We use cookies to enhance the usability of our website. If you continue, we'll assume that you are happy to receive all cookies. More information. Don't show this again.
EIF3L
HPA
RESOURCES
  • TISSUE
  • BRAIN
  • SINGLE CELL
  • SUBCELLULAR
  • CANCER
  • BLOOD
  • CELL LINE
  • STRUCTURE & INTERACTION
ABOUT
  • INTRODUCTION
  • HISTORY
  • ORGANIZATION
  • PUBLICATIONS
  • ANTIBODY SUBMISSION
  • ANTIBODY AVAILABILITY
  • ACKNOWLEDGMENTS
  • CONTACT
NEWS
  • NEWS ARTICLES
  • PRESS ROOM
LEARN
  • DICTIONARY
  • PROTEIN CLASSES
  • PROTEIN EVIDENCE
  • METHODS
  • EDUCATIONAL VIDEOS
DATA
  • DOWNLOADABLE DATA
  • PUBLICATION DATA
  • RELEASE HISTORY
HELP
  • ANTIBODY VALIDATION
  • ASSAYS & ANNOTATION
  • DISCLAIMER
  • HELP & FAQ
  • PRIVACY STATEMENT
  • LICENCE & CITATION
Fields »
Search result

Field
Term
Gene name
Class
Subclass
Class
Keyword
Chromosome
External id
Tissue
Cell type
Expression
Antibody panel
Tissue
Main location
Patient ID
Annotation
Tissue
Category
Tau score
Cluster
Reliability
Brain region
Category
Tau score
Brain region
Category
Tau score
Brain region
Category
Tau score
Cluster
Reliability
Tissue
Cell type
Enrichment
Cell type
Category
Tau score
Cell type
Category
Tau score
Cell type
Category
Tau score
Cell lineage
Category
Tau score
Cluster
Cluster
Location
Searches
Location
Cell line
Class
Type
Phase
Reliability
Cancer
Prognosis
Cancer
Category
Cancer
Category
Tau score
Cluster
Variants
Interacting gene (ensg_id)
Type
Number of interactions
Pathway
Category
Score
Score
Score
Validation
Validation
Validation
Validation
Antibodies
Data type
Column


  • SUMMARY

  • TISSUE

  • BRAIN

  • SINGLE CELL

  • SUBCELL

  • CANCER

  • BLOOD

  • CELL LINE

  • STRUCT & INT

  • EIF3L
TISSUE PRIMARY DATA BREAST Show tissue menu
ADIPOSE TISSUE ADRENAL GLAND AMYGDALA APPENDIX BASAL GANGLIA BONE MARROW BREAST BRONCHUS CEREBELLUM CEREBRAL CORTEX CERVIX CHOROID PLEXUS COLON DUODENUM
ENDOMETRIUM EPIDIDYMIS ESOPHAGUS FALLOPIAN TUBE GALLBLADDER HEART MUSCLE HIPPOCAMPAL FORMATION HYPOTHALAMUS KIDNEY LIVER LUNG LYMPH NODE MIDBRAIN NASOPHARYNX
ORAL MUCOSA OVARY PANCREAS PARATHYROID GLAND PITUITARY GLAND PLACENTA PROSTATE RECTUM RETINA SALIVARY GLAND SEMINAL VESICLE SKELETAL MUSCLE SKIN SMALL INTESTINE
SMOOTH MUSCLE SOFT TISSUE SPINAL CORD SPLEEN STOMACH TESTIS THYMUS THYROID GLAND TONGUE TONSIL URINARY BLADDER VAGINA
ANTIBODIES
AND
VALIDATION
Dictionary
Breast
Tissue proteome
Breast
BREAST - Expression summary
Protein expression
Breasti

On the top, protein expression in current human tissue, based on all annotated cell types, is reported with the units not detected (n), low (l), medium (m) and high (h). Underneath, protein expression in each annotated cell type are reported using the same units.

Protein expression data is based on knowledge-based annotation. For genes where more than one antibody has been used, a collective score is set.

If knowledge-based annotation could not be performed for a gene, no data is displayed here. View antibody staining data further down this page.

h
m
l
n
Adipocytes: Not detected
Glandular cells: Medium
Myoepithelial cells: Medium
RNA expressioni

A summary of mRNA expression data available for current tissue based on several datasets. The mRNA expression levels in human tissues are based on RNA-seq data generated by the Human Protein Atlas (HPA), Genotype-Tissue Expression (GTEx) portal and CAGE data generated by the FANTOM5 consortium. Consensus normalized expression levels for human tissues was created by combining the data from HPA and GTEx datasets.

The mRNA expression levels in pig are based on RNA-seq data generated by the Human Protein Atlas (HPA), and for mouse, HPA data and in situ hybridization generated by the Allen brain atlas are reported.

Scroll down to view mRNA expression data in more detail.
Consensus:145.0 nTPM
HPA:145.0 nTPM
GTEx:98.6 nTPM
FANTOM5:267.2 Scaled Tags Per Million

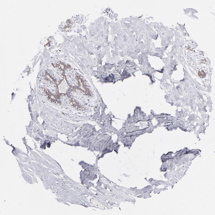
BREAST - Antibody stainingi

Antibody staining in the annotated cell types in the current human tissue is reported as not detected, low, medium, or high, based on conventional immunohistochemistry profiling in selected tissues. This score is based on the combination of the staining intensity and fraction of stained cells.

Each image is clickable and will lead to virtual microscopy that enables deeper exploration of all samples and also displays staining intensity scores, fraction scores and subcellular localization as well as patient and tissue information for each sample.

Antibody HPA003028
Adipocytes Not detected
Glandular cells Medium
Myoepithelial cells Medium


BREAST - HPA RNA-seqi

The RNA-seq details section shows detailed information about the individual samples used for the transcript profiling and results of the RNA-seq analysis.

Information about each individual sample is listed below, including gender, age, a tissue section image and estimated fractions of cell types. nTPM (normalized transcripts per million) values give a quantification of the gene abundance which is comparable between different genes and samples.
Average nTPMi

Max subtype nTPM is the value for the subtype with the largest average nTPM across the subtype samples.

145.0
overview
Female, age 52
Breast sample 373
nTPM: 149.7
Cell types%
Glandular cells:
15

Adipocytes:
5

Other cell types:
80

overview
Female, age 80
Breast sample 390
nTPM: 93.5
Cell types%
Glandular cells:
5

Adipocytes:
15

Other cell types:
80

overview
Female, age 47
Breast sample 405
nTPM: 94.9
Cell types%
Glandular cells:
5

Adipocytes:
5

Other cell types:
90

overview
Female, age 38
Breast sample 410
nTPM: 241.9
Cell types%
Glandular cells:
40

Adipocytes:
5

Other cell types:
55


BREAST - GTEx RNA-seqi

RNA-Seq data generated by the Genotype-Tissue Expression (GTEx) project from human tissues is reported as mean nTPM. More information can be found on the GTEx portal.

Distribution across the dataset is visualized with box plots, shown as median and 25th and 75th percentiles. Points are displayed as outliers if they are above or below 1.5 times the interquartile range. nTPM values of the individual samples are presented next to the box plot.
Max subtype nTPMi

Max subtype nTPM is the value for the subtype with the largest average nTPM across the subtype samples.

98.6
GTEx sample id Sample description nTPM
Breast - Mammary Tissue
Average nTPM: 98.6
Samples: 459

Max nTPM: 254.1
Min nTPM: 31.3
Std nTPM: 32.5
Median nTPM: 93.4
GTEX-1R9JW-0326-SM-EAZ45 30-39 years, female 254.1
GTEX-1F5PK-2126-SM-7PC28 50-59 years, male 250.4
GTEX-1ICLZ-0426-SM-B2LW2 60-69 years, male 244.7
GTEX-14AS3-1626-SM-5S2OY 40-49 years, female 218.7
GTEX-1I19N-2826-SM-CL55D 70-79 years, male 213.8
GTEX-W5X1-2326-SM-3GIL6 40-49 years, female 206.1
GTEX-1B8SG-1226-SM-7IGPF 50-59 years, male 198.7
GTEX-14H4A-2526-SM-5YYAY 40-49 years, female 194.1
GTEX-ZVT2-1826-SM-5NQ8W 50-59 years, female 192.0
GTEX-1IKOE-1326-SM-CE6T6 30-39 years, female 182.6
GTEX-1CAMS-1426-SM-7IGPM 40-49 years, female 171.2
GTEX-13FHO-0826-SM-5L3E8 60-69 years, male 169.3
GTEX-1JMLX-2026-SM-CMKGN 50-59 years, male 169.3
GTEX-13SLW-2526-SM-62LDQ 70-79 years, male 168.3
GTEX-1QP28-1226-SM-E9J2M 50-59 years, female 165.9
GTEX-145MF-2226-SM-7EPIR 50-59 years, male 165.4
GTEX-1F75I-2026-SM-7SB7N 40-49 years, male 163.0
GTEX-ZLWG-1926-SM-DO92J 50-59 years, female 162.8
GTEX-12WSK-2226-SM-5GCO5 40-49 years, female 162.5
GTEX-1JJEA-2726-SM-ARL8V 60-69 years, male 162.0
GTEX-1CB4J-1826-SM-7EWF9 60-69 years, male 160.4
GTEX-1JKYR-0926-SM-CMKGJ 20-29 years, male 159.4
GTEX-1JJE9-2326-SM-ARL8Q 70-79 years, male 158.4
GTEX-1QMI2-0726-SM-E9J4F 60-69 years, male 158.3
GTEX-12KS4-0126-SM-5Q5A5 30-39 years, male 157.1
GTEX-ZVE2-1226-SM-5NQ8R 50-59 years, male 157.0
GTEX-UTHO-1026-SM-3GAF7 60-69 years, male 156.8
GTEX-ZYW4-0826-SM-5GIDG 60-69 years, male 154.7
GTEX-117YX-1426-SM-5H12H 50-59 years, male 154.0
GTEX-183WM-0726-SM-7LTAA 70-79 years, female 153.7
GTEX-14ABY-2126-SM-5QGQZ 50-59 years, male 153.5
GTEX-1JMOU-2026-SM-CMKGU 60-69 years, female 152.6
GTEX-145LT-0726-SM-5S2VM 40-49 years, male 151.2
GTEX-1IDFM-0426-SM-B2LVV 60-69 years, male 148.2
GTEX-16NGA-0826-SM-718AF 40-49 years, female 146.9
GTEX-14PJO-0726-SM-69LO8 60-69 years, male 146.8
GTEX-1AMEY-1026-SM-718AA 30-39 years, female 146.1
GTEX-1NHNU-0926-SM-E9J2T 50-59 years, male 143.9
GTEX-1POEN-0926-SM-DTX88 30-39 years, female 143.8
GTEX-1GMR2-1926-SM-9MQLZ 50-59 years, male 143.4
GTEX-1ICLY-1726-SM-B2LVT 50-59 years, male 142.9
GTEX-1RLM8-2226-SM-EVYD1 50-59 years, male 142.5
GTEX-1N2EF-2226-SM-E9J33 60-69 years, male 142.1
GTEX-1P4AB-1826-SM-E76PU 50-59 years, male 141.7
GTEX-WFON-1826-SM-3GILG 40-49 years, male 141.2
GTEX-1314G-1226-SM-5BC6D 30-39 years, male 141.1
GTEX-1S82Z-0726-SM-E6CHX 30-39 years, female 140.4
GTEX-18A66-1726-SM-7LG5N 60-69 years, male 140.1
GTEX-1HT8W-2226-SM-CGQEC 30-39 years, male 139.9
GTEX-ZLFU-2126-SM-DO931 40-49 years, male 139.7
GTEX-ZAB4-2526-SM-5HL8M 40-49 years, male 139.1
GTEX-1H1ZS-0126-SM-9YFKQ 70-79 years, male 138.8
GTEX-1GPI7-0926-SM-7PC3J 20-29 years, male 137.9
GTEX-14PN4-0626-SM-62LFP 50-59 years, male 137.4
GTEX-1IDJE-0826-SM-CKZNZ 50-59 years, female 136.4
GTEX-13113-5013-SM-7SB7G 60-69 years, female 135.7
GTEX-1LVAM-0926-SM-E9TJ2 50-59 years, female 135.0
GTEX-1HCVE-2626-SM-ADEJ8 50-59 years, male 134.6
GTEX-1H1CY-2226-SM-9WG7E 60-69 years, female 134.3
GTEX-S4UY-0726-SM-4AD6X 40-49 years, female 134.1
GTEX-1HSGN-1526-SM-A9SMO 40-49 years, female 133.9
GTEX-15RJE-2626-SM-7KFT1 40-49 years, male 133.3
GTEX-11EM3-1326-SM-5N9C6 20-29 years, female 133.1
GTEX-1QP9N-1826-SM-E8VMP 30-39 years, male 133.1
GTEX-1F5PL-1026-SM-7RHI1 40-49 years, female 132.4
GTEX-13SLX-2326-SM-5ZZWE 50-59 years, female 132.2
GTEX-144GM-0926-SM-5O994 20-29 years, male 131.9
GTEX-SE5C-2126-SM-4BRUJ 40-49 years, female 131.2
GTEX-VJWN-0726-SM-3GIJ8 50-59 years, female 130.9
GTEX-12ZZX-1126-SM-5EGKB 40-49 years, female 129.7
GTEX-14PKU-0426-SM-6EU1P 40-49 years, female 129.0
GTEX-11GSP-0926-SM-9WYSG 60-69 years, female 128.8
GTEX-1HR98-0426-SM-COH36 60-69 years, male 128.7
GTEX-1L5NE-2126-SM-CY8IH 50-59 years, male 128.5
GTEX-ZGAY-1726-SM-DO91P 40-49 years, female 128.5
GTEX-1H1DG-0526-SM-9YFLN 70-79 years, male 128.4
GTEX-11DXZ-1926-SM-5GZZL 50-59 years, male 128.3
GTEX-1IDJH-2226-SM-E6CJV 70-79 years, male 128.2
GTEX-1HCU7-1026-SM-ADEIP 50-59 years, male 127.9
GTEX-1QCLZ-2326-SM-DTXDO 60-69 years, female 127.8
GTEX-15ER7-1626-SM-6PAMZ 20-29 years, female 125.9
GTEX-1399U-1826-SM-5PNZ1 50-59 years, female 125.8
GTEX-XMK1-1126-SM-4IHJ8 40-49 years, male 125.6
GTEX-ZA64-1526-SM-5CVMD 20-29 years, male 125.4
GTEX-14ICK-2426-SM-6EU27 40-49 years, male 124.1
GTEX-1LVAN-1326-SM-CNPQE 50-59 years, female 123.7
GTEX-1PPGY-1526-SM-EVYBK 60-69 years, male 123.0
GTEX-14E6C-1326-SM-62LEQ 40-49 years, male 122.2
GTEX-1JMPZ-1626-SM-COH31 30-39 years, male 122.1
GTEX-1PDJ9-1126-SM-EXUSW 20-29 years, male 120.4
GTEX-1B933-2526-SM-7IGO5 50-59 years, female 119.7
GTEX-1KD5A-1926-SM-DKPQA 50-59 years, male 119.6
GTEX-ZPIC-1126-SM-5BC7F 40-49 years, female 119.4
GTEX-1HCU9-0326-SM-9WYSC 20-29 years, male 119.4
GTEX-14BMV-0626-SM-793AU 50-59 years, male 119.1
GTEX-ZAK1-1326-SM-EVYAS 50-59 years, female 118.0
GTEX-17F96-2426-SM-7IGLN 70-79 years, male 117.9
GTEX-ZF29-1926-SM-5S2P1 60-69 years, female 117.9
GTEX-1LGRB-1826-SM-CNPQL 50-59 years, female 117.5
GTEX-17MF6-0326-SM-7EPH5 40-49 years, male 117.1
GTEX-11P81-1926-SM-5BC53 30-39 years, female 116.9
GTEX-1PPH7-0826-SM-E8VNX 40-49 years, male 116.9
GTEX-1B8KE-1226-SM-73KWK 50-59 years, male 116.8
GTEX-X62O-0526-SM-EWRMA 50-59 years, male 116.4
GTEX-1R7EV-1526-SM-E8VOD 40-49 years, male 116.3
GTEX-XGQ4-0926-SM-4AT4U 50-59 years, male 115.9
GTEX-ZF3C-2326-SM-5S2NC 50-59 years, female 115.9
GTEX-Y9LG-1426-SM-5IFJZ 30-39 years, male 115.7
GTEX-11DXY-2326-SM-5GICW 60-69 years, male 115.3
GTEX-WXYG-2226-SM-4E3IM 50-59 years, female 114.9
GTEX-13VXU-2826-SM-664MA 50-59 years, male 114.8
GTEX-1GF9V-2526-SM-7SB8K 60-69 years, male 114.3
GTEX-1OKEX-0826-SM-E9J2B 60-69 years, male 113.9
GTEX-1H23P-0726-SM-9WG7K 60-69 years, male 113.2
GTEX-1IKOH-2326-SM-CM2TW 60-69 years, female 112.8
GTEX-1R9PM-1826-SM-EVYBH 20-29 years, male 112.8
GTEX-13W46-0826-SM-5LU3H 50-59 years, male 112.7
GTEX-1KD4Q-2326-SM-D4P3M 40-49 years, male 112.4
GTEX-131YS-0626-SM-5EGKL 60-69 years, female 112.3
GTEX-1MCC2-2126-SM-EWRON 30-39 years, female 112.2
GTEX-1I4MK-1626-SM-CM2TJ 50-59 years, female 112.0
GTEX-1IE54-0626-SM-ARL8D 40-49 years, female 111.9
GTEX-11DZ1-0326-SM-5N9BN 50-59 years, male 111.7
GTEX-11TT1-2126-SM-5GU5Y 20-29 years, male 111.7
GTEX-ZAJG-0626-SM-5HL8X 50-59 years, female 111.1
GTEX-1MJK2-2226-SM-EVYCR 50-59 years, male 111.1
GTEX-133LE-1726-SM-5K7VQ 20-29 years, female 110.5
GTEX-1I1GP-0426-SM-COH3N 50-59 years, male 110.3
GTEX-V955-2026-SM-3GAFA 60-69 years, male 109.9
GTEX-14BMU-1626-SM-5TDE7 20-29 years, female 109.5
GTEX-1B8KZ-1526-SM-7DUG7 50-59 years, male 109.2
GTEX-1R9PN-0326-SM-DTX85 40-49 years, female 109.2
GTEX-ZV6S-1826-SM-5NQ8D 40-49 years, female 109.0
GTEX-18QFQ-0826-SM-718AX 30-39 years, male 108.9
GTEX-1IDJU-1826-SM-CMKHV 60-69 years, female 108.7
GTEX-Y8E4-1626-SM-5S2MW 40-49 years, male 108.5
GTEX-1JMPY-0526-SM-CL54O 30-39 years, male 108.5
GTEX-1K9T9-1426-SM-DIPFQ 50-59 years, female 108.3
GTEX-13D11-1026-SM-5IJFB 50-59 years, female 108.2
GTEX-1LSVX-2426-SM-E6CJX 60-69 years, male 108.2
GTEX-1192X-2326-SM-5987X 50-59 years, male 107.8
GTEX-1F75B-0626-SM-7SB8A 50-59 years, male 107.8
GTEX-1J8EW-2626-SM-CL53E 60-69 years, female 107.6
GTEX-1QPFJ-2026-SM-EVYBE 30-39 years, female 107.6
GTEX-11P82-1326-SM-5HL62 20-29 years, male 107.3
GTEX-11ZTT-2326-SM-5EQLG 60-69 years, female 106.9
GTEX-1HSMO-0826-SM-ADEIV 60-69 years, male 106.8
GTEX-QEL4-2126-SM-447AE 50-59 years, male 106.7
GTEX-1NUQO-2226-SM-E9U68 20-29 years, female 106.6
GTEX-1NV8Z-2826-SM-E8VME 60-69 years, male 106.6
GTEX-14753-2426-SM-5LU8U 60-69 years, male 106.4
GTEX-1GZHY-0726-SM-9WG6B 50-59 years, female 106.3
GTEX-1MA7W-1026-SM-DKPQK 20-29 years, female 106.2
GTEX-RU1J-0626-SM-4WAWY 20-29 years, female 106.1
GTEX-1LSNL-2826-SM-E9U5L 50-59 years, male 105.6
GTEX-1N2EE-2126-SM-E8VNN 60-69 years, male 105.5
GTEX-1QCLY-1626-SM-DTXDW 30-39 years, male 105.5
GTEX-11P7K-0726-SM-5EGKX 30-39 years, male 105.3
GTEX-11WQC-1726-SM-5GU4W 60-69 years, male 105.3
GTEX-XOT4-0726-SM-4GIAW 60-69 years, female 105.3
GTEX-ZXES-0826-SM-5E43C 30-39 years, female 104.9
GTEX-1QP29-1726-SM-E8VMQ 50-59 years, male 104.8
GTEX-ZQG8-0726-SM-5P9H9 60-69 years, female 104.7
GTEX-15UF7-0726-SM-6M46D 40-49 years, male 104.4
GTEX-139T8-0826-SM-5L3DE 60-69 years, male 104.3
GTEX-1117F-2826-SM-5GZXL 60-69 years, female 104.2
GTEX-1C6WA-2426-SM-7SB86 60-69 years, male 104.1
GTEX-PSDG-1626-SM-48TCQ 50-59 years, male 104.0
GTEX-1C475-1226-SM-7SB72 40-49 years, female 103.9
GTEX-1N5O9-1126-SM-DTXEQ 60-69 years, male 103.9
GTEX-1E2YA-2726-SM-7IGPW 50-59 years, male 103.7
GTEX-1313W-0826-SM-5EQ4T 50-59 years, female 103.6
GTEX-1A8G7-2426-SM-731AK 60-69 years, male 103.3
GTEX-1GPI6-0626-SM-7RHHJ 60-69 years, male 103.3
GTEX-13O3Q-2226-SM-5KM4O 50-59 years, male 103.1
GTEX-TMMY-0726-SM-33HBE 40-49 years, female 102.7
GTEX-132NY-0826-SM-5K7Y7 60-69 years, male 102.5
GTEX-17F9E-2526-SM-7MGW2 50-59 years, male 102.5
GTEX-1ICG6-1326-SM-ACKWR 70-79 years, female 102.5
GTEX-YECK-0726-SM-EZ6LV 60-69 years, male 102.5
GTEX-13O3O-0826-SM-5K7WE 60-69 years, female 101.7
GTEX-1GN2E-2226-SM-9WG6J 60-69 years, male 101.6
GTEX-XMD1-0826-SM-4AT52 60-69 years, male 100.7
GTEX-ZZ64-1226-SM-5E43R 20-29 years, male 100.7
GTEX-1KXAM-1026-SM-CY8IA 60-69 years, male 100.7
GTEX-Y8LW-1626-SM-5IFHX 50-59 years, female 100.2
GTEX-14LLW-0626-SM-62LFC 70-79 years, female 100.1
GTEX-1LBAC-0926-SM-CXKY9 20-29 years, male 99.9
GTEX-1M4P7-2626-SM-E9U5F 60-69 years, male 99.7
GTEX-11ONC-2126-SM-5HL6E 60-69 years, male 99.6
GTEX-1R46S-2526-SM-E8VN2 60-69 years, female 99.5
GTEX-QMRM-1626-SM-D4P1U 50-59 years, male 99.5
GTEX-ZDTT-2126-SM-DKPOM 60-69 years, male 99.2
GTEX-1I1GT-1126-SM-ARL7J 60-69 years, female 99.1
GTEX-1JKYN-0726-SM-ARZMY 30-39 years, male 99.0
GTEX-1HCUA-0726-SM-ACKVU 50-59 years, female 98.9
GTEX-1I6K6-0826-SM-ARL7Z 30-39 years, male 98.9
GTEX-11GSO-1926-SM-5A5K3 60-69 years, male 98.4
GTEX-131XW-0726-SM-5EGK3 50-59 years, female 98.2
GTEX-1EN7A-1426-SM-7PBY4 40-49 years, male 98.1
GTEX-132Q8-1426-SM-5EGK7 60-69 years, male 98.0
GTEX-13S86-1226-SM-5S2OA 40-49 years, male 98.0
GTEX-1S82U-1126-SM-E9U6I 30-39 years, female 98.0
GTEX-1AX9J-1126-SM-731B7 60-69 years, male 97.8
GTEX-1HC8U-0826-SM-ADEIL 40-49 years, female 97.8
GTEX-1IDJF-2326-SM-ARL86 20-29 years, male 97.8
GTEX-Y114-2026-SM-4TT7L 50-59 years, female 97.7
GTEX-1QW4Y-1026-SM-DTXE2 30-39 years, male 97.7
GTEX-1JMQK-2626-SM-COH2W 60-69 years, male 97.5
GTEX-ZVT4-1026-SM-57WC4 50-59 years, female 97.4
GTEX-17EUY-1926-SM-7DUF6 20-29 years, male 97.0
GTEX-1CAMR-1426-SM-793BO 20-29 years, male 97.0
GTEX-XUZC-1626-SM-4BRVP 30-39 years, female 96.8
GTEX-S4Q7-1126-SM-4AD6R 20-29 years, male 96.6
GTEX-XQ3S-1326-SM-4BOPQ 20-29 years, male 96.5
GTEX-145MO-0826-SM-5NQBL 60-69 years, male 96.4
GTEX-1J8QM-2026-SM-ARZMW 60-69 years, female 96.1
GTEX-ZC5H-2626-SM-5J2MG 40-49 years, female 95.8
GTEX-S7SE-0826-SM-4AT4D 50-59 years, male 95.5
GTEX-139T6-1626-SM-5PNYZ 50-59 years, male 95.4
GTEX-14B4R-1226-SM-5TDDT 30-39 years, male 95.3
GTEX-1CB4E-0226-SM-79OLW 60-69 years, male 95.2
GTEX-17F98-0526-SM-79OK5 40-49 years, female 95.1
GTEX-13PVR-2226-SM-7DHKP 60-69 years, female 94.7
GTEX-ZY6K-1626-SM-5GZWV 50-59 years, male 94.6
GTEX-U412-1826-SM-4DXTJ 60-69 years, male 94.5
GTEX-13NZ8-0126-SM-5IJCT 60-69 years, female 94.0
GTEX-ZV7C-1826-SM-5NQ83 50-59 years, male 93.9
GTEX-ZYT6-0126-SM-5E45J 30-39 years, male 93.5
GTEX-1MCYP-0126-SM-E6CIS 20-29 years, female 93.4
GTEX-1AX8Z-0926-SM-731AW 60-69 years, male 92.3
GTEX-ZWKS-2826-SM-5NQ74 30-39 years, male 91.8
GTEX-145MN-1926-SM-5SIAI 30-39 years, male 91.1
GTEX-15EOM-5019-SM-793DK 20-29 years, female 91.0
GTEX-T6MO-0326-SM-32QOK 40-49 years, female 91.0
GTEX-1K2DA-1726-SM-CGQGS 50-59 years, male 91.0
GTEX-ZLV1-1426-SM-DO92Z 60-69 years, female 91.0
GTEX-14A5I-0726-SM-5TDEB 50-59 years, female 90.8
GTEX-17EVQ-0426-SM-7LG57 70-79 years, male 90.8
GTEX-Y3I4-1526-SM-4TT7K 50-59 years, male 90.5
GTEX-11OF3-1926-SM-59889 60-69 years, male 90.2
GTEX-1BAJH-0826-SM-7EWEF 70-79 years, male 90.2
GTEX-1JN1M-3026-SM-CMKGK 60-69 years, female 90.1
GTEX-13FTX-1126-SM-5N9EN 20-29 years, female 89.7
GTEX-17F97-2526-SM-7EWDV 50-59 years, male 89.5
GTEX-1M5QR-2526-SM-E9U5P 40-49 years, male 89.5
GTEX-1QEPI-0926-SM-DTXF3 60-69 years, female 89.5
GTEX-1C6VQ-0426-SM-79OOX 50-59 years, male 89.4
GTEX-1LNCM-0226-SM-DIPF4 50-59 years, female 88.9
GTEX-1A3MV-1626-SM-731C1 30-39 years, male 88.7
GTEX-Y3IK-2326-SM-4WWDT 50-59 years, female 88.6
GTEX-111YS-1926-SM-5GICC 60-69 years, male 88.5
GTEX-1HFI7-0126-SM-CGQFQ 50-59 years, female 88.5
GTEX-ZT9W-2026-SM-51MRA 50-59 years, male 88.4
GTEX-1F75A-1826-SM-7SB8G 50-59 years, male 88.4
GTEX-1RQEC-2026-SM-DTXDM 60-69 years, male 87.9
GTEX-QDT8-0626-SM-48TYW 30-39 years, female 87.8
GTEX-T2YK-2226-SM-32QPT 50-59 years, male 87.6
GTEX-UJHI-1426-SM-3DB9C 50-59 years, female 87.5
GTEX-1EWIQ-1726-SM-7SB7T 70-79 years, female 87.5
GTEX-WHSB-1926-SM-EXOHH 50-59 years, male 87.4
GTEX-13QIC-2326-SM-5LU5N 60-69 years, female 86.9
GTEX-14E6E-1326-SM-5S2NR 30-39 years, male 86.8
GTEX-15UF6-0126-SM-6PAMB 70-79 years, female 86.8
GTEX-18A7B-2626-SM-7LG55 70-79 years, male 86.8
GTEX-1IOXB-1926-SM-ARL8E 50-59 years, male 86.7
GTEX-16BQI-1026-SM-7KUEA 30-39 years, female 86.4
GTEX-1LSNM-1326-SM-E9TJ1 50-59 years, male 86.2
GTEX-169BO-1126-SM-7MGWN 50-59 years, male 86.1
GTEX-ZTX8-1226-SM-4YCE9 20-29 years, male 86.0
GTEX-1RAZS-1226-SM-E8VMT 50-59 years, male 85.9
GTEX-1B8L1-2426-SM-9WYTE 60-69 years, male 85.8
GTEX-YB5K-1626-SM-5IFIN 40-49 years, female 85.4
GTEX-12WSM-1726-SM-5BC6J 60-69 years, male 85.2
GTEX-REY6-2426-SM-48FF5 60-69 years, male 85.2
GTEX-145ME-1526-SM-5Q5F2 40-49 years, female 85.1
GTEX-S4P3-1326-SM-4AD6V 50-59 years, female 85.0
GTEX-1R7EU-1226-SM-E8VMR 60-69 years, male 85.0
GTEX-14DAR-1326-SM-7DUEG 50-59 years, male 84.7
GTEX-1J8Q3-1326-SM-CMKI1 60-69 years, male 84.6
GTEX-14E7W-0826-SM-62LEJ 70-79 years, male 84.3
GTEX-18D9A-1526-SM-7LG4J 30-39 years, female 84.2
GTEX-YFC4-1426-SM-5IFJG 40-49 years, female 84.2
GTEX-18465-2026-SM-718AP 50-59 years, male 84.1
GTEX-1H4P4-2226-SM-9MQKQ 50-59 years, male 84.1
GTEX-13OW8-0226-SM-5K7UP 60-69 years, male 83.9
GTEX-S341-1526-SM-4AD6K 40-49 years, female 83.9
GTEX-1KANA-2026-SM-DIPFB 20-29 years, male 83.9
GTEX-11EMC-2026-SM-5A5JV 60-69 years, female 83.6
GTEX-183FY-1126-SM-7DHLJ 20-29 years, male 83.5
GTEX-1IY9M-2726-SM-CMKG5 60-69 years, male 83.4
GTEX-11NV4-2026-SM-5N9DG 60-69 years, male 83.3
GTEX-1KANC-1426-SM-CYPT9 50-59 years, female 83.3
GTEX-13O61-1826-SM-5KM4I 60-69 years, male 83.2
GTEX-17MFQ-0926-SM-7LG4S 20-29 years, male 83.1
GTEX-15FZZ-0726-SM-7KUFZ 30-39 years, female 83.0
GTEX-1B932-0826-SM-73KXG 40-49 years, female 83.0
GTEX-1KAFJ-0226-SM-DIPEL 50-59 years, male 82.7
GTEX-15G19-2126-SM-6M48J 60-69 years, male 82.6
GTEX-1GF9U-1726-SM-7MGY5 40-49 years, female 82.5
GTEX-ZQUD-1926-SM-51MSA 30-39 years, male 82.4
GTEX-1HBPM-0126-SM-ARL9E 60-69 years, female 82.4
GTEX-11PRG-0826-SM-5EQ6A 50-59 years, male 82.2
GTEX-1211K-1926-SM-5EQLB 60-69 years, female 82.2
GTEX-QVJO-1826-SM-447C9 60-69 years, female 82.1
GTEX-R53T-1526-SM-48FEK 50-59 years, female 82.1
GTEX-1122O-1226-SM-5H113 60-69 years, female 81.9
GTEX-1H11D-1526-SM-9MQJY 40-49 years, male 81.8
GTEX-1AX9I-0726-SM-73KWV 60-69 years, male 81.7
GTEX-11NSD-0926-SM-5N9DR 20-29 years, male 81.5
GTEX-WOFL-0826-SM-3MJG1 60-69 years, male 81.5
GTEX-1LC47-1226-SM-D4P44 60-69 years, male 81.5
GTEX-15SHW-1326-SM-6PAL8 60-69 years, male 81.3
GTEX-144GL-2026-SM-5LU3O 50-59 years, male 81.1
GTEX-T2IS-1526-SM-32QPR 20-29 years, female 81.1
GTEX-1B97I-0426-SM-79OL7 40-49 years, male 81.0
GTEX-YB5E-1726-SM-5IFJ3 40-49 years, male 81.0
GTEX-U3ZH-1426-SM-4DXSR 30-39 years, male 80.9
GTEX-1GMR8-0726-SM-9KNVI 50-59 years, female 80.5
GTEX-1HUB1-1626-SM-CM2SL 60-69 years, male 80.3
GTEX-1A3MX-2726-SM-718B6 60-69 years, male 80.1
GTEX-Y5V5-2126-SM-4WWFO 60-69 years, female 80.1
GTEX-ZVTK-0326-SM-51MRR 20-29 years, male 80.1
GTEX-17KNJ-2026-SM-7LG53 50-59 years, male 79.9
GTEX-1H3VY-0926-SM-ACKXE 50-59 years, male 79.7
GTEX-13PVQ-1026-SM-5KM3M 50-59 years, male 79.6
GTEX-ZVZQ-0826-SM-51MRF 60-69 years, female 79.4
GTEX-1IGQW-0926-SM-ADEH6 60-69 years, male 79.2
GTEX-1LG7Z-0726-SM-CXKYD 30-39 years, male 78.9
GTEX-Y5LM-1726-SM-4VDSX 40-49 years, female 78.8
GTEX-17HG3-0126-SM-7IGNH 30-39 years, female 78.6
GTEX-1C6VS-0726-SM-7EPHF 60-69 years, male 78.4
GTEX-RU72-0626-SM-46MUI 50-59 years, female 78.4
GTEX-ZDYS-1126-SM-5K7UB 50-59 years, male 78.4
GTEX-1MJK3-1126-SM-E9J3F 20-29 years, male 78.4
GTEX-1GN1U-0526-SM-9KNTT 50-59 years, female 78.1
GTEX-11TUW-1826-SM-5BC5D 60-69 years, male 78.0
GTEX-U3ZN-1926-SM-4DXSG 30-39 years, female 77.9
GTEX-WYJK-1326-SM-3NB2T 50-59 years, male 77.8
GTEX-13O3P-0826-SM-5L3DH 50-59 years, male 77.7
GTEX-ZZPU-0626-SM-5E43T 50-59 years, female 77.7
GTEX-1HCU8-0126-SM-ADEHH 60-69 years, female 77.4
GTEX-ZTPG-2826-SM-57WGA 20-29 years, female 77.3
GTEX-U8XE-0826-SM-4E3J1 30-39 years, male 76.7
GTEX-ZUA1-1526-SM-59HLS 40-49 years, male 76.6
GTEX-1MA7X-1626-SM-E9U5B 60-69 years, male 76.5
GTEX-117XS-1926-SM-5GICO 60-69 years, male 76.4
GTEX-13PL6-2926-SM-5L3I2 40-49 years, female 76.1
GTEX-17GQL-0326-SM-7LG5U 60-69 years, male 76.1
GTEX-1IKJJ-2326-SM-COH3U 60-69 years, male 76.1
GTEX-WY7C-2726-SM-3NB3P 50-59 years, male 76.0
GTEX-Y111-2026-SM-4SOJA 50-59 years, male 75.5
GTEX-147F4-2826-SM-5NQBN 50-59 years, male 75.4
GTEX-WYVS-1726-SM-3NMAY 40-49 years, female 75.2
GTEX-15ETS-0626-SM-7KUMX 40-49 years, female 75.0
GTEX-YEC3-1026-SM-5IFI5 50-59 years, male 74.7
GTEX-1I1GV-2426-SM-CGQFM 60-69 years, male 74.7
GTEX-12BJ1-1826-SM-5HL9N 60-69 years, male 74.4
GTEX-R55D-0826-SM-48FEA 50-59 years, male 74.1
GTEX-146FH-0826-SM-5SI8T 50-59 years, female 74.0
GTEX-1GN1W-1926-SM-7P8TH 50-59 years, female 74.0
GTEX-ZDXO-0126-SM-5S2ND 60-69 years, male 73.8
GTEX-13W3W-1226-SM-5LU4H 60-69 years, female 73.7
GTEX-1GZ4I-2826-SM-9MQK5 50-59 years, male 73.7
GTEX-1I1HK-2426-SM-ADEHX 60-69 years, male 73.7
GTEX-1GZ4H-0326-SM-7P8QX 50-59 years, female 73.6
GTEX-1I1GU-1026-SM-ADEHJ 40-49 years, male 73.6
GTEX-1EU9M-2826-SM-7EWFH 60-69 years, male 73.3
GTEX-11I78-2226-SM-5PNYA 50-59 years, female 72.6
GTEX-1GMR3-2626-SM-7RHHG 40-49 years, male 72.6
GTEX-1H1E6-0926-SM-9YFLT 30-39 years, male 72.6
GTEX-13N1W-0626-SM-5MR4U 70-79 years, male 72.0
GTEX-13NZB-2126-SM-5MR4Y 30-39 years, male 72.0
GTEX-13N11-1726-SM-5J1OJ 50-59 years, female 71.8
GTEX-11DXW-0626-SM-5N9ER 40-49 years, male 71.7
GTEX-RWS6-1926-SM-47JXY 60-69 years, female 71.5
GTEX-1HKZK-1826-SM-ADEJ2 40-49 years, male 71.5
GTEX-1C64O-0726-SM-7DUFU 60-69 years, male 71.4
GTEX-ZF2S-2026-SM-5E461 50-59 years, female 71.4
GTEX-16YQH-2826-SM-6PAMY 30-39 years, male 71.3
GTEX-13QJ3-0826-SM-7DHKK 50-59 years, male 71.2
GTEX-13OW5-2226-SM-5L3HC 60-69 years, male 70.9
GTEX-X15G-1626-SM-3NMB3 50-59 years, female 70.8
GTEX-ZEX8-2226-SM-57WC6 50-59 years, male 70.8
GTEX-YFCO-1826-SM-4W1YH 40-49 years, male 70.7
GTEX-1HSKV-2026-SM-CMKGX 60-69 years, male 70.7
GTEX-11O72-2126-SM-5N9FO 40-49 years, male 70.2
GTEX-1B97J-0426-SM-79OLQ 50-59 years, female 70.2
GTEX-YJ8O-2226-SM-5IFHW 40-49 years, female 70.2
GTEX-Z9EW-1526-SM-EZ6LU 40-49 years, male 70.2
GTEX-VUSG-2226-SM-4KKZO 50-59 years, male 70.1
GTEX-ZU9S-1926-SM-5NQBP 30-39 years, male 70.1
GTEX-132AR-0826-SM-5EGK6 50-59 years, female 69.6
GTEX-TKQ2-1826-SM-33HB2 50-59 years, male 69.4
GTEX-1GMRU-0826-SM-9WYT7 50-59 years, male 69.3
GTEX-18A7A-0726-SM-7LTAI 50-59 years, female 69.2
GTEX-18A6Q-0926-SM-7LG4N 60-69 years, male 68.9
GTEX-13FTW-1426-SM-5LZWZ 40-49 years, male 68.8
GTEX-RUSQ-2026-SM-4GIAK 50-59 years, male 68.7
GTEX-XMD2-0926-SM-4WWEF 60-69 years, female 68.6
GTEX-XBED-1626-SM-47JYN 60-69 years, male 68.5
GTEX-139TU-0626-SM-5KM3X 60-69 years, male 68.4
GTEX-1F6I4-2526-SM-7SB8F 60-69 years, male 67.9
GTEX-1HR9M-2426-SM-ACKXI 60-69 years, male 67.3
GTEX-XV7Q-2326-SM-4BRVZ 40-49 years, female 66.9
GTEX-1HBPN-2326-SM-9WPPU 50-59 years, male 66.7
GTEX-12WSN-1326-SM-5GCNT 40-49 years, male 66.6
GTEX-WI4N-1426-SM-3LK7H 40-49 years, female 66.6
GTEX-QEG5-0726-SM-D4P1T 20-29 years, male 65.8
GTEX-ZTTD-1026-SM-51MRD 50-59 years, male 65.1
GTEX-1JK1U-1826-SM-ARL8W 60-69 years, male 65.1
GTEX-R3RS-0626-SM-48FE1 40-49 years, female 65.0
GTEX-1CB4G-2326-SM-79OOI 60-69 years, male 64.6
GTEX-17JCI-0726-SM-7EPH1 60-69 years, female 64.4
GTEX-WYBS-0926-SM-3NM94 60-69 years, female 64.0
GTEX-1HSEH-2026-SM-ADEHN 60-69 years, male 64.0
GTEX-1GF9X-1026-SM-ACKX2 40-49 years, female 63.2
GTEX-11ZUS-0826-SM-5FQUY 30-39 years, male 63.0
GTEX-14PHY-1926-SM-5YY95 60-69 years, female 62.5
GTEX-11WQK-2426-SM-5GU5C 50-59 years, male 61.7
GTEX-XYKS-1326-SM-4BRUN 60-69 years, female 61.7
GTEX-1J8Q2-2726-SM-A9G2X 60-69 years, male 61.7
GTEX-11LCK-2426-SM-5HL5F 30-39 years, male 61.5
GTEX-11EI6-0626-SM-5985T 60-69 years, male 61.4
GTEX-X4XY-0926-SM-4E3JD 60-69 years, male 61.2
GTEX-1GZ2Q-2626-SM-7MXV9 40-49 years, male 60.8
GTEX-13CF2-2026-SM-5K7VI 60-69 years, male 60.4
GTEX-1269C-2426-SM-5FQSN 60-69 years, female 60.3
GTEX-17HHY-0926-SM-793C1 50-59 years, male 60.2
GTEX-XUW1-2326-SM-4BOO5 50-59 years, female 60.2
GTEX-17HGU-1326-SM-79OKB 50-59 years, male 59.0
GTEX-17EVP-0226-SM-79OND 40-49 years, male 58.9
GTEX-T5JW-2026-SM-4DM63 20-29 years, female 58.9
GTEX-WFG8-2026-SM-EXOHO 20-29 years, male 58.9
GTEX-13CF3-2126-SM-5IFJP 60-69 years, female 58.4
GTEX-1RAZQ-1226-SM-EWRNL 30-39 years, male 57.4
GTEX-S33H-0326-SM-4AD6N 30-39 years, male 55.8
GTEX-XQ8I-2426-SM-4WAXY 50-59 years, male 55.8
GTEX-UPK5-2326-SM-3P5Z8 40-49 years, male 54.9
GTEX-14PJ4-2126-SM-6ETZJ 60-69 years, male 54.8
GTEX-TKQ1-0226-SM-33HB5 30-39 years, male 54.8
GTEX-1I6K7-1026-SM-A9SLK 40-49 years, male 54.6
GTEX-Y5V6-2126-SM-4WWFX 60-69 years, male 54.1
GTEX-ZYFC-0826-SM-5E44K 50-59 years, male 53.9
GTEX-X261-0626-SM-3NMD9 50-59 years, male 53.7
GTEX-13FTY-2226-SM-5J1ND 40-49 years, female 52.2
GTEX-S32W-2026-SM-4AD6E 50-59 years, female 51.6
GTEX-TML8-1226-SM-32QON 40-49 years, female 51.4
GTEX-WRHU-0326-SM-3MJFY 50-59 years, female 48.8
GTEX-11EQ9-1826-SM-5Q5AJ 30-39 years, male 48.5
GTEX-X4EP-2926-SM-3P5YQ 60-69 years, female 48.4
GTEX-Q2AG-0326-SM-48U1O 40-49 years, female 47.4
GTEX-1JN6P-2426-SM-ARL99 60-69 years, male 45.2
GTEX-1EKGG-2626-SM-7IGPY 60-69 years, male 44.6
GTEX-11GS4-2126-SM-5A5KR 60-69 years, male 43.7
GTEX-T6MN-0726-SM-32PML 50-59 years, male 42.5
GTEX-13NZ9-1026-SM-5MR5K 50-59 years, male 39.4
GTEX-17HHE-1426-SM-7EPH4 50-59 years, male 37.9
GTEX-T5JC-2126-SM-32PMO 20-29 years, male 31.3
Show allShow less

BREAST - FANTOM5 CAGEi

RNA expression in human tissues obtained through Cap Analysis of Gene Expression (CAGE) generated by the FANTOM5 project are reported as Scaled Tags Per Million.

Max subtype Scaled Tags Per Millioni

Max subtype Scaled Tags Per Million is the value for the subtype with the largest average Scaled Tags Per Million across the subtype samples.

267.2
FANTOM5 sample id Sample description Scaled Tags Per Million
Breast
Scaled Tags Per Million: 267.2
FF:10080-102A8 77 years, female 267.2

Contact

  • NEWS ARTICLES
  • PRESS ROOM

The Project

  • INTRODUCTION
  • ORGANIZATION
  • PUBLICATIONS

The Human Protein Atlas

  • DOWNLOADABLE DATA
  • LICENCE & CITATION
  • HELP & FAQ
The Human Protein Atlas project is funded
by the Knut & Alice Wallenberg Foundation.


contact@proteinatlas.org