We use cookies to enhance the usability of our website. If you continue, we'll assume that you are happy to receive all cookies. More information. Don't show this again.
CD81
HPA
RESOURCES
  • TISSUE
  • BRAIN
  • SINGLE CELL
  • SUBCELLULAR
  • CANCER
  • BLOOD
  • CELL LINE
  • STRUCTURE & INTERACTION
ABOUT
  • INTRODUCTION
  • HISTORY
  • ORGANIZATION
  • PUBLICATIONS
  • ANTIBODY SUBMISSION
  • ANTIBODY AVAILABILITY
  • ACKNOWLEDGMENTS
  • CONTACT
NEWS
  • NEWS ARTICLES
  • PRESS ROOM
LEARN
  • DICTIONARY
  • PROTEIN CLASSES
  • PROTEIN EVIDENCE
  • METHODS
  • EDUCATIONAL VIDEOS
DATA
  • DOWNLOADABLE DATA
  • PUBLICATION DATA
  • RELEASE HISTORY
HELP
  • ANTIBODY VALIDATION
  • ASSAYS & ANNOTATION
  • DISCLAIMER
  • HELP & FAQ
  • PRIVACY STATEMENT
  • LICENCE & CITATION
Fields »
Search result

Field
Term
Gene name
Class
Subclass
Class
Keyword
Chromosome
External id
Tissue
Cell type
Expression
Antibody panel
Tissue
Main location
Patient ID
Annotation
Tissue
Category
Tau score
Cluster
Reliability
Brain region
Category
Tau score
Brain region
Category
Tau score
Brain region
Category
Tau score
Cluster
Reliability
Tissue
Cell type
Enrichment
Cell type
Category
Tau score
Cell type
Category
Tau score
Cell type
Category
Tau score
Cell lineage
Category
Tau score
Cluster
Cluster
Location
Searches
Location
Cell line
Class
Type
Phase
Reliability
Cancer
Prognosis
Cancer
Category
Cancer
Category
Tau score
Cluster
Variants
Interacting gene (ensg_id)
Type
Number of interactions
Pathway
Category
Score
Score
Score
Validation
Validation
Validation
Validation
Antibodies
Data type
Column


  • SUMMARY

  • TISSUE

  • BRAIN

  • SINGLE CELL

  • SUBCELL

  • CANCER

  • BLOOD

  • CELL LINE

  • STRUCT & INT

  • CD81
TISSUE PRIMARY DATA HEART MUSCLE Show tissue menu
ADIPOSE TISSUE ADRENAL GLAND AMYGDALA APPENDIX BASAL GANGLIA BONE MARROW BREAST BRONCHUS CEREBELLUM CEREBRAL CORTEX CERVIX CHOROID PLEXUS COLON DUODENUM
ENDOMETRIUM EPIDIDYMIS ESOPHAGUS FALLOPIAN TUBE GALLBLADDER HEART MUSCLE HIPPOCAMPAL FORMATION HYPOTHALAMUS KIDNEY LIVER LUNG LYMPH NODE MIDBRAIN NASOPHARYNX
ORAL MUCOSA OVARY PANCREAS PARATHYROID GLAND PITUITARY GLAND PLACENTA PROSTATE RECTUM RETINA SALIVARY GLAND SEMINAL VESICLE SKELETAL MUSCLE SKIN SMALL INTESTINE
SMOOTH MUSCLE SOFT TISSUE SPINAL CORD SPLEEN STOMACH TESTIS THYMUS THYROID GLAND TONGUE TONSIL URINARY BLADDER VAGINA
ANTIBODIES
AND
VALIDATION
Dictionary
Heart muscle
Tissue proteome
Heart
HEART MUSCLE - Expression summary
Protein expression
Heart musclei

On the top, protein expression in current human tissue, based on all annotated cell types, is reported with the units not detected (n), low (l), medium (m) and high (h). Underneath, protein expression in each annotated cell type are reported using the same units.

Protein expression data is based on knowledge-based annotation. For genes where more than one antibody has been used, a collective score is set.

If knowledge-based annotation could not be performed for a gene, no data is displayed here. View antibody staining data further down this page.

h
m
l
n
Cardiomyocytes: Low
RNA expressioni

A summary of mRNA expression data available for current tissue based on several datasets. The mRNA expression levels in human tissues are based on RNA-seq data generated by the Human Protein Atlas (HPA), Genotype-Tissue Expression (GTEx) portal and CAGE data generated by the FANTOM5 consortium. Consensus normalized expression levels for human tissues was created by combining the data from HPA and GTEx datasets.

The mRNA expression levels in pig are based on RNA-seq data generated by the Human Protein Atlas (HPA), and for mouse, HPA data and in situ hybridization generated by the Allen brain atlas are reported.

Scroll down to view mRNA expression data in more detail.
Consensus:907.0 nTPM
HPA:721.4 nTPM
GTEx:907.0 nTPM
FANTOM5:1580.7 Scaled Tags Per Million

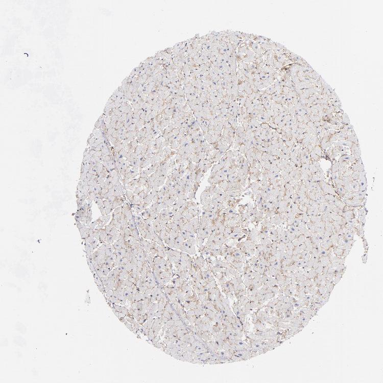
HEART MUSCLE - Antibody stainingi

Antibody staining in the annotated cell types in the current human tissue is reported as not detected, low, medium, or high, based on conventional immunohistochemistry profiling in selected tissues. This score is based on the combination of the staining intensity and fraction of stained cells.

Each image is clickable and will lead to virtual microscopy that enables deeper exploration of all samples and also displays staining intensity scores, fraction scores and subcellular localization as well as patient and tissue information for each sample.

Antibody HPA007234Antibody CAB002507
Cardiomyocytes MediumMedium





HEART MUSCLE - HPA RNA-seqi

The RNA-seq details section shows detailed information about the individual samples used for the transcript profiling and results of the RNA-seq analysis.

Information about each individual sample is listed below, including gender, age, a tissue section image and estimated fractions of cell types. nTPM (normalized transcripts per million) values give a quantification of the gene abundance which is comparable between different genes and samples.
Average nTPMi

Max subtype nTPM is the value for the subtype with the largest average nTPM across the subtype samples.

721.4
overview
Female, age 48
Heart muscle sample 149
nTPM: 831
Cell types%
Myocytes:
15

Fibroblasts:
55

Endothelial cells:
25

Other cell types:
5

overview
Female, age 42
Heart muscle sample 150
nTPM: 717.2
Cell types%
Myocytes:
20

Fibroblasts:
45

Endothelial cells:
30

Other cell types:
5

overview
Male, age 53
Heart muscle sample 151
nTPM: 677.9
Cell types%
Myocytes:
20

Fibroblasts:
45

Endothelial cells:
30

Other cell types:
5

overview
Female, age 69
Heart muscle sample 152
nTPM: 659.6
Cell types%
Myocytes:
20

Fibroblasts:
45

Endothelial cells:
30

Other cell types:
5


HEART MUSCLE - GTEx RNA-seqi

RNA-Seq data generated by the Genotype-Tissue Expression (GTEx) project from human tissues is reported as mean nTPM. More information can be found on the GTEx portal.

Distribution across the dataset is visualized with box plots, shown as median and 25th and 75th percentiles. Points are displayed as outliers if they are above or below 1.5 times the interquartile range. nTPM values of the individual samples are presented next to the box plot.
Max subtype nTPMi

Max subtype nTPM is the value for the subtype with the largest average nTPM across the subtype samples.

907.0
GTEx sample id Sample description nTPM
Heart - Atrial Appendage
Average nTPM: 907.0
Samples: 429

Max nTPM: 1565.0
Min nTPM: 486.0
Std nTPM: 151.2
Median nTPM: 890.6
GTEX-14PJM-0826-SM-6LLIW 50-59 years, female 1565.0
GTEX-Y3I4-0526-SM-4TT6X 50-59 years, male 1491.5
GTEX-14XAO-0926-SM-69LPZ 60-69 years, female 1352.0
GTEX-YB5K-0226-SM-5IFJE 40-49 years, female 1332.5
GTEX-XLM4-2026-SM-4AT4X 60-69 years, male 1329.1
GTEX-1OFPY-0926-SM-DTX8Q 60-69 years, male 1328.7
GTEX-13FHP-0826-SM-5K7V5 50-59 years, male 1321.0
GTEX-13PDP-1326-SM-5K7U9 60-69 years, male 1312.1
GTEX-14PN4-0826-SM-69LON 50-59 years, male 1286.9
GTEX-11GSP-1226-SM-5985M 60-69 years, female 1264.6
GTEX-13NZB-0426-SM-5KM26 30-39 years, male 1236.7
GTEX-13JVG-1126-SM-5KM2M 60-69 years, male 1229.1
GTEX-1J1OQ-2226-SM-A96SS 40-49 years, female 1224.9
GTEX-13FH7-0826-SM-5J2NW 50-59 years, female 1212.7
GTEX-14JG1-0826-SM-5ZZWR 40-49 years, male 1208.3
GTEX-1313W-1126-SM-5EQ5U 50-59 years, female 1206.7
GTEX-12WSI-0426-SM-5EQ5J 50-59 years, male 1206.5
GTEX-W5X1-0826-SM-3GILN 40-49 years, female 1193.5
GTEX-1CAMQ-0726-SM-7P8SG 40-49 years, male 1183.7
GTEX-ZYVF-1826-SM-5E44F 50-59 years, female 1175.5
GTEX-12WSD-1226-SM-5HL9Q 60-69 years, female 1164.4
GTEX-15CHQ-1326-SM-6871Z 60-69 years, male 1162.9
GTEX-1212Z-0726-SM-5EGI5 60-69 years, male 1159.9
GTEX-15SDE-1826-SM-7KUFN 50-59 years, female 1159.7
GTEX-1GN1U-1426-SM-7P8TF 50-59 years, female 1157.2
GTEX-1L5NE-0526-SM-DIPG5 50-59 years, male 1148.8
GTEX-1B933-0826-SM-79OMW 50-59 years, female 1138.5
GTEX-1RB15-0426-SM-E9U4Y 60-69 years, male 1135.1
GTEX-132QS-0526-SM-5IJC7 60-69 years, male 1132.2
GTEX-ZYFC-1026-SM-5GZX9 50-59 years, male 1128.0
GTEX-11DYG-1026-SM-5A5JQ 60-69 years, male 1127.6
GTEX-1QP6S-1026-SM-DTXFW 40-49 years, male 1123.6
GTEX-12BJ1-0326-SM-5FQUB 60-69 years, male 1120.2
GTEX-1C6VQ-0826-SM-7PBZT 50-59 years, male 1112.9
GTEX-1LH75-0526-SM-DIPG2 50-59 years, female 1112.2
GTEX-ZE7O-0626-SM-57WCD 50-59 years, female 1111.9
GTEX-18465-0726-SM-7LG4L 50-59 years, male 1107.4
GTEX-1LSNL-0626-SM-DIPFJ 50-59 years, male 1107.4
GTEX-14PII-1026-SM-5ZZVW 60-69 years, male 1102.1
GTEX-XPVG-0726-SM-4B658 50-59 years, male 1098.4
GTEX-12WSC-1026-SM-5EQ5Y 50-59 years, male 1093.0
GTEX-13N1W-0926-SM-5MR36 70-79 years, male 1088.7
GTEX-XQ8I-0226-SM-4BOPM 50-59 years, male 1088.4
GTEX-ZDTS-1226-SM-4WKGL 60-69 years, male 1088.1
GTEX-14C5O-1226-SM-664N3 60-69 years, male 1083.4
GTEX-1H3VY-1126-SM-A96TP 50-59 years, male 1082.6
GTEX-13SLX-0926-SM-5S2NM 50-59 years, female 1082.5
GTEX-1AX8Z-1126-SM-731CS 60-69 years, male 1082.5
GTEX-1B8SF-1326-SM-7IGQJ 60-69 years, male 1081.5
GTEX-16XZY-0526-SM-7DHKY 70-79 years, male 1080.0
GTEX-147JS-1326-SM-5SI6D 60-69 years, male 1077.5
GTEX-1AX9K-0426-SM-73KUG 50-59 years, male 1074.6
GTEX-13NZ9-0126-SM-5K7XV 50-59 years, male 1074.1
GTEX-11GS4-0426-SM-5N9CD 60-69 years, male 1073.5
GTEX-11DXZ-0326-SM-5EGH1 50-59 years, male 1073.4
GTEX-1R9JW-0426-SM-E76QL 30-39 years, female 1072.5
GTEX-1GZ2Q-0926-SM-7RHHN 40-49 years, male 1071.5
GTEX-16XZZ-1026-SM-7DHKS 60-69 years, male 1067.6
GTEX-13O1R-0926-SM-5L3DS 60-69 years, male 1065.3
GTEX-13O3P-1426-SM-5L3DT 50-59 years, male 1063.5
GTEX-1192W-0226-SM-5EGGT 60-69 years, male 1063.4
GTEX-YEC4-0226-SM-4W1YG 40-49 years, male 1060.9
GTEX-WL46-0726-SM-3LK5Z 50-59 years, male 1059.1
GTEX-1E2YA-0626-SM-7P8P4 50-59 years, male 1058.9
GTEX-13X6J-1226-SM-79OMF 50-59 years, male 1057.4
GTEX-13RTJ-0526-SM-62LDP 60-69 years, male 1055.5
GTEX-ZYT6-0926-SM-5GIEM 30-39 years, male 1053.1
GTEX-Y3IK-1026-SM-51MR7 50-59 years, female 1050.5
GTEX-1EH9U-0626-SM-7PC33 60-69 years, male 1050.3
GTEX-WI4N-0726-SM-3TW93 40-49 years, female 1048.6
GTEX-11NUK-0926-SM-5HL57 50-59 years, male 1048.1
GTEX-14PJ6-0626-SM-686Z6 60-69 years, female 1043.4
GTEX-17KNJ-0626-SM-7LT9L 50-59 years, male 1043.3
GTEX-ZVT2-0926-SM-5GICE 50-59 years, female 1042.1
GTEX-13D11-1526-SM-5J2NA 50-59 years, female 1040.1
GTEX-16YQH-0726-SM-7IGM1 30-39 years, male 1039.3
GTEX-13OW7-1626-SM-5IJDH 50-59 years, male 1039.2
GTEX-ZG7Y-1426-SM-4WWBM 50-59 years, male 1038.2
GTEX-1QP29-1426-SM-DTX9Q 50-59 years, male 1037.9
GTEX-17F9Y-1226-SM-7EPGE 70-79 years, female 1037.3
GTEX-1B97J-0326-SM-7939H 50-59 years, female 1037.3
GTEX-1C2JI-0626-SM-7DHM1 50-59 years, male 1035.2
GTEX-1LVAO-0626-SM-EWRNT 60-69 years, male 1033.7
GTEX-Z93S-0326-SM-5HL84 50-59 years, male 1029.5
GTEX-17JCI-0826-SM-7LT8W 60-69 years, female 1028.5
GTEX-14PK6-0726-SM-6LLIX 70-79 years, female 1026.6
GTEX-18D9U-1426-SM-718BO 40-49 years, male 1023.3
GTEX-15UF7-1526-SM-6LPI7 40-49 years, male 1023.0
GTEX-13SLW-0826-SM-5QGP7 70-79 years, male 1021.4
GTEX-ZLFU-0326-SM-4WWBK 40-49 years, male 1016.9
GTEX-12WSE-0926-SM-5S2VX 20-29 years, male 1011.1
GTEX-11O72-1026-SM-5986B 40-49 years, male 1007.7
GTEX-14A6H-0326-SM-5NQAN 30-39 years, male 1006.4
GTEX-VJWN-1026-SM-4M1ZN 50-59 years, female 1004.5
GTEX-1EU9M-1926-SM-7RHH4 60-69 years, male 1003.7
GTEX-XBEC-1226-SM-4AT65 50-59 years, male 1003.4
GTEX-1E1VI-1426-SM-793CY 50-59 years, male 1002.5
GTEX-145LS-1326-SM-5Q5EP 60-69 years, female 1001.8
GTEX-13X6K-1726-SM-7IGLG 60-69 years, female 1000.4
GTEX-ZZPU-1126-SM-5N9CW 50-59 years, female 1000.0
GTEX-132Q8-1126-SM-5K7XS 60-69 years, male 999.3
GTEX-1192X-0726-SM-5987R 50-59 years, male 998.8
GTEX-WHWD-0326-SM-3LK6L 50-59 years, male 998.8
GTEX-12WSK-0526-SM-5CVNA 40-49 years, female 997.6
GTEX-1QMI2-1026-SM-DTX7T 60-69 years, male 995.9
GTEX-13QBU-0226-SM-5LU48 40-49 years, female 995.3
GTEX-1399S-0826-SM-5KM23 30-39 years, female 994.3
GTEX-16GPK-1226-SM-7LTAU 60-69 years, male 991.6
GTEX-ZVZQ-0726-SM-51MR3 60-69 years, female 991.2
GTEX-1EMGI-1126-SM-9KNUF 60-69 years, male 990.5
GTEX-13FHO-1226-SM-5L3EF 60-69 years, male 987.0
GTEX-U8XE-0926-SM-3DB8V 30-39 years, male 986.8
GTEX-13FXS-1026-SM-62LFQ 50-59 years, male 986.0
GTEX-13O3O-1426-SM-5KM2S 60-69 years, female 985.6
GTEX-ZDXO-0426-SM-4WKF6 60-69 years, male 985.6
GTEX-1IKOE-0626-SM-A9G31 30-39 years, female 985.5
GTEX-ZPU1-0726-SM-5HL6O 40-49 years, male 984.6
GTEX-146FH-1126-SM-5NQAT 50-59 years, female 983.4
GTEX-11ZTT-0526-SM-5EQLA 60-69 years, female 982.9
GTEX-ZDTT-0326-SM-4WKF9 60-69 years, male 982.6
GTEX-15DCE-0826-SM-7KULW 20-29 years, male 981.0
GTEX-1GN2E-1426-SM-7RHHI 60-69 years, male 980.4
GTEX-1HFI6-0826-SM-9YFM2 40-49 years, male 979.7
GTEX-1PPGY-0926-SM-DTXFF 60-69 years, male 977.5
GTEX-183WM-0926-SM-718AN 70-79 years, female 976.3
GTEX-1GZ4I-0826-SM-9WG6O 50-59 years, male 975.7
GTEX-11EQ8-1326-SM-5EGJQ 60-69 years, male 974.3
GTEX-1A8FM-1026-SM-7PC26 50-59 years, female 973.1
GTEX-1339X-0326-SM-5K7Z8 40-49 years, male 973.0
GTEX-14PJ2-1126-SM-69LOD 50-59 years, male 971.5
GTEX-1IL2V-1126-SM-CMKGH 70-79 years, male 971.4
GTEX-18A6Q-1526-SM-731CO 60-69 years, male 971.1
GTEX-XGQ4-0526-SM-4AT6C 50-59 years, male 969.5
GTEX-146FR-0926-SM-5QGPE 60-69 years, female 969.2
GTEX-WYBS-1226-SM-3NM9N 60-69 years, female 967.5
GTEX-1JJEA-0926-SM-CYPSO 60-69 years, male 966.8
GTEX-XV7Q-0726-SM-4BRV6 40-49 years, female 966.0
GTEX-ZEX8-0326-SM-DO92C 50-59 years, male 965.5
GTEX-1CB4G-0726-SM-79OOJ 60-69 years, male 965.4
GTEX-14E1K-0826-SM-5ZZW9 50-59 years, male 965.0
GTEX-1A3MX-1226-SM-731B3 60-69 years, male 964.3
GTEX-17EVP-0526-SM-7EPGY 40-49 years, male 963.6
GTEX-16NPX-0826-SM-6M489 50-59 years, male 963.3
GTEX-13OVG-0426-SM-5KM2T 60-69 years, male 962.6
GTEX-ZV7C-0526-SM-9WPNK 50-59 years, male 960.5
GTEX-145LV-0226-SM-5S2QG 50-59 years, male 960.1
GTEX-1H1DG-0826-SM-9QEIW 70-79 years, male 960.1
GTEX-14PN3-0726-SM-6EU14 60-69 years, female 959.4
GTEX-1IL2U-1226-SM-CL53P 60-69 years, male 958.9
GTEX-1IKJJ-0626-SM-CY8GF 60-69 years, male 958.7
GTEX-X62O-0826-SM-46MW8 50-59 years, male 955.5
GTEX-1HBPH-0226-SM-9WYSM 40-49 years, female 955.1
GTEX-1HSGN-0926-SM-CNNQM 40-49 years, female 954.0
GTEX-XOT4-1126-SM-4B66E 60-69 years, female 953.7
GTEX-11LCK-0826-SM-5PNYD 30-39 years, male 953.6
GTEX-14BIM-2726-SM-5Q5EG 60-69 years, female 953.5
GTEX-1399R-1726-SM-5K7YJ 30-39 years, male 952.9
GTEX-WK11-0626-SM-3NMAV 50-59 years, male 951.2
GTEX-1GMRU-1326-SM-9WYUI 50-59 years, male 950.3
GTEX-12WSG-1226-SM-5EQ4C 50-59 years, female 949.6
GTEX-111FC-0626-SM-5N9CU 60-69 years, male 949.2
GTEX-1BAJH-1026-SM-7EWEG 70-79 years, male 948.3
GTEX-14PJ4-0926-SM-5YY98 60-69 years, male 947.0
GTEX-1HT8W-1326-SM-CGQEN 30-39 years, male 944.4
GTEX-1GMR8-1026-SM-9MQLA 50-59 years, female 944.0
GTEX-1QCLZ-1126-SM-EWRNB 60-69 years, female 943.7
GTEX-V1D1-0626-SM-4JBHN 50-59 years, male 942.6
GTEX-ZAK1-1126-SM-5PNXU 50-59 years, female 942.6
GTEX-1HBPN-0926-SM-CGQEG 50-59 years, male 942.3
GTEX-1P4AB-0926-SM-E76PV 50-59 years, male 941.3
GTEX-ZXG5-0626-SM-5NQ85 60-69 years, male 939.4
GTEX-1211K-0226-SM-59HJY 60-69 years, female 937.0
GTEX-YECK-1226-SM-4W21G 60-69 years, male 934.2
GTEX-1IKK5-1726-SM-CM2RU 60-69 years, male 933.0
GTEX-147F4-1126-SM-5TDDE 50-59 years, male 932.6
GTEX-WQUQ-1326-SM-3MJFF 60-69 years, male 930.7
GTEX-V955-0826-SM-CYPR5 60-69 years, male 927.4
GTEX-1IDJF-0826-SM-ARU7N 20-29 years, male 926.1
GTEX-1J8Q3-1126-SM-ARU8N 60-69 years, male 925.7
GTEX-1HSMO-1126-SM-CGQF2 60-69 years, male 925.2
GTEX-14A5I-1026-SM-5Q5E3 50-59 years, female 925.0
GTEX-13JUV-0226-SM-5IJCC 40-49 years, female 924.7
GTEX-1IDJD-0226-SM-CKZOA 30-39 years, male 924.4
GTEX-148VJ-1426-SM-5TDE3 70-79 years, male 922.5
GTEX-13PVQ-1326-SM-5LU4J 50-59 years, male 922.3
GTEX-14BIL-0926-SM-7DHKN 50-59 years, male 920.4
GTEX-14E7W-1126-SM-5ZZVS 70-79 years, male 920.3
GTEX-VUSG-0726-SM-3GIK1 50-59 years, male 919.6
GTEX-ZGAY-0226-SM-4WWAL 40-49 years, female 919.3
GTEX-13NYS-1926-SM-5IJCB 60-69 years, male 916.7
GTEX-1POEN-0726-SM-DTXDU 30-39 years, female 915.5
GTEX-YF7O-0526-SM-5P9IO 50-59 years, male 914.7
GTEX-131XG-0526-SM-5DUWF 50-59 years, female 914.3
GTEX-WHPG-1026-SM-3NMBA 50-59 years, male 913.3
GTEX-144GL-1026-SM-5O99R 50-59 years, male 913.2
GTEX-13NZA-0826-SM-5K7WS 60-69 years, male 913.0
GTEX-ZF3C-1126-SM-57WEG 50-59 years, female 911.7
GTEX-1MJK2-1626-SM-EVYCQ 50-59 years, male 911.4
GTEX-1CB4I-1526-SM-7DHMY 50-59 years, male 911.2
GTEX-1QEPI-1126-SM-E8VN7 60-69 years, female 911.2
GTEX-1IOXB-0726-SM-A9G32 50-59 years, male 910.5
GTEX-117XS-0726-SM-5H131 60-69 years, male 908.8
GTEX-ZAB4-0926-SM-5CVN4 40-49 years, male 908.1
GTEX-1LB8K-0926-SM-D4P42 50-59 years, male 907.0
GTEX-15RIE-1326-SM-6PAMM 60-69 years, male 905.2
GTEX-1K2DU-0226-SM-DIPF6 20-29 years, male 903.3
GTEX-X5EB-0626-SM-46MVQ 40-49 years, male 899.4
GTEX-13OW6-0926-SM-5L3GM 50-59 years, male 899.2
GTEX-15D1Q-0426-SM-6AJ9G 40-49 years, male 896.6
GTEX-1R7EV-0426-SM-DTX7Z 40-49 years, male 895.3
GTEX-1IY9M-0626-SM-D4P2L 60-69 years, male 895.0
GTEX-1GL5R-0426-SM-9WPOP 50-59 years, male 893.3
GTEX-13S86-0326-SM-5SI6K 40-49 years, male 892.8
GTEX-1HUB1-0726-SM-CGQF4 60-69 years, male 891.1
GTEX-18A66-1126-SM-731C5 60-69 years, male 890.6
GTEX-1LGOU-0326-SM-D3LAM 20-29 years, female 890.1
GTEX-13CF2-0226-SM-5L3DV 60-69 years, male 887.5
GTEX-1B8KE-0326-SM-73KTY 50-59 years, male 887.3
GTEX-1HC8U-0626-SM-B2LWB 40-49 years, female 886.2
GTEX-1H3O1-0226-SM-9WYSW 60-69 years, male 885.5
GTEX-131XF-0426-SM-5HL7U 60-69 years, male 885.4
GTEX-139TU-1926-SM-5J2OC 60-69 years, male 885.3
GTEX-12ZZX-0726-SM-5EGKA 40-49 years, female 884.8
GTEX-15ER7-0826-SM-6PALW 20-29 years, female 884.4
GTEX-YEC3-0426-SM-CYPS8 50-59 years, male 884.4
GTEX-132NY-1426-SM-5J1MJ 60-69 years, male 883.6
GTEX-YFC4-0426-SM-4TT3J 40-49 years, female 881.9
GTEX-15RJE-0726-SM-7KUEG 40-49 years, male 880.3
GTEX-1RLM8-0226-SM-E6CJY 50-59 years, male 880.3
GTEX-11EM3-0426-SM-5N9BZ 20-29 years, female 880.0
GTEX-1I1GQ-1226-SM-CL55J 50-59 years, male 880.0
GTEX-11UD2-0926-SM-5CVL6 50-59 years, male 879.8
GTEX-11EMC-0826-SM-59862 60-69 years, female 879.6
GTEX-1C64N-0826-SM-7RHGQ 50-59 years, male 878.8
GTEX-Y114-0126-SM-4TT8K 50-59 years, female 878.3
GTEX-1JMLX-1826-SM-CNPOX 50-59 years, male 877.4
GTEX-15CHR-0326-SM-7DHN3 50-59 years, male 875.3
GTEX-1NSGN-1226-SM-E76OL 50-59 years, male 873.6
GTEX-1JN6P-0826-SM-ARL97 60-69 years, male 873.3
GTEX-11ZVC-0526-SM-5N9G1 50-59 years, female 872.2
GTEX-1I19N-0626-SM-A9SKY 70-79 years, male 872.2
GTEX-1C6WA-0826-SM-7PBXS 60-69 years, male 871.9
GTEX-13O21-0326-SM-5J1N9 50-59 years, male 870.7
GTEX-132AR-1926-SM-5EGK5 50-59 years, female 870.0
GTEX-1H1ZS-1026-SM-9WG6E 70-79 years, male 869.4
GTEX-1HCVE-0826-SM-CM2SF 50-59 years, male 869.1
GTEX-1F75A-1026-SM-7PC3W 50-59 years, male 867.7
GTEX-1JMQK-0926-SM-ARL96 60-69 years, male 866.7
GTEX-1I1GV-1426-SM-B2LXN 60-69 years, male 865.8
GTEX-18A7A-1226-SM-7LTAJ 50-59 years, female 862.7
GTEX-15CHC-0326-SM-5ZZVP 60-69 years, female 861.8
GTEX-13NYB-0326-SM-5IJDP 40-49 years, male 860.4
GTEX-1117F-0726-SM-5GIEN 60-69 years, female 859.9
GTEX-1GF9V-1726-SM-9KNW4 60-69 years, male 859.7
GTEX-1CB4H-0626-SM-7IGN3 60-69 years, female 859.5
GTEX-ZPCL-0526-SM-DO91R 60-69 years, female 859.1
GTEX-131YS-0826-SM-5PNYV 60-69 years, female 858.6
GTEX-1399T-0726-SM-5J1MH 60-69 years, male 858.4
GTEX-ZVT4-1326-SM-5NQ8E 50-59 years, female 857.4
GTEX-13FTW-0826-SM-5K7XR 40-49 years, male 856.5
GTEX-YJ8O-0826-SM-5CVM3 40-49 years, female 856.4
GTEX-1CAMS-1126-SM-7MXUQ 40-49 years, female 855.7
GTEX-13U4I-0626-SM-5LU5L 40-49 years, female 855.6
GTEX-1J8EW-0626-SM-CM2TY 60-69 years, female 854.8
GTEX-14PHX-0626-SM-5YY8Z 50-59 years, male 854.5
GTEX-13FTZ-0326-SM-5J1O1 60-69 years, male 854.2
GTEX-ZF2S-0826-SM-4WWBI 50-59 years, female 854.2
GTEX-13OW5-0926-SM-5L3GZ 60-69 years, male 853.8
GTEX-14PHY-0326-SM-62LE3 60-69 years, female 853.8
GTEX-14BIN-2126-SM-793AX 50-59 years, female 853.6
GTEX-1EX96-2626-SM-9MQJV 50-59 years, male 852.7
GTEX-WHSE-0826-SM-4SOJU 20-29 years, male 852.6
GTEX-1399U-0726-SM-5KM1D 50-59 years, female 850.9
GTEX-1F75I-1326-SM-7PBZX 40-49 years, male 850.7
GTEX-14ASI-0826-SM-5Q5EB 60-69 years, male 849.7
GTEX-1H1CY-0426-SM-9KNVD 60-69 years, female 849.2
GTEX-XXEK-2026-SM-4BRVE 50-59 years, male 848.3
GTEX-17MF6-0926-SM-7LTAL 40-49 years, male 846.9
GTEX-1A32A-1326-SM-73KWW 50-59 years, female 846.8
GTEX-1A8G6-1826-SM-73KY8 60-69 years, male 846.3
GTEX-ZF29-0426-SM-4WKFN 60-69 years, female 845.8
GTEX-1KANC-0226-SM-E9TIW 50-59 years, female 845.7
GTEX-1ICG6-0726-SM-B2LY5 70-79 years, female 844.7
GTEX-17GQL-0626-SM-731CN 60-69 years, male 844.2
GTEX-X4EP-0326-SM-3P5Z6 60-69 years, female 843.7
GTEX-11P81-0526-SM-59873 30-39 years, female 843.5
GTEX-1GN1V-1026-SM-CNPPS 60-69 years, male 842.9
GTEX-14C38-1326-SM-62LDK 50-59 years, male 841.7
GTEX-13YAN-1426-SM-7EPG8 60-69 years, male 841.4
GTEX-1CB4E-0626-SM-7DHMW 60-69 years, male 841.1
GTEX-11TT1-1426-SM-5EGIA 20-29 years, male 841.0
GTEX-1I1GP-0626-SM-ARL7H 50-59 years, male 840.6
GTEX-1R9K4-1026-SM-EXUT1 60-69 years, male 839.8
GTEX-11DXY-1026-SM-5987V 60-69 years, male 838.0
GTEX-WOFL-1226-SM-4OOST 60-69 years, male 837.9
GTEX-1445S-1226-SM-5O9BF 60-69 years, male 837.6
GTEX-13PL7-0726-SM-5KM1S 60-69 years, female 837.2
GTEX-1HSMQ-0426-SM-ADEIM 50-59 years, male 836.5
GTEX-ZVT3-0826-SM-5GIC8 60-69 years, female 836.0
GTEX-ZPIC-0426-SM-DO91V 40-49 years, female 834.8
GTEX-Y5V5-0726-SM-4VBPY 60-69 years, female 834.0
GTEX-XPT6-0226-SM-4B65L 20-29 years, male 832.9
GTEX-1IKOH-0926-SM-A9SLU 60-69 years, female 832.3
GTEX-139YR-0526-SM-5L3DG 50-59 years, male 830.5
GTEX-WEY5-0226-SM-3GIKN 40-49 years, female 828.4
GTEX-1HFI7-0526-SM-A9SMA 50-59 years, female 827.7
GTEX-XQ3S-0526-SM-4BOQA 20-29 years, male 825.6
GTEX-1GN73-2326-SM-9MQKV 60-69 years, male 825.3
GTEX-1CB4J-0226-SM-7P8T4 60-69 years, male 824.3
GTEX-1QPFJ-0926-SM-EVR3K 30-39 years, female 824.3
GTEX-1JK1U-0626-SM-CKZOJ 60-69 years, male 822.1
GTEX-13O61-0426-SM-5L3ET 60-69 years, male 819.9
GTEX-14BMV-1026-SM-5SI6B 50-59 years, male 815.0
GTEX-1GMR3-0426-SM-7PC17 40-49 years, male 815.0
GTEX-1HR98-1026-SM-CKZOM 60-69 years, male 814.6
GTEX-1LSNM-0426-SM-E9TIZ 50-59 years, male 814.1
GTEX-13112-0526-SM-5EQ4S 50-59 years, male 813.2
GTEX-131XE-0526-SM-5K7YT 50-59 years, male 812.3
GTEX-1GN1W-0226-SM-7P8QY 50-59 years, female 812.2
GTEX-1I1CD-1326-SM-A9SMM 60-69 years, female 810.6
GTEX-13PVR-0926-SM-5S2RB 60-69 years, female 807.6
GTEX-18A67-1026-SM-731CE 50-59 years, male 807.6
GTEX-1GMR2-1326-SM-9KNUT 50-59 years, male 807.1
GTEX-1JJ6O-2226-SM-AHZ3I 60-69 years, male 803.7
GTEX-14C39-0726-SM-5RQIK 40-49 years, male 802.8
GTEX-17F9E-0726-SM-793A1 50-59 years, male 802.0
GTEX-1HCUA-0626-SM-ACKVT 50-59 years, female 802.0
GTEX-11ZUS-0326-SM-5EQ4W 30-39 years, male 801.2
GTEX-1IDJH-1126-SM-COH3R 70-79 years, male 801.1
GTEX-ZAB5-0126-SM-5CVMT 50-59 years, male 800.7
GTEX-11ONC-1026-SM-5GU64 60-69 years, male 798.9
GTEX-12ZZY-1226-SM-5GCNK 60-69 years, male 798.7
GTEX-1F88F-0326-SM-9KNV3 60-69 years, female 796.0
GTEX-14DAQ-1026-SM-793B1 60-69 years, female 795.1
GTEX-1GF9U-0526-SM-7P8SK 40-49 years, female 793.5
GTEX-1477Z-1126-SM-5P9GK 60-69 years, male 793.3
GTEX-1HSKV-0726-SM-ACKWE 60-69 years, male 792.9
GTEX-11WQK-0226-SM-5EQLI 50-59 years, male 791.9
GTEX-1IDJU-0626-SM-CKZOG 60-69 years, female 789.8
GTEX-14H4A-0426-SM-5ZZWO 40-49 years, female 788.4
GTEX-11NV4-0826-SM-5BC4S 60-69 years, male 786.2
GTEX-WFON-0226-SM-3GIKR 40-49 years, male 784.5
GTEX-ZDYS-0326-SM-5HL4W 50-59 years, male 783.9
GTEX-ZYFD-2026-SM-5E459 50-59 years, male 783.4
GTEX-1H11D-1026-SM-9QEIU 40-49 years, male 781.3
GTEX-1KANB-1126-SM-DHXJT 50-59 years, male 781.0
GTEX-1M5QR-1626-SM-E9U5O 40-49 years, male 780.8
GTEX-11DXX-0526-SM-5PNVR 60-69 years, female 778.7
GTEX-1EWIQ-1126-SM-7EPIK 70-79 years, female 778.5
GTEX-1B8L1-0426-SM-7SB76 60-69 years, male 777.2
GTEX-1LVAN-1526-SM-CNPQN 50-59 years, female 775.2
GTEX-1KD5A-0926-SM-D4P3U 50-59 years, male 773.8
GTEX-1B932-1326-SM-79OM4 40-49 years, female 773.7
GTEX-14E6C-0326-SM-5Q5EE 40-49 years, male 773.2
GTEX-12584-1026-SM-59HK3 40-49 years, male 768.9
GTEX-1MJIX-0426-SM-DTXEN 40-49 years, male 767.0
GTEX-17F96-0826-SM-7DHLU 70-79 years, male 765.6
GTEX-1J8Q2-1026-SM-ARU8I 60-69 years, male 765.1
GTEX-ZT9W-0526-SM-57WFG 50-59 years, male 763.9
GTEX-1F75B-1126-SM-7RHGP 50-59 years, male 760.2
GTEX-1B996-1026-SM-793CF 60-69 years, male 759.3
GTEX-X4XX-1126-SM-3NMBY 60-69 years, male 759.3
GTEX-ZUA1-0726-SM-4YCD9 40-49 years, male 757.8
GTEX-1HCU7-1226-SM-B2LX8 50-59 years, male 757.7
GTEX-12WSN-0226-SM-5DUXH 40-49 years, male 755.2
GTEX-XYKS-0226-SM-4BRW3 60-69 years, female 755.1
GTEX-1H3NZ-1026-SM-A9SM5 60-69 years, male 754.0
GTEX-13PL6-0826-SM-5IJBI 40-49 years, female 751.9
GTEX-145MN-0726-SM-5NQBH 30-39 years, male 750.2
GTEX-UPK5-0226-SM-3GAEV 40-49 years, male 749.6
GTEX-1LG7Y-1426-SM-D4P31 50-59 years, male 747.9
GTEX-16MT8-0826-SM-7KULO 60-69 years, female 747.4
GTEX-12696-1226-SM-5FQSM 60-69 years, male 747.2
GTEX-1F6I4-0826-SM-7RHGK 60-69 years, male 746.9
GTEX-1122O-0626-SM-5N9B9 60-69 years, female 745.4
GTEX-X3Y1-0226-SM-3P5Z5 40-49 years, male 744.5
GTEX-1NHNU-0626-SM-E6CP1 50-59 years, male 743.4
GTEX-1F48J-1126-SM-9WYSY 50-59 years, female 740.8
GTEX-ZTTD-0626-SM-4YCCY 50-59 years, male 738.2
GTEX-ZTPG-1326-SM-51MSQ 20-29 years, female 732.9
GTEX-1C64O-0926-SM-79OLN 60-69 years, male 732.7
GTEX-14PJO-0826-SM-6ETZK 60-69 years, male 728.5
GTEX-1GTWX-0926-SM-9MQKM 60-69 years, male 728.4
GTEX-1I1GR-1026-SM-A9SLC 60-69 years, male 722.2
GTEX-117YX-0626-SM-5EGJI 50-59 years, male 721.2
GTEX-111VG-0326-SM-5GZX7 60-69 years, male 719.1
GTEX-13OVI-0326-SM-5K7X1 60-69 years, female 718.8
GTEX-1B8SG-0726-SM-79ONS 50-59 years, male 718.1
GTEX-1AX9I-1026-SM-73KYF 60-69 years, male 718.0
GTEX-1H2FU-0826-SM-9WYSU 60-69 years, female 713.4
GTEX-WRHU-1026-SM-4E3ID 50-59 years, female 711.3
GTEX-WFG8-0726-SM-3GILP 20-29 years, male 697.6
GTEX-WH7G-0326-SM-3NMBH 40-49 years, male 696.9
GTEX-ZZPT-0926-SM-5GICZ 50-59 years, male 696.6
GTEX-WYJK-1126-SM-3NM9Z 50-59 years, male 695.9
GTEX-1HBPM-1026-SM-ARL9D 60-69 years, female 694.4
GTEX-13N11-0726-SM-5L3DP 50-59 years, female 694.3
GTEX-1JMQL-1026-SM-CMKGV 50-59 years, female 694.3
GTEX-WWYW-1126-SM-3NB2Q 50-59 years, female 693.9
GTEX-117YW-0426-SM-5GZZZ 50-59 years, male 693.2
GTEX-11TUW-1126-SM-5EQKJ 60-69 years, male 689.0
GTEX-WY7C-1126-SM-3NB3A 50-59 years, male 689.0
GTEX-13VXT-0726-SM-5SIAD 20-29 years, female 688.3
GTEX-ZAJG-0926-SM-5Q5AB 50-59 years, female 687.6
GTEX-15SHU-0926-SM-6PAMK 40-49 years, female 684.4
GTEX-12WSA-1126-SM-5EGKU 60-69 years, male 684.3
GTEX-1I1HK-0626-SM-CNPQM 60-69 years, male 682.2
GTEX-WFG7-0826-SM-3GIKU 20-29 years, male 680.1
GTEX-1AYCT-0526-SM-7RHHS 50-59 years, male 678.4
GTEX-1MCC2-0226-SM-EVYD5 30-39 years, female 677.7
GTEX-Y8E4-0426-SM-4V6GB 40-49 years, male 674.6
GTEX-X8HC-1026-SM-46MWH 50-59 years, female 668.6
GTEX-18D9B-1126-SM-7KFSH 60-69 years, male 667.3
GTEX-111YS-0326-SM-5GZZ3 60-69 years, male 665.7
GTEX-1KXAM-1426-SM-D3LAC 60-69 years, male 659.6
GTEX-15EU6-1326-SM-6PANG 50-59 years, male 656.6
GTEX-17HGU-1126-SM-793BP 50-59 years, male 647.1
GTEX-15SKB-0926-SM-7KUFC 60-69 years, male 645.2
GTEX-ZYFG-0526-SM-5GZXX 60-69 years, female 643.8
GTEX-1AX9J-0926-SM-73KXA 60-69 years, male 643.6
GTEX-15SHV-0526-SM-7KUEN 60-69 years, male 639.8
GTEX-WZTO-1226-SM-3NMAZ 40-49 years, male 635.5
GTEX-13W3W-0526-SM-5LU3X 60-69 years, female 629.2
GTEX-13O3Q-0326-SM-5L3FE 50-59 years, male 628.6
GTEX-1J8QM-0326-SM-CL53D 60-69 years, female 613.8
GTEX-1JMOU-0326-SM-ARL8X 60-69 years, female 611.6
GTEX-X261-0926-SM-3NMCY 50-59 years, male 580.1
GTEX-1LGRB-1026-SM-CNPQD 50-59 years, female 506.7
GTEX-UTHO-1226-SM-3GAEE 60-69 years, male 486.0
Show allShow less
Heart - Left Ventricle
Average nTPM: 753.6
Samples: 432

Max nTPM: 1254.5
Min nTPM: 387.9
Std nTPM: 152.4
Median nTPM: 733.9
GTEX-O5YV-0326-SM-2I5H2 60-69 years, female 1254.5
GTEX-11ONC-0126-SM-5PNW6 60-69 years, male 1212.3
GTEX-SUCS-0326-SM-32PLL 70-79 years, male 1202.6
GTEX-16XZY-0426-SM-793BI 70-79 years, male 1195.8
GTEX-WI4N-0626-SM-3TW8Z 40-49 years, female 1185.5
GTEX-Y3I4-0626-SM-4TT7A 50-59 years, male 1169.3
GTEX-OIZI-0926-SM-E6CHF 40-49 years, male 1167.8
GTEX-18A66-1226-SM-7LT8G 60-69 years, male 1145.9
GTEX-15DDE-1126-SM-6LLHN 50-59 years, female 1137.4
GTEX-1M5QR-1026-SM-DHXK9 40-49 years, male 1136.6
GTEX-1IDJF-0726-SM-CJI1U 20-29 years, male 1135.1
GTEX-QDVJ-0426-SM-2I5FW 50-59 years, male 1129.5
GTEX-13PVQ-1226-SM-5IJDC 50-59 years, male 1120.9
GTEX-1497J-1226-SM-5Q5BL 60-69 years, male 1107.8
GTEX-13JVG-1326-SM-5N9F8 60-69 years, male 1087.6
GTEX-14PJ4-1126-SM-5YY91 60-69 years, male 1083.4
GTEX-13FTW-1026-SM-5L3E3 40-49 years, male 1081.3
GTEX-17JCI-1126-SM-7IGMM 60-69 years, female 1071.6
GTEX-1I1GP-0826-SM-A96SD 50-59 years, male 1066.5
GTEX-139YR-0826-SM-5LZXY 50-59 years, male 1060.3
GTEX-1O9I2-1126-SM-DTXEA 50-59 years, male 1051.0
GTEX-NPJ8-0426-SM-2HMK6 40-49 years, male 1043.7
GTEX-1C6VQ-1126-SM-7EWET 50-59 years, male 1042.1
GTEX-1ICG6-0626-SM-ACKWS 70-79 years, female 1035.5
GTEX-ZF2S-1026-SM-9QEGK 50-59 years, female 1032.4
GTEX-P78B-0426-SM-2I5F5 40-49 years, female 1031.4
GTEX-ZG7Y-0926-SM-5EQ6O 50-59 years, male 1029.1
GTEX-Q2AH-0526-SM-2I3ED 40-49 years, male 1026.0
GTEX-P4PQ-0326-SM-2HMJ8 60-69 years, male 1015.4
GTEX-1339X-0426-SM-5KLZY 40-49 years, male 1010.3
GTEX-PWCY-0526-SM-5P9HG 20-29 years, female 1001.0
GTEX-1PWST-1026-SM-DTXF2 70-79 years, male 997.6
GTEX-U8XE-1126-SM-3DB8W 30-39 years, male 994.6
GTEX-PLZ5-0626-SM-2I5F8 50-59 years, male 980.3
GTEX-132QS-0426-SM-5KLZ6 60-69 years, male 978.0
GTEX-X8HC-1626-SM-46MWE 50-59 years, female 975.2
GTEX-ZF3C-1226-SM-4WWCB 50-59 years, female 973.8
GTEX-XPT6-0126-SM-4B65S 20-29 years, male 969.0
GTEX-1A3MW-1326-SM-7189P 60-69 years, female 968.4
GTEX-132NY-1726-SM-5EGKK 60-69 years, male 966.4
GTEX-OIZF-0326-SM-3MJGY 60-69 years, male 964.0
GTEX-1IKJJ-0826-SM-A96SP 60-69 years, male 959.3
GTEX-1QP29-1526-SM-EXUSY 50-59 years, male 957.7
GTEX-13O21-2326-SM-5MR3X 50-59 years, male 956.5
GTEX-1399T-0426-SM-5PNVJ 60-69 years, male 956.0
GTEX-1HC8U-0726-SM-ACKXL 40-49 years, female 951.2
GTEX-14PHY-0226-SM-5ZZWM 60-69 years, female 950.3
GTEX-11DXX-0326-SM-5PNWC 60-69 years, female 938.4
GTEX-OXRL-0326-SM-2I3F2 50-59 years, male 935.3
GTEX-POMQ-0326-SM-2I5FO 20-29 years, female 932.7
GTEX-1A8G6-1626-SM-7MGWO 60-69 years, male 929.5
GTEX-P4QS-0326-SM-2I3EU 60-69 years, male 926.0
GTEX-14BIL-1126-SM-79OMC 50-59 years, male 924.3
GTEX-13N11-0426-SM-5KM3O 50-59 years, female 921.8
GTEX-OXRO-2026-SM-2YUMZ 60-69 years, female 920.0
GTEX-13FLV-0926-SM-5L3DZ 50-59 years, male 919.5
GTEX-18D9B-1226-SM-72D6V 60-69 years, male 919.2
GTEX-1JN6P-1126-SM-CKZON 60-69 years, male 919.2
GTEX-1C2JI-0526-SM-7EWEQ 50-59 years, male 916.9
GTEX-R45C-0926-SM-3GAD4 60-69 years, female 916.2
GTEX-1OKEX-0726-SM-DPRYE 60-69 years, male 913.2
GTEX-NFK9-0926-SM-2HMJU 40-49 years, male 909.7
GTEX-X15G-0426-SM-4PQZ6 50-59 years, female 908.7
GTEX-1R7EV-0326-SM-E76PA 40-49 years, male 907.8
GTEX-148VJ-1526-SM-5Q5DU 70-79 years, male 907.4
GTEX-RUSQ-0526-SM-2TF72 50-59 years, male 907.4
GTEX-1GMR3-0326-SM-7P8QT 40-49 years, male 903.4
GTEX-1J8QM-0426-SM-AHZ3X 60-69 years, female 903.0
GTEX-14PHX-2126-SM-6EU2U 50-59 years, male 901.8
GTEX-1L5NE-0426-SM-E9TIX 50-59 years, male 897.4
GTEX-13NYB-0226-SM-5N9G4 40-49 years, male 897.1
GTEX-14E1K-1026-SM-73KUR 50-59 years, male 896.6
GTEX-13N1W-1026-SM-5IJC5 70-79 years, male 895.5
GTEX-1H11D-1226-SM-9WPQ2 40-49 years, male 892.8
GTEX-1RQEC-0926-SM-EWROG 60-69 years, male 891.6
GTEX-U3ZN-1426-SM-3DB87 30-39 years, female 891.3
GTEX-1IDJU-0726-SM-CNPQ9 60-69 years, female 889.9
GTEX-18465-0926-SM-731AY 50-59 years, male 889.8
GTEX-131XE-0626-SM-5HL98 50-59 years, male 889.6
GTEX-13O3O-1526-SM-5KM1C 60-69 years, female 889.1
GTEX-1LH75-0426-SM-E9TJF 50-59 years, female 888.4
GTEX-15RJ7-0226-SM-7KUMN 40-49 years, male 887.0
GTEX-11DXZ-0626-SM-5GU77 50-59 years, male 885.8
GTEX-1EKGG-1126-SM-7MGXB 60-69 years, male 884.5
GTEX-1399S-1026-SM-5KLZ9 30-39 years, female 881.4
GTEX-ZV7C-0326-SM-57WB1 50-59 years, male 880.2
GTEX-145MO-1126-SM-5NQBX 60-69 years, male 878.9
GTEX-1LB8K-1026-SM-DHXJJ 50-59 years, male 876.1
GTEX-QESD-0526-SM-2I5G5 20-29 years, male 870.5
GTEX-1F5PK-0326-SM-9KNUD 50-59 years, male 865.4
GTEX-18D9U-1126-SM-72D5Y 40-49 years, male 865.0
GTEX-1AYCT-0426-SM-73KVZ 50-59 years, male 864.2
GTEX-XPVG-0826-SM-4B654 50-59 years, male 861.8
GTEX-147F4-1226-SM-5NQAY 50-59 years, male 861.4
GTEX-1KD4Q-0726-SM-DIPGE 40-49 years, male 861.1
GTEX-UPK5-0326-SM-CYPR4 40-49 years, male 860.1
GTEX-QDVN-0326-SM-2I3FS 50-59 years, male 857.2
GTEX-QEG5-0926-SM-2TC64 20-29 years, male 855.4
GTEX-146FR-0626-SM-5RQJ1 60-69 years, female 855.2
GTEX-12WSN-5001-SM-7DHMK 40-49 years, male 855.1
GTEX-QMRM-0526-SM-2I5GA 50-59 years, male 853.1
GTEX-15RIE-1726-SM-7KUMU 60-69 years, male 851.7
GTEX-13O1R-1226-SM-5J1NU 60-69 years, male 851.0
GTEX-17HHY-1426-SM-7EWDQ 50-59 years, male 849.5
GTEX-1JMQK-0626-SM-D4P2R 60-69 years, male 848.8
GTEX-13FH7-0926-SM-5J2MR 50-59 years, female 844.7
GTEX-ZDTT-0726-SM-4WKFK 60-69 years, male 844.0
GTEX-15DYW-1126-SM-6LPK5 60-69 years, female 842.9
GTEX-1GMRU-1526-SM-9WYT5 50-59 years, male 842.2
GTEX-14PN3-0526-SM-69LQF 60-69 years, female 841.2
GTEX-131XH-0226-SM-5LZVB 50-59 years, male 839.3
GTEX-WH7G-0426-SM-3NMBJ 40-49 years, male 837.7
GTEX-12WSK-0626-SM-5LZUJ 40-49 years, female 834.4
GTEX-WFON-0326-SM-3GIKX 40-49 years, male 834.0
GTEX-13NZB-0226-SM-5KM1T 30-39 years, male 832.9
GTEX-1314G-0126-SM-5LZUL 30-39 years, male 832.0
GTEX-PSDG-0926-SM-2I5FP 50-59 years, male 828.9
GTEX-14E6D-0926-SM-5S2QV 50-59 years, male 828.5
GTEX-OIZG-1126-SM-2HMIU 50-59 years, male 826.7
GTEX-OOBJ-0326-SM-33HBO 60-69 years, male 826.6
GTEX-12WSD-1126-SM-5EGJD 60-69 years, female 826.2
GTEX-QLQ7-0526-SM-2I5G3 60-69 years, male 826.1
GTEX-ZDXO-0726-SM-57WBT 60-69 years, male 822.9
GTEX-OHPK-0326-SM-2HMJO 50-59 years, female 822.4
GTEX-1H1CY-0326-SM-9QEIZ 60-69 years, female 820.5
GTEX-WYJK-1026-SM-3NM8W 50-59 years, male 819.9
GTEX-13CF3-0726-SM-5J2MY 60-69 years, female 819.6
GTEX-1EX96-2526-SM-7RHGW 50-59 years, male 818.1
GTEX-146FH-1026-SM-5RQIF 50-59 years, female 817.7
GTEX-WHSE-0926-SM-3NMBS 20-29 years, male 815.5
GTEX-1IDJE-0326-SM-CM2TD 50-59 years, female 811.7
GTEX-1RAZS-0826-SM-E76QP 50-59 years, male 810.4
GTEX-ZAB5-0226-SM-5CVMH 50-59 years, male 808.5
GTEX-1MUQO-1226-SM-E9TJK 60-69 years, male 808.2
GTEX-1HSGN-1126-SM-CJI4G 40-49 years, female 807.6
GTEX-13112-0426-SM-5PNVC 50-59 years, male 806.7
GTEX-1212Z-0626-SM-5FQTB 60-69 years, male 805.7
GTEX-V1D1-0526-SM-4JBGW 50-59 years, male 804.7
GTEX-1AX9I-1126-SM-7EPHH 60-69 years, male 804.6
GTEX-R55E-1026-SM-2TC5S 20-29 years, male 798.6
GTEX-14E6C-0426-SM-5YYA8 40-49 years, male 798.2
GTEX-14C5O-1326-SM-5S2UW 60-69 years, male 797.9
GTEX-ZPU1-0626-SM-4YCDM 40-49 years, male 796.2
GTEX-1IDJH-1026-SM-E9TKH 70-79 years, male 795.7
GTEX-1HCU6-1026-SM-A9G25 60-69 years, female 794.4
GTEX-WQUQ-1426-SM-3MJFD 60-69 years, male 794.3
GTEX-16YQH-0926-SM-793BC 30-39 years, male 793.5
GTEX-13SLX-1026-SM-5ZZUQ 50-59 years, female 792.9
GTEX-T6MN-0926-SM-32PLX 50-59 years, male 792.6
GTEX-14E7W-1226-SM-5RQIU 70-79 years, male 792.1
GTEX-17GQL-0526-SM-72D5N 60-69 years, male 791.1
GTEX-1R9K5-1326-SM-E6CPR 50-59 years, male 790.5
GTEX-117YX-1126-SM-5H128 50-59 years, male 790.2
GTEX-1POEN-0626-SM-EVR4B 30-39 years, female 787.1
GTEX-WZTO-1326-SM-3NM8X 40-49 years, male 787.0
GTEX-WFG8-0626-SM-3GILJ 20-29 years, male 786.4
GTEX-13O3P-1626-SM-5K7X3 50-59 years, male 785.2
GTEX-145MN-0626-SM-5QGRH 30-39 years, male 784.3
GTEX-1O97I-0826-SM-E8VNE 60-69 years, male 783.9
GTEX-1HBPH-0126-SM-CNNQ7 40-49 years, female 780.6
GTEX-13CF2-0426-SM-5KM1H 60-69 years, male 779.6
GTEX-14A6H-0226-SM-5Q5DX 30-39 years, male 779.3
GTEX-WRHU-1226-SM-4E3IJ 50-59 years, female 779.2
GTEX-1LGOU-0726-SM-E9TIY 20-29 years, female 778.0
GTEX-1IL2U-1326-SM-A9G2O 60-69 years, male 777.3
GTEX-14PJM-1126-SM-6LLHK 50-59 years, female 776.9
GTEX-1HCVE-1126-SM-9WPPG 50-59 years, male 776.5
GTEX-13VXT-1126-SM-5LU3A 20-29 years, female 773.9
GTEX-13S86-0226-SM-5S2PJ 40-49 years, male 772.9
GTEX-14PJ2-1026-SM-6EU1M 50-59 years, male 771.6
GTEX-YEC3-0726-SM-CMKFH 50-59 years, male 770.9
GTEX-1A3MX-1326-SM-72D58 60-69 years, male 770.3
GTEX-ZQUD-1526-SM-7IGO2 30-39 years, male 768.6
GTEX-1I1GQ-1426-SM-B2LWY 50-59 years, male 768.1
GTEX-WK11-0826-SM-EZ6LH 50-59 years, male 767.1
GTEX-N7MT-1326-SM-2I3FV 60-69 years, female 766.2
GTEX-PX3G-0326-SM-2I3EO 20-29 years, female 763.9
GTEX-S32W-0626-SM-2XCBG 50-59 years, female 763.3
GTEX-R55G-0526-SM-2TC5O 40-49 years, female 762.6
GTEX-WY7C-0526-SM-3NB3D 50-59 years, male 762.3
GTEX-1399R-1926-SM-5K7X8 30-39 years, male 762.0
GTEX-1AX9K-0526-SM-73KV1 50-59 years, male 760.9
GTEX-YEC4-0326-SM-4W216 40-49 years, male 759.7
GTEX-1LG7Y-1226-SM-CXZKD 50-59 years, male 759.5
GTEX-1HCUA-0526-SM-A9SMH 50-59 years, female 759.1
GTEX-13U4I-0826-SM-5SIBD 40-49 years, female 758.1
GTEX-ZVZP-0226-SM-5NQ73 50-59 years, male 757.8
GTEX-12WSG-0526-SM-5FQTH 50-59 years, female 756.9
GTEX-11ZUS-0226-SM-5FQT8 30-39 years, male 756.2
GTEX-YFC4-0526-SM-5ZZVI 40-49 years, female 755.1
GTEX-1H23P-1226-SM-9QEJ2 60-69 years, male 754.3
GTEX-X3Y1-0426-SM-3P5Z4 40-49 years, male 754.0
GTEX-N7MS-0826-SM-2HML4 60-69 years, male 753.4
GTEX-14A5I-1226-SM-5NQBW 50-59 years, female 752.9
GTEX-1OFPY-1026-SM-EXUSO 60-69 years, male 752.5
GTEX-12WSC-1126-SM-5EQ4G 50-59 years, male 752.4
GTEX-147JS-1526-SM-5ZZWF 60-69 years, male 752.4
GTEX-14C39-0926-SM-5TDDV 40-49 years, male 751.2
GTEX-RNOR-0826-SM-2TF5C 50-59 years, female 749.8
GTEX-1NV8Z-1526-SM-DTX8X 60-69 years, male 749.4
GTEX-ZPIC-0826-SM-4WWFJ 40-49 years, female 748.1
GTEX-RN64-0826-SM-2TC62 50-59 years, male 747.6
GTEX-YF7O-0426-SM-5P9FS 50-59 years, male 746.8
GTEX-14H4A-0626-SM-5ZZUT 40-49 years, female 746.1
GTEX-1R9JW-0526-SM-EWRNK 30-39 years, female 743.7
GTEX-1CB4I-1626-SM-7RHGV 50-59 years, male 742.5
GTEX-13D11-1726-SM-5IFGQ 50-59 years, female 741.6
GTEX-1B97J-0726-SM-7RHG3 50-59 years, female 741.4
GTEX-XQ3S-0626-SM-4BOOB 20-29 years, male 741.1
GTEX-1IDJI-1026-SM-A96TE 50-59 years, female 740.3
GTEX-1LC47-1026-SM-D3LAH 60-69 years, male 740.0
GTEX-XBED-0526-SM-47JY3 60-69 years, male 738.4
GTEX-11O72-1126-SM-5N9E2 40-49 years, male 735.0
GTEX-1JK1U-0526-SM-CYPSQ 60-69 years, male 734.8
GTEX-11I78-0826-SM-5A5K4 50-59 years, female 734.6
GTEX-1H1ZS-1126-SM-9MQLJ 70-79 years, male 734.3
GTEX-13OW5-1126-SM-5J1NR 60-69 years, male 733.6
GTEX-R53T-0926-SM-3GADH 50-59 years, female 732.3
GTEX-1R9PO-0326-SM-DTXA1 60-69 years, female 732.2
GTEX-13O61-0526-SM-5J2M1 60-69 years, male 730.1
GTEX-14PK6-0826-SM-5ZZVO 70-79 years, female 729.8
GTEX-OXRK-0826-SM-2HMK7 50-59 years, female 729.5
GTEX-1GN2E-1326-SM-9KNVG 60-69 years, male 727.7
GTEX-OHPL-0326-SM-33HC8 60-69 years, female 727.2
GTEX-1211K-0626-SM-5FQUZ 60-69 years, female 724.8
GTEX-WHWD-0426-SM-3LK83 50-59 years, male 724.8
GTEX-ZUA1-0826-SM-4YCDL 40-49 years, male 724.8
GTEX-Y8E4-0326-SM-4VBRR 40-49 years, male 724.0
GTEX-17HII-1326-SM-7IGOB 50-59 years, male 723.8
GTEX-15SHW-1226-SM-6M46C 60-69 years, male 722.1
GTEX-13FHP-1026-SM-5K7Y2 50-59 years, male 721.8
GTEX-12BJ1-0226-SM-5LUA2 60-69 years, male 721.2
GTEX-S33H-0526-SM-COH1W 30-39 years, male 719.7
GTEX-1J8Q2-1226-SM-A9G2W 60-69 years, male 719.5
GTEX-14XAO-1126-SM-6EU11 60-69 years, female 719.3
GTEX-131XF-5001-SM-7DHLY 60-69 years, male 719.0
GTEX-15CHC-0426-SM-6LLHI 60-69 years, female 717.5
GTEX-UJHI-0426-SM-3DB8Y 50-59 years, female 717.5
GTEX-1B8L1-0526-SM-79ONX 60-69 years, male 717.1
GTEX-17MF6-0726-SM-7LT8E 40-49 years, male 717.0
GTEX-1GN73-2426-SM-7RHFQ 60-69 years, male 716.1
GTEX-WHPG-0826-SM-3NMBF 50-59 years, male 714.4
GTEX-WEY5-0426-SM-3GIKT 40-49 years, female 713.7
GTEX-1EN7A-0726-SM-7PBXT 40-49 years, male 712.9
GTEX-1GN1W-0326-SM-9JGHF 50-59 years, female 712.4
GTEX-1ICLY-1326-SM-CJI47 50-59 years, male 711.7
GTEX-13X6K-1826-SM-5O9CR 60-69 years, female 711.6
GTEX-1JMLX-1626-SM-ARZMV 50-59 years, male 710.1
GTEX-14C38-1426-SM-5RQHZ 50-59 years, male 709.6
GTEX-XQ8I-0126-SM-4BOPL 50-59 years, male 709.3
GTEX-15SHU-1126-SM-7KUMB 40-49 years, female 707.9
GTEX-ZYW4-0926-SM-59HJS 60-69 years, male 707.6
GTEX-OIZH-0326-SM-2HMKC 50-59 years, male 704.8
GTEX-ZEX8-0426-SM-DO92Y 50-59 years, male 704.8
GTEX-13OVL-0526-SM-5KLZQ 50-59 years, male 704.6
GTEX-1I1HK-0726-SM-B2LY4 60-69 years, male 703.8
GTEX-13OVG-0526-SM-5K7YD 60-69 years, male 703.1
GTEX-13FTZ-0226-SM-5K7X6 60-69 years, male 702.5
GTEX-11LCK-0926-SM-5A5KA 30-39 years, male 702.3
GTEX-11ZVC-0426-SM-5CVLD 50-59 years, female 702.0
GTEX-11GS4-0526-SM-5A5KQ 60-69 years, male 701.7
GTEX-12696-1126-SM-5FQTI 60-69 years, male 698.8
GTEX-13PVR-1026-SM-5QGQW 60-69 years, female 697.9
GTEX-16BQI-0926-SM-6M485 30-39 years, female 697.3
GTEX-1S3DN-0726-SM-E9TIO 50-59 years, male 696.9
GTEX-11GSP-1326-SM-5A5KY 60-69 years, female 696.8
GTEX-RTLS-0826-SM-2TF5Q 60-69 years, female 694.6
GTEX-145LV-0326-SM-5Q5BW 50-59 years, male 693.6
GTEX-1H3NZ-1126-SM-9WYT9 60-69 years, male 692.9
GTEX-1AX9J-1026-SM-72D6E 60-69 years, male 692.6
GTEX-O5YW-0326-SM-2I5EI 50-59 years, male 690.5
GTEX-1F6I4-0726-SM-7PC2P 60-69 years, male 690.3
GTEX-13QBU-0426-SM-5J2O4 40-49 years, female 690.2
GTEX-12ZZZ-1726-SM-59HK5 60-69 years, male 690.0
GTEX-PVOW-0426-SM-5MR5R 40-49 years, male 688.7
GTEX-1BAJH-1626-SM-73KUV 70-79 years, male 687.8
GTEX-1CB4E-0526-SM-7MXTK 60-69 years, male 685.5
GTEX-13X6H-0426-SM-5LU4E 50-59 years, female 685.3
GTEX-1CB4J-0326-SM-7PBZO 60-69 years, male 685.1
GTEX-P44H-0726-SM-48TBT 40-49 years, male 684.5
GTEX-1KANC-0426-SM-CXZK5 50-59 years, female 684.4
GTEX-11TUW-1026-SM-5GU7D 60-69 years, male 684.3
GTEX-ZYT6-1726-SM-5E44P 30-39 years, male 684.2
GTEX-ZAB4-1026-SM-5HL7T 40-49 years, male 683.7
GTEX-132AR-2026-SM-5IJG4 50-59 years, female 683.4
GTEX-1HCU7-1326-SM-CNPPW 50-59 years, male 682.1
GTEX-1399U-0526-SM-5K7YM 50-59 years, female 682.0
GTEX-1I1GV-1326-SM-A96SE 60-69 years, male 680.5
GTEX-1PPH7-2026-SM-E9J3N 40-49 years, male 679.5
GTEX-12584-0926-SM-5FQTN 40-49 years, male 678.0
GTEX-YJ8O-0926-SM-EAZ2Z 40-49 years, female 677.2
GTEX-1EU9M-1826-SM-7DUGU 60-69 years, male 674.9
GTEX-Y5V6-0826-SM-4VBRU 60-69 years, male 674.8
GTEX-1N2EF-2826-SM-E6CQF 60-69 years, male 673.7
GTEX-1GZ4I-1026-SM-9KNV5 50-59 years, male 672.3
GTEX-14JG1-1026-SM-6ETZY 40-49 years, male 672.2
GTEX-1KXAM-1326-SM-E9TJW 60-69 years, male 671.6
GTEX-1R9K4-1326-SM-DTX8G 60-69 years, male 671.4
GTEX-Y3IK-0826-SM-51MT8 50-59 years, female 671.3
GTEX-1EH9U-0826-SM-7IGPT 60-69 years, male 668.6
GTEX-1269C-0826-SM-5N9EM 60-69 years, female 668.3
GTEX-Y114-0226-SM-4TT8W 50-59 years, female 668.3
GTEX-1C64O-0826-SM-79OKZ 60-69 years, male 666.9
GTEX-T2IS-0426-SM-32QPE 20-29 years, female 666.4
GTEX-17F9E-0926-SM-7IGMG 50-59 years, male 665.8
GTEX-1J8Q3-1226-SM-CKZPT 60-69 years, male 665.7
GTEX-RWSA-0626-SM-2XCBD 40-49 years, male 665.5
GTEX-1EMGI-1226-SM-793DD 60-69 years, male 664.5
GTEX-13OW6-1126-SM-5L3HL 50-59 years, male 663.4
GTEX-1JJ6O-2126-SM-CNNP6 60-69 years, male 663.2
GTEX-ZDTS-1326-SM-6LLHE 60-69 years, male 661.3
GTEX-ZVT2-1026-SM-5GU55 50-59 years, female 658.0
GTEX-15CHR-0226-SM-7PC2Z 50-59 years, male 657.8
GTEX-RWS6-0326-SM-2XCAP 60-69 years, female 655.7
GTEX-17F9Y-1326-SM-7MGW9 70-79 years, female 655.7
GTEX-148VI-0326-SM-5RQK7 60-69 years, female 655.6
GTEX-1QP2A-1126-SM-EVR3H 50-59 years, male 655.3
GTEX-XXEK-0926-SM-4BRWH 50-59 years, male 655.1
GTEX-WL46-0926-SM-3LK7T 50-59 years, male 652.9
GTEX-1MCC2-0326-SM-EV7AK 30-39 years, female 651.8
GTEX-1EWIQ-1426-SM-7IGOS 70-79 years, female 651.6
GTEX-11DXY-0826-SM-5EGGR 60-69 years, male 651.4
GTEX-14DAQ-1126-SM-664MT 60-69 years, female 650.1
GTEX-1HT8W-1726-SM-CNNQB 30-39 years, male 650.1
GTEX-RU72-0326-SM-2TF5T 50-59 years, female 649.8
GTEX-1J8EW-0926-SM-A9G33 60-69 years, female 649.4
GTEX-13RTJ-0726-SM-5QGQN 60-69 years, male 648.8
GTEX-13YAN-1326-SM-5Q5F1 60-69 years, male 646.5
GTEX-1AX8Z-5007-SM-AHZ36 60-69 years, male 646.5
GTEX-ZDYS-0226-SM-5HL4K 50-59 years, male 645.9
GTEX-11EMC-0726-SM-5EGJO 60-69 years, female 642.6
GTEX-WFG7-0726-SM-3GIKO 20-29 years, male 642.2
GTEX-Y5V5-0626-SM-4VBPX 60-69 years, female 640.7
GTEX-UJMC-0526-SM-3GAE3 50-59 years, male 640.2
GTEX-16MT8-0926-SM-6M487 60-69 years, female 638.9
GTEX-15EOM-5007-SM-793DG 20-29 years, female 638.3
GTEX-12ZZW-1026-SM-5GCMM 50-59 years, male 633.8
GTEX-ZYFG-0426-SM-5E43M 60-69 years, female 632.0
GTEX-15ER7-1726-SM-6PAMX 20-29 years, female 631.3
GTEX-11TT1-1326-SM-5PNYM 20-29 years, male 629.8
GTEX-16NPX-0926-SM-7KUEZ 50-59 years, male 629.5
GTEX-1LVA9-0926-SM-EVR5G 50-59 years, male 629.2
GTEX-1JJEA-0826-SM-CL53T 60-69 years, male 628.1
GTEX-111FC-0826-SM-5GZWO 60-69 years, male 627.8
GTEX-1RB15-0326-SM-E6CQB 60-69 years, male 627.7
GTEX-1LGRB-1126-SM-CNPP2 50-59 years, female 627.4
GTEX-1JMOU-0226-SM-CNNPD 60-69 years, female 626.7
GTEX-U4B1-0326-SM-3DB8K 40-49 years, male 626.4
GTEX-1122O-0826-SM-5GICV 60-69 years, female 624.4
GTEX-1LSNM-0526-SM-DIPG6 50-59 years, male 624.2
GTEX-QEG4-0426-SM-33HC3 30-39 years, male 621.6
GTEX-117YW-0326-SM-5N9CY 50-59 years, male 620.4
GTEX-18A6Q-1626-SM-7KFTA 60-69 years, male 620.4
GTEX-17HGU-1026-SM-79OKL 50-59 years, male 618.9
GTEX-ZF29-0226-SM-4WKHO 60-69 years, female 618.9
GTEX-1RMOY-0626-SM-E9TIE 50-59 years, male 618.2
GTEX-131XG-0626-SM-5GCMP 50-59 years, female 618.1
GTEX-1I6K7-0626-SM-ARL7Q 40-49 years, male 617.7
GTEX-1HSMQ-0226-SM-C1YQL 50-59 years, male 617.1
GTEX-14JIY-1126-SM-6EU28 60-69 years, male 615.6
GTEX-ZTPG-1226-SM-4YCDO 20-29 years, female 615.6
GTEX-QV44-0526-SM-2S1RE 50-59 years, male 615.5
GTEX-111YS-0426-SM-5987O 60-69 years, male 615.4
GTEX-ZPCL-0426-SM-DNZZ4 60-69 years, female 614.6
GTEX-15RJE-0626-SM-7KUKR 40-49 years, male 611.7
GTEX-1JN1M-1026-SM-CNPOS 60-69 years, female 611.2
GTEX-WWYW-1326-SM-3NB2S 50-59 years, female 610.7
GTEX-QEL4-0926-SM-3GAD1 50-59 years, male 610.6
GTEX-18A67-1226-SM-7KFRS 50-59 years, male 610.2
GTEX-14PJ6-0726-SM-69LOL 60-69 years, female 609.5
GTEX-1JMPZ-1426-SM-CJI3C 30-39 years, male 608.7
GTEX-12ZZY-1126-SM-5DUWQ 60-69 years, male 604.4
GTEX-O5YT-0326-SM-32PKA 20-29 years, male 600.4
GTEX-1F75I-1126-SM-9WYUO 40-49 years, male 599.1
GTEX-1CAMS-1326-SM-79OJR 40-49 years, female 598.7
GTEX-1B8KE-0126-SM-793AM 50-59 years, male 595.1
GTEX-XGQ4-0326-SM-4GIEE 50-59 years, male 593.8
GTEX-15CHQ-1526-SM-69LPW 60-69 years, male 591.9
GTEX-1GMR2-1426-SM-7RHHK 50-59 years, male 591.1
GTEX-17KNJ-0826-SM-793A4 50-59 years, male 590.9
GTEX-ZAJG-0826-SM-5PNVA 50-59 years, female 587.9
GTEX-1B8SG-0826-SM-7EWF7 50-59 years, male 583.3
GTEX-1ICLZ-1026-SM-A9SLF 60-69 years, male 583.0
GTEX-1F48J-1026-SM-7P8SO 50-59 years, female 582.7
GTEX-SE5C-0626-SM-2XCDV 40-49 years, female 582.4
GTEX-X261-1426-SM-4PQZ1 50-59 years, male 581.3
GTEX-P44G-0826-SM-2I5ES 30-39 years, male 579.8
GTEX-1IKOE-1026-SM-ARZMF 30-39 years, female 577.6
GTEX-R55C-0326-SM-3GAF1 40-49 years, male 577.5
GTEX-14BIN-2226-SM-5YYA1 50-59 years, female 576.9
GTEX-1GL5R-0326-SM-9WYTJ 50-59 years, male 575.9
GTEX-1PPGY-1126-SM-E76OU 60-69 years, male 574.0
GTEX-1MJIX-0326-SM-EVR42 40-49 years, male 572.7
GTEX-1CB4G-0826-SM-7DUGF 60-69 years, male 571.7
GTEX-1313W-1426-SM-5KLZU 50-59 years, female 570.5
GTEX-1KD5A-1026-SM-CY8I8 50-59 years, male 570.5
GTEX-1B932-1026-SM-793CL 40-49 years, female 569.9
GTEX-ZGAY-0326-SM-57WF5 40-49 years, female 566.2
GTEX-1QCLZ-0926-SM-E6CQZ 60-69 years, female 564.2
GTEX-REY6-1026-SM-2TF4Y 60-69 years, male 562.8
GTEX-1HFI7-0826-SM-A9G23 50-59 years, female 562.5
GTEX-1JJE9-1426-SM-ARL8P 70-79 years, male 561.4
GTEX-1HBPM-1226-SM-A9SM8 60-69 years, female 560.0
GTEX-13X6I-1426-SM-5SI9Z 60-69 years, male 556.6
GTEX-ZLFU-0226-SM-4WWFH 40-49 years, male 554.1
GTEX-ZZPU-0926-SM-5GZYT 50-59 years, female 553.0
GTEX-ZYFC-1126-SM-5E44W 50-59 years, male 552.3
GTEX-XBEC-1326-SM-4AT69 50-59 years, male 551.1
GTEX-1GF9V-1626-SM-7PBXL 60-69 years, male 550.4
GTEX-1GF9U-0426-SM-7RHHA 40-49 years, female 548.8
GTEX-1QPFJ-1026-SM-E6CR6 30-39 years, female 545.1
GTEX-1IKK5-1526-SM-CKZPW 60-69 years, male 541.7
GTEX-1F6IF-2526-SM-7P8TV 60-69 years, male 539.4
GTEX-11EM3-0626-SM-5H12Z 20-29 years, female 538.9
GTEX-1B996-1126-SM-73KWN 60-69 years, male 536.3
GTEX-SIU8-0826-SM-2XCDQ 50-59 years, male 526.1
GTEX-13W3W-0426-SM-5SI9D 60-69 years, female 524.8
GTEX-U3ZH-0326-SM-3DB7A 30-39 years, male 524.2
GTEX-1E1VI-1326-SM-7IGQD 50-59 years, male 520.3
GTEX-YB5K-0126-SM-5IFJ2 40-49 years, female 515.6
GTEX-13OW8-2126-SM-5J1OS 60-69 years, male 512.7
GTEX-1GN1V-0826-SM-9KNU6 60-69 years, male 477.2
GTEX-QVJO-1926-SM-2S1QZ 60-69 years, female 474.1
GTEX-V955-0726-SM-3GAFG 60-69 years, male 461.1
GTEX-XV7Q-0826-SM-4BRV7 40-49 years, female 460.5
GTEX-1GTWX-1026-SM-7P8QW 60-69 years, male 460.2
GTEX-OHPM-0326-SM-33HCA 50-59 years, male 455.6
GTEX-P4PP-0326-SM-33HC4 30-39 years, female 441.1
GTEX-1LVAN-1726-SM-CNNR1 50-59 years, female 431.8
GTEX-1HSMO-1226-SM-CL548 60-69 years, male 431.1
GTEX-1K9T9-1126-SM-D3L9E 50-59 years, female 388.2
GTEX-SNMC-0126-SM-2XCFO 20-29 years, male 387.9
Show allShow less

HEART MUSCLE - FANTOM5 CAGEi

RNA expression in human tissues obtained through Cap Analysis of Gene Expression (CAGE) generated by the FANTOM5 project are reported as Scaled Tags Per Million.

Max subtype Scaled Tags Per Millioni

Max subtype Scaled Tags Per Million is the value for the subtype with the largest average Scaled Tags Per Million across the subtype samples.

1580.7
FANTOM5 sample id Sample description Scaled Tags Per Million
Heart
Scaled Tags Per Million: 858.3
FF:10016-101C7 70,73,74 years, mixed 858.3
Left atrium
Scaled Tags Per Million: 1580.7
FF:10079-102A7 40 years, male 1580.7
Left ventricle
Scaled Tags Per Million: 1040.8
FF:10078-102A6 73 years, female 1040.8

Contact

  • NEWS ARTICLES
  • PRESS ROOM

The Project

  • INTRODUCTION
  • ORGANIZATION
  • PUBLICATIONS

The Human Protein Atlas

  • DOWNLOADABLE DATA
  • LICENCE & CITATION
  • HELP & FAQ
The Human Protein Atlas project is funded
by the Knut & Alice Wallenberg Foundation.


contact@proteinatlas.org