We use cookies to enhance the usability of our website. If you continue, we'll assume that you are happy to receive all cookies. More information. Don't show this again.
CD81
HPA
RESOURCES
  • TISSUE
  • BRAIN
  • SINGLE CELL
  • SUBCELLULAR
  • CANCER
  • BLOOD
  • CELL LINE
  • STRUCTURE & INTERACTION
ABOUT
  • INTRODUCTION
  • HISTORY
  • ORGANIZATION
  • PUBLICATIONS
  • ANTIBODY SUBMISSION
  • ANTIBODY AVAILABILITY
  • ACKNOWLEDGMENTS
  • CONTACT
NEWS
  • NEWS ARTICLES
  • PRESS ROOM
LEARN
  • DICTIONARY
  • PROTEIN CLASSES
  • PROTEIN EVIDENCE
  • METHODS
  • EDUCATIONAL VIDEOS
DATA
  • DOWNLOADABLE DATA
  • PUBLICATION DATA
  • RELEASE HISTORY
HELP
  • ANTIBODY VALIDATION
  • ASSAYS & ANNOTATION
  • DISCLAIMER
  • HELP & FAQ
  • PRIVACY STATEMENT
  • LICENCE & CITATION
Fields »
Search result

Field
Term
Gene name
Class
Subclass
Class
Keyword
Chromosome
External id
Tissue
Cell type
Expression
Antibody panel
Tissue
Main location
Patient ID
Annotation
Tissue
Category
Tau score
Cluster
Reliability
Brain region
Category
Tau score
Brain region
Category
Tau score
Brain region
Category
Tau score
Cluster
Reliability
Tissue
Cell type
Enrichment
Cell type
Category
Tau score
Cell type
Category
Tau score
Cell type
Category
Tau score
Cell lineage
Category
Tau score
Cluster
Cluster
Location
Searches
Location
Cell line
Class
Type
Phase
Reliability
Cancer
Prognosis
Cancer
Category
Cancer
Category
Tau score
Cluster
Variants
Interacting gene (ensg_id)
Type
Number of interactions
Pathway
Category
Score
Score
Score
Validation
Validation
Validation
Validation
Antibodies
Data type
Column


  • SUMMARY

  • TISSUE

  • BRAIN

  • SINGLE CELL

  • SUBCELL

  • CANCER

  • BLOOD

  • CELL LINE

  • STRUCT & INT

  • CD81
TISSUE PRIMARY DATA BREAST Show tissue menu
ADIPOSE TISSUE ADRENAL GLAND AMYGDALA APPENDIX BASAL GANGLIA BONE MARROW BREAST BRONCHUS CEREBELLUM CEREBRAL CORTEX CERVIX CHOROID PLEXUS COLON DUODENUM
ENDOMETRIUM EPIDIDYMIS ESOPHAGUS FALLOPIAN TUBE GALLBLADDER HEART MUSCLE HIPPOCAMPAL FORMATION HYPOTHALAMUS KIDNEY LIVER LUNG LYMPH NODE MIDBRAIN NASOPHARYNX
ORAL MUCOSA OVARY PANCREAS PARATHYROID GLAND PITUITARY GLAND PLACENTA PROSTATE RECTUM RETINA SALIVARY GLAND SEMINAL VESICLE SKELETAL MUSCLE SKIN SMALL INTESTINE
SMOOTH MUSCLE SOFT TISSUE SPINAL CORD SPLEEN STOMACH TESTIS THYMUS THYROID GLAND TONGUE TONSIL URINARY BLADDER VAGINA
ANTIBODIES
AND
VALIDATION
Dictionary
Breast
Tissue proteome
Breast
BREAST - Expression summary
Protein expression
Breasti

On the top, protein expression in current human tissue, based on all annotated cell types, is reported with the units not detected (n), low (l), medium (m) and high (h). Underneath, protein expression in each annotated cell type are reported using the same units.

Protein expression data is based on knowledge-based annotation. For genes where more than one antibody has been used, a collective score is set.

If knowledge-based annotation could not be performed for a gene, no data is displayed here. View antibody staining data further down this page.

h
m
l
n
Adipocytes: Not detected
Glandular cells: Not detected
Myoepithelial cells: Not detected
RNA expressioni

A summary of mRNA expression data available for current tissue based on several datasets. The mRNA expression levels in human tissues are based on RNA-seq data generated by the Human Protein Atlas (HPA), Genotype-Tissue Expression (GTEx) portal and CAGE data generated by the FANTOM5 consortium. Consensus normalized expression levels for human tissues was created by combining the data from HPA and GTEx datasets.

The mRNA expression levels in pig are based on RNA-seq data generated by the Human Protein Atlas (HPA), and for mouse, HPA data and in situ hybridization generated by the Allen brain atlas are reported.

Scroll down to view mRNA expression data in more detail.
Consensus:748.3 nTPM
HPA:304.3 nTPM
GTEx:748.3 nTPM
FANTOM5:959.4 Scaled Tags Per Million

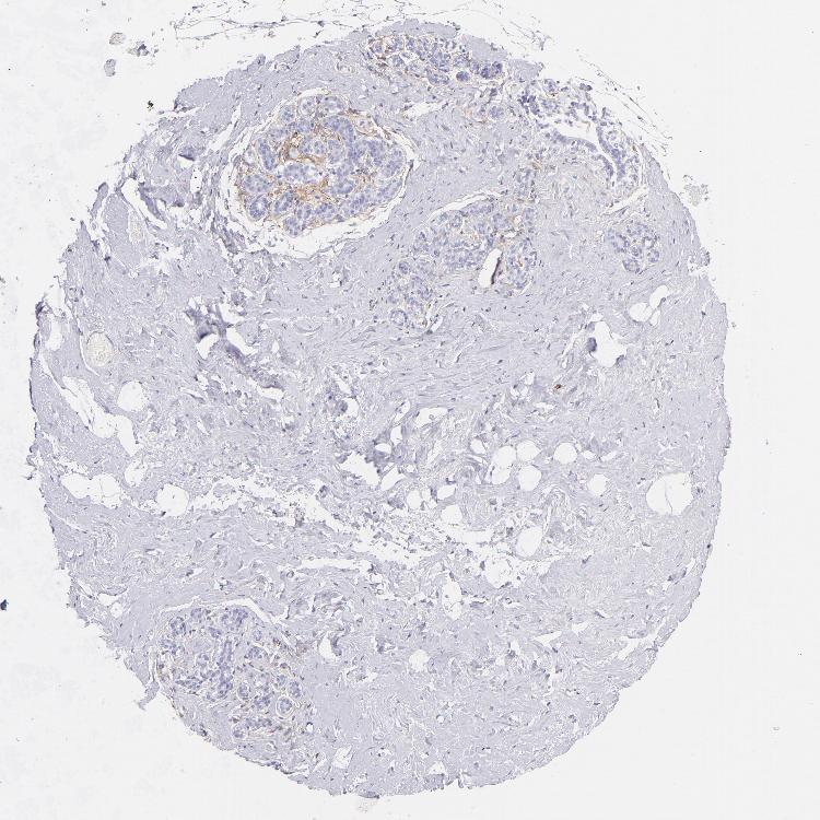
BREAST - Antibody stainingi

Antibody staining in the annotated cell types in the current human tissue is reported as not detected, low, medium, or high, based on conventional immunohistochemistry profiling in selected tissues. This score is based on the combination of the staining intensity and fraction of stained cells.

Each image is clickable and will lead to virtual microscopy that enables deeper exploration of all samples and also displays staining intensity scores, fraction scores and subcellular localization as well as patient and tissue information for each sample.

Antibody HPA007234Antibody CAB002507
Adipocytes LowNot detected
Glandular cells Not detectedNot detected
Myoepithelial cells Not detectedNot detected





BREAST - HPA RNA-seqi

The RNA-seq details section shows detailed information about the individual samples used for the transcript profiling and results of the RNA-seq analysis.

Information about each individual sample is listed below, including gender, age, a tissue section image and estimated fractions of cell types. nTPM (normalized transcripts per million) values give a quantification of the gene abundance which is comparable between different genes and samples.
Average nTPMi

Max subtype nTPM is the value for the subtype with the largest average nTPM across the subtype samples.

304.3
overview
Female, age 52
Breast sample 373
nTPM: 346.3
Cell types%
Glandular cells:
15

Adipocytes:
5

Other cell types:
80

overview
Female, age 80
Breast sample 390
nTPM: 429.5
Cell types%
Glandular cells:
5

Adipocytes:
15

Other cell types:
80

overview
Female, age 47
Breast sample 405
nTPM: 255
Cell types%
Glandular cells:
5

Adipocytes:
5

Other cell types:
90

overview
Female, age 38
Breast sample 410
nTPM: 186.5
Cell types%
Glandular cells:
40

Adipocytes:
5

Other cell types:
55


BREAST - GTEx RNA-seqi

RNA-Seq data generated by the Genotype-Tissue Expression (GTEx) project from human tissues is reported as mean nTPM. More information can be found on the GTEx portal.

Distribution across the dataset is visualized with box plots, shown as median and 25th and 75th percentiles. Points are displayed as outliers if they are above or below 1.5 times the interquartile range. nTPM values of the individual samples are presented next to the box plot.
Max subtype nTPMi

Max subtype nTPM is the value for the subtype with the largest average nTPM across the subtype samples.

748.3
GTEx sample id Sample description nTPM
Breast - Mammary Tissue
Average nTPM: 748.3
Samples: 459

Max nTPM: 1826.0
Min nTPM: 313.6
Std nTPM: 257.5
Median nTPM: 697.3
GTEX-11ZTT-2326-SM-5EQLG 60-69 years, female 1826.0
GTEX-1R7EV-1526-SM-E8VOD 40-49 years, male 1804.5
GTEX-11P82-1326-SM-5HL62 20-29 years, male 1672.5
GTEX-ZQG8-0726-SM-5P9H9 60-69 years, female 1540.5
GTEX-XMK1-1126-SM-4IHJ8 40-49 years, male 1517.9
GTEX-ZT9W-2026-SM-51MRA 50-59 years, male 1510.7
GTEX-U8XE-0826-SM-4E3J1 30-39 years, male 1453.8
GTEX-YB5E-1726-SM-5IFJ3 40-49 years, male 1407.7
GTEX-YEC3-1026-SM-5IFI5 50-59 years, male 1403.8
GTEX-1F5PK-2126-SM-7PC28 50-59 years, male 1397.7
GTEX-12KS4-0126-SM-5Q5A5 30-39 years, male 1394.7
GTEX-1S82Z-0726-SM-E6CHX 30-39 years, female 1381.8
GTEX-ZLWG-1926-SM-DO92J 50-59 years, female 1381.4
GTEX-ZZ64-1226-SM-5E43R 20-29 years, male 1332.2
GTEX-REY6-2426-SM-48FF5 60-69 years, male 1324.5
GTEX-14BMV-0626-SM-793AU 50-59 years, male 1307.6
GTEX-ZDYS-1126-SM-5K7UB 50-59 years, male 1291.0
GTEX-13N1W-0626-SM-5MR4U 70-79 years, male 1290.7
GTEX-PSDG-1626-SM-48TCQ 50-59 years, male 1286.0
GTEX-11ZUS-0826-SM-5FQUY 30-39 years, male 1259.0
GTEX-13CF3-2126-SM-5IFJP 60-69 years, female 1255.5
GTEX-117YX-1426-SM-5H12H 50-59 years, male 1252.7
GTEX-13FTW-1426-SM-5LZWZ 40-49 years, male 1249.9
GTEX-1ICG6-1326-SM-ACKWR 70-79 years, female 1249.2
GTEX-1CAMR-1426-SM-793BO 20-29 years, male 1238.4
GTEX-18D9A-1526-SM-7LG4J 30-39 years, female 1227.2
GTEX-Y9LG-1426-SM-5IFJZ 30-39 years, male 1225.6
GTEX-144GM-0926-SM-5O994 20-29 years, male 1225.5
GTEX-13PVQ-1026-SM-5KM3M 50-59 years, male 1212.3
GTEX-139T6-1626-SM-5PNYZ 50-59 years, male 1209.5
GTEX-Y8E4-1626-SM-5S2MW 40-49 years, male 1190.3
GTEX-1I1GP-0426-SM-COH3N 50-59 years, male 1189.8
GTEX-1L5NE-2126-SM-CY8IH 50-59 years, male 1181.1
GTEX-12BJ1-1826-SM-5HL9N 60-69 years, male 1179.0
GTEX-ZQUD-1926-SM-51MSA 30-39 years, male 1168.9
GTEX-183FY-1126-SM-7DHLJ 20-29 years, male 1168.1
GTEX-11DXZ-1926-SM-5GZZL 50-59 years, male 1166.9
GTEX-WY7C-2726-SM-3NB3P 50-59 years, male 1164.5
GTEX-1QP9N-1826-SM-E8VMP 30-39 years, male 1163.2
GTEX-14B4R-1226-SM-5TDDT 30-39 years, male 1155.7
GTEX-145ME-1526-SM-5Q5F2 40-49 years, female 1149.2
GTEX-X4XY-0926-SM-4E3JD 60-69 years, male 1147.6
GTEX-1NUQO-2226-SM-E9U68 20-29 years, female 1142.0
GTEX-YB5K-1626-SM-5IFIN 40-49 years, female 1137.8
GTEX-13FTX-1126-SM-5N9EN 20-29 years, female 1135.9
GTEX-132NY-0826-SM-5K7Y7 60-69 years, male 1135.1
GTEX-R55D-0826-SM-48FEA 50-59 years, male 1134.3
GTEX-ZLFU-2126-SM-DO931 40-49 years, male 1126.3
GTEX-XGQ4-0926-SM-4AT4U 50-59 years, male 1114.5
GTEX-1NHNU-0926-SM-E9J2T 50-59 years, male 1094.9
GTEX-1S82U-1126-SM-E9U6I 30-39 years, female 1094.6
GTEX-17GQL-0326-SM-7LG5U 60-69 years, male 1092.2
GTEX-1H11D-1526-SM-9MQJY 40-49 years, male 1091.4
GTEX-S33H-0326-SM-4AD6N 30-39 years, male 1090.6
GTEX-RUSQ-2026-SM-4GIAK 50-59 years, male 1086.9
GTEX-1MJK3-1126-SM-E9J3F 20-29 years, male 1076.3
GTEX-16YQH-2826-SM-6PAMY 30-39 years, male 1074.5
GTEX-XYKS-1326-SM-4BRUN 60-69 years, female 1073.4
GTEX-11ONC-2126-SM-5HL6E 60-69 years, male 1069.5
GTEX-QMRM-1626-SM-D4P1U 50-59 years, male 1068.7
GTEX-YECK-0726-SM-EZ6LV 60-69 years, male 1060.4
GTEX-1AMEY-1026-SM-718AA 30-39 years, female 1056.9
GTEX-1PDJ9-1126-SM-EXUSW 20-29 years, male 1051.1
GTEX-ZYW4-0826-SM-5GIDG 60-69 years, male 1047.6
GTEX-15EOM-5019-SM-793DK 20-29 years, female 1045.7
GTEX-ZA64-1526-SM-5CVMD 20-29 years, male 1045.4
GTEX-1GPI7-0926-SM-7PC3J 20-29 years, male 1037.7
GTEX-18465-2026-SM-718AP 50-59 years, male 1034.0
GTEX-17EVQ-0426-SM-7LG57 70-79 years, male 1026.1
GTEX-17MFQ-0926-SM-7LG4S 20-29 years, male 1013.7
GTEX-13VXU-2826-SM-664MA 50-59 years, male 989.0
GTEX-ZDTT-2126-SM-DKPOM 60-69 years, male 985.4
GTEX-17F98-0526-SM-79OK5 40-49 years, female 984.5
GTEX-1QW4Y-1026-SM-DTXE2 30-39 years, male 984.5
GTEX-1QMI2-0726-SM-E9J4F 60-69 years, male 980.9
GTEX-11TUW-1826-SM-5BC5D 60-69 years, male 975.4
GTEX-11EQ9-1826-SM-5Q5AJ 30-39 years, male 967.1
GTEX-ZVT4-1026-SM-57WC4 50-59 years, female 964.9
GTEX-145MF-2226-SM-7EPIR 50-59 years, male 963.3
GTEX-YFCO-1826-SM-4W1YH 40-49 years, male 963.1
GTEX-15UF7-0726-SM-6M46D 40-49 years, male 963.0
GTEX-12WSN-1326-SM-5GCNT 40-49 years, male 958.7
GTEX-11O72-2126-SM-5N9FO 40-49 years, male 956.0
GTEX-XQ3S-1326-SM-4BOPQ 20-29 years, male 955.0
GTEX-1QPFJ-2026-SM-EVYBE 30-39 years, female 954.6
GTEX-1I19N-2826-SM-CL55D 70-79 years, male 954.5
GTEX-1N2EF-2226-SM-E9J33 60-69 years, male 953.8
GTEX-1IDJH-2226-SM-E6CJV 70-79 years, male 953.5
GTEX-1JKYN-0726-SM-ARZMY 30-39 years, male 953.5
GTEX-Y5V6-2126-SM-4WWFX 60-69 years, male 953.1
GTEX-17MF6-0326-SM-7EPH5 40-49 years, male 951.2
GTEX-14E6E-1326-SM-5S2NR 30-39 years, male 950.4
GTEX-ZDXO-0126-SM-5S2ND 60-69 years, male 947.8
GTEX-V955-2026-SM-3GAFA 60-69 years, male 945.1
GTEX-145MN-1926-SM-5SIAI 30-39 years, male 941.8
GTEX-ZYT6-0126-SM-5E45J 30-39 years, male 940.8
GTEX-18A66-1726-SM-7LG5N 60-69 years, male 935.7
GTEX-TKQ1-0226-SM-33HB5 30-39 years, male 931.6
GTEX-1KANC-1426-SM-CYPT9 50-59 years, female 930.7
GTEX-ZAB4-2526-SM-5HL8M 40-49 years, male 929.4
GTEX-1HSEH-2026-SM-ADEHN 60-69 years, male 929.4
GTEX-14E6C-1326-SM-62LEQ 40-49 years, male 926.6
GTEX-13O61-1826-SM-5KM4I 60-69 years, male 926.4
GTEX-1ICLZ-0426-SM-B2LW2 60-69 years, male 924.5
GTEX-1H1ZS-0126-SM-9YFKQ 70-79 years, male 924.1
GTEX-132AR-0826-SM-5EGK6 50-59 years, female 922.8
GTEX-ZPIC-1126-SM-5BC7F 40-49 years, female 921.6
GTEX-18A6Q-0926-SM-7LG4N 60-69 years, male 917.6
GTEX-14PJ4-2126-SM-6ETZJ 60-69 years, male 906.6
GTEX-11OF3-1926-SM-59889 60-69 years, male 905.6
GTEX-TKQ2-1826-SM-33HB2 50-59 years, male 903.7
GTEX-13S86-1226-SM-5S2OA 40-49 years, male 900.7
GTEX-1JN6P-2426-SM-ARL99 60-69 years, male 897.8
GTEX-XV7Q-2326-SM-4BRVZ 40-49 years, female 895.1
GTEX-1C6VQ-0426-SM-79OOX 50-59 years, male 890.1
GTEX-11I78-2226-SM-5PNYA 50-59 years, female 887.6
GTEX-14DAR-1326-SM-7DUEG 50-59 years, male 885.7
GTEX-1M4P7-2626-SM-E9U5F 60-69 years, male 885.1
GTEX-1IDJF-2326-SM-ARL86 20-29 years, male 879.4
GTEX-1LSVX-2426-SM-E6CJX 60-69 years, male 877.9
GTEX-S4Q7-1126-SM-4AD6R 20-29 years, male 876.4
GTEX-1HCU9-0326-SM-9WYSC 20-29 years, male 872.8
GTEX-1PPGY-1526-SM-EVYBK 60-69 years, male 871.2
GTEX-1OKEX-0826-SM-E9J2B 60-69 years, male 870.0
GTEX-1IGQW-0926-SM-ADEH6 60-69 years, male 866.9
GTEX-WFON-1826-SM-3GILG 40-49 years, male 864.3
GTEX-S7SE-0826-SM-4AT4D 50-59 years, male 864.2
GTEX-WHSB-1926-SM-EXOHH 50-59 years, male 862.9
GTEX-1LG7Z-0726-SM-CXKYD 30-39 years, male 858.7
GTEX-17KNJ-2026-SM-7LG53 50-59 years, male 858.1
GTEX-13QJ3-0826-SM-7DHKK 50-59 years, male 858.0
GTEX-144GL-2026-SM-5LU3O 50-59 years, male 851.2
GTEX-1QCLZ-2326-SM-DTXDO 60-69 years, female 846.4
GTEX-1IDJU-1826-SM-CMKHV 60-69 years, female 843.6
GTEX-R53T-1526-SM-48FEK 50-59 years, female 838.7
GTEX-1HC8U-0826-SM-ADEIL 40-49 years, female 831.0
GTEX-1C475-1226-SM-7SB72 40-49 years, female 827.4
GTEX-Y3I4-1526-SM-4TT7K 50-59 years, male 824.7
GTEX-1HSMO-0826-SM-ADEIV 60-69 years, male 818.6
GTEX-14E7W-0826-SM-62LEJ 70-79 years, male 816.6
GTEX-1R9JW-0326-SM-EAZ45 30-39 years, female 816.2
GTEX-U412-1826-SM-4DXTJ 60-69 years, male 814.9
GTEX-YJ8O-2226-SM-5IFHW 40-49 years, female 814.7
GTEX-QVJO-1826-SM-447C9 60-69 years, female 814.0
GTEX-17HGU-1326-SM-79OKB 50-59 years, male 813.4
GTEX-11DXY-2326-SM-5GICW 60-69 years, male 812.5
GTEX-1HT8W-2226-SM-CGQEC 30-39 years, male 811.9
GTEX-1ICLY-1726-SM-B2LVT 50-59 years, male 811.5
GTEX-12WSK-2226-SM-5GCO5 40-49 years, female 806.2
GTEX-11GSP-0926-SM-9WYSG 60-69 years, female 806.2
GTEX-14PHY-1926-SM-5YY95 60-69 years, female 806.0
GTEX-1PPH7-0826-SM-E8VNX 40-49 years, male 797.1
GTEX-12WSM-1726-SM-5BC6J 60-69 years, male 794.6
GTEX-1EN7A-1426-SM-7PBY4 40-49 years, male 793.6
GTEX-14753-2426-SM-5LU8U 60-69 years, male 792.5
GTEX-11WQC-1726-SM-5GU4W 60-69 years, male 792.0
GTEX-11TT1-2126-SM-5GU5Y 20-29 years, male 788.5
GTEX-1I1GV-2426-SM-CGQFM 60-69 years, male 787.2
GTEX-WRHU-0326-SM-3MJFY 50-59 years, female 786.3
GTEX-145MO-0826-SM-5NQBL 60-69 years, male 784.8
GTEX-11NSD-0926-SM-5N9DR 20-29 years, male 781.3
GTEX-1211K-1926-SM-5EQLB 60-69 years, female 780.1
GTEX-1NV8Z-2826-SM-E8VME 60-69 years, male 779.6
GTEX-17F97-2526-SM-7EWDV 50-59 years, male 778.8
GTEX-XBED-1626-SM-47JYN 60-69 years, male 777.9
GTEX-Y114-2026-SM-4TT7L 50-59 years, female 777.2
GTEX-16BQI-1026-SM-7KUEA 30-39 years, female 775.6
GTEX-1IOXB-1926-SM-ARL8E 50-59 years, male 775.0
GTEX-Z9EW-1526-SM-EZ6LU 40-49 years, male 774.0
GTEX-1I6K6-0826-SM-ARL7Z 30-39 years, male 768.2
GTEX-SE5C-2126-SM-4BRUJ 40-49 years, female 767.6
GTEX-ZV6S-1826-SM-5NQ8D 40-49 years, female 767.3
GTEX-1JJEA-2726-SM-ARL8V 60-69 years, male 766.7
GTEX-1122O-1226-SM-5H113 60-69 years, female 765.7
GTEX-13FHO-0826-SM-5L3E8 60-69 years, male 765.5
GTEX-147F4-2826-SM-5NQBN 50-59 years, male 765.3
GTEX-1GN2E-2226-SM-9WG6J 60-69 years, male 760.9
GTEX-11NV4-2026-SM-5N9DG 60-69 years, male 759.4
GTEX-13O3Q-2226-SM-5KM4O 50-59 years, male 758.1
GTEX-1R9PN-0326-SM-DTX85 40-49 years, female 755.6
GTEX-1399U-1826-SM-5PNZ1 50-59 years, female 754.0
GTEX-1AX9I-0726-SM-73KWV 60-69 years, male 750.1
GTEX-1MA7X-1626-SM-E9U5B 60-69 years, male 748.1
GTEX-13OW8-0226-SM-5K7UP 60-69 years, male 747.2
GTEX-14PKU-0426-SM-6EU1P 40-49 years, female 747.2
GTEX-WOFL-0826-SM-3MJG1 60-69 years, male 747.1
GTEX-X62O-0526-SM-EWRMA 50-59 years, male 747.1
GTEX-1HFI7-0126-SM-CGQFQ 50-59 years, female 746.9
GTEX-1QEPI-0926-SM-DTXF3 60-69 years, female 746.3
GTEX-1E2YA-2726-SM-7IGPW 50-59 years, male 745.3
GTEX-1MJK2-2226-SM-EVYCR 50-59 years, male 744.9
GTEX-1HR98-0426-SM-COH36 60-69 years, male 744.6
GTEX-WI4N-1426-SM-3LK7H 40-49 years, female 743.4
GTEX-1KD5A-1926-SM-DKPQA 50-59 years, male 743.2
GTEX-1B97J-0426-SM-79OLQ 50-59 years, female 742.1
GTEX-13O3O-0826-SM-5K7WE 60-69 years, female 741.7
GTEX-1AX9J-1126-SM-731B7 60-69 years, male 740.9
GTEX-1I1GU-1026-SM-ADEHJ 40-49 years, male 740.3
GTEX-14ICK-2426-SM-6EU27 40-49 years, male 737.6
GTEX-133LE-1726-SM-5K7VQ 20-29 years, female 736.1
GTEX-XQ8I-2426-SM-4WAXY 50-59 years, male 734.7
GTEX-1RLM8-2226-SM-EVYD1 50-59 years, male 734.7
GTEX-1LSNL-2826-SM-E9U5L 50-59 years, male 734.2
GTEX-11WQK-2426-SM-5GU5C 50-59 years, male 732.8
GTEX-1C6WA-2426-SM-7SB86 60-69 years, male 732.0
GTEX-17JCI-0726-SM-7EPH1 60-69 years, female 731.8
GTEX-1A3MV-1626-SM-731C1 30-39 years, male 730.7
GTEX-ZUA1-1526-SM-59HLS 40-49 years, male 730.7
GTEX-17HHE-1426-SM-7EPH4 50-59 years, male 730.4
GTEX-14ABY-2126-SM-5QGQZ 50-59 years, male 729.9
GTEX-1MCYP-0126-SM-E6CIS 20-29 years, female 728.1
GTEX-1KXAM-1026-SM-CY8IA 60-69 years, male 727.9
GTEX-1H23P-0726-SM-9WG7K 60-69 years, male 727.3
GTEX-14PN4-0626-SM-62LFP 50-59 years, male 726.0
GTEX-17F96-2426-SM-7IGLN 70-79 years, male 725.3
GTEX-1QP28-1226-SM-E9J2M 50-59 years, female 724.4
GTEX-1GF9U-1726-SM-7MGY5 40-49 years, female 723.7
GTEX-169BO-1126-SM-7MGWN 50-59 years, male 723.2
GTEX-XUW1-2326-SM-4BOO5 50-59 years, female 721.6
GTEX-1H3VY-0926-SM-ACKXE 50-59 years, male 718.9
GTEX-1LBAC-0926-SM-CXKY9 20-29 years, male 718.9
GTEX-11GSO-1926-SM-5A5K3 60-69 years, male 718.8
GTEX-1H1DG-0526-SM-9YFLN 70-79 years, male 715.1
GTEX-18A7A-0726-SM-7LTAI 50-59 years, female 709.6
GTEX-S4UY-0726-SM-4AD6X 40-49 years, female 707.8
GTEX-1EKGG-2626-SM-7IGPY 60-69 years, male 705.1
GTEX-1B8SG-1226-SM-7IGPF 50-59 years, male 703.1
GTEX-T5JW-2026-SM-4DM63 20-29 years, female 701.9
GTEX-11DXW-0626-SM-5N9ER 40-49 years, male 698.5
GTEX-UTHO-1026-SM-3GAF7 60-69 years, male 697.3
GTEX-13O3P-0826-SM-5L3DH 50-59 years, male 691.3
GTEX-1IDFM-0426-SM-B2LVV 60-69 years, male 689.1
GTEX-17F9E-2526-SM-7MGW2 50-59 years, male 688.5
GTEX-13N11-1726-SM-5J1OJ 50-59 years, female 688.4
GTEX-1I4MK-1626-SM-CM2TJ 50-59 years, female 688.4
GTEX-1HCU7-1026-SM-ADEIP 50-59 years, male 686.9
GTEX-18A7B-2626-SM-7LG55 70-79 years, male 683.7
GTEX-ZYFC-0826-SM-5E44K 50-59 years, male 681.6
GTEX-ZVZQ-0826-SM-51MRF 60-69 years, female 678.8
GTEX-13W46-0826-SM-5LU3H 50-59 years, male 677.8
GTEX-14PJO-0726-SM-69LO8 60-69 years, male 676.5
GTEX-1JKYR-0926-SM-CMKGJ 20-29 years, male 673.3
GTEX-13SLW-2526-SM-62LDQ 70-79 years, male 673.2
GTEX-1JJE9-2326-SM-ARL8Q 70-79 years, male 672.3
GTEX-13NZ9-1026-SM-5MR5K 50-59 years, male 671.9
GTEX-1R46S-2526-SM-E8VN2 60-69 years, female 670.1
GTEX-1HUB1-1626-SM-CM2SL 60-69 years, male 668.2
GTEX-1313W-0826-SM-5EQ4T 50-59 years, female 667.4
GTEX-183WM-0726-SM-7LTAA 70-79 years, female 667.4
GTEX-17HG3-0126-SM-7IGNH 30-39 years, female 666.9
GTEX-11P7K-0726-SM-5EGKX 30-39 years, male 664.9
GTEX-117XS-1926-SM-5GICO 60-69 years, male 663.7
GTEX-139TU-0626-SM-5KM3X 60-69 years, male 663.5
GTEX-1HR9M-2426-SM-ACKXI 60-69 years, male 662.2
GTEX-ZGAY-1726-SM-DO91P 40-49 years, female 658.5
GTEX-13D11-1026-SM-5IJFB 50-59 years, female 658.4
GTEX-1J8Q3-1326-SM-CMKI1 60-69 years, male 656.2
GTEX-1CB4G-2326-SM-79OOI 60-69 years, male 655.8
GTEX-1BAJH-0826-SM-7EWEF 70-79 years, male 654.7
GTEX-ZLV1-1426-SM-DO92Z 60-69 years, female 650.4
GTEX-1JMOU-2026-SM-CMKGU 60-69 years, female 649.4
GTEX-1GMRU-0826-SM-9WYT7 50-59 years, male 648.6
GTEX-XMD2-0926-SM-4WWEF 60-69 years, female 645.5
GTEX-1A8G7-2426-SM-731AK 60-69 years, male 643.7
GTEX-1IE54-0626-SM-ARL8D 40-49 years, female 643.6
GTEX-Y8LW-1626-SM-5IFHX 50-59 years, female 643.1
GTEX-1C64O-0726-SM-7DUFU 60-69 years, male 641.9
GTEX-14BMU-1626-SM-5TDE7 20-29 years, female 641.6
GTEX-11LCK-2426-SM-5HL5F 30-39 years, male 641.0
GTEX-15G19-2126-SM-6M48J 60-69 years, male 641.0
GTEX-1B8KZ-1526-SM-7DUG7 50-59 years, male 640.4
GTEX-X15G-1626-SM-3NMB3 50-59 years, female 640.4
GTEX-145LT-0726-SM-5S2VM 40-49 years, male 639.8
GTEX-1GF9V-2526-SM-7SB8K 60-69 years, male 638.6
GTEX-14AS3-1626-SM-5S2OY 40-49 years, female 638.0
GTEX-1A3MX-2726-SM-718B6 60-69 years, male 637.8
GTEX-1H4P4-2226-SM-9MQKQ 50-59 years, male 637.3
GTEX-1JMLX-2026-SM-CMKGN 50-59 years, male 634.7
GTEX-15RJE-2626-SM-7KFT1 40-49 years, male 634.6
GTEX-13NZ8-0126-SM-5IJCT 60-69 years, female 633.1
GTEX-QDT8-0626-SM-48TYW 30-39 years, female 632.5
GTEX-T6MO-0326-SM-32QOK 40-49 years, female 630.5
GTEX-X4EP-2926-SM-3P5YQ 60-69 years, female 630.1
GTEX-S32W-2026-SM-4AD6E 50-59 years, female 629.7
GTEX-13CF2-2026-SM-5K7VI 60-69 years, male 626.9
GTEX-131YS-0626-SM-5EGKL 60-69 years, female 626.7
GTEX-1B933-2526-SM-7IGO5 50-59 years, female 625.8
GTEX-1MA7W-1026-SM-DKPQK 20-29 years, female 625.0
GTEX-1GPI6-0626-SM-7RHHJ 60-69 years, male 624.6
GTEX-11DZ1-0326-SM-5N9BN 50-59 years, male 623.5
GTEX-146FH-0826-SM-5SI8T 50-59 years, female 621.8
GTEX-ZEX8-2226-SM-57WC6 50-59 years, male 621.3
GTEX-RWS6-1926-SM-47JXY 60-69 years, female 616.9
GTEX-ZTX8-1226-SM-4YCE9 20-29 years, male 615.3
GTEX-13PL6-2926-SM-5L3I2 40-49 years, female 613.9
GTEX-1117F-2826-SM-5GZXL 60-69 years, female 610.4
GTEX-1GZHY-0726-SM-9WG6B 50-59 years, female 609.6
GTEX-1KAFJ-0226-SM-DIPEL 50-59 years, male 608.2
GTEX-1C6VS-0726-SM-7EPHF 60-69 years, male 607.5
GTEX-13W3W-1226-SM-5LU4H 60-69 years, female 606.5
GTEX-1R9PM-1826-SM-EVYBH 20-29 years, male 605.3
GTEX-1J8QM-2026-SM-ARZMW 60-69 years, female 605.0
GTEX-1F5PL-1026-SM-7RHI1 40-49 years, female 603.9
GTEX-17HHY-0926-SM-793C1 50-59 years, male 603.5
GTEX-13113-5013-SM-7SB7G 60-69 years, female 599.4
GTEX-ZU9S-1926-SM-5NQBP 30-39 years, male 598.8
GTEX-1AX8Z-0926-SM-731AW 60-69 years, male 598.6
GTEX-ZY6K-1626-SM-5GZWV 50-59 years, male 598.6
GTEX-TML8-1226-SM-32QON 40-49 years, female 598.4
GTEX-15ETS-0626-SM-7KUMX 40-49 years, female 598.2
GTEX-VUSG-2226-SM-4KKZO 50-59 years, male 597.4
GTEX-1EWIQ-1726-SM-7SB7T 70-79 years, female 597.3
GTEX-18QFQ-0826-SM-718AX 30-39 years, male 597.2
GTEX-11EI6-0626-SM-5985T 60-69 years, male 596.6
GTEX-16NGA-0826-SM-718AF 40-49 years, female 596.5
GTEX-1IKOE-1326-SM-CE6T6 30-39 years, female 594.6
GTEX-1CB4J-1826-SM-7EWF9 60-69 years, male 594.0
GTEX-WYBS-0926-SM-3NM94 60-69 years, female 592.4
GTEX-1B8KE-1226-SM-73KWK 50-59 years, male 590.9
GTEX-XUZC-1626-SM-4BRVP 30-39 years, female 590.9
GTEX-11PRG-0826-SM-5EQ6A 50-59 years, male 587.8
GTEX-1HBPN-2326-SM-9WPPU 50-59 years, male 586.8
GTEX-1M5QR-2526-SM-E9U5P 40-49 years, male 585.4
GTEX-ZWKS-2826-SM-5NQ74 30-39 years, male 582.3
GTEX-1HBPM-0126-SM-ARL9E 60-69 years, female 580.1
GTEX-UJHI-1426-SM-3DB9C 50-59 years, female 579.7
GTEX-1HCU8-0126-SM-ADEHH 60-69 years, female 579.5
GTEX-15UF6-0126-SM-6PAMB 70-79 years, female 578.1
GTEX-11GS4-2126-SM-5A5KR 60-69 years, male 577.0
GTEX-1B8L1-2426-SM-9WYTE 60-69 years, male 576.7
GTEX-15FZZ-0726-SM-7KUFZ 30-39 years, female 576.0
GTEX-1GZ4I-2826-SM-9MQK5 50-59 years, male 574.8
GTEX-1N2EE-2126-SM-E8VNN 60-69 years, male 574.6
GTEX-ZF3C-2326-SM-5S2NC 50-59 years, female 574.1
GTEX-13PVR-2226-SM-7DHKP 60-69 years, female 573.8
GTEX-ZTTD-1026-SM-51MRD 50-59 years, male 572.8
GTEX-1F75B-0626-SM-7SB8A 50-59 years, male 571.9
GTEX-ZZPU-0626-SM-5E43T 50-59 years, female 571.1
GTEX-14H4A-2526-SM-5YYAY 40-49 years, female 570.9
GTEX-ZAJG-0626-SM-5HL8X 50-59 years, female 570.9
GTEX-1I6K7-1026-SM-A9SLK 40-49 years, male 568.1
GTEX-UPK5-2326-SM-3P5Z8 40-49 years, male 566.4
GTEX-1B97I-0426-SM-79OL7 40-49 years, male 565.7
GTEX-T6MN-0726-SM-32PML 50-59 years, male 565.3
GTEX-1HCUA-0726-SM-ACKVU 50-59 years, female 562.5
GTEX-U3ZN-1926-SM-4DXSG 30-39 years, female 562.2
GTEX-ZVTK-0326-SM-51MRR 20-29 years, male 561.8
GTEX-1GMR2-1926-SM-9MQLZ 50-59 years, male 561.3
GTEX-15SHW-1326-SM-6PAL8 60-69 years, male 560.7
GTEX-R3RS-0626-SM-48FE1 40-49 years, female 558.0
GTEX-T5JC-2126-SM-32PMO 20-29 years, male 557.3
GTEX-1H1CY-2226-SM-9WG7E 60-69 years, female 556.5
GTEX-1KD4Q-2326-SM-D4P3M 40-49 years, male 556.4
GTEX-1RAZS-1226-SM-E8VMT 50-59 years, male 554.5
GTEX-1192X-2326-SM-5987X 50-59 years, male 554.2
GTEX-13NZB-2126-SM-5MR4Y 30-39 years, male 554.2
GTEX-Y5V5-2126-SM-4WWFO 60-69 years, female 554.1
GTEX-WXYG-2226-SM-4E3IM 50-59 years, female 553.2
GTEX-1MCC2-2126-SM-EWRON 30-39 years, female 551.5
GTEX-11P81-1926-SM-5BC53 30-39 years, female 551.4
GTEX-Y3IK-2326-SM-4WWDT 50-59 years, female 548.3
GTEX-XMD1-0826-SM-4AT52 60-69 years, male 547.2
GTEX-1KANA-2026-SM-DIPFB 20-29 years, male 546.8
GTEX-S4P3-1326-SM-4AD6V 50-59 years, female 545.2
GTEX-1IDJE-0826-SM-CKZNZ 50-59 years, female 544.2
GTEX-1LC47-1226-SM-D4P44 60-69 years, male 539.9
GTEX-1GZ4H-0326-SM-7P8QX 50-59 years, female 538.5
GTEX-1K2DA-1726-SM-CGQGS 50-59 years, male 538.0
GTEX-1314G-1226-SM-5BC6D 30-39 years, male 537.6
GTEX-YFC4-1426-SM-5IFJG 40-49 years, female 534.9
GTEX-Q2AG-0326-SM-48U1O 40-49 years, female 533.2
GTEX-WYJK-1326-SM-3NB2T 50-59 years, male 530.8
GTEX-14LLW-0626-SM-62LFC 70-79 years, female 530.5
GTEX-ZV7C-1826-SM-5NQ83 50-59 years, male 530.0
GTEX-17EUY-1926-SM-7DUF6 20-29 years, male 527.1
GTEX-ZXES-0826-SM-5E43C 30-39 years, female 525.1
GTEX-17EVP-0226-SM-79OND 40-49 years, male 524.8
GTEX-1N5O9-1126-SM-DTXEQ 60-69 years, male 524.5
GTEX-1I1HK-2426-SM-ADEHX 60-69 years, male 524.3
GTEX-1F75A-1826-SM-7SB8G 50-59 years, male 522.8
GTEX-1CB4E-0226-SM-79OLW 60-69 years, male 522.3
GTEX-11EM3-1326-SM-5N9C6 20-29 years, female 521.4
GTEX-1GMR3-2626-SM-7RHHG 40-49 years, male 511.5
GTEX-1JN1M-3026-SM-CMKGK 60-69 years, female 508.9
GTEX-131XW-0726-SM-5EGK3 50-59 years, female 506.1
GTEX-1HCVE-2626-SM-ADEJ8 50-59 years, male 505.4
GTEX-X261-0626-SM-3NMD9 50-59 years, male 502.9
GTEX-1QP29-1726-SM-E8VMQ 50-59 years, male 500.4
GTEX-11EMC-2026-SM-5A5JV 60-69 years, female 499.1
GTEX-13QIC-2326-SM-5LU5N 60-69 years, female 498.0
GTEX-13SLX-2326-SM-5ZZWE 50-59 years, female 497.0
GTEX-1LVAM-0926-SM-E9TJ2 50-59 years, female 496.6
GTEX-Y111-2026-SM-4SOJA 50-59 years, male 496.5
GTEX-1269C-2426-SM-5FQSN 60-69 years, female 495.9
GTEX-ZF2S-2026-SM-5E461 50-59 years, female 495.3
GTEX-QEL4-2126-SM-447AE 50-59 years, male 494.1
GTEX-W5X1-2326-SM-3GIL6 40-49 years, female 490.9
GTEX-1J8Q2-2726-SM-A9G2X 60-69 years, male 489.5
GTEX-1GN1W-1926-SM-7P8TH 50-59 years, female 488.0
GTEX-1EU9M-2826-SM-7EWFH 60-69 years, male 487.3
GTEX-1POEN-0926-SM-DTX88 30-39 years, female 485.6
GTEX-RU1J-0626-SM-4WAWY 20-29 years, female 483.8
GTEX-ZVT2-1826-SM-5NQ8W 50-59 years, female 483.8
GTEX-1GN1U-0526-SM-9KNTT 50-59 years, female 483.8
GTEX-1QCLY-1626-SM-DTXDW 30-39 years, male 480.5
GTEX-WFG8-2026-SM-EXOHO 20-29 years, male 480.2
GTEX-139T8-0826-SM-5L3DE 60-69 years, male 479.3
GTEX-VJWN-0726-SM-3GIJ8 50-59 years, female 478.0
GTEX-1JMQK-2626-SM-COH2W 60-69 years, male 474.2
GTEX-1GF9X-1026-SM-ACKX2 40-49 years, female 473.6
GTEX-1LNCM-0226-SM-DIPF4 50-59 years, female 473.0
GTEX-T2YK-2226-SM-32QPT 50-59 years, male 472.6
GTEX-ZVE2-1226-SM-5NQ8R 50-59 years, male 470.5
GTEX-1LSNM-1326-SM-E9TJ1 50-59 years, male 469.2
GTEX-1IKJJ-2326-SM-COH3U 60-69 years, male 468.8
GTEX-14A5I-0726-SM-5TDEB 50-59 years, female 465.0
GTEX-ZF29-1926-SM-5S2P1 60-69 years, female 464.7
GTEX-1P4AB-1826-SM-E76PU 50-59 years, male 464.7
GTEX-1F6I4-2526-SM-7SB8F 60-69 years, male 463.9
GTEX-1I1GT-1126-SM-ARL7J 60-69 years, female 463.3
GTEX-U3ZH-1426-SM-4DXSR 30-39 years, male 459.9
GTEX-15ER7-1626-SM-6PAMZ 20-29 years, female 459.5
GTEX-ZC5H-2626-SM-5J2MG 40-49 years, female 453.7
GTEX-12ZZX-1126-SM-5EGKB 40-49 years, female 450.9
GTEX-1RAZQ-1226-SM-EWRNL 30-39 years, male 445.6
GTEX-RU72-0626-SM-46MUI 50-59 years, female 444.7
GTEX-TMMY-0726-SM-33HBE 40-49 years, female 441.0
GTEX-1F75I-2026-SM-7SB7N 40-49 years, male 440.4
GTEX-1JMPZ-1626-SM-COH31 30-39 years, male 438.3
GTEX-1B932-0826-SM-73KXG 40-49 years, female 437.3
GTEX-1K9T9-1426-SM-DIPFQ 50-59 years, female 436.2
GTEX-1IKOH-2326-SM-CM2TW 60-69 years, female 435.8
GTEX-S341-1526-SM-4AD6K 40-49 years, female 432.6
GTEX-1J8EW-2626-SM-CL53E 60-69 years, female 429.5
GTEX-ZAK1-1326-SM-EVYAS 50-59 years, female 428.7
GTEX-T2IS-1526-SM-32QPR 20-29 years, female 427.0
GTEX-Y5LM-1726-SM-4VDSX 40-49 years, female 426.4
GTEX-WYVS-1726-SM-3NMAY 40-49 years, female 425.7
GTEX-13OW5-2226-SM-5L3HC 60-69 years, male 422.3
GTEX-XOT4-0726-SM-4GIAW 60-69 years, female 420.6
GTEX-111YS-1926-SM-5GICC 60-69 years, male 417.0
GTEX-1CAMS-1426-SM-7IGPM 40-49 years, female 415.1
GTEX-1R7EU-1226-SM-E8VMR 60-69 years, male 413.3
GTEX-13FTY-2226-SM-5J1ND 40-49 years, female 410.3
GTEX-1IY9M-2726-SM-CMKG5 60-69 years, male 401.6
GTEX-QEG5-0726-SM-D4P1T 20-29 years, male 400.7
GTEX-1HSGN-1526-SM-A9SMO 40-49 years, female 400.3
GTEX-1RQEC-2026-SM-DTXDM 60-69 years, male 396.3
GTEX-1JMPY-0526-SM-CL54O 30-39 years, male 395.3
GTEX-1HSKV-2026-SM-CMKGX 60-69 years, male 390.1
GTEX-1GMR8-0726-SM-9KNVI 50-59 years, female 388.1
GTEX-1GZ2Q-2626-SM-7MXV9 40-49 years, male 381.9
GTEX-1LGRB-1826-SM-CNPQL 50-59 years, female 378.5
GTEX-132Q8-1426-SM-5EGK7 60-69 years, male 378.4
GTEX-1JK1U-1826-SM-ARL8W 60-69 years, male 360.6
GTEX-1LVAN-1326-SM-CNPQE 50-59 years, female 355.5
GTEX-1HKZK-1826-SM-ADEJ2 40-49 years, male 334.8
GTEX-1H1E6-0926-SM-9YFLT 30-39 years, male 331.1
GTEX-ZTPG-2826-SM-57WGA 20-29 years, female 313.6
Show allShow less

BREAST - FANTOM5 CAGEi

RNA expression in human tissues obtained through Cap Analysis of Gene Expression (CAGE) generated by the FANTOM5 project are reported as Scaled Tags Per Million.

Max subtype Scaled Tags Per Millioni

Max subtype Scaled Tags Per Million is the value for the subtype with the largest average Scaled Tags Per Million across the subtype samples.

959.4
FANTOM5 sample id Sample description Scaled Tags Per Million
Breast
Scaled Tags Per Million: 959.4
FF:10080-102A8 77 years, female 959.4

Contact

  • NEWS ARTICLES
  • PRESS ROOM

The Project

  • INTRODUCTION
  • ORGANIZATION
  • PUBLICATIONS

The Human Protein Atlas

  • DOWNLOADABLE DATA
  • LICENCE & CITATION
  • HELP & FAQ
The Human Protein Atlas project is funded
by the Knut & Alice Wallenberg Foundation.


contact@proteinatlas.org