We use cookies to enhance the usability of our website. If you continue, we'll assume that you are happy to receive all cookies. More information. Don't show this again.
VEGFA
HPA
RESOURCES
  • TISSUE
  • BRAIN
  • SINGLE CELL
  • SUBCELLULAR
  • CANCER
  • BLOOD
  • CELL LINE
  • STRUCTURE & INTERACTION
ABOUT
  • INTRODUCTION
  • HISTORY
  • ORGANIZATION
  • PUBLICATIONS
  • ANTIBODY SUBMISSION
  • ANTIBODY AVAILABILITY
  • ACKNOWLEDGMENTS
  • CONTACT
NEWS
  • NEWS ARTICLES
  • PRESS ROOM
LEARN
  • DICTIONARY
  • PROTEIN CLASSES
  • PROTEIN EVIDENCE
  • METHODS
  • EDUCATIONAL VIDEOS
DATA
  • DOWNLOADABLE DATA
  • PUBLICATION DATA
  • RELEASE HISTORY
HELP
  • ANTIBODY VALIDATION
  • ASSAYS & ANNOTATION
  • DISCLAIMER
  • HELP & FAQ
  • PRIVACY STATEMENT
  • LICENCE & CITATION
Fields »
Search result

Field
Term
Gene name
Class
Subclass
Class
Keyword
Chromosome
External id
Tissue
Cell type
Expression
Antibody panel
Tissue
Main location
Patient ID
Annotation
Tissue
Category
Tau score
Cluster
Reliability
Brain region
Category
Tau score
Brain region
Category
Tau score
Brain region
Category
Tau score
Cluster
Reliability
Tissue
Cell type
Enrichment
Cell type
Category
Tau score
Cell type
Category
Tau score
Cell type
Category
Tau score
Cell lineage
Category
Tau score
Cluster
Cluster
Location
Searches
Location
Cell line
Class
Type
Phase
Reliability
Cancer
Prognosis
Cancer
Category
Cancer
Category
Tau score
Cluster
Variants
Interacting gene (ensg_id)
Type
Number of interactions
Pathway
Category
Score
Score
Score
Validation
Validation
Validation
Validation
Antibodies
Data type
Column


  • SUMMARY

  • TISSUE

  • BRAIN

  • SINGLE CELL

  • SUBCELL

  • CANCER

  • BLOOD

  • CELL LINE

  • STRUCT & INT

  • VEGFA
TISSUE PRIMARY DATA SKIN Show tissue menu
ADIPOSE TISSUE ADRENAL GLAND AMYGDALA APPENDIX BASAL GANGLIA BONE MARROW BREAST BRONCHUS CEREBELLUM CEREBRAL CORTEX CERVIX CHOROID PLEXUS COLON DUODENUM
ENDOMETRIUM EPIDIDYMIS ESOPHAGUS FALLOPIAN TUBE GALLBLADDER HEART MUSCLE HIPPOCAMPAL FORMATION HYPOTHALAMUS KIDNEY LIVER LUNG LYMPH NODE MIDBRAIN NASOPHARYNX
ORAL MUCOSA OVARY PANCREAS PARATHYROID GLAND PITUITARY GLAND PLACENTA PROSTATE RECTUM RETINA SALIVARY GLAND SEMINAL VESICLE SKELETAL MUSCLE SKIN SMALL INTESTINE
SMOOTH MUSCLE SOFT TISSUE SPINAL CORD SPLEEN STOMACH TESTIS THYMUS THYROID GLAND TONGUE TONSIL URINARY BLADDER VAGINA
ANTIBODIES
AND
VALIDATION
Dictionary
Skin
Tissue proteome
Skin
SKIN - Expression summary
Protein expression
Skini

On the top, protein expression in current human tissue, based on all annotated cell types, is reported with the units not detected (n), low (l), medium (m) and high (h). Underneath, protein expression in each annotated cell type are reported using the same units.

Protein expression data is based on knowledge-based annotation. For genes where more than one antibody has been used, a collective score is set.

If knowledge-based annotation could not be performed for a gene, no data is displayed here. View antibody staining data further down this page.

h
m
l
n
Arrector pili muscle cells: Not detected
Cells in basal layer: Medium
Cells in corneal layer: Not detected
Cells in granular layer: Medium
Cells in spinous layer: Medium
Eccrine glands: High
Endothelial cells: Low
Extracellular matrix: Not detected
Fibrohistiocytic cells: High
Hair follicles: Medium
Langerhans cells: Medium
Lymphocytes: Not detected
Melanocytes: Medium
Vascular mural cells: Not detected
RNA expressioni

A summary of mRNA expression data available for current tissue based on several datasets. The mRNA expression levels in human tissues are based on RNA-seq data generated by the Human Protein Atlas (HPA), Genotype-Tissue Expression (GTEx) portal and CAGE data generated by the FANTOM5 consortium. Consensus normalized expression levels for human tissues was created by combining the data from HPA and GTEx datasets.

The mRNA expression levels in pig are based on RNA-seq data generated by the Human Protein Atlas (HPA), and for mouse, HPA data and in situ hybridization generated by the Allen brain atlas are reported.

Scroll down to view mRNA expression data in more detail.
Consensus:42.8 nTPM
HPA:19.2 nTPM
GTEx:42.8 nTPM

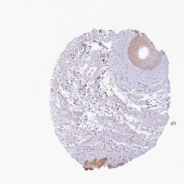
SKIN 1 - Antibody stainingi

Antibody staining in the annotated cell types in the current human tissue is reported as not detected, low, medium, or high, based on conventional immunohistochemistry profiling in selected tissues. This score is based on the combination of the staining intensity and fraction of stained cells.

Each image is clickable and will lead to virtual microscopy that enables deeper exploration of all samples and also displays staining intensity scores, fraction scores and subcellular localization as well as patient and tissue information for each sample.

Antibody HPA069116Antibody CAB005429Antibody CAB039240Antibody CAB069907
Langerhans MediumHigh-Medium
Arrector pili muscle cells --Not detected-
Cells in basal layer --Medium-
Cells in corneal layer --Not detected-
Cells in granular layer --Medium-
Cells in spinous layer --Medium-
Eccrine glands --High-
Endothelial cells --Not detected-
Extracellular matrix --Not detected-
Fibroblasts MediumHigh-Medium
Fibrohistiocytic cells --High-
Keratinocytes MediumHigh-Medium
Langerhans cells --Medium-
Lymphocytes --Not detected-
Melanocytes MediumMediumMediumMedium
Vascular mural cells --Not detected-





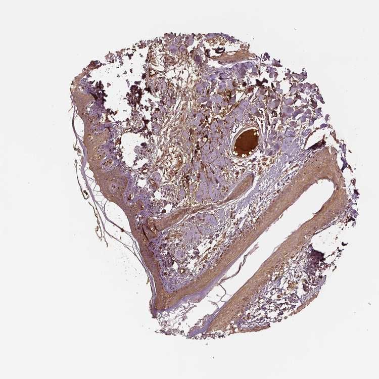
SKIN 2 - Antibody stainingi

Antibody staining in the annotated cell types in the current human tissue is reported as not detected, low, medium, or high, based on conventional immunohistochemistry profiling in selected tissues. This score is based on the combination of the staining intensity and fraction of stained cells.

Each image is clickable and will lead to virtual microscopy that enables deeper exploration of all samples and also displays staining intensity scores, fraction scores and subcellular localization as well as patient and tissue information for each sample.

Antibody HPA069116Antibody CAB005429Antibody CAB039240Antibody CAB069907
Cells in basal layer --Medium-
Cells in corneal layer --Not detected-
Cells in granular layer --Medium-
Cells in spinous layer --Medium-
Endothelial cells --Low-
Epidermal cells MediumHigh-Medium
Extracellular matrix --Not detected-
Fibrohistiocytic cells --High-
Hair follicles --Medium-
Langerhans cells --Medium-
Lymphocytes --Not detected-
Melanocytes --Medium-
Vascular mural cells --Not detected-
    
    
    


SKIN - HPA RNA-seqi

The RNA-seq details section shows detailed information about the individual samples used for the transcript profiling and results of the RNA-seq analysis.

Information about each individual sample is listed below, including gender, age, a tissue section image and estimated fractions of cell types. nTPM (normalized transcripts per million) values give a quantification of the gene abundance which is comparable between different genes and samples.
Average nTPMi

Max subtype nTPM is the value for the subtype with the largest average nTPM across the subtype samples.

19.2
overview
Female, age 34
Skin sample 225
nTPM: 19.8
Cell types%
Keratinocytes:
60

Other cell types:
40

overview
Female, age 30
Skin sample 226
nTPM: 18.8
Cell types%
Keratinocytes:
55

Other cell types:
45

N/A
Male, age 57
Skin sample 227
nTPM: 19

SKIN - GTEx RNA-seqi

RNA-Seq data generated by the Genotype-Tissue Expression (GTEx) project from human tissues is reported as mean nTPM. More information can be found on the GTEx portal.

Distribution across the dataset is visualized with box plots, shown as median and 25th and 75th percentiles. Points are displayed as outliers if they are above or below 1.5 times the interquartile range. nTPM values of the individual samples are presented next to the box plot.
Max subtype nTPMi

Max subtype nTPM is the value for the subtype with the largest average nTPM across the subtype samples.

42.8
GTEx sample id Sample description nTPM
Skin - Not Sun Exposed (Suprapubic)
Average nTPM: 42.8
Samples: 604

Max nTPM: 240.4
Min nTPM: 3.6
Std nTPM: 34.9
Median nTPM: 31.8
GTEX-13IVO-0726-SM-5LZYV 70-79 years, male 240.4
GTEX-ZYVF-0926-SM-5E44J 50-59 years, female 237.7
GTEX-1JMQL-2226-SM-CNPP4 50-59 years, female 202.3
GTEX-XK95-0226-SM-4AT58 40-49 years, male 188.8
GTEX-14E6C-2426-SM-5S2NF 40-49 years, male 185.4
GTEX-1A3MX-2626-SM-7PC24 60-69 years, male 180.6
GTEX-X8HC-0626-SM-4E3HQ 50-59 years, female 176.0
GTEX-15UF6-1926-SM-7KUDV 70-79 years, female 163.9
GTEX-ZYY3-2926-SM-5GIEB 60-69 years, female 163.4
GTEX-11WQK-1026-SM-5EQLX 50-59 years, male 162.5
GTEX-16XZZ-0726-SM-7KUF2 60-69 years, male 159.1
GTEX-WHSE-0126-SM-3NMBT 20-29 years, male 157.6
GTEX-1B933-2426-SM-7DHMD 50-59 years, female 155.1
GTEX-15DDE-2926-SM-6LLJ3 50-59 years, female 151.1
GTEX-1H23P-0626-SM-9WG6T 60-69 years, male 146.8
GTEX-XMD2-2126-SM-4YCF8 60-69 years, female 145.6
GTEX-12WSF-1626-SM-7KUG5 70-79 years, male 142.0
GTEX-ZYFD-0626-SM-5E44E 50-59 years, male 138.8
GTEX-1A3MW-0626-SM-731CB 60-69 years, female 137.7
GTEX-1F6RS-2026-SM-7RHHC 60-69 years, female 136.0
GTEX-ZUA1-2626-SM-5NQ92 40-49 years, male 132.7
GTEX-U8XE-0226-SM-4E3J3 30-39 years, male 127.1
GTEX-1PIIG-2326-SM-DTXFR 30-39 years, male 127.1
GTEX-1HR9M-2226-SM-CNPPY 60-69 years, male 122.6
GTEX-13OVH-0526-SM-5L3E6 70-79 years, male 121.0
GTEX-145MF-0926-SM-5Q5EA 50-59 years, male 117.3
GTEX-12696-0126-SM-5EQ4L 60-69 years, male 115.9
GTEX-ZVE2-2826-SM-5GU51 50-59 years, male 110.6
GTEX-11TT1-1826-SM-5EQLV 20-29 years, male 110.4
GTEX-XOT4-0626-SM-4B66L 60-69 years, female 108.9
GTEX-1H3VE-0726-SM-9YFL5 40-49 years, male 107.1
GTEX-13NZ8-1226-SM-5KM4A 60-69 years, female 107.0
GTEX-145LS-0626-SM-7EPG7 60-69 years, female 106.2
GTEX-1JMQI-1726-SM-ARL93 50-59 years, male 106.1
GTEX-1F88E-1626-SM-7SB8Z 60-69 years, female 105.1
GTEX-1GMR3-0126-SM-A9SLW 40-49 years, male 103.1
GTEX-11DXW-0826-SM-5H118 40-49 years, male 100.6
GTEX-1HGF4-0126-SM-CNPPX 60-69 years, male 98.5
GTEX-VUSG-2326-SM-4KL1U 50-59 years, male 97.7
GTEX-16GPK-0626-SM-7KFSF 60-69 years, male 96.5
GTEX-13YAN-0226-SM-5TDC6 60-69 years, male 96.0
GTEX-1J8Q2-2626-SM-ACKWQ 60-69 years, male 95.8
GTEX-145MG-1526-SM-5Q5EM 50-59 years, male 95.7
GTEX-WI4N-2726-SM-3LK7Y 40-49 years, female 95.5
GTEX-1ICLZ-0326-SM-ARL82 60-69 years, male 95.5
GTEX-13QJC-0126-SM-5ZZWJ 60-69 years, female 94.0
GTEX-14LZ3-0126-SM-69LPM 60-69 years, female 93.6
GTEX-17EVQ-0126-SM-7IGLR 70-79 years, male 93.4
GTEX-14A5H-0826-SM-5QGPJ 60-69 years, male 92.2
GTEX-1I1GU-0926-SM-ACKVS 40-49 years, male 91.9
GTEX-1IDFM-0326-SM-ARL7V 60-69 years, male 91.2
GTEX-1GN1U-0626-SM-9MQL9 50-59 years, female 89.5
GTEX-11O72-0626-SM-5PNYE 40-49 years, male 88.7
GTEX-14PJ2-0626-SM-6LLII 50-59 years, male 88.0
GTEX-1H2FU-0926-SM-9WPPT 60-69 years, female 87.6
GTEX-16MT8-2926-SM-7DUFO 60-69 years, female 87.4
GTEX-15SKB-2826-SM-6PAMH 60-69 years, male 86.8
GTEX-1N5O9-0926-SM-E9J3C 60-69 years, male 86.8
GTEX-ZDTS-0826-SM-4WKHL 60-69 years, male 86.2
GTEX-11DZ1-2426-SM-5GZZX 50-59 years, male 85.3
GTEX-1M4P7-0726-SM-E6CJ3 60-69 years, male 85.0
GTEX-1192X-2726-SM-5N9DN 50-59 years, male 84.6
GTEX-1QAET-0326-SM-EVR3U 50-59 years, male 84.4
GTEX-111FC-2526-SM-5GZXU 60-69 years, male 84.1
GTEX-14DAQ-0626-SM-793DS 60-69 years, female 83.6
GTEX-1J8JJ-0626-SM-ARZMQ 60-69 years, female 83.2
GTEX-1E1VI-0326-SM-793D1 50-59 years, male 83.1
GTEX-1A8FM-0626-SM-7PC25 50-59 years, female 82.8
GTEX-1IE54-1126-SM-A9G2Z 40-49 years, female 82.7
GTEX-13OVL-0126-SM-5L3GJ 50-59 years, male 82.3
GTEX-1HCU7-0726-SM-A9SL1 50-59 years, male 82.1
GTEX-13PDP-0726-SM-5L3HP 60-69 years, male 81.8
GTEX-13N1W-2426-SM-5IJD1 70-79 years, male 81.3
GTEX-14XAO-1226-SM-6EU1C 60-69 years, female 80.7
GTEX-1R9K4-2826-SM-DTX8F 60-69 years, male 80.5
GTEX-1H1CY-0126-SM-9YFLY 60-69 years, female 79.5
GTEX-1HUB1-1426-SM-CGQF5 60-69 years, male 79.4
GTEX-15SHW-0226-SM-7LTAT 60-69 years, male 79.2
GTEX-13SLW-0626-SM-5Q5ER 70-79 years, male 79.1
GTEX-14C38-0726-SM-5SI6M 50-59 years, male 78.6
GTEX-13OW5-2326-SM-5L3HO 60-69 years, male 78.3
GTEX-ZY6K-1426-SM-5GZX2 50-59 years, male 78.2
GTEX-11EQ8-0926-SM-5H12V 60-69 years, male 77.5
GTEX-1GMR8-0626-SM-7RHI7 50-59 years, female 77.1
GTEX-1QEPI-2626-SM-DTXF4 60-69 years, female 77.0
GTEX-1117F-2926-SM-5GZYI 60-69 years, female 76.1
GTEX-18465-2826-SM-7LT9J 50-59 years, male 76.0
GTEX-1F75B-0726-SM-7PC3R 50-59 years, male 76.0
GTEX-145MO-2826-SM-5LU96 60-69 years, male 75.6
GTEX-WK11-2726-SM-3NMAQ 50-59 years, male 75.4
GTEX-1KWVE-1026-SM-D3L9O 30-39 years, male 74.1
GTEX-18A7B-2726-SM-7LG56 70-79 years, male 73.6
GTEX-1GN1V-2826-SM-9JGIA 60-69 years, male 73.1
GTEX-XBEC-0726-SM-4QARZ 50-59 years, male 73.0
GTEX-12KS4-2126-SM-5FQUT 30-39 years, male 72.8
GTEX-ZYW4-0626-SM-59HJR 60-69 years, male 72.8
GTEX-14C39-1726-SM-5RQIL 40-49 years, male 72.7
GTEX-14BMU-1226-SM-5S2OR 20-29 years, female 72.4
GTEX-14PJO-2526-SM-6AJBQ 60-69 years, male 72.4
GTEX-13JUV-2026-SM-5K7UA 40-49 years, female 72.0
GTEX-1A8G7-1326-SM-73KVM 60-69 years, male 72.0
GTEX-11GSP-2326-SM-5HL63 60-69 years, female 71.9
GTEX-1A32A-0626-SM-731AQ 50-59 years, female 71.7
GTEX-WYBS-0626-SM-3NMAS 60-69 years, female 71.3
GTEX-131XH-0126-SM-5LZUY 50-59 years, male 69.7
GTEX-1EH9U-2826-SM-7DUGT 60-69 years, male 69.0
GTEX-1A8G6-2726-SM-731AR 60-69 years, male 68.7
GTEX-11TUW-0626-SM-5LU9M 60-69 years, male 67.7
GTEX-1K2DU-1226-SM-CYPT4 20-29 years, male 67.7
GTEX-1PBJJ-1026-SM-E76OS 30-39 years, male 66.2
GTEX-ZC5H-1526-SM-5HL9Y 40-49 years, female 65.0
GTEX-17F9Y-0126-SM-79OKX 70-79 years, female 64.9
GTEX-131YS-2826-SM-5EQ47 60-69 years, female 64.7
GTEX-ZE7O-2726-SM-51MT5 50-59 years, female 64.6
GTEX-139TS-2126-SM-5K7XC 60-69 years, male 64.4
GTEX-X4EO-2926-SM-4E3JH 60-69 years, female 64.4
GTEX-1HSMO-0626-SM-ACKXC 60-69 years, male 64.1
GTEX-139TT-2126-SM-5LZWC 60-69 years, male 63.7
GTEX-148VJ-0626-SM-5LUAW 70-79 years, male 63.6
GTEX-14JG1-1526-SM-5YY9X 40-49 years, male 63.5
GTEX-1HR98-2226-SM-ADEI2 60-69 years, male 63.5
GTEX-ZE9C-2526-SM-5IJDR 60-69 years, male 63.2
GTEX-1F6IF-0926-SM-7SB7M 60-69 years, male 62.1
GTEX-12WSC-2826-SM-5BC5Y 50-59 years, male 61.9
GTEX-1HT8W-0626-SM-A9G2H 30-39 years, male 61.3
GTEX-13OVK-1426-SM-6PAN7 40-49 years, male 61.2
GTEX-1IDJV-0126-SM-COH3Y 60-69 years, male 61.0
GTEX-1J1OQ-0126-SM-D4P2N 40-49 years, female 60.9
GTEX-1R46S-2426-SM-E76QA 60-69 years, female 60.9
GTEX-1IL2V-1926-SM-B2LW8 70-79 years, male 60.6
GTEX-1JMPZ-0726-SM-CY8HZ 30-39 years, male 60.5
GTEX-1HSMP-0926-SM-A9SKX 70-79 years, male 60.4
GTEX-1LG7Y-2526-SM-EWRO7 50-59 years, male 60.1
GTEX-1CAV2-0126-SM-7IGN7 40-49 years, female 59.8
GTEX-1GF9W-1426-SM-7PBYM 60-69 years, male 59.6
GTEX-12584-0726-SM-5FQTK 40-49 years, male 59.4
GTEX-ZAJG-1526-SM-5CVML 50-59 years, female 59.2
GTEX-WHWD-1826-SM-3LK6I 50-59 years, male 59.0
GTEX-ZTTD-2826-SM-4YCFA 50-59 years, male 58.8
GTEX-15RJE-2826-SM-7KUM9 40-49 years, male 58.5
GTEX-ZAB4-2126-SM-5HL8U 40-49 years, male 58.3
GTEX-1JMLX-0626-SM-ARL8T 50-59 years, male 58.3
GTEX-13NZ9-2626-SM-5L3FK 50-59 years, male 57.9
GTEX-ZDXO-3126-SM-5IJDF 60-69 years, male 56.9
GTEX-1QP66-1226-SM-DTX7U 50-59 years, male 56.9
GTEX-14JFF-0626-SM-5ZZVT 60-69 years, male 56.7
GTEX-1I1GS-2626-SM-B2LY3 60-69 years, male 56.7
GTEX-145MI-0626-SM-5SI8S 60-69 years, female 56.2
GTEX-13NYC-0126-SM-5L3F4 60-69 years, male 55.6
GTEX-ZWKS-0626-SM-5GIDV 30-39 years, male 55.6
GTEX-ZU9S-1826-SM-5NQ9E 30-39 years, male 55.4
GTEX-1E2YA-2126-SM-7MXUO 50-59 years, male 55.3
GTEX-1399Q-2326-SM-5KM2X 40-49 years, male 55.1
GTEX-1ICG6-1226-SM-A9SLN 70-79 years, female 55.1
GTEX-13X6I-1826-SM-5SIAO 60-69 years, male 54.9
GTEX-1S82U-1026-SM-E6CJK 30-39 years, female 54.6
GTEX-1I1CD-0626-SM-CE6SW 60-69 years, female 54.5
GTEX-XXEK-1626-SM-4BRUZ 50-59 years, male 54.4
GTEX-1F48J-0726-SM-7RHGS 50-59 years, female 53.7
GTEX-1L5NE-1126-SM-D3L9P 50-59 years, male 53.5
GTEX-1HBPM-0726-SM-9YFL7 60-69 years, female 53.4
GTEX-XBED-1926-SM-47JYP 60-69 years, male 52.9
GTEX-11DXY-0126-SM-5H11Q 60-69 years, male 52.8
GTEX-1KAFJ-0126-SM-DIPEK 50-59 years, male 52.8
GTEX-139UW-0326-SM-5J1ML 60-69 years, male 52.4
GTEX-1I4MK-0126-SM-CY8G6 50-59 years, female 52.4
GTEX-147F4-0726-SM-5TDDD 50-59 years, male 52.3
GTEX-Y5LM-0926-SM-6LLJG 40-49 years, female 52.1
GTEX-1H1DE-1326-SM-9KNUG 20-29 years, male 52.1
GTEX-1F75W-2726-SM-7SB8H 60-69 years, male 51.9
GTEX-13N2G-0226-SM-5K7VF 60-69 years, male 51.7
GTEX-1212Z-0126-SM-59HK4 60-69 years, male 51.5
GTEX-1R9PN-0426-SM-DTXDT 40-49 years, female 51.1
GTEX-144GM-0526-SM-79OJO 20-29 years, male 51.0
GTEX-1H1DG-2426-SM-9QEHJ 70-79 years, male 51.0
GTEX-15G19-2426-SM-7KUMR 60-69 years, male 50.7
GTEX-18A6Q-0626-SM-7KFRP 60-69 years, male 50.7
GTEX-1I1GP-1326-SM-A9G28 50-59 years, male 50.7
GTEX-1N2EE-0626-SM-E76PW 60-69 years, male 50.2
GTEX-13RTJ-0126-SM-5S2NN 60-69 years, male 49.4
GTEX-1JJ6O-2726-SM-CNPOG 60-69 years, male 49.4
GTEX-1KD5A-0126-SM-E9U54 50-59 years, male 49.2
GTEX-144GO-2026-SM-5O99P 60-69 years, male 48.8
GTEX-1JN6P-2926-SM-CL54D 60-69 years, male 48.7
GTEX-1269C-0126-SM-5EQ5L 60-69 years, female 48.6
GTEX-144GL-0626-SM-5LU4D 50-59 years, male 48.5
GTEX-1PPH7-1126-SM-DTX9A 40-49 years, male 48.5
GTEX-1I19N-0126-SM-CYPSF 70-79 years, male 48.4
GTEX-11EI6-2826-SM-5H11D 60-69 years, male 48.1
GTEX-1J8Q3-0526-SM-ARL8U 60-69 years, male 48.1
GTEX-1JMOU-1026-SM-CYPSS 60-69 years, female 48.1
GTEX-15CHQ-0326-SM-69LQD 60-69 years, male 47.7
GTEX-ZYT6-2326-SM-5GZY3 30-39 years, male 47.2
GTEX-1477Z-0326-SM-7IGLA 60-69 years, male 47.1
GTEX-13FLV-0126-SM-5K7WT 50-59 years, male 47.0
GTEX-13PL6-1126-SM-5L3IE 40-49 years, female 46.9
GTEX-1HCU8-2526-SM-CE6RX 60-69 years, female 46.9
GTEX-1314G-1326-SM-5BC6E 30-39 years, male 46.8
GTEX-1JN1M-2726-SM-CY8I4 60-69 years, female 46.7
GTEX-147JS-0226-SM-5S2U9 60-69 years, male 46.6
GTEX-13W3W-0726-SM-5IJDQ 60-69 years, female 46.2
GTEX-11LCK-2226-SM-5HL4Q 30-39 years, male 46.0
GTEX-17HG3-2626-SM-7DUF2 30-39 years, female 45.8
GTEX-11WQC-1826-SM-5GU59 60-69 years, male 45.7
GTEX-1LSNM-0826-SM-DIPG8 50-59 years, male 45.7
GTEX-13O3O-2326-SM-5IJD6 60-69 years, female 45.6
GTEX-13OVJ-0826-SM-5J1OK 50-59 years, female 45.3
GTEX-14PJ5-1526-SM-6LLIL 60-69 years, female 45.2
GTEX-13OW6-2726-SM-5J2OE 50-59 years, male 44.9
GTEX-1HFI6-0126-SM-CNPPI 40-49 years, male 44.9
GTEX-17JCI-2926-SM-7DUFF 60-69 years, female 44.8
GTEX-1RLM8-2926-SM-E8VON 50-59 years, male 44.3
GTEX-1F52S-2926-SM-7MKGA 60-69 years, female 44.2
GTEX-132AR-0326-SM-5KM2C 50-59 years, female 44.1
GTEX-13PVQ-0626-SM-5LU47 50-59 years, male 44.0
GTEX-1H3NZ-2726-SM-9WYTQ 60-69 years, male 43.5
GTEX-1HCU6-2526-SM-ADEHL 60-69 years, female 43.0
GTEX-15EO6-2426-SM-6PALZ 50-59 years, male 42.8
GTEX-1GZ4I-2626-SM-9KNU3 50-59 years, male 42.8
GTEX-1K9T9-1526-SM-DIPFR 50-59 years, female 42.7
GTEX-1S5ZU-2526-SM-E6CIF 20-29 years, female 42.7
GTEX-12ZZY-0726-SM-5EQ66 60-69 years, male 42.5
GTEX-1B996-0426-SM-7EWF8 60-69 years, male 42.1
GTEX-ZVE1-0726-SM-51MRN 50-59 years, female 42.0
GTEX-12BJ1-0926-SM-5EQ62 60-69 years, male 41.9
GTEX-1B8KZ-0326-SM-73KY4 50-59 years, male 41.9
GTEX-1HBPN-0126-SM-CGQEF 50-59 years, male 41.7
GTEX-X585-2426-SM-46MW2 50-59 years, male 41.3
GTEX-1JMQK-1226-SM-D4P2S 60-69 years, male 41.2
GTEX-1LVAO-2726-SM-E9TJ8 60-69 years, male 41.1
GTEX-12126-0826-SM-5FQTZ 20-29 years, male 40.8
GTEX-V1D1-2026-SM-3GAF4 50-59 years, male 40.6
GTEX-1H4P4-2126-SM-9WYSL 50-59 years, male 40.6
GTEX-15D1Q-2826-SM-6LLH7 40-49 years, male 40.2
GTEX-ZXG5-2126-SM-59HKD 60-69 years, male 40.2
GTEX-14LLW-2626-SM-62LDZ 70-79 years, female 40.0
GTEX-XV7Q-1826-SM-4BRUV 40-49 years, female 40.0
GTEX-1JJE9-2626-SM-ARZMT 70-79 years, male 39.8
GTEX-1F6I4-2326-SM-7RHGL 60-69 years, male 39.3
GTEX-1HB9E-0126-SM-CM2S5 50-59 years, male 39.3
GTEX-X4EP-0626-SM-3P621 60-69 years, female 39.0
GTEX-1BAJH-2426-SM-7IGP8 70-79 years, male 38.5
GTEX-14BMV-2826-SM-5TDED 50-59 years, male 38.3
GTEX-1LSNL-2726-SM-E9TKJ 50-59 years, male 38.1
GTEX-13SLX-2226-SM-62LEP 50-59 years, female 37.9
GTEX-12WSD-0626-SM-5GCMW 60-69 years, female 37.7
GTEX-1H1DF-1126-SM-9WG7G 40-49 years, female 37.7
GTEX-13OW7-0426-SM-5K7VK 50-59 years, male 37.6
GTEX-14PII-0726-SM-6EU2B 60-69 years, male 37.5
GTEX-1LSVX-2526-SM-DIPEU 60-69 years, male 37.2
GTEX-ZVT4-2426-SM-5GIEI 50-59 years, female 36.9
GTEX-131XW-0626-SM-5PNVD 50-59 years, female 36.7
GTEX-17EVP-2626-SM-7IGMA 40-49 years, male 36.7
GTEX-13U4I-2226-SM-5LU5H 40-49 years, female 36.5
GTEX-1JMQJ-0826-SM-CNPP7 50-59 years, male 36.3
GTEX-ZYFC-0426-SM-5GICQ 50-59 years, male 36.2
GTEX-11NUK-2726-SM-5A5MC 50-59 years, male 36.1
GTEX-WYVS-1626-SM-3NM9R 40-49 years, female 36.1
GTEX-1IKJJ-2226-SM-CJI4C 60-69 years, male 36.1
GTEX-Z93S-1626-SM-5CVMB 50-59 years, male 36.0
GTEX-1C6VR-0126-SM-7RHGB 60-69 years, male 36.0
GTEX-1GTWX-2026-SM-9YFLM 60-69 years, male 35.7
GTEX-17HGU-2326-SM-7DUFE 50-59 years, male 35.6
GTEX-1KANC-1226-SM-CYPT7 50-59 years, female 35.6
GTEX-1313W-0626-SM-5EQ4H 50-59 years, female 35.5
GTEX-13JVG-0726-SM-5KM16 60-69 years, male 35.5
GTEX-12ZZX-2426-SM-5GCOE 40-49 years, female 35.3
GTEX-YB5K-2026-SM-4VDT3 40-49 years, female 35.2
GTEX-14A6H-2026-SM-5Q5DD 30-39 years, male 35.1
GTEX-ZPIC-0526-SM-DO91W 40-49 years, female 35.1
GTEX-11ZTT-2126-SM-5CVLO 60-69 years, female 34.8
GTEX-12WSK-2126-SM-5CVNC 40-49 years, female 34.8
GTEX-17HHY-0426-SM-7DHLC 50-59 years, male 34.8
GTEX-11ZU8-0126-SM-5EQ58 60-69 years, male 34.7
GTEX-1CB4J-1326-SM-7P8RX 60-69 years, male 34.7
GTEX-16Z82-2626-SM-7KULU 60-69 years, male 34.6
GTEX-13X6K-0626-SM-5LU5D 60-69 years, female 34.5
GTEX-ZT9W-1126-SM-57WDR 50-59 years, male 34.5
GTEX-1QCLZ-2426-SM-EVYBW 60-69 years, female 34.3
GTEX-18A7A-0126-SM-731AH 50-59 years, female 34.2
GTEX-Y8LW-1526-SM-5IFHL 50-59 years, female 34.0
GTEX-1B932-2326-SM-79OL5 40-49 years, female 33.9
GTEX-13FHO-0426-SM-5L3F5 60-69 years, male 33.5
GTEX-12WSM-1926-SM-5BC65 60-69 years, male 33.3
GTEX-1AX9I-2226-SM-73KUO 60-69 years, male 33.3
GTEX-11EM3-1226-SM-5N9DD 20-29 years, female 33.1
GTEX-1HBPI-2126-SM-ARL9K 50-59 years, male 32.6
GTEX-11UD2-2526-SM-5CVNU 50-59 years, male 32.4
GTEX-XUW1-0926-SM-4BONX 50-59 years, female 32.4
GTEX-13FTY-2126-SM-5IFFB 40-49 years, female 32.3
GTEX-13OVG-1626-SM-5J1NF 60-69 years, male 32.3
GTEX-1O9I2-0226-SM-EYYXD 50-59 years, male 32.3
GTEX-13O3Q-0126-SM-5KM34 50-59 years, male 32.1
GTEX-1GPI6-1926-SM-9KNV7 60-69 years, male 32.1
GTEX-1HCU9-0426-SM-9WYSD 20-29 years, male 32.1
GTEX-111CU-1126-SM-5EGIM 50-59 years, male 32.0
GTEX-1399U-1126-SM-5L3DB 50-59 years, female 32.0
GTEX-XQ3S-1426-SM-4BOPR 20-29 years, male 32.0
GTEX-13112-0126-SM-5P9IU 50-59 years, male 31.9
GTEX-13D11-0926-SM-5J2NC 50-59 years, female 31.9
GTEX-13OW8-1026-SM-5J1NQ 60-69 years, male 31.8
GTEX-ZF2S-1626-SM-57WES 50-59 years, female 31.8
GTEX-1IDJE-1426-SM-ADEIW 50-59 years, female 31.8
GTEX-11OF3-0126-SM-5PNYF 60-69 years, male 31.7
GTEX-1LKK1-2626-SM-DKPQE 50-59 years, female 31.7
GTEX-XYKS-1426-SM-4BRUO 60-69 years, female 31.6
GTEX-1GZ2Q-0126-SM-9WG6M 40-49 years, male 31.6
GTEX-1JN76-0626-SM-CKZOQ 20-29 years, female 31.6
GTEX-1MCC2-1826-SM-DIPEX 30-39 years, female 31.4
GTEX-1QMI2-2526-SM-E8VNZ 60-69 years, male 31.4
GTEX-1211K-1526-SM-5FQU4 60-69 years, female 31.3
GTEX-144FL-0626-SM-5LU43 50-59 years, male 31.2
GTEX-YECK-0326-SM-4W1YS 60-69 years, male 31.2
GTEX-1I6K6-1726-SM-CGQFD 30-39 years, male 31.2
GTEX-WY7C-2126-SM-3NB2R 50-59 years, male 31.1
GTEX-1399S-0126-SM-5IJCF 30-39 years, female 31.0
GTEX-1I1GV-0626-SM-ARL7M 60-69 years, male 31.0
GTEX-1B8KE-1126-SM-7EPHI 50-59 years, male 30.9
GTEX-1HFI7-2326-SM-CGQFS 50-59 years, female 30.8
GTEX-1LGRB-0926-SM-COH3K 50-59 years, female 30.8
GTEX-1AX8Z-0726-SM-73KTS 60-69 years, male 30.7
GTEX-ZLFU-1826-SM-4WWBV 40-49 years, male 30.6
GTEX-15DYW-2726-SM-6EU2I 60-69 years, female 30.5
GTEX-15CHR-1126-SM-7EWF4 50-59 years, male 30.4
GTEX-1CB4E-0926-SM-7EPHT 60-69 years, male 30.4
GTEX-11DXZ-2026-SM-5987S 50-59 years, male 30.3
GTEX-12WSA-0426-SM-5EQ5X 60-69 years, male 30.3
GTEX-15ER7-0626-SM-6PANF 20-29 years, female 30.1
GTEX-1AX9J-1326-SM-731BJ 60-69 years, male 29.9
GTEX-1GMRU-2126-SM-7P8RA 50-59 years, male 29.5
GTEX-16YQH-2226-SM-7IGM2 30-39 years, male 29.4
GTEX-13NYS-0626-SM-5L3F1 60-69 years, male 29.3
GTEX-WFG8-2126-SM-3GIKQ 20-29 years, male 29.1
GTEX-1HCVE-2726-SM-CL54F 50-59 years, male 28.9
GTEX-1POEN-2326-SM-E9J2L 30-39 years, female 28.9
GTEX-139TU-0726-SM-5L3EK 60-69 years, male 28.7
GTEX-1NSGN-0726-SM-DTXEF 50-59 years, male 28.5
GTEX-117YX-1926-SM-5GIEC 50-59 years, male 28.4
GTEX-1ICLY-0826-SM-CMKG1 50-59 years, male 28.4
GTEX-1PPGY-1626-SM-EVYBL 60-69 years, male 28.4
GTEX-11P82-1426-SM-DTXFY 20-29 years, male 28.1
GTEX-111VG-1626-SM-5EGIO 60-69 years, male 28.0
GTEX-17F96-0126-SM-7EWDU 70-79 years, male 27.9
GTEX-12WSL-2026-SM-5GCML 50-59 years, male 27.8
GTEX-1EKGG-0626-SM-7DUGJ 60-69 years, male 27.8
GTEX-1GF9U-2026-SM-7SB92 40-49 years, female 27.7
GTEX-1I6K7-1926-SM-B2LXR 40-49 years, male 27.7
GTEX-147GR-2426-SM-5ZZWQ 60-69 years, male 27.6
GTEX-WYJK-0526-SM-3NM8Z 50-59 years, male 27.5
GTEX-1H3O1-1326-SM-9MQLD 60-69 years, male 27.4
GTEX-X5EB-1926-SM-4E3IW 40-49 years, male 27.3
GTEX-XAJ8-1426-SM-47JYM 40-49 years, male 27.3
GTEX-1IDJD-2326-SM-ACKWX 30-39 years, male 27.1
GTEX-UPK5-0426-SM-3GAEK 40-49 years, male 26.9
GTEX-YJ8O-2526-SM-5HL85 40-49 years, female 26.8
GTEX-14753-0726-SM-5QGQO 60-69 years, male 26.7
GTEX-1EN7A-2426-SM-793DB 40-49 years, male 26.4
GTEX-1B97I-0626-SM-73KUZ 40-49 years, male 26.3
GTEX-145ME-1726-SM-5Q5EU 40-49 years, female 26.2
GTEX-14BIN-1126-SM-5RQJZ 50-59 years, female 26.2
GTEX-1EWIQ-0326-SM-7DHMQ 70-79 years, female 26.2
GTEX-1AYD5-2626-SM-7PBXY 50-59 years, male 26.2
GTEX-1IY9M-2826-SM-ARU8H 60-69 years, male 26.2
GTEX-Y8E4-2026-SM-5IFJB 40-49 years, male 26.0
GTEX-UPJH-0226-SM-3GADV 50-59 years, male 25.9
GTEX-1HSKV-1226-SM-ADEI4 60-69 years, male 25.9
GTEX-11ZUS-2626-SM-5FQUR 30-39 years, male 25.8
GTEX-1F5PL-0926-SM-7PC2W 40-49 years, female 25.7
GTEX-1GN2E-0226-SM-9WG6K 60-69 years, male 25.7
GTEX-1IDJF-2026-SM-CL53V 20-29 years, male 25.6
GTEX-1RB15-1326-SM-E76Q9 60-69 years, male 25.5
GTEX-13QBU-1226-SM-5LU4G 40-49 years, female 25.3
GTEX-1QW4Y-1126-SM-DTXE3 30-39 years, male 25.3
GTEX-17F97-2626-SM-7IGM5 50-59 years, male 25.1
GTEX-1PPH8-0126-SM-EWRN8 20-29 years, male 25.0
GTEX-131XG-0326-SM-5L3DX 50-59 years, female 24.9
GTEX-147F3-1726-SM-5SIAW 50-59 years, female 24.9
GTEX-15G1A-1626-SM-7KUKN 30-39 years, male 24.8
GTEX-WH7G-2026-SM-3NMBL 40-49 years, male 24.8
GTEX-1C6VQ-1226-SM-73KYD 50-59 years, male 24.7
GTEX-YEC4-1826-SM-4W1YP 40-49 years, male 24.7
GTEX-1LG7Z-1626-SM-CXKYR 30-39 years, male 24.7
GTEX-1RAZS-2526-SM-E6CHT 50-59 years, male 24.7
GTEX-13FH7-1126-SM-5K7UG 50-59 years, female 24.5
GTEX-18D9A-1426-SM-7LT8M 30-39 years, female 24.5
GTEX-1CB4H-1126-SM-7MKGL 60-69 years, female 24.4
GTEX-17MF6-2626-SM-79OKQ 40-49 years, male 24.3
GTEX-1R9PM-1926-SM-EVR3O 20-29 years, male 24.3
GTEX-ZT9X-1526-SM-5DUXD 40-49 years, male 24.2
GTEX-139YR-1026-SM-5LZYN 50-59 years, male 24.1
GTEX-ZA64-1026-SM-5HL8R 20-29 years, male 24.1
GTEX-14ABY-2026-SM-62LDL 50-59 years, male 24.0
GTEX-ZYFG-1526-SM-5GZYM 60-69 years, female 23.9
GTEX-11DYG-1526-SM-5A5JS 60-69 years, male 23.8
GTEX-15RIE-1926-SM-7KUKJ 60-69 years, male 23.7
GTEX-183FY-1026-SM-7939A 20-29 years, male 23.7
GTEX-ZLWG-0826-SM-59888 50-59 years, female 23.6
GTEX-ZF3C-0626-SM-DO92O 50-59 years, female 23.2
GTEX-11P81-2226-SM-5PNYI 30-39 years, female 23.1
GTEX-1KXAM-1626-SM-D3LAD 60-69 years, male 23.1
GTEX-ZVTK-0226-SM-51MRG 20-29 years, male 22.7
GTEX-1OJC4-2726-SM-E76PJ 50-59 years, female 22.7
GTEX-WRHU-2826-SM-3MJG8 50-59 years, female 22.6
GTEX-1CB4I-0126-SM-7RHGG 50-59 years, male 22.6
GTEX-1F88F-0126-SM-9WYSZ 60-69 years, female 22.6
GTEX-XPVG-2126-SM-4B667 50-59 years, male 22.4
GTEX-1I1HK-2326-SM-CKZOH 60-69 years, male 22.3
GTEX-14E1K-2026-SM-7DUEI 50-59 years, male 22.2
GTEX-16MT9-0126-SM-7EPI8 60-69 years, female 22.1
GTEX-1CAMQ-1326-SM-7P8RV 40-49 years, male 22.1
GTEX-1JMPY-0226-SM-CKZOK 30-39 years, male 21.8
GTEX-1I1GT-1026-SM-ARZLV 60-69 years, female 21.7
GTEX-Y5V5-0126-SM-5S2NW 60-69 years, female 21.6
GTEX-13G51-1826-SM-5KLZH 60-69 years, male 21.5
GTEX-139T8-0626-SM-5KLZX 60-69 years, male 21.4
GTEX-18A66-0626-SM-7LT8Z 60-69 years, male 21.4
GTEX-Y9LG-1126-SM-4VBQ7 30-39 years, male 21.4
GTEX-13VXT-1926-SM-5K7UO 20-29 years, female 21.3
GTEX-1IDJC-1526-SM-B2LW4 50-59 years, male 21.2
GTEX-1IOXB-2726-SM-CM2RI 50-59 years, male 21.2
GTEX-18A67-1626-SM-7LT9T 50-59 years, male 21.1
GTEX-1IDJH-0126-SM-D3L92 70-79 years, male 21.1
GTEX-1EMGI-2326-SM-7PBYA 60-69 years, male 21.0
GTEX-1IDJI-0126-SM-CMKHS 50-59 years, female 20.9
GTEX-1F75A-0726-SM-7RHHD 50-59 years, male 20.8
GTEX-1GZ4H-0526-SM-9KNU9 50-59 years, female 20.8
GTEX-1R7EU-1626-SM-DTXG3 60-69 years, male 20.8
GTEX-111YS-1526-SM-5GZYW 60-69 years, male 20.7
GTEX-13FTX-1526-SM-5K7VJ 20-29 years, female 20.7
GTEX-16NPX-0726-SM-7KULC 50-59 years, male 20.6
GTEX-1RAZA-2226-SM-E9U4X 20-29 years, male 20.6
GTEX-12C56-1526-SM-5FQUQ 20-29 years, male 20.2
GTEX-13VXU-0626-SM-5L3F9 50-59 years, male 20.2
GTEX-178AV-1726-SM-7KUL8 40-49 years, male 20.2
GTEX-1HC8U-1326-SM-9YFMJ 40-49 years, female 20.2
GTEX-14PJ4-0226-SM-5YY92 60-69 years, male 20.1
GTEX-1S3DN-2126-SM-E9TIN 50-59 years, male 20.1
GTEX-1C2JI-1026-SM-73KY1 50-59 years, male 19.8
GTEX-1B8L1-2226-SM-7P8PT 60-69 years, male 19.8
GTEX-1LVA9-2626-SM-EVYD4 50-59 years, male 19.8
GTEX-15CHC-1126-SM-6LLHQ 60-69 years, female 19.7
GTEX-Y111-0626-SM-4SOIT 50-59 years, male 19.7
GTEX-1GN1W-2426-SM-9KNUU 50-59 years, female 19.7
GTEX-139D8-1126-SM-5LU8W 30-39 years, female 19.5
GTEX-WHPG-2626-SM-3NMBR 50-59 years, male 19.5
GTEX-1C64N-2626-SM-7PC2N 50-59 years, male 19.5
GTEX-1IKOE-1426-SM-CE6T7 30-39 years, female 19.5
GTEX-VJYA-1526-SM-3GIJV 60-69 years, male 19.4
GTEX-1497J-0226-SM-5QGPU 60-69 years, male 19.3
GTEX-1B8SF-0126-SM-7DUG3 60-69 years, male 19.3
GTEX-WFON-1926-SM-3LK7L 40-49 years, male 19.2
GTEX-12WSJ-1126-SM-5LZVJ 40-49 years, female 19.0
GTEX-ZTSS-1426-SM-5985P 40-49 years, male 19.0
GTEX-YFCO-1226-SM-5LUAT 40-49 years, male 18.7
GTEX-ZPU1-1126-SM-4YCF3 40-49 years, male 18.7
GTEX-1122O-1026-SM-9WYSF 60-69 years, female 18.7
GTEX-1C475-1326-SM-7SB73 40-49 years, female 18.7
GTEX-12ZZZ-0726-SM-5GCNZ 60-69 years, male 18.6
GTEX-1C64O-1326-SM-7MGWR 60-69 years, male 18.5
GTEX-YF7O-1526-SM-5IFI6 50-59 years, male 18.3
GTEX-1J8QM-2426-SM-A9SLS 60-69 years, female 18.3
GTEX-1AMEY-0826-SM-72D65 30-39 years, female 18.2
GTEX-1KANA-1326-SM-DIPFA 20-29 years, male 18.2
GTEX-1J1R8-2026-SM-CL53Y 40-49 years, male 18.1
GTEX-133LE-2326-SM-5K7W3 20-29 years, female 18.0
GTEX-YEC3-1326-SM-DO92X 50-59 years, male 18.0
GTEX-1RAZQ-1326-SM-E9TK6 30-39 years, male 17.9
GTEX-16NGA-0726-SM-731AO 40-49 years, female 17.7
GTEX-1QP29-1826-SM-DTX9S 50-59 years, male 17.6
GTEX-1QP2A-1726-SM-E76QC 50-59 years, male 17.6
GTEX-1HKZK-0726-SM-ACKW2 40-49 years, male 17.4
GTEX-1LGOU-1326-SM-D3L8M 20-29 years, female 17.4
GTEX-145LU-1926-SM-79OJN 50-59 years, male 17.3
GTEX-18D9B-0926-SM-7LG4U 60-69 years, male 17.3
GTEX-1LB8K-0726-SM-D5OV2 50-59 years, male 17.3
GTEX-1S83E-1326-SM-E6CJM 40-49 years, male 17.3
GTEX-1F5PK-2226-SM-7SB6N 50-59 years, male 17.1
GTEX-W5X1-2526-SM-3GILC 40-49 years, female 16.9
GTEX-WEY5-2326-SM-3GIKK 40-49 years, female 16.9
GTEX-ZZ64-1026-SM-5GZXG 20-29 years, male 16.9
GTEX-13NYB-0126-SM-5J1MD 40-49 years, male 16.8
GTEX-1F75I-2226-SM-7SB8U 40-49 years, male 16.8
GTEX-145MH-2826-SM-5RQJF 50-59 years, male 16.7
GTEX-ZAK1-0626-SM-5HL8E 50-59 years, female 16.7
GTEX-ZVZP-1226-SM-5GID7 50-59 years, male 16.7
GTEX-1CAMS-2226-SM-7PBXQ 40-49 years, female 16.6
GTEX-Y5V6-2326-SM-4VDSA 60-69 years, male 16.5
GTEX-ZVP2-0326-SM-57WBP 50-59 years, male 16.5
GTEX-11DXX-2126-SM-5PNYR 60-69 years, female 16.4
GTEX-11GS4-0226-SM-5HL77 60-69 years, male 16.4
GTEX-13X6J-0626-SM-5LU5F 50-59 years, male 16.4
GTEX-17KNJ-2126-SM-718AM 50-59 years, male 16.3
GTEX-Y3I4-1726-SM-4TT89 50-59 years, male 16.3
GTEX-1JJEA-1826-SM-ARU8P 60-69 years, male 16.3
GTEX-17F9E-2326-SM-79OKD 50-59 years, male 16.1
GTEX-ZDTT-0426-SM-4WKFL 60-69 years, male 15.9
GTEX-14JG6-1426-SM-9WG7C 30-39 years, female 15.9
GTEX-11NSD-0626-SM-5A5LU 20-29 years, male 15.8
GTEX-1EU9M-1426-SM-793AI 60-69 years, male 15.8
GTEX-WHSB-1326-SM-3LK6W 50-59 years, male 15.8
GTEX-ZDYS-2426-SM-4WKGI 50-59 years, male 15.7
GTEX-13N11-2326-SM-5IJBF 50-59 years, female 15.6
GTEX-146FQ-2126-SM-5RQHU 30-39 years, male 15.6
GTEX-1H1ZS-2726-SM-9WG75 70-79 years, male 15.6
GTEX-145LT-0526-SM-5LUB2 40-49 years, male 15.4
GTEX-1GF9V-0826-SM-9KNUV 60-69 years, male 15.4
GTEX-1RMOY-1326-SM-E9TIH 50-59 years, male 15.4
GTEX-ZLV1-1526-SM-DO91J 60-69 years, female 15.4
GTEX-14PHY-1226-SM-5ZZWK 60-69 years, female 15.2
GTEX-16AAH-0626-SM-793C9 50-59 years, male 15.2
GTEX-15RJ7-2126-SM-6PAMD 40-49 years, male 15.1
GTEX-1PDJ9-1226-SM-EXUSX 20-29 years, male 15.1
GTEX-1LVAM-0726-SM-E6CIL 50-59 years, female 15.0
GTEX-14B4R-1326-SM-5Q5EZ 30-39 years, male 14.9
GTEX-14PKU-0126-SM-6LLHV 40-49 years, female 14.9
GTEX-1GMR2-0826-SM-7PC3V 50-59 years, male 14.9
GTEX-131XF-2626-SM-5EQ6K 60-69 years, male 14.8
GTEX-14DAR-1226-SM-73KYV 50-59 years, male 14.8
GTEX-1JK1U-0226-SM-ARZMX 60-69 years, male 14.7
GTEX-1GF9X-1326-SM-7PC2Y 40-49 years, female 14.6
GTEX-1GN73-0726-SM-7P8TJ 60-69 years, male 14.6
GTEX-1GZHY-0626-SM-9KNVC 50-59 years, female 14.6
GTEX-1KANB-2826-SM-CY8I6 50-59 years, male 14.6
GTEX-1J8EW-2726-SM-CY8HR 60-69 years, female 14.2
GTEX-13X6H-0926-SM-5SIB2 50-59 years, female 14.1
GTEX-1C6WA-2626-SM-7MKGM 60-69 years, male 14.1
GTEX-12WSH-1526-SM-5BC5W 50-59 years, male 14.0
GTEX-18D9U-0126-SM-731BM 40-49 years, male 14.0
GTEX-14E6E-0526-SM-793DN 30-39 years, male 13.9
GTEX-1QCLY-0226-SM-EWRNH 30-39 years, male 13.9
GTEX-1QP28-1126-SM-EVYC4 50-59 years, female 13.9
GTEX-ZZPU-0826-SM-5GZX5 50-59 years, female 13.8
GTEX-1S82P-2126-SM-E6CI5 60-69 years, female 13.8
GTEX-1CB4F-1026-SM-7DUH1 60-69 years, male 13.7
GTEX-15FZZ-0526-SM-7KUGD 30-39 years, female 13.6
GTEX-1A3MV-1826-SM-731CD 30-39 years, male 13.6
GTEX-11EQ9-1626-SM-5PNY8 30-39 years, male 13.4
GTEX-13FTW-0326-SM-5K7UW 40-49 years, male 13.4
GTEX-13PVR-0426-SM-5RQK2 60-69 years, female 13.3
GTEX-17HII-1426-SM-7EPGG 50-59 years, male 13.3
GTEX-Y3IK-1626-SM-4YCF5 50-59 years, female 13.3
GTEX-17MFQ-1526-SM-7KFRR 20-29 years, male 13.2
GTEX-1RAZR-2126-SM-E9U6T 40-49 years, male 13.2
GTEX-16BQI-1326-SM-6M486 30-39 years, female 13.0
GTEX-1GL5R-1326-SM-7RHHF 50-59 years, male 13.0
GTEX-1JKYR-0626-SM-ARL8R 20-29 years, male 13.0
GTEX-1EX96-1026-SM-7MKG2 50-59 years, male 12.9
GTEX-1CAMR-1326-SM-7PC1F 20-29 years, male 12.8
GTEX-11PRG-0726-SM-5EGL1 50-59 years, male 12.6
GTEX-1H11D-1826-SM-9QEHM 40-49 years, male 12.5
GTEX-14PK6-0226-SM-62LF5 70-79 years, female 12.3
GTEX-16MTA-0926-SM-6M47Z 50-59 years, male 12.3
GTEX-1GPI7-1826-SM-9KNU1 20-29 years, male 12.2
GTEX-1MJK3-0726-SM-E6CJC 20-29 years, male 12.1
GTEX-14PJ3-1126-SM-5ZZVX 50-59 years, male 11.9
GTEX-ZF29-0926-SM-4WKFZ 60-69 years, female 11.8
GTEX-1LVAN-0626-SM-CNPOQ 50-59 years, female 11.8
GTEX-183WM-0326-SM-72D5V 70-79 years, female 11.7
GTEX-Y114-2126-SM-4TT8B 50-59 years, female 11.4
GTEX-14PJ6-2626-SM-6EU2T 60-69 years, female 11.3
GTEX-1LBAC-0826-SM-CY8IJ 20-29 years, male 11.2
GTEX-XQ8I-0926-SM-4BOOF 50-59 years, male 11.1
GTEX-14C5O-0326-SM-5ZZUX 60-69 years, male 11.0
GTEX-1399R-1326-SM-5PNYS 30-39 years, male 10.9
GTEX-18QFQ-1826-SM-72D52 30-39 years, male 10.9
GTEX-ZTX8-1326-SM-4YCEL 20-29 years, male 10.6
GTEX-1QPFJ-1926-SM-EVYBD 30-39 years, female 10.6
GTEX-15EU6-2226-SM-6EU2L 50-59 years, male 10.2
GTEX-1HSMQ-2626-SM-A9SML 50-59 years, male 10.1
GTEX-1H1E6-0426-SM-9WYUS 30-39 years, male 9.9
GTEX-ZGAY-1826-SM-DO91Q 40-49 years, female 9.9
GTEX-ZP4G-1426-SM-4WWCL 20-29 years, female 9.8
GTEX-1QP9N-1226-SM-E76QN 30-39 years, male 9.8
GTEX-145MN-1526-SM-5SI9T 30-39 years, male 9.7
GTEX-14ICL-1626-SM-5YYAO 30-39 years, male 9.7
GTEX-XBEW-1126-SM-4QARW 40-49 years, male 9.2
GTEX-14PKV-1126-SM-6LLJ1 20-29 years, female 9.1
GTEX-WXYG-2026-SM-4E3IY 50-59 years, female 9.0
GTEX-1JKYN-0826-SM-ARU8S 30-39 years, male 8.9
GTEX-1HCUA-0826-SM-ADEHM 50-59 years, female 8.8
GTEX-14AS3-1526-SM-5Q5ED 40-49 years, female 8.5
GTEX-11P7K-1126-SM-5HL4L 30-39 years, male 8.4
GTEX-1N2DV-1526-SM-DTXEP 40-49 years, male 8.4
GTEX-1K2DA-1026-SM-CGQGF 50-59 years, male 8.2
GTEX-1S831-1826-SM-EWROF 20-29 years, male 8.2
GTEX-13O61-1426-SM-5KM3D 60-69 years, male 8.1
GTEX-1HSGN-0826-SM-ACKW3 40-49 years, female 8.1
GTEX-1IDJU-1726-SM-CMKHU 60-69 years, female 8.1
GTEX-X3Y1-2026-SM-3P5YM 40-49 years, male 8.0
GTEX-13113-1626-SM-5EQ4I 60-69 years, female 7.9
GTEX-1MCYP-0526-SM-E9U6Q 20-29 years, female 7.5
GTEX-1AMFI-1326-SM-7939R 50-59 years, female 7.3
GTEX-1NV5F-0626-SM-DTXEG 60-69 years, female 7.3
GTEX-1PIGE-1826-SM-E8VOU 20-29 years, male 7.1
GTEX-1OJC3-1226-SM-DTXER 20-29 years, male 7.0
GTEX-17F98-1326-SM-7DUEP 40-49 years, female 6.9
GTEX-17HHE-1326-SM-7EWDZ 50-59 years, male 6.9
GTEX-14PJN-1826-SM-6AJ98 30-39 years, male 6.5
GTEX-ZPCL-1126-SM-4WWFE 60-69 years, female 6.5
GTEX-14PHX-2226-SM-6EU2P 50-59 years, male 6.4
GTEX-WFG7-2026-SM-5SI7P 20-29 years, male 6.2
GTEX-15RIG-0726-SM-7KUM7 40-49 years, male 5.1
GTEX-ZVT2-0126-SM-5GIDQ 50-59 years, female 4.4
GTEX-11VI4-1126-SM-5EQMD 40-49 years, female 3.6
Show allShow less
Skin - Sun Exposed (Lower leg)
Average nTPM: 39.8
Samples: 701

Max nTPM: 397.1
Min nTPM: 5.6
Std nTPM: 30.7
Median nTPM: 31.0
GTEX-183WM-0126-SM-7LTAB 70-79 years, female 397.1
GTEX-SE5C-1626-SM-2XCE3 40-49 years, female 199.7
GTEX-15EOM-0126-SM-7KUGG 20-29 years, female 190.0
GTEX-X4XY-0226-SM-4E3IZ 60-69 years, male 159.0
GTEX-OXRO-0126-SM-2YUN4 60-69 years, female 158.3
GTEX-1L5NE-2526-SM-E6CIE 50-59 years, male 154.1
GTEX-14E6C-0126-SM-5RQIP 40-49 years, male 148.8
GTEX-1A3MX-0126-SM-731BR 60-69 years, male 143.6
GTEX-13OVH-0126-SM-5MR4B 70-79 years, male 142.8
GTEX-1A3MW-0126-SM-73KXX 60-69 years, female 141.1
GTEX-1JMQL-0226-SM-CNPP5 50-59 years, female 138.5
GTEX-1IKK5-0626-SM-ARL8A 60-69 years, male 127.3
GTEX-11TT1-2526-SM-5EGIB 20-29 years, male 125.5
GTEX-1HBPH-0426-SM-B2LW5 40-49 years, female 122.7
GTEX-148VJ-0126-SM-5TDDN 70-79 years, male 121.7
GTEX-1HSMO-0126-SM-CL547 60-69 years, male 121.7
GTEX-15UF6-0826-SM-6PALJ 70-79 years, female 120.9
GTEX-1LC47-0326-SM-E9TJP 60-69 years, male 120.8
GTEX-13PDP-0126-SM-5L3HD 60-69 years, male 120.2
GTEX-VJWN-0126-SM-3GIK7 50-59 years, female 116.6
GTEX-1PBJI-0526-SM-E8VNK 20-29 years, female 116.6
GTEX-1F6RS-0126-SM-9MQKZ 60-69 years, female 115.2
GTEX-RUSQ-1526-SM-2TF62 50-59 years, male 114.5
GTEX-1GPI6-0126-SM-9WG69 60-69 years, male 111.5
GTEX-1QP67-1626-SM-EAZ3X 40-49 years, female 110.5
GTEX-15D1Q-0126-SM-7KUG6 40-49 years, male 105.7
GTEX-1IDFM-0126-SM-COH2V 60-69 years, male 104.7
GTEX-1GN1V-0126-SM-9WPOS 60-69 years, male 104.4
GTEX-1N2EF-0226-SM-EYYXB 60-69 years, male 103.2
GTEX-15DDE-0126-SM-6LPKH 50-59 years, female 98.1
GTEX-1QAET-0926-SM-E76QM 50-59 years, male 95.8
GTEX-YJ8A-0426-SM-5IFID 20-29 years, male 94.9
GTEX-X8HC-0126-SM-4E3JW 50-59 years, female 94.8
GTEX-1PPH7-2326-SM-EVYB8 40-49 years, male 93.7
GTEX-13IVO-0126-SM-5J1NG 70-79 years, male 93.3
GTEX-1JN76-0126-SM-CNPPE 20-29 years, female 93.1
GTEX-14A5H-0426-SM-5QGQF 60-69 years, male 92.6
GTEX-1K2DU-2326-SM-E9TIV 20-29 years, male 92.4
GTEX-1HCU7-0226-SM-CL545 50-59 years, male 92.1
GTEX-ZE7O-0126-SM-57WC1 50-59 years, female 91.9
GTEX-13NYS-0126-SM-5MR3W 60-69 years, male 91.3
GTEX-15UKP-0426-SM-7KUFQ 20-29 years, male 91.1
GTEX-X62O-0126-SM-4E3JN 50-59 years, male 90.6
GTEX-ZYFD-0126-SM-5GIDL 50-59 years, male 89.3
GTEX-U8XE-0326-SM-3DB8P 30-39 years, male 89.0
GTEX-1IGQW-0126-SM-COH42 60-69 years, male 88.4
GTEX-15SHW-0326-SM-6PAML 60-69 years, male 84.9
GTEX-ZTPG-0326-SM-5O9AX 20-29 years, female 84.9
GTEX-ZE9C-2726-SM-57WB5 60-69 years, male 84.4
GTEX-18465-0126-SM-731BN 50-59 years, male 83.4
GTEX-11WQC-2526-SM-5CVLE 60-69 years, male 82.9
GTEX-SN8G-0126-SM-32PLI 50-59 years, female 82.9
GTEX-XMD2-0126-SM-4YCDU 60-69 years, female 82.8
GTEX-14XAO-2326-SM-6EU1B 60-69 years, female 82.6
GTEX-1E2YA-0126-SM-9KNUC 50-59 years, male 82.6
GTEX-NPJ8-0126-SM-2YUNR 40-49 years, male 82.2
GTEX-TKQ1-1026-SM-4GICL 30-39 years, male 82.0
GTEX-131XE-2326-SM-5PNZ2 50-59 years, male 80.6
GTEX-139TS-2826-SM-5J1OO 60-69 years, male 80.6
GTEX-1AX9I-0126-SM-7SB74 60-69 years, male 79.8
GTEX-1H23P-0126-SM-ADEJ3 60-69 years, male 79.1
GTEX-1ICLZ-0126-SM-CKZPO 60-69 years, male 78.3
GTEX-ZDTS-0126-SM-4WAY5 60-69 years, male 78.2
GTEX-13W46-0226-SM-5SIAG 50-59 years, male 77.5
GTEX-14DAQ-0126-SM-5S2MQ 60-69 years, female 77.5
GTEX-14LZ3-0226-SM-62LET 60-69 years, female 77.2
GTEX-U4B1-1826-SM-4DXSU 40-49 years, male 76.7
GTEX-1ICLY-0126-SM-D4P36 50-59 years, male 76.7
GTEX-T5JC-0426-SM-32PLO 20-29 years, male 76.2
GTEX-1H3VY-0126-SM-ACKXD 50-59 years, male 76.0
GTEX-1LG7Y-0526-SM-DKPQC 50-59 years, male 75.3
GTEX-14A5I-0126-SM-5TDEA 50-59 years, female 74.7
GTEX-113JC-2326-SM-5EQ4E 50-59 years, female 74.2
GTEX-1RLM8-2326-SM-EWRN4 50-59 years, male 74.1
GTEX-11O72-0126-SM-59887 40-49 years, male 73.0
GTEX-1R9K4-0126-SM-DTX9X 60-69 years, male 72.9
GTEX-1B933-0126-SM-7PC29 50-59 years, female 72.8
GTEX-11UD1-0126-SM-5PNYG 40-49 years, female 72.5
GTEX-14JIY-0126-SM-6LLH6 60-69 years, male 72.4
GTEX-X4XX-0126-SM-3NMC2 60-69 years, male 72.0
GTEX-Y5LM-1926-SM-5RQJH 40-49 years, female 71.8
GTEX-11ZUS-0626-SM-59885 30-39 years, male 71.5
GTEX-11TUW-2726-SM-E9J4M 60-69 years, male 71.2
GTEX-11DXZ-2326-SM-5EGGV 50-59 years, male 71.1
GTEX-WOFL-0126-SM-3MJG2 60-69 years, male 71.0
GTEX-1H1DE-2126-SM-9WG6R 20-29 years, male 70.9
GTEX-ZYW4-0126-SM-5E44A 60-69 years, male 70.8
GTEX-POMQ-2226-SM-2I5FK 20-29 years, female 69.5
GTEX-147F4-0226-SM-5QGPW 50-59 years, male 68.8
GTEX-1H3O1-0426-SM-9YFKY 60-69 years, male 68.7
GTEX-1F75B-0126-SM-9KNVL 50-59 years, male 68.4
GTEX-1313W-0126-SM-5LZUN 50-59 years, female 68.1
GTEX-1C6VQ-0126-SM-7P8RI 50-59 years, male 68.0
GTEX-1AYCT-2426-SM-7IGQ3 50-59 years, male 67.4
GTEX-12696-2426-SM-5EQ6H 60-69 years, male 67.2
GTEX-1HUB1-0426-SM-E9U4U 60-69 years, male 67.1
GTEX-1JN1M-0326-SM-CYPT3 60-69 years, female 67.1
GTEX-1F75A-0126-SM-7RHGM 50-59 years, male 66.4
GTEX-RTLS-0126-SM-447CA 60-69 years, female 66.0
GTEX-1RAZQ-0726-SM-EAZ43 30-39 years, male 66.0
GTEX-1H1CY-2826-SM-9MQM3 60-69 years, female 65.3
GTEX-R55G-2526-SM-2TC6D 40-49 years, female 65.1
GTEX-1JMQI-2226-SM-CM2SD 50-59 years, male 65.1
GTEX-QEG4-0226-SM-2S1PY 30-39 years, male 64.9
GTEX-16MT8-0426-SM-7KUEY 60-69 years, female 64.6
GTEX-QESD-1426-SM-2S1R9 20-29 years, male 64.5
GTEX-13OW7-0126-SM-5MR3B 50-59 years, male 63.9
GTEX-13OW5-0126-SM-DTXFS 60-69 years, male 63.9
GTEX-1IL2V-0126-SM-CM2TX 70-79 years, male 63.6
GTEX-11WQK-0526-SM-5EQLD 50-59 years, male 63.2
GTEX-12584-0126-SM-5EGKQ 40-49 years, male 63.0
GTEX-V1D1-2226-SM-3NMAX 50-59 years, male 63.0
GTEX-WI4N-1026-SM-3LK7N 40-49 years, female 62.9
GTEX-1QP29-0626-SM-EWRMX 50-59 years, male 62.9
GTEX-ZU9S-0226-SM-5E441 30-39 years, male 62.7
GTEX-1IE54-0126-SM-CMKHW 40-49 years, female 62.6
GTEX-1LH75-2426-SM-E9TJE 50-59 years, female 62.4
GTEX-X4EO-0326-SM-3P5YO 60-69 years, female 61.8
GTEX-13O1R-0126-SM-5L3EH 60-69 years, male 61.7
GTEX-X261-0126-SM-3NMD6 50-59 years, male 61.6
GTEX-139T4-0226-SM-5HL5S 50-59 years, female 61.3
GTEX-17EVP-0326-SM-7DHLG 40-49 years, male 61.2
GTEX-PVOW-0126-SM-2XCFA 40-49 years, male 60.7
GTEX-1R9PO-2126-SM-E9J4O 60-69 years, female 60.7
GTEX-VUSG-2526-SM-4KL1V 50-59 years, male 60.6
GTEX-1HSMP-0126-SM-E6CJS 70-79 years, male 60.5
GTEX-1N2DV-0226-SM-E6CJ6 40-49 years, male 60.5
GTEX-12KS4-0326-SM-5EQ41 30-39 years, male 60.3
GTEX-14ICK-0226-SM-6EU25 40-49 years, male 60.0
GTEX-13SLW-0126-SM-5SI6C 70-79 years, male 59.9
GTEX-1HFI7-1826-SM-ACKXH 50-59 years, female 59.5
GTEX-X585-0226-SM-4QAS2 50-59 years, male 59.4
GTEX-11OF3-2626-SM-5GU7F 60-69 years, male 58.2
GTEX-OOBK-0126-SM-2YUND 40-49 years, male 57.9
GTEX-131XF-5016-SM-7MGWE 60-69 years, male 57.9
GTEX-12WSN-5019-SM-79OM6 40-49 years, male 57.8
GTEX-11ZVC-2526-SM-5FQTE 50-59 years, female 57.0
GTEX-11XUK-2026-SM-5EQLF 40-49 years, female 56.7
GTEX-1KWVE-1426-SM-E9TJO 30-39 years, male 56.4
GTEX-1H3VE-0326-SM-9YFLH 40-49 years, male 56.2
GTEX-16XZZ-0126-SM-793DV 60-69 years, male 55.5
GTEX-1I1GU-2226-SM-CGQFA 40-49 years, male 55.5
GTEX-11P82-1626-SM-59879 20-29 years, male 55.3
GTEX-1R46S-0626-SM-E9J41 60-69 years, female 54.9
GTEX-1I6K6-0126-SM-A9SLE 30-39 years, male 54.3
GTEX-15DCD-0126-SM-7KUEK 70-79 years, female 53.8
GTEX-1269C-2526-SM-5EGJ3 60-69 years, female 53.5
GTEX-OHPM-0126-SM-2YUN9 50-59 years, male 53.4
GTEX-RU72-0926-SM-2TF6B 50-59 years, female 53.1
GTEX-ZV6S-2326-SM-4YCEY 40-49 years, female 52.8
GTEX-XXEK-2226-SM-4BRUM 50-59 years, male 52.2
GTEX-1399T-2826-SM-5KLYZ 60-69 years, male 52.0
GTEX-18A66-0226-SM-718BD 60-69 years, male 52.0
GTEX-132NY-0326-SM-5IJBL 60-69 years, male 51.8
GTEX-13NYC-0326-SM-E9J4S 60-69 years, male 51.8
GTEX-117YW-2626-SM-5GZZH 50-59 years, male 51.7
GTEX-12126-0326-SM-5PNW3 20-29 years, male 51.7
GTEX-139D8-0226-SM-5KLZO 30-39 years, female 51.6
GTEX-17HG3-2226-SM-7938L 30-39 years, female 51.1
GTEX-1J8Q2-0526-SM-CM2RW 60-69 years, male 51.1
GTEX-14DAR-2026-SM-5S2O3 50-59 years, male 50.2
GTEX-ZAB4-0226-SM-5N9F5 40-49 years, male 49.8
GTEX-Q734-1926-SM-2I5EV 40-49 years, female 49.7
GTEX-1HGF4-2426-SM-ACKXM 60-69 years, male 49.7
GTEX-12WSG-2826-SM-E9J4H 50-59 years, female 49.5
GTEX-1C6WA-0126-SM-7PC2B 60-69 years, male 49.4
GTEX-P4QT-0126-SM-2I3FL 50-59 years, female 49.0
GTEX-13OVK-2026-SM-7KUEO 40-49 years, male 48.9
GTEX-14A6H-0126-SM-5QGPK 30-39 years, male 48.9
GTEX-14E6E-1826-SM-5S2R7 30-39 years, male 48.8
GTEX-1192W-2626-SM-5Q5AF 60-69 years, male 48.7
GTEX-1399U-2326-SM-5K7WY 50-59 years, female 48.7
GTEX-13FTX-1826-SM-5J1NX 20-29 years, female 48.4
GTEX-11OC5-0126-SM-5HL6A 60-69 years, male 48.3
GTEX-131YS-0126-SM-5KM1M 60-69 years, female 48.2
GTEX-17EUY-0426-SM-793BD 20-29 years, male 48.2
GTEX-1HT8W-0126-SM-CNPPP 30-39 years, male 48.2
GTEX-1F7RK-0126-SM-7PC2S 20-29 years, female 48.1
GTEX-1H4P4-0726-SM-9YFLR 50-59 years, male 48.0
GTEX-13U4I-0126-SM-5LU38 40-49 years, female 47.7
GTEX-14E7W-0126-SM-6LLJ9 70-79 years, male 47.6
GTEX-11DZ1-0126-SM-5985Q 50-59 years, male 47.5
GTEX-ZTX8-1426-SM-5DUVO 20-29 years, male 47.5
GTEX-1CAMR-1926-SM-7EPI2 20-29 years, male 47.4
GTEX-1R7EV-2426-SM-EVYBG 40-49 years, male 47.3
GTEX-13RTJ-2426-SM-5S2Q2 60-69 years, male 47.1
GTEX-1IDJF-0126-SM-CM2RS 20-29 years, male 47.0
GTEX-15ER7-0326-SM-7KUEV 20-29 years, female 46.7
GTEX-11NUK-0126-SM-5A5L3 50-59 years, male 46.4
GTEX-ZEX8-2426-SM-4WKG4 50-59 years, male 46.2
GTEX-139UW-2826-SM-5L3E7 60-69 years, male 46.0
GTEX-15SB6-1726-SM-6PAME 50-59 years, female 46.0
GTEX-1KD5A-0226-SM-D5OV3 50-59 years, male 46.0
GTEX-18D9A-1926-SM-7LG6P 30-39 years, female 45.7
GTEX-1RB15-2126-SM-E9TIM 60-69 years, male 45.6
GTEX-S33H-1026-SM-EZ6L6 30-39 years, male 45.5
GTEX-QDVJ-1726-SM-2I5FX 50-59 years, male 45.4
GTEX-YFC4-0126-SM-5CVLY 40-49 years, female 45.4
GTEX-13O3Q-2426-SM-5IJBR 50-59 years, male 45.2
GTEX-S7PM-0126-SM-4AD6S 60-69 years, male 44.9
GTEX-1H1DG-0126-SM-9WYU2 70-79 years, male 44.9
GTEX-1C2JI-1826-SM-73KXC 50-59 years, male 44.8
GTEX-RN64-0126-SM-2TC68 50-59 years, male 44.8
GTEX-14BIL-0126-SM-5SI92 50-59 years, male 44.4
GTEX-1A8FM-0226-SM-7SB7Q 50-59 years, female 44.4
GTEX-17HGU-0226-SM-7DHKV 50-59 years, male 44.3
GTEX-1CB4F-0426-SM-9KNV4 60-69 years, male 44.2
GTEX-1I1GV-0526-SM-A9G29 60-69 years, male 44.2
GTEX-131XH-2226-SM-5DUXJ 50-59 years, male 44.0
GTEX-XV7Q-2526-SM-4BRV9 40-49 years, female 44.0
GTEX-ZF3C-0126-SM-DO92D 50-59 years, female 44.0
GTEX-13FHO-0226-SM-5IFGY 60-69 years, male 43.8
GTEX-ZVE2-0226-SM-59HJB 50-59 years, male 43.6
GTEX-1GF9X-2026-SM-7PC3A 40-49 years, female 43.2
GTEX-14PN3-2426-SM-6LLHS 60-69 years, female 43.1
GTEX-W5X1-3026-SM-EAZAX 40-49 years, female 43.1
GTEX-147GR-0526-SM-5S2MY 60-69 years, male 42.8
GTEX-1B8KZ-2026-SM-7DHMB 50-59 years, male 42.8
GTEX-WZTO-0126-SM-3NM95 40-49 years, male 42.8
GTEX-U412-0426-SM-3DB9O 60-69 years, male 42.6
GTEX-1RDX4-0126-SM-E9J4P 50-59 years, female 42.6
GTEX-131XW-0426-SM-5LZWP 50-59 years, female 42.5
GTEX-1QP2A-0126-SM-E9J43 50-59 years, male 42.5
GTEX-1JN6P-0126-SM-D3L98 60-69 years, male 42.3
GTEX-1QP66-1726-SM-E8VO1 50-59 years, male 42.2
GTEX-13O3O-0126-SM-E9J49 60-69 years, female 42.0
GTEX-OXRL-0126-SM-2YUMP 50-59 years, male 41.9
GTEX-18A6Q-0126-SM-731BZ 60-69 years, male 41.7
GTEX-17EVQ-0226-SM-7LG4P 70-79 years, male 41.4
GTEX-1A32A-0126-SM-718B1 50-59 years, female 41.2
GTEX-1GN2E-0426-SM-9MQKX 60-69 years, male 41.2
GTEX-18A7B-0126-SM-7LG64 70-79 years, male 41.1
GTEX-1JMQJ-0526-SM-CYPSU 50-59 years, male 41.1
GTEX-RNOR-0126-SM-E9J4R 50-59 years, female 41.1
GTEX-15G19-0126-SM-6PANQ 60-69 years, male 40.6
GTEX-13FTY-0526-SM-5L3EV 40-49 years, female 40.5
GTEX-1LGRB-2526-SM-CNPPQ 50-59 years, female 40.5
GTEX-1EU9M-0226-SM-7P8SP 60-69 years, male 40.4
GTEX-11H98-0126-SM-5EGHG 50-59 years, male 40.3
GTEX-R55E-0126-SM-2TC5Y 20-29 years, male 40.2
GTEX-1M4P7-0226-SM-DIPEV 60-69 years, male 40.2
GTEX-1NV5F-0226-SM-E8VNY 60-69 years, female 40.1
GTEX-144GN-2326-SM-5LU4F 50-59 years, male 40.0
GTEX-17GQL-2026-SM-718BA 60-69 years, male 40.0
GTEX-1E1VI-0126-SM-7DHMZ 50-59 years, male 39.9
GTEX-1S3DN-2226-SM-EVYCD 50-59 years, male 39.8
GTEX-14BIM-0226-SM-7IGLD 60-69 years, female 39.7
GTEX-OXRP-0126-SM-3NB32 60-69 years, female 39.6
GTEX-1GN1U-0126-SM-7PBZK 50-59 years, female 39.6
GTEX-11ZU8-2526-SM-5EQKI 60-69 years, male 39.5
GTEX-12WSL-2526-SM-5GCNJ 50-59 years, male 39.4
GTEX-S32W-2126-SM-2XCB1 50-59 years, female 39.4
GTEX-1HCU8-0626-SM-A9SM9 60-69 years, female 39.4
GTEX-1I19N-0326-SM-ACKVX 70-79 years, male 39.3
GTEX-1MA7X-2226-SM-E6CIY 60-69 years, male 39.3
GTEX-12WSD-0126-SM-59HKN 60-69 years, female 39.2
GTEX-1LNCM-1126-SM-E9U5E 50-59 years, female 39.2
GTEX-WRHK-1426-SM-3MJF9 20-29 years, female 39.0
GTEX-1MCQQ-0826-SM-DLHC2 60-69 years, male 39.0
GTEX-111VG-2426-SM-5GZXD 60-69 years, male 38.6
GTEX-XAJ8-0826-SM-47JY6 40-49 years, male 38.6
GTEX-11DXY-2626-SM-5GIE7 60-69 years, male 38.5
GTEX-Y8LW-1826-SM-5S2MV 50-59 years, female 38.5
GTEX-1JMPZ-0226-SM-CNPP1 30-39 years, male 38.4
GTEX-1JJE9-0326-SM-CL53Z 70-79 years, male 38.3
GTEX-13CF3-2426-SM-5IFGX 60-69 years, female 38.1
GTEX-1F6I4-0126-SM-9MQL2 60-69 years, male 38.1
GTEX-1GZ2Q-0226-SM-7P8TL 40-49 years, male 38.1
GTEX-145MI-0526-SM-5O9A8 60-69 years, female 37.8
GTEX-14E6D-0126-SM-62LDV 50-59 years, male 37.8
GTEX-1GTWX-0126-SM-9YFLK 60-69 years, male 37.8
GTEX-148VI-1626-SM-5SI6E 60-69 years, female 37.7
GTEX-1HR98-0126-SM-B2LWI 60-69 years, male 37.5
GTEX-PSDG-0226-SM-DKPOZ 50-59 years, male 37.5
GTEX-117YX-2326-SM-5H12W 50-59 years, male 37.4
GTEX-1JMPY-1326-SM-ARL8Y 30-39 years, male 37.4
GTEX-146FH-0126-SM-5QGPP 50-59 years, female 37.2
GTEX-17MFQ-1726-SM-793C7 20-29 years, male 37.2
GTEX-ZYY3-0126-SM-5GZY5 60-69 years, female 37.1
GTEX-1I1GP-2226-SM-CGQFK 50-59 years, male 37.0
GTEX-1314G-1526-SM-5EGK2 30-39 years, male 36.9
GTEX-13OVJ-0126-SM-5KM36 50-59 years, female 36.9
GTEX-ZY6K-1826-SM-5GZXK 50-59 years, male 36.8
GTEX-1HSMQ-1226-SM-CGQFX 50-59 years, male 36.7
GTEX-145MF-0626-SM-5LUAI 50-59 years, male 36.6
GTEX-1F75I-0326-SM-9YFLU 40-49 years, male 36.6
GTEX-13YAN-0326-SM-5O9DF 60-69 years, male 36.4
GTEX-1KAFJ-2026-SM-CY8ID 50-59 years, male 36.4
GTEX-11GSO-2426-SM-5A5LY 60-69 years, male 36.3
GTEX-15CHC-2126-SM-6EU21 60-69 years, female 36.3
GTEX-1CB4H-0226-SM-7PBXM 60-69 years, female 36.2
GTEX-15ETS-0126-SM-7KUMW 40-49 years, female 36.0
GTEX-XPVG-2626-SM-4B669 50-59 years, male 35.9
GTEX-13O21-1426-SM-5K7XI 50-59 years, male 35.7
GTEX-11EMC-2926-SM-5EQ4F 60-69 years, female 35.6
GTEX-1GF9W-0326-SM-9KNUN 60-69 years, male 35.6
GTEX-1J8QM-2126-SM-CYPSJ 60-69 years, female 35.6
GTEX-14BMV-0126-SM-5S2PO 50-59 years, male 35.5
GTEX-13X6J-0126-SM-5QGOU 50-59 years, male 35.4
GTEX-YJ89-0126-SM-4TT3X 60-69 years, male 35.3
GTEX-1EX96-1626-SM-7PBXR 50-59 years, male 35.3
GTEX-XQ3S-1526-SM-4BOOC 20-29 years, male 35.2
GTEX-XBED-2226-SM-47JYQ 60-69 years, male 35.1
GTEX-1IKJJ-0126-SM-CNPQB 60-69 years, male 35.1
GTEX-WYVS-2126-SM-3NMA3 40-49 years, female 34.9
GTEX-ZF28-0126-SM-4WKGK 60-69 years, male 34.9
GTEX-13N2G-2626-SM-5J1OT 60-69 years, male 34.8
GTEX-ZV68-0126-SM-59HKS 50-59 years, female 34.8
GTEX-ZPIC-1726-SM-DHXIU 40-49 years, female 34.8
GTEX-ZVT4-0126-SM-DTXFN 50-59 years, female 34.8
GTEX-144GL-0126-SM-5TDE2 50-59 years, male 34.5
GTEX-11GS4-2726-SM-5A5LE 60-69 years, male 34.4
GTEX-Y111-0126-SM-4SOIV 50-59 years, male 34.4
GTEX-Y8E4-0626-SM-4WWDL 40-49 years, male 34.2
GTEX-PWCY-1826-SM-DHXIZ 20-29 years, female 34.2
GTEX-1QCLY-0326-SM-E8VOG 30-39 years, male 34.0
GTEX-QDVN-2026-SM-3GAEP 50-59 years, male 33.9
GTEX-13X6H-2126-SM-7EWD5 50-59 years, female 33.7
GTEX-1QW4Y-1526-SM-EAZ3Z 30-39 years, male 33.7
GTEX-11GSP-2526-SM-5N9BP 60-69 years, female 33.6
GTEX-1LSNM-1926-SM-E6CII 50-59 years, male 33.3
GTEX-ZC5H-0226-SM-4WAY9 40-49 years, female 33.2
GTEX-1HBPI-1526-SM-C1YQ1 50-59 years, male 33.1
GTEX-1I1GT-0626-SM-CGQER 60-69 years, female 33.1
GTEX-1HBPM-0226-SM-ARL9F 60-69 years, female 32.8
GTEX-1128S-2326-SM-5GZZY 60-69 years, female 32.7
GTEX-13N11-2526-SM-5K7UE 50-59 years, female 32.6
GTEX-1MCYP-1926-SM-E9J2R 20-29 years, female 32.6
GTEX-1497J-2426-SM-7IGNX 60-69 years, male 32.2
GTEX-1H1E6-1726-SM-ACKVK 30-39 years, male 32.2
GTEX-ZVZP-2426-SM-59HKJ 50-59 years, male 32.1
GTEX-T2IS-0126-SM-4DM6O 20-29 years, female 32.0
GTEX-1O97I-0326-SM-EYYX7 60-69 years, male 32.0
GTEX-O5YT-0126-SM-48TBW 20-29 years, male 31.9
GTEX-1N2DW-0226-SM-E9TK2 50-59 years, male 31.9
GTEX-11TTK-0126-SM-5987B 60-69 years, female 31.8
GTEX-131XG-2626-SM-5KM17 50-59 years, female 31.8
GTEX-1C6VS-0526-SM-7DUEN 60-69 years, male 31.8
GTEX-ZDXO-3026-SM-5J1N5 60-69 years, male 31.8
GTEX-1I1GR-0126-SM-CL55F 60-69 years, male 31.8
GTEX-1IKOH-0226-SM-COH4E 60-69 years, female 31.8
GTEX-146FQ-0126-SM-5NQA9 30-39 years, male 31.7
GTEX-12ZZZ-0626-SM-5DUXI 60-69 years, male 31.6
GTEX-12C56-1726-SM-5EQ61 20-29 years, male 31.4
GTEX-1IOXB-0126-SM-ARL8G 50-59 years, male 31.4
GTEX-1JMLX-0226-SM-CM2RO 50-59 years, male 31.4
GTEX-1EWIQ-0126-SM-7RHH2 70-79 years, female 31.3
GTEX-11NSD-2226-SM-5986V 20-29 years, male 31.2
GTEX-13N1W-0126-SM-5K7VT 70-79 years, male 31.1
GTEX-TSE9-0126-SM-3DB83 60-69 years, female 31.1
GTEX-13VXT-0126-SM-5LU4I 20-29 years, female 31.0
GTEX-S95S-1226-SM-4GICG 60-69 years, male 31.0
GTEX-13NZA-0226-SM-5K7Z7 60-69 years, male 30.9
GTEX-1LB8K-0226-SM-EWRNW 50-59 years, male 30.9
GTEX-17F96-1626-SM-7DUFL 70-79 years, male 30.8
GTEX-17F97-0326-SM-7LG5B 50-59 years, male 30.3
GTEX-RWSA-0126-SM-2XCBB 40-49 years, male 30.2
GTEX-1RQEC-0426-SM-E6CHU 60-69 years, male 30.2
GTEX-139TU-0126-SM-5K7WH 60-69 years, male 30.1
GTEX-SIU8-0126-SM-2XCDT 50-59 years, male 30.0
GTEX-X5EB-2226-SM-46MW4 40-49 years, male 30.0
GTEX-1KD4Q-0226-SM-E9TJ9 40-49 years, male 29.9
GTEX-Y8DK-0126-SM-4TT3L 60-69 years, male 29.8
GTEX-XYKS-2126-SM-4E3IB 60-69 years, female 29.6
GTEX-145LS-0126-SM-5QGP1 60-69 years, female 29.4
GTEX-18A7A-0226-SM-718BH 50-59 years, female 29.4
GTEX-U8T8-0126-SM-3DB94 60-69 years, male 29.4
GTEX-YB5E-2026-SM-5IFIS 40-49 years, male 29.4
GTEX-ZAJG-0126-SM-5HL94 50-59 years, female 29.4
GTEX-OOBJ-0126-SM-E6CJW 60-69 years, male 29.4
GTEX-11UD2-0226-SM-5EQKY 50-59 years, male 29.3
GTEX-13W3W-2426-SM-5LU5B 60-69 years, female 29.3
GTEX-QDT8-0126-SM-48TZ1 30-39 years, female 29.3
GTEX-1J8Q3-1626-SM-CMKGC 60-69 years, male 29.3
GTEX-13S7M-0126-SM-5SI6A 60-69 years, female 29.1
GTEX-13X6I-0626-SM-5QGP9 60-69 years, male 29.1
GTEX-OHPL-0126-SM-2HMJ7 60-69 years, female 29.1
GTEX-1GMR3-1926-SM-9KNUZ 40-49 years, male 29.1
GTEX-11LCK-1026-SM-5A5KB 30-39 years, male 29.0
GTEX-ZWKS-0126-SM-5SIAA 30-39 years, male 29.0
GTEX-1I4MK-2226-SM-ACKWD 50-59 years, female 29.0
GTEX-12WSA-0226-SM-5BC5V 60-69 years, male 28.9
GTEX-1S82Z-0826-SM-E6CHY 30-39 years, female 28.9
GTEX-13VXU-0126-SM-5SI9F 50-59 years, male 28.8
GTEX-1JMOU-1526-SM-CL54I 60-69 years, female 28.8
GTEX-11DXW-0226-SM-5H122 40-49 years, male 28.6
GTEX-1NHNU-1026-SM-E9J2A 50-59 years, male 28.6
GTEX-11DXX-2426-SM-5GZZW 60-69 years, female 28.5
GTEX-QVJO-1626-SM-2S1QW 60-69 years, female 28.5
GTEX-1HFI6-0226-SM-ADEHZ 40-49 years, male 28.5
GTEX-11ZTT-2426-SM-5EQLS 60-69 years, female 28.3
GTEX-13CF2-2526-SM-5LZYX 60-69 years, male 28.3
GTEX-1AYD5-2426-SM-73KXR 50-59 years, male 28.3
GTEX-1CB4G-0226-SM-7PC3O 60-69 years, male 28.3
GTEX-1J1R8-1726-SM-ARL8M 40-49 years, male 28.3
GTEX-18QFQ-0126-SM-731BE 30-39 years, male 27.9
GTEX-OIZG-0726-SM-33HBL 50-59 years, male 27.9
GTEX-1B996-0226-SM-7RHGO 60-69 years, male 27.9
GTEX-1C4CL-0526-SM-73KVK 30-39 years, male 27.8
GTEX-16YQH-0126-SM-7DUFJ 30-39 years, male 27.7
GTEX-1AX9K-2326-SM-73KWU 50-59 years, male 27.7
GTEX-1C475-1826-SM-73KWA 40-49 years, female 27.7
GTEX-139T8-0126-SM-5K7XZ 60-69 years, male 27.6
GTEX-ZZPT-0226-SM-5E43X 50-59 years, male 27.6
GTEX-16GPK-0126-SM-7DHLE 60-69 years, male 27.5
GTEX-1AX8Z-0126-SM-7DHM6 60-69 years, male 27.5
GTEX-1HCUA-2426-SM-ADEIS 50-59 years, female 27.5
GTEX-1B97I-1626-SM-73KYO 40-49 years, male 27.4
GTEX-11ZTS-0126-SM-5EQ6M 60-69 years, female 27.2
GTEX-OXRN-0126-SM-48TDM 50-59 years, male 27.2
GTEX-13NZ8-0826-SM-5MR3I 60-69 years, female 27.1
GTEX-14C5O-0126-SM-5SI6N 60-69 years, male 27.1
GTEX-PLZ4-0126-SM-5SI8O 50-59 years, female 27.1
GTEX-UPJH-0326-SM-3GADU 50-59 years, male 27.1
GTEX-PW2O-1526-SM-7RHHB 20-29 years, male 27.1
GTEX-15F5U-1526-SM-6PANO 40-49 years, male 27.0
GTEX-1PIIG-0226-SM-EWRN6 30-39 years, male 27.0
GTEX-1B8SG-0126-SM-73KZ3 50-59 years, male 26.9
GTEX-169BO-1326-SM-9MQK2 50-59 years, male 26.9
GTEX-ZDTT-2726-SM-4WKF8 60-69 years, male 26.8
GTEX-ZVZO-0126-SM-5A5L9 40-49 years, male 26.8
GTEX-1K9T9-0126-SM-EVYCF 50-59 years, female 26.7
GTEX-1RAZA-0126-SM-E6CI3 20-29 years, male 26.7
GTEX-YEC4-2126-SM-5IFJH 40-49 years, male 26.6
GTEX-1BAJH-0526-SM-793CQ 70-79 years, male 26.5
GTEX-1I1CD-0126-SM-CM2TK 60-69 years, female 26.5
GTEX-WVJS-0126-SM-4MVOT 50-59 years, male 26.4
GTEX-1HB9E-0226-SM-E9U4R 50-59 years, male 26.4
GTEX-1A3MV-1926-SM-718BT 30-39 years, male 26.3
GTEX-O5YW-0126-SM-3LK6D 50-59 years, male 26.3
GTEX-Q2AH-1626-SM-3GAF8 40-49 years, male 26.3
GTEX-1AMEY-1326-SM-73KYK 30-39 years, female 26.2
GTEX-1JKYN-1326-SM-CGQG9 30-39 years, male 26.2
GTEX-QLQW-1126-SM-2S1Q8 30-39 years, male 26.1
GTEX-QV44-1926-SM-2S1RF 50-59 years, male 26.1
GTEX-16AAH-1726-SM-7939C 50-59 years, male 26.0
GTEX-1HSEH-0126-SM-ACKXN 60-69 years, male 25.9
GTEX-1S82Y-2026-SM-EVYCM 40-49 years, male 25.9
GTEX-12WSJ-1826-SM-5GCNY 40-49 years, female 25.5
GTEX-14BIN-0626-SM-793DP 50-59 years, female 25.5
GTEX-1EKGG-0226-SM-9WYTH 60-69 years, male 25.5
GTEX-1R9PM-2026-SM-E76OY 20-29 years, male 25.4
GTEX-1GZ4H-1726-SM-7PBZJ 50-59 years, female 25.3
GTEX-1J8JJ-0226-SM-CL53I 60-69 years, female 25.3
GTEX-1PDJ9-0326-SM-DTX95 20-29 years, male 25.3
GTEX-1PFEY-1526-SM-E76PP 30-39 years, male 25.2
GTEX-1EN7A-0126-SM-7SB81 40-49 years, male 25.1
GTEX-147F3-0526-SM-5SI98 50-59 years, female 25.0
GTEX-1JJ6O-0126-SM-E6CI8 60-69 years, male 25.0
GTEX-QLQ7-1626-SM-2S1R8 60-69 years, male 24.9
GTEX-RVPV-0126-SM-EAZAW 60-69 years, male 24.9
GTEX-1CB4I-0226-SM-79OLH 50-59 years, male 24.7
GTEX-U3ZM-1526-SM-3DB9D 40-49 years, male 24.7
GTEX-1IDJH-0326-SM-A9SLQ 70-79 years, male 24.7
GTEX-11P81-2326-SM-59875 30-39 years, female 24.6
GTEX-16XZY-2126-SM-79OK1 70-79 years, male 24.5
GTEX-144FL-0126-SM-5TDC8 50-59 years, male 24.4
GTEX-PWO3-1526-SM-48TCM 60-69 years, female 24.4
GTEX-14JG1-0426-SM-6ETZZ 40-49 years, male 24.3
GTEX-14PN4-0126-SM-6EU2V 50-59 years, male 24.3
GTEX-183FY-0126-SM-7LT9P 20-29 years, male 24.3
GTEX-ZQUD-1426-SM-57WER 30-39 years, male 24.2
GTEX-13OW8-1326-SM-5J1OW 60-69 years, male 24.1
GTEX-145MO-0326-SM-5Q5B3 60-69 years, male 24.1
GTEX-1POEN-0126-SM-EYYXJ 30-39 years, female 24.1
GTEX-1PWST-0226-SM-E76QJ 70-79 years, male 24.0
GTEX-1F6IF-0726-SM-7P8TW 60-69 years, male 23.8
GTEX-13NZB-2526-SM-5J1OM 30-39 years, male 23.7
GTEX-17KNJ-2326-SM-7DHLQ 50-59 years, male 23.7
GTEX-1B8KE-2126-SM-73KYX 50-59 years, male 23.7
GTEX-T6MN-0126-SM-32PLP 50-59 years, male 23.7
GTEX-1F5PL-0326-SM-7P8PQ 40-49 years, female 23.7
GTEX-1HCU9-1526-SM-A9SL7 20-29 years, male 23.7
GTEX-1MUQO-0126-SM-EAZ58 60-69 years, male 23.6
GTEX-15DYW-0126-SM-7KULE 60-69 years, female 23.5
GTEX-1C64O-0126-SM-7SB8P 60-69 years, male 23.2
GTEX-1R7EU-0226-SM-EVR4G 60-69 years, male 23.2
GTEX-WH7G-2326-SM-3NMBC 40-49 years, male 23.1
GTEX-1CAV2-2226-SM-7P8P2 40-49 years, female 23.1
GTEX-12ZZY-0226-SM-5LZVE 60-69 years, male 23.0
GTEX-13OVL-0226-SM-5L3E9 50-59 years, male 23.0
GTEX-13FH7-2026-SM-E9J4I 50-59 years, female 23.0
GTEX-17HHY-0126-SM-7LG5D 50-59 years, male 22.9
GTEX-146FR-1326-SM-E9J48 60-69 years, female 22.9
GTEX-1I1GQ-0126-SM-COH3H 50-59 years, male 22.9
GTEX-11EM3-2426-SM-59861 20-29 years, female 22.8
GTEX-13112-2826-SM-5DUWH 50-59 years, male 22.8
GTEX-1OJC4-0126-SM-E9J2E 50-59 years, female 22.8
GTEX-14BMU-2226-SM-5TDE9 20-29 years, female 22.7
GTEX-14PII-0226-SM-6EU1T 60-69 years, male 22.7
GTEX-1JJEA-0326-SM-CNPOT 60-69 years, male 22.7
GTEX-14753-0426-SM-5NQAM 60-69 years, male 22.6
GTEX-VJYA-1126-SM-3GIJU 60-69 years, male 22.6
GTEX-Z93S-0126-SM-5HL7M 50-59 years, male 22.6
GTEX-ZVT3-0126-SM-5GU6I 60-69 years, female 22.6
GTEX-1EMGI-0126-SM-9KNUE 60-69 years, male 22.6
GTEX-1HKZK-0326-SM-9WYUH 40-49 years, male 22.6
GTEX-1C6VR-2426-SM-79OLD 60-69 years, male 22.5
GTEX-13FXS-0226-SM-5IJCK 50-59 years, male 22.4
GTEX-15SDE-2226-SM-7IGLO 50-59 years, female 22.4
GTEX-UJHI-1526-SM-3DB99 50-59 years, female 22.4
GTEX-XQ8I-0426-SM-4BOPO 50-59 years, male 22.4
GTEX-1212Z-2526-SM-5EGKP 60-69 years, male 22.3
GTEX-OIZF-0126-SM-7SB8I 60-69 years, male 22.3
GTEX-ZXG5-0126-SM-5GIEU 60-69 years, male 22.2
GTEX-1M5QR-1226-SM-EWROB 40-49 years, male 22.2
GTEX-S7SE-0126-SM-2XCD5 50-59 years, male 22.1
GTEX-1F48J-0126-SM-7P8TT 50-59 years, female 22.1
GTEX-1F88F-2726-SM-7PBZZ 60-69 years, female 22.1
GTEX-145LU-0126-SM-5TDCB 50-59 years, male 22.0
GTEX-WXYG-2326-SM-4E3I6 50-59 years, female 22.0
GTEX-1GPI7-0126-SM-9MQL8 20-29 years, male 21.9
GTEX-T2YK-0526-SM-32QPJ 50-59 years, male 21.7
GTEX-1GMRU-0126-SM-9YFLV 50-59 years, male 21.7
GTEX-1LBAC-0126-SM-DIPEZ 20-29 years, male 21.6
GTEX-ZTSS-1926-SM-57WEW 40-49 years, male 21.5
GTEX-1HCU6-0126-SM-CL54K 60-69 years, female 21.5
GTEX-18A67-0126-SM-7LG5P 50-59 years, male 21.4
GTEX-1CAMQ-0226-SM-7IGPK 40-49 years, male 21.4
GTEX-TMMY-0226-SM-33HBA 40-49 years, female 21.4
GTEX-133LE-1826-SM-5J1MV 20-29 years, female 21.3
GTEX-Q2AG-0126-SM-33HBV 40-49 years, female 21.3
GTEX-P4PQ-0126-SM-2S1NM 60-69 years, male 21.2
GTEX-ZVT2-2526-SM-51MT1 50-59 years, female 21.2
GTEX-1F52S-0126-SM-9MQJU 60-69 years, female 21.0
GTEX-R45C-0126-SM-EAZ2R 60-69 years, female 21.0
GTEX-1192X-0226-SM-5H12D 50-59 years, male 20.9
GTEX-1GF9V-0326-SM-7RHI5 60-69 years, male 20.8
GTEX-T6MO-1626-SM-32QOM 40-49 years, female 20.5
GTEX-12WSK-2326-SM-5GCOH 40-49 years, female 20.4
GTEX-Q2AI-1326-SM-2S1PL 40-49 years, male 20.4
GTEX-1OFPY-2426-SM-DTXEJ 60-69 years, male 20.4
GTEX-13SLX-0526-SM-5S2ON 50-59 years, female 20.2
GTEX-1H2FU-0126-SM-9WYSI 60-69 years, female 20.2
GTEX-1HBPN-0226-SM-9YFM1 50-59 years, male 20.2
GTEX-1PIGE-0126-SM-EVYBJ 20-29 years, male 20.2
GTEX-1KANA-0726-SM-D3L9I 20-29 years, male 20.1
GTEX-11DYG-0126-SM-59883 60-69 years, male 20.0
GTEX-13QJ3-0326-SM-5S2RA 50-59 years, male 19.9
GTEX-ZYT6-0226-SM-5NQ6T 30-39 years, male 19.9
GTEX-1ICG6-2526-SM-CGQFZ 70-79 years, female 19.9
GTEX-12WSE-0526-SM-793B2 20-29 years, male 19.7
GTEX-1AX9J-0226-SM-73KXM 60-69 years, male 19.7
GTEX-1B8SF-1426-SM-7DUGL 60-69 years, male 19.6
GTEX-1HCVE-0126-SM-CGQEU 50-59 years, male 19.6
GTEX-1211K-2026-SM-5EQ4Z 60-69 years, female 19.5
GTEX-OIZH-0126-SM-2HMIS 50-59 years, male 19.4
GTEX-NFK9-0226-SM-2HMKQ 40-49 years, male 19.3
GTEX-1GF9U-2126-SM-7SB7L 40-49 years, female 19.3
GTEX-1LG7Z-1726-SM-D3LA4 30-39 years, male 19.3
GTEX-145LT-1726-SM-5QGP3 40-49 years, male 19.2
GTEX-11EI6-0126-SM-5985R 60-69 years, male 19.1
GTEX-13NYB-2526-SM-5K7Z6 40-49 years, male 18.9
GTEX-17HII-0226-SM-7LG4E 50-59 years, male 18.9
GTEX-139TT-0126-SM-5K7Y5 60-69 years, male 18.8
GTEX-15SHU-0126-SM-7KUEH 40-49 years, female 18.8
GTEX-ZAK1-0126-SM-5IJD3 50-59 years, female 18.8
GTEX-PLZ6-1426-SM-DKPOT 30-39 years, male 18.8
GTEX-1HSKV-0226-SM-A9SKJ 60-69 years, male 18.7
GTEX-P44H-0226-SM-2XCEU 40-49 years, male 18.6
GTEX-15RIG-0226-SM-7KFTL 40-49 years, male 18.4
GTEX-PX3G-0126-SM-2I3EN 20-29 years, female 18.4
GTEX-13RTL-0126-SM-7LG5S 40-49 years, male 18.3
GTEX-SUCS-1926-SM-32PM3 70-79 years, male 18.3
GTEX-1H1ZS-0426-SM-9WG6G 70-79 years, male 18.3
GTEX-12ZZX-0126-SM-5EGK9 40-49 years, female 18.1
GTEX-1KXAM-2226-SM-CYPTC 60-69 years, male 18.1
GTEX-13JUV-2726-SM-5LZZ8 40-49 years, female 18.0
GTEX-11EQ9-2426-SM-5HL5T 30-39 years, male 17.9
GTEX-ZZ64-1726-SM-5GZYB 20-29 years, male 17.9
GTEX-1JMQK-0226-SM-CL543 60-69 years, male 17.9
GTEX-OXRK-0226-SM-3NB2G 50-59 years, female 17.8
GTEX-T8EM-1026-SM-3DB7M 40-49 years, male 17.8
GTEX-XUZC-1726-SM-4BRWS 30-39 years, female 17.8
GTEX-1CAMS-0426-SM-7P8T2 40-49 years, female 17.8
GTEX-1QEPI-0126-SM-EWRMQ 60-69 years, female 17.8
GTEX-17JCI-0126-SM-7LG5G 60-69 years, female 17.7
GTEX-17MF6-0126-SM-7LG4F 40-49 years, male 17.7
GTEX-ZUA1-0126-SM-5GU76 40-49 years, male 17.7
GTEX-14PJM-0226-SM-62LF1 50-59 years, female 17.6
GTEX-17HHE-2026-SM-79OKF 50-59 years, male 17.6
GTEX-1H11D-0226-SM-9WG6Z 40-49 years, male 17.6
GTEX-111FC-0126-SM-5N9DL 60-69 years, male 17.4
GTEX-1399R-2726-SM-5IJBA 30-39 years, male 17.4
GTEX-XUW1-0426-SM-4BOOT 50-59 years, female 17.4
GTEX-X4EP-0126-SM-3P5YV 60-69 years, female 17.3
GTEX-Z93T-0126-SM-5HL5N 50-59 years, male 17.3
GTEX-1B8L1-2526-SM-9WYTF 60-69 years, male 17.3
GTEX-1GMR8-0126-SM-9WYTM 50-59 years, female 17.3
GTEX-11P7K-2126-SM-5GU7G 30-39 years, male 17.2
GTEX-13OW6-0426-SM-5L3HM 50-59 years, male 17.2
GTEX-1I1GS-0126-SM-B2LVW 60-69 years, male 17.2
GTEX-1QPFJ-0226-SM-E76PB 30-39 years, female 17.2
GTEX-1IL2U-0226-SM-CE6T8 60-69 years, male 17.1
GTEX-1KANC-1526-SM-D3LAB 50-59 years, female 17.1
GTEX-13RTK-1426-SM-5QGQJ 20-29 years, male 17.0
GTEX-145LV-2126-SM-5LU8N 50-59 years, male 17.0
GTEX-117XS-2726-SM-5N9BL 60-69 years, male 16.9
GTEX-WYJK-0126-SM-3NMAB 50-59 years, male 16.9
GTEX-Y5V6-2426-SM-4VDSB 60-69 years, male 16.9
GTEX-16NPX-0226-SM-79OMT 50-59 years, male 16.8
GTEX-1I1HK-0126-SM-COH49 60-69 years, male 16.7
GTEX-1KANB-0526-SM-E6CJH 50-59 years, male 16.7
GTEX-113IC-0126-SM-5HL6T 60-69 years, male 16.4
GTEX-1CB4J-0626-SM-7DHMP 60-69 years, male 16.4
GTEX-ZVTK-0426-SM-51MRS 20-29 years, male 16.4
GTEX-1GZHY-0326-SM-9QEHI 50-59 years, female 16.4
GTEX-Y3IK-2426-SM-4WWDU 50-59 years, female 16.3
GTEX-1MJK2-0426-SM-DTXE5 50-59 years, male 16.3
GTEX-Y3I4-2126-SM-4TT7C 50-59 years, male 16.2
GTEX-12WSC-0126-SM-5EQ4P 50-59 years, male 16.1
GTEX-1AMFI-2026-SM-731BH 50-59 years, female 16.1
GTEX-WY7C-2326-SM-3NB2U 50-59 years, male 16.0
GTEX-14ABY-0226-SM-5TDCQ 50-59 years, male 15.9
GTEX-SJXC-0126-SM-2XCFF 60-69 years, male 15.9
GTEX-ZDYS-2026-SM-5HL5L 50-59 years, male 15.9
GTEX-14JG6-2226-SM-6EU2G 30-39 years, female 15.8
GTEX-XBEW-0626-SM-4QASP 40-49 years, male 15.8
GTEX-ZYFC-0226-SM-5NQ75 50-59 years, male 15.8
GTEX-1GN1W-0526-SM-9MQJQ 50-59 years, female 15.8
GTEX-1JK1U-2026-SM-CM2RZ 60-69 years, male 15.8
GTEX-1OJC3-0126-SM-E76QX 20-29 years, male 15.8
GTEX-U3ZH-2026-SM-3DB78 30-39 years, male 15.7
GTEX-14LLW-0126-SM-6LLIO 70-79 years, female 15.4
GTEX-WQUQ-0426-SM-3MJFU 60-69 years, male 15.3
GTEX-13111-1626-SM-5EGJY 50-59 years, male 15.0
GTEX-SNMC-1226-SM-2XCFP 20-29 years, male 14.9
GTEX-1CB4E-2226-SM-793DC 60-69 years, male 14.8
GTEX-13FHP-0126-SM-5IJBG 50-59 years, male 14.7
GTEX-ZAB5-1826-SM-5HL7C 50-59 years, male 14.7
GTEX-1122O-2126-SM-5EGIR 60-69 years, female 14.4
GTEX-PLZ5-2026-SM-2S1O4 50-59 years, male 14.2
GTEX-WFG8-2226-SM-3GIL9 20-29 years, male 14.2
GTEX-XUYS-0126-SM-47JWZ 50-59 years, male 14.2
GTEX-1J1OQ-0226-SM-CYPSH 40-49 years, female 14.2
GTEX-14PHW-0126-SM-6LLJI 60-69 years, female 14.1
GTEX-16NGA-1726-SM-731B4 40-49 years, female 14.0
GTEX-RM2N-1426-SM-2TF4H 50-59 years, male 14.0
GTEX-X638-0126-SM-47JZ8 70-79 years, female 13.9
GTEX-1PPH8-0226-SM-E8VND 20-29 years, male 13.9
GTEX-13G51-2526-SM-5LZYK 60-69 years, male 13.8
GTEX-14PJ6-2126-SM-6EU1V 60-69 years, female 13.8
GTEX-15EU6-0426-SM-6PAN5 50-59 years, male 13.7
GTEX-14PJ3-1826-SM-62LEX 50-59 years, male 13.6
GTEX-ZGAY-0526-SM-4WWBB 40-49 years, female 13.6
GTEX-1GL5R-1826-SM-9KNUY 50-59 years, male 13.6
GTEX-Y114-2426-SM-4TT8A 50-59 years, female 13.5
GTEX-1F5PK-2426-SM-7RHHY 50-59 years, male 13.5
GTEX-1GN73-0226-SM-9WG67 60-69 years, male 13.5
GTEX-13OVI-1426-SM-5L3EY 60-69 years, female 13.4
GTEX-ZF2S-2326-SM-4WWCE 50-59 years, female 13.4
GTEX-1QMI2-0226-SM-EVYBX 60-69 years, male 13.4
GTEX-1QP9N-1426-SM-DTXFL 30-39 years, male 13.4
GTEX-TMZS-0126-SM-3DB9Q 60-69 years, male 13.3
GTEX-R3RS-0126-SM-3GIJL 40-49 years, female 13.2
GTEX-14PK6-1926-SM-6ETZU 70-79 years, female 13.0
GTEX-17F98-0626-SM-79OMX 40-49 years, female 13.0
GTEX-1C64N-0126-SM-793D7 50-59 years, male 12.9
GTEX-1IDJU-2626-SM-CM2RT 60-69 years, female 12.9
GTEX-Y5V5-2326-SM-4V6GA 60-69 years, female 12.7
GTEX-U3ZN-2326-SM-3DB7W 30-39 years, female 12.4
GTEX-T5JW-1626-SM-3GADZ 20-29 years, female 12.3
GTEX-1MGNQ-0126-SM-EVYCJ 40-49 years, male 12.3
GTEX-13PVR-2326-SM-5QGR1 60-69 years, female 12.2
GTEX-18D9B-0526-SM-7LTAS 60-69 years, male 12.2
GTEX-1LGOU-2026-SM-DIPFF 20-29 years, female 11.8
GTEX-16BQI-0226-SM-7KUEX 30-39 years, female 11.6
GTEX-14PHX-2326-SM-62LEM 50-59 years, male 11.1
GTEX-1J8EW-0126-SM-CJI4F 60-69 years, female 11.1
GTEX-145ME-1826-SM-5SI9G 40-49 years, female 10.8
GTEX-YB5K-2126-SM-4WWDJ 40-49 years, female 10.8
GTEX-1MA7W-2026-SM-E9TJ6 20-29 years, female 10.8
GTEX-13OVG-1926-SM-5L3DK 60-69 years, male 10.5
GTEX-SSA3-0126-SM-32QPU 60-69 years, male 10.5
GTEX-X88G-0126-SM-47JZ3 30-39 years, male 10.5
GTEX-1H3NZ-0126-SM-ACKX7 60-69 years, male 10.5
GTEX-1IY9M-0126-SM-D3L8S 60-69 years, male 10.5
GTEX-13FTW-2626-SM-5K7WL 40-49 years, male 10.4
GTEX-13O3P-0126-SM-5KM4S 50-59 years, male 10.1
GTEX-ZF29-2326-SM-DO92K 60-69 years, female 9.9
GTEX-13113-5016-SM-7EPIP 60-69 years, female 9.7
GTEX-13D11-2426-SM-5KM1V 50-59 years, female 9.6
GTEX-QCQG-1726-SM-3GIJ9 50-59 years, female 9.5
GTEX-WFON-2126-SM-3LK7O 40-49 years, male 9.3
GTEX-1HSGN-0226-SM-CGQFV 40-49 years, female 9.1
GTEX-Z9EW-1626-SM-5CVMN 40-49 years, male 8.9
GTEX-1JKYR-0126-SM-CNPOJ 20-29 years, male 8.8
GTEX-RWS6-2026-SM-2XCB5 60-69 years, female 8.5
GTEX-ZXES-1826-SM-5E43S 30-39 years, female 8.5
GTEX-1S5ZA-0126-SM-EVYCV 20-29 years, male 8.4
GTEX-18D9U-0226-SM-718BP 40-49 years, male 8.3
GTEX-P4PP-0126-SM-3LK69 30-39 years, female 7.9
GTEX-1K2DA-1826-SM-CGQGT 50-59 years, male 7.9
GTEX-TML8-1926-SM-32QOS 40-49 years, female 7.4
GTEX-W5WG-1826-SM-4KL2Y 50-59 years, female 6.7
GTEX-ZQG8-1626-SM-DHXIT 60-69 years, female 6.0
GTEX-145MN-2226-SM-5SIAU 30-39 years, male 5.9
GTEX-11VI4-1726-SM-5CVLH 40-49 years, female 5.7
GTEX-ZYFG-2326-SM-5E44B 60-69 years, female 5.7
GTEX-1LVAN-0226-SM-COH3S 50-59 years, female 5.7
GTEX-1S83E-0126-SM-EWRO4 40-49 years, male 5.6
Show allShow less

Contact

  • NEWS ARTICLES
  • PRESS ROOM

The Project

  • INTRODUCTION
  • ORGANIZATION
  • PUBLICATIONS

The Human Protein Atlas

  • DOWNLOADABLE DATA
  • LICENCE & CITATION
  • HELP & FAQ
The Human Protein Atlas project is funded
by the Knut & Alice Wallenberg Foundation.


contact@proteinatlas.org