We use cookies to enhance the usability of our website. If you continue, we'll assume that you are happy to receive all cookies. More information. Don't show this again.
VEGFA
HPA
RESOURCES
  • TISSUE
  • BRAIN
  • SINGLE CELL
  • SUBCELLULAR
  • CANCER
  • BLOOD
  • CELL LINE
  • STRUCTURE & INTERACTION
ABOUT
  • INTRODUCTION
  • HISTORY
  • ORGANIZATION
  • PUBLICATIONS
  • ANTIBODY SUBMISSION
  • ANTIBODY AVAILABILITY
  • ACKNOWLEDGMENTS
  • CONTACT
NEWS
  • NEWS ARTICLES
  • PRESS ROOM
LEARN
  • DICTIONARY
  • PROTEIN CLASSES
  • PROTEIN EVIDENCE
  • METHODS
  • EDUCATIONAL VIDEOS
DATA
  • DOWNLOADABLE DATA
  • PUBLICATION DATA
  • RELEASE HISTORY
HELP
  • ANTIBODY VALIDATION
  • ASSAYS & ANNOTATION
  • DISCLAIMER
  • HELP & FAQ
  • PRIVACY STATEMENT
  • LICENCE & CITATION
Fields »
Search result

Field
Term
Gene name
Class
Subclass
Class
Keyword
Chromosome
External id
Tissue
Cell type
Expression
Antibody panel
Tissue
Main location
Patient ID
Annotation
Tissue
Category
Tau score
Cluster
Reliability
Brain region
Category
Tau score
Brain region
Category
Tau score
Brain region
Category
Tau score
Cluster
Reliability
Tissue
Cell type
Enrichment
Cell type
Category
Tau score
Cell type
Category
Tau score
Cell type
Category
Tau score
Cell lineage
Category
Tau score
Cluster
Cluster
Location
Searches
Location
Cell line
Class
Type
Phase
Reliability
Cancer
Prognosis
Cancer
Category
Cancer
Category
Tau score
Cluster
Variants
Interacting gene (ensg_id)
Type
Number of interactions
Pathway
Category
Score
Score
Score
Validation
Validation
Validation
Validation
Antibodies
Data type
Column


  • SUMMARY

  • TISSUE

  • BRAIN

  • SINGLE CELL

  • SUBCELL

  • CANCER

  • BLOOD

  • CELL LINE

  • STRUCT & INT

  • VEGFA
TISSUE PRIMARY DATA STOMACH Show tissue menu
ADIPOSE TISSUE ADRENAL GLAND AMYGDALA APPENDIX BASAL GANGLIA BONE MARROW BREAST BRONCHUS CEREBELLUM CEREBRAL CORTEX CERVIX CHOROID PLEXUS COLON DUODENUM
ENDOMETRIUM EPIDIDYMIS ESOPHAGUS FALLOPIAN TUBE GALLBLADDER HEART MUSCLE HIPPOCAMPAL FORMATION HYPOTHALAMUS KIDNEY LIVER LUNG LYMPH NODE MIDBRAIN NASOPHARYNX
ORAL MUCOSA OVARY PANCREAS PARATHYROID GLAND PITUITARY GLAND PLACENTA PROSTATE RECTUM RETINA SALIVARY GLAND SEMINAL VESICLE SKELETAL MUSCLE SKIN SMALL INTESTINE
SMOOTH MUSCLE SOFT TISSUE SPINAL CORD SPLEEN STOMACH TESTIS THYMUS THYROID GLAND TONGUE TONSIL URINARY BLADDER VAGINA
ANTIBODIES
AND
VALIDATION
Dictionary
Tissue proteome
Stomach
STOMACH - Expression summary
Protein expression
Stomachi

On the top, protein expression in current human tissue, based on all annotated cell types, is reported with the units not detected (n), low (l), medium (m) and high (h). Underneath, protein expression in each annotated cell type are reported using the same units.

Protein expression data is based on knowledge-based annotation. For genes where more than one antibody has been used, a collective score is set.

If knowledge-based annotation could not be performed for a gene, no data is displayed here. View antibody staining data further down this page.

h
m
l
n
Glandular cells: High
RNA expressioni

A summary of mRNA expression data available for current tissue based on several datasets. The mRNA expression levels in human tissues are based on RNA-seq data generated by the Human Protein Atlas (HPA), Genotype-Tissue Expression (GTEx) portal and CAGE data generated by the FANTOM5 consortium. Consensus normalized expression levels for human tissues was created by combining the data from HPA and GTEx datasets.

The mRNA expression levels in pig are based on RNA-seq data generated by the Human Protein Atlas (HPA), and for mouse, HPA data and in situ hybridization generated by the Allen brain atlas are reported.

Scroll down to view mRNA expression data in more detail.
Consensus:63.6 nTPM
HPA:63.6 nTPM
GTEx:56.6 nTPM

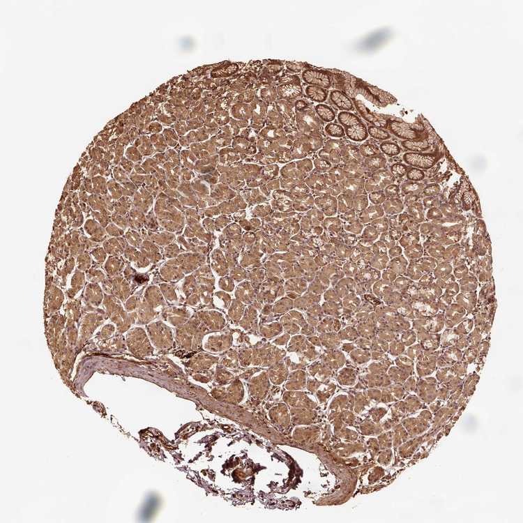
STOMACH 1 - Antibody stainingi

Antibody staining in the annotated cell types in the current human tissue is reported as not detected, low, medium, or high, based on conventional immunohistochemistry profiling in selected tissues. This score is based on the combination of the staining intensity and fraction of stained cells.

Each image is clickable and will lead to virtual microscopy that enables deeper exploration of all samples and also displays staining intensity scores, fraction scores and subcellular localization as well as patient and tissue information for each sample.

Antibody HPA069116Antibody CAB005429Antibody CAB039240Antibody CAB069907
Glandular cells MediumHighHighHigh







STOMACH 2 - Antibody stainingi

Antibody staining in the annotated cell types in the current human tissue is reported as not detected, low, medium, or high, based on conventional immunohistochemistry profiling in selected tissues. This score is based on the combination of the staining intensity and fraction of stained cells.

Each image is clickable and will lead to virtual microscopy that enables deeper exploration of all samples and also displays staining intensity scores, fraction scores and subcellular localization as well as patient and tissue information for each sample.

Antibody HPA069116Antibody CAB005429Antibody CAB039240Antibody CAB069907
Glandular cells MediumHighHighMedium







STOMACH - HPA RNA-seqi

The RNA-seq details section shows detailed information about the individual samples used for the transcript profiling and results of the RNA-seq analysis.

Information about each individual sample is listed below, including gender, age, a tissue section image and estimated fractions of cell types. nTPM (normalized transcripts per million) values give a quantification of the gene abundance which is comparable between different genes and samples.
Average nTPMi

Max subtype nTPM is the value for the subtype with the largest average nTPM across the subtype samples.

63.6
overview
Female, age 33
Stomach sample 61
nTPM: 33.5
Cell types%
Glandular cells:
60

Smooth muscle cells:
5

Other cell types:
35

N/A
Male, age 82
Stomach sample 240
nTPM: 70.2
Cell types%
Glandular cells:
65

Smooth muscle cells:
5

Other cell types:
30

overview
Male, age 71
Stomach sample 241
nTPM: 81.7
Cell types%
Glandular cells:
50

Smooth muscle cells:
5

Other cell types:
45

overview
Female, age 66
Stomach sample 369
nTPM: 68.8
Cell types%
Glandular cells:
50

Smooth muscle cells:
10

Other cell types:
40


STOMACH - GTEx RNA-seqi

RNA-Seq data generated by the Genotype-Tissue Expression (GTEx) project from human tissues is reported as mean nTPM. More information can be found on the GTEx portal.

Distribution across the dataset is visualized with box plots, shown as median and 25th and 75th percentiles. Points are displayed as outliers if they are above or below 1.5 times the interquartile range. nTPM values of the individual samples are presented next to the box plot.
Max subtype nTPMi

Max subtype nTPM is the value for the subtype with the largest average nTPM across the subtype samples.

56.6
GTEx sample id Sample description nTPM
Stomach
Average nTPM: 56.6
Samples: 359

Max nTPM: 353.7
Min nTPM: 7.9
Std nTPM: 43.8
Median nTPM: 49.5
GTEX-11NUK-2426-SM-5BC4U 50-59 years, male 353.7
GTEX-ZYY3-1726-SM-5EGH3 60-69 years, female 266.8
GTEX-13S7M-1826-SM-5RQK6 60-69 years, female 266.4
GTEX-1JMLX-2426-SM-CXZJQ 50-59 years, male 254.5
GTEX-13OW6-2526-SM-5IJEC 50-59 years, male 238.0
GTEX-11GSP-2126-SM-5HL5E 60-69 years, female 221.6
GTEX-117YW-2226-SM-5N9DB 50-59 years, male 205.2
GTEX-YJ8A-1526-SM-5P9FT 20-29 years, male 199.3
GTEX-1JMPZ-1826-SM-CXZJT 30-39 years, male 192.9
GTEX-RTLS-2626-SM-46MUJ 60-69 years, female 187.6
GTEX-1I1HK-2026-SM-CNNRB 60-69 years, male 165.4
GTEX-13PVQ-2126-SM-5L3FW 50-59 years, male 163.6
GTEX-XXEK-0826-SM-4BRWG 50-59 years, male 162.6
GTEX-1JN1M-2926-SM-CNNPJ 60-69 years, female 153.7
GTEX-12WSD-2326-SM-59HKQ 60-69 years, female 147.9
GTEX-1GMRU-2526-SM-9WG7T 50-59 years, male 147.1
GTEX-1QMI2-2126-SM-DPRXQ 60-69 years, male 145.5
GTEX-18A7A-2726-SM-7LG6U 50-59 years, female 139.8
GTEX-ZAB4-1526-SM-5CVN7 40-49 years, male 139.1
GTEX-15G19-1526-SM-6LPKP 60-69 years, male 138.2
GTEX-17HII-2426-SM-7KFTT 50-59 years, male 137.9
GTEX-VJYA-1026-SM-4KL21 60-69 years, male 133.0
GTEX-14BIL-1926-SM-73KYI 50-59 years, male 132.8
GTEX-1RQEC-2126-SM-DPS15 60-69 years, male 124.6
GTEX-13X6J-2126-SM-5TDCV 50-59 years, male 119.1
GTEX-1HBPI-0726-SM-9WG7Z 50-59 years, male 118.1
GTEX-ZVP2-1626-SM-5GU5D 50-59 years, male 116.0
GTEX-13FTW-1726-SM-5KM2B 40-49 years, male 104.4
GTEX-ZLV1-0826-SM-DO11P 60-69 years, female 104.4
GTEX-XBED-1226-SM-4AT5V 60-69 years, male 100.8
GTEX-1J8EW-2226-SM-AHZ3T 60-69 years, female 100.1
GTEX-QXCU-1926-SM-48FE4 50-59 years, male 99.0
GTEX-1R7EU-1126-SM-EAZ4M 60-69 years, male 96.8
GTEX-14PJ5-0826-SM-6AJAR 60-69 years, female 96.4
GTEX-S95S-0826-SM-4B64N 60-69 years, male 96.2
GTEX-1F5PK-1826-SM-7RHHX 50-59 years, male 95.8
GTEX-1JMPY-0926-SM-ARL92 30-39 years, male 92.9
GTEX-144GM-1726-SM-5O9AS 20-29 years, male 91.5
GTEX-1L5NE-1526-SM-DIPFW 50-59 years, male 89.6
GTEX-12WSK-1426-SM-5CVNN 40-49 years, female 88.8
GTEX-XV7Q-1326-SM-4BRWM 40-49 years, female 88.7
GTEX-11TT1-0726-SM-5GU5A 20-29 years, male 87.2
GTEX-ZVT3-2126-SM-59HL2 60-69 years, female 87.2
GTEX-Q2AH-1126-SM-48TZM 40-49 years, male 86.9
GTEX-11DXX-1326-SM-5GIDZ 60-69 years, female 85.7
GTEX-12696-1726-SM-5EQLH 60-69 years, male 85.7
GTEX-15RIE-1026-SM-6LPJQ 60-69 years, male 85.4
GTEX-OOBJ-1526-SM-3NB1Q 60-69 years, male 85.3
GTEX-1GL5R-1926-SM-9WG7U 50-59 years, male 84.7
GTEX-ZYVF-2726-SM-5GID4 50-59 years, female 84.2
GTEX-Y9LG-1026-SM-5IFJN 30-39 years, male 83.8
GTEX-YEC4-1426-SM-5IFHS 40-49 years, male 82.9
GTEX-1LG7Z-1226-SM-DHXK4 30-39 years, male 82.7
GTEX-RWS6-0926-SM-47JXE 60-69 years, female 81.6
GTEX-S4Q7-0726-SM-4AD5F 20-29 years, male 80.5
GTEX-1A8G6-1426-SM-731EZ 60-69 years, male 80.3
GTEX-U3ZN-2026-SM-4DXUC 30-39 years, female 79.6
GTEX-T6MO-0726-SM-4DM58 40-49 years, female 79.5
GTEX-1HCU8-1326-SM-C1YQQ 60-69 years, female 79.4
GTEX-11EM3-1026-SM-5A5KL 20-29 years, female 79.0
GTEX-ZXES-1426-SM-5NQ8S 30-39 years, female 78.1
GTEX-1J8JJ-1726-SM-C1YQG 60-69 years, female 77.8
GTEX-15SHW-2126-SM-6M46Y 60-69 years, male 77.5
GTEX-15CHR-1326-SM-79OLT 50-59 years, male 76.3
GTEX-ZQUD-0826-SM-57WDQ 30-39 years, male 76.2
GTEX-ZY6K-0726-SM-5A5L8 50-59 years, male 76.1
GTEX-Q2AI-0826-SM-48TZO 40-49 years, male 75.3
GTEX-1AYCT-1326-SM-7MKHB 50-59 years, male 75.0
GTEX-S341-0626-SM-4AD5T 40-49 years, female 74.4
GTEX-YB5E-1126-SM-664NU 40-49 years, male 74.4
GTEX-Y8LW-0826-SM-4WWDO 50-59 years, female 74.0
GTEX-ZPU1-1626-SM-4WWB2 40-49 years, male 73.1
GTEX-17GQL-1226-SM-7KFTS 60-69 years, male 72.8
GTEX-ZYFG-1326-SM-5GICJ 60-69 years, female 72.6
GTEX-13N1W-2026-SM-5K7YU 70-79 years, male 72.5
GTEX-1MGNQ-1826-SM-DPRYI 40-49 years, male 72.4
GTEX-145MO-2226-SM-5Q5BN 60-69 years, male 72.3
GTEX-145MN-1326-SM-5NQ9S 30-39 years, male 72.2
GTEX-13RTK-0226-SM-5RQHR 20-29 years, male 71.9
GTEX-Q734-1026-SM-48U16 40-49 years, female 71.8
GTEX-ZLFU-1326-SM-DO11R 40-49 years, male 71.8
GTEX-XQ8I-2026-SM-4BOOL 50-59 years, male 71.7
GTEX-PX3G-1526-SM-48U11 20-29 years, female 71.5
GTEX-1R9K5-1026-SM-EAZ4F 50-59 years, male 71.3
GTEX-XUZC-0726-SM-4BOPH 30-39 years, female 71.1
GTEX-1B8KZ-1226-SM-793CP 50-59 years, male 70.3
GTEX-ZLWG-1526-SM-DO12F 50-59 years, female 70.3
GTEX-1A3MX-1926-SM-72D7F 60-69 years, male 69.6
GTEX-WFON-1126-SM-4LVMA 40-49 years, male 69.0
GTEX-14PHX-1026-SM-664OL 50-59 years, male 68.9
GTEX-1399S-1626-SM-5P9GI 30-39 years, female 68.4
GTEX-S4UY-1626-SM-4AD55 40-49 years, female 68.1
GTEX-1QPFJ-1526-SM-DPRXT 30-39 years, female 68.1
GTEX-13CF3-1926-SM-5K7WF 60-69 years, female 67.9
GTEX-QLQW-0726-SM-447AA 30-39 years, male 67.8
GTEX-WYJK-2526-SM-4ONDF 50-59 years, male 67.8
GTEX-13113-0726-SM-5LZUF 60-69 years, female 66.8
GTEX-15UF7-1226-SM-6M46G 40-49 years, male 66.8
GTEX-18D9A-0626-SM-7KFTY 30-39 years, female 66.8
GTEX-1LBAC-1426-SM-CXZKT 20-29 years, male 66.2
GTEX-ZA64-0826-SM-5HL9U 20-29 years, male 65.2
GTEX-ZF29-1526-SM-4WKF7 60-69 years, female 65.2
GTEX-WY7C-1726-SM-4ONCC 50-59 years, male 64.7
GTEX-18QFQ-1226-SM-718AE 30-39 years, male 64.4
GTEX-117YX-1026-SM-5H11V 50-59 years, male 64.3
GTEX-WHPG-0426-SM-4M1XW 50-59 years, male 64.2
GTEX-144GN-1226-SM-5O991 50-59 years, male 64.0
GTEX-Y3IK-1426-SM-4YCES 50-59 years, female 63.9
GTEX-13OVK-0926-SM-7KUFX 40-49 years, male 63.8
GTEX-131XG-1226-SM-5EGH9 50-59 years, female 63.4
GTEX-Y5LM-1326-SM-5RQIS 40-49 years, female 63.4
GTEX-QV44-1226-SM-CJI1S 50-59 years, male 62.8
GTEX-POMQ-0826-SM-3P61H 20-29 years, female 62.6
GTEX-X15G-1126-SM-4PQZG 50-59 years, female 62.6
GTEX-1CAMR-0726-SM-7EPIE 20-29 years, male 62.2
GTEX-1QP2A-2126-SM-DPRZ7 50-59 years, male 62.2
GTEX-OHPK-1526-SM-3MJGM 50-59 years, female 62.0
GTEX-PW2O-1226-SM-48TCH 20-29 years, male 61.8
GTEX-12WSG-2026-SM-5FQUU 50-59 years, female 61.6
GTEX-WHSB-1226-SM-4M1XR 50-59 years, male 61.6
GTEX-1RB15-1026-SM-E9U6V 60-69 years, male 61.3
GTEX-17HHE-1026-SM-79ON6 50-59 years, male 61.2
GTEX-1JK1U-1326-SM-AHZ45 60-69 years, male 61.1
GTEX-1B8KE-1326-SM-73KVI 50-59 years, male 61.0
GTEX-1B97J-1826-SM-7IGPP 50-59 years, female 61.0
GTEX-ZZ64-0426-SM-5E43F 20-29 years, male 60.7
GTEX-14E6E-0926-SM-664N8 30-39 years, male 60.6
GTEX-15DCE-1626-SM-6LPJM 20-29 years, male 60.6
GTEX-ZVT2-1626-SM-51MRC 50-59 years, female 59.9
GTEX-QDVN-1226-SM-48TZ5 50-59 years, male 59.6
GTEX-132QS-1826-SM-5IFFN 60-69 years, male 59.5
GTEX-1RMOY-1126-SM-EV79E 50-59 years, male 59.4
GTEX-U4B1-1026-SM-4DXT1 40-49 years, male 59.3
GTEX-ZV7C-1626-SM-5NQ7E 50-59 years, male 59.1
GTEX-V1D1-1726-SM-4JBHB 50-59 years, male 59.0
GTEX-R53T-1226-SM-48FCT 50-59 years, female 58.9
GTEX-WXYG-1626-SM-4ONCR 50-59 years, female 58.9
GTEX-16AAH-1226-SM-79OO9 50-59 years, male 58.8
GTEX-111CU-0926-SM-5EGIK 50-59 years, male 58.6
GTEX-11NSD-1426-SM-5HL67 20-29 years, male 58.5
GTEX-1LGRB-1726-SM-CNNRA 50-59 years, female 58.2
GTEX-1399R-1126-SM-5IFIO 30-39 years, male 57.5
GTEX-QLQ7-0826-SM-447B3 60-69 years, male 57.2
GTEX-S3XE-1026-SM-4AD4O 50-59 years, male 57.2
GTEX-UJMC-1226-SM-4IHLI 50-59 years, male 57.0
GTEX-12BJ1-1726-SM-5HL9B 60-69 years, male 56.5
GTEX-WFG8-1326-SM-4LVN3 20-29 years, male 56.5
GTEX-17F9E-2226-SM-7IGNC 50-59 years, male 56.3
GTEX-1A3MV-1226-SM-718BW 30-39 years, male 56.2
GTEX-1H23P-2726-SM-9JGHN 60-69 years, male 55.6
GTEX-PWCY-0926-SM-48TD7 20-29 years, female 55.5
GTEX-SNOS-0826-SM-4DM5N 40-49 years, male 55.0
GTEX-P4PP-1526-SM-3P61M 30-39 years, female 54.7
GTEX-15DZA-1126-SM-6LPK8 30-39 years, female 54.4
GTEX-14PJ6-0826-SM-686Z9 60-69 years, female 54.3
GTEX-111YS-1126-SM-5GZYQ 60-69 years, male 53.6
GTEX-1C475-1026-SM-7MKFJ 40-49 years, female 53.6
GTEX-1H3VY-2326-SM-9WG81 50-59 years, male 53.5
GTEX-1KANA-1126-SM-D3L9M 20-29 years, male 53.4
GTEX-17HGU-2126-SM-7IGOV 50-59 years, male 53.2
GTEX-1E1VI-2826-SM-7MGWU 50-59 years, male 53.0
GTEX-QCQG-0526-SM-48U2A 50-59 years, female 52.9
GTEX-131XF-1226-SM-5HL8V 60-69 years, male 52.7
GTEX-1HFI7-1526-SM-9WG7W 50-59 years, female 52.7
GTEX-RM2N-0826-SM-48FD3 50-59 years, male 52.6
GTEX-QDT8-2026-SM-EZ6LS 30-39 years, female 52.5
GTEX-T5JW-0926-SM-4DM5K 20-29 years, female 52.4
GTEX-1ICG6-1826-SM-AHZ2O 70-79 years, female 52.0
GTEX-13U4I-2526-SM-5SI8Z 40-49 years, female 51.7
GTEX-QDVJ-1426-SM-48U1Y 50-59 years, male 51.6
GTEX-ZP4G-1226-SM-4WWCJ 20-29 years, female 51.6
GTEX-ZDYS-1926-SM-5HL59 50-59 years, male 51.5
GTEX-OIZF-1526-SM-2I5GR 60-69 years, male 51.3
GTEX-13QBU-1126-SM-5LU44 40-49 years, female 51.2
GTEX-1H1DG-2126-SM-9WPPB 70-79 years, male 51.2
GTEX-1LSNM-1026-SM-DHXL2 50-59 years, male 50.7
GTEX-14B4R-0726-SM-5TDDR 30-39 years, male 50.6
GTEX-14BMU-1126-SM-5RQJ8 20-29 years, female 50.6
GTEX-QV31-0626-SM-447C5 30-39 years, male 50.5
GTEX-1AMFI-1226-SM-731CZ 50-59 years, female 49.5
GTEX-1HSEH-1526-SM-B2LXG 60-69 years, male 49.5
GTEX-1F5PL-1426-SM-7MKFH 40-49 years, female 49.1
GTEX-1F75I-1826-SM-7MKGX 40-49 years, male 49.0
GTEX-T8EM-1226-SM-4DM5J 40-49 years, male 49.0
GTEX-11I78-1726-SM-5A5M3 50-59 years, female 48.8
GTEX-1GZ4H-1026-SM-9OSXL 50-59 years, female 48.8
GTEX-13FTX-0726-SM-5N9BI 20-29 years, female 48.3
GTEX-QMRM-1126-SM-447BN 50-59 years, male 48.3
GTEX-OXRL-1526-SM-E6CHQ 50-59 years, male 48.3
GTEX-1I6K7-1726-SM-B2LXQ 40-49 years, male 48.0
GTEX-145LT-1426-SM-5O9B3 40-49 years, male 47.8
GTEX-11WQK-2626-SM-5EQ4K 50-59 years, male 47.6
GTEX-WHWD-1426-SM-4OORU 50-59 years, male 47.6
GTEX-SNMC-0626-SM-4DM6H 20-29 years, male 47.5
GTEX-TMMY-1626-SM-4DXTY 40-49 years, female 47.5
GTEX-ZF2S-1426-SM-57WET 50-59 years, female 47.3
GTEX-145ME-1026-SM-5O9B4 40-49 years, female 47.2
GTEX-14PKV-1826-SM-69LO9 20-29 years, female 46.7
GTEX-1HBPN-1626-SM-9WPNP 50-59 years, male 46.7
GTEX-1MJIX-1126-SM-EV7AO 40-49 years, male 46.6
GTEX-18A67-2626-SM-718AD 50-59 years, male 45.9
GTEX-132AR-2426-SM-5IFFD 50-59 years, female 45.4
GTEX-ZVZP-1726-SM-5GZWY 50-59 years, male 45.0
GTEX-1QCLZ-1826-SM-DPRXP 60-69 years, female 45.0
GTEX-PWN1-1526-SM-48TDA 40-49 years, female 44.7
GTEX-17MF6-2126-SM-7KFS7 40-49 years, male 44.6
GTEX-18A66-2226-SM-7189E 60-69 years, male 44.0
GTEX-1LGOU-1526-SM-D3LAJ 20-29 years, female 43.9
GTEX-WRHK-0626-SM-4MVOE 20-29 years, female 43.6
GTEX-OHPM-1526-SM-EV796 50-59 years, male 43.4
GTEX-1H1E6-1626-SM-9OSWC 30-39 years, male 43.3
GTEX-1MUQO-1926-SM-EAZ59 60-69 years, male 43.2
GTEX-XBEW-1826-SM-4RTWX 40-49 years, male 42.8
GTEX-1HKZK-1526-SM-B2LWG 40-49 years, male 42.7
GTEX-14ICL-0826-SM-5YY9W 30-39 years, male 42.4
GTEX-P78B-1826-SM-3P5YX 40-49 years, female 42.4
GTEX-1122O-1926-SM-5EGIQ 60-69 years, female 42.1
GTEX-V955-1326-SM-4JBHR 60-69 years, male 41.9
GTEX-13D11-2126-SM-5IFH2 50-59 years, female 41.8
GTEX-1QCLY-1126-SM-EAZ4J 30-39 years, male 41.7
GTEX-1KXAM-0926-SM-CXZKA 60-69 years, male 41.6
GTEX-1IDJD-2426-SM-C1YS6 30-39 years, male 41.4
GTEX-P4QT-1526-SM-3NMCT 50-59 years, female 41.2
GTEX-1J8Q3-1926-SM-C1YSJ 60-69 years, male 41.2
GTEX-13O21-0926-SM-5IFGT 50-59 years, male 41.0
GTEX-ZGAY-1626-SM-DNZZ3 40-49 years, female 41.0
GTEX-1LVAN-2426-SM-CNNPZ 50-59 years, female 40.9
GTEX-XMK1-1526-SM-EYYVO 40-49 years, male 40.8
GTEX-1MCYP-1126-SM-E9J2P 20-29 years, female 39.9
GTEX-17EUY-1526-SM-793CA 20-29 years, male 39.4
GTEX-YFCO-0826-SM-5LUAG 40-49 years, male 39.4
GTEX-ZZPU-1426-SM-5GZZ6 50-59 years, female 39.4
GTEX-13FH7-1026-SM-5IJGF 50-59 years, female 39.2
GTEX-14DAQ-2826-SM-664MU 60-69 years, female 39.2
GTEX-WYVS-1326-SM-4ONCQ 40-49 years, female 38.8
GTEX-133LE-1326-SM-5IFGO 20-29 years, female 38.0
GTEX-14JG6-1226-SM-664O6 30-39 years, female 37.8
GTEX-1JKYN-1726-SM-AHZ48 30-39 years, male 37.8
GTEX-1J8QM-1126-SM-C1YQB 60-69 years, female 36.1
GTEX-13PVR-2126-SM-73KVR 60-69 years, female 35.7
GTEX-NFK9-1526-SM-3LK7B 40-49 years, male 35.7
GTEX-OXRK-1626-SM-3NB17 50-59 years, female 35.1
GTEX-1I1GT-1726-SM-C1YS3 60-69 years, female 34.8
GTEX-1GF9U-1126-SM-AHZ4H 40-49 years, female 34.7
GTEX-139D8-2326-SM-5IFGE 30-39 years, female 34.4
GTEX-R55G-1126-SM-48FDG 40-49 years, female 33.1
GTEX-WEY5-1226-SM-4LMIQ 40-49 years, female 33.0
GTEX-1JMQJ-1326-SM-D4P3B 50-59 years, male 33.0
GTEX-17JCI-2226-SM-7LTA1 60-69 years, female 32.8
GTEX-WFG7-1326-SM-4LMK1 20-29 years, male 32.7
GTEX-W5WG-1726-SM-4LMI5 50-59 years, female 32.5
GTEX-1IDJU-1526-SM-CNNR3 60-69 years, female 32.4
GTEX-12C56-0526-SM-5FQST 20-29 years, male 32.0
GTEX-T5JC-1926-SM-4DM6Q 20-29 years, male 31.6
GTEX-14DAR-0926-SM-73KUQ 50-59 years, male 31.3
GTEX-14PJ3-1426-SM-664O8 50-59 years, male 31.1
GTEX-1PIGE-1126-SM-EWRMV 20-29 years, male 30.7
GTEX-1B97I-1226-SM-7MGWQ 40-49 years, male 30.6
GTEX-14BMV-2226-SM-5RQHX 50-59 years, male 30.1
GTEX-Y114-1226-SM-4TT88 50-59 years, female 29.8
GTEX-17F98-1526-SM-7EWD8 40-49 years, female 29.6
GTEX-ZT9W-1526-SM-4YCDE 50-59 years, male 29.0
GTEX-1I4MK-0926-SM-A9SLD 50-59 years, female 28.9
GTEX-11P82-0726-SM-5PNYL 20-29 years, male 28.8
GTEX-O5YV-1926-SM-EV797 60-69 years, female 28.8
GTEX-14PJ4-1626-SM-664OB 60-69 years, male 27.9
GTEX-Y5V6-1326-SM-4VDTF 60-69 years, male 27.9
GTEX-WFJO-1126-SM-4LVLZ 30-39 years, male 27.8
GTEX-SUCS-0926-SM-4DM4Z 70-79 years, male 27.7
GTEX-139YR-1926-SM-5LZXM 50-59 years, male 27.5
GTEX-1AMEY-1226-SM-731DU 30-39 years, female 27.3
GTEX-1HCUA-1626-SM-A9SMG 50-59 years, female 27.3
GTEX-1AX9J-2626-SM-731EK 60-69 years, male 27.0
GTEX-1HR9M-2326-SM-CNPPZ 60-69 years, male 27.0
GTEX-1GN1W-2126-SM-9JGI7 50-59 years, female 26.2
GTEX-R55D-1526-SM-48FEJ 50-59 years, male 25.8
GTEX-18D9B-2226-SM-718BM 60-69 years, male 25.7
GTEX-Y8E4-1526-SM-4WWDI 40-49 years, male 25.7
GTEX-ZPIC-2026-SM-57WG3 40-49 years, female 25.6
GTEX-RUSQ-1126-SM-EAZAU 50-59 years, male 25.4
GTEX-UPK5-2126-SM-4JBJK 40-49 years, male 24.9
GTEX-16NGA-1526-SM-72D56 40-49 years, female 24.5
GTEX-1339X-1426-SM-5K7YO 40-49 years, male 24.2
GTEX-1HSMQ-2426-SM-CE6RY 50-59 years, male 23.8
GTEX-O5YW-1526-SM-3MJGL 50-59 years, male 23.7
GTEX-11EQ9-1226-SM-5987E 30-39 years, male 23.4
GTEX-131XE-2226-SM-5PNYX 50-59 years, male 23.2
GTEX-WZTO-2126-SM-4PQYW 40-49 years, male 23.1
GTEX-S4P3-0726-SM-4AD57 50-59 years, female 22.7
GTEX-1IL2V-2026-SM-ARZMA 70-79 years, male 22.6
GTEX-1RAZR-1526-SM-EAZ4U 40-49 years, male 22.6
GTEX-ZEX8-1626-SM-4WKG7 50-59 years, male 22.2
GTEX-UJHI-1026-SM-4IHJP 50-59 years, female 22.0
GTEX-ZTX8-0426-SM-59HLG 20-29 years, male 20.9
GTEX-1399U-1626-SM-5P9J3 50-59 years, female 20.7
GTEX-14PHY-0926-SM-5ZZWL 60-69 years, female 20.2
GTEX-XAJ8-0326-SM-47JYI 40-49 years, male 20.0
GTEX-15G1A-1226-SM-7KUF3 30-39 years, male 19.9
GTEX-11VI4-0326-SM-5EQ6L 40-49 years, female 19.7
GTEX-12WSJ-0926-SM-5P9JD 40-49 years, female 19.6
GTEX-Y3I4-1626-SM-4TT7W 50-59 years, male 19.6
GTEX-ZV6S-0926-SM-57WGB 40-49 years, female 19.6
GTEX-R55C-1026-SM-48FCM 40-49 years, male 19.5
GTEX-13111-1226-SM-5GCNC 50-59 years, male 19.4
GTEX-1H11D-2226-SM-9OSXN 40-49 years, male 19.3
GTEX-S7SF-0626-SM-4AD4V 20-29 years, female 19.2
GTEX-XPVG-1526-SM-4B66C 50-59 years, male 19.2
GTEX-13O3Q-2126-SM-5KM4C 50-59 years, male 19.0
GTEX-14PKU-1126-SM-69LOU 40-49 years, female 19.0
GTEX-TKQ2-0926-SM-4DXU5 50-59 years, male 19.0
GTEX-1GPI7-1326-SM-9KNVA 20-29 years, male 18.8
GTEX-RU1J-0526-SM-46MUT 20-29 years, female 18.4
GTEX-1IDJF-1426-SM-ACKWK 20-29 years, male 18.4
GTEX-1211K-1426-SM-5FQTF 60-69 years, female 18.2
GTEX-146FR-2026-SM-5NQAI 60-69 years, female 18.1
GTEX-13OVI-2426-SM-5KM4J 60-69 years, female 17.8
GTEX-1CB4H-2426-SM-7PBYR 60-69 years, female 17.7
GTEX-1S831-1126-SM-EWROI 20-29 years, male 17.1
GTEX-S4Z8-1226-SM-4AD6W 60-69 years, male 17.0
GTEX-PLZ6-0826-SM-3P61K 30-39 years, male 16.8
GTEX-TKQ1-0526-SM-4DXTG 30-39 years, male 16.8
GTEX-1PPH8-1326-SM-DTXFO 20-29 years, male 16.8
GTEX-1QP29-2326-SM-EXOJO 50-59 years, male 16.8
GTEX-PLZ5-1226-SM-EXOHA 50-59 years, male 16.8
GTEX-146FH-2126-SM-5SI9U 50-59 years, female 16.7
GTEX-P4PQ-1526-SM-3NMCK 60-69 years, male 15.9
GTEX-1H1DE-1226-SM-9JGHH 20-29 years, male 15.7
GTEX-11P7K-1726-SM-5GU6F 30-39 years, male 15.6
GTEX-1CB4E-1326-SM-7DUGD 60-69 years, male 15.6
GTEX-1E2YA-2426-SM-7EPIG 50-59 years, male 15.5
GTEX-11EI6-2426-SM-5PNVS 60-69 years, male 15.1
GTEX-YEC3-1426-SM-D4P1S 50-59 years, male 14.9
GTEX-17KNJ-1526-SM-7LTA9 50-59 years, male 14.8
GTEX-WH7G-1526-SM-4LVMX 40-49 years, male 14.8
GTEX-1KD5A-1426-SM-D4P3V 50-59 years, male 14.8
GTEX-1JN76-0926-SM-ARZNH 20-29 years, female 14.6
GTEX-1H3NZ-2226-SM-9WYUT 60-69 years, male 14.4
GTEX-1QP67-1026-SM-EVR47 40-49 years, female 14.4
GTEX-1EH9U-2226-SM-7PBXX 60-69 years, male 14.3
GTEX-1HT8W-2326-SM-A9SLA 30-39 years, male 14.2
GTEX-1NSGN-1926-SM-E9J36 50-59 years, male 14.2
GTEX-15EU6-2526-SM-7KUGB 50-59 years, male 13.9
GTEX-1S82Z-1726-SM-E6CHZ 30-39 years, female 13.4
GTEX-1LVAM-1426-SM-E9TJ4 50-59 years, female 13.1
GTEX-OIZH-1526-SM-3NB1J 50-59 years, male 12.7
GTEX-13QJ3-2726-SM-5SI6L 50-59 years, male 12.6
GTEX-1N2DV-0926-SM-E9TJT 40-49 years, male 12.5
GTEX-1B8L1-1526-SM-79OLK 60-69 years, male 11.9
GTEX-14PN3-1326-SM-6AJ9U 60-69 years, female 11.4
GTEX-ZE7O-3026-SM-51MS4 50-59 years, female 11.2
GTEX-1QW4Y-0726-SM-DTX8E 30-39 years, male 11.1
GTEX-1QP28-2126-SM-DTX8B 50-59 years, female 10.9
GTEX-1C64O-2226-SM-73KTV 60-69 years, male 10.7
GTEX-13O61-1126-SM-5L3FI 60-69 years, male 10.5
GTEX-15RIF-1126-SM-7KUG2 20-29 years, male 8.7
GTEX-1S3DN-1526-SM-EVYCB 50-59 years, male 8.3
GTEX-14E1K-1526-SM-664MN 50-59 years, male 8.1
GTEX-13X6H-1626-SM-5Q5CT 50-59 years, female 7.9
GTEX-1K2DA-0826-SM-CGQGD 50-59 years, male 7.9
Show allShow less

Contact

  • NEWS ARTICLES
  • PRESS ROOM

The Project

  • INTRODUCTION
  • ORGANIZATION
  • PUBLICATIONS

The Human Protein Atlas

  • DOWNLOADABLE DATA
  • LICENCE & CITATION
  • HELP & FAQ
The Human Protein Atlas project is funded
by the Knut & Alice Wallenberg Foundation.


contact@proteinatlas.org