We use cookies to enhance the usability of our website. If you continue, we'll assume that you are happy to receive all cookies. More information. Don't show this again.
MYL12B
HPA
RESOURCES
  • TISSUE
  • BRAIN
  • SINGLE CELL
  • SUBCELLULAR
  • CANCER
  • BLOOD
  • CELL LINE
  • STRUCTURE & INTERACTION
ABOUT
  • INTRODUCTION
  • HISTORY
  • ORGANIZATION
  • PUBLICATIONS
  • ANTIBODY SUBMISSION
  • ANTIBODY AVAILABILITY
  • ACKNOWLEDGMENTS
  • CONTACT
NEWS
  • NEWS ARTICLES
  • PRESS ROOM
LEARN
  • DICTIONARY
  • PROTEIN CLASSES
  • PROTEIN EVIDENCE
  • METHODS
  • EDUCATIONAL VIDEOS
DATA
  • DOWNLOADABLE DATA
  • PUBLICATION DATA
  • RELEASE HISTORY
HELP
  • ANTIBODY VALIDATION
  • ASSAYS & ANNOTATION
  • DISCLAIMER
  • HELP & FAQ
  • PRIVACY STATEMENT
  • LICENCE & CITATION
Fields »
Search result

Field
Term
Gene name
Class
Subclass
Class
Keyword
Chromosome
External id
Tissue
Cell type
Expression
Antibody panel
Tissue
Main location
Patient ID
Annotation
Tissue
Category
Tau score
Cluster
Reliability
Brain region
Category
Tau score
Brain region
Category
Tau score
Brain region
Category
Tau score
Cluster
Reliability
Tissue
Cell type
Enrichment
Cell type
Category
Tau score
Cell type
Category
Tau score
Cell type
Category
Tau score
Cell lineage
Category
Tau score
Cluster
Cluster
Location
Searches
Location
Cell line
Class
Type
Phase
Reliability
Cancer
Prognosis
Cancer
Category
Cancer
Category
Tau score
Cluster
Variants
Interacting gene (ensg_id)
Type
Number of interactions
Pathway
Category
Score
Score
Score
Validation
Validation
Validation
Validation
Antibodies
Data type
Column


  • SUMMARY

  • TISSUE

  • BRAIN

  • SINGLE CELL

  • SUBCELL

  • CANCER

  • BLOOD

  • CELL LINE

  • STRUCT & INT

  • MYL12B
TISSUE PRIMARY DATA COLON Show tissue menu
ADIPOSE TISSUE ADRENAL GLAND AMYGDALA APPENDIX BASAL GANGLIA BONE MARROW BREAST BRONCHUS CEREBELLUM CEREBRAL CORTEX CERVIX CHOROID PLEXUS COLON DUODENUM
ENDOMETRIUM EPIDIDYMIS ESOPHAGUS FALLOPIAN TUBE GALLBLADDER HEART MUSCLE HIPPOCAMPAL FORMATION HYPOTHALAMUS KIDNEY LIVER LUNG LYMPH NODE MIDBRAIN NASOPHARYNX
ORAL MUCOSA OVARY PANCREAS PARATHYROID GLAND PITUITARY GLAND PLACENTA PROSTATE RECTUM RETINA SALIVARY GLAND SEMINAL VESICLE SKELETAL MUSCLE SKIN SMALL INTESTINE
SMOOTH MUSCLE SOFT TISSUE SPINAL CORD SPLEEN STOMACH TESTIS THYMUS THYROID GLAND TONGUE TONSIL URINARY BLADDER VAGINA
ANTIBODIES
AND
VALIDATION
Dictionary
Colon
Tissue proteome
Intestine
COLON - Expression summary
Protein expression
Coloni

On the top, protein expression in current human tissue, based on all annotated cell types, is reported with the units not detected (n), low (l), medium (m) and high (h). Underneath, protein expression in each annotated cell type are reported using the same units.

Protein expression data is based on knowledge-based annotation. For genes where more than one antibody has been used, a collective score is set.

If knowledge-based annotation could not be performed for a gene, no data is displayed here. View antibody staining data further down this page.

h
m
l
n
Endocrine cells: Not detected
Endothelial cells: Not detected
Enterocytes: Not detected
Enterocytes - Microvilli: Not detected
Fibroblasts: Not detected
Goblet cells: Not detected
Mucosal lymphoid cells: Not detected
Peripheral nerve/ganglion: Not detected
RNA expressioni

A summary of mRNA expression data available for current tissue based on several datasets. The mRNA expression levels in human tissues are based on RNA-seq data generated by the Human Protein Atlas (HPA), Genotype-Tissue Expression (GTEx) portal and CAGE data generated by the FANTOM5 consortium. Consensus normalized expression levels for human tissues was created by combining the data from HPA and GTEx datasets.

The mRNA expression levels in pig are based on RNA-seq data generated by the Human Protein Atlas (HPA), and for mouse, HPA data and in situ hybridization generated by the Allen brain atlas are reported.

Scroll down to view mRNA expression data in more detail.
Consensus:421.9 nTPM
HPA:421.9 nTPM
GTEx:329.8 nTPM
FANTOM5:395.3 Scaled Tags Per Million

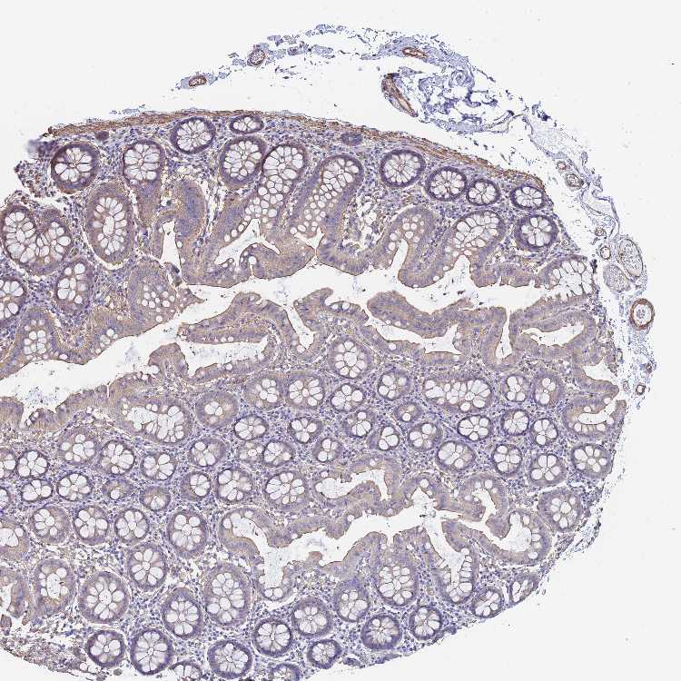
COLON - Antibody stainingi

Antibody staining in the annotated cell types in the current human tissue is reported as not detected, low, medium, or high, based on conventional immunohistochemistry profiling in selected tissues. This score is based on the combination of the staining intensity and fraction of stained cells.

Each image is clickable and will lead to virtual microscopy that enables deeper exploration of all samples and also displays staining intensity scores, fraction scores and subcellular localization as well as patient and tissue information for each sample.

Antibody HPA039262Antibody HPA045244Antibody HPA059197
Endocrine cells --Not detected
Endothelial cells LowLowNot detected
Enterocytes --Not detected
Enterocytes - Microvilli --Not detected
Fibroblasts --Not detected
Glandular cells MediumMedium-
Goblet cells --Not detected
Mucosal lymphoid cells --Not detected
Peripheral nerve/ganglion --Not detected







COLON - HPA RNA-seqi

The RNA-seq details section shows detailed information about the individual samples used for the transcript profiling and results of the RNA-seq analysis.

Information about each individual sample is listed below, including gender, age, a tissue section image and estimated fractions of cell types. nTPM (normalized transcripts per million) values give a quantification of the gene abundance which is comparable between different genes and samples.
Average nTPMi

Max subtype nTPM is the value for the subtype with the largest average nTPM across the subtype samples.

421.9
overview
Male, age 54
Colon sample 67
nTPM: 364.5
Cell types%
Glandular cells:
65

Smooth muscle cells:
10

Other cell types:
25

overview
Female, age 57
Colon sample 68
nTPM: 364.3
Cell types%
Glandular cells:
40

Smooth muscle cells:
5

Other cell types:
55

overview
Male, age 80
Colon sample 69
nTPM: 389.3
Cell types%
Glandular cells:
55

Smooth muscle cells:
5

Other cell types:
40

overview
Male, age 68
Colon sample 70
nTPM: 579.3
Cell types%
Glandular cells:
35

Smooth muscle cells:
10

Other cell types:
55

overview
Female, age 68
Colon sample 76
nTPM: 393.6
Cell types%
Glandular cells:
25

Smooth muscle cells:
5

Other cell types:
70

overview
Female, age 61
Colon sample 299
nTPM: 374.8
Cell types%
Glandular cells:
5

Smooth muscle cells:
65

Other cell types:
30

overview
Male, age 80
Colon sample 300
nTPM: 507.5
Cell types%
Glandular cells:
15

Smooth muscle cells:
20

Other cell types:
65

overview
Female, age 78
Colon sample 368
nTPM: 474.6
Cell types%
Glandular cells:
45

Smooth muscle cells:
5

Other cell types:
50

overview
Male, age 84
Colon sample 381
nTPM: 310.3
Cell types%
Glandular cells:
50

Smooth muscle cells:
15

Other cell types:
35

overview
Male, age 80
Colon sample 384
nTPM: 557.3
Cell types%
Glandular cells:
20

Smooth muscle cells:
35

Other cell types:
45

overview
Female, age 78
Colon sample 389
nTPM: 412.7
Cell types%
Glandular cells:
35

Smooth muscle cells:
10

Other cell types:
55

overview
Female, age 69
Colon sample 391
nTPM: 358.1
Cell types%
Glandular cells:
10

Smooth muscle cells:
45

Other cell types:
45

overview
Female, age 72
Colon sample 403
nTPM: 397.8
Cell types%
Glandular cells:
20

Smooth muscle cells:
15

Other cell types:
65


COLON - GTEx RNA-seqi

RNA-Seq data generated by the Genotype-Tissue Expression (GTEx) project from human tissues is reported as mean nTPM. More information can be found on the GTEx portal.

Distribution across the dataset is visualized with box plots, shown as median and 25th and 75th percentiles. Points are displayed as outliers if they are above or below 1.5 times the interquartile range. nTPM values of the individual samples are presented next to the box plot.
Max subtype nTPMi

Max subtype nTPM is the value for the subtype with the largest average nTPM across the subtype samples.

329.8
GTEx sample id Sample description nTPM
Colon - Sigmoid
Average nTPM: 202.1
Samples: 373

Max nTPM: 567.7
Min nTPM: 113.7
Std nTPM: 58.4
Median nTPM: 190.4
GTEX-ZQUD-1026-SM-4YCEZ 30-39 years, male 567.7
GTEX-15RJ7-1726-SM-6PAL3 40-49 years, male 535.5
GTEX-WOFM-1926-SM-4OOSP 20-29 years, male 505.1
GTEX-ZDTS-2726-SM-5L3E2 60-69 years, male 425.5
GTEX-1PBJJ-2026-SM-DTX8U 30-39 years, male 418.7
GTEX-13W3W-2226-SM-5LU4M 60-69 years, female 404.9
GTEX-11EQ8-2626-SM-5N9BO 60-69 years, male 395.9
GTEX-W5WG-2026-SM-4LMIB 50-59 years, female 383.9
GTEX-WH7G-1426-SM-4LVMU 40-49 years, male 383.7
GTEX-VJYA-2126-SM-4KL1O 60-69 years, male 364.4
GTEX-Y5V6-1626-SM-4VDT2 60-69 years, male 362.7
GTEX-14C5O-2626-SM-5RQI5 60-69 years, male 353.7
GTEX-1CB4F-1926-SM-7MKFN 60-69 years, male 331.6
GTEX-13113-1426-SM-5EGHU 60-69 years, female 326.1
GTEX-X5EB-1126-SM-46MVV 40-49 years, male 318.8
GTEX-WHSE-2726-SM-EZ6ML 20-29 years, male 316.5
GTEX-1RLM8-1726-SM-E9TKF 50-59 years, male 316.2
GTEX-15FZZ-1826-SM-6LLJP 30-39 years, female 315.8
GTEX-11ZU8-1126-SM-5EQ5K 60-69 years, male 311.1
GTEX-ZF2S-1826-SM-4WKFF 50-59 years, female 306.7
GTEX-WYJK-2326-SM-4ONDN 50-59 years, male 302.4
GTEX-1PIEJ-1826-SM-EWRMN 20-29 years, female 297.1
GTEX-ZVZQ-2626-SM-59HLB 60-69 years, female 291.5
GTEX-1AMEY-1826-SM-72D5L 30-39 years, female 291.4
GTEX-1K9T9-2926-SM-E9TKD 50-59 years, female 281.6
GTEX-1IL2U-2526-SM-C1YQV 60-69 years, male 281.4
GTEX-1RQEC-2626-SM-EVR3Z 60-69 years, male 279.4
GTEX-1PFEY-1726-SM-DPRZ4 30-39 years, male 278.9
GTEX-Y8E4-2326-SM-EAZAZ 40-49 years, male 278.8
GTEX-1N2EF-1726-SM-EXUSI 60-69 years, male 277.2
GTEX-YFCO-1526-SM-5YYB8 40-49 years, male 276.7
GTEX-13X6J-2826-SM-7EPGA 50-59 years, male 275.3
GTEX-13OVJ-1826-SM-5KM2D 50-59 years, female 274.7
GTEX-1I1CD-2826-SM-A9SL4 60-69 years, female 274.6
GTEX-14C39-1626-SM-5S2P4 40-49 years, male 272.9
GTEX-1LSNL-1626-SM-E9TJY 50-59 years, male 271.1
GTEX-1EU9M-2726-SM-7P8QD 60-69 years, male 269.6
GTEX-1399U-2226-SM-5KLZI 50-59 years, female 262.8
GTEX-1C64O-2426-SM-7P8R3 60-69 years, male 262.4
GTEX-1OJC3-1826-SM-DTX93 20-29 years, male 256.8
GTEX-15F5U-1426-SM-7KUN2 40-49 years, male 256.5
GTEX-1R9PO-2026-SM-E9J4N 60-69 years, female 255.8
GTEX-1LVAO-2826-SM-E9TJH 60-69 years, male 255.3
GTEX-17F96-2126-SM-7KFSM 70-79 years, male 250.0
GTEX-1B996-2726-SM-7DUGG 60-69 years, male 249.4
GTEX-1C6VQ-2626-SM-7IGMQ 50-59 years, male 249.1
GTEX-1LSVX-2026-SM-E9TJD 60-69 years, male 246.6
GTEX-15ER7-2826-SM-6PAN2 20-29 years, female 245.4
GTEX-1GN73-2726-SM-9WYUB 60-69 years, male 245.3
GTEX-1B8L1-1926-SM-7IGND 60-69 years, male 245.0
GTEX-16Z82-2426-SM-7KUMS 60-69 years, male 244.3
GTEX-11VI4-1426-SM-5GU6O 40-49 years, female 243.9
GTEX-1IDJI-2226-SM-CKZPM 50-59 years, female 243.2
GTEX-12WSM-1426-SM-5GCPA 60-69 years, male 243.0
GTEX-1RMOY-1726-SM-EVYC9 50-59 years, male 242.9
GTEX-ZTTD-2626-SM-57WEX 50-59 years, male 241.9
GTEX-1S5ZA-1426-SM-E6CJQ 20-29 years, male 240.8
GTEX-1LB8K-2526-SM-DIPEQ 50-59 years, male 239.3
GTEX-1HBPH-2526-SM-ACKXK 40-49 years, female 238.9
GTEX-15DYW-2426-SM-7KUG8 60-69 years, female 237.7
GTEX-ZE7O-2626-SM-51MSS 50-59 years, female 237.7
GTEX-1GTWX-2626-SM-9WPOT 60-69 years, male 237.7
GTEX-17EUY-1726-SM-79OK4 20-29 years, male 237.2
GTEX-ZQG8-2426-SM-57WEE 60-69 years, female 237.1
GTEX-1F75W-2126-SM-7RHIA 60-69 years, male 236.4
GTEX-132NY-2726-SM-5PNY2 60-69 years, male 235.5
GTEX-YEC3-2026-SM-DKPOL 50-59 years, male 234.7
GTEX-1J1OQ-2826-SM-D3L88 40-49 years, female 233.4
GTEX-11P7K-1826-SM-5HL5A 30-39 years, male 232.9
GTEX-12ZZW-2426-SM-5DUWE 50-59 years, male 232.8
GTEX-ZE9C-2126-SM-4WKGY 60-69 years, male 232.7
GTEX-1LKK1-2426-SM-DIPES 50-59 years, female 232.5
GTEX-12WSG-2426-SM-5EQLZ 50-59 years, female 231.9
GTEX-16BQI-2026-SM-7KULQ 30-39 years, female 230.7
GTEX-13O1R-2426-SM-5KLZZ 60-69 years, male 230.1
GTEX-18A6Q-2226-SM-7LG61 60-69 years, male 230.1
GTEX-1HB9E-2526-SM-D4P35 50-59 years, male 229.8
GTEX-ZYT6-2826-SM-5GICX 30-39 years, male 228.7
GTEX-1A3MV-1026-SM-72D5U 30-39 years, male 228.5
GTEX-ZPCL-1626-SM-57WGC 60-69 years, female 226.4
GTEX-139D8-2926-SM-5IJBM 30-39 years, female 225.9
GTEX-1JN6P-2126-SM-ARL98 60-69 years, male 225.9
GTEX-XAJ8-0726-SM-47JY5 40-49 years, male 225.8
GTEX-1P4AB-2626-SM-DTXEU 50-59 years, male 225.5
GTEX-1HBPI-2226-SM-9WYTY 50-59 years, male 225.3
GTEX-YF7O-1626-SM-5IFII 50-59 years, male 225.2
GTEX-WI4N-2226-SM-4OOS9 40-49 years, female 224.5
GTEX-Y8LW-1126-SM-4VDS4 50-59 years, female 224.5
GTEX-11EMC-1426-SM-5N9E4 60-69 years, female 224.4
GTEX-X4EO-2726-SM-4E3HS 60-69 years, female 223.2
GTEX-13U4I-2626-SM-5SI9C 40-49 years, female 222.6
GTEX-1A3MX-2326-SM-718B4 60-69 years, male 222.3
GTEX-WRHK-1126-SM-4MVOJ 20-29 years, female 222.2
GTEX-1GMR8-2926-SM-9KNW5 50-59 years, female 222.1
GTEX-ZLFU-1426-SM-4WWEU 40-49 years, male 222.0
GTEX-ZF28-2526-SM-57WFH 60-69 years, male 221.6
GTEX-13FHO-2726-SM-5K7VG 60-69 years, male 220.4
GTEX-13X6I-2726-SM-5Q5ET 60-69 years, male 220.4
GTEX-1GMRU-2626-SM-9WPPM 50-59 years, male 219.7
GTEX-17JCI-2826-SM-7IGNA 60-69 years, female 219.4
GTEX-1QPFJ-2426-SM-EVR3L 30-39 years, female 218.9
GTEX-15CHQ-2626-SM-686YZ 60-69 years, male 218.8
GTEX-11TT1-0926-SM-5GU5M 20-29 years, male 218.7
GTEX-11EM3-1626-SM-5N9CO 20-29 years, female 218.6
GTEX-1E2YA-2526-SM-7IGOU 50-59 years, male 215.4
GTEX-1JJEA-2526-SM-CY8HJ 60-69 years, male 215.1
GTEX-1JJE9-2526-SM-ARU8K 70-79 years, male 214.3
GTEX-1JMQJ-2626-SM-CY8HQ 50-59 years, male 214.2
GTEX-1J8EW-2426-SM-CE6T5 60-69 years, female 213.9
GTEX-1PBJI-2526-SM-E6CP4 20-29 years, female 213.3
GTEX-XBED-1726-SM-47JYO 60-69 years, male 213.2
GTEX-ZTSS-1226-SM-51MSZ 40-49 years, male 213.2
GTEX-14A5H-1626-SM-5SIAN 60-69 years, male 212.8
GTEX-1RDX4-1926-SM-E6CJJ 50-59 years, female 212.2
GTEX-1C64N-2226-SM-7SB7C 50-59 years, male 212.0
GTEX-11DXX-1926-SM-5EGJK 60-69 years, female 211.9
GTEX-16NGA-0926-SM-718AG 40-49 years, female 211.5
GTEX-ZVT3-2826-SM-5GU6A 60-69 years, female 211.3
GTEX-15RIE-2026-SM-7KFRW 60-69 years, male 211.0
GTEX-12696-1926-SM-5EGJT 60-69 years, male 210.1
GTEX-ZZ64-0826-SM-5E449 20-29 years, male 209.8
GTEX-1OFPY-1226-SM-E76OM 60-69 years, male 209.5
GTEX-13D11-0626-SM-5LZYY 50-59 years, female 209.1
GTEX-1QP2A-2226-SM-DTXF6 50-59 years, male 208.9
GTEX-Y5LM-1426-SM-5RQJL 40-49 years, female 208.3
GTEX-1RAZR-2026-SM-E9TKE 40-49 years, male 207.7
GTEX-1S831-1726-SM-EWROJ 20-29 years, male 207.1
GTEX-15RJE-2226-SM-6M46A 40-49 years, male 207.0
GTEX-1HSKV-2326-SM-A9SL9 60-69 years, male 206.9
GTEX-ZYFD-2226-SM-5E43P 50-59 years, male 206.8
GTEX-15G1A-1926-SM-7KUFF 30-39 years, male 206.6
GTEX-1PPH8-2226-SM-EWRN7 20-29 years, male 205.0
GTEX-1J1R8-1426-SM-CL55O 40-49 years, male 204.8
GTEX-1HBPM-2626-SM-9WYU5 60-69 years, female 204.6
GTEX-1I1GP-2826-SM-A9SKZ 50-59 years, male 204.5
GTEX-1EMGI-2626-SM-7IGNR 60-69 years, male 204.2
GTEX-14PJ4-1826-SM-5YY97 60-69 years, male 203.8
GTEX-12ZZX-2726-SM-5N9FT 40-49 years, female 203.6
GTEX-1QP29-2526-SM-E6CQ3 50-59 years, male 203.3
GTEX-1RAZQ-2026-SM-E76P7 30-39 years, male 203.0
GTEX-ZLV1-1326-SM-DO11Q 60-69 years, female 203.0
GTEX-11PRG-2026-SM-5GU5F 50-59 years, male 202.8
GTEX-17HG3-1126-SM-7DUFC 30-39 years, female 202.4
GTEX-1LVAN-2626-SM-CNPQF 50-59 years, female 202.4
GTEX-1PDJ9-2026-SM-E76PT 20-29 years, male 201.6
GTEX-13OVK-1026-SM-7KFTC 40-49 years, male 201.3
GTEX-1K2DA-1626-SM-CGQGB 50-59 years, male 200.9
GTEX-145LS-2926-SM-5O99G 60-69 years, female 200.2
GTEX-13X6K-2726-SM-5O9DG 60-69 years, female 199.3
GTEX-ZT9W-1726-SM-51MS3 50-59 years, male 199.3
GTEX-14JG6-1626-SM-5YYBC 30-39 years, female 199.1
GTEX-1JMQK-2326-SM-ARZN4 60-69 years, male 199.0
GTEX-13CF3-1326-SM-5LZXZ 60-69 years, female 198.8
GTEX-12WSD-2626-SM-5EGJE 60-69 years, female 198.6
GTEX-1QP67-1426-SM-E8VOO 40-49 years, female 198.5
GTEX-YJ8A-1726-SM-5P9IQ 20-29 years, male 198.4
GTEX-ZV6S-1126-SM-57WE9 40-49 years, female 198.2
GTEX-14BIN-2426-SM-5TDCF 50-59 years, female 197.9
GTEX-13SLW-2826-SM-5Q5ES 70-79 years, male 197.7
GTEX-147GR-2826-SM-5RQK8 60-69 years, male 196.5
GTEX-1H1ZS-2626-SM-9QEIX 70-79 years, male 196.3
GTEX-139TS-2226-SM-5J2N1 60-69 years, male 196.1
GTEX-ZF29-1826-SM-4WKG8 60-69 years, female 196.1
GTEX-11DXY-2026-SM-5N9CZ 60-69 years, male 195.8
GTEX-1CAMS-2626-SM-7PBY3 40-49 years, female 195.8
GTEX-1N2DV-1826-SM-E6CJ5 40-49 years, male 195.8
GTEX-11EI6-2626-SM-5PNVT 60-69 years, male 195.2
GTEX-13RTJ-1926-SM-5YYA2 60-69 years, male 195.1
GTEX-11EQ9-1526-SM-5PNY7 30-39 years, male 194.9
GTEX-1BAJH-2726-SM-7IGNJ 70-79 years, male 194.8
GTEX-1LGOU-1726-SM-D3L8P 20-29 years, female 194.8
GTEX-14PJ3-1226-SM-5ZZVY 50-59 years, male 194.3
GTEX-11I78-1326-SM-5PNY9 50-59 years, female 193.8
GTEX-1KXAM-1926-SM-D3LAG 60-69 years, male 193.6
GTEX-1HBPN-2026-SM-B2LWA 50-59 years, male 192.3
GTEX-1HCVE-2326-SM-9WYUD 50-59 years, male 192.3
GTEX-131YS-2926-SM-5EGKI 60-69 years, female 192.2
GTEX-13FTW-2126-SM-5K7YG 40-49 years, male 192.1
GTEX-ZVT2-1726-SM-51MRO 50-59 years, female 192.1
GTEX-1A32A-2626-SM-73KX9 50-59 years, female 191.5
GTEX-16MTA-1626-SM-6M47N 50-59 years, male 191.4
GTEX-111CU-1226-SM-5EGIN 50-59 years, male 191.1
GTEX-17MFQ-1226-SM-7KFSA 20-29 years, male 191.0
GTEX-1H3NZ-2526-SM-9KNVO 60-69 years, male 191.0
GTEX-1LGRB-2026-SM-COH47 50-59 years, female 191.0
GTEX-14DAQ-2926-SM-664MV 60-69 years, female 190.5
GTEX-148VJ-2426-SM-5NQ9Y 70-79 years, male 190.4
GTEX-1C475-1526-SM-7DHM3 40-49 years, female 190.2
GTEX-WFON-1326-SM-4LVMN 40-49 years, male 190.0
GTEX-1JKYN-2226-SM-ARZNE 30-39 years, male 189.9
GTEX-13G51-2126-SM-5IJD9 60-69 years, male 189.5
GTEX-15UF6-2726-SM-7KULY 70-79 years, female 189.3
GTEX-1B932-2126-SM-7IGMU 40-49 years, female 189.2
GTEX-139UW-2326-SM-5KM1Y 60-69 years, male 188.6
GTEX-WFG8-1726-SM-4LVM6 20-29 years, male 188.6
GTEX-144GM-1126-SM-79OJK 20-29 years, male 188.4
GTEX-ZAB4-2426-SM-5HL8A 40-49 years, male 187.5
GTEX-ZXES-1726-SM-5E43G 30-39 years, female 187.4
GTEX-ZLWG-1826-SM-DO11I 50-59 years, female 187.4
GTEX-1J8JJ-2426-SM-D4P4A 60-69 years, female 187.0
GTEX-1IDJH-2826-SM-CJI49 70-79 years, male 186.6
GTEX-1477Z-2126-SM-5Q5CM 60-69 years, male 186.5
GTEX-1QCLY-2026-SM-EVR4C 30-39 years, male 186.5
GTEX-ZA64-1426-SM-5CVMC 20-29 years, male 186.1
GTEX-ZYY3-2226-SM-5E45A 60-69 years, female 186.1
GTEX-1LG7Y-2226-SM-E9U5K 50-59 years, male 186.0
GTEX-1LG7Z-1326-SM-DIPF3 30-39 years, male 185.8
GTEX-14PKV-1926-SM-686YU 20-29 years, female 185.5
GTEX-1H3VE-2326-SM-9KNVU 40-49 years, male 185.4
GTEX-13PVR-1726-SM-5Q5EC 60-69 years, female 185.3
GTEX-1S82P-2026-SM-E9TIQ 60-69 years, female 185.2
GTEX-11TUW-2326-SM-5EQMO 60-69 years, male 184.9
GTEX-1AX9J-2526-SM-73KUY 60-69 years, male 184.4
GTEX-12KS4-2326-SM-5EGJB 30-39 years, male 184.0
GTEX-14PHX-1126-SM-5YYA5 50-59 years, male 183.9
GTEX-139T6-1426-SM-5P9J7 50-59 years, male 183.7
GTEX-WQUQ-2626-SM-4MVNP 60-69 years, male 183.4
GTEX-14AS3-1026-SM-5TDD7 40-49 years, female 183.2
GTEX-18A67-2226-SM-7LT9Z 50-59 years, male 183.2
GTEX-11ONC-1926-SM-5GU75 60-69 years, male 183.0
GTEX-1PIIG-2126-SM-EXUSD 30-39 years, male 182.6
GTEX-Y114-1626-SM-4TT7I 50-59 years, female 182.5
GTEX-15DZA-1026-SM-6PAND 30-39 years, female 182.2
GTEX-1339X-1726-SM-5P9J9 40-49 years, male 180.9
GTEX-1B8KE-1526-SM-7DUG2 50-59 years, male 180.6
GTEX-11ZTS-1526-SM-5N9G7 60-69 years, female 180.4
GTEX-13O61-1526-SM-5KM3P 60-69 years, male 180.4
GTEX-V955-1726-SM-4JBHF 60-69 years, male 180.2
GTEX-1QP28-2226-SM-DTX8C 50-59 years, female 180.2
GTEX-1JMPZ-2626-SM-ARU8Z 30-39 years, male 179.7
GTEX-18465-2726-SM-7LT9I 50-59 years, male 179.4
GTEX-18A66-2626-SM-72D67 60-69 years, male 179.3
GTEX-12WSL-1826-SM-5LZW9 50-59 years, male 178.7
GTEX-1EH9U-1926-SM-7P8QM 60-69 years, male 178.7
GTEX-ZY6K-1326-SM-5GZWP 50-59 years, male 178.6
GTEX-1CAMR-1026-SM-7P8QI 20-29 years, male 178.5
GTEX-WFG7-1626-SM-4LVMF 20-29 years, male 178.3
GTEX-1JKYR-2026-SM-CNPON 20-29 years, male 177.2
GTEX-1212Z-1826-SM-5FQSH 60-69 years, male 176.9
GTEX-1LSNM-1426-SM-E6CIH 50-59 years, male 176.4
GTEX-1CB4G-2726-SM-79OO4 60-69 years, male 175.7
GTEX-183WM-2526-SM-731BP 70-79 years, female 175.4
GTEX-1I1GR-2226-SM-ARL7F 60-69 years, male 175.3
GTEX-17GQL-1626-SM-7LG69 60-69 years, male 175.2
GTEX-15ETS-2326-SM-7KUGC 40-49 years, female 175.0
GTEX-17KNJ-1826-SM-7LT9N 50-59 years, male 175.0
GTEX-1AMFI-1826-SM-73KWB 50-59 years, female 175.0
GTEX-1PIGE-1526-SM-DTXFC 20-29 years, male 174.7
GTEX-1HSEH-1926-SM-A96SB 60-69 years, male 174.0
GTEX-12WSJ-1426-SM-5GCON 40-49 years, female 173.9
GTEX-13OW6-2226-SM-5N9FL 50-59 years, male 173.9
GTEX-132AR-2826-SM-5IJFV 50-59 years, female 173.4
GTEX-1B97I-1526-SM-73KUK 40-49 years, male 173.1
GTEX-WY7C-1926-SM-4ONCI 50-59 years, male 173.1
GTEX-1HCUA-1926-SM-B2LWE 50-59 years, female 172.8
GTEX-1HCU7-2726-SM-A9G3D 50-59 years, male 172.0
GTEX-15EO6-2326-SM-6LPKK 50-59 years, male 171.7
GTEX-YECK-2826-SM-5IFHF 60-69 years, male 171.5
GTEX-14E6C-2226-SM-5QGQG 40-49 years, male 171.1
GTEX-12ZZY-2726-SM-5EQ45 60-69 years, male 171.0
GTEX-11P81-1426-SM-5P9JN 30-39 years, female 170.8
GTEX-1R7EU-1826-SM-DTX9L 60-69 years, male 170.2
GTEX-1KANA-1726-SM-CY8IG 20-29 years, male 170.1
GTEX-11GS4-1826-SM-5HL4T 60-69 years, male 169.7
GTEX-145LT-0826-SM-5S2QL 40-49 years, male 169.6
GTEX-11DXZ-1626-SM-5GIDI 50-59 years, male 169.5
GTEX-1J8Q3-2426-SM-CL53S 60-69 years, male 169.4
GTEX-1MGNQ-2126-SM-EV7AC 40-49 years, male 169.4
GTEX-145MH-2726-SM-5QGQ6 50-59 years, male 169.3
GTEX-1QP9N-0826-SM-DTX9O 30-39 years, male 169.1
GTEX-1HFI7-1626-SM-9WYTR 50-59 years, female 169.0
GTEX-1HCU6-2926-SM-B2LWV 60-69 years, female 168.8
GTEX-ZVT4-2626-SM-5N9GJ 50-59 years, female 168.7
GTEX-1I6K6-1926-SM-A96SN 30-39 years, male 168.6
GTEX-Z93S-2626-SM-57WBX 50-59 years, male 168.4
GTEX-13PVQ-2726-SM-5L3H7 50-59 years, male 168.3
GTEX-117XS-2226-SM-5GIE1 60-69 years, male 168.0
GTEX-12BJ1-2026-SM-5FQUH 60-69 years, male 167.9
GTEX-145MO-2626-SM-5QGPD 60-69 years, male 167.9
GTEX-1122O-1426-SM-5H11R 60-69 years, female 167.4
GTEX-1GPI7-1926-SM-9KNUH 20-29 years, male 167.3
GTEX-1L5NE-1926-SM-D3L9R 50-59 years, male 166.8
GTEX-14A5I-2426-SM-5Q5CP 50-59 years, female 166.3
GTEX-1ICG6-2226-SM-B2LY7 70-79 years, female 166.3
GTEX-1LBAC-1726-SM-D3L9W 20-29 years, male 165.9
GTEX-1F5PL-1926-SM-7MXTP 40-49 years, female 165.6
GTEX-13PL7-2426-SM-5J2N3 60-69 years, female 165.1
GTEX-13111-1926-SM-5GCOL 50-59 years, male 164.3
GTEX-17F9Y-2626-SM-7IGN9 70-79 years, female 164.2
GTEX-1GZ4H-1326-SM-7P8TE 50-59 years, female 163.9
GTEX-XQ8I-2326-SM-4BOQC 50-59 years, male 162.5
GTEX-ZG7Y-1826-SM-4WWD3 50-59 years, male 162.1
GTEX-131XG-1526-SM-5GCNQ 50-59 years, female 161.7
GTEX-1H23P-2626-SM-9KNVN 60-69 years, male 161.7
GTEX-13QBU-2026-SM-5KLZB 40-49 years, female 161.6
GTEX-18QFQ-1726-SM-731C9 30-39 years, male 161.2
GTEX-15G19-2726-SM-6LPKG 60-69 years, male 161.1
GTEX-18D9A-1326-SM-7LT8P 30-39 years, female 160.6
GTEX-13OVI-2126-SM-5KM3U 60-69 years, female 160.5
GTEX-146FH-2426-SM-5Q5EW 50-59 years, female 160.5
GTEX-16XZZ-2726-SM-7EWDO 60-69 years, male 160.2
GTEX-1QCLZ-2026-SM-EAZ4A 60-69 years, female 159.9
GTEX-1IDJU-1926-SM-CL53W 60-69 years, female 159.8
GTEX-1211K-1826-SM-5EGJ2 60-69 years, female 159.7
GTEX-Y3I4-1126-SM-4TT7Y 50-59 years, male 159.5
GTEX-XUZC-1526-SM-4BRV4 30-39 years, female 159.1
GTEX-1J8QM-1226-SM-CY8HI 60-69 years, female 159.0
GTEX-13N2G-2226-SM-5IJCU 60-69 years, male 158.5
GTEX-1GMR2-1826-SM-9KNUP 50-59 years, male 158.2
GTEX-1AX9K-1626-SM-73KUS 50-59 years, male 157.9
GTEX-145ME-1126-SM-5SIAT 40-49 years, female 157.8
GTEX-117YX-0526-SM-5EGJH 50-59 years, male 157.5
GTEX-147JS-2626-SM-5S2UX 60-69 years, male 157.3
GTEX-XV7Q-2226-SM-4BRVY 40-49 years, female 156.8
GTEX-1IKOE-2126-SM-A96T5 30-39 years, female 156.7
GTEX-13FH7-1626-SM-5J2O9 50-59 years, female 156.6
GTEX-13CF2-1826-SM-5N9GK 60-69 years, male 156.5
GTEX-ZP4G-1526-SM-57WE5 20-29 years, female 156.2
GTEX-1F5PK-1726-SM-7RHHW 50-59 years, male 156.1
GTEX-11ZTT-1626-SM-5EQKR 60-69 years, female 155.8
GTEX-1R9K5-2226-SM-DTX9G 50-59 years, male 155.8
GTEX-1JK1U-1426-SM-CNPOW 60-69 years, male 155.3
GTEX-14E6E-1726-SM-5S2R6 30-39 years, male 155.2
GTEX-1LVAM-1726-SM-DHXKQ 50-59 years, female 155.0
GTEX-1GMR3-2526-SM-7P8QS 40-49 years, male 154.6
GTEX-1HKZK-2026-SM-9WYUF 40-49 years, male 154.6
GTEX-ZPIC-2626-SM-57WE2 40-49 years, female 152.6
GTEX-ZAB5-1426-SM-5HL9D 50-59 years, male 152.4
GTEX-14BMU-1326-SM-5RQIH 20-29 years, female 152.1
GTEX-XXEK-1826-SM-4BRVC 50-59 years, male 152.0
GTEX-1R9JW-2126-SM-E76QT 30-39 years, female 151.1
GTEX-1I1GT-2026-SM-CKZPK 60-69 years, female 151.0
GTEX-1JMLX-2526-SM-CY8HX 50-59 years, male 151.0
GTEX-13OW5-2826-SM-5KM1G 60-69 years, male 150.8
GTEX-1H1DE-1626-SM-9KNU5 20-29 years, male 149.9
GTEX-ZYFG-1826-SM-5GZWX 60-69 years, female 149.2
GTEX-1AYCT-1926-SM-793AE 50-59 years, male 148.8
GTEX-1HSMO-2526-SM-A9SKP 60-69 years, male 148.3
GTEX-14PN3-1926-SM-6EU1Y 60-69 years, female 148.0
GTEX-WHWD-1526-SM-4OORV 50-59 years, male 147.4
GTEX-WXYG-1726-SM-4ONCU 50-59 years, female 146.8
GTEX-13OW8-2726-SM-5L3FZ 60-69 years, male 146.6
GTEX-X15G-1526-SM-4PQZM 50-59 years, female 146.5
GTEX-ZAJG-2626-SM-5S2NU 50-59 years, female 145.1
GTEX-1H3VY-2526-SM-9KNW1 50-59 years, male 144.0
GTEX-1399R-2126-SM-5K7WZ 30-39 years, male 143.1
GTEX-1HSMQ-2526-SM-A9SMK 50-59 years, male 143.1
GTEX-1JN76-1326-SM-ARU94 20-29 years, female 142.9
GTEX-1GF9X-1426-SM-7RHGX 40-49 years, female 141.3
GTEX-111YS-1826-SM-5GIEP 60-69 years, male 141.2
GTEX-17HHE-1626-SM-7DHLN 50-59 years, male 141.1
GTEX-1QW4Y-1426-SM-E76P3 30-39 years, male 141.1
GTEX-183FY-1426-SM-7DHLM 20-29 years, male 140.0
GTEX-YJ8O-1426-SM-5PNV9 40-49 years, female 139.9
GTEX-1HSGN-2226-SM-A9SL6 40-49 years, female 139.6
GTEX-15RIF-1426-SM-7KUKQ 20-29 years, male 137.8
GTEX-1GL5R-1726-SM-9KNUX 50-59 years, male 137.2
GTEX-1JMPY-1026-SM-ARZN1 30-39 years, male 137.2
GTEX-WHPG-1626-SM-4M1ZL 50-59 years, male 136.1
GTEX-XUW1-1826-SM-4BOQD 50-59 years, female 136.0
GTEX-ZC5H-2426-SM-4WAZ6 40-49 years, female 135.1
GTEX-1C2JI-1726-SM-73KUW 50-59 years, male 134.7
GTEX-13VXT-2026-SM-5L3EW 20-29 years, female 134.6
GTEX-Y9LG-1326-SM-4VBQB 30-39 years, male 132.9
GTEX-15UF7-1326-SM-7KUKV 40-49 years, male 132.1
GTEX-14PK6-1826-SM-69LOM 70-79 years, female 131.6
GTEX-1H1E6-1826-SM-A9G21 30-39 years, male 131.0
GTEX-1C4CL-1626-SM-7DUF3 30-39 years, male 129.2
GTEX-ZPU1-1726-SM-4WWFV 40-49 years, male 126.7
GTEX-14E1K-1626-SM-664MO 50-59 years, male 124.2
GTEX-WYVS-1126-SM-4SOJX 40-49 years, female 117.0
GTEX-17HGU-2626-SM-79OKN 50-59 years, male 116.0
GTEX-131XE-1026-SM-5EGKE 50-59 years, male 113.7
Show allShow less
Colon - Transverse
Average nTPM: 329.8
Samples: 406

Max nTPM: 1065.1
Min nTPM: 103.7
Std nTPM: 147.8
Median nTPM: 292.0
GTEX-14E6E-1526-SM-5RQIG 30-39 years, male 1065.1
GTEX-14PK6-1726-SM-6871J 70-79 years, female 843.3
GTEX-14XAO-2026-SM-69LOI 60-69 years, female 832.3
GTEX-1399R-2226-SM-5P9JB 30-39 years, male 798.6
GTEX-111CU-1426-SM-5GZYP 50-59 years, male 789.4
GTEX-ZT9W-1826-SM-51MQX 50-59 years, male 784.9
GTEX-14JIY-3326-SM-6871E 60-69 years, male 776.6
GTEX-1CAMR-0926-SM-7MXTD 20-29 years, male 769.6
GTEX-131XG-1826-SM-5LZV4 50-59 years, female 753.8
GTEX-Y5LM-1526-SM-4VDTA 40-49 years, female 677.7
GTEX-1K2DA-2026-SM-CGQGK 50-59 years, male 677.4
GTEX-1399U-1926-SM-5IFH7 50-59 years, female 652.2
GTEX-1H1E6-1926-SM-9OSWD 30-39 years, male 638.6
GTEX-11P82-1026-SM-5BC5J 20-29 years, male 626.1
GTEX-1IKOE-2026-SM-AHZ31 30-39 years, female 619.9
GTEX-XUZC-1326-SM-4BRV2 30-39 years, female 617.7
GTEX-ZLWG-1726-SM-DNZZ2 50-59 years, female 615.7
GTEX-1J1R8-1126-SM-CNPQ3 40-49 years, male 613.2
GTEX-ZDYS-2326-SM-4WKG6 50-59 years, male 597.4
GTEX-1LG7Z-1426-SM-CXKYV 30-39 years, male 597.1
GTEX-1122O-1526-SM-5N9CL 60-69 years, female 593.9
GTEX-QV31-0826-SM-CKZNC 30-39 years, male 586.8
GTEX-1C475-1626-SM-731FP 40-49 years, female 584.0
GTEX-1H11D-2626-SM-9JGH4 40-49 years, male 582.1
GTEX-11DXX-1826-SM-5H126 60-69 years, female 579.8
GTEX-11TT1-1026-SM-5PNW7 20-29 years, male 576.6
GTEX-1QP9N-1026-SM-E6CPX 30-39 years, male 566.9
GTEX-ZVT2-1926-SM-5GU5T 50-59 years, female 565.1
GTEX-1JKYN-2326-SM-CGQG7 30-39 years, male 562.9
GTEX-1I4MK-1126-SM-B2LWS 50-59 years, female 552.7
GTEX-ZF2S-1926-SM-4WWAN 50-59 years, female 551.7
GTEX-T5JW-1126-SM-4DM5V 20-29 years, female 551.1
GTEX-13X6H-1926-SM-7EWD3 50-59 years, female 550.1
GTEX-ZV7C-1526-SM-5NQ72 50-59 years, male 548.8
GTEX-UJHI-1126-SM-4IHLN 50-59 years, female 548.3
GTEX-ZDTT-1926-SM-5HL5W 60-69 years, male 546.1
GTEX-14PKV-2126-SM-664O3 20-29 years, female 543.4
GTEX-132AR-2726-SM-5PNVN 50-59 years, female 541.0
GTEX-16AAH-1326-SM-7KFRG 50-59 years, male 541.0
GTEX-R55G-1226-SM-48FDC 40-49 years, female 539.4
GTEX-1399S-1926-SM-5J2M5 30-39 years, female 539.0
GTEX-1F5PK-1926-SM-7MXT7 50-59 years, male 536.6
GTEX-1LVAM-1626-SM-EV79Y 50-59 years, female 535.1
GTEX-U4B1-1126-SM-4DXV3 40-49 years, male 534.2
GTEX-1B8KE-1926-SM-731EE 50-59 years, male 533.8
GTEX-13D11-0826-SM-5KLZJ 50-59 years, female 531.5
GTEX-1KANC-0926-SM-D3LA9 50-59 years, female 530.6
GTEX-1AMFI-1726-SM-7189L 50-59 years, female 523.3
GTEX-12BJ1-2126-SM-5BC5O 60-69 years, male 522.3
GTEX-14PHX-1526-SM-68717 50-59 years, male 519.8
GTEX-WOFM-2026-SM-4OOSQ 20-29 years, male 519.8
GTEX-1N2DV-1426-SM-DPRYQ 40-49 years, male 519.4
GTEX-1F5PL-2126-SM-7PC2O 40-49 years, female 515.2
GTEX-Q2AI-0926-SM-48U1F 40-49 years, male 514.6
GTEX-1PIEJ-2026-SM-E6CPA 20-29 years, female 513.9
GTEX-11EM3-1526-SM-5A5KN 20-29 years, female 506.7
GTEX-144GM-1226-SM-5LU52 20-29 years, male 505.2
GTEX-145MN-1726-SM-5SIA6 30-39 years, male 501.8
GTEX-13111-0726-SM-5DUVE 50-59 years, male 499.7
GTEX-11I78-1226-SM-5A5K6 50-59 years, female 498.2
GTEX-W5WG-2426-SM-4LMI6 50-59 years, female 496.0
GTEX-1JN76-1226-SM-C1YRM 20-29 years, female 495.9
GTEX-Y3IK-1826-SM-4WWDS 50-59 years, female 494.7
GTEX-QLQW-0426-SM-447A7 30-39 years, male 492.6
GTEX-117YW-1826-SM-5PNY5 50-59 years, male 488.9
GTEX-13FTW-1826-SM-5IJEN 40-49 years, male 486.7
GTEX-15RIF-1326-SM-6LPKO 20-29 years, male 486.5
GTEX-O5YT-1426-SM-3MJHC 20-29 years, male 486.3
GTEX-11DXZ-1726-SM-5H12M 50-59 years, male 475.3
GTEX-14PJ4-1926-SM-6LLHG 60-69 years, male 474.6
GTEX-P4QT-1426-SM-3NMCX 50-59 years, female 473.2
GTEX-1QP67-1326-SM-EAZ4D 40-49 years, female 470.8
GTEX-ZEX8-1926-SM-4WKFR 50-59 years, male 465.8
GTEX-1PFEY-1426-SM-E9U6U 30-39 years, male 464.6
GTEX-1IOXB-2626-SM-CJI2N 50-59 years, male 463.1
GTEX-ZPIC-2226-SM-57WDX 40-49 years, female 462.4
GTEX-13PL7-2526-SM-5IFGR 60-69 years, female 462.0
GTEX-Q2AH-1226-SM-48TZL 40-49 years, male 460.8
GTEX-U3ZN-2126-SM-4DXU1 30-39 years, female 458.4
GTEX-YB5E-1626-SM-5IFIQ 40-49 years, male 457.4
GTEX-SNOS-1226-SM-4DM5H 40-49 years, male 456.6
GTEX-PLZ5-1126-SM-3P613 50-59 years, male 452.9
GTEX-11P7K-1526-SM-5EGI7 30-39 years, male 448.5
GTEX-1RAZR-1926-SM-E6CRF 40-49 years, male 447.2
GTEX-1RAZA-1726-SM-DPS13 20-29 years, male 446.0
GTEX-1QPFJ-2326-SM-E6CR7 30-39 years, female 445.5
GTEX-S4UY-0826-SM-4AD4Z 40-49 years, female 442.6
GTEX-18D9A-1126-SM-7KFRJ 30-39 years, female 439.7
GTEX-1MA7W-0626-SM-EV79Z 20-29 years, female 439.1
GTEX-13PVR-1626-SM-73KVF 60-69 years, female 437.3
GTEX-1S83E-1626-SM-EV7B9 40-49 years, male 436.9
GTEX-146FQ-1926-SM-5NQBY 30-39 years, male 435.8
GTEX-ZG7Y-2126-SM-DO117 50-59 years, male 432.0
GTEX-R55D-1826-SM-48FEF 50-59 years, male 431.6
GTEX-RM2N-0926-SM-48FD1 50-59 years, male 429.9
GTEX-14DAR-1526-SM-5RQIX 50-59 years, male 426.2
GTEX-TML8-1326-SM-4DXTO 40-49 years, female 424.4
GTEX-WFON-1426-SM-4LVMT 40-49 years, male 419.4
GTEX-13QBU-1826-SM-5IJG3 40-49 years, female 416.1
GTEX-1ICLZ-2426-SM-CKZOD 60-69 years, male 413.4
GTEX-XV7Q-2126-SM-4BRVX 40-49 years, female 409.9
GTEX-13O21-2426-SM-5MR4A 50-59 years, male 407.4
GTEX-S4Q7-0826-SM-4AD5E 20-29 years, male 407.4
GTEX-XBED-1526-SM-4AT5W 60-69 years, male 407.3
GTEX-18A66-2426-SM-7KFSQ 60-69 years, male 405.8
GTEX-1H3VY-2426-SM-9WPPD 50-59 years, male 405.6
GTEX-14BMU-1526-SM-5TDE6 20-29 years, female 402.2
GTEX-ZPCL-1826-SM-57WF1 60-69 years, female 401.1
GTEX-1AYCT-1826-SM-731EG 50-59 years, male 400.1
GTEX-ZVP2-1526-SM-5NQ82 50-59 years, male 396.6
GTEX-PWN1-1426-SM-48TDF 40-49 years, female 395.0
GTEX-15RIE-1826-SM-6M48P 60-69 years, male 392.7
GTEX-1HCU9-1326-SM-B2LXT 20-29 years, male 392.4
GTEX-13OVG-1426-SM-5K7VP 60-69 years, male 390.7
GTEX-1B932-2826-SM-73KUD 40-49 years, female 388.6
GTEX-Y9LG-1526-SM-4WWDR 30-39 years, male 387.7
GTEX-1LGRB-1426-SM-CNNPT 50-59 years, female 387.2
GTEX-144GN-1126-SM-5LU33 50-59 years, male 383.7
GTEX-139T6-1326-SM-5IFFO 50-59 years, male 383.1
GTEX-139YR-2126-SM-5KM11 50-59 years, male 381.8
GTEX-1R7EU-1926-SM-E9U62 60-69 years, male 381.2
GTEX-145LT-0926-SM-5LU9C 40-49 years, male 380.5
GTEX-ZXES-1626-SM-5NQ7L 30-39 years, female 379.5
GTEX-OOBJ-1426-SM-E6CHH 60-69 years, male 379.5
GTEX-ZLV1-1226-SM-4WWBX 60-69 years, female 378.3
GTEX-PWCY-1026-SM-48TD4 20-29 years, female 373.8
GTEX-ZTSS-1126-SM-5985O 40-49 years, male 373.4
GTEX-1S3DN-1826-SM-EV79K 50-59 years, male 371.5
GTEX-S7SF-1926-SM-4AT5B 20-29 years, female 368.9
GTEX-133LE-1526-SM-5IFEN 20-29 years, female 368.4
GTEX-1JK1U-1526-SM-AHZ46 60-69 years, male 367.8
GTEX-XMK1-1726-SM-4B64Z 40-49 years, male 367.0
GTEX-178AV-1326-SM-6LPJX 40-49 years, male 364.4
GTEX-1PWST-2426-SM-EWRMP 70-79 years, male 362.7
GTEX-15CHR-1426-SM-7DUGV 50-59 years, male 362.3
GTEX-P4PP-1426-SM-3NM9L 30-39 years, female 362.3
GTEX-PLZ6-0926-SM-3P5ZQ 30-39 years, male 359.2
GTEX-XPVG-1826-SM-4B64X 50-59 years, male 357.2
GTEX-139TS-1926-SM-5IJFO 60-69 years, male 357.1
GTEX-OIZH-1426-SM-3NB1O 50-59 years, male 356.2
GTEX-X15G-1326-SM-4PQZJ 50-59 years, female 354.8
GTEX-Q734-1126-SM-48TZY 40-49 years, female 354.1
GTEX-17KNJ-1726-SM-7LG6A 50-59 years, male 353.9
GTEX-1K9T9-2826-SM-D4P3F 50-59 years, female 353.5
GTEX-WHWD-1226-SM-4OOS1 50-59 years, male 351.7
GTEX-1L5NE-2026-SM-CXZKR 50-59 years, male 351.4
GTEX-QDVN-1326-SM-48TZ3 50-59 years, male 349.1
GTEX-TKQ2-1326-SM-4DXT9 50-59 years, male 348.5
GTEX-QEL4-1926-SM-D3L8D 50-59 years, male 348.1
GTEX-YEC3-2426-SM-DO11A 50-59 years, male 345.6
GTEX-1KANA-1926-SM-DHXKF 20-29 years, male 345.4
GTEX-WHSB-0926-SM-4M1XJ 50-59 years, male 345.1
GTEX-15UF6-2626-SM-6M466 70-79 years, female 343.5
GTEX-1IDJU-2026-SM-A9SLM 60-69 years, female 342.5
GTEX-17HHE-1826-SM-79OKE 50-59 years, male 339.1
GTEX-ZPU1-1926-SM-57WDT 40-49 years, male 338.2
GTEX-OHPM-1426-SM-3TW8Y 50-59 years, male 337.7
GTEX-QMRM-1226-SM-447C6 50-59 years, male 337.5
GTEX-OIZF-1426-SM-2HML2 60-69 years, male 336.7
GTEX-147F3-1926-SM-5SIB9 50-59 years, female 334.8
GTEX-OXRK-1726-SM-3NB16 50-59 years, female 334.8
GTEX-YF7O-1726-SM-5IFJ9 50-59 years, male 334.3
GTEX-1211K-1726-SM-5FQUJ 60-69 years, female 334.1
GTEX-WFG7-1526-SM-4LVMG 20-29 years, male 333.1
GTEX-13S86-1626-SM-5Q5C5 40-49 years, male 332.8
GTEX-OHPN-2026-SM-E9TIA 60-69 years, female 330.8
GTEX-1B8KZ-1326-SM-7DUG6 50-59 years, male 328.5
GTEX-11VI4-1526-SM-5EQKC 40-49 years, female 328.3
GTEX-1LSVX-1726-SM-DHXJP 60-69 years, male 327.8
GTEX-QCQG-1626-SM-48U26 50-59 years, female 327.3
GTEX-1KXAM-2126-SM-CY8I9 60-69 years, male 326.6
GTEX-1MGNQ-2026-SM-EAZ51 40-49 years, male 324.5
GTEX-ZP4G-1726-SM-4WWCM 20-29 years, female 323.7
GTEX-14ICK-1026-SM-6AJA4 40-49 years, male 322.3
GTEX-15DYW-2326-SM-6PAMU 60-69 years, female 320.5
GTEX-13OVJ-1726-SM-5IJDZ 50-59 years, female 319.9
GTEX-1LGOU-1626-SM-D3LAK 20-29 years, female 318.0
GTEX-1J1OQ-2726-SM-AHZ3R 40-49 years, female 317.4
GTEX-1N2EF-1926-SM-DTX8M 60-69 years, male 315.6
GTEX-1HSEH-1726-SM-B2LXH 60-69 years, male 315.3
GTEX-ZGAY-2126-SM-4YCFB 40-49 years, female 313.3
GTEX-1LVAN-2526-SM-CNPPC 50-59 years, female 312.2
GTEX-11LCK-2026-SM-5A5MA 30-39 years, male 312.0
GTEX-1H1DG-2226-SM-9WPPC 70-79 years, male 311.5
GTEX-18D9U-1926-SM-7KFTM 40-49 years, male 311.3
GTEX-1NHNU-2326-SM-E6CQE 50-59 years, male 311.2
GTEX-1C4CL-2126-SM-7IGQC 30-39 years, male 310.8
GTEX-S4P3-1226-SM-4AD4Y 50-59 years, female 309.6
GTEX-144GL-2526-SM-5TDDL 50-59 years, male 306.6
GTEX-XGQ4-1226-SM-4AT67 50-59 years, male 306.3
GTEX-17HGU-2426-SM-7EWDP 50-59 years, male 306.1
GTEX-17EVQ-1826-SM-7IGPH 70-79 years, male 305.7
GTEX-1QCLZ-1926-SM-E6CR3 60-69 years, female 305.2
GTEX-12C56-0626-SM-5EGGC 20-29 years, male 304.6
GTEX-1QCLY-1726-SM-DPRXY 30-39 years, male 304.5
GTEX-ZY6K-1226-SM-5GZYL 50-59 years, male 304.3
GTEX-131XE-0826-SM-5HL9W 50-59 years, male 303.9
GTEX-R45C-2126-SM-EZ6KZ 60-69 years, female 303.7
GTEX-1F75I-2426-SM-9WPOY 40-49 years, male 296.8
GTEX-OXRN-2026-SM-E6CHK 50-59 years, male 296.7
GTEX-1JKYR-1926-SM-C1YR7 20-29 years, male 294.0
GTEX-1OKEX-1226-SM-DTXEC 60-69 years, male 293.2
GTEX-R55C-1126-SM-48FCJ 40-49 years, male 292.1
GTEX-1JMPY-0426-SM-C1YQ3 30-39 years, male 292.0
GTEX-1HFI7-1726-SM-A9G22 50-59 years, female 291.4
GTEX-13OVI-2026-SM-5J1MU 60-69 years, female 290.7
GTEX-ZZ64-0726-SM-5GZX4 20-29 years, male 289.3
GTEX-145LS-2726-SM-5Q5D8 60-69 years, female 289.1
GTEX-14C5O-2526-SM-73KU2 60-69 years, male 288.2
GTEX-SJXC-2226-SM-EVYAK 60-69 years, male 287.9
GTEX-Y8E4-2426-SM-4WWDN 40-49 years, male 286.9
GTEX-1AX9I-2626-SM-73KU5 60-69 years, male 286.6
GTEX-1PIGE-1426-SM-E9U61 20-29 years, male 286.2
GTEX-1CAMS-2526-SM-7EPH7 40-49 years, female 285.7
GTEX-1IGQW-2326-SM-CE6RV 60-69 years, male 285.6
GTEX-14JG6-1726-SM-69LPL 30-39 years, female 284.9
GTEX-1I1GR-2526-SM-CNNQF 60-69 years, male 284.8
GTEX-1GF9X-1526-SM-7P8QP 40-49 years, female 284.5
GTEX-XQ8I-2126-SM-4BOOM 50-59 years, male 282.9
GTEX-QDVJ-1326-SM-48U1X 50-59 years, male 282.1
GTEX-U3ZM-1126-SM-4DXUB 40-49 years, male 281.6
GTEX-R53T-1326-SM-48FCQ 50-59 years, female 280.9
GTEX-1NSGN-2326-SM-E9U5X 50-59 years, male 280.9
GTEX-1I1GT-1926-SM-ARU7D 60-69 years, female 280.8
GTEX-1128S-1626-SM-5H12O 60-69 years, female 279.4
GTEX-1GF9U-1526-SM-7MXUW 40-49 years, female 278.4
GTEX-13W3W-2126-SM-5K7UX 60-69 years, female 277.7
GTEX-1RDX4-1826-SM-EVR54 50-59 years, female 277.2
GTEX-111VG-2226-SM-5N9DU 60-69 years, male 276.8
GTEX-1EMGI-2726-SM-7P8S4 60-69 years, male 276.0
GTEX-147GR-2726-SM-664OO 60-69 years, male 275.5
GTEX-XYKS-2226-SM-4E3IU 60-69 years, female 274.7
GTEX-SE5C-1526-SM-4BRWU 40-49 years, female 274.6
GTEX-15SB6-1226-SM-7KUMP 50-59 years, female 273.1
GTEX-15DCE-2026-SM-7KUFE 20-29 years, male 268.1
GTEX-1E2YA-2626-SM-7MGWW 50-59 years, male 267.2
GTEX-1JN1M-2626-SM-CY8I3 60-69 years, female 266.1
GTEX-11O72-2226-SM-5PNW2 40-49 years, male 265.4
GTEX-16XZZ-2626-SM-6M47S 60-69 years, male 265.2
GTEX-ZYVF-2826-SM-5GIDK 50-59 years, female 264.9
GTEX-VJYA-2026-SM-4KL1K 60-69 years, male 264.5
GTEX-15CHQ-2526-SM-6EU24 60-69 years, male 262.8
GTEX-1C6VQ-2726-SM-73KUL 50-59 years, male 260.4
GTEX-1JJ6O-2426-SM-ARU8J 60-69 years, male 260.2
GTEX-UJMC-1326-SM-4IHLS 50-59 years, male 260.0
GTEX-16NGA-1026-SM-7KFS3 40-49 years, female 259.9
GTEX-17F98-1026-SM-7IGO8 40-49 years, female 259.5
GTEX-1JMPZ-2426-SM-C1YQP 30-39 years, male 257.9
GTEX-17JCI-2626-SM-7EWE6 60-69 years, female 256.9
GTEX-17MF6-2426-SM-7LTAM 40-49 years, male 256.8
GTEX-WYJK-2226-SM-4ONDJ 50-59 years, male 254.9
GTEX-13FHP-2426-SM-5KLZ5 50-59 years, male 253.6
GTEX-1HSMQ-2726-SM-C1YRE 50-59 years, male 253.1
GTEX-QLQ7-1126-SM-CYPRB 60-69 years, male 251.0
GTEX-1JJE9-2426-SM-D3L8T 70-79 years, male 250.1
GTEX-1AX8Z-2726-SM-73KUC 60-69 years, male 249.1
GTEX-1KANB-1526-SM-CXZK4 50-59 years, male 248.8
GTEX-1S5VW-2926-SM-E9U6H 60-69 years, male 245.9
GTEX-1MJK3-0926-SM-EV7AY 20-29 years, male 245.7
GTEX-WYVS-1826-SM-4OND6 40-49 years, female 245.2
GTEX-1IKK5-2726-SM-CNPQ6 60-69 years, male 244.1
GTEX-14ICL-1226-SM-5S2RD 30-39 years, male 244.0
GTEX-S3XE-1126-SM-4AD4N 50-59 years, male 243.0
GTEX-1EH9U-2026-SM-7PBYS 60-69 years, male 243.0
GTEX-14BMV-2426-SM-5S2PP 50-59 years, male 242.0
GTEX-ZAB4-2226-SM-5HL97 40-49 years, male 241.7
GTEX-1R9JW-2026-SM-EAZ4O 30-39 years, female 241.3
GTEX-SNMC-1126-SM-4DM5M 20-29 years, male 240.9
GTEX-13O3O-2526-SM-5L3DR 60-69 years, female 240.6
GTEX-147JS-2526-SM-5S2Q8 60-69 years, male 239.6
GTEX-1NV5F-2226-SM-DTX8O 60-69 years, female 239.0
GTEX-1F75B-2726-SM-7P8QO 50-59 years, male 238.9
GTEX-1GN73-2626-SM-9KNUQ 60-69 years, male 237.7
GTEX-13O3P-2326-SM-5KM55 50-59 years, male 237.1
GTEX-XAJ8-0426-SM-47JYJ 40-49 years, male 235.4
GTEX-WH7G-1326-SM-4LVMS 40-49 years, male 235.3
GTEX-17EUY-1826-SM-7DUEZ 20-29 years, male 234.7
GTEX-XBEW-1926-SM-4SOJO 40-49 years, male 234.4
GTEX-1R9PM-1526-SM-DPRY8 20-29 years, male 234.4
GTEX-13CF3-1426-SM-5K7YY 60-69 years, female 234.2
GTEX-XUW1-1926-SM-4BOP1 50-59 years, female 234.1
GTEX-16NPV-2626-SM-6M484 50-59 years, female 231.4
GTEX-17F9E-1826-SM-7IGMC 50-59 years, male 230.9
GTEX-1H1DE-1526-SM-ARL9B 20-29 years, male 230.4
GTEX-11ZVC-2126-SM-5EGJ1 50-59 years, female 230.2
GTEX-15SHU-2526-SM-6M47D 40-49 years, female 230.1
GTEX-1HCU7-2626-SM-C1YQO 50-59 years, male 229.7
GTEX-WVJS-2426-SM-EZ6LI 50-59 years, male 229.2
GTEX-12ZZZ-2426-SM-5GCNN 60-69 years, male 228.4
GTEX-1N5O9-2726-SM-E76QH 60-69 years, male 227.8
GTEX-13FH7-1526-SM-5J2N6 50-59 years, female 227.5
GTEX-1AMEY-1926-SM-73KVT 30-39 years, female 226.7
GTEX-13OW6-2126-SM-5N9GL 50-59 years, male 226.6
GTEX-14AS3-1126-SM-5Q5CR 40-49 years, female 226.0
GTEX-16Z82-2226-SM-6LPJ7 60-69 years, male 225.8
GTEX-1HSMP-2326-SM-D3L8R 70-79 years, male 225.1
GTEX-1IDJD-2226-SM-A96TD 30-39 years, male 224.7
GTEX-12WSJ-1526-SM-5GCNI 40-49 years, female 224.6
GTEX-1POEN-2026-SM-E6CRL 30-39 years, female 224.4
GTEX-PX3G-1426-SM-48U1J 20-29 years, female 223.6
GTEX-18A7B-2026-SM-72D71 70-79 years, male 223.4
GTEX-16MT8-2726-SM-7IGLJ 60-69 years, female 220.3
GTEX-O5YW-1426-SM-3MJHF 50-59 years, male 217.9
GTEX-P78B-1726-SM-3P5ZV 40-49 years, female 217.0
GTEX-13QJ3-2626-SM-9OSXQ 50-59 years, male 216.5
GTEX-17HII-2726-SM-7MGVM 50-59 years, male 216.1
GTEX-X3Y1-1726-SM-4PQZL 40-49 years, male 215.8
GTEX-1IDJC-1326-SM-CL53H 50-59 years, male 215.6
GTEX-U412-1726-SM-EZ6KX 60-69 years, male 215.6
GTEX-14PJM-2626-SM-686ZD 50-59 years, female 215.0
GTEX-17GQL-1526-SM-7LTAC 60-69 years, male 214.8
GTEX-11ONC-2026-SM-5HL61 60-69 years, male 214.1
GTEX-1GPI7-1726-SM-7P8R1 20-29 years, male 213.9
GTEX-17F96-2026-SM-79ON4 70-79 years, male 213.5
GTEX-11NSD-1626-SM-5986U 20-29 years, male 213.3
GTEX-1HCVE-2526-SM-A9G2G 50-59 years, male 211.5
GTEX-X4EO-2526-SM-EWRM8 60-69 years, female 211.3
GTEX-14DAQ-2726-SM-5S2QY 60-69 years, female 210.9
GTEX-1CB4F-2026-SM-79OLU 60-69 years, male 210.9
GTEX-1GZ4I-2426-SM-9WPPP 50-59 years, male 210.9
GTEX-1339X-1626-SM-5IJDN 40-49 years, male 209.8
GTEX-148VJ-2626-SM-5QGPI 70-79 years, male 209.6
GTEX-15ER7-2926-SM-7KUFK 20-29 years, female 208.6
GTEX-145MO-2426-SM-5NQ9W 60-69 years, male 208.3
GTEX-1GMR3-2826-SM-9WPOG 40-49 years, male 207.5
GTEX-1LG7Y-2126-SM-DIPER 50-59 years, male 207.4
GTEX-1CB4I-2226-SM-7P8SL 50-59 years, male 206.2
GTEX-14C39-1926-SM-5ZZW5 40-49 years, male 205.1
GTEX-1PPGY-2826-SM-DTX9H 60-69 years, male 204.7
GTEX-14BIN-3026-SM-5ZZUS 50-59 years, female 204.0
GTEX-15DZA-0926-SM-69LQ3 30-39 years, female 203.6
GTEX-1A3MV-1126-SM-718BS 30-39 years, male 202.6
GTEX-Z93S-2426-SM-5HL8N 50-59 years, male 201.3
GTEX-1HSGN-2626-SM-CE6S1 40-49 years, female 198.6
GTEX-14PJ5-0926-SM-6LLIK 60-69 years, female 197.2
GTEX-14E1K-1826-SM-793DT 50-59 years, male 196.5
GTEX-117YX-0826-SM-5H11J 50-59 years, male 195.5
GTEX-13VXT-2426-SM-5LU46 20-29 years, female 195.2
GTEX-1LH75-2126-SM-EVR5F 50-59 years, female 195.2
GTEX-145ME-0826-SM-5O9AF 40-49 years, female 193.4
GTEX-1B996-2626-SM-73KZ1 60-69 years, male 191.2
GTEX-12KS4-2426-SM-5LU8P 30-39 years, male 188.9
GTEX-1MCC2-1626-SM-DIPEW 30-39 years, female 188.9
GTEX-PSDG-1826-SM-EAZ2S 50-59 years, male 187.8
GTEX-Y8LW-1226-SM-4WWDP 50-59 years, female 187.5
GTEX-1RMOY-1626-SM-EVYC8 50-59 years, male 186.7
GTEX-Y3I4-1426-SM-4TT9C 50-59 years, male 186.4
GTEX-11EQ9-1426-SM-5987G 30-39 years, male 185.4
GTEX-15G1A-1826-SM-7KUKO 30-39 years, male 184.8
GTEX-1BAJH-2326-SM-7IGMO 70-79 years, male 184.4
GTEX-ZYFC-2626-SM-5NQ6S 50-59 years, male 184.3
GTEX-1QMI2-2626-SM-E6CR4 60-69 years, male 183.9
GTEX-ZF29-1726-SM-4WKFV 60-69 years, female 183.6
GTEX-1RAZQ-2126-SM-DTX9V 30-39 years, male 183.3
GTEX-1PPH8-2026-SM-DTX7P 20-29 years, male 183.2
GTEX-1S82U-0726-SM-E9TKI 30-39 years, female 182.8
GTEX-18A7A-2226-SM-7LT8K 50-59 years, female 181.7
GTEX-14PJ3-0926-SM-69LQG 50-59 years, male 181.5
GTEX-NFK9-2026-SM-3LK5K 40-49 years, male 181.0
GTEX-13OVK-0826-SM-7KULZ 40-49 years, male 180.5
GTEX-11GSP-1626-SM-5986N 60-69 years, female 177.8
GTEX-13U4I-2426-SM-5LU34 40-49 years, female 177.0
GTEX-11TTK-2426-SM-5PNYO 60-69 years, female 176.7
GTEX-WQUQ-2526-SM-4MVNO 60-69 years, male 175.7
GTEX-18D9B-2526-SM-718BN 60-69 years, male 175.5
GTEX-WEY5-1426-SM-4LMJ3 40-49 years, female 175.1
GTEX-1R9K5-2126-SM-E8VN1 50-59 years, male 174.3
GTEX-ZYFG-1926-SM-5GID5 60-69 years, female 172.9
GTEX-1C2JI-1626-SM-7EPHC 50-59 years, male 172.1
GTEX-1AYD5-1726-SM-7RHFW 50-59 years, male 170.0
GTEX-14H4A-1926-SM-5ZZWN 40-49 years, female 169.6
GTEX-RU1J-1326-SM-46MUL 20-29 years, female 167.9
GTEX-1I6K6-1826-SM-B2LX5 30-39 years, male 167.7
GTEX-15CHC-1626-SM-5ZZWS 60-69 years, female 167.0
GTEX-OXRO-0726-SM-E9U4C 60-69 years, female 166.5
GTEX-OXRL-1426-SM-3NM9E 50-59 years, male 165.4
GTEX-13O61-1626-SM-5KM3T 60-69 years, male 165.3
GTEX-1HKZK-2126-SM-A9SL3 40-49 years, male 163.3
GTEX-1MUQO-2626-SM-EWRO3 60-69 years, male 162.7
GTEX-1GL5R-2426-SM-7MXV1 50-59 years, male 161.7
GTEX-S341-1426-SM-4AD6U 40-49 years, female 160.0
GTEX-12WSL-1626-SM-5GCMU 50-59 years, male 158.5
GTEX-13OW5-2626-SM-5MR3M 60-69 years, male 158.5
GTEX-1GMR2-1726-SM-9JGI2 50-59 years, male 157.9
GTEX-V955-1626-SM-4JBHJ 60-69 years, male 157.6
GTEX-111YS-1626-SM-5GZZ9 60-69 years, male 155.5
GTEX-1GZ4H-1226-SM-9KNUA 50-59 years, female 155.0
GTEX-18QFQ-1526-SM-72D57 30-39 years, male 154.8
GTEX-ZV6S-1226-SM-59HLH 40-49 years, female 153.4
GTEX-Y114-1526-SM-4TT79 50-59 years, female 150.8
GTEX-WY7C-1626-SM-4ONC8 50-59 years, male 150.3
GTEX-1HCU6-2726-SM-A9SKV 60-69 years, female 149.8
GTEX-1JMLX-2726-SM-CM2SB 50-59 years, male 148.3
GTEX-11TUW-2026-SM-5EQL8 60-69 years, male 148.1
GTEX-1C64O-2326-SM-73KU8 60-69 years, male 147.9
GTEX-RWS6-1826-SM-47JXX 60-69 years, female 142.6
GTEX-1IDJF-1826-SM-CKZOE 20-29 years, male 142.2
GTEX-TKQ1-0626-SM-4DXTS 30-39 years, male 141.5
GTEX-T6MO-0826-SM-4DM51 40-49 years, female 140.2
GTEX-YEC4-1926-SM-5IFHJ 40-49 years, male 138.6
GTEX-1LBAC-1626-SM-CXZKV 20-29 years, male 134.5
GTEX-XXEK-1926-SM-4BRVD 50-59 years, male 124.4
GTEX-X5EB-0926-SM-46MVT 40-49 years, male 120.4
GTEX-1QW4Y-1326-SM-EWRMZ 30-39 years, male 116.3
GTEX-11P81-1126-SM-5GU5G 30-39 years, female 115.7
GTEX-U3ZH-1326-SM-4DXSF 30-39 years, male 103.7
Show allShow less

COLON - FANTOM5 CAGEi

RNA expression in human tissues obtained through Cap Analysis of Gene Expression (CAGE) generated by the FANTOM5 project are reported as Scaled Tags Per Million.

Max subtype Scaled Tags Per Millioni

Max subtype Scaled Tags Per Million is the value for the subtype with the largest average Scaled Tags Per Million across the subtype samples.

395.3
FANTOM5 sample id Sample description Scaled Tags Per Million
Colon
Scaled Tags Per Million: 395.3
FF:10014-101C5 62,83,84 years, mixed 395.3

Contact

  • NEWS ARTICLES
  • PRESS ROOM

The Project

  • INTRODUCTION
  • ORGANIZATION
  • PUBLICATIONS

The Human Protein Atlas

  • DOWNLOADABLE DATA
  • LICENCE & CITATION
  • HELP & FAQ
The Human Protein Atlas project is funded
by the Knut & Alice Wallenberg Foundation.


contact@proteinatlas.org