We use cookies to enhance the usability of our website. If you continue, we'll assume that you are happy to receive all cookies. More information. Don't show this again.
GAPDH
HPA
RESOURCES
  • TISSUE
  • BRAIN
  • SINGLE CELL
  • SUBCELLULAR
  • CANCER
  • BLOOD
  • CELL LINE
  • STRUCTURE & INTERACTION
ABOUT
  • INTRODUCTION
  • HISTORY
  • ORGANIZATION
  • PUBLICATIONS
  • ANTIBODY SUBMISSION
  • ANTIBODY AVAILABILITY
  • ACKNOWLEDGMENTS
  • CONTACT
NEWS
  • NEWS ARTICLES
  • PRESS ROOM
LEARN
  • DICTIONARY
  • PROTEIN CLASSES
  • PROTEIN EVIDENCE
  • METHODS
  • EDUCATIONAL VIDEOS
DATA
  • DOWNLOADABLE DATA
  • PUBLICATION DATA
  • RELEASE HISTORY
HELP
  • ANTIBODY VALIDATION
  • ASSAYS & ANNOTATION
  • DISCLAIMER
  • HELP & FAQ
  • PRIVACY STATEMENT
  • LICENCE & CITATION
Fields »
Search result

Field
Term
Gene name
Class
Subclass
Class
Keyword
Chromosome
External id
Tissue
Cell type
Expression
Antibody panel
Tissue
Main location
Patient ID
Annotation
Tissue
Category
Tau score
Cluster
Reliability
Brain region
Category
Tau score
Brain region
Category
Tau score
Brain region
Category
Tau score
Cluster
Reliability
Tissue
Cell type
Enrichment
Cell type
Category
Tau score
Cell type
Category
Tau score
Cell type
Category
Tau score
Cell lineage
Category
Tau score
Cluster
Cluster
Location
Searches
Location
Cell line
Class
Type
Phase
Reliability
Cancer
Prognosis
Cancer
Category
Cancer
Category
Tau score
Cluster
Variants
Interacting gene (ensg_id)
Type
Number of interactions
Pathway
Category
Score
Score
Score
Validation
Validation
Validation
Validation
Antibodies
Data type
Column


  • SUMMARY

  • TISSUE

  • BRAIN

  • SINGLE CELL

  • SUBCELL

  • CANCER

  • BLOOD

  • CELL LINE

  • STRUCT & INT

  • GAPDH
TISSUE PRIMARY DATA SKIN Show tissue menu
ADIPOSE TISSUE ADRENAL GLAND AMYGDALA APPENDIX BASAL GANGLIA BONE MARROW BREAST BRONCHUS CEREBELLUM CEREBRAL CORTEX CERVIX CHOROID PLEXUS COLON DUODENUM
ENDOMETRIUM EPIDIDYMIS ESOPHAGUS FALLOPIAN TUBE GALLBLADDER HEART MUSCLE HIPPOCAMPAL FORMATION HYPOTHALAMUS KIDNEY LIVER LUNG LYMPH NODE MIDBRAIN NASOPHARYNX
ORAL MUCOSA OVARY PANCREAS PARATHYROID GLAND PITUITARY GLAND PLACENTA PROSTATE RECTUM RETINA SALIVARY GLAND SEMINAL VESICLE SKELETAL MUSCLE SKIN SMALL INTESTINE
SMOOTH MUSCLE SOFT TISSUE SPINAL CORD SPLEEN STOMACH TESTIS THYMUS THYROID GLAND TONGUE TONSIL URINARY BLADDER VAGINA
ANTIBODIES
AND
VALIDATION
Dictionary
Skin
Tissue proteome
Skin
SKIN - Expression summary
Protein expression
Skini

On the top, protein expression in current human tissue, based on all annotated cell types, is reported with the units not detected (n), low (l), medium (m) and high (h). Underneath, protein expression in each annotated cell type are reported using the same units.

Protein expression data is based on knowledge-based annotation. For genes where more than one antibody has been used, a collective score is set.

If knowledge-based annotation could not be performed for a gene, no data is displayed here. View antibody staining data further down this page.

h
m
l
n
Cells in basal layer: High
Cells in corneal layer: Not detected
Cells in granular layer: High
Cells in spinous layer: High
Endothelial cells: High
Extracellular matrix: Not detected
Fibrohistiocytic cells: High
Hair follicles: High
Langerhans cells: High
Lymphocytes: High
Melanocytes: High
Sebaceous glands: Medium
Vascular mural cells: High
RNA expressioni

A summary of mRNA expression data available for current tissue based on several datasets. The mRNA expression levels in human tissues are based on RNA-seq data generated by the Human Protein Atlas (HPA), Genotype-Tissue Expression (GTEx) portal and CAGE data generated by the FANTOM5 consortium. Consensus normalized expression levels for human tissues was created by combining the data from HPA and GTEx datasets.

The mRNA expression levels in pig are based on RNA-seq data generated by the Human Protein Atlas (HPA), and for mouse, HPA data and in situ hybridization generated by the Allen brain atlas are reported.

Scroll down to view mRNA expression data in more detail.
Consensus:1718.3 nTPM
HPA:944.3 nTPM
GTEx:1718.3 nTPM

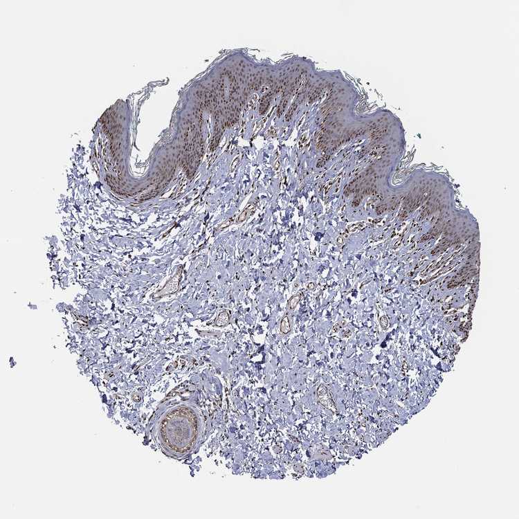
SKIN 1 - Antibody stainingi

Antibody staining in the annotated cell types in the current human tissue is reported as not detected, low, medium, or high, based on conventional immunohistochemistry profiling in selected tissues. This score is based on the combination of the staining intensity and fraction of stained cells.

Each image is clickable and will lead to virtual microscopy that enables deeper exploration of all samples and also displays staining intensity scores, fraction scores and subcellular localization as well as patient and tissue information for each sample.

Antibody HPA040067Antibody HPA061280Antibody CAB005197Antibody CAB016392Antibody CAB079968
Langerhans Medium-Not detectedMediumHigh
Cells in basal layer -High---
Cells in corneal layer -Not detected---
Cells in granular layer -High---
Cells in spinous layer -High---
Endothelial cells -High---
Extracellular matrix -Not detected---
Fibroblasts Medium-LowMediumHigh
Fibrohistiocytic cells -High---
Hair follicles -High---
Keratinocytes High-LowMediumHigh
Langerhans cells -High---
Lymphocytes -High---
Melanocytes MediumHighLowMediumHigh
Sebaceous glands -Medium---
Vascular mural cells -High---








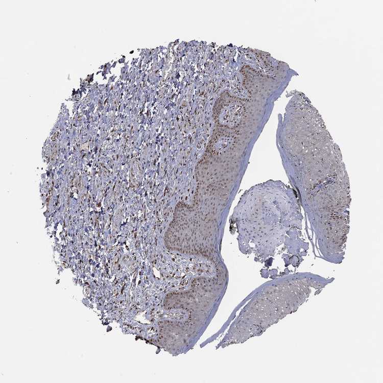
SKIN 2 - Antibody stainingi

Antibody staining in the annotated cell types in the current human tissue is reported as not detected, low, medium, or high, based on conventional immunohistochemistry profiling in selected tissues. This score is based on the combination of the staining intensity and fraction of stained cells.

Each image is clickable and will lead to virtual microscopy that enables deeper exploration of all samples and also displays staining intensity scores, fraction scores and subcellular localization as well as patient and tissue information for each sample.

Antibody HPA040067Antibody HPA061280Antibody CAB005197Antibody CAB016392Antibody CAB079968
Cells in basal layer -High---
Cells in corneal layer -Not detected---
Cells in granular layer -High---
Cells in spinous layer -High---
Endothelial cells -High---
Epidermal cells High-Not detectedMediumMedium
Extracellular matrix -Not detected---
Fibrohistiocytic cells -High---
Langerhans cells -High---
Lymphocytes -High---
Melanocytes -High---
Vascular mural cells -High---
     
     
     
     








SKIN - HPA RNA-seqi

The RNA-seq details section shows detailed information about the individual samples used for the transcript profiling and results of the RNA-seq analysis.

Information about each individual sample is listed below, including gender, age, a tissue section image and estimated fractions of cell types. nTPM (normalized transcripts per million) values give a quantification of the gene abundance which is comparable between different genes and samples.
Average nTPMi

Max subtype nTPM is the value for the subtype with the largest average nTPM across the subtype samples.

944.3
overview
Female, age 34
Skin sample 225
nTPM: 1064.9
Cell types%
Keratinocytes:
60

Other cell types:
40

overview
Female, age 30
Skin sample 226
nTPM: 1086.8
Cell types%
Keratinocytes:
55

Other cell types:
45

N/A
Male, age 57
Skin sample 227
nTPM: 681.2

SKIN - GTEx RNA-seqi

RNA-Seq data generated by the Genotype-Tissue Expression (GTEx) project from human tissues is reported as mean nTPM. More information can be found on the GTEx portal.

Distribution across the dataset is visualized with box plots, shown as median and 25th and 75th percentiles. Points are displayed as outliers if they are above or below 1.5 times the interquartile range. nTPM values of the individual samples are presented next to the box plot.
Max subtype nTPMi

Max subtype nTPM is the value for the subtype with the largest average nTPM across the subtype samples.

1718.3
GTEx sample id Sample description nTPM
Skin - Not Sun Exposed (Suprapubic)
Average nTPM: 1519.1
Samples: 604

Max nTPM: 5808.7
Min nTPM: 485.4
Std nTPM: 582.4
Median nTPM: 1398.9
GTEX-WI4N-2726-SM-3LK7Y 40-49 years, female 5808.7
GTEX-14XAO-1226-SM-6EU1C 60-69 years, female 5202.6
GTEX-1PPH8-0126-SM-EWRN8 20-29 years, male 4373.0
GTEX-1A3MW-0626-SM-731CB 60-69 years, female 3877.0
GTEX-11TT1-1826-SM-5EQLV 20-29 years, male 3710.4
GTEX-ZYVF-0926-SM-5E44J 50-59 years, female 3657.0
GTEX-15G1A-1626-SM-7KUKN 30-39 years, male 3650.8
GTEX-14C38-0726-SM-5SI6M 50-59 years, male 3504.0
GTEX-1E2YA-2126-SM-7MXUO 50-59 years, male 3376.8
GTEX-14E6C-2426-SM-5S2NF 40-49 years, male 3238.9
GTEX-WHSE-0126-SM-3NMBT 20-29 years, male 3226.6
GTEX-1JMQL-2226-SM-CNPP4 50-59 years, female 3108.6
GTEX-1I1GU-0926-SM-ACKVS 40-49 years, male 3022.8
GTEX-14PJO-2526-SM-6AJBQ 60-69 years, male 3020.9
GTEX-11DYG-1526-SM-5A5JS 60-69 years, male 2964.7
GTEX-144FL-0626-SM-5LU43 50-59 years, male 2919.0
GTEX-ZYW4-0626-SM-59HJR 60-69 years, male 2899.5
GTEX-X8HC-0626-SM-4E3HQ 50-59 years, female 2828.8
GTEX-1CAMS-2226-SM-7PBXQ 40-49 years, female 2828.5
GTEX-1ICLZ-0326-SM-ARL82 60-69 years, male 2789.0
GTEX-ZDTS-0826-SM-4WKHL 60-69 years, male 2768.2
GTEX-15G19-2426-SM-7KUMR 60-69 years, male 2721.1
GTEX-139TS-2126-SM-5K7XC 60-69 years, male 2716.7
GTEX-X585-2426-SM-46MW2 50-59 years, male 2666.7
GTEX-XBED-1926-SM-47JYP 60-69 years, male 2654.6
GTEX-1OJC3-1226-SM-DTXER 20-29 years, male 2651.8
GTEX-1F6I4-2326-SM-7RHGL 60-69 years, male 2631.1
GTEX-145MG-1526-SM-5Q5EM 50-59 years, male 2588.4
GTEX-WH7G-2026-SM-3NMBL 40-49 years, male 2504.8
GTEX-148VJ-0626-SM-5LUAW 70-79 years, male 2499.4
GTEX-XOT4-0626-SM-4B66L 60-69 years, female 2487.8
GTEX-15SHW-0226-SM-7LTAT 60-69 years, male 2482.0
GTEX-U8XE-0226-SM-4E3J3 30-39 years, male 2469.1
GTEX-1HSMP-0926-SM-A9SKX 70-79 years, male 2466.3
GTEX-13W3W-0726-SM-5IJDQ 60-69 years, female 2451.8
GTEX-W5X1-2526-SM-3GILC 40-49 years, female 2444.9
GTEX-15UF6-1926-SM-7KUDV 70-79 years, female 2443.3
GTEX-1H23P-0626-SM-9WG6T 60-69 years, male 2427.7
GTEX-Y5LM-0926-SM-6LLJG 40-49 years, female 2422.0
GTEX-132AR-0326-SM-5KM2C 50-59 years, female 2420.9
GTEX-1IKOE-1426-SM-CE6T7 30-39 years, female 2416.2
GTEX-ZTX8-1326-SM-4YCEL 20-29 years, male 2411.8
GTEX-15DDE-2926-SM-6LLJ3 50-59 years, female 2374.9
GTEX-Y114-2126-SM-4TT8B 50-59 years, female 2369.2
GTEX-ZY6K-1426-SM-5GZX2 50-59 years, male 2362.9
GTEX-1O9I2-0226-SM-EYYXD 50-59 years, male 2348.5
GTEX-XK95-0226-SM-4AT58 40-49 years, male 2346.2
GTEX-1IDJC-1526-SM-B2LW4 50-59 years, male 2332.0
GTEX-16MT8-2926-SM-7DUFO 60-69 years, female 2313.7
GTEX-1E1VI-0326-SM-793D1 50-59 years, male 2299.2
GTEX-1QAET-0326-SM-EVR3U 50-59 years, male 2293.1
GTEX-1GTWX-2026-SM-9YFLM 60-69 years, male 2292.4
GTEX-WHPG-2626-SM-3NMBR 50-59 years, male 2269.8
GTEX-WHWD-1826-SM-3LK6I 50-59 years, male 2262.0
GTEX-ZPIC-0526-SM-DO91W 40-49 years, female 2240.3
GTEX-131XG-0326-SM-5L3DX 50-59 years, female 2231.1
GTEX-18A6Q-0626-SM-7KFRP 60-69 years, male 2227.6
GTEX-131XH-0126-SM-5LZUY 50-59 years, male 2222.2
GTEX-WFG8-2126-SM-3GIKQ 20-29 years, male 2214.3
GTEX-111VG-1626-SM-5EGIO 60-69 years, male 2212.6
GTEX-11WQK-1026-SM-5EQLX 50-59 years, male 2189.4
GTEX-1H1CY-0126-SM-9YFLY 60-69 years, female 2188.1
GTEX-11P7K-1126-SM-5HL4L 30-39 years, male 2180.5
GTEX-1JMLX-0626-SM-ARL8T 50-59 years, male 2173.9
GTEX-1AX8Z-0726-SM-73KTS 60-69 years, male 2172.5
GTEX-13RTJ-0126-SM-5S2NN 60-69 years, male 2153.7
GTEX-1I19N-0126-SM-CYPSF 70-79 years, male 2150.7
GTEX-1F75I-2226-SM-7SB8U 40-49 years, male 2141.4
GTEX-1C6VQ-1226-SM-73KYD 50-59 years, male 2126.0
GTEX-1HC8U-1326-SM-9YFMJ 40-49 years, female 2119.3
GTEX-13OVK-1426-SM-6PAN7 40-49 years, male 2077.0
GTEX-ZYFD-0626-SM-5E44E 50-59 years, male 2070.2
GTEX-1HBPI-2126-SM-ARL9K 50-59 years, male 2066.9
GTEX-1H1DE-1326-SM-9KNUG 20-29 years, male 2061.5
GTEX-WY7C-2126-SM-3NB2R 50-59 years, male 2059.0
GTEX-1PIIG-2326-SM-DTXFR 30-39 years, male 2043.7
GTEX-1N5O9-0926-SM-E9J3C 60-69 years, male 2040.1
GTEX-XXEK-1626-SM-4BRUZ 50-59 years, male 2037.1
GTEX-17HG3-2626-SM-7DUF2 30-39 years, female 2031.6
GTEX-1R9K4-2826-SM-DTX8F 60-69 years, male 2027.6
GTEX-1JMQK-1226-SM-D4P2S 60-69 years, male 2025.6
GTEX-WFG7-2026-SM-5SI7P 20-29 years, male 2017.3
GTEX-18D9B-0926-SM-7LG4U 60-69 years, male 2015.4
GTEX-Y5V6-2326-SM-4VDSA 60-69 years, male 2015.3
GTEX-1EX96-1026-SM-7MKG2 50-59 years, male 2012.8
GTEX-XMD2-2126-SM-4YCF8 60-69 years, female 2010.1
GTEX-13NYB-0126-SM-5J1MD 40-49 years, male 2009.0
GTEX-ZTTD-2826-SM-4YCFA 50-59 years, male 2006.9
GTEX-1I6K7-1926-SM-B2LXR 40-49 years, male 2004.2
GTEX-13OVJ-0826-SM-5J1OK 50-59 years, female 1997.6
GTEX-12WSJ-1126-SM-5LZVJ 40-49 years, female 1989.0
GTEX-1QP9N-1226-SM-E76QN 30-39 years, male 1987.6
GTEX-147F4-0726-SM-5TDDD 50-59 years, male 1984.6
GTEX-1HCU6-2526-SM-ADEHL 60-69 years, female 1971.0
GTEX-1JMQI-1726-SM-ARL93 50-59 years, male 1970.8
GTEX-ZUA1-2626-SM-5NQ92 40-49 years, male 1944.2
GTEX-13FH7-1126-SM-5K7UG 50-59 years, female 1943.4
GTEX-1A8FM-0626-SM-7PC25 50-59 years, female 1928.2
GTEX-1J8Q2-2626-SM-ACKWQ 60-69 years, male 1926.1
GTEX-11O72-0626-SM-5PNYE 40-49 years, male 1920.4
GTEX-12WSF-1626-SM-7KUG5 70-79 years, male 1918.9
GTEX-12WSK-2126-SM-5CVNC 40-49 years, female 1918.8
GTEX-1B97I-0626-SM-73KUZ 40-49 years, male 1911.1
GTEX-Y3I4-1726-SM-4TT89 50-59 years, male 1907.6
GTEX-1K2DU-1226-SM-CYPT4 20-29 years, male 1901.8
GTEX-14DAR-1226-SM-73KYV 50-59 years, male 1899.5
GTEX-1R9PN-0426-SM-DTXDT 40-49 years, female 1898.9
GTEX-ZE7O-2726-SM-51MT5 50-59 years, female 1897.7
GTEX-18A7B-2726-SM-7LG56 70-79 years, male 1897.3
GTEX-139TU-0726-SM-5L3EK 60-69 years, male 1892.6
GTEX-17EVQ-0126-SM-7IGLR 70-79 years, male 1891.0
GTEX-11DXY-0126-SM-5H11Q 60-69 years, male 1890.9
GTEX-1I1GP-1326-SM-A9G28 50-59 years, male 1890.2
GTEX-ZT9X-1526-SM-5DUXD 40-49 years, male 1878.8
GTEX-1211K-1526-SM-5FQU4 60-69 years, female 1872.0
GTEX-ZAJG-1526-SM-5CVML 50-59 years, female 1872.0
GTEX-1JN76-0626-SM-CKZOQ 20-29 years, female 1869.7
GTEX-1497J-0226-SM-5QGPU 60-69 years, male 1867.9
GTEX-1J1OQ-0126-SM-D4P2N 40-49 years, female 1861.3
GTEX-1HGF4-0126-SM-CNPPX 60-69 years, male 1859.2
GTEX-11DZ1-2426-SM-5GZZX 50-59 years, male 1854.1
GTEX-13X6K-0626-SM-5LU5D 60-69 years, female 1849.1
GTEX-1CB4J-1326-SM-7P8RX 60-69 years, male 1847.6
GTEX-11ZTT-2126-SM-5CVLO 60-69 years, female 1843.3
GTEX-13N11-2326-SM-5IJBF 50-59 years, female 1838.8
GTEX-1J8QM-2426-SM-A9SLS 60-69 years, female 1836.4
GTEX-ZVTK-0226-SM-51MRG 20-29 years, male 1836.3
GTEX-14A5H-0826-SM-5QGPJ 60-69 years, male 1835.2
GTEX-147GR-2426-SM-5ZZWQ 60-69 years, male 1834.9
GTEX-14PJ3-1126-SM-5ZZVX 50-59 years, male 1831.0
GTEX-XYKS-1426-SM-4BRUO 60-69 years, female 1829.2
GTEX-1192X-2726-SM-5N9DN 50-59 years, male 1829.0
GTEX-15RJ7-2126-SM-6PAMD 40-49 years, male 1823.1
GTEX-1IY9M-2826-SM-ARU8H 60-69 years, male 1823.0
GTEX-1399Q-2326-SM-5KM2X 40-49 years, male 1819.4
GTEX-16YQH-2226-SM-7IGM2 30-39 years, male 1813.5
GTEX-1KWVE-1026-SM-D3L9O 30-39 years, male 1811.7
GTEX-Y3IK-1626-SM-4YCF5 50-59 years, female 1811.6
GTEX-XQ3S-1426-SM-4BOPR 20-29 years, male 1807.7
GTEX-18A66-0626-SM-7LT8Z 60-69 years, male 1804.9
GTEX-111FC-2526-SM-5GZXU 60-69 years, male 1800.2
GTEX-12696-0126-SM-5EQ4L 60-69 years, male 1798.8
GTEX-ZVP2-0326-SM-57WBP 50-59 years, male 1798.6
GTEX-1ICG6-1226-SM-A9SLN 70-79 years, female 1798.5
GTEX-11OF3-0126-SM-5PNYF 60-69 years, male 1795.7
GTEX-ZC5H-1526-SM-5HL9Y 40-49 years, female 1795.2
GTEX-1M4P7-0726-SM-E6CJ3 60-69 years, male 1790.2
GTEX-1JMOU-1026-SM-CYPSS 60-69 years, female 1787.0
GTEX-1LGOU-1326-SM-D3L8M 20-29 years, female 1786.7
GTEX-1B996-0426-SM-7EWF8 60-69 years, male 1785.6
GTEX-13SLX-2226-SM-62LEP 50-59 years, female 1782.4
GTEX-14BMU-1226-SM-5S2OR 20-29 years, female 1781.4
GTEX-11DXZ-2026-SM-5987S 50-59 years, male 1777.6
GTEX-1F48J-0726-SM-7RHGS 50-59 years, female 1774.3
GTEX-13NYC-0126-SM-5L3F4 60-69 years, male 1771.9
GTEX-1QP66-1226-SM-DTX7U 50-59 years, male 1768.5
GTEX-144GM-0526-SM-79OJO 20-29 years, male 1764.3
GTEX-1JMPZ-0726-SM-CY8HZ 30-39 years, male 1758.9
GTEX-1IDFM-0326-SM-ARL7V 60-69 years, male 1755.9
GTEX-1BAJH-2426-SM-7IGP8 70-79 years, male 1754.4
GTEX-1H2FU-0926-SM-9WPPT 60-69 years, female 1754.1
GTEX-1LVA9-2626-SM-EVYD4 50-59 years, male 1739.8
GTEX-14JFF-0626-SM-5ZZVT 60-69 years, male 1739.5
GTEX-145MO-2826-SM-5LU96 60-69 years, male 1738.5
GTEX-14PJ4-0226-SM-5YY92 60-69 years, male 1737.2
GTEX-1L5NE-1126-SM-D3L9P 50-59 years, male 1731.7
GTEX-13X6H-0926-SM-5SIB2 50-59 years, female 1729.1
GTEX-12KS4-2126-SM-5FQUT 30-39 years, male 1728.3
GTEX-12126-0826-SM-5FQTZ 20-29 years, male 1723.4
GTEX-139TT-2126-SM-5LZWC 60-69 years, male 1718.5
GTEX-1AYD5-2626-SM-7PBXY 50-59 years, male 1718.3
GTEX-145MF-0926-SM-5Q5EA 50-59 years, male 1707.6
GTEX-11NSD-0626-SM-5A5LU 20-29 years, male 1705.0
GTEX-139UW-0326-SM-5J1ML 60-69 years, male 1703.3
GTEX-Y8E4-2026-SM-5IFJB 40-49 years, male 1702.5
GTEX-11DXW-0826-SM-5H118 40-49 years, male 1700.6
GTEX-1I1CD-0626-SM-CE6SW 60-69 years, female 1698.1
GTEX-13G51-1826-SM-5KLZH 60-69 years, male 1696.6
GTEX-1S831-1826-SM-EWROF 20-29 years, male 1696.2
GTEX-ZYFC-0426-SM-5GICQ 50-59 years, male 1684.6
GTEX-11ZU8-0126-SM-5EQ58 60-69 years, male 1683.8
GTEX-ZDXO-3126-SM-5IJDF 60-69 years, male 1683.6
GTEX-1H11D-1826-SM-9QEHM 40-49 years, male 1681.2
GTEX-15RJE-2826-SM-7KUM9 40-49 years, male 1679.1
GTEX-1212Z-0126-SM-59HK4 60-69 years, male 1677.8
GTEX-12WSD-0626-SM-5GCMW 60-69 years, female 1673.7
GTEX-YB5K-2026-SM-4VDT3 40-49 years, female 1673.4
GTEX-1399S-0126-SM-5IJCF 30-39 years, female 1672.7
GTEX-12WSL-2026-SM-5GCML 50-59 years, male 1672.5
GTEX-1HCUA-0826-SM-ADEHM 50-59 years, female 1672.5
GTEX-14JG1-1526-SM-5YY9X 40-49 years, male 1669.9
GTEX-1RAZS-2526-SM-E6CHT 50-59 years, male 1668.6
GTEX-1JN1M-2726-SM-CY8I4 60-69 years, female 1667.0
GTEX-16XZZ-0726-SM-7KUF2 60-69 years, male 1661.5
GTEX-1H1DG-2426-SM-9QEHJ 70-79 years, male 1659.7
GTEX-1GN1V-2826-SM-9JGIA 60-69 years, male 1658.4
GTEX-11WQC-1826-SM-5GU59 60-69 years, male 1655.1
GTEX-1JMPY-0226-SM-CKZOK 30-39 years, male 1653.2
GTEX-14E1K-2026-SM-7DUEI 50-59 years, male 1652.3
GTEX-17HGU-2326-SM-7DUFE 50-59 years, male 1652.3
GTEX-ZPU1-1126-SM-4YCF3 40-49 years, male 1650.2
GTEX-139YR-1026-SM-5LZYN 50-59 years, male 1649.2
GTEX-13YAN-0226-SM-5TDC6 60-69 years, male 1644.0
GTEX-1MJK3-0726-SM-E6CJC 20-29 years, male 1635.2
GTEX-1QEPI-2626-SM-DTXF4 60-69 years, female 1630.4
GTEX-13IVO-0726-SM-5LZYV 70-79 years, male 1620.8
GTEX-1GF9W-1426-SM-7PBYM 60-69 years, male 1619.2
GTEX-1HBPN-0126-SM-CGQEF 50-59 years, male 1618.6
GTEX-1QW4Y-1126-SM-DTXE3 30-39 years, male 1617.0
GTEX-1POEN-2326-SM-E9J2L 30-39 years, female 1616.4
GTEX-X4EO-2926-SM-4E3JH 60-69 years, female 1613.0
GTEX-1IE54-1126-SM-A9G2Z 40-49 years, female 1611.3
GTEX-12ZZY-0726-SM-5EQ66 60-69 years, male 1611.0
GTEX-1A3MX-2626-SM-7PC24 60-69 years, male 1609.0
GTEX-1RLM8-2926-SM-E8VON 50-59 years, male 1604.8
GTEX-YEC4-1826-SM-4W1YP 40-49 years, male 1603.2
GTEX-1GN1U-0626-SM-9MQL9 50-59 years, female 1599.4
GTEX-17F97-2626-SM-7IGM5 50-59 years, male 1596.1
GTEX-Z93S-1626-SM-5CVMB 50-59 years, male 1595.5
GTEX-ZF2S-1626-SM-57WES 50-59 years, female 1595.4
GTEX-Y8LW-1526-SM-5IFHL 50-59 years, female 1593.2
GTEX-13D11-0926-SM-5J2NC 50-59 years, female 1591.3
GTEX-1B933-2426-SM-7DHMD 50-59 years, female 1586.1
GTEX-13OW5-2326-SM-5L3HO 60-69 years, male 1581.9
GTEX-1CAMR-1326-SM-7PC1F 20-29 years, male 1581.4
GTEX-1H1DF-1126-SM-9WG7G 40-49 years, female 1567.2
GTEX-14PHY-1226-SM-5ZZWK 60-69 years, female 1566.3
GTEX-13112-0126-SM-5P9IU 50-59 years, male 1565.5
GTEX-1RAZQ-1326-SM-E9TK6 30-39 years, male 1564.1
GTEX-14LZ3-0126-SM-69LPM 60-69 years, female 1563.5
GTEX-12584-0726-SM-5FQTK 40-49 years, male 1559.9
GTEX-1HT8W-0626-SM-A9G2H 30-39 years, male 1559.6
GTEX-14BMV-2826-SM-5TDED 50-59 years, male 1554.9
GTEX-YECK-0326-SM-4W1YS 60-69 years, male 1550.1
GTEX-13FTY-2126-SM-5IFFB 40-49 years, female 1546.8
GTEX-1F75W-2726-SM-7SB8H 60-69 years, male 1545.3
GTEX-16GPK-0626-SM-7KFSF 60-69 years, male 1536.1
GTEX-Y111-0626-SM-4SOIT 50-59 years, male 1533.9
GTEX-12ZZX-2426-SM-5GCOE 40-49 years, female 1532.6
GTEX-15DYW-2726-SM-6EU2I 60-69 years, female 1531.6
GTEX-15RIE-1926-SM-7KUKJ 60-69 years, male 1531.2
GTEX-ZF3C-0626-SM-DO92O 50-59 years, female 1528.8
GTEX-111CU-1126-SM-5EGIM 50-59 years, male 1518.9
GTEX-13U4I-2226-SM-5LU5H 40-49 years, female 1518.2
GTEX-13OVL-0126-SM-5L3GJ 50-59 years, male 1516.6
GTEX-1HFI6-0126-SM-CNPPI 40-49 years, male 1516.3
GTEX-11DXX-2126-SM-5PNYR 60-69 years, female 1513.9
GTEX-14DAQ-0626-SM-793DS 60-69 years, female 1511.8
GTEX-17MFQ-1526-SM-7KFRR 20-29 years, male 1508.2
GTEX-1LSVX-2526-SM-DIPEU 60-69 years, male 1504.8
GTEX-1CAMQ-1326-SM-7P8RV 40-49 years, male 1503.1
GTEX-144GO-2026-SM-5O99P 60-69 years, male 1501.6
GTEX-ZYT6-2326-SM-5GZY3 30-39 years, male 1501.5
GTEX-13N1W-2426-SM-5IJD1 70-79 years, male 1501.3
GTEX-16MT9-0126-SM-7EPI8 60-69 years, female 1500.6
GTEX-13OVH-0526-SM-5L3E6 70-79 years, male 1495.1
GTEX-145LS-0626-SM-7EPG7 60-69 years, female 1494.2
GTEX-1313W-0626-SM-5EQ4H 50-59 years, female 1493.3
GTEX-1HCU7-0726-SM-A9SL1 50-59 years, male 1492.8
GTEX-1H1ZS-2726-SM-9WG75 70-79 years, male 1492.0
GTEX-1F6IF-0926-SM-7SB7M 60-69 years, male 1491.3
GTEX-UPK5-0426-SM-3GAEK 40-49 years, male 1491.2
GTEX-1HUB1-1426-SM-CGQF5 60-69 years, male 1490.3
GTEX-1HR98-2226-SM-ADEI2 60-69 years, male 1487.0
GTEX-144GL-0626-SM-5LU4D 50-59 years, male 1485.5
GTEX-15RIG-0726-SM-7KUM7 40-49 years, male 1479.1
GTEX-117YX-1926-SM-5GIEC 50-59 years, male 1478.8
GTEX-11NUK-2726-SM-5A5MC 50-59 years, male 1476.6
GTEX-1J8JJ-0626-SM-ARZMQ 60-69 years, female 1468.1
GTEX-UPJH-0226-SM-3GADV 50-59 years, male 1467.3
GTEX-1RB15-1326-SM-E76Q9 60-69 years, male 1467.2
GTEX-14ABY-2026-SM-62LDL 50-59 years, male 1466.0
GTEX-1PPH7-1126-SM-DTX9A 40-49 years, male 1464.7
GTEX-13NZ9-2626-SM-5L3FK 50-59 years, male 1464.1
GTEX-1NSGN-0726-SM-DTXEF 50-59 years, male 1461.5
GTEX-1C64O-1326-SM-7MGWR 60-69 years, male 1460.6
GTEX-1HFI7-2326-SM-CGQFS 50-59 years, female 1460.6
GTEX-1H3O1-1326-SM-9MQLD 60-69 years, male 1458.5
GTEX-1AX9J-1326-SM-731BJ 60-69 years, male 1454.4
GTEX-15D1Q-2826-SM-6LLH7 40-49 years, male 1453.4
GTEX-WFON-1926-SM-3LK7L 40-49 years, male 1451.8
GTEX-16MTA-0926-SM-6M47Z 50-59 years, male 1451.3
GTEX-1IKJJ-2226-SM-CJI4C 60-69 years, male 1449.9
GTEX-1H3VE-0726-SM-9YFL5 40-49 years, male 1449.6
GTEX-ZDYS-2426-SM-4WKGI 50-59 years, male 1445.7
GTEX-1PPGY-1626-SM-EVYBL 60-69 years, male 1445.4
GTEX-1HCU9-0426-SM-9WYSD 20-29 years, male 1438.6
GTEX-ZE9C-2526-SM-5IJDR 60-69 years, male 1438.1
GTEX-14C39-1726-SM-5RQIL 40-49 years, male 1437.3
GTEX-1S82U-1026-SM-E6CJK 30-39 years, female 1435.3
GTEX-1B8KZ-0326-SM-73KY4 50-59 years, male 1431.2
GTEX-13O3O-2326-SM-5IJD6 60-69 years, female 1430.5
GTEX-1A32A-0626-SM-731AQ 50-59 years, female 1429.7
GTEX-1KD5A-0126-SM-E9U54 50-59 years, male 1429.3
GTEX-WHSB-1326-SM-3LK6W 50-59 years, male 1428.9
GTEX-1IL2V-1926-SM-B2LW8 70-79 years, male 1422.4
GTEX-17F9E-2326-SM-79OKD 50-59 years, male 1418.2
GTEX-1LG7Y-2526-SM-EWRO7 50-59 years, male 1414.2
GTEX-1A8G6-2726-SM-731AR 60-69 years, male 1405.2
GTEX-1JMQJ-0826-SM-CNPP7 50-59 years, male 1404.6
GTEX-WK11-2726-SM-3NMAQ 50-59 years, male 1403.6
GTEX-15ER7-0626-SM-6PANF 20-29 years, female 1400.9
GTEX-XBEW-1126-SM-4QARW 40-49 years, male 1396.9
GTEX-ZAK1-0626-SM-5HL8E 50-59 years, female 1395.7
GTEX-1KANB-2826-SM-CY8I6 50-59 years, male 1392.2
GTEX-1RAZA-2226-SM-E9U4X 20-29 years, male 1390.6
GTEX-ZU9S-1826-SM-5NQ9E 30-39 years, male 1387.7
GTEX-VUSG-2326-SM-4KL1U 50-59 years, male 1384.0
GTEX-XBEC-0726-SM-4QARZ 50-59 years, male 1381.6
GTEX-1J8EW-2726-SM-CY8HR 60-69 years, female 1381.2
GTEX-1PIGE-1826-SM-E8VOU 20-29 years, male 1380.0
GTEX-1AX9I-2226-SM-73KUO 60-69 years, male 1378.6
GTEX-11EQ9-1626-SM-5PNY8 30-39 years, male 1376.7
GTEX-14PJ2-0626-SM-6LLII 50-59 years, male 1376.0
GTEX-1CAV2-0126-SM-7IGN7 40-49 years, female 1373.9
GTEX-1HR9M-2226-SM-CNPPY 60-69 years, male 1373.0
GTEX-1C6WA-2626-SM-7MKGM 60-69 years, male 1372.8
GTEX-ZVT4-2426-SM-5GIEI 50-59 years, female 1368.5
GTEX-1S5ZU-2526-SM-E6CIF 20-29 years, female 1368.4
GTEX-1I1GS-2626-SM-B2LY3 60-69 years, male 1368.3
GTEX-1EH9U-2826-SM-7DUGT 60-69 years, male 1368.1
GTEX-ZF29-0926-SM-4WKFZ 60-69 years, female 1367.2
GTEX-11GSP-2326-SM-5HL63 60-69 years, female 1366.4
GTEX-WYBS-0626-SM-3NMAS 60-69 years, female 1364.4
GTEX-14PHX-2226-SM-6EU2P 50-59 years, male 1363.8
GTEX-X5EB-1926-SM-4E3IW 40-49 years, male 1362.5
GTEX-11ZUS-2626-SM-5FQUR 30-39 years, male 1361.6
GTEX-13FTX-1526-SM-5K7VJ 20-29 years, female 1360.5
GTEX-13PL6-1126-SM-5L3IE 40-49 years, female 1360.5
GTEX-15EU6-2226-SM-6EU2L 50-59 years, male 1357.9
GTEX-16NGA-0726-SM-731AO 40-49 years, female 1357.4
GTEX-1S3DN-2126-SM-E9TIN 50-59 years, male 1357.0
GTEX-1GMRU-2126-SM-7P8RA 50-59 years, male 1353.7
GTEX-13X6J-0626-SM-5LU5F 50-59 years, male 1352.6
GTEX-1F75A-0726-SM-7RHHD 50-59 years, male 1348.4
GTEX-17HHE-1326-SM-7EWDZ 50-59 years, male 1347.4
GTEX-ZYY3-2926-SM-5GIEB 60-69 years, female 1346.9
GTEX-1IDJD-2326-SM-ACKWX 30-39 years, male 1346.7
GTEX-1GZ4I-2626-SM-9KNU3 50-59 years, male 1344.2
GTEX-1LG7Z-1626-SM-CXKYR 30-39 years, male 1343.9
GTEX-18A67-1626-SM-7LT9T 50-59 years, male 1342.9
GTEX-1LVAN-0626-SM-CNPOQ 50-59 years, female 1340.2
GTEX-13JUV-2026-SM-5K7UA 40-49 years, female 1339.9
GTEX-14BIN-1126-SM-5RQJZ 50-59 years, female 1339.7
GTEX-1I1GV-0626-SM-ARL7M 60-69 years, male 1339.3
GTEX-18465-2826-SM-7LT9J 50-59 years, male 1337.2
GTEX-1C475-1326-SM-7SB73 40-49 years, female 1336.5
GTEX-1LSNM-0826-SM-DIPG8 50-59 years, male 1336.5
GTEX-1C64N-2626-SM-7PC2N 50-59 years, male 1335.1
GTEX-1PBJJ-1026-SM-E76OS 30-39 years, male 1334.0
GTEX-1N2EE-0626-SM-E76PW 60-69 years, male 1332.4
GTEX-13QBU-1226-SM-5LU4G 40-49 years, female 1330.4
GTEX-1LSNL-2726-SM-E9TKJ 50-59 years, male 1328.7
GTEX-1GPI7-1826-SM-9KNU1 20-29 years, male 1327.6
GTEX-15SKB-2826-SM-6PAMH 60-69 years, male 1327.4
GTEX-1N2DV-1526-SM-DTXEP 40-49 years, male 1325.2
GTEX-131XW-0626-SM-5PNVD 50-59 years, female 1324.6
GTEX-17HHY-0426-SM-7DHLC 50-59 years, male 1322.3
GTEX-11TUW-0626-SM-5LU9M 60-69 years, male 1316.0
GTEX-1F75B-0726-SM-7PC3R 50-59 years, male 1315.6
GTEX-16Z82-2626-SM-7KULU 60-69 years, male 1314.4
GTEX-1GMR3-0126-SM-A9SLW 40-49 years, male 1313.9
GTEX-1LKK1-2626-SM-DKPQE 50-59 years, female 1311.7
GTEX-17F96-0126-SM-7EWDU 70-79 years, male 1310.4
GTEX-12BJ1-0926-SM-5EQ62 60-69 years, male 1310.0
GTEX-11EM3-1226-SM-5N9DD 20-29 years, female 1308.8
GTEX-17JCI-2926-SM-7DUFF 60-69 years, female 1307.7
GTEX-ZXG5-2126-SM-59HKD 60-69 years, male 1307.3
GTEX-1RAZR-2126-SM-E9U6T 40-49 years, male 1303.6
GTEX-1F6RS-2026-SM-7RHHC 60-69 years, female 1299.4
GTEX-1OJC4-2726-SM-E76PJ 50-59 years, female 1299.3
GTEX-ZAB4-2126-SM-5HL8U 40-49 years, male 1297.8
GTEX-1HB9E-0126-SM-CM2S5 50-59 years, male 1296.5
GTEX-1H1E6-0426-SM-9WYUS 30-39 years, male 1295.0
GTEX-Y9LG-1126-SM-4VBQ7 30-39 years, male 1288.7
GTEX-13QJC-0126-SM-5ZZWJ 60-69 years, female 1282.8
GTEX-ZA64-1026-SM-5HL8R 20-29 years, male 1279.5
GTEX-145ME-1726-SM-5Q5EU 40-49 years, female 1277.6
GTEX-1JJE9-2626-SM-ARZMT 70-79 years, male 1272.8
GTEX-1R9PM-1926-SM-EVR3O 20-29 years, male 1271.8
GTEX-145MH-2826-SM-5RQJF 50-59 years, male 1270.9
GTEX-WRHU-2826-SM-3MJG8 50-59 years, female 1270.8
GTEX-12C56-1526-SM-5FQUQ 20-29 years, male 1268.7
GTEX-13PDP-0726-SM-5L3HP 60-69 years, male 1268.1
GTEX-13PVQ-0626-SM-5LU47 50-59 years, male 1267.5
GTEX-1F52S-2926-SM-7MKGA 60-69 years, female 1259.7
GTEX-1H4P4-2126-SM-9WYSL 50-59 years, male 1257.6
GTEX-ZVE1-0726-SM-51MRN 50-59 years, female 1255.1
GTEX-17F9Y-0126-SM-79OKX 70-79 years, female 1253.8
GTEX-18A7A-0126-SM-731AH 50-59 years, female 1253.7
GTEX-1117F-2926-SM-5GZYI 60-69 years, female 1242.1
GTEX-13JVG-0726-SM-5KM16 60-69 years, male 1242.1
GTEX-1PDJ9-1226-SM-EXUSX 20-29 years, male 1241.4
GTEX-131YS-2826-SM-5EQ47 60-69 years, female 1240.4
GTEX-1F88E-1626-SM-7SB8Z 60-69 years, female 1239.2
GTEX-1GZ2Q-0126-SM-9WG6M 40-49 years, male 1238.0
GTEX-1GN1W-2426-SM-9KNUU 50-59 years, female 1237.7
GTEX-WXYG-2026-SM-4E3IY 50-59 years, female 1236.8
GTEX-131XF-2626-SM-5EQ6K 60-69 years, male 1236.3
GTEX-11P81-2226-SM-5PNYI 30-39 years, female 1234.1
GTEX-145LU-1926-SM-79OJN 50-59 years, male 1231.8
GTEX-1HSMQ-2626-SM-A9SML 50-59 years, male 1230.4
GTEX-11LCK-2226-SM-5HL4Q 30-39 years, male 1229.6
GTEX-1KAFJ-0126-SM-DIPEK 50-59 years, male 1228.4
GTEX-1CB4E-0926-SM-7EPHT 60-69 years, male 1226.2
GTEX-14PII-0726-SM-6EU2B 60-69 years, male 1223.4
GTEX-13OVG-1626-SM-5J1NF 60-69 years, male 1222.8
GTEX-15CHQ-0326-SM-69LQD 60-69 years, male 1222.1
GTEX-1QCLY-0226-SM-EWRNH 30-39 years, male 1221.9
GTEX-1QCLZ-2426-SM-EVYBW 60-69 years, female 1218.6
GTEX-1EWIQ-0326-SM-7DHMQ 70-79 years, female 1217.7
GTEX-1HSMO-0626-SM-ACKXC 60-69 years, male 1214.9
GTEX-1IDJE-1426-SM-ADEIW 50-59 years, female 1212.0
GTEX-1JJEA-1826-SM-ARU8P 60-69 years, male 1209.5
GTEX-13SLW-0626-SM-5Q5ER 70-79 years, male 1208.3
GTEX-1I6K6-1726-SM-CGQFD 30-39 years, male 1201.9
GTEX-1B932-2326-SM-79OL5 40-49 years, female 1201.4
GTEX-14E6E-0526-SM-793DN 30-39 years, male 1201.0
GTEX-1JN6P-2926-SM-CL54D 60-69 years, male 1196.1
GTEX-145MN-1526-SM-5SI9T 30-39 years, male 1195.8
GTEX-12ZZZ-0726-SM-5GCNZ 60-69 years, male 1195.5
GTEX-14PK6-0226-SM-62LF5 70-79 years, female 1193.4
GTEX-12WSC-2826-SM-5BC5Y 50-59 years, male 1189.6
GTEX-XV7Q-1826-SM-4BRUV 40-49 years, female 1189.3
GTEX-1QMI2-2526-SM-E8VNZ 60-69 years, male 1189.3
GTEX-1JJ6O-2726-SM-CNPOG 60-69 years, male 1188.6
GTEX-1GN2E-0226-SM-9WG6K 60-69 years, male 1188.5
GTEX-12WSH-1526-SM-5BC5W 50-59 years, male 1187.4
GTEX-1IDJF-2026-SM-CL53V 20-29 years, male 1187.3
GTEX-18D9U-0126-SM-731BM 40-49 years, male 1187.0
GTEX-1399U-1126-SM-5L3DB 50-59 years, female 1185.7
GTEX-ZVE2-2826-SM-5GU51 50-59 years, male 1185.3
GTEX-1J8Q3-0526-SM-ARL8U 60-69 years, male 1180.6
GTEX-13FHO-0426-SM-5L3F5 60-69 years, male 1180.5
GTEX-1I1HK-2326-SM-CKZOH 60-69 years, male 1180.1
GTEX-183WM-0326-SM-72D5V 70-79 years, female 1179.2
GTEX-1B8SF-0126-SM-7DUG3 60-69 years, male 1173.3
GTEX-147F3-1726-SM-5SIAW 50-59 years, female 1166.8
GTEX-12WSM-1926-SM-5BC65 60-69 years, male 1166.1
GTEX-14PKV-1126-SM-6LLJ1 20-29 years, female 1162.7
GTEX-1EKGG-0626-SM-7DUGJ 60-69 years, male 1157.2
GTEX-16NPX-0726-SM-7KULC 50-59 years, male 1156.4
GTEX-14ICL-1626-SM-5YYAO 30-39 years, male 1150.6
GTEX-13OW6-2726-SM-5J2OE 50-59 years, male 1148.6
GTEX-YJ8O-2526-SM-5HL85 40-49 years, female 1148.4
GTEX-YEC3-1326-SM-DO92X 50-59 years, male 1145.3
GTEX-WEY5-2326-SM-3GIKK 40-49 years, female 1145.0
GTEX-18D9A-1426-SM-7LT8M 30-39 years, female 1143.4
GTEX-13FLV-0126-SM-5K7WT 50-59 years, male 1140.6
GTEX-1IDJH-0126-SM-D3L92 70-79 years, male 1140.6
GTEX-1GF9U-2026-SM-7SB92 40-49 years, female 1137.5
GTEX-1MCYP-0526-SM-E9U6Q 20-29 years, female 1137.5
GTEX-11PRG-0726-SM-5EGL1 50-59 years, male 1137.3
GTEX-11EI6-2826-SM-5H11D 60-69 years, male 1136.8
GTEX-1GZHY-0626-SM-9KNVC 50-59 years, female 1135.0
GTEX-111YS-1526-SM-5GZYW 60-69 years, male 1131.2
GTEX-ZYFG-1526-SM-5GZYM 60-69 years, female 1129.6
GTEX-18QFQ-1826-SM-72D52 30-39 years, male 1127.9
GTEX-1R46S-2426-SM-E76QA 60-69 years, female 1127.1
GTEX-1EU9M-1426-SM-793AI 60-69 years, male 1124.7
GTEX-ZWKS-0626-SM-5GIDV 30-39 years, male 1124.4
GTEX-ZLFU-1826-SM-4WWBV 40-49 years, male 1119.9
GTEX-13N2G-0226-SM-5K7VF 60-69 years, male 1119.3
GTEX-13VXU-0626-SM-5L3F9 50-59 years, male 1118.9
GTEX-1K9T9-1526-SM-DIPFR 50-59 years, female 1117.7
GTEX-ZLWG-0826-SM-59888 50-59 years, female 1116.5
GTEX-14A6H-2026-SM-5Q5DD 30-39 years, male 1116.0
GTEX-1S82P-2126-SM-E6CI5 60-69 years, female 1114.7
GTEX-1314G-1326-SM-5BC6E 30-39 years, male 1114.0
GTEX-146FQ-2126-SM-5RQHU 30-39 years, male 1114.0
GTEX-X3Y1-2026-SM-3P5YM 40-49 years, male 1111.2
GTEX-14LLW-2626-SM-62LDZ 70-79 years, female 1108.6
GTEX-139D8-1126-SM-5LU8W 30-39 years, female 1106.8
GTEX-11EQ8-0926-SM-5H12V 60-69 years, male 1104.3
GTEX-17MF6-2626-SM-79OKQ 40-49 years, male 1102.2
GTEX-ZZPU-0826-SM-5GZX5 50-59 years, female 1101.8
GTEX-ZZ64-1026-SM-5GZXG 20-29 years, male 1096.8
GTEX-1477Z-0326-SM-7IGLA 60-69 years, male 1096.5
GTEX-17KNJ-2126-SM-718AM 50-59 years, male 1095.6
GTEX-V1D1-2026-SM-3GAF4 50-59 years, male 1095.3
GTEX-XAJ8-1426-SM-47JYM 40-49 years, male 1091.9
GTEX-15EO6-2426-SM-6PALZ 50-59 years, male 1091.1
GTEX-1HSKV-1226-SM-ADEI4 60-69 years, male 1087.5
GTEX-ZDTT-0426-SM-4WKFL 60-69 years, male 1082.9
GTEX-YF7O-1526-SM-5IFI6 50-59 years, male 1078.9
GTEX-1HKZK-0726-SM-ACKW2 40-49 years, male 1078.4
GTEX-1GF9V-0826-SM-9KNUV 60-69 years, male 1077.2
GTEX-1F88F-0126-SM-9WYSZ 60-69 years, female 1077.0
GTEX-ZT9W-1126-SM-57WDR 50-59 years, male 1076.9
GTEX-1EN7A-2426-SM-793DB 40-49 years, male 1076.0
GTEX-1LVAO-2726-SM-E9TJ8 60-69 years, male 1071.2
GTEX-13NZ8-1226-SM-5KM4A 60-69 years, female 1066.6
GTEX-1IOXB-2726-SM-CM2RI 50-59 years, male 1065.6
GTEX-1B8KE-1126-SM-7EPHI 50-59 years, male 1065.2
GTEX-145MI-0626-SM-5SI8S 60-69 years, female 1064.9
GTEX-1122O-1026-SM-9WYSF 60-69 years, female 1064.3
GTEX-13O3Q-0126-SM-5KM34 50-59 years, male 1060.1
GTEX-1K2DA-1026-SM-CGQGF 50-59 years, male 1057.4
GTEX-13OW7-0426-SM-5K7VK 50-59 years, male 1056.4
GTEX-1GMR8-0626-SM-7RHI7 50-59 years, female 1056.1
GTEX-1269C-0126-SM-5EQ5L 60-69 years, female 1055.9
GTEX-183FY-1026-SM-7939A 20-29 years, male 1055.5
GTEX-13NYS-0626-SM-5L3F1 60-69 years, male 1053.4
GTEX-1KXAM-1626-SM-D3LAD 60-69 years, male 1052.8
GTEX-1KANC-1226-SM-CYPT7 50-59 years, female 1052.5
GTEX-1RMOY-1326-SM-E9TIH 50-59 years, male 1047.4
GTEX-XPVG-2126-SM-4B667 50-59 years, male 1047.0
GTEX-X4EP-0626-SM-3P621 60-69 years, female 1045.6
GTEX-WYJK-0526-SM-3NM8Z 50-59 years, male 1045.0
GTEX-1F5PL-0926-SM-7PC2W 40-49 years, female 1044.2
GTEX-1CB4I-0126-SM-7RHGG 50-59 years, male 1043.7
GTEX-1LB8K-0726-SM-D5OV2 50-59 years, male 1038.8
GTEX-14PJ5-1526-SM-6LLIL 60-69 years, female 1038.6
GTEX-XUW1-0926-SM-4BONX 50-59 years, female 1037.0
GTEX-1C6VR-0126-SM-7RHGB 60-69 years, male 1034.8
GTEX-17EVP-2626-SM-7IGMA 40-49 years, male 1034.6
GTEX-11UD2-2526-SM-5CVNU 50-59 years, male 1031.0
GTEX-13X6I-1826-SM-5SIAO 60-69 years, male 1025.2
GTEX-1CB4F-1026-SM-7DUH1 60-69 years, male 1024.5
GTEX-15CHR-1126-SM-7EWF4 50-59 years, male 1020.7
GTEX-12WSA-0426-SM-5EQ5X 60-69 years, male 1020.5
GTEX-YFCO-1226-SM-5LUAT 40-49 years, male 1017.1
GTEX-1A8G7-1326-SM-73KVM 60-69 years, male 1017.0
GTEX-1GMR2-0826-SM-7PC3V 50-59 years, male 1013.7
GTEX-1LVAM-0726-SM-E6CIL 50-59 years, female 1007.9
GTEX-1KANA-1326-SM-DIPFA 20-29 years, male 997.9
GTEX-11GS4-0226-SM-5HL77 60-69 years, male 997.3
GTEX-1QP29-1826-SM-DTX9S 50-59 years, male 992.4
GTEX-13113-1626-SM-5EQ4I 60-69 years, female 980.5
GTEX-1A3MV-1826-SM-731CD 30-39 years, male 980.1
GTEX-VJYA-1526-SM-3GIJV 60-69 years, male 979.6
GTEX-1JK1U-0226-SM-ARZMX 60-69 years, male 979.3
GTEX-1ICLY-0826-SM-CMKG1 50-59 years, male 977.6
GTEX-1GPI6-1926-SM-9KNV7 60-69 years, male 974.3
GTEX-1EMGI-2326-SM-7PBYA 60-69 years, male 967.7
GTEX-11P82-1426-SM-DTXFY 20-29 years, male 966.5
GTEX-1GL5R-1326-SM-7RHHF 50-59 years, male 965.4
GTEX-1GN73-0726-SM-7P8TJ 60-69 years, male 965.1
GTEX-14PKU-0126-SM-6LLHV 40-49 years, female 962.3
GTEX-1GZ4H-0526-SM-9KNU9 50-59 years, female 956.3
GTEX-14PJ6-2626-SM-6EU2T 60-69 years, female 950.6
GTEX-1IDJI-0126-SM-CMKHS 50-59 years, female 950.5
GTEX-15CHC-1126-SM-6LLHQ 60-69 years, female 947.4
GTEX-1399R-1326-SM-5PNYS 30-39 years, male 945.0
GTEX-1B8L1-2226-SM-7P8PT 60-69 years, male 941.4
GTEX-1HCVE-2726-SM-CL54F 50-59 years, male 940.9
GTEX-1H3NZ-2726-SM-9WYTQ 60-69 years, male 940.0
GTEX-14753-0726-SM-5QGQO 60-69 years, male 936.4
GTEX-1S83E-1326-SM-E6CJM 40-49 years, male 936.0
GTEX-ZP4G-1426-SM-4WWCL 20-29 years, female 929.8
GTEX-1R7EU-1626-SM-DTXG3 60-69 years, male 927.8
GTEX-17HII-1426-SM-7EPGG 50-59 years, male 926.3
GTEX-145LT-0526-SM-5LUB2 40-49 years, male 923.2
GTEX-1QP28-1126-SM-EVYC4 50-59 years, female 917.1
GTEX-1JKYR-0626-SM-ARL8R 20-29 years, male 916.1
GTEX-1I1GT-1026-SM-ARZLV 60-69 years, female 911.2
GTEX-147JS-0226-SM-5S2U9 60-69 years, male 907.3
GTEX-17F98-1326-SM-7DUEP 40-49 years, female 900.6
GTEX-1J1R8-2026-SM-CL53Y 40-49 years, male 887.9
GTEX-1LBAC-0826-SM-CY8IJ 20-29 years, male 885.6
GTEX-1QP2A-1726-SM-E76QC 50-59 years, male 884.8
GTEX-1JKYN-0826-SM-ARU8S 30-39 years, male 884.5
GTEX-1IDJV-0126-SM-COH3Y 60-69 years, male 872.7
GTEX-1QPFJ-1926-SM-EVYBD 30-39 years, female 854.4
GTEX-13PVR-0426-SM-5RQK2 60-69 years, female 849.0
GTEX-16AAH-0626-SM-793C9 50-59 years, male 846.4
GTEX-1HBPM-0726-SM-9YFL7 60-69 years, female 846.0
GTEX-14JG6-1426-SM-9WG7C 30-39 years, female 842.1
GTEX-13OW8-1026-SM-5J1NQ 60-69 years, male 840.2
GTEX-133LE-2326-SM-5K7W3 20-29 years, female 836.3
GTEX-139T8-0626-SM-5KLZX 60-69 years, male 836.1
GTEX-1HCU8-2526-SM-CE6RX 60-69 years, female 835.4
GTEX-ZPCL-1126-SM-4WWFE 60-69 years, female 830.6
GTEX-Y5V5-0126-SM-5S2NW 60-69 years, female 823.2
GTEX-ZVZP-1226-SM-5GID7 50-59 years, male 821.8
GTEX-1GF9X-1326-SM-7PC2Y 40-49 years, female 819.1
GTEX-14B4R-1326-SM-5Q5EZ 30-39 years, male 816.2
GTEX-1I4MK-0126-SM-CY8G6 50-59 years, female 795.4
GTEX-1LGRB-0926-SM-COH3K 50-59 years, female 792.1
GTEX-1F5PK-2226-SM-7SB6N 50-59 years, male 771.3
GTEX-1HSGN-0826-SM-ACKW3 40-49 years, female 763.5
GTEX-11VI4-1126-SM-5EQMD 40-49 years, female 758.7
GTEX-WYVS-1626-SM-3NM9R 40-49 years, female 745.9
GTEX-13VXT-1926-SM-5K7UO 20-29 years, female 743.4
GTEX-178AV-1726-SM-7KUL8 40-49 years, male 743.0
GTEX-13FTW-0326-SM-5K7UW 40-49 years, male 739.9
GTEX-15FZZ-0526-SM-7KUGD 30-39 years, female 737.9
GTEX-14C5O-0326-SM-5ZZUX 60-69 years, male 737.8
GTEX-1NV5F-0626-SM-DTXEG 60-69 years, female 737.8
GTEX-1CB4H-1126-SM-7MKGL 60-69 years, female 724.2
GTEX-14AS3-1526-SM-5Q5ED 40-49 years, female 721.9
GTEX-ZLV1-1526-SM-DO91J 60-69 years, female 721.4
GTEX-16BQI-1326-SM-6M486 30-39 years, female 713.9
GTEX-13O61-1426-SM-5KM3D 60-69 years, male 697.3
GTEX-ZGAY-1826-SM-DO91Q 40-49 years, female 692.7
GTEX-1C2JI-1026-SM-73KY1 50-59 years, male 690.4
GTEX-XQ8I-0926-SM-4BOOF 50-59 years, male 688.3
GTEX-ZVT2-0126-SM-5GIDQ 50-59 years, female 680.2
GTEX-ZTSS-1426-SM-5985P 40-49 years, male 669.5
GTEX-1MCC2-1826-SM-DIPEX 30-39 years, female 649.1
GTEX-1IDJU-1726-SM-CMKHU 60-69 years, female 647.2
GTEX-14PJN-1826-SM-6AJ98 30-39 years, male 645.9
GTEX-1AMFI-1326-SM-7939R 50-59 years, female 616.3
GTEX-1AMEY-0826-SM-72D65 30-39 years, female 485.4
Show allShow less
Skin - Sun Exposed (Lower leg)
Average nTPM: 1718.3
Samples: 701

Max nTPM: 8598.8
Min nTPM: 539.6
Std nTPM: 747.7
Median nTPM: 1589.2
GTEX-SE5C-1626-SM-2XCE3 40-49 years, female 8598.8
GTEX-POMQ-2226-SM-2I5FK 20-29 years, female 5352.1
GTEX-O5YT-0126-SM-48TBW 20-29 years, male 5025.5
GTEX-11UD1-0126-SM-5PNYG 40-49 years, female 4728.6
GTEX-15UF6-0826-SM-6PALJ 70-79 years, female 4667.9
GTEX-14XAO-2326-SM-6EU1B 60-69 years, female 4660.6
GTEX-1A3MX-0126-SM-731BR 60-69 years, male 4656.8
GTEX-15SB6-1726-SM-6PAME 50-59 years, female 4529.5
GTEX-1IKK5-0626-SM-ARL8A 60-69 years, male 4513.8
GTEX-X4XY-0226-SM-4E3IZ 60-69 years, male 4462.9
GTEX-11TT1-2526-SM-5EGIB 20-29 years, male 4393.9
GTEX-ZVZO-0126-SM-5A5L9 40-49 years, male 4378.1
GTEX-1QAET-0926-SM-E76QM 50-59 years, male 4264.2
GTEX-183WM-0126-SM-7LTAB 70-79 years, female 4012.5
GTEX-1ICLZ-0126-SM-CKZPO 60-69 years, male 3943.2
GTEX-W5X1-3026-SM-EAZAX 40-49 years, female 3938.1
GTEX-14E6C-0126-SM-5RQIP 40-49 years, male 3936.6
GTEX-15D1Q-0126-SM-7KUG6 40-49 years, male 3881.9
GTEX-1JMQL-0226-SM-CNPP5 50-59 years, female 3662.6
GTEX-1R9K4-0126-SM-DTX9X 60-69 years, male 3569.3
GTEX-1HSMO-0126-SM-CL547 60-69 years, male 3497.8
GTEX-1A3MW-0126-SM-73KXX 60-69 years, female 3442.5
GTEX-RUSQ-1526-SM-2TF62 50-59 years, male 3420.7
GTEX-1C6VQ-0126-SM-7P8RI 50-59 years, male 3413.9
GTEX-WI4N-1026-SM-3LK7N 40-49 years, female 3279.4
GTEX-X4XX-0126-SM-3NMC2 60-69 years, male 3229.8
GTEX-1H3VE-0326-SM-9YFLH 40-49 years, male 3059.3
GTEX-13CF2-2526-SM-5LZYX 60-69 years, male 3056.3
GTEX-1399U-2326-SM-5K7WY 50-59 years, female 3017.4
GTEX-11DXZ-2326-SM-5EGGV 50-59 years, male 2995.6
GTEX-12584-0126-SM-5EGKQ 40-49 years, male 2950.1
GTEX-RU72-0926-SM-2TF6B 50-59 years, female 2919.7
GTEX-14PN4-0126-SM-6EU2V 50-59 years, male 2917.3
GTEX-OXRO-0126-SM-2YUN4 60-69 years, female 2903.3
GTEX-139UW-2826-SM-5L3E7 60-69 years, male 2898.0
GTEX-TKQ1-1026-SM-4GICL 30-39 years, male 2891.6
GTEX-ZPIC-1726-SM-DHXIU 40-49 years, female 2843.6
GTEX-13X6H-2126-SM-7EWD5 50-59 years, female 2810.7
GTEX-1LC47-0326-SM-E9TJP 60-69 years, male 2796.5
GTEX-QEG4-0226-SM-2S1PY 30-39 years, male 2794.8
GTEX-U8XE-0326-SM-3DB8P 30-39 years, male 2791.7
GTEX-1N2DW-0226-SM-E9TK2 50-59 years, male 2791.7
GTEX-S7PM-0126-SM-4AD6S 60-69 years, male 2767.1
GTEX-12126-0326-SM-5PNW3 20-29 years, male 2753.1
GTEX-1R9PO-2126-SM-E9J4O 60-69 years, female 2750.3
GTEX-1HB9E-0226-SM-E9U4R 50-59 years, male 2741.7
GTEX-1GF9W-0326-SM-9KNUN 60-69 years, male 2699.2
GTEX-15EOM-0126-SM-7KUGG 20-29 years, female 2695.6
GTEX-14E6E-1826-SM-5S2R7 30-39 years, male 2688.5
GTEX-144GN-2326-SM-5LU4F 50-59 years, male 2676.2
GTEX-1H1DE-2126-SM-9WG6R 20-29 years, male 2675.0
GTEX-1RLM8-2326-SM-EWRN4 50-59 years, male 2673.5
GTEX-T5JC-0426-SM-32PLO 20-29 years, male 2672.5
GTEX-ZYW4-0126-SM-5E44A 60-69 years, male 2672.5
GTEX-1H1CY-2826-SM-9MQM3 60-69 years, female 2672.4
GTEX-S33H-1026-SM-EZ6L6 30-39 years, male 2668.1
GTEX-1JN76-0126-SM-CNPPE 20-29 years, female 2652.3
GTEX-R55G-2526-SM-2TC6D 40-49 years, female 2645.9
GTEX-OIZH-0126-SM-2HMIS 50-59 years, male 2644.6
GTEX-1HGF4-2426-SM-ACKXM 60-69 years, male 2638.7
GTEX-ZE9C-2726-SM-57WB5 60-69 years, male 2634.6
GTEX-1CAMS-0426-SM-7P8T2 40-49 years, female 2625.4
GTEX-1I1GV-0526-SM-A9G29 60-69 years, male 2625.4
GTEX-Y3IK-2426-SM-4WWDU 50-59 years, female 2610.8
GTEX-1AX8Z-0126-SM-7DHM6 60-69 years, male 2595.2
GTEX-146FH-0126-SM-5QGPP 50-59 years, female 2589.9
GTEX-1AYCT-2426-SM-7IGQ3 50-59 years, male 2567.3
GTEX-1H3VY-0126-SM-ACKXD 50-59 years, male 2566.2
GTEX-1NV5F-0226-SM-E8VNY 60-69 years, female 2561.3
GTEX-1PWST-0226-SM-E76QJ 70-79 years, male 2551.9
GTEX-139TS-2826-SM-5J1OO 60-69 years, male 2551.5
GTEX-SN8G-0126-SM-32PLI 50-59 years, female 2550.9
GTEX-ZYFD-0126-SM-5GIDL 50-59 years, male 2544.8
GTEX-11ZVC-2526-SM-5FQTE 50-59 years, female 2527.6
GTEX-XYKS-2126-SM-4E3IB 60-69 years, female 2522.1
GTEX-15DDE-0126-SM-6LPKH 50-59 years, female 2513.2
GTEX-131XE-2326-SM-5PNZ2 50-59 years, male 2506.9
GTEX-1JMQI-2226-SM-CM2SD 50-59 years, male 2482.3
GTEX-SIU8-0126-SM-2XCDT 50-59 years, male 2474.9
GTEX-16MT8-0426-SM-7KUEY 60-69 years, female 2458.4
GTEX-14JIY-0126-SM-6LLH6 60-69 years, male 2453.2
GTEX-1GPI6-0126-SM-9WG69 60-69 years, male 2436.5
GTEX-117YW-2626-SM-5GZZH 50-59 years, male 2426.4
GTEX-ZF3C-0126-SM-DO92D 50-59 years, female 2422.7
GTEX-ZTPG-0326-SM-5O9AX 20-29 years, female 2409.8
GTEX-1H23P-0126-SM-ADEJ3 60-69 years, male 2408.3
GTEX-1JMPZ-0226-SM-CNPP1 30-39 years, male 2407.0
GTEX-NPJ8-0126-SM-2YUNR 40-49 years, male 2406.5
GTEX-144FL-0126-SM-5TDC8 50-59 years, male 2396.2
GTEX-11TUW-2726-SM-E9J4M 60-69 years, male 2390.5
GTEX-1I1GU-2226-SM-CGQFA 40-49 years, male 2390.2
GTEX-ZAB4-0226-SM-5N9F5 40-49 years, male 2389.3
GTEX-132NY-0326-SM-5IJBL 60-69 years, male 2386.5
GTEX-ZDTS-0126-SM-4WAY5 60-69 years, male 2376.6
GTEX-Y8DK-0126-SM-4TT3L 60-69 years, male 2373.5
GTEX-QESD-1426-SM-2S1R9 20-29 years, male 2367.6
GTEX-13U4I-0126-SM-5LU38 40-49 years, female 2355.9
GTEX-18A6Q-0126-SM-731BZ 60-69 years, male 2352.1
GTEX-1GTWX-0126-SM-9YFLK 60-69 years, male 2346.4
GTEX-15UKP-0426-SM-7KUFQ 20-29 years, male 2339.9
GTEX-WFG8-2226-SM-3GIL9 20-29 years, male 2334.7
GTEX-PX3G-0126-SM-2I3EN 20-29 years, female 2332.0
GTEX-1L5NE-2526-SM-E6CIE 50-59 years, male 2331.5
GTEX-131XG-2626-SM-5KM17 50-59 years, female 2326.8
GTEX-13FHO-0226-SM-5IFGY 60-69 years, male 2319.7
GTEX-YJ8A-0426-SM-5IFID 20-29 years, male 2318.6
GTEX-XBED-2226-SM-47JYQ 60-69 years, male 2316.1
GTEX-1PBJI-0526-SM-E8VNK 20-29 years, female 2313.8
GTEX-X8HC-0126-SM-4E3JW 50-59 years, female 2312.9
GTEX-Y3I4-2126-SM-4TT7C 50-59 years, male 2306.9
GTEX-QDVN-2026-SM-3GAEP 50-59 years, male 2297.5
GTEX-13FTW-2626-SM-5K7WL 40-49 years, male 2295.1
GTEX-1497J-2426-SM-7IGNX 60-69 years, male 2293.3
GTEX-1313W-0126-SM-5LZUN 50-59 years, female 2285.2
GTEX-Q734-1926-SM-2I5EV 40-49 years, female 2279.6
GTEX-1211K-2026-SM-5EQ4Z 60-69 years, female 2278.6
GTEX-11ZU8-2526-SM-5EQKI 60-69 years, male 2261.8
GTEX-1JMLX-0226-SM-CM2RO 50-59 years, male 2260.5
GTEX-1C6WA-0126-SM-7PC2B 60-69 years, male 2251.6
GTEX-13G51-2526-SM-5LZYK 60-69 years, male 2249.6
GTEX-1PDJ9-0326-SM-DTX95 20-29 years, male 2238.8
GTEX-WOFL-0126-SM-3MJG2 60-69 years, male 2222.1
GTEX-1CAV2-2226-SM-7P8P2 40-49 years, female 2218.0
GTEX-OHPL-0126-SM-2HMJ7 60-69 years, female 2210.9
GTEX-TMZS-0126-SM-3DB9Q 60-69 years, male 2208.6
GTEX-QDVJ-1726-SM-2I5FX 50-59 years, male 2207.0
GTEX-Y5V6-2426-SM-4VDSB 60-69 years, male 2195.3
GTEX-1F75B-0126-SM-9KNVL 50-59 years, male 2193.2
GTEX-X88G-0126-SM-47JZ3 30-39 years, male 2190.2
GTEX-13X6J-0126-SM-5QGOU 50-59 years, male 2190.0
GTEX-RVPV-0126-SM-EAZAW 60-69 years, male 2186.1
GTEX-Q2AI-1326-SM-2S1PL 40-49 years, male 2181.3
GTEX-Y114-2426-SM-4TT8A 50-59 years, female 2180.7
GTEX-1GN1V-0126-SM-9WPOS 60-69 years, male 2178.2
GTEX-1AX9I-0126-SM-7SB74 60-69 years, male 2171.7
GTEX-Y111-0126-SM-4SOIV 50-59 years, male 2170.8
GTEX-1HFI6-0226-SM-ADEHZ 40-49 years, male 2169.8
GTEX-ZE7O-0126-SM-57WC1 50-59 years, female 2166.0
GTEX-11WQC-2526-SM-5CVLE 60-69 years, male 2157.5
GTEX-XQ3S-1526-SM-4BOOC 20-29 years, male 2155.8
GTEX-147F4-0226-SM-5QGPW 50-59 years, male 2142.7
GTEX-1IDJF-0126-SM-CM2RS 20-29 years, male 2137.5
GTEX-148VJ-0126-SM-5TDDN 70-79 years, male 2137.2
GTEX-16XZZ-0126-SM-793DV 60-69 years, male 2129.3
GTEX-1HCUA-2426-SM-ADEIS 50-59 years, female 2128.3
GTEX-RTLS-0126-SM-447CA 60-69 years, female 2118.7
GTEX-1N2EF-0226-SM-EYYXB 60-69 years, male 2111.5
GTEX-13OVI-1426-SM-5L3EY 60-69 years, female 2111.4
GTEX-12WSD-0126-SM-59HKN 60-69 years, female 2098.8
GTEX-1I6K6-0126-SM-A9SLE 30-39 years, male 2092.7
GTEX-1EWIQ-0126-SM-7RHH2 70-79 years, female 2092.5
GTEX-1C4CL-0526-SM-73KVK 30-39 years, male 2089.3
GTEX-18D9A-1926-SM-7LG6P 30-39 years, female 2085.1
GTEX-1RAZQ-0726-SM-EAZ43 30-39 years, male 2084.2
GTEX-13O1R-0126-SM-5L3EH 60-69 years, male 2082.4
GTEX-1JN6P-0126-SM-D3L98 60-69 years, male 2081.5
GTEX-1JMQJ-0526-SM-CYPSU 50-59 years, male 2081.1
GTEX-1F6I4-0126-SM-9MQL2 60-69 years, male 2080.9
GTEX-1F75A-0126-SM-7RHGM 50-59 years, male 2079.8
GTEX-T2YK-0526-SM-32QPJ 50-59 years, male 2078.0
GTEX-145LT-1726-SM-5QGP3 40-49 years, male 2073.0
GTEX-12WSK-2326-SM-5GCOH 40-49 years, female 2071.7
GTEX-1JMPY-1326-SM-ARL8Y 30-39 years, male 2071.4
GTEX-1H1DG-0126-SM-9WYU2 70-79 years, male 2069.4
GTEX-OHPM-0126-SM-2YUN9 50-59 years, male 2065.7
GTEX-15SHW-0326-SM-6PAML 60-69 years, male 2053.7
GTEX-1H3O1-0426-SM-9YFKY 60-69 years, male 2046.2
GTEX-14ICK-0226-SM-6EU25 40-49 years, male 2043.6
GTEX-1GN2E-0426-SM-9MQKX 60-69 years, male 2040.5
GTEX-1HSMP-0126-SM-E6CJS 70-79 years, male 2032.6
GTEX-ZU9S-0226-SM-5E441 30-39 years, male 2030.1
GTEX-1QP9N-1426-SM-DTXFL 30-39 years, male 2029.4
GTEX-11WQK-0526-SM-5EQLD 50-59 years, male 2028.4
GTEX-X5EB-2226-SM-46MW4 40-49 years, male 2024.7
GTEX-11ZTS-0126-SM-5EQ6M 60-69 years, female 2024.6
GTEX-VJWN-0126-SM-3GIK7 50-59 years, female 2024.1
GTEX-S7SE-0126-SM-2XCD5 50-59 years, male 2015.2
GTEX-OIZG-0726-SM-33HBL 50-59 years, male 2014.5
GTEX-T6MN-0126-SM-32PLP 50-59 years, male 2010.2
GTEX-1J8EW-0126-SM-CJI4F 60-69 years, female 2004.3
GTEX-1HBPH-0426-SM-B2LW5 40-49 years, female 2001.1
GTEX-X585-0226-SM-4QAS2 50-59 years, male 1998.6
GTEX-12WSE-0526-SM-793B2 20-29 years, male 1998.5
GTEX-17EVQ-0226-SM-7LG4P 70-79 years, male 1998.5
GTEX-13NYB-2526-SM-5K7Z6 40-49 years, male 1994.2
GTEX-1HBPI-1526-SM-C1YQ1 50-59 years, male 1986.4
GTEX-1K2DU-2326-SM-E9TIV 20-29 years, male 1986.2
GTEX-18465-0126-SM-731BN 50-59 years, male 1982.3
GTEX-U8T8-0126-SM-3DB94 60-69 years, male 1962.4
GTEX-YFC4-0126-SM-5CVLY 40-49 years, female 1962.0
GTEX-13YAN-0326-SM-5O9DF 60-69 years, male 1961.2
GTEX-XMD2-0126-SM-4YCDU 60-69 years, female 1960.8
GTEX-11P7K-2126-SM-5GU7G 30-39 years, male 1958.7
GTEX-1PPH7-2326-SM-EVYB8 40-49 years, male 1955.0
GTEX-RNOR-0126-SM-E9J4R 50-59 years, female 1952.0
GTEX-13CF3-2426-SM-5IFGX 60-69 years, female 1951.8
GTEX-1HR98-0126-SM-B2LWI 60-69 years, male 1951.4
GTEX-15ER7-0326-SM-7KUEV 20-29 years, female 1938.1
GTEX-1JMQK-0226-SM-CL543 60-69 years, male 1936.7
GTEX-11ZUS-0626-SM-59885 30-39 years, male 1935.6
GTEX-1LGOU-2026-SM-DIPFF 20-29 years, female 1935.6
GTEX-1KD5A-0226-SM-D5OV3 50-59 years, male 1934.2
GTEX-13FXS-0226-SM-5IJCK 50-59 years, male 1933.6
GTEX-1EX96-1626-SM-7PBXR 50-59 years, male 1931.4
GTEX-1KD4Q-0226-SM-E9TJ9 40-49 years, male 1930.0
GTEX-PSDG-0226-SM-DKPOZ 50-59 years, male 1929.8
GTEX-11GS4-2726-SM-5A5LE 60-69 years, male 1927.7
GTEX-Z93S-0126-SM-5HL7M 50-59 years, male 1922.5
GTEX-XUZC-1726-SM-4BRWS 30-39 years, female 1922.0
GTEX-X4EO-0326-SM-3P5YO 60-69 years, female 1919.1
GTEX-1I1GP-2226-SM-CGQFK 50-59 years, male 1914.4
GTEX-OOBJ-0126-SM-E6CJW 60-69 years, male 1909.7
GTEX-14BIL-0126-SM-5SI92 50-59 years, male 1909.5
GTEX-15SHU-0126-SM-7KUEH 40-49 years, female 1907.1
GTEX-Z93T-0126-SM-5HL5N 50-59 years, male 1898.0
GTEX-1MCQQ-0826-SM-DLHC2 60-69 years, male 1895.4
GTEX-R55E-0126-SM-2TC5Y 20-29 years, male 1894.6
GTEX-13NYS-0126-SM-5MR3W 60-69 years, male 1893.5
GTEX-1RDX4-0126-SM-E9J4P 50-59 years, female 1892.3
GTEX-17HG3-2226-SM-7938L 30-39 years, female 1891.5
GTEX-1KANB-0526-SM-E6CJH 50-59 years, male 1886.9
GTEX-T2IS-0126-SM-4DM6O 20-29 years, female 1884.4
GTEX-111VG-2426-SM-5GZXD 60-69 years, male 1883.5
GTEX-1F75I-0326-SM-9YFLU 40-49 years, male 1881.6
GTEX-1B8KE-2126-SM-73KYX 50-59 years, male 1879.7
GTEX-131XF-5016-SM-7MGWE 60-69 years, male 1876.2
GTEX-11H98-0126-SM-5EGHG 50-59 years, male 1875.6
GTEX-13O3Q-2426-SM-5IJBR 50-59 years, male 1875.3
GTEX-1OFPY-2426-SM-DTXEJ 60-69 years, male 1872.3
GTEX-RN64-0126-SM-2TC68 50-59 years, male 1868.5
GTEX-P4QT-0126-SM-2I3FL 50-59 years, female 1865.1
GTEX-WZTO-0126-SM-3NM95 40-49 years, male 1864.8
GTEX-1PIIG-0226-SM-EWRN6 30-39 years, male 1863.5
GTEX-U412-0426-SM-3DB9O 60-69 years, male 1861.5
GTEX-13FH7-2026-SM-E9J4I 50-59 years, female 1859.2
GTEX-15G19-0126-SM-6PANQ 60-69 years, male 1848.3
GTEX-1BAJH-0526-SM-793CQ 70-79 years, male 1844.4
GTEX-11DYG-0126-SM-59883 60-69 years, male 1843.7
GTEX-1LG7Y-0526-SM-DKPQC 50-59 years, male 1841.9
GTEX-ZVT4-0126-SM-DTXFN 50-59 years, female 1840.1
GTEX-O5YW-0126-SM-3LK6D 50-59 years, male 1838.7
GTEX-14A5I-0126-SM-5TDEA 50-59 years, female 1836.1
GTEX-145MF-0626-SM-5LUAI 50-59 years, male 1832.3
GTEX-1EMGI-0126-SM-9KNUE 60-69 years, male 1831.9
GTEX-1IOXB-0126-SM-ARL8G 50-59 years, male 1827.5
GTEX-1KWVE-1426-SM-E9TJO 30-39 years, male 1824.2
GTEX-1CB4E-2226-SM-793DC 60-69 years, male 1823.8
GTEX-1M5QR-1226-SM-EWROB 40-49 years, male 1823.6
GTEX-1IDFM-0126-SM-COH2V 60-69 years, male 1823.4
GTEX-18A7A-0226-SM-718BH 50-59 years, female 1819.5
GTEX-UPJH-0326-SM-3GADU 50-59 years, male 1818.1
GTEX-113JC-2326-SM-5EQ4E 50-59 years, female 1812.5
GTEX-XXEK-2226-SM-4BRUM 50-59 years, male 1806.7
GTEX-13OW7-0126-SM-5MR3B 50-59 years, male 1805.5
GTEX-1I19N-0326-SM-ACKVX 70-79 years, male 1805.1
GTEX-1HUB1-0426-SM-E9U4U 60-69 years, male 1803.1
GTEX-11NUK-0126-SM-5A5L3 50-59 years, male 1802.8
GTEX-12WSG-2826-SM-E9J4H 50-59 years, female 1792.5
GTEX-1M4P7-0226-SM-DIPEV 60-69 years, male 1789.5
GTEX-ZTX8-1426-SM-5DUVO 20-29 years, male 1783.2
GTEX-11OF3-2626-SM-5GU7F 60-69 years, male 1781.6
GTEX-13FHP-0126-SM-5IJBG 50-59 years, male 1777.3
GTEX-X261-0126-SM-3NMD6 50-59 years, male 1775.1
GTEX-1B8L1-2526-SM-9WYTF 60-69 years, male 1774.5
GTEX-ZDYS-2026-SM-5HL5L 50-59 years, male 1774.3
GTEX-1IGQW-0126-SM-COH42 60-69 years, male 1772.0
GTEX-13W3W-2426-SM-5LU5B 60-69 years, female 1764.1
GTEX-11XUK-2026-SM-5EQLF 40-49 years, female 1761.3
GTEX-12WSJ-1826-SM-5GCNY 40-49 years, female 1761.1
GTEX-13SLW-0126-SM-5SI6C 70-79 years, male 1759.6
GTEX-1F6IF-0726-SM-7P8TW 60-69 years, male 1759.2
GTEX-1B933-0126-SM-7PC29 50-59 years, female 1758.7
GTEX-1CB4G-0226-SM-7PC3O 60-69 years, male 1758.5
GTEX-U4B1-1826-SM-4DXSU 40-49 years, male 1758.1
GTEX-1CB4J-0626-SM-7DHMP 60-69 years, male 1756.4
GTEX-11OC5-0126-SM-5HL6A 60-69 years, male 1747.8
GTEX-11O72-0126-SM-59887 40-49 years, male 1747.2
GTEX-14PII-0226-SM-6EU1T 60-69 years, male 1745.8
GTEX-Q2AH-1626-SM-3GAF8 40-49 years, male 1743.6
GTEX-14A5H-0426-SM-5QGQF 60-69 years, male 1741.2
GTEX-1F7RK-0126-SM-7PC2S 20-29 years, female 1740.8
GTEX-13N11-2526-SM-5K7UE 50-59 years, female 1737.2
GTEX-145MO-0326-SM-5Q5B3 60-69 years, male 1737.1
GTEX-17HHY-0126-SM-7LG5D 50-59 years, male 1733.2
GTEX-12ZZX-0126-SM-5EGK9 40-49 years, female 1728.7
GTEX-17HII-0226-SM-7LG4E 50-59 years, male 1727.4
GTEX-1LB8K-0226-SM-EWRNW 50-59 years, male 1724.6
GTEX-XAJ8-0826-SM-47JY6 40-49 years, male 1718.6
GTEX-14E6D-0126-SM-62LDV 50-59 years, male 1716.3
GTEX-1ICLY-0126-SM-D4P36 50-59 years, male 1709.4
GTEX-145MI-0526-SM-5O9A8 60-69 years, female 1709.1
GTEX-14DAR-2026-SM-5S2O3 50-59 years, male 1705.7
GTEX-PVOW-0126-SM-2XCFA 40-49 years, male 1703.6
GTEX-ZV6S-2326-SM-4YCEY 40-49 years, female 1702.0
GTEX-QV44-1926-SM-2S1RF 50-59 years, male 1701.9
GTEX-11ZTT-2426-SM-5EQLS 60-69 years, female 1700.4
GTEX-13111-1626-SM-5EGJY 50-59 years, male 1700.4
GTEX-1IL2V-0126-SM-CM2TX 70-79 years, male 1699.4
GTEX-17HGU-0226-SM-7DHKV 50-59 years, male 1698.4
GTEX-13NZ8-0826-SM-5MR3I 60-69 years, female 1698.0
GTEX-1CB4F-0426-SM-9KNV4 60-69 years, male 1697.6
GTEX-S32W-2126-SM-2XCB1 50-59 years, female 1697.0
GTEX-1HFI7-1826-SM-ACKXH 50-59 years, female 1695.6
GTEX-144GL-0126-SM-5TDE2 50-59 years, male 1694.8
GTEX-139TU-0126-SM-5K7WH 60-69 years, male 1694.2
GTEX-13OVK-2026-SM-7KUEO 40-49 years, male 1693.2
GTEX-14DAQ-0126-SM-5S2MQ 60-69 years, female 1690.1
GTEX-ZAK1-0126-SM-5IJD3 50-59 years, female 1689.8
GTEX-148VI-1626-SM-5SI6E 60-69 years, female 1685.0
GTEX-ZVTK-0426-SM-51MRS 20-29 years, male 1684.9
GTEX-169BO-1326-SM-9MQK2 50-59 years, male 1681.4
GTEX-131XH-2226-SM-5DUXJ 50-59 years, male 1678.8
GTEX-1B8SF-1426-SM-7DUGL 60-69 years, male 1677.9
GTEX-1AYD5-2426-SM-73KXR 50-59 years, male 1675.5
GTEX-ZV68-0126-SM-59HKS 50-59 years, female 1673.6
GTEX-1A8FM-0226-SM-7SB7Q 50-59 years, female 1672.2
GTEX-15EU6-0426-SM-6PAN5 50-59 years, male 1670.1
GTEX-11UD2-0226-SM-5EQKY 50-59 years, male 1670.0
GTEX-13OVJ-0126-SM-5KM36 50-59 years, female 1669.0
GTEX-1A32A-0126-SM-718B1 50-59 years, female 1668.1
GTEX-1B8SG-0126-SM-73KZ3 50-59 years, male 1662.4
GTEX-13O3O-0126-SM-E9J49 60-69 years, female 1661.6
GTEX-1399T-2826-SM-5KLYZ 60-69 years, male 1659.9
GTEX-1F6RS-0126-SM-9MQKZ 60-69 years, female 1656.6
GTEX-UJHI-1526-SM-3DB99 50-59 years, female 1652.9
GTEX-11GSP-2526-SM-5N9BP 60-69 years, female 1648.4
GTEX-131YS-0126-SM-5KM1M 60-69 years, female 1648.2
GTEX-1MJK2-0426-SM-DTXE5 50-59 years, male 1647.1
GTEX-1MA7X-2226-SM-E6CIY 60-69 years, male 1645.7
GTEX-1HT8W-0126-SM-CNPPP 30-39 years, male 1645.1
GTEX-13O21-1426-SM-5K7XI 50-59 years, male 1641.4
GTEX-1B996-0226-SM-7RHGO 60-69 years, male 1638.3
GTEX-1GZ2Q-0226-SM-7P8TL 40-49 years, male 1637.3
GTEX-12WSA-0226-SM-5BC5V 60-69 years, male 1637.2
GTEX-1F5PL-0326-SM-7P8PQ 40-49 years, female 1629.2
GTEX-1H1ZS-0426-SM-9WG6G 70-79 years, male 1626.8
GTEX-1269C-2526-SM-5EGJ3 60-69 years, female 1625.9
GTEX-1EU9M-0226-SM-7P8SP 60-69 years, male 1623.2
GTEX-13IVO-0126-SM-5J1NG 70-79 years, male 1617.5
GTEX-1RB15-2126-SM-E9TIM 60-69 years, male 1617.5
GTEX-14PK6-1926-SM-6ETZU 70-79 years, female 1610.3
GTEX-14PJM-0226-SM-62LF1 50-59 years, female 1603.4
GTEX-1EKGG-0226-SM-9WYTH 60-69 years, male 1601.8
GTEX-11DZ1-0126-SM-5985Q 50-59 years, male 1599.4
GTEX-1IKOH-0226-SM-COH4E 60-69 years, female 1599.3
GTEX-QVJO-1626-SM-2S1QW 60-69 years, female 1599.0
GTEX-18D9B-0526-SM-7LTAS 60-69 years, male 1598.9
GTEX-WH7G-2326-SM-3NMBC 40-49 years, male 1597.3
GTEX-1JN1M-0326-SM-CYPT3 60-69 years, female 1596.6
GTEX-14JG1-0426-SM-6ETZZ 40-49 years, male 1591.4
GTEX-13OVH-0126-SM-5MR4B 70-79 years, male 1589.2
GTEX-1HCU6-0126-SM-CL54K 60-69 years, female 1577.1
GTEX-P44H-0226-SM-2XCEU 40-49 years, male 1574.2
GTEX-ZYFC-0226-SM-5NQ75 50-59 years, male 1569.6
GTEX-WVJS-0126-SM-4MVOT 50-59 years, male 1568.8
GTEX-1POEN-0126-SM-EYYXJ 30-39 years, female 1562.5
GTEX-YB5K-2126-SM-4WWDJ 40-49 years, female 1560.0
GTEX-1IY9M-0126-SM-D3L8S 60-69 years, male 1559.4
GTEX-1GZHY-0326-SM-9QEHI 50-59 years, female 1557.9
GTEX-14E7W-0126-SM-6LLJ9 70-79 years, male 1554.9
GTEX-1I1GS-0126-SM-B2LVW 60-69 years, male 1553.5
GTEX-YJ89-0126-SM-4TT3X 60-69 years, male 1550.7
GTEX-16YQH-0126-SM-7DUFJ 30-39 years, male 1548.7
GTEX-Y5LM-1926-SM-5RQJH 40-49 years, female 1546.7
GTEX-131XW-0426-SM-5LZWP 50-59 years, female 1545.2
GTEX-V1D1-2226-SM-3NMAX 50-59 years, male 1545.0
GTEX-OOBK-0126-SM-2YUND 40-49 years, male 1544.9
GTEX-1IE54-0126-SM-CMKHW 40-49 years, female 1543.9
GTEX-13W46-0226-SM-5SIAG 50-59 years, male 1543.2
GTEX-13OW6-0426-SM-5L3HM 50-59 years, male 1540.5
GTEX-14BIM-0226-SM-7IGLD 60-69 years, female 1537.0
GTEX-117YX-2326-SM-5H12W 50-59 years, male 1536.7
GTEX-1PFEY-1526-SM-E76PP 30-39 years, male 1536.3
GTEX-P4PQ-0126-SM-2S1NM 60-69 years, male 1534.6
GTEX-1GMRU-0126-SM-9YFLV 50-59 years, male 1534.0
GTEX-1RQEC-0426-SM-E6CHU 60-69 years, male 1532.4
GTEX-X62O-0126-SM-4E3JN 50-59 years, male 1532.0
GTEX-11GSO-2426-SM-5A5LY 60-69 years, male 1529.9
GTEX-WY7C-2326-SM-3NB2U 50-59 years, male 1529.2
GTEX-1192W-2626-SM-5Q5AF 60-69 years, male 1527.4
GTEX-SUCS-1926-SM-32PM3 70-79 years, male 1526.6
GTEX-1J8JJ-0226-SM-CL53I 60-69 years, female 1523.8
GTEX-18QFQ-0126-SM-731BE 30-39 years, male 1522.9
GTEX-1C475-1826-SM-73KWA 40-49 years, female 1522.4
GTEX-1J8Q2-0526-SM-CM2RW 60-69 years, male 1513.8
GTEX-12696-2426-SM-5EQ6H 60-69 years, male 1513.2
GTEX-1ICG6-2526-SM-CGQFZ 70-79 years, female 1510.4
GTEX-13OW5-0126-SM-DTXFS 60-69 years, male 1504.3
GTEX-1314G-1526-SM-5EGK2 30-39 years, male 1503.5
GTEX-1OJC3-0126-SM-E76QX 20-29 years, male 1499.0
GTEX-11P81-2326-SM-59875 30-39 years, female 1493.1
GTEX-12WSL-2526-SM-5GCNJ 50-59 years, male 1493.0
GTEX-1CAMR-1926-SM-7EPI2 20-29 years, male 1492.8
GTEX-1GF9X-2026-SM-7PC3A 40-49 years, female 1491.9
GTEX-1KXAM-2226-SM-CYPTC 60-69 years, male 1489.1
GTEX-1192X-0226-SM-5H12D 50-59 years, male 1486.9
GTEX-13PDP-0126-SM-5L3HD 60-69 years, male 1485.1
GTEX-1QW4Y-1526-SM-EAZ3Z 30-39 years, male 1484.7
GTEX-1399R-2726-SM-5IJBA 30-39 years, male 1483.7
GTEX-WQUQ-0426-SM-3MJFU 60-69 years, male 1481.6
GTEX-1R7EV-2426-SM-EVYBG 40-49 years, male 1479.2
GTEX-1HCU9-1526-SM-A9SL7 20-29 years, male 1477.1
GTEX-15ETS-0126-SM-7KUMW 40-49 years, female 1473.8
GTEX-17MF6-0126-SM-7LG4F 40-49 years, male 1470.3
GTEX-QLQW-1126-SM-2S1Q8 30-39 years, male 1469.1
GTEX-16GPK-0126-SM-7DHLE 60-69 years, male 1465.9
GTEX-14753-0426-SM-5NQAM 60-69 years, male 1462.4
GTEX-ZDXO-3026-SM-5J1N5 60-69 years, male 1458.1
GTEX-1B97I-1626-SM-73KYO 40-49 years, male 1453.4
GTEX-139T4-0226-SM-5HL5S 50-59 years, female 1452.8
GTEX-ZAJG-0126-SM-5HL94 50-59 years, female 1452.6
GTEX-PW2O-1526-SM-7RHHB 20-29 years, male 1451.4
GTEX-OXRL-0126-SM-2YUMP 50-59 years, male 1447.3
GTEX-1HKZK-0326-SM-9WYUH 40-49 years, male 1447.3
GTEX-WXYG-2326-SM-4E3I6 50-59 years, female 1446.7
GTEX-13FTY-0526-SM-5L3EV 40-49 years, female 1445.9
GTEX-11DXW-0226-SM-5H122 40-49 years, male 1440.7
GTEX-1GN1U-0126-SM-7PBZK 50-59 years, female 1439.8
GTEX-12ZZZ-0626-SM-5DUXI 60-69 years, male 1433.5
GTEX-RWSA-0126-SM-2XCBB 40-49 years, male 1433.4
GTEX-1GPI7-0126-SM-9MQL8 20-29 years, male 1428.1
GTEX-1F88F-2726-SM-7PBZZ 60-69 years, female 1426.2
GTEX-17EVP-0326-SM-7DHLG 40-49 years, male 1421.6
GTEX-1GF9V-0326-SM-7RHI5 60-69 years, male 1418.9
GTEX-117XS-2726-SM-5N9BL 60-69 years, male 1416.2
GTEX-Y8E4-0626-SM-4WWDL 40-49 years, male 1412.8
GTEX-15DCD-0126-SM-7KUEK 70-79 years, female 1411.8
GTEX-18A7B-0126-SM-7LG64 70-79 years, male 1410.9
GTEX-VUSG-2526-SM-4KL1V 50-59 years, male 1410.0
GTEX-1KAFJ-2026-SM-CY8ID 50-59 years, male 1405.0
GTEX-13VXU-0126-SM-5SI9F 50-59 years, male 1404.5
GTEX-1HCU8-0626-SM-A9SM9 60-69 years, female 1404.0
GTEX-12KS4-0326-SM-5EQ41 30-39 years, male 1403.4
GTEX-1IDJH-0326-SM-A9SLQ 70-79 years, male 1403.4
GTEX-1HBPM-0226-SM-ARL9F 60-69 years, female 1402.8
GTEX-1R7EU-0226-SM-EVR4G 60-69 years, male 1402.5
GTEX-17JCI-0126-SM-7LG5G 60-69 years, female 1398.1
GTEX-1GF9U-2126-SM-7SB7L 40-49 years, female 1397.4
GTEX-1GN73-0226-SM-9WG67 60-69 years, male 1396.8
GTEX-P4PP-0126-SM-3LK69 30-39 years, female 1387.2
GTEX-13N1W-0126-SM-5K7VT 70-79 years, male 1386.1
GTEX-13RTJ-2426-SM-5S2Q2 60-69 years, male 1385.2
GTEX-XPVG-2626-SM-4B669 50-59 years, male 1382.5
GTEX-ZC5H-0226-SM-4WAY9 40-49 years, female 1382.1
GTEX-WRHK-1426-SM-3MJF9 20-29 years, female 1380.4
GTEX-14PHX-2326-SM-62LEM 50-59 years, male 1379.8
GTEX-OXRP-0126-SM-3NB32 60-69 years, female 1376.4
GTEX-14BMV-0126-SM-5S2PO 50-59 years, male 1375.4
GTEX-12WSN-5019-SM-79OM6 40-49 years, male 1370.9
GTEX-11DXY-2626-SM-5GIE7 60-69 years, male 1368.5
GTEX-ZWKS-0126-SM-5SIAA 30-39 years, male 1367.6
GTEX-14ABY-0226-SM-5TDCQ 50-59 years, male 1366.3
GTEX-145ME-1826-SM-5SI9G 40-49 years, female 1365.8
GTEX-ZVT2-2526-SM-51MT1 50-59 years, female 1363.7
GTEX-QLQ7-1626-SM-2S1R8 60-69 years, male 1356.5
GTEX-1O97I-0326-SM-EYYX7 60-69 years, male 1352.6
GTEX-1GMR3-1926-SM-9KNUZ 40-49 years, male 1350.9
GTEX-13S7M-0126-SM-5SI6A 60-69 years, female 1349.4
GTEX-14BIN-0626-SM-793DP 50-59 years, female 1347.7
GTEX-139T8-0126-SM-5K7XZ 60-69 years, male 1343.2
GTEX-1C6VR-2426-SM-79OLD 60-69 years, male 1339.7
GTEX-R45C-0126-SM-EAZ2R 60-69 years, female 1338.4
GTEX-14BMU-2226-SM-5TDE9 20-29 years, female 1338.3
GTEX-1EN7A-0126-SM-7SB81 40-49 years, male 1338.2
GTEX-111FC-0126-SM-5N9DL 60-69 years, male 1336.9
GTEX-1LSNM-1926-SM-E6CII 50-59 years, male 1331.8
GTEX-ZGAY-0526-SM-4WWBB 40-49 years, female 1329.3
GTEX-1LNCM-1126-SM-E9U5E 50-59 years, female 1329.0
GTEX-1QMI2-0226-SM-EVYBX 60-69 years, male 1326.7
GTEX-183FY-0126-SM-7LT9P 20-29 years, male 1321.1
GTEX-1HSKV-0226-SM-A9SKJ 60-69 years, male 1320.8
GTEX-13OVL-0226-SM-5L3E9 50-59 years, male 1320.4
GTEX-ZVZP-2426-SM-59HKJ 50-59 years, male 1320.1
GTEX-146FQ-0126-SM-5NQA9 30-39 years, male 1319.9
GTEX-1K2DA-1826-SM-CGQGT 50-59 years, male 1319.3
GTEX-1MGNQ-0126-SM-EVYCJ 40-49 years, male 1318.2
GTEX-1I1CD-0126-SM-CM2TK 60-69 years, female 1317.0
GTEX-YB5E-2026-SM-5IFIS 40-49 years, male 1316.5
GTEX-15RIG-0226-SM-7KFTL 40-49 years, male 1313.3
GTEX-ZVT3-0126-SM-5GU6I 60-69 years, female 1307.2
GTEX-1LG7Z-1726-SM-D3LA4 30-39 years, male 1306.5
GTEX-13PVR-2326-SM-5QGR1 60-69 years, female 1304.7
GTEX-1S3DN-2226-SM-EVYCD 50-59 years, male 1300.9
GTEX-1AX9K-2326-SM-73KWU 50-59 years, male 1300.2
GTEX-1I1GR-0126-SM-CL55F 60-69 years, male 1299.7
GTEX-15DYW-0126-SM-7KULE 60-69 years, female 1297.5
GTEX-T6MO-1626-SM-32QOM 40-49 years, female 1295.7
GTEX-1HBPN-0226-SM-9YFM1 50-59 years, male 1292.9
GTEX-OXRK-0226-SM-3NB2G 50-59 years, female 1292.3
GTEX-1B8KZ-2026-SM-7DHMB 50-59 years, male 1291.7
GTEX-Q2AG-0126-SM-33HBV 40-49 years, female 1290.6
GTEX-145LU-0126-SM-5TDCB 50-59 years, male 1290.2
GTEX-TSE9-0126-SM-3DB83 60-69 years, female 1290.2
GTEX-1QP66-1726-SM-E8VO1 50-59 years, male 1287.7
GTEX-1NHNU-1026-SM-E9J2A 50-59 years, male 1286.9
GTEX-S95S-1226-SM-4GICG 60-69 years, male 1284.3
GTEX-13NYC-0326-SM-E9J4S 60-69 years, male 1284.2
GTEX-1E2YA-0126-SM-9KNUC 50-59 years, male 1278.9
GTEX-14PJ3-1826-SM-62LEX 50-59 years, male 1277.8
GTEX-1H4P4-0726-SM-9YFLR 50-59 years, male 1276.7
GTEX-147GR-0526-SM-5S2MY 60-69 years, male 1274.2
GTEX-1HCU7-0226-SM-CL545 50-59 years, male 1274.0
GTEX-12C56-1726-SM-5EQ61 20-29 years, male 1273.8
GTEX-1F48J-0126-SM-7P8TT 50-59 years, female 1271.6
GTEX-1J1R8-1726-SM-ARL8M 40-49 years, male 1270.8
GTEX-12ZZY-0226-SM-5LZVE 60-69 years, male 1267.0
GTEX-1PPH8-0226-SM-E8VND 20-29 years, male 1265.9
GTEX-OXRN-0126-SM-48TDM 50-59 years, male 1263.2
GTEX-1JMOU-1526-SM-CL54I 60-69 years, female 1262.3
GTEX-SJXC-0126-SM-2XCFF 60-69 years, male 1262.2
GTEX-11NSD-2226-SM-5986V 20-29 years, male 1262.0
GTEX-18A66-0226-SM-718BD 60-69 years, male 1256.2
GTEX-X4EP-0126-SM-3P5YV 60-69 years, female 1255.8
GTEX-1CB4H-0226-SM-7PBXM 60-69 years, female 1254.0
GTEX-1S5ZA-0126-SM-EVYCV 20-29 years, male 1253.9
GTEX-1OJC4-0126-SM-E9J2E 50-59 years, female 1252.9
GTEX-1RAZA-0126-SM-E6CI3 20-29 years, male 1252.8
GTEX-1212Z-2526-SM-5EGKP 60-69 years, male 1248.3
GTEX-17F97-0326-SM-7LG5B 50-59 years, male 1248.3
GTEX-ZQUD-1426-SM-57WER 30-39 years, male 1244.8
GTEX-1S82Y-2026-SM-EVYCM 40-49 years, male 1244.5
GTEX-1QP2A-0126-SM-E9J43 50-59 years, male 1243.4
GTEX-1R46S-0626-SM-E9J41 60-69 years, female 1242.2
GTEX-1AX9J-0226-SM-73KXM 60-69 years, male 1241.1
GTEX-ZYY3-0126-SM-5GZY5 60-69 years, female 1239.9
GTEX-1IKJJ-0126-SM-CNPQB 60-69 years, male 1239.6
GTEX-13113-5016-SM-7EPIP 60-69 years, female 1238.9
GTEX-16XZY-2126-SM-79OK1 70-79 years, male 1238.4
GTEX-1I1GQ-0126-SM-COH3H 50-59 years, male 1236.6
GTEX-VJYA-1126-SM-3GIJU 60-69 years, male 1236.4
GTEX-NFK9-0226-SM-2HMKQ 40-49 years, male 1228.0
GTEX-RM2N-1426-SM-2TF4H 50-59 years, male 1226.7
GTEX-1C64N-0126-SM-793D7 50-59 years, male 1226.0
GTEX-PWCY-1826-SM-DHXIZ 20-29 years, female 1224.9
GTEX-WYJK-0126-SM-3NMAB 50-59 years, male 1220.2
GTEX-U3ZH-2026-SM-3DB78 30-39 years, male 1218.3
GTEX-1I4MK-2226-SM-ACKWD 50-59 years, female 1213.5
GTEX-1122O-2126-SM-5EGIR 60-69 years, female 1213.1
GTEX-1J1OQ-0226-SM-CYPSH 40-49 years, female 1212.6
GTEX-1LH75-2426-SM-E9TJE 50-59 years, female 1207.9
GTEX-14A6H-0126-SM-5QGPK 30-39 years, male 1205.3
GTEX-WYVS-2126-SM-3NMA3 40-49 years, female 1202.8
GTEX-11LCK-1026-SM-5A5KB 30-39 years, male 1201.2
GTEX-17KNJ-2326-SM-7DHLQ 50-59 years, male 1200.1
GTEX-XQ8I-0426-SM-4BOPO 50-59 years, male 1198.7
GTEX-11EMC-2926-SM-5EQ4F 60-69 years, female 1197.1
GTEX-145MN-2226-SM-5SIAU 30-39 years, male 1195.7
GTEX-U3ZM-1526-SM-3DB9D 40-49 years, male 1194.6
GTEX-1JJE9-0326-SM-CL53Z 70-79 years, male 1188.8
GTEX-17MFQ-1726-SM-793C7 20-29 years, male 1185.1
GTEX-ZZ64-1726-SM-5GZYB 20-29 years, male 1183.2
GTEX-145LS-0126-SM-5QGP1 60-69 years, female 1182.5
GTEX-ZYT6-0226-SM-5NQ6T 30-39 years, male 1182.4
GTEX-1QCLY-0326-SM-E8VOG 30-39 years, male 1181.4
GTEX-1N2DV-0226-SM-E6CJ6 40-49 years, male 1181.2
GTEX-1R9PM-2026-SM-E76OY 20-29 years, male 1181.2
GTEX-QDT8-0126-SM-48TZ1 30-39 years, female 1178.5
GTEX-13112-2826-SM-5DUWH 50-59 years, male 1174.2
GTEX-1J8QM-2126-SM-CYPSJ 60-69 years, female 1174.1
GTEX-13NZB-2526-SM-5J1OM 30-39 years, male 1167.3
GTEX-13NZA-0226-SM-5K7Z7 60-69 years, male 1165.4
GTEX-1JJ6O-0126-SM-E6CI8 60-69 years, male 1163.4
GTEX-WFON-2126-SM-3LK7O 40-49 years, male 1163.3
GTEX-1PIGE-0126-SM-EVYBJ 20-29 years, male 1163.1
GTEX-16BQI-0226-SM-7KUEX 30-39 years, female 1157.5
GTEX-1I1HK-0126-SM-COH49 60-69 years, male 1157.2
GTEX-PWO3-1526-SM-48TCM 60-69 years, female 1156.0
GTEX-1HSMQ-1226-SM-CGQFX 50-59 years, male 1148.4
GTEX-1128S-2326-SM-5GZZY 60-69 years, female 1147.9
GTEX-139D8-0226-SM-5KLZO 30-39 years, female 1145.9
GTEX-1JKYR-0126-SM-CNPOJ 20-29 years, male 1142.0
GTEX-QCQG-1726-SM-3GIJ9 50-59 years, female 1140.7
GTEX-17F98-0626-SM-79OMX 40-49 years, female 1140.6
GTEX-1E1VI-0126-SM-7DHMZ 50-59 years, male 1140.0
GTEX-13QJ3-0326-SM-5S2RA 50-59 years, male 1139.3
GTEX-XUYS-0126-SM-47JWZ 50-59 years, male 1137.6
GTEX-PLZ6-1426-SM-DKPOT 30-39 years, male 1135.7
GTEX-15SDE-2226-SM-7IGLO 50-59 years, female 1131.4
GTEX-1J8Q3-1626-SM-CMKGC 60-69 years, male 1125.3
GTEX-1QP29-0626-SM-EWRMX 50-59 years, male 1122.4
GTEX-139TT-0126-SM-5K7Y5 60-69 years, male 1120.4
GTEX-YEC4-2126-SM-5IFJH 40-49 years, male 1114.5
GTEX-1H1E6-1726-SM-ACKVK 30-39 years, male 1112.9
GTEX-1JJEA-0326-SM-CNPOT 60-69 years, male 1111.8
GTEX-1GN1W-0526-SM-9MQJQ 50-59 years, female 1106.8
GTEX-14PN3-2426-SM-6LLHS 60-69 years, female 1105.8
GTEX-11EI6-0126-SM-5985R 60-69 years, male 1105.6
GTEX-14LZ3-0226-SM-62LET 60-69 years, female 1105.5
GTEX-XV7Q-2526-SM-4BRV9 40-49 years, female 1102.9
GTEX-13OW8-1326-SM-5J1OW 60-69 years, male 1101.3
GTEX-TML8-1926-SM-32QOS 40-49 years, female 1098.5
GTEX-ZY6K-1826-SM-5GZXK 50-59 years, male 1096.4
GTEX-1K9T9-0126-SM-EVYCF 50-59 years, female 1093.5
GTEX-147F3-0526-SM-5SI98 50-59 years, female 1092.7
GTEX-17EUY-0426-SM-793BD 20-29 years, male 1092.4
GTEX-13O3P-0126-SM-5KM4S 50-59 years, male 1088.5
GTEX-1CAMQ-0226-SM-7IGPK 40-49 years, male 1088.3
GTEX-ZUA1-0126-SM-5GU76 40-49 years, male 1084.5
GTEX-1C6VS-0526-SM-7DUEN 60-69 years, male 1078.6
GTEX-13OVG-1926-SM-5L3DK 60-69 years, male 1075.2
GTEX-11TTK-0126-SM-5987B 60-69 years, female 1064.7
GTEX-1HSGN-0226-SM-CGQFV 40-49 years, female 1062.2
GTEX-1MA7W-2026-SM-E9TJ6 20-29 years, female 1061.2
GTEX-1LBAC-0126-SM-DIPEZ 20-29 years, male 1058.9
GTEX-13RTL-0126-SM-7LG5S 40-49 years, male 1056.4
GTEX-1LGRB-2526-SM-CNPPQ 50-59 years, female 1055.6
GTEX-1KANC-1526-SM-D3LAB 50-59 years, female 1051.0
GTEX-15F5U-1526-SM-6PANO 40-49 years, male 1050.9
GTEX-13D11-2426-SM-5KM1V 50-59 years, female 1047.2
GTEX-17GQL-2026-SM-718BA 60-69 years, male 1044.2
GTEX-14C5O-0126-SM-5SI6N 60-69 years, male 1043.6
GTEX-ZZPT-0226-SM-5E43X 50-59 years, male 1039.7
GTEX-1HSEH-0126-SM-ACKXN 60-69 years, male 1025.7
GTEX-1S82Z-0826-SM-E6CHY 30-39 years, female 1021.4
GTEX-PLZ4-0126-SM-5SI8O 50-59 years, female 1019.8
GTEX-R3RS-0126-SM-3GIJL 40-49 years, female 1019.5
GTEX-1GL5R-1826-SM-9KNUY 50-59 years, male 1008.1
GTEX-13X6I-0626-SM-5QGP9 60-69 years, male 1007.9
GTEX-1QP67-1626-SM-EAZ3X 40-49 years, female 1007.5
GTEX-Y5V5-2326-SM-4V6GA 60-69 years, female 1005.3
GTEX-ZDTT-2726-SM-4WKF8 60-69 years, male 1005.3
GTEX-Y8LW-1826-SM-5S2MV 50-59 years, female 1003.2
GTEX-1CB4I-0226-SM-79OLH 50-59 years, male 1000.2
GTEX-1IL2U-0226-SM-CE6T8 60-69 years, male 996.8
GTEX-ZEX8-2426-SM-4WKG4 50-59 years, male 994.3
GTEX-17F96-1626-SM-7DUFL 70-79 years, male 994.1
GTEX-1GZ4H-1726-SM-7PBZJ 50-59 years, female 993.6
GTEX-ZQG8-1626-SM-DHXIT 60-69 years, female 991.4
GTEX-1H11D-0226-SM-9WG6Z 40-49 years, male 989.0
GTEX-14PJ6-2126-SM-6EU1V 60-69 years, female 988.7
GTEX-12WSC-0126-SM-5EQ4P 50-59 years, male 983.6
GTEX-13FTX-1826-SM-5J1NX 20-29 years, female 982.9
GTEX-1A3MV-1926-SM-718BT 30-39 years, male 981.2
GTEX-11DXX-2426-SM-5GZZW 60-69 years, female 981.1
GTEX-16NGA-1726-SM-731B4 40-49 years, female 979.1
GTEX-W5WG-1826-SM-4KL2Y 50-59 years, female 975.7
GTEX-1C64O-0126-SM-7SB8P 60-69 years, male 975.3
GTEX-13SLX-0526-SM-5S2ON 50-59 years, female 972.5
GTEX-1HCVE-0126-SM-CGQEU 50-59 years, male 970.2
GTEX-15CHC-2126-SM-6EU21 60-69 years, female 968.7
GTEX-13JUV-2726-SM-5LZZ8 40-49 years, female 966.5
GTEX-1MCYP-1926-SM-E9J2R 20-29 years, female 965.7
GTEX-1F52S-0126-SM-9MQJU 60-69 years, female 961.2
GTEX-1H2FU-0126-SM-9WYSI 60-69 years, female 960.8
GTEX-ZVE2-0226-SM-59HJB 50-59 years, male 959.7
GTEX-13RTK-1426-SM-5QGQJ 20-29 years, male 958.0
GTEX-1AMEY-1326-SM-73KYK 30-39 years, female 956.5
GTEX-11EQ9-2426-SM-5HL5T 30-39 years, male 946.6
GTEX-1MUQO-0126-SM-EAZ58 60-69 years, male 946.6
GTEX-18D9U-0226-SM-718BP 40-49 years, male 946.0
GTEX-1JKYN-1326-SM-CGQG9 30-39 years, male 939.4
GTEX-ZF29-2326-SM-DO92K 60-69 years, female 937.0
GTEX-1QEPI-0126-SM-EWRMQ 60-69 years, female 935.5
GTEX-X638-0126-SM-47JZ8 70-79 years, female 925.7
GTEX-16NPX-0226-SM-79OMT 50-59 years, male 921.2
GTEX-SSA3-0126-SM-32QPU 60-69 years, male 917.6
GTEX-1C2JI-1826-SM-73KXC 50-59 years, male 912.5
GTEX-OIZF-0126-SM-7SB8I 60-69 years, male 909.2
GTEX-1GMR8-0126-SM-9WYTM 50-59 years, female 906.5
GTEX-14JG6-2226-SM-6EU2G 30-39 years, female 901.5
GTEX-11EM3-2426-SM-59861 20-29 years, female 894.2
GTEX-ZTSS-1926-SM-57WEW 40-49 years, male 890.8
GTEX-ZF28-0126-SM-4WKGK 60-69 years, male 888.7
GTEX-ZYFG-2326-SM-5E44B 60-69 years, female 880.1
GTEX-133LE-1826-SM-5J1MV 20-29 years, female 877.7
GTEX-1H3NZ-0126-SM-ACKX7 60-69 years, male 875.8
GTEX-14PHW-0126-SM-6LLJI 60-69 years, female 873.9
GTEX-18A67-0126-SM-7LG5P 50-59 years, male 873.6
GTEX-17HHE-2026-SM-79OKF 50-59 years, male 869.8
GTEX-13VXT-0126-SM-5LU4I 20-29 years, female 857.7
GTEX-T8EM-1026-SM-3DB7M 40-49 years, male 856.9
GTEX-1I1GT-0626-SM-CGQER 60-69 years, female 855.5
GTEX-1IDJU-2626-SM-CM2RT 60-69 years, female 849.2
GTEX-XBEW-0626-SM-4QASP 40-49 years, male 848.8
GTEX-1KANA-0726-SM-D3L9I 20-29 years, male 845.4
GTEX-XUW1-0426-SM-4BOOT 50-59 years, female 841.0
GTEX-13N2G-2626-SM-5J1OT 60-69 years, male 833.2
GTEX-11P82-1626-SM-59879 20-29 years, male 827.0
GTEX-Z9EW-1626-SM-5CVMN 40-49 years, male 826.4
GTEX-113IC-0126-SM-5HL6T 60-69 years, male 825.4
GTEX-TMMY-0226-SM-33HBA 40-49 years, female 819.8
GTEX-T5JW-1626-SM-3GADZ 20-29 years, female 815.1
GTEX-145LV-2126-SM-5LU8N 50-59 years, male 799.5
GTEX-146FR-1326-SM-E9J48 60-69 years, female 798.8
GTEX-1AMFI-2026-SM-731BH 50-59 years, female 795.1
GTEX-SNMC-1226-SM-2XCFP 20-29 years, male 794.4
GTEX-14LLW-0126-SM-6LLIO 70-79 years, female 787.9
GTEX-1JK1U-2026-SM-CM2RZ 60-69 years, male 779.8
GTEX-1QPFJ-0226-SM-E76PB 30-39 years, female 778.6
GTEX-RWS6-2026-SM-2XCB5 60-69 years, female 750.7
GTEX-U3ZN-2326-SM-3DB7W 30-39 years, female 742.4
GTEX-PLZ5-2026-SM-2S1O4 50-59 years, male 726.6
GTEX-11VI4-1726-SM-5CVLH 40-49 years, female 706.9
GTEX-1S83E-0126-SM-EWRO4 40-49 years, male 702.4
GTEX-ZAB5-1826-SM-5HL7C 50-59 years, male 679.8
GTEX-ZXG5-0126-SM-5GIEU 60-69 years, male 668.5
GTEX-16AAH-1726-SM-7939C 50-59 years, male 641.4
GTEX-ZXES-1826-SM-5E43S 30-39 years, female 623.9
GTEX-1F5PK-2426-SM-7RHHY 50-59 years, male 619.5
GTEX-1LVAN-0226-SM-COH3S 50-59 years, female 607.8
GTEX-ZF2S-2326-SM-4WWCE 50-59 years, female 539.6
Show allShow less

Contact

  • NEWS ARTICLES
  • PRESS ROOM

The Project

  • INTRODUCTION
  • ORGANIZATION
  • PUBLICATIONS

The Human Protein Atlas

  • DOWNLOADABLE DATA
  • LICENCE & CITATION
  • HELP & FAQ
The Human Protein Atlas project is funded
by the Knut & Alice Wallenberg Foundation.


contact@proteinatlas.org