We use cookies to enhance the usability of our website. If you continue, we'll assume that you are happy to receive all cookies. More information. Don't show this again.
CD81
HPA
RESOURCES
  • TISSUE
  • BRAIN
  • SINGLE CELL
  • SUBCELLULAR
  • CANCER
  • BLOOD
  • CELL LINE
  • STRUCTURE & INTERACTION
ABOUT
  • INTRODUCTION
  • HISTORY
  • ORGANIZATION
  • PUBLICATIONS
  • ANTIBODY SUBMISSION
  • ANTIBODY AVAILABILITY
  • ACKNOWLEDGMENTS
  • CONTACT
NEWS
  • NEWS ARTICLES
  • PRESS ROOM
LEARN
  • DICTIONARY
  • PROTEIN CLASSES
  • PROTEIN EVIDENCE
  • METHODS
  • EDUCATIONAL VIDEOS
DATA
  • DOWNLOADABLE DATA
  • PUBLICATION DATA
  • RELEASE HISTORY
HELP
  • ANTIBODY VALIDATION
  • ASSAYS & ANNOTATION
  • DISCLAIMER
  • HELP & FAQ
  • PRIVACY STATEMENT
  • LICENCE & CITATION
Fields »
Search result

Field
Term
Gene name
Class
Subclass
Class
Keyword
Chromosome
External id
Tissue
Cell type
Expression
Antibody panel
Tissue
Main location
Patient ID
Annotation
Tissue
Category
Tau score
Cluster
Reliability
Brain region
Category
Tau score
Brain region
Category
Tau score
Brain region
Category
Tau score
Cluster
Reliability
Tissue
Cell type
Enrichment
Cell type
Category
Tau score
Cell type
Category
Tau score
Cell type
Category
Tau score
Cell lineage
Category
Tau score
Cluster
Cluster
Location
Searches
Location
Cell line
Class
Type
Phase
Reliability
Cancer
Prognosis
Cancer
Category
Cancer
Category
Tau score
Cluster
Variants
Interacting gene (ensg_id)
Type
Number of interactions
Pathway
Category
Score
Score
Score
Validation
Validation
Validation
Validation
Antibodies
Data type
Column


  • SUMMARY

  • TISSUE

  • BRAIN

  • SINGLE CELL

  • SUBCELL

  • CANCER

  • BLOOD

  • CELL LINE

  • STRUCT & INT

  • CD81
TISSUE PRIMARY DATA VAGINA Show tissue menu
ADIPOSE TISSUE ADRENAL GLAND AMYGDALA APPENDIX BASAL GANGLIA BONE MARROW BREAST BRONCHUS CEREBELLUM CEREBRAL CORTEX CERVIX CHOROID PLEXUS COLON DUODENUM
ENDOMETRIUM EPIDIDYMIS ESOPHAGUS FALLOPIAN TUBE GALLBLADDER HEART MUSCLE HIPPOCAMPAL FORMATION HYPOTHALAMUS KIDNEY LIVER LUNG LYMPH NODE MIDBRAIN NASOPHARYNX
ORAL MUCOSA OVARY PANCREAS PARATHYROID GLAND PITUITARY GLAND PLACENTA PROSTATE RECTUM RETINA SALIVARY GLAND SEMINAL VESICLE SKELETAL MUSCLE SKIN SMALL INTESTINE
SMOOTH MUSCLE SOFT TISSUE SPINAL CORD SPLEEN STOMACH TESTIS THYMUS THYROID GLAND TONGUE TONSIL URINARY BLADDER VAGINA
ANTIBODIES
AND
VALIDATION
Dictionary
Vagina
Tissue proteome
Vagina
VAGINA - Expression summary
Protein expression
Vaginai

On the top, protein expression in current human tissue, based on all annotated cell types, is reported with the units not detected (n), low (l), medium (m) and high (h). Underneath, protein expression in each annotated cell type are reported using the same units.

Protein expression data is based on knowledge-based annotation. For genes where more than one antibody has been used, a collective score is set.

If knowledge-based annotation could not be performed for a gene, no data is displayed here. View antibody staining data further down this page.

h
m
l
n
Squamous epithelial cells: Not detected
RNA expressioni

A summary of mRNA expression data available for current tissue based on several datasets. The mRNA expression levels in human tissues are based on RNA-seq data generated by the Human Protein Atlas (HPA), Genotype-Tissue Expression (GTEx) portal and CAGE data generated by the FANTOM5 consortium. Consensus normalized expression levels for human tissues was created by combining the data from HPA and GTEx datasets.

The mRNA expression levels in pig are based on RNA-seq data generated by the Human Protein Atlas (HPA), and for mouse, HPA data and in situ hybridization generated by the Allen brain atlas are reported.

Scroll down to view mRNA expression data in more detail.
Consensus:738.8 nTPM
GTEx:738.8 nTPM
FANTOM5:970.9 Scaled Tags Per Million

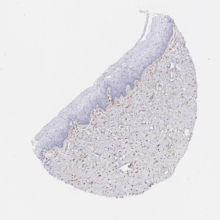
VAGINA - Antibody stainingi

Antibody staining in the annotated cell types in the current human tissue is reported as not detected, low, medium, or high, based on conventional immunohistochemistry profiling in selected tissues. This score is based on the combination of the staining intensity and fraction of stained cells.

Each image is clickable and will lead to virtual microscopy that enables deeper exploration of all samples and also displays staining intensity scores, fraction scores and subcellular localization as well as patient and tissue information for each sample.

Antibody HPA007234Antibody CAB002507
Squamous epithelial cells Not detectedNot detected




VAGINA - GTEx RNA-seqi

RNA-Seq data generated by the Genotype-Tissue Expression (GTEx) project from human tissues is reported as mean nTPM. More information can be found on the GTEx portal.

Distribution across the dataset is visualized with box plots, shown as median and 25th and 75th percentiles. Points are displayed as outliers if they are above or below 1.5 times the interquartile range. nTPM values of the individual samples are presented next to the box plot.
Max subtype nTPMi

Max subtype nTPM is the value for the subtype with the largest average nTPM across the subtype samples.

738.8
GTEx sample id Sample description nTPM
Vagina
Average nTPM: 738.8
Samples: 156

Max nTPM: 1804.3
Min nTPM: 279.5
Std nTPM: 267.6
Median nTPM: 691.8
GTEX-YFC4-2926-SM-5IFJ8 40-49 years, female 1804.3
GTEX-WEY5-0826-SM-4LMIH 40-49 years, female 1412.4
GTEX-12WSD-2926-SM-5LZUH 60-69 years, female 1399.9
GTEX-12WSJ-1326-SM-5GCOB 40-49 years, female 1294.4
GTEX-QCQG-1226-SM-48U23 50-59 years, female 1269.6
GTEX-11EM3-1826-SM-5A5KO 20-29 years, female 1227.0
GTEX-XV7Q-1626-SM-4BRWC 40-49 years, female 1223.9
GTEX-W5WG-1026-SM-4LMIF 50-59 years, female 1211.5
GTEX-UJHI-1326-SM-4IHJO 50-59 years, female 1209.2
GTEX-ZYVF-0326-SM-5GIES 50-59 years, female 1190.8
GTEX-13QIC-1826-SM-5J1MY 60-69 years, female 1171.4
GTEX-RWS6-1726-SM-47JXP 60-69 years, female 1168.2
GTEX-ZVT3-2726-SM-5GU5X 60-69 years, female 1162.4
GTEX-T2IS-1926-SM-4DM74 20-29 years, female 1161.0
GTEX-1QPFJ-1626-SM-DTX7X 30-39 years, female 1125.8
GTEX-ZAK1-2426-SM-EXOHM 50-59 years, female 1097.2
GTEX-12ZZX-1926-SM-5EGKC 40-49 years, female 1084.6
GTEX-11GSP-2226-SM-5HL5Q 60-69 years, female 1081.2
GTEX-15DYW-2926-SM-6PANA 60-69 years, female 1064.9
GTEX-ZGAY-2226-SM-4YCCX 40-49 years, female 1053.8
GTEX-1EWIQ-2326-SM-7IGNF 70-79 years, female 1040.8
GTEX-113JC-1926-SM-5N9GE 50-59 years, female 1019.6
GTEX-1AMFI-1526-SM-73KVY 50-59 years, female 1014.1
GTEX-1LNCM-1026-SM-E9U5D 50-59 years, female 1013.5
GTEX-13N11-1526-SM-5L3FL 50-59 years, female 1009.6
GTEX-PLZ4-2726-SM-3P61A 50-59 years, female 1004.1
GTEX-145LS-2526-SM-5TDC9 60-69 years, female 994.1
GTEX-QDT8-2526-SM-48TYX 30-39 years, female 993.3
GTEX-13D11-1326-SM-5IJFY 50-59 years, female 991.2
GTEX-1I4MK-1726-SM-ARL7O 50-59 years, female 980.5
GTEX-1S5ZU-2626-SM-E9TII 20-29 years, female 974.9
GTEX-WRHU-2926-SM-4MVNQ 50-59 years, female 972.8
GTEX-PX3G-2526-SM-48TZV 20-29 years, female 972.7
GTEX-S4UY-1326-SM-4AD4X 40-49 years, female 966.7
GTEX-YJ8O-1226-SM-5P9JE 40-49 years, female 962.3
GTEX-RU1J-1426-SM-46MUV 20-29 years, female 958.3
GTEX-1GN1U-2426-SM-9KNTU 50-59 years, female 948.3
GTEX-145ME-1426-SM-5RQJS 40-49 years, female 941.6
GTEX-17JCI-2526-SM-7DHLB 60-69 years, female 927.1
GTEX-14PJM-2926-SM-69LOE 50-59 years, female 920.6
GTEX-13U4I-2026-SM-5LU3L 40-49 years, female 908.7
GTEX-X8HC-2826-SM-46MWJ 50-59 years, female 897.2
GTEX-ZV6S-1326-SM-59HJA 40-49 years, female 889.9
GTEX-P4PP-2526-SM-3P61P 30-39 years, female 881.1
GTEX-13OVI-0926-SM-5J1MI 60-69 years, female 870.7
GTEX-ZQG8-1126-SM-51MRL 60-69 years, female 859.8
GTEX-OHPN-2426-SM-E9TI5 60-69 years, female 845.7
GTEX-146FR-2426-SM-5NQAU 60-69 years, female 844.6
GTEX-TSE9-2526-SM-4DXUS 60-69 years, female 841.2
GTEX-13PVR-1426-SM-5S2PW 60-69 years, female 835.1
GTEX-ZVT2-0626-SM-5GICR 50-59 years, female 831.5
GTEX-X15G-1926-SM-4PQZQ 50-59 years, female 830.1
GTEX-14DAQ-2326-SM-5S2QX 60-69 years, female 826.0
GTEX-15UF6-2126-SM-6M46Z 70-79 years, female 811.6
GTEX-ZP4G-0826-SM-4WWF3 20-29 years, female 808.4
GTEX-PWN1-2526-SM-48TDS 40-49 years, female 808.0
GTEX-13QBU-1726-SM-5IJFQ 40-49 years, female 804.0
GTEX-13W3W-2326-SM-5LU4Y 60-69 years, female 803.4
GTEX-P78B-2226-SM-3P5ZZ 40-49 years, female 801.4
GTEX-TMMY-1926-SM-4DXUU 40-49 years, female 800.6
GTEX-131YS-2426-SM-5J2OD 60-69 years, female 789.3
GTEX-131XG-2126-SM-5DUXG 50-59 years, female 787.3
GTEX-1HFI7-1126-SM-A96S5 50-59 years, female 780.6
GTEX-147F3-1526-SM-5SIAK 50-59 years, female 775.1
GTEX-TML8-1126-SM-4DXSS 40-49 years, female 769.6
GTEX-Y114-1926-SM-4TT8J 50-59 years, female 759.6
GTEX-11DXX-1726-SM-5H11T 60-69 years, female 754.3
GTEX-1HCU8-2026-SM-9YFLE 60-69 years, female 753.8
GTEX-OHPL-2526-SM-3MJGT 60-69 years, female 735.2
GTEX-14PJ6-1626-SM-6872D 60-69 years, female 734.4
GTEX-1GN1W-1526-SM-7P8TG 50-59 years, female 730.7
GTEX-S4P3-1126-SM-4AD52 50-59 years, female 723.6
GTEX-1LGRB-2126-SM-COH48 50-59 years, female 723.3
GTEX-16NPV-2526-SM-6M483 50-59 years, female 715.7
GTEX-1ICG6-1626-SM-ARL81 70-79 years, female 705.6
GTEX-XUW1-0326-SM-4BOOR 50-59 years, female 699.5
GTEX-14JG6-0726-SM-69LQH 30-39 years, female 695.9
GTEX-15ER7-2526-SM-7KUFW 20-29 years, female 693.8
GTEX-1LH75-1726-SM-DHXKZ 50-59 years, female 689.7
GTEX-15SHU-2926-SM-7KUKT 40-49 years, female 685.4
GTEX-Y8LW-1426-SM-5RQJJ 50-59 years, female 680.0
GTEX-1JN1M-2326-SM-ARZNG 60-69 years, female 679.5
GTEX-1C475-0526-SM-793AC 40-49 years, female 679.1
GTEX-1MCC2-1126-SM-EVYD6 30-39 years, female 678.6
GTEX-1I1GT-1226-SM-B2LVK 60-69 years, female 677.2
GTEX-NPJ7-2526-SM-EV79A 60-69 years, female 672.0
GTEX-XUZC-1226-SM-4BRVJ 30-39 years, female 670.7
GTEX-146FH-2626-SM-5Q5E1 50-59 years, female 669.1
GTEX-1NUQO-1826-SM-E6CQU 20-29 years, female 668.3
GTEX-WYVS-1426-SM-4ONCV 40-49 years, female 664.8
GTEX-ZYY3-2626-SM-5N9DH 60-69 years, female 661.5
GTEX-14H4A-2426-SM-664OQ 40-49 years, female 657.6
GTEX-1QCLZ-2226-SM-DTX7R 60-69 years, female 655.1
GTEX-1HBPH-2926-SM-9WPNX 40-49 years, female 648.4
GTEX-1F48J-2526-SM-7P8TU 50-59 years, female 647.0
GTEX-183WM-2126-SM-7LG4I 70-79 years, female 642.7
GTEX-18A7A-2826-SM-7LT8J 50-59 years, female 642.0
GTEX-1HCU6-2326-SM-ACKXP 60-69 years, female 641.2
GTEX-14A5I-2726-SM-5SIB3 50-59 years, female 635.9
GTEX-1IE54-2626-SM-CMKFY 40-49 years, female 635.8
GTEX-11VI4-0726-SM-5GU5B 40-49 years, female 634.3
GTEX-1QP28-1426-SM-EVR4E 50-59 years, female 632.8
GTEX-14BMU-1926-SM-5S2QC 20-29 years, female 629.4
GTEX-PWCY-1726-SM-48TD3 20-29 years, female 616.9
GTEX-ZLWG-1126-SM-4WWFQ 50-59 years, female 603.3
GTEX-ZE7O-2426-SM-57WD7 50-59 years, female 596.5
GTEX-11EMC-1926-SM-5A5JU 60-69 years, female 593.0
GTEX-U3ZN-0926-SM-4DXTU 30-39 years, female 586.6
GTEX-15SB6-1426-SM-7KUEM 50-59 years, female 584.8
GTEX-11P81-2126-SM-5HL6N 30-39 years, female 572.4
GTEX-18D9A-1026-SM-7KFRU 30-39 years, female 571.3
GTEX-1GMR8-2526-SM-7RHI9 50-59 years, female 568.1
GTEX-1R9JW-1426-SM-DTX9K 30-39 years, female 565.9
GTEX-1PIEJ-1926-SM-EVYB7 20-29 years, female 557.5
GTEX-1HCUA-1026-SM-A9SMI 50-59 years, female 547.2
GTEX-13PL7-2726-SM-5L3GB 60-69 years, female 545.7
GTEX-QVJO-2526-SM-CYPRA 60-69 years, female 531.8
GTEX-T6MO-1226-SM-4DM5S 40-49 years, female 520.7
GTEX-17F9Y-2326-SM-7DUFP 70-79 years, female 519.7
GTEX-1F5PL-1826-SM-7P8PP 40-49 years, female 516.8
GTEX-1399U-1526-SM-5J2N7 50-59 years, female 509.7
GTEX-11XUK-1326-SM-5EQM4 40-49 years, female 507.8
GTEX-ZC5H-2226-SM-4WAWS 40-49 years, female 507.8
GTEX-ZTPG-2226-SM-57WF9 20-29 years, female 507.3
GTEX-OHPK-2526-SM-3MJH9 50-59 years, female 489.6
GTEX-1LGOU-1126-SM-D3LAI 20-29 years, female 487.6
GTEX-1A8FM-2426-SM-7IGPE 50-59 years, female 481.6
GTEX-1LVAM-1926-SM-E6CIM 50-59 years, female 469.7
GTEX-1HBPM-2726-SM-9WYUA 60-69 years, female 463.4
GTEX-16NGA-1626-SM-72D6M 40-49 years, female 460.6
GTEX-Q734-1426-SM-DTXFX 40-49 years, female 455.8
GTEX-N7MT-1926-SM-3LK5N 60-69 years, female 455.1
GTEX-Y3IK-2226-SM-4YCD4 50-59 years, female 454.7
GTEX-SN8G-2626-SM-EXUQT 50-59 years, female 454.3
GTEX-14PN3-1626-SM-6AJAV 60-69 years, female 453.3
GTEX-SE5C-1126-SM-4BRWZ 40-49 years, female 440.2
GTEX-14PKU-1326-SM-6871B 40-49 years, female 437.4
GTEX-14AS3-1726-SM-5RQJV 40-49 years, female 434.3
GTEX-S7SF-1426-SM-4AT5A 20-29 years, female 429.6
GTEX-1CAMS-2326-SM-793CR 40-49 years, female 426.3
GTEX-1MCYP-1326-SM-EV7AD 20-29 years, female 415.5
GTEX-1J8EW-2526-SM-CKZO2 60-69 years, female 414.4
GTEX-1JMQL-2326-SM-CNNPV 50-59 years, female 409.9
GTEX-1IDJU-1026-SM-AHZ2U 60-69 years, female 408.5
GTEX-1399S-2326-SM-5K7YV 30-39 years, female 384.0
GTEX-ZXES-0626-SM-5E45P 30-39 years, female 378.6
GTEX-1JN76-1526-SM-CNPPF 20-29 years, female 360.4
GTEX-1LVAN-1626-SM-CNPQ7 50-59 years, female 357.3
GTEX-11I78-2026-SM-5987C 50-59 years, female 347.2
GTEX-11TTK-2726-SM-5GU58 60-69 years, female 347.1
GTEX-15SDE-1726-SM-6LPJS 50-59 years, female 337.3
GTEX-ZZPU-2226-SM-5EGIV 50-59 years, female 333.8
GTEX-S341-1226-SM-4AD5S 40-49 years, female 323.3
GTEX-1117F-2526-SM-5GZY6 60-69 years, female 312.9
GTEX-1J1OQ-1826-SM-CL53R 40-49 years, female 299.0
GTEX-1GF9U-1926-SM-7P8TZ 40-49 years, female 279.5
Show allShow less

VAGINA - FANTOM5 CAGEi

RNA expression in human tissues obtained through Cap Analysis of Gene Expression (CAGE) generated by the FANTOM5 project are reported as Scaled Tags Per Million.

Max subtype Scaled Tags Per Millioni

Max subtype Scaled Tags Per Million is the value for the subtype with the largest average Scaled Tags Per Million across the subtype samples.

970.9
FANTOM5 sample id Sample description Scaled Tags Per Million
Vagina
Scaled Tags Per Million: 970.9
FF:10204-103F6 68 years, female 970.9

Contact

  • NEWS ARTICLES
  • PRESS ROOM

The Project

  • INTRODUCTION
  • ORGANIZATION
  • PUBLICATIONS

The Human Protein Atlas

  • DOWNLOADABLE DATA
  • LICENCE & CITATION
  • HELP & FAQ
The Human Protein Atlas project is funded
by the Knut & Alice Wallenberg Foundation.


contact@proteinatlas.org