We use cookies to enhance the usability of our website. If you continue, we'll assume that you are happy to receive all cookies. More information. Don't show this again.
EEF1D
HPA
RESOURCES
  • TISSUE
  • BRAIN
  • SINGLE CELL
  • SUBCELLULAR
  • CANCER
  • BLOOD
  • CELL LINE
  • STRUCTURE & INTERACTION
ABOUT
  • INTRODUCTION
  • HISTORY
  • ORGANIZATION
  • PUBLICATIONS
  • ANTIBODY SUBMISSION
  • ANTIBODY AVAILABILITY
  • ACKNOWLEDGMENTS
  • CONTACT
NEWS
  • NEWS ARTICLES
  • PRESS ROOM
LEARN
  • DICTIONARY
  • PROTEIN CLASSES
  • PROTEIN EVIDENCE
  • METHODS
  • EDUCATIONAL VIDEOS
DATA
  • DOWNLOADABLE DATA
  • PUBLICATION DATA
  • RELEASE HISTORY
HELP
  • ANTIBODY VALIDATION
  • ASSAYS & ANNOTATION
  • DISCLAIMER
  • HELP & FAQ
  • PRIVACY STATEMENT
  • LICENCE & CITATION
Fields »
Search result

Field
Term
Gene name
Class
Subclass
Class
Keyword
Chromosome
External id
Tissue
Cell type
Expression
Antibody panel
Tissue
Main location
Patient ID
Annotation
Tissue
Category
Tau score
Cluster
Reliability
Brain region
Category
Tau score
Brain region
Category
Tau score
Brain region
Category
Tau score
Cluster
Reliability
Tissue
Cell type
Enrichment
Cell type
Category
Tau score
Cell type
Category
Tau score
Cell type
Category
Tau score
Cell lineage
Category
Tau score
Cluster
Cluster
Location
Searches
Location
Cell line
Class
Type
Phase
Reliability
Cancer
Prognosis
Cancer
Category
Cancer
Category
Tau score
Cluster
Variants
Interacting gene (ensg_id)
Type
Number of interactions
Pathway
Category
Score
Score
Score
Validation
Validation
Validation
Validation
Antibodies
Data type
Column


  • SUMMARY

  • TISSUE

  • BRAIN

  • SINGLE CELL

  • SUBCELL

  • CANCER

  • BLOOD

  • CELL LINE

  • STRUCT & INT

  • EEF1D
TISSUE PRIMARY DATA LIVER Show tissue menu
ADIPOSE TISSUE ADRENAL GLAND AMYGDALA APPENDIX BASAL GANGLIA BONE MARROW BREAST BRONCHUS CEREBELLUM CEREBRAL CORTEX CERVIX CHOROID PLEXUS COLON DUODENUM
ENDOMETRIUM EPIDIDYMIS ESOPHAGUS FALLOPIAN TUBE GALLBLADDER HEART MUSCLE HIPPOCAMPAL FORMATION HYPOTHALAMUS KIDNEY LIVER LUNG LYMPH NODE MIDBRAIN NASOPHARYNX
ORAL MUCOSA OVARY PANCREAS PARATHYROID GLAND PITUITARY GLAND PLACENTA PROSTATE RECTUM RETINA SALIVARY GLAND SEMINAL VESICLE SKELETAL MUSCLE SKIN SMALL INTESTINE
SMOOTH MUSCLE SOFT TISSUE SPINAL CORD SPLEEN STOMACH TESTIS THYMUS THYROID GLAND TONGUE TONSIL URINARY BLADDER VAGINA
ANTIBODIES
AND
VALIDATION
Dictionary
Liver
Tissue proteome
Liver
LIVER - Expression summary
Protein expression
Liveri

On the top, protein expression in current human tissue, based on all annotated cell types, is reported with the units not detected (n), low (l), medium (m) and high (h). Underneath, protein expression in each annotated cell type are reported using the same units.

Protein expression data is based on knowledge-based annotation. For genes where more than one antibody has been used, a collective score is set.

If knowledge-based annotation could not be performed for a gene, no data is displayed here. View antibody staining data further down this page.

h
m
l
n
Cholangiocytes: Low
Hepatocytes: Medium
RNA expressioni

A summary of mRNA expression data available for current tissue based on several datasets. The mRNA expression levels in human tissues are based on RNA-seq data generated by the Human Protein Atlas (HPA), Genotype-Tissue Expression (GTEx) portal and CAGE data generated by the FANTOM5 consortium. Consensus normalized expression levels for human tissues was created by combining the data from HPA and GTEx datasets.

The mRNA expression levels in pig are based on RNA-seq data generated by the Human Protein Atlas (HPA), and for mouse, HPA data and in situ hybridization generated by the Allen brain atlas are reported.

Scroll down to view mRNA expression data in more detail.
Consensus:458.7 nTPM
HPA:98.5 nTPM
GTEx:458.7 nTPM
FANTOM5:315.4 Scaled Tags Per Million

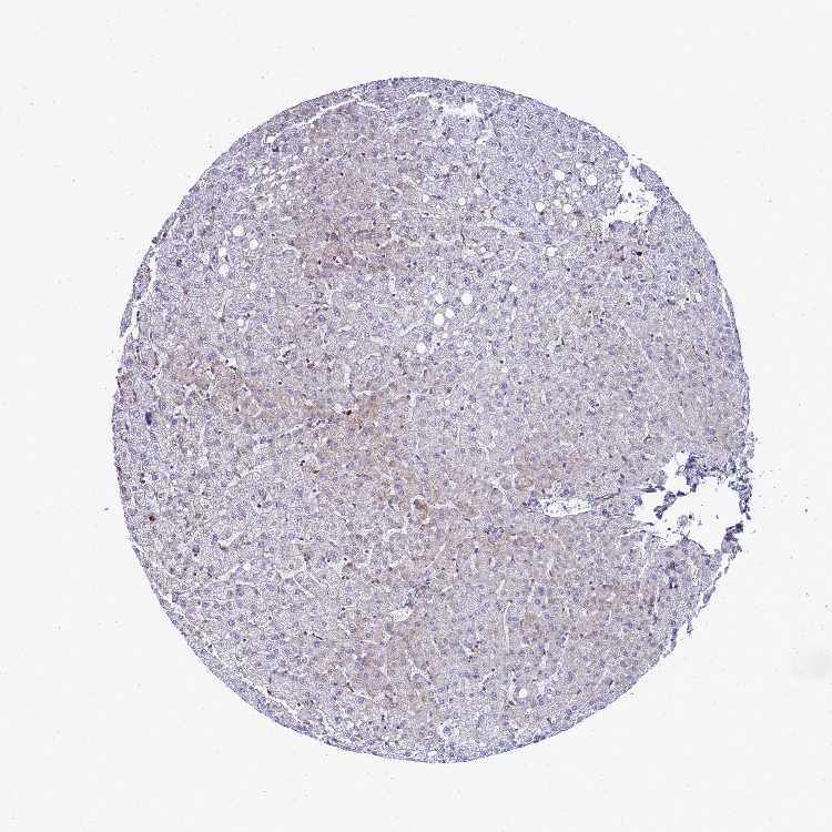
LIVER - Antibody stainingi

Antibody staining in the annotated cell types in the current human tissue is reported as not detected, low, medium, or high, based on conventional immunohistochemistry profiling in selected tissues. This score is based on the combination of the staining intensity and fraction of stained cells.

Each image is clickable and will lead to virtual microscopy that enables deeper exploration of all samples and also displays staining intensity scores, fraction scores and subcellular localization as well as patient and tissue information for each sample.

Antibody HPA045101
Cholangiocytes Low
Hepatocytes Medium



LIVER - HPA RNA-seqi

The RNA-seq details section shows detailed information about the individual samples used for the transcript profiling and results of the RNA-seq analysis.

Information about each individual sample is listed below, including gender, age, a tissue section image and estimated fractions of cell types. nTPM (normalized transcripts per million) values give a quantification of the gene abundance which is comparable between different genes and samples.
Average nTPMi

Max subtype nTPM is the value for the subtype with the largest average nTPM across the subtype samples.

98.5
N/A
Female, age 60
Liver sample 21
nTPM: 173.1
overview
Male, age 54
Liver sample 23
nTPM: 174.1
Cell types%
Hepatocytes:
80

Fibroblasts:
15

Other cell types:
5

overview
Male, age 74
Liver sample 24
nTPM: 182.7
Cell types%
Hepatocytes:
85

Fibroblasts:
5

Other cell types:
10

overview
Female, age 62
Liver sample 350
nTPM: 19.4
Cell types%
Hepatocytes:
70

Fibroblasts:
10

Other cell types:
20

overview
Male, age 78
Liver sample 351
nTPM: 31.4
Cell types%
Hepatocytes:
75

Fibroblasts:
5

Other cell types:
20

overview
Male, age 53
Liver sample 352
nTPM: 55.7
Cell types%
Hepatocytes:
80

Fibroblasts:
5

Other cell types:
15

overview
Male, age 77
Liver sample 353
nTPM: 45.6
Cell types%
Hepatocytes:
75

Fibroblasts:
5

Other cell types:
20

overview
Female, age 72
Liver sample 359
nTPM: 153.3
Cell types%
Hepatocytes:
50

Fibroblasts:
10

Other cell types:
40

overview
Male, age 70
Liver sample 367
nTPM: 62.5
Cell types%
Hepatocytes:
65

Fibroblasts:
10

Other cell types:
25

overview
Female, age 23
Liver sample 396
nTPM: 86.8
Cell types%
Hepatocytes:
70

Fibroblasts:
5

Other cell types:
25


LIVER - GTEx RNA-seqi

RNA-Seq data generated by the Genotype-Tissue Expression (GTEx) project from human tissues is reported as mean nTPM. More information can be found on the GTEx portal.

Distribution across the dataset is visualized with box plots, shown as median and 25th and 75th percentiles. Points are displayed as outliers if they are above or below 1.5 times the interquartile range. nTPM values of the individual samples are presented next to the box plot.
Max subtype nTPMi

Max subtype nTPM is the value for the subtype with the largest average nTPM across the subtype samples.

458.7
GTEx sample id Sample description nTPM
Liver
Average nTPM: 458.7
Samples: 226

Max nTPM: 878.4
Min nTPM: 244.2
Std nTPM: 97.0
Median nTPM: 437.2
GTEX-1CB4J-0726-SM-7IGN8 60-69 years, male 878.4
GTEX-12696-0826-SM-5EGGE 60-69 years, male 742.9
GTEX-11TT1-1726-SM-5EQLJ 20-29 years, male 729.7
GTEX-132NY-0926-SM-5P9G3 60-69 years, male 718.3
GTEX-P44G-1126-SM-3NM9D 30-39 years, male 701.0
GTEX-REY6-1226-SM-48FDR 60-69 years, male 698.3
GTEX-ZYT6-0626-SM-5E45V 30-39 years, male 691.5
GTEX-O5YV-0726-SM-EV798 60-69 years, female 682.4
GTEX-VUSG-0126-SM-4KL1X 50-59 years, male 655.1
GTEX-1B8SG-1326-SM-79ONT 50-59 years, male 650.4
GTEX-1LH75-0926-SM-EAZ5C 50-59 years, female 647.7
GTEX-14E7W-1526-SM-6871X 70-79 years, male 643.7
GTEX-WQUQ-1926-SM-4OOSA 60-69 years, male 637.1
GTEX-QEG4-1826-SM-CKZN9 30-39 years, male 626.4
GTEX-11ZUS-2526-SM-59872 30-39 years, male 615.0
GTEX-11TUW-1726-SM-5BC5C 60-69 years, male 602.4
GTEX-XXEK-1126-SM-4BRUX 50-59 years, male 601.7
GTEX-14C38-1526-SM-5RQJ7 50-59 years, male 599.7
GTEX-145MF-0826-SM-5QGQA 50-59 years, male 593.4
GTEX-14JG1-1626-SM-664NH 40-49 years, male 586.6
GTEX-14XAO-0226-SM-68728 60-69 years, female 584.8
GTEX-1HCU7-1726-SM-B2LX9 50-59 years, male 584.4
GTEX-148VI-0626-SM-5TDDH 60-69 years, female 582.7
GTEX-14753-1626-SM-5NQ9L 60-69 years, male 576.2
GTEX-S32W-1926-SM-4AD63 50-59 years, female 572.7
GTEX-1HT8W-0826-SM-C1YRJ 30-39 years, male 569.8
GTEX-RN64-1826-SM-48FDV 50-59 years, male 569.4
GTEX-UTHO-2426-SM-4JBHD 60-69 years, male 569.0
GTEX-131XH-0626-SM-5LZWH 50-59 years, male 566.4
GTEX-1JJEA-1526-SM-CNNPK 60-69 years, male 566.2
GTEX-13O1R-2026-SM-5KM3N 60-69 years, male 563.9
GTEX-11NUK-1226-SM-5P9GM 50-59 years, male 563.2
GTEX-Y111-0726-SM-EYYVM 50-59 years, male 556.8
GTEX-WVLH-2126-SM-EYYWD 50-59 years, male 556.2
GTEX-U8XE-1526-SM-4E3HT 30-39 years, male 552.9
GTEX-139TS-1426-SM-5IFJD 60-69 years, male 551.6
GTEX-146FH-1526-SM-5NQBU 50-59 years, female 546.8
GTEX-RWSA-1426-SM-47JXA 40-49 years, male 546.7
GTEX-YEC4-0826-SM-5P9FV 40-49 years, male 546.4
GTEX-1JJ6O-0826-SM-CXZJL 60-69 years, male 544.5
GTEX-1QP6S-1326-SM-DPRZ8 40-49 years, male 544.3
GTEX-S33H-1626-SM-4AD68 30-39 years, male 542.6
GTEX-139YR-0226-SM-5IFEM 50-59 years, male 541.6
GTEX-1KANB-2226-SM-DHXJW 50-59 years, male 539.7
GTEX-1HBPH-2626-SM-A96TV 40-49 years, female 538.8
GTEX-11DXY-0526-SM-5EGGQ 60-69 years, male 538.6
GTEX-WZTO-0626-SM-4PQYY 40-49 years, male 531.4
GTEX-1HCVE-1526-SM-B2LWW 50-59 years, male 531.4
GTEX-1GZ4I-1526-SM-9OSW9 50-59 years, male 530.8
GTEX-18D9B-1526-SM-7KFRK 60-69 years, male 527.9
GTEX-WK11-1326-SM-4OOSI 50-59 years, male 526.6
GTEX-17HGU-1826-SM-7IGQM 50-59 years, male 524.6
GTEX-131YS-1626-SM-5HL6C 60-69 years, female 524.3
GTEX-1NV8Z-1626-SM-DPRYT 60-69 years, male 523.8
GTEX-17EVP-1026-SM-7IGOZ 40-49 years, male 523.7
GTEX-1S82Y-1026-SM-EV7BJ 40-49 years, male 521.8
GTEX-1PIIG-1326-SM-EXOIR 30-39 years, male 521.1
GTEX-QDVN-0826-SM-48TZ2 50-59 years, male 520.8
GTEX-SJXC-1226-SM-4DM78 60-69 years, male 518.7
GTEX-14DAQ-1726-SM-5S2R2 60-69 years, female 516.6
GTEX-1QP66-0226-SM-DPRXS 50-59 years, male 513.1
GTEX-144GM-1326-SM-5LU5E 20-29 years, male 511.7
GTEX-12WSL-0226-SM-5CVMJ 50-59 years, male 510.5
GTEX-YFC4-1526-SM-5IFJS 40-49 years, female 508.7
GTEX-RTLS-1326-SM-46MUN 60-69 years, female 508.0
GTEX-QESD-2026-SM-447BI 20-29 years, male 507.2
GTEX-1CAMQ-1426-SM-7MKFL 40-49 years, male 504.6
GTEX-15RJE-1126-SM-6LPI5 40-49 years, male 503.9
GTEX-14A5I-1726-SM-5QGQ5 50-59 years, female 503.1
GTEX-1BAJH-1526-SM-7RHGI 70-79 years, male 502.3
GTEX-WY7C-0726-SM-4ONCB 50-59 years, male 500.9
GTEX-13PVQ-1526-SM-5IFEQ 50-59 years, male 499.8
GTEX-18465-1626-SM-7LG6N 50-59 years, male 497.9
GTEX-15SHU-1826-SM-7KUKS 40-49 years, female 494.5
GTEX-1QCLZ-1226-SM-EAZ49 60-69 years, female 494.1
GTEX-147F4-1426-SM-5LUA8 50-59 years, male 493.7
GTEX-1CB4F-1726-SM-7MGXH 60-69 years, male 493.1
GTEX-12KS4-1326-SM-5LUB3 30-39 years, male 491.9
GTEX-1S5VW-1826-SM-EAZ53 60-69 years, male 489.1
GTEX-1EN7A-2026-SM-7MGY4 40-49 years, male 489.0
GTEX-ZTPG-1426-SM-51MT3 20-29 years, female 487.9
GTEX-X261-1726-SM-4PQYT 50-59 years, male 487.6
GTEX-1AX8Z-1026-SM-7189R 60-69 years, male 482.2
GTEX-1K9T9-0726-SM-CXZJZ 50-59 years, female 480.9
GTEX-1GN2E-0926-SM-9WPOH 60-69 years, male 480.2
GTEX-WFON-1726-SM-4LVMQ 40-49 years, male 478.3
GTEX-13FLV-0326-SM-5N9DJ 50-59 years, male 477.8
GTEX-13N2G-0926-SM-5IFGJ 60-69 years, male 475.1
GTEX-1KWVE-0326-SM-EV7AF 30-39 years, male 472.8
GTEX-S4Z8-0526-SM-4AD4T 60-69 years, male 468.6
GTEX-1KAFJ-0726-SM-CXZKF 50-59 years, male 467.0
GTEX-1E2YA-1226-SM-7MGY3 50-59 years, male 465.6
GTEX-15RJ7-2026-SM-6LPJ4 40-49 years, male 463.1
GTEX-1KD4Q-1526-SM-D4P3L 40-49 years, male 461.9
GTEX-13VXU-0926-SM-5IFFH 50-59 years, male 461.6
GTEX-14E1K-0326-SM-5S2PE 50-59 years, male 460.8
GTEX-WYVS-1926-SM-4PQZ2 40-49 years, female 459.3
GTEX-X4EO-1126-SM-4QARQ 60-69 years, female 455.5
GTEX-1KD5A-1226-SM-CXZK7 50-59 years, male 455.5
GTEX-11NV4-1326-SM-5HL6V 60-69 years, male 454.7
GTEX-1ICG6-1026-SM-B2LY6 70-79 years, female 454.3
GTEX-1GF9V-1226-SM-7MKGY 60-69 years, male 453.3
GTEX-X4XY-1626-SM-46MVN 60-69 years, male 452.8
GTEX-145LU-1326-SM-5LU9N 50-59 years, male 447.6
GTEX-1B996-1426-SM-7EPIA 60-69 years, male 446.5
GTEX-1212Z-0226-SM-59HLF 60-69 years, male 445.0
GTEX-RU72-1426-SM-46MUF 50-59 years, female 443.8
GTEX-13NZ9-1326-SM-5MR3V 50-59 years, male 443.1
GTEX-18A7A-1526-SM-72D69 50-59 years, female 440.9
GTEX-1HBPI-1026-SM-AHZ4N 50-59 years, male 440.8
GTEX-P78B-1326-SM-3P611 40-49 years, female 438.7
GTEX-14PHX-0526-SM-664NW 50-59 years, male 438.4
GTEX-139TU-0826-SM-5IJFG 60-69 years, male 437.5
GTEX-RNOR-1426-SM-48FDJ 50-59 years, female 436.9
GTEX-13112-1426-SM-5EGH8 50-59 years, male 436.2
GTEX-X3Y1-2726-SM-4PQZH 40-49 years, male 436.2
GTEX-17MF6-1126-SM-7DUFS 40-49 years, male 434.1
GTEX-131XE-0326-SM-5LZVO 50-59 years, male 433.7
GTEX-13PVR-0126-SM-5S2PY 60-69 years, female 433.6
GTEX-QEL4-1226-SM-447A4 50-59 years, male 431.2
GTEX-12WSM-0726-SM-5GCOW 60-69 years, male 431.1
GTEX-1B8L1-0726-SM-7P8RT 60-69 years, male 430.9
GTEX-147JS-1126-SM-5RQIW 60-69 years, male 430.4
GTEX-ZF29-2026-SM-DNZYW 60-69 years, female 428.4
GTEX-11ZVC-0726-SM-5FQT9 50-59 years, female 427.0
GTEX-1ICLY-1526-SM-C1YS4 50-59 years, male 426.2
GTEX-ZVT3-1626-SM-5GU66 60-69 years, female 422.5
GTEX-1GN73-1126-SM-9OSW5 60-69 years, male 421.9
GTEX-1I1HK-1126-SM-AHZ2L 60-69 years, male 421.9
GTEX-1A32A-0826-SM-72D5C 50-59 years, female 421.5
GTEX-1EH9U-1126-SM-7IGLU 60-69 years, male 421.3
GTEX-X4EP-1026-SM-4QAS5 60-69 years, female 421.3
GTEX-13X6J-1826-SM-5TDCT 50-59 years, male 421.1
GTEX-1399R-1226-SM-5P9GF 30-39 years, male 420.8
GTEX-18A66-2026-SM-7189C 60-69 years, male 420.3
GTEX-1PBJJ-0626-SM-DPRYO 30-39 years, male 418.4
GTEX-1J8EW-1626-SM-C1YQ8 60-69 years, female 418.1
GTEX-1GF9X-0426-SM-7MKHN 40-49 years, female 417.8
GTEX-1B933-1226-SM-731DW 50-59 years, female 417.1
GTEX-12WSI-0226-SM-5GCNA 50-59 years, male 416.0
GTEX-XBEC-1526-SM-4AT68 50-59 years, male 415.9
GTEX-ZVP2-0626-SM-51MSO 50-59 years, male 415.1
GTEX-1R9JW-0826-SM-DPRZJ 30-39 years, female 414.2
GTEX-1GF9W-0826-SM-7MKHI 60-69 years, male 412.8
GTEX-TKQ2-1726-SM-4DXUP 50-59 years, male 412.6
GTEX-13O3O-1826-SM-5IFGW 60-69 years, female 412.4
GTEX-15DYW-1326-SM-6LPIV 60-69 years, female 412.1
GTEX-11WQC-0726-SM-5EQMR 60-69 years, male 410.0
GTEX-1I1GR-1526-SM-CNNQE 60-69 years, male 408.8
GTEX-1269C-0626-SM-5FQSS 60-69 years, female 408.6
GTEX-1IKJJ-1526-SM-C1YSC 60-69 years, male 407.5
GTEX-13FTW-1126-SM-5J2NV 40-49 years, male 402.8
GTEX-Z9EW-0426-SM-5CVM9 40-49 years, male 402.6
GTEX-14AS3-0126-SM-5Q5F4 40-49 years, female 402.1
GTEX-132AR-0426-SM-5IFH8 50-59 years, female 400.3
GTEX-1EWIQ-0726-SM-7MKFW 70-79 years, female 399.1
GTEX-1EKGG-1226-SM-7IGNO 60-69 years, male 397.8
GTEX-YB5E-0326-SM-5IFHU 40-49 years, male 397.5
GTEX-13NZB-0626-SM-5IFH6 30-39 years, male 397.0
GTEX-ZVT4-0626-SM-5E45T 50-59 years, female 396.6
GTEX-ZZPU-0426-SM-5GZYH 50-59 years, female 396.2
GTEX-QV44-0326-SM-C1YQX 50-59 years, male 395.8
GTEX-1RQEC-1126-SM-EAZ5E 60-69 years, male 395.2
GTEX-YECK-1926-SM-4W21H 60-69 years, male 394.6
GTEX-14BIL-1326-SM-79OMR 50-59 years, male 394.3
GTEX-1HB9E-0626-SM-AHZ4K 50-59 years, male 394.2
GTEX-144GL-1426-SM-79OMA 50-59 years, male 394.1
GTEX-1H11D-0826-SM-9OSWB 40-49 years, male 392.8
GTEX-T6MN-1226-SM-3NMA5 50-59 years, male 391.2
GTEX-PX3G-0826-SM-48TZS 20-29 years, female 389.4
GTEX-145MO-2326-SM-5NQ9K 60-69 years, male 388.2
GTEX-1MJIX-0726-SM-DPRYP 40-49 years, male 386.2
GTEX-Y5V5-0926-SM-4VBPZ 60-69 years, female 385.1
GTEX-1LGRB-0626-SM-CNNQH 50-59 years, female 384.6
GTEX-13NYB-1026-SM-5IFH3 40-49 years, male 384.4
GTEX-1F75A-1626-SM-9JGGT 50-59 years, male 383.6
GTEX-O5YT-0826-SM-3TW8N 20-29 years, male 383.2
GTEX-12WSG-0626-SM-5FQTQ 50-59 years, female 381.9
GTEX-11ZTS-1426-SM-5EQMM 60-69 years, female 381.7
GTEX-17HII-1026-SM-7IGLY 50-59 years, male 381.2
GTEX-1GN1U-0926-SM-9WPPY 50-59 years, female 381.1
GTEX-15ER7-1826-SM-6LLI7 20-29 years, female 381.0
GTEX-UPK5-1426-SM-4JBHH 40-49 years, male 380.4
GTEX-1399T-0826-SM-5IFES 60-69 years, male 380.3
GTEX-1B932-1426-SM-793AN 40-49 years, female 377.4
GTEX-11EQ9-0526-SM-5A5JZ 30-39 years, male 376.8
GTEX-11OF3-0726-SM-5BC4Z 60-69 years, male 375.6
GTEX-1QPFJ-1126-SM-E9U5V 30-39 years, female 374.4
GTEX-18A6Q-2026-SM-718AQ 60-69 years, male 371.1
GTEX-R53T-0326-SM-48FEC 50-59 years, female 370.2
GTEX-147GR-1326-SM-7IGLB 60-69 years, male 369.3
GTEX-12ZZZ-1326-SM-59HKW 60-69 years, male 368.7
GTEX-13OW6-2626-SM-5IFF2 50-59 years, male 368.3
GTEX-11DXZ-0126-SM-5EGGY 50-59 years, male 367.6
GTEX-Q734-0326-SM-48U15 40-49 years, female 366.1
GTEX-ZEX8-0826-SM-4WKHK 50-59 years, male 364.3
GTEX-13QJC-0726-SM-5RQJK 60-69 years, female 361.7
GTEX-Y5LM-0426-SM-4VBRO 40-49 years, female 361.0
GTEX-Q2AG-1126-SM-48U1P 40-49 years, female 360.0
GTEX-1A8FM-1226-SM-7IGMD 50-59 years, female 359.7
GTEX-ZYY3-0626-SM-5NQ6W 60-69 years, female 359.1
GTEX-1A8G7-1126-SM-731ED 60-69 years, male 357.9
GTEX-RM2N-1926-SM-48FCU 50-59 years, male 357.9
GTEX-1IKK5-0326-SM-C1YPY 60-69 years, male 357.1
GTEX-ZAB4-0826-SM-5LU9D 40-49 years, male 352.6
GTEX-12WSD-1426-SM-5GCN9 60-69 years, female 351.6
GTEX-17F96-1226-SM-79OK2 70-79 years, male 348.5
GTEX-ZPU1-0826-SM-57WG2 40-49 years, male 346.7
GTEX-14PJO-1726-SM-68719 60-69 years, male 343.2
GTEX-1JMLX-1326-SM-CXZJO 50-59 years, male 343.0
GTEX-13SLX-1226-SM-5S2Q6 50-59 years, female 339.2
GTEX-ZAB5-0426-SM-5CVMI 50-59 years, male 336.2
GTEX-13FTZ-0726-SM-5IFFY 60-69 years, male 335.9
GTEX-11GSP-0626-SM-5986T 60-69 years, female 328.4
GTEX-OOBJ-0826-SM-3NB2K 60-69 years, male 326.5
GTEX-17HHE-0126-SM-79398 50-59 years, male 323.5
GTEX-1497J-0726-SM-5Q5D1 60-69 years, male 319.7
GTEX-15SZO-1226-SM-6LPIP 50-59 years, male 316.9
GTEX-13113-1326-SM-5GCOI 60-69 years, female 316.1
GTEX-13N11-0926-SM-5IJG2 50-59 years, female 310.0
GTEX-U3ZN-0226-SM-3DB8D 30-39 years, female 308.7
GTEX-1C6VQ-1626-SM-79OO1 50-59 years, male 302.8
GTEX-1AX9I-1626-SM-72D5D 60-69 years, male 300.0
GTEX-ZF2S-3026-SM-4WWCH 50-59 years, female 292.6
GTEX-1AMFI-0826-SM-731DV 50-59 years, female 268.6
GTEX-OIZF-0826-SM-3MJGO 60-69 years, male 244.2
Show allShow less

LIVER - FANTOM5 CAGEi

RNA expression in human tissues obtained through Cap Analysis of Gene Expression (CAGE) generated by the FANTOM5 project are reported as Scaled Tags Per Million.

Max subtype Scaled Tags Per Millioni

Max subtype Scaled Tags Per Million is the value for the subtype with the largest average Scaled Tags Per Million across the subtype samples.

315.4
FANTOM5 sample id Sample description Scaled Tags Per Million
Liver
Scaled Tags Per Million: 315.4
FF:10018-101C9 64,69,70 years, mixed 315.4

Contact

  • NEWS ARTICLES
  • PRESS ROOM

The Project

  • INTRODUCTION
  • ORGANIZATION
  • PUBLICATIONS

The Human Protein Atlas

  • DOWNLOADABLE DATA
  • LICENCE & CITATION
  • HELP & FAQ
The Human Protein Atlas project is funded
by the Knut & Alice Wallenberg Foundation.


contact@proteinatlas.org