We use cookies to enhance the usability of our website. If you continue, we'll assume that you are happy to receive all cookies. More information. Don't show this again.
VEGFA
HPA
RESOURCES
  • TISSUE
  • BRAIN
  • SINGLE CELL
  • SUBCELLULAR
  • CANCER
  • BLOOD
  • CELL LINE
  • STRUCTURE & INTERACTION
ABOUT
  • INTRODUCTION
  • HISTORY
  • ORGANIZATION
  • PUBLICATIONS
  • ANTIBODY SUBMISSION
  • ANTIBODY AVAILABILITY
  • ACKNOWLEDGMENTS
  • CONTACT
NEWS
  • NEWS ARTICLES
  • PRESS ROOM
LEARN
  • DICTIONARY
  • PROTEIN CLASSES
  • PROTEIN EVIDENCE
  • METHODS
  • EDUCATIONAL VIDEOS
DATA
  • DOWNLOADABLE DATA
  • PUBLICATION DATA
  • RELEASE HISTORY
HELP
  • ANTIBODY VALIDATION
  • ASSAYS & ANNOTATION
  • DISCLAIMER
  • HELP & FAQ
  • PRIVACY STATEMENT
  • LICENCE & CITATION
Fields »
Search result

Field
Term
Gene name
Class
Subclass
Class
Keyword
Chromosome
External id
Tissue
Cell type
Expression
Antibody panel
Tissue
Main location
Patient ID
Annotation
Tissue
Category
Tau score
Cluster
Reliability
Brain region
Category
Tau score
Brain region
Category
Tau score
Brain region
Category
Tau score
Cluster
Reliability
Tissue
Cell type
Enrichment
Cell type
Category
Tau score
Cell type
Category
Tau score
Cell type
Category
Tau score
Cell lineage
Category
Tau score
Cluster
Cluster
Location
Searches
Location
Cell line
Class
Type
Phase
Reliability
Cancer
Prognosis
Cancer
Category
Cancer
Category
Tau score
Cluster
Variants
Interacting gene (ensg_id)
Type
Number of interactions
Pathway
Category
Score
Score
Score
Validation
Validation
Validation
Validation
Antibodies
Data type
Column


  • SUMMARY

  • TISSUE

  • BRAIN

  • SINGLE CELL

  • SUBCELL

  • CANCER

  • BLOOD

  • CELL LINE

  • STRUCT & INT

  • VEGFA
TISSUE PRIMARY DATA HEART MUSCLE Show tissue menu
ADIPOSE TISSUE ADRENAL GLAND AMYGDALA APPENDIX BASAL GANGLIA BONE MARROW BREAST BRONCHUS CEREBELLUM CEREBRAL CORTEX CERVIX CHOROID PLEXUS COLON DUODENUM
ENDOMETRIUM EPIDIDYMIS ESOPHAGUS FALLOPIAN TUBE GALLBLADDER HEART MUSCLE HIPPOCAMPAL FORMATION HYPOTHALAMUS KIDNEY LIVER LUNG LYMPH NODE MIDBRAIN NASOPHARYNX
ORAL MUCOSA OVARY PANCREAS PARATHYROID GLAND PITUITARY GLAND PLACENTA PROSTATE RECTUM RETINA SALIVARY GLAND SEMINAL VESICLE SKELETAL MUSCLE SKIN SMALL INTESTINE
SMOOTH MUSCLE SOFT TISSUE SPINAL CORD SPLEEN STOMACH TESTIS THYMUS THYROID GLAND TONGUE TONSIL URINARY BLADDER VAGINA
ANTIBODIES
AND
VALIDATION
Dictionary
Heart muscle
Tissue proteome
Heart
HEART MUSCLE - Expression summary
Protein expression
Heart musclei

On the top, protein expression in current human tissue, based on all annotated cell types, is reported with the units not detected (n), low (l), medium (m) and high (h). Underneath, protein expression in each annotated cell type are reported using the same units.

Protein expression data is based on knowledge-based annotation. For genes where more than one antibody has been used, a collective score is set.

If knowledge-based annotation could not be performed for a gene, no data is displayed here. View antibody staining data further down this page.

h
m
l
n
Cardiomyocytes: Medium
RNA expressioni

A summary of mRNA expression data available for current tissue based on several datasets. The mRNA expression levels in human tissues are based on RNA-seq data generated by the Human Protein Atlas (HPA), Genotype-Tissue Expression (GTEx) portal and CAGE data generated by the FANTOM5 consortium. Consensus normalized expression levels for human tissues was created by combining the data from HPA and GTEx datasets.

The mRNA expression levels in pig are based on RNA-seq data generated by the Human Protein Atlas (HPA), and for mouse, HPA data and in situ hybridization generated by the Allen brain atlas are reported.

Scroll down to view mRNA expression data in more detail.
Consensus:201.4 nTPM
HPA:106.0 nTPM
GTEx:201.4 nTPM
FANTOM5:142.0 Scaled Tags Per Million

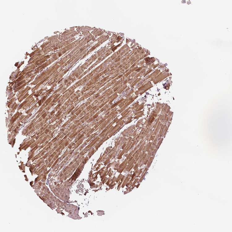
HEART MUSCLE - Antibody stainingi

Antibody staining in the annotated cell types in the current human tissue is reported as not detected, low, medium, or high, based on conventional immunohistochemistry profiling in selected tissues. This score is based on the combination of the staining intensity and fraction of stained cells.

Each image is clickable and will lead to virtual microscopy that enables deeper exploration of all samples and also displays staining intensity scores, fraction scores and subcellular localization as well as patient and tissue information for each sample.

Antibody HPA069116Antibody CAB005429Antibody CAB039240Antibody CAB069907
Cardiomyocytes MediumHighMediumMedium







HEART MUSCLE - HPA RNA-seqi

The RNA-seq details section shows detailed information about the individual samples used for the transcript profiling and results of the RNA-seq analysis.

Information about each individual sample is listed below, including gender, age, a tissue section image and estimated fractions of cell types. nTPM (normalized transcripts per million) values give a quantification of the gene abundance which is comparable between different genes and samples.
Average nTPMi

Max subtype nTPM is the value for the subtype with the largest average nTPM across the subtype samples.

106.0
overview
Female, age 48
Heart muscle sample 149
nTPM: 92.9
Cell types%
Myocytes:
15

Fibroblasts:
55

Endothelial cells:
25

Other cell types:
5

overview
Female, age 42
Heart muscle sample 150
nTPM: 62.9
Cell types%
Myocytes:
20

Fibroblasts:
45

Endothelial cells:
30

Other cell types:
5

overview
Male, age 53
Heart muscle sample 151
nTPM: 163.2
Cell types%
Myocytes:
20

Fibroblasts:
45

Endothelial cells:
30

Other cell types:
5

overview
Female, age 69
Heart muscle sample 152
nTPM: 104.9
Cell types%
Myocytes:
20

Fibroblasts:
45

Endothelial cells:
30

Other cell types:
5


HEART MUSCLE - GTEx RNA-seqi

RNA-Seq data generated by the Genotype-Tissue Expression (GTEx) project from human tissues is reported as mean nTPM. More information can be found on the GTEx portal.

Distribution across the dataset is visualized with box plots, shown as median and 25th and 75th percentiles. Points are displayed as outliers if they are above or below 1.5 times the interquartile range. nTPM values of the individual samples are presented next to the box plot.
Max subtype nTPMi

Max subtype nTPM is the value for the subtype with the largest average nTPM across the subtype samples.

201.4
GTEx sample id Sample description nTPM
Heart - Atrial Appendage
Average nTPM: 201.4
Samples: 429

Max nTPM: 1450.8
Min nTPM: 47.5
Std nTPM: 190.0
Median nTPM: 124.4
GTEX-15SKB-0926-SM-7KUFC 60-69 years, male 1450.8
GTEX-WWYW-1126-SM-3NB2Q 50-59 years, female 1354.8
GTEX-1GN1U-1426-SM-7P8TF 50-59 years, female 1015.1
GTEX-131XE-0526-SM-5K7YT 50-59 years, male 1010.6
GTEX-16MT8-0826-SM-7KULO 60-69 years, female 970.8
GTEX-13OW5-0926-SM-5L3GZ 60-69 years, male 954.2
GTEX-14PII-1026-SM-5ZZVW 60-69 years, male 916.9
GTEX-1A8FM-1026-SM-7PC26 50-59 years, female 895.2
GTEX-X8HC-1026-SM-46MWH 50-59 years, female 825.2
GTEX-1R9K4-1026-SM-EXUT1 60-69 years, male 807.6
GTEX-11WQK-0226-SM-5EQLI 50-59 years, male 787.0
GTEX-131YS-0826-SM-5PNYV 60-69 years, female 785.2
GTEX-1HUB1-0726-SM-CGQF4 60-69 years, male 747.2
GTEX-1GMR3-0426-SM-7PC17 40-49 years, male 737.5
GTEX-1GTWX-0926-SM-9MQKM 60-69 years, male 701.3
GTEX-1CB4H-0626-SM-7IGN3 60-69 years, female 693.4
GTEX-UTHO-1226-SM-3GAEE 60-69 years, male 683.9
GTEX-1JMQK-0926-SM-ARL96 60-69 years, male 677.5
GTEX-13O3Q-0326-SM-5L3FE 50-59 years, male 623.2
GTEX-U8XE-0926-SM-3DB8V 30-39 years, male 599.9
GTEX-1J1OQ-2226-SM-A96SS 40-49 years, female 595.4
GTEX-13N1W-0926-SM-5MR36 70-79 years, male 515.7
GTEX-139TU-1926-SM-5J2OC 60-69 years, male 507.6
GTEX-WHSE-0826-SM-4SOJU 20-29 years, male 506.9
GTEX-12WSG-1226-SM-5EQ4C 50-59 years, female 504.0
GTEX-1A32A-1326-SM-73KWW 50-59 years, female 503.5
GTEX-1RLM8-0226-SM-E6CJY 50-59 years, male 502.0
GTEX-11GSP-1226-SM-5985M 60-69 years, female 499.6
GTEX-1QMI2-1026-SM-DTX7T 60-69 years, male 498.1
GTEX-WI4N-0726-SM-3TW93 40-49 years, female 489.0
GTEX-1IKK5-1726-SM-CM2RU 60-69 years, male 480.2
GTEX-11O72-1026-SM-5986B 40-49 years, male 465.0
GTEX-X4EP-0326-SM-3P5Z6 60-69 years, female 456.0
GTEX-14BMV-1026-SM-5SI6B 50-59 years, male 454.0
GTEX-1117F-0726-SM-5GIEN 60-69 years, female 450.2
GTEX-1LVAO-0626-SM-EWRNT 60-69 years, male 445.3
GTEX-1EMGI-1126-SM-9KNUF 60-69 years, male 432.3
GTEX-1J8Q2-1026-SM-ARU8I 60-69 years, male 429.0
GTEX-1EH9U-0626-SM-7PC33 60-69 years, male 426.0
GTEX-XBEC-1226-SM-4AT65 50-59 years, male 425.6
GTEX-12WSA-1126-SM-5EGKU 60-69 years, male 425.3
GTEX-VJWN-1026-SM-4M1ZN 50-59 years, female 425.3
GTEX-11UD2-0926-SM-5CVL6 50-59 years, male 424.8
GTEX-1JN6P-0826-SM-ARL97 60-69 years, male 421.0
GTEX-1JJ6O-2226-SM-AHZ3I 60-69 years, male 420.6
GTEX-1H3VY-1126-SM-A96TP 50-59 years, male 418.3
GTEX-ZAB4-0926-SM-5CVN4 40-49 years, male 416.4
GTEX-1JMQL-1026-SM-CMKGV 50-59 years, female 416.0
GTEX-12584-1026-SM-59HK3 40-49 years, male 407.5
GTEX-1LH75-0526-SM-DIPG2 50-59 years, female 405.8
GTEX-ZF3C-1126-SM-57WEG 50-59 years, female 402.1
GTEX-13OW6-0926-SM-5L3GM 50-59 years, male 396.4
GTEX-13NZA-0826-SM-5K7WS 60-69 years, male 393.2
GTEX-14BIL-0926-SM-7DHKN 50-59 years, male 392.2
GTEX-148VJ-1426-SM-5TDE3 70-79 years, male 390.6
GTEX-ZV7C-0526-SM-9WPNK 50-59 years, male 384.5
GTEX-15D1Q-0426-SM-6AJ9G 40-49 years, male 381.5
GTEX-1GZ4I-0826-SM-9WG6O 50-59 years, male 377.6
GTEX-X4XX-1126-SM-3NMBY 60-69 years, male 371.9
GTEX-1HBPM-1026-SM-ARL9D 60-69 years, female 371.1
GTEX-1477Z-1126-SM-5P9GK 60-69 years, male 370.3
GTEX-1GZ2Q-0926-SM-7RHHN 40-49 years, male 370.0
GTEX-1HCVE-0826-SM-CM2SF 50-59 years, male 369.1
GTEX-1E2YA-0626-SM-7P8P4 50-59 years, male 365.8
GTEX-18A7A-1226-SM-7LTAJ 50-59 years, female 365.1
GTEX-13SLX-0926-SM-5S2NM 50-59 years, female 356.3
GTEX-YFC4-0426-SM-4TT3J 40-49 years, female 352.7
GTEX-13JUV-0226-SM-5IJCC 40-49 years, female 345.9
GTEX-ZYFD-2026-SM-5E459 50-59 years, male 345.4
GTEX-XLM4-2026-SM-4AT4X 60-69 years, male 332.7
GTEX-1JJEA-0926-SM-CYPSO 60-69 years, male 332.7
GTEX-13PDP-1326-SM-5K7U9 60-69 years, male 332.1
GTEX-1JMOU-0326-SM-ARL8X 60-69 years, female 326.4
GTEX-13SLW-0826-SM-5QGP7 70-79 years, male 321.6
GTEX-13PVQ-1326-SM-5LU4J 50-59 years, male 315.9
GTEX-13NZB-0426-SM-5KM26 30-39 years, male 315.6
GTEX-1GMR8-1026-SM-9MQLA 50-59 years, female 314.3
GTEX-14PJ2-1126-SM-69LOD 50-59 years, male 311.6
GTEX-1I1CD-1326-SM-A9SMM 60-69 years, female 311.5
GTEX-12WSD-1226-SM-5HL9Q 60-69 years, female 303.6
GTEX-ZTTD-0626-SM-4YCCY 50-59 years, male 301.6
GTEX-13O3P-1426-SM-5L3DT 50-59 years, male 299.8
GTEX-1HBPH-0226-SM-9WYSM 40-49 years, female 299.0
GTEX-1IL2U-1226-SM-CL53P 60-69 years, male 298.7
GTEX-1LB8K-0926-SM-D4P42 50-59 years, male 297.7
GTEX-139YR-0526-SM-5L3DG 50-59 years, male 296.6
GTEX-132NY-1426-SM-5J1MJ 60-69 years, male 291.4
GTEX-13O1R-0926-SM-5L3DS 60-69 years, male 290.9
GTEX-VUSG-0726-SM-3GIK1 50-59 years, male 285.6
GTEX-13NYB-0326-SM-5IJDP 40-49 years, male 282.6
GTEX-1CAMQ-0726-SM-7P8SG 40-49 years, male 280.3
GTEX-111VG-0326-SM-5GZX7 60-69 years, male 278.1
GTEX-ZYFC-1026-SM-5GZX9 50-59 years, male 277.3
GTEX-17JCI-0826-SM-7LT8W 60-69 years, female 271.9
GTEX-1I19N-0626-SM-A9SKY 70-79 years, male 264.9
GTEX-11DYG-1026-SM-5A5JQ 60-69 years, male 261.4
GTEX-132Q8-1126-SM-5K7XS 60-69 years, male 257.4
GTEX-11DXZ-0326-SM-5EGH1 50-59 years, male 256.2
GTEX-1GN1V-1026-SM-CNPPS 60-69 years, male 254.4
GTEX-1KD5A-0926-SM-D4P3U 50-59 years, male 253.7
GTEX-15RJE-0726-SM-7KUEG 40-49 years, male 251.7
GTEX-11ONC-1026-SM-5GU64 60-69 years, male 251.3
GTEX-WYBS-1226-SM-3NM9N 60-69 years, female 245.3
GTEX-1LSNL-0626-SM-DIPFJ 50-59 years, male 243.4
GTEX-ZAK1-1126-SM-5PNXU 50-59 years, female 238.5
GTEX-ZEX8-0326-SM-DO92C 50-59 years, male 235.7
GTEX-14PJO-0826-SM-6ETZK 60-69 years, male 233.4
GTEX-13X6J-1226-SM-79OMF 50-59 years, male 232.1
GTEX-WRHU-1026-SM-4E3ID 50-59 years, female 231.8
GTEX-1192X-0726-SM-5987R 50-59 years, male 230.2
GTEX-XOT4-1126-SM-4B66E 60-69 years, female 230.0
GTEX-13RTJ-0526-SM-62LDP 60-69 years, male 222.5
GTEX-14PJM-0826-SM-6LLIW 50-59 years, female 217.2
GTEX-1B996-1026-SM-793CF 60-69 years, male 214.4
GTEX-145LS-1326-SM-5Q5EP 60-69 years, female 213.5
GTEX-1C6VQ-0826-SM-7PBZT 50-59 years, male 213.1
GTEX-14PJ4-0926-SM-5YY98 60-69 years, male 212.5
GTEX-13JVG-1126-SM-5KM2M 60-69 years, male 208.0
GTEX-14PN4-0826-SM-69LON 50-59 years, male 207.3
GTEX-Y8E4-0426-SM-4V6GB 40-49 years, male 206.8
GTEX-1IDJH-1126-SM-COH3R 70-79 years, male 205.5
GTEX-1GN2E-1426-SM-7RHHI 60-69 years, male 204.0
GTEX-14C5O-1226-SM-664N3 60-69 years, male 201.1
GTEX-1H3O1-0226-SM-9WYSW 60-69 years, male 199.4
GTEX-1F88F-0326-SM-9KNV3 60-69 years, female 199.0
GTEX-17EVP-0526-SM-7EPGY 40-49 years, male 197.1
GTEX-1EU9M-1926-SM-7RHH4 60-69 years, male 196.2
GTEX-1F75A-1026-SM-7PC3W 50-59 years, male 196.1
GTEX-1E1VI-1426-SM-793CY 50-59 years, male 194.4
GTEX-1EX96-2626-SM-9MQJV 50-59 years, male 193.8
GTEX-1I1GP-0626-SM-ARL7H 50-59 years, male 193.3
GTEX-1A3MX-1226-SM-731B3 60-69 years, male 191.9
GTEX-11P81-0526-SM-59873 30-39 years, female 188.1
GTEX-13FTZ-0326-SM-5J1O1 60-69 years, male 187.5
GTEX-1H2FU-0826-SM-9WYSU 60-69 years, female 187.5
GTEX-147F4-1126-SM-5TDDE 50-59 years, male 187.1
GTEX-17F9Y-1226-SM-7EPGE 70-79 years, female 183.3
GTEX-13CF2-0226-SM-5L3DV 60-69 years, male 182.5
GTEX-1JMLX-1826-SM-CNPOX 50-59 years, male 182.1
GTEX-1IKJJ-0626-SM-CY8GF 60-69 years, male 181.3
GTEX-WK11-0626-SM-3NMAV 50-59 years, male 180.3
GTEX-YJ8O-0826-SM-5CVM3 40-49 years, female 180.0
GTEX-16GPK-1226-SM-7LTAU 60-69 years, male 179.4
GTEX-183WM-0926-SM-718AN 70-79 years, female 178.7
GTEX-1HC8U-0626-SM-B2LWB 40-49 years, female 177.7
GTEX-16XZZ-1026-SM-7DHKS 60-69 years, male 176.3
GTEX-14C39-0726-SM-5RQIK 40-49 years, male 175.9
GTEX-1C64N-0826-SM-7RHGQ 50-59 years, male 175.7
GTEX-13NZ9-0126-SM-5K7XV 50-59 years, male 175.3
GTEX-13S86-0326-SM-5SI6K 40-49 years, male 174.7
GTEX-1GN73-2326-SM-9MQKV 60-69 years, male 173.2
GTEX-131XF-0426-SM-5HL7U 60-69 years, male 172.4
GTEX-14BIM-2726-SM-5Q5EG 60-69 years, female 170.9
GTEX-13PVR-0926-SM-5S2RB 60-69 years, female 170.2
GTEX-X62O-0826-SM-46MW8 50-59 years, male 169.8
GTEX-ZE7O-0626-SM-57WCD 50-59 years, female 169.2
GTEX-1P4AB-0926-SM-E76PV 50-59 years, male 169.1
GTEX-ZVT3-0826-SM-5GIC8 60-69 years, female 167.2
GTEX-1PPGY-0926-SM-DTXFF 60-69 years, male 166.8
GTEX-16YQH-0726-SM-7IGM1 30-39 years, male 166.4
GTEX-ZDTS-1226-SM-4WKGL 60-69 years, male 165.1
GTEX-12ZZY-1226-SM-5GCNK 60-69 years, male 164.1
GTEX-11EMC-0826-SM-59862 60-69 years, female 163.2
GTEX-1LG7Y-1426-SM-D4P31 50-59 years, male 162.1
GTEX-WOFL-1226-SM-4OOST 60-69 years, male 160.9
GTEX-ZVT4-1326-SM-5NQ8E 50-59 years, female 160.8
GTEX-14A5I-1026-SM-5Q5E3 50-59 years, female 160.7
GTEX-1HT8W-1326-SM-CGQEN 30-39 years, male 160.5
GTEX-12WSI-0426-SM-5EQ5J 50-59 years, male 159.5
GTEX-1CB4I-1526-SM-7DHMY 50-59 years, male 158.9
GTEX-1F75I-1326-SM-7PBZX 40-49 years, male 157.6
GTEX-ZAJG-0926-SM-5Q5AB 50-59 years, female 157.2
GTEX-1IKOH-0926-SM-A9SLU 60-69 years, female 157.1
GTEX-14ASI-0826-SM-5Q5EB 60-69 years, male 155.9
GTEX-XQ3S-0526-SM-4BOQA 20-29 years, male 154.9
GTEX-18465-0726-SM-7LG4L 50-59 years, male 154.6
GTEX-1HSMO-1126-SM-CGQF2 60-69 years, male 153.3
GTEX-1F48J-1126-SM-9WYSY 50-59 years, female 153.0
GTEX-WHWD-0326-SM-3LK6L 50-59 years, male 151.8
GTEX-1GF9V-1726-SM-9KNW4 60-69 years, male 151.8
GTEX-X261-0926-SM-3NMCY 50-59 years, male 150.5
GTEX-1QEPI-1126-SM-E8VN7 60-69 years, female 149.1
GTEX-12WSC-1026-SM-5EQ5Y 50-59 years, male 148.4
GTEX-12ZZX-0726-SM-5EGKA 40-49 years, female 147.9
GTEX-13OW7-1626-SM-5IJDH 50-59 years, male 147.6
GTEX-1H11D-1026-SM-9QEIU 40-49 years, male 145.6
GTEX-132AR-1926-SM-5EGK5 50-59 years, female 143.2
GTEX-1212Z-0726-SM-5EGI5 60-69 years, male 141.5
GTEX-1I1GQ-1226-SM-CL55J 50-59 years, male 139.3
GTEX-13PL6-0826-SM-5IJBI 40-49 years, female 138.8
GTEX-13O3O-1426-SM-5KM2S 60-69 years, female 138.7
GTEX-XPT6-0226-SM-4B65L 20-29 years, male 137.3
GTEX-12BJ1-0326-SM-5FQUB 60-69 years, male 137.1
GTEX-1HFI7-0526-SM-A9SMA 50-59 years, female 136.9
GTEX-13NYS-1926-SM-5IJCB 60-69 years, male 136.6
GTEX-1A8G6-1826-SM-73KY8 60-69 years, male 135.7
GTEX-1445S-1226-SM-5O9BF 60-69 years, male 134.9
GTEX-WL46-0726-SM-3LK5Z 50-59 years, male 134.3
GTEX-14JG1-0826-SM-5ZZWR 40-49 years, male 133.5
GTEX-1B8SF-1326-SM-7IGQJ 60-69 years, male 132.8
GTEX-1192W-0226-SM-5EGGT 60-69 years, male 132.2
GTEX-117XS-0726-SM-5H131 60-69 years, male 132.0
GTEX-15SHU-0926-SM-6PAMK 40-49 years, female 132.0
GTEX-17F96-0826-SM-7DHLU 70-79 years, male 132.0
GTEX-1C2JI-0626-SM-7DHM1 50-59 years, male 131.0
GTEX-18D9U-1426-SM-718BO 40-49 years, male 128.3
GTEX-13FTW-0826-SM-5K7XR 40-49 years, male 127.4
GTEX-1RB15-0426-SM-E9U4Y 60-69 years, male 126.8
GTEX-13O61-0426-SM-5L3ET 60-69 years, male 126.7
GTEX-1QCLZ-1126-SM-EWRNB 60-69 years, female 126.3
GTEX-16NPX-0826-SM-6M489 50-59 years, male 125.2
GTEX-XPVG-0726-SM-4B658 50-59 years, male 125.1
GTEX-1399U-0726-SM-5KM1D 50-59 years, female 125.0
GTEX-17GQL-0626-SM-731CN 60-69 years, male 124.6
GTEX-1KANB-1126-SM-DHXJT 50-59 years, male 124.4
GTEX-1AX9K-0426-SM-73KUG 50-59 years, male 124.1
GTEX-13X6K-1726-SM-7IGLG 60-69 years, female 124.0
GTEX-14PHX-0626-SM-5YY8Z 50-59 years, male 122.6
GTEX-YECK-1226-SM-4W21G 60-69 years, male 122.1
GTEX-15CHQ-1326-SM-6871Z 60-69 years, male 121.9
GTEX-147JS-1326-SM-5SI6D 60-69 years, male 121.8
GTEX-17MF6-0926-SM-7LTAL 40-49 years, male 121.5
GTEX-1ICG6-0726-SM-B2LY5 70-79 years, female 121.5
GTEX-1KANC-0226-SM-E9TIW 50-59 years, female 121.2
GTEX-WEY5-0226-SM-3GIKN 40-49 years, female 120.2
GTEX-1GL5R-0426-SM-9WPOP 50-59 years, male 120.2
GTEX-1HSGN-0926-SM-CNNQM 40-49 years, female 120.1
GTEX-ZVT2-0926-SM-5GICE 50-59 years, female 119.9
GTEX-1313W-1126-SM-5EQ5U 50-59 years, female 119.0
GTEX-1H3NZ-1026-SM-A9SM5 60-69 years, male 117.8
GTEX-1BAJH-1026-SM-7EWEG 70-79 years, male 117.7
GTEX-14A6H-0326-SM-5NQAN 30-39 years, male 116.8
GTEX-11TUW-1126-SM-5EQKJ 60-69 years, male 116.6
GTEX-13O21-0326-SM-5J1N9 50-59 years, male 116.5
GTEX-15ER7-0826-SM-6PALW 20-29 years, female 115.2
GTEX-14PN3-0726-SM-6EU14 60-69 years, female 115.1
GTEX-XQ8I-0226-SM-4BOPM 50-59 years, male 114.6
GTEX-1LSNM-0426-SM-E9TIZ 50-59 years, male 114.3
GTEX-145LV-0226-SM-5S2QG 50-59 years, male 114.1
GTEX-1F6I4-0826-SM-7RHGK 60-69 years, male 114.0
GTEX-1H1DG-0826-SM-9QEIW 70-79 years, male 113.5
GTEX-1H1ZS-1026-SM-9WG6E 70-79 years, male 112.9
GTEX-11EM3-0426-SM-5N9BZ 20-29 years, female 112.3
GTEX-11GS4-0426-SM-5N9CD 60-69 years, male 112.3
GTEX-1QPFJ-0926-SM-EVR3K 30-39 years, female 112.3
GTEX-ZVZQ-0726-SM-51MR3 60-69 years, female 111.6
GTEX-YEC3-0426-SM-CYPS8 50-59 years, male 111.6
GTEX-1HSKV-0726-SM-ACKWE 60-69 years, male 111.5
GTEX-11NV4-0826-SM-5BC4S 60-69 years, male 110.9
GTEX-13FHO-1226-SM-5L3EF 60-69 years, male 110.5
GTEX-1JK1U-0626-SM-CKZOJ 60-69 years, male 110.2
GTEX-12WSN-0226-SM-5DUXH 40-49 years, male 110.0
GTEX-13VXT-0726-SM-5SIAD 20-29 years, female 109.9
GTEX-WYJK-1126-SM-3NM9Z 50-59 years, male 109.6
GTEX-ZAB5-0126-SM-5CVMT 50-59 years, male 109.5
GTEX-1QP29-1426-SM-DTX9Q 50-59 years, male 109.3
GTEX-11LCK-0826-SM-5PNYD 30-39 years, male 109.2
GTEX-1J8QM-0326-SM-CL53D 60-69 years, female 108.3
GTEX-ZTPG-1326-SM-51MSQ 20-29 years, female 108.2
GTEX-1AYCT-0526-SM-7RHHS 50-59 years, male 108.0
GTEX-1OFPY-0926-SM-DTX8Q 60-69 years, male 107.9
GTEX-1C64O-0926-SM-79OLN 60-69 years, male 107.2
GTEX-Y5V5-0726-SM-4VBPY 60-69 years, female 106.5
GTEX-V1D1-0626-SM-4JBHN 50-59 years, male 106.1
GTEX-ZGAY-0226-SM-4WWAL 40-49 years, female 106.1
GTEX-1HR98-1026-SM-CKZOM 60-69 years, male 105.5
GTEX-1C6WA-0826-SM-7PBXS 60-69 years, male 105.4
GTEX-1R9JW-0426-SM-E76QL 30-39 years, female 105.2
GTEX-1HFI6-0826-SM-9YFM2 40-49 years, male 105.1
GTEX-1399T-0726-SM-5J1MH 60-69 years, male 104.8
GTEX-12WSK-0526-SM-5CVNA 40-49 years, female 104.5
GTEX-1I1HK-0626-SM-CNPQM 60-69 years, male 104.1
GTEX-145MN-0726-SM-5NQBH 30-39 years, male 103.8
GTEX-XXEK-2026-SM-4BRVE 50-59 years, male 103.5
GTEX-11ZTT-0526-SM-5EQLA 60-69 years, female 103.4
GTEX-YEC4-0226-SM-4W1YG 40-49 years, male 103.3
GTEX-Y3IK-1026-SM-51MR7 50-59 years, female 103.2
GTEX-15EU6-1326-SM-6PANG 50-59 years, male 102.7
GTEX-UPK5-0226-SM-3GAEV 40-49 years, male 102.4
GTEX-ZZPT-0926-SM-5GICZ 50-59 years, male 102.1
GTEX-11NUK-0926-SM-5HL57 50-59 years, male 101.9
GTEX-13D11-1526-SM-5J2NA 50-59 years, female 101.9
GTEX-V955-0826-SM-CYPR5 60-69 years, male 101.9
GTEX-1IL2V-1126-SM-CMKGH 70-79 years, male 101.8
GTEX-ZT9W-0526-SM-57WFG 50-59 years, male 101.7
GTEX-1J8EW-0626-SM-CM2TY 60-69 years, female 101.4
GTEX-18A67-1026-SM-731CE 50-59 years, male 101.1
GTEX-1IY9M-0626-SM-D4P2L 60-69 years, male 100.9
GTEX-XGQ4-0526-SM-4AT6C 50-59 years, male 100.4
GTEX-WQUQ-1326-SM-3MJFF 60-69 years, male 100.2
GTEX-17F9E-0726-SM-793A1 50-59 years, male 100.0
GTEX-1GMRU-1326-SM-9WYUI 50-59 years, male 99.7
GTEX-1B97J-0326-SM-7939H 50-59 years, female 99.6
GTEX-18A6Q-1526-SM-731CO 60-69 years, male 99.4
GTEX-1K2DU-0226-SM-DIPF6 20-29 years, male 99.3
GTEX-15SDE-1826-SM-7KUFN 50-59 years, female 99.1
GTEX-111FC-0626-SM-5N9CU 60-69 years, male 98.8
GTEX-1AX8Z-1126-SM-731CS 60-69 years, male 98.6
GTEX-11DXX-0526-SM-5PNVR 60-69 years, female 98.5
GTEX-14DAQ-1026-SM-793B1 60-69 years, female 98.5
GTEX-1I1GV-1426-SM-B2LXN 60-69 years, male 98.1
GTEX-18D9B-1126-SM-7KFSH 60-69 years, male 98.0
GTEX-ZF2S-0826-SM-4WWBI 50-59 years, female 97.9
GTEX-1B8KE-0326-SM-73KTY 50-59 years, male 97.5
GTEX-XYKS-0226-SM-4BRW3 60-69 years, female 97.3
GTEX-ZUA1-0726-SM-4YCD9 40-49 years, male 97.2
GTEX-14PK6-0726-SM-6LLIX 70-79 years, female 97.0
GTEX-117YW-0426-SM-5GZZZ 50-59 years, male 96.9
GTEX-1CB4G-0726-SM-79OOJ 60-69 years, male 96.8
GTEX-ZYFG-0526-SM-5GZXX 60-69 years, female 95.9
GTEX-WH7G-0326-SM-3NMBH 40-49 years, male 95.8
GTEX-1B932-1326-SM-79OM4 40-49 years, female 95.7
GTEX-WHPG-1026-SM-3NMBA 50-59 years, male 95.4
GTEX-13FHP-0826-SM-5K7V5 50-59 years, male 95.2
GTEX-1HSMQ-0426-SM-ADEIM 50-59 years, male 95.1
GTEX-XV7Q-0726-SM-4BRV6 40-49 years, female 95.0
GTEX-15UF7-1526-SM-6LPI7 40-49 years, male 94.6
GTEX-13PL7-0726-SM-5KM1S 60-69 years, female 94.4
GTEX-1HBPN-0926-SM-CGQEG 50-59 years, male 93.6
GTEX-131XG-0526-SM-5DUWF 50-59 years, female 93.4
GTEX-1IKOE-0626-SM-A9G31 30-39 years, female 93.4
GTEX-13OVG-0426-SM-5KM2T 60-69 years, male 93.2
GTEX-146FR-0926-SM-5QGPE 60-69 years, female 92.9
GTEX-14BIN-2126-SM-793AX 50-59 years, female 91.7
GTEX-ZPU1-0726-SM-5HL6O 40-49 years, male 91.7
GTEX-1AX9I-1026-SM-73KYF 60-69 years, male 91.6
GTEX-Z93S-0326-SM-5HL84 50-59 years, male 91.5
GTEX-14E1K-0826-SM-5ZZW9 50-59 years, male 90.5
GTEX-14E6C-0326-SM-5Q5EE 40-49 years, male 90.3
GTEX-13OVI-0326-SM-5K7X1 60-69 years, female 89.9
GTEX-ZYT6-0926-SM-5GIEM 30-39 years, male 89.6
GTEX-144GL-1026-SM-5O99R 50-59 years, male 88.7
GTEX-18A66-1126-SM-731C5 60-69 years, male 88.7
GTEX-ZZPU-1126-SM-5N9CW 50-59 years, female 88.4
GTEX-13QBU-0226-SM-5LU48 40-49 years, female 88.1
GTEX-13U4I-0626-SM-5LU5L 40-49 years, female 88.1
GTEX-11ZUS-0326-SM-5EQ4W 30-39 years, male 88.0
GTEX-1M5QR-1626-SM-E9U5O 40-49 years, male 87.7
GTEX-146FH-1126-SM-5NQAT 50-59 years, female 87.3
GTEX-WY7C-1126-SM-3NB3A 50-59 years, male 87.3
GTEX-ZDYS-0326-SM-5HL4W 50-59 years, male 87.1
GTEX-1MJIX-0426-SM-DTXEN 40-49 years, male 86.6
GTEX-15DCE-0826-SM-7KULW 20-29 years, male 86.5
GTEX-1IDJF-0826-SM-ARU7N 20-29 years, male 86.4
GTEX-1399S-0826-SM-5KM23 30-39 years, female 85.9
GTEX-WFON-0226-SM-3GIKR 40-49 years, male 85.6
GTEX-1KXAM-1426-SM-D3LAC 60-69 years, male 84.7
GTEX-1AX9J-0926-SM-73KXA 60-69 years, male 84.4
GTEX-1J8Q3-1126-SM-ARU8N 60-69 years, male 84.3
GTEX-1IDJU-0626-SM-CKZOG 60-69 years, female 84.2
GTEX-ZDXO-0426-SM-4WKF6 60-69 years, male 83.6
GTEX-ZXG5-0626-SM-5NQ85 60-69 years, male 83.1
GTEX-1IDJD-0226-SM-CKZOA 30-39 years, male 82.7
GTEX-1LVAN-1526-SM-CNPQN 50-59 years, female 82.7
GTEX-ZF29-0426-SM-4WKFN 60-69 years, female 82.5
GTEX-1122O-0626-SM-5N9B9 60-69 years, female 82.4
GTEX-13FH7-0826-SM-5J2NW 50-59 years, female 81.9
GTEX-YB5K-0226-SM-5IFJE 40-49 years, female 81.6
GTEX-15CHC-0326-SM-5ZZVP 60-69 years, female 81.4
GTEX-17KNJ-0626-SM-7LT9L 50-59 years, male 81.2
GTEX-13N11-0726-SM-5L3DP 50-59 years, female 80.9
GTEX-1B8SG-0726-SM-79ONS 50-59 years, male 80.6
GTEX-1H1CY-0426-SM-9KNVD 60-69 years, female 80.6
GTEX-1B933-0826-SM-79OMW 50-59 years, female 80.4
GTEX-W5X1-0826-SM-3GILN 40-49 years, female 80.3
GTEX-1MCC2-0226-SM-EVYD5 30-39 years, female 80.0
GTEX-11TT1-1426-SM-5EGIA 20-29 years, male 79.9
GTEX-ZG7Y-1426-SM-4WWBM 50-59 years, male 79.6
GTEX-1LGRB-1026-SM-CNPQD 50-59 years, female 79.1
GTEX-1CB4E-0626-SM-7DHMW 60-69 years, male 78.3
GTEX-YF7O-0526-SM-5P9IO 50-59 years, male 78.3
GTEX-15RIE-1326-SM-6PAMM 60-69 years, male 78.2
GTEX-14H4A-0426-SM-5ZZWO 40-49 years, female 77.8
GTEX-X3Y1-0226-SM-3P5Z5 40-49 years, male 76.8
GTEX-1339X-0326-SM-5K7Z8 40-49 years, male 76.5
GTEX-WFG7-0826-SM-3GIKU 20-29 years, male 76.3
GTEX-111YS-0326-SM-5GZZ3 60-69 years, male 76.0
GTEX-WFG8-0726-SM-3GILP 20-29 years, male 75.7
GTEX-16XZY-0526-SM-7DHKY 70-79 years, male 75.2
GTEX-17HGU-1126-SM-793BP 50-59 years, male 74.6
GTEX-WZTO-1226-SM-3NMAZ 40-49 years, male 74.4
GTEX-1B8L1-0426-SM-7SB76 60-69 years, male 73.5
GTEX-12696-1226-SM-5FQSM 60-69 years, male 73.4
GTEX-1LGOU-0326-SM-D3LAM 20-29 years, female 73.4
GTEX-1HCU7-1226-SM-B2LX8 50-59 years, male 73.3
GTEX-1L5NE-0526-SM-DIPG5 50-59 years, male 72.9
GTEX-1CAMS-1126-SM-7MXUQ 40-49 years, female 72.8
GTEX-13112-0526-SM-5EQ4S 50-59 years, male 72.7
GTEX-14PHY-0326-SM-62LE3 60-69 years, female 72.1
GTEX-1399R-1726-SM-5K7YJ 30-39 years, male 71.7
GTEX-1POEN-0726-SM-DTXDU 30-39 years, female 70.3
GTEX-1211K-0226-SM-59HJY 60-69 years, female 69.9
GTEX-Y114-0126-SM-4TT8K 50-59 years, female 69.9
GTEX-Y3I4-0526-SM-4TT6X 50-59 years, male 69.8
GTEX-ZLFU-0326-SM-4WWBK 40-49 years, male 69.7
GTEX-ZYVF-1826-SM-5E44F 50-59 years, female 68.5
GTEX-14E7W-1126-SM-5ZZVS 70-79 years, male 68.4
GTEX-1MJK2-1626-SM-EVYCQ 50-59 years, male 68.0
GTEX-13FXS-1026-SM-62LFQ 50-59 years, male 67.5
GTEX-X5EB-0626-SM-46MVQ 40-49 years, male 67.5
GTEX-1IOXB-0726-SM-A9G32 50-59 years, male 67.5
GTEX-13W3W-0526-SM-5LU3X 60-69 years, female 67.4
GTEX-1NSGN-1226-SM-E76OL 50-59 years, male 67.4
GTEX-14C38-1326-SM-62LDK 50-59 years, male 67.0
GTEX-1R7EV-0426-SM-DTX7Z 40-49 years, male 66.2
GTEX-1HCUA-0626-SM-ACKVT 50-59 years, female 66.1
GTEX-11DXY-1026-SM-5987V 60-69 years, male 65.1
GTEX-117YX-0626-SM-5EGJI 50-59 years, male 64.4
GTEX-ZPIC-0426-SM-DO91V 40-49 years, female 63.5
GTEX-1EWIQ-1126-SM-7EPIK 70-79 years, female 62.9
GTEX-1NHNU-0626-SM-E6CP1 50-59 years, male 62.8
GTEX-1GMR2-1326-SM-9KNUT 50-59 years, male 62.7
GTEX-14XAO-0926-SM-69LPZ 60-69 years, female 62.2
GTEX-1CB4J-0226-SM-7P8T4 60-69 years, male 62.2
GTEX-1GN1W-0226-SM-7P8QY 50-59 years, female 60.7
GTEX-1I1GR-1026-SM-A9SLC 60-69 years, male 59.7
GTEX-1GF9U-0526-SM-7P8SK 40-49 years, female 59.5
GTEX-12WSE-0926-SM-5S2VX 20-29 years, male 59.0
GTEX-15CHR-0326-SM-7DHN3 50-59 years, male 58.3
GTEX-11EQ8-1326-SM-5EGJQ 60-69 years, male 57.6
GTEX-11ZVC-0526-SM-5N9G1 50-59 years, female 57.5
GTEX-1QP6S-1026-SM-DTXFW 40-49 years, male 57.5
GTEX-14PJ6-0626-SM-686Z6 60-69 years, female 57.2
GTEX-15SHV-0526-SM-7KUEN 60-69 years, male 55.2
GTEX-132QS-0526-SM-5IJC7 60-69 years, male 54.9
GTEX-1F75B-1126-SM-7RHGP 50-59 years, male 54.9
GTEX-ZPCL-0526-SM-DO91R 60-69 years, female 52.4
GTEX-ZDTT-0326-SM-4WKF9 60-69 years, male 52.0
GTEX-13YAN-1426-SM-7EPG8 60-69 years, male 47.5
Show allShow less
Heart - Left Ventricle
Average nTPM: 115.7
Samples: 432

Max nTPM: 715.1
Min nTPM: 30.4
Std nTPM: 69.4
Median nTPM: 102.0
GTEX-X8HC-1626-SM-46MWE 50-59 years, female 715.1
GTEX-WHSE-0926-SM-3NMBS 20-29 years, male 543.5
GTEX-1GMR3-0326-SM-7P8QT 40-49 years, male 516.1
GTEX-1A3MX-1326-SM-72D58 60-69 years, male 514.3
GTEX-17HII-1326-SM-7IGOB 50-59 years, male 386.0
GTEX-11O72-1126-SM-5N9E2 40-49 years, male 359.9
GTEX-1JMLX-1626-SM-ARZMV 50-59 years, male 329.0
GTEX-13N1W-1026-SM-5IJC5 70-79 years, male 323.5
GTEX-12WSD-1126-SM-5EGJD 60-69 years, female 308.2
GTEX-13PVQ-1226-SM-5IJDC 50-59 years, male 298.6
GTEX-14BIL-1126-SM-79OMC 50-59 years, male 296.9
GTEX-1H23P-1226-SM-9QEJ2 60-69 years, male 283.6
GTEX-1KD5A-1026-SM-CY8I8 50-59 years, male 276.2
GTEX-WWYW-1326-SM-3NB2S 50-59 years, female 265.6
GTEX-1J8Q3-1226-SM-CKZPT 60-69 years, male 259.9
GTEX-13OW5-1126-SM-5J1NR 60-69 years, male 257.9
GTEX-1C6VQ-1126-SM-7EWET 50-59 years, male 250.8
GTEX-17F9Y-1326-SM-7MGW9 70-79 years, female 232.9
GTEX-13JVG-1326-SM-5N9F8 60-69 years, male 222.6
GTEX-131XH-0226-SM-5LZVB 50-59 years, male 220.2
GTEX-1J8Q2-1226-SM-A9G2W 60-69 years, male 219.3
GTEX-RTLS-0826-SM-2TF5Q 60-69 years, female 218.0
GTEX-1HBPH-0126-SM-CNNQ7 40-49 years, female 218.0
GTEX-147F4-1226-SM-5NQAY 50-59 years, male 216.4
GTEX-1HCVE-1126-SM-9WPPG 50-59 years, male 212.8
GTEX-1GF9V-1626-SM-7PBXL 60-69 years, male 211.2
GTEX-1EU9M-1826-SM-7DUGU 60-69 years, male 210.8
GTEX-QESD-0526-SM-2I5G5 20-29 years, male 209.9
GTEX-SUCS-0326-SM-32PLL 70-79 years, male 209.4
GTEX-15CHQ-1526-SM-69LPW 60-69 years, male 209.1
GTEX-12584-0926-SM-5FQTN 40-49 years, male 206.2
GTEX-1RMOY-0626-SM-E9TIE 50-59 years, male 199.7
GTEX-1F5PK-0326-SM-9KNUD 50-59 years, male 199.3
GTEX-14A5I-1226-SM-5NQBW 50-59 years, female 199.1
GTEX-1N2EF-2826-SM-E6CQF 60-69 years, male 198.4
GTEX-WRHU-1226-SM-4E3IJ 50-59 years, female 192.1
GTEX-XPT6-0126-SM-4B65S 20-29 years, male 189.4
GTEX-1M5QR-1026-SM-DHXK9 40-49 years, male 188.9
GTEX-15ER7-1726-SM-6PAMX 20-29 years, female 187.9
GTEX-145MO-1126-SM-5NQBX 60-69 years, male 186.1
GTEX-1HC8U-0726-SM-ACKXL 40-49 years, female 185.9
GTEX-15CHR-0226-SM-7PC2Z 50-59 years, male 184.8
GTEX-WI4N-0626-SM-3TW8Z 40-49 years, female 184.1
GTEX-1JJ6O-2126-SM-CNNP6 60-69 years, male 183.6
GTEX-1JN6P-1126-SM-CKZON 60-69 years, male 181.3
GTEX-1R9PO-0326-SM-DTXA1 60-69 years, female 177.3
GTEX-YFC4-0526-SM-5ZZVI 40-49 years, female 176.6
GTEX-11GS4-0526-SM-5A5KQ 60-69 years, male 175.5
GTEX-1IDJH-1026-SM-E9TKH 70-79 years, male 175.5
GTEX-1ICLY-1326-SM-CJI47 50-59 years, male 173.9
GTEX-1R9K4-1326-SM-DTX8G 60-69 years, male 172.2
GTEX-U8XE-1126-SM-3DB8W 30-39 years, male 169.2
GTEX-XQ8I-0126-SM-4BOPL 50-59 years, male 167.8
GTEX-11DXX-0326-SM-5PNWC 60-69 years, female 167.5
GTEX-1R9JW-0526-SM-EWRNK 30-39 years, female 166.3
GTEX-1AX9K-0526-SM-73KV1 50-59 years, male 165.9
GTEX-ZVT2-1026-SM-5GU55 50-59 years, female 165.8
GTEX-XPVG-0826-SM-4B654 50-59 years, male 164.3
GTEX-V1D1-0526-SM-4JBGW 50-59 years, male 163.6
GTEX-1HFI7-0826-SM-A9G23 50-59 years, female 163.2
GTEX-1EMGI-1226-SM-793DD 60-69 years, male 160.9
GTEX-13S86-0226-SM-5S2PJ 40-49 years, male 160.4
GTEX-WYJK-1026-SM-3NM8W 50-59 years, male 160.1
GTEX-XXEK-0926-SM-4BRWH 50-59 years, male 159.9
GTEX-14C39-0926-SM-5TDDV 40-49 years, male 157.8
GTEX-1C64O-0826-SM-79OKZ 60-69 years, male 157.7
GTEX-OXRK-0826-SM-2HMK7 50-59 years, female 156.7
GTEX-131XF-5001-SM-7DHLY 60-69 years, male 155.1
GTEX-13FLV-0926-SM-5L3DZ 50-59 years, male 154.7
GTEX-13FTW-1026-SM-5L3E3 40-49 years, male 154.0
GTEX-OIZF-0326-SM-3MJGY 60-69 years, male 153.2
GTEX-132AR-2026-SM-5IJG4 50-59 years, female 153.0
GTEX-18D9U-1126-SM-72D5Y 40-49 years, male 151.8
GTEX-13N11-0426-SM-5KM3O 50-59 years, female 150.3
GTEX-POMQ-0326-SM-2I5FO 20-29 years, female 149.8
GTEX-11DXZ-0626-SM-5GU77 50-59 years, male 149.7
GTEX-1IKK5-1526-SM-CKZPW 60-69 years, male 148.1
GTEX-16XZY-0426-SM-793BI 70-79 years, male 147.9
GTEX-1269C-0826-SM-5N9EM 60-69 years, female 147.7
GTEX-11GSP-1326-SM-5A5KY 60-69 years, female 147.0
GTEX-1IL2U-1326-SM-A9G2O 60-69 years, male 145.8
GTEX-1AX9J-1026-SM-72D6E 60-69 years, male 145.7
GTEX-147JS-1526-SM-5ZZWF 60-69 years, male 145.5
GTEX-1IDJI-1026-SM-A96TE 50-59 years, female 145.2
GTEX-13NZB-0226-SM-5KM1T 30-39 years, male 144.6
GTEX-148VJ-1526-SM-5Q5DU 70-79 years, male 142.8
GTEX-ZAB5-0226-SM-5CVMH 50-59 years, male 142.2
GTEX-11EMC-0726-SM-5EGJO 60-69 years, female 141.4
GTEX-1GZ4I-1026-SM-9KNV5 50-59 years, male 141.4
GTEX-132NY-1726-SM-5EGKK 60-69 years, male 140.9
GTEX-17KNJ-0826-SM-793A4 50-59 years, male 140.8
GTEX-13X6I-1426-SM-5SI9Z 60-69 years, male 140.6
GTEX-PSDG-0926-SM-2I5FP 50-59 years, male 139.9
GTEX-11ZVC-0426-SM-5CVLD 50-59 years, female 139.3
GTEX-13O61-0526-SM-5J2M1 60-69 years, male 139.0
GTEX-1RQEC-0926-SM-EWROG 60-69 years, male 136.3
GTEX-1EH9U-0826-SM-7IGPT 60-69 years, male 136.2
GTEX-OIZG-1126-SM-2HMIU 50-59 years, male 135.5
GTEX-RWSA-0626-SM-2XCBD 40-49 years, male 134.9
GTEX-ZF3C-1226-SM-4WWCB 50-59 years, female 134.5
GTEX-13O21-2326-SM-5MR3X 50-59 years, male 133.7
GTEX-13U4I-0826-SM-5SIBD 40-49 years, female 133.5
GTEX-QEL4-0926-SM-3GAD1 50-59 years, male 133.5
GTEX-15SHU-1126-SM-7KUMB 40-49 years, female 133.2
GTEX-14BIN-2226-SM-5YYA1 50-59 years, female 133.0
GTEX-ZLFU-0226-SM-4WWFH 40-49 years, male 132.9
GTEX-1IKOE-1026-SM-ARZMF 30-39 years, female 132.2
GTEX-1GN73-2426-SM-7RHFQ 60-69 years, male 132.1
GTEX-1ICLZ-1026-SM-A9SLF 60-69 years, male 132.1
GTEX-14H4A-0626-SM-5ZZUT 40-49 years, female 131.9
GTEX-1EX96-2526-SM-7RHGW 50-59 years, male 131.7
GTEX-1I1GQ-1426-SM-B2LWY 50-59 years, male 131.7
GTEX-1212Z-0626-SM-5FQTB 60-69 years, male 131.5
GTEX-117YX-1126-SM-5H128 50-59 years, male 131.3
GTEX-ZAB4-1026-SM-5HL7T 40-49 years, male 130.8
GTEX-ZVZP-0226-SM-5NQ73 50-59 years, male 130.8
GTEX-1HCU6-1026-SM-A9G25 60-69 years, female 130.8
GTEX-16YQH-0926-SM-793BC 30-39 years, male 130.6
GTEX-145LV-0326-SM-5Q5BW 50-59 years, male 130.3
GTEX-1I1GP-0826-SM-A96SD 50-59 years, male 130.3
GTEX-P44G-0826-SM-2I5ES 30-39 years, male 129.8
GTEX-139YR-0826-SM-5LZXY 50-59 years, male 129.7
GTEX-1GN1V-0826-SM-9KNU6 60-69 years, male 128.9
GTEX-UPK5-0326-SM-CYPR4 40-49 years, male 128.8
GTEX-1I1HK-0726-SM-B2LY4 60-69 years, male 128.7
GTEX-OXRL-0326-SM-2I3F2 50-59 years, male 127.8
GTEX-V955-0726-SM-3GAFG 60-69 years, male 127.5
GTEX-ZYFG-0426-SM-5E43M 60-69 years, female 127.5
GTEX-R55C-0326-SM-3GAF1 40-49 years, male 127.4
GTEX-1A8G6-1626-SM-7MGWO 60-69 years, male 127.3
GTEX-14E1K-1026-SM-73KUR 50-59 years, male 127.0
GTEX-1MUQO-1226-SM-E9TJK 60-69 years, male 126.9
GTEX-O5YV-0326-SM-2I5H2 60-69 years, female 126.0
GTEX-1GTWX-1026-SM-7P8QW 60-69 years, male 124.8
GTEX-1CB4E-0526-SM-7MXTK 60-69 years, male 124.1
GTEX-WHPG-0826-SM-3NMBF 50-59 years, male 124.0
GTEX-U3ZH-0326-SM-3DB7A 30-39 years, male 123.2
GTEX-QV44-0526-SM-2S1RE 50-59 years, male 122.8
GTEX-1IDJE-0326-SM-CM2TD 50-59 years, female 122.7
GTEX-1B8KE-0126-SM-793AM 50-59 years, male 122.5
GTEX-1HCU7-1326-SM-CNPPW 50-59 years, male 121.7
GTEX-Y5V5-0626-SM-4VBPX 60-69 years, female 121.5
GTEX-14DAQ-1126-SM-664MT 60-69 years, female 120.0
GTEX-17JCI-1126-SM-7IGMM 60-69 years, female 118.7
GTEX-R55E-1026-SM-2TC5S 20-29 years, male 118.0
GTEX-T6MN-0926-SM-32PLX 50-59 years, male 117.5
GTEX-13O1R-1226-SM-5J1NU 60-69 years, male 117.4
GTEX-RWS6-0326-SM-2XCAP 60-69 years, female 117.4
GTEX-1JMPZ-1426-SM-CJI3C 30-39 years, male 117.4
GTEX-1EN7A-0726-SM-7PBXT 40-49 years, male 116.5
GTEX-1KD4Q-0726-SM-DIPGE 40-49 years, male 116.5
GTEX-1GL5R-0326-SM-9WYTJ 50-59 years, male 116.4
GTEX-13OW8-2126-SM-5J1OS 60-69 years, male 116.3
GTEX-1C2JI-0526-SM-7EWEQ 50-59 years, male 116.3
GTEX-1H11D-1226-SM-9WPQ2 40-49 years, male 116.2
GTEX-ZPU1-0626-SM-4YCDM 40-49 years, male 115.7
GTEX-R53T-0926-SM-3GADH 50-59 years, female 115.6
GTEX-WFON-0326-SM-3GIKX 40-49 years, male 115.6
GTEX-1B932-1026-SM-793CL 40-49 years, female 115.4
GTEX-14PN3-0526-SM-69LQF 60-69 years, female 115.1
GTEX-OOBJ-0326-SM-33HBO 60-69 years, male 114.4
GTEX-1R9K5-1326-SM-E6CPR 50-59 years, male 114.4
GTEX-N7MS-0826-SM-2HML4 60-69 years, male 114.3
GTEX-X15G-0426-SM-4PQZ6 50-59 years, female 114.2
GTEX-13OVL-0526-SM-5KLZQ 50-59 years, male 113.7
GTEX-1314G-0126-SM-5LZUL 30-39 years, male 113.6
GTEX-1ICG6-0626-SM-ACKWS 70-79 years, female 113.6
GTEX-1LSNM-0526-SM-DIPG6 50-59 years, male 113.3
GTEX-12WSN-5001-SM-7DHMK 40-49 years, male 113.2
GTEX-17F9E-0926-SM-7IGMG 50-59 years, male 113.1
GTEX-RNOR-0826-SM-2TF5C 50-59 years, female 112.9
GTEX-N7MT-1326-SM-2I3FV 60-69 years, female 112.7
GTEX-13VXT-1126-SM-5LU3A 20-29 years, female 112.6
GTEX-NFK9-0926-SM-2HMJU 40-49 years, male 112.1
GTEX-1HSGN-1126-SM-CJI4G 40-49 years, female 111.4
GTEX-XQ3S-0626-SM-4BOOB 20-29 years, male 111.3
GTEX-11ZUS-0226-SM-5FQT8 30-39 years, male 110.8
GTEX-18465-0926-SM-731AY 50-59 years, male 110.7
GTEX-132QS-0426-SM-5KLZ6 60-69 years, male 110.4
GTEX-14PJ2-1026-SM-6EU1M 50-59 years, male 110.1
GTEX-14PJ6-0726-SM-69LOL 60-69 years, female 110.1
GTEX-NPJ8-0426-SM-2HMK6 40-49 years, male 110.1
GTEX-1BAJH-1626-SM-73KUV 70-79 years, male 109.9
GTEX-WEY5-0426-SM-3GIKT 40-49 years, female 109.5
GTEX-1GMRU-1526-SM-9WYT5 50-59 years, male 108.9
GTEX-1LG7Y-1226-SM-CXZKD 50-59 years, male 107.8
GTEX-XGQ4-0326-SM-4GIEE 50-59 years, male 107.5
GTEX-1J8EW-0926-SM-A9G33 60-69 years, female 107.4
GTEX-1KANC-0426-SM-CXZK5 50-59 years, female 107.0
GTEX-1QP29-1526-SM-EXUSY 50-59 years, male 107.0
GTEX-15SHW-1226-SM-6M46C 60-69 years, male 106.6
GTEX-146FR-0626-SM-5RQJ1 60-69 years, female 106.4
GTEX-11TT1-1326-SM-5PNYM 20-29 years, male 105.8
GTEX-P4QS-0326-SM-2I3EU 60-69 years, male 105.8
GTEX-PX3G-0326-SM-2I3EO 20-29 years, female 105.5
GTEX-1F48J-1026-SM-7P8SO 50-59 years, female 105.1
GTEX-11ONC-0126-SM-5PNW6 60-69 years, male 105.0
GTEX-1QPFJ-1026-SM-E6CR6 30-39 years, female 105.0
GTEX-1399U-0526-SM-5K7YM 50-59 years, female 104.8
GTEX-1MJIX-0326-SM-EVR42 40-49 years, male 104.7
GTEX-1399R-1926-SM-5K7X8 30-39 years, male 104.6
GTEX-13RTJ-0726-SM-5QGQN 60-69 years, male 104.6
GTEX-ZZPU-0926-SM-5GZYT 50-59 years, female 104.6
GTEX-XBED-0526-SM-47JY3 60-69 years, male 104.5
GTEX-17GQL-0526-SM-72D5N 60-69 years, male 104.2
GTEX-ZDTS-1326-SM-6LLHE 60-69 years, male 104.2
GTEX-1S3DN-0726-SM-E9TIO 50-59 years, male 103.9
GTEX-14C5O-1326-SM-5S2UW 60-69 years, male 103.6
GTEX-1CAMS-1326-SM-79OJR 40-49 years, female 103.6
GTEX-14PHX-2126-SM-6EU2U 50-59 years, male 103.5
GTEX-13X6K-1826-SM-5O9CR 60-69 years, female 103.2
GTEX-QEG4-0426-SM-33HC3 30-39 years, male 103.1
GTEX-15RIE-1726-SM-7KUMU 60-69 years, male 102.9
GTEX-O5YW-0326-SM-2I5EI 50-59 years, male 102.3
GTEX-ZF2S-1026-SM-9QEGK 50-59 years, female 102.3
GTEX-1CB4G-0826-SM-7DUGF 60-69 years, male 102.1
GTEX-WQUQ-1426-SM-3MJFD 60-69 years, male 102.0
GTEX-ZTPG-1226-SM-4YCDO 20-29 years, female 101.8
GTEX-1AX9I-1126-SM-7EPHH 60-69 years, male 101.5
GTEX-1QCLZ-0926-SM-E6CQZ 60-69 years, female 101.4
GTEX-1MCC2-0326-SM-EV7AK 30-39 years, female 101.2
GTEX-1399S-1026-SM-5KLZ9 30-39 years, female 100.9
GTEX-P78B-0426-SM-2I5F5 40-49 years, female 100.8
GTEX-14PJ4-1126-SM-5YY91 60-69 years, male 100.7
GTEX-111YS-0426-SM-5987O 60-69 years, male 100.4
GTEX-ZF29-0226-SM-4WKHO 60-69 years, female 100.4
GTEX-17HGU-1026-SM-79OKL 50-59 years, male 100.2
GTEX-WZTO-1326-SM-3NM8X 40-49 years, male 100.1
GTEX-ZAJG-0826-SM-5PNVA 50-59 years, female 100.1
GTEX-QMRM-0526-SM-2I5GA 50-59 years, male 100.0
GTEX-ZQUD-1526-SM-7IGO2 30-39 years, male 99.1
GTEX-1F75I-1126-SM-9WYUO 40-49 years, male 98.5
GTEX-13FH7-0926-SM-5J2MR 50-59 years, female 98.4
GTEX-1RB15-0326-SM-E6CQB 60-69 years, male 98.3
GTEX-OIZH-0326-SM-2HMKC 50-59 years, male 98.2
GTEX-14JG1-1026-SM-6ETZY 40-49 years, male 97.9
GTEX-RN64-0826-SM-2TC62 50-59 years, male 97.8
GTEX-ZEX8-0426-SM-DO92Y 50-59 years, male 97.8
GTEX-WHWD-0426-SM-3LK83 50-59 years, male 97.7
GTEX-13D11-1726-SM-5IFGQ 50-59 years, female 97.5
GTEX-ZYW4-0926-SM-59HJS 60-69 years, male 97.3
GTEX-146FH-1026-SM-5RQIF 50-59 years, female 96.8
GTEX-PLZ5-0626-SM-2I5F8 50-59 years, male 96.5
GTEX-1GF9U-0426-SM-7RHHA 40-49 years, female 95.9
GTEX-18D9B-1226-SM-72D6V 60-69 years, male 95.8
GTEX-YEC3-0726-SM-CMKFH 50-59 years, male 95.8
GTEX-1LGOU-0726-SM-E9TIY 20-29 years, female 95.3
GTEX-13X6H-0426-SM-5LU4E 50-59 years, female 95.0
GTEX-13FTZ-0226-SM-5K7X6 60-69 years, male 94.5
GTEX-11TUW-1026-SM-5GU7D 60-69 years, male 94.2
GTEX-1F6IF-2526-SM-7P8TV 60-69 years, male 94.2
GTEX-17HHY-1426-SM-7EWDQ 50-59 years, male 93.8
GTEX-1RAZS-0826-SM-E76QP 50-59 years, male 93.8
GTEX-QLQ7-0526-SM-2I5G3 60-69 years, male 93.7
GTEX-ZDXO-0726-SM-57WBT 60-69 years, male 93.7
GTEX-SE5C-0626-SM-2XCDV 40-49 years, female 93.5
GTEX-X3Y1-0426-SM-3P5Z4 40-49 years, male 93.5
GTEX-1HSMQ-0226-SM-C1YQL 50-59 years, male 93.3
GTEX-SNMC-0126-SM-2XCFO 20-29 years, male 93.1
GTEX-OHPM-0326-SM-33HCA 50-59 years, male 93.0
GTEX-13O3O-1526-SM-5KM1C 60-69 years, female 92.8
GTEX-Y114-0226-SM-4TT8W 50-59 years, female 92.5
GTEX-1OFPY-1026-SM-EXUSO 60-69 years, male 92.5
GTEX-1R7EV-0326-SM-E76PA 40-49 years, male 92.5
GTEX-15RJ7-0226-SM-7KUMN 40-49 years, male 91.9
GTEX-11LCK-0926-SM-5A5KA 30-39 years, male 91.7
GTEX-Y3IK-0826-SM-51MT8 50-59 years, female 91.6
GTEX-16BQI-0926-SM-6M485 30-39 years, female 91.5
GTEX-1B996-1126-SM-73KWN 60-69 years, male 91.2
GTEX-1339X-0426-SM-5KLZY 40-49 years, male 91.1
GTEX-1J8QM-0426-SM-AHZ3X 60-69 years, female 90.5
GTEX-ZGAY-0326-SM-57WF5 40-49 years, female 90.3
GTEX-1OKEX-0726-SM-DPRYE 60-69 years, male 90.3
GTEX-RU72-0326-SM-2TF5T 50-59 years, female 89.8
GTEX-Y5V6-0826-SM-4VBRU 60-69 years, male 89.5
GTEX-ZDYS-0226-SM-5HL4K 50-59 years, male 89.4
GTEX-1H3NZ-1126-SM-9WYT9 60-69 years, male 89.4
GTEX-11I78-0826-SM-5A5K4 50-59 years, female 89.2
GTEX-U3ZN-1426-SM-3DB87 30-39 years, female 89.2
GTEX-1CB4I-1626-SM-7RHGV 50-59 years, male 89.2
GTEX-12WSC-1126-SM-5EQ4G 50-59 years, male 89.1
GTEX-13OW6-1126-SM-5L3HL 50-59 years, male 88.7
GTEX-14PHY-0226-SM-5ZZWM 60-69 years, female 88.4
GTEX-1B97J-0726-SM-7RHG3 50-59 years, female 88.4
GTEX-18A67-1226-SM-7KFRS 50-59 years, male 88.3
GTEX-1HCUA-0526-SM-A9SMH 50-59 years, female 88.3
GTEX-1GN2E-1326-SM-9KNVG 60-69 years, male 88.1
GTEX-XBEC-1326-SM-4AT69 50-59 years, male 88.0
GTEX-1HSMO-1226-SM-CL548 60-69 years, male 88.0
GTEX-1L5NE-0426-SM-E9TIX 50-59 years, male 88.0
GTEX-131XE-0626-SM-5HL98 50-59 years, male 87.9
GTEX-15RJE-0626-SM-7KUKR 40-49 years, male 87.8
GTEX-12WSK-0626-SM-5LZUJ 40-49 years, female 87.3
GTEX-1LH75-0426-SM-E9TJF 50-59 years, female 86.6
GTEX-U4B1-0326-SM-3DB8K 40-49 years, male 86.5
GTEX-11DXY-0826-SM-5EGGR 60-69 years, male 86.4
GTEX-1PPGY-1126-SM-E76OU 60-69 years, male 86.2
GTEX-UJHI-0426-SM-3DB8Y 50-59 years, female 85.8
GTEX-1GMR2-1426-SM-7RHHK 50-59 years, male 85.6
GTEX-P4PQ-0326-SM-2HMJ8 60-69 years, male 85.3
GTEX-WL46-0926-SM-3LK7T 50-59 years, male 85.3
GTEX-12696-1126-SM-5FQTI 60-69 years, male 85.2
GTEX-Y8E4-0326-SM-4VBRR 40-49 years, male 85.2
GTEX-117YW-0326-SM-5N9CY 50-59 years, male 84.0
GTEX-12WSG-0526-SM-5FQTH 50-59 years, female 83.9
GTEX-X261-1426-SM-4PQZ1 50-59 years, male 83.9
GTEX-15CHC-0426-SM-6LLHI 60-69 years, female 83.7
GTEX-12ZZZ-1726-SM-59HK5 60-69 years, male 83.6
GTEX-Y3I4-0626-SM-4TT7A 50-59 years, male 83.6
GTEX-1497J-1226-SM-5Q5BL 60-69 years, male 83.1
GTEX-1IDJF-0726-SM-CJI1U 20-29 years, male 82.9
GTEX-13PVR-1026-SM-5QGQW 60-69 years, female 82.6
GTEX-1AYCT-0426-SM-73KVZ 50-59 years, male 81.9
GTEX-1AX8Z-5007-SM-AHZ36 60-69 years, male 81.9
GTEX-1JJEA-0826-SM-CL53T 60-69 years, male 81.5
GTEX-16NPX-0926-SM-7KUEZ 50-59 years, male 81.0
GTEX-12BJ1-0226-SM-5LUA2 60-69 years, male 80.7
GTEX-1313W-1426-SM-5KLZU 50-59 years, female 80.3
GTEX-1KXAM-1326-SM-E9TJW 60-69 years, male 80.3
GTEX-1E1VI-1326-SM-7IGQD 50-59 years, male 80.1
GTEX-13SLX-1026-SM-5ZZUQ 50-59 years, female 79.9
GTEX-14PK6-0826-SM-5ZZVO 70-79 years, female 79.9
GTEX-1IDJU-0726-SM-CNPQ9 60-69 years, female 79.7
GTEX-UJMC-0526-SM-3GAE3 50-59 years, male 79.5
GTEX-ZDTT-0726-SM-4WKFK 60-69 years, male 79.5
GTEX-15EOM-5007-SM-793DG 20-29 years, female 79.4
GTEX-13CF2-0426-SM-5KM1H 60-69 years, male 79.1
GTEX-1122O-0826-SM-5GICV 60-69 years, female 78.9
GTEX-YEC4-0326-SM-4W216 40-49 years, male 78.6
GTEX-P4PP-0326-SM-33HC4 30-39 years, female 78.3
GTEX-1JK1U-0526-SM-CYPSQ 60-69 years, male 78.3
GTEX-1POEN-0626-SM-EVR4B 30-39 years, female 78.2
GTEX-13O3P-1626-SM-5K7X3 50-59 years, male 77.9
GTEX-1A3MW-1326-SM-7189P 60-69 years, female 77.9
GTEX-WFG7-0726-SM-3GIKO 20-29 years, male 77.6
GTEX-12ZZY-1126-SM-5DUWQ 60-69 years, male 77.2
GTEX-1211K-0626-SM-5FQUZ 60-69 years, female 76.8
GTEX-1B8L1-0526-SM-79ONX 60-69 years, male 76.8
GTEX-1QP2A-1126-SM-EVR3H 50-59 years, male 76.8
GTEX-ZPCL-0426-SM-DNZZ4 60-69 years, female 76.1
GTEX-ZV7C-0326-SM-57WB1 50-59 years, male 75.8
GTEX-1LVAN-1726-SM-CNNR1 50-59 years, female 74.6
GTEX-Q2AH-0526-SM-2I3ED 40-49 years, male 74.2
GTEX-REY6-1026-SM-2TF4Y 60-69 years, male 73.6
GTEX-T2IS-0426-SM-32QPE 20-29 years, female 73.5
GTEX-18A66-1226-SM-7LT8G 60-69 years, male 73.2
GTEX-OHPK-0326-SM-2HMJO 50-59 years, female 73.1
GTEX-13QBU-0426-SM-5J2O4 40-49 years, female 72.9
GTEX-PVOW-0426-SM-5MR5R 40-49 years, male 71.6
GTEX-1IKJJ-0826-SM-A96SP 60-69 years, male 69.8
GTEX-1JN1M-1026-SM-CNPOS 60-69 years, female 68.5
GTEX-1O97I-0826-SM-E8VNE 60-69 years, male 68.5
GTEX-11EM3-0626-SM-5H12Z 20-29 years, female 67.7
GTEX-14A6H-0226-SM-5Q5DX 30-39 years, male 67.2
GTEX-1I1GV-1326-SM-A96SE 60-69 years, male 67.1
GTEX-PWCY-0526-SM-5P9HG 20-29 years, female 66.9
GTEX-145MN-0626-SM-5QGRH 30-39 years, male 66.3
GTEX-WH7G-0426-SM-3NMBJ 40-49 years, male 65.8
GTEX-1JMQK-0626-SM-D4P2R 60-69 years, male 65.6
GTEX-111FC-0826-SM-5GZWO 60-69 years, male 65.5
GTEX-R55G-0526-SM-2TC5O 40-49 years, female 64.9
GTEX-ZPIC-0826-SM-4WWFJ 40-49 years, female 64.7
GTEX-18A6Q-1626-SM-7KFTA 60-69 years, male 63.9
GTEX-1HBPM-1226-SM-A9SM8 60-69 years, female 63.7
GTEX-OXRO-2026-SM-2YUMZ 60-69 years, female 63.5
GTEX-YF7O-0426-SM-5P9FS 50-59 years, male 62.3
GTEX-YB5K-0126-SM-5IFJ2 40-49 years, female 62.0
GTEX-13CF3-0726-SM-5J2MY 60-69 years, female 61.5
GTEX-OHPL-0326-SM-33HC8 60-69 years, female 61.1
GTEX-15DDE-1126-SM-6LLHN 50-59 years, female 61.0
GTEX-1GN1W-0326-SM-9JGHF 50-59 years, female 60.4
GTEX-13OVG-0526-SM-5K7YD 60-69 years, male 60.3
GTEX-WY7C-0526-SM-3NB3D 50-59 years, male 59.4
GTEX-ZG7Y-0926-SM-5EQ6O 50-59 years, male 59.3
GTEX-1JJE9-1426-SM-ARL8P 70-79 years, male 59.3
GTEX-S32W-0626-SM-2XCBG 50-59 years, female 58.8
GTEX-13112-0426-SM-5PNVC 50-59 years, male 58.4
GTEX-14JIY-1126-SM-6EU28 60-69 years, male 58.4
GTEX-S33H-0526-SM-COH1W 30-39 years, male 58.4
GTEX-ZYFC-1126-SM-5E44W 50-59 years, male 57.2
GTEX-R45C-0926-SM-3GAD4 60-69 years, female 57.1
GTEX-1F6I4-0726-SM-7PC2P 60-69 years, male 56.8
GTEX-ZYT6-1726-SM-5E44P 30-39 years, male 56.6
GTEX-1EKGG-1126-SM-7MGXB 60-69 years, male 56.3
GTEX-YJ8O-0926-SM-EAZ2Z 40-49 years, female 56.2
GTEX-1I6K7-0626-SM-ARL7Q 40-49 years, male 56.1
GTEX-14XAO-1126-SM-6EU11 60-69 years, female 56.0
GTEX-13FHP-1026-SM-5K7Y2 50-59 years, male 55.7
GTEX-O5YT-0326-SM-32PKA 20-29 years, male 55.1
GTEX-1B8SG-0826-SM-7EWF7 50-59 years, male 54.7
GTEX-13W3W-0426-SM-5SI9D 60-69 years, female 54.4
GTEX-12ZZW-1026-SM-5GCMM 50-59 years, male 54.1
GTEX-15DYW-1126-SM-6LPK5 60-69 years, female 53.8
GTEX-13NYB-0226-SM-5N9G4 40-49 years, male 53.7
GTEX-QDVN-0326-SM-2I3FS 50-59 years, male 53.6
GTEX-17MF6-0726-SM-7LT8E 40-49 years, male 53.4
GTEX-RUSQ-0526-SM-2TF72 50-59 years, male 53.0
GTEX-1LGRB-1126-SM-CNPP2 50-59 years, female 52.3
GTEX-QVJO-1926-SM-2S1QZ 60-69 years, female 51.8
GTEX-P44H-0726-SM-48TBT 40-49 years, male 51.6
GTEX-SIU8-0826-SM-2XCDQ 50-59 years, male 50.8
GTEX-1CB4J-0326-SM-7PBZO 60-69 years, male 50.4
GTEX-QDVJ-0426-SM-2I5FW 50-59 years, male 50.1
GTEX-148VI-0326-SM-5RQK7 60-69 years, female 50.0
GTEX-14E6D-0926-SM-5S2QV 50-59 years, male 48.7
GTEX-131XG-0626-SM-5GCMP 50-59 years, female 48.6
GTEX-14E6C-0426-SM-5YYA8 40-49 years, male 47.9
GTEX-1K9T9-1126-SM-D3L9E 50-59 years, female 47.6
GTEX-XV7Q-0826-SM-4BRV7 40-49 years, female 47.5
GTEX-1LB8K-1026-SM-DHXJJ 50-59 years, male 46.0
GTEX-1PPH7-2026-SM-E9J3N 40-49 years, male 45.3
GTEX-1LVA9-0926-SM-EVR5G 50-59 years, male 45.2
GTEX-WFG8-0626-SM-3GILJ 20-29 years, male 45.0
GTEX-OIZI-0926-SM-E6CHF 40-49 years, male 44.6
GTEX-1JMOU-0226-SM-CNNPD 60-69 years, female 44.2
GTEX-1EWIQ-1426-SM-7IGOS 70-79 years, female 43.5
GTEX-1HT8W-1726-SM-CNNQB 30-39 years, male 42.3
GTEX-14E7W-1226-SM-5RQIU 70-79 years, male 40.7
GTEX-WK11-0826-SM-EZ6LH 50-59 years, male 40.5
GTEX-13YAN-1326-SM-5Q5F1 60-69 years, male 38.1
GTEX-1NV8Z-1526-SM-DTX8X 60-69 years, male 37.9
GTEX-16MT8-0926-SM-6M487 60-69 years, female 37.2
GTEX-1LC47-1026-SM-D3LAH 60-69 years, male 36.2
GTEX-1O9I2-1126-SM-DTXEA 50-59 years, male 35.0
GTEX-14C38-1426-SM-5RQHZ 50-59 years, male 34.4
GTEX-QEG5-0926-SM-2TC64 20-29 years, male 33.4
GTEX-1H1CY-0326-SM-9QEIZ 60-69 years, female 33.4
GTEX-1399T-0426-SM-5PNVJ 60-69 years, male 33.1
GTEX-1PWST-1026-SM-DTXF2 70-79 years, male 32.3
GTEX-1H1ZS-1126-SM-9MQLJ 70-79 years, male 32.1
GTEX-14PJM-1126-SM-6LLHK 50-59 years, female 32.0
GTEX-ZUA1-0826-SM-4YCDL 40-49 years, male 30.4
Show allShow less

HEART MUSCLE - FANTOM5 CAGEi

RNA expression in human tissues obtained through Cap Analysis of Gene Expression (CAGE) generated by the FANTOM5 project are reported as Scaled Tags Per Million.

Max subtype Scaled Tags Per Millioni

Max subtype Scaled Tags Per Million is the value for the subtype with the largest average Scaled Tags Per Million across the subtype samples.

142.0
FANTOM5 sample id Sample description Scaled Tags Per Million
Heart
Scaled Tags Per Million: 127.1
FF:10016-101C7 70,73,74 years, mixed 127.1
Left atrium
Scaled Tags Per Million: 142.0
FF:10079-102A7 40 years, male 142.0
Left ventricle
Scaled Tags Per Million: 87.7
FF:10078-102A6 73 years, female 87.7

Contact

  • NEWS ARTICLES
  • PRESS ROOM

The Project

  • INTRODUCTION
  • ORGANIZATION
  • PUBLICATIONS

The Human Protein Atlas

  • DOWNLOADABLE DATA
  • LICENCE & CITATION
  • HELP & FAQ
The Human Protein Atlas project is funded
by the Knut & Alice Wallenberg Foundation.


contact@proteinatlas.org