We use cookies to enhance the usability of our website. If you continue, we'll assume that you are happy to receive all cookies. More information. Don't show this again.
BCL2L13
HPA
RESOURCES
  • TISSUE
  • BRAIN
  • SINGLE CELL
  • SUBCELLULAR
  • CANCER
  • BLOOD
  • CELL LINE
  • STRUCTURE & INTERACTION
ABOUT
  • INTRODUCTION
  • HISTORY
  • ORGANIZATION
  • PUBLICATIONS
  • ANTIBODY SUBMISSION
  • ANTIBODY AVAILABILITY
  • ACKNOWLEDGMENTS
  • CONTACT
NEWS
  • NEWS ARTICLES
  • PRESS ROOM
LEARN
  • DICTIONARY
  • PROTEIN CLASSES
  • PROTEIN EVIDENCE
  • METHODS
  • EDUCATIONAL VIDEOS
DATA
  • DOWNLOADABLE DATA
  • PUBLICATION DATA
  • RELEASE HISTORY
HELP
  • ANTIBODY VALIDATION
  • ASSAYS & ANNOTATION
  • DISCLAIMER
  • HELP & FAQ
  • PRIVACY STATEMENT
  • LICENCE & CITATION
Fields »
Search result

Field
Term
Gene name
Class
Subclass
Class
Keyword
Chromosome
External id
Tissue
Cell type
Expression
Antibody panel
Tissue
Main location
Patient ID
Annotation
Tissue
Category
Tau score
Cluster
Reliability
Brain region
Category
Tau score
Brain region
Category
Tau score
Brain region
Category
Tau score
Cluster
Reliability
Tissue
Cell type
Enrichment
Cell type
Category
Tau score
Cell type
Category
Tau score
Cell type
Category
Tau score
Cell lineage
Category
Tau score
Cluster
Cluster
Location
Searches
Location
Cell line
Class
Type
Phase
Reliability
Cancer
Prognosis
Cancer
Category
Cancer
Category
Tau score
Cluster
Variants
Interacting gene (ensg_id)
Type
Number of interactions
Pathway
Category
Score
Score
Score
Validation
Validation
Validation
Validation
Antibodies
Data type
Column


  • SUMMARY

  • TISSUE

  • BRAIN

  • SINGLE CELL

  • SUBCELL

  • CANCER

  • BLOOD

  • CELL LINE

  • STRUCT & INT

  • BCL2L13
TISSUE PRIMARY DATA ESOPHAGUS Show tissue menu
ADIPOSE TISSUE ADRENAL GLAND AMYGDALA APPENDIX BASAL GANGLIA BONE MARROW BREAST BRONCHUS CEREBELLUM CEREBRAL CORTEX CERVIX CHOROID PLEXUS COLON DUODENUM
ENDOMETRIUM EPIDIDYMIS ESOPHAGUS FALLOPIAN TUBE GALLBLADDER HEART MUSCLE HIPPOCAMPAL FORMATION HYPOTHALAMUS KIDNEY LIVER LUNG LYMPH NODE MIDBRAIN NASOPHARYNX
ORAL MUCOSA OVARY PANCREAS PARATHYROID GLAND PITUITARY GLAND PLACENTA PROSTATE RECTUM RETINA SALIVARY GLAND SEMINAL VESICLE SKELETAL MUSCLE SKIN SMALL INTESTINE
SMOOTH MUSCLE SOFT TISSUE SPINAL CORD SPLEEN STOMACH TESTIS THYMUS THYROID GLAND TONGUE TONSIL URINARY BLADDER VAGINA
ANTIBODIES
AND
VALIDATION
Dictionary
Esophagus
Tissue proteome
Esophagus
ESOPHAGUS - Expression summary
Protein expression
Esophagusi

On the top, protein expression in current human tissue, based on all annotated cell types, is reported with the units not detected (n), low (l), medium (m) and high (h). Underneath, protein expression in each annotated cell type are reported using the same units.

Protein expression data is based on knowledge-based annotation. For genes where more than one antibody has been used, a collective score is set.

If knowledge-based annotation could not be performed for a gene, no data is displayed here. View antibody staining data further down this page.

h
m
l
n
Squamous epithelial cells: Low
RNA expressioni

A summary of mRNA expression data available for current tissue based on several datasets. The mRNA expression levels in human tissues are based on RNA-seq data generated by the Human Protein Atlas (HPA), Genotype-Tissue Expression (GTEx) portal and CAGE data generated by the FANTOM5 consortium. Consensus normalized expression levels for human tissues was created by combining the data from HPA and GTEx datasets.

The mRNA expression levels in pig are based on RNA-seq data generated by the Human Protein Atlas (HPA), and for mouse, HPA data and in situ hybridization generated by the Allen brain atlas are reported.

Scroll down to view mRNA expression data in more detail.
Consensus:12.0 nTPM
HPA:9.8 nTPM
GTEx:12.0 nTPM
FANTOM5:36.4 Scaled Tags Per Million

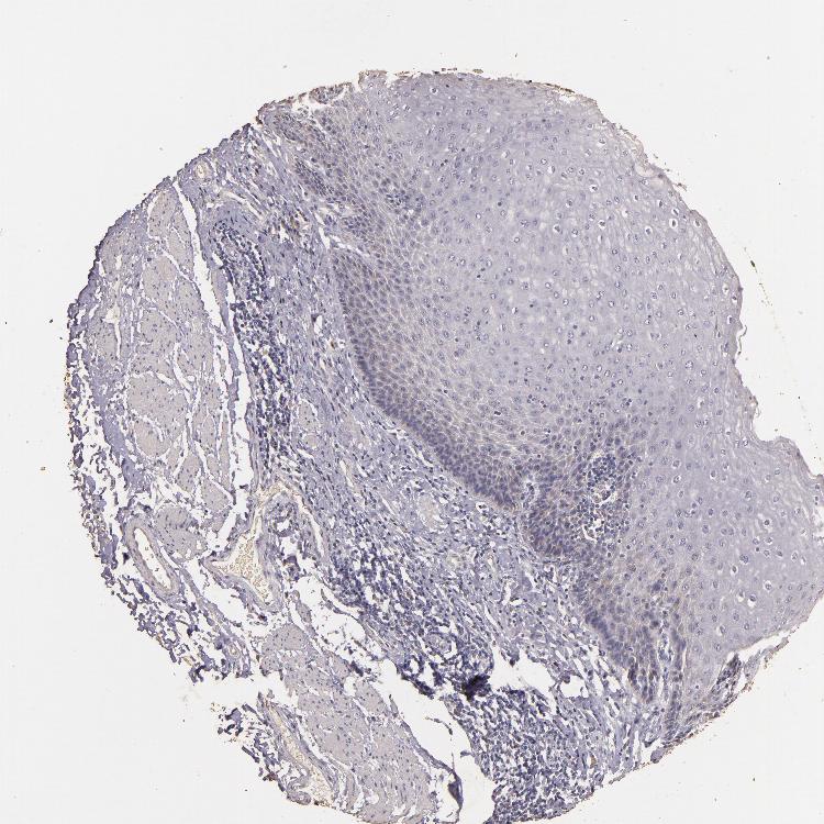
ESOPHAGUS - Antibody stainingi

Antibody staining in the annotated cell types in the current human tissue is reported as not detected, low, medium, or high, based on conventional immunohistochemistry profiling in selected tissues. This score is based on the combination of the staining intensity and fraction of stained cells.

Each image is clickable and will lead to virtual microscopy that enables deeper exploration of all samples and also displays staining intensity scores, fraction scores and subcellular localization as well as patient and tissue information for each sample.

Antibody HPA030994Antibody CAB002052
Squamous epithelial cells LowNot detected




ESOPHAGUS - HPA RNA-seqi

The RNA-seq details section shows detailed information about the individual samples used for the transcript profiling and results of the RNA-seq analysis.

Information about each individual sample is listed below, including gender, age, a tissue section image and estimated fractions of cell types. nTPM (normalized transcripts per million) values give a quantification of the gene abundance which is comparable between different genes and samples.
Average nTPMi

Max subtype nTPM is the value for the subtype with the largest average nTPM across the subtype samples.

9.8
overview
Female, age 70
Esophagus sample 130
nTPM: 9.6
Cell types%
Squamous epithelial cells:
35

Smooth muscle cells:
15

Skeletal muscle cells:
5

Other cell types:
45

overview
Male, age 38
Esophagus sample 131
nTPM: 9.9
Cell types%
Squamous epithelial cells:
60

Smooth muscle cells:
20

Other cell types:
20

overview
Male, age 76
Esophagus sample 132
nTPM: 10
Cell types%
Squamous epithelial cells:
45

Smooth muscle cells:
15

Other cell types:
40


ESOPHAGUS - GTEx RNA-seqi

RNA-Seq data generated by the Genotype-Tissue Expression (GTEx) project from human tissues is reported as mean nTPM. More information can be found on the GTEx portal.

Distribution across the dataset is visualized with box plots, shown as median and 25th and 75th percentiles. Points are displayed as outliers if they are above or below 1.5 times the interquartile range. nTPM values of the individual samples are presented next to the box plot.
Max subtype nTPMi

Max subtype nTPM is the value for the subtype with the largest average nTPM across the subtype samples.

12.0
GTEx sample id Sample description nTPM
Esophagus - Mucosa
Average nTPM: 12.0
Samples: 555

Max nTPM: 21.0
Min nTPM: 4.5
Std nTPM: 2.5
Median nTPM: 12.1
GTEX-18QFQ-1026-SM-7LG6B 30-39 years, male 21.0
GTEX-1AYD5-0926-SM-793AF 50-59 years, male 19.3
GTEX-13O1R-1326-SM-5IJF5 60-69 years, male 19.2
GTEX-14C38-2126-SM-5RQJO 50-59 years, male 18.9
GTEX-Y114-0926-SM-4TT7J 50-59 years, female 18.8
GTEX-Q2AH-0826-SM-48TZN 40-49 years, male 18.3
GTEX-Y5LM-1026-SM-4VDSQ 40-49 years, female 18.3
GTEX-VJYA-0726-SM-4KL1T 60-69 years, male 17.9
GTEX-X4XY-1726-SM-46MVO 60-69 years, male 17.8
GTEX-WHSE-1526-SM-4M1XH 20-29 years, male 17.7
GTEX-1HCU6-1326-SM-A96TZ 60-69 years, female 17.5
GTEX-1S83E-0826-SM-EV7B7 40-49 years, male 17.3
GTEX-16BQI-1526-SM-6LLIE 30-39 years, female 16.8
GTEX-OIZI-1426-SM-3NB1T 40-49 years, male 16.8
GTEX-WHSB-0426-SM-4M1XI 50-59 years, male 16.6
GTEX-XXEK-0326-SM-4BRVV 50-59 years, male 16.3
GTEX-ZDYS-0826-SM-4WWCR 50-59 years, male 16.3
GTEX-1J1R8-0326-SM-AHZ3D 40-49 years, male 16.3
GTEX-1L5NE-1426-SM-DHXKV 50-59 years, male 16.3
GTEX-13CF3-1626-SM-5IFG9 60-69 years, female 16.2
GTEX-1AMFI-0226-SM-731D5 50-59 years, female 16.2
GTEX-1JKYN-1526-SM-CGQGA 30-39 years, male 16.2
GTEX-WXYG-1226-SM-4ONCJ 50-59 years, female 16.1
GTEX-1MJIX-0826-SM-DTXEO 40-49 years, male 16.1
GTEX-1QPFJ-1226-SM-EAZ3M 30-39 years, female 16.1
GTEX-131XG-1026-SM-5GCMX 50-59 years, female 16.0
GTEX-15EOM-5013-SM-7MKF9 20-29 years, female 16.0
GTEX-17F98-1726-SM-7938O 40-49 years, female 16.0
GTEX-T8EM-0526-SM-4DM64 40-49 years, male 16.0
GTEX-1K2DA-0626-SM-CGQGO 50-59 years, male 16.0
GTEX-12C56-1226-SM-5FQSU 20-29 years, male 15.9
GTEX-15SB6-0726-SM-6M48F 50-59 years, female 15.9
GTEX-1A3MV-1326-SM-7LG6C 30-39 years, male 15.9
GTEX-1CB4E-1026-SM-793AB 60-69 years, male 15.9
GTEX-PWN1-0626-SM-48TDT 40-49 years, female 15.9
GTEX-1RAZR-1226-SM-E6CRD 40-49 years, male 15.9
GTEX-13O21-0626-SM-5IJDI 50-59 years, male 15.8
GTEX-ZTPG-1626-SM-5DUX2 20-29 years, female 15.8
GTEX-16AAH-0726-SM-793A9 50-59 years, male 15.7
GTEX-16NGA-1426-SM-718AC 40-49 years, female 15.7
GTEX-WFJO-0826-SM-4LVM5 30-39 years, male 15.7
GTEX-1MA7W-0426-SM-E9TJ5 20-29 years, female 15.7
GTEX-183FY-1526-SM-7IGOW 20-29 years, male 15.6
GTEX-1HKZK-1426-SM-A96U1 40-49 years, male 15.6
GTEX-OIZH-0626-SM-3NB1L 50-59 years, male 15.5
GTEX-1QP2A-1926-SM-EXOJ9 50-59 years, male 15.5
GTEX-YEC4-1026-SM-9WG7N 40-49 years, male 15.5
GTEX-11P81-0826-SM-5P9GR 30-39 years, female 15.4
GTEX-1AX9J-1826-SM-731FM 60-69 years, male 15.4
GTEX-1MCQQ-1026-SM-EV7AX 60-69 years, male 15.4
GTEX-1B8KE-1826-SM-731FD 50-59 years, male 15.3
GTEX-1B97I-0926-SM-731DZ 40-49 years, male 15.3
GTEX-S4P3-0426-SM-4AD56 50-59 years, female 15.3
GTEX-1IDJD-1626-SM-C1YRC 30-39 years, male 15.3
GTEX-14DAR-0826-SM-73KYJ 50-59 years, male 15.2
GTEX-14H4A-1626-SM-5SI69 40-49 years, female 15.2
GTEX-14ICK-2026-SM-6AJB2 40-49 years, male 15.2
GTEX-OOBK-0625-SM-3LK5P 40-49 years, male 15.2
GTEX-Y8LW-0726-SM-5IFI1 50-59 years, female 15.2
GTEX-145MO-1426-SM-DTX9W 60-69 years, male 15.2
GTEX-1KANB-1826-SM-DHXJU 50-59 years, male 15.2
GTEX-QCQG-0626-SM-48U21 50-59 years, female 15.1
GTEX-RWS6-0826-SM-47JXF 60-69 years, female 15.1
GTEX-11P7K-1326-SM-5BC5G 30-39 years, male 15.0
GTEX-1F5PL-1726-SM-9QEGL 40-49 years, female 15.0
GTEX-1QCLZ-1626-SM-E9U5R 60-69 years, female 15.0
GTEX-11DXZ-1226-SM-5H11L 50-59 years, male 14.9
GTEX-WYJK-1926-SM-4ONDP 50-59 years, male 14.9
GTEX-1JMPY-0826-SM-AHZ4A 30-39 years, male 14.9
GTEX-1AMEY-0226-SM-7189Q 30-39 years, female 14.8
GTEX-14PJ3-0626-SM-6UGC5 50-59 years, male 14.8
GTEX-13QBU-1026-SM-5LU3R 40-49 years, female 14.7
GTEX-1I4MK-0426-SM-B2LWQ 50-59 years, female 14.7
GTEX-1NUQO-1126-SM-DTX98 20-29 years, female 14.7
GTEX-ZF29-1326-SM-DNZYV 60-69 years, female 14.7
GTEX-13RTK-0526-SM-5S2QF 20-29 years, male 14.6
GTEX-14PKV-1726-SM-6871U 20-29 years, female 14.6
GTEX-1C2JI-1126-SM-731FH 50-59 years, male 14.6
GTEX-X3Y1-1326-SM-4PQZB 40-49 years, male 14.6
GTEX-1H1DG-1226-SM-9JGH3 70-79 years, male 14.6
GTEX-11EM3-0826-SM-5N9CC 20-29 years, female 14.5
GTEX-17JCI-1226-SM-793D9 60-69 years, female 14.5
GTEX-13X6H-1326-SM-5LU42 50-59 years, female 14.4
GTEX-144GN-0626-SM-5O9B2 50-59 years, male 14.4
GTEX-14ICL-0526-SM-5RQJ6 30-39 years, male 14.4
GTEX-TMMY-1126-SM-4DXSX 40-49 years, female 14.4
GTEX-WFG7-1126-SM-4LMK3 20-29 years, male 14.4
GTEX-1MCYP-1026-SM-DPRYB 20-29 years, female 14.4
GTEX-1OJC3-0826-SM-DPRYU 20-29 years, male 14.4
GTEX-1QP67-0726-SM-DPRY1 40-49 years, female 14.4
GTEX-12WSK-1126-SM-5LZV8 40-49 years, female 14.3
GTEX-14JG6-0926-SM-6871Y 30-39 years, female 14.3
GTEX-YB5E-0926-SM-4WWDQ 40-49 years, male 14.3
GTEX-1H23P-1426-SM-9JGH5 60-69 years, male 14.3
GTEX-1OKEX-1326-SM-E9J2U 60-69 years, male 14.3
GTEX-OIZF-0626-SM-7MKHG 60-69 years, male 14.3
GTEX-13111-0826-SM-5LZV3 50-59 years, male 14.2
GTEX-14PJ4-1526-SM-664OA 60-69 years, male 14.2
GTEX-18D9A-0526-SM-7KFSW 30-39 years, female 14.2
GTEX-SE5C-1226-SM-4BRWV 40-49 years, female 14.2
GTEX-X4EO-1226-SM-4QARR 60-69 years, female 14.2
GTEX-1KXAM-0826-SM-CXZK9 60-69 years, male 14.2
GTEX-1NSGN-2026-SM-DPRYM 50-59 years, male 14.2
GTEX-11I78-1526-SM-5A5K7 50-59 years, female 14.1
GTEX-13FTX-0526-SM-5IFGS 20-29 years, female 14.1
GTEX-13PL7-0226-SM-731DT 60-69 years, female 14.1
GTEX-14B4R-0326-SM-5TDDP 30-39 years, male 14.1
GTEX-18A7A-2326-SM-7KFRH 50-59 years, female 14.1
GTEX-OIZG-1026-SM-3LK5X 50-59 years, male 14.1
GTEX-Y9LG-0626-SM-4WWDH 30-39 years, male 14.1
GTEX-1GMR3-1526-SM-9JGGL 40-49 years, male 14.1
GTEX-1LGOU-0526-SM-D3LAO 20-29 years, female 14.1
GTEX-139T6-0626-SM-5IFF9 50-59 years, male 14.0
GTEX-13OVI-2626-SM-5KM4T 60-69 years, female 14.0
GTEX-1AX9I-1426-SM-7DHM8 60-69 years, male 14.0
GTEX-RNOR-1226-SM-48FDQ 50-59 years, female 14.0
GTEX-WEY5-0926-SM-4LMI4 40-49 years, female 14.0
GTEX-ZGAY-1126-SM-4WWBS 40-49 years, female 14.0
GTEX-1HSMQ-2026-SM-B2LY1 50-59 years, male 14.0
GTEX-1IDJF-1226-SM-C1YPX 20-29 years, male 14.0
GTEX-U3ZM-0526-SM-4DXTB 40-49 years, male 13.9
GTEX-Y3I4-1226-SM-4TT8N 50-59 years, male 13.9
GTEX-1IKK5-1326-SM-AHZ2X 60-69 years, male 13.9
GTEX-1PIGE-0926-SM-E9U5Z 20-29 years, male 13.9
GTEX-O5YV-1026-SM-3LK72 60-69 years, female 13.8
GTEX-Y8E4-1726-SM-5LU9G 40-49 years, male 13.8
GTEX-1AX9K-1126-SM-731DQ 50-59 years, male 13.7
GTEX-1B933-2026-SM-7EWFC 50-59 years, female 13.7
GTEX-PWCY-0726-SM-48TCS 20-29 years, female 13.7
GTEX-XGQ4-1526-SM-4AT6H 50-59 years, male 13.7
GTEX-XYKS-1526-SM-4BRUP 60-69 years, female 13.7
GTEX-YEC3-2526-SM-CXZIH 50-59 years, male 13.7
GTEX-1122O-1726-SM-5GICM 60-69 years, female 13.6
GTEX-13FTW-1626-SM-5KM4N 40-49 years, male 13.6
GTEX-13PVR-1826-SM-5Q5CC 60-69 years, female 13.6
GTEX-ZLV1-0526-SM-4WWD4 60-69 years, female 13.6
GTEX-ZT9W-1326-SM-51MTB 50-59 years, male 13.6
GTEX-1GF9U-0826-SM-7MXTZ 40-49 years, female 13.6
GTEX-1QP9N-0926-SM-E9U5S 30-39 years, male 13.6
GTEX-111YS-0926-SM-5EGGI 60-69 years, male 13.5
GTEX-15EU6-1626-SM-6LPKF 50-59 years, male 13.5
GTEX-PLZ6-0526-SM-3P61C 30-39 years, male 13.5
GTEX-QESD-0826-SM-47J4G 20-29 years, male 13.5
GTEX-R55E-1326-SM-48FCR 20-29 years, male 13.5
GTEX-S33H-0826-SM-4AD5Y 30-39 years, male 13.5
GTEX-WH7G-0926-SM-4LVMJ 40-49 years, male 13.5
GTEX-YB5K-0826-SM-5YYB7 40-49 years, female 13.5
GTEX-ZDTT-1326-SM-4WKFH 60-69 years, male 13.5
GTEX-1CAMQ-2726-SM-7MKGD 40-49 years, male 13.5
GTEX-117YW-1926-SM-5H121 50-59 years, male 13.4
GTEX-11TUW-1326-SM-5EQKV 60-69 years, male 13.4
GTEX-169BO-0526-SM-793AK 50-59 years, male 13.4
GTEX-P4PQ-0626-SM-3NMCU 60-69 years, male 13.4
GTEX-R55G-1026-SM-48FDI 40-49 years, female 13.4
GTEX-RU1J-0326-SM-46MUM 20-29 years, female 13.4
GTEX-SUCS-0726-SM-4DM7J 70-79 years, male 13.4
GTEX-XBED-1026-SM-48TCB 60-69 years, male 13.4
GTEX-XBEW-1326-SM-4AT63 40-49 years, male 13.4
GTEX-ZF3C-1626-SM-4WWB4 50-59 years, female 13.4
GTEX-1HBPI-0626-SM-9WPP4 50-59 years, male 13.4
GTEX-1RAZQ-1726-SM-EAZ4T 30-39 years, male 13.4
GTEX-11ONC-1526-SM-5GU6S 60-69 years, male 13.3
GTEX-15ER7-2126-SM-7939E 20-29 years, female 13.3
GTEX-1C475-0926-SM-7MKFI 40-49 years, female 13.3
GTEX-1CB4G-1326-SM-7MKFP 60-69 years, male 13.3
GTEX-QDVN-1026-SM-48TZA 50-59 years, male 13.3
GTEX-QEG5-1426-SM-447AS 20-29 years, male 13.3
GTEX-S4Q7-0626-SM-4AD5M 20-29 years, male 13.3
GTEX-Y5V5-1626-SM-4VDSG 60-69 years, female 13.3
GTEX-1LG7Z-0926-SM-CXKYK 30-39 years, male 13.3
GTEX-1RAZA-1326-SM-DPS12 20-29 years, male 13.3
GTEX-ZLFU-1126-SM-DO11K 40-49 years, male 13.3
GTEX-1399S-1326-SM-5P9GH 30-39 years, female 13.2
GTEX-139YR-1726-SM-5IFFK 50-59 years, male 13.2
GTEX-148VJ-1026-SM-5LU98 70-79 years, male 13.2
GTEX-ZG7Y-1126-SM-4WWEZ 50-59 years, male 13.2
GTEX-ZTSS-0626-SM-59867 40-49 years, male 13.2
GTEX-1HB9E-1526-SM-D3LA6 50-59 years, male 13.2
GTEX-15RJE-0926-SM-6LLHZ 40-49 years, male 13.1
GTEX-1F75I-1726-SM-7MKGW 40-49 years, male 13.1
GTEX-RN64-1026-SM-48FDX 50-59 years, male 13.1
GTEX-Z9EW-0526-SM-5HL8S 40-49 years, male 13.1
GTEX-1R7EU-0826-SM-DPRZL 60-69 years, male 13.1
GTEX-12KS4-0926-SM-5BC5S 30-39 years, male 13.0
GTEX-12WSL-1526-SM-5GCP8 50-59 years, male 13.0
GTEX-13NYB-0926-SM-5IFFA 40-49 years, male 13.0
GTEX-17EUY-1426-SM-7938X 20-29 years, male 13.0
GTEX-18A67-2426-SM-7LT95 50-59 years, male 13.0
GTEX-1EMGI-1926-SM-7938Y 60-69 years, male 13.0
GTEX-Y3IK-1126-SM-51MSV 50-59 years, female 13.0
GTEX-ZEX8-1426-SM-4WKHQ 50-59 years, male 13.0
GTEX-ZQUD-0426-SM-57WFR 30-39 years, male 13.0
GTEX-1J8QM-1926-SM-AHZ3Z 60-69 years, female 13.0
GTEX-15ETS-1926-SM-7KUN5 40-49 years, female 12.9
GTEX-RUSQ-0826-SM-47JWW 50-59 years, male 12.9
GTEX-S7SF-0926-SM-4AD4M 20-29 years, female 12.9
GTEX-XUZC-0426-SM-4BOPE 30-39 years, female 12.9
GTEX-1B97J-1026-SM-7MXTE 50-59 years, female 12.9
GTEX-1I1GQ-1726-SM-B2LWZ 50-59 years, male 12.9
GTEX-1I1GU-1426-SM-B2LX3 40-49 years, male 12.9
GTEX-11EQ9-0726-SM-5A5K2 30-39 years, male 12.8
GTEX-145LT-1126-SM-5LUA1 40-49 years, male 12.8
GTEX-14E6E-0726-SM-5S2R3 30-39 years, male 12.8
GTEX-14PJN-0526-SM-68724 30-39 years, male 12.8
GTEX-S95S-0426-SM-4B64I 60-69 years, male 12.8
GTEX-TML8-1526-SM-4DXUX 40-49 years, female 12.8
GTEX-WYVS-0726-SM-4ONDO 40-49 years, female 12.8
GTEX-1JK1U-1726-SM-CNNPM 60-69 years, male 12.8
GTEX-1R9K5-1526-SM-DPRZA 50-59 years, male 12.8
GTEX-11TT1-0526-SM-5P9JO 20-29 years, male 12.7
GTEX-131XF-0826-SM-5GICG 60-69 years, male 12.7
GTEX-13OVG-0626-SM-5IFEP 60-69 years, male 12.7
GTEX-15DCE-1326-SM-6LPJL 20-29 years, male 12.7
GTEX-17HHE-0926-SM-7938K 50-59 years, male 12.7
GTEX-NFK9-1126-SM-3LK78 40-49 years, male 12.7
GTEX-S341-0526-SM-4AD5U 40-49 years, female 12.7
GTEX-SNMC-0526-SM-4DM69 20-29 years, male 12.7
GTEX-Y5V6-1026-SM-4VBS2 60-69 years, male 12.7
GTEX-1LVAM-1126-SM-DHXKP 50-59 years, female 12.7
GTEX-1211K-0926-SM-5FQTL 60-69 years, female 12.6
GTEX-12BJ1-1626-SM-5HL8Y 60-69 years, male 12.6
GTEX-1399R-0826-SM-5IJEL 30-39 years, male 12.6
GTEX-S32W-0926-SM-4AD5X 50-59 years, female 12.6
GTEX-T5JW-1326-SM-4DM5G 20-29 years, female 12.6
GTEX-1R9PM-0926-SM-DPRYA 20-29 years, male 12.6
GTEX-147F3-0826-SM-5NQA7 50-59 years, female 12.5
GTEX-14PJM-1526-SM-664NY 50-59 years, female 12.5
GTEX-15RJ7-0926-SM-6LPJO 40-49 years, male 12.5
GTEX-18D9B-2026-SM-7LT96 60-69 years, male 12.5
GTEX-YF7O-0926-SM-5IFIF 50-59 years, male 12.5
GTEX-ZZ64-0226-SM-5E44X 20-29 years, male 12.5
GTEX-1HCUA-1426-SM-9WPP7 50-59 years, female 12.5
GTEX-1K2DU-1726-SM-EV79S 20-29 years, male 12.5
GTEX-ZLWG-1326-SM-DNZYZ 50-59 years, female 12.5
GTEX-12696-1326-SM-5FQTJ 60-69 years, male 12.4
GTEX-1399U-1026-SM-5J1OC 50-59 years, female 12.4
GTEX-13OVK-1126-SM-6PAMR 40-49 years, male 12.4
GTEX-PLZ5-0926-SM-3TW8L 50-59 years, male 12.4
GTEX-X15G-0826-SM-4PQZD 50-59 years, female 12.4
GTEX-ZF2S-1226-SM-4WWAX 50-59 years, female 12.4
GTEX-ZVT2-1326-SM-5E45H 50-59 years, female 12.4
GTEX-1GN1W-2226-SM-9JGI5 50-59 years, female 12.4
GTEX-1LGRB-1626-SM-CNNR7 50-59 years, female 12.4
GTEX-1PPGY-1726-SM-EVR3S 60-69 years, male 12.4
GTEX-1QCLY-1526-SM-DPRXX 30-39 years, male 12.4
GTEX-11XUK-0826-SM-5GU6P 40-49 years, female 12.3
GTEX-145MF-1426-SM-5O9B6 50-59 years, male 12.3
GTEX-17HGU-1426-SM-7938G 50-59 years, male 12.3
GTEX-17MFQ-0526-SM-7KFTX 20-29 years, male 12.3
GTEX-QDVJ-0726-SM-48U1W 50-59 years, male 12.3
GTEX-U4B1-0826-SM-4DXTW 40-49 years, male 12.3
GTEX-VUSG-1226-SM-4KKZF 50-59 years, male 12.3
GTEX-ZA64-0626-SM-5HL9O 20-29 years, male 12.3
GTEX-ZXES-1126-SM-5GZXN 30-39 years, female 12.3
GTEX-1IKOE-1526-SM-C1YSD 30-39 years, female 12.3
GTEX-1N2DW-1426-SM-EV7AZ 50-59 years, male 12.3
GTEX-1RAZS-2626-SM-EV79C 50-59 years, male 12.3
GTEX-11VI4-0526-SM-5EQ48 40-49 years, female 12.2
GTEX-13D11-1926-SM-5IFGB 50-59 years, female 12.2
GTEX-13FH7-0526-SM-5IJF8 50-59 years, female 12.2
GTEX-144GM-1426-SM-5LU31 20-29 years, male 12.2
GTEX-178AV-0526-SM-6LPJH 40-49 years, male 12.2
GTEX-18A66-1426-SM-7KFRT 60-69 years, male 12.2
GTEX-UJHI-0826-SM-4IHLM 50-59 years, female 12.2
GTEX-WOFM-0626-SM-4OOS3 20-29 years, male 12.2
GTEX-WRHK-0526-SM-4MVOF 20-29 years, female 12.2
GTEX-1HC8U-1526-SM-9WPO4 40-49 years, female 12.2
GTEX-1PPH8-1626-SM-E6CQP 20-29 years, male 12.2
GTEX-14BMU-0926-SM-5S2QB 20-29 years, female 12.1
GTEX-15UF7-0926-SM-6M46F 40-49 years, male 12.1
GTEX-16A39-1026-SM-6LPJU 30-39 years, female 12.1
GTEX-OXRL-0626-SM-3NM9C 50-59 years, male 12.1
GTEX-REY6-1326-SM-48FDO 60-69 years, male 12.1
GTEX-UJMC-0926-SM-4IHLK 50-59 years, male 12.1
GTEX-WQUQ-1626-SM-4OOSH 60-69 years, male 12.1
GTEX-12WSN-5013-SM-7P8P9 40-49 years, male 12.1
GTEX-1HSGN-1626-SM-A96U2 40-49 years, female 12.1
GTEX-QV44-1126-SM-CL55C 50-59 years, male 12.1
GTEX-16XZY-0926-SM-7938M 70-79 years, male 12.0
GTEX-RM2N-0726-SM-48FD5 50-59 years, male 12.0
GTEX-1B996-1826-SM-7MGY6 60-69 years, male 12.0
GTEX-1JKYR-2126-SM-CNNPC 20-29 years, male 12.0
GTEX-1LB8K-1326-SM-CXZKB 50-59 years, male 12.0
GTEX-1MGNQ-1626-SM-EAZ4Z 40-49 years, male 12.0
GTEX-1PFEY-0826-SM-E9U6A 30-39 years, male 12.0
GTEX-1QP28-1826-SM-EAZ4L 50-59 years, female 12.0
GTEX-111CU-0726-SM-5GZYD 50-59 years, male 11.9
GTEX-145MN-1026-SM-5NQ9G 30-39 years, male 11.9
GTEX-146FR-0426-SM-5SI97 60-69 years, female 11.9
GTEX-18D9U-2126-SM-7LG4Y 40-49 years, male 11.9
GTEX-1CB4I-1026-SM-7MKFZ 50-59 years, male 11.9
GTEX-U3ZH-1026-SM-4DXUZ 30-39 years, male 11.9
GTEX-U3ZN-1726-SM-4DXUQ 30-39 years, female 11.9
GTEX-V1D1-1026-SM-4JBHE 50-59 years, male 11.9
GTEX-ZAB4-1126-SM-5HL86 40-49 years, male 11.9
GTEX-ZC5H-1326-SM-5HL7E 40-49 years, female 11.9
GTEX-15F5U-5010-SM-AHZ2D 40-49 years, male 11.9
GTEX-1GPI7-1026-SM-7MGY2 20-29 years, male 11.9
GTEX-1KANA-0626-SM-D4P3I 20-29 years, male 11.9
GTEX-11NSD-1126-SM-5N9BQ 20-29 years, male 11.8
GTEX-11NUK-1326-SM-5P9GN 50-59 years, male 11.8
GTEX-11ZU8-1526-SM-5EGHX 60-69 years, male 11.8
GTEX-13NZB-1226-SM-5J2MW 30-39 years, male 11.8
GTEX-18A6Q-1226-SM-7KFS9 60-69 years, male 11.8
GTEX-1B8KZ-0726-SM-7938W 50-59 years, male 11.8
GTEX-1F5PK-1526-SM-7MKGV 50-59 years, male 11.8
GTEX-XQ3S-1126-SM-4BOPK 20-29 years, male 11.8
GTEX-ZPU1-1426-SM-4WWFU 40-49 years, male 11.8
GTEX-ZTX8-0226-SM-5E44D 20-29 years, male 11.8
GTEX-1I1GP-1026-SM-C1YRZ 50-59 years, male 11.8
GTEX-1IDJH-2026-SM-CNNQX 70-79 years, male 11.8
GTEX-1N2DV-2026-SM-EV7BL 40-49 years, male 11.8
GTEX-1R9JW-1526-SM-DPRZK 30-39 years, female 11.8
GTEX-11LCK-1726-SM-5S2OQ 30-39 years, male 11.7
GTEX-11P82-0526-SM-5986P 20-29 years, male 11.7
GTEX-12ZZX-1326-SM-5DUWI 40-49 years, female 11.7
GTEX-132QS-1426-SM-5P9GE 60-69 years, male 11.7
GTEX-133LE-0626-SM-5IFFJ 20-29 years, female 11.7
GTEX-14PK6-1326-SM-686ZE 70-79 years, female 11.7
GTEX-16MT8-1326-SM-6M47R 60-69 years, female 11.7
GTEX-1A32A-1826-SM-72D5G 50-59 years, female 11.7
GTEX-148VI-1026-SM-5TDDJ 60-69 years, female 11.6
GTEX-Q2AI-0626-SM-48TZU 40-49 years, male 11.6
GTEX-R53T-1126-SM-48FD4 50-59 years, female 11.6
GTEX-RU72-0726-SM-46MUW 50-59 years, female 11.6
GTEX-U8XE-1726-SM-4E3IF 30-39 years, male 11.6
GTEX-WHPG-1126-SM-4M1XT 50-59 years, male 11.6
GTEX-ZVP2-1326-SM-57WCE 50-59 years, male 11.6
GTEX-1H1DE-1026-SM-9JGH6 20-29 years, male 11.6
GTEX-1I1GS-2126-SM-ARU7G 60-69 years, male 11.6
GTEX-1I6K7-1426-SM-B2LXP 40-49 years, male 11.6
GTEX-11ZTS-2626-SM-5EGIC 60-69 years, female 11.5
GTEX-13OW8-2326-SM-5L3I9 60-69 years, male 11.5
GTEX-146FQ-1026-SM-5LU8I 30-39 years, male 11.5
GTEX-QLQW-0526-SM-4R1KS 30-39 years, male 11.5
GTEX-S3XE-0926-SM-4AD4S 50-59 years, male 11.5
GTEX-ZYFG-1126-SM-5GICY 60-69 years, female 11.5
GTEX-131XE-1426-SM-5HL7V 50-59 years, male 11.4
GTEX-14C5O-1626-SM-73KYH 60-69 years, male 11.4
GTEX-1CB4F-1526-SM-7MKFM 60-69 years, male 11.4
GTEX-N7MT-0326-SM-48TDP 60-69 years, female 11.4
GTEX-NPJ8-1926-SM-3MJGB 40-49 years, male 11.4
GTEX-W5WG-1626-SM-4LMKG 50-59 years, female 11.4
GTEX-145LU-0926-SM-79OJL 50-59 years, male 11.3
GTEX-OXRK-1326-SM-3NB1A 50-59 years, female 11.3
GTEX-13FHP-1526-SM-5IJGE 50-59 years, male 11.2
GTEX-13SLX-1726-SM-5Q5E5 50-59 years, female 11.2
GTEX-PLZ4-1626-SM-3P618 50-59 years, female 11.2
GTEX-PVOW-1626-SM-48TC9 40-49 years, male 11.2
GTEX-WFON-0826-SM-4LVMI 40-49 years, male 11.2
GTEX-1GTWX-1326-SM-9JGHU 60-69 years, male 11.2
GTEX-1J8EW-1326-SM-AHZ3S 60-69 years, female 11.2
GTEX-131YS-1426-SM-5IJF7 60-69 years, female 11.1
GTEX-132AR-2226-SM-5J2NT 50-59 years, female 11.1
GTEX-13YAN-1926-SM-7EPH9 60-69 years, male 11.1
GTEX-1C64O-1826-SM-7DHM4 60-69 years, male 11.1
GTEX-V955-1126-SM-4JBH3 60-69 years, male 11.1
GTEX-XQ8I-1526-SM-4BOOH 50-59 years, male 11.1
GTEX-1H3VY-2026-SM-9JGHK 50-59 years, male 11.1
GTEX-1I1GR-1326-SM-ARU7B 60-69 years, male 11.1
GTEX-144FL-2726-SM-5O98Z 50-59 years, male 11.0
GTEX-146FH-1726-SM-5QGQ2 50-59 years, female 11.0
GTEX-P4QS-0626-SM-3NMD1 60-69 years, male 11.0
GTEX-QEL4-1426-SM-447AC 50-59 years, male 11.0
GTEX-R3RS-1326-SM-48FE7 40-49 years, female 11.0
GTEX-1LBAC-1226-SM-DHXK1 20-29 years, male 11.0
GTEX-12WSD-1826-SM-5GCOA 60-69 years, female 10.9
GTEX-13PVQ-1726-SM-5IFF3 50-59 years, male 10.9
GTEX-16MTA-0826-SM-6LLIC 50-59 years, male 10.9
GTEX-Q2AG-1326-SM-43V8K 40-49 years, female 10.9
GTEX-RTLS-1126-SM-46MUQ 60-69 years, female 10.9
GTEX-SNOS-0626-SM-4DM5F 40-49 years, male 10.9
GTEX-TSE9-1226-SM-4DXTM 60-69 years, female 10.9
GTEX-WHWD-0926-SM-4OORY 50-59 years, male 10.9
GTEX-YFC4-1226-SM-5LU9R 40-49 years, female 10.9
GTEX-ZYVF-2226-SM-5GIDD 50-59 years, female 10.9
GTEX-1LG7Y-1726-SM-EV7AR 50-59 years, male 10.9
GTEX-1S82Y-1226-SM-EV7BD 40-49 years, male 10.9
GTEX-13OVJ-1226-SM-5L3HA 50-59 years, female 10.8
GTEX-14E1K-1226-SM-5S2PD 50-59 years, male 10.8
GTEX-14JIY-0926-SM-6871D 60-69 years, male 10.8
GTEX-1C6VQ-1826-SM-7EWEH 50-59 years, male 10.8
GTEX-1EWIQ-1526-SM-79OO7 70-79 years, female 10.8
GTEX-QLQ7-0926-SM-447BC 60-69 years, male 10.8
GTEX-13FHO-1726-SM-DPRZX 60-69 years, male 10.8
GTEX-1H1ZS-1526-SM-9OSXR 70-79 years, male 10.8
GTEX-11EMC-2226-SM-5A5JW 60-69 years, female 10.7
GTEX-13U4I-1126-SM-5LU3S 40-49 years, female 10.7
GTEX-T2IS-0826-SM-4DM6L 20-29 years, female 10.7
GTEX-ZAB5-0926-SM-5CVMV 50-59 years, male 10.7
GTEX-ZE9C-1126-SM-4WWBD 60-69 years, male 10.7
GTEX-ZT9X-0526-SM-5GCOP 40-49 years, male 10.7
GTEX-1GN1U-1826-SM-9JGH2 50-59 years, female 10.7
GTEX-1MCC2-1926-SM-DHXJR 30-39 years, female 10.7
GTEX-QEG4-0726-SM-CNNRF 30-39 years, male 10.7
GTEX-13S86-0826-SM-5SI6J 40-49 years, male 10.6
GTEX-1EH9U-2426-SM-7EWFG 60-69 years, male 10.6
GTEX-R55C-0826-SM-48FCL 40-49 years, male 10.6
GTEX-TKQ1-0326-SM-4DXSM 30-39 years, male 10.6
GTEX-WFG8-1226-SM-4V6EI 20-29 years, male 10.6
GTEX-15RIF-0826-SM-6M47C 20-29 years, male 10.5
GTEX-17F9E-1926-SM-7IGQF 50-59 years, male 10.5
GTEX-PSDG-1326-SM-48TD2 50-59 years, male 10.5
GTEX-1JMQJ-1226-SM-D3L97 50-59 years, male 10.5
GTEX-139UW-1126-SM-5IJEJ 60-69 years, male 10.4
GTEX-18465-1126-SM-7LG6E 50-59 years, male 10.4
GTEX-1EU9M-2326-SM-7MKGS 60-69 years, male 10.4
GTEX-1GL5R-1526-SM-7MKHO 50-59 years, male 10.4
GTEX-ZUA1-1226-SM-5NQ6O 40-49 years, male 10.4
GTEX-1EKGG-1726-SM-7MXUP 60-69 years, male 10.4
GTEX-1JMPZ-2026-SM-C1YR8 30-39 years, male 10.4
GTEX-1KAFJ-0626-SM-D3L8X 50-59 years, male 10.4
GTEX-P4QT-0626-SM-3NMCP 50-59 years, female 10.3
GTEX-XK95-1026-SM-4GIDV 40-49 years, male 10.3
GTEX-14PJ6-1026-SM-686ZB 60-69 years, female 10.2
GTEX-15DYW-1826-SM-6LPIY 60-69 years, female 10.2
GTEX-16Z82-1926-SM-6M47U 60-69 years, male 10.2
GTEX-17F96-2526-SM-7DHL3 70-79 years, male 10.2
GTEX-T6MO-0526-SM-4DM6R 40-49 years, female 10.2
GTEX-Y111-1626-SM-57WCY 50-59 years, male 10.2
GTEX-1GMR2-1526-SM-7MXV6 50-59 years, male 10.2
GTEX-11GSP-1826-SM-5N9DQ 60-69 years, female 10.1
GTEX-132Q8-1826-SM-5EGIY 60-69 years, male 10.1
GTEX-13QJ3-1726-SM-5RQK9 50-59 years, male 10.1
GTEX-1HBPH-1126-SM-A96TU 40-49 years, female 10.1
GTEX-1HGF4-0926-SM-9WPP8 60-69 years, male 10.1
GTEX-1KD4Q-1126-SM-CXZKK 40-49 years, male 10.1
GTEX-1F88F-1126-SM-7MKHL 60-69 years, female 10.0
GTEX-QVUS-0626-SM-447CC 60-69 years, female 10.0
GTEX-ZY6K-0626-SM-59HJL 50-59 years, male 10.0
GTEX-1H11D-2126-SM-9OSXM 40-49 years, male 10.0
GTEX-1JMLX-2326-SM-CXZJP 50-59 years, male 10.0
GTEX-1269C-1026-SM-5N9EY 60-69 years, female 9.9
GTEX-12WSA-1426-SM-5EGJU 60-69 years, male 9.9
GTEX-16NPX-1626-SM-6LLI5 50-59 years, male 9.9
GTEX-1EX96-2226-SM-7MKGT 50-59 years, male 9.9
GTEX-T5JC-1726-SM-4DM6U 20-29 years, male 9.9
GTEX-1MA7X-0726-SM-EV7AB 60-69 years, male 9.9
GTEX-11DXX-1126-SM-5GZZK 60-69 years, female 9.8
GTEX-1212Z-2126-SM-5FQTM 60-69 years, male 9.8
GTEX-13W3W-1626-SM-5LU35 60-69 years, female 9.8
GTEX-1497J-2726-SM-5SI9W 60-69 years, male 9.8
GTEX-14PHY-0626-SM-664NN 60-69 years, female 9.8
GTEX-OXRP-0926-SM-48TC1 60-69 years, female 9.8
GTEX-ZYY3-1526-SM-5SIA9 60-69 years, female 9.8
GTEX-1HSKV-2426-SM-A8N8K 60-69 years, male 9.8
GTEX-1N2EE-2426-SM-EXOIO 60-69 years, male 9.8
GTEX-1QW4Y-0526-SM-EAZ3V 30-39 years, male 9.8
GTEX-14DAQ-1426-SM-5RQJD 60-69 years, female 9.7
GTEX-1IY9M-1626-SM-AHZ39 60-69 years, male 9.7
GTEX-1LSVX-1226-SM-DHXJN 60-69 years, male 9.7
GTEX-1LVAN-2326-SM-CNNPY 50-59 years, female 9.7
GTEX-11DXY-1426-SM-5N9CN 60-69 years, male 9.6
GTEX-145LV-1326-SM-5S2QI 50-59 years, male 9.6
GTEX-POYW-1326-SM-48TCG 60-69 years, male 9.6
GTEX-WVLH-1426-SM-4MVNX 50-59 years, male 9.6
GTEX-1HCVE-1226-SM-9WPPH 50-59 years, male 9.6
GTEX-1JMQK-2026-SM-C1YQN 60-69 years, male 9.6
GTEX-12WSG-5007-SM-7DUGZ 50-59 years, female 9.5
GTEX-1QEPI-1826-SM-EAZ3J 60-69 years, female 9.5
GTEX-XLM4-2326-SM-4AT5E 60-69 years, male 9.5
GTEX-12ZZY-1426-SM-5N9EI 60-69 years, male 9.4
GTEX-14BIM-1326-SM-7EWD1 60-69 years, female 9.4
GTEX-P78B-1026-SM-3NMC4 40-49 years, female 9.4
GTEX-1HCU8-2226-SM-9WPOV 60-69 years, female 9.4
GTEX-1I1GV-2226-SM-ARU7E 60-69 years, male 9.4
GTEX-ZPCL-1426-SM-57WEC 60-69 years, female 9.3
GTEX-ZYW4-1326-SM-5E45N 60-69 years, male 9.3
GTEX-145ME-5004-SM-7MGXP 40-49 years, female 9.3
GTEX-17HII-1526-SM-9OSVD 50-59 years, male 9.3
GTEX-1EN7A-1226-SM-7MGX9 40-49 years, male 9.3
GTEX-14AS3-0626-SM-5QGQD 40-49 years, female 9.2
GTEX-14PJ5-0526-SM-664OE 60-69 years, female 9.2
GTEX-15RIE-0826-SM-6M47X 60-69 years, male 9.2
GTEX-XV7Q-1126-SM-4BRVS 40-49 years, female 9.2
GTEX-1HFI6-1226-SM-A96SK 40-49 years, male 9.2
GTEX-1LNCM-0626-SM-EV7AI 50-59 years, female 9.2
GTEX-1F52S-1426-SM-7P8PU 60-69 years, female 9.1
GTEX-13G51-0926-SM-5IFFU 60-69 years, male 9.0
GTEX-13O61-0926-SM-5IFFE 60-69 years, male 9.0
GTEX-15SHU-1426-SM-6LPIN 40-49 years, female 9.0
GTEX-17KNJ-1326-SM-7KFTG 50-59 years, male 9.0
GTEX-UPK5-1226-SM-4IHL8 40-49 years, male 9.0
GTEX-ZVE2-1326-SM-5NQ94 50-59 years, male 9.0
GTEX-1AX8Z-5016-SM-AHZ2B 60-69 years, male 9.0
GTEX-1RDX4-2126-SM-EV7B3 50-59 years, female 9.0
GTEX-13FLV-1126-SM-5J2NO 50-59 years, male 8.9
GTEX-13X6K-2126-SM-5O9D4 60-69 years, female 8.9
GTEX-ZYT6-1126-SM-5GZYR 30-39 years, male 8.9
GTEX-1ICG6-1926-SM-ARU7L 70-79 years, female 8.9
GTEX-SJXC-1426-SM-EYYVB 60-69 years, male 8.9
GTEX-12ZZW-1726-SM-5DUVD 50-59 years, male 8.8
GTEX-144GO-2726-SM-5O9A2 60-69 years, male 8.8
GTEX-OXRN-1726-SM-3NM9B 50-59 years, male 8.8
GTEX-X4EP-1626-SM-4QAS6 60-69 years, female 8.8
GTEX-1A8FM-1526-SM-7MXTA 50-59 years, female 8.8
GTEX-14A6H-1326-SM-5NQBC 30-39 years, male 8.7
GTEX-ZAJG-1326-SM-5S2NV 50-59 years, female 8.7
GTEX-1CB4J-2426-SM-7MXVC 60-69 years, male 8.7
GTEX-1GN73-1926-SM-9JGGS 60-69 years, male 8.7
GTEX-139TU-1226-SM-5J2NL 60-69 years, male 8.6
GTEX-14BIN-2726-SM-5RQIE 50-59 years, female 8.6
GTEX-ZAK1-1526-SM-5S2OV 50-59 years, female 8.6
GTEX-1I1CD-1726-SM-A9G3P 60-69 years, female 8.6
GTEX-13X6I-1026-SM-5LU4C 60-69 years, male 8.4
GTEX-X4LF-0626-SM-4QASB 50-59 years, male 8.4
GTEX-1LSNL-2226-SM-DHXKM 50-59 years, male 8.4
GTEX-P4PP-0626-SM-3NM9X 30-39 years, female 8.3
GTEX-145LS-1826-SM-5LUAZ 60-69 years, female 8.2
GTEX-17EVQ-1926-SM-7IGOF 70-79 years, male 8.2
GTEX-XMK1-1326-SM-4B65Q 40-49 years, male 8.2
GTEX-1CB4H-1526-SM-7MXU4 60-69 years, female 8.2
GTEX-1RLM8-0726-SM-E6CRH 50-59 years, male 8.2
GTEX-UPJH-1026-SM-EAZB2 50-59 years, male 8.2
GTEX-RVPV-0526-SM-47JYL 60-69 years, male 8.1
GTEX-1J1OQ-2526-SM-AHZ3Q 40-49 years, female 8.1
GTEX-13JVG-2026-SM-5KM1N 60-69 years, male 8.0
GTEX-YJ89-1526-SM-5P9IR 60-69 years, male 8.0
GTEX-1QP29-2126-SM-E6CPZ 50-59 years, male 8.0
GTEX-1R9K4-1926-SM-DPRZW 60-69 years, male 8.0
GTEX-13O3Q-0826-SM-5IFGF 50-59 years, male 7.9
GTEX-13W46-1926-SM-5J2MF 50-59 years, male 7.9
GTEX-1K9T9-2026-SM-CXZK3 50-59 years, female 7.9
GTEX-11EI6-1526-SM-5P9GL 60-69 years, male 7.8
GTEX-X585-1226-SM-46MW7 50-59 years, male 7.8
GTEX-15UF6-2326-SM-6M465 70-79 years, female 7.7
GTEX-1HCU7-2126-SM-A96SG 50-59 years, male 7.7
GTEX-OHPN-1026-SM-E9TI8 60-69 years, female 7.6
GTEX-R55D-1126-SM-48FEB 50-59 years, male 7.5
GTEX-WK11-1026-SM-4OOS8 50-59 years, male 7.5
GTEX-1HBPM-1426-SM-9WPPE 60-69 years, female 7.5
GTEX-11DYG-1326-SM-5N9DO 60-69 years, male 7.4
GTEX-11DZ1-2026-SM-5A5KG 50-59 years, male 7.4
GTEX-1M5QR-0726-SM-DHXK7 40-49 years, male 7.4
GTEX-ZV68-0926-SM-59HK7 50-59 years, female 7.3
GTEX-183WM-1726-SM-7KFT5 70-79 years, female 7.2
GTEX-T2YK-1326-SM-4DM6S 50-59 years, male 7.1
GTEX-ZYFC-1626-SM-5N9EU 50-59 years, male 7.1
GTEX-1399Q-1126-SM-5P9JA 40-49 years, male 7.0
GTEX-R45C-1226-SM-48FEE 60-69 years, female 7.0
GTEX-YECK-1626-SM-5IFHQ 60-69 years, male 7.0
GTEX-X62O-2226-SM-46MW3 50-59 years, male 6.8
GTEX-1LVA9-2126-SM-DLHBY 50-59 years, male 6.7
GTEX-1E1VI-1526-SM-7IGQ2 50-59 years, male 6.6
GTEX-1IDFM-1126-SM-A96SY 60-69 years, male 6.6
GTEX-1H3NZ-1326-SM-9JGHI 60-69 years, male 6.3
GTEX-15DCD-1626-SM-6AJBH 70-79 years, female 6.2
GTEX-15EO6-1026-SM-7KUG9 50-59 years, male 6.1
GTEX-1F7RK-1526-SM-7P8T6 20-29 years, female 5.9
GTEX-1GMR8-1826-SM-9WYUE 50-59 years, female 5.9
GTEX-ZZPT-1426-SM-5N9C5 50-59 years, male 5.7
GTEX-17F97-1326-SM-7MGVO 50-59 years, male 5.7
GTEX-1BAJH-2026-SM-7P8OZ 70-79 years, male 5.6
GTEX-N7MS-1225-SM-3LK5G 60-69 years, male 5.1
GTEX-XMD2-1326-SM-4YCET 60-69 years, female 4.5
Show allShow less

ESOPHAGUS - FANTOM5 CAGEi

RNA expression in human tissues obtained through Cap Analysis of Gene Expression (CAGE) generated by the FANTOM5 project are reported as Scaled Tags Per Million.

Max subtype Scaled Tags Per Millioni

Max subtype Scaled Tags Per Million is the value for the subtype with the largest average Scaled Tags Per Million across the subtype samples.

36.4
FANTOM5 sample id Sample description Scaled Tags Per Million
Esophagus
Scaled Tags Per Million: 36.4
FF:10015-101C6 68,74,75 years, mixed 36.4

Contact

  • NEWS ARTICLES
  • PRESS ROOM

The Project

  • INTRODUCTION
  • ORGANIZATION
  • PUBLICATIONS

The Human Protein Atlas

  • DOWNLOADABLE DATA
  • LICENCE & CITATION
  • HELP & FAQ
The Human Protein Atlas project is funded
by the Knut & Alice Wallenberg Foundation.


contact@proteinatlas.org