69 years, male 13.7
GTEX-12WSD-1226-SM-5HL9Q 60-69 years, female 13.6
GTEX-14PN3-0726-SM-6EU14 60-69 years, female 13.6
GTEX-ZZPU-1126-SM-5N9CW 50-59 years, female 13.6
GTEX-13FH7-0826-SM-5J2NW 50-59 years, female 13.5
GTEX-Y3I4-0526-SM-4TT6X 50-59 years, male 13.5
GTEX-XPT6-0226-SM-4B65L 20-29 years, male 13.4
GTEX-14E1K-0826-SM-5ZZW9 50-59 years, male 13.3
GTEX-15CHR-0326-SM-7DHN3 50-59 years, male 13.3
GTEX-1HFI7-0526-SM-A9SMA 50-59 years, female 13.3
GTEX-1ICG6-0726-SM-B2LY5 70-79 years, female 13.3
GTEX-1IDJD-0226-SM-CKZOA 30-39 years, male 13.3
GTEX-1QPFJ-0926-SM-EVR3K 30-39 years, female 13.3
GTEX-11DXZ-0326-SM-5EGH1 50-59 years, male 13.2
GTEX-131XF-0426-SM-5HL7U 60-69 years, male 13.2
GTEX-13N1W-0926-SM-5MR36 70-79 years, male 13.1
GTEX-X3Y1-0226-SM-3P5Z5 40-49 years, male 13.1
GTEX-ZVT2-0926-SM-5GICE 50-59 years, female 13.1
GTEX-UTHO-1226-SM-3GAEE 60-69 years, male 13.0
GTEX-XYKS-0226-SM-4BRW3 60-69 years, female 13.0
GTEX-1339X-0326-SM-5K7Z8 40-49 years, male 12.9
GTEX-U8XE-0926-SM-3DB8V 30-39 years, male 12.7
GTEX-XV7Q-0726-SM-4BRV6 40-49 years, female 12.7
GTEX-1399R-1726-SM-5K7YJ 30-39 years, male 12.6
GTEX-13W3W-0526-SM-5LU3X 60-69 years, female 12.6
GTEX-1CB4E-0626-SM-7DHMW 60-69 years, male 12.6
GTEX-WK11-0626-SM-3NMAV 50-59 years, male 12.6
GTEX-139YR-0526-SM-5L3DG 50-59 years, male 12.5
GTEX-13X6K-1726-SM-7IGLG 60-69 years, female 12.5
GTEX-14PHX-0626-SM-5YY8Z 50-59 years, male 12.4
GTEX-17HGU-1126-SM-793BP 50-59 years, male 12.4
GTEX-11LCK-0826-SM-5PNYD 30-39 years, male 12.3
GTEX-Y8E4-0426-SM-4V6GB 40-49 years, male 12.3
GTEX-ZDYS-0326-SM-5HL4W 50-59 years, male 12.3
GTEX-11DXX-0526-SM-5PNVR 60-69 years, female 12.2
GTEX-ZYFD-2026-SM-5E459 50-59 years, male 12.2
GTEX-1I1GP-0626-SM-ARL7H 50-59 years, male 12.2
GTEX-1IKK5-1726-SM-CM2RU 60-69 years, male 12.2
GTEX-1R7EV-0426-SM-DTX7Z 40-49 years, male 12.2
GTEX-13OW6-0926-SM-5L3GM 50-59 years, male 12.1
GTEX-15DCE-0826-SM-7KULW 20-29 years, male 12.1
GTEX-17GQL-0626-SM-731CN 60-69 years, male 12.1
GTEX-1B8L1-0426-SM-7SB76 60-69 years, male 12.1
GTEX-14DAQ-1026-SM-793B1 60-69 years, female 12.0
GTEX-14PHY-0326-SM-62LE3 60-69 years, female 12.0
GTEX-15SHU-0926-SM-6PAMK 40-49 years, female 12.0
GTEX-183WM-0926-SM-718AN 70-79 years, female 12.0
GTEX-18A67-1026-SM-731CE 50-59 years, male 12.0
GTEX-1CB4I-1526-SM-7DHMY 50-59 years, male 12.0
GTEX-WFG8-0726-SM-3GILP 20-29 years, male 12.0
GTEX-ZAK1-1126-SM-5PNXU 50-59 years, female 11.9
GTEX-11DYG-1026-SM-5A5JQ 60-69 years, male 11.8
GTEX-W5X1-0826-SM-3GILN 40-49 years, female 11.8
GTEX-XQ8I-0226-SM-4BOPM 50-59 years, male 11.8
GTEX-1H3NZ-1026-SM-A9SM5 60-69 years, male 11.8
GTEX-16XZZ-1026-SM-7DHKS 60-69 years, male 11.7
GTEX-ZF2S-0826-SM-4WWBI 50-59 years, female 11.7
GTEX-1IL2U-1226-SM-CL53P 60-69 years, male 11.7
GTEX-13PVQ-1326-SM-5LU4J 50-59 years, male 11.6
GTEX-15SHV-0526-SM-7KUEN 60-69 years, male 11.6
GTEX-ZPIC-0426-SM-DO91V 40-49 years, female 11.5
GTEX-132NY-1426-SM-5J1MJ 60-69 years, male 11.4
GTEX-13NZ9-0126-SM-5K7XV 50-59 years, male 11.4
GTEX-16NPX-0826-SM-6M489 50-59 years, male 11.3
GTEX-1R9JW-0426-SM-E76QL 30-39 years, female 11.3
GTEX-13N11-0726-SM-5L3DP 50-59 years, female 11.2
GTEX-1LH75-0526-SM-DIPG2 50-59 years, female 11.2
GTEX-13O3P-1426-SM-5L3DT 50-59 years, male 11.1
GTEX-1AX9K-0426-SM-73KUG 50-59 years, male 11.1
GTEX-1JJEA-0926-SM-CYPSO 60-69 years, male 11.1
GTEX-12WSA-1126-SM-5EGKU 60-69 years, male 11.0
GTEX-1399T-0726-SM-5J1MH 60-69 years, male 11.0
GTEX-11P81-0526-SM-59873 30-39 years, female 10.9
GTEX-139TU-1926-SM-5J2OC 60-69 years, male 10.9
GTEX-13JVG-1126-SM-5KM2M 60-69 years, male 10.9
GTEX-14JG1-0826-SM-5ZZWR 40-49 years, male 10.9
GTEX-1H11D-1026-SM-9QEIU 40-49 years, male 10.9
GTEX-1R9K4-1026-SM-EXUT1 60-69 years, male 10.9
GTEX-12696-1226-SM-5FQSM 60-69 years, male 10.8
GTEX-13NYS-1926-SM-5IJCB 60-69 years, male 10.8
GTEX-13OW7-1626-SM-5IJDH 50-59 years, male 10.8
GTEX-1BAJH-1026-SM-7EWEG 70-79 years, male 10.8
GTEX-X4EP-0326-SM-3P5Z6 60-69 years, female 10.8
GTEX-148VJ-1426-SM-5TDE3 70-79 years, male 10.7
GTEX-15SDE-1826-SM-7KUFN 50-59 years, female 10.7
GTEX-17KNJ-0626-SM-7LT9L 50-59 years, male 10.7
GTEX-1EH9U-0626-SM-7PC33 60-69 years, male 10.7
GTEX-145LV-0226-SM-5S2QG 50-59 years, male 10.6
GTEX-146FR-0926-SM-5QGPE 60-69 years, female 10.6
GTEX-15UF7-1526-SM-6LPI7 40-49 years, male 10.6
GTEX-1I1GQ-1226-SM-CL55J 50-59 years, male 10.6
GTEX-11UD2-0926-SM-5CVL6 50-59 years, male 10.5
GTEX-144GL-1026-SM-5O99R 50-59 years, male 10.5
GTEX-14ASI-0826-SM-5Q5EB 60-69 years, male 10.5
GTEX-1E2YA-0626-SM-7P8P4 50-59 years, male 10.5
GTEX-1J1OQ-2226-SM-A96SS 40-49 years, female 10.5
GTEX-1NSGN-1226-SM-E76OL 50-59 years, male 10.5
GTEX-ZYT6-0926-SM-5GIEM 30-39 years, male 10.4
GTEX-1LG7Y-1426-SM-D4P31 50-59 years, male 10.4
GTEX-13FHP-0826-SM-5K7V5 50-59 years, male 10.3
GTEX-13PDP-1326-SM-5K7U9 60-69 years, male 10.3
GTEX-WQUQ-1326-SM-3MJFF 60-69 years, male 10.3
GTEX-ZYFC-1026-SM-5GZX9 50-59 years, male 10.3
GTEX-1JJ6O-2226-SM-AHZ3I 60-69 years, male 10.3
GTEX-131XE-0526-SM-5K7YT 50-59 years, male 10.2
GTEX-14A6H-0326-SM-5NQAN 30-39 years, male 10.2
GTEX-17MF6-0926-SM-7LTAL 40-49 years, male 10.2
GTEX-1E1VI-1426-SM-793CY 50-59 years, male 10.2
GTEX-132Q8-1126-SM-5K7XS 60-69 years, male 10.1
GTEX-13SLX-0926-SM-5S2NM 50-59 years, female 10.1
GTEX-14PII-1026-SM-5ZZVW 60-69 years, male 10.1
GTEX-16YQH-0726-SM-7IGM1 30-39 years, male 10.1
GTEX-WWYW-1126-SM-3NB2Q 50-59 years, female 10.1
GTEX-WZTO-1226-SM-3NMAZ 40-49 years, male 10.1
GTEX-1EU9M-1926-SM-7RHH4 60-69 years, male 10.1
GTEX-1GMR8-1026-SM-9MQLA 50-59 years, female 10.1
GTEX-12BJ1-0326-SM-5FQUB 60-69 years, male 10.0
GTEX-147JS-1326-SM-5SI6D 60-69 years, male 10.0
GTEX-VJWN-1026-SM-4M1ZN 50-59 years, female 10.0
GTEX-ZTPG-1326-SM-51MSQ 20-29 years, female 9.9
GTEX-1GN2E-1426-SM-7RHHI 60-69 years, male 9.9
GTEX-1J8EW-0626-SM-CM2TY 60-69 years, female 9.9
GTEX-1PPGY-0926-SM-DTXFF 60-69 years, male 9.9
GTEX-1QP29-1426-SM-DTX9Q 50-59 years, male 9.9
GTEX-14BIM-2726-SM-5Q5EG 60-69 years, female 9.8
GTEX-WYJK-1126-SM-3NM9Z 50-59 years, male 9.8
GTEX-XOT4-1126-SM-4B66E 60-69 years, female 9.8
GTEX-1HT8W-1326-SM-CGQEN 30-39 years, male 9.8
GTEX-1A3MX-1226-SM-731B3 60-69 years, male 9.7
GTEX-WHSE-0826-SM-4SOJU 20-29 years, male 9.7
GTEX-ZPU1-0726-SM-5HL6O 40-49 years, male 9.7
GTEX-1IDJH-1126-SM-COH3R 70-79 years, male 9.7
GTEX-145LS-1326-SM-5Q5EP 60-69 years, female 9.6
GTEX-18A7A-1226-SM-7LTAJ 50-59 years, female 9.6
GTEX-1HCVE-0826-SM-CM2SF 50-59 years, male 9.6
GTEX-11GSP-1226-SM-5985M 60-69 years, female 9.5
GTEX-11ONC-1026-SM-5GU64 60-69 years, male 9.5
GTEX-11WQK-0226-SM-5EQLI 50-59 years, male 9.5
GTEX-13RTJ-0526-SM-62LDP 60-69 years, male 9.5
GTEX-1B933-0826-SM-79OMW 50-59 years, female 9.5
GTEX-X62O-0826-SM-46MW8 50-59 years, male 9.5
GTEX-ZVT3-0826-SM-5GIC8 60-69 years, female 9.5
GTEX-11DXY-1026-SM-5987V 60-69 years, male 9.4
GTEX-12WSC-1026-SM-5EQ5Y 50-59 years, male 9.4
GTEX-12ZZX-0726-SM-5EGKA 40-49 years, female 9.4
GTEX-X8HC-1026-SM-46MWH 50-59 years, female 9.4
GTEX-Y5V5-0726-SM-4VBPY 60-69 years, female 9.4
GTEX-1H2FU-0826-SM-9WYSU 60-69 years, female 9.4
GTEX-1LB8K-0926-SM-D4P42 50-59 years, male 9.4
GTEX-12WSE-0926-SM-5S2VX 20-29 years, male 9.3
GTEX-Z93S-0326-SM-5HL84 50-59 years, male 9.3
GTEX-1KANB-1126-SM-DHXJT 50-59 years, male 9.3
GTEX-15CHQ-1326-SM-6871Z 60-69 years, male 9.2
GTEX-1AX9I-1026-SM-73KYF 60-69 years, male 9.2
GTEX-1B8SG-0726-SM-79ONS 50-59 years, male 9.2
GTEX-1GTWX-0926-SM-9MQKM 60-69 years, male 9.2
GTEX-1JMLX-1826-SM-CNPOX 50-59 years, male 9.2
GTEX-11EMC-0826-SM-59862 60-69 years, female 9.1
GTEX-1B8SF-1326-SM-7IGQJ 60-69 years, male 9.1
GTEX-WI4N-0726-SM-3TW93 40-49 years, female 9.1
GTEX-1HSKV-0726-SM-ACKWE 60-69 years, male 9.1
GTEX-1I1CD-1326-SM-A9SMM 60-69 years, female 9.1
GTEX-1JMQK-0926-SM-ARL96 60-69 years, male 9.1
GTEX-1192W-0226-SM-5EGGT 60-69 years, male 9.0
GTEX-11TUW-1126-SM-5EQKJ 60-69 years, male 9.0
GTEX-13SLW-0826-SM-5QGP7 70-79 years, male 9.0
GTEX-1F75A-1026-SM-7PC3W 50-59 years, male 9.0
GTEX-1HCU7-1226-SM-B2LX8 50-59 years, male 9.0
GTEX-1IY9M-0626-SM-D4P2L 60-69 years, male 9.0
GTEX-1JMQL-1026-SM-CMKGV 50-59 years, female 9.0
GTEX-14BIL-0926-SM-7DHKN 50-59 years, male 8.9
GTEX-XQ3S-0526-SM-4BOQA 20-29 years, male 8.9
GTEX-ZZPT-0926-SM-5GICZ 50-59 years, male 8.9
GTEX-1H3O1-0226-SM-9WYSW 60-69 years, male 8.9
GTEX-12ZZY-1226-SM-5GCNK 60-69 years, male 8.8
GTEX-15RJE-0726-SM-7KUEG 40-49 years, male 8.8
GTEX-1EX96-2626-SM-9MQJV 50-59 years, male 8.8
GTEX-1I1HK-0626-SM-CNPQM 60-69 years, male 8.8
GTEX-1LVAN-1526-SM-CNPQN 50-59 years, female 8.8
GTEX-13O3O-1426-SM-5KM2S 60-69 years, female 8.7
GTEX-1CAMS-1126-SM-7MXUQ 40-49 years, female 8.7
GTEX-1F48J-1126-SM-9WYSY 50-59 years, female 8.7
GTEX-1IKJJ-0626-SM-CY8GF 60-69 years, male 8.7
GTEX-1RB15-0426-SM-E9U4Y 60-69 years, male 8.7
GTEX-111FC-0626-SM-5N9CU 60-69 years, male 8.6
GTEX-14C38-1326-SM-62LDK 50-59 years, male 8.6
GTEX-ZYVF-1826-SM-5E44F 50-59 years, female 8.6
GTEX-1H1DG-0826-SM-9QEIW 70-79 years, male 8.6
GTEX-18465-0726-SM-7LG4L 50-59 years, male 8.5
GTEX-WHPG-1026-SM-3NMBA 50-59 years, male 8.5
GTEX-1C6WA-0826-SM-7PBXS 60-69 years, male 8.5
GTEX-14PJ2-1126-SM-69LOD 50-59 years, male 8.4
GTEX-ZDXO-0426-SM-4WKF6 60-69 years, male 8.4
GTEX-ZF3C-1126-SM-57WEG 50-59 years, female 8.4
GTEX-1CB4J-0226-SM-7P8T4 60-69 years, male 8.4
GTEX-1KD5A-0926-SM-D4P3U 50-59 years, male 8.4
GTEX-1313W-1126-SM-5EQ5U 50-59 years, female 8.3
GTEX-14C5O-1226-SM-664N3 60-69 years, male 8.3
GTEX-14PN4-0826-SM-69LON 50-59 years, male 8.3
GTEX-15SKB-0926-SM-7KUFC 60-69 years, male 8.3
GTEX-YFC4-0426-SM-4TT3J 40-49 years, female 8.3
GTEX-13CF2-0226-SM-5L3DV 60-69 years, male 8.2
GTEX-14E6C-0326-SM-5Q5EE 40-49 years, male 8.2
GTEX-17F9Y-1226-SM-7EPGE 70-79 years, female 8.2
GTEX-1I1GR-1026-SM-A9SLC 60-69 years, male 8.2
GTEX-15CHC-0326-SM-5ZZVP 60-69 years, female 8.1
GTEX-1A8G6-1826-SM-73KY8 60-69 years, male 8.1
GTEX-VUSG-0726-SM-3GIK1 50-59 years, male 8.1
GTEX-11NV4-0826-SM-5BC4S 60-69 years, male 8.0
GTEX-13U4I-0626-SM-5LU5L 40-49 years, female 8.0
GTEX-1H1ZS-1026-SM-9WG6E 70-79 years, male 8.0
GTEX-1H3VY-1126-SM-A96TP 50-59 years, male 8.0
GTEX-1LVAO-0626-SM-EWRNT 60-69 years, male 8.0
GTEX-13O3Q-0326-SM-5L3FE 50-59 years, male 7.9
GTEX-1CB4G-0726-SM-79OOJ 60-69 years, male 7.9
GTEX-1I19N-0626-SM-A9SKY 70-79 years, male 7.9
GTEX-13OW5-0926-SM-5L3GZ 60-69 years, male 7.8
GTEX-17EVP-0526-SM-7EPGY 40-49 years, male 7.8
GTEX-1B932-1326-SM-79OM4 40-49 years, female 7.7
GTEX-1JN6P-0826-SM-ARL97 60-69 years, male 7.7
GTEX-13NYB-0326-SM-5IJDP 40-49 years, male 7.6
GTEX-1F88F-0326-SM-9KNV3 60-69 years, female 7.6
GTEX-1GF9V-1726-SM-9KNW4 60-69 years, male 7.6
GTEX-12WSI-0426-SM-5EQ5J 50-59 years, male 7.5
GTEX-13JUV-0226-SM-5IJCC 40-49 years, female 7.5
GTEX-16GPK-1226-SM-7LTAU 60-69 years, male 7.5
GTEX-1GZ2Q-0926-SM-7RHHN 40-49 years, male 7.5
GTEX-1QP6S-1026-SM-DTXFW 40-49 years, male 7.5
GTEX-146FH-1126-SM-5NQAT 50-59 years, female 7.4
GTEX-1AX8Z-1126-SM-731CS 60-69 years, male 7.4
GTEX-1CB4H-0626-SM-7IGN3 60-69 years, female 7.4
GTEX-1CAMQ-0726-SM-7P8SG 40-49 years, male 7.4
GTEX-1F6I4-0826-SM-7RHGK 60-69 years, male 7.4
GTEX-1HFI6-0826-SM-9YFM2 40-49 years, male 7.4
GTEX-1I1GV-1426-SM-B2LXN 60-69 years, male 7.4
GTEX-1J8Q2-1026-SM-ARU8I 60-69 years, male 7.4
GTEX-1117F-0726-SM-5GIEN 60-69 years, female 7.3
GTEX-11NUK-0926-SM-5HL57 50-59 years, male 7.3
GTEX-11ZUS-0326-SM-5EQ4W 30-39 years, male 7.3
GTEX-14A5I-1026-SM-5Q5E3 50-59 years, female 7.3
GTEX-1JMOU-0326-SM-ARL8X 60-69 years, female 7.3
GTEX-13112-0526-SM-5EQ4S 50-59 years, male 7.2
GTEX-13VXT-0726-SM-5SIAD 20-29 years, female 7.2
GTEX-WL46-0726-SM-3LK5Z 50-59 years, male 7.2
GTEX-1C6VQ-0826-SM-7PBZT 50-59 years, male 7.2
GTEX-1HUB1-0726-SM-CGQF4 60-69 years, male 7.2
GTEX-1EMGI-1126-SM-9KNUF 60-69 years, male 7.1
GTEX-18A6Q-1526-SM-731CO 60-69 years, male 7.0
GTEX-WRHU-1026-SM-4E3ID 50-59 years, female 7.0
GTEX-WYBS-1226-SM-3NM9N 60-69 years, female 7.0
GTEX-X261-0926-SM-3NMCY 50-59 years, male 7.0
GTEX-1QEPI-1126-SM-E8VN7 60-69 years, female 7.0
GTEX-15D1Q-0426-SM-6AJ9G 40-49 years, male 6.9
GTEX-1GMRU-1326-SM-9WYUI 50-59 years, male 6.9
GTEX-1IKOH-0926-SM-A9SLU 60-69 years, female 6.9
GTEX-117XS-0726-SM-5H131 60-69 years, male 6.8
GTEX-13X6J-1226-SM-79OMF 50-59 years, male 6.8
GTEX-1212Z-0726-SM-5EGI5 60-69 years, male 6.6
GTEX-ZE7O-0626-SM-57WCD 50-59 years, female 6.6
GTEX-1F75B-1126-SM-7RHGP 50-59 years, male 6.6
GTEX-1POEN-0726-SM-DTXDU 30-39 years, female 6.6
GTEX-11O72-1026-SM-5986B 40-49 years, male 6.5
GTEX-13PL6-0826-SM-5IJBI 40-49 years, female 6.5
GTEX-1HR98-1026-SM-CKZOM 60-69 years, male 6.5
GTEX-111VG-0326-SM-5GZX7 60-69 years, male 6.4
GTEX-14BIN-2126-SM-793AX 50-59 years, female 6.4
GTEX-WOFL-1226-SM-4OOST 60-69 years, male 6.4
GTEX-YJ8O-0826-SM-5CVM3 40-49 years, female 6.4
GTEX-1A8FM-1026-SM-7PC26 50-59 years, female 6.4
GTEX-1IL2V-1126-SM-CMKGH 70-79 years, male 6.4
GTEX-13NZA-0826-SM-5K7WS 60-69 years, male 6.3
GTEX-14E7W-1126-SM-5ZZVS 70-79 years, male 6.3
GTEX-X4XX-1126-SM-3NMBY 60-69 years, male 6.3
GTEX-ZAJG-0926-SM-5Q5AB 50-59 years, female 6.3
GTEX-ZVT4-1326-SM-5NQ8E 50-59 years, female 6.3
GTEX-13FTZ-0326-SM-5J1O1 60-69 years, male 6.2
GTEX-1477Z-1126-SM-5P9GK 60-69 years, male 6.2
GTEX-14C39-0726-SM-5RQIK 40-49 years, male 6.2
GTEX-V1D1-0626-SM-4JBHN 50-59 years, male 6.2
GTEX-1C64N-0826-SM-7RHGQ 50-59 years, male 6.2
GTEX-1HSMO-1126-SM-CGQF2 60-69 years, male 6.2
GTEX-147F4-1126-SM-5TDDE 50-59 years, male 6.1
GTEX-1HC8U-0626-SM-B2LWB 40-49 years, female 6.1
GTEX-1LSNL-0626-SM-DIPFJ 50-59 years, male 6.1
GTEX-1MJK2-1626-SM-EVYCQ 50-59 years, male 6.0
GTEX-1EWIQ-1126-SM-7EPIK 70-79 years, female 5.9
GTEX-ZUA1-0726-SM-4YCD9 40-49 years, male 5.8
GTEX-1M5QR-1626-SM-E9U5O 40-49 years, male 5.8
GTEX-117YW-0426-SM-5GZZZ 50-59 years, male 5.7
GTEX-12584-1026-SM-59HK3 40-49 years, male 5.7
GTEX-13FXS-1026-SM-62LFQ 50-59 years, male 5.7
GTEX-1H1CY-0426-SM-9KNVD 60-69 years, female 5.7
GTEX-YECK-1226-SM-4W21G 60-69 years, male 5.4
GTEX-ZVZQ-0726-SM-51MR3 60-69 years, female 5.4
GTEX-ZXG5-0626-SM-5NQ85 60-69 years, male 5.4
GTEX-1GN1V-1026-SM-CNPPS 60-69 years, male 5.4
GTEX-11GS4-0426-SM-5N9CD 60-69 years, male 5.2
GTEX-1IOXB-0726-SM-A9G32 50-59 years, male 4.8
GTEX-11ZVC-0526-SM-5N9G1 50-59 years, female 4.7
GTEX-11EQ8-1326-SM-5EGJQ 60-69 years, male 4.5
Show allShow less
Heart - Left Ventricle
Average nTPM: 19.1
Samples: 432

Max nTPM: 45.7
Min nTPM: 4.6
Std nTPM: 8.9
Median nTPM: 18.5
GTEX-1L5NE-0426-SM-E9TIX 50-59 years, male 45.7
GTEX-1B8KE-0126-SM-793AM 50-59 years, male 44.3
GTEX-O5YT-0326-SM-32PKA 20-29 years, male 43.8
GTEX-13O21-2326-SM-5MR3X 50-59 years, male 39.1
GTEX-1AX9J-1026-SM-72D6E 60-69 years, male 38.8
GTEX-1HCUA-0526-SM-A9SMH 50-59 years, female 38.7
GTEX-Y114-0226-SM-4TT8W 50-59 years, female 38.2
GTEX-14PJ4-1126-SM-5YY91 60-69 years, male 37.9
GTEX-ZVZP-0226-SM-5NQ73 50-59 years, male 37.5
GTEX-18A67-1226-SM-7KFRS 50-59 years, male 36.9
GTEX-ZG7Y-0926-SM-5EQ6O 50-59 years, male 36.7
GTEX-1399S-1026-SM-5KLZ9 30-39 years, female 36.6
GTEX-1JK1U-0526-SM-CYPSQ 60-69 years, male 36.3
GTEX-1MUQO-1226-SM-E9TJK 60-69 years, male 36.3
GTEX-117YX-1126-SM-5H128 50-59 years, male 35.7
GTEX-R55C-0326-SM-3GAF1 40-49 years, male 35.6
GTEX-WFON-0326-SM-3GIKX 40-49 years, male 35.3
GTEX-OIZF-0326-SM-3MJGY 60-69 years, male 35.1
GTEX-SUCS-0326-SM-32PLL 70-79 years, male 34.8
GTEX-OHPL-0326-SM-33HC8 60-69 years, female 34.5
GTEX-WFG7-0726-SM-3GIKO 20-29 years, male 33.9
GTEX-WHWD-0426-SM-3LK83 50-59 years, male 33.9
GTEX-ZDTT-0726-SM-4WKFK 60-69 years, male 33.9
GTEX-13QBU-0426-SM-5J2O4 40-49 years, female 33.7
GTEX-S32W-0626-SM-2XCBG 50-59 years, female 33.7
GTEX-YEC3-0726-SM-CMKFH 50-59 years, male 33.3
GTEX-13FTW-1026-SM-5L3E3 40-49 years, male 33.2
GTEX-12WSN-5001-SM-7DHMK 40-49 years, male 33.1
GTEX-1LSNM-0526-SM-DIPG6 50-59 years, male 32.9
GTEX-QDVN-0326-SM-2I3FS 50-59 years, male 32.8
GTEX-P4PQ-0326-SM-2HMJ8 60-69 years, male 32.7
GTEX-ZLFU-0226-SM-4WWFH 40-49 years, male 32.6
GTEX-QLQ7-0526-SM-2I5G3 60-69 years, male 31.9
GTEX-QMRM-0526-SM-2I5GA 50-59 years, male 31.9
GTEX-15RIE-1726-SM-7KUMU 60-69 years, male 31.9
GTEX-139YR-0826-SM-5LZXY 50-59 years, male 31.8
GTEX-17KNJ-0826-SM-793A4 50-59 years, male 31.8
GTEX-1KXAM-1326-SM-E9TJW 60-69 years, male 31.7
GTEX-14H4A-0626-SM-5ZZUT 40-49 years, female 31.5
GTEX-14PN3-0526-SM-69LQF 60-69 years, female 31.5
GTEX-13O61-0526-SM-5J2M1 60-69 years, male 31.3
GTEX-OHPM-0326-SM-33HCA 50-59 years, male 31.2
GTEX-1LGRB-1126-SM-CNPP2 50-59 years, female 31.1
GTEX-SE5C-0626-SM-2XCDV 40-49 years, female 31.0
GTEX-ZV7C-0326-SM-57WB1 50-59 years, male 31.0
GTEX-13FH7-0926-SM-5J2MR 50-59 years, female 30.9
GTEX-1GMR2-1426-SM-7RHHK 50-59 years, male 30.9
GTEX-1KANC-0426-SM-CXZK5 50-59 years, female 30.9
GTEX-131XF-5001-SM-7DHLY 60-69 years, male 30.8
GTEX-RUSQ-0526-SM-2TF72 50-59 years, male 30.8
GTEX-13CF3-0726-SM-5J2MY 60-69 years, female 30.7
GTEX-ZGAY-0326-SM-57WF5 40-49 years, female 30.7
GTEX-1QCLZ-0926-SM-E6CQZ 60-69 years, female 30.7
GTEX-1OFPY-1026-SM-EXUSO 60-69 years, male 30.6
GTEX-1IDJF-0726-SM-CJI1U 20-29 years, male 30.5
GTEX-1J8Q3-1226-SM-CKZPT 60-69 years, male 30.5
GTEX-OIZI-0926-SM-E6CHF 40-49 years, male 30.5
GTEX-ZPCL-0426-SM-DNZZ4 60-69 years, female 30.4
GTEX-13S86-0226-SM-5S2PJ 40-49 years, male 30.2
GTEX-18D9U-1126-SM-72D5Y 40-49 years, male 30.2
GTEX-Q2AH-0526-SM-2I3ED 40-49 years, male 30.2
GTEX-13PVR-1026-SM-5QGQW 60-69 years, female 30.1
GTEX-XBED-0526-SM-47JY3 60-69 years, male 30.1
GTEX-111YS-0426-SM-5987O 60-69 years, male 29.9
GTEX-WH7G-0426-SM-3NMBJ 40-49 years, male 29.3
GTEX-1RMOY-0626-SM-E9TIE 50-59 years, male 29.3
GTEX-ZEX8-0426-SM-DO92Y 50-59 years, male 29.3
GTEX-UJHI-0426-SM-3DB8Y 50-59 years, female 29.2
GTEX-11I78-0826-SM-5A5K4 50-59 years, female 29.1
GTEX-XXEK-0926-SM-4BRWH 50-59 years, male 29.0
GTEX-YEC4-0326-SM-4W216 40-49 years, male 29.0
GTEX-12WSK-0626-SM-5LZUJ 40-49 years, female 28.9
GTEX-11TT1-1326-SM-5PNYM 20-29 years, male 28.8
GTEX-U4B1-0326-SM-3DB8K 40-49 years, male 28.8
GTEX-WY7C-0526-SM-3NB3D 50-59 years, male 28.8
GTEX-14PJ6-0726-SM-69LOL 60-69 years, female 28.6
GTEX-17F9E-0926-SM-7IGMG 50-59 years, male 28.5
GTEX-OHPK-0326-SM-2HMJO 50-59 years, female 28.5
GTEX-13D11-1726-SM-5IFGQ 50-59 years, female 28.3
GTEX-15EOM-5007-SM-793DG 20-29 years, female 28.3
GTEX-ZF29-0226-SM-4WKHO 60-69 years, female 28.3
GTEX-132QS-0426-SM-5KLZ6 60-69 years, male 28.2
GTEX-OXRK-0826-SM-2HMK7 50-59 years, female 28.2
GTEX-ZTPG-1226-SM-4YCDO 20-29 years, female 28.1
GTEX-P4PP-0326-SM-33HC4 30-39 years, female 27.9
GTEX-XGQ4-0326-SM-4GIEE 50-59 years, male 27.9
GTEX-QESD-0526-SM-2I5G5 20-29 years, male 27.7
GTEX-UJMC-0526-SM-3GAE3 50-59 years, male 27.6
GTEX-1J8QM-0426-SM-AHZ3X 60-69 years, female 27.6
GTEX-1339X-0426-SM-5KLZY 40-49 years, male 27.5
GTEX-1F75I-1126-SM-9WYUO 40-49 years, male 27.5
GTEX-ZDYS-0226-SM-5HL4K 50-59 years, male 27.4
GTEX-1399U-0526-SM-5K7YM 50-59 years, female 27.2
GTEX-XPVG-0826-SM-4B654 50-59 years, male 27.2
GTEX-SNMC-0126-SM-2XCFO 20-29 years, male 27.0
GTEX-ZZPU-0926-SM-5GZYT 50-59 years, female 26.9
GTEX-15RJ7-0226-SM-7KUMN 40-49 years, male 26.8
GTEX-14PHY-0226-SM-5ZZWM 60-69 years, female 26.7
GTEX-16XZY-0426-SM-793BI 70-79 years, male 26.7
GTEX-1H11D-1226-SM-9WPQ2 40-49 years, male 26.7
GTEX-V955-0726-SM-3GAFG 60-69 years, male 26.6
GTEX-131XG-0626-SM-5GCMP 50-59 years, female 26.5
GTEX-QV44-0526-SM-2S1RE 50-59 years, male 26.5
GTEX-PWCY-0526-SM-5P9HG 20-29 years, female 26.3
GTEX-1122O-0826-SM-5GICV 60-69 years, female 25.9
GTEX-11DXX-0326-SM-5PNWC 60-69 years, female 25.9
GTEX-1R7EV-0326-SM-E76PA 40-49 years, male 25.9
GTEX-1211K-0626-SM-5FQUZ 60-69 years, female 25.8
GTEX-12696-1126-SM-5FQTI 60-69 years, male 25.8
GTEX-18D9B-1226-SM-72D6V 60-69 years, male 25.8
GTEX-U8XE-1126-SM-3DB8W 30-39 years, male 25.8
GTEX-15CHC-0426-SM-6LLHI 60-69 years, female 25.7
GTEX-1HFI7-0826-SM-A9G23 50-59 years, female 25.7
GTEX-12BJ1-0226-SM-5LUA2 60-69 years, male 25.6
GTEX-1OKEX-0726-SM-DPRYE 60-69 years, male 25.6
GTEX-13VXT-1126-SM-5LU3A 20-29 years, female 25.3
GTEX-PLZ5-0626-SM-2I5F8 50-59 years, male 25.3
GTEX-15CHR-0226-SM-7PC2Z 50-59 years, male 25.3
GTEX-1GL5R-0326-SM-9WYTJ 50-59 years, male 25.3
GTEX-YB5K-0126-SM-5IFJ2 40-49 years, female 25.2
GTEX-YF7O-0426-SM-5P9FS 50-59 years, male 25.2
GTEX-1LGOU-0726-SM-E9TIY 20-29 years, female 25.2
GTEX-O5YW-0326-SM-2I5EI 50-59 years, male 25.0
GTEX-QDVJ-0426-SM-2I5FW 50-59 years, male 25.0
GTEX-1C2JI-0526-SM-7EWEQ 50-59 years, male 24.9
GTEX-1R9PO-0326-SM-DTXA1 60-69 years, female 24.9
GTEX-1AYCT-0426-SM-73KVZ 50-59 years, male 24.7
GTEX-1RB15-0326-SM-E6CQB 60-69 years, male 24.7
GTEX-145MN-0626-SM-5QGRH 30-39 years, male 24.6
GTEX-14PK6-0826-SM-5ZZVO 70-79 years, female 24.6
GTEX-Y8E4-0326-SM-4VBRR 40-49 years, male 24.6
GTEX-ZPU1-0626-SM-4YCDM 40-49 years, male 24.6
GTEX-ZVT2-1026-SM-5GU55 50-59 years, female 24.6
GTEX-1HSGN-1126-SM-CJI4G 40-49 years, female 24.5
GTEX-1LH75-0426-SM-E9TJF 50-59 years, female 24.5
GTEX-ZAB5-0226-SM-5CVMH 50-59 years, male 24.4
GTEX-1QPFJ-1026-SM-E6CR6 30-39 years, female 24.3
GTEX-145LV-0326-SM-5Q5BW 50-59 years, male 24.2
GTEX-XPT6-0126-SM-4B65S 20-29 years, male 24.2
GTEX-1I6K7-0626-SM-ARL7Q 40-49 years, male 24.2
GTEX-1B97J-0726-SM-7RHG3 50-59 years, female 24.1
GTEX-1CAMS-1326-SM-79OJR 40-49 years, female 24.0
GTEX-ZYFG-0426-SM-5E43M 60-69 years, female 24.0
GTEX-1IDJU-0726-SM-CNPQ9 60-69 years, female 24.0
GTEX-Y5V6-0826-SM-4VBRU 60-69 years, male 23.9
GTEX-17GQL-0526-SM-72D5N 60-69 years, male 23.8
GTEX-WYJK-1026-SM-3NM8W 50-59 years, male 23.8
GTEX-ZQUD-1526-SM-7IGO2 30-39 years, male 23.8
GTEX-1GMR3-0326-SM-7P8QT 40-49 years, male 23.8
GTEX-14E1K-1026-SM-73KUR 50-59 years, male 23.6
GTEX-WHSE-0926-SM-3NMBS 20-29 years, male 23.6
GTEX-1IKOE-1026-SM-ARZMF 30-39 years, female 23.5
GTEX-1GN1W-0326-SM-9JGHF 50-59 years, female 23.4
GTEX-11LCK-0926-SM-5A5KA 30-39 years, male 23.2
GTEX-PX3G-0326-SM-2I3EO 20-29 years, female 23.2
GTEX-OOBJ-0326-SM-33HBO 60-69 years, male 23.1
GTEX-1IDJI-1026-SM-A96TE 50-59 years, female 23.0
GTEX-1F5PK-0326-SM-9KNUD 50-59 years, male 22.9
GTEX-132AR-2026-SM-5IJG4 50-59 years, female 22.8
GTEX-WEY5-0426-SM-3GIKT 40-49 years, female 22.7
GTEX-OXRL-0326-SM-2I3F2 50-59 years, male 22.6
GTEX-1CB4E-0526-SM-7MXTK 60-69 years, male 22.5
GTEX-1EU9M-1826-SM-7DUGU 60-69 years, male 22.4
GTEX-R53T-0926-SM-3GADH 50-59 years, female 22.3
GTEX-146FR-0626-SM-5RQJ1 60-69 years, female 22.2
GTEX-P4QS-0326-SM-2I3EU 60-69 years, male 22.2
GTEX-RWSA-0626-SM-2XCBD 40-49 years, male 22.2
GTEX-X3Y1-0426-SM-3P5Z4 40-49 years, male 22.2
GTEX-13X6H-0426-SM-5LU4E 50-59 years, female 22.1
GTEX-11DXZ-0626-SM-5GU77 50-59 years, male 21.8
GTEX-PSDG-0926-SM-2I5FP 50-59 years, male 21.8
GTEX-OIZH-0326-SM-2HMKC 50-59 years, male 21.7
GTEX-POMQ-0326-SM-2I5FO 20-29 years, female 21.7
GTEX-WHPG-0826-SM-3NMBF 50-59 years, male 21.6
GTEX-U3ZN-1426-SM-3DB87 30-39 years, female 21.4
GTEX-1AX8Z-5007-SM-AHZ36 60-69 years, male 21.4
GTEX-1HSMQ-0226-SM-C1YQL 50-59 years, male 21.3
GTEX-1QP2A-1126-SM-EVR3H 50-59 years, male 21.0
GTEX-ZF2S-1026-SM-9QEGK 50-59 years, female 21.0
GTEX-18A66-1226-SM-7LT8G 60-69 years, male 20.9
GTEX-13O3O-1526-SM-5KM1C 60-69 years, female 20.8
GTEX-RWS6-0326-SM-2XCAP 60-69 years, female 20.8
GTEX-WFG8-0626-SM-3GILJ 20-29 years, male 20.8
GTEX-Y3I4-0626-SM-4TT7A 50-59 years, male 20.8
GTEX-1CB4J-0326-SM-7PBZO 60-69 years, male 20.7
GTEX-11EM3-0626-SM-5H12Z 20-29 years, female 20.5
GTEX-11ZUS-0226-SM-5FQT8 30-39 years, male 20.3
GTEX-13YAN-1326-SM-5Q5F1 60-69 years, male 20.3
GTEX-1N2EF-2826-SM-E6CQF 60-69 years, male 20.2
GTEX-R55G-0526-SM-2TC5O 40-49 years, female 20.1
GTEX-NFK9-0926-SM-2HMJU 40-49 years, male 20.0
GTEX-1S3DN-0726-SM-E9TIO 50-59 years, male 20.0
GTEX-1QP29-1526-SM-EXUSY 50-59 years, male 19.9
GTEX-1R9JW-0526-SM-EWRNK 30-39 years, female 19.9
GTEX-QEG4-0426-SM-33HC3 30-39 years, male 19.8
GTEX-1LVAN-1726-SM-CNNR1 50-59 years, female 19.7
GTEX-14C38-1426-SM-5RQHZ 50-59 years, male 19.5
GTEX-RU72-0326-SM-2TF5T 50-59 years, female 19.4
GTEX-Y3IK-0826-SM-51MT8 50-59 years, female 19.4
GTEX-132NY-1726-SM-5EGKK 60-69 years, male 19.3
GTEX-1GF9U-0426-SM-7RHHA 40-49 years, female 19.3
GTEX-1399R-1926-SM-5K7X8 30-39 years, male 19.2
GTEX-1CB4I-1626-SM-7RHGV 50-59 years, male 19.2
GTEX-QEG5-0926-SM-2TC64 20-29 years, male 19.0
GTEX-1ICLY-1326-SM-CJI47 50-59 years, male 19.0
GTEX-WQUQ-1426-SM-3MJFD 60-69 years, male 18.9
GTEX-1IKK5-1526-SM-CKZPW 60-69 years, male 18.9
GTEX-WZTO-1326-SM-3NM8X 40-49 years, male 18.8
GTEX-1HBPM-1226-SM-A9SM8 60-69 years, female 18.8
GTEX-1MCC2-0326-SM-EV7AK 30-39 years, female 18.8
GTEX-16YQH-0926-SM-793BC 30-39 years, male 18.7
GTEX-U3ZH-0326-SM-3DB7A 30-39 years, male 18.7
GTEX-1GZ4I-1026-SM-9KNV5 50-59 years, male 18.7
GTEX-14XAO-1126-SM-6EU11 60-69 years, female 18.6
GTEX-13RTJ-0726-SM-5QGQN 60-69 years, male 18.5
GTEX-XQ8I-0126-SM-4BOPL 50-59 years, male 18.5
GTEX-1IDJE-0326-SM-CM2TD 50-59 years, female 18.5
GTEX-XV7Q-0826-SM-4BRV7 40-49 years, female 18.4
GTEX-ZPIC-0826-SM-4WWFJ 40-49 years, female 18.4
GTEX-1GN73-2426-SM-7RHFQ 60-69 years, male 18.3
GTEX-13OVG-0526-SM-5K7YD 60-69 years, male 18.2
GTEX-131XH-0226-SM-5LZVB 50-59 years, male 18.0
GTEX-1AX9K-0526-SM-73KV1 50-59 years, male 18.0
GTEX-14PHX-2126-SM-6EU2U 50-59 years, male 17.9
GTEX-1RQEC-0926-SM-EWROG 60-69 years, male 17.9
GTEX-12WSG-0526-SM-5FQTH 50-59 years, female 17.8
GTEX-1EMGI-1226-SM-793DD 60-69 years, male 17.7
GTEX-1J8EW-0926-SM-A9G33 60-69 years, female 17.6
GTEX-13U4I-0826-SM-5SIBD 40-49 years, female 17.5
GTEX-1R9K4-1326-SM-DTX8G 60-69 years, male 17.5
GTEX-1KD5A-1026-SM-CY8I8 50-59 years, male 17.4
GTEX-P78B-0426-SM-2I5F5 40-49 years, female 17.3
GTEX-1PWST-1026-SM-DTXF2 70-79 years, male 17.1
GTEX-V1D1-0526-SM-4JBGW 50-59 years, male 17.0
GTEX-1R9K5-1326-SM-E6CPR 50-59 years, male 17.0
GTEX-13PVQ-1226-SM-5IJDC 50-59 years, male 16.9
GTEX-1M5QR-1026-SM-DHXK9 40-49 years, male 16.9
GTEX-16BQI-0926-SM-6M485 30-39 years, female 16.8
GTEX-1B996-1126-SM-73KWN 60-69 years, male 16.7
GTEX-13W3W-0426-SM-5SI9D 60-69 years, female 16.4
GTEX-RNOR-0826-SM-2TF5C 50-59 years, female 16.4
GTEX-13N11-0426-SM-5KM3O 50-59 years, female 16.1
GTEX-13X6I-1426-SM-5SI9Z 60-69 years, male 16.1
GTEX-14E6C-0426-SM-5YYA8 40-49 years, male 16.1
GTEX-14C5O-1326-SM-5S2UW 60-69 years, male 15.9
GTEX-1HBPH-0126-SM-CNNQ7 40-49 years, female 15.9
GTEX-146FH-1026-SM-5RQIF 50-59 years, female 15.8
GTEX-XQ3S-0626-SM-4BOOB 20-29 years, male 15.8
GTEX-1H1ZS-1126-SM-9MQLJ 70-79 years, male 15.8
GTEX-1JMQK-0626-SM-D4P2R 60-69 years, male 15.8
GTEX-QEL4-0926-SM-3GAD1 50-59 years, male 15.7
GTEX-1ICG6-0626-SM-ACKWS 70-79 years, female 15.7
GTEX-14JG1-1026-SM-6ETZY 40-49 years, male 15.6
GTEX-1C64O-0826-SM-79OKZ 60-69 years, male 15.5
GTEX-O5YV-0326-SM-2I5H2 60-69 years, female 15.4
GTEX-1HCU6-1026-SM-A9G25 60-69 years, female 15.4
GTEX-1EH9U-0826-SM-7IGPT 60-69 years, male 15.2
GTEX-131XE-0626-SM-5HL98 50-59 years, male 15.1
GTEX-13OVL-0526-SM-5KLZQ 50-59 years, male 15.0
GTEX-17HGU-1026-SM-79OKL 50-59 years, male 15.0
GTEX-1AX9I-1126-SM-7EPHH 60-69 years, male 14.9
GTEX-1O9I2-1126-SM-DTXEA 50-59 years, male 14.9
GTEX-13NZB-0226-SM-5KM1T 30-39 years, male 14.7
GTEX-14A6H-0226-SM-5Q5DX 30-39 years, male 14.5
GTEX-1BAJH-1626-SM-73KUV 70-79 years, male 14.3
GTEX-1JJEA-0826-SM-CL53T 60-69 years, male 14.3
GTEX-X15G-0426-SM-4PQZ6 50-59 years, female 14.2
GTEX-111FC-0826-SM-5GZWO 60-69 years, male 14.0
GTEX-148VJ-1526-SM-5Q5DU 70-79 years, male 14.0
GTEX-1JJ6O-2126-SM-CNNP6 60-69 years, male 13.9
GTEX-1E1VI-1326-SM-7IGQD 50-59 years, male 13.8
GTEX-ZDXO-0726-SM-57WBT 60-69 years, male 13.8
GTEX-1GMRU-1526-SM-9WYT5 50-59 years, male 13.8
GTEX-1JN1M-1026-SM-CNPOS 60-69 years, female 13.8
GTEX-1PPGY-1126-SM-E76OU 60-69 years, male 13.8
GTEX-13OW8-2126-SM-5J1OS 60-69 years, male 13.5
GTEX-1A3MX-1326-SM-72D58 60-69 years, male 13.5
GTEX-1F6I4-0726-SM-7PC2P 60-69 years, male 13.5
GTEX-1HCU7-1326-SM-CNPPW 50-59 years, male 13.5
GTEX-13N1W-1026-SM-5IJC5 70-79 years, male 13.3
GTEX-REY6-1026-SM-2TF4Y 60-69 years, male 13.3
GTEX-UPK5-0326-SM-CYPR4 40-49 years, male 13.3
GTEX-13SLX-1026-SM-5ZZUQ 50-59 years, female 13.2
GTEX-15SHW-1226-SM-6M46C 60-69 years, male 13.2
GTEX-NPJ8-0426-SM-2HMK6 40-49 years, male 13.2
GTEX-R55E-1026-SM-2TC5S 20-29 years, male 13.1
GTEX-16MT8-0926-SM-6M487 60-69 years, female 13.0
GTEX-1I1GQ-1426-SM-B2LWY 50-59 years, male 13.0
GTEX-1H23P-1226-SM-9QEJ2 60-69 years, male 12.9
GTEX-12WSC-1126-SM-5EQ4G 50-59 years, male 12.8
GTEX-P44H-0726-SM-48TBT 40-49 years, male 12.8
GTEX-17F9Y-1326-SM-7MGW9 70-79 years, female 12.8
GTEX-13O1R-1226-SM-5J1NU 60-69 years, male 12.7
GTEX-18465-0926-SM-731AY 50-59 years, male 12.7
GTEX-T6MN-0926-SM-32PLX 50-59 years, male 12.7
GTEX-ZDTS-1326-SM-6LLHE 60-69 years, male 12.7
GTEX-11GS4-0526-SM-5A5KQ 60-69 years, male 12.6
GTEX-1GF9V-1626-SM-7PBXL 60-69 years, male 12.6
GTEX-11O72-1126-SM-5N9E2 40-49 years, male 12.5
GTEX-1A3MW-1326-SM-7189P 60-69 years, female 12.5
GTEX-1F48J-1026-SM-7P8SO 50-59 years, female 12.5
GTEX-1MJIX-0326-SM-EVR42 40-49 years, male 12.5
GTEX-1LC47-1026-SM-D3LAH 60-69 years, male 12.4
GTEX-13FLV-0926-SM-5L3DZ 50-59 years, male 12.3
GTEX-R45C-0926-SM-3GAD4 60-69 years, female 12.3
GTEX-1J8Q2-1226-SM-A9G2W 60-69 years, male 12.3
GTEX-X8HC-1626-SM-46MWE 50-59 years, female 12.1
GTEX-ZAB4-1026-SM-5HL7T 40-49 years, male 12.1
GTEX-11EMC-0726-SM-5EGJO 60-69 years, female 12.0
GTEX-1269C-0826-SM-5N9EM 60-69 years, female 12.0
GTEX-1497J-1226-SM-5Q5BL 60-69 years, male 12.0
GTEX-OIZG-1126-SM-2HMIU 50-59 years, male 12.0
GTEX-ZYW4-0926-SM-59HJS 60-69 years, male 12.0
GTEX-1O97I-0826-SM-E8VNE 60-69 years, male 12.0
GTEX-13O3P-1626-SM-5K7X3 50-59 years, male 11.9
GTEX-1JMLX-1626-SM-ARZMV 50-59 years, male 11.9
GTEX-12WSD-1126-SM-5EGJD 60-69 years, female 11.8
GTEX-12ZZY-1126-SM-5DUWQ 60-69 years, male 11.8
GTEX-P44G-0826-SM-2I5ES 30-39 years, male 11.8
GTEX-15SHU-1126-SM-7KUMB 40-49 years, female 11.7
GTEX-WI4N-0626-SM-3TW8Z 40-49 years, female 11.7
GTEX-WL46-0926-SM-3LK7T 50-59 years, male 11.7
GTEX-1HC8U-0726-SM-ACKXL 40-49 years, female 11.7
GTEX-12ZZZ-1726-SM-59HK5 60-69 years, male 11.6
GTEX-145MO-1126-SM-5NQBX 60-69 years, male 11.4
GTEX-1JMPZ-1426-SM-CJI3C 30-39 years, male 11.4
GTEX-13FTZ-0226-SM-5K7X6 60-69 years, male 11.2
GTEX-17MF6-0726-SM-7LT8E 40-49 years, male 11.2
GTEX-1CB4G-0826-SM-7DUGF 60-69 years, male 11.2
GTEX-13OW6-1126-SM-5L3HL 50-59 years, male 11.0
GTEX-1I1GP-0826-SM-A96SD 50-59 years, male 11.0
GTEX-XBEC-1326-SM-4AT69 50-59 years, male 10.9
GTEX-1I1GV-1326-SM-A96SE 60-69 years, male 10.9
GTEX-1212Z-0626-SM-5FQTB 60-69 years, male 10.8
GTEX-15DDE-1126-SM-6LLHN 50-59 years, female 10.7
GTEX-15RJE-0626-SM-7KUKR 40-49 years, male 10.7
GTEX-RTLS-0826-SM-2TF5Q 60-69 years, female 10.7
GTEX-SIU8-0826-SM-2XCDQ 50-59 years, male 10.7
GTEX-11TUW-1026-SM-5GU7D 60-69 years, male 10.5
GTEX-1B8SG-0826-SM-7EWF7 50-59 years, male 10.5
GTEX-T2IS-0426-SM-32QPE 20-29 years, female 10.5
GTEX-15ER7-1726-SM-6PAMX 20-29 years, female 10.4
GTEX-N7MS-0826-SM-2HML4 60-69 years, male 10.3
GTEX-11ZVC-0426-SM-5CVLD 50-59 years, female 10.2
GTEX-18A6Q-1626-SM-7KFTA 60-69 years, male 10.2
GTEX-1B932-1026-SM-793CL 40-49 years, female 10.2
GTEX-1POEN-0626-SM-EVR4B 30-39 years, female 10.2
GTEX-13CF2-0426-SM-5KM1H 60-69 years, male 10.1
GTEX-1I1HK-0726-SM-B2LY4 60-69 years, male 10.1
GTEX-WRHU-1226-SM-4E3IJ 50-59 years, female 10.0
GTEX-WWYW-1326-SM-3NB2S 50-59 years, female 9.9
GTEX-YFC4-0526-SM-5ZZVI 40-49 years, female 9.9
GTEX-1313W-1426-SM-5KLZU 50-59 years, female 9.8
GTEX-16NPX-0926-SM-7KUEZ 50-59 years, male 9.8
GTEX-ZYFC-1126-SM-5E44W 50-59 years, male 9.8
GTEX-1GN1V-0826-SM-9KNU6 60-69 years, male 9.7
GTEX-148VI-0326-SM-5RQK7 60-69 years, female 9.6
GTEX-1314G-0126-SM-5LZUL 30-39 years, male 9.5
GTEX-13OW5-1126-SM-5J1NR 60-69 years, male 9.5
GTEX-14C39-0926-SM-5TDDV 40-49 years, male 9.5
GTEX-1JN6P-1126-SM-CKZON 60-69 years, male 9.4
GTEX-1A8G6-1626-SM-7MGWO 60-69 years, male 9.3
GTEX-1HSMO-1226-SM-CL548 60-69 years, male 9.3
GTEX-PVOW-0426-SM-5MR5R 40-49 years, male 9.2
GTEX-S33H-0526-SM-COH1W 30-39 years, male 9.2
GTEX-13112-0426-SM-5PNVC 50-59 years, male 9.1
GTEX-Y5V5-0626-SM-4VBPX 60-69 years, female 9.1
GTEX-11ONC-0126-SM-5PNW6 60-69 years, male 9.0
GTEX-RN64-0826-SM-2TC62 50-59 years, male 9.0
GTEX-1EN7A-0726-SM-7PBXT 40-49 years, male 9.0
GTEX-1LVA9-0926-SM-EVR5G 50-59 years, male 8.9
GTEX-14A5I-1226-SM-5NQBW 50-59 years, female 8.8
GTEX-14DAQ-1126-SM-664MT 60-69 years, female 8.8
GTEX-17JCI-1126-SM-7IGMM 60-69 years, female 8.8
GTEX-13X6K-1826-SM-5O9CR 60-69 years, female 8.7
GTEX-14BIN-2226-SM-5YYA1 50-59 years, female 8.7
GTEX-OXRO-2026-SM-2YUMZ 60-69 years, female 8.7
GTEX-1LB8K-1026-SM-DHXJJ 50-59 years, male 8.7
GTEX-12584-0926-SM-5FQTN 40-49 years, male 8.5
GTEX-11DXY-0826-SM-5EGGR 60-69 years, male 8.4
GTEX-14E7W-1226-SM-5RQIU 70-79 years, male 8.3
GTEX-ZF3C-1226-SM-4WWCB 50-59 years, female 8.3
GTEX-147JS-1526-SM-5ZZWF 60-69 years, male 8.2
GTEX-1B8L1-0526-SM-79ONX 60-69 years, male 8.2
GTEX-1RAZS-0826-SM-E76QP 50-59 years, male 8.2
GTEX-1LG7Y-1226-SM-CXZKD 50-59 years, male 8.1
GTEX-1IL2U-1326-SM-A9G2O 60-69 years, male 8.0
GTEX-1F6IF-2526-SM-7P8TV 60-69 years, male 7.9
GTEX-1IKJJ-0826-SM-A96SP 60-69 years, male 7.9
GTEX-14E6D-0926-SM-5S2QV 50-59 years, male 7.8
GTEX-1ICLZ-1026-SM-A9SLF 60-69 years, male 7.8
GTEX-1KD4Q-0726-SM-DIPGE 40-49 years, male 7.8
GTEX-YJ8O-0926-SM-EAZ2Z 40-49 years, female 7.8
GTEX-147F4-1226-SM-5NQAY 50-59 years, male 7.7
GTEX-14PJ2-1026-SM-6EU1M 50-59 years, male 7.7
GTEX-ZYT6-1726-SM-5E44P 30-39 years, male 7.7
GTEX-1PPH7-2026-SM-E9J3N 40-49 years, male 7.7
GTEX-117YW-0326-SM-5N9CY 50-59 years, male 7.6
GTEX-15DYW-1126-SM-6LPK5 60-69 years, female 7.6
GTEX-1H3NZ-1126-SM-9WYT9 60-69 years, male 7.6
GTEX-QVJO-1926-SM-2S1QZ 60-69 years, female 7.5
GTEX-WK11-0826-SM-EZ6LH 50-59 years, male 7.5
GTEX-ZAJG-0826-SM-5PNVA 50-59 years, female 7.4
GTEX-17HHY-1426-SM-7EWDQ 50-59 years, male 7.2
GTEX-1NV8Z-1526-SM-DTX8X 60-69 years, male 7.2
GTEX-1H1CY-0326-SM-9QEIZ 60-69 years, female 7.1
GTEX-1K9T9-1126-SM-D3L9E 50-59 years, female 7.1
GTEX-14JIY-1126-SM-6EU28 60-69 years, male 7.0
GTEX-N7MT-1326-SM-2I3FV 60-69 years, female 7.0
GTEX-1HT8W-1726-SM-CNNQB 30-39 years, male 7.0
GTEX-1HCVE-1126-SM-9WPPG 50-59 years, male 6.9
GTEX-15CHQ-1526-SM-69LPW 60-69 years, male 6.8
GTEX-13FHP-1026-SM-5K7Y2 50-59 years, male 6.7
GTEX-1EWIQ-1426-SM-7IGOS 70-79 years, female 6.7
GTEX-1EX96-2526-SM-7RHGW 50-59 years, male 6.7
GTEX-1JMOU-0226-SM-CNNPD 60-69 years, female 6.7
GTEX-1C6VQ-1126-SM-7EWET 50-59 years, male 6.4
GTEX-13JVG-1326-SM-5N9F8 60-69 years, male 6.3
GTEX-X261-1426-SM-4PQZ1 50-59 years, male 6.3
GTEX-1EKGG-1126-SM-7MGXB 60-69 years, male 6.3
GTEX-1GTWX-1026-SM-7P8QW 60-69 years, male 6.2
GTEX-11GSP-1326-SM-5A5KY 60-69 years, female 6.1
GTEX-12ZZW-1026-SM-5GCMM 50-59 years, male 6.1
GTEX-17HII-1326-SM-7IGOB 50-59 years, male 6.1
GTEX-14PJM-1126-SM-6LLHK 50-59 years, female 6.0
GTEX-1IDJH-1026-SM-E9TKH 70-79 years, male 6.0
GTEX-ZUA1-0826-SM-4YCDL 40-49 years, male 5.9
GTEX-13NYB-0226-SM-5N9G4 40-49 years, male 5.7
GTEX-1JJE9-1426-SM-ARL8P 70-79 years, male 5.4
GTEX-1GN2E-1326-SM-9KNVG 60-69 years, male 5.0
GTEX-1399T-0426-SM-5PNVJ 60-69 years, male 4.7
GTEX-14BIL-1126-SM-79OMC 50-59 years, male 4.6
Show allShow less

HEART MUSCLE - FANTOM5 CAGEi

RNA expression in human tissues obtained through Cap Analysis of Gene Expression (CAGE) generated by the FANTOM5 project are reported as Scaled Tags Per Million.

Max subtype Scaled Tags Per Millioni

Max subtype Scaled Tags Per Million is the value for the subtype with the largest average Scaled Tags Per Million across the subtype samples.

86.7
FANTOM5 sample id Sample description Scaled Tags Per Million
Heart
Scaled Tags Per Million: 69.2
FF:10016-101C7 70,73,74 years, mixed 69.2
Left atrium
Scaled Tags Per Million: 52.3
FF:10079-102A7 40 years, male 52.3
Left ventricle
Scaled Tags Per Million: 86.7
FF:10078-102A6 73 years, female 86.7

Contact

  • NEWS ARTICLES
  • PRESS ROOM

The Project

  • INTRODUCTION
  • ORGANIZATION
  • PUBLICATIONS

The Human Protein Atlas

  • DOWNLOADABLE DATA
  • LICENCE & CITATION
  • HELP & FAQ
The Human Protein Atlas project is funded
by the Knut & Alice Wallenberg Foundation.


contact@proteinatlas.org