We use cookies to enhance the usability of our website. If you continue, we'll assume that you are happy to receive all cookies. More information. Don't show this again.
EIF3L
HPA
RESOURCES
  • TISSUE
  • BRAIN
  • SINGLE CELL
  • SUBCELLULAR
  • CANCER
  • BLOOD
  • CELL LINE
  • STRUCTURE & INTERACTION
ABOUT
  • INTRODUCTION
  • HISTORY
  • ORGANIZATION
  • PUBLICATIONS
  • ANTIBODY SUBMISSION
  • ANTIBODY AVAILABILITY
  • ACKNOWLEDGMENTS
  • CONTACT
NEWS
  • NEWS ARTICLES
  • PRESS ROOM
LEARN
  • DICTIONARY
  • PROTEIN CLASSES
  • PROTEIN EVIDENCE
  • METHODS
  • EDUCATIONAL VIDEOS
DATA
  • DOWNLOADABLE DATA
  • PUBLICATION DATA
  • RELEASE HISTORY
HELP
  • ANTIBODY VALIDATION
  • ASSAYS & ANNOTATION
  • DISCLAIMER
  • HELP & FAQ
  • PRIVACY STATEMENT
  • LICENCE & CITATION
Fields »
Search result

Field
Term
Gene name
Class
Subclass
Class
Keyword
Chromosome
External id
Tissue
Cell type
Expression
Antibody panel
Tissue
Main location
Patient ID
Annotation
Tissue
Category
Tau score
Cluster
Reliability
Brain region
Category
Tau score
Brain region
Category
Tau score
Brain region
Category
Tau score
Cluster
Reliability
Tissue
Cell type
Enrichment
Cell type
Category
Tau score
Cell type
Category
Tau score
Cell type
Category
Tau score
Cell lineage
Category
Tau score
Cluster
Cluster
Location
Searches
Location
Cell line
Class
Type
Phase
Reliability
Cancer
Prognosis
Cancer
Category
Cancer
Category
Tau score
Cluster
Variants
Interacting gene (ensg_id)
Type
Number of interactions
Pathway
Category
Score
Score
Score
Validation
Validation
Validation
Validation
Antibodies
Data type
Column


  • SUMMARY

  • TISSUE

  • BRAIN

  • SINGLE CELL

  • SUBCELL

  • CANCER

  • BLOOD

  • CELL LINE

  • STRUCT & INT

  • EIF3L
TISSUE PRIMARY DATA COLON Show tissue menu
ADIPOSE TISSUE ADRENAL GLAND AMYGDALA APPENDIX BASAL GANGLIA BONE MARROW BREAST BRONCHUS CEREBELLUM CEREBRAL CORTEX CERVIX CHOROID PLEXUS COLON DUODENUM
ENDOMETRIUM EPIDIDYMIS ESOPHAGUS FALLOPIAN TUBE GALLBLADDER HEART MUSCLE HIPPOCAMPAL FORMATION HYPOTHALAMUS KIDNEY LIVER LUNG LYMPH NODE MIDBRAIN NASOPHARYNX
ORAL MUCOSA OVARY PANCREAS PARATHYROID GLAND PITUITARY GLAND PLACENTA PROSTATE RECTUM RETINA SALIVARY GLAND SEMINAL VESICLE SKELETAL MUSCLE SKIN SMALL INTESTINE
SMOOTH MUSCLE SOFT TISSUE SPINAL CORD SPLEEN STOMACH TESTIS THYMUS THYROID GLAND TONGUE TONSIL URINARY BLADDER VAGINA
ANTIBODIES
AND
VALIDATION
Dictionary
Colon
Tissue proteome
Intestine
COLON - Expression summary
Protein expression
Coloni

On the top, protein expression in current human tissue, based on all annotated cell types, is reported with the units not detected (n), low (l), medium (m) and high (h). Underneath, protein expression in each annotated cell type are reported using the same units.

Protein expression data is based on knowledge-based annotation. For genes where more than one antibody has been used, a collective score is set.

If knowledge-based annotation could not be performed for a gene, no data is displayed here. View antibody staining data further down this page.

h
m
l
n
Endothelial cells: Not detected
Glandular cells: Low
Peripheral nerve/ganglion: Low
RNA expressioni

A summary of mRNA expression data available for current tissue based on several datasets. The mRNA expression levels in human tissues are based on RNA-seq data generated by the Human Protein Atlas (HPA), Genotype-Tissue Expression (GTEx) portal and CAGE data generated by the FANTOM5 consortium. Consensus normalized expression levels for human tissues was created by combining the data from HPA and GTEx datasets.

The mRNA expression levels in pig are based on RNA-seq data generated by the Human Protein Atlas (HPA), and for mouse, HPA data and in situ hybridization generated by the Allen brain atlas are reported.

Scroll down to view mRNA expression data in more detail.
Consensus:101.8 nTPM
HPA:53.9 nTPM
GTEx:101.8 nTPM
FANTOM5:376.5 Scaled Tags Per Million

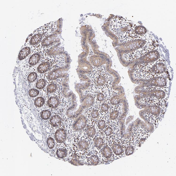
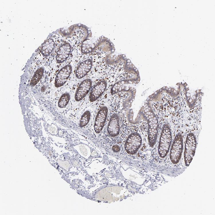
COLON - Antibody stainingi

Antibody staining in the annotated cell types in the current human tissue is reported as not detected, low, medium, or high, based on conventional immunohistochemistry profiling in selected tissues. This score is based on the combination of the staining intensity and fraction of stained cells.

Each image is clickable and will lead to virtual microscopy that enables deeper exploration of all samples and also displays staining intensity scores, fraction scores and subcellular localization as well as patient and tissue information for each sample.

Antibody HPA003028
Endothelial cells Not detected
Glandular cells Low
Peripheral nerve/ganglion Low


COLON - HPA RNA-seqi

The RNA-seq details section shows detailed information about the individual samples used for the transcript profiling and results of the RNA-seq analysis.

Information about each individual sample is listed below, including gender, age, a tissue section image and estimated fractions of cell types. nTPM (normalized transcripts per million) values give a quantification of the gene abundance which is comparable between different genes and samples.
Average nTPMi

Max subtype nTPM is the value for the subtype with the largest average nTPM across the subtype samples.

53.9
overview
Male, age 54
Colon sample 67
nTPM: 28.7
Cell types%
Glandular cells:
65

Smooth muscle cells:
10

Other cell types:
25

overview
Female, age 57
Colon sample 68
nTPM: 11.9
Cell types%
Glandular cells:
40

Smooth muscle cells:
5

Other cell types:
55

overview
Male, age 80
Colon sample 69
nTPM: 19.7
Cell types%
Glandular cells:
55

Smooth muscle cells:
5

Other cell types:
40

overview
Male, age 68
Colon sample 70
nTPM: 31.2
Cell types%
Glandular cells:
35

Smooth muscle cells:
10

Other cell types:
55

overview
Female, age 68
Colon sample 76
nTPM: 6.7
Cell types%
Glandular cells:
25

Smooth muscle cells:
5

Other cell types:
70

overview
Female, age 61
Colon sample 299
nTPM: 74.8
Cell types%
Glandular cells:
5

Smooth muscle cells:
65

Other cell types:
30

overview
Male, age 80
Colon sample 300
nTPM: 60.8
Cell types%
Glandular cells:
15

Smooth muscle cells:
20

Other cell types:
65

overview
Female, age 78
Colon sample 368
nTPM: 90.3
Cell types%
Glandular cells:
45

Smooth muscle cells:
5

Other cell types:
50

overview
Male, age 84
Colon sample 381
nTPM: 70.5
Cell types%
Glandular cells:
50

Smooth muscle cells:
15

Other cell types:
35

overview
Male, age 80
Colon sample 384
nTPM: 105.3
Cell types%
Glandular cells:
20

Smooth muscle cells:
35

Other cell types:
45

overview
Female, age 78
Colon sample 389
nTPM: 73.1
Cell types%
Glandular cells:
35

Smooth muscle cells:
10

Other cell types:
55

overview
Female, age 69
Colon sample 391
nTPM: 53.2
Cell types%
Glandular cells:
10

Smooth muscle cells:
45

Other cell types:
45

overview
Female, age 72
Colon sample 403
nTPM: 73.9
Cell types%
Glandular cells:
20

Smooth muscle cells:
15

Other cell types:
65


COLON - GTEx RNA-seqi

RNA-Seq data generated by the Genotype-Tissue Expression (GTEx) project from human tissues is reported as mean nTPM. More information can be found on the GTEx portal.

Distribution across the dataset is visualized with box plots, shown as median and 25th and 75th percentiles. Points are displayed as outliers if they are above or below 1.5 times the interquartile range. nTPM values of the individual samples are presented next to the box plot.
Max subtype nTPMi

Max subtype nTPM is the value for the subtype with the largest average nTPM across the subtype samples.

101.8
GTEx sample id Sample description nTPM
Colon - Sigmoid
Average nTPM: 101.8
Samples: 373

Max nTPM: 326.2
Min nTPM: 30.4
Std nTPM: 36.5
Median nTPM: 95.9
GTEX-15RJ7-1726-SM-6PAL3 40-49 years, male 326.2
GTEX-17HG3-1126-SM-7DUFC 30-39 years, female 244.4
GTEX-1H3VE-2326-SM-9KNVU 40-49 years, male 231.4
GTEX-15RJE-2226-SM-6M46A 40-49 years, male 222.1
GTEX-1A3MX-2326-SM-718B4 60-69 years, male 209.1
GTEX-1R9JW-2126-SM-E76QT 30-39 years, female 199.5
GTEX-1399U-2226-SM-5KLZI 50-59 years, female 198.8
GTEX-ZLV1-1326-SM-DO11Q 60-69 years, female 181.5
GTEX-1KANA-1726-SM-CY8IG 20-29 years, male 180.2
GTEX-1J1OQ-2826-SM-D3L88 40-49 years, female 173.1
GTEX-1EMGI-2626-SM-7IGNR 60-69 years, male 171.7
GTEX-14E6E-1726-SM-5S2R6 30-39 years, male 171.5
GTEX-1J8Q3-2426-SM-CL53S 60-69 years, male 170.8
GTEX-13RTJ-1926-SM-5YYA2 60-69 years, male 169.7
GTEX-1IDJU-1926-SM-CL53W 60-69 years, female 168.6
GTEX-1QPFJ-2426-SM-EVR3L 30-39 years, female 165.1
GTEX-1JKYR-2026-SM-CNPON 20-29 years, male 163.4
GTEX-1I1GT-2026-SM-CKZPK 60-69 years, female 163.1
GTEX-14C5O-2626-SM-5RQI5 60-69 years, male 161.0
GTEX-1RAZQ-2026-SM-E76P7 30-39 years, male 160.8
GTEX-1LKK1-2426-SM-DIPES 50-59 years, female 160.6
GTEX-11ZU8-1126-SM-5EQ5K 60-69 years, male 159.4
GTEX-1S82P-2026-SM-E9TIQ 60-69 years, female 159.0
GTEX-183WM-2526-SM-731BP 70-79 years, female 158.6
GTEX-1R9K5-2226-SM-DTX9G 50-59 years, male 158.0
GTEX-1OFPY-1226-SM-E76OM 60-69 years, male 157.9
GTEX-1L5NE-1926-SM-D3L9R 50-59 years, male 155.4
GTEX-Y9LG-1326-SM-4VBQB 30-39 years, male 155.1
GTEX-1HB9E-2526-SM-D4P35 50-59 years, male 152.3
GTEX-1LBAC-1726-SM-D3L9W 20-29 years, male 152.1
GTEX-13X6K-2726-SM-5O9DG 60-69 years, female 152.0
GTEX-17F9Y-2626-SM-7IGN9 70-79 years, female 151.1
GTEX-1PIEJ-1826-SM-EWRMN 20-29 years, female 150.5
GTEX-ZYFG-1826-SM-5GZWX 60-69 years, female 149.0
GTEX-1JJE9-2526-SM-ARU8K 70-79 years, male 148.9
GTEX-145LT-0826-SM-5S2QL 40-49 years, male 148.1
GTEX-145LS-2926-SM-5O99G 60-69 years, female 147.7
GTEX-1MGNQ-2126-SM-EV7AC 40-49 years, male 147.6
GTEX-1LVAO-2826-SM-E9TJH 60-69 years, male 147.4
GTEX-1J1R8-1426-SM-CL55O 40-49 years, male 146.7
GTEX-1H1ZS-2626-SM-9QEIX 70-79 years, male 145.5
GTEX-1QP67-1426-SM-E8VOO 40-49 years, female 145.1
GTEX-1IDJI-2226-SM-CKZPM 50-59 years, female 144.4
GTEX-13OVI-2126-SM-5KM3U 60-69 years, female 144.2
GTEX-18D9A-1326-SM-7LT8P 30-39 years, female 143.1
GTEX-1S831-1726-SM-EWROJ 20-29 years, male 142.7
GTEX-1AX9K-1626-SM-73KUS 50-59 years, male 142.6
GTEX-139UW-2326-SM-5KM1Y 60-69 years, male 141.7
GTEX-1QP2A-2226-SM-DTXF6 50-59 years, male 141.5
GTEX-ZLWG-1826-SM-DO11I 50-59 years, female 141.3
GTEX-144GM-1126-SM-79OJK 20-29 years, male 140.9
GTEX-1GL5R-1726-SM-9KNUX 50-59 years, male 139.4
GTEX-ZA64-1426-SM-5CVMC 20-29 years, male 138.1
GTEX-1LSNM-1426-SM-E6CIH 50-59 years, male 138.0
GTEX-14PK6-1826-SM-69LOM 70-79 years, female 137.9
GTEX-1JMQJ-2626-SM-CY8HQ 50-59 years, male 137.5
GTEX-1KXAM-1926-SM-D3LAG 60-69 years, male 137.3
GTEX-1QW4Y-1426-SM-E76P3 30-39 years, male 137.1
GTEX-1LG7Z-1326-SM-DIPF3 30-39 years, male 135.4
GTEX-13OW8-2726-SM-5L3FZ 60-69 years, male 135.2
GTEX-13PL7-2426-SM-5J2N3 60-69 years, female 135.0
GTEX-1HBPN-2026-SM-B2LWA 50-59 years, male 134.9
GTEX-13QBU-2026-SM-5KLZB 40-49 years, female 134.8
GTEX-16XZZ-2726-SM-7EWDO 60-69 years, male 134.8
GTEX-1PIGE-1526-SM-DTXFC 20-29 years, male 134.7
GTEX-WRHK-1126-SM-4MVOJ 20-29 years, female 131.4
GTEX-1QP28-2226-SM-DTX8C 50-59 years, female 131.4
GTEX-1P4AB-2626-SM-DTXEU 50-59 years, male 130.8
GTEX-1LGRB-2026-SM-COH47 50-59 years, female 130.7
GTEX-1K2DA-1626-SM-CGQGB 50-59 years, male 130.4
GTEX-14E1K-1626-SM-664MO 50-59 years, male 129.8
GTEX-1JMPZ-2626-SM-ARU8Z 30-39 years, male 129.7
GTEX-15G1A-1926-SM-7KUFF 30-39 years, male 129.5
GTEX-1HFI7-1626-SM-9WYTR 50-59 years, female 128.6
GTEX-1CAMS-2626-SM-7PBY3 40-49 years, female 128.5
GTEX-1122O-1426-SM-5H11R 60-69 years, female 128.0
GTEX-Y3I4-1126-SM-4TT7Y 50-59 years, male 128.0
GTEX-1JKYN-2226-SM-ARZNE 30-39 years, male 127.9
GTEX-18A66-2626-SM-72D67 60-69 years, male 127.4
GTEX-1B97I-1526-SM-73KUK 40-49 years, male 126.6
GTEX-ZPIC-2626-SM-57WE2 40-49 years, female 126.1
GTEX-1C6VQ-2626-SM-7IGMQ 50-59 years, male 125.5
GTEX-11P81-1426-SM-5P9JN 30-39 years, female 125.2
GTEX-13OVJ-1826-SM-5KM2D 50-59 years, female 124.7
GTEX-WY7C-1926-SM-4ONCI 50-59 years, male 124.5
GTEX-XUZC-1526-SM-4BRV4 30-39 years, female 124.1
GTEX-183FY-1426-SM-7DHLM 20-29 years, male 123.3
GTEX-1AMFI-1826-SM-73KWB 50-59 years, female 123.3
GTEX-15RIE-2026-SM-7KFRW 60-69 years, male 123.0
GTEX-13O1R-2426-SM-5KLZZ 60-69 years, male 122.7
GTEX-1GMR2-1826-SM-9KNUP 50-59 years, male 122.6
GTEX-1F5PK-1726-SM-7RHHW 50-59 years, male 122.2
GTEX-14AS3-1026-SM-5TDD7 40-49 years, female 121.9
GTEX-13FHO-2726-SM-5K7VG 60-69 years, male 121.8
GTEX-1LSNL-1626-SM-E9TJY 50-59 years, male 121.5
GTEX-13PVR-1726-SM-5Q5EC 60-69 years, female 121.4
GTEX-ZXES-1726-SM-5E43G 30-39 years, female 120.9
GTEX-1JK1U-1426-SM-CNPOW 60-69 years, male 120.8
GTEX-1B8KE-1526-SM-7DUG2 50-59 years, male 120.6
GTEX-1EH9U-1926-SM-7P8QM 60-69 years, male 120.3
GTEX-12696-1926-SM-5EGJT 60-69 years, male 120.2
GTEX-1C475-1526-SM-7DHM3 40-49 years, female 120.2
GTEX-ZYT6-2826-SM-5GICX 30-39 years, male 120.1
GTEX-1N2EF-1726-SM-EXUSI 60-69 years, male 119.9
GTEX-15RIF-1426-SM-7KUKQ 20-29 years, male 119.8
GTEX-15UF6-2726-SM-7KULY 70-79 years, female 118.8
GTEX-18QFQ-1726-SM-731C9 30-39 years, male 118.8
GTEX-147GR-2826-SM-5RQK8 60-69 years, male 118.7
GTEX-15UF7-1326-SM-7KUKV 40-49 years, male 118.2
GTEX-WHPG-1626-SM-4M1ZL 50-59 years, male 118.1
GTEX-YECK-2826-SM-5IFHF 60-69 years, male 118.0
GTEX-ZE9C-2126-SM-4WKGY 60-69 years, male 117.9
GTEX-1HCU7-2726-SM-A9G3D 50-59 years, male 117.8
GTEX-1OJC3-1826-SM-DTX93 20-29 years, male 117.5
GTEX-ZVZQ-2626-SM-59HLB 60-69 years, female 117.4
GTEX-1H1E6-1826-SM-A9G21 30-39 years, male 117.2
GTEX-145ME-1126-SM-5SIAT 40-49 years, female 116.7
GTEX-ZF29-1826-SM-4WKG8 60-69 years, female 116.6
GTEX-145MO-2626-SM-5QGPD 60-69 years, male 116.2
GTEX-ZY6K-1326-SM-5GZWP 50-59 years, male 115.9
GTEX-13111-1926-SM-5GCOL 50-59 years, male 115.8
GTEX-ZLFU-1426-SM-4WWEU 40-49 years, male 115.6
GTEX-11P7K-1826-SM-5HL5A 30-39 years, male 115.4
GTEX-1JN76-1326-SM-ARU94 20-29 years, female 114.4
GTEX-1J8QM-1226-SM-CY8HI 60-69 years, female 114.2
GTEX-15ETS-2326-SM-7KUGC 40-49 years, female 113.8
GTEX-1GMR8-2926-SM-9KNW5 50-59 years, female 113.2
GTEX-13FTW-2126-SM-5K7YG 40-49 years, male 113.1
GTEX-WYVS-1126-SM-4SOJX 40-49 years, female 112.9
GTEX-14JG6-1626-SM-5YYBC 30-39 years, female 112.6
GTEX-17KNJ-1826-SM-7LT9N 50-59 years, male 112.6
GTEX-1JMPY-1026-SM-ARZN1 30-39 years, male 112.4
GTEX-131XE-1026-SM-5EGKE 50-59 years, male 112.3
GTEX-1QP9N-0826-SM-DTX9O 30-39 years, male 112.2
GTEX-117YX-0526-SM-5EGJH 50-59 years, male 112.1
GTEX-14C39-1626-SM-5S2P4 40-49 years, male 111.5
GTEX-1R9PO-2026-SM-E9J4N 60-69 years, female 111.2
GTEX-139T6-1426-SM-5P9J7 50-59 years, male 110.7
GTEX-1C4CL-1626-SM-7DUF3 30-39 years, male 110.6
GTEX-ZAJG-2626-SM-5S2NU 50-59 years, female 110.4
GTEX-Y114-1626-SM-4TT7I 50-59 years, female 110.2
GTEX-ZAB4-2426-SM-5HL8A 40-49 years, male 110.1
GTEX-1R7EU-1826-SM-DTX9L 60-69 years, male 109.7
GTEX-ZT9W-1726-SM-51MS3 50-59 years, male 109.5
GTEX-14PJ4-1826-SM-5YY97 60-69 years, male 109.4
GTEX-14BMU-1326-SM-5RQIH 20-29 years, female 109.2
GTEX-1AYCT-1926-SM-793AE 50-59 years, male 109.2
GTEX-1HKZK-2026-SM-9WYUF 40-49 years, male 108.4
GTEX-17MFQ-1226-SM-7KFSA 20-29 years, male 107.8
GTEX-YF7O-1626-SM-5IFII 50-59 years, male 107.7
GTEX-1EU9M-2726-SM-7P8QD 60-69 years, male 107.6
GTEX-WFG8-1726-SM-4LVM6 20-29 years, male 107.3
GTEX-ZAB5-1426-SM-5HL9D 50-59 years, male 107.0
GTEX-1HBPI-2226-SM-9WYTY 50-59 years, male 106.8
GTEX-ZG7Y-1826-SM-4WWD3 50-59 years, male 106.7
GTEX-1F5PL-1926-SM-7MXTP 40-49 years, female 106.6
GTEX-148VJ-2426-SM-5NQ9Y 70-79 years, male 106.5
GTEX-1S5ZA-1426-SM-E6CJQ 20-29 years, male 105.6
GTEX-15DYW-2426-SM-7KUG8 60-69 years, female 104.8
GTEX-1JMLX-2526-SM-CY8HX 50-59 years, male 104.3
GTEX-1JJEA-2526-SM-CY8HJ 60-69 years, male 103.9
GTEX-13OW5-2826-SM-5KM1G 60-69 years, male 103.7
GTEX-ZPCL-1626-SM-57WGC 60-69 years, female 103.7
GTEX-XV7Q-2226-SM-4BRVY 40-49 years, female 103.6
GTEX-1HSEH-1926-SM-A96SB 60-69 years, male 103.2
GTEX-111YS-1826-SM-5GIEP 60-69 years, male 102.7
GTEX-1C2JI-1726-SM-73KUW 50-59 years, male 102.6
GTEX-14PN3-1926-SM-6EU1Y 60-69 years, female 102.0
GTEX-1ICG6-2226-SM-B2LY7 70-79 years, female 102.0
GTEX-1AX9J-2526-SM-73KUY 60-69 years, male 101.3
GTEX-15DZA-1026-SM-6PAND 30-39 years, female 101.1
GTEX-13CF3-1326-SM-5LZXZ 60-69 years, female 99.9
GTEX-WYJK-2326-SM-4ONDN 50-59 years, male 99.8
GTEX-ZF28-2526-SM-57WFH 60-69 years, male 99.4
GTEX-15EO6-2326-SM-6LPKK 50-59 years, male 99.3
GTEX-11I78-1326-SM-5PNY9 50-59 years, female 98.8
GTEX-X4EO-2726-SM-4E3HS 60-69 years, female 98.5
GTEX-16BQI-2026-SM-7KULQ 30-39 years, female 98.2
GTEX-YEC3-2026-SM-DKPOL 50-59 years, male 97.3
GTEX-12BJ1-2026-SM-5FQUH 60-69 years, male 97.2
GTEX-13FH7-1626-SM-5J2O9 50-59 years, female 97.0
GTEX-16MTA-1626-SM-6M47N 50-59 years, male 97.0
GTEX-1339X-1726-SM-5P9J9 40-49 years, male 96.9
GTEX-13VXT-2026-SM-5L3EW 20-29 years, female 96.4
GTEX-1PDJ9-2026-SM-E76PT 20-29 years, male 96.2
GTEX-1B932-2126-SM-7IGMU 40-49 years, female 96.0
GTEX-WI4N-2226-SM-4OOS9 40-49 years, female 95.9
GTEX-1H3VY-2526-SM-9KNW1 50-59 years, male 95.9
GTEX-1RAZR-2026-SM-E9TKE 40-49 years, male 95.0
GTEX-14PHX-1126-SM-5YYA5 50-59 years, male 94.8
GTEX-1H3NZ-2526-SM-9KNVO 60-69 years, male 94.7
GTEX-132NY-2726-SM-5PNY2 60-69 years, male 94.6
GTEX-1LB8K-2526-SM-DIPEQ 50-59 years, male 94.6
GTEX-1PBJJ-2026-SM-DTX8U 30-39 years, male 94.5
GTEX-1PPH8-2226-SM-EWRN7 20-29 years, male 94.2
GTEX-1LGOU-1726-SM-D3L8P 20-29 years, female 93.3
GTEX-17HGU-2626-SM-79OKN 50-59 years, male 93.1
GTEX-Z93S-2626-SM-57WBX 50-59 years, male 93.1
GTEX-1I6K6-1926-SM-A96SN 30-39 years, male 92.8
GTEX-1GMR3-2526-SM-7P8QS 40-49 years, male 92.7
GTEX-1RMOY-1726-SM-EVYC9 50-59 years, male 92.4
GTEX-12ZZY-2726-SM-5EQ45 60-69 years, male 92.3
GTEX-1LVAN-2626-SM-CNPQF 50-59 years, female 92.1
GTEX-1IKOE-2126-SM-A96T5 30-39 years, female 91.9
GTEX-1AMEY-1826-SM-72D5L 30-39 years, female 91.8
GTEX-11DXZ-1626-SM-5GIDI 50-59 years, male 91.6
GTEX-ZQG8-2426-SM-57WEE 60-69 years, female 91.4
GTEX-16NGA-0926-SM-718AG 40-49 years, female 91.0
GTEX-1GPI7-1926-SM-9KNUH 20-29 years, male 90.8
GTEX-W5WG-2026-SM-4LMIB 50-59 years, female 90.7
GTEX-1HBPH-2526-SM-ACKXK 40-49 years, female 90.6
GTEX-1HCUA-1926-SM-B2LWE 50-59 years, female 90.5
GTEX-1GZ4H-1326-SM-7P8TE 50-59 years, female 90.3
GTEX-1HSMQ-2526-SM-A9SMK 50-59 years, male 90.3
GTEX-ZVT2-1726-SM-51MRO 50-59 years, female 89.3
GTEX-WFG7-1626-SM-4LVMF 20-29 years, male 89.1
GTEX-13SLW-2826-SM-5Q5ES 70-79 years, male 89.0
GTEX-14PKV-1926-SM-686YU 20-29 years, female 89.0
GTEX-1HCU6-2926-SM-B2LWV 60-69 years, female 89.0
GTEX-WHWD-1526-SM-4OORV 50-59 years, male 88.9
GTEX-Y8E4-2326-SM-EAZAZ 40-49 years, male 88.8
GTEX-131XG-1526-SM-5GCNQ 50-59 years, female 88.6
GTEX-XXEK-1826-SM-4BRVC 50-59 years, male 88.6
GTEX-132AR-2826-SM-5IJFV 50-59 years, female 88.3
GTEX-1HSMO-2526-SM-A9SKP 60-69 years, male 88.3
GTEX-ZP4G-1526-SM-57WE5 20-29 years, female 88.2
GTEX-1HBPM-2626-SM-9WYU5 60-69 years, female 87.8
GTEX-11PRG-2026-SM-5GU5F 50-59 years, male 87.7
GTEX-1HCVE-2326-SM-9WYUD 50-59 years, male 87.6
GTEX-17JCI-2826-SM-7IGNA 60-69 years, female 87.2
GTEX-11ZTT-1626-SM-5EQKR 60-69 years, female 87.0
GTEX-1I1GP-2826-SM-A9SKZ 50-59 years, male 86.5
GTEX-1K9T9-2926-SM-E9TKD 50-59 years, female 86.4
GTEX-14DAQ-2926-SM-664MV 60-69 years, female 86.3
GTEX-13D11-0626-SM-5LZYY 50-59 years, female 85.9
GTEX-WHSE-2726-SM-EZ6ML 20-29 years, male 85.9
GTEX-1CB4G-2726-SM-79OO4 60-69 years, male 85.6
GTEX-11DXX-1926-SM-5EGJK 60-69 years, female 85.0
GTEX-1LSVX-2026-SM-E9TJD 60-69 years, male 84.9
GTEX-1LG7Y-2226-SM-E9U5K 50-59 years, male 84.5
GTEX-11TUW-2326-SM-5EQMO 60-69 years, male 84.4
GTEX-14BIN-2426-SM-5TDCF 50-59 years, female 84.3
GTEX-14A5H-1626-SM-5SIAN 60-69 years, male 83.7
GTEX-1IDJH-2826-SM-CJI49 70-79 years, male 83.6
GTEX-1J8EW-2426-SM-CE6T5 60-69 years, female 83.6
GTEX-1GN73-2726-SM-9WYUB 60-69 years, male 83.5
GTEX-1C64O-2426-SM-7P8R3 60-69 years, male 83.4
GTEX-1QP29-2526-SM-E6CQ3 50-59 years, male 83.2
GTEX-1I1CD-2826-SM-A9SL4 60-69 years, female 83.1
GTEX-1QCLZ-2026-SM-EAZ4A 60-69 years, female 82.7
GTEX-13O61-1526-SM-5KM3P 60-69 years, male 82.5
GTEX-12ZZW-2426-SM-5DUWE 50-59 years, male 82.4
GTEX-12ZZX-2726-SM-5N9FT 40-49 years, female 81.9
GTEX-1477Z-2126-SM-5Q5CM 60-69 years, male 81.9
GTEX-1CB4F-1926-SM-7MKFN 60-69 years, male 81.5
GTEX-12WSJ-1426-SM-5GCON 40-49 years, female 81.4
GTEX-1GF9X-1426-SM-7RHGX 40-49 years, female 81.4
GTEX-147JS-2626-SM-5S2UX 60-69 years, male 81.3
GTEX-11EM3-1626-SM-5N9CO 20-29 years, female 81.2
GTEX-XUW1-1826-SM-4BOQD 50-59 years, female 81.1
GTEX-ZPU1-1726-SM-4WWFV 40-49 years, male 80.9
GTEX-ZQUD-1026-SM-4YCEZ 30-39 years, male 80.8
GTEX-1E2YA-2526-SM-7IGOU 50-59 years, male 80.3
GTEX-13U4I-2626-SM-5SI9C 40-49 years, female 80.0
GTEX-11TT1-0926-SM-5GU5M 20-29 years, male 79.9
GTEX-1PFEY-1726-SM-DPRZ4 30-39 years, male 79.9
GTEX-15F5U-1426-SM-7KUN2 40-49 years, male 79.6
GTEX-1HSGN-2226-SM-A9SL6 40-49 years, female 79.3
GTEX-WXYG-1726-SM-4ONCU 50-59 years, female 79.2
GTEX-1GTWX-2626-SM-9WPOT 60-69 years, male 79.2
GTEX-ZZ64-0826-SM-5E449 20-29 years, male 79.1
GTEX-131YS-2926-SM-5EGKI 60-69 years, female 78.9
GTEX-13OVK-1026-SM-7KFTC 40-49 years, male 78.7
GTEX-1I1GR-2226-SM-ARL7F 60-69 years, male 78.3
GTEX-X15G-1526-SM-4PQZM 50-59 years, female 78.1
GTEX-15FZZ-1826-SM-6LLJP 30-39 years, female 77.9
GTEX-Y5LM-1426-SM-5RQJL 40-49 years, female 77.7
GTEX-17EUY-1726-SM-79OK4 20-29 years, male 77.4
GTEX-18A67-2226-SM-7LT9Z 50-59 years, male 77.4
GTEX-ZTSS-1226-SM-51MSZ 40-49 years, male 77.4
GTEX-117XS-2226-SM-5GIE1 60-69 years, male 77.2
GTEX-17HHE-1626-SM-7DHLN 50-59 years, male 77.1
GTEX-WOFM-1926-SM-4OOSP 20-29 years, male 76.7
GTEX-1212Z-1826-SM-5FQSH 60-69 years, male 76.5
GTEX-1B996-2726-SM-7DUGG 60-69 years, male 76.5
GTEX-1CAMR-1026-SM-7P8QI 20-29 years, male 76.5
GTEX-VJYA-2126-SM-4KL1O 60-69 years, male 76.4
GTEX-1JMQK-2326-SM-ARZN4 60-69 years, male 76.2
GTEX-XBED-1726-SM-47JYO 60-69 years, male 75.7
GTEX-ZVT3-2826-SM-5GU6A 60-69 years, female 75.5
GTEX-ZC5H-2426-SM-4WAZ6 40-49 years, female 75.2
GTEX-1J8JJ-2426-SM-D4P4A 60-69 years, female 75.1
GTEX-1JN6P-2126-SM-ARL98 60-69 years, male 75.1
GTEX-111CU-1226-SM-5EGIN 50-59 years, male 75.0
GTEX-1QCLY-2026-SM-EVR4C 30-39 years, male 74.8
GTEX-1RLM8-1726-SM-E9TKF 50-59 years, male 74.7
GTEX-1399R-2126-SM-5K7WZ 30-39 years, male 74.5
GTEX-1LVAM-1726-SM-DHXKQ 50-59 years, female 74.5
GTEX-13113-1426-SM-5EGHU 60-69 years, female 74.3
GTEX-1F75W-2126-SM-7RHIA 60-69 years, male 74.2
GTEX-11EI6-2626-SM-5PNVT 60-69 years, male 73.9
GTEX-Y5V6-1626-SM-4VDT2 60-69 years, male 73.7
GTEX-11EQ8-2626-SM-5N9BO 60-69 years, male 73.3
GTEX-X5EB-1126-SM-46MVV 40-49 years, male 73.0
GTEX-1BAJH-2726-SM-7IGNJ 70-79 years, male 72.3
GTEX-14A5I-2426-SM-5Q5CP 50-59 years, female 72.2
GTEX-11ONC-1926-SM-5GU75 60-69 years, male 70.8
GTEX-12WSG-2426-SM-5EQLZ 50-59 years, female 70.5
GTEX-16Z82-2426-SM-7KUMS 60-69 years, male 70.5
GTEX-11GS4-1826-SM-5HL4T 60-69 years, male 70.1
GTEX-1H1DE-1626-SM-9KNU5 20-29 years, male 69.6
GTEX-1H23P-2626-SM-9KNVN 60-69 years, male 69.6
GTEX-17GQL-1626-SM-7LG69 60-69 years, male 69.5
GTEX-13X6J-2826-SM-7EPGA 50-59 years, male 68.8
GTEX-17F96-2126-SM-7KFSM 70-79 years, male 68.7
GTEX-11DXY-2026-SM-5N9CZ 60-69 years, male 68.5
GTEX-18A6Q-2226-SM-7LG61 60-69 years, male 68.4
GTEX-15CHQ-2626-SM-686YZ 60-69 years, male 68.1
GTEX-14E6C-2226-SM-5QGQG 40-49 years, male 67.6
GTEX-1B8L1-1926-SM-7IGND 60-69 years, male 67.1
GTEX-ZDTS-2726-SM-5L3E2 60-69 years, male 67.0
GTEX-WH7G-1426-SM-4LVMU 40-49 years, male 66.6
GTEX-XQ8I-2326-SM-4BOQC 50-59 years, male 66.6
GTEX-13N2G-2226-SM-5IJCU 60-69 years, male 65.6
GTEX-WQUQ-2626-SM-4MVNP 60-69 years, male 65.5
GTEX-WFON-1326-SM-4LVMN 40-49 years, male 64.7
GTEX-ZV6S-1126-SM-57WE9 40-49 years, female 64.0
GTEX-14PJ3-1226-SM-5ZZVY 50-59 years, male 63.6
GTEX-139TS-2226-SM-5J2N1 60-69 years, male 63.4
GTEX-146FH-2426-SM-5Q5EW 50-59 years, female 62.5
GTEX-1211K-1826-SM-5EGJ2 60-69 years, female 62.3
GTEX-11EMC-1426-SM-5N9E4 60-69 years, female 61.6
GTEX-1RDX4-1926-SM-E6CJJ 50-59 years, female 61.3
GTEX-ZYFD-2226-SM-5E43P 50-59 years, male 60.8
GTEX-V955-1726-SM-4JBHF 60-69 years, male 60.7
GTEX-139D8-2926-SM-5IJBM 30-39 years, female 59.2
GTEX-1C64N-2226-SM-7SB7C 50-59 years, male 59.1
GTEX-1HSKV-2326-SM-A9SL9 60-69 years, male 59.0
GTEX-ZYY3-2226-SM-5E45A 60-69 years, female 58.8
GTEX-1A32A-2626-SM-73KX9 50-59 years, female 58.4
GTEX-ZE7O-2626-SM-51MSS 50-59 years, female 58.2
GTEX-13W3W-2226-SM-5LU4M 60-69 years, female 57.7
GTEX-18465-2726-SM-7LT9I 50-59 years, male 57.5
GTEX-11VI4-1426-SM-5GU6O 40-49 years, female 57.1
GTEX-15G19-2726-SM-6LPKG 60-69 years, male 55.9
GTEX-13CF2-1826-SM-5N9GK 60-69 years, male 55.8
GTEX-YFCO-1526-SM-5YYB8 40-49 years, male 55.2
GTEX-1A3MV-1026-SM-72D5U 30-39 years, male 52.9
GTEX-ZF2S-1826-SM-4WKFF 50-59 years, female 52.6
GTEX-XAJ8-0726-SM-47JY5 40-49 years, male 52.1
GTEX-145MH-2726-SM-5QGQ6 50-59 years, male 51.8
GTEX-ZVT4-2626-SM-5N9GJ 50-59 years, female 51.3
GTEX-ZTTD-2626-SM-57WEX 50-59 years, male 49.3
GTEX-1N2DV-1826-SM-E6CJ5 40-49 years, male 49.3
GTEX-13G51-2126-SM-5IJD9 60-69 years, male 49.2
GTEX-Y8LW-1126-SM-4VDS4 50-59 years, female 49.1
GTEX-12KS4-2326-SM-5EGJB 30-39 years, male 48.9
GTEX-1PBJI-2526-SM-E6CP4 20-29 years, female 48.9
GTEX-YJ8A-1726-SM-5P9IQ 20-29 years, male 48.7
GTEX-1IL2U-2526-SM-C1YQV 60-69 years, male 48.5
GTEX-YJ8O-1426-SM-5PNV9 40-49 years, female 48.2
GTEX-1GMRU-2626-SM-9WPPM 50-59 years, male 47.7
GTEX-12WSL-1826-SM-5LZW9 50-59 years, male 44.4
GTEX-13OW6-2226-SM-5N9FL 50-59 years, male 44.0
GTEX-13PVQ-2726-SM-5L3H7 50-59 years, male 43.6
GTEX-1PIIG-2126-SM-EXUSD 30-39 years, male 43.5
GTEX-13X6I-2726-SM-5Q5ET 60-69 years, male 40.9
GTEX-12WSD-2626-SM-5EGJE 60-69 years, female 39.9
GTEX-12WSM-1426-SM-5GCPA 60-69 years, male 37.8
GTEX-15ER7-2826-SM-6PAN2 20-29 years, female 33.9
GTEX-11EQ9-1526-SM-5PNY7 30-39 years, male 32.2
GTEX-11ZTS-1526-SM-5N9G7 60-69 years, female 31.9
GTEX-1RQEC-2626-SM-EVR3Z 60-69 years, male 30.4
Show allShow less
Colon - Transverse
Average nTPM: 86.5
Samples: 406

Max nTPM: 186.5
Min nTPM: 30.3
Std nTPM: 26.2
Median nTPM: 82.5
GTEX-18QFQ-1526-SM-72D57 30-39 years, male 186.5
GTEX-WVJS-2426-SM-EZ6LI 50-59 years, male 177.8
GTEX-11TTK-2426-SM-5PNYO 60-69 years, female 175.2
GTEX-1S82U-0726-SM-E9TKI 30-39 years, female 175.0
GTEX-WEY5-1426-SM-4LMJ3 40-49 years, female 167.6
GTEX-1GMR2-1726-SM-9JGI2 50-59 years, male 163.5
GTEX-1LG7Y-2126-SM-DIPER 50-59 years, male 161.3
GTEX-1RAZQ-2126-SM-DTX9V 30-39 years, male 156.9
GTEX-15SHU-2526-SM-6M47D 40-49 years, female 155.3
GTEX-14E1K-1826-SM-793DT 50-59 years, male 148.4
GTEX-ZYVF-2826-SM-5GIDK 50-59 years, female 146.4
GTEX-Y114-1526-SM-4TT79 50-59 years, female 144.7
GTEX-1PPH8-2026-SM-DTX7P 20-29 years, male 140.2
GTEX-16NPV-2626-SM-6M484 50-59 years, female 138.4
GTEX-1IKK5-2726-SM-CNPQ6 60-69 years, male 138.2
GTEX-1NHNU-2326-SM-E6CQE 50-59 years, male 138.0
GTEX-PWN1-1426-SM-48TDF 40-49 years, female 137.6
GTEX-1PIEJ-2026-SM-E6CPA 20-29 years, female 137.1
GTEX-1IDJF-1826-SM-CKZOE 20-29 years, male 136.4
GTEX-1NV5F-2226-SM-DTX8O 60-69 years, female 135.9
GTEX-11P81-1126-SM-5GU5G 30-39 years, female 135.7
GTEX-1EMGI-2726-SM-7P8S4 60-69 years, male 133.9
GTEX-1GZ4H-1226-SM-9KNUA 50-59 years, female 133.9
GTEX-1IOXB-2626-SM-CJI2N 50-59 years, male 130.3
GTEX-148VJ-2626-SM-5QGPI 70-79 years, male 129.0
GTEX-T6MO-0826-SM-4DM51 40-49 years, female 128.9
GTEX-1QW4Y-1326-SM-EWRMZ 30-39 years, male 128.8
GTEX-1MUQO-2626-SM-EWRO3 60-69 years, male 128.3
GTEX-1C64O-2326-SM-73KU8 60-69 years, male 126.6
GTEX-1JKYR-1926-SM-C1YR7 20-29 years, male 125.8
GTEX-1MGNQ-2026-SM-EAZ51 40-49 years, male 125.2
GTEX-13CF3-1426-SM-5K7YY 60-69 years, female 124.9
GTEX-1CB4I-2226-SM-7P8SL 50-59 years, male 124.9
GTEX-13U4I-2426-SM-5LU34 40-49 years, female 124.7
GTEX-14ICL-1226-SM-5S2RD 30-39 years, male 124.6
GTEX-111YS-1626-SM-5GZZ9 60-69 years, male 124.4
GTEX-ZF29-1726-SM-4WKFV 60-69 years, female 124.4
GTEX-Y3I4-1426-SM-4TT9C 50-59 years, male 122.9
GTEX-1RMOY-1626-SM-EVYC8 50-59 years, male 122.9
GTEX-1AMEY-1926-SM-73KVT 30-39 years, female 122.3
GTEX-1GL5R-2426-SM-7MXV1 50-59 years, male 121.9
GTEX-1JJE9-2426-SM-D3L8T 70-79 years, male 121.4
GTEX-1B8KE-1926-SM-731EE 50-59 years, male 121.0
GTEX-1R9JW-2026-SM-EAZ4O 30-39 years, female 120.4
GTEX-1128S-1626-SM-5H12O 60-69 years, female 117.3
GTEX-1LH75-2126-SM-EVR5F 50-59 years, female 116.6
GTEX-1EH9U-2026-SM-7PBYS 60-69 years, male 116.5
GTEX-OXRO-0726-SM-E9U4C 60-69 years, female 116.5
GTEX-1JMPY-0426-SM-C1YQ3 30-39 years, male 116.4
GTEX-1R9K5-2126-SM-E8VN1 50-59 years, male 116.3
GTEX-1MCC2-1626-SM-DIPEW 30-39 years, female 115.6
GTEX-1339X-1626-SM-5IJDN 40-49 years, male 115.3
GTEX-UJMC-1326-SM-4IHLS 50-59 years, male 115.1
GTEX-14DAR-1526-SM-5RQIX 50-59 years, male 115.0
GTEX-15G1A-1826-SM-7KUKO 30-39 years, male 115.0
GTEX-1OKEX-1226-SM-DTXEC 60-69 years, male 115.0
GTEX-14PJ3-0926-SM-69LQG 50-59 years, male 114.9
GTEX-OXRN-2026-SM-E6CHK 50-59 years, male 114.6
GTEX-18D9A-1126-SM-7KFRJ 30-39 years, female 114.3
GTEX-WH7G-1326-SM-4LVMS 40-49 years, male 114.1
GTEX-15SB6-1226-SM-7KUMP 50-59 years, female 113.7
GTEX-14C5O-2526-SM-73KU2 60-69 years, male 113.5
GTEX-YEC4-1926-SM-5IFHJ 40-49 years, male 111.7
GTEX-14DAQ-2726-SM-5S2QY 60-69 years, female 111.5
GTEX-14H4A-1926-SM-5ZZWN 40-49 years, female 111.2
GTEX-13O61-1626-SM-5KM3T 60-69 years, male 110.8
GTEX-OXRL-1426-SM-3NM9E 50-59 years, male 110.5
GTEX-WY7C-1626-SM-4ONC8 50-59 years, male 110.2
GTEX-Y8LW-1226-SM-4WWDP 50-59 years, female 110.2
GTEX-16MT8-2726-SM-7IGLJ 60-69 years, female 109.2
GTEX-R55C-1126-SM-48FCJ 40-49 years, male 109.0
GTEX-U3ZM-1126-SM-4DXUB 40-49 years, male 108.8
GTEX-16NGA-1026-SM-7KFS3 40-49 years, female 108.6
GTEX-S341-1426-SM-4AD6U 40-49 years, female 108.3
GTEX-1IDJC-1326-SM-CL53H 50-59 years, male 108.3
GTEX-ZPIC-2226-SM-57WDX 40-49 years, female 108.1
GTEX-ZXES-1626-SM-5NQ7L 30-39 years, female 108.1
GTEX-14BMV-2426-SM-5S2PP 50-59 years, male 107.9
GTEX-13PVR-1626-SM-73KVF 60-69 years, female 107.7
GTEX-11DXX-1826-SM-5H126 60-69 years, female 107.4
GTEX-139TS-1926-SM-5IJFO 60-69 years, male 107.2
GTEX-QLQ7-1126-SM-CYPRB 60-69 years, male 106.4
GTEX-14PJ5-0926-SM-6LLIK 60-69 years, female 106.3
GTEX-1C2JI-1626-SM-7EPHC 50-59 years, male 106.3
GTEX-RWS6-1826-SM-47JXX 60-69 years, female 105.1
GTEX-1PWST-2426-SM-EWRMP 70-79 years, male 104.8
GTEX-ZYFG-1926-SM-5GID5 60-69 years, female 104.7
GTEX-1HSEH-1726-SM-B2LXH 60-69 years, male 104.2
GTEX-XXEK-1926-SM-4BRVD 50-59 years, male 104.1
GTEX-1LGOU-1626-SM-D3LAK 20-29 years, female 103.9
GTEX-XBED-1526-SM-4AT5W 60-69 years, male 103.7
GTEX-12BJ1-2126-SM-5BC5O 60-69 years, male 103.1
GTEX-VJYA-2026-SM-4KL1K 60-69 years, male 103.0
GTEX-117YX-0826-SM-5H11J 50-59 years, male 102.9
GTEX-117YW-1826-SM-5PNY5 50-59 years, male 102.8
GTEX-1JMPZ-2426-SM-C1YQP 30-39 years, male 102.6
GTEX-1RAZR-1926-SM-E6CRF 40-49 years, male 102.5
GTEX-X5EB-0926-SM-46MVT 40-49 years, male 102.4
GTEX-1QP67-1326-SM-EAZ4D 40-49 years, female 102.1
GTEX-13OVJ-1726-SM-5IJDZ 50-59 years, female 101.8
GTEX-Z93S-2426-SM-5HL8N 50-59 years, male 101.3
GTEX-1HSMP-2326-SM-D3L8R 70-79 years, male 101.3
GTEX-1N2DV-1426-SM-DPRYQ 40-49 years, male 101.3
GTEX-14PK6-1726-SM-6871J 70-79 years, female 101.0
GTEX-1HCU9-1326-SM-B2LXT 20-29 years, male 101.0
GTEX-1MJK3-0926-SM-EV7AY 20-29 years, male 100.8
GTEX-PWCY-1026-SM-48TD4 20-29 years, female 100.3
GTEX-12WSJ-1526-SM-5GCNI 40-49 years, female 99.9
GTEX-16XZZ-2626-SM-6M47S 60-69 years, male 99.9
GTEX-1C4CL-2126-SM-7IGQC 30-39 years, male 99.7
GTEX-11O72-2226-SM-5PNW2 40-49 years, male 99.4
GTEX-1F5PL-2126-SM-7PC2O 40-49 years, female 98.7
GTEX-ZZ64-0726-SM-5GZX4 20-29 years, male 98.4
GTEX-1JKYN-2326-SM-CGQG7 30-39 years, male 98.3
GTEX-1LBAC-1626-SM-CXZKV 20-29 years, male 98.2
GTEX-17MF6-2426-SM-7LTAM 40-49 years, male 98.1
GTEX-ZPCL-1826-SM-57WF1 60-69 years, female 98.1
GTEX-15UF6-2626-SM-6M466 70-79 years, female 97.9
GTEX-1I6K6-1826-SM-B2LX5 30-39 years, male 97.9
GTEX-15DCE-2026-SM-7KUFE 20-29 years, male 97.6
GTEX-1C6VQ-2726-SM-73KUL 50-59 years, male 97.2
GTEX-14AS3-1126-SM-5Q5CR 40-49 years, female 97.0
GTEX-14PKV-2126-SM-664O3 20-29 years, female 97.0
GTEX-1ICLZ-2426-SM-CKZOD 60-69 years, male 97.0
GTEX-1JN1M-2626-SM-CY8I3 60-69 years, female 97.0
GTEX-OHPN-2026-SM-E9TIA 60-69 years, female 97.0
GTEX-1F75B-2726-SM-7P8QO 50-59 years, male 96.7
GTEX-1LVAM-1626-SM-EV79Y 50-59 years, female 96.6
GTEX-1RAZA-1726-SM-DPS13 20-29 years, male 96.5
GTEX-1S3DN-1826-SM-EV79K 50-59 years, male 96.2
GTEX-S7SF-1926-SM-4AT5B 20-29 years, female 96.0
GTEX-1N2EF-1926-SM-DTX8M 60-69 years, male 95.9
GTEX-ZLWG-1726-SM-DNZZ2 50-59 years, female 95.1
GTEX-Y3IK-1826-SM-4WWDS 50-59 years, female 95.0
GTEX-15CHC-1626-SM-5ZZWS 60-69 years, female 94.7
GTEX-1AX8Z-2726-SM-73KUC 60-69 years, male 94.2
GTEX-11VI4-1526-SM-5EQKC 40-49 years, female 94.0
GTEX-W5WG-2426-SM-4LMI6 50-59 years, female 93.8
GTEX-1PFEY-1426-SM-E9U6U 30-39 years, male 93.6
GTEX-ZG7Y-2126-SM-DO117 50-59 years, male 93.4
GTEX-13OVI-2026-SM-5J1MU 60-69 years, female 93.3
GTEX-1B996-2626-SM-73KZ1 60-69 years, male 93.0
GTEX-1AX9I-2626-SM-73KU5 60-69 years, male 92.8
GTEX-1AYCT-1826-SM-731EG 50-59 years, male 92.8
GTEX-1QP9N-1026-SM-E6CPX 30-39 years, male 92.7
GTEX-1QPFJ-2326-SM-E6CR7 30-39 years, female 92.7
GTEX-1K9T9-2826-SM-D4P3F 50-59 years, female 92.5
GTEX-11ONC-2026-SM-5HL61 60-69 years, male 92.4
GTEX-147JS-2526-SM-5S2Q8 60-69 years, male 92.4
GTEX-18D9B-2526-SM-718BN 60-69 years, male 92.4
GTEX-13111-0726-SM-5DUVE 50-59 years, male 92.3
GTEX-TKQ1-0626-SM-4DXTS 30-39 years, male 92.2
GTEX-1HCU7-2626-SM-C1YQO 50-59 years, male 92.0
GTEX-11P82-1026-SM-5BC5J 20-29 years, male 91.7
GTEX-147F3-1926-SM-5SIB9 50-59 years, female 91.7
GTEX-16AAH-1326-SM-7KFRG 50-59 years, male 91.7
GTEX-YF7O-1726-SM-5IFJ9 50-59 years, male 91.6
GTEX-14ICK-1026-SM-6AJA4 40-49 years, male 91.4
GTEX-18A66-2426-SM-7KFSQ 60-69 years, male 90.9
GTEX-1I1GR-2526-SM-CNNQF 60-69 years, male 90.8
GTEX-1K2DA-2026-SM-CGQGK 50-59 years, male 90.7
GTEX-14JIY-3326-SM-6871E 60-69 years, male 90.5
GTEX-1AYD5-1726-SM-7RHFW 50-59 years, male 90.5
GTEX-1I1GT-1926-SM-ARU7D 60-69 years, female 90.4
GTEX-1JN76-1226-SM-C1YRM 20-29 years, female 90.2
GTEX-14PHX-1526-SM-68717 50-59 years, male 89.4
GTEX-1GPI7-1726-SM-7P8R1 20-29 years, male 89.3
GTEX-1LSVX-1726-SM-DHXJP 60-69 years, male 89.3
GTEX-SJXC-2226-SM-EVYAK 60-69 years, male 89.3
GTEX-V955-1626-SM-4JBHJ 60-69 years, male 89.1
GTEX-1H11D-2626-SM-9JGH4 40-49 years, male 89.0
GTEX-T5JW-1126-SM-4DM5V 20-29 years, female 88.8
GTEX-14PJM-2626-SM-686ZD 50-59 years, female 88.6
GTEX-OIZH-1426-SM-3NB1O 50-59 years, male 88.3
GTEX-1QCLY-1726-SM-DPRXY 30-39 years, male 88.3
GTEX-12WSL-1626-SM-5GCMU 50-59 years, male 87.5
GTEX-1QMI2-2626-SM-E6CR4 60-69 years, male 87.3
GTEX-UJHI-1126-SM-4IHLN 50-59 years, female 86.8
GTEX-U412-1726-SM-EZ6KX 60-69 years, male 86.4
GTEX-1GMR3-2826-SM-9WPOG 40-49 years, male 86.3
GTEX-1R9PM-1526-SM-DPRY8 20-29 years, male 86.3
GTEX-ZGAY-2126-SM-4YCFB 40-49 years, female 86.1
GTEX-1JMLX-2726-SM-CM2SB 50-59 years, male 86.0
GTEX-1J1OQ-2726-SM-AHZ3R 40-49 years, female 85.6
GTEX-1LVAN-2526-SM-CNPPC 50-59 years, female 85.6
GTEX-ZPU1-1926-SM-57WDT 40-49 years, male 85.4
GTEX-S3XE-1126-SM-4AD4N 50-59 years, male 84.9
GTEX-SE5C-1526-SM-4BRWU 40-49 years, female 84.9
GTEX-145ME-0826-SM-5O9AF 40-49 years, female 84.8
GTEX-15CHQ-2526-SM-6EU24 60-69 years, male 84.8
GTEX-P4PP-1426-SM-3NM9L 30-39 years, female 84.7
GTEX-1NSGN-2326-SM-E9U5X 50-59 years, male 84.6
GTEX-17JCI-2626-SM-7EWE6 60-69 years, female 84.2
GTEX-ZV6S-1226-SM-59HLH 40-49 years, female 84.2
GTEX-17HHE-1826-SM-79OKE 50-59 years, male 83.9
GTEX-QCQG-1626-SM-48U26 50-59 years, female 83.4
GTEX-WHSB-0926-SM-4M1XJ 50-59 years, male 83.3
GTEX-XGQ4-1226-SM-4AT67 50-59 years, male 83.3
GTEX-ZAB4-2226-SM-5HL97 40-49 years, male 83.3
GTEX-1HSGN-2626-SM-CE6S1 40-49 years, female 83.3
GTEX-145LT-0926-SM-5LU9C 40-49 years, male 83.2
GTEX-1A3MV-1126-SM-718BS 30-39 years, male 83.1
GTEX-12KS4-2426-SM-5LU8P 30-39 years, male 82.6
GTEX-144GM-1226-SM-5LU52 20-29 years, male 82.5
GTEX-RU1J-1326-SM-46MUL 20-29 years, female 82.2
GTEX-1F5PK-1926-SM-7MXT7 50-59 years, male 82.2
GTEX-WYJK-2226-SM-4ONDJ 50-59 years, male 82.0
GTEX-133LE-1526-SM-5IFEN 20-29 years, female 81.9
GTEX-QMRM-1226-SM-447C6 50-59 years, male 81.8
GTEX-13S86-1626-SM-5Q5C5 40-49 years, male 81.6
GTEX-1GZ4I-2426-SM-9WPPP 50-59 years, male 81.6
GTEX-11EM3-1526-SM-5A5KN 20-29 years, female 81.5
GTEX-1I4MK-1126-SM-B2LWS 50-59 years, female 81.3
GTEX-1KXAM-2126-SM-CY8I9 60-69 years, male 81.2
GTEX-13QBU-1826-SM-5IJG3 40-49 years, female 81.1
GTEX-1JJ6O-2426-SM-ARU8J 60-69 years, male 81.0
GTEX-1R7EU-1926-SM-E9U62 60-69 years, male 81.0
GTEX-13D11-0826-SM-5KLZJ 50-59 years, female 80.9
GTEX-1AMFI-1726-SM-7189L 50-59 years, female 80.8
GTEX-1N5O9-2726-SM-E76QH 60-69 years, male 80.8
GTEX-145MN-1726-SM-5SIA6 30-39 years, male 80.7
GTEX-13OW5-2626-SM-5MR3M 60-69 years, male 80.2
GTEX-15RIF-1326-SM-6LPKO 20-29 years, male 80.1
GTEX-1PPGY-2826-SM-DTX9H 60-69 years, male 80.0
GTEX-147GR-2726-SM-664OO 60-69 years, male 79.9
GTEX-1L5NE-2026-SM-CXZKR 50-59 years, male 79.8
GTEX-ZV7C-1526-SM-5NQ72 50-59 years, male 79.7
GTEX-13O21-2426-SM-5MR4A 50-59 years, male 79.6
GTEX-13O3O-2526-SM-5L3DR 60-69 years, female 79.6
GTEX-1CB4F-2026-SM-79OLU 60-69 years, male 79.6
GTEX-XPVG-1826-SM-4B64X 50-59 years, male 79.6
GTEX-1F75I-2426-SM-9WPOY 40-49 years, male 79.6
GTEX-139T6-1326-SM-5IFFO 50-59 years, male 79.5
GTEX-1MA7W-0626-SM-EV79Z 20-29 years, female 79.5
GTEX-11DXZ-1726-SM-5H12M 50-59 years, male 79.0
GTEX-1IDJU-2026-SM-A9SLM 60-69 years, female 79.0
GTEX-12ZZZ-2426-SM-5GCNN 60-69 years, male 78.9
GTEX-1HFI7-1726-SM-A9G22 50-59 years, female 78.7
GTEX-S4P3-1226-SM-4AD4Y 50-59 years, female 78.5
GTEX-13X6H-1926-SM-7EWD3 50-59 years, female 78.4
GTEX-QEL4-1926-SM-D3L8D 50-59 years, male 78.4
GTEX-13OVG-1426-SM-5K7VP 60-69 years, male 78.2
GTEX-1C475-1626-SM-731FP 40-49 years, female 78.2
GTEX-13FH7-1526-SM-5J2N6 50-59 years, female 77.9
GTEX-PX3G-1426-SM-48U1J 20-29 years, female 77.9
GTEX-18A7B-2026-SM-72D71 70-79 years, male 77.6
GTEX-1HSMQ-2726-SM-C1YRE 50-59 years, male 77.6
GTEX-ZVT2-1926-SM-5GU5T 50-59 years, female 77.5
GTEX-XUW1-1926-SM-4BOP1 50-59 years, female 77.3
GTEX-1HKZK-2126-SM-A9SL3 40-49 years, male 77.3
GTEX-YEC3-2426-SM-DO11A 50-59 years, male 77.3
GTEX-14C39-1926-SM-5ZZW5 40-49 years, male 77.1
GTEX-15RIE-1826-SM-6M48P 60-69 years, male 77.1
GTEX-1LGRB-1426-SM-CNNPT 50-59 years, female 77.1
GTEX-1QCLZ-1926-SM-E6CR3 60-69 years, female 76.8
GTEX-144GL-2526-SM-5TDDL 50-59 years, male 76.0
GTEX-14BMU-1526-SM-5TDE6 20-29 years, female 75.8
GTEX-ZVP2-1526-SM-5NQ82 50-59 years, male 75.7
GTEX-13VXT-2426-SM-5LU46 20-29 years, female 75.5
GTEX-14PJ4-1926-SM-6LLHG 60-69 years, male 75.2
GTEX-145MO-2426-SM-5NQ9W 60-69 years, male 75.1
GTEX-ZYFC-2626-SM-5NQ6S 50-59 years, male 74.9
GTEX-1S5VW-2926-SM-E9U6H 60-69 years, male 74.9
GTEX-1KANC-0926-SM-D3LA9 50-59 years, female 74.5
GTEX-Y8E4-2426-SM-4WWDN 40-49 years, male 74.1
GTEX-13QJ3-2626-SM-9OSXQ 50-59 years, male 74.0
GTEX-1BAJH-2326-SM-7IGMO 70-79 years, male 73.8
GTEX-16Z82-2226-SM-6LPJ7 60-69 years, male 73.6
GTEX-WYVS-1826-SM-4OND6 40-49 years, female 73.5
GTEX-1RDX4-1826-SM-EVR54 50-59 years, female 73.5
GTEX-11P7K-1526-SM-5EGI7 30-39 years, male 73.4
GTEX-12C56-0626-SM-5EGGC 20-29 years, male 73.4
GTEX-1S83E-1626-SM-EV7B9 40-49 years, male 73.2
GTEX-13W3W-2126-SM-5K7UX 60-69 years, female 72.7
GTEX-17F98-1026-SM-7IGO8 40-49 years, female 72.7
GTEX-17HII-2726-SM-7MGVM 50-59 years, male 72.7
GTEX-Y9LG-1526-SM-4WWDR 30-39 years, male 72.6
GTEX-QV31-0826-SM-CKZNC 30-39 years, male 72.4
GTEX-PSDG-1826-SM-EAZ2S 50-59 years, male 72.3
GTEX-11I78-1226-SM-5A5K6 50-59 years, female 71.9
GTEX-XBEW-1926-SM-4SOJO 40-49 years, male 71.9
GTEX-1GN73-2626-SM-9KNUQ 60-69 years, male 71.8
GTEX-ZY6K-1226-SM-5GZYL 50-59 years, male 71.6
GTEX-1399U-1926-SM-5IFH7 50-59 years, female 71.5
GTEX-ZLV1-1226-SM-4WWBX 60-69 years, female 71.5
GTEX-O5YW-1426-SM-3MJHF 50-59 years, male 71.4
GTEX-14JG6-1726-SM-69LPL 30-39 years, female 71.3
GTEX-15DYW-2326-SM-6PAMU 60-69 years, female 71.3
GTEX-U3ZH-1326-SM-4DXSF 30-39 years, male 71.2
GTEX-R53T-1326-SM-48FCQ 50-59 years, female 71.0
GTEX-X3Y1-1726-SM-4PQZL 40-49 years, male 71.0
GTEX-17F96-2026-SM-79ON4 70-79 years, male 70.7
GTEX-17HGU-2426-SM-7EWDP 50-59 years, male 70.7
GTEX-1CAMS-2526-SM-7EPH7 40-49 years, female 70.7
GTEX-1PIGE-1426-SM-E9U61 20-29 years, male 70.2
GTEX-WFG7-1526-SM-4LVMG 20-29 years, male 70.1
GTEX-R55G-1226-SM-48FDC 40-49 years, female 70.0
GTEX-11LCK-2026-SM-5A5MA 30-39 years, male 69.8
GTEX-WOFM-2026-SM-4OOSQ 20-29 years, male 69.4
GTEX-NFK9-2026-SM-3LK5K 40-49 years, male 69.2
GTEX-145LS-2726-SM-5Q5D8 60-69 years, female 69.1
GTEX-1IKOE-2026-SM-AHZ31 30-39 years, female 69.0
GTEX-1KANB-1526-SM-CXZK4 50-59 years, male 68.9
GTEX-OHPM-1426-SM-3TW8Y 50-59 years, male 68.7
GTEX-111VG-2226-SM-5N9DU 60-69 years, male 68.2
GTEX-17F9E-1826-SM-7IGMC 50-59 years, male 67.6
GTEX-WFON-1426-SM-4LVMT 40-49 years, male 67.4
GTEX-1KANA-1926-SM-DHXKF 20-29 years, male 67.1
GTEX-U4B1-1126-SM-4DXV3 40-49 years, male 66.9
GTEX-QDVN-1326-SM-48TZ3 50-59 years, male 66.8
GTEX-18D9U-1926-SM-7KFTM 40-49 years, male 66.0
GTEX-X4EO-2526-SM-EWRM8 60-69 years, female 65.7
GTEX-R55D-1826-SM-48FEF 50-59 years, male 65.5
GTEX-1LG7Z-1426-SM-CXKYV 30-39 years, male 65.5
GTEX-1H1DG-2226-SM-9WPPC 70-79 years, male 65.3
GTEX-YB5E-1626-SM-5IFIQ 40-49 years, male 64.8
GTEX-13FHP-2426-SM-5KLZ5 50-59 years, male 64.7
GTEX-XUZC-1326-SM-4BRV2 30-39 years, female 64.7
GTEX-TKQ2-1326-SM-4DXT9 50-59 years, male 64.6
GTEX-17EVQ-1826-SM-7IGPH 70-79 years, male 64.4
GTEX-13FTW-1826-SM-5IJEN 40-49 years, male 64.2
GTEX-14BIN-3026-SM-5ZZUS 50-59 years, female 64.2
GTEX-11TUW-2026-SM-5EQL8 60-69 years, male 64.0
GTEX-OXRK-1726-SM-3NB16 50-59 years, female 63.7
GTEX-XYKS-2226-SM-4E3IU 60-69 years, female 63.6
GTEX-ZF2S-1926-SM-4WWAN 50-59 years, female 63.6
GTEX-1B8KZ-1326-SM-7DUG6 50-59 years, male 63.4
GTEX-SNOS-1226-SM-4DM5H 40-49 years, male 63.2
GTEX-17EUY-1826-SM-7DUEZ 20-29 years, male 62.8
GTEX-1GF9X-1526-SM-7P8QP 40-49 years, female 62.8
GTEX-1HCVE-2526-SM-A9G2G 50-59 years, male 62.6
GTEX-1J1R8-1126-SM-CNPQ3 40-49 years, male 62.6
GTEX-ZT9W-1826-SM-51MQX 50-59 years, male 62.1
GTEX-RM2N-0926-SM-48FD1 50-59 years, male 61.9
GTEX-S4UY-0826-SM-4AD4Z 40-49 years, female 61.9
GTEX-1JK1U-1526-SM-AHZ46 60-69 years, male 61.9
GTEX-O5YT-1426-SM-3MJHC 20-29 years, male 61.7
GTEX-13O3P-2326-SM-5KM55 50-59 years, male 61.3
GTEX-1122O-1526-SM-5N9CL 60-69 years, female 61.2
GTEX-11TT1-1026-SM-5PNW7 20-29 years, male 61.2
GTEX-139YR-2126-SM-5KM11 50-59 years, male 61.1
GTEX-15DZA-0926-SM-69LQ3 30-39 years, female 61.1
GTEX-XV7Q-2126-SM-4BRVX 40-49 years, female 61.1
GTEX-1H1E6-1926-SM-9OSWD 30-39 years, male 61.1
GTEX-11NSD-1626-SM-5986U 20-29 years, male 61.0
GTEX-WQUQ-2526-SM-4MVNO 60-69 years, male 60.7
GTEX-1E2YA-2626-SM-7MGWW 50-59 years, male 60.6
GTEX-Y5LM-1526-SM-4VDTA 40-49 years, female 59.8
GTEX-111CU-1426-SM-5GZYP 50-59 years, male 59.4
GTEX-QLQW-0426-SM-447A7 30-39 years, male 59.4
GTEX-Q2AH-1226-SM-48TZL 40-49 years, male 59.3
GTEX-SNMC-1126-SM-4DM5M 20-29 years, male 59.0
GTEX-XQ8I-2126-SM-4BOOM 50-59 years, male 58.8
GTEX-13PL7-2526-SM-5IFGR 60-69 years, female 58.4
GTEX-15CHR-1426-SM-7DUGV 50-59 years, male 58.4
GTEX-1H1DE-1526-SM-ARL9B 20-29 years, male 58.4
GTEX-1B932-2826-SM-73KUD 40-49 years, female 58.3
GTEX-X15G-1326-SM-4PQZJ 50-59 years, female 58.3
GTEX-QDVJ-1326-SM-48U1X 50-59 years, male 58.1
GTEX-13OW6-2126-SM-5N9GL 50-59 years, male 57.5
GTEX-ZP4G-1726-SM-4WWCM 20-29 years, female 57.5
GTEX-14XAO-2026-SM-69LOI 60-69 years, female 57.4
GTEX-1GF9U-1526-SM-7MXUW 40-49 years, female 57.4
GTEX-XMK1-1726-SM-4B64Z 40-49 years, male 57.3
GTEX-1IDJD-2226-SM-A96TD 30-39 years, male 57.2
GTEX-ZDYS-2326-SM-4WKG6 50-59 years, male 57.1
GTEX-1211K-1726-SM-5FQUJ 60-69 years, female 56.8
GTEX-WHWD-1226-SM-4OOS1 50-59 years, male 56.1
GTEX-R45C-2126-SM-EZ6KZ 60-69 years, female 55.9
GTEX-S4Q7-0826-SM-4AD5E 20-29 years, male 55.8
GTEX-TML8-1326-SM-4DXTO 40-49 years, female 55.7
GTEX-178AV-1326-SM-6LPJX 40-49 years, male 55.6
GTEX-PLZ5-1126-SM-3P613 50-59 years, male 55.3
GTEX-OOBJ-1426-SM-E6CHH 60-69 years, male 54.7
GTEX-U3ZN-2126-SM-4DXU1 30-39 years, female 54.2
GTEX-1H3VY-2426-SM-9WPPD 50-59 years, male 53.9
GTEX-132AR-2726-SM-5PNVN 50-59 years, female 53.6
GTEX-13OVK-0826-SM-7KULZ 40-49 years, male 53.5
GTEX-OIZF-1426-SM-2HML2 60-69 years, male 53.0
GTEX-P4QT-1426-SM-3NMCX 50-59 years, female 52.7
GTEX-1POEN-2026-SM-E6CRL 30-39 years, female 52.3
GTEX-1HCU6-2726-SM-A9SKV 60-69 years, female 51.8
GTEX-ZEX8-1926-SM-4WKFR 50-59 years, male 50.9
GTEX-17KNJ-1726-SM-7LG6A 50-59 years, male 50.7
GTEX-17GQL-1526-SM-7LTAC 60-69 years, male 50.2
GTEX-1399S-1926-SM-5J2M5 30-39 years, female 49.9
GTEX-PLZ6-0926-SM-3P5ZQ 30-39 years, male 49.2
GTEX-1399R-2226-SM-5P9JB 30-39 years, male 49.1
GTEX-XAJ8-0426-SM-47JYJ 40-49 years, male 48.4
GTEX-15ER7-2926-SM-7KUFK 20-29 years, female 47.9
GTEX-146FQ-1926-SM-5NQBY 30-39 years, male 47.1
GTEX-Q2AI-0926-SM-48U1F 40-49 years, male 46.9
GTEX-18A7A-2226-SM-7LT8K 50-59 years, female 46.8
GTEX-1CAMR-0926-SM-7MXTD 20-29 years, male 45.1
GTEX-1IGQW-2326-SM-CE6RV 60-69 years, male 43.2
GTEX-131XE-0826-SM-5HL9W 50-59 years, male 42.7
GTEX-144GN-1126-SM-5LU33 50-59 years, male 42.3
GTEX-11ZVC-2126-SM-5EGJ1 50-59 years, female 42.0
GTEX-ZTSS-1126-SM-5985O 40-49 years, male 41.5
GTEX-14E6E-1526-SM-5RQIG 30-39 years, male 39.9
GTEX-ZDTT-1926-SM-5HL5W 60-69 years, male 39.8
GTEX-11GSP-1626-SM-5986N 60-69 years, female 39.0
GTEX-131XG-1826-SM-5LZV4 50-59 years, female 38.5
GTEX-P78B-1726-SM-3P5ZV 40-49 years, female 35.9
GTEX-Q734-1126-SM-48TZY 40-49 years, female 32.5
GTEX-11EQ9-1426-SM-5987G 30-39 years, male 30.3
Show allShow less

COLON - FANTOM5 CAGEi

RNA expression in human tissues obtained through Cap Analysis of Gene Expression (CAGE) generated by the FANTOM5 project are reported as Scaled Tags Per Million.

Max subtype Scaled Tags Per Millioni

Max subtype Scaled Tags Per Million is the value for the subtype with the largest average Scaled Tags Per Million across the subtype samples.

376.5
FANTOM5 sample id Sample description Scaled Tags Per Million
Colon
Scaled Tags Per Million: 376.5
FF:10014-101C5 62,83,84 years, mixed 376.5

Contact

  • NEWS ARTICLES
  • PRESS ROOM

The Project

  • INTRODUCTION
  • ORGANIZATION
  • PUBLICATIONS

The Human Protein Atlas

  • DOWNLOADABLE DATA
  • LICENCE & CITATION
  • HELP & FAQ
The Human Protein Atlas project is funded
by the Knut & Alice Wallenberg Foundation.


contact@proteinatlas.org