We use cookies to enhance the usability of our website. If you continue, we'll assume that you are happy to receive all cookies. More information. Don't show this again.
EIF3L
HPA
RESOURCES
  • TISSUE
  • BRAIN
  • SINGLE CELL
  • SUBCELLULAR
  • CANCER
  • BLOOD
  • CELL LINE
  • STRUCTURE & INTERACTION
ABOUT
  • INTRODUCTION
  • HISTORY
  • ORGANIZATION
  • PUBLICATIONS
  • ANTIBODY SUBMISSION
  • ANTIBODY AVAILABILITY
  • ACKNOWLEDGMENTS
  • CONTACT
NEWS
  • NEWS ARTICLES
  • PRESS ROOM
LEARN
  • DICTIONARY
  • PROTEIN CLASSES
  • PROTEIN EVIDENCE
  • METHODS
  • EDUCATIONAL VIDEOS
DATA
  • DOWNLOADABLE DATA
  • PUBLICATION DATA
  • RELEASE HISTORY
HELP
  • ANTIBODY VALIDATION
  • ASSAYS & ANNOTATION
  • DISCLAIMER
  • HELP & FAQ
  • PRIVACY STATEMENT
  • LICENCE & CITATION
Fields »
Search result

Field
Term
Gene name
Class
Subclass
Class
Keyword
Chromosome
External id
Tissue
Cell type
Expression
Antibody panel
Tissue
Main location
Patient ID
Annotation
Tissue
Category
Tau score
Cluster
Reliability
Brain region
Category
Tau score
Brain region
Category
Tau score
Brain region
Category
Tau score
Cluster
Reliability
Tissue
Cell type
Enrichment
Cell type
Category
Tau score
Cell type
Category
Tau score
Cell type
Category
Tau score
Cell lineage
Category
Tau score
Cluster
Cluster
Location
Searches
Location
Cell line
Class
Type
Phase
Reliability
Cancer
Prognosis
Cancer
Category
Cancer
Category
Tau score
Cluster
Variants
Interacting gene (ensg_id)
Type
Number of interactions
Pathway
Category
Score
Score
Score
Validation
Validation
Validation
Validation
Antibodies
Data type
Column


  • SUMMARY

  • TISSUE

  • BRAIN

  • SINGLE CELL

  • SUBCELL

  • CANCER

  • BLOOD

  • CELL LINE

  • STRUCT & INT

  • EIF3L
TISSUE PRIMARY DATA STOMACH Show tissue menu
ADIPOSE TISSUE ADRENAL GLAND AMYGDALA APPENDIX BASAL GANGLIA BONE MARROW BREAST BRONCHUS CEREBELLUM CEREBRAL CORTEX CERVIX CHOROID PLEXUS COLON DUODENUM
ENDOMETRIUM EPIDIDYMIS ESOPHAGUS FALLOPIAN TUBE GALLBLADDER HEART MUSCLE HIPPOCAMPAL FORMATION HYPOTHALAMUS KIDNEY LIVER LUNG LYMPH NODE MIDBRAIN NASOPHARYNX
ORAL MUCOSA OVARY PANCREAS PARATHYROID GLAND PITUITARY GLAND PLACENTA PROSTATE RECTUM RETINA SALIVARY GLAND SEMINAL VESICLE SKELETAL MUSCLE SKIN SMALL INTESTINE
SMOOTH MUSCLE SOFT TISSUE SPINAL CORD SPLEEN STOMACH TESTIS THYMUS THYROID GLAND TONGUE TONSIL URINARY BLADDER VAGINA
ANTIBODIES
AND
VALIDATION
Dictionary
Tissue proteome
Stomach
STOMACH - Expression summary
Protein expression
Stomachi

On the top, protein expression in current human tissue, based on all annotated cell types, is reported with the units not detected (n), low (l), medium (m) and high (h). Underneath, protein expression in each annotated cell type are reported using the same units.

Protein expression data is based on knowledge-based annotation. For genes where more than one antibody has been used, a collective score is set.

If knowledge-based annotation could not be performed for a gene, no data is displayed here. View antibody staining data further down this page.

h
m
l
n
Glandular cells: High
RNA expressioni

A summary of mRNA expression data available for current tissue based on several datasets. The mRNA expression levels in human tissues are based on RNA-seq data generated by the Human Protein Atlas (HPA), Genotype-Tissue Expression (GTEx) portal and CAGE data generated by the FANTOM5 consortium. Consensus normalized expression levels for human tissues was created by combining the data from HPA and GTEx datasets.

The mRNA expression levels in pig are based on RNA-seq data generated by the Human Protein Atlas (HPA), and for mouse, HPA data and in situ hybridization generated by the Allen brain atlas are reported.

Scroll down to view mRNA expression data in more detail.
Consensus:139.7 nTPM
HPA:41.9 nTPM
GTEx:139.7 nTPM

STOMACH 1 - Antibody stainingi

Antibody staining in the annotated cell types in the current human tissue is reported as not detected, low, medium, or high, based on conventional immunohistochemistry profiling in selected tissues. This score is based on the combination of the staining intensity and fraction of stained cells.

Each image is clickable and will lead to virtual microscopy that enables deeper exploration of all samples and also displays staining intensity scores, fraction scores and subcellular localization as well as patient and tissue information for each sample.

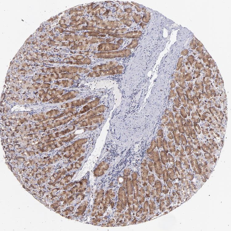
Antibody HPA003028
Glandular cells High


STOMACH 2 - Antibody stainingi

Antibody staining in the annotated cell types in the current human tissue is reported as not detected, low, medium, or high, based on conventional immunohistochemistry profiling in selected tissues. This score is based on the combination of the staining intensity and fraction of stained cells.

Each image is clickable and will lead to virtual microscopy that enables deeper exploration of all samples and also displays staining intensity scores, fraction scores and subcellular localization as well as patient and tissue information for each sample.

Antibody HPA003028
Glandular cells Medium



STOMACH - HPA RNA-seqi

The RNA-seq details section shows detailed information about the individual samples used for the transcript profiling and results of the RNA-seq analysis.

Information about each individual sample is listed below, including gender, age, a tissue section image and estimated fractions of cell types. nTPM (normalized transcripts per million) values give a quantification of the gene abundance which is comparable between different genes and samples.
Average nTPMi

Max subtype nTPM is the value for the subtype with the largest average nTPM across the subtype samples.

41.9
overview
Female, age 33
Stomach sample 61
nTPM: 55.8
Cell types%
Glandular cells:
60

Smooth muscle cells:
5

Other cell types:
35

N/A
Male, age 82
Stomach sample 240
nTPM: 41.4
Cell types%
Glandular cells:
65

Smooth muscle cells:
5

Other cell types:
30

overview
Male, age 71
Stomach sample 241
nTPM: 14.7
Cell types%
Glandular cells:
50

Smooth muscle cells:
5

Other cell types:
45

overview
Female, age 66
Stomach sample 369
nTPM: 55.7
Cell types%
Glandular cells:
50

Smooth muscle cells:
10

Other cell types:
40


STOMACH - GTEx RNA-seqi

RNA-Seq data generated by the Genotype-Tissue Expression (GTEx) project from human tissues is reported as mean nTPM. More information can be found on the GTEx portal.

Distribution across the dataset is visualized with box plots, shown as median and 25th and 75th percentiles. Points are displayed as outliers if they are above or below 1.5 times the interquartile range. nTPM values of the individual samples are presented next to the box plot.
Max subtype nTPMi

Max subtype nTPM is the value for the subtype with the largest average nTPM across the subtype samples.

139.7
GTEx sample id Sample description nTPM
Stomach
Average nTPM: 139.7
Samples: 359

Max nTPM: 356.5
Min nTPM: 28.5
Std nTPM: 50.3
Median nTPM: 132.7
GTEX-14PJ4-1626-SM-664OB 60-69 years, male 356.5
GTEX-1J8QM-1126-SM-C1YQB 60-69 years, female 322.0
GTEX-W5WG-1726-SM-4LMI5 50-59 years, female 308.2
GTEX-1JMQJ-1326-SM-D4P3B 50-59 years, male 306.3
GTEX-ZT9W-1526-SM-4YCDE 50-59 years, male 289.4
GTEX-1RB15-1026-SM-E9U6V 60-69 years, male 275.5
GTEX-PWCY-0926-SM-48TD7 20-29 years, female 273.5
GTEX-144GM-1726-SM-5O9AS 20-29 years, male 267.1
GTEX-WYVS-1326-SM-4ONCQ 40-49 years, female 266.4
GTEX-1JMLX-2426-SM-CXZJQ 50-59 years, male 250.7
GTEX-14DAR-0926-SM-73KUQ 50-59 years, male 243.6
GTEX-ZVT2-1626-SM-51MRC 50-59 years, female 241.6
GTEX-ZF29-1526-SM-4WKF7 60-69 years, female 240.4
GTEX-1C475-1026-SM-7MKFJ 40-49 years, female 239.2
GTEX-Y5V6-1326-SM-4VDTF 60-69 years, male 239.1
GTEX-1LGOU-1526-SM-D3LAJ 20-29 years, female 235.2
GTEX-11I78-1726-SM-5A5M3 50-59 years, female 233.0
GTEX-1J8Q3-1926-SM-C1YSJ 60-69 years, male 232.0
GTEX-1QCLZ-1826-SM-DPRXP 60-69 years, female 230.1
GTEX-QV31-0626-SM-447C5 30-39 years, male 229.7
GTEX-QLQW-0726-SM-447AA 30-39 years, male 225.7
GTEX-18QFQ-1226-SM-718AE 30-39 years, male 219.4
GTEX-11EM3-1026-SM-5A5KL 20-29 years, female 219.2
GTEX-145LT-1426-SM-5O9B3 40-49 years, male 218.8
GTEX-XMK1-1526-SM-EYYVO 40-49 years, male 218.2
GTEX-OXRK-1626-SM-3NB17 50-59 years, female 217.1
GTEX-1B97I-1226-SM-7MGWQ 40-49 years, male 214.4
GTEX-16AAH-1226-SM-79OO9 50-59 years, male 214.1
GTEX-PWN1-1526-SM-48TDA 40-49 years, female 212.7
GTEX-1R9K5-1026-SM-EAZ4F 50-59 years, male 212.2
GTEX-OXRL-1526-SM-E6CHQ 50-59 years, male 212.2
GTEX-UJMC-1226-SM-4IHLI 50-59 years, male 210.2
GTEX-ZAB4-1526-SM-5CVN7 40-49 years, male 208.7
GTEX-1AMFI-1226-SM-731CZ 50-59 years, female 207.9
GTEX-1AMEY-1226-SM-731DU 30-39 years, female 207.7
GTEX-13QBU-1126-SM-5LU44 40-49 years, female 207.5
GTEX-1HBPI-0726-SM-9WG7Z 50-59 years, male 207.5
GTEX-1H1E6-1626-SM-9OSWC 30-39 years, male 204.7
GTEX-T5JW-0926-SM-4DM5K 20-29 years, female 204.4
GTEX-ZVZP-1726-SM-5GZWY 50-59 years, male 204.4
GTEX-12WSK-1426-SM-5CVNN 40-49 years, female 204.0
GTEX-ZA64-0826-SM-5HL9U 20-29 years, male 202.7
GTEX-V955-1326-SM-4JBHR 60-69 years, male 202.2
GTEX-ZQUD-0826-SM-57WDQ 30-39 years, male 201.4
GTEX-ZLFU-1326-SM-DO11R 40-49 years, male 200.9
GTEX-1AYCT-1326-SM-7MKHB 50-59 years, male 200.4
GTEX-14E6E-0926-SM-664N8 30-39 years, male 200.0
GTEX-14B4R-0726-SM-5TDDR 30-39 years, male 199.5
GTEX-X15G-1126-SM-4PQZG 50-59 years, female 199.2
GTEX-QLQ7-0826-SM-447B3 60-69 years, male 198.2
GTEX-WEY5-1226-SM-4LMIQ 40-49 years, female 198.1
GTEX-R53T-1226-SM-48FCT 50-59 years, female 196.4
GTEX-T6MO-0726-SM-4DM58 40-49 years, female 196.4
GTEX-XXEK-0826-SM-4BRWG 50-59 years, male 196.0
GTEX-OHPM-1526-SM-EV796 50-59 years, male 194.8
GTEX-1GF9U-1126-SM-AHZ4H 40-49 years, female 191.2
GTEX-PX3G-1526-SM-48U11 20-29 years, female 187.6
GTEX-ZGAY-1626-SM-DNZZ3 40-49 years, female 187.3
GTEX-18A66-2226-SM-7189E 60-69 years, male 187.0
GTEX-14BIL-1926-SM-73KYI 50-59 years, male 185.6
GTEX-ZV7C-1626-SM-5NQ7E 50-59 years, male 184.8
GTEX-ZZ64-0426-SM-5E43F 20-29 years, male 184.4
GTEX-132QS-1826-SM-5IFFN 60-69 years, male 182.3
GTEX-QV44-1226-SM-CJI1S 50-59 years, male 181.8
GTEX-111YS-1126-SM-5GZYQ 60-69 years, male 181.0
GTEX-13X6H-1626-SM-5Q5CT 50-59 years, female 180.2
GTEX-1QP2A-2126-SM-DPRZ7 50-59 years, male 180.2
GTEX-13OVK-0926-SM-7KUFX 40-49 years, male 179.7
GTEX-11NSD-1426-SM-5HL67 20-29 years, male 179.2
GTEX-15RIF-1126-SM-7KUG2 20-29 years, male 178.8
GTEX-1QPFJ-1526-SM-DPRXT 30-39 years, female 178.3
GTEX-144GN-1226-SM-5O991 50-59 years, male 177.7
GTEX-1H3VY-2326-SM-9WG81 50-59 years, male 177.4
GTEX-1J8JJ-1726-SM-C1YQG 60-69 years, female 177.2
GTEX-1HFI7-1526-SM-9WG7W 50-59 years, female 177.0
GTEX-11TT1-0726-SM-5GU5A 20-29 years, male 176.8
GTEX-QMRM-1126-SM-447BN 50-59 years, male 176.1
GTEX-12696-1726-SM-5EQLH 60-69 years, male 175.9
GTEX-O5YV-1926-SM-EV797 60-69 years, female 175.5
GTEX-13PVR-2126-SM-73KVR 60-69 years, female 174.9
GTEX-WFON-1126-SM-4LVMA 40-49 years, male 174.7
GTEX-1LG7Z-1226-SM-DHXK4 30-39 years, male 174.0
GTEX-14BMU-1126-SM-5RQJ8 20-29 years, female 173.9
GTEX-14PKV-1826-SM-69LO9 20-29 years, female 172.9
GTEX-RM2N-0826-SM-48FD3 50-59 years, male 172.7
GTEX-XBED-1226-SM-4AT5V 60-69 years, male 171.9
GTEX-14JG6-1226-SM-664O6 30-39 years, female 171.8
GTEX-17F9E-2226-SM-7IGNC 50-59 years, male 171.4
GTEX-1HKZK-1526-SM-B2LWG 40-49 years, male 171.2
GTEX-1I1GT-1726-SM-C1YS3 60-69 years, female 167.9
GTEX-PLZ5-1226-SM-EXOHA 50-59 years, male 167.4
GTEX-1B8KE-1326-SM-73KVI 50-59 years, male 167.2
GTEX-14PJ3-1426-SM-664O8 50-59 years, male 166.2
GTEX-YFCO-0826-SM-5LUAG 40-49 years, male 165.3
GTEX-1QP28-2126-SM-DTX8B 50-59 years, female 165.1
GTEX-13O21-0926-SM-5IFGT 50-59 years, male 165.0
GTEX-WRHK-0626-SM-4MVOE 20-29 years, female 164.7
GTEX-1I1HK-2026-SM-CNNRB 60-69 years, male 163.6
GTEX-14DAQ-2826-SM-664MU 60-69 years, female 163.5
GTEX-13X6J-2126-SM-5TDCV 50-59 years, male 163.4
GTEX-ZZPU-1426-SM-5GZZ6 50-59 years, female 163.4
GTEX-Y5LM-1326-SM-5RQIS 40-49 years, female 162.6
GTEX-17MF6-2126-SM-7KFS7 40-49 years, male 161.7
GTEX-1ICG6-1826-SM-AHZ2O 70-79 years, female 161.5
GTEX-WFG7-1326-SM-4LMK1 20-29 years, male 160.9
GTEX-1MUQO-1926-SM-EAZ59 60-69 years, male 160.7
GTEX-WY7C-1726-SM-4ONCC 50-59 years, male 158.9
GTEX-1A8G6-1426-SM-731EZ 60-69 years, male 158.7
GTEX-18A7A-2726-SM-7LG6U 50-59 years, female 157.2
GTEX-1AX9J-2626-SM-731EK 60-69 years, male 156.9
GTEX-14E1K-1526-SM-664MN 50-59 years, male 155.9
GTEX-1I6K7-1726-SM-B2LXQ 40-49 years, male 155.9
GTEX-WXYG-1626-SM-4ONCR 50-59 years, female 155.2
GTEX-OIZF-1526-SM-2I5GR 60-69 years, male 154.3
GTEX-1IDJD-2426-SM-C1YS6 30-39 years, male 153.5
GTEX-1B8KZ-1226-SM-793CP 50-59 years, male 153.3
GTEX-111CU-0926-SM-5EGIK 50-59 years, male 153.0
GTEX-ZDYS-1926-SM-5HL59 50-59 years, male 152.8
GTEX-SUCS-0926-SM-4DM4Z 70-79 years, male 152.0
GTEX-ZEX8-1626-SM-4WKG7 50-59 years, male 151.8
GTEX-OHPK-1526-SM-3MJGM 50-59 years, female 151.7
GTEX-ZV6S-0926-SM-57WGB 40-49 years, female 151.6
GTEX-1GZ4H-1026-SM-9OSXL 50-59 years, female 150.9
GTEX-1MJIX-1126-SM-EV7AO 40-49 years, male 150.7
GTEX-12WSG-2026-SM-5FQUU 50-59 years, female 150.6
GTEX-145MN-1326-SM-5NQ9S 30-39 years, male 150.2
GTEX-SNMC-0626-SM-4DM6H 20-29 years, male 150.0
GTEX-117YW-2226-SM-5N9DB 50-59 years, male 149.8
GTEX-S341-0626-SM-4AD5T 40-49 years, female 149.8
GTEX-1CB4E-1326-SM-7DUGD 60-69 years, male 149.4
GTEX-YJ8A-1526-SM-5P9FT 20-29 years, male 149.0
GTEX-1122O-1926-SM-5EGIQ 60-69 years, female 148.7
GTEX-11EI6-2426-SM-5PNVS 60-69 years, male 148.1
GTEX-ZPU1-1626-SM-4WWB2 40-49 years, male 147.9
GTEX-O5YW-1526-SM-3MJGL 50-59 years, male 147.6
GTEX-1QMI2-2126-SM-DPRXQ 60-69 years, male 147.3
GTEX-RWS6-0926-SM-47JXE 60-69 years, female 147.2
GTEX-TMMY-1626-SM-4DXTY 40-49 years, female 147.2
GTEX-17HGU-2126-SM-7IGOV 50-59 years, male 146.9
GTEX-Q2AI-0826-SM-48TZO 40-49 years, male 146.0
GTEX-Y8LW-0826-SM-4WWDO 50-59 years, female 146.0
GTEX-1GMRU-2526-SM-9WG7T 50-59 years, male 145.8
GTEX-1JMPZ-1826-SM-CXZJT 30-39 years, male 145.7
GTEX-1LVAN-2426-SM-CNNPZ 50-59 years, female 145.5
GTEX-1LSNM-1026-SM-DHXL2 50-59 years, male 144.9
GTEX-13FTW-1726-SM-5KM2B 40-49 years, male 144.8
GTEX-15CHR-1326-SM-79OLT 50-59 years, male 144.8
GTEX-13111-1226-SM-5GCNC 50-59 years, male 144.7
GTEX-1R7EU-1126-SM-EAZ4M 60-69 years, male 144.5
GTEX-1QP67-1026-SM-EVR47 40-49 years, female 144.2
GTEX-S3XE-1026-SM-4AD4O 50-59 years, male 143.8
GTEX-VJYA-1026-SM-4KL21 60-69 years, male 142.1
GTEX-Y3I4-1626-SM-4TT7W 50-59 years, male 142.0
GTEX-13FTX-0726-SM-5N9BI 20-29 years, female 141.4
GTEX-WHWD-1426-SM-4OORU 50-59 years, male 140.3
GTEX-1H3NZ-2226-SM-9WYUT 60-69 years, male 139.9
GTEX-1RQEC-2126-SM-DPS15 60-69 years, male 139.9
GTEX-1MCYP-1126-SM-E9J2P 20-29 years, female 139.8
GTEX-15UF7-1226-SM-6M46G 40-49 years, male 139.6
GTEX-XUZC-0726-SM-4BOPH 30-39 years, female 139.3
GTEX-1LVAM-1426-SM-E9TJ4 50-59 years, female 139.2
GTEX-ZLWG-1526-SM-DO12F 50-59 years, female 138.8
GTEX-13QJ3-2726-SM-5SI6L 50-59 years, male 137.7
GTEX-17HHE-1026-SM-79ON6 50-59 years, male 137.0
GTEX-RTLS-2626-SM-46MUJ 60-69 years, female 136.9
GTEX-11GSP-2126-SM-5HL5E 60-69 years, female 136.6
GTEX-17HII-2426-SM-7KFTT 50-59 years, male 136.2
GTEX-12BJ1-1726-SM-5HL9B 60-69 years, male 136.1
GTEX-1I4MK-0926-SM-A9SLD 50-59 years, female 136.1
GTEX-1GPI7-1326-SM-9KNVA 20-29 years, male 136.0
GTEX-14PKU-1126-SM-69LOU 40-49 years, female 135.9
GTEX-1RMOY-1126-SM-EV79E 50-59 years, male 135.9
GTEX-13CF3-1926-SM-5K7WF 60-69 years, female 135.4
GTEX-13113-0726-SM-5LZUF 60-69 years, female 134.4
GTEX-16NGA-1526-SM-72D56 40-49 years, female 134.3
GTEX-18D9A-0626-SM-7KFTY 30-39 years, female 133.7
GTEX-13D11-2126-SM-5IFH2 50-59 years, female 133.3
GTEX-U4B1-1026-SM-4DXT1 40-49 years, male 133.3
GTEX-S95S-0826-SM-4B64N 60-69 years, male 133.1
GTEX-SNOS-0826-SM-4DM5N 40-49 years, male 132.7
GTEX-QXCU-1926-SM-48FE4 50-59 years, male 132.6
GTEX-Q2AH-1126-SM-48TZM 40-49 years, male 132.1
GTEX-1JKYN-1726-SM-AHZ48 30-39 years, male 132.0
GTEX-ZYFG-1326-SM-5GICJ 60-69 years, female 131.8
GTEX-WHSB-1226-SM-4M1XR 50-59 years, male 131.5
GTEX-V1D1-1726-SM-4JBHB 50-59 years, male 131.4
GTEX-1J8EW-2226-SM-AHZ3T 60-69 years, female 130.4
GTEX-131XF-1226-SM-5HL8V 60-69 years, male 130.1
GTEX-S4UY-1626-SM-4AD55 40-49 years, female 130.0
GTEX-14PN3-1326-SM-6AJ9U 60-69 years, female 129.9
GTEX-1JN76-0926-SM-ARZNH 20-29 years, female 129.9
GTEX-11P7K-1726-SM-5GU6F 30-39 years, male 129.6
GTEX-1JMPY-0926-SM-ARL92 30-39 years, male 128.1
GTEX-1HSMQ-2426-SM-CE6RY 50-59 years, male 127.5
GTEX-PW2O-1226-SM-48TCH 20-29 years, male 126.9
GTEX-1QW4Y-0726-SM-DTX8E 30-39 years, male 126.6
GTEX-14PJ6-0826-SM-686Z9 60-69 years, female 126.3
GTEX-Y114-1226-SM-4TT88 50-59 years, female 126.2
GTEX-1PPH8-1326-SM-DTXFO 20-29 years, male 126.2
GTEX-NFK9-1526-SM-3LK7B 40-49 years, male 126.0
GTEX-S4Q7-0726-SM-4AD5F 20-29 years, male 126.0
GTEX-1H23P-2726-SM-9JGHN 60-69 years, male 125.9
GTEX-1KXAM-0926-SM-CXZKA 60-69 years, male 125.5
GTEX-1PIGE-1126-SM-EWRMV 20-29 years, male 125.0
GTEX-1KANA-1126-SM-D3L9M 20-29 years, male 124.6
GTEX-YEC3-1426-SM-D4P1S 50-59 years, male 124.4
GTEX-1399R-1126-SM-5IFIO 30-39 years, male 124.2
GTEX-15DCE-1626-SM-6LPJM 20-29 years, male 124.1
GTEX-15RIE-1026-SM-6LPJQ 60-69 years, male 124.1
GTEX-13S7M-1826-SM-5RQK6 60-69 years, female 123.7
GTEX-1KD5A-1426-SM-D4P3V 50-59 years, male 123.7
GTEX-U3ZN-2026-SM-4DXUC 30-39 years, female 123.6
GTEX-YB5E-1126-SM-664NU 40-49 years, male 122.3
GTEX-ZY6K-0726-SM-5A5L8 50-59 years, male 122.0
GTEX-1E1VI-2826-SM-7MGWU 50-59 years, male 121.0
GTEX-1HCU8-1326-SM-C1YQQ 60-69 years, female 120.2
GTEX-UJHI-1026-SM-4IHJP 50-59 years, female 120.1
GTEX-1C64O-2226-SM-73KTV 60-69 years, male 119.9
GTEX-13FH7-1026-SM-5IJGF 50-59 years, female 119.7
GTEX-1F5PK-1826-SM-7RHHX 50-59 years, male 119.6
GTEX-1HBPN-1626-SM-9WPNP 50-59 years, male 118.0
GTEX-1A3MV-1226-SM-718BW 30-39 years, male 117.1
GTEX-1HSEH-1526-SM-B2LXG 60-69 years, male 116.8
GTEX-RUSQ-1126-SM-EAZAU 50-59 years, male 116.8
GTEX-18D9B-2226-SM-718BM 60-69 years, male 116.5
GTEX-17GQL-1226-SM-7KFTS 60-69 years, male 116.1
GTEX-1S82Z-1726-SM-E6CHZ 30-39 years, female 116.0
GTEX-1339X-1426-SM-5K7YO 40-49 years, male 115.9
GTEX-XQ8I-2026-SM-4BOOL 50-59 years, male 115.7
GTEX-ZF2S-1426-SM-57WET 50-59 years, female 115.7
GTEX-15G1A-1226-SM-7KUF3 30-39 years, male 115.6
GTEX-1GN1W-2126-SM-9JGI7 50-59 years, female 115.5
GTEX-ZE7O-3026-SM-51MS4 50-59 years, female 115.3
GTEX-ZTX8-0426-SM-59HLG 20-29 years, male 115.2
GTEX-1GL5R-1926-SM-9WG7U 50-59 years, male 115.2
GTEX-1NSGN-1926-SM-E9J36 50-59 years, male 115.1
GTEX-133LE-1326-SM-5IFGO 20-29 years, female 115.0
GTEX-12WSD-2326-SM-59HKQ 60-69 years, female 114.9
GTEX-1B97J-1826-SM-7IGPP 50-59 years, female 114.8
GTEX-1JK1U-1326-SM-AHZ45 60-69 years, male 113.8
GTEX-YEC4-1426-SM-5IFHS 40-49 years, male 113.6
GTEX-ZVP2-1626-SM-5GU5D 50-59 years, male 113.4
GTEX-1S831-1126-SM-EWROI 20-29 years, male 113.4
GTEX-P4QT-1526-SM-3NMCT 50-59 years, female 112.8
GTEX-QDVN-1226-SM-48TZ5 50-59 years, male 112.8
GTEX-1IDJU-1526-SM-CNNR3 60-69 years, female 112.6
GTEX-R55C-1026-SM-48FCM 40-49 years, male 112.5
GTEX-139YR-1926-SM-5LZXM 50-59 years, male 111.7
GTEX-1H1DG-2126-SM-9WPPB 70-79 years, male 111.4
GTEX-17KNJ-1526-SM-7LTA9 50-59 years, male 111.1
GTEX-1K2DA-0826-SM-CGQGD 50-59 years, male 111.0
GTEX-ZP4G-1226-SM-4WWCJ 20-29 years, female 110.7
GTEX-145MO-2226-SM-5Q5BN 60-69 years, male 110.4
GTEX-P4PQ-1526-SM-3NMCK 60-69 years, male 110.1
GTEX-QDVJ-1426-SM-48U1Y 50-59 years, male 110.1
GTEX-Q734-1026-SM-48U16 40-49 years, female 110.0
GTEX-13OVI-2426-SM-5KM4J 60-69 years, female 109.7
GTEX-1B8L1-1526-SM-79OLK 60-69 years, male 109.6
GTEX-OIZH-1526-SM-3NB1J 50-59 years, male 109.4
GTEX-13N1W-2026-SM-5K7YU 70-79 years, male 108.0
GTEX-15EU6-2526-SM-7KUGB 50-59 years, male 107.9
GTEX-WYJK-2526-SM-4ONDF 50-59 years, male 107.8
GTEX-1MGNQ-1826-SM-DPRYI 40-49 years, male 106.6
GTEX-1399S-1626-SM-5P9GI 30-39 years, female 106.1
GTEX-1RAZR-1526-SM-EAZ4U 40-49 years, male 106.1
GTEX-R55G-1126-SM-48FDG 40-49 years, female 105.4
GTEX-13O61-1126-SM-5L3FI 60-69 years, male 104.7
GTEX-1LGRB-1726-SM-CNNRA 50-59 years, female 104.7
GTEX-11WQK-2626-SM-5EQ4K 50-59 years, male 104.6
GTEX-XPVG-1526-SM-4B66C 50-59 years, male 103.7
GTEX-P78B-1826-SM-3P5YX 40-49 years, female 103.4
GTEX-1S3DN-1526-SM-EVYCB 50-59 years, male 103.2
GTEX-1F5PL-1426-SM-7MKFH 40-49 years, female 103.1
GTEX-1QCLY-1126-SM-EAZ4J 30-39 years, male 102.4
GTEX-13OW6-2526-SM-5IJEC 50-59 years, male 102.3
GTEX-14ICL-0826-SM-5YY9W 30-39 years, male 102.3
GTEX-17F98-1526-SM-7EWD8 40-49 years, female 101.9
GTEX-1N2DV-0926-SM-E9TJT 40-49 years, male 101.9
GTEX-11NUK-2426-SM-5BC4U 50-59 years, male 101.6
GTEX-11P82-0726-SM-5PNYL 20-29 years, male 101.1
GTEX-WFG8-1326-SM-4LVN3 20-29 years, male 101.1
GTEX-12C56-0526-SM-5FQST 20-29 years, male 100.7
GTEX-S4P3-0726-SM-4AD57 50-59 years, female 99.8
GTEX-1H11D-2226-SM-9OSXN 40-49 years, male 99.4
GTEX-15DZA-1126-SM-6LPK8 30-39 years, female 98.5
GTEX-ZPIC-2026-SM-57WG3 40-49 years, female 98.4
GTEX-XBEW-1826-SM-4RTWX 40-49 years, male 98.2
GTEX-Y8E4-1526-SM-4WWDI 40-49 years, male 97.9
GTEX-1CB4H-2426-SM-7PBYR 60-69 years, female 96.6
GTEX-1IDJF-1426-SM-ACKWK 20-29 years, male 96.4
GTEX-1399U-1626-SM-5P9J3 50-59 years, female 96.3
GTEX-117YX-1026-SM-5H11V 50-59 years, male 96.2
GTEX-13U4I-2526-SM-5SI8Z 40-49 years, female 95.9
GTEX-131XG-1226-SM-5EGH9 50-59 years, female 95.8
GTEX-13PVQ-2126-SM-5L3FW 50-59 years, male 95.7
GTEX-1LBAC-1426-SM-CXZKT 20-29 years, male 95.0
GTEX-P4PP-1526-SM-3P61M 30-39 years, female 94.8
GTEX-TKQ1-0526-SM-4DXTG 30-39 years, male 94.8
GTEX-14PHX-1026-SM-664OL 50-59 years, male 93.7
GTEX-18A67-2626-SM-718AD 50-59 years, male 93.7
GTEX-1JN1M-2926-SM-CNNPJ 60-69 years, female 93.6
GTEX-S4Z8-1226-SM-4AD6W 60-69 years, male 93.4
GTEX-11VI4-0326-SM-5EQ6L 40-49 years, female 93.0
GTEX-ZVT3-2126-SM-59HL2 60-69 years, female 92.2
GTEX-WZTO-2126-SM-4PQYW 40-49 years, male 91.7
GTEX-1QP29-2326-SM-EXOJO 50-59 years, male 90.6
GTEX-ZLV1-0826-SM-DO11P 60-69 years, female 90.4
GTEX-S7SF-0626-SM-4AD4V 20-29 years, female 88.9
GTEX-1HT8W-2326-SM-A9SLA 30-39 years, male 88.7
GTEX-13O3Q-2126-SM-5KM4C 50-59 years, male 88.6
GTEX-1HR9M-2326-SM-CNPPZ 60-69 years, male 88.0
GTEX-1A3MX-1926-SM-72D7F 60-69 years, male 87.7
GTEX-139D8-2326-SM-5IFGE 30-39 years, female 87.6
GTEX-15SHW-2126-SM-6M46Y 60-69 years, male 86.9
GTEX-14PJ5-0826-SM-6AJAR 60-69 years, female 86.7
GTEX-TKQ2-0926-SM-4DXU5 50-59 years, male 85.5
GTEX-146FR-2026-SM-5NQAI 60-69 years, female 84.2
GTEX-WHPG-0426-SM-4M1XW 50-59 years, male 84.1
GTEX-ZXES-1426-SM-5NQ8S 30-39 years, female 83.9
GTEX-131XE-2226-SM-5PNYX 50-59 years, male 80.3
GTEX-1CAMR-0726-SM-7EPIE 20-29 years, male 79.8
GTEX-QCQG-0526-SM-48U2A 50-59 years, female 79.8
GTEX-Y3IK-1426-SM-4YCES 50-59 years, female 79.2
GTEX-T8EM-1226-SM-4DM5J 40-49 years, male 79.1
GTEX-T5JC-1926-SM-4DM6Q 20-29 years, male 79.0
GTEX-1F75I-1826-SM-7MKGX 40-49 years, male 78.8
GTEX-146FH-2126-SM-5SI9U 50-59 years, female 78.0
GTEX-OOBJ-1526-SM-3NB1Q 60-69 years, male 77.4
GTEX-PLZ6-0826-SM-3P61K 30-39 years, male 77.4
GTEX-XAJ8-0326-SM-47JYI 40-49 years, male 76.0
GTEX-QDT8-2026-SM-EZ6LS 30-39 years, female 75.6
GTEX-ZYY3-1726-SM-5EGH3 60-69 years, female 75.5
GTEX-1L5NE-1526-SM-DIPFW 50-59 years, male 73.9
GTEX-1211K-1426-SM-5FQTF 60-69 years, female 73.5
GTEX-145ME-1026-SM-5O9B4 40-49 years, female 72.3
GTEX-1IL2V-2026-SM-ARZMA 70-79 years, male 72.1
GTEX-17EUY-1526-SM-793CA 20-29 years, male 71.8
GTEX-Y9LG-1026-SM-5IFJN 30-39 years, male 70.7
GTEX-XV7Q-1326-SM-4BRWM 40-49 years, female 69.9
GTEX-POMQ-0826-SM-3P61H 20-29 years, female 69.8
GTEX-ZYVF-2726-SM-5GID4 50-59 years, female 69.2
GTEX-1H1DE-1226-SM-9JGHH 20-29 years, male 68.5
GTEX-14PHY-0926-SM-5ZZWL 60-69 years, female 67.7
GTEX-132AR-2426-SM-5IFFD 50-59 years, female 67.5
GTEX-WFJO-1126-SM-4LVLZ 30-39 years, male 66.8
GTEX-1E2YA-2426-SM-7EPIG 50-59 years, male 65.4
GTEX-17JCI-2226-SM-7LTA1 60-69 years, female 65.3
GTEX-12WSJ-0926-SM-5P9JD 40-49 years, female 65.1
GTEX-14BMV-2226-SM-5RQHX 50-59 years, male 65.0
GTEX-RU1J-0526-SM-46MUT 20-29 years, female 64.8
GTEX-15G19-1526-SM-6LPKP 60-69 years, male 64.6
GTEX-11DXX-1326-SM-5GIDZ 60-69 years, female 63.9
GTEX-R55D-1526-SM-48FEJ 50-59 years, male 63.7
GTEX-UPK5-2126-SM-4JBJK 40-49 years, male 61.2
GTEX-WH7G-1526-SM-4LVMX 40-49 years, male 61.0
GTEX-1EH9U-2226-SM-7PBXX 60-69 years, male 60.4
GTEX-13RTK-0226-SM-5RQHR 20-29 years, male 59.6
GTEX-1HCUA-1626-SM-A9SMG 50-59 years, female 50.7
GTEX-11EQ9-1226-SM-5987E 30-39 years, male 28.5
Show allShow less

Contact

  • NEWS ARTICLES
  • PRESS ROOM

The Project

  • INTRODUCTION
  • ORGANIZATION
  • PUBLICATIONS

The Human Protein Atlas

  • DOWNLOADABLE DATA
  • LICENCE & CITATION
  • HELP & FAQ
The Human Protein Atlas project is funded
by the Knut & Alice Wallenberg Foundation.


contact@proteinatlas.org